We use cookies to enhance the usability of our website. If you continue, we'll assume that you are happy to receive all cookies. More information. Don't show this again.
DCTN2
HPA
RESOURCES
  • TISSUE
  • BRAIN
  • SINGLE CELL
  • SUBCELLULAR
  • CANCER
  • BLOOD
  • CELL LINE
  • STRUCTURE & INTERACTION
ABOUT
  • INTRODUCTION
  • HISTORY
  • ORGANIZATION
  • PUBLICATIONS
  • ANTIBODY SUBMISSION
  • ANTIBODY AVAILABILITY
  • ACKNOWLEDGMENTS
  • CONTACT
NEWS
  • NEWS ARTICLES
  • PRESS ROOM
LEARN
  • DICTIONARY
  • PROTEIN CLASSES
  • PROTEIN EVIDENCE
  • METHODS
  • EDUCATIONAL VIDEOS
DATA
  • DOWNLOADABLE DATA
  • PUBLICATION DATA
  • RELEASE HISTORY
HELP
  • ANTIBODY VALIDATION
  • ASSAYS & ANNOTATION
  • DISCLAIMER
  • HELP & FAQ
  • PRIVACY STATEMENT
  • LICENCE & CITATION
Fields »
Search result

Field
Term
Gene name
Class
Subclass
Class
Keyword
Chromosome
External id
Tissue
Cell type
Expression
Antibody panel
Tissue
Main location
Patient ID
Annotation
Tissue
Category
Tau score
Cluster
Reliability
Brain region
Category
Tau score
Brain region
Category
Tau score
Brain region
Category
Tau score
Cluster
Reliability
Tissue
Cell type
Enrichment
Cell type
Category
Tau score
Cell type
Category
Tau score
Cell type
Category
Tau score
Cell lineage
Category
Tau score
Cluster
Cluster
Location
Searches
Location
Cell line
Class
Type
Phase
Reliability
Cancer
Prognosis
Cancer
Category
Cancer
Category
Tau score
Cluster
Variants
Interacting gene (ensg_id)
Type
Number of interactions
Pathway
Category
Score
Score
Score
Validation
Validation
Validation
Validation
Antibodies
Data type
Column


  • SUMMARY

  • TISSUE

  • BRAIN

  • SINGLE CELL

  • SUBCELL

  • CANCER

  • BLOOD

  • CELL LINE

  • STRUCT & INT

  • DCTN2
TISSUE PRIMARY DATA BREAST Show tissue menu
ADIPOSE TISSUE ADRENAL GLAND AMYGDALA APPENDIX BASAL GANGLIA BONE MARROW BREAST BRONCHUS CEREBELLUM CEREBRAL CORTEX CERVIX CHOROID PLEXUS COLON DUODENUM
ENDOMETRIUM EPIDIDYMIS ESOPHAGUS FALLOPIAN TUBE GALLBLADDER HEART MUSCLE HIPPOCAMPAL FORMATION HYPOTHALAMUS KIDNEY LIVER LUNG LYMPH NODE MIDBRAIN NASOPHARYNX
ORAL MUCOSA OVARY PANCREAS PARATHYROID GLAND PITUITARY GLAND PLACENTA PROSTATE RECTUM RETINA SALIVARY GLAND SEMINAL VESICLE SKELETAL MUSCLE SKIN SMALL INTESTINE
SMOOTH MUSCLE SOFT TISSUE SPINAL CORD SPLEEN STOMACH TESTIS THYMUS THYROID GLAND TONGUE TONSIL URINARY BLADDER VAGINA
ANTIBODIES
AND
VALIDATION
Dictionary
Breast
Tissue proteome
Breast
BREAST - Expression summary
Protein expression
Breasti

On the top, protein expression in current human tissue, based on all annotated cell types, is reported with the units not detected (n), low (l), medium (m) and high (h). Underneath, protein expression in each annotated cell type are reported using the same units.

Protein expression data is based on knowledge-based annotation. For genes where more than one antibody has been used, a collective score is set.

If knowledge-based annotation could not be performed for a gene, no data is displayed here. View antibody staining data further down this page.

h
m
l
n
Adipocytes: Not detected
Glandular cells: Medium
Myoepithelial cells: Medium
RNA expressioni

A summary of mRNA expression data available for current tissue based on several datasets. The mRNA expression levels in human tissues are based on RNA-seq data generated by the Human Protein Atlas (HPA), Genotype-Tissue Expression (GTEx) portal and CAGE data generated by the FANTOM5 consortium. Consensus normalized expression levels for human tissues was created by combining the data from HPA and GTEx datasets.

The mRNA expression levels in pig are based on RNA-seq data generated by the Human Protein Atlas (HPA), and for mouse, HPA data and in situ hybridization generated by the Allen brain atlas are reported.

Scroll down to view mRNA expression data in more detail.
Consensus:74.2 nTPM
HPA:54.9 nTPM
GTEx:74.2 nTPM
FANTOM5:165.0 Scaled Tags Per Million

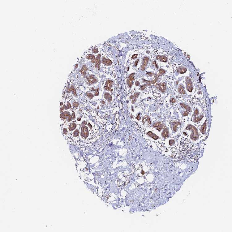
BREAST - Antibody stainingi

Antibody staining in the annotated cell types in the current human tissue is reported as not detected, low, medium, or high, based on conventional immunohistochemistry profiling in selected tissues. This score is based on the combination of the staining intensity and fraction of stained cells.

Each image is clickable and will lead to virtual microscopy that enables deeper exploration of all samples and also displays staining intensity scores, fraction scores and subcellular localization as well as patient and tissue information for each sample.

Antibody HPA039715Antibody HPA040040
Adipocytes Not detectedLow
Glandular cells MediumHigh
Myoepithelial cells MediumMedium




BREAST - HPA RNA-seqi

The RNA-seq details section shows detailed information about the individual samples used for the transcript profiling and results of the RNA-seq analysis.

Information about each individual sample is listed below, including gender, age, a tissue section image and estimated fractions of cell types. nTPM (normalized transcripts per million) values give a quantification of the gene abundance which is comparable between different genes and samples.
Average nTPMi

Max subtype nTPM is the value for the subtype with the largest average nTPM across the subtype samples.

54.9
overview
Female, age 52
Breast sample 373
nTPM: 57.2
Cell types%
Glandular cells:
15

Adipocytes:
5

Other cell types:
80

overview
Female, age 80
Breast sample 390
nTPM: 56.9
Cell types%
Glandular cells:
5

Adipocytes:
15

Other cell types:
80

overview
Female, age 47
Breast sample 405
nTPM: 47.6
Cell types%
Glandular cells:
5

Adipocytes:
5

Other cell types:
90

overview
Female, age 38
Breast sample 410
nTPM: 57.6
Cell types%
Glandular cells:
40

Adipocytes:
5

Other cell types:
55


BREAST - GTEx RNA-seqi

RNA-Seq data generated by the Genotype-Tissue Expression (GTEx) project from human tissues is reported as mean nTPM. More information can be found on the GTEx portal.

Distribution across the dataset is visualized with box plots, shown as median and 25th and 75th percentiles. Points are displayed as outliers if they are above or below 1.5 times the interquartile range. nTPM values of the individual samples are presented next to the box plot.
Max subtype nTPMi

Max subtype nTPM is the value for the subtype with the largest average nTPM across the subtype samples.

74.2
GTEx sample id Sample description nTPM
Breast - Mammary Tissue
Average nTPM: 74.2
Samples: 459

Max nTPM: 126.5
Min nTPM: 46.6
Std nTPM: 14.6
Median nTPM: 72.6
GTEX-1ICLZ-0426-SM-B2LW2 60-69 years, male 126.5
GTEX-ZT9W-2026-SM-51MRA 50-59 years, male 119.6
GTEX-1S82Z-0726-SM-E6CHX 30-39 years, female 119.1
GTEX-1IDJH-2226-SM-E6CJV 70-79 years, male 118.6
GTEX-PSDG-1626-SM-48TCQ 50-59 years, male 111.9
GTEX-15RJE-2626-SM-7KFT1 40-49 years, male 110.6
GTEX-ZAB4-2526-SM-5HL8M 40-49 years, male 110.6
GTEX-1F5PK-2126-SM-7PC28 50-59 years, male 110.2
GTEX-1MJK3-1126-SM-E9J3F 20-29 years, male 109.8
GTEX-1R7EV-1526-SM-E8VOD 40-49 years, male 108.5
GTEX-ZLFU-2126-SM-DO931 40-49 years, male 108.4
GTEX-TKQ1-0226-SM-33HB5 30-39 years, male 107.3
GTEX-1JN6P-2426-SM-ARL99 60-69 years, male 106.0
GTEX-1PPH7-0826-SM-E8VNX 40-49 years, male 105.6
GTEX-1IDJF-2326-SM-ARL86 20-29 years, male 104.3
GTEX-1R9PM-1826-SM-EVYBH 20-29 years, male 103.4
GTEX-13S86-1226-SM-5S2OA 40-49 years, male 102.9
GTEX-XGQ4-0926-SM-4AT4U 50-59 years, male 102.9
GTEX-ZLWG-1926-SM-DO92J 50-59 years, female 102.4
GTEX-15UF7-0726-SM-6M46D 40-49 years, male 102.1
GTEX-1PPGY-1526-SM-EVYBK 60-69 years, male 100.7
GTEX-14PN4-0626-SM-62LFP 50-59 years, male 100.1
GTEX-UTHO-1026-SM-3GAF7 60-69 years, male 99.5
GTEX-1I6K6-0826-SM-ARL7Z 30-39 years, male 99.4
GTEX-14PJ4-2126-SM-6ETZJ 60-69 years, male 99.0
GTEX-ZZ64-1226-SM-5E43R 20-29 years, male 98.9
GTEX-14ABY-2126-SM-5QGQZ 50-59 years, male 98.5
GTEX-14PJO-0726-SM-69LO8 60-69 years, male 98.3
GTEX-16YQH-2826-SM-6PAMY 30-39 years, male 98.2
GTEX-1H1ZS-0126-SM-9YFKQ 70-79 years, male 97.6
GTEX-11EQ9-1826-SM-5Q5AJ 30-39 years, male 97.5
GTEX-WOFL-0826-SM-3MJG1 60-69 years, male 97.0
GTEX-1L5NE-2126-SM-CY8IH 50-59 years, male 96.5
GTEX-11ZUS-0826-SM-5FQUY 30-39 years, male 96.2
GTEX-13SLW-2526-SM-62LDQ 70-79 years, male 96.2
GTEX-ZDYS-1126-SM-5K7UB 50-59 years, male 96.2
GTEX-Y8E4-1626-SM-5S2MW 40-49 years, male 95.7
GTEX-R55D-0826-SM-48FEA 50-59 years, male 94.8
GTEX-13VXU-2826-SM-664MA 50-59 years, male 94.2
GTEX-18D9A-1526-SM-7LG4J 30-39 years, female 94.0
GTEX-17MF6-0326-SM-7EPH5 40-49 years, male 93.7
GTEX-1S82U-1126-SM-E9U6I 30-39 years, female 93.5
GTEX-14DAR-1326-SM-7DUEG 50-59 years, male 93.3
GTEX-1GPI7-0926-SM-7PC3J 20-29 years, male 93.3
GTEX-V955-2026-SM-3GAFA 60-69 years, male 93.2
GTEX-17F96-2426-SM-7IGLN 70-79 years, male 93.0
GTEX-ZQUD-1926-SM-51MSA 30-39 years, male 93.0
GTEX-1QW4Y-1026-SM-DTXE2 30-39 years, male 92.9
GTEX-ZWKS-2826-SM-5NQ74 30-39 years, male 92.8
GTEX-1QP9N-1826-SM-E8VMP 30-39 years, male 92.8
GTEX-1LSVX-2426-SM-E6CJX 60-69 years, male 92.7
GTEX-YFCO-1826-SM-4W1YH 40-49 years, male 92.5
GTEX-17F9E-2526-SM-7MGW2 50-59 years, male 92.5
GTEX-1OKEX-0826-SM-E9J2B 60-69 years, male 92.5
GTEX-1HSMO-0826-SM-ADEIV 60-69 years, male 92.1
GTEX-1GF9U-1726-SM-7MGY5 40-49 years, female 91.8
GTEX-1I19N-2826-SM-CL55D 70-79 years, male 91.8
GTEX-1JKYR-0926-SM-CMKGJ 20-29 years, male 91.8
GTEX-12WSK-2226-SM-5GCO5 40-49 years, female 91.5
GTEX-1MA7X-1626-SM-E9U5B 60-69 years, male 91.5
GTEX-11DZ1-0326-SM-5N9BN 50-59 years, male 91.4
GTEX-139T6-1626-SM-5PNYZ 50-59 years, male 91.4
GTEX-1HT8W-2226-SM-CGQEC 30-39 years, male 91.0
GTEX-ZTPG-2826-SM-57WGA 20-29 years, female 91.0
GTEX-1IDFM-0426-SM-B2LVV 60-69 years, male 90.9
GTEX-Z9EW-1526-SM-EZ6LU 40-49 years, male 90.9
GTEX-1NUQO-2226-SM-E9U68 20-29 years, female 90.6
GTEX-1JJE9-2326-SM-ARL8Q 70-79 years, male 90.5
GTEX-183WM-0726-SM-7LTAA 70-79 years, female 90.4
GTEX-1QPFJ-2026-SM-EVYBE 30-39 years, female 90.3
GTEX-YECK-0726-SM-EZ6LV 60-69 years, male 90.3
GTEX-WY7C-2726-SM-3NB3P 50-59 years, male 90.2
GTEX-Y5V6-2126-SM-4WWFX 60-69 years, male 90.2
GTEX-1R9JW-0326-SM-EAZ45 30-39 years, female 90.2
GTEX-1LBAC-0926-SM-CXKY9 20-29 years, male 90.0
GTEX-1NHNU-0926-SM-E9J2T 50-59 years, male 90.0
GTEX-12KS4-0126-SM-5Q5A5 30-39 years, male 89.6
GTEX-145MF-2226-SM-7EPIR 50-59 years, male 89.6
GTEX-1QP28-1226-SM-E9J2M 50-59 years, female 89.6
GTEX-S4Q7-1126-SM-4AD6R 20-29 years, male 89.5
GTEX-S33H-0326-SM-4AD6N 30-39 years, male 89.4
GTEX-1KANC-1426-SM-CYPT9 50-59 years, female 89.1
GTEX-13CF3-2126-SM-5IFJP 60-69 years, female 88.9
GTEX-11O72-2126-SM-5N9FO 40-49 years, male 88.7
GTEX-14ICK-2426-SM-6EU27 40-49 years, male 88.7
GTEX-1117F-2826-SM-5GZXL 60-69 years, female 88.4
GTEX-1C6WA-2426-SM-7SB86 60-69 years, male 88.4
GTEX-1HSEH-2026-SM-ADEHN 60-69 years, male 88.0
GTEX-17MFQ-0926-SM-7LG4S 20-29 years, male 87.2
GTEX-1HBPM-0126-SM-ARL9E 60-69 years, female 87.2
GTEX-11TT1-2126-SM-5GU5Y 20-29 years, male 87.1
GTEX-XQ8I-2426-SM-4WAXY 50-59 years, male 87.1
GTEX-U8XE-0826-SM-4E3J1 30-39 years, male 86.7
GTEX-1IE54-0626-SM-ARL8D 40-49 years, female 86.5
GTEX-S32W-2026-SM-4AD6E 50-59 years, female 86.4
GTEX-XV7Q-2326-SM-4BRVZ 40-49 years, female 86.4
GTEX-QMRM-1626-SM-D4P1U 50-59 years, male 86.3
GTEX-1HR98-0426-SM-COH36 60-69 years, male 86.2
GTEX-14BMV-0626-SM-793AU 50-59 years, male 86.1
GTEX-1AMEY-1026-SM-718AA 30-39 years, female 86.1
GTEX-13O3Q-2226-SM-5KM4O 50-59 years, male 86.0
GTEX-18A7B-2626-SM-7LG55 70-79 years, male 86.0
GTEX-YB5E-1726-SM-5IFJ3 40-49 years, male 86.0
GTEX-11DXY-2326-SM-5GICW 60-69 years, male 85.9
GTEX-13D11-1026-SM-5IJFB 50-59 years, female 85.8
GTEX-ZQG8-0726-SM-5P9H9 60-69 years, female 85.8
GTEX-WHSB-1926-SM-EXOHH 50-59 years, male 85.7
GTEX-X62O-0526-SM-EWRMA 50-59 years, male 85.7
GTEX-1RLM8-2226-SM-EVYD1 50-59 years, male 85.6
GTEX-1QMI2-0726-SM-E9J4F 60-69 years, male 85.1
GTEX-183FY-1126-SM-7DHLJ 20-29 years, male 85.0
GTEX-11WQC-1726-SM-5GU4W 60-69 years, male 84.8
GTEX-145ME-1526-SM-5Q5F2 40-49 years, female 84.6
GTEX-1IDJU-1826-SM-CMKHV 60-69 years, female 84.5
GTEX-145MN-1926-SM-5SIAI 30-39 years, male 84.4
GTEX-11ZTT-2326-SM-5EQLG 60-69 years, female 84.3
GTEX-1I1GP-0426-SM-COH3N 50-59 years, male 84.3
GTEX-1AX9J-1126-SM-731B7 60-69 years, male 84.1
GTEX-XYKS-1326-SM-4BRUN 60-69 years, female 84.0
GTEX-1HFI7-0126-SM-CGQFQ 50-59 years, female 84.0
GTEX-1KD5A-1926-SM-DKPQA 50-59 years, male 84.0
GTEX-XMK1-1126-SM-4IHJ8 40-49 years, male 83.7
GTEX-145MO-0826-SM-5NQBL 60-69 years, male 83.6
GTEX-12WSN-1326-SM-5GCNT 40-49 years, male 83.5
GTEX-14PKU-0426-SM-6EU1P 40-49 years, female 83.4
GTEX-17GQL-0326-SM-7LG5U 60-69 years, male 83.3
GTEX-12BJ1-1826-SM-5HL9N 60-69 years, male 83.0
GTEX-S7SE-0826-SM-4AT4D 50-59 years, male 82.8
GTEX-1JKYN-0726-SM-ARZMY 30-39 years, male 82.8
GTEX-145LT-0726-SM-5S2VM 40-49 years, male 82.5
GTEX-ZA64-1526-SM-5CVMD 20-29 years, male 82.4
GTEX-QVJO-1826-SM-447C9 60-69 years, female 82.0
GTEX-1LC47-1226-SM-D4P44 60-69 years, male 81.8
GTEX-XQ3S-1326-SM-4BOPQ 20-29 years, male 81.7
GTEX-ZDTT-2126-SM-DKPOM 60-69 years, male 81.7
GTEX-1I1GU-1026-SM-ADEHJ 40-49 years, male 81.6
GTEX-11P82-1326-SM-5HL62 20-29 years, male 81.4
GTEX-1NV8Z-2826-SM-E8VME 60-69 years, male 81.4
GTEX-Y3I4-1526-SM-4TT7K 50-59 years, male 81.1
GTEX-ZV6S-1826-SM-5NQ8D 40-49 years, female 81.1
GTEX-18A66-1726-SM-7LG5N 60-69 years, male 81.1
GTEX-1LG7Z-0726-SM-CXKYD 30-39 years, male 81.0
GTEX-1MCC2-2126-SM-EWRON 30-39 years, female 81.0
GTEX-11NSD-0926-SM-5N9DR 20-29 years, male 80.6
GTEX-RUSQ-2026-SM-4GIAK 50-59 years, male 80.6
GTEX-WFON-1826-SM-3GILG 40-49 years, male 80.4
GTEX-1JMOU-2026-SM-CMKGU 60-69 years, female 80.3
GTEX-1JJEA-2726-SM-ARL8V 60-69 years, male 80.2
GTEX-1R7EU-1226-SM-E8VMR 60-69 years, male 79.9
GTEX-16BQI-1026-SM-7KUEA 30-39 years, female 79.8
GTEX-1MJK2-2226-SM-EVYCR 50-59 years, male 79.8
GTEX-14PHY-1926-SM-5YY95 60-69 years, female 79.5
GTEX-1A3MX-2726-SM-718B6 60-69 years, male 79.5
GTEX-ZVT2-1826-SM-5NQ8W 50-59 years, female 79.3
GTEX-ZYW4-0826-SM-5GIDG 60-69 years, male 79.2
GTEX-1192X-2326-SM-5987X 50-59 years, male 79.1
GTEX-1PDJ9-1126-SM-EXUSW 20-29 years, male 79.1
GTEX-R53T-1526-SM-48FEK 50-59 years, female 79.0
GTEX-132NY-0826-SM-5K7Y7 60-69 years, male 78.9
GTEX-144GM-0926-SM-5O994 20-29 years, male 78.9
GTEX-1H3VY-0926-SM-ACKXE 50-59 years, male 78.9
GTEX-11OF3-1926-SM-59889 60-69 years, male 78.8
GTEX-169BO-1126-SM-7MGWN 50-59 years, male 78.8
GTEX-1B8SG-1226-SM-7IGPF 50-59 years, male 78.6
GTEX-1IGQW-0926-SM-ADEH6 60-69 years, male 78.6
GTEX-18A6Q-0926-SM-7LG4N 60-69 years, male 78.5
GTEX-17F97-2526-SM-7EWDV 50-59 years, male 78.4
GTEX-1JMLX-2026-SM-CMKGN 50-59 years, male 78.4
GTEX-11I78-2226-SM-5PNYA 50-59 years, female 78.3
GTEX-14AS3-1626-SM-5S2OY 40-49 years, female 78.2
GTEX-13W46-0826-SM-5LU3H 50-59 years, male 77.9
GTEX-1E2YA-2726-SM-7IGPW 50-59 years, male 77.9
GTEX-SE5C-2126-SM-4BRUJ 40-49 years, female 77.9
GTEX-ZYT6-0126-SM-5E45J 30-39 years, male 77.9
GTEX-1MCYP-0126-SM-E6CIS 20-29 years, female 77.9
GTEX-12WSM-1726-SM-5BC6J 60-69 years, male 77.8
GTEX-13QJ3-0826-SM-7DHKK 50-59 years, male 77.8
GTEX-1HCU9-0326-SM-9WYSC 20-29 years, male 77.8
GTEX-17EVQ-0426-SM-7LG57 70-79 years, male 77.6
GTEX-TKQ2-1826-SM-33HB2 50-59 years, male 77.5
GTEX-144GL-2026-SM-5LU3O 50-59 years, male 77.4
GTEX-ZVZQ-0826-SM-51MRF 60-69 years, female 77.4
GTEX-1399U-1826-SM-5PNZ1 50-59 years, female 77.3
GTEX-1KD4Q-2326-SM-D4P3M 40-49 years, male 77.3
GTEX-ZYFC-0826-SM-5E44K 50-59 years, male 77.0
GTEX-1ICLY-1726-SM-B2LVT 50-59 years, male 76.9
GTEX-132AR-0826-SM-5EGK6 50-59 years, female 76.8
GTEX-Y5LM-1726-SM-4VDSX 40-49 years, female 76.8
GTEX-ZVT4-1026-SM-57WC4 50-59 years, female 76.6
GTEX-1GN2E-2226-SM-9WG6J 60-69 years, male 76.6
GTEX-13O61-1826-SM-5KM4I 60-69 years, male 76.1
GTEX-13FTW-1426-SM-5LZWZ 40-49 years, male 76.0
GTEX-13FTX-1126-SM-5N9EN 20-29 years, female 76.0
GTEX-REY6-2426-SM-48FF5 60-69 years, male 75.7
GTEX-1KAFJ-0226-SM-DIPEL 50-59 years, male 75.7
GTEX-1LSNL-2826-SM-E9U5L 50-59 years, male 75.7
GTEX-14753-2426-SM-5LU8U 60-69 years, male 75.5
GTEX-1C6VQ-0426-SM-79OOX 50-59 years, male 75.2
GTEX-ZDXO-0126-SM-5S2ND 60-69 years, male 75.2
GTEX-117YX-1426-SM-5H12H 50-59 years, male 75.1
GTEX-14B4R-1226-SM-5TDDT 30-39 years, male 75.1
GTEX-1QCLZ-2326-SM-DTXDO 60-69 years, female 75.1
GTEX-1H1DG-0526-SM-9YFLN 70-79 years, male 75.0
GTEX-YEC3-1026-SM-5IFI5 50-59 years, male 74.6
GTEX-ZEX8-2226-SM-57WC6 50-59 years, male 74.6
GTEX-11NV4-2026-SM-5N9DG 60-69 years, male 74.5
GTEX-13113-5013-SM-7SB7G 60-69 years, female 74.5
GTEX-1R9PN-0326-SM-DTX85 40-49 years, female 74.4
GTEX-13O3O-0826-SM-5K7WE 60-69 years, female 74.3
GTEX-1A8G7-2426-SM-731AK 60-69 years, male 74.2
GTEX-11DXZ-1926-SM-5GZZL 50-59 years, male 74.1
GTEX-1I1GV-2426-SM-CGQFM 60-69 years, male 74.1
GTEX-1IOXB-1926-SM-ARL8E 50-59 years, male 73.9
GTEX-1AX8Z-0926-SM-731AW 60-69 years, male 73.8
GTEX-17HGU-1326-SM-79OKB 50-59 years, male 73.7
GTEX-13OW8-0226-SM-5K7UP 60-69 years, male 73.6
GTEX-1M4P7-2626-SM-E9U5F 60-69 years, male 73.4
GTEX-YJ8O-2226-SM-5IFHW 40-49 years, female 73.3
GTEX-1QEPI-0926-SM-DTXF3 60-69 years, female 73.3
GTEX-T2IS-1526-SM-32QPR 20-29 years, female 73.2
GTEX-XMD2-0926-SM-4WWEF 60-69 years, female 73.1
GTEX-XUW1-2326-SM-4BOO5 50-59 years, female 73.1
GTEX-1H23P-0726-SM-9WG7K 60-69 years, male 73.1
GTEX-1B8KE-1226-SM-73KWK 50-59 years, male 73.0
GTEX-1GZ4H-0326-SM-7P8QX 50-59 years, female 73.0
GTEX-ZVE2-1226-SM-5NQ8R 50-59 years, male 72.8
GTEX-1I1GT-1126-SM-ARL7J 60-69 years, female 72.8
GTEX-11GSO-1926-SM-5A5K3 60-69 years, male 72.7
GTEX-14E6E-1326-SM-5S2NR 30-39 years, male 72.7
GTEX-1H11D-1526-SM-9MQJY 40-49 years, male 72.6
GTEX-1HBPN-2326-SM-9WPPU 50-59 years, male 72.5
GTEX-1LSNM-1326-SM-E9TJ1 50-59 years, male 72.5
GTEX-1QP29-1726-SM-E8VMQ 50-59 years, male 72.5
GTEX-T6MO-0326-SM-32QOK 40-49 years, female 72.4
GTEX-1H4P4-2226-SM-9MQKQ 50-59 years, male 72.4
GTEX-18465-2026-SM-718AP 50-59 years, male 72.3
GTEX-1F75I-2026-SM-7SB7N 40-49 years, male 72.3
GTEX-1HC8U-0826-SM-ADEIL 40-49 years, female 72.3
GTEX-1HCU8-0126-SM-ADEHH 60-69 years, female 71.9
GTEX-ZUA1-1526-SM-59HLS 40-49 years, male 71.8
GTEX-1N2EE-2126-SM-E8VNN 60-69 years, male 71.8
GTEX-13N1W-0626-SM-5MR4U 70-79 years, male 71.7
GTEX-S4UY-0726-SM-4AD6X 40-49 years, female 71.6
GTEX-11ONC-2126-SM-5HL6E 60-69 years, male 71.5
GTEX-13SLX-2326-SM-5ZZWE 50-59 years, female 71.0
GTEX-13PVQ-1026-SM-5KM3M 50-59 years, male 70.9
GTEX-UJHI-1426-SM-3DB9C 50-59 years, female 70.7
GTEX-X261-0626-SM-3NMD9 50-59 years, male 70.7
GTEX-1CB4J-1826-SM-7EWF9 60-69 years, male 70.6
GTEX-VUSG-2226-SM-4KKZO 50-59 years, male 70.6
GTEX-ZY6K-1626-SM-5GZWV 50-59 years, male 70.6
GTEX-1IKOE-1326-SM-CE6T6 30-39 years, female 70.5
GTEX-1KANA-2026-SM-DIPFB 20-29 years, male 70.5
GTEX-1EKGG-2626-SM-7IGPY 60-69 years, male 70.4
GTEX-1P4AB-1826-SM-E76PU 50-59 years, male 70.4
GTEX-133LE-1726-SM-5K7VQ 20-29 years, female 70.0
GTEX-ZU9S-1926-SM-5NQBP 30-39 years, male 70.0
GTEX-1QCLY-1626-SM-DTXDW 30-39 years, male 70.0
GTEX-1C6VS-0726-SM-7EPHF 60-69 years, male 69.8
GTEX-1POEN-0926-SM-DTX88 30-39 years, female 69.8
GTEX-11LCK-2426-SM-5HL5F 30-39 years, male 69.7
GTEX-17EUY-1926-SM-7DUF6 20-29 years, male 69.6
GTEX-11GSP-0926-SM-9WYSG 60-69 years, female 69.3
GTEX-1HCVE-2626-SM-ADEJ8 50-59 years, male 69.3
GTEX-1EN7A-1426-SM-7PBY4 40-49 years, male 69.2
GTEX-ZPIC-1126-SM-5BC7F 40-49 years, female 69.0
GTEX-WI4N-1426-SM-3LK7H 40-49 years, female 68.9
GTEX-Y9LG-1426-SM-5IFJZ 30-39 years, male 68.9
GTEX-1KXAM-1026-SM-CY8IA 60-69 years, male 68.9
GTEX-146FH-0826-SM-5SI8T 50-59 years, female 68.8
GTEX-18QFQ-0826-SM-718AX 30-39 years, male 68.8
GTEX-1B97I-0426-SM-79OL7 40-49 years, male 68.7
GTEX-1HCUA-0726-SM-ACKVU 50-59 years, female 68.7
GTEX-14H4A-2526-SM-5YYAY 40-49 years, female 68.5
GTEX-YB5K-1626-SM-5IFIN 40-49 years, female 68.4
GTEX-15G19-2126-SM-6M48J 60-69 years, male 68.3
GTEX-16NGA-0826-SM-718AF 40-49 years, female 68.3
GTEX-13O3P-0826-SM-5L3DH 50-59 years, male 68.2
GTEX-1J8Q3-1326-SM-CMKI1 60-69 years, male 68.2
GTEX-1JN1M-3026-SM-CMKGK 60-69 years, female 68.2
GTEX-1IDJE-0826-SM-CKZNZ 50-59 years, female 68.0
GTEX-W5X1-2326-SM-3GIL6 40-49 years, female 67.9
GTEX-1314G-1226-SM-5BC6D 30-39 years, male 67.8
GTEX-13NZ9-1026-SM-5MR5K 50-59 years, male 67.8
GTEX-1AX9I-0726-SM-73KWV 60-69 years, male 67.8
GTEX-1GF9V-2526-SM-7SB8K 60-69 years, male 67.8
GTEX-1CAMS-1426-SM-7IGPM 40-49 years, female 67.7
GTEX-WYJK-1326-SM-3NB2T 50-59 years, male 67.6
GTEX-1M5QR-2526-SM-E9U5P 40-49 years, male 67.6
GTEX-X4XY-0926-SM-4E3JD 60-69 years, male 67.4
GTEX-ZVTK-0326-SM-51MRR 20-29 years, male 67.3
GTEX-1F75B-0626-SM-7SB8A 50-59 years, male 67.3
GTEX-17JCI-0726-SM-7EPH1 60-69 years, female 67.2
GTEX-T2YK-2226-SM-32QPT 50-59 years, male 67.2
GTEX-Y114-2026-SM-4TT7L 50-59 years, female 66.7
GTEX-TMMY-0726-SM-33HBE 40-49 years, female 66.6
GTEX-1RAZQ-1226-SM-EWRNL 30-39 years, male 66.5
GTEX-Y111-2026-SM-4SOJA 50-59 years, male 66.3
GTEX-1EWIQ-1726-SM-7SB7T 70-79 years, female 66.2
GTEX-14E7W-0826-SM-62LEJ 70-79 years, male 66.1
GTEX-11DXW-0626-SM-5N9ER 40-49 years, male 66.0
GTEX-WFG8-2026-SM-EXOHO 20-29 years, male 66.0
GTEX-13PVR-2226-SM-7DHKP 60-69 years, female 65.9
GTEX-14LLW-0626-SM-62LFC 70-79 years, female 65.9
GTEX-1F5PL-1026-SM-7RHI1 40-49 years, female 65.8
GTEX-139T8-0826-SM-5L3DE 60-69 years, male 65.7
GTEX-11P7K-0726-SM-5EGKX 30-39 years, male 65.6
GTEX-14E6C-1326-SM-62LEQ 40-49 years, male 65.5
GTEX-15UF6-0126-SM-6PAMB 70-79 years, female 65.5
GTEX-1CAMR-1426-SM-793BO 20-29 years, male 65.5
GTEX-WXYG-2226-SM-4E3IM 50-59 years, female 65.5
GTEX-11EI6-0626-SM-5985T 60-69 years, male 65.3
GTEX-17F98-0526-SM-79OK5 40-49 years, female 65.3
GTEX-17KNJ-2026-SM-7LG53 50-59 years, male 65.3
GTEX-1I4MK-1626-SM-CM2TJ 50-59 years, female 65.3
GTEX-QEG5-0726-SM-D4P1T 20-29 years, male 65.3
GTEX-1122O-1226-SM-5H113 60-69 years, female 65.2
GTEX-13NZB-2126-SM-5MR4Y 30-39 years, male 65.2
GTEX-WRHU-0326-SM-3MJFY 50-59 years, female 65.1
GTEX-1MA7W-1026-SM-DKPQK 20-29 years, female 65.1
GTEX-ZTTD-1026-SM-51MRD 50-59 years, male 65.0
GTEX-1GPI6-0626-SM-7RHHJ 60-69 years, male 65.0
GTEX-1HR9M-2426-SM-ACKXI 60-69 years, male 64.9
GTEX-1H1CY-2226-SM-9WG7E 60-69 years, female 64.7
GTEX-U412-1826-SM-4DXTJ 60-69 years, male 64.6
GTEX-XUZC-1626-SM-4BRVP 30-39 years, female 64.6
GTEX-13CF2-2026-SM-5K7VI 60-69 years, male 64.4
GTEX-RU1J-0626-SM-4WAWY 20-29 years, female 64.4
GTEX-XMD1-0826-SM-4AT52 60-69 years, male 64.4
GTEX-1GZ2Q-2626-SM-7MXV9 40-49 years, male 64.4
GTEX-ZGAY-1726-SM-DO91P 40-49 years, female 64.4
GTEX-ZLV1-1426-SM-DO92Z 60-69 years, female 64.2
GTEX-1B933-2526-SM-7IGO5 50-59 years, female 64.1
GTEX-18A7A-0726-SM-7LTAI 50-59 years, female 63.9
GTEX-17HHE-1426-SM-7EPH4 50-59 years, male 63.6
GTEX-ZXES-0826-SM-5E43C 30-39 years, female 63.6
GTEX-13FHO-0826-SM-5L3E8 60-69 years, male 63.5
GTEX-147F4-2826-SM-5NQBN 50-59 years, male 63.4
GTEX-ZTX8-1226-SM-4YCE9 20-29 years, male 63.4
GTEX-15EOM-5019-SM-793DK 20-29 years, female 63.3
GTEX-QEL4-2126-SM-447AE 50-59 years, male 63.3
GTEX-RWS6-1926-SM-47JXY 60-69 years, female 63.1
GTEX-17HG3-0126-SM-7IGNH 30-39 years, female 63.0
GTEX-1313W-0826-SM-5EQ4T 50-59 years, female 62.8
GTEX-1CB4E-0226-SM-79OLW 60-69 years, male 62.6
GTEX-1211K-1926-SM-5EQLB 60-69 years, female 62.5
GTEX-U3ZN-1926-SM-4DXSG 30-39 years, female 62.4
GTEX-13OW5-2226-SM-5L3HC 60-69 years, male 62.2
GTEX-T5JC-2126-SM-32PMO 20-29 years, male 62.2
GTEX-S341-1526-SM-4AD6K 40-49 years, female 61.9
GTEX-1R46S-2526-SM-E8VN2 60-69 years, female 61.9
GTEX-1RQEC-2026-SM-DTXDM 60-69 years, male 61.9
GTEX-XOT4-0726-SM-4GIAW 60-69 years, female 61.7
GTEX-11EM3-1326-SM-5N9C6 20-29 years, female 61.6
GTEX-15ETS-0626-SM-7KUMX 40-49 years, female 61.6
GTEX-1LVAM-0926-SM-E9TJ2 50-59 years, female 61.6
GTEX-1J8QM-2026-SM-ARZMW 60-69 years, female 61.4
GTEX-11WQK-2426-SM-5GU5C 50-59 years, male 61.1
GTEX-139TU-0626-SM-5KM3X 60-69 years, male 61.1
GTEX-1B97J-0426-SM-79OLQ 50-59 years, female 61.1
GTEX-1CB4G-2326-SM-79OOI 60-69 years, male 61.1
GTEX-13W3W-1226-SM-5LU4H 60-69 years, female 60.9
GTEX-13PL6-2926-SM-5L3I2 40-49 years, female 60.8
GTEX-Y5V5-2126-SM-4WWFO 60-69 years, female 60.8
GTEX-111YS-1926-SM-5GICC 60-69 years, male 60.7
GTEX-1GMR2-1926-SM-9MQLZ 50-59 years, male 60.7
GTEX-1GZHY-0726-SM-9WG6B 50-59 years, female 60.7
GTEX-13NZ8-0126-SM-5IJCT 60-69 years, female 60.3
GTEX-1C64O-0726-SM-7DUFU 60-69 years, male 60.3
GTEX-1GMRU-0826-SM-9WYT7 50-59 years, male 60.3
GTEX-11GS4-2126-SM-5A5KR 60-69 years, male 60.0
GTEX-Q2AG-0326-SM-48U1O 40-49 years, female 60.0
GTEX-1LGRB-1826-SM-CNPQL 50-59 years, female 60.0
GTEX-1B8KZ-1526-SM-7DUG7 50-59 years, male 59.8
GTEX-1C475-1226-SM-7SB72 40-49 years, female 59.8
GTEX-ZF3C-2326-SM-5S2NC 50-59 years, female 59.7
GTEX-UPK5-2326-SM-3P5Z8 40-49 years, male 59.6
GTEX-1BAJH-0826-SM-7EWEF 70-79 years, male 59.5
GTEX-1K9T9-1426-SM-DIPFQ 50-59 years, female 59.4
GTEX-1EU9M-2826-SM-7EWFH 60-69 years, male 59.3
GTEX-T6MN-0726-SM-32PML 50-59 years, male 59.3
GTEX-1B8L1-2426-SM-9WYTE 60-69 years, male 59.3
GTEX-1HUB1-1626-SM-CM2SL 60-69 years, male 59.3
GTEX-S4P3-1326-SM-4AD6V 50-59 years, female 59.2
GTEX-1HCU7-1026-SM-ADEIP 50-59 years, male 59.2
GTEX-14BMU-1626-SM-5TDE7 20-29 years, female 59.1
GTEX-1LNCM-0226-SM-DIPF4 50-59 years, female 59.0
GTEX-132Q8-1426-SM-5EGK7 60-69 years, male 58.9
GTEX-1J8Q2-2726-SM-A9G2X 60-69 years, male 58.9
GTEX-1J8EW-2626-SM-CL53E 60-69 years, female 58.8
GTEX-13N11-1726-SM-5J1OJ 50-59 years, female 58.7
GTEX-XBED-1626-SM-47JYN 60-69 years, male 58.7
GTEX-1JMPZ-1626-SM-COH31 30-39 years, male 58.7
GTEX-1JK1U-1826-SM-ARL8W 60-69 years, male 58.6
GTEX-1JMQK-2626-SM-COH2W 60-69 years, male 58.6
GTEX-11P81-1926-SM-5BC53 30-39 years, female 58.4
GTEX-WYBS-0926-SM-3NM94 60-69 years, female 58.3
GTEX-1A3MV-1626-SM-731C1 30-39 years, male 58.2
GTEX-1GF9X-1026-SM-ACKX2 40-49 years, female 58.2
GTEX-1I1HK-2426-SM-ADEHX 60-69 years, male 58.2
GTEX-1269C-2426-SM-5FQSN 60-69 years, female 58.1
GTEX-14A5I-0726-SM-5TDEB 50-59 years, female 58.1
GTEX-ZV7C-1826-SM-5NQ83 50-59 years, male 58.0
GTEX-17HHY-0926-SM-793C1 50-59 years, male 57.9
GTEX-VJWN-0726-SM-3GIJ8 50-59 years, female 57.9
GTEX-1I6K7-1026-SM-A9SLK 40-49 years, male 57.8
GTEX-117XS-1926-SM-5GICO 60-69 years, male 57.6
GTEX-11TUW-1826-SM-5BC5D 60-69 years, male 57.5
GTEX-ZZPU-0626-SM-5E43T 50-59 years, female 57.4
GTEX-X15G-1626-SM-3NMB3 50-59 years, female 57.2
GTEX-YFC4-1426-SM-5IFJG 40-49 years, female 57.2
GTEX-1K2DA-1726-SM-CGQGS 50-59 years, male 57.2
GTEX-TML8-1226-SM-32QON 40-49 years, female 57.1
GTEX-ZAK1-1326-SM-EVYAS 50-59 years, female 57.1
GTEX-1RAZS-1226-SM-E8VMT 50-59 years, male 56.8
GTEX-11EMC-2026-SM-5A5JV 60-69 years, female 56.6
GTEX-12ZZX-1126-SM-5EGKB 40-49 years, female 56.5
GTEX-1N5O9-1126-SM-DTXEQ 60-69 years, male 56.4
GTEX-1GN1U-0526-SM-9KNTT 50-59 years, female 56.3
GTEX-11PRG-0826-SM-5EQ6A 50-59 years, male 56.2
GTEX-1LVAN-1326-SM-CNPQE 50-59 years, female 56.2
GTEX-1GN1W-1926-SM-7P8TH 50-59 years, female 56.1
GTEX-1HKZK-1826-SM-ADEJ2 40-49 years, male 56.1
GTEX-1IKOH-2326-SM-CM2TW 60-69 years, female 56.1
GTEX-1JMPY-0526-SM-CL54O 30-39 years, male 56.0
GTEX-ZAJG-0626-SM-5HL8X 50-59 years, female 55.9
GTEX-1H1E6-0926-SM-9YFLT 30-39 years, male 55.9
GTEX-13QIC-2326-SM-5LU5N 60-69 years, female 55.7
GTEX-RU72-0626-SM-46MUI 50-59 years, female 55.6
GTEX-15SHW-1326-SM-6PAL8 60-69 years, male 55.0
GTEX-T5JW-2026-SM-4DM63 20-29 years, female 54.8
GTEX-15ER7-1626-SM-6PAMZ 20-29 years, female 54.5
GTEX-X4EP-2926-SM-3P5YQ 60-69 years, female 54.4
GTEX-ZC5H-2626-SM-5J2MG 40-49 years, female 54.4
GTEX-QDT8-0626-SM-48TYW 30-39 years, female 54.2
GTEX-1GZ4I-2826-SM-9MQK5 50-59 years, male 54.2
GTEX-1F6I4-2526-SM-7SB8F 60-69 years, male 53.9
GTEX-Y8LW-1626-SM-5IFHX 50-59 years, female 53.8
GTEX-U3ZH-1426-SM-4DXSR 30-39 years, male 53.6
GTEX-1IKJJ-2326-SM-COH3U 60-69 years, male 53.3
GTEX-1GMR3-2626-SM-7RHHG 40-49 years, male 53.1
GTEX-1GMR8-0726-SM-9KNVI 50-59 years, female 52.6
GTEX-131YS-0626-SM-5EGKL 60-69 years, female 52.5
GTEX-1HSKV-2026-SM-CMKGX 60-69 years, male 52.5
GTEX-Y3IK-2326-SM-4WWDT 50-59 years, female 52.4
GTEX-15FZZ-0726-SM-7KUFZ 30-39 years, female 52.1
GTEX-131XW-0726-SM-5EGK3 50-59 years, female 51.8
GTEX-17EVP-0226-SM-79OND 40-49 years, male 51.8
GTEX-1ICG6-1326-SM-ACKWR 70-79 years, female 51.6
GTEX-1IY9M-2726-SM-CMKG5 60-69 years, male 51.0
GTEX-13FTY-2226-SM-5J1ND 40-49 years, female 50.8
GTEX-R3RS-0626-SM-48FE1 40-49 years, female 50.8
GTEX-ZF2S-2026-SM-5E461 50-59 years, female 50.5
GTEX-ZF29-1926-SM-5S2P1 60-69 years, female 49.7
GTEX-1N2EF-2226-SM-E9J33 60-69 years, male 49.6
GTEX-1F75A-1826-SM-7SB8G 50-59 years, male 49.0
GTEX-1B932-0826-SM-73KXG 40-49 years, female 47.8
GTEX-WYVS-1726-SM-3NMAY 40-49 years, female 46.8
GTEX-1HSGN-1526-SM-A9SMO 40-49 years, female 46.6
Show allShow less

BREAST - FANTOM5 CAGEi

RNA expression in human tissues obtained through Cap Analysis of Gene Expression (CAGE) generated by the FANTOM5 project are reported as Scaled Tags Per Million.

Max subtype Scaled Tags Per Millioni

Max subtype Scaled Tags Per Million is the value for the subtype with the largest average Scaled Tags Per Million across the subtype samples.

165.0
FANTOM5 sample id Sample description Scaled Tags Per Million
Breast
Scaled Tags Per Million: 165.0
FF:10080-102A8 77 years, female 165.0

Contact

  • NEWS ARTICLES
  • PRESS ROOM

The Project

  • INTRODUCTION
  • ORGANIZATION
  • PUBLICATIONS

The Human Protein Atlas

  • DOWNLOADABLE DATA
  • LICENCE & CITATION
  • HELP & FAQ
The Human Protein Atlas project is funded
by the Knut & Alice Wallenberg Foundation.


contact@proteinatlas.org