We use cookies to enhance the usability of our website. If you continue, we'll assume that you are happy to receive all cookies. More information. Don't show this again.
DCTN2
HPA
RESOURCES
  • TISSUE
  • BRAIN
  • SINGLE CELL
  • SUBCELLULAR
  • CANCER
  • BLOOD
  • CELL LINE
  • STRUCTURE & INTERACTION
ABOUT
  • INTRODUCTION
  • HISTORY
  • ORGANIZATION
  • PUBLICATIONS
  • ANTIBODY SUBMISSION
  • ANTIBODY AVAILABILITY
  • ACKNOWLEDGMENTS
  • CONTACT
NEWS
  • NEWS ARTICLES
  • PRESS ROOM
LEARN
  • DICTIONARY
  • PROTEIN CLASSES
  • PROTEIN EVIDENCE
  • METHODS
  • EDUCATIONAL VIDEOS
DATA
  • DOWNLOADABLE DATA
  • PUBLICATION DATA
  • RELEASE HISTORY
HELP
  • ANTIBODY VALIDATION
  • ASSAYS & ANNOTATION
  • DISCLAIMER
  • HELP & FAQ
  • PRIVACY STATEMENT
  • LICENCE & CITATION
Fields »
Search result

Field
Term
Gene name
Class
Subclass
Class
Keyword
Chromosome
External id
Tissue
Cell type
Expression
Antibody panel
Tissue
Main location
Patient ID
Annotation
Tissue
Category
Tau score
Cluster
Reliability
Brain region
Category
Tau score
Brain region
Category
Tau score
Brain region
Category
Tau score
Cluster
Reliability
Tissue
Cell type
Enrichment
Cell type
Category
Tau score
Cell type
Category
Tau score
Cell type
Category
Tau score
Cell lineage
Category
Tau score
Cluster
Cluster
Location
Searches
Location
Cell line
Class
Type
Phase
Reliability
Cancer
Prognosis
Cancer
Category
Cancer
Category
Tau score
Cluster
Variants
Interacting gene (ensg_id)
Type
Number of interactions
Pathway
Category
Score
Score
Score
Validation
Validation
Validation
Validation
Antibodies
Data type
Column


  • SUMMARY

  • TISSUE

  • BRAIN

  • SINGLE CELL

  • SUBCELL

  • CANCER

  • BLOOD

  • CELL LINE

  • STRUCT & INT

  • DCTN2
TISSUE PRIMARY DATA HEART MUSCLE Show tissue menu
ADIPOSE TISSUE ADRENAL GLAND AMYGDALA APPENDIX BASAL GANGLIA BONE MARROW BREAST BRONCHUS CEREBELLUM CEREBRAL CORTEX CERVIX CHOROID PLEXUS COLON DUODENUM
ENDOMETRIUM EPIDIDYMIS ESOPHAGUS FALLOPIAN TUBE GALLBLADDER HEART MUSCLE HIPPOCAMPAL FORMATION HYPOTHALAMUS KIDNEY LIVER LUNG LYMPH NODE MIDBRAIN NASOPHARYNX
ORAL MUCOSA OVARY PANCREAS PARATHYROID GLAND PITUITARY GLAND PLACENTA PROSTATE RECTUM RETINA SALIVARY GLAND SEMINAL VESICLE SKELETAL MUSCLE SKIN SMALL INTESTINE
SMOOTH MUSCLE SOFT TISSUE SPINAL CORD SPLEEN STOMACH TESTIS THYMUS THYROID GLAND TONGUE TONSIL URINARY BLADDER VAGINA
ANTIBODIES
AND
VALIDATION
Dictionary
Heart muscle
Tissue proteome
Heart
HEART MUSCLE - Expression summary
Protein expression
Heart musclei

On the top, protein expression in current human tissue, based on all annotated cell types, is reported with the units not detected (n), low (l), medium (m) and high (h). Underneath, protein expression in each annotated cell type are reported using the same units.

Protein expression data is based on knowledge-based annotation. For genes where more than one antibody has been used, a collective score is set.

If knowledge-based annotation could not be performed for a gene, no data is displayed here. View antibody staining data further down this page.

h
m
l
n
Cardiomyocytes: Low
RNA expressioni

A summary of mRNA expression data available for current tissue based on several datasets. The mRNA expression levels in human tissues are based on RNA-seq data generated by the Human Protein Atlas (HPA), Genotype-Tissue Expression (GTEx) portal and CAGE data generated by the FANTOM5 consortium. Consensus normalized expression levels for human tissues was created by combining the data from HPA and GTEx datasets.

The mRNA expression levels in pig are based on RNA-seq data generated by the Human Protein Atlas (HPA), and for mouse, HPA data and in situ hybridization generated by the Allen brain atlas are reported.

Scroll down to view mRNA expression data in more detail.
Consensus:99.0 nTPM
HPA:82.4 nTPM
GTEx:99.0 nTPM
FANTOM5:328.9 Scaled Tags Per Million

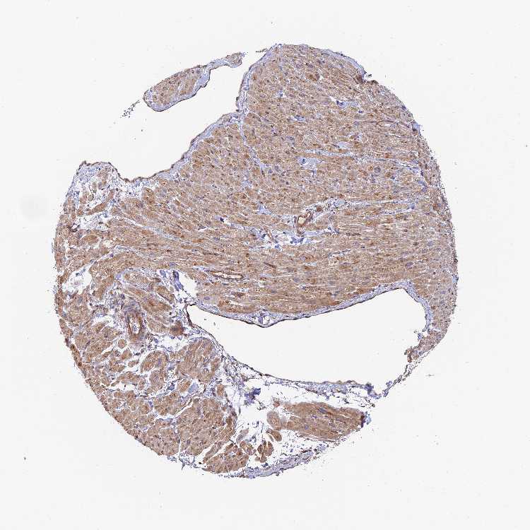
HEART MUSCLE - Antibody stainingi

Antibody staining in the annotated cell types in the current human tissue is reported as not detected, low, medium, or high, based on conventional immunohistochemistry profiling in selected tissues. This score is based on the combination of the staining intensity and fraction of stained cells.

Each image is clickable and will lead to virtual microscopy that enables deeper exploration of all samples and also displays staining intensity scores, fraction scores and subcellular localization as well as patient and tissue information for each sample.

Antibody HPA039715Antibody HPA040040
Cardiomyocytes LowMedium





HEART MUSCLE - HPA RNA-seqi

The RNA-seq details section shows detailed information about the individual samples used for the transcript profiling and results of the RNA-seq analysis.

Information about each individual sample is listed below, including gender, age, a tissue section image and estimated fractions of cell types. nTPM (normalized transcripts per million) values give a quantification of the gene abundance which is comparable between different genes and samples.
Average nTPMi

Max subtype nTPM is the value for the subtype with the largest average nTPM across the subtype samples.

82.4
overview
Female, age 48
Heart muscle sample 149
nTPM: 89.9
Cell types%
Myocytes:
15

Fibroblasts:
55

Endothelial cells:
25

Other cell types:
5

overview
Female, age 42
Heart muscle sample 150
nTPM: 80.5
Cell types%
Myocytes:
20

Fibroblasts:
45

Endothelial cells:
30

Other cell types:
5

overview
Male, age 53
Heart muscle sample 151
nTPM: 75.2
Cell types%
Myocytes:
20

Fibroblasts:
45

Endothelial cells:
30

Other cell types:
5

overview
Female, age 69
Heart muscle sample 152
nTPM: 83.9
Cell types%
Myocytes:
20

Fibroblasts:
45

Endothelial cells:
30

Other cell types:
5


HEART MUSCLE - GTEx RNA-seqi

RNA-Seq data generated by the Genotype-Tissue Expression (GTEx) project from human tissues is reported as mean nTPM. More information can be found on the GTEx portal.

Distribution across the dataset is visualized with box plots, shown as median and 25th and 75th percentiles. Points are displayed as outliers if they are above or below 1.5 times the interquartile range. nTPM values of the individual samples are presented next to the box plot.
Max subtype nTPMi

Max subtype nTPM is the value for the subtype with the largest average nTPM across the subtype samples.

99.0
GTEx sample id Sample description nTPM
Heart - Atrial Appendage
Average nTPM: 92.5
Samples: 429

Max nTPM: 170.7
Min nTPM: 58.1
Std nTPM: 16.2
Median nTPM: 90.8
GTEX-14PJO-0826-SM-6ETZK 60-69 years, male 170.7
GTEX-14PJM-0826-SM-6LLIW 50-59 years, female 158.9
GTEX-1RLM8-0226-SM-E6CJY 50-59 years, male 154.5
GTEX-1GF9U-0526-SM-7P8SK 40-49 years, female 144.9
GTEX-131XE-0526-SM-5K7YT 50-59 years, male 141.2
GTEX-14C5O-1226-SM-664N3 60-69 years, male 139.7
GTEX-ZYFC-1026-SM-5GZX9 50-59 years, male 139.4
GTEX-W5X1-0826-SM-3GILN 40-49 years, female 136.8
GTEX-1J1OQ-2226-SM-A96SS 40-49 years, female 136.7
GTEX-1OFPY-0926-SM-DTX8Q 60-69 years, male 134.7
GTEX-16MT8-0826-SM-7KULO 60-69 years, female 132.5
GTEX-14BIM-2726-SM-5Q5EG 60-69 years, female 131.3
GTEX-1QMI2-1026-SM-DTX7T 60-69 years, male 128.4
GTEX-1B996-1026-SM-793CF 60-69 years, male 128.0
GTEX-1HBPM-1026-SM-ARL9D 60-69 years, female 123.7
GTEX-132NY-1426-SM-5J1MJ 60-69 years, male 123.4
GTEX-1A32A-1326-SM-73KWW 50-59 years, female 123.0
GTEX-Y3I4-0526-SM-4TT6X 50-59 years, male 122.4
GTEX-14JG1-0826-SM-5ZZWR 40-49 years, male 122.0
GTEX-1K2DU-0226-SM-DIPF6 20-29 years, male 121.8
GTEX-15SKB-0926-SM-7KUFC 60-69 years, male 121.4
GTEX-13W3W-0526-SM-5LU3X 60-69 years, female 121.3
GTEX-145MN-0726-SM-5NQBH 30-39 years, male 120.6
GTEX-1GN1U-1426-SM-7P8TF 50-59 years, female 120.6
GTEX-1LVAO-0626-SM-EWRNT 60-69 years, male 120.0
GTEX-13RTJ-0526-SM-62LDP 60-69 years, male 119.8
GTEX-139TU-1926-SM-5J2OC 60-69 years, male 119.0
GTEX-1MJIX-0426-SM-DTXEN 40-49 years, male 117.1
GTEX-14PN4-0826-SM-69LON 50-59 years, male 116.7
GTEX-145LS-1326-SM-5Q5EP 60-69 years, female 116.1
GTEX-ZDTS-1226-SM-4WKGL 60-69 years, male 116.1
GTEX-12BJ1-0326-SM-5FQUB 60-69 years, male 115.9
GTEX-YEC4-0226-SM-4W1YG 40-49 years, male 115.9
GTEX-13D11-1526-SM-5J2NA 50-59 years, female 115.7
GTEX-1192X-0726-SM-5987R 50-59 years, male 115.4
GTEX-ZLFU-0326-SM-4WWBK 40-49 years, male 114.8
GTEX-148VJ-1426-SM-5TDE3 70-79 years, male 114.6
GTEX-XLM4-2026-SM-4AT4X 60-69 years, male 114.5
GTEX-13FHO-1226-SM-5L3EF 60-69 years, male 114.4
GTEX-13OW5-0926-SM-5L3GZ 60-69 years, male 114.4
GTEX-1339X-0326-SM-5K7Z8 40-49 years, male 114.3
GTEX-X8HC-1026-SM-46MWH 50-59 years, female 113.3
GTEX-XPVG-0726-SM-4B658 50-59 years, male 113.0
GTEX-132AR-1926-SM-5EGK5 50-59 years, female 112.8
GTEX-1LSNM-0426-SM-E9TIZ 50-59 years, male 112.7
GTEX-Y3IK-1026-SM-51MR7 50-59 years, female 112.3
GTEX-11TT1-1426-SM-5EGIA 20-29 years, male 112.2
GTEX-YF7O-0526-SM-5P9IO 50-59 years, male 112.1
GTEX-1LH75-0526-SM-DIPG2 50-59 years, female 111.9
GTEX-1GZ4I-0826-SM-9WG6O 50-59 years, male 111.4
GTEX-1I1GP-0626-SM-ARL7H 50-59 years, male 111.1
GTEX-11O72-1026-SM-5986B 40-49 years, male 110.9
GTEX-13SLW-0826-SM-5QGP7 70-79 years, male 110.8
GTEX-11DYG-1026-SM-5A5JQ 60-69 years, male 110.3
GTEX-14PJ4-0926-SM-5YY98 60-69 years, male 110.2
GTEX-1JMLX-1826-SM-CNPOX 50-59 years, male 110.1
GTEX-1212Z-0726-SM-5EGI5 60-69 years, male 109.9
GTEX-13X6K-1726-SM-7IGLG 60-69 years, female 109.9
GTEX-1IKK5-1726-SM-CM2RU 60-69 years, male 109.9
GTEX-1EH9U-0626-SM-7PC33 60-69 years, male 109.7
GTEX-132QS-0526-SM-5IJC7 60-69 years, male 109.6
GTEX-1IDJF-0826-SM-ARU7N 20-29 years, male 109.2
GTEX-1HBPN-0926-SM-CGQEG 50-59 years, male 108.7
GTEX-X62O-0826-SM-46MW8 50-59 years, male 108.5
GTEX-17MF6-0926-SM-7LTAL 40-49 years, male 108.3
GTEX-ZTPG-1326-SM-51MSQ 20-29 years, female 107.9
GTEX-1H1ZS-1026-SM-9WG6E 70-79 years, male 107.9
GTEX-1HBPH-0226-SM-9WYSM 40-49 years, female 107.6
GTEX-12ZZY-1226-SM-5GCNK 60-69 years, male 107.5
GTEX-15CHQ-1326-SM-6871Z 60-69 years, male 107.4
GTEX-16XZY-0526-SM-7DHKY 70-79 years, male 107.4
GTEX-1AX8Z-1126-SM-731CS 60-69 years, male 107.4
GTEX-1AX9K-0426-SM-73KUG 50-59 years, male 107.1
GTEX-1B933-0826-SM-79OMW 50-59 years, female 107.1
GTEX-13SLX-0926-SM-5S2NM 50-59 years, female 106.7
GTEX-ZE7O-0626-SM-57WCD 50-59 years, female 106.7
GTEX-14PK6-0726-SM-6LLIX 70-79 years, female 106.6
GTEX-183WM-0926-SM-718AN 70-79 years, female 106.6
GTEX-17JCI-0826-SM-7LT8W 60-69 years, female 106.3
GTEX-12WSI-0426-SM-5EQ5J 50-59 years, male 106.1
GTEX-ZAB4-0926-SM-5CVN4 40-49 years, male 106.0
GTEX-11GSP-1226-SM-5985M 60-69 years, female 105.9
GTEX-ZYVF-1826-SM-5E44F 50-59 years, female 105.2
GTEX-1122O-0626-SM-5N9B9 60-69 years, female 104.9
GTEX-1PPGY-0926-SM-DTXFF 60-69 years, male 104.9
GTEX-132Q8-1126-SM-5K7XS 60-69 years, male 104.8
GTEX-1HSGN-0926-SM-CNNQM 40-49 years, female 104.6
GTEX-1NHNU-0626-SM-E6CP1 50-59 years, male 103.9
GTEX-13QBU-0226-SM-5LU48 40-49 years, female 103.8
GTEX-17F9Y-1226-SM-7EPGE 70-79 years, female 103.6
GTEX-12WSG-1226-SM-5EQ4C 50-59 years, female 103.4
GTEX-1EU9M-1926-SM-7RHH4 60-69 years, male 103.3
GTEX-1GN1W-0226-SM-7P8QY 50-59 years, female 103.3
GTEX-1HT8W-1326-SM-CGQEN 30-39 years, male 103.3
GTEX-147JS-1326-SM-5SI6D 60-69 years, male 102.8
GTEX-U8XE-0926-SM-3DB8V 30-39 years, male 102.8
GTEX-13JUV-0226-SM-5IJCC 40-49 years, female 102.4
GTEX-1KANC-0226-SM-E9TIW 50-59 years, female 102.3
GTEX-1P4AB-0926-SM-E76PV 50-59 years, male 102.0
GTEX-1399S-0826-SM-5KM23 30-39 years, female 101.9
GTEX-ZAK1-1126-SM-5PNXU 50-59 years, female 101.9
GTEX-12WSD-1226-SM-5HL9Q 60-69 years, female 101.7
GTEX-1IY9M-0626-SM-D4P2L 60-69 years, male 101.7
GTEX-12WSC-1026-SM-5EQ5Y 50-59 years, male 101.5
GTEX-18D9U-1426-SM-718BO 40-49 years, male 101.5
GTEX-13YAN-1426-SM-7EPG8 60-69 years, male 101.3
GTEX-1GN2E-1426-SM-7RHHI 60-69 years, male 101.3
GTEX-UPK5-0226-SM-3GAEV 40-49 years, male 101.2
GTEX-XBEC-1226-SM-4AT65 50-59 years, male 101.1
GTEX-1RB15-0426-SM-E9U4Y 60-69 years, male 100.6
GTEX-13PVQ-1326-SM-5LU4J 50-59 years, male 100.4
GTEX-13OVI-0326-SM-5K7X1 60-69 years, female 100.3
GTEX-ZYT6-0926-SM-5GIEM 30-39 years, male 100.0
GTEX-12696-1226-SM-5FQSM 60-69 years, male 99.9
GTEX-14PJ2-1126-SM-69LOD 50-59 years, male 99.9
GTEX-ZDYS-0326-SM-5HL4W 50-59 years, male 99.7
GTEX-ZDXO-0426-SM-4WKF6 60-69 years, male 99.3
GTEX-18465-0726-SM-7LG4L 50-59 years, male 99.1
GTEX-1B97J-0326-SM-7939H 50-59 years, female 98.9
GTEX-X3Y1-0226-SM-3P5Z5 40-49 years, male 98.9
GTEX-16NPX-0826-SM-6M489 50-59 years, male 98.8
GTEX-1R7EV-0426-SM-DTX7Z 40-49 years, male 98.8
GTEX-13N1W-0926-SM-5MR36 70-79 years, male 98.6
GTEX-XQ8I-0226-SM-4BOPM 50-59 years, male 98.6
GTEX-ZDTT-0326-SM-4WKF9 60-69 years, male 98.6
GTEX-WH7G-0326-SM-3NMBH 40-49 years, male 98.5
GTEX-ZF3C-1126-SM-57WEG 50-59 years, female 98.5
GTEX-1GF9V-1726-SM-9KNW4 60-69 years, male 98.5
GTEX-15EU6-1326-SM-6PANG 50-59 years, male 98.4
GTEX-WWYW-1126-SM-3NB2Q 50-59 years, female 98.2
GTEX-131YS-0826-SM-5PNYV 60-69 years, female 98.1
GTEX-1HFI7-0526-SM-A9SMA 50-59 years, female 98.1
GTEX-1CAMQ-0726-SM-7P8SG 40-49 years, male 98.0
GTEX-1GMR3-0426-SM-7PC17 40-49 years, male 98.0
GTEX-1C2JI-0626-SM-7DHM1 50-59 years, male 97.8
GTEX-XGQ4-0526-SM-4AT6C 50-59 years, male 97.8
GTEX-13PL6-0826-SM-5IJBI 40-49 years, female 97.6
GTEX-14BMV-1026-SM-5SI6B 50-59 years, male 97.6
GTEX-1E2YA-0626-SM-7P8P4 50-59 years, male 97.6
GTEX-131XF-0426-SM-5HL7U 60-69 years, male 97.4
GTEX-11DXX-0526-SM-5PNVR 60-69 years, female 97.2
GTEX-13JVG-1126-SM-5KM2M 60-69 years, male 97.0
GTEX-13OW7-1626-SM-5IJDH 50-59 years, male 96.9
GTEX-1CAMS-1126-SM-7MXUQ 40-49 years, female 96.7
GTEX-13O3P-1426-SM-5L3DT 50-59 years, male 96.5
GTEX-ZXG5-0626-SM-5NQ85 60-69 years, male 96.5
GTEX-14PHX-0626-SM-5YY8Z 50-59 years, male 96.4
GTEX-145LV-0226-SM-5S2QG 50-59 years, male 96.2
GTEX-XOT4-1126-SM-4B66E 60-69 years, female 96.2
GTEX-13N11-0726-SM-5L3DP 50-59 years, female 96.0
GTEX-13O1R-0926-SM-5L3DS 60-69 years, male 96.0
GTEX-146FH-1126-SM-5NQAT 50-59 years, female 95.9
GTEX-1GN73-2326-SM-9MQKV 60-69 years, male 95.6
GTEX-1JJEA-0926-SM-CYPSO 60-69 years, male 95.4
GTEX-1IDJD-0226-SM-CKZOA 30-39 years, male 95.3
GTEX-11DXY-1026-SM-5987V 60-69 years, male 95.1
GTEX-1KANB-1126-SM-DHXJT 50-59 years, male 95.1
GTEX-1L5NE-0526-SM-DIPG5 50-59 years, male 94.8
GTEX-1AX9J-0926-SM-73KXA 60-69 years, male 94.7
GTEX-1JJ6O-2226-SM-AHZ3I 60-69 years, male 94.7
GTEX-13PL7-0726-SM-5KM1S 60-69 years, female 94.6
GTEX-14PII-1026-SM-5ZZVW 60-69 years, male 94.6
GTEX-131XG-0526-SM-5DUWF 50-59 years, female 94.3
GTEX-13CF2-0226-SM-5L3DV 60-69 years, male 94.3
GTEX-13O61-0426-SM-5L3ET 60-69 years, male 94.2
GTEX-14XAO-0926-SM-69LPZ 60-69 years, female 94.2
GTEX-WFON-0226-SM-3GIKR 40-49 years, male 94.2
GTEX-11NV4-0826-SM-5BC4S 60-69 years, male 93.7
GTEX-18A6Q-1526-SM-731CO 60-69 years, male 93.7
GTEX-1F75I-1326-SM-7PBZX 40-49 years, male 93.7
GTEX-1GMR8-1026-SM-9MQLA 50-59 years, female 93.7
GTEX-15DCE-0826-SM-7KULW 20-29 years, male 93.6
GTEX-1H3NZ-1026-SM-A9SM5 60-69 years, male 93.5
GTEX-1H3VY-1126-SM-A96TP 50-59 years, male 93.5
GTEX-1H1DG-0826-SM-9QEIW 70-79 years, male 93.4
GTEX-1QPFJ-0926-SM-EVR3K 30-39 years, female 93.4
GTEX-12WSN-0226-SM-5DUXH 40-49 years, male 93.3
GTEX-13S86-0326-SM-5SI6K 40-49 years, male 93.3
GTEX-1H2FU-0826-SM-9WYSU 60-69 years, female 93.3
GTEX-1C6WA-0826-SM-7PBXS 60-69 years, male 93.2
GTEX-117YX-0626-SM-5EGJI 50-59 years, male 93.1
GTEX-1C64O-0926-SM-79OLN 60-69 years, male 93.1
GTEX-13FTW-0826-SM-5K7XR 40-49 years, male 93.0
GTEX-17GQL-0626-SM-731CN 60-69 years, male 93.0
GTEX-1J8EW-0626-SM-CM2TY 60-69 years, female 93.0
GTEX-1R9JW-0426-SM-E76QL 30-39 years, female 93.0
GTEX-16YQH-0726-SM-7IGM1 30-39 years, male 92.9
GTEX-1IL2V-1126-SM-CMKGH 70-79 years, male 92.8
GTEX-WI4N-0726-SM-3TW93 40-49 years, female 92.4
GTEX-1C6VQ-0826-SM-7PBZT 50-59 years, male 92.3
GTEX-1HSKV-0726-SM-ACKWE 60-69 years, male 92.3
GTEX-13NYS-1926-SM-5IJCB 60-69 years, male 92.2
GTEX-YB5K-0226-SM-5IFJE 40-49 years, female 92.2
GTEX-1I1GQ-1226-SM-CL55J 50-59 years, male 92.2
GTEX-1E1VI-1426-SM-793CY 50-59 years, male 92.1
GTEX-1399T-0726-SM-5J1MH 60-69 years, male 92.0
GTEX-11NUK-0926-SM-5HL57 50-59 years, male 91.9
GTEX-13PVR-0926-SM-5S2RB 60-69 years, female 91.9
GTEX-144GL-1026-SM-5O99R 50-59 years, male 91.9
GTEX-Y114-0126-SM-4TT8K 50-59 years, female 91.9
GTEX-1I1HK-0626-SM-CNPQM 60-69 years, male 91.9
GTEX-WK11-0626-SM-3NMAV 50-59 years, male 91.8
GTEX-1B8L1-0426-SM-7SB76 60-69 years, male 91.8
GTEX-14ASI-0826-SM-5Q5EB 60-69 years, male 91.7
GTEX-WOFL-1226-SM-4OOST 60-69 years, male 91.6
GTEX-1GZ2Q-0926-SM-7RHHN 40-49 years, male 91.4
GTEX-1KXAM-1426-SM-D3LAC 60-69 years, male 91.4
GTEX-13OVG-0426-SM-5KM2T 60-69 years, male 91.1
GTEX-XV7Q-0726-SM-4BRV6 40-49 years, female 91.1
GTEX-1IL2U-1226-SM-CL53P 60-69 years, male 91.1
GTEX-11P81-0526-SM-59873 30-39 years, female 91.0
GTEX-X4EP-0326-SM-3P5Z6 60-69 years, female 91.0
GTEX-111YS-0326-SM-5GZZ3 60-69 years, male 90.9
GTEX-WL46-0726-SM-3LK5Z 50-59 years, male 90.9
GTEX-1ICG6-0726-SM-B2LY5 70-79 years, female 90.8
GTEX-11ONC-1026-SM-5GU64 60-69 years, male 90.7
GTEX-ZPIC-0426-SM-DO91V 40-49 years, female 90.7
GTEX-18A7A-1226-SM-7LTAJ 50-59 years, female 90.6
GTEX-1JK1U-0626-SM-CKZOJ 60-69 years, male 90.6
GTEX-1LB8K-0926-SM-D4P42 50-59 years, male 90.6
GTEX-13FH7-0826-SM-5J2NW 50-59 years, female 90.5
GTEX-1F75A-1026-SM-7PC3W 50-59 years, male 90.5
GTEX-1IKOE-0626-SM-A9G31 30-39 years, female 90.5
GTEX-Z93S-0326-SM-5HL84 50-59 years, male 90.2
GTEX-1A8FM-1026-SM-7PC26 50-59 years, female 90.2
GTEX-WY7C-1126-SM-3NB3A 50-59 years, male 90.1
GTEX-YECK-1226-SM-4W21G 60-69 years, male 90.1
GTEX-1MCC2-0226-SM-EVYD5 30-39 years, female 90.0
GTEX-14A6H-0326-SM-5NQAN 30-39 years, male 89.9
GTEX-1GL5R-0426-SM-9WPOP 50-59 years, male 89.9
GTEX-WHSE-0826-SM-4SOJU 20-29 years, male 89.4
GTEX-13112-0526-SM-5EQ4S 50-59 years, male 89.3
GTEX-1QEPI-1126-SM-E8VN7 60-69 years, female 89.2
GTEX-1HCVE-0826-SM-CM2SF 50-59 years, male 89.1
GTEX-1LGRB-1026-SM-CNPQD 50-59 years, female 89.1
GTEX-14C38-1326-SM-62LDK 50-59 years, male 89.0
GTEX-1LGOU-0326-SM-D3LAM 20-29 years, female 89.0
GTEX-13FHP-0826-SM-5K7V5 50-59 years, male 88.9
GTEX-ZZPT-0926-SM-5GICZ 50-59 years, male 88.9
GTEX-13O3Q-0326-SM-5L3FE 50-59 years, male 88.8
GTEX-17KNJ-0626-SM-7LT9L 50-59 years, male 88.7
GTEX-ZVT3-0826-SM-5GIC8 60-69 years, female 88.6
GTEX-1GMRU-1326-SM-9WYUI 50-59 years, male 88.6
GTEX-1JMQK-0926-SM-ARL96 60-69 years, male 88.5
GTEX-13FXS-1026-SM-62LFQ 50-59 years, male 88.3
GTEX-1NSGN-1226-SM-E76OL 50-59 years, male 88.1
GTEX-11LCK-0826-SM-5PNYD 30-39 years, male 87.9
GTEX-111FC-0626-SM-5N9CU 60-69 years, male 87.8
GTEX-13NZB-0426-SM-5KM26 30-39 years, male 87.8
GTEX-1MJK2-1626-SM-EVYCQ 50-59 years, male 87.8
GTEX-1GMR2-1326-SM-9KNUT 50-59 years, male 87.7
GTEX-1R9K4-1026-SM-EXUT1 60-69 years, male 87.7
GTEX-12WSA-1126-SM-5EGKU 60-69 years, male 87.5
GTEX-12WSK-0526-SM-5CVNA 40-49 years, female 87.4
GTEX-1IDJH-1126-SM-COH3R 70-79 years, male 87.4
GTEX-11ZUS-0326-SM-5EQ4W 30-39 years, male 87.3
GTEX-16XZZ-1026-SM-7DHKS 60-69 years, male 87.3
GTEX-Y5V5-0726-SM-4VBPY 60-69 years, female 87.3
GTEX-17F96-0826-SM-7DHLU 70-79 years, male 87.1
GTEX-XQ3S-0526-SM-4BOQA 20-29 years, male 87.1
GTEX-1QP29-1426-SM-DTX9Q 50-59 years, male 87.0
GTEX-1EMGI-1126-SM-9KNUF 60-69 years, male 86.9
GTEX-1BAJH-1026-SM-7EWEG 70-79 years, male 86.8
GTEX-11EM3-0426-SM-5N9BZ 20-29 years, female 86.7
GTEX-18D9B-1126-SM-7KFSH 60-69 years, male 86.7
GTEX-ZV7C-0526-SM-9WPNK 50-59 years, male 86.7
GTEX-14PN3-0726-SM-6EU14 60-69 years, female 86.4
GTEX-1B8KE-0326-SM-73KTY 50-59 years, male 86.2
GTEX-1QCLZ-1126-SM-EWRNB 60-69 years, female 86.2
GTEX-13NZ9-0126-SM-5K7XV 50-59 years, male 86.1
GTEX-14C39-0726-SM-5RQIK 40-49 years, male 86.0
GTEX-11DXZ-0326-SM-5EGH1 50-59 years, male 85.8
GTEX-1313W-1126-SM-5EQ5U 50-59 years, female 85.8
GTEX-VJWN-1026-SM-4M1ZN 50-59 years, female 85.8
GTEX-15RJE-0726-SM-7KUEG 40-49 years, male 85.6
GTEX-1POEN-0726-SM-DTXDU 30-39 years, female 85.6
GTEX-12WSE-0926-SM-5S2VX 20-29 years, male 85.5
GTEX-147F4-1126-SM-5TDDE 50-59 years, male 85.3
GTEX-ZZPU-1126-SM-5N9CW 50-59 years, female 85.3
GTEX-1J8Q3-1126-SM-ARU8N 60-69 years, male 85.0
GTEX-13OW6-0926-SM-5L3GM 50-59 years, male 84.9
GTEX-15SDE-1826-SM-7KUFN 50-59 years, female 84.9
GTEX-ZPU1-0726-SM-5HL6O 40-49 years, male 84.9
GTEX-1HSMO-1126-SM-CGQF2 60-69 years, male 84.9
GTEX-1IKJJ-0626-SM-CY8GF 60-69 years, male 84.9
GTEX-ZF29-0426-SM-4WKFN 60-69 years, female 84.8
GTEX-ZYFG-0526-SM-5GZXX 60-69 years, female 84.8
GTEX-V955-0826-SM-CYPR5 60-69 years, male 84.8
GTEX-1HCUA-0626-SM-ACKVT 50-59 years, female 84.7
GTEX-13X6J-1226-SM-79OMF 50-59 years, male 84.6
GTEX-17F9E-0726-SM-793A1 50-59 years, male 84.6
GTEX-ZGAY-0226-SM-4WWAL 40-49 years, female 84.6
GTEX-YFC4-0426-SM-4TT3J 40-49 years, female 84.5
GTEX-1A8G6-1826-SM-73KY8 60-69 years, male 84.2
GTEX-1399R-1726-SM-5K7YJ 30-39 years, male 84.1
GTEX-15RIE-1326-SM-6PAMM 60-69 years, male 84.0
GTEX-1H3O1-0226-SM-9WYSW 60-69 years, male 84.0
GTEX-1445S-1226-SM-5O9BF 60-69 years, male 83.9
GTEX-146FR-0926-SM-5QGPE 60-69 years, female 83.9
GTEX-15SHU-0926-SM-6PAMK 40-49 years, female 83.9
GTEX-14E1K-0826-SM-5ZZW9 50-59 years, male 83.7
GTEX-VUSG-0726-SM-3GIK1 50-59 years, male 83.7
GTEX-1CB4J-0226-SM-7P8T4 60-69 years, male 83.7
GTEX-11ZTT-0526-SM-5EQLA 60-69 years, female 83.6
GTEX-1HC8U-0626-SM-B2LWB 40-49 years, female 83.4
GTEX-15UF7-1526-SM-6LPI7 40-49 years, male 83.3
GTEX-WQUQ-1326-SM-3MJFF 60-69 years, male 83.2
GTEX-13NZA-0826-SM-5K7WS 60-69 years, male 83.1
GTEX-13O3O-1426-SM-5KM2S 60-69 years, female 83.1
GTEX-14DAQ-1026-SM-793B1 60-69 years, female 83.1
GTEX-117XS-0726-SM-5H131 60-69 years, male 83.0
GTEX-WEY5-0226-SM-3GIKN 40-49 years, female 83.0
GTEX-12ZZX-0726-SM-5EGKA 40-49 years, female 82.9
GTEX-14BIL-0926-SM-7DHKN 50-59 years, male 82.9
GTEX-11WQK-0226-SM-5EQLI 50-59 years, male 82.8
GTEX-11UD2-0926-SM-5CVL6 50-59 years, male 82.6
GTEX-1HR98-1026-SM-CKZOM 60-69 years, male 82.6
GTEX-WHPG-1026-SM-3NMBA 50-59 years, male 82.5
GTEX-1EX96-2626-SM-9MQJV 50-59 years, male 82.5
GTEX-ZEX8-0326-SM-DO92C 50-59 years, male 82.3
GTEX-13PDP-1326-SM-5K7U9 60-69 years, male 82.2
GTEX-WHWD-0326-SM-3LK6L 50-59 years, male 82.2
GTEX-X5EB-0626-SM-46MVQ 40-49 years, male 81.9
GTEX-111VG-0326-SM-5GZX7 60-69 years, male 81.8
GTEX-14A5I-1026-SM-5Q5E3 50-59 years, female 81.7
GTEX-ZT9W-0526-SM-57WFG 50-59 years, male 81.7
GTEX-WFG7-0826-SM-3GIKU 20-29 years, male 81.2
GTEX-XPT6-0226-SM-4B65L 20-29 years, male 80.9
GTEX-13VXT-0726-SM-5SIAD 20-29 years, female 80.8
GTEX-15ER7-0826-SM-6PALW 20-29 years, female 80.8
GTEX-XYKS-0226-SM-4BRW3 60-69 years, female 80.4
GTEX-1F6I4-0826-SM-7RHGK 60-69 years, male 80.4
GTEX-ZPCL-0526-SM-DO91R 60-69 years, female 80.2
GTEX-WYBS-1226-SM-3NM9N 60-69 years, female 79.9
GTEX-1JN6P-0826-SM-ARL97 60-69 years, male 79.9
GTEX-1GTWX-0926-SM-9MQKM 60-69 years, male 79.8
GTEX-1B8SF-1326-SM-7IGQJ 60-69 years, male 79.7
GTEX-1LVAN-1526-SM-CNPQN 50-59 years, female 79.7
GTEX-1A3MX-1226-SM-731B3 60-69 years, male 79.5
GTEX-ZG7Y-1426-SM-4WWBM 50-59 years, male 79.5
GTEX-13U4I-0626-SM-5LU5L 40-49 years, female 79.4
GTEX-WFG8-0726-SM-3GILP 20-29 years, male 79.4
GTEX-1117F-0726-SM-5GIEN 60-69 years, female 79.3
GTEX-1B932-1326-SM-79OM4 40-49 years, female 79.1
GTEX-1HFI6-0826-SM-9YFM2 40-49 years, male 79.1
GTEX-14BIN-2126-SM-793AX 50-59 years, female 79.0
GTEX-14PJ6-0626-SM-686Z6 60-69 years, female 79.0
GTEX-ZVT2-0926-SM-5GICE 50-59 years, female 78.9
GTEX-139YR-0526-SM-5L3DG 50-59 years, male 78.8
GTEX-1IDJU-0626-SM-CKZOG 60-69 years, female 78.8
GTEX-1KD5A-0926-SM-D4P3U 50-59 years, male 78.7
GTEX-14H4A-0426-SM-5ZZWO 40-49 years, female 78.6
GTEX-ZF2S-0826-SM-4WWBI 50-59 years, female 78.6
GTEX-1399U-0726-SM-5KM1D 50-59 years, female 78.3
GTEX-1192W-0226-SM-5EGGT 60-69 years, male 78.2
GTEX-18A67-1026-SM-731CE 50-59 years, male 78.1
GTEX-1AYCT-0526-SM-7RHHS 50-59 years, male 78.1
GTEX-15SHV-0526-SM-7KUEN 60-69 years, male 77.9
GTEX-1H11D-1026-SM-9QEIU 40-49 years, male 77.8
GTEX-11EMC-0826-SM-59862 60-69 years, female 77.7
GTEX-14E7W-1126-SM-5ZZVS 70-79 years, male 77.7
GTEX-1EWIQ-1126-SM-7EPIK 70-79 years, female 77.6
GTEX-1J8Q2-1026-SM-ARU8I 60-69 years, male 77.5
GTEX-17HGU-1126-SM-793BP 50-59 years, male 77.2
GTEX-1HUB1-0726-SM-CGQF4 60-69 years, male 77.1
GTEX-1211K-0226-SM-59HJY 60-69 years, female 77.0
GTEX-1HCU7-1226-SM-B2LX8 50-59 years, male 76.8
GTEX-1CB4I-1526-SM-7DHMY 50-59 years, male 76.5
GTEX-ZVZQ-0726-SM-51MR3 60-69 years, female 76.2
GTEX-15CHC-0326-SM-5ZZVP 60-69 years, female 75.8
GTEX-1I1GV-1426-SM-B2LXN 60-69 years, male 75.7
GTEX-XXEK-2026-SM-4BRVE 50-59 years, male 75.6
GTEX-1CB4H-0626-SM-7IGN3 60-69 years, female 75.5
GTEX-15CHR-0326-SM-7DHN3 50-59 years, male 75.3
GTEX-16GPK-1226-SM-7LTAU 60-69 years, male 75.2
GTEX-1GN1V-1026-SM-CNPPS 60-69 years, male 75.2
GTEX-1LG7Y-1426-SM-D4P31 50-59 years, male 75.2
GTEX-1C64N-0826-SM-7RHGQ 50-59 years, male 75.1
GTEX-UTHO-1226-SM-3GAEE 60-69 years, male 74.9
GTEX-1IKOH-0926-SM-A9SLU 60-69 years, female 74.9
GTEX-14PHY-0326-SM-62LE3 60-69 years, female 74.7
GTEX-1QP6S-1026-SM-DTXFW 40-49 years, male 74.6
GTEX-YEC3-0426-SM-CYPS8 50-59 years, male 74.4
GTEX-ZAB5-0126-SM-5CVMT 50-59 years, male 74.3
GTEX-13O21-0326-SM-5J1N9 50-59 years, male 74.2
GTEX-ZYFD-2026-SM-5E459 50-59 years, male 74.1
GTEX-ZTTD-0626-SM-4YCCY 50-59 years, male 74.0
GTEX-18A66-1126-SM-731C5 60-69 years, male 73.9
GTEX-1J8QM-0326-SM-CL53D 60-69 years, female 73.8
GTEX-1477Z-1126-SM-5P9GK 60-69 years, male 73.4
GTEX-X261-0926-SM-3NMCY 50-59 years, male 73.4
GTEX-1M5QR-1626-SM-E9U5O 40-49 years, male 73.3
GTEX-WYJK-1126-SM-3NM9Z 50-59 years, male 73.2
GTEX-V1D1-0626-SM-4JBHN 50-59 years, male 72.9
GTEX-1I19N-0626-SM-A9SKY 70-79 years, male 72.8
GTEX-1I1GR-1026-SM-A9SLC 60-69 years, male 72.7
GTEX-1F88F-0326-SM-9KNV3 60-69 years, female 72.4
GTEX-Y8E4-0426-SM-4V6GB 40-49 years, male 72.1
GTEX-11GS4-0426-SM-5N9CD 60-69 years, male 71.8
GTEX-13NYB-0326-SM-5IJDP 40-49 years, male 71.4
GTEX-1CB4E-0626-SM-7DHMW 60-69 years, male 71.4
GTEX-ZAJG-0926-SM-5Q5AB 50-59 years, female 70.9
GTEX-WRHU-1026-SM-4E3ID 50-59 years, female 70.8
GTEX-YJ8O-0826-SM-5CVM3 40-49 years, female 70.8
GTEX-ZUA1-0726-SM-4YCD9 40-49 years, male 70.8
GTEX-1CB4G-0726-SM-79OOJ 60-69 years, male 69.5
GTEX-1HSMQ-0426-SM-ADEIM 50-59 years, male 69.1
GTEX-17EVP-0526-SM-7EPGY 40-49 years, male 69.0
GTEX-1JMQL-1026-SM-CMKGV 50-59 years, female 68.5
GTEX-14E6C-0326-SM-5Q5EE 40-49 years, male 68.0
GTEX-15D1Q-0426-SM-6AJ9G 40-49 years, male 68.0
GTEX-1I1CD-1326-SM-A9SMM 60-69 years, female 67.9
GTEX-1B8SG-0726-SM-79ONS 50-59 years, male 67.5
GTEX-X4XX-1126-SM-3NMBY 60-69 years, male 67.5
GTEX-1IOXB-0726-SM-A9G32 50-59 years, male 67.3
GTEX-11TUW-1126-SM-5EQKJ 60-69 years, male 67.2
GTEX-117YW-0426-SM-5GZZZ 50-59 years, male 67.0
GTEX-1F75B-1126-SM-7RHGP 50-59 years, male 66.7
GTEX-1F48J-1126-SM-9WYSY 50-59 years, female 66.3
GTEX-1JMOU-0326-SM-ARL8X 60-69 years, female 65.9
GTEX-13FTZ-0326-SM-5J1O1 60-69 years, male 65.0
GTEX-1AX9I-1026-SM-73KYF 60-69 years, male 65.0
GTEX-1H1CY-0426-SM-9KNVD 60-69 years, female 63.4
GTEX-12584-1026-SM-59HK3 40-49 years, male 63.2
GTEX-1LSNL-0626-SM-DIPFJ 50-59 years, male 61.7
GTEX-11EQ8-1326-SM-5EGJQ 60-69 years, male 60.8
GTEX-11ZVC-0526-SM-5N9G1 50-59 years, female 60.7
GTEX-ZVT4-1326-SM-5NQ8E 50-59 years, female 59.2
GTEX-WZTO-1226-SM-3NMAZ 40-49 years, male 58.1
Show allShow less
Heart - Left Ventricle
Average nTPM: 99.0
Samples: 432

Max nTPM: 187.1
Min nTPM: 48.3
Std nTPM: 23.6
Median nTPM: 100.3
GTEX-OIZI-0926-SM-E6CHF 40-49 years, male 187.1
GTEX-1O9I2-1126-SM-DTXEA 50-59 years, male 175.2
GTEX-SUCS-0326-SM-32PLL 70-79 years, male 171.0
GTEX-YB5K-0126-SM-5IFJ2 40-49 years, female 168.1
GTEX-1IDJF-0726-SM-CJI1U 20-29 years, male 163.9
GTEX-1LC47-1026-SM-D3LAH 60-69 years, male 159.7
GTEX-1LGOU-0726-SM-E9TIY 20-29 years, female 156.9
GTEX-WH7G-0426-SM-3NMBJ 40-49 years, male 155.5
GTEX-1I6K7-0626-SM-ARL7Q 40-49 years, male 154.9
GTEX-1IDJU-0726-SM-CNPQ9 60-69 years, female 151.9
GTEX-ZPIC-0826-SM-4WWFJ 40-49 years, female 151.1
GTEX-11EM3-0626-SM-5H12Z 20-29 years, female 149.3
GTEX-WY7C-0526-SM-3NB3D 50-59 years, male 149.2
GTEX-1RQEC-0926-SM-EWROG 60-69 years, male 148.7
GTEX-YF7O-0426-SM-5P9FS 50-59 years, male 146.8
GTEX-1LH75-0426-SM-E9TJF 50-59 years, female 145.9
GTEX-1LSNM-0526-SM-DIPG6 50-59 years, male 145.9
GTEX-1GN1W-0326-SM-9JGHF 50-59 years, female 145.8
GTEX-O5YV-0326-SM-2I5H2 60-69 years, female 144.8
GTEX-11TT1-1326-SM-5PNYM 20-29 years, male 144.0
GTEX-U4B1-0326-SM-3DB8K 40-49 years, male 142.3
GTEX-Y3I4-0626-SM-4TT7A 50-59 years, male 141.1
GTEX-QDVN-0326-SM-2I3FS 50-59 years, male 139.7
GTEX-NPJ8-0426-SM-2HMK6 40-49 years, male 138.9
GTEX-PWCY-0526-SM-5P9HG 20-29 years, female 138.7
GTEX-1QCLZ-0926-SM-E6CQZ 60-69 years, female 135.5
GTEX-13VXT-1126-SM-5LU3A 20-29 years, female 135.4
GTEX-QDVJ-0426-SM-2I5FW 50-59 years, male 134.4
GTEX-1QP2A-1126-SM-EVR3H 50-59 years, male 134.2
GTEX-R45C-0926-SM-3GAD4 60-69 years, female 133.6
GTEX-YEC4-0326-SM-4W216 40-49 years, male 133.3
GTEX-132NY-1726-SM-5EGKK 60-69 years, male 133.1
GTEX-X15G-0426-SM-4PQZ6 50-59 years, female 132.7
GTEX-ZGAY-0326-SM-57WF5 40-49 years, female 132.4
GTEX-145MN-0626-SM-5QGRH 30-39 years, male 132.3
GTEX-O5YT-0326-SM-32PKA 20-29 years, male 132.3
GTEX-1OKEX-0726-SM-DPRYE 60-69 years, male 132.2
GTEX-14XAO-1126-SM-6EU11 60-69 years, female 131.8
GTEX-18D9B-1226-SM-72D6V 60-69 years, male 131.8
GTEX-13W3W-0426-SM-5SI9D 60-69 years, female 131.4
GTEX-ZDXO-0726-SM-57WBT 60-69 years, male 131.4
GTEX-1J8QM-0426-SM-AHZ3X 60-69 years, female 130.6
GTEX-XV7Q-0826-SM-4BRV7 40-49 years, female 128.9
GTEX-17GQL-0526-SM-72D5N 60-69 years, male 128.6
GTEX-ZDYS-0226-SM-5HL4K 50-59 years, male 126.7
GTEX-13FH7-0926-SM-5J2MR 50-59 years, female 126.6
GTEX-14A6H-0226-SM-5Q5DX 30-39 years, male 126.4
GTEX-1MUQO-1226-SM-E9TJK 60-69 years, male 126.1
GTEX-18A66-1226-SM-7LT8G 60-69 years, male 125.3
GTEX-1JMQK-0626-SM-D4P2R 60-69 years, male 125.2
GTEX-16XZY-0426-SM-793BI 70-79 years, male 124.1
GTEX-1339X-0426-SM-5KLZY 40-49 years, male 123.8
GTEX-14H4A-0626-SM-5ZZUT 40-49 years, female 123.6
GTEX-ZF2S-1026-SM-9QEGK 50-59 years, female 123.6
GTEX-P78B-0426-SM-2I5F5 40-49 years, female 122.9
GTEX-WFON-0326-SM-3GIKX 40-49 years, male 122.7
GTEX-ZG7Y-0926-SM-5EQ6O 50-59 years, male 122.4
GTEX-1HBPH-0126-SM-CNNQ7 40-49 years, female 122.4
GTEX-11ZUS-0226-SM-5FQT8 30-39 years, male 122.2
GTEX-R55E-1026-SM-2TC5S 20-29 years, male 121.7
GTEX-1POEN-0626-SM-EVR4B 30-39 years, female 121.3
GTEX-12WSK-0626-SM-5LZUJ 40-49 years, female 121.1
GTEX-XBED-0526-SM-47JY3 60-69 years, male 121.0
GTEX-ZQUD-1526-SM-7IGO2 30-39 years, male 120.9
GTEX-13PVR-1026-SM-5QGQW 60-69 years, female 120.7
GTEX-WFG7-0726-SM-3GIKO 20-29 years, male 120.7
GTEX-WHPG-0826-SM-3NMBF 50-59 years, male 120.5
GTEX-1I1GQ-1426-SM-B2LWY 50-59 years, male 120.5
GTEX-11DXX-0326-SM-5PNWC 60-69 years, female 120.1
GTEX-1CB4I-1626-SM-7RHGV 50-59 years, male 120.0
GTEX-1F75I-1126-SM-9WYUO 40-49 years, male 119.7
GTEX-Y114-0226-SM-4TT8W 50-59 years, female 119.1
GTEX-XPT6-0126-SM-4B65S 20-29 years, male 118.9
GTEX-1M5QR-1026-SM-DHXK9 40-49 years, male 118.9
GTEX-OXRL-0326-SM-2I3F2 50-59 years, male 118.7
GTEX-XPVG-0826-SM-4B654 50-59 years, male 118.7
GTEX-14C38-1426-SM-5RQHZ 50-59 years, male 118.4
GTEX-WHSE-0926-SM-3NMBS 20-29 years, male 118.3
GTEX-1HSGN-1126-SM-CJI4G 40-49 years, female 117.8
GTEX-XQ3S-0626-SM-4BOOB 20-29 years, male 117.7
GTEX-1122O-0826-SM-5GICV 60-69 years, female 117.5
GTEX-14PHX-2126-SM-6EU2U 50-59 years, male 117.5
GTEX-1EU9M-1826-SM-7DUGU 60-69 years, male 117.2
GTEX-13O21-2326-SM-5MR3X 50-59 years, male 117.1
GTEX-1C2JI-0526-SM-7EWEQ 50-59 years, male 117.1
GTEX-R55C-0326-SM-3GAF1 40-49 years, male 116.9
GTEX-1R7EV-0326-SM-E76PA 40-49 years, male 116.4
GTEX-OHPL-0326-SM-33HC8 60-69 years, female 116.2
GTEX-1QPFJ-1026-SM-E6CR6 30-39 years, female 116.2
GTEX-1H11D-1226-SM-9WPQ2 40-49 years, male 116.0
GTEX-QEG5-0926-SM-2TC64 20-29 years, male 115.9
GTEX-WZTO-1326-SM-3NM8X 40-49 years, male 115.9
GTEX-1KD5A-1026-SM-CY8I8 50-59 years, male 115.9
GTEX-1R9K4-1326-SM-DTX8G 60-69 years, male 115.9
GTEX-WFG8-0626-SM-3GILJ 20-29 years, male 115.5
GTEX-13CF3-0726-SM-5J2MY 60-69 years, female 115.0
GTEX-14PJ4-1126-SM-5YY91 60-69 years, male 115.0
GTEX-PLZ5-0626-SM-2I5F8 50-59 years, male 114.7
GTEX-12WSN-5001-SM-7DHMK 40-49 years, male 114.6
GTEX-1HC8U-0726-SM-ACKXL 40-49 years, female 114.3
GTEX-145LV-0326-SM-5Q5BW 50-59 years, male 114.1
GTEX-1JK1U-0526-SM-CYPSQ 60-69 years, male 114.1
GTEX-1R9JW-0526-SM-EWRNK 30-39 years, female 114.0
GTEX-Y3IK-0826-SM-51MT8 50-59 years, female 113.8
GTEX-ZDTT-0726-SM-4WKFK 60-69 years, male 113.8
GTEX-1CB4E-0526-SM-7MXTK 60-69 years, male 113.8
GTEX-139YR-0826-SM-5LZXY 50-59 years, male 113.7
GTEX-1OFPY-1026-SM-EXUSO 60-69 years, male 113.5
GTEX-13N11-0426-SM-5KM3O 50-59 years, female 113.4
GTEX-1F5PK-0326-SM-9KNUD 50-59 years, male 113.2
GTEX-13SLX-1026-SM-5ZZUQ 50-59 years, female 113.0
GTEX-11I78-0826-SM-5A5K4 50-59 years, female 112.8
GTEX-14PN3-0526-SM-69LQF 60-69 years, female 112.6
GTEX-OOBJ-0326-SM-33HBO 60-69 years, male 112.2
GTEX-16YQH-0926-SM-793BC 30-39 years, male 112.0
GTEX-Y5V6-0826-SM-4VBRU 60-69 years, male 112.0
GTEX-ZEX8-0426-SM-DO92Y 50-59 years, male 112.0
GTEX-15EOM-5007-SM-793DG 20-29 years, female 111.8
GTEX-U3ZN-1426-SM-3DB87 30-39 years, female 111.8
GTEX-1J8EW-0926-SM-A9G33 60-69 years, female 111.8
GTEX-11DXZ-0626-SM-5GU77 50-59 years, male 111.3
GTEX-1399R-1926-SM-5K7X8 30-39 years, male 111.3
GTEX-XGQ4-0326-SM-4GIEE 50-59 years, male 110.9
GTEX-1B97J-0726-SM-7RHG3 50-59 years, female 110.9
GTEX-1ICG6-0626-SM-ACKWS 70-79 years, female 110.9
GTEX-WEY5-0426-SM-3GIKT 40-49 years, female 110.6
GTEX-ZYFG-0426-SM-5E43M 60-69 years, female 110.6
GTEX-1IKOE-1026-SM-ARZMF 30-39 years, female 110.6
GTEX-OIZF-0326-SM-3MJGY 60-69 years, male 110.4
GTEX-1J8Q3-1226-SM-CKZPT 60-69 years, male 110.3
GTEX-UJMC-0526-SM-3GAE3 50-59 years, male 110.1
GTEX-12696-1126-SM-5FQTI 60-69 years, male 110.0
GTEX-12WSC-1126-SM-5EQ4G 50-59 years, male 109.9
GTEX-18D9U-1126-SM-72D5Y 40-49 years, male 109.7
GTEX-U8XE-1126-SM-3DB8W 30-39 years, male 109.7
GTEX-132AR-2026-SM-5IJG4 50-59 years, female 109.6
GTEX-WYJK-1026-SM-3NM8W 50-59 years, male 109.6
GTEX-1IDJI-1026-SM-A96TE 50-59 years, female 109.6
GTEX-13FTW-1026-SM-5L3E3 40-49 years, male 109.4
GTEX-13OVL-0526-SM-5KLZQ 50-59 years, male 109.1
GTEX-1GN73-2426-SM-7RHFQ 60-69 years, male 109.1
GTEX-1QP29-1526-SM-EXUSY 50-59 years, male 109.0
GTEX-1GMR2-1426-SM-7RHHK 50-59 years, male 108.4
GTEX-R55G-0526-SM-2TC5O 40-49 years, female 108.1
GTEX-1HSMQ-0226-SM-C1YQL 50-59 years, male 108.1
GTEX-ZPU1-0626-SM-4YCDM 40-49 years, male 107.9
GTEX-1AX9K-0526-SM-73KV1 50-59 years, male 107.7
GTEX-1399S-1026-SM-5KLZ9 30-39 years, female 107.6
GTEX-1PWST-1026-SM-DTXF2 70-79 years, male 107.6
GTEX-14JG1-1026-SM-6ETZY 40-49 years, male 107.5
GTEX-ZVT2-1026-SM-5GU55 50-59 years, female 107.5
GTEX-1CB4J-0326-SM-7PBZO 60-69 years, male 107.4
GTEX-17F9E-0926-SM-7IGMG 50-59 years, male 107.2
GTEX-1AX9J-1026-SM-72D6E 60-69 years, male 107.2
GTEX-1KXAM-1326-SM-E9TJW 60-69 years, male 107.2
GTEX-1R9K5-1326-SM-E6CPR 50-59 years, male 107.2
GTEX-1211K-0626-SM-5FQUZ 60-69 years, female 107.0
GTEX-SE5C-0626-SM-2XCDV 40-49 years, female 106.8
GTEX-1JMPZ-1426-SM-CJI3C 30-39 years, male 106.7
GTEX-1R9PO-0326-SM-DTXA1 60-69 years, female 106.7
GTEX-13X6H-0426-SM-5LU4E 50-59 years, female 106.6
GTEX-117YX-1126-SM-5H128 50-59 years, male 106.4
GTEX-16BQI-0926-SM-6M485 30-39 years, female 106.4
GTEX-13O3O-1526-SM-5KM1C 60-69 years, female 106.3
GTEX-UJHI-0426-SM-3DB8Y 50-59 years, female 106.1
GTEX-13FLV-0926-SM-5L3DZ 50-59 years, male 105.8
GTEX-13QBU-0426-SM-5J2O4 40-49 years, female 105.8
GTEX-OHPK-0326-SM-2HMJO 50-59 years, female 105.7
GTEX-QLQ7-0526-SM-2I5G3 60-69 years, male 105.3
GTEX-ZDTS-1326-SM-6LLHE 60-69 years, male 105.2
GTEX-1GF9U-0426-SM-7RHHA 40-49 years, female 105.2
GTEX-131XE-0626-SM-5HL98 50-59 years, male 104.9
GTEX-13U4I-0826-SM-5SIBD 40-49 years, female 104.9
GTEX-1GMR3-0326-SM-7P8QT 40-49 years, male 104.9
GTEX-P4QS-0326-SM-2I3EU 60-69 years, male 104.6
GTEX-YEC3-0726-SM-CMKFH 50-59 years, male 104.6
GTEX-RNOR-0826-SM-2TF5C 50-59 years, female 104.5
GTEX-Y8E4-0326-SM-4VBRR 40-49 years, male 104.5
GTEX-146FR-0626-SM-5RQJ1 60-69 years, female 104.4
GTEX-PSDG-0926-SM-2I5FP 50-59 years, male 104.4
GTEX-O5YW-0326-SM-2I5EI 50-59 years, male 104.3
GTEX-131XG-0626-SM-5GCMP 50-59 years, female 104.2
GTEX-WHWD-0426-SM-3LK83 50-59 years, male 104.0
GTEX-12WSG-0526-SM-5FQTH 50-59 years, female 103.6
GTEX-15RIE-1726-SM-7KUMU 60-69 years, male 103.6
GTEX-1S3DN-0726-SM-E9TIO 50-59 years, male 103.6
GTEX-YFC4-0526-SM-5ZZVI 40-49 years, female 103.5
GTEX-UPK5-0326-SM-CYPR4 40-49 years, male 103.5
GTEX-13PVQ-1226-SM-5IJDC 50-59 years, male 103.4
GTEX-15CHC-0426-SM-6LLHI 60-69 years, female 103.4
GTEX-V1D1-0526-SM-4JBGW 50-59 years, male 103.4
GTEX-11LCK-0926-SM-5A5KA 30-39 years, male 103.3
GTEX-S32W-0626-SM-2XCBG 50-59 years, female 103.3
GTEX-14E1K-1026-SM-73KUR 50-59 years, male 103.1
GTEX-132QS-0426-SM-5KLZ6 60-69 years, male 103.0
GTEX-P4PQ-0326-SM-2HMJ8 60-69 years, male 103.0
GTEX-ZVZP-0226-SM-5NQ73 50-59 years, male 103.0
GTEX-18A67-1226-SM-7KFRS 50-59 years, male 102.8
GTEX-POMQ-0326-SM-2I5FO 20-29 years, female 102.7
GTEX-146FH-1026-SM-5RQIF 50-59 years, female 102.5
GTEX-14PHY-0226-SM-5ZZWM 60-69 years, female 102.5
GTEX-RU72-0326-SM-2TF5T 50-59 years, female 102.0
GTEX-12BJ1-0226-SM-5LUA2 60-69 years, male 101.9
GTEX-1AYCT-0426-SM-73KVZ 50-59 years, male 101.9
GTEX-PX3G-0326-SM-2I3EO 20-29 years, female 101.9
GTEX-1RMOY-0626-SM-E9TIE 50-59 years, male 101.9
GTEX-1C64O-0826-SM-79OKZ 60-69 years, male 101.8
GTEX-1GZ4I-1026-SM-9KNV5 50-59 years, male 101.6
GTEX-13O61-0526-SM-5J2M1 60-69 years, male 101.5
GTEX-15CHR-0226-SM-7PC2Z 50-59 years, male 101.5
GTEX-1AX8Z-5007-SM-AHZ36 60-69 years, male 101.3
GTEX-14PJ6-0726-SM-69LOL 60-69 years, female 101.2
GTEX-1KANC-0426-SM-CXZK5 50-59 years, female 101.2
GTEX-14PK6-0826-SM-5ZZVO 70-79 years, female 101.1
GTEX-ZLFU-0226-SM-4WWFH 40-49 years, male 100.9
GTEX-T6MN-0926-SM-32PLX 50-59 years, male 100.3
GTEX-11ONC-0126-SM-5PNW6 60-69 years, male 100.2
GTEX-XXEK-0926-SM-4BRWH 50-59 years, male 100.1
GTEX-ZAB5-0226-SM-5CVMH 50-59 years, male 99.9
GTEX-RUSQ-0526-SM-2TF72 50-59 years, male 99.7
GTEX-R53T-0926-SM-3GADH 50-59 years, female 99.5
GTEX-1GL5R-0326-SM-9WYTJ 50-59 years, male 99.4
GTEX-1MCC2-0326-SM-EV7AK 30-39 years, female 99.2
GTEX-SNMC-0126-SM-2XCFO 20-29 years, male 99.0
GTEX-X3Y1-0426-SM-3P5Z4 40-49 years, male 99.0
GTEX-ZV7C-0326-SM-57WB1 50-59 years, male 99.0
GTEX-ZZPU-0926-SM-5GZYT 50-59 years, female 98.9
GTEX-1HFI7-0826-SM-A9G23 50-59 years, female 98.9
GTEX-111YS-0426-SM-5987O 60-69 years, male 98.4
GTEX-1LGRB-1126-SM-CNPP2 50-59 years, female 98.4
GTEX-OXRK-0826-SM-2HMK7 50-59 years, female 97.9
GTEX-1RB15-0326-SM-E6CQB 60-69 years, male 97.7
GTEX-13S86-0226-SM-5S2PJ 40-49 years, male 97.1
GTEX-17KNJ-0826-SM-793A4 50-59 years, male 97.1
GTEX-QEG4-0426-SM-33HC3 30-39 years, male 97.0
GTEX-QESD-0526-SM-2I5G5 20-29 years, male 96.9
GTEX-N7MS-0826-SM-2HML4 60-69 years, male 96.8
GTEX-1IDJE-0326-SM-CM2TD 50-59 years, female 96.7
GTEX-12WSD-1126-SM-5EGJD 60-69 years, female 96.6
GTEX-ZTPG-1226-SM-4YCDO 20-29 years, female 96.5
GTEX-RWSA-0626-SM-2XCBD 40-49 years, male 96.4
GTEX-U3ZH-0326-SM-3DB7A 30-39 years, male 96.3
GTEX-13RTJ-0726-SM-5QGQN 60-69 years, male 96.2
GTEX-Q2AH-0526-SM-2I3ED 40-49 years, male 96.2
GTEX-P4PP-0326-SM-33HC4 30-39 years, female 96.1
GTEX-1B8KE-0126-SM-793AM 50-59 years, male 96.0
GTEX-1F6I4-0726-SM-7PC2P 60-69 years, male 96.0
GTEX-1GMRU-1526-SM-9WYT5 50-59 years, male 95.7
GTEX-1L5NE-0426-SM-E9TIX 50-59 years, male 95.7
GTEX-QV44-0526-SM-2S1RE 50-59 years, male 95.3
GTEX-WL46-0926-SM-3LK7T 50-59 years, male 95.3
GTEX-13NZB-0226-SM-5KM1T 30-39 years, male 95.2
GTEX-1HCUA-0526-SM-A9SMH 50-59 years, female 95.0
GTEX-P44H-0726-SM-48TBT 40-49 years, male 94.9
GTEX-XQ8I-0126-SM-4BOPL 50-59 years, male 94.8
GTEX-1LVAN-1726-SM-CNNR1 50-59 years, female 94.7
GTEX-15RJ7-0226-SM-7KUMN 40-49 years, male 94.6
GTEX-WQUQ-1426-SM-3MJFD 60-69 years, male 94.3
GTEX-17HGU-1026-SM-79OKL 50-59 years, male 94.2
GTEX-RWS6-0326-SM-2XCAP 60-69 years, female 94.0
GTEX-18465-0926-SM-731AY 50-59 years, male 93.6
GTEX-131XF-5001-SM-7DHLY 60-69 years, male 93.5
GTEX-12ZZZ-1726-SM-59HK5 60-69 years, male 93.4
GTEX-QMRM-0526-SM-2I5GA 50-59 years, male 93.1
GTEX-X8HC-1626-SM-46MWE 50-59 years, female 92.9
GTEX-15DDE-1126-SM-6LLHN 50-59 years, female 92.4
GTEX-1CAMS-1326-SM-79OJR 40-49 years, female 92.4
GTEX-ZF29-0226-SM-4WKHO 60-69 years, female 91.9
GTEX-ZPCL-0426-SM-DNZZ4 60-69 years, female 91.9
GTEX-1BAJH-1626-SM-73KUV 70-79 years, male 91.7
GTEX-1H1ZS-1126-SM-9MQLJ 70-79 years, male 91.7
GTEX-1314G-0126-SM-5LZUL 30-39 years, male 91.2
GTEX-145MO-1126-SM-5NQBX 60-69 years, male 91.1
GTEX-13OVG-0526-SM-5K7YD 60-69 years, male 90.6
GTEX-111FC-0826-SM-5GZWO 60-69 years, male 90.2
GTEX-1497J-1226-SM-5Q5BL 60-69 years, male 90.1
GTEX-OIZH-0326-SM-2HMKC 50-59 years, male 90.1
GTEX-13112-0426-SM-5PNVC 50-59 years, male 90.0
GTEX-NFK9-0926-SM-2HMJU 40-49 years, male 89.2
GTEX-1PPGY-1126-SM-E76OU 60-69 years, male 88.9
GTEX-1I1HK-0726-SM-B2LY4 60-69 years, male 88.7
GTEX-OIZG-1126-SM-2HMIU 50-59 years, male 88.5
GTEX-1MJIX-0326-SM-EVR42 40-49 years, male 88.5
GTEX-QEL4-0926-SM-3GAD1 50-59 years, male 88.4
GTEX-WI4N-0626-SM-3TW8Z 40-49 years, female 88.3
GTEX-ZYFC-1126-SM-5E44W 50-59 years, male 87.8
GTEX-1HCVE-1126-SM-9WPPG 50-59 years, male 87.8
GTEX-1JMOU-0226-SM-CNNPD 60-69 years, female 87.7
GTEX-1A3MX-1326-SM-72D58 60-69 years, male 87.4
GTEX-17MF6-0726-SM-7LT8E 40-49 years, male 87.1
GTEX-13CF2-0426-SM-5KM1H 60-69 years, male 87.0
GTEX-1JJ6O-2126-SM-CNNP6 60-69 years, male 87.0
GTEX-1HBPM-1226-SM-A9SM8 60-69 years, female 86.9
GTEX-ZAB4-1026-SM-5HL7T 40-49 years, male 86.7
GTEX-12ZZW-1026-SM-5GCMM 50-59 years, male 86.5
GTEX-131XH-0226-SM-5LZVB 50-59 years, male 86.4
GTEX-13D11-1726-SM-5IFGQ 50-59 years, female 86.2
GTEX-1JJEA-0826-SM-CL53T 60-69 years, male 86.1
GTEX-1399U-0526-SM-5K7YM 50-59 years, female 85.9
GTEX-V955-0726-SM-3GAFG 60-69 years, male 85.9
GTEX-1C6VQ-1126-SM-7EWET 50-59 years, male 85.8
GTEX-1IKJJ-0826-SM-A96SP 60-69 years, male 85.7
GTEX-1E1VI-1326-SM-7IGQD 50-59 years, male 85.6
GTEX-1EMGI-1226-SM-793DD 60-69 years, male 85.4
GTEX-1JMLX-1626-SM-ARZMV 50-59 years, male 85.4
GTEX-15RJE-0626-SM-7KUKR 40-49 years, male 85.3
GTEX-OHPM-0326-SM-33HCA 50-59 years, male 85.1
GTEX-18A6Q-1626-SM-7KFTA 60-69 years, male 85.0
GTEX-1K9T9-1126-SM-D3L9E 50-59 years, female 83.0
GTEX-14E6C-0426-SM-5YYA8 40-49 years, male 82.7
GTEX-Y5V5-0626-SM-4VBPX 60-69 years, female 82.5
GTEX-1IKK5-1526-SM-CKZPW 60-69 years, male 82.1
GTEX-1B932-1026-SM-793CL 40-49 years, female 81.9
GTEX-1ICLZ-1026-SM-A9SLF 60-69 years, male 81.7
GTEX-11TUW-1026-SM-5GU7D 60-69 years, male 81.6
GTEX-1HSMO-1226-SM-CL548 60-69 years, male 81.4
GTEX-148VI-0326-SM-5RQK7 60-69 years, female 81.3
GTEX-REY6-1026-SM-2TF4Y 60-69 years, male 81.2
GTEX-1A3MW-1326-SM-7189P 60-69 years, female 80.9
GTEX-1AX9I-1126-SM-7EPHH 60-69 years, male 80.9
GTEX-11ZVC-0426-SM-5CVLD 50-59 years, female 79.6
GTEX-1J8Q2-1226-SM-A9G2W 60-69 years, male 79.6
GTEX-13X6I-1426-SM-5SI9Z 60-69 years, male 79.4
GTEX-17JCI-1126-SM-7IGMM 60-69 years, female 79.3
GTEX-1B8L1-0526-SM-79ONX 60-69 years, male 79.2
GTEX-SIU8-0826-SM-2XCDQ 50-59 years, male 79.1
GTEX-15ER7-1726-SM-6PAMX 20-29 years, female 79.0
GTEX-17HHY-1426-SM-7EWDQ 50-59 years, male 78.9
GTEX-1212Z-0626-SM-5FQTB 60-69 years, male 78.8
GTEX-14E7W-1226-SM-5RQIU 70-79 years, male 78.3
GTEX-1GF9V-1626-SM-7PBXL 60-69 years, male 78.3
GTEX-1H1CY-0326-SM-9QEIZ 60-69 years, female 78.3
GTEX-16NPX-0926-SM-7KUEZ 50-59 years, male 78.2
GTEX-14PJM-1126-SM-6LLHK 50-59 years, female 78.1
GTEX-1EKGG-1126-SM-7MGXB 60-69 years, male 78.1
GTEX-17F9Y-1326-SM-7MGW9 70-79 years, female 78.0
GTEX-15SHU-1126-SM-7KUMB 40-49 years, female 77.2
GTEX-13O1R-1226-SM-5J1NU 60-69 years, male 76.8
GTEX-1CB4G-0826-SM-7DUGF 60-69 years, male 76.8
GTEX-13N1W-1026-SM-5IJC5 70-79 years, male 76.6
GTEX-1EH9U-0826-SM-7IGPT 60-69 years, male 76.6
GTEX-1IL2U-1326-SM-A9G2O 60-69 years, male 76.5
GTEX-1LB8K-1026-SM-DHXJJ 50-59 years, male 76.0
GTEX-13OW6-1126-SM-5L3HL 50-59 years, male 75.6
GTEX-13YAN-1326-SM-5Q5F1 60-69 years, male 75.5
GTEX-14BIL-1126-SM-79OMC 50-59 years, male 75.5
GTEX-OXRO-2026-SM-2YUMZ 60-69 years, female 75.4
GTEX-WRHU-1226-SM-4E3IJ 50-59 years, female 75.4
GTEX-1H23P-1226-SM-9QEJ2 60-69 years, male 75.3
GTEX-1LVA9-0926-SM-EVR5G 50-59 years, male 75.3
GTEX-S33H-0526-SM-COH1W 30-39 years, male 75.3
GTEX-11EMC-0726-SM-5EGJO 60-69 years, female 75.2
GTEX-T2IS-0426-SM-32QPE 20-29 years, female 75.1
GTEX-1313W-1426-SM-5KLZU 50-59 years, female 74.8
GTEX-11GSP-1326-SM-5A5KY 60-69 years, female 74.7
GTEX-1JN6P-1126-SM-CKZON 60-69 years, male 74.6
GTEX-RTLS-0826-SM-2TF5Q 60-69 years, female 74.5
GTEX-12584-0926-SM-5FQTN 40-49 years, male 74.0
GTEX-147JS-1526-SM-5ZZWF 60-69 years, male 73.9
GTEX-1F48J-1026-SM-7P8SO 50-59 years, female 73.7
GTEX-13O3P-1626-SM-5K7X3 50-59 years, male 73.5
GTEX-14DAQ-1126-SM-664MT 60-69 years, female 73.5
GTEX-11DXY-0826-SM-5EGGR 60-69 years, male 73.4
GTEX-1HCU7-1326-SM-CNPPW 50-59 years, male 73.3
GTEX-1A8G6-1626-SM-7MGWO 60-69 years, male 73.2
GTEX-1ICLY-1326-SM-CJI47 50-59 years, male 72.5
GTEX-1B8SG-0826-SM-7EWF7 50-59 years, male 72.4
GTEX-1LG7Y-1226-SM-CXZKD 50-59 years, male 72.4
GTEX-14PJ2-1026-SM-6EU1M 50-59 years, male 72.2
GTEX-1B996-1126-SM-73KWN 60-69 years, male 72.1
GTEX-14E6D-0926-SM-5S2QV 50-59 years, male 72.0
GTEX-ZYW4-0926-SM-59HJS 60-69 years, male 71.9
GTEX-15DYW-1126-SM-6LPK5 60-69 years, female 71.7
GTEX-1RAZS-0826-SM-E76QP 50-59 years, male 71.7
GTEX-14C39-0926-SM-5TDDV 40-49 years, male 71.5
GTEX-1JJE9-1426-SM-ARL8P 70-79 years, male 71.5
GTEX-1KD4Q-0726-SM-DIPGE 40-49 years, male 71.5
GTEX-1F6IF-2526-SM-7P8TV 60-69 years, male 71.3
GTEX-16MT8-0926-SM-6M487 60-69 years, female 71.1
GTEX-1GN2E-1326-SM-9KNVG 60-69 years, male 71.0
GTEX-117YW-0326-SM-5N9CY 50-59 years, male 70.9
GTEX-1HCU6-1026-SM-A9G25 60-69 years, female 70.8
GTEX-13X6K-1826-SM-5O9CR 60-69 years, female 70.6
GTEX-17HII-1326-SM-7IGOB 50-59 years, male 70.5
GTEX-11GS4-0526-SM-5A5KQ 60-69 years, male 70.3
GTEX-ZF3C-1226-SM-4WWCB 50-59 years, female 70.3
GTEX-1I1GV-1326-SM-A96SE 60-69 years, male 70.2
GTEX-1EX96-2526-SM-7RHGW 50-59 years, male 69.9
GTEX-13FTZ-0226-SM-5K7X6 60-69 years, male 69.2
GTEX-PVOW-0426-SM-5MR5R 40-49 years, male 69.1
GTEX-1269C-0826-SM-5N9EM 60-69 years, female 68.8
GTEX-1PPH7-2026-SM-E9J3N 40-49 years, male 68.5
GTEX-1399T-0426-SM-5PNVJ 60-69 years, male 67.3
GTEX-1EN7A-0726-SM-7PBXT 40-49 years, male 67.3
GTEX-1H3NZ-1126-SM-9WYT9 60-69 years, male 66.9
GTEX-1IDJH-1026-SM-E9TKH 70-79 years, male 66.8
GTEX-ZAJG-0826-SM-5PNVA 50-59 years, female 66.3
GTEX-11O72-1126-SM-5N9E2 40-49 years, male 66.0
GTEX-148VJ-1526-SM-5Q5DU 70-79 years, male 66.0
GTEX-13JVG-1326-SM-5N9F8 60-69 years, male 65.9
GTEX-14JIY-1126-SM-6EU28 60-69 years, male 65.5
GTEX-X261-1426-SM-4PQZ1 50-59 years, male 65.3
GTEX-ZUA1-0826-SM-4YCDL 40-49 years, male 64.9
GTEX-147F4-1226-SM-5NQAY 50-59 years, male 64.5
GTEX-1O97I-0826-SM-E8VNE 60-69 years, male 64.5
GTEX-RN64-0826-SM-2TC62 50-59 years, male 64.4
GTEX-1GN1V-0826-SM-9KNU6 60-69 years, male 64.4
GTEX-1NV8Z-1526-SM-DTX8X 60-69 years, male 64.1
GTEX-QVJO-1926-SM-2S1QZ 60-69 years, female 63.5
GTEX-WK11-0826-SM-EZ6LH 50-59 years, male 63.2
GTEX-ZYT6-1726-SM-5E44P 30-39 years, male 63.0
GTEX-12ZZY-1126-SM-5DUWQ 60-69 years, male 62.5
GTEX-1EWIQ-1426-SM-7IGOS 70-79 years, female 62.1
GTEX-YJ8O-0926-SM-EAZ2Z 40-49 years, female 61.8
GTEX-14C5O-1326-SM-5S2UW 60-69 years, male 61.7
GTEX-WWYW-1326-SM-3NB2S 50-59 years, female 61.7
GTEX-1JN1M-1026-SM-CNPOS 60-69 years, female 60.2
GTEX-1GTWX-1026-SM-7P8QW 60-69 years, male 59.1
GTEX-1I1GP-0826-SM-A96SD 50-59 years, male 59.0
GTEX-N7MT-1326-SM-2I3FV 60-69 years, female 58.8
GTEX-15CHQ-1526-SM-69LPW 60-69 years, male 58.4
GTEX-14BIN-2226-SM-5YYA1 50-59 years, female 57.7
GTEX-1HT8W-1726-SM-CNNQB 30-39 years, male 57.7
GTEX-15SHW-1226-SM-6M46C 60-69 years, male 57.6
GTEX-13FHP-1026-SM-5K7Y2 50-59 years, male 57.5
GTEX-14A5I-1226-SM-5NQBW 50-59 years, female 57.4
GTEX-13NYB-0226-SM-5N9G4 40-49 years, male 57.3
GTEX-13OW8-2126-SM-5J1OS 60-69 years, male 56.5
GTEX-1N2EF-2826-SM-E6CQF 60-69 years, male 54.0
GTEX-XBEC-1326-SM-4AT69 50-59 years, male 51.5
GTEX-13OW5-1126-SM-5J1NR 60-69 years, male 49.5
GTEX-P44G-0826-SM-2I5ES 30-39 years, male 48.3
Show allShow less

HEART MUSCLE - FANTOM5 CAGEi

RNA expression in human tissues obtained through Cap Analysis of Gene Expression (CAGE) generated by the FANTOM5 project are reported as Scaled Tags Per Million.

Max subtype Scaled Tags Per Millioni

Max subtype Scaled Tags Per Million is the value for the subtype with the largest average Scaled Tags Per Million across the subtype samples.

328.9
FANTOM5 sample id Sample description Scaled Tags Per Million
Heart
Scaled Tags Per Million: 184.9
FF:10016-101C7 70,73,74 years, mixed 184.9
Left atrium
Scaled Tags Per Million: 313.3
FF:10079-102A7 40 years, male 313.3
Left ventricle
Scaled Tags Per Million: 328.9
FF:10078-102A6 73 years, female 328.9

Contact

  • NEWS ARTICLES
  • PRESS ROOM

The Project

  • INTRODUCTION
  • ORGANIZATION
  • PUBLICATIONS

The Human Protein Atlas

  • DOWNLOADABLE DATA
  • LICENCE & CITATION
  • HELP & FAQ
The Human Protein Atlas project is funded
by the Knut & Alice Wallenberg Foundation.


contact@proteinatlas.org