We use cookies to enhance the usability of our website. If you continue, we'll assume that you are happy to receive all cookies. More information. Don't show this again.
DCTN2
HPA
RESOURCES
  • TISSUE
  • BRAIN
  • SINGLE CELL
  • SUBCELLULAR
  • CANCER
  • BLOOD
  • CELL LINE
  • STRUCTURE & INTERACTION
ABOUT
  • INTRODUCTION
  • HISTORY
  • ORGANIZATION
  • PUBLICATIONS
  • ANTIBODY SUBMISSION
  • ANTIBODY AVAILABILITY
  • ACKNOWLEDGMENTS
  • CONTACT
NEWS
  • NEWS ARTICLES
  • PRESS ROOM
LEARN
  • DICTIONARY
  • PROTEIN CLASSES
  • PROTEIN EVIDENCE
  • METHODS
  • EDUCATIONAL VIDEOS
DATA
  • DOWNLOADABLE DATA
  • PUBLICATION DATA
  • RELEASE HISTORY
HELP
  • ANTIBODY VALIDATION
  • ASSAYS & ANNOTATION
  • DISCLAIMER
  • HELP & FAQ
  • PRIVACY STATEMENT
  • LICENCE & CITATION
Fields »
Search result

Field
Term
Gene name
Class
Subclass
Class
Keyword
Chromosome
External id
Tissue
Cell type
Expression
Antibody panel
Tissue
Main location
Patient ID
Annotation
Tissue
Category
Tau score
Cluster
Reliability
Brain region
Category
Tau score
Brain region
Category
Tau score
Brain region
Category
Tau score
Cluster
Reliability
Tissue
Cell type
Enrichment
Cell type
Category
Tau score
Cell type
Category
Tau score
Cell type
Category
Tau score
Cell lineage
Category
Tau score
Cluster
Cluster
Location
Searches
Location
Cell line
Class
Type
Phase
Reliability
Cancer
Prognosis
Cancer
Category
Cancer
Category
Tau score
Cluster
Variants
Interacting gene (ensg_id)
Type
Number of interactions
Pathway
Category
Score
Score
Score
Validation
Validation
Validation
Validation
Antibodies
Data type
Column


  • SUMMARY

  • TISSUE

  • BRAIN

  • SINGLE CELL

  • SUBCELL

  • CANCER

  • BLOOD

  • CELL LINE

  • STRUCT & INT

  • DCTN2
TISSUE PRIMARY DATA SKIN Show tissue menu
ADIPOSE TISSUE ADRENAL GLAND AMYGDALA APPENDIX BASAL GANGLIA BONE MARROW BREAST BRONCHUS CEREBELLUM CEREBRAL CORTEX CERVIX CHOROID PLEXUS COLON DUODENUM
ENDOMETRIUM EPIDIDYMIS ESOPHAGUS FALLOPIAN TUBE GALLBLADDER HEART MUSCLE HIPPOCAMPAL FORMATION HYPOTHALAMUS KIDNEY LIVER LUNG LYMPH NODE MIDBRAIN NASOPHARYNX
ORAL MUCOSA OVARY PANCREAS PARATHYROID GLAND PITUITARY GLAND PLACENTA PROSTATE RECTUM RETINA SALIVARY GLAND SEMINAL VESICLE SKELETAL MUSCLE SKIN SMALL INTESTINE
SMOOTH MUSCLE SOFT TISSUE SPINAL CORD SPLEEN STOMACH TESTIS THYMUS THYROID GLAND TONGUE TONSIL URINARY BLADDER VAGINA
ANTIBODIES
AND
VALIDATION
Dictionary
Skin
Tissue proteome
Skin
SKIN - Expression summary
Protein expression
Skini

On the top, protein expression in current human tissue, based on all annotated cell types, is reported with the units not detected (n), low (l), medium (m) and high (h). Underneath, protein expression in each annotated cell type are reported using the same units.

Protein expression data is based on knowledge-based annotation. For genes where more than one antibody has been used, a collective score is set.

If knowledge-based annotation could not be performed for a gene, no data is displayed here. View antibody staining data further down this page.

h
m
l
n
Epidermal cells: Medium
Fibroblasts: Medium
Keratinocytes: Medium
Langerhans: Medium
Melanocytes: Medium
RNA expressioni

A summary of mRNA expression data available for current tissue based on several datasets. The mRNA expression levels in human tissues are based on RNA-seq data generated by the Human Protein Atlas (HPA), Genotype-Tissue Expression (GTEx) portal and CAGE data generated by the FANTOM5 consortium. Consensus normalized expression levels for human tissues was created by combining the data from HPA and GTEx datasets.

The mRNA expression levels in pig are based on RNA-seq data generated by the Human Protein Atlas (HPA), and for mouse, HPA data and in situ hybridization generated by the Allen brain atlas are reported.

Scroll down to view mRNA expression data in more detail.
Consensus:100.4 nTPM
HPA:66.4 nTPM
GTEx:100.4 nTPM

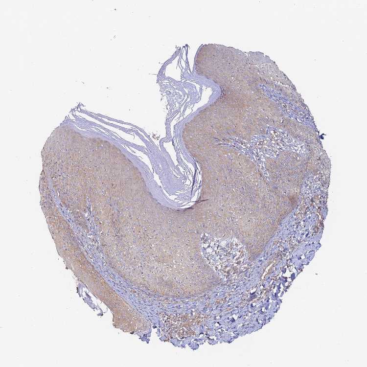
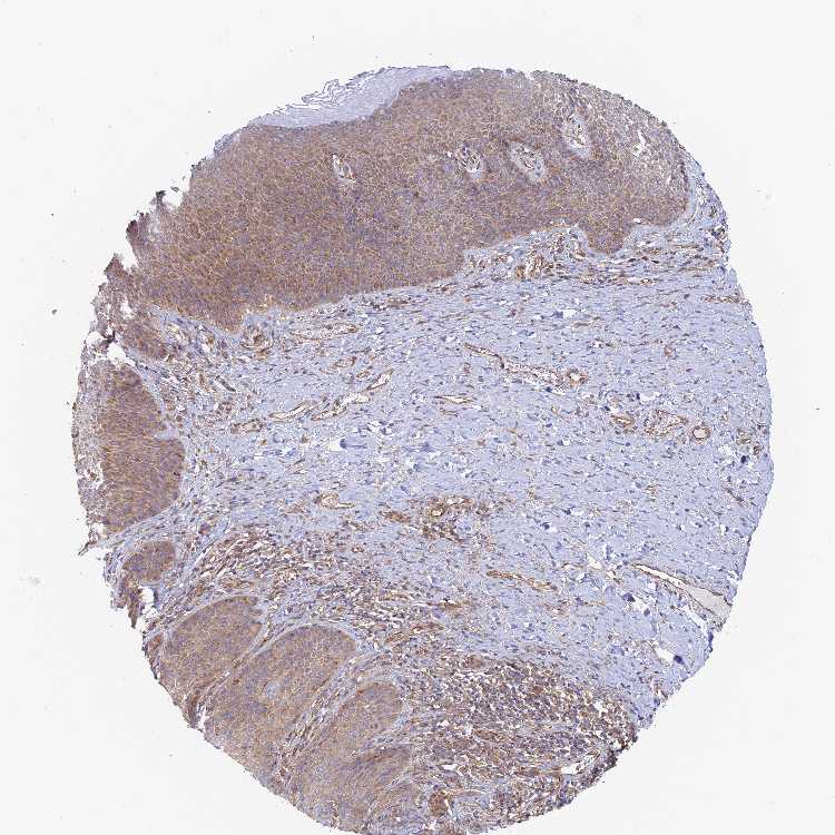
SKIN 1 - Antibody stainingi

Antibody staining in the annotated cell types in the current human tissue is reported as not detected, low, medium, or high, based on conventional immunohistochemistry profiling in selected tissues. This score is based on the combination of the staining intensity and fraction of stained cells.

Each image is clickable and will lead to virtual microscopy that enables deeper exploration of all samples and also displays staining intensity scores, fraction scores and subcellular localization as well as patient and tissue information for each sample.

Antibody HPA039715Antibody HPA040040
Langerhans MediumMedium
Fibroblasts MediumMedium
Keratinocytes MediumMedium
Melanocytes MediumMedium



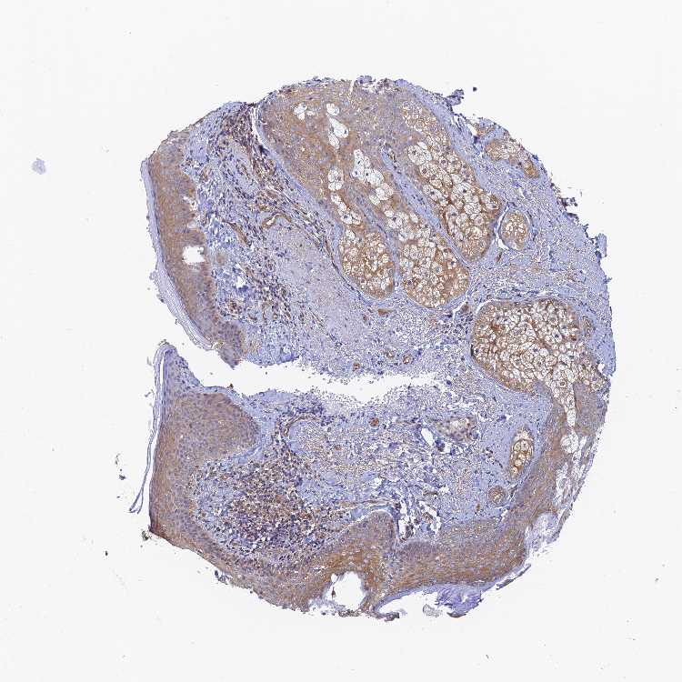
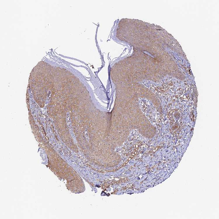
SKIN 2 - Antibody stainingi

Antibody staining in the annotated cell types in the current human tissue is reported as not detected, low, medium, or high, based on conventional immunohistochemistry profiling in selected tissues. This score is based on the combination of the staining intensity and fraction of stained cells.

Each image is clickable and will lead to virtual microscopy that enables deeper exploration of all samples and also displays staining intensity scores, fraction scores and subcellular localization as well as patient and tissue information for each sample.

Antibody HPA039715Antibody HPA040040
Epidermal cells MediumMedium
  
  
  





SKIN - HPA RNA-seqi

The RNA-seq details section shows detailed information about the individual samples used for the transcript profiling and results of the RNA-seq analysis.

Information about each individual sample is listed below, including gender, age, a tissue section image and estimated fractions of cell types. nTPM (normalized transcripts per million) values give a quantification of the gene abundance which is comparable between different genes and samples.
Average nTPMi

Max subtype nTPM is the value for the subtype with the largest average nTPM across the subtype samples.

66.4
overview
Female, age 34
Skin sample 225
nTPM: 77.7
Cell types%
Keratinocytes:
60

Other cell types:
40

overview
Female, age 30
Skin sample 226
nTPM: 65.1
Cell types%
Keratinocytes:
55

Other cell types:
45

N/A
Male, age 57
Skin sample 227
nTPM: 56.3

SKIN - GTEx RNA-seqi

RNA-Seq data generated by the Genotype-Tissue Expression (GTEx) project from human tissues is reported as mean nTPM. More information can be found on the GTEx portal.

Distribution across the dataset is visualized with box plots, shown as median and 25th and 75th percentiles. Points are displayed as outliers if they are above or below 1.5 times the interquartile range. nTPM values of the individual samples are presented next to the box plot.
Max subtype nTPMi

Max subtype nTPM is the value for the subtype with the largest average nTPM across the subtype samples.

100.4
GTEx sample id Sample description nTPM
Skin - Not Sun Exposed (Suprapubic)
Average nTPM: 92.2
Samples: 604

Max nTPM: 177.8
Min nTPM: 54.0
Std nTPM: 19.0
Median nTPM: 89.3
GTEX-WFG7-2026-SM-5SI7P 20-29 years, male 177.8
GTEX-ZTX8-1326-SM-4YCEL 20-29 years, male 175.8
GTEX-1OJC3-1226-SM-DTXER 20-29 years, male 175.3
GTEX-15RIG-0726-SM-7KUM7 40-49 years, male 164.9
GTEX-1N2DV-1526-SM-DTXEP 40-49 years, male 161.7
GTEX-1E2YA-2126-SM-7MXUO 50-59 years, male 160.8
GTEX-1PPH8-0126-SM-EWRN8 20-29 years, male 157.7
GTEX-Y114-2126-SM-4TT8B 50-59 years, female 153.6
GTEX-X585-2426-SM-46MW2 50-59 years, male 153.2
GTEX-1MJK3-0726-SM-E6CJC 20-29 years, male 148.0
GTEX-1PIGE-1826-SM-E8VOU 20-29 years, male 145.8
GTEX-1LKK1-2626-SM-DKPQE 50-59 years, female 143.2
GTEX-1QP9N-1226-SM-E76QN 30-39 years, male 142.9
GTEX-14ICL-1626-SM-5YYAO 30-39 years, male 142.5
GTEX-1S82P-2126-SM-E6CI5 60-69 years, female 141.2
GTEX-1R9PM-1926-SM-EVR3O 20-29 years, male 141.0
GTEX-11DYG-1526-SM-5A5JS 60-69 years, male 136.6
GTEX-ZPCL-1126-SM-4WWFE 60-69 years, female 135.0
GTEX-XBEW-1126-SM-4QARW 40-49 years, male 134.9
GTEX-ZT9X-1526-SM-5DUXD 40-49 years, male 131.5
GTEX-13FTX-1526-SM-5K7VJ 20-29 years, female 129.8
GTEX-WH7G-2026-SM-3NMBL 40-49 years, male 129.7
GTEX-1CAMS-2226-SM-7PBXQ 40-49 years, female 128.9
GTEX-13O61-1426-SM-5KM3D 60-69 years, male 128.3
GTEX-1JMPY-0226-SM-CKZOK 30-39 years, male 128.1
GTEX-11P7K-1126-SM-5HL4L 30-39 years, male 127.9
GTEX-1RAZQ-1326-SM-E9TK6 30-39 years, male 126.6
GTEX-15RIE-1926-SM-7KUKJ 60-69 years, male 126.5
GTEX-YECK-0326-SM-4W1YS 60-69 years, male 126.2
GTEX-Y5V6-2326-SM-4VDSA 60-69 years, male 126.0
GTEX-ZE7O-2726-SM-51MT5 50-59 years, female 125.9
GTEX-WXYG-2026-SM-4E3IY 50-59 years, female 125.4
GTEX-W5X1-2526-SM-3GILC 40-49 years, female 125.3
GTEX-1IKOE-1426-SM-CE6T7 30-39 years, female 125.0
GTEX-1NV5F-0626-SM-DTXEG 60-69 years, female 125.0
GTEX-WI4N-2726-SM-3LK7Y 40-49 years, female 124.3
GTEX-YFCO-1226-SM-5LUAT 40-49 years, male 123.7
GTEX-Y3IK-1626-SM-4YCF5 50-59 years, female 123.6
GTEX-1S5ZU-2526-SM-E6CIF 20-29 years, female 123.1
GTEX-16AAH-0626-SM-793C9 50-59 years, male 122.9
GTEX-18QFQ-1826-SM-72D52 30-39 years, male 122.8
GTEX-17F9E-2326-SM-79OKD 50-59 years, male 122.6
GTEX-17F97-2626-SM-7IGM5 50-59 years, male 122.5
GTEX-14PJ3-1126-SM-5ZZVX 50-59 years, male 122.2
GTEX-ZVZP-1226-SM-5GID7 50-59 years, male 122.2
GTEX-ZYW4-0626-SM-59HJR 60-69 years, male 121.7
GTEX-1EX96-1026-SM-7MKG2 50-59 years, male 120.5
GTEX-1RMOY-1326-SM-E9TIH 50-59 years, male 120.2
GTEX-WHSB-1326-SM-3LK6W 50-59 years, male 118.5
GTEX-1F6I4-2326-SM-7RHGL 60-69 years, male 118.5
GTEX-1S3DN-2126-SM-E9TIN 50-59 years, male 117.9
GTEX-11DXX-2126-SM-5PNYR 60-69 years, female 117.7
GTEX-1JMLX-0626-SM-ARL8T 50-59 years, male 117.6
GTEX-1HSMQ-2626-SM-A9SML 50-59 years, male 116.6
GTEX-12WSJ-1126-SM-5LZVJ 40-49 years, female 116.4
GTEX-ZF29-0926-SM-4WKFZ 60-69 years, female 116.0
GTEX-1LVAN-0626-SM-CNPOQ 50-59 years, female 116.0
GTEX-1PBJJ-1026-SM-E76OS 30-39 years, male 116.0
GTEX-15RJ7-2126-SM-6PAMD 40-49 years, male 115.9
GTEX-WHPG-2626-SM-3NMBR 50-59 years, male 115.6
GTEX-1399Q-2326-SM-5KM2X 40-49 years, male 115.4
GTEX-1RAZS-2526-SM-E6CHT 50-59 years, male 115.1
GTEX-15RJE-2826-SM-7KUM9 40-49 years, male 114.7
GTEX-ZTTD-2826-SM-4YCFA 50-59 years, male 114.6
GTEX-1AYD5-2626-SM-7PBXY 50-59 years, male 114.4
GTEX-1QP2A-1726-SM-E76QC 50-59 years, male 114.4
GTEX-1HBPN-0126-SM-CGQEF 50-59 years, male 114.3
GTEX-1HCU7-0726-SM-A9SL1 50-59 years, male 113.9
GTEX-1NSGN-0726-SM-DTXEF 50-59 years, male 113.8
GTEX-1I1GT-1026-SM-ARZLV 60-69 years, female 113.7
GTEX-11WQC-1826-SM-5GU59 60-69 years, male 112.9
GTEX-14DAR-1226-SM-73KYV 50-59 years, male 112.9
GTEX-Y111-0626-SM-4SOIT 50-59 years, male 112.9
GTEX-14PJO-2526-SM-6AJBQ 60-69 years, male 112.6
GTEX-1LVAM-0726-SM-E6CIL 50-59 years, female 112.5
GTEX-1QP28-1126-SM-EVYC4 50-59 years, female 112.4
GTEX-1HGF4-0126-SM-CNPPX 60-69 years, male 112.3
GTEX-1192X-2726-SM-5N9DN 50-59 years, male 112.2
GTEX-13IVO-0726-SM-5LZYV 70-79 years, male 112.2
GTEX-14PHY-1226-SM-5ZZWK 60-69 years, female 112.2
GTEX-1GZ4H-0526-SM-9KNU9 50-59 years, female 112.2
GTEX-1F52S-2926-SM-7MKGA 60-69 years, female 111.9
GTEX-1QPFJ-1926-SM-EVYBD 30-39 years, female 111.9
GTEX-11DXZ-2026-SM-5987S 50-59 years, male 111.4
GTEX-WHWD-1826-SM-3LK6I 50-59 years, male 111.4
GTEX-11OF3-0126-SM-5PNYF 60-69 years, male 111.1
GTEX-16YQH-2226-SM-7IGM2 30-39 years, male 111.1
GTEX-1399S-0126-SM-5IJCF 30-39 years, female 111.0
GTEX-1S82U-1026-SM-E6CJK 30-39 years, female 111.0
GTEX-14PHX-2226-SM-6EU2P 50-59 years, male 110.9
GTEX-ZYT6-2326-SM-5GZY3 30-39 years, male 110.5
GTEX-Y3I4-1726-SM-4TT89 50-59 years, male 110.2
GTEX-1IY9M-2826-SM-ARU8H 60-69 years, male 110.2
GTEX-1JMQJ-0826-SM-CNPP7 50-59 years, male 110.2
GTEX-14E1K-2026-SM-7DUEI 50-59 years, male 110.0
GTEX-1QCLY-0226-SM-EWRNH 30-39 years, male 109.7
GTEX-13PDP-0726-SM-5L3HP 60-69 years, male 109.6
GTEX-1PIIG-2326-SM-DTXFR 30-39 years, male 109.6
GTEX-13G51-1826-SM-5KLZH 60-69 years, male 108.8
GTEX-131XG-0326-SM-5L3DX 50-59 years, female 108.7
GTEX-1GN1V-2826-SM-9JGIA 60-69 years, male 108.6
GTEX-1J8EW-2726-SM-CY8HR 60-69 years, female 108.5
GTEX-1HCUA-0826-SM-ADEHM 50-59 years, female 108.4
GTEX-17F96-0126-SM-7EWDU 70-79 years, male 108.3
GTEX-1JJEA-1826-SM-ARU8P 60-69 years, male 108.3
GTEX-14PII-0726-SM-6EU2B 60-69 years, male 108.1
GTEX-1GPI7-1826-SM-9KNU1 20-29 years, male 108.1
GTEX-147F4-0726-SM-5TDDD 50-59 years, male 107.6
GTEX-139YR-1026-SM-5LZYN 50-59 years, male 107.5
GTEX-18D9A-1426-SM-7LT8M 30-39 years, female 107.4
GTEX-15SHW-0226-SM-7LTAT 60-69 years, male 107.1
GTEX-ZLV1-1526-SM-DO91J 60-69 years, female 107.1
GTEX-16MTA-0926-SM-6M47Z 50-59 years, male 107.0
GTEX-13NYS-0626-SM-5L3F1 60-69 years, male 106.8
GTEX-1S83E-1326-SM-E6CJM 40-49 years, male 106.7
GTEX-131XF-2626-SM-5EQ6K 60-69 years, male 106.6
GTEX-14AS3-1526-SM-5Q5ED 40-49 years, female 106.5
GTEX-17MFQ-1526-SM-7KFRR 20-29 years, male 106.1
GTEX-1JK1U-0226-SM-ARZMX 60-69 years, male 106.1
GTEX-13FTY-2126-SM-5IFFB 40-49 years, female 106.0
GTEX-1LGRB-0926-SM-COH3K 50-59 years, female 105.7
GTEX-1PDJ9-1226-SM-EXUSX 20-29 years, male 105.7
GTEX-WY7C-2126-SM-3NB2R 50-59 years, male 105.5
GTEX-1C64N-2626-SM-7PC2N 50-59 years, male 105.5
GTEX-1H2FU-0926-SM-9WPPT 60-69 years, female 105.5
GTEX-145MN-1526-SM-5SI9T 30-39 years, male 105.4
GTEX-13NYB-0126-SM-5J1MD 40-49 years, male 105.3
GTEX-ZY6K-1426-SM-5GZX2 50-59 years, male 105.0
GTEX-139TS-2126-SM-5K7XC 60-69 years, male 104.8
GTEX-UPJH-0226-SM-3GADV 50-59 years, male 104.7
GTEX-ZDTT-0426-SM-4WKFL 60-69 years, male 104.6
GTEX-13OW5-2326-SM-5L3HO 60-69 years, male 104.5
GTEX-1F75I-2226-SM-7SB8U 40-49 years, male 104.5
GTEX-1BAJH-2426-SM-7IGP8 70-79 years, male 104.4
GTEX-Y8E4-2026-SM-5IFJB 40-49 years, male 104.3
GTEX-15ER7-0626-SM-6PANF 20-29 years, female 104.2
GTEX-Y9LG-1126-SM-4VBQ7 30-39 years, male 104.2
GTEX-12WSH-1526-SM-5BC5W 50-59 years, male 104.1
GTEX-11P81-2226-SM-5PNYI 30-39 years, female 104.0
GTEX-18A66-0626-SM-7LT8Z 60-69 years, male 104.0
GTEX-1MCYP-0526-SM-E9U6Q 20-29 years, female 103.6
GTEX-15UF6-1926-SM-7KUDV 70-79 years, female 103.4
GTEX-YEC4-1826-SM-4W1YP 40-49 years, male 103.3
GTEX-1CAMQ-1326-SM-7P8RV 40-49 years, male 103.3
GTEX-18A67-1626-SM-7LT9T 50-59 years, male 103.2
GTEX-18A6Q-0626-SM-7KFRP 60-69 years, male 103.2
GTEX-139TU-0726-SM-5L3EK 60-69 years, male 103.1
GTEX-13JVG-0726-SM-5KM16 60-69 years, male 103.0
GTEX-1GMRU-2126-SM-7P8RA 50-59 years, male 102.9
GTEX-12126-0826-SM-5FQTZ 20-29 years, male 102.8
GTEX-13QJC-0126-SM-5ZZWJ 60-69 years, female 102.6
GTEX-1LBAC-0826-SM-CY8IJ 20-29 years, male 102.5
GTEX-1PPH7-1126-SM-DTX9A 40-49 years, male 102.4
GTEX-1A3MV-1826-SM-731CD 30-39 years, male 102.1
GTEX-ZC5H-1526-SM-5HL9Y 40-49 years, female 102.1
GTEX-ZP4G-1426-SM-4WWCL 20-29 years, female 102.0
GTEX-ZDYS-2426-SM-4WKGI 50-59 years, male 101.9
GTEX-ZF3C-0626-SM-DO92O 50-59 years, female 101.8
GTEX-111VG-1626-SM-5EGIO 60-69 years, male 101.7
GTEX-WHSE-0126-SM-3NMBT 20-29 years, male 101.7
GTEX-139UW-0326-SM-5J1ML 60-69 years, male 101.5
GTEX-1GF9X-1326-SM-7PC2Y 40-49 years, female 101.3
GTEX-14C39-1726-SM-5RQIL 40-49 years, male 101.1
GTEX-12WSD-0626-SM-5GCMW 60-69 years, female 100.8
GTEX-144GO-2026-SM-5O99P 60-69 years, male 100.8
GTEX-ZF2S-1626-SM-57WES 50-59 years, female 100.8
GTEX-14PJ5-1526-SM-6LLIL 60-69 years, female 100.5
GTEX-18D9U-0126-SM-731BM 40-49 years, male 100.5
GTEX-1RLM8-2926-SM-E8VON 50-59 years, male 100.4
GTEX-11PRG-0726-SM-5EGL1 50-59 years, male 100.3
GTEX-1I1GP-1326-SM-A9G28 50-59 years, male 100.3
GTEX-1S831-1826-SM-EWROF 20-29 years, male 100.3
GTEX-11DZ1-2426-SM-5GZZX 50-59 years, male 100.2
GTEX-12ZZX-2426-SM-5GCOE 40-49 years, female 100.2
GTEX-111YS-1526-SM-5GZYW 60-69 years, male 100.1
GTEX-17HHE-1326-SM-7EWDZ 50-59 years, male 99.9
GTEX-1399U-1126-SM-5L3DB 50-59 years, female 99.8
GTEX-13X6H-0926-SM-5SIB2 50-59 years, female 99.8
GTEX-ZZPU-0826-SM-5GZX5 50-59 years, female 99.8
GTEX-1K2DU-1226-SM-CYPT4 20-29 years, male 99.7
GTEX-111CU-1126-SM-5EGIM 50-59 years, male 99.6
GTEX-1117F-2926-SM-5GZYI 60-69 years, female 99.5
GTEX-12ZZZ-0726-SM-5GCNZ 60-69 years, male 99.5
GTEX-1LSNM-0826-SM-DIPG8 50-59 years, male 99.3
GTEX-11ZU8-0126-SM-5EQ58 60-69 years, male 99.2
GTEX-1IE54-1126-SM-A9G2Z 40-49 years, female 98.7
GTEX-1KAFJ-0126-SM-DIPEK 50-59 years, male 98.6
GTEX-1122O-1026-SM-9WYSF 60-69 years, female 98.5
GTEX-1LVA9-2626-SM-EVYD4 50-59 years, male 98.5
GTEX-145MH-2826-SM-5RQJF 50-59 years, male 98.4
GTEX-14PKV-1126-SM-6LLJ1 20-29 years, female 98.4
GTEX-1H1CY-0126-SM-9YFLY 60-69 years, female 98.4
GTEX-YEC3-1326-SM-DO92X 50-59 years, male 98.4
GTEX-ZVP2-0326-SM-57WBP 50-59 years, male 98.3
GTEX-ZWKS-0626-SM-5GIDV 30-39 years, male 98.3
GTEX-1313W-0626-SM-5EQ4H 50-59 years, female 98.2
GTEX-17HII-1426-SM-7EPGG 50-59 years, male 98.1
GTEX-145LU-1926-SM-79OJN 50-59 years, male 98.0
GTEX-13SLX-2226-SM-62LEP 50-59 years, female 97.9
GTEX-1R9PN-0426-SM-DTXDT 40-49 years, female 97.6
GTEX-ZLFU-1826-SM-4WWBV 40-49 years, male 97.4
GTEX-1IKJJ-2226-SM-CJI4C 60-69 years, male 97.4
GTEX-XYKS-1426-SM-4BRUO 60-69 years, female 97.3
GTEX-1O9I2-0226-SM-EYYXD 50-59 years, male 97.2
GTEX-1HC8U-1326-SM-9YFMJ 40-49 years, female 97.1
GTEX-133LE-2326-SM-5K7W3 20-29 years, female 96.9
GTEX-1OJC4-2726-SM-E76PJ 50-59 years, female 96.9
GTEX-14753-0726-SM-5QGQO 60-69 years, male 96.7
GTEX-14LZ3-0126-SM-69LPM 60-69 years, female 96.7
GTEX-1B8KE-1126-SM-7EPHI 50-59 years, male 96.7
GTEX-15DDE-2926-SM-6LLJ3 50-59 years, female 96.6
GTEX-X3Y1-2026-SM-3P5YM 40-49 years, male 96.6
GTEX-1H3O1-1326-SM-9MQLD 60-69 years, male 96.6
GTEX-13112-0126-SM-5P9IU 50-59 years, male 96.5
GTEX-17F98-1326-SM-7DUEP 40-49 years, female 96.5
GTEX-1H11D-1826-SM-9QEHM 40-49 years, male 96.5
GTEX-1C6VQ-1226-SM-73KYD 50-59 years, male 96.4
GTEX-1QAET-0326-SM-EVR3U 50-59 years, male 96.4
GTEX-17F9Y-0126-SM-79OKX 70-79 years, female 96.2
GTEX-1F6RS-2026-SM-7RHHC 60-69 years, female 96.1
GTEX-13YAN-0226-SM-5TDC6 60-69 years, male 96.0
GTEX-15G1A-1626-SM-7KUKN 30-39 years, male 96.0
GTEX-ZAB4-2126-SM-5HL8U 40-49 years, male 95.9
GTEX-ZZ64-1026-SM-5GZXG 20-29 years, male 95.9
GTEX-13OVK-1426-SM-6PAN7 40-49 years, male 95.8
GTEX-147GR-2426-SM-5ZZWQ 60-69 years, male 95.8
GTEX-XQ8I-0926-SM-4BOOF 50-59 years, male 95.8
GTEX-1HSMP-0926-SM-A9SKX 70-79 years, male 95.8
GTEX-12WSF-1626-SM-7KUG5 70-79 years, male 95.7
GTEX-11VI4-1126-SM-5EQMD 40-49 years, female 95.3
GTEX-15DYW-2726-SM-6EU2I 60-69 years, female 95.3
GTEX-1CAMR-1326-SM-7PC1F 20-29 years, male 95.2
GTEX-ZDTS-0826-SM-4WKHL 60-69 years, male 95.1
GTEX-1HBPI-2126-SM-ARL9K 50-59 years, male 94.7
GTEX-139D8-1126-SM-5LU8W 30-39 years, female 94.6
GTEX-14PJ4-0226-SM-5YY92 60-69 years, male 94.4
GTEX-1GN73-0726-SM-7P8TJ 60-69 years, male 94.3
GTEX-Z93S-1626-SM-5CVMB 50-59 years, male 94.2
GTEX-1HFI7-2326-SM-CGQFS 50-59 years, female 94.2
GTEX-1R9K4-2826-SM-DTX8F 60-69 years, male 94.2
GTEX-11DXY-0126-SM-5H11Q 60-69 years, male 94.1
GTEX-13PL6-1126-SM-5L3IE 40-49 years, female 94.0
GTEX-1R7EU-1626-SM-DTXG3 60-69 years, male 94.0
GTEX-11NSD-0626-SM-5A5LU 20-29 years, male 93.8
GTEX-14PJN-1826-SM-6AJ98 30-39 years, male 93.8
GTEX-WEY5-2326-SM-3GIKK 40-49 years, female 93.8
GTEX-1HCU6-2526-SM-ADEHL 60-69 years, female 93.8
GTEX-16BQI-1326-SM-6M486 30-39 years, female 93.6
GTEX-1C6WA-2626-SM-7MKGM 60-69 years, male 93.6
GTEX-1F75A-0726-SM-7RHHD 50-59 years, male 93.6
GTEX-144GM-0526-SM-79OJO 20-29 years, male 93.5
GTEX-ZAK1-0626-SM-5HL8E 50-59 years, female 93.5
GTEX-1GF9V-0826-SM-9KNUV 60-69 years, male 93.4
GTEX-1J1OQ-0126-SM-D4P2N 40-49 years, female 93.3
GTEX-YB5K-2026-SM-4VDT3 40-49 years, female 93.1
GTEX-147F3-1726-SM-5SIAW 50-59 years, female 93.0
GTEX-14C5O-0326-SM-5ZZUX 60-69 years, male 92.9
GTEX-1A3MW-0626-SM-731CB 60-69 years, female 92.9
GTEX-XV7Q-1826-SM-4BRUV 40-49 years, female 92.9
GTEX-1J1R8-2026-SM-CL53Y 40-49 years, male 92.8
GTEX-11ZTT-2126-SM-5CVLO 60-69 years, female 92.7
GTEX-139TT-2126-SM-5LZWC 60-69 years, male 92.7
GTEX-1POEN-2326-SM-E9J2L 30-39 years, female 92.4
GTEX-13D11-0926-SM-5J2NC 50-59 years, female 92.3
GTEX-18D9B-0926-SM-7LG4U 60-69 years, male 92.3
GTEX-11WQK-1026-SM-5EQLX 50-59 years, male 92.0
GTEX-13RTJ-0126-SM-5S2NN 60-69 years, male 92.0
GTEX-17HGU-2326-SM-7DUFE 50-59 years, male 91.8
GTEX-ZAJG-1526-SM-5CVML 50-59 years, female 91.8
GTEX-1CB4H-1126-SM-7MKGL 60-69 years, female 91.7
GTEX-12WSL-2026-SM-5GCML 50-59 years, male 91.3
GTEX-1HR98-2226-SM-ADEI2 60-69 years, male 91.3
GTEX-1A8G6-2726-SM-731AR 60-69 years, male 91.2
GTEX-1C64O-1326-SM-7MGWR 60-69 years, male 91.2
GTEX-1ICLZ-0326-SM-ARL82 60-69 years, male 91.1
GTEX-1IDJC-1526-SM-B2LW4 50-59 years, male 91.1
GTEX-XAJ8-1426-SM-47JYM 40-49 years, male 91.0
GTEX-ZXG5-2126-SM-59HKD 60-69 years, male 91.0
GTEX-13FHO-0426-SM-5L3F5 60-69 years, male 90.9
GTEX-ZA64-1026-SM-5HL8R 20-29 years, male 90.9
GTEX-144FL-0626-SM-5LU43 50-59 years, male 90.8
GTEX-144GL-0626-SM-5LU4D 50-59 years, male 90.8
GTEX-1H1ZS-2726-SM-9WG75 70-79 years, male 90.7
GTEX-14PK6-0226-SM-62LF5 70-79 years, female 90.6
GTEX-145MG-1526-SM-5Q5EM 50-59 years, male 90.5
GTEX-UPK5-0426-SM-3GAEK 40-49 years, male 90.5
GTEX-1AX9I-2226-SM-73KUO 60-69 years, male 90.4
GTEX-13PVR-0426-SM-5RQK2 60-69 years, female 90.3
GTEX-16NPX-0726-SM-7KULC 50-59 years, male 90.3
GTEX-X5EB-1926-SM-4E3IW 40-49 years, male 90.3
GTEX-1EMGI-2326-SM-7PBYA 60-69 years, male 90.3
GTEX-17KNJ-2126-SM-718AM 50-59 years, male 90.2
GTEX-1JMQK-1226-SM-D4P2S 60-69 years, male 90.2
GTEX-1CB4E-0926-SM-7EPHT 60-69 years, male 90.0
GTEX-XQ3S-1426-SM-4BOPR 20-29 years, male 89.8
GTEX-1JN76-0626-SM-CKZOQ 20-29 years, female 89.7
GTEX-ZE9C-2526-SM-5IJDR 60-69 years, male 89.6
GTEX-1JJ6O-2726-SM-CNPOG 60-69 years, male 89.6
GTEX-1C2JI-1026-SM-73KY1 50-59 years, male 89.5
GTEX-1HFI6-0126-SM-CNPPI 40-49 years, male 89.4
GTEX-12WSK-2126-SM-5CVNC 40-49 years, female 89.3
GTEX-13OVJ-0826-SM-5J1OK 50-59 years, female 89.3
GTEX-14BIN-1126-SM-5RQJZ 50-59 years, female 89.3
GTEX-1E1VI-0326-SM-793D1 50-59 years, male 89.3
GTEX-12BJ1-0926-SM-5EQ62 60-69 years, male 89.2
GTEX-148VJ-0626-SM-5LUAW 70-79 years, male 88.9
GTEX-18A7A-0126-SM-731AH 50-59 years, female 88.5
GTEX-1HB9E-0126-SM-CM2S5 50-59 years, male 88.5
GTEX-15EO6-2426-SM-6PALZ 50-59 years, male 88.4
GTEX-1F5PK-2226-SM-7SB6N 50-59 years, male 88.4
GTEX-1KANB-2826-SM-CY8I6 50-59 years, male 88.4
GTEX-XBED-1926-SM-47JYP 60-69 years, male 88.3
GTEX-XXEK-1626-SM-4BRUZ 50-59 years, male 88.3
GTEX-1GZ2Q-0126-SM-9WG6M 40-49 years, male 88.3
GTEX-1PPGY-1626-SM-EVYBL 60-69 years, male 88.3
GTEX-131XH-0126-SM-5LZUY 50-59 years, male 88.1
GTEX-1AX8Z-0726-SM-73KTS 60-69 years, male 88.1
GTEX-12ZZY-0726-SM-5EQ66 60-69 years, male 87.9
GTEX-146FQ-2126-SM-5RQHU 30-39 years, male 87.9
GTEX-183WM-0326-SM-72D5V 70-79 years, female 87.9
GTEX-15FZZ-0526-SM-7KUGD 30-39 years, female 87.8
GTEX-1MCC2-1826-SM-DIPEX 30-39 years, female 87.7
GTEX-XUW1-0926-SM-4BONX 50-59 years, female 87.5
GTEX-1HT8W-0626-SM-A9G2H 30-39 years, male 87.5
GTEX-14JG1-1526-SM-5YY9X 40-49 years, male 87.4
GTEX-1B97I-0626-SM-73KUZ 40-49 years, male 87.3
GTEX-1KXAM-1626-SM-D3LAD 60-69 years, male 87.3
GTEX-12C56-1526-SM-5FQUQ 20-29 years, male 87.1
GTEX-13X6I-1826-SM-5SIAO 60-69 years, male 87.1
GTEX-15SKB-2826-SM-6PAMH 60-69 years, male 87.1
GTEX-1JKYN-0826-SM-ARU8S 30-39 years, male 87.1
GTEX-14ABY-2026-SM-62LDL 50-59 years, male 86.9
GTEX-16NGA-0726-SM-731AO 40-49 years, female 86.9
GTEX-ZVE1-0726-SM-51MRN 50-59 years, female 86.9
GTEX-1QP29-1826-SM-DTX9S 50-59 years, male 86.9
GTEX-14E6E-0526-SM-793DN 30-39 years, male 86.8
GTEX-1GN1W-2426-SM-9KNUU 50-59 years, female 86.8
GTEX-1CB4F-1026-SM-7DUH1 60-69 years, male 86.6
GTEX-1LB8K-0726-SM-D5OV2 50-59 years, male 86.6
GTEX-1I6K6-1726-SM-CGQFD 30-39 years, male 86.5
GTEX-1H1E6-0426-SM-9WYUS 30-39 years, male 86.3
GTEX-17HHY-0426-SM-7DHLC 50-59 years, male 86.2
GTEX-1B933-2426-SM-7DHMD 50-59 years, female 86.2
GTEX-1EU9M-1426-SM-793AI 60-69 years, male 86.1
GTEX-11LCK-2226-SM-5HL4Q 30-39 years, male 86.0
GTEX-11P82-1426-SM-DTXFY 20-29 years, male 85.7
GTEX-1M4P7-0726-SM-E6CJ3 60-69 years, male 85.6
GTEX-15CHR-1126-SM-7EWF4 50-59 years, male 85.5
GTEX-1EH9U-2826-SM-7DUGT 60-69 years, male 85.5
GTEX-X8HC-0626-SM-4E3HQ 50-59 years, female 85.5
GTEX-WRHU-2826-SM-3MJG8 50-59 years, female 85.4
GTEX-1H1DE-1326-SM-9KNUG 20-29 years, male 85.4
GTEX-1R46S-2426-SM-E76QA 60-69 years, female 85.3
GTEX-11O72-0626-SM-5PNYE 40-49 years, male 85.2
GTEX-13N11-2326-SM-5IJBF 50-59 years, female 85.1
GTEX-16MT9-0126-SM-7EPI8 60-69 years, female 85.1
GTEX-1RAZR-2126-SM-E9U6T 40-49 years, male 85.1
GTEX-13X6K-0626-SM-5LU5D 60-69 years, female 84.9
GTEX-ZYFG-1526-SM-5GZYM 60-69 years, female 84.9
GTEX-1K2DA-1026-SM-CGQGF 50-59 years, male 84.9
GTEX-13O3O-2326-SM-5IJD6 60-69 years, female 84.8
GTEX-X4EO-2926-SM-4E3JH 60-69 years, female 84.8
GTEX-16MT8-2926-SM-7DUFO 60-69 years, female 84.7
GTEX-Y8LW-1526-SM-5IFHL 50-59 years, female 84.7
GTEX-1I6K7-1926-SM-B2LXR 40-49 years, male 84.7
GTEX-14A5H-0826-SM-5QGPJ 60-69 years, male 84.6
GTEX-1GTWX-2026-SM-9YFLM 60-69 years, male 84.6
GTEX-1J8Q2-2626-SM-ACKWQ 60-69 years, male 84.6
GTEX-1AX9J-1326-SM-731BJ 60-69 years, male 84.5
GTEX-1B8SF-0126-SM-7DUG3 60-69 years, male 84.4
GTEX-1497J-0226-SM-5QGPU 60-69 years, male 84.2
GTEX-15G19-2426-SM-7KUMR 60-69 years, male 84.0
GTEX-1GPI6-1926-SM-9KNV7 60-69 years, male 84.0
GTEX-15EU6-2226-SM-6EU2L 50-59 years, male 83.9
GTEX-1GL5R-1326-SM-7RHHF 50-59 years, male 83.9
GTEX-1IDJI-0126-SM-CMKHS 50-59 years, female 83.8
GTEX-14PJ6-2626-SM-6EU2T 60-69 years, female 83.7
GTEX-ZPU1-1126-SM-4YCF3 40-49 years, male 83.7
GTEX-1I1GV-0626-SM-ARL7M 60-69 years, male 83.7
GTEX-1RB15-1326-SM-E76Q9 60-69 years, male 83.7
GTEX-14B4R-1326-SM-5Q5EZ 30-39 years, male 83.6
GTEX-1LSVX-2526-SM-DIPEU 60-69 years, male 83.6
GTEX-13FTW-0326-SM-5K7UW 40-49 years, male 83.4
GTEX-XPVG-2126-SM-4B667 50-59 years, male 83.4
GTEX-13SLW-0626-SM-5Q5ER 70-79 years, male 83.1
GTEX-XBEC-0726-SM-4QARZ 50-59 years, male 83.1
GTEX-1C6VR-0126-SM-7RHGB 60-69 years, male 83.1
GTEX-1HKZK-0726-SM-ACKW2 40-49 years, male 83.1
GTEX-13VXT-1926-SM-5K7UO 20-29 years, female 83.0
GTEX-14A6H-2026-SM-5Q5DD 30-39 years, male 83.0
GTEX-1N2EE-0626-SM-E76PW 60-69 years, male 83.0
GTEX-11NUK-2726-SM-5A5MC 50-59 years, male 82.9
GTEX-1IDJU-1726-SM-CMKHU 60-69 years, female 82.9
GTEX-145MF-0926-SM-5Q5EA 50-59 years, male 82.8
GTEX-1AMFI-1326-SM-7939R 50-59 years, female 82.8
GTEX-WFON-1926-SM-3LK7L 40-49 years, male 82.8
GTEX-131XW-0626-SM-5PNVD 50-59 years, female 82.7
GTEX-U8XE-0226-SM-4E3J3 30-39 years, male 82.7
GTEX-1HBPM-0726-SM-9YFL7 60-69 years, female 82.7
GTEX-ZPIC-0526-SM-DO91W 40-49 years, female 82.7
GTEX-11EQ9-1626-SM-5PNY8 30-39 years, male 82.5
GTEX-1HSKV-1226-SM-ADEI4 60-69 years, male 82.5
GTEX-1KD5A-0126-SM-E9U54 50-59 years, male 82.5
GTEX-12584-0726-SM-5FQTK 40-49 years, male 82.2
GTEX-139T8-0626-SM-5KLZX 60-69 years, male 82.2
GTEX-13W3W-0726-SM-5IJDQ 60-69 years, female 82.0
GTEX-1GMR2-0826-SM-7PC3V 50-59 years, male 81.9
GTEX-1IDJH-0126-SM-D3L92 70-79 years, male 81.9
GTEX-ZVT2-0126-SM-5GIDQ 50-59 years, female 81.8
GTEX-ZYFC-0426-SM-5GICQ 50-59 years, male 81.8
GTEX-17EVQ-0126-SM-7IGLR 70-79 years, male 81.7
GTEX-1GZ4I-2626-SM-9KNU3 50-59 years, male 81.6
GTEX-1IOXB-2726-SM-CM2RI 50-59 years, male 81.6
GTEX-1JKYR-0626-SM-ARL8R 20-29 years, male 81.6
GTEX-1JMOU-1026-SM-CYPSS 60-69 years, female 81.6
GTEX-V1D1-2026-SM-3GAF4 50-59 years, male 81.4
GTEX-ZT9W-1126-SM-57WDR 50-59 years, male 81.4
GTEX-ZVT4-2426-SM-5GIEI 50-59 years, female 81.1
GTEX-1HSGN-0826-SM-ACKW3 40-49 years, female 81.1
GTEX-1F88F-0126-SM-9WYSZ 60-69 years, female 81.0
GTEX-1GF9W-1426-SM-7PBYM 60-69 years, male 80.9
GTEX-1QW4Y-1126-SM-DTXE3 30-39 years, male 80.9
GTEX-1RAZA-2226-SM-E9U4X 20-29 years, male 80.8
GTEX-ZGAY-1826-SM-DO91Q 40-49 years, female 80.8
GTEX-18A7B-2726-SM-7LG56 70-79 years, male 80.7
GTEX-1QEPI-2626-SM-DTXF4 60-69 years, female 80.7
GTEX-12WSA-0426-SM-5EQ5X 60-69 years, male 80.6
GTEX-14JFF-0626-SM-5ZZVT 60-69 years, male 80.6
GTEX-1F48J-0726-SM-7RHGS 50-59 years, female 80.6
GTEX-1HR9M-2226-SM-CNPPY 60-69 years, male 80.6
GTEX-1N5O9-0926-SM-E9J3C 60-69 years, male 80.6
GTEX-145ME-1726-SM-5Q5EU 40-49 years, female 80.5
GTEX-1F75B-0726-SM-7PC3R 50-59 years, male 80.5
GTEX-13113-1626-SM-5EQ4I 60-69 years, female 80.4
GTEX-1211K-1526-SM-5FQU4 60-69 years, female 80.2
GTEX-1HCVE-2726-SM-CL54F 50-59 years, male 80.1
GTEX-1JMQI-1726-SM-ARL93 50-59 years, male 80.1
GTEX-117YX-1926-SM-5GIEC 50-59 years, male 79.9
GTEX-1KANA-1326-SM-DIPFA 20-29 years, male 79.9
GTEX-1QP66-1226-SM-DTX7U 50-59 years, male 79.9
GTEX-13O3Q-0126-SM-5KM34 50-59 years, male 79.8
GTEX-1IDJF-2026-SM-CL53V 20-29 years, male 79.8
GTEX-145MO-2826-SM-5LU96 60-69 years, male 79.7
GTEX-ZYVF-0926-SM-5E44J 50-59 years, female 79.7
GTEX-11TT1-1826-SM-5EQLV 20-29 years, male 79.6
GTEX-13OW6-2726-SM-5J2OE 50-59 years, male 79.6
GTEX-1F6IF-0926-SM-7SB7M 60-69 years, male 79.6
GTEX-1I1GS-2626-SM-B2LY3 60-69 years, male 79.6
GTEX-YJ8O-2526-SM-5HL85 40-49 years, female 79.4
GTEX-1JJE9-2626-SM-ARZMT 70-79 years, male 79.3
GTEX-XOT4-0626-SM-4B66L 60-69 years, female 79.2
GTEX-1F5PL-0926-SM-7PC2W 40-49 years, female 79.2
GTEX-1A32A-0626-SM-731AQ 50-59 years, female 78.9
GTEX-14JG6-1426-SM-9WG7C 30-39 years, female 78.9
GTEX-1H4P4-2126-SM-9WYSL 50-59 years, male 78.9
GTEX-14E6C-2426-SM-5S2NF 40-49 years, male 78.8
GTEX-XK95-0226-SM-4AT58 40-49 years, male 78.7
GTEX-14C38-0726-SM-5SI6M 50-59 years, male 78.5
GTEX-11EQ8-0926-SM-5H12V 60-69 years, male 78.4
GTEX-1EWIQ-0326-SM-7DHMQ 70-79 years, female 78.3
GTEX-1LVAO-2726-SM-E9TJ8 60-69 years, male 78.3
GTEX-1L5NE-1126-SM-D3L9P 50-59 years, male 78.2
GTEX-1C475-1326-SM-7SB73 40-49 years, female 78.1
GTEX-1JMQL-2226-SM-CNPP4 50-59 years, female 78.1
GTEX-1GMR8-0626-SM-7RHI7 50-59 years, female 78.0
GTEX-1H1DG-2426-SM-9QEHJ 70-79 years, male 78.0
GTEX-1QMI2-2526-SM-E8VNZ 60-69 years, male 78.0
GTEX-13VXU-0626-SM-5L3F9 50-59 years, male 77.9
GTEX-18465-2826-SM-7LT9J 50-59 years, male 77.9
GTEX-1IDFM-0326-SM-ARL7V 60-69 years, male 77.8
GTEX-12KS4-2126-SM-5FQUT 30-39 years, male 77.7
GTEX-1GN1U-0626-SM-9MQL9 50-59 years, female 77.7
GTEX-15CHC-1126-SM-6LLHQ 60-69 years, female 77.5
GTEX-11GS4-0226-SM-5HL77 60-69 years, male 77.3
GTEX-1CAV2-0126-SM-7IGN7 40-49 years, female 77.3
GTEX-12WSM-1926-SM-5BC65 60-69 years, male 77.2
GTEX-15CHQ-0326-SM-69LQD 60-69 years, male 77.2
GTEX-1CB4I-0126-SM-7RHGG 50-59 years, male 77.2
GTEX-1IDJE-1426-SM-ADEIW 50-59 years, female 77.1
GTEX-1399R-1326-SM-5PNYS 30-39 years, male 76.9
GTEX-14LLW-2626-SM-62LDZ 70-79 years, female 76.7
GTEX-1IL2V-1926-SM-B2LW8 70-79 years, male 76.7
GTEX-ZVTK-0226-SM-51MRG 20-29 years, male 76.6
GTEX-11ZUS-2626-SM-5FQUR 30-39 years, male 76.5
GTEX-111FC-2526-SM-5GZXU 60-69 years, male 76.4
GTEX-11UD2-2526-SM-5CVNU 50-59 years, male 76.3
GTEX-VJYA-1526-SM-3GIJV 60-69 years, male 76.3
GTEX-X4EP-0626-SM-3P621 60-69 years, female 76.3
GTEX-1EN7A-2426-SM-793DB 40-49 years, male 76.2
GTEX-1H1DF-1126-SM-9WG7G 40-49 years, female 76.2
GTEX-13X6J-0626-SM-5LU5F 50-59 years, male 76.1
GTEX-1GZHY-0626-SM-9KNVC 50-59 years, female 76.1
GTEX-13FLV-0126-SM-5K7WT 50-59 years, male 75.9
GTEX-ZLWG-0826-SM-59888 50-59 years, female 75.9
GTEX-1B8L1-2226-SM-7P8PT 60-69 years, male 75.9
GTEX-1I1HK-2326-SM-CKZOH 60-69 years, male 75.6
GTEX-1H3VE-0726-SM-9YFL5 40-49 years, male 75.5
GTEX-1I1GU-0926-SM-ACKVS 40-49 years, male 75.5
GTEX-1314G-1326-SM-5BC6E 30-39 years, male 75.4
GTEX-183FY-1026-SM-7939A 20-29 years, male 75.4
GTEX-WYVS-1626-SM-3NM9R 40-49 years, female 75.4
GTEX-14BMU-1226-SM-5S2OR 20-29 years, female 75.3
GTEX-1KANC-1226-SM-CYPT7 50-59 years, female 75.2
GTEX-13NZ9-2626-SM-5L3FK 50-59 years, male 75.0
GTEX-16GPK-0626-SM-7KFSF 60-69 years, male 75.0
GTEX-1JN1M-2726-SM-CY8I4 60-69 years, female 75.0
GTEX-11GSP-2326-SM-5HL63 60-69 years, female 74.8
GTEX-11EM3-1226-SM-5N9DD 20-29 years, female 74.6
GTEX-17EVP-2626-SM-7IGMA 40-49 years, male 74.6
GTEX-1ICLY-0826-SM-CMKG1 50-59 years, male 74.6
GTEX-1LSNL-2726-SM-E9TKJ 50-59 years, male 74.6
GTEX-14PKU-0126-SM-6LLHV 40-49 years, female 74.4
GTEX-WK11-2726-SM-3NMAQ 50-59 years, male 74.4
GTEX-1EKGG-0626-SM-7DUGJ 60-69 years, male 74.1
GTEX-13JUV-2026-SM-5K7UA 40-49 years, female 74.0
GTEX-15D1Q-2826-SM-6LLH7 40-49 years, male 74.0
GTEX-131YS-2826-SM-5EQ47 60-69 years, female 73.8
GTEX-11DXW-0826-SM-5H118 40-49 years, male 73.7
GTEX-1GN2E-0226-SM-9WG6K 60-69 years, male 73.7
GTEX-1CB4J-1326-SM-7P8RX 60-69 years, male 73.6
GTEX-13OVL-0126-SM-5L3GJ 50-59 years, male 73.5
GTEX-1A8FM-0626-SM-7PC25 50-59 years, female 73.2
GTEX-ZDXO-3126-SM-5IJDF 60-69 years, male 73.1
GTEX-1I1CD-0626-SM-CE6SW 60-69 years, female 73.1
GTEX-XMD2-2126-SM-4YCF8 60-69 years, female 73.0
GTEX-11EI6-2826-SM-5H11D 60-69 years, male 72.9
GTEX-1LGOU-1326-SM-D3L8M 20-29 years, female 72.9
GTEX-1269C-0126-SM-5EQ5L 60-69 years, female 72.8
GTEX-1F75W-2726-SM-7SB8H 60-69 years, male 72.8
GTEX-17MF6-2626-SM-79OKQ 40-49 years, male 72.6
GTEX-132AR-0326-SM-5KM2C 50-59 years, female 72.4
GTEX-13N2G-0226-SM-5K7VF 60-69 years, male 72.4
GTEX-14XAO-1226-SM-6EU1C 60-69 years, female 72.3
GTEX-YF7O-1526-SM-5IFI6 50-59 years, male 72.1
GTEX-1B996-0426-SM-7EWF8 60-69 years, male 72.0
GTEX-14BMV-2826-SM-5TDED 50-59 years, male 71.9
GTEX-13OVG-1626-SM-5J1NF 60-69 years, male 71.8
GTEX-1LG7Y-2526-SM-EWRO7 50-59 years, male 71.6
GTEX-1I4MK-0126-SM-CY8G6 50-59 years, female 71.4
GTEX-1477Z-0326-SM-7IGLA 60-69 years, male 71.3
GTEX-16XZZ-0726-SM-7KUF2 60-69 years, male 71.3
GTEX-178AV-1726-SM-7KUL8 40-49 years, male 71.2
GTEX-1H23P-0626-SM-9WG6T 60-69 years, male 71.2
GTEX-13PVQ-0626-SM-5LU47 50-59 years, male 71.0
GTEX-WYBS-0626-SM-3NMAS 60-69 years, female 71.0
GTEX-13FH7-1126-SM-5K7UG 50-59 years, female 70.6
GTEX-WFG8-2126-SM-3GIKQ 20-29 years, male 70.5
GTEX-13OVH-0526-SM-5L3E6 70-79 years, male 70.4
GTEX-1B8KZ-0326-SM-73KY4 50-59 years, male 70.4
GTEX-145LT-0526-SM-5LUB2 40-49 years, male 70.3
GTEX-13QBU-1226-SM-5LU4G 40-49 years, female 70.2
GTEX-1I19N-0126-SM-CYPSF 70-79 years, male 70.1
GTEX-13NZ8-1226-SM-5KM4A 60-69 years, female 70.0
GTEX-12696-0126-SM-5EQ4L 60-69 years, male 69.8
GTEX-VUSG-2326-SM-4KL1U 50-59 years, male 69.8
GTEX-1K9T9-1526-SM-DIPFR 50-59 years, female 69.8
GTEX-WYJK-0526-SM-3NM8Z 50-59 years, male 69.6
GTEX-1GMR3-0126-SM-A9SLW 40-49 years, male 69.5
GTEX-145MI-0626-SM-5SI8S 60-69 years, female 69.4
GTEX-ZU9S-1826-SM-5NQ9E 30-39 years, male 69.2
GTEX-1JMPZ-0726-SM-CY8HZ 30-39 years, male 69.2
GTEX-13U4I-2226-SM-5LU5H 40-49 years, female 69.1
GTEX-12WSC-2826-SM-5BC5Y 50-59 years, male 69.0
GTEX-1HCU8-2526-SM-CE6RX 60-69 years, female 68.9
GTEX-ZYFD-0626-SM-5E44E 50-59 years, male 68.6
GTEX-1J8JJ-0626-SM-ARZMQ 60-69 years, female 68.5
GTEX-1212Z-0126-SM-59HK4 60-69 years, male 68.4
GTEX-1J8QM-2426-SM-A9SLS 60-69 years, female 68.2
GTEX-13OW7-0426-SM-5K7VK 50-59 years, male 68.1
GTEX-Y5LM-0926-SM-6LLJG 40-49 years, female 67.9
GTEX-1IDJD-2326-SM-ACKWX 30-39 years, male 67.9
GTEX-16Z82-2626-SM-7KULU 60-69 years, male 67.8
GTEX-1QCLZ-2426-SM-EVYBW 60-69 years, female 67.8
GTEX-13OW8-1026-SM-5J1NQ 60-69 years, male 66.9
GTEX-17JCI-2926-SM-7DUFF 60-69 years, female 66.8
GTEX-1B932-2326-SM-79OL5 40-49 years, female 66.8
GTEX-1KWVE-1026-SM-D3L9O 30-39 years, male 66.7
GTEX-145LS-0626-SM-7EPG7 60-69 years, female 66.5
GTEX-1AMEY-0826-SM-72D65 30-39 years, female 66.3
GTEX-1HSMO-0626-SM-ACKXC 60-69 years, male 66.3
GTEX-ZUA1-2626-SM-5NQ92 40-49 years, male 66.1
GTEX-1A8G7-1326-SM-73KVM 60-69 years, male 65.9
GTEX-1HCU9-0426-SM-9WYSD 20-29 years, male 65.9
GTEX-14DAQ-0626-SM-793DS 60-69 years, female 65.8
GTEX-11TUW-0626-SM-5LU9M 60-69 years, male 65.6
GTEX-14PJ2-0626-SM-6LLII 50-59 years, male 65.6
GTEX-1LG7Z-1626-SM-CXKYR 30-39 years, male 65.5
GTEX-13NYC-0126-SM-5L3F4 60-69 years, male 65.4
GTEX-1J8Q3-0526-SM-ARL8U 60-69 years, male 64.9
GTEX-17HG3-2626-SM-7DUF2 30-39 years, female 64.8
GTEX-ZVE2-2826-SM-5GU51 50-59 years, male 64.8
GTEX-1ICG6-1226-SM-A9SLN 70-79 years, female 64.5
GTEX-Y5V5-0126-SM-5S2NW 60-69 years, female 64.3
GTEX-13N1W-2426-SM-5IJD1 70-79 years, male 64.2
GTEX-1JN6P-2926-SM-CL54D 60-69 years, male 64.1
GTEX-ZTSS-1426-SM-5985P 40-49 years, male 63.7
GTEX-1H3NZ-2726-SM-9WYTQ 60-69 years, male 63.1
GTEX-1IDJV-0126-SM-COH3Y 60-69 years, male 62.9
GTEX-1GF9U-2026-SM-7SB92 40-49 years, female 59.4
GTEX-1HUB1-1426-SM-CGQF5 60-69 years, male 58.9
GTEX-ZYY3-2926-SM-5GIEB 60-69 years, female 58.4
GTEX-1F88E-1626-SM-7SB8Z 60-69 years, female 55.0
GTEX-147JS-0226-SM-5S2U9 60-69 years, male 54.6
GTEX-1A3MX-2626-SM-7PC24 60-69 years, male 54.0
Show allShow less
Skin - Sun Exposed (Lower leg)
Average nTPM: 100.4
Samples: 701

Max nTPM: 201.2
Min nTPM: 57.4
Std nTPM: 22.3
Median nTPM: 96.5
GTEX-15SB6-1726-SM-6PAME 50-59 years, female 201.2
GTEX-Y3IK-2426-SM-4WWDU 50-59 years, female 186.8
GTEX-P4QT-0126-SM-2I3FL 50-59 years, female 184.9
GTEX-P4PP-0126-SM-3LK69 30-39 years, female 176.8
GTEX-1399U-2326-SM-5K7WY 50-59 years, female 175.4
GTEX-1LSNM-1926-SM-E6CII 50-59 years, male 173.8
GTEX-POMQ-2226-SM-2I5FK 20-29 years, female 171.1
GTEX-13FTW-2626-SM-5K7WL 40-49 years, male 170.5
GTEX-UJHI-1526-SM-3DB99 50-59 years, female 170.5
GTEX-OIZH-0126-SM-2HMIS 50-59 years, male 170.0
GTEX-15ETS-0126-SM-7KUMW 40-49 years, female 166.0
GTEX-18D9A-1926-SM-7LG6P 30-39 years, female 165.8
GTEX-W5X1-3026-SM-EAZAX 40-49 years, female 165.8
GTEX-1R9PM-2026-SM-E76OY 20-29 years, male 165.7
GTEX-PSDG-0226-SM-DKPOZ 50-59 years, male 163.9
GTEX-11DXZ-2326-SM-5EGGV 50-59 years, male 159.0
GTEX-1MA7W-2026-SM-E9TJ6 20-29 years, female 158.5
GTEX-1KANC-1526-SM-D3LAB 50-59 years, female 155.6
GTEX-T6MN-0126-SM-32PLP 50-59 years, male 155.3
GTEX-XUZC-1726-SM-4BRWS 30-39 years, female 154.9
GTEX-1122O-2126-SM-5EGIR 60-69 years, female 154.5
GTEX-13CF2-2526-SM-5LZYX 60-69 years, male 154.1
GTEX-ZVT2-2526-SM-51MT1 50-59 years, female 151.9
GTEX-X88G-0126-SM-47JZ3 30-39 years, male 150.7
GTEX-OOBJ-0126-SM-E6CJW 60-69 years, male 149.4
GTEX-S33H-1026-SM-EZ6L6 30-39 years, male 149.3
GTEX-1K2DA-1826-SM-CGQGT 50-59 years, male 148.3
GTEX-1I4MK-2226-SM-ACKWD 50-59 years, female 147.9
GTEX-15UF6-0826-SM-6PALJ 70-79 years, female 146.8
GTEX-ZVTK-0426-SM-51MRS 20-29 years, male 146.8
GTEX-1OJC3-0126-SM-E76QX 20-29 years, male 146.6
GTEX-1JJ6O-0126-SM-E6CI8 60-69 years, male 146.4
GTEX-ZTX8-1426-SM-5DUVO 20-29 years, male 145.8
GTEX-O5YT-0126-SM-48TBW 20-29 years, male 144.2
GTEX-1QP9N-1426-SM-DTXFL 30-39 years, male 142.5
GTEX-1JMLX-0226-SM-CM2RO 50-59 years, male 142.3
GTEX-1L5NE-2526-SM-E6CIE 50-59 years, male 140.5
GTEX-SE5C-1626-SM-2XCE3 40-49 years, female 140.1
GTEX-12WSJ-1826-SM-5GCNY 40-49 years, female 139.5
GTEX-1RAZA-0126-SM-E6CI3 20-29 years, male 139.5
GTEX-ZF3C-0126-SM-DO92D 50-59 years, female 139.3
GTEX-13FXS-0226-SM-5IJCK 50-59 years, male 139.2
GTEX-1LVAN-0226-SM-COH3S 50-59 years, female 138.8
GTEX-1PFEY-1526-SM-E76PP 30-39 years, male 138.7
GTEX-TML8-1926-SM-32QOS 40-49 years, female 138.6
GTEX-PX3G-0126-SM-2I3EN 20-29 years, female 138.3
GTEX-1497J-2426-SM-7IGNX 60-69 years, male 137.1
GTEX-YB5E-2026-SM-5IFIS 40-49 years, male 137.0
GTEX-PWCY-1826-SM-DHXIZ 20-29 years, female 137.0
GTEX-WXYG-2326-SM-4E3I6 50-59 years, female 136.9
GTEX-Y114-2426-SM-4TT8A 50-59 years, female 136.5
GTEX-TKQ1-1026-SM-4GICL 30-39 years, male 136.3
GTEX-1PPH8-0226-SM-E8VND 20-29 years, male 135.6
GTEX-Y5V6-2426-SM-4VDSB 60-69 years, male 134.8
GTEX-OIZG-0726-SM-33HBL 50-59 years, male 133.8
GTEX-WI4N-1026-SM-3LK7N 40-49 years, female 133.7
GTEX-145MN-2226-SM-5SIAU 30-39 years, male 133.6
GTEX-14PII-0226-SM-6EU1T 60-69 years, male 133.4
GTEX-SUCS-1926-SM-32PM3 70-79 years, male 133.3
GTEX-NFK9-0226-SM-2HMKQ 40-49 years, male 132.7
GTEX-1B8KE-2126-SM-73KYX 50-59 years, male 132.0
GTEX-QESD-1426-SM-2S1R9 20-29 years, male 131.7
GTEX-1S82Z-0826-SM-E6CHY 30-39 years, female 131.3
GTEX-X4XX-0126-SM-3NMC2 60-69 years, male 131.2
GTEX-1CAV2-2226-SM-7P8P2 40-49 years, female 131.2
GTEX-11DYG-0126-SM-59883 60-69 years, male 131.1
GTEX-U412-0426-SM-3DB9O 60-69 years, male 131.0
GTEX-1PIIG-0226-SM-EWRN6 30-39 years, male 130.0
GTEX-1LG7Z-1726-SM-D3LA4 30-39 years, male 129.4
GTEX-1HBPM-0226-SM-ARL9F 60-69 years, female 129.1
GTEX-XBEW-0626-SM-4QASP 40-49 years, male 129.0
GTEX-1NV5F-0226-SM-E8VNY 60-69 years, female 128.9
GTEX-ZXES-1826-SM-5E43S 30-39 years, female 128.6
GTEX-1LGRB-2526-SM-CNPPQ 50-59 years, female 128.0
GTEX-ZGAY-0526-SM-4WWBB 40-49 years, female 127.9
GTEX-1R7EU-0226-SM-EVR4G 60-69 years, male 127.8
GTEX-18QFQ-0126-SM-731BE 30-39 years, male 127.6
GTEX-13RTK-1426-SM-5QGQJ 20-29 years, male 127.3
GTEX-14753-0426-SM-5NQAM 60-69 years, male 127.0
GTEX-O5YW-0126-SM-3LK6D 50-59 years, male 127.0
GTEX-1KD4Q-0226-SM-E9TJ9 40-49 years, male 126.8
GTEX-1PDJ9-0326-SM-DTX95 20-29 years, male 126.7
GTEX-12WSA-0226-SM-5BC5V 60-69 years, male 126.1
GTEX-139UW-2826-SM-5L3E7 60-69 years, male 126.0
GTEX-139TS-2826-SM-5J1OO 60-69 years, male 125.3
GTEX-1CAMS-0426-SM-7P8T2 40-49 years, female 125.1
GTEX-1EWIQ-0126-SM-7RHH2 70-79 years, female 124.8
GTEX-1GZ4H-1726-SM-7PBZJ 50-59 years, female 124.6
GTEX-WYJK-0126-SM-3NMAB 50-59 years, male 124.0
GTEX-1S3DN-2226-SM-EVYCD 50-59 years, male 124.0
GTEX-1OFPY-2426-SM-DTXEJ 60-69 years, male 123.6
GTEX-RM2N-1426-SM-2TF4H 50-59 years, male 123.5
GTEX-T6MO-1626-SM-32QOM 40-49 years, female 123.5
GTEX-1I1GV-0526-SM-A9G29 60-69 years, male 123.4
GTEX-S7PM-0126-SM-4AD6S 60-69 years, male 123.2
GTEX-ZV68-0126-SM-59HKS 50-59 years, female 123.0
GTEX-RVPV-0126-SM-EAZAW 60-69 years, male 122.6
GTEX-131XE-2326-SM-5PNZ2 50-59 years, male 122.5
GTEX-13FHP-0126-SM-5IJBG 50-59 years, male 122.5
GTEX-1QAET-0926-SM-E76QM 50-59 years, male 122.5
GTEX-T8EM-1026-SM-3DB7M 40-49 years, male 122.3
GTEX-X4EP-0126-SM-3P5YV 60-69 years, female 121.9
GTEX-Z93T-0126-SM-5HL5N 50-59 years, male 121.8
GTEX-1211K-2026-SM-5EQ4Z 60-69 years, female 121.2
GTEX-12WSK-2326-SM-5GCOH 40-49 years, female 121.2
GTEX-15SHU-0126-SM-7KUEH 40-49 years, female 121.2
GTEX-X8HC-0126-SM-4E3JW 50-59 years, female 120.8
GTEX-14ICK-0226-SM-6EU25 40-49 years, male 120.7
GTEX-117XS-2726-SM-5N9BL 60-69 years, male 120.6
GTEX-Y8DK-0126-SM-4TT3L 60-69 years, male 120.6
GTEX-13PVR-2326-SM-5QGR1 60-69 years, female 120.4
GTEX-ZV6S-2326-SM-4YCEY 40-49 years, female 120.1
GTEX-1J8QM-2126-SM-CYPSJ 60-69 years, female 120.1
GTEX-1GPI7-0126-SM-9MQL8 20-29 years, male 120.0
GTEX-15RIG-0226-SM-7KFTL 40-49 years, male 119.5
GTEX-14PHX-2326-SM-62LEM 50-59 years, male 119.2
GTEX-13111-1626-SM-5EGJY 50-59 years, male 119.1
GTEX-1F5PL-0326-SM-7P8PQ 40-49 years, female 119.0
GTEX-17JCI-0126-SM-7LG5G 60-69 years, female 118.9
GTEX-1EMGI-0126-SM-9KNUE 60-69 years, male 118.6
GTEX-13NZ8-0826-SM-5MR3I 60-69 years, female 118.5
GTEX-TMZS-0126-SM-3DB9Q 60-69 years, male 118.1
GTEX-ZVZP-2426-SM-59HKJ 50-59 years, male 117.8
GTEX-1J1OQ-0226-SM-CYPSH 40-49 years, female 117.8
GTEX-1JMQL-0226-SM-CNPP5 50-59 years, female 117.8
GTEX-145MO-0326-SM-5Q5B3 60-69 years, male 117.5
GTEX-1H3VE-0326-SM-9YFLH 40-49 years, male 117.5
GTEX-1HSGN-0226-SM-CGQFV 40-49 years, female 117.4
GTEX-13D11-2426-SM-5KM1V 50-59 years, female 117.2
GTEX-T5JW-1626-SM-3GADZ 20-29 years, female 117.2
GTEX-1MUQO-0126-SM-EAZ58 60-69 years, male 117.2
GTEX-YB5K-2126-SM-4WWDJ 40-49 years, female 117.1
GTEX-1KAFJ-2026-SM-CY8ID 50-59 years, male 117.1
GTEX-15ER7-0326-SM-7KUEV 20-29 years, female 116.9
GTEX-16MT8-0426-SM-7KUEY 60-69 years, female 116.8
GTEX-ZWKS-0126-SM-5SIAA 30-39 years, male 116.5
GTEX-1HGF4-2426-SM-ACKXM 60-69 years, male 116.3
GTEX-13O3P-0126-SM-5KM4S 50-59 years, male 116.2
GTEX-1H2FU-0126-SM-9WYSI 60-69 years, female 116.2
GTEX-1H1CY-2826-SM-9MQM3 60-69 years, female 115.9
GTEX-14PN4-0126-SM-6EU2V 50-59 years, male 115.8
GTEX-146FQ-0126-SM-5NQA9 30-39 years, male 115.5
GTEX-W5WG-1826-SM-4KL2Y 50-59 years, female 115.5
GTEX-Q2AH-1626-SM-3GAF8 40-49 years, male 115.4
GTEX-1GZHY-0326-SM-9QEHI 50-59 years, female 115.4
GTEX-13YAN-0326-SM-5O9DF 60-69 years, male 115.3
GTEX-1JMQK-0226-SM-CL543 60-69 years, male 115.3
GTEX-13X6H-2126-SM-7EWD5 50-59 years, female 115.2
GTEX-1F52S-0126-SM-9MQJU 60-69 years, female 115.2
GTEX-1JMPZ-0226-SM-CNPP1 30-39 years, male 115.1
GTEX-1QCLY-0326-SM-E8VOG 30-39 years, male 115.1
GTEX-NPJ8-0126-SM-2YUNR 40-49 years, male 114.9
GTEX-14BMU-2226-SM-5TDE9 20-29 years, female 114.6
GTEX-17F98-0626-SM-79OMX 40-49 years, female 114.6
GTEX-Q2AI-1326-SM-2S1PL 40-49 years, male 114.6
GTEX-1JMPY-1326-SM-ARL8Y 30-39 years, male 114.6
GTEX-1N2DV-0226-SM-E6CJ6 40-49 years, male 114.6
GTEX-15F5U-1526-SM-6PANO 40-49 years, male 114.4
GTEX-XUW1-0426-SM-4BOOT 50-59 years, female 114.4
GTEX-ZYFG-2326-SM-5E44B 60-69 years, female 114.3
GTEX-18D9U-0226-SM-718BP 40-49 years, male 114.1
GTEX-18A6Q-0126-SM-731BZ 60-69 years, male 114.0
GTEX-WH7G-2326-SM-3NMBC 40-49 years, male 114.0
GTEX-1M5QR-1226-SM-EWROB 40-49 years, male 113.8
GTEX-XAJ8-0826-SM-47JY6 40-49 years, male 113.7
GTEX-U8XE-0326-SM-3DB8P 30-39 years, male 113.5
GTEX-1B8SF-1426-SM-7DUGL 60-69 years, male 113.3
GTEX-ZZ64-1726-SM-5GZYB 20-29 years, male 113.2
GTEX-1H1DG-0126-SM-9WYU2 70-79 years, male 113.2
GTEX-1J8EW-0126-SM-CJI4F 60-69 years, female 113.2
GTEX-1PIGE-0126-SM-EVYBJ 20-29 years, male 113.1
GTEX-WFG8-2226-SM-3GIL9 20-29 years, male 113.0
GTEX-1JMQI-2226-SM-CM2SD 50-59 years, male 113.0
GTEX-1RB15-2126-SM-E9TIM 60-69 years, male 112.9
GTEX-145LT-1726-SM-5QGP3 40-49 years, male 112.8
GTEX-1HCU6-0126-SM-CL54K 60-69 years, female 112.8
GTEX-1LGOU-2026-SM-DIPFF 20-29 years, female 112.5
GTEX-14XAO-2326-SM-6EU1B 60-69 years, female 112.4
GTEX-1MJK2-0426-SM-DTXE5 50-59 years, male 112.4
GTEX-ZE9C-2726-SM-57WB5 60-69 years, male 112.3
GTEX-133LE-1826-SM-5J1MV 20-29 years, female 112.1
GTEX-XQ8I-0426-SM-4BOPO 50-59 years, male 112.1
GTEX-1LBAC-0126-SM-DIPEZ 20-29 years, male 112.1
GTEX-ZAB4-0226-SM-5N9F5 40-49 years, male 111.9
GTEX-1K2DU-2326-SM-E9TIV 20-29 years, male 111.8
GTEX-YJ89-0126-SM-4TT3X 60-69 years, male 111.7
GTEX-SN8G-0126-SM-32PLI 50-59 years, female 111.5
GTEX-X5EB-2226-SM-46MW4 40-49 years, male 111.1
GTEX-1ICLZ-0126-SM-CKZPO 60-69 years, male 111.0
GTEX-13NYS-0126-SM-5MR3W 60-69 years, male 110.9
GTEX-WQUQ-0426-SM-3MJFU 60-69 years, male 110.7
GTEX-1QPFJ-0226-SM-E76PB 30-39 years, female 110.7
GTEX-12126-0326-SM-5PNW3 20-29 years, male 110.6
GTEX-1JKYR-0126-SM-CNPOJ 20-29 years, male 110.6
GTEX-1S83E-0126-SM-EWRO4 40-49 years, male 110.5
GTEX-13NZB-2526-SM-5J1OM 30-39 years, male 110.3
GTEX-1AX9J-0226-SM-73KXM 60-69 years, male 110.3
GTEX-QV44-1926-SM-2S1RF 50-59 years, male 110.3
GTEX-PLZ6-1426-SM-DKPOT 30-39 years, male 110.2
GTEX-XYKS-2126-SM-4E3IB 60-69 years, female 110.1
GTEX-18A7A-0226-SM-718BH 50-59 years, female 110.0
GTEX-VJYA-1126-SM-3GIJU 60-69 years, male 110.0
GTEX-139T8-0126-SM-5K7XZ 60-69 years, male 109.9
GTEX-Y5LM-1926-SM-5RQJH 40-49 years, female 109.9
GTEX-131XF-5016-SM-7MGWE 60-69 years, male 109.7
GTEX-11EQ9-2426-SM-5HL5T 30-39 years, male 109.6
GTEX-1IL2U-0226-SM-CE6T8 60-69 years, male 109.3
GTEX-13OVI-1426-SM-5L3EY 60-69 years, female 109.2
GTEX-1JN6P-0126-SM-D3L98 60-69 years, male 109.2
GTEX-T2YK-0526-SM-32QPJ 50-59 years, male 109.1
GTEX-WRHK-1426-SM-3MJF9 20-29 years, female 108.8
GTEX-OXRN-0126-SM-48TDM 50-59 years, male 108.7
GTEX-1192X-0226-SM-5H12D 50-59 years, male 108.6
GTEX-11UD1-0126-SM-5PNYG 40-49 years, female 108.6
GTEX-131YS-0126-SM-5KM1M 60-69 years, female 108.6
GTEX-1GN1U-0126-SM-7PBZK 50-59 years, female 108.5
GTEX-1399R-2726-SM-5IJBA 30-39 years, male 108.4
GTEX-14JG1-0426-SM-6ETZZ 40-49 years, male 108.4
GTEX-RTLS-0126-SM-447CA 60-69 years, female 108.4
GTEX-ZDTT-2726-SM-4WKF8 60-69 years, male 108.3
GTEX-OXRK-0226-SM-3NB2G 50-59 years, female 108.2
GTEX-Y8E4-0626-SM-4WWDL 40-49 years, male 108.2
GTEX-ZDTS-0126-SM-4WAY5 60-69 years, male 108.2
GTEX-111FC-0126-SM-5N9DL 60-69 years, male 108.1
GTEX-14PJM-0226-SM-62LF1 50-59 years, female 108.1
GTEX-WFON-2126-SM-3LK7O 40-49 years, male 108.1
GTEX-1LB8K-0226-SM-EWRNW 50-59 years, male 107.9
GTEX-1B97I-1626-SM-73KYO 40-49 years, male 107.8
GTEX-QVJO-1626-SM-2S1QW 60-69 years, female 107.7
GTEX-11TT1-2526-SM-5EGIB 20-29 years, male 107.6
GTEX-1313W-0126-SM-5LZUN 50-59 years, female 107.4
GTEX-14E6C-0126-SM-5RQIP 40-49 years, male 107.4
GTEX-SIU8-0126-SM-2XCDT 50-59 years, male 107.4
GTEX-13SLW-0126-SM-5SI6C 70-79 years, male 107.3
GTEX-1JJEA-0326-SM-CNPOT 60-69 years, male 107.3
GTEX-14BIN-0626-SM-793DP 50-59 years, female 107.1
GTEX-1GF9X-2026-SM-7PC3A 40-49 years, female 107.1
GTEX-13113-5016-SM-7EPIP 60-69 years, female 107.0
GTEX-17F96-1626-SM-7DUFL 70-79 years, male 106.9
GTEX-1B8L1-2526-SM-9WYTF 60-69 years, male 106.7
GTEX-1KANB-0526-SM-E6CJH 50-59 years, male 106.7
GTEX-ZAK1-0126-SM-5IJD3 50-59 years, female 106.6
GTEX-S7SE-0126-SM-2XCD5 50-59 years, male 106.3
GTEX-ZYT6-0226-SM-5NQ6T 30-39 years, male 106.2
GTEX-12ZZX-0126-SM-5EGK9 40-49 years, female 106.1
GTEX-145LV-2126-SM-5LU8N 50-59 years, male 105.8
GTEX-ZTPG-0326-SM-5O9AX 20-29 years, female 105.8
GTEX-X585-0226-SM-4QAS2 50-59 years, male 105.7
GTEX-1S5ZA-0126-SM-EVYCV 20-29 years, male 105.7
GTEX-13G51-2526-SM-5LZYK 60-69 years, male 105.6
GTEX-SNMC-1226-SM-2XCFP 20-29 years, male 105.6
GTEX-17GQL-2026-SM-718BA 60-69 years, male 105.5
GTEX-139D8-0226-SM-5KLZO 30-39 years, female 105.3
GTEX-1PWST-0226-SM-E76QJ 70-79 years, male 105.3
GTEX-1QMI2-0226-SM-EVYBX 60-69 years, male 105.2
GTEX-14C5O-0126-SM-5SI6N 60-69 years, male 105.1
GTEX-ZE7O-0126-SM-57WC1 50-59 years, female 105.1
GTEX-ZVZO-0126-SM-5A5L9 40-49 years, male 105.1
GTEX-1GF9V-0326-SM-7RHI5 60-69 years, male 105.1
GTEX-U8T8-0126-SM-3DB94 60-69 years, male 105.0
GTEX-13OW5-0126-SM-DTXFS 60-69 years, male 105.0
GTEX-1F6RS-0126-SM-9MQKZ 60-69 years, female 105.0
GTEX-13PDP-0126-SM-5L3HD 60-69 years, male 104.2
GTEX-ZF2S-2326-SM-4WWCE 50-59 years, female 104.2
GTEX-1HFI6-0226-SM-ADEHZ 40-49 years, male 104.2
GTEX-1KANA-0726-SM-D3L9I 20-29 years, male 104.1
GTEX-OHPL-0126-SM-2HMJ7 60-69 years, female 104.0
GTEX-13VXU-0126-SM-5SI9F 50-59 years, male 103.9
GTEX-YEC4-2126-SM-5IFJH 40-49 years, male 103.9
GTEX-132NY-0326-SM-5IJBL 60-69 years, male 103.8
GTEX-XQ3S-1526-SM-4BOOC 20-29 years, male 103.7
GTEX-13FHO-0226-SM-5IFGY 60-69 years, male 103.6
GTEX-1J1R8-1726-SM-ARL8M 40-49 years, male 103.6
GTEX-1GMR3-1926-SM-9KNUZ 40-49 years, male 103.5
GTEX-1CB4E-2226-SM-793DC 60-69 years, male 103.4
GTEX-1S82Y-2026-SM-EVYCM 40-49 years, male 103.4
GTEX-14PJ3-1826-SM-62LEX 50-59 years, male 103.1
GTEX-1C475-1826-SM-73KWA 40-49 years, female 103.1
GTEX-13FTX-1826-SM-5J1NX 20-29 years, female 103.0
GTEX-1HSEH-0126-SM-ACKXN 60-69 years, male 103.0
GTEX-ZF29-2326-SM-DO92K 60-69 years, female 102.7
GTEX-1N2DW-0226-SM-E9TK2 50-59 years, male 102.5
GTEX-1F6IF-0726-SM-7P8TW 60-69 years, male 102.4
GTEX-1MGNQ-0126-SM-EVYCJ 40-49 years, male 102.4
GTEX-144FL-0126-SM-5TDC8 50-59 years, male 102.3
GTEX-T5JC-0426-SM-32PLO 20-29 years, male 102.0
GTEX-1314G-1526-SM-5EGK2 30-39 years, male 101.7
GTEX-12WSE-0526-SM-793B2 20-29 years, male 101.6
GTEX-13JUV-2726-SM-5LZZ8 40-49 years, female 101.6
GTEX-11UD2-0226-SM-5EQKY 50-59 years, male 101.5
GTEX-13NYB-2526-SM-5K7Z6 40-49 years, male 101.4
GTEX-1HBPN-0226-SM-9YFM1 50-59 years, male 101.4
GTEX-16AAH-1726-SM-7939C 50-59 years, male 101.3
GTEX-14E6E-1826-SM-5S2R7 30-39 years, male 101.2
GTEX-16GPK-0126-SM-7DHLE 60-69 years, male 101.2
GTEX-X4XY-0226-SM-4E3IZ 60-69 years, male 101.0
GTEX-1GMRU-0126-SM-9YFLV 50-59 years, male 100.8
GTEX-1H4P4-0726-SM-9YFLR 50-59 years, male 100.8
GTEX-1IOXB-0126-SM-ARL8G 50-59 years, male 100.8
GTEX-QCQG-1726-SM-3GIJ9 50-59 years, female 100.6
GTEX-1GN2E-0426-SM-9MQKX 60-69 years, male 100.5
GTEX-Y111-0126-SM-4SOIV 50-59 years, male 100.3
GTEX-15EU6-0426-SM-6PAN5 50-59 years, male 100.2
GTEX-1HSKV-0226-SM-A9SKJ 60-69 years, male 100.2
GTEX-1J8JJ-0226-SM-CL53I 60-69 years, female 100.1
GTEX-1EX96-1626-SM-7PBXR 50-59 years, male 99.9
GTEX-1HR98-0126-SM-B2LWI 60-69 years, male 99.9
GTEX-1GZ2Q-0226-SM-7P8TL 40-49 years, male 99.8
GTEX-1HBPI-1526-SM-C1YQ1 50-59 years, male 99.7
GTEX-13O21-1426-SM-5K7XI 50-59 years, male 99.4
GTEX-TSE9-0126-SM-3DB83 60-69 years, female 99.3
GTEX-QEG4-0226-SM-2S1PY 30-39 years, male 99.2
GTEX-ZYFD-0126-SM-5GIDL 50-59 years, male 99.2
GTEX-11P7K-2126-SM-5GU7G 30-39 years, male 99.1
GTEX-1GN73-0226-SM-9WG67 60-69 years, male 99.1
GTEX-1CB4I-0226-SM-79OLH 50-59 years, male 98.9
GTEX-XPVG-2626-SM-4B669 50-59 years, male 98.9
GTEX-1HSMP-0126-SM-E6CJS 70-79 years, male 98.9
GTEX-12ZZZ-0626-SM-5DUXI 60-69 years, male 98.8
GTEX-1I1GT-0626-SM-CGQER 60-69 years, female 98.8
GTEX-1HCUA-2426-SM-ADEIS 50-59 years, female 98.7
GTEX-Y5V5-2326-SM-4V6GA 60-69 years, female 98.6
GTEX-1C6VQ-0126-SM-7P8RI 50-59 years, male 98.6
GTEX-R45C-0126-SM-EAZ2R 60-69 years, female 98.6
GTEX-SJXC-0126-SM-2XCFF 60-69 years, male 98.5
GTEX-1I6K6-0126-SM-A9SLE 30-39 years, male 98.5
GTEX-1JMQJ-0526-SM-CYPSU 50-59 years, male 98.5
GTEX-YFC4-0126-SM-5CVLY 40-49 years, female 98.4
GTEX-1CB4G-0226-SM-7PC3O 60-69 years, male 98.3
GTEX-ZY6K-1826-SM-5GZXK 50-59 years, male 98.2
GTEX-17HHY-0126-SM-7LG5D 50-59 years, male 98.1
GTEX-OHPM-0126-SM-2YUN9 50-59 years, male 98.1
GTEX-1F6I4-0126-SM-9MQL2 60-69 years, male 98.1
GTEX-1MA7X-2226-SM-E6CIY 60-69 years, male 98.1
GTEX-QDVJ-1726-SM-2I5FX 50-59 years, male 98.0
GTEX-1IDJU-2626-SM-CM2RT 60-69 years, female 98.0
GTEX-17EUY-0426-SM-793BD 20-29 years, male 97.8
GTEX-13OVK-2026-SM-7KUEO 40-49 years, male 97.7
GTEX-16XZZ-0126-SM-793DV 60-69 years, male 97.6
GTEX-1GF9W-0326-SM-9KNUN 60-69 years, male 97.6
GTEX-144GN-2326-SM-5LU4F 50-59 years, male 97.3
GTEX-1IDJH-0326-SM-A9SLQ 70-79 years, male 97.3
GTEX-11ZTS-0126-SM-5EQ6M 60-69 years, female 97.2
GTEX-13N11-2526-SM-5K7UE 50-59 years, female 97.2
GTEX-117YW-2626-SM-5GZZH 50-59 years, male 96.8
GTEX-145MF-0626-SM-5LUAI 50-59 years, male 96.8
GTEX-1269C-2526-SM-5EGJ3 60-69 years, female 96.7
GTEX-1F75B-0126-SM-9KNVL 50-59 years, male 96.7
GTEX-1R46S-0626-SM-E9J41 60-69 years, female 96.7
GTEX-11OF3-2626-SM-5GU7F 60-69 years, male 96.6
GTEX-1BAJH-0526-SM-793CQ 70-79 years, male 96.5
GTEX-1IDJF-0126-SM-CM2RS 20-29 years, male 96.5
GTEX-ZQG8-1626-SM-DHXIT 60-69 years, female 96.5
GTEX-1F75A-0126-SM-7RHGM 50-59 years, male 96.4
GTEX-1KXAM-2226-SM-CYPTC 60-69 years, male 96.3
GTEX-11WQK-0526-SM-5EQLD 50-59 years, male 96.2
GTEX-1H3VY-0126-SM-ACKXD 50-59 years, male 96.2
GTEX-Y3I4-2126-SM-4TT7C 50-59 years, male 96.1
GTEX-1CB4H-0226-SM-7PBXM 60-69 years, female 96.1
GTEX-X261-0126-SM-3NMD6 50-59 years, male 96.0
GTEX-13OVL-0226-SM-5L3E9 50-59 years, male 95.8
GTEX-11XUK-2026-SM-5EQLF 40-49 years, female 95.7
GTEX-11TUW-2726-SM-E9J4M 60-69 years, male 95.7
GTEX-1QP66-1726-SM-E8VO1 50-59 years, male 95.6
GTEX-X4EO-0326-SM-3P5YO 60-69 years, female 95.5
GTEX-13OW6-0426-SM-5L3HM 50-59 years, male 95.4
GTEX-13X6J-0126-SM-5QGOU 50-59 years, male 95.4
GTEX-1LC47-0326-SM-E9TJP 60-69 years, male 95.4
GTEX-145LS-0126-SM-5QGP1 60-69 years, female 95.3
GTEX-1IKK5-0626-SM-ARL8A 60-69 years, male 95.0
GTEX-UPJH-0326-SM-3GADU 50-59 years, male 94.9
GTEX-12ZZY-0226-SM-5LZVE 60-69 years, male 94.7
GTEX-XV7Q-2526-SM-4BRV9 40-49 years, female 94.7
GTEX-1HSMO-0126-SM-CL547 60-69 years, male 94.7
GTEX-WVJS-0126-SM-4MVOT 50-59 years, male 94.6
GTEX-14PJ6-2126-SM-6EU1V 60-69 years, female 94.5
GTEX-1B933-0126-SM-7PC29 50-59 years, female 94.5
GTEX-12WSD-0126-SM-59HKN 60-69 years, female 94.4
GTEX-T2IS-0126-SM-4DM6O 20-29 years, female 94.4
GTEX-17F97-0326-SM-7LG5B 50-59 years, male 94.3
GTEX-14PN3-2426-SM-6LLHS 60-69 years, female 94.2
GTEX-P4PQ-0126-SM-2S1NM 60-69 years, male 94.0
GTEX-1KWVE-1426-SM-E9TJO 30-39 years, male 94.0
GTEX-14E6D-0126-SM-62LDV 50-59 years, male 93.9
GTEX-ZDYS-2026-SM-5HL5L 50-59 years, male 93.9
GTEX-11DZ1-0126-SM-5985Q 50-59 years, male 93.8
GTEX-QLQW-1126-SM-2S1Q8 30-39 years, male 93.7
GTEX-1H11D-0226-SM-9WG6Z 40-49 years, male 93.7
GTEX-11DXW-0226-SM-5H122 40-49 years, male 93.6
GTEX-13IVO-0126-SM-5J1NG 70-79 years, male 93.6
GTEX-1RDX4-0126-SM-E9J4P 50-59 years, female 93.5
GTEX-14PK6-1926-SM-6ETZU 70-79 years, female 93.4
GTEX-17EVQ-0226-SM-7LG4P 70-79 years, male 93.3
GTEX-1399T-2826-SM-5KLYZ 60-69 years, male 93.2
GTEX-RWS6-2026-SM-2XCB5 60-69 years, female 93.2
GTEX-QDVN-2026-SM-3GAEP 50-59 years, male 93.1
GTEX-18A67-0126-SM-7LG5P 50-59 years, male 93.0
GTEX-S95S-1226-SM-4GICG 60-69 years, male 93.0
GTEX-131XH-2226-SM-5DUXJ 50-59 years, male 92.9
GTEX-PWO3-1526-SM-48TCM 60-69 years, female 92.9
GTEX-1HCU8-0626-SM-A9SM9 60-69 years, female 92.9
GTEX-117YX-2326-SM-5H12W 50-59 years, male 92.8
GTEX-ZC5H-0226-SM-4WAY9 40-49 years, female 92.6
GTEX-PVOW-0126-SM-2XCFA 40-49 years, male 92.5
GTEX-Z93S-0126-SM-5HL7M 50-59 years, male 92.5
GTEX-12WSG-2826-SM-E9J4H 50-59 years, female 92.5
GTEX-18A66-0226-SM-718BD 60-69 years, male 92.4
GTEX-1A32A-0126-SM-718B1 50-59 years, female 92.4
GTEX-15DDE-0126-SM-6LPKH 50-59 years, female 92.3
GTEX-1JN1M-0326-SM-CYPT3 60-69 years, female 92.3
GTEX-145MI-0526-SM-5O9A8 60-69 years, female 92.2
GTEX-XBED-2226-SM-47JYQ 60-69 years, male 92.0
GTEX-1H3O1-0426-SM-9YFKY 60-69 years, male 91.9
GTEX-1IKJJ-0126-SM-CNPQB 60-69 years, male 91.9
GTEX-1MCQQ-0826-SM-DLHC2 60-69 years, male 91.9
GTEX-1O97I-0326-SM-EYYX7 60-69 years, male 91.7
GTEX-PLZ4-0126-SM-5SI8O 50-59 years, female 91.5
GTEX-1HFI7-1826-SM-ACKXH 50-59 years, female 91.5
GTEX-ZPIC-1726-SM-DHXIU 40-49 years, female 91.4
GTEX-1HSMQ-1226-SM-CGQFX 50-59 years, male 91.1
GTEX-1RLM8-2326-SM-EWRN4 50-59 years, male 91.1
GTEX-17HII-0226-SM-7LG4E 50-59 years, male 91.0
GTEX-1HT8W-0126-SM-CNPPP 30-39 years, male 91.0
GTEX-R3RS-0126-SM-3GIJL 40-49 years, female 90.8
GTEX-17HG3-2226-SM-7938L 30-39 years, female 90.7
GTEX-1CB4F-0426-SM-9KNV4 60-69 years, male 90.7
GTEX-Z9EW-1626-SM-5CVMN 40-49 years, male 90.6
GTEX-14DAR-2026-SM-5S2O3 50-59 years, male 90.5
GTEX-1GTWX-0126-SM-9YFLK 60-69 years, male 90.4
GTEX-RNOR-0126-SM-E9J4R 50-59 years, female 90.3
GTEX-1B8SG-0126-SM-73KZ3 50-59 years, male 90.2
GTEX-17MF6-0126-SM-7LG4F 40-49 years, male 90.1
GTEX-ZYFC-0226-SM-5NQ75 50-59 years, male 90.1
GTEX-14JG6-2226-SM-6EU2G 30-39 years, female 90.0
GTEX-1C2JI-1826-SM-73KXC 50-59 years, male 90.0
GTEX-1ICLY-0126-SM-D4P36 50-59 years, male 90.0
GTEX-1LNCM-1126-SM-E9U5E 50-59 years, female 90.0
GTEX-13N2G-2626-SM-5J1OT 60-69 years, male 89.9
GTEX-1HCVE-0126-SM-CGQEU 50-59 years, male 89.9
GTEX-1AMFI-2026-SM-731BH 50-59 years, female 89.8
GTEX-RWSA-0126-SM-2XCBB 40-49 years, male 89.8
GTEX-1RQEC-0426-SM-E6CHU 60-69 years, male 89.7
GTEX-13CF3-2426-SM-5IFGX 60-69 years, female 89.6
GTEX-1R7EV-2426-SM-EVYBG 40-49 years, male 89.6
GTEX-1GMR8-0126-SM-9WYTM 50-59 years, female 89.5
GTEX-1HB9E-0226-SM-E9U4R 50-59 years, male 89.5
GTEX-111VG-2426-SM-5GZXD 60-69 years, male 89.4
GTEX-1C64N-0126-SM-793D7 50-59 years, male 89.4
GTEX-1C64O-0126-SM-7SB8P 60-69 years, male 89.4
GTEX-1A3MX-0126-SM-731BR 60-69 years, male 89.2
GTEX-TMMY-0226-SM-33HBA 40-49 years, female 89.2
GTEX-14BIM-0226-SM-7IGLD 60-69 years, female 89.1
GTEX-13112-2826-SM-5DUWH 50-59 years, male 89.0
GTEX-183FY-0126-SM-7LT9P 20-29 years, male 89.0
GTEX-1AYD5-2426-SM-73KXR 50-59 years, male 89.0
GTEX-XUYS-0126-SM-47JWZ 50-59 years, male 89.0
GTEX-XXEK-2226-SM-4BRUM 50-59 years, male 89.0
GTEX-1HCU7-0226-SM-CL545 50-59 years, male 89.0
GTEX-1POEN-0126-SM-EYYXJ 30-39 years, female 89.0
GTEX-1C4CL-0526-SM-73KVK 30-39 years, male 88.9
GTEX-11P81-2326-SM-59875 30-39 years, female 88.8
GTEX-QLQ7-1626-SM-2S1R8 60-69 years, male 88.8
GTEX-1I1GS-0126-SM-B2LVW 60-69 years, male 88.8
GTEX-1GF9U-2126-SM-7SB7L 40-49 years, female 88.7
GTEX-131XG-2626-SM-5KM17 50-59 years, female 88.5
GTEX-11EM3-2426-SM-59861 20-29 years, female 88.4
GTEX-ZTSS-1926-SM-57WEW 40-49 years, male 88.4
GTEX-1HCU9-1526-SM-A9SL7 20-29 years, male 88.4
GTEX-1AX8Z-0126-SM-7DHM6 60-69 years, male 88.3
GTEX-11GS4-2726-SM-5A5LE 60-69 years, male 88.2
GTEX-139TU-0126-SM-5K7WH 60-69 years, male 88.2
GTEX-13W46-0226-SM-5SIAG 50-59 years, male 88.2
GTEX-14LLW-0126-SM-6LLIO 70-79 years, female 88.2
GTEX-1ICG6-2526-SM-CGQFZ 70-79 years, female 88.2
GTEX-1IDFM-0126-SM-COH2V 60-69 years, male 88.2
GTEX-WY7C-2326-SM-3NB2U 50-59 years, male 88.0
GTEX-1IL2V-0126-SM-CM2TX 70-79 years, male 88.0
GTEX-131XW-0426-SM-5LZWP 50-59 years, female 87.9
GTEX-145ME-1826-SM-5SI9G 40-49 years, female 87.9
GTEX-11GSP-2526-SM-5N9BP 60-69 years, female 87.8
GTEX-1EKGG-0226-SM-9WYTH 60-69 years, male 87.8
GTEX-16NGA-1726-SM-731B4 40-49 years, female 87.7
GTEX-1C6WA-0126-SM-7PC2B 60-69 years, male 87.7
GTEX-1IKOH-0226-SM-COH4E 60-69 years, female 87.7
GTEX-1JN76-0126-SM-CNPPE 20-29 years, female 87.6
GTEX-1MCYP-1926-SM-E9J2R 20-29 years, female 87.5
GTEX-1OJC4-0126-SM-E9J2E 50-59 years, female 87.5
GTEX-ZZPT-0226-SM-5E43X 50-59 years, male 87.4
GTEX-1JK1U-2026-SM-CM2RZ 60-69 years, male 87.4
GTEX-1GL5R-1826-SM-9KNUY 50-59 years, male 87.1
GTEX-12696-2426-SM-5EQ6H 60-69 years, male 87.0
GTEX-1C6VR-2426-SM-79OLD 60-69 years, male 86.9
GTEX-ZAJG-0126-SM-5HL94 50-59 years, female 86.9
GTEX-147F4-0226-SM-5QGPW 50-59 years, male 86.8
GTEX-147F3-0526-SM-5SI98 50-59 years, female 86.7
GTEX-16YQH-0126-SM-7DUFJ 30-39 years, male 86.7
GTEX-ZAB5-1826-SM-5HL7C 50-59 years, male 86.6
GTEX-17KNJ-2326-SM-7DHLQ 50-59 years, male 86.5
GTEX-OOBK-0126-SM-2YUND 40-49 years, male 86.5
GTEX-ZQUD-1426-SM-57WER 30-39 years, male 86.5
GTEX-1I1CD-0126-SM-CM2TK 60-69 years, female 86.5
GTEX-11DXX-2426-SM-5GZZW 60-69 years, female 86.3
GTEX-11OC5-0126-SM-5HL6A 60-69 years, male 86.2
GTEX-16BQI-0226-SM-7KUEX 30-39 years, female 86.2
GTEX-VUSG-2526-SM-4KL1V 50-59 years, male 86.0
GTEX-1R9K4-0126-SM-DTX9X 60-69 years, male 86.0
GTEX-17MFQ-1726-SM-793C7 20-29 years, male 85.9
GTEX-1PPH7-2326-SM-EVYB8 40-49 years, male 85.9
GTEX-15DYW-0126-SM-7KULE 60-69 years, female 85.8
GTEX-183WM-0126-SM-7LTAB 70-79 years, female 85.8
GTEX-169BO-1326-SM-9MQK2 50-59 years, male 85.7
GTEX-12KS4-0326-SM-5EQ41 30-39 years, male 85.6
GTEX-Q734-1926-SM-2I5EV 40-49 years, female 85.5
GTEX-WYVS-2126-SM-3NMA3 40-49 years, female 85.5
GTEX-1H3NZ-0126-SM-ACKX7 60-69 years, male 85.5
GTEX-11VI4-1726-SM-5CVLH 40-49 years, female 85.2
GTEX-ZU9S-0226-SM-5E441 30-39 years, male 85.2
GTEX-13SLX-0526-SM-5S2ON 50-59 years, female 85.1
GTEX-14BMV-0126-SM-5S2PO 50-59 years, male 85.1
GTEX-OXRP-0126-SM-3NB32 60-69 years, female 85.0
GTEX-XMD2-0126-SM-4YCDU 60-69 years, female 85.0
GTEX-1QP2A-0126-SM-E9J43 50-59 years, male 84.9
GTEX-13S7M-0126-SM-5SI6A 60-69 years, female 84.8
GTEX-R55G-2526-SM-2TC6D 40-49 years, female 84.7
GTEX-YJ8A-0426-SM-5IFID 20-29 years, male 84.6
GTEX-1QP67-1626-SM-EAZ3X 40-49 years, female 84.6
GTEX-11GSO-2426-SM-5A5LY 60-69 years, male 84.5
GTEX-WZTO-0126-SM-3NM95 40-49 years, male 84.5
GTEX-PLZ5-2026-SM-2S1O4 50-59 years, male 84.4
GTEX-1KD5A-0226-SM-D5OV3 50-59 years, male 84.4
GTEX-148VJ-0126-SM-5TDDN 70-79 years, male 84.2
GTEX-16NPX-0226-SM-79OMT 50-59 years, male 84.2
GTEX-1A3MV-1926-SM-718BT 30-39 years, male 84.2
GTEX-1I1GQ-0126-SM-COH3H 50-59 years, male 84.2
GTEX-18A7B-0126-SM-7LG64 70-79 years, male 84.0
GTEX-12584-0126-SM-5EGKQ 40-49 years, male 83.9
GTEX-1AYCT-2426-SM-7IGQ3 50-59 years, male 83.9
GTEX-113JC-2326-SM-5EQ4E 50-59 years, female 83.8
GTEX-11WQC-2526-SM-5CVLE 60-69 years, male 83.7
GTEX-11NSD-2226-SM-5986V 20-29 years, male 83.6
GTEX-SSA3-0126-SM-32QPU 60-69 years, male 83.6
GTEX-11H98-0126-SM-5EGHG 50-59 years, male 83.5
GTEX-1212Z-2526-SM-5EGKP 60-69 years, male 83.5
GTEX-1H23P-0126-SM-ADEJ3 60-69 years, male 83.5
GTEX-Q2AG-0126-SM-33HBV 40-49 years, female 83.4
GTEX-1N2EF-0226-SM-EYYXB 60-69 years, male 83.3
GTEX-1QP29-0626-SM-EWRMX 50-59 years, male 83.2
GTEX-148VI-1626-SM-5SI6E 60-69 years, female 83.0
GTEX-12C56-1726-SM-5EQ61 20-29 years, male 82.9
GTEX-14PHW-0126-SM-6LLJI 60-69 years, female 82.8
GTEX-13FH7-2026-SM-E9J4I 50-59 years, female 82.8
GTEX-1IY9M-0126-SM-D3L8S 60-69 years, male 82.8
GTEX-145LU-0126-SM-5TDCB 50-59 years, male 82.7
GTEX-14A5I-0126-SM-5TDEA 50-59 years, female 82.7
GTEX-U3ZM-1526-SM-3DB9D 40-49 years, male 82.7
GTEX-1HKZK-0326-SM-9WYUH 40-49 years, male 82.6
GTEX-1AX9I-0126-SM-7SB74 60-69 years, male 82.5
GTEX-ZYY3-0126-SM-5GZY5 60-69 years, female 82.2
GTEX-1J8Q3-1626-SM-CMKGC 60-69 years, male 82.2
GTEX-13OVJ-0126-SM-5KM36 50-59 years, female 82.1
GTEX-1B996-0226-SM-7RHGO 60-69 years, male 82.0
GTEX-11P82-1626-SM-59879 20-29 years, male 81.9
GTEX-18D9B-0526-SM-7LTAS 60-69 years, male 81.8
GTEX-1CAMR-1926-SM-7EPI2 20-29 years, male 81.8
GTEX-14LZ3-0226-SM-62LET 60-69 years, female 81.7
GTEX-S32W-2126-SM-2XCB1 50-59 years, female 81.4
GTEX-ZVT4-0126-SM-DTXFN 50-59 years, female 81.3
GTEX-1H1ZS-0426-SM-9WG6G 70-79 years, male 81.2
GTEX-P44H-0226-SM-2XCEU 40-49 years, male 81.1
GTEX-1QEPI-0126-SM-EWRMQ 60-69 years, female 81.1
GTEX-12WSC-0126-SM-5EQ4P 50-59 years, male 80.9
GTEX-11EI6-0126-SM-5985R 60-69 years, male 80.8
GTEX-1LH75-2426-SM-E9TJE 50-59 years, female 80.8
GTEX-18465-0126-SM-731BN 50-59 years, male 80.7
GTEX-1AX9K-2326-SM-73KWU 50-59 years, male 80.7
GTEX-13VXT-0126-SM-5LU4I 20-29 years, female 80.6
GTEX-U3ZH-2026-SM-3DB78 30-39 years, male 80.6
GTEX-1F7RK-0126-SM-7PC2S 20-29 years, female 80.6
GTEX-1CAMQ-0226-SM-7IGPK 40-49 years, male 80.5
GTEX-1E2YA-0126-SM-9KNUC 50-59 years, male 80.5
GTEX-144GL-0126-SM-5TDE2 50-59 years, male 80.4
GTEX-1A8FM-0226-SM-7SB7Q 50-59 years, female 80.3
GTEX-146FR-1326-SM-E9J48 60-69 years, female 80.2
GTEX-1F5PK-2426-SM-7RHHY 50-59 years, male 80.2
GTEX-14A5H-0426-SM-5QGQF 60-69 years, male 80.1
GTEX-15SDE-2226-SM-7IGLO 50-59 years, female 80.0
GTEX-ZVE2-0226-SM-59HJB 50-59 years, male 80.0
GTEX-13OW7-0126-SM-5MR3B 50-59 years, male 79.7
GTEX-1A3MW-0126-SM-73KXX 60-69 years, female 79.7
GTEX-13QJ3-0326-SM-5S2RA 50-59 years, male 79.6
GTEX-1JKYN-1326-SM-CGQG9 30-39 years, male 79.6
GTEX-15G19-0126-SM-6PANQ 60-69 years, male 79.4
GTEX-ZDXO-3026-SM-5J1N5 60-69 years, male 79.3
GTEX-13OVH-0126-SM-5MR4B 70-79 years, male 79.0
GTEX-1H1DE-2126-SM-9WG6R 20-29 years, male 79.0
GTEX-13U4I-0126-SM-5LU38 40-49 years, female 78.6
GTEX-ZEX8-2426-SM-4WKG4 50-59 years, male 78.6
GTEX-1F48J-0126-SM-7P8TT 50-59 years, female 78.6
GTEX-13X6I-0626-SM-5QGP9 60-69 years, male 78.5
GTEX-1EU9M-0226-SM-7P8SP 60-69 years, male 78.5
GTEX-1I1GR-0126-SM-CL55F 60-69 years, male 78.3
GTEX-15CHC-2126-SM-6EU21 60-69 years, female 78.2
GTEX-15DCD-0126-SM-7KUEK 70-79 years, female 78.1
GTEX-VJWN-0126-SM-3GIK7 50-59 years, female 78.1
GTEX-11ZU8-2526-SM-5EQKI 60-69 years, male 77.9
GTEX-13RTJ-2426-SM-5S2Q2 60-69 years, male 77.8
GTEX-13FTY-0526-SM-5L3EV 40-49 years, female 77.7
GTEX-QDT8-0126-SM-48TZ1 30-39 years, female 77.5
GTEX-RUSQ-1526-SM-2TF62 50-59 years, male 77.4
GTEX-1F88F-2726-SM-7PBZZ 60-69 years, female 77.4
GTEX-1128S-2326-SM-5GZZY 60-69 years, female 77.3
GTEX-1E1VI-0126-SM-7DHMZ 50-59 years, male 77.3
GTEX-ZVT3-0126-SM-5GU6I 60-69 years, female 77.1
GTEX-1LG7Y-0526-SM-DKPQC 50-59 years, male 77.1
GTEX-17HGU-0226-SM-7DHKV 50-59 years, male 76.9
GTEX-1RAZQ-0726-SM-EAZ43 30-39 years, male 76.7
GTEX-15EOM-0126-SM-7KUGG 20-29 years, female 76.5
GTEX-17EVP-0326-SM-7DHLG 40-49 years, male 76.5
GTEX-RU72-0926-SM-2TF6B 50-59 years, female 76.5
GTEX-11EMC-2926-SM-5EQ4F 60-69 years, female 76.2
GTEX-11ZVC-2526-SM-5FQTE 50-59 years, female 76.2
GTEX-13N1W-0126-SM-5K7VT 70-79 years, male 76.1
GTEX-1K9T9-0126-SM-EVYCF 50-59 years, female 76.0
GTEX-11LCK-1026-SM-5A5KB 30-39 years, male 75.9
GTEX-1J8Q2-0526-SM-CM2RW 60-69 years, male 75.9
GTEX-PW2O-1526-SM-7RHHB 20-29 years, male 75.9
GTEX-13O3O-0126-SM-E9J49 60-69 years, female 75.8
GTEX-1M4P7-0226-SM-DIPEV 60-69 years, male 75.8
GTEX-15SHW-0326-SM-6PAML 60-69 years, male 75.6
GTEX-13O3Q-2426-SM-5IJBR 50-59 years, male 75.4
GTEX-14ABY-0226-SM-5TDCQ 50-59 years, male 75.4
GTEX-X638-0126-SM-47JZ8 70-79 years, female 74.9
GTEX-1NHNU-1026-SM-E9J2A 50-59 years, male 74.7
GTEX-1QW4Y-1526-SM-EAZ3Z 30-39 years, male 74.6
GTEX-139TT-0126-SM-5K7Y5 60-69 years, male 74.3
GTEX-1GPI6-0126-SM-9WG69 60-69 years, male 74.2
GTEX-1JJE9-0326-SM-CL53Z 70-79 years, male 74.2
GTEX-15UKP-0426-SM-7KUFQ 20-29 years, male 74.0
GTEX-1IE54-0126-SM-CMKHW 40-49 years, female 74.0
GTEX-1IGQW-0126-SM-COH42 60-69 years, male 74.0
GTEX-13NZA-0226-SM-5K7Z7 60-69 years, male 73.8
GTEX-1GN1V-0126-SM-9WPOS 60-69 years, male 73.8
GTEX-1H1E6-1726-SM-ACKVK 30-39 years, male 73.8
GTEX-1I19N-0326-SM-ACKVX 70-79 years, male 73.8
GTEX-1HUB1-0426-SM-E9U4U 60-69 years, male 73.6
GTEX-X62O-0126-SM-4E3JN 50-59 years, male 73.5
GTEX-1GN1W-0526-SM-9MQJQ 50-59 years, female 73.5
GTEX-1AMEY-1326-SM-73KYK 30-39 years, female 73.4
GTEX-R55E-0126-SM-2TC5Y 20-29 years, male 73.4
GTEX-11TTK-0126-SM-5987B 60-69 years, female 73.3
GTEX-ZXG5-0126-SM-5GIEU 60-69 years, male 73.3
GTEX-11ZTT-2426-SM-5EQLS 60-69 years, female 73.2
GTEX-U3ZN-2326-SM-3DB7W 30-39 years, female 73.2
GTEX-WOFL-0126-SM-3MJG2 60-69 years, male 73.2
GTEX-14DAQ-0126-SM-5S2MQ 60-69 years, female 73.1
GTEX-17HHE-2026-SM-79OKF 50-59 years, male 73.1
GTEX-1F75I-0326-SM-9YFLU 40-49 years, male 72.7
GTEX-147GR-0526-SM-5S2MY 60-69 years, male 72.6
GTEX-13NYC-0326-SM-E9J4S 60-69 years, male 72.0
GTEX-ZUA1-0126-SM-5GU76 40-49 years, male 71.9
GTEX-ZYW4-0126-SM-5E44A 60-69 years, male 71.9
GTEX-RN64-0126-SM-2TC68 50-59 years, male 71.8
GTEX-12WSL-2526-SM-5GCNJ 50-59 years, male 71.7
GTEX-1B8KZ-2026-SM-7DHMB 50-59 years, male 71.5
GTEX-1I1GP-2226-SM-CGQFK 50-59 years, male 71.5
GTEX-ZF28-0126-SM-4WKGK 60-69 years, male 70.8
GTEX-13RTL-0126-SM-7LG5S 40-49 years, male 70.6
GTEX-13O1R-0126-SM-5L3EH 60-69 years, male 70.5
GTEX-13OW8-1326-SM-5J1OW 60-69 years, male 70.5
GTEX-12WSN-5019-SM-79OM6 40-49 years, male 70.4
GTEX-1CB4J-0626-SM-7DHMP 60-69 years, male 70.4
GTEX-11DXY-2626-SM-5GIE7 60-69 years, male 70.3
GTEX-13W3W-2426-SM-5LU5B 60-69 years, female 70.2
GTEX-Y8LW-1826-SM-5S2MV 50-59 years, female 70.2
GTEX-OXRL-0126-SM-2YUMP 50-59 years, male 70.0
GTEX-14A6H-0126-SM-5QGPK 30-39 years, male 69.9
GTEX-14JIY-0126-SM-6LLH6 60-69 years, male 69.9
GTEX-13OVG-1926-SM-5L3DK 60-69 years, male 69.8
GTEX-146FH-0126-SM-5QGPP 50-59 years, female 69.8
GTEX-OIZF-0126-SM-7SB8I 60-69 years, male 69.7
GTEX-11NUK-0126-SM-5A5L3 50-59 years, male 69.3
GTEX-15D1Q-0126-SM-7KUG6 40-49 years, male 69.0
GTEX-OXRO-0126-SM-2YUN4 60-69 years, female 68.8
GTEX-1I1GU-2226-SM-CGQFA 40-49 years, male 68.8
GTEX-1HBPH-0426-SM-B2LW5 40-49 years, female 68.7
GTEX-1I1HK-0126-SM-COH49 60-69 years, male 67.7
GTEX-1JMOU-1526-SM-CL54I 60-69 years, female 67.5
GTEX-1PBJI-0526-SM-E8VNK 20-29 years, female 67.4
GTEX-1192W-2626-SM-5Q5AF 60-69 years, male 64.7
GTEX-1R9PO-2126-SM-E9J4O 60-69 years, female 64.6
GTEX-1EN7A-0126-SM-7SB81 40-49 years, male 64.3
GTEX-139T4-0226-SM-5HL5S 50-59 years, female 63.6
GTEX-14BIL-0126-SM-5SI92 50-59 years, male 63.6
GTEX-16XZY-2126-SM-79OK1 70-79 years, male 63.6
GTEX-11O72-0126-SM-59887 40-49 years, male 63.5
GTEX-V1D1-2226-SM-3NMAX 50-59 years, male 63.2
GTEX-113IC-0126-SM-5HL6T 60-69 years, male 63.0
GTEX-U4B1-1826-SM-4DXSU 40-49 years, male 63.0
GTEX-1C6VS-0526-SM-7DUEN 60-69 years, male 60.7
GTEX-14E7W-0126-SM-6LLJ9 70-79 years, male 58.8
GTEX-11ZUS-0626-SM-59885 30-39 years, male 57.4
Show allShow less

Contact

  • NEWS ARTICLES
  • PRESS ROOM

The Project

  • INTRODUCTION
  • ORGANIZATION
  • PUBLICATIONS

The Human Protein Atlas

  • DOWNLOADABLE DATA
  • LICENCE & CITATION
  • HELP & FAQ
The Human Protein Atlas project is funded
by the Knut & Alice Wallenberg Foundation.


contact@proteinatlas.org