We use cookies to enhance the usability of our website. If you continue, we'll assume that you are happy to receive all cookies. More information. Don't show this again.
RPS7
HPA
RESOURCES
  • TISSUE
  • BRAIN
  • SINGLE CELL
  • SUBCELLULAR
  • CANCER
  • BLOOD
  • CELL LINE
  • STRUCTURE & INTERACTION
ABOUT
  • INTRODUCTION
  • HISTORY
  • ORGANIZATION
  • PUBLICATIONS
  • ANTIBODY SUBMISSION
  • ANTIBODY AVAILABILITY
  • ACKNOWLEDGMENTS
  • CONTACT
NEWS
  • NEWS ARTICLES
  • PRESS ROOM
LEARN
  • DICTIONARY
  • PROTEIN CLASSES
  • PROTEIN EVIDENCE
  • METHODS
  • EDUCATIONAL VIDEOS
DATA
  • DOWNLOADABLE DATA
  • PUBLICATION DATA
  • RELEASE HISTORY
HELP
  • ANTIBODY VALIDATION
  • ASSAYS & ANNOTATION
  • DISCLAIMER
  • HELP & FAQ
  • PRIVACY STATEMENT
  • LICENCE & CITATION
Fields »
Search result

Field
Term
Gene name
Class
Subclass
Class
Keyword
Chromosome
External id
Tissue
Cell type
Expression
Antibody panel
Tissue
Main location
Patient ID
Annotation
Tissue
Category
Tau score
Cluster
Reliability
Brain region
Category
Tau score
Brain region
Category
Tau score
Brain region
Category
Tau score
Cluster
Reliability
Tissue
Cell type
Enrichment
Cell type
Category
Tau score
Cell type
Category
Tau score
Cell type
Category
Tau score
Cell lineage
Category
Tau score
Cluster
Cluster
Location
Searches
Location
Cell line
Class
Type
Phase
Reliability
Cancer
Prognosis
Cancer
Category
Cancer
Category
Tau score
Cluster
Variants
Interacting gene (ensg_id)
Type
Number of interactions
Pathway
Category
Score
Score
Score
Validation
Validation
Validation
Validation
Antibodies
Data type
Column


  • SUMMARY

  • TISSUE

  • BRAIN

  • SINGLE CELL

  • SUBCELL

  • CANCER

  • BLOOD

  • CELL LINE

  • STRUCT & INT

  • RPS7
TISSUE PRIMARY DATA BREAST Show tissue menu
ADIPOSE TISSUE ADRENAL GLAND AMYGDALA APPENDIX BASAL GANGLIA BONE MARROW BREAST BRONCHUS CEREBELLUM CEREBRAL CORTEX CERVIX CHOROID PLEXUS COLON DUODENUM
ENDOMETRIUM EPIDIDYMIS ESOPHAGUS FALLOPIAN TUBE GALLBLADDER HEART MUSCLE HIPPOCAMPAL FORMATION HYPOTHALAMUS KIDNEY LIVER LUNG LYMPH NODE MIDBRAIN NASOPHARYNX
ORAL MUCOSA OVARY PANCREAS PARATHYROID GLAND PITUITARY GLAND PLACENTA PROSTATE RECTUM RETINA SALIVARY GLAND SEMINAL VESICLE SKELETAL MUSCLE SKIN SMALL INTESTINE
SMOOTH MUSCLE SOFT TISSUE SPINAL CORD SPLEEN STOMACH TESTIS THYMUS THYROID GLAND TONGUE TONSIL URINARY BLADDER VAGINA
ANTIBODIES
AND
VALIDATION
Dictionary
Breast
Tissue proteome
Breast
BREAST - Expression summary
Protein expression
Breasti

On the top, protein expression in current human tissue, based on all annotated cell types, is reported with the units not detected (n), low (l), medium (m) and high (h). Underneath, protein expression in each annotated cell type are reported using the same units.

Protein expression data is based on knowledge-based annotation. For genes where more than one antibody has been used, a collective score is set.

If knowledge-based annotation could not be performed for a gene, no data is displayed here. View antibody staining data further down this page.

h
m
l
n
Adipocytes: Not detected
Glandular cells: High
Myoepithelial cells: High
RNA expressioni

A summary of mRNA expression data available for current tissue based on several datasets. The mRNA expression levels in human tissues are based on RNA-seq data generated by the Human Protein Atlas (HPA), Genotype-Tissue Expression (GTEx) portal and CAGE data generated by the FANTOM5 consortium. Consensus normalized expression levels for human tissues was created by combining the data from HPA and GTEx datasets.

The mRNA expression levels in pig are based on RNA-seq data generated by the Human Protein Atlas (HPA), and for mouse, HPA data and in situ hybridization generated by the Allen brain atlas are reported.

Scroll down to view mRNA expression data in more detail.
Consensus:2120.7 nTPM
HPA:2120.7 nTPM
GTEx:1122.2 nTPM
FANTOM5:30.9 Scaled Tags Per Million

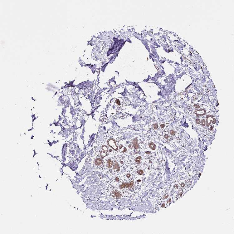
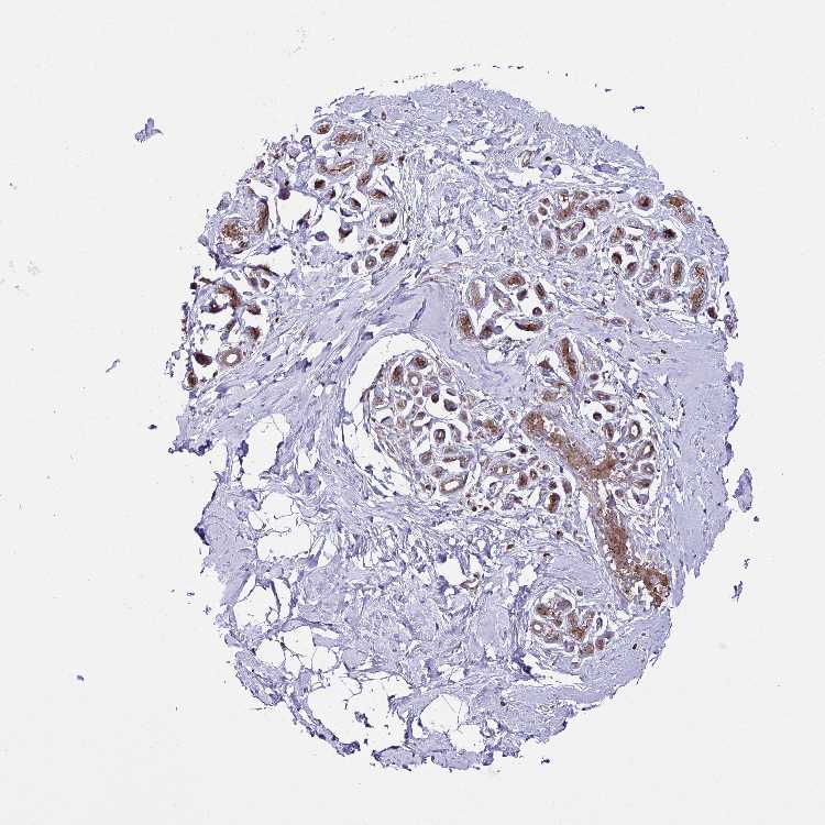
BREAST - Antibody stainingi

Antibody staining in the annotated cell types in the current human tissue is reported as not detected, low, medium, or high, based on conventional immunohistochemistry profiling in selected tissues. This score is based on the combination of the staining intensity and fraction of stained cells.

Each image is clickable and will lead to virtual microscopy that enables deeper exploration of all samples and also displays staining intensity scores, fraction scores and subcellular localization as well as patient and tissue information for each sample.

Antibody HPA056586
Adipocytes Not detected
Glandular cells High
Myoepithelial cells High



BREAST - HPA RNA-seqi

The RNA-seq details section shows detailed information about the individual samples used for the transcript profiling and results of the RNA-seq analysis.

Information about each individual sample is listed below, including gender, age, a tissue section image and estimated fractions of cell types. nTPM (normalized transcripts per million) values give a quantification of the gene abundance which is comparable between different genes and samples.
Average nTPMi

Max subtype nTPM is the value for the subtype with the largest average nTPM across the subtype samples.

2120.7
overview
Female, age 52
Breast sample 373
nTPM: 2865.2
Cell types%
Glandular cells:
15

Adipocytes:
5

Other cell types:
80

overview
Female, age 80
Breast sample 390
nTPM: 1395.4
Cell types%
Glandular cells:
5

Adipocytes:
15

Other cell types:
80

overview
Female, age 47
Breast sample 405
nTPM: 1281.3
Cell types%
Glandular cells:
5

Adipocytes:
5

Other cell types:
90

overview
Female, age 38
Breast sample 410
nTPM: 2940.8
Cell types%
Glandular cells:
40

Adipocytes:
5

Other cell types:
55


BREAST - GTEx RNA-seqi

RNA-Seq data generated by the Genotype-Tissue Expression (GTEx) project from human tissues is reported as mean nTPM. More information can be found on the GTEx portal.

Distribution across the dataset is visualized with box plots, shown as median and 25th and 75th percentiles. Points are displayed as outliers if they are above or below 1.5 times the interquartile range. nTPM values of the individual samples are presented next to the box plot.
Max subtype nTPMi

Max subtype nTPM is the value for the subtype with the largest average nTPM across the subtype samples.

1122.2
GTEx sample id Sample description nTPM
Breast - Mammary Tissue
Average nTPM: 1122.2
Samples: 459

Max nTPM: 3696.1
Min nTPM: 492.3
Std nTPM: 392.0
Median nTPM: 1042.6
GTEX-14AS3-1626-SM-5S2OY 40-49 years, female 3696.1
GTEX-14PN4-0626-SM-62LFP 50-59 years, male 3020.6
GTEX-1B8SG-1226-SM-7IGPF 50-59 years, male 2975.0
GTEX-1R9JW-0326-SM-EAZ45 30-39 years, female 2955.3
GTEX-ZVT2-1826-SM-5NQ8W 50-59 years, female 2752.1
GTEX-1JJE9-2326-SM-ARL8Q 70-79 years, male 2700.8
GTEX-1ICLZ-0426-SM-B2LW2 60-69 years, male 2609.0
GTEX-1F5PK-2126-SM-7PC28 50-59 years, male 2608.3
GTEX-1AMEY-1026-SM-718AA 30-39 years, female 2446.3
GTEX-14PJO-0726-SM-69LO8 60-69 years, male 2361.4
GTEX-14H4A-2526-SM-5YYAY 40-49 years, female 2283.9
GTEX-1F75I-2026-SM-7SB7N 40-49 years, male 2257.1
GTEX-1N2EF-2226-SM-E9J33 60-69 years, male 2220.7
GTEX-ZAB4-2526-SM-5HL8M 40-49 years, male 2218.9
GTEX-14ABY-2126-SM-5QGQZ 50-59 years, male 2214.3
GTEX-11TT1-2126-SM-5GU5Y 20-29 years, male 2203.7
GTEX-145LT-0726-SM-5S2VM 40-49 years, male 2032.0
GTEX-1JJEA-2726-SM-ARL8V 60-69 years, male 2012.0
GTEX-13SLW-2526-SM-62LDQ 70-79 years, male 1988.8
GTEX-18A66-1726-SM-7LG5N 60-69 years, male 1886.2
GTEX-1CAMS-1426-SM-7IGPM 40-49 years, female 1882.0
GTEX-1I19N-2826-SM-CL55D 70-79 years, male 1842.9
GTEX-183WM-0726-SM-7LTAA 70-79 years, female 1785.3
GTEX-14ICK-2426-SM-6EU27 40-49 years, male 1783.4
GTEX-11EM3-1326-SM-5N9C6 20-29 years, female 1742.8
GTEX-1ICLY-1726-SM-B2LVT 50-59 years, male 1739.7
GTEX-11P82-1326-SM-5HL62 20-29 years, male 1734.5
GTEX-ZLFU-2126-SM-DO931 40-49 years, male 1705.8
GTEX-13S86-1226-SM-5S2OA 40-49 years, male 1697.4
GTEX-15G19-2126-SM-6M48J 60-69 years, male 1675.1
GTEX-13113-5013-SM-7SB7G 60-69 years, female 1667.4
GTEX-11DZ1-0326-SM-5N9BN 50-59 years, male 1662.1
GTEX-15RJE-2626-SM-7KFT1 40-49 years, male 1646.5
GTEX-ZLWG-1926-SM-DO92J 50-59 years, female 1631.9
GTEX-1399U-1826-SM-5PNZ1 50-59 years, female 1627.8
GTEX-1H1DG-0526-SM-9YFLN 70-79 years, male 1610.9
GTEX-17MF6-0326-SM-7EPH5 40-49 years, male 1603.4
GTEX-145MF-2226-SM-7EPIR 50-59 years, male 1603.3
GTEX-14PKU-0426-SM-6EU1P 40-49 years, female 1600.8
GTEX-ZTTD-1026-SM-51MRD 50-59 years, male 1596.2
GTEX-16NGA-0826-SM-718AF 40-49 years, female 1574.5
GTEX-ZZ64-1226-SM-5E43R 20-29 years, male 1558.7
GTEX-14E6C-1326-SM-62LEQ 40-49 years, male 1545.9
GTEX-1IKOE-1326-SM-CE6T6 30-39 years, female 1532.6
GTEX-ZVE2-1226-SM-5NQ8R 50-59 years, male 1532.4
GTEX-14BMU-1626-SM-5TDE7 20-29 years, female 1530.9
GTEX-14LLW-0626-SM-62LFC 70-79 years, female 1529.2
GTEX-1R7EV-1526-SM-E8VOD 40-49 years, male 1527.3
GTEX-ZGAY-1726-SM-DO91P 40-49 years, female 1515.8
GTEX-131XW-0726-SM-5EGK3 50-59 years, female 1505.9
GTEX-ZAJG-0626-SM-5HL8X 50-59 years, female 1504.1
GTEX-14753-2426-SM-5LU8U 60-69 years, male 1498.1
GTEX-1CB4J-1826-SM-7EWF9 60-69 years, male 1497.6
GTEX-11WQK-2426-SM-5GU5C 50-59 years, male 1494.0
GTEX-1IDJH-2226-SM-E6CJV 70-79 years, male 1489.7
GTEX-ZYW4-0826-SM-5GIDG 60-69 years, male 1472.0
GTEX-1IDFM-0426-SM-B2LVV 60-69 years, male 1452.8
GTEX-1GMR2-1926-SM-9MQLZ 50-59 years, male 1449.8
GTEX-1HCVE-2626-SM-ADEJ8 50-59 years, male 1436.4
GTEX-1NHNU-0926-SM-E9J2T 50-59 years, male 1434.4
GTEX-1H23P-0726-SM-9WG7K 60-69 years, male 1418.0
GTEX-1S82U-1126-SM-E9U6I 30-39 years, female 1412.2
GTEX-13D11-1026-SM-5IJFB 50-59 years, female 1408.5
GTEX-Y8E4-1626-SM-5S2MW 40-49 years, male 1407.3
GTEX-1HC8U-0826-SM-ADEIL 40-49 years, female 1403.6
GTEX-ZT9W-2026-SM-51MRA 50-59 years, male 1402.2
GTEX-145MO-0826-SM-5NQBL 60-69 years, male 1390.5
GTEX-ZWKS-2826-SM-5NQ74 30-39 years, male 1386.8
GTEX-1I1GT-1126-SM-ARL7J 60-69 years, female 1381.8
GTEX-1POEN-0926-SM-DTX88 30-39 years, female 1373.9
GTEX-13FHO-0826-SM-5L3E8 60-69 years, male 1370.1
GTEX-11EQ9-1826-SM-5Q5AJ 30-39 years, male 1369.6
GTEX-1IDJE-0826-SM-CKZNZ 50-59 years, female 1365.7
GTEX-1RLM8-2226-SM-EVYD1 50-59 years, male 1364.2
GTEX-1IDJF-2326-SM-ARL86 20-29 years, male 1363.0
GTEX-1HSMO-0826-SM-ADEIV 60-69 years, male 1359.3
GTEX-1QP29-1726-SM-E8VMQ 50-59 years, male 1356.7
GTEX-11WQC-1726-SM-5GU4W 60-69 years, male 1355.8
GTEX-1GPI7-0926-SM-7PC3J 20-29 years, male 1355.3
GTEX-ZXES-0826-SM-5E43C 30-39 years, female 1353.1
GTEX-1IE54-0626-SM-ARL8D 40-49 years, female 1350.4
GTEX-1192X-2326-SM-5987X 50-59 years, male 1348.9
GTEX-13PVQ-1026-SM-5KM3M 50-59 years, male 1347.2
GTEX-132Q8-1426-SM-5EGK7 60-69 years, male 1344.0
GTEX-1JMOU-2026-SM-CMKGU 60-69 years, female 1339.5
GTEX-S4Q7-1126-SM-4AD6R 20-29 years, male 1339.4
GTEX-1QMI2-0726-SM-E9J4F 60-69 years, male 1328.1
GTEX-133LE-1726-SM-5K7VQ 20-29 years, female 1323.7
GTEX-17EVQ-0426-SM-7LG57 70-79 years, male 1317.5
GTEX-1GZ4H-0326-SM-7P8QX 50-59 years, female 1317.3
GTEX-1H1ZS-0126-SM-9YFKQ 70-79 years, male 1317.3
GTEX-1ICG6-1326-SM-ACKWR 70-79 years, female 1313.4
GTEX-UTHO-1026-SM-3GAF7 60-69 years, male 1312.0
GTEX-1117F-2826-SM-5GZXL 60-69 years, female 1310.2
GTEX-ZF3C-2326-SM-5S2NC 50-59 years, female 1299.2
GTEX-Y5LM-1726-SM-4VDSX 40-49 years, female 1299.0
GTEX-1MCC2-2126-SM-EWRON 30-39 years, female 1298.5
GTEX-XMD1-0826-SM-4AT52 60-69 years, male 1297.5
GTEX-XMD2-0926-SM-4WWEF 60-69 years, female 1296.4
GTEX-1HCUA-0726-SM-ACKVU 50-59 years, female 1294.4
GTEX-1QPFJ-2026-SM-EVYBE 30-39 years, female 1293.6
GTEX-117YX-1426-SM-5H12H 50-59 years, male 1282.2
GTEX-Y9LG-1426-SM-5IFJZ 30-39 years, male 1282.0
GTEX-1QP28-1226-SM-E9J2M 50-59 years, female 1280.6
GTEX-144GM-0926-SM-5O994 20-29 years, male 1280.2
GTEX-11DXY-2326-SM-5GICW 60-69 years, male 1279.8
GTEX-13VXU-2826-SM-664MA 50-59 years, male 1279.6
GTEX-1S82Z-0726-SM-E6CHX 30-39 years, female 1276.9
GTEX-1N2EE-2126-SM-E8VNN 60-69 years, male 1273.3
GTEX-13PL6-2926-SM-5L3I2 40-49 years, female 1271.6
GTEX-1B8KE-1226-SM-73KWK 50-59 years, male 1268.9
GTEX-1HCU9-0326-SM-9WYSC 20-29 years, male 1266.6
GTEX-SE5C-2126-SM-4BRUJ 40-49 years, female 1265.0
GTEX-XYKS-1326-SM-4BRUN 60-69 years, female 1262.4
GTEX-XGQ4-0926-SM-4AT4U 50-59 years, male 1256.1
GTEX-1JN6P-2426-SM-ARL99 60-69 years, male 1251.0
GTEX-13FTX-1126-SM-5N9EN 20-29 years, female 1250.0
GTEX-12KS4-0126-SM-5Q5A5 30-39 years, male 1247.0
GTEX-1E2YA-2726-SM-7IGPW 50-59 years, male 1244.7
GTEX-13SLX-2326-SM-5ZZWE 50-59 years, female 1244.5
GTEX-1JMPZ-1626-SM-COH31 30-39 years, male 1244.3
GTEX-S4UY-0726-SM-4AD6X 40-49 years, female 1241.7
GTEX-145MN-1926-SM-5SIAI 30-39 years, male 1240.6
GTEX-12ZZX-1126-SM-5EGKB 40-49 years, female 1236.9
GTEX-1L5NE-2126-SM-CY8IH 50-59 years, male 1235.4
GTEX-15EOM-5019-SM-793DK 20-29 years, female 1234.2
GTEX-1PPGY-1526-SM-EVYBK 60-69 years, male 1234.0
GTEX-1211K-1926-SM-5EQLB 60-69 years, female 1230.3
GTEX-X62O-0526-SM-EWRMA 50-59 years, male 1230.1
GTEX-YECK-0726-SM-EZ6LV 60-69 years, male 1223.3
GTEX-T2IS-1526-SM-32QPR 20-29 years, female 1219.3
GTEX-1HCU7-1026-SM-ADEIP 50-59 years, male 1219.3
GTEX-WOFL-0826-SM-3MJG1 60-69 years, male 1217.3
GTEX-1GF9U-1726-SM-7MGY5 40-49 years, female 1211.5
GTEX-1C6VQ-0426-SM-79OOX 50-59 years, male 1207.5
GTEX-16BQI-1026-SM-7KUEA 30-39 years, female 1198.7
GTEX-14BMV-0626-SM-793AU 50-59 years, male 1197.6
GTEX-RU1J-0626-SM-4WAWY 20-29 years, female 1197.1
GTEX-1JMLX-2026-SM-CMKGN 50-59 years, male 1194.6
GTEX-ZVT4-1026-SM-57WC4 50-59 years, female 1193.8
GTEX-ZQUD-1926-SM-51MSA 30-39 years, male 1192.5
GTEX-12WSK-2226-SM-5GCO5 40-49 years, female 1192.2
GTEX-1JN1M-3026-SM-CMKGK 60-69 years, female 1185.9
GTEX-ZPIC-1126-SM-5BC7F 40-49 years, female 1182.9
GTEX-1P4AB-1826-SM-E76PU 50-59 years, male 1170.4
GTEX-14PJ4-2126-SM-6ETZJ 60-69 years, male 1166.1
GTEX-1OKEX-0826-SM-E9J2B 60-69 years, male 1164.5
GTEX-131YS-0626-SM-5EGKL 60-69 years, female 1163.6
GTEX-1LVAM-0926-SM-E9TJ2 50-59 years, female 1162.5
GTEX-1I6K6-0826-SM-ARL7Z 30-39 years, male 1161.0
GTEX-ZTX8-1226-SM-4YCE9 20-29 years, male 1160.5
GTEX-YB5E-1726-SM-5IFJ3 40-49 years, male 1157.3
GTEX-1PPH7-0826-SM-E8VNX 40-49 years, male 1154.9
GTEX-17EUY-1926-SM-7DUF6 20-29 years, male 1153.6
GTEX-T6MO-0326-SM-32QOK 40-49 years, female 1153.2
GTEX-1KANC-1426-SM-CYPT9 50-59 years, female 1149.8
GTEX-17F96-2426-SM-7IGLN 70-79 years, male 1146.9
GTEX-169BO-1126-SM-7MGWN 50-59 years, male 1144.8
GTEX-ZV6S-1826-SM-5NQ8D 40-49 years, female 1143.6
GTEX-1KAFJ-0226-SM-DIPEL 50-59 years, male 1141.9
GTEX-1I4MK-1626-SM-CM2TJ 50-59 years, female 1140.8
GTEX-17F97-2526-SM-7EWDV 50-59 years, male 1140.5
GTEX-15ER7-1626-SM-6PAMZ 20-29 years, female 1138.5
GTEX-1CAMR-1426-SM-793BO 20-29 years, male 1136.7
GTEX-ZC5H-2626-SM-5J2MG 40-49 years, female 1135.7
GTEX-1F5PL-1026-SM-7RHI1 40-49 years, female 1135.7
GTEX-1QP9N-1826-SM-E8VMP 30-39 years, male 1134.4
GTEX-Y8LW-1626-SM-5IFHX 50-59 years, female 1133.3
GTEX-1314G-1226-SM-5BC6D 30-39 years, male 1132.9
GTEX-13W46-0826-SM-5LU3H 50-59 years, male 1132.6
GTEX-1MJK2-2226-SM-EVYCR 50-59 years, male 1126.7
GTEX-XMK1-1126-SM-4IHJ8 40-49 years, male 1122.3
GTEX-13O3O-0826-SM-5K7WE 60-69 years, female 1122.1
GTEX-1PDJ9-1126-SM-EXUSW 20-29 years, male 1121.9
GTEX-ZA64-1526-SM-5CVMD 20-29 years, male 1119.1
GTEX-1HT8W-2226-SM-CGQEC 30-39 years, male 1118.1
GTEX-1I1GP-0426-SM-COH3N 50-59 years, male 1117.6
GTEX-1M4P7-2626-SM-E9U5F 60-69 years, male 1116.1
GTEX-13O61-1826-SM-5KM4I 60-69 years, male 1112.5
GTEX-1A8G7-2426-SM-731AK 60-69 years, male 1109.2
GTEX-ZYT6-0126-SM-5E45J 30-39 years, male 1109.0
GTEX-1HSGN-1526-SM-A9SMO 40-49 years, female 1108.7
GTEX-1MJK3-1126-SM-E9J3F 20-29 years, male 1105.4
GTEX-12BJ1-1826-SM-5HL9N 60-69 years, male 1104.5
GTEX-139T8-0826-SM-5L3DE 60-69 years, male 1103.9
GTEX-11PRG-0826-SM-5EQ6A 50-59 years, male 1102.9
GTEX-ZLV1-1426-SM-DO92Z 60-69 years, female 1102.3
GTEX-13O3P-0826-SM-5L3DH 50-59 years, male 1100.9
GTEX-16YQH-2826-SM-6PAMY 30-39 years, male 1098.7
GTEX-TMMY-0726-SM-33HBE 40-49 years, female 1097.0
GTEX-13CF3-2126-SM-5IFJP 60-69 years, female 1095.9
GTEX-YB5K-1626-SM-5IFIN 40-49 years, female 1094.4
GTEX-1CB4E-0226-SM-79OLW 60-69 years, male 1094.3
GTEX-14B4R-1226-SM-5TDDT 30-39 years, male 1093.6
GTEX-14PHY-1926-SM-5YY95 60-69 years, female 1091.4
GTEX-1LGRB-1826-SM-CNPQL 50-59 years, female 1090.4
GTEX-REY6-2426-SM-48FF5 60-69 years, male 1088.5
GTEX-1JMQK-2626-SM-COH2W 60-69 years, male 1085.1
GTEX-139T6-1626-SM-5PNYZ 50-59 years, male 1084.8
GTEX-183FY-1126-SM-7DHLJ 20-29 years, male 1083.8
GTEX-ZQG8-0726-SM-5P9H9 60-69 years, female 1082.6
GTEX-132AR-0826-SM-5EGK6 50-59 years, female 1082.5
GTEX-11GSP-0926-SM-9WYSG 60-69 years, female 1082.0
GTEX-18A7A-0726-SM-7LTAI 50-59 years, female 1081.8
GTEX-W5X1-2326-SM-3GIL6 40-49 years, female 1079.8
GTEX-17F9E-2526-SM-7MGW2 50-59 years, male 1076.8
GTEX-U412-1826-SM-4DXTJ 60-69 years, male 1076.6
GTEX-1LC47-1226-SM-D4P44 60-69 years, male 1075.5
GTEX-1I1GU-1026-SM-ADEHJ 40-49 years, male 1070.9
GTEX-15UF6-0126-SM-6PAMB 70-79 years, female 1069.1
GTEX-1A3MX-2726-SM-718B6 60-69 years, male 1067.0
GTEX-Z9EW-1526-SM-EZ6LU 40-49 years, male 1066.2
GTEX-1QEPI-0926-SM-DTXF3 60-69 years, female 1064.9
GTEX-Y3IK-2326-SM-4WWDT 50-59 years, female 1063.1
GTEX-13FTW-1426-SM-5LZWZ 40-49 years, male 1062.7
GTEX-1HBPM-0126-SM-ARL9E 60-69 years, female 1060.9
GTEX-18D9A-1526-SM-7LG4J 30-39 years, female 1060.8
GTEX-17GQL-0326-SM-7LG5U 60-69 years, male 1059.4
GTEX-11P7K-0726-SM-5EGKX 30-39 years, male 1058.9
GTEX-1IOXB-1926-SM-ARL8E 50-59 years, male 1056.4
GTEX-Y114-2026-SM-4TT7L 50-59 years, female 1052.4
GTEX-111YS-1926-SM-5GICC 60-69 years, male 1050.2
GTEX-S32W-2026-SM-4AD6E 50-59 years, female 1049.6
GTEX-13O3Q-2226-SM-5KM4O 50-59 years, male 1049.0
GTEX-1GN2E-2226-SM-9WG6J 60-69 years, male 1048.2
GTEX-11NV4-2026-SM-5N9DG 60-69 years, male 1047.3
GTEX-1R7EU-1226-SM-E8VMR 60-69 years, male 1046.6
GTEX-15SHW-1326-SM-6PAL8 60-69 years, male 1043.1
GTEX-12WSN-1326-SM-5GCNT 40-49 years, male 1042.6
GTEX-ZVZQ-0826-SM-51MRF 60-69 years, female 1042.6
GTEX-1KD4Q-2326-SM-D4P3M 40-49 years, male 1040.1
GTEX-1MA7W-1026-SM-DKPQK 20-29 years, female 1039.3
GTEX-YFCO-1826-SM-4W1YH 40-49 years, male 1037.8
GTEX-1R9PN-0326-SM-DTX85 40-49 years, female 1036.5
GTEX-12WSM-1726-SM-5BC6J 60-69 years, male 1035.4
GTEX-145ME-1526-SM-5Q5F2 40-49 years, female 1033.3
GTEX-TKQ1-0226-SM-33HB5 30-39 years, male 1032.5
GTEX-11I78-2226-SM-5PNYA 50-59 years, female 1032.3
GTEX-QEL4-2126-SM-447AE 50-59 years, male 1030.9
GTEX-X4XY-0926-SM-4E3JD 60-69 years, male 1024.9
GTEX-Y5V5-2126-SM-4WWFO 60-69 years, female 1022.9
GTEX-1IDJU-1826-SM-CMKHV 60-69 years, female 1019.3
GTEX-1GN1W-1926-SM-7P8TH 50-59 years, female 1018.5
GTEX-1HCU8-0126-SM-ADEHH 60-69 years, female 1017.9
GTEX-ZDTT-2126-SM-DKPOM 60-69 years, male 1016.3
GTEX-UJHI-1426-SM-3DB9C 50-59 years, female 1015.2
GTEX-1F75B-0626-SM-7SB8A 50-59 years, male 1012.0
GTEX-11OF3-1926-SM-59889 60-69 years, male 1008.4
GTEX-S4P3-1326-SM-4AD6V 50-59 years, female 1005.3
GTEX-18A7B-2626-SM-7LG55 70-79 years, male 1005.0
GTEX-13NZ8-0126-SM-5IJCT 60-69 years, female 1002.2
GTEX-XUZC-1626-SM-4BRVP 30-39 years, female 1001.7
GTEX-13NZB-2126-SM-5MR4Y 30-39 years, male 996.4
GTEX-15ETS-0626-SM-7KUMX 40-49 years, female 994.8
GTEX-1K9T9-1426-SM-DIPFQ 50-59 years, female 993.9
GTEX-ZVTK-0326-SM-51MRR 20-29 years, male 992.4
GTEX-1J8QM-2026-SM-ARZMW 60-69 years, female 990.4
GTEX-XQ8I-2426-SM-4WAXY 50-59 years, male 987.8
GTEX-11ZTT-2326-SM-5EQLG 60-69 years, female 986.9
GTEX-1QCLZ-2326-SM-DTXDO 60-69 years, female 986.5
GTEX-1HSEH-2026-SM-ADEHN 60-69 years, male 985.2
GTEX-XUW1-2326-SM-4BOO5 50-59 years, female 984.6
GTEX-QDT8-0626-SM-48TYW 30-39 years, female 984.4
GTEX-1IGQW-0926-SM-ADEH6 60-69 years, male 984.4
GTEX-ZV7C-1826-SM-5NQ83 50-59 years, male 983.8
GTEX-QVJO-1826-SM-447C9 60-69 years, female 982.1
GTEX-WI4N-1426-SM-3LK7H 40-49 years, female 981.6
GTEX-15UF7-0726-SM-6M46D 40-49 years, male 980.6
GTEX-1LG7Z-0726-SM-CXKYD 30-39 years, male 978.3
GTEX-1LNCM-0226-SM-DIPF4 50-59 years, female 978.3
GTEX-1NV8Z-2826-SM-E8VME 60-69 years, male 977.1
GTEX-XOT4-0726-SM-4GIAW 60-69 years, female 974.4
GTEX-ZY6K-1626-SM-5GZWV 50-59 years, male 972.9
GTEX-17F98-0526-SM-79OK5 40-49 years, female 972.8
GTEX-1HR98-0426-SM-COH36 60-69 years, male 972.4
GTEX-13W3W-1226-SM-5LU4H 60-69 years, female 971.0
GTEX-13PVR-2226-SM-7DHKP 60-69 years, female 970.2
GTEX-11ONC-2126-SM-5HL6E 60-69 years, male 969.6
GTEX-1LBAC-0926-SM-CXKY9 20-29 years, male 969.1
GTEX-1RQEC-2026-SM-DTXDM 60-69 years, male 963.3
GTEX-RUSQ-2026-SM-4GIAK 50-59 years, male 962.9
GTEX-1AX9J-1126-SM-731B7 60-69 years, male 961.8
GTEX-1GZHY-0726-SM-9WG6B 50-59 years, female 960.0
GTEX-1122O-1226-SM-5H113 60-69 years, female 959.7
GTEX-11DXZ-1926-SM-5GZZL 50-59 years, male 958.8
GTEX-U8XE-0826-SM-4E3J1 30-39 years, male 954.8
GTEX-1HR9M-2426-SM-ACKXI 60-69 years, male 954.8
GTEX-11LCK-2426-SM-5HL5F 30-39 years, male 952.8
GTEX-X261-0626-SM-3NMD9 50-59 years, male 950.4
GTEX-U3ZN-1926-SM-4DXSG 30-39 years, female 949.6
GTEX-VJWN-0726-SM-3GIJ8 50-59 years, female 949.5
GTEX-1R46S-2526-SM-E8VN2 60-69 years, female 949.4
GTEX-1HFI7-0126-SM-CGQFQ 50-59 years, female 947.9
GTEX-1GPI6-0626-SM-7RHHJ 60-69 years, male 944.9
GTEX-S341-1526-SM-4AD6K 40-49 years, female 943.6
GTEX-1GN1U-0526-SM-9KNTT 50-59 years, female 943.4
GTEX-WY7C-2726-SM-3NB3P 50-59 years, male 943.3
GTEX-15FZZ-0726-SM-7KUFZ 30-39 years, female 942.8
GTEX-ZUA1-1526-SM-59HLS 40-49 years, male 942.5
GTEX-WFON-1826-SM-3GILG 40-49 years, male 942.0
GTEX-1R9PM-1826-SM-EVYBH 20-29 years, male 941.3
GTEX-1H1CY-2226-SM-9WG7E 60-69 years, female 938.7
GTEX-1B933-2526-SM-7IGO5 50-59 years, female 938.5
GTEX-X15G-1626-SM-3NMB3 50-59 years, female 937.4
GTEX-X4EP-2926-SM-3P5YQ 60-69 years, female 935.6
GTEX-XV7Q-2326-SM-4BRVZ 40-49 years, female 934.8
GTEX-1C6VS-0726-SM-7EPHF 60-69 years, male 933.2
GTEX-14E7W-0826-SM-62LEJ 70-79 years, male 933.1
GTEX-S7SE-0826-SM-4AT4D 50-59 years, male 930.2
GTEX-WXYG-2226-SM-4E3IM 50-59 years, female 929.9
GTEX-11GSO-1926-SM-5A5K3 60-69 years, male 929.5
GTEX-1C6WA-2426-SM-7SB86 60-69 years, male 929.0
GTEX-T2YK-2226-SM-32QPT 50-59 years, male 928.9
GTEX-146FH-0826-SM-5SI8T 50-59 years, female 927.9
GTEX-17JCI-0726-SM-7EPH1 60-69 years, female 927.7
GTEX-XQ3S-1326-SM-4BOPQ 20-29 years, male 927.2
GTEX-14A5I-0726-SM-5TDEB 50-59 years, female 926.8
GTEX-1LSNM-1326-SM-E9TJ1 50-59 years, male 924.6
GTEX-1JKYR-0926-SM-CMKGJ 20-29 years, male 924.3
GTEX-1H11D-1526-SM-9MQJY 40-49 years, male 923.8
GTEX-13N1W-0626-SM-5MR4U 70-79 years, male 922.0
GTEX-11O72-2126-SM-5N9FO 40-49 years, male 920.7
GTEX-1313W-0826-SM-5EQ4T 50-59 years, female 920.4
GTEX-T5JW-2026-SM-4DM63 20-29 years, female 918.7
GTEX-Y5V6-2126-SM-4WWFX 60-69 years, male 916.7
GTEX-1LVAN-1326-SM-CNPQE 50-59 years, female 915.4
GTEX-1KD5A-1926-SM-DKPQA 50-59 years, male 915.3
GTEX-13OW8-0226-SM-5K7UP 60-69 years, male 914.6
GTEX-1H3VY-0926-SM-ACKXE 50-59 years, male 910.7
GTEX-ZEX8-2226-SM-57WC6 50-59 years, male 908.2
GTEX-1AX8Z-0926-SM-731AW 60-69 years, male 905.9
GTEX-1NUQO-2226-SM-E9U68 20-29 years, female 905.3
GTEX-1LSVX-2426-SM-E6CJX 60-69 years, male 903.5
GTEX-17MFQ-0926-SM-7LG4S 20-29 years, male 899.2
GTEX-VUSG-2226-SM-4KKZO 50-59 years, male 897.4
GTEX-QMRM-1626-SM-D4P1U 50-59 years, male 897.0
GTEX-11NSD-0926-SM-5N9DR 20-29 years, male 896.6
GTEX-RU72-0626-SM-46MUI 50-59 years, female 894.3
GTEX-18QFQ-0826-SM-718AX 30-39 years, male 892.8
GTEX-17HG3-0126-SM-7IGNH 30-39 years, female 890.3
GTEX-ZYFC-0826-SM-5E44K 50-59 years, male 889.0
GTEX-ZAK1-1326-SM-EVYAS 50-59 years, female 885.4
GTEX-ZDYS-1126-SM-5K7UB 50-59 years, male 881.6
GTEX-R55D-0826-SM-48FEA 50-59 years, male 881.4
GTEX-1RAZS-1226-SM-E8VMT 50-59 years, male 879.3
GTEX-PSDG-1626-SM-48TCQ 50-59 years, male 878.8
GTEX-11ZUS-0826-SM-5FQUY 30-39 years, male 876.8
GTEX-WFG8-2026-SM-EXOHO 20-29 years, male 874.3
GTEX-R3RS-0626-SM-48FE1 40-49 years, female 872.6
GTEX-1KANA-2026-SM-DIPFB 20-29 years, male 869.0
GTEX-Y3I4-1526-SM-4TT7K 50-59 years, male 867.5
GTEX-13N11-1726-SM-5J1OJ 50-59 years, female 866.2
GTEX-RWS6-1926-SM-47JXY 60-69 years, female 865.1
GTEX-1B97I-0426-SM-79OL7 40-49 years, male 863.9
GTEX-1J8EW-2626-SM-CL53E 60-69 years, female 863.9
GTEX-18465-2026-SM-718AP 50-59 years, male 863.8
GTEX-1MCYP-0126-SM-E6CIS 20-29 years, female 862.5
GTEX-1BAJH-0826-SM-7EWEF 70-79 years, male 859.4
GTEX-1GZ4I-2826-SM-9MQK5 50-59 years, male 858.9
GTEX-YFC4-1426-SM-5IFJG 40-49 years, female 856.8
GTEX-1J8Q2-2726-SM-A9G2X 60-69 years, male 856.7
GTEX-11TUW-1826-SM-5BC5D 60-69 years, male 856.1
GTEX-1IKOH-2326-SM-CM2TW 60-69 years, female 853.9
GTEX-YEC3-1026-SM-5IFI5 50-59 years, male 853.2
GTEX-11EMC-2026-SM-5A5JV 60-69 years, female 852.9
GTEX-1EKGG-2626-SM-7IGPY 60-69 years, male 852.9
GTEX-11P81-1926-SM-5BC53 30-39 years, female 851.9
GTEX-1B8KZ-1526-SM-7DUG7 50-59 years, male 850.3
GTEX-1GMRU-0826-SM-9WYT7 50-59 years, male 846.6
GTEX-18A6Q-0926-SM-7LG4N 60-69 years, male 845.2
GTEX-ZZPU-0626-SM-5E43T 50-59 years, female 845.2
GTEX-S33H-0326-SM-4AD6N 30-39 years, male 841.0
GTEX-1C64O-0726-SM-7DUFU 60-69 years, male 839.5
GTEX-1GF9X-1026-SM-ACKX2 40-49 years, female 839.5
GTEX-13QIC-2326-SM-5LU5N 60-69 years, female 837.6
GTEX-1H4P4-2226-SM-9MQKQ 50-59 years, male 832.2
GTEX-1AX9I-0726-SM-73KWV 60-69 years, male 830.1
GTEX-WYVS-1726-SM-3NMAY 40-49 years, female 829.3
GTEX-1KXAM-1026-SM-CY8IA 60-69 years, male 826.2
GTEX-14DAR-1326-SM-7DUEG 50-59 years, male 825.7
GTEX-1J8Q3-1326-SM-CMKI1 60-69 years, male 819.1
GTEX-1JMPY-0526-SM-CL54O 30-39 years, male 817.8
GTEX-1GZ2Q-2626-SM-7MXV9 40-49 years, male 817.2
GTEX-147F4-2826-SM-5NQBN 50-59 years, male 814.7
GTEX-1JK1U-1826-SM-ARL8W 60-69 years, male 814.5
GTEX-ZTPG-2826-SM-57WGA 20-29 years, female 814.1
GTEX-Q2AG-0326-SM-48U1O 40-49 years, female 813.8
GTEX-1EN7A-1426-SM-7PBY4 40-49 years, male 812.2
GTEX-1RAZQ-1226-SM-EWRNL 30-39 years, male 811.4
GTEX-1QW4Y-1026-SM-DTXE2 30-39 years, male 810.6
GTEX-ZU9S-1926-SM-5NQBP 30-39 years, male 810.4
GTEX-132NY-0826-SM-5K7Y7 60-69 years, male 807.8
GTEX-13OW5-2226-SM-5L3HC 60-69 years, male 807.3
GTEX-1K2DA-1726-SM-CGQGS 50-59 years, male 804.5
GTEX-TML8-1226-SM-32QON 40-49 years, female 801.6
GTEX-1MA7X-1626-SM-E9U5B 60-69 years, male 797.5
GTEX-1B932-0826-SM-73KXG 40-49 years, female 794.2
GTEX-1C475-1226-SM-7SB72 40-49 years, female 793.3
GTEX-ZDXO-0126-SM-5S2ND 60-69 years, male 792.8
GTEX-ZF29-1926-SM-5S2P1 60-69 years, female 791.7
GTEX-1HKZK-1826-SM-ADEJ2 40-49 years, male 791.0
GTEX-XBED-1626-SM-47JYN 60-69 years, male 789.8
GTEX-1QCLY-1626-SM-DTXDW 30-39 years, male 783.9
GTEX-1GF9V-2526-SM-7SB8K 60-69 years, male 783.1
GTEX-13QJ3-0826-SM-7DHKK 50-59 years, male 782.3
GTEX-117XS-1926-SM-5GICO 60-69 years, male 781.0
GTEX-14E6E-1326-SM-5S2NR 30-39 years, male 780.3
GTEX-1M5QR-2526-SM-E9U5P 40-49 years, male 778.7
GTEX-17KNJ-2026-SM-7LG53 50-59 years, male 778.6
GTEX-139TU-0626-SM-5KM3X 60-69 years, male 778.1
GTEX-WRHU-0326-SM-3MJFY 50-59 years, female 773.4
GTEX-Y111-2026-SM-4SOJA 50-59 years, male 771.7
GTEX-QEG5-0726-SM-D4P1T 20-29 years, male 770.9
GTEX-1A3MV-1626-SM-731C1 30-39 years, male 766.0
GTEX-WYJK-1326-SM-3NB2T 50-59 years, male 764.9
GTEX-11EI6-0626-SM-5985T 60-69 years, male 764.6
GTEX-1JKYN-0726-SM-ARZMY 30-39 years, male 764.3
GTEX-1H1E6-0926-SM-9YFLT 30-39 years, male 759.0
GTEX-1HUB1-1626-SM-CM2SL 60-69 years, male 753.3
GTEX-1I1HK-2426-SM-ADEHX 60-69 years, male 751.7
GTEX-1N5O9-1126-SM-DTXEQ 60-69 years, male 749.4
GTEX-1I1GV-2426-SM-CGQFM 60-69 years, male 747.1
GTEX-1EWIQ-1726-SM-7SB7T 70-79 years, female 746.9
GTEX-13NZ9-1026-SM-5MR5K 50-59 years, male 744.1
GTEX-1GMR8-0726-SM-9KNVI 50-59 years, female 742.2
GTEX-17HGU-1326-SM-79OKB 50-59 years, male 741.6
GTEX-13CF2-2026-SM-5K7VI 60-69 years, male 739.6
GTEX-1LSNL-2826-SM-E9U5L 50-59 years, male 739.2
GTEX-17EVP-0226-SM-79OND 40-49 years, male 738.0
GTEX-1CB4G-2326-SM-79OOI 60-69 years, male 735.4
GTEX-144GL-2026-SM-5LU3O 50-59 years, male 731.8
GTEX-ZF2S-2026-SM-5E461 50-59 years, female 728.4
GTEX-R53T-1526-SM-48FEK 50-59 years, female 728.2
GTEX-1HBPN-2326-SM-9WPPU 50-59 years, male 727.3
GTEX-1IKJJ-2326-SM-COH3U 60-69 years, male 722.7
GTEX-UPK5-2326-SM-3P5Z8 40-49 years, male 721.4
GTEX-1269C-2426-SM-5FQSN 60-69 years, female 719.1
GTEX-WHSB-1926-SM-EXOHH 50-59 years, male 718.9
GTEX-T5JC-2126-SM-32PMO 20-29 years, male 713.9
GTEX-YJ8O-2226-SM-5IFHW 40-49 years, female 708.4
GTEX-1EU9M-2826-SM-7EWFH 60-69 years, male 698.3
GTEX-11DXW-0626-SM-5N9ER 40-49 years, male 690.9
GTEX-1GMR3-2626-SM-7RHHG 40-49 years, male 686.5
GTEX-1B97J-0426-SM-79OLQ 50-59 years, female 682.6
GTEX-U3ZH-1426-SM-4DXSR 30-39 years, male 678.3
GTEX-WYBS-0926-SM-3NM94 60-69 years, female 672.4
GTEX-17HHE-1426-SM-7EPH4 50-59 years, male 664.1
GTEX-V955-2026-SM-3GAFA 60-69 years, male 656.2
GTEX-13FTY-2226-SM-5J1ND 40-49 years, female 656.1
GTEX-1I6K7-1026-SM-A9SLK 40-49 years, male 655.4
GTEX-11GS4-2126-SM-5A5KR 60-69 years, male 641.4
GTEX-1B8L1-2426-SM-9WYTE 60-69 years, male 634.6
GTEX-1IY9M-2726-SM-CMKG5 60-69 years, male 627.6
GTEX-TKQ2-1826-SM-33HB2 50-59 years, male 621.9
GTEX-1F6I4-2526-SM-7SB8F 60-69 years, male 617.2
GTEX-1F75A-1826-SM-7SB8G 50-59 years, male 592.2
GTEX-1HSKV-2026-SM-CMKGX 60-69 years, male 574.7
GTEX-17HHY-0926-SM-793C1 50-59 years, male 573.6
GTEX-T6MN-0726-SM-32PML 50-59 years, male 492.3
Show allShow less

BREAST - FANTOM5 CAGEi

RNA expression in human tissues obtained through Cap Analysis of Gene Expression (CAGE) generated by the FANTOM5 project are reported as Scaled Tags Per Million.

Max subtype Scaled Tags Per Millioni

Max subtype Scaled Tags Per Million is the value for the subtype with the largest average Scaled Tags Per Million across the subtype samples.

30.9
FANTOM5 sample id Sample description Scaled Tags Per Million
Breast
Scaled Tags Per Million: 30.9
FF:10080-102A8 77 years, female 30.9

Contact

  • NEWS ARTICLES
  • PRESS ROOM

The Project

  • INTRODUCTION
  • ORGANIZATION
  • PUBLICATIONS

The Human Protein Atlas

  • DOWNLOADABLE DATA
  • LICENCE & CITATION
  • HELP & FAQ
The Human Protein Atlas project is funded
by the Knut & Alice Wallenberg Foundation.


contact@proteinatlas.org