We use cookies to enhance the usability of our website. If you continue, we'll assume that you are happy to receive all cookies. More information. Don't show this again.
RPS7
HPA
RESOURCES
  • TISSUE
  • BRAIN
  • SINGLE CELL
  • SUBCELLULAR
  • CANCER
  • BLOOD
  • CELL LINE
  • STRUCTURE & INTERACTION
ABOUT
  • INTRODUCTION
  • HISTORY
  • ORGANIZATION
  • PUBLICATIONS
  • ANTIBODY SUBMISSION
  • ANTIBODY AVAILABILITY
  • ACKNOWLEDGMENTS
  • CONTACT
NEWS
  • NEWS ARTICLES
  • PRESS ROOM
LEARN
  • DICTIONARY
  • PROTEIN CLASSES
  • PROTEIN EVIDENCE
  • METHODS
  • EDUCATIONAL VIDEOS
DATA
  • DOWNLOADABLE DATA
  • PUBLICATION DATA
  • RELEASE HISTORY
HELP
  • ANTIBODY VALIDATION
  • ASSAYS & ANNOTATION
  • DISCLAIMER
  • HELP & FAQ
  • PRIVACY STATEMENT
  • LICENCE & CITATION
Fields »
Search result

Field
Term
Gene name
Class
Subclass
Class
Keyword
Chromosome
External id
Tissue
Cell type
Expression
Antibody panel
Tissue
Main location
Patient ID
Annotation
Tissue
Category
Tau score
Cluster
Reliability
Brain region
Category
Tau score
Brain region
Category
Tau score
Brain region
Category
Tau score
Cluster
Reliability
Tissue
Cell type
Enrichment
Cell type
Category
Tau score
Cell type
Category
Tau score
Cell type
Category
Tau score
Cell lineage
Category
Tau score
Cluster
Cluster
Location
Searches
Location
Cell line
Class
Type
Phase
Reliability
Cancer
Prognosis
Cancer
Category
Cancer
Category
Tau score
Cluster
Variants
Interacting gene (ensg_id)
Type
Number of interactions
Pathway
Category
Score
Score
Score
Validation
Validation
Validation
Validation
Antibodies
Data type
Column


  • SUMMARY

  • TISSUE

  • BRAIN

  • SINGLE CELL

  • SUBCELL

  • CANCER

  • BLOOD

  • CELL LINE

  • STRUCT & INT

  • RPS7
TISSUE PRIMARY DATA SALIVARY GLAND Show tissue menu
ADIPOSE TISSUE ADRENAL GLAND AMYGDALA APPENDIX BASAL GANGLIA BONE MARROW BREAST BRONCHUS CEREBELLUM CEREBRAL CORTEX CERVIX CHOROID PLEXUS COLON DUODENUM
ENDOMETRIUM EPIDIDYMIS ESOPHAGUS FALLOPIAN TUBE GALLBLADDER HEART MUSCLE HIPPOCAMPAL FORMATION HYPOTHALAMUS KIDNEY LIVER LUNG LYMPH NODE MIDBRAIN NASOPHARYNX
ORAL MUCOSA OVARY PANCREAS PARATHYROID GLAND PITUITARY GLAND PLACENTA PROSTATE RECTUM RETINA SALIVARY GLAND SEMINAL VESICLE SKELETAL MUSCLE SKIN SMALL INTESTINE
SMOOTH MUSCLE SOFT TISSUE SPINAL CORD SPLEEN STOMACH TESTIS THYMUS THYROID GLAND TONGUE TONSIL URINARY BLADDER VAGINA
ANTIBODIES
AND
VALIDATION
Dictionary
Salivary gland
Tissue proteome
Salivary gland
SALIVARY GLAND - Expression summary
Protein expression
Salivary glandi

On the top, protein expression in current human tissue, based on all annotated cell types, is reported with the units not detected (n), low (l), medium (m) and high (h). Underneath, protein expression in each annotated cell type are reported using the same units.

Protein expression data is based on knowledge-based annotation. For genes where more than one antibody has been used, a collective score is set.

If knowledge-based annotation could not be performed for a gene, no data is displayed here. View antibody staining data further down this page.

h
m
l
n
Glandular cells: High
RNA expressioni

A summary of mRNA expression data available for current tissue based on several datasets. The mRNA expression levels in human tissues are based on RNA-seq data generated by the Human Protein Atlas (HPA), Genotype-Tissue Expression (GTEx) portal and CAGE data generated by the FANTOM5 consortium. Consensus normalized expression levels for human tissues was created by combining the data from HPA and GTEx datasets.

The mRNA expression levels in pig are based on RNA-seq data generated by the Human Protein Atlas (HPA), and for mouse, HPA data and in situ hybridization generated by the Allen brain atlas are reported.

Scroll down to view mRNA expression data in more detail.
Consensus:1177.3 nTPM
HPA:1177.3 nTPM
GTEx:896.7 nTPM
FANTOM5:32.3 Scaled Tags Per Million

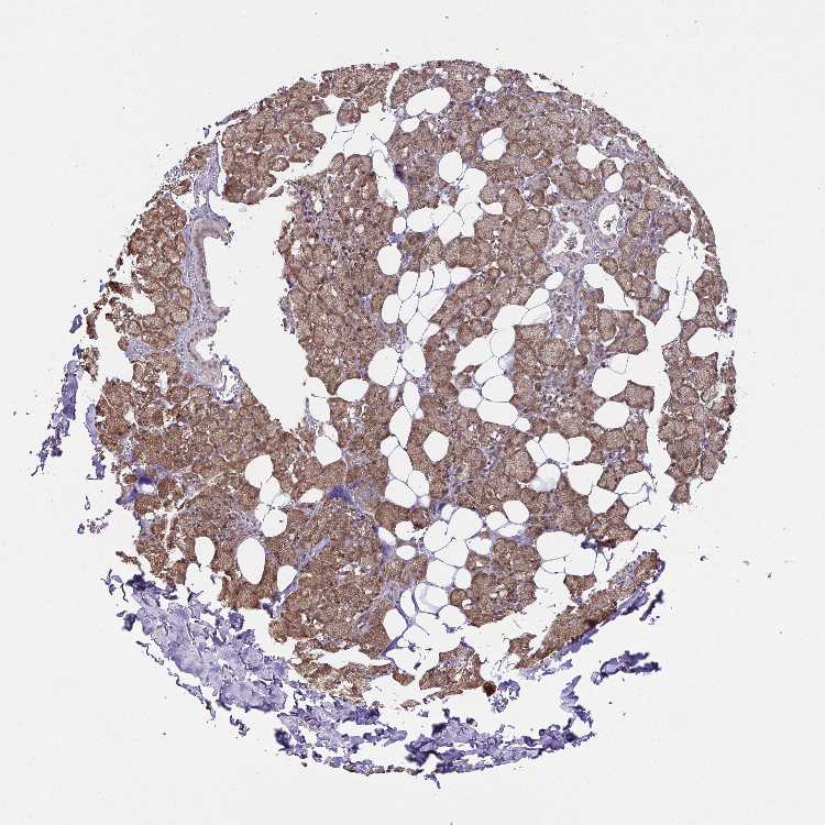
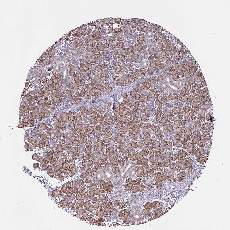
SALIVARY GLAND - Antibody stainingi

Antibody staining in the annotated cell types in the current human tissue is reported as not detected, low, medium, or high, based on conventional immunohistochemistry profiling in selected tissues. This score is based on the combination of the staining intensity and fraction of stained cells.

Each image is clickable and will lead to virtual microscopy that enables deeper exploration of all samples and also displays staining intensity scores, fraction scores and subcellular localization as well as patient and tissue information for each sample.

Antibody HPA056586
Glandular cells High



SALIVARY GLAND - HPA RNA-seqi

The RNA-seq details section shows detailed information about the individual samples used for the transcript profiling and results of the RNA-seq analysis.

Information about each individual sample is listed below, including gender, age, a tissue section image and estimated fractions of cell types. nTPM (normalized transcripts per million) values give a quantification of the gene abundance which is comparable between different genes and samples.
Average nTPMi

Max subtype nTPM is the value for the subtype with the largest average nTPM across the subtype samples.

1177.3
overview
Female, age 68
Salivary gland sample 216
nTPM: 1233.6
Cell types%
Glandular cells:
45

Ductal cells:
25

Adipocytes:
5

Other cell types:
25

overview
Male, age 60
Salivary gland sample 217
nTPM: 1109.7
Cell types%
Glandular cells:
55

Ductal cells:
20

Adipocytes:
5

Endothelial cells:
5

Other cell types:
15

overview
Female, age 21
Salivary gland sample 218
nTPM: 1188.5
Cell types%
Glandular cells:
55

Ductal cells:
15

Adipocytes:
5

Endothelial cells:
5

Other cell types:
20


SALIVARY GLAND - GTEx RNA-seqi

RNA-Seq data generated by the Genotype-Tissue Expression (GTEx) project from human tissues is reported as mean nTPM. More information can be found on the GTEx portal.

Distribution across the dataset is visualized with box plots, shown as median and 25th and 75th percentiles. Points are displayed as outliers if they are above or below 1.5 times the interquartile range. nTPM values of the individual samples are presented next to the box plot.
Max subtype nTPMi

Max subtype nTPM is the value for the subtype with the largest average nTPM across the subtype samples.

896.7
GTEx sample id Sample description nTPM
Minor Salivary Gland
Average nTPM: 896.7
Samples: 162

Max nTPM: 2526.1
Min nTPM: 618.8
Std nTPM: 216.8
Median nTPM: 853.5
GTEX-1NSGN-0626-SM-E9J35 50-59 years, male 2526.1
GTEX-Y5LM-1826-SM-4VDT9 40-49 years, female 1528.9
GTEX-ZLFU-2226-SM-EXUS7 40-49 years, male 1507.3
GTEX-1KANC-1326-SM-CYPT8 50-59 years, female 1458.7
GTEX-ZQG8-2126-SM-4YCF1 60-69 years, female 1412.2
GTEX-12BJ1-2226-SM-5BC6G 60-69 years, male 1391.9
GTEX-ZLWG-2026-SM-DO11F 50-59 years, female 1355.2
GTEX-1R9K4-0526-SM-E76P1 60-69 years, male 1331.5
GTEX-11EMC-2526-SM-5PNVU 60-69 years, female 1231.7
GTEX-ZE7O-2926-SM-51MSG 50-59 years, female 1174.2
GTEX-ZT9W-2126-SM-51MSF 50-59 years, male 1158.6
GTEX-1HCU7-0126-SM-C1YR3 50-59 years, male 1131.7
GTEX-1192X-2926-SM-5N9BA 50-59 years, male 1123.6
GTEX-ZF29-2126-SM-DNZYX 60-69 years, female 1109.1
GTEX-1AMEY-1126-SM-72D79 30-39 years, female 1102.2
GTEX-1LVA9-2526-SM-EVR5H 50-59 years, male 1096.3
GTEX-11ZTS-3026-SM-5EQM7 60-69 years, female 1094.8
GTEX-14E1K-2626-SM-664OJ 50-59 years, male 1090.5
GTEX-12WSN-2226-SM-5DUXT 40-49 years, male 1087.8
GTEX-18D9U-2226-SM-7KFTN 40-49 years, male 1085.3
GTEX-1LKK1-2926-SM-EVR4Z 50-59 years, female 1081.9
GTEX-1339X-2326-SM-5HL5B 40-49 years, male 1076.3
GTEX-146FR-1226-SM-5SIA7 60-69 years, female 1053.1
GTEX-1KD5A-2226-SM-EV79U 50-59 years, male 1049.6
GTEX-13OVL-2926-SM-5IFG3 50-59 years, male 1047.5
GTEX-ZQUD-2126-SM-51MSY 30-39 years, male 1044.2
GTEX-15RJE-2726-SM-6LPJ1 40-49 years, male 1041.8
GTEX-13QBU-2126-SM-5KLZN 40-49 years, female 1039.6
GTEX-ZPU1-2326-SM-57WEP 40-49 years, male 1035.8
GTEX-XGQ4-2626-SM-4AT6B 50-59 years, male 1034.8
GTEX-1OJC3-1026-SM-E6CQK 20-29 years, male 1032.6
GTEX-1POEN-2226-SM-DPRXV 30-39 years, female 1029.6
GTEX-13VXT-1726-SM-5IFF5 20-29 years, female 1011.8
GTEX-11WQK-2926-SM-5EQKT 50-59 years, male 1011.7
GTEX-1R9PO-2626-SM-E6CPU 60-69 years, female 1003.3
GTEX-14B4R-1426-SM-5Q5CG 30-39 years, male 999.0
GTEX-1RNSC-2926-SM-EV79L 60-69 years, male 992.2
GTEX-1QP9N-2026-SM-DPRZT 30-39 years, male 985.6
GTEX-ZAB5-2326-SM-5IJFR 50-59 years, male 977.7
GTEX-131XH-2626-SM-5GCNP 50-59 years, male 974.9
GTEX-1CB4I-2526-SM-7MKG1 50-59 years, male 969.6
GTEX-15SHV-2226-SM-6M464 60-69 years, male 962.0
GTEX-18QFQ-0626-SM-718AW 30-39 years, male 961.8
GTEX-18A7B-2826-SM-7KFTK 70-79 years, male 958.8
GTEX-1445S-2926-SM-5O993 60-69 years, male 956.8
GTEX-1LC47-2426-SM-DHXKK 60-69 years, male 956.3
GTEX-1A3MV-1726-SM-72D68 30-39 years, male 951.0
GTEX-1GMR2-2026-SM-7MKHK 50-59 years, male 951.0
GTEX-X3Y1-1926-SM-4PQZO 40-49 years, male 950.5
GTEX-1LSNL-2626-SM-EV7AT 50-59 years, male 950.4
GTEX-WOFM-2126-SM-4OOSR 20-29 years, male 932.3
GTEX-1S82P-0726-SM-EVR4O 60-69 years, female 928.6
GTEX-X261-2426-SM-4PQZU 50-59 years, male 927.7
GTEX-1GPI7-0326-SM-7MKH6 20-29 years, male 923.1
GTEX-ZP4G-1926-SM-57WDZ 20-29 years, female 922.8
GTEX-Y111-2626-SM-4TT24 50-59 years, male 922.2
GTEX-1IDJD-2526-SM-C1YSA 30-39 years, male 920.9
GTEX-1MCC2-2226-SM-EV7AJ 30-39 years, female 918.5
GTEX-1MCQQ-2226-SM-DLHC4 60-69 years, male 918.5
GTEX-11P82-0926-SM-5986X 20-29 years, male 915.9
GTEX-1MGNQ-1926-SM-DTX8L 40-49 years, male 913.7
GTEX-1GN1W-2526-SM-9JGHX 50-59 years, female 912.7
GTEX-WH7G-2126-SM-4M1XU 40-49 years, male 909.8
GTEX-14PN4-2526-SM-686ZG 50-59 years, male 908.5
GTEX-17KNJ-2726-SM-7KFRE 50-59 years, male 906.1
GTEX-1JN1M-2426-SM-ARU93 60-69 years, female 906.1
GTEX-13QJC-2326-SM-5Q5CD 60-69 years, female 902.2
GTEX-ZA64-1726-SM-5CVMF 20-29 years, male 901.1
GTEX-1KD4Q-2526-SM-CXZKL 40-49 years, male 895.5
GTEX-1C4CL-2026-SM-731EB 30-39 years, male 894.3
GTEX-Y5V6-2226-SM-4VDTC 60-69 years, male 889.0
GTEX-1LVAO-2626-SM-EVR4S 60-69 years, male 884.5
GTEX-13OVI-2326-SM-5KM47 60-69 years, female 879.4
GTEX-15EU6-2626-SM-7KUN4 50-59 years, male 877.6
GTEX-1I4MK-1326-SM-B2LWT 50-59 years, female 870.5
GTEX-11NV4-1926-SM-5N9D4 60-69 years, male 869.7
GTEX-12WSM-1826-SM-5BC64 60-69 years, male 866.5
GTEX-1R9PM-1726-SM-E8VOA 20-29 years, male 865.4
GTEX-YF7O-2226-SM-5CVN8 50-59 years, male 864.3
GTEX-1H4P4-2026-SM-9WPNV 50-59 years, male 860.3
GTEX-1GZ2Q-2526-SM-9KNVW 40-49 years, male 855.9
GTEX-1PIEJ-0626-SM-DTX99 20-29 years, female 851.0
GTEX-XMK1-2626-SM-4B65R 40-49 years, male 850.4
GTEX-1S83E-0626-SM-E9TKC 40-49 years, male 844.7
GTEX-X5EB-1726-SM-4E3J7 40-49 years, male 843.9
GTEX-11P81-2026-SM-5P9GT 30-39 years, female 842.8
GTEX-YB5K-1726-SM-5IFIZ 40-49 years, female 841.1
GTEX-1GTWX-2526-SM-9JGHG 60-69 years, male 840.9
GTEX-111FC-2926-SM-5GZY7 60-69 years, male 839.1
GTEX-1117F-3026-SM-5GZYU 60-69 years, female 838.9
GTEX-ZG7Y-2426-SM-DO11H 50-59 years, male 837.3
GTEX-13111-2326-SM-5LZUQ 50-59 years, male 834.8
GTEX-13113-1526-SM-5EGHV 60-69 years, female 830.9
GTEX-13G51-2426-SM-5LZY8 60-69 years, male 830.1
GTEX-1PPH8-1526-SM-E6CQO 20-29 years, male 823.6
GTEX-1I6K6-0626-SM-ARU7J 30-39 years, male 821.7
GTEX-11EQ9-2026-SM-5P9JI 30-39 years, male 821.2
GTEX-XV7Q-2426-SM-4BRV8 40-49 years, female 818.3
GTEX-1C6VR-0726-SM-7P8OV 60-69 years, male 817.7
GTEX-12WSL-2126-SM-5GCNG 50-59 years, male 813.3
GTEX-1LBAC-0626-SM-D3L9T 20-29 years, male 808.7
GTEX-14PJN-1726-SM-69LO7 30-39 years, male 806.3
GTEX-1314G-2026-SM-5LZUM 30-39 years, male 806.2
GTEX-1GF9X-0226-SM-7P8SM 40-49 years, female 804.9
GTEX-13NYB-2426-SM-5IFF4 40-49 years, male 803.7
GTEX-1QEPI-0626-SM-E76QE 60-69 years, female 802.4
GTEX-1AX8Z-0626-SM-731EH 60-69 years, male 801.1
GTEX-1B8SF-1826-SM-731DJ 60-69 years, male 800.4
GTEX-WYVS-2026-SM-4RGNS 40-49 years, female 800.3
GTEX-1IOXB-2826-SM-AHZ32 50-59 years, male 800.1
GTEX-11TUW-2426-SM-5EQKB 60-69 years, male 799.3
GTEX-1IDJC-1626-SM-AHZ2R 50-59 years, male 798.3
GTEX-145ME-1626-SM-5RQI3 40-49 years, female 785.2
GTEX-WY7C-1426-SM-4OND1 50-59 years, male 784.3
GTEX-1JN6P-2526-SM-CNNPX 60-69 years, male 779.1
GTEX-1P4AB-2926-SM-EXOJR 50-59 years, male 778.9
GTEX-1OJC4-3126-SM-EXOJK 50-59 years, female 778.5
GTEX-1RAZA-0626-SM-EAZ4H 20-29 years, male 773.1
GTEX-1QMI2-0426-SM-EWRND 60-69 years, male 771.7
GTEX-1HSGN-0626-SM-A9G2E 40-49 years, female 764.7
GTEX-1R9K5-0626-SM-DPRZB 50-59 years, male 763.2
GTEX-1I6K7-0926-SM-A96SV 40-49 years, male 760.4
GTEX-WFJO-2026-SM-4LVM3 30-39 years, male 759.4
GTEX-1IY9M-2926-SM-A96TH 60-69 years, male 755.1
GTEX-1QCLZ-2526-SM-EXUST 60-69 years, female 755.1
GTEX-X15G-2126-SM-4PQZR 50-59 years, female 753.7
GTEX-13OVK-1826-SM-6PALE 40-49 years, male 750.4
GTEX-1GN1V-2926-SM-9JGI3 60-69 years, male 750.3
GTEX-18A67-0626-SM-7KFSL 50-59 years, male 746.3
GTEX-17MFQ-1626-SM-7938Z 20-29 years, male 745.7
GTEX-1AYD5-2726-SM-7MXVG 50-59 years, male 743.0
GTEX-1J1R8-1826-SM-AHZ3B 40-49 years, male 740.6
GTEX-1B97J-2126-SM-79OL6 50-59 years, female 740.2
GTEX-14PJ3-1526-SM-664O9 50-59 years, male 736.6
GTEX-1HFI7-2426-SM-B2LXV 50-59 years, female 728.3
GTEX-13O21-1926-SM-5MR39 50-59 years, male 725.2
GTEX-1HSEH-1826-SM-A96SA 60-69 years, male 724.1
GTEX-1EH9U-2926-SM-7DHLX 60-69 years, male 723.9
GTEX-1HR9M-2526-SM-A9G3J 60-69 years, male 721.6
GTEX-14JIY-3026-SM-6EU1R 60-69 years, male 718.6
GTEX-1JKYR-0726-SM-AHZ3K 20-29 years, male 714.2
GTEX-ZXG5-2826-SM-5NQ8T 60-69 years, male 711.9
GTEX-1B8KZ-1726-SM-73KV7 50-59 years, male 710.6
GTEX-13JVG-2926-SM-5J2N9 60-69 years, male 705.3
GTEX-1H1CY-2326-SM-9OSXW 60-69 years, female 703.5
GTEX-WHSB-2326-SM-4M1XK 50-59 years, male 698.6
GTEX-1C64O-0626-SM-7DHL1 60-69 years, male 695.5
GTEX-1I1HK-2526-SM-A96SM 60-69 years, male 693.1
GTEX-1J8QM-1826-SM-A96TA 60-69 years, female 691.4
GTEX-131XF-2826-SM-5EGKH 60-69 years, male 686.6
GTEX-11ZTT-2226-SM-5CVLP 60-69 years, female 686.1
GTEX-1AX9K-2126-SM-72D7K 50-59 years, male 669.0
GTEX-13CF2-2426-SM-5LZYL 60-69 years, male 665.8
GTEX-1IE54-0826-SM-AHZ2Z 40-49 years, female 663.9
GTEX-1HSMQ-0926-SM-A96SI 50-59 years, male 654.1
GTEX-Y3I4-1926-SM-4TT8L 50-59 years, male 652.4
GTEX-15CHC-1226-SM-686ZH 60-69 years, female 648.2
GTEX-ZC5H-2726-SM-5KLZW 40-49 years, female 636.3
GTEX-1C64N-2926-SM-79OLM 50-59 years, male 633.4
GTEX-178AV-1426-SM-6LLID 40-49 years, male 621.8
GTEX-1B932-0626-SM-731EM 40-49 years, female 619.5
GTEX-1J8EW-2826-SM-A96T9 60-69 years, female 618.8
Show allShow less

SALIVARY GLAND - FANTOM5 CAGEi

RNA expression in human tissues obtained through Cap Analysis of Gene Expression (CAGE) generated by the FANTOM5 project are reported as Scaled Tags Per Million.

Max subtype Scaled Tags Per Millioni

Max subtype Scaled Tags Per Million is the value for the subtype with the largest average Scaled Tags Per Million across the subtype samples.

32.3
FANTOM5 sample id Sample description Scaled Tags Per Million
Parotid gland
Scaled Tags Per Million: 32.3
FF:10199-103F1 23 years, male 32.3
Salivary gland
Scaled Tags Per Million: 31.8
FF:10093-102C3 16-60 years, mixed 31.8
Submaxillary gland
Scaled Tags Per Million: 26.3
FF:10202-103F4 24 years, male 26.3

Contact

  • NEWS ARTICLES
  • PRESS ROOM

The Project

  • INTRODUCTION
  • ORGANIZATION
  • PUBLICATIONS

The Human Protein Atlas

  • DOWNLOADABLE DATA
  • LICENCE & CITATION
  • HELP & FAQ
The Human Protein Atlas project is funded
by the Knut & Alice Wallenberg Foundation.


contact@proteinatlas.org