We use cookies to enhance the usability of our website. If you continue, we'll assume that you are happy to receive all cookies. More information. Don't show this again.
COX8A
HPA
RESOURCES
  • TISSUE
  • BRAIN
  • SINGLE CELL
  • SUBCELLULAR
  • CANCER
  • BLOOD
  • CELL LINE
  • STRUCTURE & INTERACTION
ABOUT
  • INTRODUCTION
  • HISTORY
  • ORGANIZATION
  • PUBLICATIONS
  • ANTIBODY SUBMISSION
  • ANTIBODY AVAILABILITY
  • ACKNOWLEDGMENTS
  • CONTACT
NEWS
  • NEWS ARTICLES
  • PRESS ROOM
LEARN
  • DICTIONARY
  • PROTEIN CLASSES
  • PROTEIN EVIDENCE
  • METHODS
  • EDUCATIONAL VIDEOS
DATA
  • DOWNLOADABLE DATA
  • PUBLICATION DATA
  • RELEASE HISTORY
HELP
  • ANTIBODY VALIDATION
  • ASSAYS & ANNOTATION
  • DISCLAIMER
  • HELP & FAQ
  • PRIVACY STATEMENT
  • LICENCE & CITATION
Fields »
Search result

Field
Term
Gene name
Class
Subclass
Class
Keyword
Chromosome
External id
Tissue
Cell type
Expression
Antibody panel
Tissue
Main location
Patient ID
Annotation
Tissue
Category
Tau score
Cluster
Reliability
Brain region
Category
Tau score
Brain region
Category
Tau score
Brain region
Category
Tau score
Cluster
Reliability
Tissue
Cell type
Enrichment
Cell type
Category
Tau score
Cell type
Category
Tau score
Cell type
Category
Tau score
Cell lineage
Category
Tau score
Cluster
Cluster
Location
Searches
Location
Cell line
Class
Type
Phase
Reliability
Cancer
Prognosis
Cancer
Category
Cancer
Category
Tau score
Cluster
Variants
Interacting gene (ensg_id)
Type
Number of interactions
Pathway
Category
Score
Score
Score
Validation
Validation
Validation
Validation
Antibodies
Data type
Column


  • SUMMARY

  • TISSUE

  • BRAIN

  • SINGLE CELL

  • SUBCELL

  • CANCER

  • BLOOD

  • CELL LINE

  • STRUCT & INT

  • COX8A
TISSUE PRIMARY DATA HEART MUSCLE Show tissue menu
ADIPOSE TISSUE ADRENAL GLAND AMYGDALA APPENDIX BASAL GANGLIA BONE MARROW BREAST BRONCHUS CEREBELLUM CEREBRAL CORTEX CERVIX CHOROID PLEXUS COLON DUODENUM
ENDOMETRIUM EPIDIDYMIS ESOPHAGUS FALLOPIAN TUBE GALLBLADDER HEART MUSCLE HIPPOCAMPAL FORMATION HYPOTHALAMUS KIDNEY LIVER LUNG LYMPH NODE MIDBRAIN NASOPHARYNX
ORAL MUCOSA OVARY PANCREAS PARATHYROID GLAND PITUITARY GLAND PLACENTA PROSTATE RECTUM RETINA SALIVARY GLAND SEMINAL VESICLE SKELETAL MUSCLE SKIN SMALL INTESTINE
SMOOTH MUSCLE SOFT TISSUE SPINAL CORD SPLEEN STOMACH TESTIS THYMUS THYROID GLAND TONGUE TONSIL URINARY BLADDER VAGINA
ANTIBODIES
AND
VALIDATION
Dictionary
Heart muscle
Tissue proteome
Heart
HEART MUSCLE - Expression summary
Protein expression
Heart musclei

On the top, protein expression in current human tissue, based on all annotated cell types, is reported with the units not detected (n), low (l), medium (m) and high (h). Underneath, protein expression in each annotated cell type are reported using the same units.

Protein expression data is based on knowledge-based annotation. For genes where more than one antibody has been used, a collective score is set.

If knowledge-based annotation could not be performed for a gene, no data is displayed here. View antibody staining data further down this page.

h
m
l
n
Cardiomyocytes: Medium
RNA expressioni

A summary of mRNA expression data available for current tissue based on several datasets. The mRNA expression levels in human tissues are based on RNA-seq data generated by the Human Protein Atlas (HPA), Genotype-Tissue Expression (GTEx) portal and CAGE data generated by the FANTOM5 consortium. Consensus normalized expression levels for human tissues was created by combining the data from HPA and GTEx datasets.

The mRNA expression levels in pig are based on RNA-seq data generated by the Human Protein Atlas (HPA), and for mouse, HPA data and in situ hybridization generated by the Allen brain atlas are reported.

Scroll down to view mRNA expression data in more detail.
Consensus:1246.5 nTPM
HPA:517.7 nTPM
GTEx:1246.5 nTPM
FANTOM5:2156.8 Scaled Tags Per Million

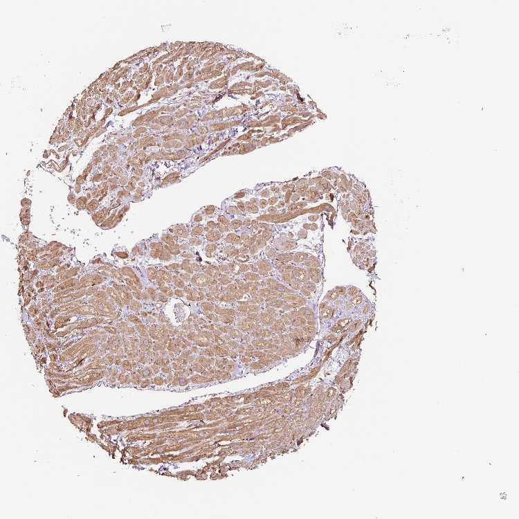
HEART MUSCLE - Antibody stainingi

Antibody staining in the annotated cell types in the current human tissue is reported as not detected, low, medium, or high, based on conventional immunohistochemistry profiling in selected tissues. This score is based on the combination of the staining intensity and fraction of stained cells.

Each image is clickable and will lead to virtual microscopy that enables deeper exploration of all samples and also displays staining intensity scores, fraction scores and subcellular localization as well as patient and tissue information for each sample.

Antibody HPA055942
Cardiomyocytes Medium



HEART MUSCLE - HPA RNA-seqi

The RNA-seq details section shows detailed information about the individual samples used for the transcript profiling and results of the RNA-seq analysis.

Information about each individual sample is listed below, including gender, age, a tissue section image and estimated fractions of cell types. nTPM (normalized transcripts per million) values give a quantification of the gene abundance which is comparable between different genes and samples.
Average nTPMi

Max subtype nTPM is the value for the subtype with the largest average nTPM across the subtype samples.

517.7
overview
Female, age 48
Heart muscle sample 149
nTPM: 717.2
Cell types%
Myocytes:
15

Fibroblasts:
55

Endothelial cells:
25

Other cell types:
5

overview
Female, age 42
Heart muscle sample 150
nTPM: 397
Cell types%
Myocytes:
20

Fibroblasts:
45

Endothelial cells:
30

Other cell types:
5

overview
Male, age 53
Heart muscle sample 151
nTPM: 397.5
Cell types%
Myocytes:
20

Fibroblasts:
45

Endothelial cells:
30

Other cell types:
5

overview
Female, age 69
Heart muscle sample 152
nTPM: 559
Cell types%
Myocytes:
20

Fibroblasts:
45

Endothelial cells:
30

Other cell types:
5


HEART MUSCLE - GTEx RNA-seqi

RNA-Seq data generated by the Genotype-Tissue Expression (GTEx) project from human tissues is reported as mean nTPM. More information can be found on the GTEx portal.

Distribution across the dataset is visualized with box plots, shown as median and 25th and 75th percentiles. Points are displayed as outliers if they are above or below 1.5 times the interquartile range. nTPM values of the individual samples are presented next to the box plot.
Max subtype nTPMi

Max subtype nTPM is the value for the subtype with the largest average nTPM across the subtype samples.

1246.5
GTEx sample id Sample description nTPM
Heart - Atrial Appendage
Average nTPM: 990.9
Samples: 429

Max nTPM: 6469.5
Min nTPM: 230.2
Std nTPM: 418.8
Median nTPM: 963.6
GTEX-14PJM-0826-SM-6LLIW 50-59 years, female 6469.5
GTEX-ZYFC-1026-SM-5GZX9 50-59 years, male 2207.0
GTEX-1GF9U-0526-SM-7P8SK 40-49 years, female 2073.2
GTEX-1J1OQ-2226-SM-A96SS 40-49 years, female 2050.6
GTEX-14C5O-1226-SM-664N3 60-69 years, male 1974.4
GTEX-1GN1U-1426-SM-7P8TF 50-59 years, female 1890.2
GTEX-14JG1-0826-SM-5ZZWR 40-49 years, male 1849.0
GTEX-1A32A-1326-SM-73KWW 50-59 years, female 1804.9
GTEX-ZDTS-1226-SM-4WKGL 60-69 years, male 1768.2
GTEX-1KANB-1126-SM-DHXJT 50-59 years, male 1760.8
GTEX-YEC4-0226-SM-4W1YG 40-49 years, male 1666.7
GTEX-12WSI-0426-SM-5EQ5J 50-59 years, male 1646.9
GTEX-13D11-1526-SM-5J2NA 50-59 years, female 1634.8
GTEX-ZYVF-1826-SM-5E44F 50-59 years, female 1630.3
GTEX-ZLFU-0326-SM-4WWBK 40-49 years, male 1620.4
GTEX-1MJIX-0426-SM-DTXEN 40-49 years, male 1606.8
GTEX-W5X1-0826-SM-3GILN 40-49 years, female 1599.2
GTEX-1HSGN-0926-SM-CNNQM 40-49 years, female 1580.7
GTEX-13QBU-0226-SM-5LU48 40-49 years, female 1576.5
GTEX-ZE7O-0626-SM-57WCD 50-59 years, female 1561.7
GTEX-1I1GP-0626-SM-ARL7H 50-59 years, male 1552.1
GTEX-1QPFJ-0926-SM-EVR3K 30-39 years, female 1533.0
GTEX-XOT4-1126-SM-4B66E 60-69 years, female 1524.9
GTEX-1KANC-0226-SM-E9TIW 50-59 years, female 1520.8
GTEX-12WSD-1226-SM-5HL9Q 60-69 years, female 1515.5
GTEX-1HFI7-0526-SM-A9SMA 50-59 years, female 1514.6
GTEX-13X6K-1726-SM-7IGLG 60-69 years, female 1510.2
GTEX-Y114-0126-SM-4TT8K 50-59 years, female 1505.4
GTEX-13OW7-1626-SM-5IJDH 50-59 years, male 1474.7
GTEX-14PN4-0826-SM-69LON 50-59 years, male 1470.1
GTEX-1HBPH-0226-SM-9WYSM 40-49 years, female 1453.8
GTEX-17JCI-0826-SM-7LT8W 60-69 years, female 1422.5
GTEX-11DYG-1026-SM-5A5JQ 60-69 years, male 1422.0
GTEX-13JVG-1126-SM-5KM2M 60-69 years, male 1404.8
GTEX-ZAK1-1126-SM-5PNXU 50-59 years, female 1397.8
GTEX-15DCE-0826-SM-7KULW 20-29 years, male 1389.8
GTEX-12WSC-1026-SM-5EQ5Y 50-59 years, male 1387.1
GTEX-1EH9U-0626-SM-7PC33 60-69 years, male 1383.2
GTEX-16NPX-0826-SM-6M489 50-59 years, male 1369.1
GTEX-144GL-1026-SM-5O99R 50-59 years, male 1366.0
GTEX-1122O-0626-SM-5N9B9 60-69 years, female 1364.7
GTEX-145MN-0726-SM-5NQBH 30-39 years, male 1360.1
GTEX-ZF3C-1126-SM-57WEG 50-59 years, female 1355.0
GTEX-1B933-0826-SM-79OMW 50-59 years, female 1352.0
GTEX-1GZ4I-0826-SM-9WG6O 50-59 years, male 1349.8
GTEX-14PK6-0726-SM-6LLIX 70-79 years, female 1341.9
GTEX-ZYFD-2026-SM-5E459 50-59 years, male 1334.9
GTEX-1RLM8-0226-SM-E6CJY 50-59 years, male 1326.4
GTEX-14PJ2-1126-SM-69LOD 50-59 years, male 1324.7
GTEX-1LH75-0526-SM-DIPG2 50-59 years, female 1324.2
GTEX-ZYT6-0926-SM-5GIEM 30-39 years, male 1319.1
GTEX-132NY-1426-SM-5J1MJ 60-69 years, male 1316.1
GTEX-13VXT-0726-SM-5SIAD 20-29 years, female 1315.9
GTEX-1GN73-2326-SM-9MQKV 60-69 years, male 1315.9
GTEX-13O61-0426-SM-5L3ET 60-69 years, male 1314.2
GTEX-XGQ4-0526-SM-4AT6C 50-59 years, male 1313.6
GTEX-WH7G-0326-SM-3NMBH 40-49 years, male 1309.1
GTEX-14BIM-2726-SM-5Q5EG 60-69 years, female 1302.3
GTEX-1QP29-1426-SM-DTX9Q 50-59 years, male 1301.3
GTEX-131XG-0526-SM-5DUWF 50-59 years, female 1300.9
GTEX-XQ3S-0526-SM-4BOQA 20-29 years, male 1300.5
GTEX-Y3IK-1026-SM-51MR7 50-59 years, female 1294.1
GTEX-WHSE-0826-SM-4SOJU 20-29 years, male 1291.8
GTEX-1AX9K-0426-SM-73KUG 50-59 years, male 1286.9
GTEX-1QCLZ-1126-SM-EWRNB 60-69 years, female 1282.0
GTEX-14BMV-1026-SM-5SI6B 50-59 years, male 1279.3
GTEX-1IDJH-1126-SM-COH3R 70-79 years, male 1277.5
GTEX-XPVG-0726-SM-4B658 50-59 years, male 1270.0
GTEX-1HT8W-1326-SM-CGQEN 30-39 years, male 1267.9
GTEX-13PVQ-1326-SM-5LU4J 50-59 years, male 1267.1
GTEX-13RTJ-0526-SM-62LDP 60-69 years, male 1266.0
GTEX-X4EP-0326-SM-3P5Z6 60-69 years, female 1264.8
GTEX-145LS-1326-SM-5Q5EP 60-69 years, female 1264.7
GTEX-11EM3-0426-SM-5N9BZ 20-29 years, female 1263.6
GTEX-ZVT3-0826-SM-5GIC8 60-69 years, female 1262.7
GTEX-1IY9M-0626-SM-D4P2L 60-69 years, male 1262.2
GTEX-1GMR8-1026-SM-9MQLA 50-59 years, female 1261.4
GTEX-YFC4-0426-SM-4TT3J 40-49 years, female 1260.9
GTEX-13NZB-0426-SM-5KM26 30-39 years, male 1257.9
GTEX-18465-0726-SM-7LG4L 50-59 years, male 1256.3
GTEX-X3Y1-0226-SM-3P5Z5 40-49 years, male 1255.1
GTEX-18A7A-1226-SM-7LTAJ 50-59 years, female 1251.6
GTEX-ZTPG-1326-SM-51MSQ 20-29 years, female 1248.0
GTEX-1KXAM-1426-SM-D3LAC 60-69 years, male 1246.5
GTEX-ZDXO-0426-SM-4WKF6 60-69 years, male 1245.2
GTEX-1B996-1026-SM-793CF 60-69 years, male 1244.9
GTEX-14PJO-0826-SM-6ETZK 60-69 years, male 1243.5
GTEX-1313W-1126-SM-5EQ5U 50-59 years, female 1239.8
GTEX-13W3W-0526-SM-5LU3X 60-69 years, female 1239.2
GTEX-1212Z-0726-SM-5EGI5 60-69 years, male 1238.0
GTEX-Y3I4-0526-SM-4TT6X 50-59 years, male 1227.8
GTEX-1B97J-0326-SM-7939H 50-59 years, female 1227.0
GTEX-132QS-0526-SM-5IJC7 60-69 years, male 1223.9
GTEX-1PPGY-0926-SM-DTXFF 60-69 years, male 1223.8
GTEX-1OFPY-0926-SM-DTX8Q 60-69 years, male 1222.2
GTEX-1399T-0726-SM-5J1MH 60-69 years, male 1221.5
GTEX-V955-0826-SM-CYPR5 60-69 years, male 1220.6
GTEX-VJWN-1026-SM-4M1ZN 50-59 years, female 1219.3
GTEX-13O3P-1426-SM-5L3DT 50-59 years, male 1217.8
GTEX-ZZPT-0926-SM-5GICZ 50-59 years, male 1211.4
GTEX-XBEC-1226-SM-4AT65 50-59 years, male 1208.9
GTEX-13OW5-0926-SM-5L3GZ 60-69 years, male 1205.7
GTEX-1JJEA-0926-SM-CYPSO 60-69 years, male 1203.9
GTEX-1GMR3-0426-SM-7PC17 40-49 years, male 1202.9
GTEX-WK11-0626-SM-3NMAV 50-59 years, male 1202.5
GTEX-15CHQ-1326-SM-6871Z 60-69 years, male 1202.0
GTEX-1F75I-1326-SM-7PBZX 40-49 years, male 1199.3
GTEX-147JS-1326-SM-5SI6D 60-69 years, male 1198.9
GTEX-17F96-0826-SM-7DHLU 70-79 years, male 1195.8
GTEX-16YQH-0726-SM-7IGM1 30-39 years, male 1194.5
GTEX-ZGAY-0226-SM-4WWAL 40-49 years, female 1187.7
GTEX-13FHP-0826-SM-5K7V5 50-59 years, male 1187.6
GTEX-1EU9M-1926-SM-7RHH4 60-69 years, male 1185.7
GTEX-ZVT2-0926-SM-5GICE 50-59 years, female 1185.5
GTEX-1R9JW-0426-SM-E76QL 30-39 years, female 1184.1
GTEX-1C2JI-0626-SM-7DHM1 50-59 years, male 1174.9
GTEX-1NHNU-0626-SM-E6CP1 50-59 years, male 1174.8
GTEX-131XF-0426-SM-5HL7U 60-69 years, male 1170.5
GTEX-18D9U-1426-SM-718BO 40-49 years, male 1165.7
GTEX-13O1R-0926-SM-5L3DS 60-69 years, male 1163.5
GTEX-15RIE-1326-SM-6PAMM 60-69 years, male 1162.2
GTEX-XYKS-0226-SM-4BRW3 60-69 years, female 1161.7
GTEX-11UD2-0926-SM-5CVL6 50-59 years, male 1160.3
GTEX-1399S-0826-SM-5KM23 30-39 years, female 1159.9
GTEX-1LSNM-0426-SM-E9TIZ 50-59 years, male 1155.9
GTEX-1GF9V-1726-SM-9KNW4 60-69 years, male 1155.1
GTEX-111FC-0626-SM-5N9CU 60-69 years, male 1154.6
GTEX-13N1W-0926-SM-5MR36 70-79 years, male 1152.9
GTEX-11O72-1026-SM-5986B 40-49 years, male 1152.3
GTEX-1BAJH-1026-SM-7EWEG 70-79 years, male 1151.5
GTEX-1399U-0726-SM-5KM1D 50-59 years, female 1147.6
GTEX-1I1GQ-1226-SM-CL55J 50-59 years, male 1146.1
GTEX-ZDYS-0326-SM-5HL4W 50-59 years, male 1145.7
GTEX-1C64O-0926-SM-79OLN 60-69 years, male 1144.5
GTEX-1H1DG-0826-SM-9QEIW 70-79 years, male 1143.2
GTEX-13SLX-0926-SM-5S2NM 50-59 years, female 1140.5
GTEX-13CF2-0226-SM-5L3DV 60-69 years, male 1139.1
GTEX-1E2YA-0626-SM-7P8P4 50-59 years, male 1135.4
GTEX-12WSE-0926-SM-5S2VX 20-29 years, male 1132.8
GTEX-1IKK5-1726-SM-CM2RU 60-69 years, male 1132.8
GTEX-1HBPN-0926-SM-CGQEG 50-59 years, male 1131.6
GTEX-1P4AB-0926-SM-E76PV 50-59 years, male 1129.7
GTEX-1QMI2-1026-SM-DTX7T 60-69 years, male 1126.7
GTEX-12696-1226-SM-5FQSM 60-69 years, male 1126.4
GTEX-XLM4-2026-SM-4AT4X 60-69 years, male 1126.4
GTEX-14ASI-0826-SM-5Q5EB 60-69 years, male 1125.7
GTEX-1EMGI-1126-SM-9KNUF 60-69 years, male 1120.4
GTEX-1CB4J-0226-SM-7P8T4 60-69 years, male 1117.7
GTEX-117YX-0626-SM-5EGJI 50-59 years, male 1117.4
GTEX-1CAMS-1126-SM-7MXUQ 40-49 years, female 1117.2
GTEX-15SDE-1826-SM-7KUFN 50-59 years, female 1112.7
GTEX-1H3NZ-1026-SM-A9SM5 60-69 years, male 1111.4
GTEX-13PVR-0926-SM-5S2RB 60-69 years, female 1108.4
GTEX-13PL7-0726-SM-5KM1S 60-69 years, female 1106.2
GTEX-U8XE-0926-SM-3DB8V 30-39 years, male 1105.8
GTEX-YF7O-0526-SM-5P9IO 50-59 years, male 1105.2
GTEX-13NYS-1926-SM-5IJCB 60-69 years, male 1103.3
GTEX-11EMC-0826-SM-59862 60-69 years, female 1100.6
GTEX-1LGOU-0326-SM-D3LAM 20-29 years, female 1094.8
GTEX-13YAN-1426-SM-7EPG8 60-69 years, male 1092.6
GTEX-12WSK-0526-SM-5CVNA 40-49 years, female 1085.7
GTEX-1JMLX-1826-SM-CNPOX 50-59 years, male 1083.4
GTEX-1NSGN-1226-SM-E76OL 50-59 years, male 1079.1
GTEX-13FHO-1226-SM-5L3EF 60-69 years, male 1075.4
GTEX-132Q8-1126-SM-5K7XS 60-69 years, male 1066.6
GTEX-148VJ-1426-SM-5TDE3 70-79 years, male 1065.4
GTEX-183WM-0926-SM-718AN 70-79 years, female 1062.7
GTEX-18A6Q-1526-SM-731CO 60-69 years, male 1060.2
GTEX-YB5K-0226-SM-5IFJE 40-49 years, female 1055.8
GTEX-ZF29-0426-SM-4WKFN 60-69 years, female 1055.4
GTEX-1AX9J-0926-SM-73KXA 60-69 years, male 1054.2
GTEX-17F9Y-1226-SM-7EPGE 70-79 years, female 1053.3
GTEX-1F75A-1026-SM-7PC3W 50-59 years, male 1049.7
GTEX-12BJ1-0326-SM-5FQUB 60-69 years, male 1049.3
GTEX-12ZZX-0726-SM-5EGKA 40-49 years, female 1047.9
GTEX-11P81-0526-SM-59873 30-39 years, female 1043.7
GTEX-XV7Q-0726-SM-4BRV6 40-49 years, female 1042.3
GTEX-14PHX-0626-SM-5YY8Z 50-59 years, male 1035.3
GTEX-Z93S-0326-SM-5HL84 50-59 years, male 1034.8
GTEX-ZPU1-0726-SM-5HL6O 40-49 years, male 1033.2
GTEX-1LVAN-1526-SM-CNPQN 50-59 years, female 1033.1
GTEX-1GL5R-0426-SM-9WPOP 50-59 years, male 1029.3
GTEX-13OW6-0926-SM-5L3GM 50-59 years, male 1026.2
GTEX-12ZZY-1226-SM-5GCNK 60-69 years, male 1024.6
GTEX-139TU-1926-SM-5J2OC 60-69 years, male 1023.3
GTEX-13FH7-0826-SM-5J2NW 50-59 years, female 1022.3
GTEX-Y5V5-0726-SM-4VBPY 60-69 years, female 1015.7
GTEX-ZPIC-0426-SM-DO91V 40-49 years, female 1014.6
GTEX-1E1VI-1426-SM-793CY 50-59 years, male 1012.3
GTEX-15EU6-1326-SM-6PANG 50-59 years, male 1011.3
GTEX-13FXS-1026-SM-62LFQ 50-59 years, male 1006.8
GTEX-1J8EW-0626-SM-CM2TY 60-69 years, female 1004.1
GTEX-14H4A-0426-SM-5ZZWO 40-49 years, female 1003.9
GTEX-1192X-0726-SM-5987R 50-59 years, male 1002.5
GTEX-14E1K-0826-SM-5ZZW9 50-59 years, male 1000.5
GTEX-1LVAO-0626-SM-EWRNT 60-69 years, male 999.3
GTEX-1MCC2-0226-SM-EVYD5 30-39 years, female 999.3
GTEX-13JUV-0226-SM-5IJCC 40-49 years, female 991.0
GTEX-ZZPU-1126-SM-5N9CW 50-59 years, female 990.2
GTEX-XPT6-0226-SM-4B65L 20-29 years, male 989.7
GTEX-15ER7-0826-SM-6PALW 20-29 years, female 989.1
GTEX-11NUK-0926-SM-5HL57 50-59 years, male 987.3
GTEX-1CB4G-0726-SM-79OOJ 60-69 years, male 984.6
GTEX-1HC8U-0626-SM-B2LWB 40-49 years, female 983.8
GTEX-139YR-0526-SM-5L3DG 50-59 years, male 983.7
GTEX-13FTW-0826-SM-5K7XR 40-49 years, male 980.7
GTEX-14PN3-0726-SM-6EU14 60-69 years, female 978.8
GTEX-1IKOE-0626-SM-A9G31 30-39 years, female 975.9
GTEX-X8HC-1026-SM-46MWH 50-59 years, female 974.3
GTEX-1J8QM-0326-SM-CL53D 60-69 years, female 973.2
GTEX-111YS-0326-SM-5GZZ3 60-69 years, male 971.6
GTEX-14A6H-0326-SM-5NQAN 30-39 years, male 970.3
GTEX-12WSG-1226-SM-5EQ4C 50-59 years, female 965.9
GTEX-V1D1-0626-SM-4JBHN 50-59 years, male 965.9
GTEX-ZYFG-0526-SM-5GZXX 60-69 years, female 963.6
GTEX-XQ8I-0226-SM-4BOPM 50-59 years, male 963.3
GTEX-11ZUS-0326-SM-5EQ4W 30-39 years, male 960.7
GTEX-1A8G6-1826-SM-73KY8 60-69 years, male 957.2
GTEX-11DXX-0526-SM-5PNVR 60-69 years, female 953.6
GTEX-1B8L1-0426-SM-7SB76 60-69 years, male 948.9
GTEX-1HSKV-0726-SM-ACKWE 60-69 years, male 948.5
GTEX-1JK1U-0626-SM-CKZOJ 60-69 years, male 948.1
GTEX-1K2DU-0226-SM-DIPF6 20-29 years, male 947.0
GTEX-131XE-0526-SM-5K7YT 50-59 years, male 943.3
GTEX-1CAMQ-0726-SM-7P8SG 40-49 years, male 940.8
GTEX-1445S-1226-SM-5O9BF 60-69 years, male 940.1
GTEX-12WSA-1126-SM-5EGKU 60-69 years, male 938.5
GTEX-11DXY-1026-SM-5987V 60-69 years, male 937.8
GTEX-WI4N-0726-SM-3TW93 40-49 years, female 937.5
GTEX-X62O-0826-SM-46MW8 50-59 years, male 936.4
GTEX-1I1GV-1426-SM-B2LXN 60-69 years, male 934.1
GTEX-1RB15-0426-SM-E9U4Y 60-69 years, male 932.8
GTEX-16XZY-0526-SM-7DHKY 70-79 years, male 930.6
GTEX-16MT8-0826-SM-7KULO 60-69 years, female 926.7
GTEX-11GSP-1226-SM-5985M 60-69 years, female 924.8
GTEX-11LCK-0826-SM-5PNYD 30-39 years, male 924.1
GTEX-1ICG6-0726-SM-B2LY5 70-79 years, female 924.0
GTEX-17GQL-0626-SM-731CN 60-69 years, male 923.8
GTEX-17F9E-0726-SM-793A1 50-59 years, male 923.7
GTEX-1339X-0326-SM-5K7Z8 40-49 years, male 921.8
GTEX-13SLW-0826-SM-5QGP7 70-79 years, male 920.2
GTEX-1GN2E-1426-SM-7RHHI 60-69 years, male 917.4
GTEX-WEY5-0226-SM-3GIKN 40-49 years, female 917.3
GTEX-ZPCL-0526-SM-DO91R 60-69 years, female 916.3
GTEX-15CHC-0326-SM-5ZZVP 60-69 years, female 915.7
GTEX-1LB8K-0926-SM-D4P42 50-59 years, male 911.9
GTEX-YECK-1226-SM-4W21G 60-69 years, male 911.1
GTEX-13O3O-1426-SM-5KM2S 60-69 years, female 910.9
GTEX-132AR-1926-SM-5EGK5 50-59 years, female 910.2
GTEX-WL46-0726-SM-3LK5Z 50-59 years, male 909.9
GTEX-YEC3-0426-SM-CYPS8 50-59 years, male 909.3
GTEX-1H11D-1026-SM-9QEIU 40-49 years, male 908.3
GTEX-13NYB-0326-SM-5IJDP 40-49 years, male 904.6
GTEX-131YS-0826-SM-5PNYV 60-69 years, female 901.8
GTEX-1JJ6O-2226-SM-AHZ3I 60-69 years, male 900.7
GTEX-1IDJF-0826-SM-ARU7N 20-29 years, male 898.3
GTEX-11NV4-0826-SM-5BC4S 60-69 years, male 893.1
GTEX-117XS-0726-SM-5H131 60-69 years, male 886.1
GTEX-1GN1W-0226-SM-7P8QY 50-59 years, female 885.5
GTEX-ZDTT-0326-SM-4WKF9 60-69 years, male 884.9
GTEX-146FH-1126-SM-5NQAT 50-59 years, female 884.5
GTEX-WWYW-1126-SM-3NB2Q 50-59 years, female 883.9
GTEX-11DXZ-0326-SM-5EGH1 50-59 years, male 881.7
GTEX-1B8KE-0326-SM-73KTY 50-59 years, male 877.2
GTEX-1399R-1726-SM-5K7YJ 30-39 years, male 874.8
GTEX-ZF2S-0826-SM-4WWBI 50-59 years, female 871.8
GTEX-147F4-1126-SM-5TDDE 50-59 years, male 869.2
GTEX-11GS4-0426-SM-5N9CD 60-69 years, male 867.5
GTEX-1F88F-0326-SM-9KNV3 60-69 years, female 867.3
GTEX-1J8Q2-1026-SM-ARU8I 60-69 years, male 865.4
GTEX-1H3VY-1126-SM-A96TP 50-59 years, male 865.2
GTEX-17KNJ-0626-SM-7LT9L 50-59 years, male 861.8
GTEX-ZEX8-0326-SM-DO92C 50-59 years, male 861.1
GTEX-1QEPI-1126-SM-E8VN7 60-69 years, female 860.1
GTEX-1IDJU-0626-SM-CKZOG 60-69 years, female 857.4
GTEX-15RJE-0726-SM-7KUEG 40-49 years, male 851.4
GTEX-ZT9W-0526-SM-57WFG 50-59 years, male 851.1
GTEX-145LV-0226-SM-5S2QG 50-59 years, male 847.5
GTEX-YJ8O-0826-SM-5CVM3 40-49 years, female 846.3
GTEX-1L5NE-0526-SM-DIPG5 50-59 years, male 843.0
GTEX-15SHU-0926-SM-6PAMK 40-49 years, female 839.9
GTEX-1HBPM-1026-SM-ARL9D 60-69 years, female 839.5
GTEX-1AX8Z-1126-SM-731CS 60-69 years, male 836.9
GTEX-17MF6-0926-SM-7LTAL 40-49 years, male 836.6
GTEX-1B932-1326-SM-79OM4 40-49 years, female 835.2
GTEX-11ZTT-0526-SM-5EQLA 60-69 years, female 832.2
GTEX-11TT1-1426-SM-5EGIA 20-29 years, male 831.9
GTEX-1211K-0226-SM-59HJY 60-69 years, female 831.7
GTEX-13U4I-0626-SM-5LU5L 40-49 years, female 826.4
GTEX-1HR98-1026-SM-CKZOM 60-69 years, male 826.0
GTEX-12WSN-0226-SM-5DUXH 40-49 years, male 824.0
GTEX-11ONC-1026-SM-5GU64 60-69 years, male 819.9
GTEX-WHPG-1026-SM-3NMBA 50-59 years, male 815.2
GTEX-13S86-0326-SM-5SI6K 40-49 years, male 814.1
GTEX-13N11-0726-SM-5L3DP 50-59 years, female 810.4
GTEX-14PJ4-0926-SM-5YY98 60-69 years, male 810.2
GTEX-ZAB4-0926-SM-5CVN4 40-49 years, male 805.9
GTEX-13O21-0326-SM-5J1N9 50-59 years, male 803.1
GTEX-14PJ6-0626-SM-686Z6 60-69 years, female 797.9
GTEX-146FR-0926-SM-5QGPE 60-69 years, female 797.1
GTEX-1HFI6-0826-SM-9YFM2 40-49 years, male 796.0
GTEX-1R9K4-1026-SM-EXUT1 60-69 years, male 795.8
GTEX-1GZ2Q-0926-SM-7RHHN 40-49 years, male 789.6
GTEX-1H1ZS-1026-SM-9WG6E 70-79 years, male 787.8
GTEX-14DAQ-1026-SM-793B1 60-69 years, female 786.5
GTEX-1J8Q3-1126-SM-ARU8N 60-69 years, male 786.2
GTEX-14XAO-0926-SM-69LPZ 60-69 years, female 781.9
GTEX-13OVG-0426-SM-5KM2T 60-69 years, male 780.9
GTEX-1HCVE-0826-SM-CM2SF 50-59 years, male 775.8
GTEX-ZVZQ-0726-SM-51MR3 60-69 years, female 774.6
GTEX-WHWD-0326-SM-3LK6L 50-59 years, male 774.5
GTEX-1I1GR-1026-SM-A9SLC 60-69 years, male 772.0
GTEX-1IDJD-0226-SM-CKZOA 30-39 years, male 766.5
GTEX-1CB4I-1526-SM-7DHMY 50-59 years, male 761.0
GTEX-ZG7Y-1426-SM-4WWBM 50-59 years, male 759.4
GTEX-1GMR2-1326-SM-9KNUT 50-59 years, male 757.0
GTEX-1IKJJ-0626-SM-CY8GF 60-69 years, male 755.9
GTEX-1EWIQ-1126-SM-7EPIK 70-79 years, female 750.7
GTEX-1GMRU-1326-SM-9WYUI 50-59 years, male 750.5
GTEX-111VG-0326-SM-5GZX7 60-69 years, male 748.0
GTEX-1AYCT-0526-SM-7RHHS 50-59 years, male 745.9
GTEX-WFG7-0826-SM-3GIKU 20-29 years, male 744.8
GTEX-1CB4H-0626-SM-7IGN3 60-69 years, female 743.8
GTEX-1POEN-0726-SM-DTXDU 30-39 years, female 743.7
GTEX-1LG7Y-1426-SM-D4P31 50-59 years, male 739.4
GTEX-13X6J-1226-SM-79OMF 50-59 years, male 738.7
GTEX-1R7EV-0426-SM-DTX7Z 40-49 years, male 738.5
GTEX-1C6VQ-0826-SM-7PBZT 50-59 years, male 736.9
GTEX-WQUQ-1326-SM-3MJFF 60-69 years, male 734.8
GTEX-1F6I4-0826-SM-7RHGK 60-69 years, male 732.1
GTEX-18D9B-1126-SM-7KFSH 60-69 years, male 729.7
GTEX-1HCUA-0626-SM-ACKVT 50-59 years, female 727.2
GTEX-WY7C-1126-SM-3NB3A 50-59 years, male 726.1
GTEX-XXEK-2026-SM-4BRVE 50-59 years, male 721.5
GTEX-1HSMO-1126-SM-CGQF2 60-69 years, male 720.9
GTEX-14E6C-0326-SM-5Q5EE 40-49 years, male 720.8
GTEX-13PDP-1326-SM-5K7U9 60-69 years, male 718.7
GTEX-1IL2U-1226-SM-CL53P 60-69 years, male 716.2
GTEX-1I1HK-0626-SM-CNPQM 60-69 years, male 712.1
GTEX-1LGRB-1026-SM-CNPQD 50-59 years, female 711.5
GTEX-13112-0526-SM-5EQ4S 50-59 years, male 711.4
GTEX-13NZ9-0126-SM-5K7XV 50-59 years, male 709.5
GTEX-1H2FU-0826-SM-9WYSU 60-69 years, female 708.6
GTEX-13OVI-0326-SM-5K7X1 60-69 years, female 707.5
GTEX-15SKB-0926-SM-7KUFC 60-69 years, male 705.0
GTEX-1EX96-2626-SM-9MQJV 50-59 years, male 704.8
GTEX-1192W-0226-SM-5EGGT 60-69 years, male 699.9
GTEX-1I19N-0626-SM-A9SKY 70-79 years, male 699.6
GTEX-1B8SG-0726-SM-79ONS 50-59 years, male 698.9
GTEX-WYBS-1226-SM-3NM9N 60-69 years, female 696.8
GTEX-X5EB-0626-SM-46MVQ 40-49 years, male 690.7
GTEX-WRHU-1026-SM-4E3ID 50-59 years, female 688.2
GTEX-UPK5-0226-SM-3GAEV 40-49 years, male 679.7
GTEX-14PII-1026-SM-5ZZVW 60-69 years, male 677.8
GTEX-14BIL-0926-SM-7DHKN 50-59 years, male 674.4
GTEX-16XZZ-1026-SM-7DHKS 60-69 years, male 674.1
GTEX-1CB4E-0626-SM-7DHMW 60-69 years, male 672.0
GTEX-14A5I-1026-SM-5Q5E3 50-59 years, female 664.2
GTEX-17HGU-1126-SM-793BP 50-59 years, male 660.6
GTEX-11TUW-1126-SM-5EQKJ 60-69 years, male 656.7
GTEX-15CHR-0326-SM-7DHN3 50-59 years, male 655.6
GTEX-11WQK-0226-SM-5EQLI 50-59 years, male 652.4
GTEX-1JMQK-0926-SM-ARL96 60-69 years, male 649.1
GTEX-WZTO-1226-SM-3NMAZ 40-49 years, male 648.3
GTEX-ZAB5-0126-SM-5CVMT 50-59 years, male 642.7
GTEX-ZV7C-0526-SM-9WPNK 50-59 years, male 640.0
GTEX-1QP6S-1026-SM-DTXFW 40-49 years, male 639.7
GTEX-1HSMQ-0426-SM-ADEIM 50-59 years, male 639.0
GTEX-WOFL-1226-SM-4OOST 60-69 years, male 638.5
GTEX-15SHV-0526-SM-7KUEN 60-69 years, male 637.1
GTEX-1117F-0726-SM-5GIEN 60-69 years, female 632.0
GTEX-WYJK-1126-SM-3NM9Z 50-59 years, male 628.6
GTEX-1IKOH-0926-SM-A9SLU 60-69 years, female 621.6
GTEX-11EQ8-1326-SM-5EGJQ 60-69 years, male 610.6
GTEX-13NZA-0826-SM-5K7WS 60-69 years, male 599.8
GTEX-ZTTD-0626-SM-4YCCY 50-59 years, male 598.0
GTEX-ZAJG-0926-SM-5Q5AB 50-59 years, female 597.9
GTEX-1A3MX-1226-SM-731B3 60-69 years, male 597.2
GTEX-1A8FM-1026-SM-7PC26 50-59 years, female 595.2
GTEX-14E7W-1126-SM-5ZZVS 70-79 years, male 592.7
GTEX-13PL6-0826-SM-5IJBI 40-49 years, female 591.3
GTEX-14PHY-0326-SM-62LE3 60-69 years, female 590.3
GTEX-1KD5A-0926-SM-D4P3U 50-59 years, male 586.8
GTEX-VUSG-0726-SM-3GIK1 50-59 years, male 580.2
GTEX-1JN6P-0826-SM-ARL97 60-69 years, male 579.1
GTEX-WFON-0226-SM-3GIKR 40-49 years, male 578.4
GTEX-1I1CD-1326-SM-A9SMM 60-69 years, female 576.8
GTEX-Y8E4-0426-SM-4V6GB 40-49 years, male 573.6
GTEX-X4XX-1126-SM-3NMBY 60-69 years, male 568.8
GTEX-1C64N-0826-SM-7RHGQ 50-59 years, male 567.5
GTEX-1AX9I-1026-SM-73KYF 60-69 years, male 562.1
GTEX-18A66-1126-SM-731C5 60-69 years, male 558.3
GTEX-14C39-0726-SM-5RQIK 40-49 years, male 547.3
GTEX-117YW-0426-SM-5GZZZ 50-59 years, male 543.4
GTEX-1JMOU-0326-SM-ARL8X 60-69 years, female 534.9
GTEX-18A67-1026-SM-731CE 50-59 years, male 532.0
GTEX-1477Z-1126-SM-5P9GK 60-69 years, male 529.7
GTEX-1HCU7-1226-SM-B2LX8 50-59 years, male 529.5
GTEX-13FTZ-0326-SM-5J1O1 60-69 years, male 517.6
GTEX-15UF7-1526-SM-6LPI7 40-49 years, male 511.5
GTEX-1MJK2-1626-SM-EVYCQ 50-59 years, male 506.8
GTEX-14C38-1326-SM-62LDK 50-59 years, male 493.7
GTEX-ZUA1-0726-SM-4YCD9 40-49 years, male 493.6
GTEX-X261-0926-SM-3NMCY 50-59 years, male 491.4
GTEX-1JMQL-1026-SM-CMKGV 50-59 years, female 487.8
GTEX-1B8SF-1326-SM-7IGQJ 60-69 years, male 485.2
GTEX-13O3Q-0326-SM-5L3FE 50-59 years, male 484.3
GTEX-ZVT4-1326-SM-5NQ8E 50-59 years, female 472.0
GTEX-WFG8-0726-SM-3GILP 20-29 years, male 466.6
GTEX-1GTWX-0926-SM-9MQKM 60-69 years, male 460.5
GTEX-1F75B-1126-SM-7RHGP 50-59 years, male 453.5
GTEX-16GPK-1226-SM-7LTAU 60-69 years, male 423.6
GTEX-1H3O1-0226-SM-9WYSW 60-69 years, male 421.2
GTEX-17EVP-0526-SM-7EPGY 40-49 years, male 414.8
GTEX-1F48J-1126-SM-9WYSY 50-59 years, female 399.0
GTEX-1HUB1-0726-SM-CGQF4 60-69 years, male 388.8
GTEX-UTHO-1226-SM-3GAEE 60-69 years, male 382.0
GTEX-14BIN-2126-SM-793AX 50-59 years, female 378.3
GTEX-11ZVC-0526-SM-5N9G1 50-59 years, female 376.7
GTEX-1C6WA-0826-SM-7PBXS 60-69 years, male 359.4
GTEX-1IOXB-0726-SM-A9G32 50-59 years, male 351.9
GTEX-1GN1V-1026-SM-CNPPS 60-69 years, male 350.0
GTEX-1H1CY-0426-SM-9KNVD 60-69 years, female 325.5
GTEX-12584-1026-SM-59HK3 40-49 years, male 324.8
GTEX-15D1Q-0426-SM-6AJ9G 40-49 years, male 290.8
GTEX-ZXG5-0626-SM-5NQ85 60-69 years, male 284.0
GTEX-1IL2V-1126-SM-CMKGH 70-79 years, male 275.0
GTEX-1M5QR-1626-SM-E9U5O 40-49 years, male 257.3
GTEX-1LSNL-0626-SM-DIPFJ 50-59 years, male 230.2
Show allShow less
Heart - Left Ventricle
Average nTPM: 1246.5
Samples: 432

Max nTPM: 3269.2
Min nTPM: 199.1
Std nTPM: 483.5
Median nTPM: 1266.3
GTEX-1O9I2-1126-SM-DTXEA 50-59 years, male 3269.2
GTEX-1RQEC-0926-SM-EWROG 60-69 years, male 2737.0
GTEX-1POEN-0626-SM-EVR4B 30-39 years, female 2503.4
GTEX-14A6H-0226-SM-5Q5DX 30-39 years, male 2484.2
GTEX-13O3O-1526-SM-5KM1C 60-69 years, female 2413.9
GTEX-Y114-0226-SM-4TT8W 50-59 years, female 2388.5
GTEX-XQ3S-0626-SM-4BOOB 20-29 years, male 2368.3
GTEX-O5YW-0326-SM-2I5EI 50-59 years, male 2336.7
GTEX-1LGOU-0726-SM-E9TIY 20-29 years, female 2329.3
GTEX-11ZUS-0226-SM-5FQT8 30-39 years, male 2278.0
GTEX-R55E-1026-SM-2TC5S 20-29 years, male 2242.1
GTEX-ZQUD-1526-SM-7IGO2 30-39 years, male 2235.2
GTEX-ZDXO-0726-SM-57WBT 60-69 years, male 2224.2
GTEX-132NY-1726-SM-5EGKK 60-69 years, male 2171.7
GTEX-1HBPH-0126-SM-CNNQ7 40-49 years, female 2169.8
GTEX-16BQI-0926-SM-6M485 30-39 years, female 2123.1
GTEX-1R9JW-0526-SM-EWRNK 30-39 years, female 2077.9
GTEX-13OVL-0526-SM-5KLZQ 50-59 years, male 2062.4
GTEX-1MUQO-1226-SM-E9TJK 60-69 years, male 2051.5
GTEX-1S3DN-0726-SM-E9TIO 50-59 years, male 2050.4
GTEX-1EU9M-1826-SM-7DUGU 60-69 years, male 2047.4
GTEX-YFC4-0526-SM-5ZZVI 40-49 years, female 2045.1
GTEX-14PJ6-0726-SM-69LOL 60-69 years, female 2041.3
GTEX-14JG1-1026-SM-6ETZY 40-49 years, male 2024.4
GTEX-13VXT-1126-SM-5LU3A 20-29 years, female 1999.1
GTEX-1LH75-0426-SM-E9TJF 50-59 years, female 1995.4
GTEX-1ICG6-0626-SM-ACKWS 70-79 years, female 1980.5
GTEX-1KD5A-1026-SM-CY8I8 50-59 years, male 1969.3
GTEX-13PVR-1026-SM-5QGQW 60-69 years, female 1933.6
GTEX-WZTO-1326-SM-3NM8X 40-49 years, male 1915.9
GTEX-111YS-0426-SM-5987O 60-69 years, male 1903.8
GTEX-13SLX-1026-SM-5ZZUQ 50-59 years, female 1902.8
GTEX-1QPFJ-1026-SM-E6CR6 30-39 years, female 1901.7
GTEX-1R9K4-1326-SM-DTX8G 60-69 years, male 1895.0
GTEX-13QBU-0426-SM-5J2O4 40-49 years, female 1885.6
GTEX-13CF2-0426-SM-5KM1H 60-69 years, male 1874.3
GTEX-1I1GQ-1426-SM-B2LWY 50-59 years, male 1865.8
GTEX-1HSGN-1126-SM-CJI4G 40-49 years, female 1858.3
GTEX-1JMQK-0626-SM-D4P2R 60-69 years, male 1836.0
GTEX-148VI-0326-SM-5RQK7 60-69 years, female 1834.2
GTEX-YEC4-0326-SM-4W216 40-49 years, male 1831.4
GTEX-1C2JI-0526-SM-7EWEQ 50-59 years, male 1831.1
GTEX-OXRL-0326-SM-2I3F2 50-59 years, male 1829.9
GTEX-1OFPY-1026-SM-EXUSO 60-69 years, male 1826.7
GTEX-V1D1-0526-SM-4JBGW 50-59 years, male 1822.6
GTEX-1IKOE-1026-SM-ARZMF 30-39 years, female 1809.2
GTEX-WHSE-0926-SM-3NMBS 20-29 years, male 1804.5
GTEX-1CB4I-1626-SM-7RHGV 50-59 years, male 1804.5
GTEX-XPVG-0826-SM-4B654 50-59 years, male 1802.6
GTEX-15DDE-1126-SM-6LLHN 50-59 years, female 1799.7
GTEX-1GMR2-1426-SM-7RHHK 50-59 years, male 1793.7
GTEX-1QP29-1526-SM-EXUSY 50-59 years, male 1793.6
GTEX-1KANC-0426-SM-CXZK5 50-59 years, female 1788.2
GTEX-1AX9K-0526-SM-73KV1 50-59 years, male 1782.8
GTEX-11DXZ-0626-SM-5GU77 50-59 years, male 1773.0
GTEX-12696-1126-SM-5FQTI 60-69 years, male 1772.7
GTEX-15CHC-0426-SM-6LLHI 60-69 years, female 1771.3
GTEX-1AX9J-1026-SM-72D6E 60-69 years, male 1765.3
GTEX-ZDTT-0726-SM-4WKFK 60-69 years, male 1764.2
GTEX-Y5V6-0826-SM-4VBRU 60-69 years, male 1761.7
GTEX-13NZB-0226-SM-5KM1T 30-39 years, male 1756.1
GTEX-1JMPZ-1426-SM-CJI3C 30-39 years, male 1745.0
GTEX-14H4A-0626-SM-5ZZUT 40-49 years, female 1744.6
GTEX-1QP2A-1126-SM-EVR3H 50-59 years, male 1742.3
GTEX-1RMOY-0626-SM-E9TIE 50-59 years, male 1741.3
GTEX-X15G-0426-SM-4PQZ6 50-59 years, female 1738.6
GTEX-Y3I4-0626-SM-4TT7A 50-59 years, male 1712.9
GTEX-1R7EV-0326-SM-E76PA 40-49 years, male 1707.3
GTEX-1JK1U-0526-SM-CYPSQ 60-69 years, male 1704.7
GTEX-P78B-0426-SM-2I5F5 40-49 years, female 1703.1
GTEX-RNOR-0826-SM-2TF5C 50-59 years, female 1690.4
GTEX-13PVQ-1226-SM-5IJDC 50-59 years, male 1689.2
GTEX-13FH7-0926-SM-5J2MR 50-59 years, female 1687.7
GTEX-X3Y1-0426-SM-3P5Z4 40-49 years, male 1687.5
GTEX-14PK6-0826-SM-5ZZVO 70-79 years, female 1684.9
GTEX-QESD-0526-SM-2I5G5 20-29 years, male 1676.4
GTEX-13O61-0526-SM-5J2M1 60-69 years, male 1676.1
GTEX-1OKEX-0726-SM-DPRYE 60-69 years, male 1670.1
GTEX-13O21-2326-SM-5MR3X 50-59 years, male 1659.7
GTEX-XXEK-0926-SM-4BRWH 50-59 years, male 1655.6
GTEX-XPT6-0126-SM-4B65S 20-29 years, male 1648.6
GTEX-1GMR3-0326-SM-7P8QT 40-49 years, male 1646.0
GTEX-15CHR-0226-SM-7PC2Z 50-59 years, male 1643.8
GTEX-14PHX-2126-SM-6EU2U 50-59 years, male 1642.2
GTEX-17F9E-0926-SM-7IGMG 50-59 years, male 1642.0
GTEX-WEY5-0426-SM-3GIKT 40-49 years, female 1641.1
GTEX-WYJK-1026-SM-3NM8W 50-59 years, male 1637.4
GTEX-SE5C-0626-SM-2XCDV 40-49 years, female 1627.7
GTEX-12WSC-1126-SM-5EQ4G 50-59 years, male 1605.1
GTEX-ZF29-0226-SM-4WKHO 60-69 years, female 1602.6
GTEX-UPK5-0326-SM-CYPR4 40-49 years, male 1598.7
GTEX-1MCC2-0326-SM-EV7AK 30-39 years, female 1597.8
GTEX-ZF2S-1026-SM-9QEGK 50-59 years, female 1596.2
GTEX-ZYFC-1126-SM-5E44W 50-59 years, male 1593.1
GTEX-14PN3-0526-SM-69LQF 60-69 years, female 1592.8
GTEX-117YX-1126-SM-5H128 50-59 years, male 1591.0
GTEX-ZVZP-0226-SM-5NQ73 50-59 years, male 1590.0
GTEX-1CB4E-0526-SM-7MXTK 60-69 years, male 1580.9
GTEX-ZDTS-1326-SM-6LLHE 60-69 years, male 1580.2
GTEX-12WSD-1126-SM-5EGJD 60-69 years, female 1578.8
GTEX-12ZZZ-1726-SM-59HK5 60-69 years, male 1569.5
GTEX-1R9PO-0326-SM-DTXA1 60-69 years, female 1567.9
GTEX-1C64O-0826-SM-79OKZ 60-69 years, male 1565.3
GTEX-1B97J-0726-SM-7RHG3 50-59 years, female 1562.4
GTEX-ZLFU-0226-SM-4WWFH 40-49 years, male 1562.2
GTEX-T6MN-0926-SM-32PLX 50-59 years, male 1557.1
GTEX-1J8EW-0926-SM-A9G33 60-69 years, female 1557.1
GTEX-XQ8I-0126-SM-4BOPL 50-59 years, male 1543.0
GTEX-1AX9I-1126-SM-7EPHH 60-69 years, male 1540.9
GTEX-1399R-1926-SM-5K7X8 30-39 years, male 1540.5
GTEX-12WSN-5001-SM-7DHMK 40-49 years, male 1540.2
GTEX-13RTJ-0726-SM-5QGQN 60-69 years, male 1537.1
GTEX-Y3IK-0826-SM-51MT8 50-59 years, female 1536.2
GTEX-ZVT2-1026-SM-5GU55 50-59 years, female 1527.0
GTEX-ZZPU-0926-SM-5GZYT 50-59 years, female 1524.8
GTEX-1F75I-1126-SM-9WYUO 40-49 years, male 1524.1
GTEX-12WSG-0526-SM-5FQTH 50-59 years, female 1524.0
GTEX-UJHI-0426-SM-3DB8Y 50-59 years, female 1518.5
GTEX-YEC3-0726-SM-CMKFH 50-59 years, male 1517.1
GTEX-13FLV-0926-SM-5L3DZ 50-59 years, male 1514.6
GTEX-ZEX8-0426-SM-DO92Y 50-59 years, male 1510.0
GTEX-1HFI7-0826-SM-A9G23 50-59 years, female 1506.7
GTEX-1GZ4I-1026-SM-9KNV5 50-59 years, male 1504.9
GTEX-1M5QR-1026-SM-DHXK9 40-49 years, male 1501.5
GTEX-1QCLZ-0926-SM-E6CQZ 60-69 years, female 1501.5
GTEX-139YR-0826-SM-5LZXY 50-59 years, male 1496.5
GTEX-13OVG-0526-SM-5K7YD 60-69 years, male 1495.0
GTEX-1HCU6-1026-SM-A9G25 60-69 years, female 1493.7
GTEX-145LV-0326-SM-5Q5BW 50-59 years, male 1492.5
GTEX-Y5V5-0626-SM-4VBPX 60-69 years, female 1486.4
GTEX-ZGAY-0326-SM-57WF5 40-49 years, female 1485.1
GTEX-ZYFG-0426-SM-5E43M 60-69 years, female 1482.9
GTEX-11ZVC-0426-SM-5CVLD 50-59 years, female 1481.7
GTEX-16YQH-0926-SM-793BC 30-39 years, male 1475.1
GTEX-1399S-1026-SM-5KLZ9 30-39 years, female 1460.0
GTEX-13S86-0226-SM-5S2PJ 40-49 years, male 1458.1
GTEX-POMQ-0326-SM-2I5FO 20-29 years, female 1457.7
GTEX-131XE-0626-SM-5HL98 50-59 years, male 1456.8
GTEX-1122O-0826-SM-5GICV 60-69 years, female 1454.0
GTEX-1GN73-2426-SM-7RHFQ 60-69 years, male 1448.3
GTEX-WHPG-0826-SM-3NMBF 50-59 years, male 1446.5
GTEX-ZAB5-0226-SM-5CVMH 50-59 years, male 1446.4
GTEX-132QS-0426-SM-5KLZ6 60-69 years, male 1444.0
GTEX-XGQ4-0326-SM-4GIEE 50-59 years, male 1441.6
GTEX-1H11D-1226-SM-9WPQ2 40-49 years, male 1438.5
GTEX-13CF3-0726-SM-5J2MY 60-69 years, female 1437.4
GTEX-11DXX-0326-SM-5PNWC 60-69 years, female 1427.7
GTEX-1497J-1226-SM-5Q5BL 60-69 years, male 1420.5
GTEX-16NPX-0926-SM-7KUEZ 50-59 years, male 1419.9
GTEX-1KXAM-1326-SM-E9TJW 60-69 years, male 1418.7
GTEX-13X6H-0426-SM-5LU4E 50-59 years, female 1417.4
GTEX-OOBJ-0326-SM-33HBO 60-69 years, male 1414.6
GTEX-1F6I4-0726-SM-7PC2P 60-69 years, male 1413.2
GTEX-NPJ8-0426-SM-2HMK6 40-49 years, male 1410.5
GTEX-146FR-0626-SM-5RQJ1 60-69 years, female 1408.0
GTEX-1IDJE-0326-SM-CM2TD 50-59 years, female 1408.0
GTEX-ZPCL-0426-SM-DNZZ4 60-69 years, female 1407.6
GTEX-WL46-0926-SM-3LK7T 50-59 years, male 1403.7
GTEX-1314G-0126-SM-5LZUL 30-39 years, male 1401.2
GTEX-18A67-1226-SM-7KFRS 50-59 years, male 1399.1
GTEX-1JJEA-0826-SM-CL53T 60-69 years, male 1396.1
GTEX-145MO-1126-SM-5NQBX 60-69 years, male 1395.4
GTEX-15ER7-1726-SM-6PAMX 20-29 years, female 1392.6
GTEX-QLQ7-0526-SM-2I5G3 60-69 years, male 1392.6
GTEX-OHPK-0326-SM-2HMJO 50-59 years, female 1392.4
GTEX-1H1ZS-1126-SM-9MQLJ 70-79 years, male 1389.2
GTEX-11TT1-1326-SM-5PNYM 20-29 years, male 1388.5
GTEX-15RJ7-0226-SM-7KUMN 40-49 years, male 1384.5
GTEX-ZPU1-0626-SM-4YCDM 40-49 years, male 1381.4
GTEX-1F5PK-0326-SM-9KNUD 50-59 years, male 1380.5
GTEX-1L5NE-0426-SM-E9TIX 50-59 years, male 1376.3
GTEX-Y8E4-0326-SM-4VBRR 40-49 years, male 1375.8
GTEX-14PHY-0226-SM-5ZZWM 60-69 years, female 1373.2
GTEX-U8XE-1126-SM-3DB8W 30-39 years, male 1373.1
GTEX-13N11-0426-SM-5KM3O 50-59 years, female 1372.4
GTEX-18D9U-1126-SM-72D5Y 40-49 years, male 1364.6
GTEX-RU72-0326-SM-2TF5T 50-59 years, female 1362.4
GTEX-1EMGI-1226-SM-793DD 60-69 years, male 1361.5
GTEX-1CB4J-0326-SM-7PBZO 60-69 years, male 1357.5
GTEX-OXRK-0826-SM-2HMK7 50-59 years, female 1353.9
GTEX-P4PQ-0326-SM-2HMJ8 60-69 years, male 1349.3
GTEX-1HCU7-1326-SM-CNPPW 50-59 years, male 1345.5
GTEX-14E6C-0426-SM-5YYA8 40-49 years, male 1343.4
GTEX-NFK9-0926-SM-2HMJU 40-49 years, male 1343.3
GTEX-11ONC-0126-SM-5PNW6 60-69 years, male 1342.6
GTEX-PX3G-0326-SM-2I3EO 20-29 years, female 1339.0
GTEX-1GF9U-0426-SM-7RHHA 40-49 years, female 1337.7
GTEX-1AYCT-0426-SM-73KVZ 50-59 years, male 1331.3
GTEX-1IDJF-0726-SM-CJI1U 20-29 years, male 1329.3
GTEX-OIZF-0326-SM-3MJGY 60-69 years, male 1326.4
GTEX-ZDYS-0226-SM-5HL4K 50-59 years, male 1325.9
GTEX-RWS6-0326-SM-2XCAP 60-69 years, female 1323.9
GTEX-1BAJH-1626-SM-73KUV 70-79 years, male 1321.8
GTEX-131XH-0226-SM-5LZVB 50-59 years, male 1319.5
GTEX-QDVJ-0426-SM-2I5FW 50-59 years, male 1318.2
GTEX-1LSNM-0526-SM-DIPG6 50-59 years, male 1317.0
GTEX-17JCI-1126-SM-7IGMM 60-69 years, female 1313.7
GTEX-1I1HK-0726-SM-B2LY4 60-69 years, male 1309.2
GTEX-14E1K-1026-SM-73KUR 50-59 years, male 1308.5
GTEX-13FTW-1026-SM-5L3E3 40-49 years, male 1301.4
GTEX-1PWST-1026-SM-DTXF2 70-79 years, male 1299.0
GTEX-QEG4-0426-SM-33HC3 30-39 years, male 1298.1
GTEX-17HGU-1026-SM-79OKL 50-59 years, male 1297.0
GTEX-1MJIX-0326-SM-EVR42 40-49 years, male 1295.8
GTEX-13D11-1726-SM-5IFGQ 50-59 years, female 1294.8
GTEX-1N2EF-2826-SM-E6CQF 60-69 years, male 1290.3
GTEX-12BJ1-0226-SM-5LUA2 60-69 years, male 1284.3
GTEX-OIZG-1126-SM-2HMIU 50-59 years, male 1282.7
GTEX-ZV7C-0326-SM-57WB1 50-59 years, male 1282.1
GTEX-XBED-0526-SM-47JY3 60-69 years, male 1282.0
GTEX-1HSMQ-0226-SM-C1YQL 50-59 years, male 1281.9
GTEX-OHPL-0326-SM-33HC8 60-69 years, female 1279.7
GTEX-1LVAN-1726-SM-CNNR1 50-59 years, female 1278.0
GTEX-U3ZH-0326-SM-3DB7A 30-39 years, male 1270.4
GTEX-1IKK5-1526-SM-CKZPW 60-69 years, male 1267.8
GTEX-11LCK-0926-SM-5A5KA 30-39 years, male 1267.3
GTEX-16XZY-0426-SM-793BI 70-79 years, male 1265.3
GTEX-14C38-1426-SM-5RQHZ 50-59 years, male 1261.3
GTEX-11EMC-0726-SM-5EGJO 60-69 years, female 1256.7
GTEX-P44H-0726-SM-48TBT 40-49 years, male 1253.5
GTEX-1IL2U-1326-SM-A9G2O 60-69 years, male 1252.5
GTEX-18465-0926-SM-731AY 50-59 years, male 1246.3
GTEX-1399U-0526-SM-5K7YM 50-59 years, female 1244.3
GTEX-O5YV-0326-SM-2I5H2 60-69 years, female 1241.7
GTEX-N7MS-0826-SM-2HML4 60-69 years, male 1240.0
GTEX-146FH-1026-SM-5RQIF 50-59 years, female 1239.1
GTEX-1339X-0426-SM-5KLZY 40-49 years, male 1234.0
GTEX-1B996-1126-SM-73KWN 60-69 years, male 1229.9
GTEX-S33H-0526-SM-COH1W 30-39 years, male 1229.1
GTEX-ZG7Y-0926-SM-5EQ6O 50-59 years, male 1224.7
GTEX-13U4I-0826-SM-5SIBD 40-49 years, female 1223.9
GTEX-1IDJI-1026-SM-A96TE 50-59 years, female 1222.6
GTEX-OIZH-0326-SM-2HMKC 50-59 years, male 1220.2
GTEX-1R9K5-1326-SM-E6CPR 50-59 years, male 1216.9
GTEX-1HCUA-0526-SM-A9SMH 50-59 years, female 1216.0
GTEX-11GSP-1326-SM-5A5KY 60-69 years, female 1215.3
GTEX-1313W-1426-SM-5KLZU 50-59 years, female 1213.7
GTEX-R55C-0326-SM-3GAF1 40-49 years, male 1213.4
GTEX-131XF-5001-SM-7DHLY 60-69 years, male 1212.3
GTEX-1B8KE-0126-SM-793AM 50-59 years, male 1208.9
GTEX-Q2AH-0526-SM-2I3ED 40-49 years, male 1206.7
GTEX-1J8Q3-1226-SM-CKZPT 60-69 years, male 1200.5
GTEX-PWCY-0526-SM-5P9HG 20-29 years, female 1200.0
GTEX-12584-0926-SM-5FQTN 40-49 years, male 1196.4
GTEX-WHWD-0426-SM-3LK83 50-59 years, male 1187.9
GTEX-18D9B-1226-SM-72D6V 60-69 years, male 1185.7
GTEX-WH7G-0426-SM-3NMBJ 40-49 years, male 1185.1
GTEX-15SHU-1126-SM-7KUMB 40-49 years, female 1183.0
GTEX-P4PP-0326-SM-33HC4 30-39 years, female 1180.3
GTEX-WQUQ-1426-SM-3MJFD 60-69 years, male 1180.2
GTEX-QEL4-0926-SM-3GAD1 50-59 years, male 1175.4
GTEX-111FC-0826-SM-5GZWO 60-69 years, male 1174.3
GTEX-1GL5R-0326-SM-9WYTJ 50-59 years, male 1173.0
GTEX-12WSK-0626-SM-5LZUJ 40-49 years, female 1169.4
GTEX-13112-0426-SM-5PNVC 50-59 years, male 1165.5
GTEX-U3ZN-1426-SM-3DB87 30-39 years, female 1164.1
GTEX-1HBPM-1226-SM-A9SM8 60-69 years, female 1161.9
GTEX-PSDG-0926-SM-2I5FP 50-59 years, male 1145.4
GTEX-12ZZY-1126-SM-5DUWQ 60-69 years, male 1144.7
GTEX-132AR-2026-SM-5IJG4 50-59 years, female 1144.6
GTEX-QV44-0526-SM-2S1RE 50-59 years, male 1142.4
GTEX-1LB8K-1026-SM-DHXJJ 50-59 years, male 1138.9
GTEX-15DYW-1126-SM-6LPK5 60-69 years, female 1138.5
GTEX-1IDJU-0726-SM-CNPQ9 60-69 years, female 1138.3
GTEX-11I78-0826-SM-5A5K4 50-59 years, female 1130.8
GTEX-V955-0726-SM-3GAFG 60-69 years, male 1129.5
GTEX-WRHU-1226-SM-4E3IJ 50-59 years, female 1127.1
GTEX-ZTPG-1226-SM-4YCDO 20-29 years, female 1124.6
GTEX-1J8QM-0426-SM-AHZ3X 60-69 years, female 1122.4
GTEX-QEG5-0926-SM-2TC64 20-29 years, male 1119.5
GTEX-U4B1-0326-SM-3DB8K 40-49 years, male 1119.3
GTEX-RWSA-0626-SM-2XCBD 40-49 years, male 1117.0
GTEX-WFON-0326-SM-3GIKX 40-49 years, male 1115.9
GTEX-17HHY-1426-SM-7EWDQ 50-59 years, male 1111.2
GTEX-RUSQ-0526-SM-2TF72 50-59 years, male 1109.4
GTEX-1CAMS-1326-SM-79OJR 40-49 years, female 1105.2
GTEX-1HC8U-0726-SM-ACKXL 40-49 years, female 1103.8
GTEX-R53T-0926-SM-3GADH 50-59 years, female 1103.1
GTEX-1E1VI-1326-SM-7IGQD 50-59 years, male 1102.2
GTEX-1JMLX-1626-SM-ARZMV 50-59 years, male 1099.0
GTEX-17KNJ-0826-SM-793A4 50-59 years, male 1096.8
GTEX-WFG8-0626-SM-3GILJ 20-29 years, male 1096.5
GTEX-14DAQ-1126-SM-664MT 60-69 years, female 1094.4
GTEX-13FTZ-0226-SM-5K7X6 60-69 years, male 1085.4
GTEX-147F4-1226-SM-5NQAY 50-59 years, male 1084.6
GTEX-ZAB4-1026-SM-5HL7T 40-49 years, male 1073.9
GTEX-1CB4G-0826-SM-7DUGF 60-69 years, male 1071.9
GTEX-15EOM-5007-SM-793DG 20-29 years, female 1071.8
GTEX-1RB15-0326-SM-E6CQB 60-69 years, male 1071.0
GTEX-14PJ4-1126-SM-5YY91 60-69 years, male 1068.0
GTEX-SUCS-0326-SM-32PLL 70-79 years, male 1061.3
GTEX-UJMC-0526-SM-3GAE3 50-59 years, male 1060.4
GTEX-1LGRB-1126-SM-CNPP2 50-59 years, female 1058.1
GTEX-1B932-1026-SM-793CL 40-49 years, female 1054.4
GTEX-S32W-0626-SM-2XCBG 50-59 years, female 1046.5
GTEX-1211K-0626-SM-5FQUZ 60-69 years, female 1039.6
GTEX-WY7C-0526-SM-3NB3D 50-59 years, male 1037.1
GTEX-PLZ5-0626-SM-2I5F8 50-59 years, male 1035.9
GTEX-1PPGY-1126-SM-E76OU 60-69 years, male 1034.7
GTEX-OIZI-0926-SM-E6CHF 40-49 years, male 1031.1
GTEX-11TUW-1026-SM-5GU7D 60-69 years, male 1029.6
GTEX-1269C-0826-SM-5N9EM 60-69 years, female 1017.0
GTEX-1ICLY-1326-SM-CJI47 50-59 years, male 1016.2
GTEX-ZYW4-0926-SM-59HJS 60-69 years, male 1006.8
GTEX-13N1W-1026-SM-5IJC5 70-79 years, male 1005.1
GTEX-1J8Q2-1226-SM-A9G2W 60-69 years, male 993.7
GTEX-17MF6-0726-SM-7LT8E 40-49 years, male 990.6
GTEX-145MN-0626-SM-5QGRH 30-39 years, male 987.5
GTEX-YB5K-0126-SM-5IFJ2 40-49 years, female 985.0
GTEX-1JJ6O-2126-SM-CNNP6 60-69 years, male 982.7
GTEX-1B8L1-0526-SM-79ONX 60-69 years, male 977.0
GTEX-13O3P-1626-SM-5K7X3 50-59 years, male 974.9
GTEX-OHPM-0326-SM-33HCA 50-59 years, male 974.6
GTEX-WFG7-0726-SM-3GIKO 20-29 years, male 972.8
GTEX-1212Z-0626-SM-5FQTB 60-69 years, male 972.6
GTEX-13OW6-1126-SM-5L3HL 50-59 years, male 966.2
GTEX-QMRM-0526-SM-2I5GA 50-59 years, male 965.9
GTEX-OXRO-2026-SM-2YUMZ 60-69 years, female 962.5
GTEX-R45C-0926-SM-3GAD4 60-69 years, female 952.3
GTEX-11GS4-0526-SM-5A5KQ 60-69 years, male 949.7
GTEX-1GF9V-1626-SM-7PBXL 60-69 years, male 948.6
GTEX-15RIE-1726-SM-7KUMU 60-69 years, male 945.2
GTEX-1AX8Z-5007-SM-AHZ36 60-69 years, male 936.1
GTEX-REY6-1026-SM-2TF4Y 60-69 years, male 932.9
GTEX-X8HC-1626-SM-46MWE 50-59 years, female 929.6
GTEX-13X6I-1426-SM-5SI9Z 60-69 years, male 927.7
GTEX-ZF3C-1226-SM-4WWCB 50-59 years, female 926.8
GTEX-ZPIC-0826-SM-4WWFJ 40-49 years, female 908.9
GTEX-1I6K7-0626-SM-ARL7Q 40-49 years, male 907.0
GTEX-15SHW-1226-SM-6M46C 60-69 years, male 904.7
GTEX-13YAN-1326-SM-5Q5F1 60-69 years, male 903.0
GTEX-18A6Q-1626-SM-7KFTA 60-69 years, male 902.4
GTEX-1A3MX-1326-SM-72D58 60-69 years, male 901.9
GTEX-1A8G6-1626-SM-7MGWO 60-69 years, male 896.5
GTEX-1F48J-1026-SM-7P8SO 50-59 years, female 896.4
GTEX-PVOW-0426-SM-5MR5R 40-49 years, male 893.8
GTEX-XBEC-1326-SM-4AT69 50-59 years, male 890.1
GTEX-16MT8-0926-SM-6M487 60-69 years, female 889.2
GTEX-QDVN-0326-SM-2I3FS 50-59 years, male 884.2
GTEX-13X6K-1826-SM-5O9CR 60-69 years, female 872.1
GTEX-1GMRU-1526-SM-9WYT5 50-59 years, male 861.4
GTEX-SNMC-0126-SM-2XCFO 20-29 years, male 852.7
GTEX-17GQL-0526-SM-72D5N 60-69 years, male 842.8
GTEX-YF7O-0426-SM-5P9FS 50-59 years, male 840.7
GTEX-1H23P-1226-SM-9QEJ2 60-69 years, male 831.2
GTEX-14XAO-1126-SM-6EU11 60-69 years, female 820.0
GTEX-1B8SG-0826-SM-7EWF7 50-59 years, male 816.3
GTEX-13O1R-1226-SM-5J1NU 60-69 years, male 812.6
GTEX-RN64-0826-SM-2TC62 50-59 years, male 810.2
GTEX-13W3W-0426-SM-5SI9D 60-69 years, female 808.5
GTEX-1GN1W-0326-SM-9JGHF 50-59 years, female 808.5
GTEX-147JS-1526-SM-5ZZWF 60-69 years, male 806.5
GTEX-R55G-0526-SM-2TC5O 40-49 years, female 803.3
GTEX-11DXY-0826-SM-5EGGR 60-69 years, male 793.7
GTEX-17F9Y-1326-SM-7MGW9 70-79 years, female 788.8
GTEX-1F6IF-2526-SM-7P8TV 60-69 years, male 772.2
GTEX-11O72-1126-SM-5N9E2 40-49 years, male 770.4
GTEX-1EH9U-0826-SM-7IGPT 60-69 years, male 764.9
GTEX-1LC47-1026-SM-D3LAH 60-69 years, male 759.0
GTEX-11EM3-0626-SM-5H12Z 20-29 years, female 756.7
GTEX-ZAJG-0826-SM-5PNVA 50-59 years, female 753.8
GTEX-14C5O-1326-SM-5S2UW 60-69 years, male 745.7
GTEX-1GN1V-0826-SM-9KNU6 60-69 years, male 737.3
GTEX-1A3MW-1326-SM-7189P 60-69 years, female 736.2
GTEX-O5YT-0326-SM-32PKA 20-29 years, male 735.7
GTEX-WI4N-0626-SM-3TW8Z 40-49 years, female 734.2
GTEX-1I1GP-0826-SM-A96SD 50-59 years, male 732.1
GTEX-YJ8O-0926-SM-EAZ2Z 40-49 years, female 721.6
GTEX-15RJE-0626-SM-7KUKR 40-49 years, male 720.2
GTEX-1I1GV-1326-SM-A96SE 60-69 years, male 719.3
GTEX-T2IS-0426-SM-32QPE 20-29 years, female 719.1
GTEX-SIU8-0826-SM-2XCDQ 50-59 years, male 715.7
GTEX-1O97I-0826-SM-E8VNE 60-69 years, male 705.1
GTEX-131XG-0626-SM-5GCMP 50-59 years, female 694.9
GTEX-1EKGG-1126-SM-7MGXB 60-69 years, male 693.0
GTEX-RTLS-0826-SM-2TF5Q 60-69 years, female 692.9
GTEX-XV7Q-0826-SM-4BRV7 40-49 years, female 676.2
GTEX-1ICLZ-1026-SM-A9SLF 60-69 years, male 675.7
GTEX-WWYW-1326-SM-3NB2S 50-59 years, female 669.0
GTEX-117YW-0326-SM-5N9CY 50-59 years, male 663.0
GTEX-WK11-0826-SM-EZ6LH 50-59 years, male 646.8
GTEX-148VJ-1526-SM-5Q5DU 70-79 years, male 635.6
GTEX-13OW5-1126-SM-5J1NR 60-69 years, male 632.6
GTEX-1EN7A-0726-SM-7PBXT 40-49 years, male 625.8
GTEX-1LVA9-0926-SM-EVR5G 50-59 years, male 622.6
GTEX-1JN1M-1026-SM-CNPOS 60-69 years, female 615.7
GTEX-14PJ2-1026-SM-6EU1M 50-59 years, male 606.9
GTEX-14A5I-1226-SM-5NQBW 50-59 years, female 601.0
GTEX-18A66-1226-SM-7LT8G 60-69 years, male 596.2
GTEX-13OW8-2126-SM-5J1OS 60-69 years, male 572.9
GTEX-14E7W-1226-SM-5RQIU 70-79 years, male 564.5
GTEX-P44G-0826-SM-2I5ES 30-39 years, male 555.4
GTEX-1EWIQ-1426-SM-7IGOS 70-79 years, female 517.4
GTEX-1LG7Y-1226-SM-CXZKD 50-59 years, male 502.8
GTEX-1KD4Q-0726-SM-DIPGE 40-49 years, male 501.2
GTEX-14C39-0926-SM-5TDDV 40-49 years, male 497.7
GTEX-QVJO-1926-SM-2S1QZ 60-69 years, female 483.4
GTEX-1H1CY-0326-SM-9QEIZ 60-69 years, female 465.9
GTEX-1K9T9-1126-SM-D3L9E 50-59 years, female 464.0
GTEX-1IKJJ-0826-SM-A96SP 60-69 years, male 446.3
GTEX-13JVG-1326-SM-5N9F8 60-69 years, male 443.6
GTEX-1HT8W-1726-SM-CNNQB 30-39 years, male 443.2
GTEX-1JMOU-0226-SM-CNNPD 60-69 years, female 434.9
GTEX-1H3NZ-1126-SM-9WYT9 60-69 years, male 431.3
GTEX-1HCVE-1126-SM-9WPPG 50-59 years, male 425.3
GTEX-14E6D-0926-SM-5S2QV 50-59 years, male 424.8
GTEX-ZYT6-1726-SM-5E44P 30-39 years, male 418.4
GTEX-14PJM-1126-SM-6LLHK 50-59 years, female 418.3
GTEX-1JN6P-1126-SM-CKZON 60-69 years, male 410.7
GTEX-1IDJH-1026-SM-E9TKH 70-79 years, male 403.7
GTEX-1HSMO-1226-SM-CL548 60-69 years, male 377.1
GTEX-1RAZS-0826-SM-E76QP 50-59 years, male 375.6
GTEX-1GN2E-1326-SM-9KNVG 60-69 years, male 362.6
GTEX-P4QS-0326-SM-2I3EU 60-69 years, male 362.2
GTEX-N7MT-1326-SM-2I3FV 60-69 years, female 360.2
GTEX-1NV8Z-1526-SM-DTX8X 60-69 years, male 357.5
GTEX-13FHP-1026-SM-5K7Y2 50-59 years, male 356.2
GTEX-17HII-1326-SM-7IGOB 50-59 years, male 355.8
GTEX-14BIN-2226-SM-5YYA1 50-59 years, female 351.9
GTEX-15CHQ-1526-SM-69LPW 60-69 years, male 346.1
GTEX-14JIY-1126-SM-6EU28 60-69 years, male 338.8
GTEX-1399T-0426-SM-5PNVJ 60-69 years, male 322.9
GTEX-1EX96-2526-SM-7RHGW 50-59 years, male 322.5
GTEX-14BIL-1126-SM-79OMC 50-59 years, male 322.1
GTEX-1GTWX-1026-SM-7P8QW 60-69 years, male 317.4
GTEX-ZUA1-0826-SM-4YCDL 40-49 years, male 297.7
GTEX-1JJE9-1426-SM-ARL8P 70-79 years, male 292.6
GTEX-1C6VQ-1126-SM-7EWET 50-59 years, male 279.5
GTEX-13NYB-0226-SM-5N9G4 40-49 years, male 263.0
GTEX-X261-1426-SM-4PQZ1 50-59 years, male 259.3
GTEX-12ZZW-1026-SM-5GCMM 50-59 years, male 225.1
GTEX-1PPH7-2026-SM-E9J3N 40-49 years, male 199.1
Show allShow less

HEART MUSCLE - FANTOM5 CAGEi

RNA expression in human tissues obtained through Cap Analysis of Gene Expression (CAGE) generated by the FANTOM5 project are reported as Scaled Tags Per Million.

Max subtype Scaled Tags Per Millioni

Max subtype Scaled Tags Per Million is the value for the subtype with the largest average Scaled Tags Per Million across the subtype samples.

2156.8
FANTOM5 sample id Sample description Scaled Tags Per Million
Heart
Scaled Tags Per Million: 1131.2
FF:10016-101C7 70,73,74 years, mixed 1131.2
Left atrium
Scaled Tags Per Million: 1633.1
FF:10079-102A7 40 years, male 1633.1
Left ventricle
Scaled Tags Per Million: 2156.8
FF:10078-102A6 73 years, female 2156.8

Contact

  • NEWS ARTICLES
  • PRESS ROOM

The Project

  • INTRODUCTION
  • ORGANIZATION
  • PUBLICATIONS

The Human Protein Atlas

  • DOWNLOADABLE DATA
  • LICENCE & CITATION
  • HELP & FAQ
The Human Protein Atlas project is funded
by the Knut & Alice Wallenberg Foundation.


contact@proteinatlas.org