We use cookies to enhance the usability of our website. If you continue, we'll assume that you are happy to receive all cookies. More information. Don't show this again.
RPS7
HPA
RESOURCES
  • TISSUE
  • BRAIN
  • SINGLE CELL
  • SUBCELLULAR
  • CANCER
  • BLOOD
  • CELL LINE
  • STRUCTURE & INTERACTION
ABOUT
  • INTRODUCTION
  • HISTORY
  • ORGANIZATION
  • PUBLICATIONS
  • ANTIBODY SUBMISSION
  • ANTIBODY AVAILABILITY
  • ACKNOWLEDGMENTS
  • CONTACT
NEWS
  • NEWS ARTICLES
  • PRESS ROOM
LEARN
  • DICTIONARY
  • PROTEIN CLASSES
  • PROTEIN EVIDENCE
  • METHODS
  • EDUCATIONAL VIDEOS
DATA
  • DOWNLOADABLE DATA
  • PUBLICATION DATA
  • RELEASE HISTORY
HELP
  • ANTIBODY VALIDATION
  • ASSAYS & ANNOTATION
  • DISCLAIMER
  • HELP & FAQ
  • PRIVACY STATEMENT
  • LICENCE & CITATION
Fields »
Search result

Field
Term
Gene name
Class
Subclass
Class
Keyword
Chromosome
External id
Tissue
Cell type
Expression
Antibody panel
Tissue
Main location
Patient ID
Annotation
Tissue
Category
Tau score
Cluster
Reliability
Brain region
Category
Tau score
Brain region
Category
Tau score
Brain region
Category
Tau score
Cluster
Reliability
Tissue
Cell type
Enrichment
Cell type
Category
Tau score
Cell type
Category
Tau score
Cell type
Category
Tau score
Cell lineage
Category
Tau score
Cluster
Cluster
Location
Searches
Location
Cell line
Class
Type
Phase
Reliability
Cancer
Prognosis
Cancer
Category
Cancer
Category
Tau score
Cluster
Variants
Interacting gene (ensg_id)
Type
Number of interactions
Pathway
Category
Score
Score
Score
Validation
Validation
Validation
Validation
Antibodies
Data type
Column


  • SUMMARY

  • TISSUE

  • BRAIN

  • SINGLE CELL

  • SUBCELL

  • CANCER

  • BLOOD

  • CELL LINE

  • STRUCT & INT

  • RPS7
TISSUE PRIMARY DATA SMALL INTESTINE Show tissue menu
ADIPOSE TISSUE ADRENAL GLAND AMYGDALA APPENDIX BASAL GANGLIA BONE MARROW BREAST BRONCHUS CEREBELLUM CEREBRAL CORTEX CERVIX CHOROID PLEXUS COLON DUODENUM
ENDOMETRIUM EPIDIDYMIS ESOPHAGUS FALLOPIAN TUBE GALLBLADDER HEART MUSCLE HIPPOCAMPAL FORMATION HYPOTHALAMUS KIDNEY LIVER LUNG LYMPH NODE MIDBRAIN NASOPHARYNX
ORAL MUCOSA OVARY PANCREAS PARATHYROID GLAND PITUITARY GLAND PLACENTA PROSTATE RECTUM RETINA SALIVARY GLAND SEMINAL VESICLE SKELETAL MUSCLE SKIN SMALL INTESTINE
SMOOTH MUSCLE SOFT TISSUE SPINAL CORD SPLEEN STOMACH TESTIS THYMUS THYROID GLAND TONGUE TONSIL URINARY BLADDER VAGINA
ANTIBODIES
AND
VALIDATION
Dictionary
Small intestine
Tissue proteome
Intestine
SMALL INTESTINE - Expression summary
Protein expression
Small intestinei

On the top, protein expression in current human tissue, based on all annotated cell types, is reported with the units not detected (n), low (l), medium (m) and high (h). Underneath, protein expression in each annotated cell type are reported using the same units.

Protein expression data is based on knowledge-based annotation. For genes where more than one antibody has been used, a collective score is set.

If knowledge-based annotation could not be performed for a gene, no data is displayed here. View antibody staining data further down this page.

h
m
l
n
Glandular cells: High
RNA expressioni

A summary of mRNA expression data available for current tissue based on several datasets. The mRNA expression levels in human tissues are based on RNA-seq data generated by the Human Protein Atlas (HPA), Genotype-Tissue Expression (GTEx) portal and CAGE data generated by the FANTOM5 consortium. Consensus normalized expression levels for human tissues was created by combining the data from HPA and GTEx datasets.

The mRNA expression levels in pig are based on RNA-seq data generated by the Human Protein Atlas (HPA), and for mouse, HPA data and in situ hybridization generated by the Allen brain atlas are reported.

Scroll down to view mRNA expression data in more detail.
Consensus:882.6 nTPM
HPA:684.6 nTPM
GTEx:882.6 nTPM
FANTOM5:36.6 Scaled Tags Per Million

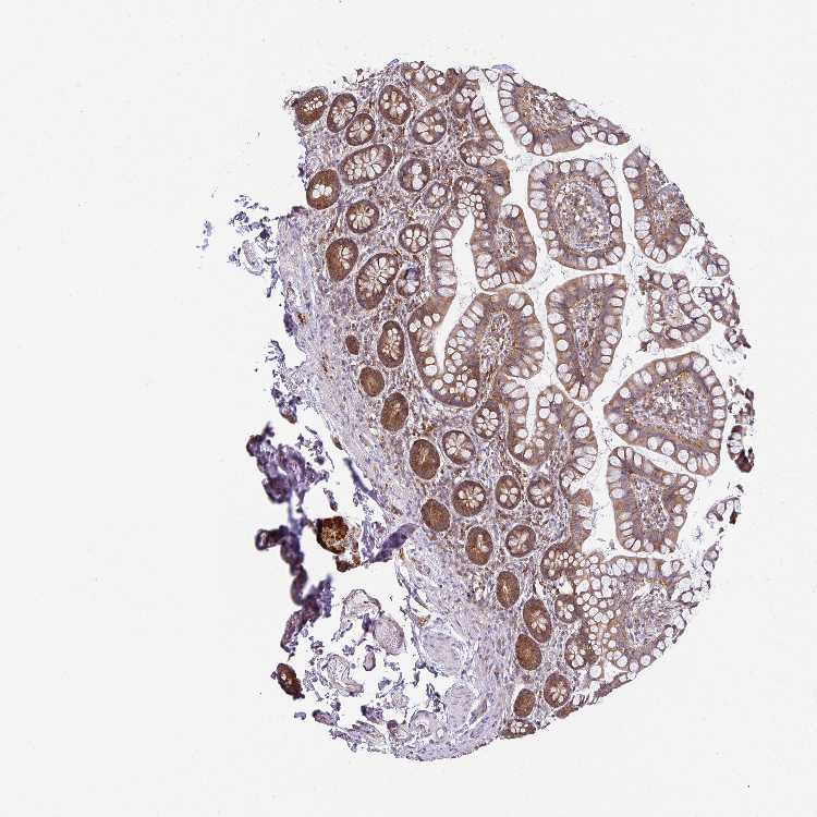
SMALL INTESTINE - Antibody stainingi

Antibody staining in the annotated cell types in the current human tissue is reported as not detected, low, medium, or high, based on conventional immunohistochemistry profiling in selected tissues. This score is based on the combination of the staining intensity and fraction of stained cells.

Each image is clickable and will lead to virtual microscopy that enables deeper exploration of all samples and also displays staining intensity scores, fraction scores and subcellular localization as well as patient and tissue information for each sample.

Antibody HPA056586
Glandular cells High



SMALL INTESTINE - HPA RNA-seqi

The RNA-seq details section shows detailed information about the individual samples used for the transcript profiling and results of the RNA-seq analysis.

Information about each individual sample is listed below, including gender, age, a tissue section image and estimated fractions of cell types. nTPM (normalized transcripts per million) values give a quantification of the gene abundance which is comparable between different genes and samples.
Average nTPMi

Max subtype nTPM is the value for the subtype with the largest average nTPM across the subtype samples.

684.6
overview
Male, age 65
Small intestine sample 232
nTPM: 818.9
Cell types%
Glandular cells:
55

Smooth muscle cells:
5

Other cell types:
40

overview
Male, age 39
Small intestine sample 233
nTPM: 659.1
Cell types%
Glandular cells:
40

Smooth muscle cells:
5

Other cell types:
55

overview
Male, age 68
Small intestine sample 234
nTPM: 646.4
Cell types%
Glandular cells:
30

Smooth muscle cells:
15

Other cell types:
55

N/A
Male, age 85
Small intestine sample 235
nTPM: 614

SMALL INTESTINE - GTEx RNA-seqi

RNA-Seq data generated by the Genotype-Tissue Expression (GTEx) project from human tissues is reported as mean nTPM. More information can be found on the GTEx portal.

Distribution across the dataset is visualized with box plots, shown as median and 25th and 75th percentiles. Points are displayed as outliers if they are above or below 1.5 times the interquartile range. nTPM values of the individual samples are presented next to the box plot.
Max subtype nTPMi

Max subtype nTPM is the value for the subtype with the largest average nTPM across the subtype samples.

882.6
GTEx sample id Sample description nTPM
Small Intestine - Terminal Ileum
Average nTPM: 882.6
Samples: 187

Max nTPM: 2127.3
Min nTPM: 493.4
Std nTPM: 241.1
Median nTPM: 856.1
GTEX-1NSGN-2126-SM-DPRYN 50-59 years, male 2127.3
GTEX-1EMGI-2826-SM-7IGMR 60-69 years, male 1950.4
GTEX-11TUW-1926-SM-5BC58 60-69 years, male 1608.6
GTEX-1JJE9-2226-SM-CXZJM 70-79 years, male 1605.3
GTEX-1PIEJ-1526-SM-E6CP8 20-29 years, female 1532.8
GTEX-1MGNQ-2326-SM-EV7BG 40-49 years, male 1468.4
GTEX-148VJ-2226-SM-5NQ9M 70-79 years, male 1338.9
GTEX-1QP28-1726-SM-E6CRK 50-59 years, female 1320.0
GTEX-1R9K4-2326-SM-E6CRB 60-69 years, male 1293.4
GTEX-1RAZQ-2226-SM-DPRZR 30-39 years, male 1279.6
GTEX-16A39-1426-SM-6LLI6 30-39 years, female 1249.9
GTEX-1RAZA-1826-SM-DTXA2 20-29 years, male 1245.2
GTEX-14PK6-1626-SM-6871I 70-79 years, female 1245.1
GTEX-183FY-1626-SM-793D8 20-29 years, male 1242.2
GTEX-16NGA-1126-SM-7KFSY 40-49 years, female 1226.7
GTEX-1GMR3-2726-SM-7MKFB 40-49 years, male 1223.2
GTEX-1GL5R-2026-SM-7MKHP 50-59 years, male 1214.6
GTEX-1JMQK-2426-SM-CXZJU 60-69 years, male 1207.7
GTEX-WRHK-1026-SM-4MVOD 20-29 years, female 1193.2
GTEX-1192X-2526-SM-59868 50-59 years, male 1144.9
GTEX-1LH75-1926-SM-DIPGD 50-59 years, female 1141.0
GTEX-13W3W-2026-SM-5K7UL 60-69 years, female 1140.2
GTEX-VUSG-1726-SM-4KKZL 50-59 years, male 1138.7
GTEX-11VI4-1626-SM-5EQKO 40-49 years, female 1128.3
GTEX-13NYB-1826-SM-5J1N3 40-49 years, male 1121.7
GTEX-1L5NE-1826-SM-EV79T 50-59 years, male 1116.5
GTEX-1PDJ9-1826-SM-E9U66 20-29 years, male 1098.8
GTEX-1OJC3-1626-SM-E9U65 20-29 years, male 1071.9
GTEX-1399U-2126-SM-5IFEZ 50-59 years, female 1069.7
GTEX-1IKOE-1926-SM-ARU7V 30-39 years, female 1062.0
GTEX-1CB4F-1826-SM-7MGXI 60-69 years, male 1060.5
GTEX-11P82-0826-SM-5P9GU 20-29 years, male 1058.0
GTEX-1LGOU-1426-SM-D3L8N 20-29 years, female 1051.2
GTEX-1BAJH-2526-SM-7IGOT 70-79 years, male 1043.1
GTEX-VJYA-0926-SM-4KL1N 60-69 years, male 1030.4
GTEX-1QPFJ-2626-SM-DPRZU 30-39 years, female 1022.5
GTEX-1R7EV-1226-SM-DTX82 40-49 years, male 1019.1
GTEX-ZC5H-2326-SM-4WAYT 40-49 years, female 1011.7
GTEX-14XAO-1926-SM-6ETZO 60-69 years, female 1009.4
GTEX-1H11D-2526-SM-9JGGU 40-49 years, male 1002.4
GTEX-1S5ZA-1326-SM-EV7BB 20-29 years, male 998.0
GTEX-1K9T9-2726-SM-D4P3E 50-59 years, female 994.5
GTEX-1S82Z-1826-SM-E9TIK 30-39 years, female 994.5
GTEX-18QFQ-1626-SM-72D7H 30-39 years, male 988.3
GTEX-ZA64-1226-SM-5HL7B 20-29 years, male 987.9
GTEX-14BMU-1426-SM-5TDE5 20-29 years, female 986.6
GTEX-1F75I-2526-SM-9WPOZ 40-49 years, male 985.3
GTEX-1OKEX-1126-SM-DTXEB 60-69 years, male 983.2
GTEX-Y3I4-1326-SM-4TT8Z 50-59 years, male 977.6
GTEX-1H1DE-1426-SM-9JGHV 20-29 years, male 975.0
GTEX-1AX8Z-2526-SM-731E3 60-69 years, male 974.7
GTEX-1I1GT-1826-SM-ARZLW 60-69 years, female 972.8
GTEX-1RAZR-1826-SM-E6CRE 40-49 years, male 967.6
GTEX-13O61-1326-SM-5KM31 60-69 years, male 966.1
GTEX-WH7G-1626-SM-4LVMY 40-49 years, male 964.4
GTEX-17MFQ-1026-SM-7KFSZ 20-29 years, male 955.6
GTEX-1B8KZ-1126-SM-7IGLX 50-59 years, male 953.3
GTEX-ZLFU-1526-SM-4WWBT 40-49 years, male 952.6
GTEX-15EU6-1826-SM-7PC1W 50-59 years, male 951.6
GTEX-Y111-2226-SM-4SOJB 50-59 years, male 949.2
GTEX-1R9JW-1926-SM-EVR4J 30-39 years, female 946.6
GTEX-Y5LM-1626-SM-4VDTB 40-49 years, female 945.1
GTEX-117YX-0326-SM-5GICL 50-59 years, male 940.8
GTEX-145ME-0926-SM-5O9AR 40-49 years, female 934.3
GTEX-X15G-1426-SM-4PQZK 50-59 years, female 929.3
GTEX-1MUQO-2426-SM-EAZ5A 60-69 years, male 925.8
GTEX-Y3IK-1726-SM-4YCCR 50-59 years, female 925.4
GTEX-13FH7-1226-SM-5IJFK 50-59 years, female 925.1
GTEX-14PKU-1626-SM-6871C 40-49 years, female 918.0
GTEX-Y5V5-1826-SM-4VDS5 60-69 years, female 913.1
GTEX-ZVP2-1726-SM-5GU5P 50-59 years, male 912.9
GTEX-12BJ1-1926-SM-5HL9Z 60-69 years, male 912.1
GTEX-1KXAM-2026-SM-DHXKI 60-69 years, male 911.4
GTEX-13RTK-0826-SM-5Q5C6 20-29 years, male 911.1
GTEX-ZAB5-1526-SM-5HL9P 50-59 years, male 899.6
GTEX-WEY5-1526-SM-4LMJF 40-49 years, female 898.3
GTEX-14C39-1826-SM-5ZZW4 40-49 years, male 896.0
GTEX-11NSD-1726-SM-5N9C3 20-29 years, male 894.0
GTEX-13X6H-1826-SM-7EWCZ 50-59 years, female 885.3
GTEX-15DZA-0826-SM-6AJBF 30-39 years, female 877.9
GTEX-UPK5-2026-SM-4JBIM 40-49 years, male 869.7
GTEX-1HSMQ-2226-SM-C1YRD 50-59 years, male 869.4
GTEX-13OVI-1926-SM-5IJCG 60-69 years, female 868.9
GTEX-1R9PM-1626-SM-DPRY9 20-29 years, male 868.6
GTEX-ZPIC-2326-SM-57WDW 40-49 years, female 868.4
GTEX-11XUK-1426-SM-5EQMG 40-49 years, female 865.2
GTEX-14PKV-2026-SM-6AJ9A 20-29 years, female 864.7
GTEX-1LBAC-1526-SM-CXZKU 20-29 years, male 863.1
GTEX-XGQ4-1326-SM-4GIDU 50-59 years, male 863.0
GTEX-1GMR2-1026-SM-7MKHJ 50-59 years, male 862.6
GTEX-ZTPG-2626-SM-57WFX 20-29 years, female 861.8
GTEX-131XE-0926-SM-5HL7J 50-59 years, male 859.9
GTEX-12WSK-1526-SM-5CVNO 40-49 years, female 857.5
GTEX-1C475-1426-SM-793CH 40-49 years, female 856.1
GTEX-131XG-1726-SM-5LZUR 50-59 years, female 855.5
GTEX-1QW4Y-1226-SM-EWRMY 30-39 years, male 853.2
GTEX-ZQG8-2526-SM-57WEQ 60-69 years, female 848.4
GTEX-18A66-2526-SM-7KFTZ 60-69 years, male 847.4
GTEX-139YR-2226-SM-5IFFW 50-59 years, male 846.8
GTEX-139T6-1026-SM-5IJGC 50-59 years, male 846.5
GTEX-1C64O-2526-SM-79ONO 60-69 years, male 843.2
GTEX-1J8QM-1026-SM-C1YQA 60-69 years, female 841.8
GTEX-1497J-1926-SM-5TDCC 60-69 years, male 831.2
GTEX-ZQUD-0926-SM-57WE3 30-39 years, male 830.5
GTEX-XMK1-1826-SM-4B66F 40-49 years, male 829.5
GTEX-13QBU-1926-SM-5IJEW 40-49 years, female 823.3
GTEX-WFJO-0926-SM-4LVM2 30-39 years, male 818.6
GTEX-XPVG-1726-SM-4B65W 50-59 years, male 813.4
GTEX-Z9EW-0926-SM-5CVMM 40-49 years, male 807.8
GTEX-ZZ64-0526-SM-5GZXM 20-29 years, male 805.3
GTEX-1QP2A-2426-SM-EXOJA 50-59 years, male 803.2
GTEX-1R9K5-2026-SM-E6CPS 50-59 years, male 798.7
GTEX-17KNJ-1626-SM-718AL 50-59 years, male 797.8
GTEX-WFG8-1626-SM-4LVMB 20-29 years, male 789.4
GTEX-1CAMR-0826-SM-7MKFK 20-29 years, male 788.9
GTEX-ZF2S-1726-SM-57WFT 50-59 years, female 786.8
GTEX-ZXES-1526-SM-5NQ95 30-39 years, female 786.5
GTEX-13113-1226-SM-5EGHT 60-69 years, female 782.6
GTEX-YEC4-1726-SM-4W21E 40-49 years, male 782.3
GTEX-13CF3-1226-SM-5LZXN 60-69 years, female 781.6
GTEX-14E6E-1626-SM-5RQI7 30-39 years, male 779.9
GTEX-ZG7Y-1926-SM-DNZZ5 50-59 years, male 779.0
GTEX-X5EB-1626-SM-4E3IV 40-49 years, male 774.9
GTEX-WYJK-1526-SM-4ONCW 50-59 years, male 769.7
GTEX-111CU-1326-SM-5NQ8L 50-59 years, male 766.4
GTEX-13111-1426-SM-5DUW3 50-59 years, male 763.3
GTEX-ZF29-1626-SM-4WKFJ 60-69 years, female 752.0
GTEX-1399R-2026-SM-5K7WN 30-39 years, male 751.9
GTEX-16AAH-1426-SM-7KFTR 50-59 years, male 750.5
GTEX-ZP4G-1626-SM-57WGD 20-29 years, female 741.8
GTEX-11DXX-1626-SM-5H11H 60-69 years, female 738.8
GTEX-1QCLZ-2126-SM-EWRNC 60-69 years, female 738.2
GTEX-11I78-1126-SM-5A5K5 50-59 years, female 735.6
GTEX-ZYFG-2026-SM-5E43Y 60-69 years, female 728.6
GTEX-1JK1U-1226-SM-CNNPN 60-69 years, male 728.1
GTEX-1JN76-1126-SM-C1YRL 20-29 years, female 726.4
GTEX-1CAMS-2426-SM-7DHMV 40-49 years, female 725.3
GTEX-1R7EU-1326-SM-E6CQ6 60-69 years, male 724.7
GTEX-15G1A-1726-SM-6LPI4 30-39 years, male 723.9
GTEX-14DAR-1426-SM-5RQIR 50-59 years, male 723.7
GTEX-WFG7-1726-SM-4LVME 20-29 years, male 722.6
GTEX-ZVT2-2126-SM-5NQ93 50-59 years, female 719.3
GTEX-WFON-1526-SM-4LVMP 40-49 years, male 714.5
GTEX-13O21-1026-SM-5IJDU 50-59 years, male 713.4
GTEX-XUZC-1426-SM-4BRV3 30-39 years, female 710.8
GTEX-11P7K-1626-SM-5GU63 30-39 years, male 709.2
GTEX-ZEX8-1826-SM-57WBH 50-59 years, male 706.4
GTEX-1B8KE-1726-SM-7IGMN 50-59 years, male 704.9
GTEX-133LE-1426-SM-5IFH1 20-29 years, female 703.9
GTEX-16MTA-1526-SM-6LPJB 50-59 years, male 701.7
GTEX-14PJ3-1326-SM-664O7 50-59 years, male 697.5
GTEX-145LT-1026-SM-5LU9O 40-49 years, male 692.0
GTEX-131XF-1326-SM-5GCMQ 60-69 years, male 690.2
GTEX-WHSB-1026-SM-4M1XN 50-59 years, male 677.5
GTEX-144GM-1026-SM-79OKU 20-29 years, male 673.0
GTEX-17HHE-1726-SM-79OKT 50-59 years, male 672.9
GTEX-11DXZ-1326-SM-5H11X 50-59 years, male 666.7
GTEX-11LCK-1926-SM-5A5KE 30-39 years, male 666.0
GTEX-11EQ9-1326-SM-5985X 30-39 years, male 665.0
GTEX-ZLWG-1626-SM-DNZZ1 50-59 years, female 664.3
GTEX-Y114-1426-SM-4TT6W 50-59 years, female 663.7
GTEX-XXEK-1026-SM-4BRUW 50-59 years, male 652.0
GTEX-WY7C-1826-SM-4ONCE 50-59 years, male 647.9
GTEX-1399S-2026-SM-5KM4B 30-39 years, female 646.6
GTEX-XBED-1426-SM-4AT4G 60-69 years, male 645.5
GTEX-ZLV1-1126-SM-4WWBW 60-69 years, female 645.2
GTEX-14PN3-2026-SM-68729 60-69 years, female 628.5
GTEX-13D11-0726-SM-5LZZB 50-59 years, female 626.0
GTEX-YB5E-1526-SM-5IFIE 40-49 years, male 615.9
GTEX-1AMFI-1926-SM-731F2 50-59 years, female 615.1
GTEX-14PJ6-1726-SM-6AJBN 60-69 years, female 608.3
GTEX-14PJN-0826-SM-686ZL 30-39 years, male 608.2
GTEX-13FTW-2026-SM-5IJE2 40-49 years, male 602.2
GTEX-ZTX8-0526-SM-59HLD 20-29 years, male 599.7
GTEX-1122O-1326-SM-5H11F 60-69 years, female 594.3
GTEX-ZPCL-1726-SM-57WEO 60-69 years, female 592.5
GTEX-XAJ8-0526-SM-47JYK 40-49 years, male 589.3
GTEX-WQUQ-2426-SM-4MVNW 60-69 years, male 585.4
GTEX-Y9LG-1626-SM-5IFHM 30-39 years, male 578.7
GTEX-13PL7-2626-SM-5IFH4 60-69 years, female 576.1
GTEX-YFCO-1326-SM-664NV 40-49 years, male 561.6
GTEX-111YS-1426-SM-5GID8 60-69 years, male 561.1
GTEX-ZDTT-1726-SM-5HL69 60-69 years, male 555.4
GTEX-ZVZP-1826-SM-5GZXB 50-59 years, male 532.8
GTEX-ZTSS-0926-SM-59865 40-49 years, male 496.2
GTEX-1J8Q3-2526-SM-CNNQ4 60-69 years, male 494.0
GTEX-YF7O-1826-SM-5IFIU 50-59 years, male 493.4
Show allShow less

SMALL INTESTINE - FANTOM5 CAGEi

RNA expression in human tissues obtained through Cap Analysis of Gene Expression (CAGE) generated by the FANTOM5 project are reported as Scaled Tags Per Million.

Max subtype Scaled Tags Per Millioni

Max subtype Scaled Tags Per Million is the value for the subtype with the largest average Scaled Tags Per Million across the subtype samples.

36.6
FANTOM5 sample id Sample description Scaled Tags Per Million
Small intestine
Scaled Tags Per Million: 36.6
FF:10024-101D6 15,40,85 years, mixed 36.6

Contact

  • NEWS ARTICLES
  • PRESS ROOM

The Project

  • INTRODUCTION
  • ORGANIZATION
  • PUBLICATIONS

The Human Protein Atlas

  • DOWNLOADABLE DATA
  • LICENCE & CITATION
  • HELP & FAQ
The Human Protein Atlas project is funded
by the Knut & Alice Wallenberg Foundation.


contact@proteinatlas.org