We use cookies to enhance the usability of our website. If you continue, we'll assume that you are happy to receive all cookies. More information. Don't show this again.
CD163
HPA
RESOURCES
  • TISSUE
  • BRAIN
  • SINGLE CELL
  • SUBCELLULAR
  • CANCER
  • BLOOD
  • CELL LINE
  • STRUCTURE & INTERACTION
ABOUT
  • INTRODUCTION
  • HISTORY
  • ORGANIZATION
  • PUBLICATIONS
  • ANTIBODY SUBMISSION
  • ANTIBODY AVAILABILITY
  • ACKNOWLEDGMENTS
  • CONTACT
NEWS
  • NEWS ARTICLES
  • PRESS ROOM
LEARN
  • DICTIONARY
  • PROTEIN CLASSES
  • PROTEIN EVIDENCE
  • METHODS
  • EDUCATIONAL VIDEOS
DATA
  • DOWNLOADABLE DATA
  • PUBLICATION DATA
  • RELEASE HISTORY
HELP
  • ANTIBODY VALIDATION
  • ASSAYS & ANNOTATION
  • DISCLAIMER
  • HELP & FAQ
  • PRIVACY STATEMENT
  • LICENCE & CITATION
Fields »
Search result

Field
Term
Gene name
Class
Subclass
Class
Keyword
Chromosome
External id
Tissue
Cell type
Expression
Antibody panel
Tissue
Main location
Patient ID
Annotation
Tissue
Category
Tau score
Cluster
Reliability
Brain region
Category
Tau score
Brain region
Category
Tau score
Brain region
Category
Tau score
Cluster
Reliability
Tissue
Cell type
Enrichment
Cell type
Category
Tau score
Cell type
Category
Tau score
Cell type
Category
Tau score
Cell lineage
Category
Tau score
Cluster
Cluster
Location
Searches
Location
Cell line
Class
Type
Phase
Reliability
Cancer
Prognosis
Cancer
Category
Cancer
Category
Tau score
Cluster
Variants
Interacting gene (ensg_id)
Type
Number of interactions
Pathway
Category
Score
Score
Score
Validation
Validation
Validation
Validation
Antibodies
Data type
Column


  • SUMMARY

  • TISSUE

  • BRAIN

  • SINGLE CELL

  • SUBCELL

  • CANCER

  • BLOOD

  • CELL LINE

  • STRUCT & INT

  • CD163
TISSUE PRIMARY DATA ADIPOSE TISSUE Show tissue menu
ADIPOSE TISSUE ADRENAL GLAND AMYGDALA APPENDIX BASAL GANGLIA BONE MARROW BREAST BRONCHUS CEREBELLUM CEREBRAL CORTEX CERVIX CHOROID PLEXUS COLON DUODENUM
ENDOMETRIUM EPIDIDYMIS ESOPHAGUS FALLOPIAN TUBE GALLBLADDER HEART MUSCLE HIPPOCAMPAL FORMATION HYPOTHALAMUS KIDNEY LIVER LUNG LYMPH NODE MIDBRAIN NASOPHARYNX
ORAL MUCOSA OVARY PANCREAS PARATHYROID GLAND PITUITARY GLAND PLACENTA PROSTATE RECTUM RETINA SALIVARY GLAND SEMINAL VESICLE SKELETAL MUSCLE SKIN SMALL INTESTINE
SMOOTH MUSCLE SOFT TISSUE SPINAL CORD SPLEEN STOMACH TESTIS THYMUS THYROID GLAND TONGUE TONSIL URINARY BLADDER VAGINA
ANTIBODIES
AND
VALIDATION
Dictionary
Tissue proteome
Adipose tissue
ADIPOSE TISSUE - Expression summary
Protein expression
Adipose tissuei

On the top, protein expression in current human tissue, based on all annotated cell types, is reported with the units not detected (n), low (l), medium (m) and high (h). Underneath, protein expression in each annotated cell type are reported using the same units.

Protein expression data is based on knowledge-based annotation. For genes where more than one antibody has been used, a collective score is set.

If knowledge-based annotation could not be performed for a gene, no data is displayed here. View antibody staining data further down this page.

h
m
l
n
Adipocytes: Not detected
RNA expressioni

A summary of mRNA expression data available for current tissue based on several datasets. The mRNA expression levels in human tissues are based on RNA-seq data generated by the Human Protein Atlas (HPA), Genotype-Tissue Expression (GTEx) portal and CAGE data generated by the FANTOM5 consortium. Consensus normalized expression levels for human tissues was created by combining the data from HPA and GTEx datasets.

The mRNA expression levels in pig are based on RNA-seq data generated by the Human Protein Atlas (HPA), and for mouse, HPA data and in situ hybridization generated by the Allen brain atlas are reported.

Scroll down to view mRNA expression data in more detail.
Consensus:165.9 nTPM
HPA:165.9 nTPM
GTEx:160.7 nTPM
FANTOM5:364.2 Scaled Tags Per Million

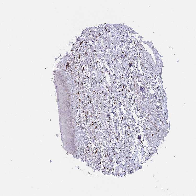
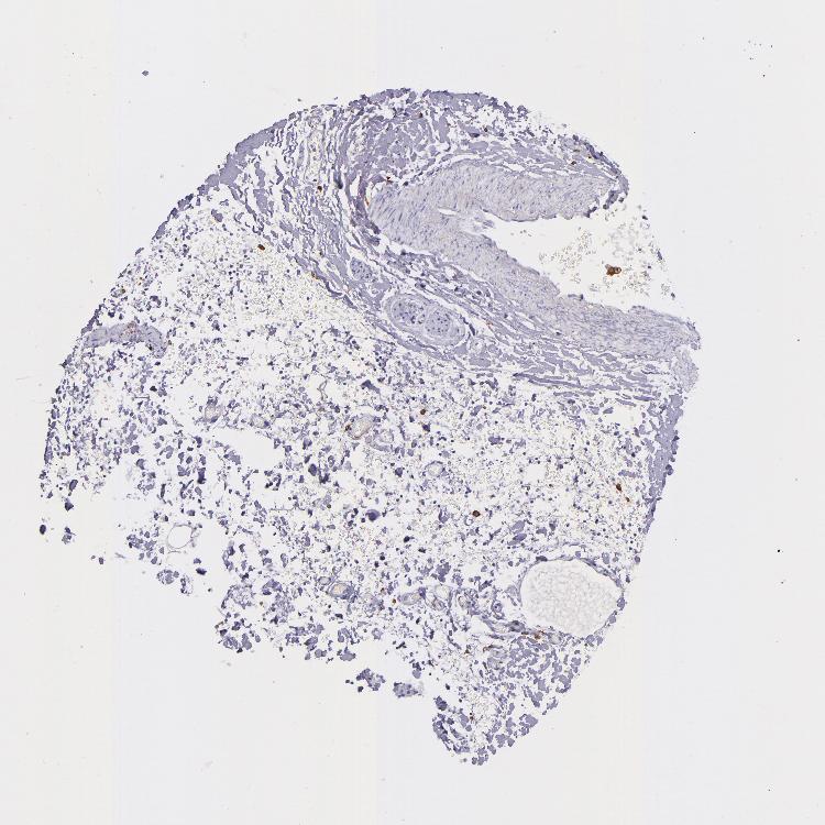
ADIPOSE TISSUE - Antibody stainingi

Antibody staining in the annotated cell types in the current human tissue is reported as not detected, low, medium, or high, based on conventional immunohistochemistry profiling in selected tissues. This score is based on the combination of the staining intensity and fraction of stained cells.

Each image is clickable and will lead to virtual microscopy that enables deeper exploration of all samples and also displays staining intensity scores, fraction scores and subcellular localization as well as patient and tissue information for each sample.

Antibody HPA046404Antibody HPA051974Antibody CAB002432
Adipocytes Not detectedNot detectedNot detected















ADIPOSE TISSUE - HPA RNA-seqi

The RNA-seq details section shows detailed information about the individual samples used for the transcript profiling and results of the RNA-seq analysis.

Information about each individual sample is listed below, including gender, age, a tissue section image and estimated fractions of cell types. nTPM (normalized transcripts per million) values give a quantification of the gene abundance which is comparable between different genes and samples.
Average nTPMi

Max subtype nTPM is the value for the subtype with the largest average nTPM across the subtype samples.

165.9
N/A
Female, age 80
Adipose tissue sample 86
nTPM: 14.7
Cell types%
Adipocytes:
95

Other cell types:
5

N/A
Female, age 45
Adipose tissue sample 115
nTPM: 40
N/A
Female, age 57
Adipose tissue sample 137
nTPM: 34.2
Cell types%
Adipocytes:
60

Fibroblasts:
20

Smooth muscle cells:
15

Other cell types:
5

overview
Female, age 74
Adipose tissue sample 329
nTPM: 375.9
Cell types%
Adipocytes:
50

Fibroblasts:
30

Smooth muscle cells:
15

Other cell types:
5

overview
Female, age 59
Adipose tissue sample 331
nTPM: 364.7
Cell types%
Adipocytes:
40

Fibroblasts:
40

Smooth muscle cells:
15

Other cell types:
5


ADIPOSE TISSUE - GTEx RNA-seqi

RNA-Seq data generated by the Genotype-Tissue Expression (GTEx) project from human tissues is reported as mean nTPM. More information can be found on the GTEx portal.

Distribution across the dataset is visualized with box plots, shown as median and 25th and 75th percentiles. Points are displayed as outliers if they are above or below 1.5 times the interquartile range. nTPM values of the individual samples are presented next to the box plot.
Max subtype nTPMi

Max subtype nTPM is the value for the subtype with the largest average nTPM across the subtype samples.

160.7
GTEx sample id Sample description nTPM
Adipose - Subcutaneous
Average nTPM: 109.9
Samples: 663

Max nTPM: 548.6
Min nTPM: 3.2
Std nTPM: 99.1
Median nTPM: 76.7
GTEX-1AX9K-2426-SM-73KZ4 50-59 years, male 548.6
GTEX-111CU-1826-SM-5GZYN 50-59 years, male 526.1
GTEX-1211K-2226-SM-5FQU6 60-69 years, female 517.0
GTEX-1KXAM-2326-SM-CYPTD 60-69 years, male 507.4
GTEX-1CB4J-1126-SM-7PBY1 60-69 years, male 505.2
GTEX-WFG7-2526-SM-EWRM5 20-29 years, male 477.3
GTEX-1ICLZ-0226-SM-CKZPP 60-69 years, male 471.5
GTEX-OOBK-0226-SM-2YUMF 40-49 years, male 447.6
GTEX-ZF29-2226-SM-4WWB9 60-69 years, female 444.2
GTEX-1HCVE-0226-SM-CGQEV 50-59 years, male 436.9
GTEX-Y3I4-2226-SM-4TT7O 50-59 years, male 431.6
GTEX-1S831-0326-SM-EVYD3 20-29 years, male 422.1
GTEX-SUCS-1826-SM-32PM1 70-79 years, male 414.4
GTEX-139T6-2126-SM-5KM37 50-59 years, male 407.3
GTEX-ZLFU-2626-SM-DO91L 40-49 years, male 389.5
GTEX-1M5QR-2126-SM-DKPQM 40-49 years, male 384.3
GTEX-R55G-2426-SM-2TC5I 40-49 years, female 368.6
GTEX-13FH7-2226-SM-5IJD4 50-59 years, female 366.4
GTEX-ZDTT-2626-SM-5S2OP 60-69 years, male 362.8
GTEX-14C39-2526-SM-5S2UH 40-49 years, male 361.6
GTEX-1MCYP-1826-SM-E9J2Q 20-29 years, female 352.2
GTEX-1QP29-0726-SM-DTXFM 50-59 years, male 339.0
GTEX-WFON-2226-SM-3TW8W 40-49 years, male 337.7
GTEX-16BQI-0526-SM-6PAM8 30-39 years, female 336.9
GTEX-1R46S-0526-SM-EVYBZ 60-69 years, female 331.4
GTEX-1AMEY-1426-SM-7939I 30-39 years, female 320.9
GTEX-WFG8-2326-SM-DIPDX 20-29 years, male 320.7
GTEX-132AR-0226-SM-5IJBE 50-59 years, female 320.3
GTEX-12C56-1626-SM-5FQUO 20-29 years, male 316.1
GTEX-145MN-2626-SM-5NQAH 30-39 years, male 313.2
GTEX-1LGRB-2426-SM-CNPP3 50-59 years, female 313.2
GTEX-14E6E-1926-SM-664N4 30-39 years, male 311.5
GTEX-144FL-0226-SM-5Q5D4 50-59 years, male 309.2
GTEX-11I78-2626-SM-5Q5AI 50-59 years, female 307.2
GTEX-PLZ4-0226-SM-CYPR1 50-59 years, female 306.9
GTEX-U3ZM-1026-SM-EZ6LD 40-49 years, male 306.2
GTEX-1JKYN-1226-SM-CGQG8 30-39 years, male 305.7
GTEX-1A3MV-2126-SM-718BV 30-39 years, male 304.8
GTEX-13VXT-0226-SM-5LU9Q 20-29 years, female 304.4
GTEX-13QBU-2526-SM-5LU4X 40-49 years, female 302.4
GTEX-U4B1-1726-SM-3DB9F 40-49 years, male 299.1
GTEX-RM2N-1726-SM-2TF55 50-59 years, male 296.1
GTEX-SNOS-1426-SM-32PLY 40-49 years, male 289.4
GTEX-1C6VQ-0226-SM-7P8S5 50-59 years, male 288.4
GTEX-13D11-2326-SM-5IJCY 50-59 years, female 288.2
GTEX-OXRN-0226-SM-2I5EJ 50-59 years, male 283.7
GTEX-YF7O-2426-SM-5IFJL 50-59 years, male 282.9
GTEX-1GN1W-0626-SM-9MQK3 50-59 years, female 281.1
GTEX-WI4N-1126-SM-3LK7Q 40-49 years, female 277.4
GTEX-ZVZP-2326-SM-59HL4 50-59 years, male 276.8
GTEX-Y5V6-2526-SM-5IFJV 60-69 years, male 276.1
GTEX-18D9A-2026-SM-718BL 30-39 years, female 275.4
GTEX-13NYS-0226-SM-5MR49 60-69 years, male 272.9
GTEX-PLZ5-1826-SM-3NB22 50-59 years, male 272.5
GTEX-1CB4E-1826-SM-7RHG8 60-69 years, male 270.2
GTEX-ZLV1-1826-SM-5FQU5 60-69 years, female 267.7
GTEX-1CAMQ-0126-SM-7SB7S 40-49 years, male 266.8
GTEX-ZPCL-2126-SM-57WFZ 60-69 years, female 265.4
GTEX-1QP28-0226-SM-E9J2N 50-59 years, female 264.4
GTEX-13YAN-0426-SM-5O9DR 60-69 years, male 259.6
GTEX-1FIGZ-1626-SM-7SB8L 40-49 years, male 249.8
GTEX-ZVZO-0226-SM-5A5LA 40-49 years, male 246.3
GTEX-O5YT-0226-SM-32PK5 20-29 years, male 245.5
GTEX-Q734-1826-SM-2I3EL 40-49 years, female 245.0
GTEX-P4PQ-0226-SM-2S1NK 60-69 years, male 243.5
GTEX-ZQG8-1526-SM-5HL65 60-69 years, female 241.4
GTEX-12WSL-2426-SM-5GCN7 50-59 years, male 240.6
GTEX-WY7C-2426-SM-3NB2V 50-59 years, male 239.0
GTEX-WFJO-1926-SM-3GILA 30-39 years, male 237.7
GTEX-1OFPY-2326-SM-E8VNU 60-69 years, male 237.7
GTEX-1HSMO-0226-SM-CGQEZ 60-69 years, male 237.0
GTEX-P4QS-0226-SM-3NB1U 60-69 years, male 235.4
GTEX-S4P3-1526-SM-E9J3W 50-59 years, female 230.0
GTEX-132QS-2526-SM-62LFJ 60-69 years, male 229.4
GTEX-ZZPU-2726-SM-5NQ8O 50-59 years, female 229.2
GTEX-1F48J-0226-SM-7SB82 50-59 years, female 228.6
GTEX-1128S-2126-SM-5H12U 60-69 years, female 225.1
GTEX-1KD5A-0326-SM-D5OVD 50-59 years, male 224.1
GTEX-ZPIC-1826-SM-57WFE 40-49 years, female 224.0
GTEX-183WM-0226-SM-7LT8T 70-79 years, female 223.7
GTEX-YEC3-1226-SM-5IFI8 50-59 years, male 222.5
GTEX-1J8Q3-1526-SM-CMKGB 60-69 years, male 222.1
GTEX-146FQ-0226-SM-5NQAL 30-39 years, male 221.3
GTEX-1HCU8-0726-SM-ADEIR 60-69 years, female 218.5
GTEX-ZVP2-1826-SM-5GU62 50-59 years, male 217.6
GTEX-VJWN-0226-SM-EZ6LF 50-59 years, female 214.8
GTEX-111VG-2326-SM-5N9BK 60-69 years, male 214.4
GTEX-XYKS-2726-SM-4E3IC 60-69 years, female 212.5
GTEX-11H98-0226-SM-5NQ89 50-59 years, male 212.2
GTEX-1JKYR-0226-SM-CNPOK 20-29 years, male 210.8
GTEX-O5YV-0226-SM-48TBY 60-69 years, female 208.9
GTEX-1C6VS-0426-SM-79OJV 60-69 years, male 208.1
GTEX-XGQ4-2226-SM-4AT4Y 50-59 years, male 208.0
GTEX-17F98-1126-SM-79OJS 40-49 years, female 207.4
GTEX-S95S-1326-SM-2XCDK 60-69 years, male 206.8
GTEX-ZDYS-2126-SM-5S2P2 50-59 years, male 206.4
GTEX-1F5PK-2526-SM-9MQKN 50-59 years, male 206.1
GTEX-UJHI-1626-SM-3DB9A 50-59 years, female 205.8
GTEX-ZTPG-0226-SM-5O99I 20-29 years, female 205.7
GTEX-1S82P-0226-SM-E6CI6 60-69 years, female 204.6
GTEX-ZLWG-2226-SM-DO92V 50-59 years, female 203.7
GTEX-145MI-0426-SM-5O99V 60-69 years, female 203.3
GTEX-1C64O-0226-SM-73KXB 60-69 years, male 202.6
GTEX-1H3VE-0226-SM-9WYST 40-49 years, male 202.0
GTEX-1HSMP-0226-SM-CGQFI 70-79 years, male 199.4
GTEX-QEL4-0326-SM-3GAE5 50-59 years, male 199.2
GTEX-13FTW-2526-SM-5IJC8 40-49 years, male 198.8
GTEX-13O61-2426-SM-5J1NV 60-69 years, male 198.8
GTEX-PWN1-0226-SM-DKPO9 40-49 years, female 195.6
GTEX-1RAZQ-0626-SM-E8VOR 30-39 years, male 194.9
GTEX-14PJ4-2226-SM-6LLIS 60-69 years, male 194.4
GTEX-QCQG-1826-SM-2S1P2 50-59 years, female 192.4
GTEX-ZGAY-0626-SM-DO92E 40-49 years, female 192.4
GTEX-1QP9N-1526-SM-DTXFK 30-39 years, male 191.4
GTEX-13PVR-2426-SM-5RQHN 60-69 years, female 191.1
GTEX-13O21-1526-SM-5K7W4 50-59 years, male 190.0
GTEX-1JN76-0226-SM-CMKGO 20-29 years, female 189.4
GTEX-P4QT-0226-SM-3LK68 50-59 years, female 189.0
GTEX-139TU-0226-SM-5J1NM 60-69 years, male 188.8
GTEX-1B996-0126-SM-7PBYF 60-69 years, male 188.1
GTEX-1C2JI-2226-SM-7IGPJ 50-59 years, male 187.9
GTEX-1122O-2026-SM-9YFMG 60-69 years, female 187.7
GTEX-Y8LW-1926-SM-4WWFZ 50-59 years, female 187.6
GTEX-146FH-0226-SM-5QGPQ 50-59 years, female 186.3
GTEX-1I1GT-0526-SM-CGQEQ 60-69 years, female 185.0
GTEX-12696-2526-SM-5EQLN 60-69 years, male 183.2
GTEX-11DXX-2326-SM-9YFKS 60-69 years, female 183.0
GTEX-17F96-1726-SM-7IGMB 70-79 years, male 182.9
GTEX-XUW1-0526-SM-4BOP3 50-59 years, female 182.6
GTEX-13O1R-0226-SM-5K7U5 60-69 years, male 180.1
GTEX-XUZC-1826-SM-4BRVO 30-39 years, female 179.8
GTEX-13W3W-2526-SM-5SI9P 60-69 years, female 179.5
GTEX-1HSGN-0126-SM-CGQFU 40-49 years, female 178.3
GTEX-ZTSS-2026-SM-5987K 40-49 years, male 177.1
GTEX-14BIL-0226-SM-5SI9E 50-59 years, male 176.8
GTEX-REY6-0326-SM-2TF5A 60-69 years, male 176.8
GTEX-1NHNU-1126-SM-E9J2C 50-59 years, male 176.4
GTEX-R55C-1626-SM-48FEG 40-49 years, male 176.2
GTEX-1LGOU-2226-SM-E9U56 20-29 years, female 176.2
GTEX-13113-1826-SM-5LZW4 60-69 years, female 176.0
GTEX-ZTX8-1526-SM-5N9GI 20-29 years, male 175.4
GTEX-1HR98-0226-SM-CGQEK 60-69 years, male 174.7
GTEX-QLQW-1226-SM-2S1Q9 30-39 years, male 174.3
GTEX-X4LF-1726-SM-3NMBZ 50-59 years, male 173.9
GTEX-OHPK-0226-SM-3MJH6 50-59 years, female 173.7
GTEX-14E1K-2126-SM-793DU 50-59 years, male 173.1
GTEX-111YS-2426-SM-5GZZQ 60-69 years, male 172.0
GTEX-1IDJF-0226-SM-CMKGE 20-29 years, male 171.5
GTEX-117YX-2226-SM-5EGJJ 50-59 years, male 171.0
GTEX-13CF3-2326-SM-5IFGL 60-69 years, female 171.0
GTEX-1A3MX-0226-SM-731C4 60-69 years, male 170.8
GTEX-QV31-1326-SM-2S1QE 30-39 years, male 170.3
GTEX-TKQ1-1126-SM-4GIAZ 30-39 years, male 170.2
GTEX-16MT8-0526-SM-6PAM6 60-69 years, female 168.9
GTEX-YFCO-2026-SM-4W21Q 40-49 years, male 168.2
GTEX-ZP4G-2326-SM-57WEM 20-29 years, female 167.5
GTEX-X88G-0226-SM-4GIE4 30-39 years, male 167.0
GTEX-S32W-2226-SM-2XCAY 50-59 years, female 166.4
GTEX-18A66-0326-SM-718BE 60-69 years, male 165.3
GTEX-XPVG-2726-SM-4B66W 50-59 years, male 164.8
GTEX-1QPFJ-0126-SM-E9J4B 30-39 years, female 164.6
GTEX-139D8-0326-SM-5IJCJ 30-39 years, female 164.5
GTEX-16XZZ-0226-SM-7MGVJ 60-69 years, male 163.6
GTEX-1I1GU-2326-SM-CGQFB 40-49 years, male 162.1
GTEX-11LCK-1126-SM-5A5KC 30-39 years, male 161.1
GTEX-15G19-0226-SM-6PAL2 60-69 years, male 160.7
GTEX-1HB9E-0426-SM-CNPPV 50-59 years, male 160.6
GTEX-11DZ1-0226-SM-5A5KF 50-59 years, male 160.1
GTEX-1497J-2326-SM-5NQBK 60-69 years, male 160.1
GTEX-1J1R8-2226-SM-ARZMP 40-49 years, male 159.9
GTEX-ZAJG-0226-SM-5HL81 50-59 years, female 159.4
GTEX-YEC4-2426-SM-57WFO 40-49 years, male 158.5
GTEX-X5EB-2426-SM-4E3HX 40-49 years, male 158.3
GTEX-1IDJD-1226-SM-CM2TP 30-39 years, male 158.0
GTEX-1QAET-1126-SM-E8VML 50-59 years, male 157.6
GTEX-1J1OQ-0326-SM-CYPTJ 40-49 years, female 156.2
GTEX-Y9LG-2026-SM-62LFS 30-39 years, male 155.5
GTEX-WYJK-0226-SM-EYYV8 50-59 years, male 155.3
GTEX-1AX9J-0326-SM-73KXY 60-69 years, male 155.2
GTEX-133LE-1926-SM-5N9FV 20-29 years, female 154.1
GTEX-14ICK-0326-SM-6LLIZ 40-49 years, male 153.8
GTEX-YB5E-2126-SM-5IFI7 40-49 years, male 153.7
GTEX-14JG6-2326-SM-6LLH3 30-39 years, female 152.3
GTEX-WEY5-1926-SM-3GIL8 40-49 years, female 152.3
GTEX-16MTA-2126-SM-6PALC 50-59 years, male 151.2
GTEX-11ZTT-2526-SM-5EQM9 60-69 years, female 150.8
GTEX-13JVG-0226-SM-5J1MW 60-69 years, male 150.7
GTEX-ZVT2-2226-SM-5NQ6P 50-59 years, female 150.2
GTEX-1J8QM-2326-SM-CYPSL 60-69 years, female 149.7
GTEX-OHPN-0226-SM-48TBV 60-69 years, female 148.8
GTEX-ZT9X-1926-SM-57WE7 40-49 years, male 148.6
GTEX-XV7Q-2626-SM-4BRVA 40-49 years, female 147.0
GTEX-1E2YA-0226-SM-9MQLY 50-59 years, male 146.6
GTEX-1LVAN-0126-SM-COH4H 50-59 years, female 145.7
GTEX-1HSEH-0226-SM-ACKVV 60-69 years, male 144.5
GTEX-T5JW-1726-SM-3GADN 20-29 years, female 144.0
GTEX-OXRK-0326-SM-3NB3R 50-59 years, female 143.4
GTEX-Q2AI-1426-SM-2S1P5 40-49 years, male 142.0
GTEX-14DAR-1926-SM-5S2NQ 50-59 years, male 141.6
GTEX-14PHX-2426-SM-62LEN 50-59 years, male 141.1
GTEX-XAJ8-0926-SM-47JXZ 40-49 years, male 139.7
GTEX-1HCUA-2226-SM-ADEHF 50-59 years, female 138.9
GTEX-17MF6-0226-SM-7LG4G 40-49 years, male 138.8
GTEX-ZF3C-0226-SM-4WWB3 50-59 years, female 138.4
GTEX-1H1DF-0226-SM-ARL9A 40-49 years, female 137.9
GTEX-1JN1M-0126-SM-D4P23 60-69 years, female 137.5
GTEX-14PJ6-2226-SM-6LLIV 60-69 years, female 137.1
GTEX-145LT-1826-SM-5QGP4 40-49 years, male 137.0
GTEX-11EQ9-2526-SM-5HL66 30-39 years, male 136.1
GTEX-Z9EW-1826-SM-5CVMA 40-49 years, male 135.5
GTEX-13OVJ-0326-SM-5L3GL 50-59 years, female 133.9
GTEX-1HBPM-0326-SM-CMKGR 60-69 years, female 133.8
GTEX-P4PP-0226-SM-D4P1Z 30-39 years, female 132.9
GTEX-OXRL-0226-SM-3NB18 50-59 years, male 132.8
GTEX-1MCC2-2326-SM-E9U5G 30-39 years, female 132.6
GTEX-18A67-0226-SM-7LG67 50-59 years, male 132.3
GTEX-Y114-2326-SM-4TT7X 50-59 years, female 131.7
GTEX-14PJ3-1926-SM-62LEY 50-59 years, male 131.2
GTEX-1GTWX-0226-SM-9YFLL 60-69 years, male 131.2
GTEX-1QP66-1326-SM-DTXDQ 50-59 years, male 131.1
GTEX-ZVE2-0326-SM-57WFC 50-59 years, male 130.2
GTEX-XK95-0426-SM-4AT4R 40-49 years, male 130.1
GTEX-1117F-0226-SM-5GZZ7 60-69 years, female 129.6
GTEX-1RAZA-0226-SM-E9U4W 20-29 years, male 129.1
GTEX-XBED-2326-SM-47JYR 60-69 years, male 127.8
GTEX-11TT1-2426-SM-5EQMK 20-29 years, male 126.5
GTEX-13RTJ-2526-SM-5S2Q3 60-69 years, male 125.9
GTEX-POMQ-2326-SM-DHXIS 20-29 years, female 125.8
GTEX-XBEW-0726-SM-4QARX 40-49 years, male 125.5
GTEX-1LG7Z-2026-SM-DLHBP 30-39 years, male 125.0
GTEX-T6MO-1726-SM-33HB8 40-49 years, female 124.9
GTEX-WH7G-2226-SM-3NMBN 40-49 years, male 124.0
GTEX-1GMR8-0226-SM-9YFL3 50-59 years, female 123.1
GTEX-1B97I-1726-SM-7939V 40-49 years, male 121.6
GTEX-ZXES-2026-SM-5NQ6R 30-39 years, female 121.3
GTEX-146FR-1826-SM-5QGPF 60-69 years, female 121.1
GTEX-1I6K6-0226-SM-ADEID 30-39 years, male 121.1
GTEX-1QP67-1726-SM-E8VOP 40-49 years, female 120.9
GTEX-1HR9M-0226-SM-COH3E 60-69 years, male 119.9
GTEX-XMD2-0226-SM-4WWEE 60-69 years, female 118.8
GTEX-NPJ8-0226-SM-48TBN 40-49 years, male 117.4
GTEX-1CAMS-0326-SM-7PC35 40-49 years, female 116.3
GTEX-1I6K7-0226-SM-CJI46 40-49 years, male 114.7
GTEX-1PWST-0326-SM-EAZ42 70-79 years, male 114.2
GTEX-13N2G-2726-SM-5J1MG 60-69 years, male 111.6
GTEX-1C475-1926-SM-7DUFV 40-49 years, female 111.2
GTEX-RUSQ-1626-SM-EZ6L4 50-59 years, male 110.3
GTEX-11UD1-0226-SM-5EQKL 40-49 years, female 110.1
GTEX-14PII-0326-SM-6LLIQ 60-69 years, male 109.8
GTEX-14DAQ-0226-SM-664MQ 60-69 years, female 109.7
GTEX-13N11-2626-SM-5K7UQ 50-59 years, female 109.1
GTEX-VUSG-2426-SM-4KKZG 50-59 years, male 108.7
GTEX-1MA7W-1926-SM-E6CIO 20-29 years, female 108.0
GTEX-1HFI7-2026-SM-CGQFR 50-59 years, female 107.8
GTEX-14PK6-2026-SM-6LLHP 70-79 years, female 107.7
GTEX-QLQ7-1526-SM-2S1QA 60-69 years, male 107.6
GTEX-16XZY-2526-SM-7DHL2 70-79 years, male 106.7
GTEX-OHPM-0226-SM-3LK61 50-59 years, male 104.2
GTEX-OIZH-0226-SM-2YUMH 50-59 years, male 104.2
GTEX-17HHE-1926-SM-7EPGW 50-59 years, male 104.1
GTEX-WHPG-2126-SM-4M1ZM 50-59 years, male 103.7
GTEX-QEG5-0326-SM-2S1PB 20-29 years, male 102.9
GTEX-13X6K-0226-SM-5QGPB 60-69 years, female 102.4
GTEX-1AYD5-2326-SM-73KXF 50-59 years, male 102.1
GTEX-1EX96-1426-SM-7PBZ5 50-59 years, male 102.0
GTEX-PSDG-0326-SM-48TCP 50-59 years, male 101.4
GTEX-1PFEY-1626-SM-E9J3M 30-39 years, male 101.2
GTEX-1F6RS-0226-SM-9MQKO 60-69 years, female 100.3
GTEX-POYW-0726-SM-2XCEO 60-69 years, male 100.1
GTEX-TML8-2026-SM-32QOP 40-49 years, female 100.0
GTEX-1QCLY-0526-SM-EAZ47 30-39 years, male 99.9
GTEX-1IDJU-2526-SM-CMKGF 60-69 years, female 98.4
GTEX-XQ8I-0526-SM-4BOPS 50-59 years, male 98.1
GTEX-X15G-2326-SM-4PQZS 50-59 years, female 97.8
GTEX-1QP6S-0126-SM-E9J4K 40-49 years, male 97.7
GTEX-1LBAC-0226-SM-DHXJZ 20-29 years, male 97.4
GTEX-QMRM-1726-SM-2S1QG 50-59 years, male 97.0
GTEX-Y8E4-0726-SM-4WWFN 40-49 years, male 96.8
GTEX-183FY-0326-SM-793BY 20-29 years, male 95.5
GTEX-R55D-0326-SM-48FES 50-59 years, male 95.1
GTEX-13O3Q-2326-SM-5KM3G 50-59 years, male 94.7
GTEX-RTLS-0226-SM-2TF5E 60-69 years, female 94.3
GTEX-131XE-2426-SM-5EQ5V 50-59 years, male 94.0
GTEX-OIZI-0226-SM-2XCEE 40-49 years, male 93.4
GTEX-VJYA-1326-SM-3GIJC 60-69 years, male 93.2
GTEX-11TUW-2626-SM-5EQKZ 60-69 years, male 92.8
GTEX-YB5K-2226-SM-4WWG1 40-49 years, female 92.8
GTEX-14LLW-0226-SM-62LEL 70-79 years, female 91.3
GTEX-Q2AH-1726-SM-DIPDV 40-49 years, male 91.2
GTEX-11EMC-2826-SM-5PNY6 60-69 years, female 91.1
GTEX-12WSM-0226-SM-5LZV6 60-69 years, male 90.6
GTEX-OXRO-0226-SM-3LK6F 60-69 years, female 90.3
GTEX-13NZA-0126-SM-5K7UH 60-69 years, male 90.1
GTEX-14E6C-0226-SM-5S2N3 40-49 years, male 90.1
GTEX-13NZB-2426-SM-5K7UF 30-39 years, male 89.9
GTEX-145MO-0426-SM-5QGP6 60-69 years, male 89.7
GTEX-144GM-1926-SM-5LUAN 20-29 years, male 87.5
GTEX-Y5V5-2426-SM-5IFJA 60-69 years, female 87.5
GTEX-16AAH-2026-SM-7LG5F 50-59 years, male 86.7
GTEX-ZYW4-0226-SM-5E44M 60-69 years, male 86.4
GTEX-ZYVF-0226-SM-5GIEG 50-59 years, female 86.1
GTEX-169BO-1426-SM-9MQJT 50-59 years, male 85.7
GTEX-17F9Y-0326-SM-7IGLS 70-79 years, female 85.4
GTEX-17EVP-0426-SM-79OKG 40-49 years, male 85.3
GTEX-147F3-0626-SM-5NQ9I 50-59 years, female 85.1
GTEX-SN8G-0226-SM-4DM6B 50-59 years, female 85.0
GTEX-13S7M-0226-SM-5S2UG 60-69 years, female 84.9
GTEX-T8EM-1126-SM-3DB7D 40-49 years, male 84.9
GTEX-ZXG5-0226-SM-59HJI 60-69 years, male 84.9
GTEX-X4XY-0326-SM-46MVZ 60-69 years, male 84.0
GTEX-17EUY-0526-SM-7EWDE 20-29 years, male 83.7
GTEX-1JMPY-1426-SM-ARL8Z 30-39 years, male 83.6
GTEX-11GSO-2326-SM-5A5LX 60-69 years, male 83.2
GTEX-13FHO-0326-SM-5IJBH 60-69 years, male 83.0
GTEX-13OVI-1326-SM-5IJBO 60-69 years, female 83.0
GTEX-1RAZR-0226-SM-EVYC6 40-49 years, male 82.7
GTEX-1HCU7-0326-SM-CMKGI 50-59 years, male 82.3
GTEX-XBEC-0326-SM-4AT4M 50-59 years, male 82.1
GTEX-1JMQL-0326-SM-CNPP6 50-59 years, female 82.0
GTEX-1H23P-0226-SM-9YFLO 60-69 years, male 81.9
GTEX-11EM3-2326-SM-5H12B 20-29 years, female 81.8
GTEX-X261-0226-SM-3NMD2 50-59 years, male 81.7
GTEX-14PJM-0326-SM-62LF2 50-59 years, female 80.8
GTEX-14753-0326-SM-5QGQB 60-69 years, male 80.7
GTEX-12ZZZ-0526-SM-5DUX6 60-69 years, male 80.1
GTEX-17HGU-0326-SM-7DUER 50-59 years, male 79.4
GTEX-PWCY-1926-SM-3NB25 20-29 years, female 78.8
GTEX-1A3MW-0226-SM-7939O 60-69 years, female 78.5
GTEX-1GPI7-0226-SM-9MQKB 20-29 years, male 78.0
GTEX-1I1GS-0226-SM-B2LVX 60-69 years, male 76.9
GTEX-1GZ4I-0226-SM-7RHHO 50-59 years, male 76.8
GTEX-16NPX-0326-SM-7EWDI 50-59 years, male 76.7
GTEX-1GMR2-2526-SM-9MQKW 50-59 years, male 76.7
GTEX-1A8FM-0126-SM-7SB7P 50-59 years, female 76.4
GTEX-QDVJ-1826-SM-2S1P3 50-59 years, male 75.6
GTEX-14BIN-0726-SM-793DQ 50-59 years, female 74.5
GTEX-14BMU-2126-SM-5S2TS 20-29 years, female 74.0
GTEX-145ME-1926-SM-5MR6T 40-49 years, female 74.0
GTEX-13O3P-0226-SM-5KM3Z 50-59 years, male 73.5
GTEX-W5WG-2526-SM-4SOJ2 50-59 years, female 73.5
GTEX-12584-0226-SM-5EQL5 40-49 years, male 73.1
GTEX-15SDE-2426-SM-7KFRC 50-59 years, female 72.8
GTEX-1HGF4-2526-SM-ADEIZ 60-69 years, male 72.7
GTEX-11O72-0226-SM-59869 40-49 years, male 72.4
GTEX-ZF28-0226-SM-5S2OE 60-69 years, male 72.2
GTEX-1IDFM-0226-SM-CMKFX 60-69 years, male 72.0
GTEX-14H4A-1026-SM-62LDY 40-49 years, female 71.9
GTEX-1LH75-2526-SM-E9U5A 50-59 years, female 71.9
GTEX-P44H-0326-SM-2XCES 40-49 years, male 71.8
GTEX-16NGA-1826-SM-7LG5L 40-49 years, female 70.8
GTEX-RU72-1026-SM-46MUG 50-59 years, female 70.8
GTEX-1H2FU-0226-SM-9YFKO 60-69 years, female 70.8
GTEX-ZVT4-0226-SM-51MSD 50-59 years, female 69.8
GTEX-1B8KE-2526-SM-73KYQ 50-59 years, male 69.6
GTEX-11P82-1726-SM-5Q5AT 20-29 years, male 69.5
GTEX-1ICLY-0226-SM-ARL7R 50-59 years, male 69.2
GTEX-15UKP-0526-SM-7KFRO 20-29 years, male 69.0
GTEX-1ICG6-2626-SM-CGQG1 70-79 years, female 68.8
GTEX-17F97-0426-SM-7LT9U 50-59 years, male 68.2
GTEX-13IVO-0226-SM-5LZXU 70-79 years, male 67.6
GTEX-1GZ4H-1826-SM-9MQLE 50-59 years, female 67.6
GTEX-WL46-0326-SM-3LK6Y 50-59 years, male 67.2
GTEX-1EH9U-0226-SM-7PBY8 60-69 years, male 67.1
GTEX-1HSMQ-1426-SM-ADEHT 50-59 years, male 66.8
GTEX-14PN3-2526-SM-6EU15 60-69 years, female 66.5
GTEX-12126-0426-SM-5Q5AP 20-29 years, male 65.8
GTEX-13SLW-0226-SM-5S2NA 70-79 years, male 64.3
GTEX-139YR-2426-SM-5J1OB 50-59 years, male 64.2
GTEX-X8HC-0226-SM-4E3K1 50-59 years, female 64.1
GTEX-1N2DW-0326-SM-E9TK3 50-59 years, male 64.1
GTEX-1QP2A-0226-SM-EVYBC 50-59 years, male 63.9
GTEX-1QEPI-0226-SM-EWRMR 60-69 years, female 63.4
GTEX-1GF9X-1926-SM-ADEIC 40-49 years, female 63.3
GTEX-1R9PM-2126-SM-E8VOB 20-29 years, male 63.1
GTEX-17MFQ-1826-SM-7DHLS 20-29 years, male 62.8
GTEX-1GF9V-0226-SM-9MQKA 60-69 years, male 62.5
GTEX-1S83E-0226-SM-EVYCW 40-49 years, male 62.4
GTEX-1IKK5-0526-SM-CMKGG 60-69 years, male 62.3
GTEX-OIZF-0226-SM-E9TI3 60-69 years, male 61.5
GTEX-12KS4-0426-SM-5EQMC 30-39 years, male 61.0
GTEX-1AMFI-2126-SM-731BT 50-59 years, female 60.2
GTEX-QDT8-0226-SM-32PL4 30-39 years, female 59.8
GTEX-13111-1726-SM-5EGJZ 50-59 years, male 59.7
GTEX-WVLH-0226-SM-3MJG6 50-59 years, male 59.4
GTEX-11XUK-2126-SM-5EQLR 40-49 years, female 59.1
GTEX-ZZ64-1626-SM-5E43W 20-29 years, male 58.9
GTEX-13SLX-0426-SM-5QGRC 50-59 years, female 57.8
GTEX-14AS3-2026-SM-5TDD9 40-49 years, female 57.3
GTEX-1KANA-0826-SM-D3L9J 20-29 years, male 56.9
GTEX-113IC-0226-SM-5HL5C 60-69 years, male 56.3
GTEX-15ETS-0426-SM-6PANI 40-49 years, female 56.3
GTEX-11P7K-2026-SM-5GU74 30-39 years, male 56.0
GTEX-1OJC4-1726-SM-EXUSV 50-59 years, female 55.5
GTEX-1F75A-0226-SM-7PC2K 50-59 years, male 55.4
GTEX-1269C-2726-SM-5EGJ4 60-69 years, female 55.3
GTEX-14JIY-0526-SM-62LFH 60-69 years, male 55.3
GTEX-1GMRU-0226-SM-9YFLW 50-59 years, male 54.6
GTEX-1PDJ9-0426-SM-E9J3E 20-29 years, male 54.4
GTEX-PX3G-0226-SM-DKPOF 20-29 years, female 54.1
GTEX-14PJ2-0226-SM-6LLH4 50-59 years, male 53.8
GTEX-Q2AG-0226-SM-2S1P4 40-49 years, female 53.8
GTEX-1QW4Y-1626-SM-EAZ41 30-39 years, male 53.5
GTEX-ZC5H-0126-SM-4WAYL 40-49 years, female 53.3
GTEX-OXRP-0226-SM-3NB14 60-69 years, female 52.8
GTEX-13PDP-0226-SM-5K7W9 60-69 years, male 52.6
GTEX-1A8G6-0526-SM-7PC1E 60-69 years, male 52.5
GTEX-11UD2-0126-SM-5EQL2 50-59 years, male 52.2
GTEX-1I4MK-2026-SM-B2LVR 50-59 years, female 52.2
GTEX-18QFQ-0226-SM-731BQ 30-39 years, male 52.1
GTEX-1JK1U-2126-SM-CNPOU 60-69 years, male 51.6
GTEX-RWSA-0226-SM-2XCBA 40-49 years, male 51.5
GTEX-11ZVC-2626-SM-5FQTA 50-59 years, female 51.4
GTEX-U3ZN-2626-SM-3DB7T 30-39 years, female 51.4
GTEX-TMZS-0226-SM-3DB9N 60-69 years, male 51.3
GTEX-PLZ6-1326-SM-3NB24 30-39 years, male 50.9
GTEX-ZYFD-0226-SM-5NQ86 50-59 years, male 50.4
GTEX-18A6Q-0226-SM-718AS 60-69 years, male 50.3
GTEX-14BMV-0226-SM-5S2N2 50-59 years, male 50.1
GTEX-1H3VY-0226-SM-9YFMF 50-59 years, male 50.1
GTEX-1HCU6-0226-SM-CGQES 60-69 years, female 50.1
GTEX-1314G-1626-SM-5EQ67 30-39 years, male 49.9
GTEX-XXEK-2426-SM-4BRUS 50-59 years, male 49.5
GTEX-1IKJJ-0226-SM-COH3T 60-69 years, male 49.5
GTEX-1LSVX-0126-SM-EVYCY 60-69 years, male 49.1
GTEX-1L5NE-2626-SM-E9U6P 50-59 years, male 49.0
GTEX-1GN2E-0326-SM-COH3C 60-69 years, male 48.7
GTEX-13OVK-2126-SM-6PAN1 40-49 years, male 48.6
GTEX-17KNJ-2226-SM-DKPOU 50-59 years, male 48.5
GTEX-1H1DE-2026-SM-9WG6Q 20-29 years, male 48.4
GTEX-1I19N-0426-SM-ACKVY 70-79 years, male 48.0
GTEX-12WSA-0326-SM-5BC6I 60-69 years, male 47.4
GTEX-ZDXO-2426-SM-5S2NJ 60-69 years, male 47.4
GTEX-13FHP-0226-SM-5K7WD 50-59 years, male 47.3
GTEX-11EQ8-0226-SM-5EQ5G 60-69 years, male 47.0
GTEX-11ZUS-0726-SM-59886 30-39 years, male 46.8
GTEX-131XW-0526-SM-5PNXZ 50-59 years, female 46.8
GTEX-1399U-2426-SM-5K7XB 50-59 years, female 46.8
GTEX-11ZU8-2426-SM-5EQMV 60-69 years, male 46.5
GTEX-1E1VI-0226-SM-793CZ 50-59 years, male 46.5
GTEX-ZEX8-2326-SM-5S2MN 50-59 years, male 46.5
GTEX-13X6J-0226-SM-7EPGC 50-59 years, male 46.4
GTEX-1HUB1-0326-SM-A9SKQ 60-69 years, male 46.4
GTEX-U8XE-0426-SM-3DB91 30-39 years, male 46.1
GTEX-1I1GP-2326-SM-CGQFL 50-59 years, male 46.1
GTEX-NFK9-0326-SM-3MJGV 40-49 years, male 46.0
GTEX-1PIGE-0526-SM-DTXFA 20-29 years, male 45.8
GTEX-15DCD-0226-SM-6LPKC 70-79 years, female 45.4
GTEX-1F52S-0226-SM-7SB7U 60-69 years, female 45.1
GTEX-1K2DA-2126-SM-CGQGL 50-59 years, male 44.9
GTEX-ZV68-0226-SM-59HJF 50-59 years, female 44.8
GTEX-12ZZX-0226-SM-5DUXU 40-49 years, female 44.3
GTEX-1H1ZS-0526-SM-9WG5L 70-79 years, male 44.3
GTEX-13NZ8-0926-SM-5MR3U 60-69 years, female 43.6
GTEX-1CB4I-0426-SM-7IGPR 50-59 years, male 43.6
GTEX-1CB4G-0326-SM-7SB8R 60-69 years, male 43.6
GTEX-1R7EV-1926-SM-EVYBF 40-49 years, male 43.6
GTEX-1B8SF-0526-SM-7939F 60-69 years, male 43.3
GTEX-1POEN-0226-SM-EYYXE 30-39 years, female 43.3
GTEX-1JMLX-0126-SM-CMKG9 50-59 years, male 43.2
GTEX-1AX9I-0226-SM-7SB75 60-69 years, male 42.9
GTEX-11GS4-2626-SM-5A5LD 60-69 years, male 42.7
GTEX-QDVN-2126-SM-33HBS 50-59 years, male 42.7
GTEX-1KAFJ-2426-SM-D4P32 50-59 years, male 42.7
GTEX-1JMQI-2026-SM-CMKGP 50-59 years, male 42.6
GTEX-1RDX4-0226-SM-DTXG1 50-59 years, female 42.5
GTEX-1H1E6-2026-SM-9KNVK 30-39 years, male 42.2
GTEX-XLM4-0226-SM-4AT4N 60-69 years, male 42.0
GTEX-1CAMR-1826-SM-7MXUJ 20-29 years, male 41.9
GTEX-Y3IK-2526-SM-4WWDM 50-59 years, female 41.7
GTEX-R53T-1626-SM-3GAEW 50-59 years, female 41.6
GTEX-1HBPH-0526-SM-9YFMN 40-49 years, female 41.5
GTEX-15ER7-0426-SM-6PAM3 20-29 years, female 41.1
GTEX-1LG7Y-0426-SM-DKPQB 50-59 years, male 41.0
GTEX-11P81-2426-SM-5GU65 30-39 years, female 40.9
GTEX-11PRG-0626-SM-5BC56 50-59 years, male 40.7
GTEX-131XF-2226-SM-5EQKG 60-69 years, male 40.6
GTEX-15RIE-2326-SM-7KFSC 60-69 years, male 40.5
GTEX-1F75I-0426-SM-7PC3S 40-49 years, male 40.5
GTEX-YJ8O-2426-SM-5HL7S 40-49 years, female 39.4
GTEX-17HHY-0226-SM-793BQ 50-59 years, male 39.3
GTEX-1MUQO-0526-SM-E9J31 60-69 years, male 39.1
GTEX-13NZ9-0526-SM-5J1OX 50-59 years, male 38.8
GTEX-17HII-0326-SM-7LG4X 50-59 years, male 38.8
GTEX-1R9K5-0226-SM-EWRNF 50-59 years, male 38.8
GTEX-1GZ2Q-0326-SM-9WG6N 40-49 years, male 38.7
GTEX-1I1GV-0426-SM-ARZLX 60-69 years, male 38.4
GTEX-ZYY3-0226-SM-5E45M 60-69 years, female 38.3
GTEX-1PPH8-0626-SM-EWRN9 20-29 years, male 38.1
GTEX-11EI6-0226-SM-5EQ64 60-69 years, male 38.0
GTEX-1212Z-2426-SM-5EQ5D 60-69 years, male 37.7
GTEX-13JUV-2826-SM-5LZWU 40-49 years, female 36.9
GTEX-Z93S-0226-SM-5HL7R 50-59 years, male 36.7
GTEX-16YQH-0226-SM-6PALD 30-39 years, male 36.5
GTEX-1B932-0226-SM-7PBYH 40-49 years, female 35.6
GTEX-16GPK-0226-SM-7DUFI 60-69 years, male 35.2
GTEX-QV44-1825-SM-447CF 50-59 years, male 35.1
GTEX-1J8EW-0226-SM-CYPSW 60-69 years, female 35.1
GTEX-SSA3-0226-SM-32QPN 60-69 years, male 34.8
GTEX-14ICL-2026-SM-62LDN 30-39 years, male 34.5
GTEX-15DDE-0226-SM-6LLJ6 50-59 years, female 34.4
GTEX-1JJ6O-0226-SM-E6CI9 60-69 years, male 34.3
GTEX-R45C-0226-SM-EVYAJ 60-69 years, female 34.2
GTEX-1I1CD-0226-SM-CM2TL 60-69 years, female 33.8
GTEX-ZYT6-0326-SM-7LG5R 30-39 years, male 33.7
GTEX-12ZZY-0326-SM-5LZVQ 60-69 years, male 33.5
GTEX-13OW7-0226-SM-5MR3N 50-59 years, male 33.3
GTEX-11ZTS-0226-SM-5EQKD 60-69 years, female 33.1
GTEX-1AYCT-2226-SM-7SB98 50-59 years, male 33.1
GTEX-1399R-2626-SM-5KLZ7 30-39 years, male 33.0
GTEX-1LSNM-2026-SM-E6CIJ 50-59 years, male 33.0
GTEX-15CHQ-0226-SM-6EU2S 60-69 years, male 32.9
GTEX-SNMC-1326-SM-2XCFK 20-29 years, male 32.7
GTEX-1GN1U-0226-SM-9YFLQ 50-59 years, female 32.7
GTEX-1IE54-0226-SM-CMKHX 40-49 years, female 32.7
GTEX-1LVA9-0226-SM-E9U5N 50-59 years, male 32.6
GTEX-1F6I4-0226-SM-9MQMA 60-69 years, male 32.3
GTEX-N7MS-0326-SM-4E3K2 60-69 years, male 32.1
GTEX-11ONC-2526-SM-5986W 60-69 years, male 31.8
GTEX-1MGNQ-0226-SM-EVYCK 40-49 years, male 31.8
GTEX-139T4-0126-SM-5HL5G 50-59 years, female 31.6
GTEX-13PVQ-0226-SM-5SIBG 50-59 years, male 31.6
GTEX-R3RS-0226-SM-EYYVE 40-49 years, female 31.6
GTEX-131YS-0226-SM-5IJEH 60-69 years, female 31.5
GTEX-145LS-0226-SM-5O9A5 60-69 years, female 31.2
GTEX-QESD-1526-SM-2S1QT 20-29 years, male 31.2
GTEX-12WSD-0226-SM-59HKO 60-69 years, female 30.9
GTEX-147JS-0426-SM-5TDD2 60-69 years, male 30.9
GTEX-OOBJ-0226-SM-2YUMM 60-69 years, male 30.5
GTEX-12WSC-0226-SM-5EQ52 50-59 years, male 30.3
GTEX-1N2EF-0626-SM-E9J32 60-69 years, male 30.2
GTEX-13N1W-0226-SM-5K7W6 70-79 years, male 30.0
GTEX-1JN6P-0226-SM-COH34 60-69 years, male 30.0
GTEX-1LVAO-0226-SM-E9U6O 60-69 years, male 29.8
GTEX-1PPGY-0326-SM-DTXFD 60-69 years, male 29.2
GTEX-1399T-2726-SM-5K7XK 60-69 years, male 28.8
GTEX-X4EO-0426-SM-4QASA 60-69 years, female 28.6
GTEX-1HBPI-1426-SM-B2LW7 50-59 years, male 28.5
GTEX-13U4I-0226-SM-5SIB1 40-49 years, female 28.4
GTEX-YJ8A-0526-SM-5IFHT 20-29 years, male 28.4
GTEX-144GO-1626-SM-7EPG5 60-69 years, male 28.3
GTEX-1F75W-0226-SM-9JGGP 60-69 years, male 28.3
GTEX-YFC4-0226-SM-57WD2 40-49 years, female 28.2
GTEX-T2IS-0226-SM-32QPH 20-29 years, female 28.0
GTEX-1CB4H-0326-SM-9WG5G 60-69 years, female 27.8
GTEX-13CF2-2626-SM-5LZZA 60-69 years, male 27.6
GTEX-14C5O-0226-SM-5SI6O 60-69 years, male 27.6
GTEX-1EWIQ-0226-SM-793D3 70-79 years, female 27.3
GTEX-111FC-0226-SM-5N9B8 60-69 years, male 27.2
GTEX-1B8KZ-1926-SM-7DUG8 50-59 years, male 27.0
GTEX-144GL-0226-SM-5QGOX 50-59 years, male 26.8
GTEX-17HG3-2326-SM-79OKH 30-39 years, female 26.7
GTEX-1GMR3-2026-SM-9MQLG 40-49 years, male 26.6
GTEX-Y8E5-0226-SM-57WCM 60-69 years, male 26.3
GTEX-13FTY-0626-SM-5L3F8 40-49 years, female 26.2
GTEX-X638-0226-SM-47JZ9 70-79 years, female 26.2
GTEX-1IY9M-0226-SM-CMKHP 60-69 years, male 26.2
GTEX-14JG1-0526-SM-6LLHW 40-49 years, male 25.7
GTEX-1IL2U-0326-SM-CE6T9 60-69 years, male 25.7
GTEX-VUSH-0226-SM-EXUQV 30-39 years, male 25.7
GTEX-1R7EU-0326-SM-EWRNJ 60-69 years, male 25.5
GTEX-P78B-0226-SM-3NB1Z 40-49 years, female 24.9
GTEX-RNOR-0226-SM-EZ6MF 50-59 years, female 24.8
GTEX-18465-0226-SM-7LG5M 50-59 years, male 24.6
GTEX-1I1GQ-0226-SM-COH3I 50-59 years, male 24.5
GTEX-1I1HK-0226-SM-COH4A 60-69 years, male 24.5
GTEX-1B8SG-0226-SM-7939Q 50-59 years, male 24.4
GTEX-1HT8W-0226-SM-CMKGT 30-39 years, male 24.4
GTEX-18A7A-0326-SM-731AT 50-59 years, female 24.2
GTEX-1PIIG-0326-SM-EVYBV 30-39 years, male 24.2
GTEX-XUYS-0226-SM-47JX1 50-59 years, male 23.8
GTEX-1K9T9-0226-SM-E9U6K 50-59 years, female 23.8
GTEX-1C4CL-0426-SM-7939N 30-39 years, male 23.7
GTEX-147GR-0426-SM-5S2OL 60-69 years, male 23.5
GTEX-1IOXB-0226-SM-CMKHY 50-59 years, male 23.3
GTEX-1JJE9-1226-SM-CNPOI 70-79 years, male 23.1
GTEX-13OVL-0326-SM-5IJCS 50-59 years, male 23.0
GTEX-W5X1-2626-SM-4LMI8 40-49 years, female 22.9
GTEX-1B933-0526-SM-7EPHM 50-59 years, female 22.8
GTEX-1313W-0226-SM-5LZV7 50-59 years, female 22.6
GTEX-14A5H-0526-SM-5TDCN 60-69 years, male 22.5
GTEX-T5JC-0526-SM-32PM7 20-29 years, male 22.4
GTEX-1LB8K-0326-SM-E9TJC 50-59 years, male 22.3
GTEX-1C6WA-0226-SM-7IGPO 60-69 years, male 22.2
GTEX-ZDTS-0226-SM-5HL7Q 60-69 years, male 22.1
GTEX-XOT4-0226-SM-4B66Z 60-69 years, female 22.1
GTEX-13OW8-1226-SM-5K7XD 60-69 years, male 21.5
GTEX-1MJK2-0526-SM-DTXE6 50-59 years, male 21.2
GTEX-1IL2V-0226-SM-CMKI2 70-79 years, male 21.1
GTEX-13PLJ-0126-SM-5L3HU 60-69 years, female 20.9
GTEX-11TTK-0226-SM-5N9EC 60-69 years, female 20.7
GTEX-QEG4-0326-SM-DIPE3 30-39 years, male 20.5
GTEX-1A8G7-0226-SM-731AS 60-69 years, male 20.4
GTEX-1F88F-2626-SM-9WG5K 60-69 years, female 20.3
GTEX-13VXU-0226-SM-5SI9R 50-59 years, male 20.1
GTEX-13OW6-0526-SM-5L3HY 50-59 years, male 19.4
GTEX-1GN73-0326-SM-9KNTW 60-69 years, male 18.9
GTEX-Z93T-0226-SM-5HL5Z 50-59 years, male 18.6
GTEX-ZPU1-2426-SM-4WWFM 40-49 years, male 18.3
GTEX-1PBJI-0426-SM-E8VNM 20-29 years, female 18.1
GTEX-18D9U-0726-SM-7LG5J 40-49 years, male 18.0
GTEX-S33H-1126-SM-2XCB6 30-39 years, male 18.0
GTEX-RVPV-1526-SM-EXOHF 60-69 years, male 18.0
GTEX-TSE9-0226-SM-3DB84 60-69 years, female 17.9
GTEX-1EU9M-0326-SM-7RHGF 60-69 years, male 17.8
GTEX-1CB4F-0526-SM-9KNW2 60-69 years, male 17.5
GTEX-148VI-1726-SM-5S2W9 60-69 years, female 17.4
GTEX-139T8-0226-SM-5L3EA 60-69 years, male 17.1
GTEX-ZAK1-0226-SM-5CVMX 50-59 years, female 17.0
GTEX-1MA7X-2126-SM-E6CIX 60-69 years, male 16.9
GTEX-13G51-2626-SM-5LZYW 60-69 years, male 16.8
GTEX-1F88E-0526-SM-7SB8J 60-69 years, female 16.7
GTEX-1A32A-0226-SM-718B2 50-59 years, female 16.5
GTEX-1J8JJ-0326-SM-CMKG6 60-69 years, female 15.6
GTEX-YECK-0226-SM-4W215 60-69 years, male 15.5
GTEX-11OF3-2426-SM-5Q5AS 60-69 years, male 15.4
GTEX-YJ89-0226-SM-4TT3Y 60-69 years, male 15.1
GTEX-T6MN-0226-SM-32PMD 50-59 years, male 15.0
GTEX-1BAJH-0426-SM-73KWY 70-79 years, male 14.9
GTEX-1JMQK-0126-SM-CM2S3 60-69 years, male 14.6
GTEX-U412-0526-SM-3DB9I 60-69 years, male 14.4
GTEX-XMK1-2226-SM-4B673 40-49 years, male 14.4
GTEX-UTHO-0426-SM-CE6QU 60-69 years, male 14.4
GTEX-145MG-0126-SM-5TDDA 50-59 years, male 14.3
GTEX-1EKGG-0126-SM-9YFLS 60-69 years, male 14.3
GTEX-13NYB-2626-SM-9YFMI 40-49 years, male 14.0
GTEX-13QJ3-0426-SM-5RQHP 50-59 years, male 13.9
GTEX-1H1CY-2626-SM-9MQKJ 60-69 years, female 13.8
GTEX-14ABY-0326-SM-5TDDK 50-59 years, male 13.4
GTEX-S7SE-0226-SM-2XCD4 50-59 years, male 13.1
GTEX-1I1GR-0226-SM-CMKHQ 60-69 years, male 13.1
GTEX-1LSNL-0526-SM-DIPFI 50-59 years, male 13.1
GTEX-14E6D-0226-SM-62LDW 50-59 years, male 12.7
GTEX-1HSKV-0326-SM-ADEJC 60-69 years, male 12.6
GTEX-ZUA1-0226-SM-5NQ9Q 40-49 years, male 12.5
GTEX-1GN1V-0226-SM-9WYTN 60-69 years, male 12.2
GTEX-139TT-0226-SM-5K7YH 60-69 years, male 11.8
GTEX-WVJS-0226-SM-4MVOU 50-59 years, male 11.5
GTEX-11NUK-0326-SM-5HL5K 50-59 years, male 10.4
GTEX-1H4P4-0226-SM-9YFKT 50-59 years, male 10.2
GTEX-1IGQW-0226-SM-COH43 60-69 years, male 10.0
GTEX-11DXW-0326-SM-5H11W 40-49 years, male 9.3
GTEX-SIU8-0226-SM-2XCDS 50-59 years, male 9.2
GTEX-11WQC-2426-SM-5EQKQ 60-69 years, male 9.1
GTEX-OIZG-0826-SM-E9TI4 50-59 years, male 9.1
GTEX-1KWVE-1326-SM-E6CJ1 30-39 years, male 9.0
GTEX-145MF-0526-SM-5LUA6 50-59 years, male 8.8
GTEX-Y111-0226-SM-4SOIW 50-59 years, male 8.8
GTEX-1S5ZU-0226-SM-E6CHW 20-29 years, female 8.6
GTEX-P44G-2326-SM-2XCCZ 30-39 years, male 8.1
GTEX-13112-2726-SM-5DUW5 50-59 years, male 7.9
GTEX-SJXC-0226-SM-2XCDU 60-69 years, male 7.8
GTEX-ZVTK-0526-SM-5GZWT 20-29 years, male 7.3
GTEX-ZE7O-0226-SM-5S2N1 50-59 years, female 7.1
GTEX-1EMGI-0226-SM-9MQL1 60-69 years, male 6.6
GTEX-1H3O1-0526-SM-9MQLS 60-69 years, male 6.6
GTEX-1RQEC-0526-SM-E6CHV 60-69 years, male 5.9
GTEX-1C6VR-2626-SM-7MGX2 60-69 years, male 5.6
GTEX-1HFI6-0326-SM-ADEI5 40-49 years, male 5.6
GTEX-1JJEA-0226-SM-COH2X 60-69 years, male 5.6
GTEX-XQ3S-1626-SM-4WAYN 20-29 years, male 4.9
GTEX-ZYFC-0326-SM-5NQ7H 50-59 years, male 3.9
GTEX-1B8L1-2626-SM-7SB77 60-69 years, male 3.8
GTEX-ZE9C-2826-SM-5S2MO 60-69 years, male 3.2
Show allShow less
Adipose - Visceral (Omentum)
Average nTPM: 160.7
Samples: 541

Max nTPM: 1126.7
Min nTPM: 0.5
Std nTPM: 159.0
Median nTPM: 119.1
GTEX-14C39-0826-SM-5TDDU 40-49 years, male 1126.7
GTEX-13PL7-1226-SM-5SIAR 60-69 years, female 1019.0
GTEX-117YX-0726-SM-5GIET 50-59 years, male 843.7
GTEX-1RLM8-1026-SM-EWROE 50-59 years, male 829.2
GTEX-132AR-0526-SM-5J2MJ 50-59 years, female 753.3
GTEX-14PJ4-0126-SM-62LEZ 60-69 years, male 714.5
GTEX-13N11-1826-SM-5IJDS 50-59 years, female 683.6
GTEX-1O9I2-1326-SM-E6CQD 50-59 years, male 679.8
GTEX-XYKS-1826-SM-4E3JV 60-69 years, female 669.7
GTEX-13X6H-1726-SM-5Q5EH 50-59 years, female 649.5
GTEX-1KXAM-0526-SM-DKPQN 60-69 years, male 589.1
GTEX-1399S-1426-SM-5PNYQ 30-39 years, female 582.0
GTEX-ZZPU-0326-SM-5N9BJ 50-59 years, female 575.9
GTEX-ZV7C-0826-SM-59HK8 50-59 years, male 573.6
GTEX-146FH-2026-SM-5SI9I 50-59 years, female 569.8
GTEX-ZT9X-0926-SM-5O9C4 40-49 years, male 558.3
GTEX-XBED-1326-SM-4AT4F 60-69 years, male 551.4
GTEX-13X6I-1526-SM-5SIAC 60-69 years, male 548.4
GTEX-1JKYN-0526-SM-CGQG3 30-39 years, male 537.0
GTEX-1IDJF-1726-SM-A9SLL 20-29 years, male 534.7
GTEX-1JN76-1026-SM-ARZNI 20-29 years, female 518.2
GTEX-1I1GU-0626-SM-CMKHR 40-49 years, male 518.1
GTEX-ZA64-0926-SM-5HL7H 20-29 years, male 517.8
GTEX-Y3I4-0726-SM-E9J3Y 50-59 years, male 511.1
GTEX-16MTA-1326-SM-6PALX 50-59 years, male 509.4
GTEX-1B97J-1126-SM-7SB79 50-59 years, female 508.5
GTEX-131XF-0726-SM-5GIE5 60-69 years, male 502.5
GTEX-1LGRB-0526-SM-COH3A 50-59 years, female 494.8
GTEX-1HB9E-0526-SM-ARZNM 50-59 years, male 490.9
GTEX-1HSMP-1126-SM-B2LXJ 70-79 years, male 488.5
GTEX-ZVT2-0226-SM-5GIE3 50-59 years, female 473.7
GTEX-18A66-1926-SM-7LTAG 60-69 years, male 462.5
GTEX-1LH75-1026-SM-EWROK 50-59 years, female 457.0
GTEX-1JMQK-1326-SM-CNPOR 60-69 years, male 453.8
GTEX-Y5V6-0626-SM-4WWFY 60-69 years, male 452.7
GTEX-ZPCL-1026-SM-5GCOX 60-69 years, female 437.7
GTEX-Y8LW-0926-SM-4VBQ8 50-59 years, female 432.0
GTEX-13FTW-0426-SM-5K7X2 40-49 years, male 427.6
GTEX-Y9LG-1226-SM-4VBQA 30-39 years, male 422.4
GTEX-18D9U-0426-SM-731AN 40-49 years, male 412.7
GTEX-WY7C-0926-SM-3NB34 50-59 years, male 410.6
GTEX-1QCLY-1226-SM-EVYC3 30-39 years, male 392.2
GTEX-ZYFG-1426-SM-5GICS 60-69 years, female 390.5
GTEX-11EQ9-1126-SM-5987I 30-39 years, male 385.9
GTEX-1CAMR-0326-SM-793AH 20-29 years, male 384.5
GTEX-132QS-0826-SM-5K7WV 60-69 years, male 384.1
GTEX-12WSK-1026-SM-5CVNR 40-49 years, female 383.5
GTEX-13YAN-1126-SM-5TDC7 60-69 years, male 382.7
GTEX-1QP28-0926-SM-EVR4D 50-59 years, female 379.8
GTEX-ZDTT-0526-SM-5HL4M 60-69 years, male 364.9
GTEX-1RMOY-0826-SM-E9TIF 50-59 years, male 358.4
GTEX-1S3DN-1626-SM-EVYCC 50-59 years, male 358.1
GTEX-14DAR-0426-SM-664MW 50-59 years, male 351.3
GTEX-131XG-0126-SM-5K7UJ 50-59 years, female 342.3
GTEX-1H1ZS-1326-SM-9WG74 70-79 years, male 342.0
GTEX-WFJO-1026-SM-3GIKL 30-39 years, male 340.8
GTEX-ZXES-0926-SM-5E43O 30-39 years, female 338.1
GTEX-1GL5R-0726-SM-9MQL5 50-59 years, male 333.5
GTEX-1GTWX-1526-SM-9MQLF 60-69 years, male 332.8
GTEX-Z9EW-0826-SM-5HL9T 40-49 years, male 332.4
GTEX-13FHO-2026-SM-5J1OA 60-69 years, male 331.6
GTEX-1128S-0926-SM-5GZZU 60-69 years, female 330.9
GTEX-17EVQ-0626-SM-7KFTB 70-79 years, male 327.7
GTEX-ZF29-0826-SM-5S2O2 60-69 years, female 324.0
GTEX-WFON-1226-SM-3TW8F 40-49 years, male 320.9
GTEX-144GN-0726-SM-5O98O 50-59 years, male 320.4
GTEX-11LCK-0326-SM-5A5M7 30-39 years, male 320.0
GTEX-15EU6-1726-SM-6M48H 50-59 years, male 316.5
GTEX-ZPIC-0726-SM-57WFM 40-49 years, female 315.3
GTEX-15DZA-0626-SM-6PANC 30-39 years, female 306.6
GTEX-WRHK-0826-SM-3MJFG 20-29 years, female 305.7
GTEX-1CAMS-0926-SM-7SB7F 40-49 years, female 305.3
GTEX-1LG7Z-0226-SM-E6CIG 30-39 years, male 305.1
GTEX-1H1E6-1126-SM-9JGGV 30-39 years, male 302.4
GTEX-1HKZK-1726-SM-ADEJ9 40-49 years, male 301.2
GTEX-1I1GT-1326-SM-ACKWB 60-69 years, female 298.1
GTEX-145LT-1526-SM-5O98P 40-49 years, male 297.5
GTEX-1J1OQ-1526-SM-CJI4E 40-49 years, female 297.1
GTEX-ZT9W-1026-SM-57WG5 50-59 years, male 296.8
GTEX-XGQ4-1026-SM-4AT4L 50-59 years, male 295.2
GTEX-1CB4I-0826-SM-7MGX1 50-59 years, male 294.8
GTEX-13FTX-0626-SM-5J2NS 20-29 years, female 294.7
GTEX-1IDJD-0926-SM-ACKWW 30-39 years, male 294.5
GTEX-11EM3-1126-SM-5A5KM 20-29 years, female 293.5
GTEX-1339X-0726-SM-5L3FF 40-49 years, male 284.6
GTEX-13RTK-0726-SM-5Q5EN 20-29 years, male 283.4
GTEX-14PN4-1426-SM-6LLJ4 50-59 years, male 282.8
GTEX-13W3W-1126-SM-5L3DO 60-69 years, female 280.4
GTEX-1GZ4H-0926-SM-9WG6Y 50-59 years, female 279.0
GTEX-145MI-0826-SM-5SI95 60-69 years, female 278.4
GTEX-ZVZP-1126-SM-5GICU 50-59 years, male 276.5
GTEX-14BMU-0626-SM-73KZ6 20-29 years, female 273.5
GTEX-1QP29-1626-SM-EXUSZ 50-59 years, male 273.1
GTEX-14E6E-0226-SM-7DUEF 30-39 years, male 271.9
GTEX-WHWD-0826-SM-3LK6R 50-59 years, male 270.0
GTEX-133LE-0926-SM-5P9J1 20-29 years, female 269.5
GTEX-14PJ3-0726-SM-69LQE 50-59 years, male 269.1
GTEX-WOFM-0726-SM-3MJF8 20-29 years, male 268.7
GTEX-1I1GS-0926-SM-A9SL5 60-69 years, male 267.9
GTEX-13D11-0526-SM-5LZYM 50-59 years, female 263.7
GTEX-YFCO-1126-SM-5S2N9 40-49 years, male 261.9
GTEX-11P7K-0826-SM-5BC5F 30-39 years, male 260.0
GTEX-11DXX-2026-SM-5EGJL 60-69 years, female 259.4
GTEX-1A3MV-0626-SM-731CH 30-39 years, male 258.9
GTEX-YEC4-0926-SM-5PNXY 40-49 years, male 258.6
GTEX-ZTX8-0726-SM-59HL9 20-29 years, male 255.2
GTEX-16AAH-1526-SM-7LT9W 50-59 years, male 255.0
GTEX-XUZC-1126-SM-4BOPZ 30-39 years, female 254.7
GTEX-YEC3-0926-SM-5Q5AC 50-59 years, male 252.6
GTEX-14PHY-1026-SM-62LEV 60-69 years, female 251.9
GTEX-ZLWG-0726-SM-5S2N4 50-59 years, female 251.6
GTEX-1HFI7-0726-SM-ACKVN 50-59 years, female 250.5
GTEX-111YS-1326-SM-5EGGK 60-69 years, male 250.1
GTEX-1GN1W-1226-SM-9MQLW 50-59 years, female 249.4
GTEX-13O21-3126-SM-5J1OI 50-59 years, male 247.0
GTEX-1AX8Z-1626-SM-73KWD 60-69 years, male 245.8
GTEX-1IDJC-0226-SM-CMKG2 50-59 years, male 245.8
GTEX-WXYG-0926-SM-3NB2O 50-59 years, female 245.5
GTEX-1QP9N-0426-SM-DTXFT 30-39 years, male 245.4
GTEX-1S831-1926-SM-EV79P 20-29 years, male 242.8
GTEX-1LKK1-1526-SM-EVYCO 50-59 years, female 241.6
GTEX-WYJK-1426-SM-3NM8V 50-59 years, male 240.3
GTEX-X3Y1-0926-SM-3P5YT 40-49 years, male 239.8
GTEX-12696-1826-SM-5EGJS 60-69 years, male 239.0
GTEX-1AX9K-0926-SM-7939G 50-59 years, male 238.8
GTEX-18D9A-0726-SM-7LTA7 30-39 years, female 237.7
GTEX-1JMPY-0326-SM-CM2S2 30-39 years, male 237.5
GTEX-XPVG-1626-SM-EYYVK 50-59 years, male 237.1
GTEX-ZDYS-2226-SM-5S2MI 50-59 years, male 236.5
GTEX-WH7G-1126-SM-3NMBK 40-49 years, male 235.8
GTEX-1IDJU-0926-SM-ARL88 60-69 years, female 232.3
GTEX-139T6-0526-SM-5IJC9 50-59 years, male 231.5
GTEX-1HCUA-0926-SM-ADEIX 50-59 years, female 230.8
GTEX-ZTPG-2326-SM-57WFL 20-29 years, female 229.8
GTEX-145ME-0726-SM-5O9A3 40-49 years, female 227.2
GTEX-13PVR-0526-SM-5S2OB 60-69 years, female 227.0
GTEX-1AMEY-0526-SM-72D62 30-39 years, female 227.0
GTEX-14C5O-0926-SM-793DM 60-69 years, male 225.8
GTEX-Y114-1326-SM-4TT9A 50-59 years, female 225.5
GTEX-1211K-1226-SM-5EQ4N 60-69 years, female 225.3
GTEX-ZLV1-0926-SM-5S2MR 60-69 years, female 225.3
GTEX-UPK5-1826-SM-3GAEB 40-49 years, male 224.9
GTEX-1F5PL-1326-SM-7SB83 40-49 years, female 224.4
GTEX-1IDJI-0926-SM-ACKWZ 50-59 years, female 224.4
GTEX-1ICLY-1426-SM-CJI48 50-59 years, male 223.8
GTEX-14PJN-0626-SM-6EU13 30-39 years, male 222.9
GTEX-ZAB4-1426-SM-5CVN6 40-49 years, male 221.4
GTEX-1LSVX-1326-SM-DIPET 60-69 years, male 221.4
GTEX-1J1R8-0526-SM-ACKWO 40-49 years, male 220.5
GTEX-14JG6-0526-SM-6LLIH 30-39 years, female 220.0
GTEX-183FY-1226-SM-7DHLK 20-29 years, male 219.2
GTEX-1H1DG-2026-SM-9QEIV 70-79 years, male 218.5
GTEX-1QAET-1226-SM-DTX9I 50-59 years, male 217.8
GTEX-1F75I-1026-SM-7SB8B 40-49 years, male 217.0
GTEX-13OVG-1326-SM-5K7Y3 60-69 years, male 216.9
GTEX-1S82P-0926-SM-EWRNP 60-69 years, female 216.1
GTEX-1122O-0926-SM-9YFLC 60-69 years, female 215.1
GTEX-146FR-0226-SM-5Q5F6 60-69 years, female 213.7
GTEX-15CHC-0826-SM-686YW 60-69 years, female 213.7
GTEX-17GQL-0826-SM-731AM 60-69 years, male 213.6
GTEX-1N2DV-0626-SM-E9U5H 40-49 years, male 213.5
GTEX-17F96-0726-SM-793CB 70-79 years, male 211.5
GTEX-14E1K-0426-SM-5S2PF 50-59 years, male 211.2
GTEX-1L5NE-1726-SM-DHXKX 50-59 years, male 210.7
GTEX-1HSMQ-1026-SM-ADEHU 50-59 years, male 209.5
GTEX-1MUQO-0826-SM-EVYCZ 60-69 years, male 207.7
GTEX-12C56-0826-SM-5EGJ5 20-29 years, male 207.4
GTEX-12WSL-1126-SM-5CVNK 50-59 years, male 206.7
GTEX-1C6VQ-1526-SM-73KU9 50-59 years, male 204.9
GTEX-1IKOE-1726-SM-CNNQ6 30-39 years, female 204.8
GTEX-1HSGN-1926-SM-CMKGS 40-49 years, female 203.0
GTEX-139D8-1626-SM-5IJFZ 30-39 years, female 201.9
GTEX-14B4R-0526-SM-5QGQT 30-39 years, male 201.4
GTEX-16XZZ-1626-SM-7KUEC 60-69 years, male 200.6
GTEX-11P81-0726-SM-5PNYH 30-39 years, female 200.3
GTEX-1I6K7-1826-SM-CGQFO 40-49 years, male 200.1
GTEX-ZZ64-0626-SM-5GZWR 20-29 years, male 199.9
GTEX-1S5ZA-1026-SM-EWRO2 20-29 years, male 198.9
GTEX-14PJ5-0426-SM-5ZZW2 60-69 years, female 198.4
GTEX-ZV6S-1626-SM-5NQ81 40-49 years, female 198.3
GTEX-11I78-0226-SM-5HL6R 50-59 years, female 197.8
GTEX-1H2FU-1426-SM-9WPO6 60-69 years, female 195.8
GTEX-ZGAY-1326-SM-5S2NS 40-49 years, female 194.4
GTEX-144GM-0626-SM-79OKY 20-29 years, male 193.3
GTEX-1IKK5-0826-SM-ACKWN 60-69 years, male 193.0
GTEX-14PN3-0326-SM-6EU1X 60-69 years, female 191.5
GTEX-14PHX-1626-SM-69LQB 50-59 years, male 191.3
GTEX-1AYD5-0126-SM-7DUG5 50-59 years, male 186.6
GTEX-1MA7W-0526-SM-E6CIN 20-29 years, female 185.0
GTEX-1R7EV-1026-SM-DTX81 40-49 years, male 183.8
GTEX-1C475-0326-SM-7SB8O 40-49 years, female 183.3
GTEX-1ICG6-1726-SM-ARU7K 70-79 years, female 181.9
GTEX-1PPH8-1026-SM-DPRXN 20-29 years, male 181.2
GTEX-13OVJ-0926-SM-5K7U1 50-59 years, female 180.0
GTEX-1LSNM-0626-SM-DIPG7 50-59 years, male 179.6
GTEX-Y5LM-0826-SM-4VDSW 40-49 years, female 179.5
GTEX-139YR-0326-SM-5J1MC 50-59 years, male 179.2
GTEX-1OFPY-0826-SM-DTX8P 60-69 years, male 177.7
GTEX-1I4MK-0726-SM-ACKWC 50-59 years, female 171.8
GTEX-17F98-0326-SM-7DHLH 40-49 years, female 171.4
GTEX-1LGOU-0826-SM-DHXKL 20-29 years, female 170.3
GTEX-1GPI7-0826-SM-9JGG7 20-29 years, male 166.0
GTEX-1LVAM-1026-SM-DIPFK 50-59 years, female 165.5
GTEX-12BJ1-0826-SM-5EQ5P 60-69 years, male 165.2
GTEX-XLM4-1026-SM-4AT51 60-69 years, male 164.4
GTEX-13N2G-1926-SM-5J1O3 60-69 years, male 163.5
GTEX-1KANC-0526-SM-D4P3T 50-59 years, female 163.5
GTEX-14PHW-1626-SM-6EU2H 60-69 years, female 162.5
GTEX-1QPFJ-2126-SM-EXOJV 30-39 years, female 162.5
GTEX-14ICK-1726-SM-6AJA5 40-49 years, male 158.8
GTEX-14E6C-1226-SM-5ZZUN 40-49 years, male 158.2
GTEX-1J8Q2-2226-SM-CM2TZ 60-69 years, male 157.7
GTEX-14PK6-0926-SM-62LF4 70-79 years, female 156.7
GTEX-111CU-1026-SM-5EGIL 50-59 years, male 156.3
GTEX-13FH7-1926-SM-5J2OL 50-59 years, female 155.6
GTEX-11XUK-1726-SM-5GU61 40-49 years, female 154.6
GTEX-ZVP2-0226-SM-57WBD 50-59 years, male 154.0
GTEX-1HSEH-1326-SM-ADEI1 60-69 years, male 154.0
GTEX-1A32A-0926-SM-718AB 50-59 years, female 153.7
GTEX-132Q8-1726-SM-5EGK8 60-69 years, male 151.9
GTEX-12ZZW-2326-SM-5DUW2 50-59 years, male 151.6
GTEX-1AX9J-2226-SM-731CW 60-69 years, male 151.1
GTEX-1MJK3-0626-SM-E6CJB 20-29 years, male 150.8
GTEX-13113-1126-SM-5LZU9 60-69 years, female 150.4
GTEX-1PFEY-0726-SM-E76PO 30-39 years, male 149.7
GTEX-12WSG-0426-SM-5FQSE 50-59 years, female 149.5
GTEX-1JJ6O-2826-SM-CNNP7 60-69 years, male 147.9
GTEX-13O3P-0926-SM-5IFFI 50-59 years, male 147.5
GTEX-13O61-1926-SM-5KM1R 60-69 years, male 146.5
GTEX-1B996-1226-SM-73KWZ 60-69 years, male 146.3
GTEX-12KS4-1526-SM-5EQ6E 30-39 years, male 146.1
GTEX-XV7Q-1726-SM-4BRUU 40-49 years, female 146.0
GTEX-1MCC2-0626-SM-DKPQI 30-39 years, female 143.0
GTEX-12WSM-0626-SM-5GCOK 60-69 years, male 141.4
GTEX-18QFQ-1326-SM-731CF 30-39 years, male 140.5
GTEX-1GF9X-0926-SM-7PC2X 40-49 years, female 139.7
GTEX-XQ8I-1426-SM-4BOPW 50-59 years, male 139.2
GTEX-17KNJ-0426-SM-718AK 50-59 years, male 138.8
GTEX-17F97-1226-SM-79OJT 50-59 years, male 138.2
GTEX-13U4I-1726-SM-5J1MF 40-49 years, female 138.1
GTEX-15UKP-1426-SM-7KUDX 20-29 years, male 137.8
GTEX-17HHE-1526-SM-793AS 50-59 years, male 137.2
GTEX-17MFQ-1126-SM-7LT9O 20-29 years, male 135.2
GTEX-XAJ8-0226-SM-4GIB2 40-49 years, male 134.6
GTEX-ZG7Y-1626-SM-5S2NO 50-59 years, male 134.1
GTEX-WEY5-1326-SM-3GILS 40-49 years, female 133.9
GTEX-169BO-0426-SM-7EPI1 50-59 years, male 133.8
GTEX-1OKEX-0926-SM-E8VNJ 60-69 years, male 133.5
GTEX-XXEK-1426-SM-4BRW1 50-59 years, male 133.1
GTEX-1KD5A-1326-SM-CYPTB 50-59 years, male 132.3
GTEX-15D1Q-1326-SM-69LOA 40-49 years, male 132.1
GTEX-ZTSS-1026-SM-5985N 40-49 years, male 130.6
GTEX-1KAFJ-0826-SM-CYPTF 50-59 years, male 130.6
GTEX-1RAZA-0926-SM-E6CQ8 20-29 years, male 130.0
GTEX-15EOM-2326-SM-7KUMV 20-29 years, female 129.8
GTEX-131XE-2026-SM-5LZW1 50-59 years, male 129.7
GTEX-14C38-1026-SM-73KY7 50-59 years, male 129.6
GTEX-18D9B-1726-SM-7LTAP 60-69 years, male 129.2
GTEX-1HCU7-2026-SM-A9G2B 50-59 years, male 125.1
GTEX-12WSF-1526-SM-6PAN6 70-79 years, male 124.8
GTEX-13QBU-1326-SM-5LU4K 40-49 years, female 124.1
GTEX-W5X1-1426-SM-3GIKH 40-49 years, female 124.0
GTEX-13OVK-0326-SM-7KUEJ 40-49 years, male 123.6
GTEX-1K2DA-1126-SM-CGQGG 50-59 years, male 123.1
GTEX-18A67-1326-SM-7LT8V 50-59 years, male 121.6
GTEX-13OVH-1126-SM-5K7YP 70-79 years, male 121.5
GTEX-1QP67-1126-SM-EAZ4C 40-49 years, female 120.1
GTEX-1HBPN-1526-SM-9WYSB 50-59 years, male 119.6
GTEX-1KANA-1426-SM-CY8IF 20-29 years, male 119.5
GTEX-1EU9M-1126-SM-793DE 60-69 years, male 119.3
GTEX-ZQG8-1026-SM-51MR9 60-69 years, female 119.1
GTEX-VJYA-1626-SM-EXOHL 60-69 years, male 116.9
GTEX-15RIE-0126-SM-7KUF8 60-69 years, male 116.5
GTEX-1B97I-0526-SM-73KXE 40-49 years, male 116.5
GTEX-14BIL-2426-SM-5QGQR 50-59 years, male 114.9
GTEX-16BQI-1126-SM-7KULF 30-39 years, female 114.6
GTEX-1399U-2026-SM-9WPNN 50-59 years, female 114.3
GTEX-1B8KZ-1026-SM-73KYN 50-59 years, male 113.7
GTEX-U8XE-1926-SM-3DB98 30-39 years, male 112.8
GTEX-1I6K6-1526-SM-CGQFC 30-39 years, male 112.6
GTEX-1F48J-1826-SM-7SB8T 50-59 years, female 112.3
GTEX-15SKB-1626-SM-6PAL6 60-69 years, male 111.5
GTEX-1B8KE-0826-SM-72D6S 50-59 years, male 111.5
GTEX-13S86-0926-SM-5SI6I 40-49 years, male 111.4
GTEX-1HSMO-1426-SM-CNNQN 60-69 years, male 109.6
GTEX-1S5VW-2426-SM-EAZ52 60-69 years, male 108.9
GTEX-ZF28-1426-SM-5S2OG 60-69 years, male 108.1
GTEX-1NV5F-2526-SM-EXUSK 60-69 years, female 108.1
GTEX-ZAB5-1126-SM-5Q5AD 50-59 years, male 107.9
GTEX-1GF9U-1226-SM-ARL9I 40-49 years, female 107.0
GTEX-WHPG-0626-SM-3NMBD 50-59 years, male 106.8
GTEX-1QW4Y-0826-SM-DTXE1 30-39 years, male 106.8
GTEX-1GMR2-0226-SM-9JGHO 50-59 years, male 105.7
GTEX-1CB4E-0826-SM-793CS 60-69 years, male 105.5
GTEX-13CF3-1126-SM-5LZXB 60-69 years, female 105.2
GTEX-16NPX-1026-SM-6PAM7 50-59 years, male 105.1
GTEX-1HCU9-0626-SM-ACKW6 20-29 years, male 105.0
GTEX-11VI4-1226-SM-5EQMP 40-49 years, female 104.3
GTEX-13111-0626-SM-5LZVR 50-59 years, male 103.5
GTEX-ZE9C-1326-SM-5S2OW 60-69 years, male 103.3
GTEX-1HC8U-0926-SM-A9G3L 40-49 years, female 100.5
GTEX-1RNTQ-0826-SM-E9TK8 20-29 years, female 100.2
GTEX-18A7B-1226-SM-718AU 70-79 years, male 99.7
GTEX-1K2DU-0726-SM-DIPF7 20-29 years, male 99.6
GTEX-1OJC3-1326-SM-E9J3D 20-29 years, male 99.5
GTEX-11P82-0326-SM-5HL51 20-29 years, male 99.4
GTEX-11WQK-1526-SM-5EGKN 50-59 years, male 99.2
GTEX-15G19-1126-SM-7KUEL 60-69 years, male 98.2
GTEX-VUSG-1426-SM-3GIJN 50-59 years, male 98.2
GTEX-ZYW4-2226-SM-5GZYG 60-69 years, male 97.2
GTEX-VJWN-2326-SM-EVYAP 50-59 years, female 96.8
GTEX-1H23P-1726-SM-A9SMN 60-69 years, male 95.6
GTEX-1AMFI-1026-SM-73KYM 50-59 years, female 94.8
GTEX-ZP4G-1326-SM-5EGIW 20-29 years, female 94.6
GTEX-ZQUD-0526-SM-57WG4 30-39 years, male 94.2
GTEX-1H11D-1126-SM-9YFM5 40-49 years, male 92.6
GTEX-1JKYR-1226-SM-CM2S7 20-29 years, male 92.2
GTEX-17F9E-1326-SM-7DHL4 50-59 years, male 91.7
GTEX-1GN1U-0726-SM-9MQKL 50-59 years, female 91.7
GTEX-1QP66-0626-SM-E76PD 50-59 years, male 90.1
GTEX-1AYCT-1126-SM-79OO8 50-59 years, male 89.9
GTEX-1PIGE-1226-SM-EVR3Q 20-29 years, male 89.6
GTEX-13X6K-0726-SM-5LU2Z 60-69 years, female 89.5
GTEX-ZEX8-1226-SM-5S2OK 50-59 years, male 88.1
GTEX-ZVE2-1826-SM-51MRZ 50-59 years, male 87.5
GTEX-1GF9W-1026-SM-7SB8X 60-69 years, male 87.1
GTEX-14PJM-1226-SM-686Z7 50-59 years, female 85.7
GTEX-17EVP-1426-SM-79OMN 40-49 years, male 85.7
GTEX-12584-2126-SM-5FQUM 40-49 years, male 83.8
GTEX-1RAZR-1026-SM-E8VOJ 40-49 years, male 82.2
GTEX-13NZ9-2026-SM-5KM1U 50-59 years, male 82.1
GTEX-17HGU-1726-SM-79OKM 50-59 years, male 81.7
GTEX-1A3MX-0826-SM-72D64 60-69 years, male 81.3
GTEX-13VXT-0926-SM-5LU5K 20-29 years, female 80.7
GTEX-Y5V5-0226-SM-5S2N8 60-69 years, female 78.3
GTEX-1GN73-0626-SM-7PC3I 60-69 years, male 78.1
GTEX-XBEW-1726-SM-4RGMA 40-49 years, male 77.9
GTEX-X8HC-2326-SM-4QAS4 50-59 years, female 77.8
GTEX-16NGA-0526-SM-731AJ 40-49 years, female 77.1
GTEX-11GSO-0226-SM-5A5LV 60-69 years, male 76.1
GTEX-WI4N-1526-SM-EZ6LG 40-49 years, female 73.4
GTEX-1LVAN-0926-SM-CNNQ2 50-59 years, female 73.3
GTEX-1EH9U-1326-SM-79OM3 60-69 years, male 72.4
GTEX-1RAZQ-1526-SM-E6CJI 30-39 years, male 72.4
GTEX-1117F-1326-SM-5EGHH 60-69 years, female 72.0
GTEX-14PJO-1626-SM-69LPQ 60-69 years, male 71.9
GTEX-1H1DE-0826-SM-ARU8V 20-29 years, male 70.7
GTEX-14PKU-0226-SM-6EU16 40-49 years, female 70.3
GTEX-1192X-1526-SM-5H11I 50-59 years, male 69.8
GTEX-ZF2S-1526-SM-5S2OO 50-59 years, female 69.7
GTEX-11DXZ-1426-SM-5H12A 50-59 years, male 68.3
GTEX-1HCU8-1126-SM-CM2SA 60-69 years, female 67.2
GTEX-13PVQ-2226-SM-5L3G9 50-59 years, male 67.0
GTEX-1B932-1726-SM-793A5 40-49 years, female 66.6
GTEX-ZPU1-1226-SM-5HL71 40-49 years, male 66.4
GTEX-1RB15-1126-SM-E8VMX 60-69 years, male 65.9
GTEX-1QMI2-1626-SM-EYYXK 60-69 years, male 65.8
GTEX-1GF9V-1126-SM-9MQM7 60-69 years, male 65.6
GTEX-145LV-1026-SM-5O9AE 50-59 years, male 65.5
GTEX-ZAJG-1626-SM-5HL7I 50-59 years, female 65.1
GTEX-17MF6-1326-SM-79ONE 40-49 years, male 63.9
GTEX-11TT1-1926-SM-5PNYN 20-29 years, male 62.6
GTEX-1H3VE-1926-SM-9YFL4 40-49 years, male 62.5
GTEX-1HCU6-1626-SM-CMKGW 60-69 years, female 62.0
GTEX-14753-2526-SM-5LU97 60-69 years, male 61.4
GTEX-1QP6S-1626-SM-EVYC5 40-49 years, male 60.9
GTEX-1LBAC-1026-SM-CXKYA 20-29 years, male 60.2
GTEX-XBEC-1826-SM-4QASN 50-59 years, male 59.2
GTEX-1GMRU-0726-SM-7PBZH 50-59 years, male 58.6
GTEX-16NPV-0626-SM-7IGOR 50-59 years, female 57.8
GTEX-ZF3C-1026-SM-5S2OC 50-59 years, female 57.4
GTEX-14PJ2-1426-SM-62LFF 50-59 years, male 56.7
GTEX-1H1DF-1426-SM-9YFMC 40-49 years, female 56.0
GTEX-1C2JI-0826-SM-7EPHB 50-59 years, male 55.4
GTEX-131XH-0826-SM-5GCN8 50-59 years, male 55.1
GTEX-1A8FM-2126-SM-7PC27 50-59 years, female 55.0
GTEX-178AV-0626-SM-6PAM1 40-49 years, male 54.4
GTEX-1JMQI-1026-SM-COH2U 50-59 years, male 52.6
GTEX-1HGF4-0226-SM-CNNQL 60-69 years, male 51.8
GTEX-1LG7Y-1126-SM-CYPTE 50-59 years, male 51.8
GTEX-13N1W-1226-SM-5K7UM 70-79 years, male 50.6
GTEX-1B8SG-1426-SM-7EWEM 50-59 years, male 50.5
GTEX-1LVAO-2126-SM-DIPGA 60-69 years, male 50.0
GTEX-139TU-1426-SM-5LZY9 60-69 years, male 49.3
GTEX-UTHO-1826-SM-3GAFE 60-69 years, male 48.9
GTEX-1CAMQ-1226-SM-7SB7E 40-49 years, male 48.6
GTEX-13S7M-0826-SM-5QGQX 60-69 years, female 48.3
GTEX-Y8E4-1226-SM-5IFIM 40-49 years, male 47.4
GTEX-1GZ2Q-1226-SM-9MQM8 40-49 years, male 46.7
GTEX-1QEPI-2226-SM-E8VN6 60-69 years, female 46.5
GTEX-17HII-0826-SM-7DUFH 50-59 years, male 46.4
GTEX-1I1GP-1426-SM-ACKVZ 50-59 years, male 45.1
GTEX-132NY-1126-SM-5PNVE 60-69 years, male 45.0
GTEX-1K9T9-1626-SM-DIPFS 50-59 years, female 44.8
GTEX-12WSA-1626-SM-5EGJV 60-69 years, male 44.5
GTEX-WWTW-1326-SM-4MVNT 50-59 years, male 44.5
GTEX-12WSC-1726-SM-5GCN3 50-59 years, male 43.5
GTEX-18A6Q-1026-SM-7LT9S 60-69 years, male 42.7
GTEX-WYVS-0626-SM-4SOJY 40-49 years, female 42.2
GTEX-14E6D-1326-SM-62LES 50-59 years, male 42.1
GTEX-1R9PO-0926-SM-E9U4Q 60-69 years, female 41.9
GTEX-ZC5H-1626-SM-5HL7L 40-49 years, female 41.6
GTEX-1ICLZ-1626-SM-CE6SS 60-69 years, male 41.2
GTEX-1AX9I-1726-SM-731BX 60-69 years, male 40.8
GTEX-1N2EF-0926-SM-E8VNW 60-69 years, male 40.7
GTEX-WYBS-1026-SM-4ONCY 60-69 years, female 40.0
GTEX-13OVL-0826-SM-5L3GV 50-59 years, male 39.3
GTEX-1GMR3-0826-SM-9WYT4 40-49 years, male 38.7
GTEX-1212Z-0526-SM-5FQSQ 60-69 years, male 37.9
GTEX-117YW-0826-SM-5H11O 50-59 years, male 37.6
GTEX-15DYW-1526-SM-7KUEP 60-69 years, female 37.6
GTEX-13X6J-1926-SM-5TDCU 50-59 years, male 36.7
GTEX-1C6VS-1826-SM-73KXN 60-69 years, male 34.8
GTEX-1C6VR-1126-SM-7EPHD 60-69 years, male 34.7
GTEX-1EN7A-1626-SM-79OLV 40-49 years, male 34.1
GTEX-1445S-2426-SM-79ON2 60-69 years, male 33.8
GTEX-1R9K4-1426-SM-DPRY4 60-69 years, male 33.2
GTEX-17JCI-1626-SM-7EPGZ 60-69 years, female 33.0
GTEX-WVLH-1626-SM-EXURN 50-59 years, male 32.5
GTEX-13PDP-1226-SM-5K7TW 60-69 years, male 32.3
GTEX-1E1VI-1826-SM-9WG5J 50-59 years, male 31.9
GTEX-11PRG-1526-SM-5HL6Z 50-59 years, male 31.6
GTEX-11GS4-1026-SM-5N9DE 60-69 years, male 30.6
GTEX-14AS3-0426-SM-5QGQK 40-49 years, female 30.4
GTEX-1J8EW-1526-SM-CMKFZ 60-69 years, female 30.1
GTEX-13NYS-0726-SM-5J1OR 60-69 years, male 29.3
GTEX-1CAV2-0226-SM-7IGPQ 40-49 years, female 29.1
GTEX-13OW8-0326-SM-5L3FB 60-69 years, male 28.5
GTEX-YECK-1426-SM-5IFHE 60-69 years, male 28.1
GTEX-1N2EE-1526-SM-DTXE9 60-69 years, male 28.1
GTEX-1A8G7-1226-SM-73KYP 60-69 years, male 27.6
GTEX-1JMLX-1026-SM-D3L8U 50-59 years, male 27.5
GTEX-14ICL-0926-SM-5S2TU 30-39 years, male 27.3
GTEX-15SHU-2326-SM-7KUMC 40-49 years, female 27.0
GTEX-1F75B-1226-SM-7MXTW 50-59 years, male 26.7
GTEX-1H4P4-0326-SM-9WYTD 50-59 years, male 26.7
GTEX-1HR9M-1426-SM-A9SMB 60-69 years, male 26.4
GTEX-1CB4G-2126-SM-7IGQ8 60-69 years, male 26.0
GTEX-YJ8A-1926-SM-EZ6LQ 20-29 years, male 25.8
GTEX-1CB4F-1126-SM-79OLG 60-69 years, male 25.0
GTEX-13W46-1226-SM-5SIAS 50-59 years, male 24.5
GTEX-1MA7X-1026-SM-DKPQ8 60-69 years, male 24.3
GTEX-ZDTS-1826-SM-5S2N6 60-69 years, male 24.0
GTEX-11ZTS-1326-SM-5EQMA 60-69 years, female 23.7
GTEX-12WSI-1526-SM-5GCNM 50-59 years, male 23.3
GTEX-XMK1-0926-SM-4B66X 40-49 years, male 23.3
GTEX-ZXG5-1626-SM-59HJK 60-69 years, male 23.2
GTEX-17F9Y-0726-SM-7LT9G 70-79 years, female 23.0
GTEX-ZYVF-1026-SM-5E44V 50-59 years, female 22.7
GTEX-1399T-1326-SM-5PNVH 60-69 years, male 22.6
GTEX-1PBJI-1326-SM-E9J2V 20-29 years, female 22.6
GTEX-17HHY-1026-SM-7LG5E 50-59 years, male 22.0
GTEX-1I1CD-1026-SM-COH3G 60-69 years, female 21.9
GTEX-1F6I4-2126-SM-7PC2J 60-69 years, male 21.8
GTEX-11DYG-2026-SM-5EGGX 60-69 years, male 21.6
GTEX-1B8SF-1726-SM-73KZ5 60-69 years, male 21.1
GTEX-1EKGG-1426-SM-7PBY2 60-69 years, male 21.1
GTEX-1B8L1-0126-SM-9KNVS 60-69 years, male 20.7
GTEX-11ZUS-1826-SM-5FQTR 30-39 years, male 20.6
GTEX-14ABY-1926-SM-62LDJ 50-59 years, male 20.6
GTEX-18465-1826-SM-731BB 50-59 years, male 20.6
GTEX-1I19N-1026-SM-A96TT 70-79 years, male 20.6
GTEX-1RQEC-2526-SM-EVYD2 60-69 years, male 19.5
GTEX-13NZB-0826-SM-5K7X5 30-39 years, male 19.0
GTEX-1IY9M-1226-SM-ACKX1 60-69 years, male 18.9
GTEX-1JN6P-1626-SM-CYPSV 60-69 years, male 18.7
GTEX-1N2DW-0726-SM-DTX97 50-59 years, male 18.6
GTEX-13G51-0526-SM-5IJCQ 60-69 years, male 18.2
GTEX-11OF3-0826-SM-5BC51 60-69 years, male 18.1
GTEX-1BAJH-2126-SM-7EWFB 70-79 years, male 18.0
GTEX-11DXY-0326-SM-5H12F 60-69 years, male 17.3
GTEX-14JIY-1426-SM-6EU29 60-69 years, male 17.2
GTEX-ZUA1-2126-SM-57YRB 40-49 years, male 16.9
GTEX-18A7A-0926-SM-7LT8H 50-59 years, female 16.8
GTEX-Y111-0926-SM-4SOIU 50-59 years, male 16.0
GTEX-WK11-2426-SM-3NMAA 50-59 years, male 15.9
GTEX-XOT4-0826-SM-4B66Y 60-69 years, female 15.8
GTEX-1EMGI-0726-SM-7PBZ4 60-69 years, male 15.8
GTEX-1IE54-1426-SM-CL53C 40-49 years, female 15.8
GTEX-1IDJH-1626-SM-A9SLP 70-79 years, male 15.4
GTEX-14BIN-1226-SM-5S2OM 50-59 years, female 15.3
GTEX-1JJE9-1526-SM-CM2RR 70-79 years, male 15.2
GTEX-1KD4Q-1426-SM-D4P3K 40-49 years, male 15.0
GTEX-15ER7-1026-SM-7KUMD 20-29 years, female 14.7
GTEX-1I1GQ-1026-SM-CNNQS 50-59 years, male 14.7
GTEX-13PL6-0926-SM-5KLYY 40-49 years, female 14.6
GTEX-1IL2U-2726-SM-C1YSG 60-69 years, male 14.6
GTEX-145LU-1226-SM-5LU9B 50-59 years, male 13.1
GTEX-1HFI6-1726-SM-CGQFH 40-49 years, male 13.0
GTEX-13OW6-2426-SM-5K7WO 50-59 years, male 12.5
GTEX-1EWIQ-2526-SM-7EPIJ 70-79 years, female 12.5
GTEX-131YS-1726-SM-5HL7G 60-69 years, female 12.4
GTEX-14BMV-1626-SM-73KVQ 50-59 years, male 12.2
GTEX-11NV4-1426-SM-5BC4W 60-69 years, male 11.6
GTEX-13FXS-1326-SM-62LFR 50-59 years, male 11.6
GTEX-14DAQ-2526-SM-5RQIO 60-69 years, female 11.6
GTEX-14E7W-2326-SM-69LQC 70-79 years, male 11.5
GTEX-1HBPI-1826-SM-ADEHE 50-59 years, male 11.1
GTEX-1B933-1326-SM-7939U 50-59 years, female 10.7
GTEX-1LSNL-1426-SM-E6CJ9 50-59 years, male 10.6
GTEX-16GPK-1326-SM-7KUE4 60-69 years, male 10.4
GTEX-1MCQQ-1426-SM-E6CJA 60-69 years, male 10.3
GTEX-1HBPH-2226-SM-9WYSO 40-49 years, female 9.8
GTEX-15CHQ-1126-SM-686YY 60-69 years, male 9.7
GTEX-1F52S-1326-SM-7SB6Q 60-69 years, female 9.5
GTEX-1GZ4I-2326-SM-9YFMO 50-59 years, male 9.2
GTEX-ZDXO-2326-SM-5LU9W 60-69 years, male 8.9
GTEX-11GSP-1026-SM-9WYSH 60-69 years, female 8.7
GTEX-1P4AB-1226-SM-DTXET 50-59 years, male 8.7
GTEX-13IVO-2426-SM-5K7V9 70-79 years, male 8.4
GTEX-1I1GR-1726-SM-COH39 60-69 years, male 8.2
GTEX-1HSKV-1926-SM-CNPPN 60-69 years, male 7.7
GTEX-ZYT6-2126-SM-5GZZ4 30-39 years, male 7.6
GTEX-YJ89-1926-SM-5IFJ6 60-69 years, male 7.5
GTEX-14BIM-1626-SM-7EWD2 60-69 years, female 7.3
GTEX-13O3Q-1126-SM-5K7YK 50-59 years, male 7.2
GTEX-1JMQJ-1926-SM-D4P3A 50-59 years, male 7.1
GTEX-13112-1126-SM-5GCMY 50-59 years, male 6.8
GTEX-1F6IF-2026-SM-7P8SE 60-69 years, male 6.6
GTEX-11NUK-2026-SM-5PNVZ 50-59 years, male 5.9
GTEX-1H1CY-0826-SM-9WYTU 60-69 years, female 5.9
GTEX-1HUB1-1526-SM-CGQF6 60-69 years, male 5.7
GTEX-1KANB-2426-SM-EV7BE 50-59 years, male 5.5
GTEX-1KWVE-0226-SM-E9TKK 30-39 years, male 5.3
GTEX-13JUV-0626-SM-5J1MQ 40-49 years, female 5.2
GTEX-XQ3S-2426-SM-4WAYB 20-29 years, male 5.1
GTEX-147JS-1026-SM-5S2MP 60-69 years, male 4.8
GTEX-ZYFC-1826-SM-5GZZA 50-59 years, male 4.6
GTEX-1POEN-1626-SM-EVYC2 30-39 years, female 4.3
GTEX-1C64N-1326-SM-7SB7D 50-59 years, male 4.0
GTEX-13OW7-1126-SM-5K7V6 50-59 years, male 3.9
GTEX-WL46-2026-SM-3LK7U 50-59 years, male 3.7
GTEX-13VXU-1026-SM-5KLZE 50-59 years, male 3.5
GTEX-113JC-0726-SM-5GZZR 50-59 years, female 3.2
GTEX-X585-2526-SM-4QAS1 50-59 years, male 3.2
GTEX-12ZZX-1726-SM-5BC63 40-49 years, female 3.1
GTEX-1HT8W-0726-SM-A9SLB 30-39 years, male 2.8
GTEX-1313W-1626-SM-5J1OE 50-59 years, female 2.7
GTEX-1A8G6-2026-SM-73KYC 60-69 years, male 1.7
GTEX-145MF-1026-SM-5Q5EQ 50-59 years, male 1.3
GTEX-ZE7O-1526-SM-5J1NH 50-59 years, female 0.5
Show allShow less

ADIPOSE TISSUE - FANTOM5 CAGEi

RNA expression in human tissues obtained through Cap Analysis of Gene Expression (CAGE) generated by the FANTOM5 project are reported as Scaled Tags Per Million.

Max subtype Scaled Tags Per Millioni

Max subtype Scaled Tags Per Million is the value for the subtype with the largest average Scaled Tags Per Million across the subtype samples.

364.2
FANTOM5 sample id Sample description Scaled Tags Per Million
Adipose tissue
Scaled Tags Per Million: 364.2
FF:10010-101C1 65,65,76 years, mixed 364.2

Contact

  • NEWS ARTICLES
  • PRESS ROOM

The Project

  • INTRODUCTION
  • ORGANIZATION
  • PUBLICATIONS

The Human Protein Atlas

  • DOWNLOADABLE DATA
  • LICENCE & CITATION
  • HELP & FAQ
The Human Protein Atlas project is funded
by the Knut & Alice Wallenberg Foundation.


contact@proteinatlas.org