We use cookies to enhance the usability of our website. If you continue, we'll assume that you are happy to receive all cookies. More information. Don't show this again.
CD163
HPA
RESOURCES
  • TISSUE
  • BRAIN
  • SINGLE CELL
  • SUBCELLULAR
  • CANCER
  • BLOOD
  • CELL LINE
  • STRUCTURE & INTERACTION
ABOUT
  • INTRODUCTION
  • HISTORY
  • ORGANIZATION
  • PUBLICATIONS
  • ANTIBODY SUBMISSION
  • ANTIBODY AVAILABILITY
  • ACKNOWLEDGMENTS
  • CONTACT
NEWS
  • NEWS ARTICLES
  • PRESS ROOM
LEARN
  • DICTIONARY
  • PROTEIN CLASSES
  • PROTEIN EVIDENCE
  • METHODS
  • EDUCATIONAL VIDEOS
DATA
  • DOWNLOADABLE DATA
  • PUBLICATION DATA
  • RELEASE HISTORY
HELP
  • ANTIBODY VALIDATION
  • ASSAYS & ANNOTATION
  • DISCLAIMER
  • HELP & FAQ
  • PRIVACY STATEMENT
  • LICENCE & CITATION
Fields »
Search result

Field
Term
Gene name
Class
Subclass
Class
Keyword
Chromosome
External id
Tissue
Cell type
Expression
Antibody panel
Tissue
Main location
Patient ID
Annotation
Tissue
Category
Tau score
Cluster
Reliability
Brain region
Category
Tau score
Brain region
Category
Tau score
Brain region
Category
Tau score
Cluster
Reliability
Tissue
Cell type
Enrichment
Cell type
Category
Tau score
Cell type
Category
Tau score
Cell type
Category
Tau score
Cell lineage
Category
Tau score
Cluster
Cluster
Location
Searches
Location
Cell line
Class
Type
Phase
Reliability
Cancer
Prognosis
Cancer
Category
Cancer
Category
Tau score
Cluster
Variants
Interacting gene (ensg_id)
Type
Number of interactions
Pathway
Category
Score
Score
Score
Validation
Validation
Validation
Validation
Antibodies
Data type
Column


  • SUMMARY

  • TISSUE

  • BRAIN

  • SINGLE CELL

  • SUBCELL

  • CANCER

  • BLOOD

  • CELL LINE

  • STRUCT & INT

  • CD163
TISSUE PRIMARY DATA SPLEEN Show tissue menu
ADIPOSE TISSUE ADRENAL GLAND AMYGDALA APPENDIX BASAL GANGLIA BONE MARROW BREAST BRONCHUS CEREBELLUM CEREBRAL CORTEX CERVIX CHOROID PLEXUS COLON DUODENUM
ENDOMETRIUM EPIDIDYMIS ESOPHAGUS FALLOPIAN TUBE GALLBLADDER HEART MUSCLE HIPPOCAMPAL FORMATION HYPOTHALAMUS KIDNEY LIVER LUNG LYMPH NODE MIDBRAIN NASOPHARYNX
ORAL MUCOSA OVARY PANCREAS PARATHYROID GLAND PITUITARY GLAND PLACENTA PROSTATE RECTUM RETINA SALIVARY GLAND SEMINAL VESICLE SKELETAL MUSCLE SKIN SMALL INTESTINE
SMOOTH MUSCLE SOFT TISSUE SPINAL CORD SPLEEN STOMACH TESTIS THYMUS THYROID GLAND TONGUE TONSIL URINARY BLADDER VAGINA
ANTIBODIES
AND
VALIDATION
Dictionary
Spleen
Tissue proteome
Lymphoid tissue
SPLEEN - Expression summary
Protein expression
Spleeni

On the top, protein expression in current human tissue, based on all annotated cell types, is reported with the units not detected (n), low (l), medium (m) and high (h). Underneath, protein expression in each annotated cell type are reported using the same units.

Protein expression data is based on knowledge-based annotation. For genes where more than one antibody has been used, a collective score is set.

If knowledge-based annotation could not be performed for a gene, no data is displayed here. View antibody staining data further down this page.

h
m
l
n
Cells in red pulp: High
Cells in white pulp: Low
RNA expressioni

A summary of mRNA expression data available for current tissue based on several datasets. The mRNA expression levels in human tissues are based on RNA-seq data generated by the Human Protein Atlas (HPA), Genotype-Tissue Expression (GTEx) portal and CAGE data generated by the FANTOM5 consortium. Consensus normalized expression levels for human tissues was created by combining the data from HPA and GTEx datasets.

The mRNA expression levels in pig are based on RNA-seq data generated by the Human Protein Atlas (HPA), and for mouse, HPA data and in situ hybridization generated by the Allen brain atlas are reported.

Scroll down to view mRNA expression data in more detail.
Consensus:234.7 nTPM
HPA:115.2 nTPM
GTEx:234.7 nTPM
FANTOM5:634.8 Scaled Tags Per Million

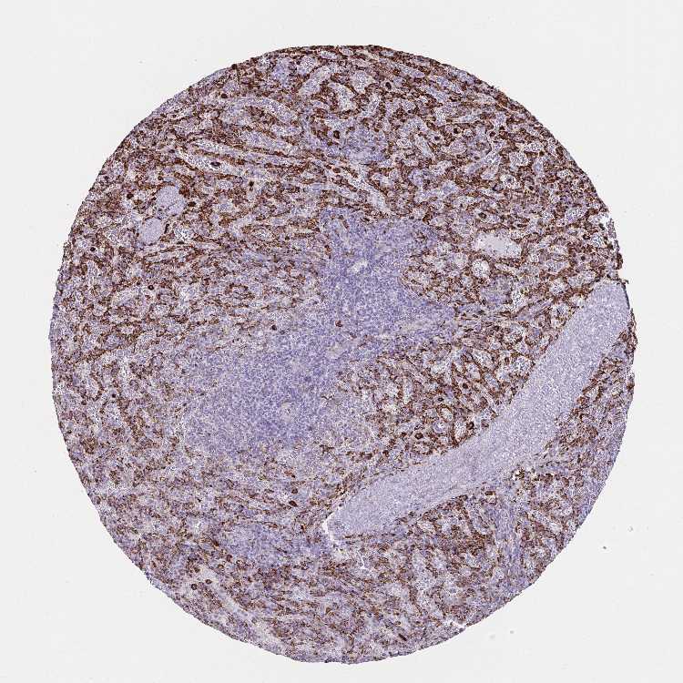
SPLEEN - Antibody stainingi

Antibody staining in the annotated cell types in the current human tissue is reported as not detected, low, medium, or high, based on conventional immunohistochemistry profiling in selected tissues. This score is based on the combination of the staining intensity and fraction of stained cells.

Each image is clickable and will lead to virtual microscopy that enables deeper exploration of all samples and also displays staining intensity scores, fraction scores and subcellular localization as well as patient and tissue information for each sample.

Antibody HPA046404Antibody HPA051974Antibody CAB002432
Cells in red pulp HighHighHigh
Cells in white pulp Not detectedNot detectedLow







SPLEEN - HPA RNA-seqi

The RNA-seq details section shows detailed information about the individual samples used for the transcript profiling and results of the RNA-seq analysis.

Information about each individual sample is listed below, including gender, age, a tissue section image and estimated fractions of cell types. nTPM (normalized transcripts per million) values give a quantification of the gene abundance which is comparable between different genes and samples.
Average nTPMi

Max subtype nTPM is the value for the subtype with the largest average nTPM across the subtype samples.

115.2
overview
Female, age 60
Spleen sample 236
nTPM: 61.5
Cell types%
Lymphocytes:
40

Macrophages:
30

Endothelial cells:
15

Fibroblasts:
5

Other cell types:
10

overview
Male, age 17
Spleen sample 237
nTPM: 94.1
Cell types%
Lymphocytes:
40

Macrophages:
35

Endothelial cells:
15

Fibroblasts:
5

Other cell types:
5

overview
Male, age 20
Spleen sample 238
nTPM: 129.6
Cell types%
Lymphocytes:
40

Macrophages:
30

Endothelial cells:
15

Fibroblasts:
5

Other cell types:
10

overview
Female, age 19
Spleen sample 239
nTPM: 201.2
Cell types%
Lymphocytes:
40

Macrophages:
30

Endothelial cells:
15

Fibroblasts:
10

Other cell types:
5

overview
Female, age 65
Spleen sample 378
nTPM: 89.5
Cell types%
Lymphocytes:
35

Macrophages:
30

Endothelial cells:
20

Fibroblasts:
10

Other cell types:
5


SPLEEN - GTEx RNA-seqi

RNA-Seq data generated by the Genotype-Tissue Expression (GTEx) project from human tissues is reported as mean nTPM. More information can be found on the GTEx portal.

Distribution across the dataset is visualized with box plots, shown as median and 25th and 75th percentiles. Points are displayed as outliers if they are above or below 1.5 times the interquartile range. nTPM values of the individual samples are presented next to the box plot.
Max subtype nTPMi

Max subtype nTPM is the value for the subtype with the largest average nTPM across the subtype samples.

234.7
GTEx sample id Sample description nTPM
Spleen
Average nTPM: 234.7
Samples: 241

Max nTPM: 664.4
Min nTPM: 2.5
Std nTPM: 155.7
Median nTPM: 219.7
GTEX-ZZPU-0126-SM-5E446 50-59 years, female 664.4
GTEX-1L5NE-0926-SM-D4P3P 50-59 years, male 620.8
GTEX-12WSN-0126-SM-5DUX5 40-49 years, male 596.5
GTEX-P4QS-0926-SM-48TBS 60-69 years, male 592.6
GTEX-WY7C-0126-SM-4ONCO 50-59 years, male 586.4
GTEX-13X6H-0726-SM-5Q5BX 50-59 years, female 581.9
GTEX-1OFPY-0126-SM-EXOJ3 60-69 years, male 568.7
GTEX-S3XE-0626-SM-4AD6B 50-59 years, male 567.8
GTEX-1399S-0226-SM-5IFFG 30-39 years, female 567.7
GTEX-ZDTT-1026-SM-5KM19 60-69 years, male 556.6
GTEX-Y3I4-0126-SM-4TT26 50-59 years, male 555.9
GTEX-S4Z8-0226-SM-4AD5K 60-69 years, male 529.0
GTEX-132QS-0226-SM-5IFFZ 60-69 years, male 523.7
GTEX-14PJ4-0526-SM-6871G 60-69 years, male 523.2
GTEX-ZF29-0626-SM-4WKHD 60-69 years, female 517.7
GTEX-11EQ9-0426-SM-5A5JY 30-39 years, male 509.5
GTEX-U4B1-0526-SM-4DXTK 40-49 years, male 505.4
GTEX-1F5PL-2226-SM-7MKHE 40-49 years, female 496.9
GTEX-ZG7Y-2026-SM-DO91N 50-59 years, male 486.5
GTEX-14BMU-0426-SM-73KYT 20-29 years, female 485.5
GTEX-131XG-0426-SM-5IFGD 50-59 years, female 476.8
GTEX-14PKU-0526-SM-6871A 40-49 years, female 471.3
GTEX-1C475-1126-SM-7MGY7 40-49 years, female 465.2
GTEX-RUSQ-0126-SM-47JWV 50-59 years, male 463.1
GTEX-YEC4-0126-SM-4W21T 40-49 years, male 458.0
GTEX-11LCK-0126-SM-5A5M5 30-39 years, male 457.7
GTEX-ZPIC-0126-SM-DNZZ9 40-49 years, female 451.4
GTEX-17GQL-0126-SM-72D5Q 60-69 years, male 449.2
GTEX-1AX9K-0226-SM-793CM 50-59 years, male 448.8
GTEX-ZVZP-0726-SM-59HKA 50-59 years, male 438.5
GTEX-15RIG-0126-SM-6PAN4 40-49 years, male 403.5
GTEX-1211K-0426-SM-5FQTP 60-69 years, female 403.4
GTEX-13CF3-0226-SM-5J1NW 60-69 years, female 402.0
GTEX-15RIF-0526-SM-6LLI2 20-29 years, male 401.3
GTEX-P4PQ-0926-SM-E9U4D 60-69 years, male 399.5
GTEX-1PDJ9-0226-SM-DPRYX 20-29 years, male 397.4
GTEX-144GN-2126-SM-5O99D 50-59 years, male 394.1
GTEX-1QP2A-2526-SM-EXOJB 50-59 years, male 392.5
GTEX-PLZ6-0126-SM-48TC6 30-39 years, male 390.3
GTEX-1R7EU-2026-SM-E9U63 60-69 years, male 388.6
GTEX-11XUK-0426-SM-5EQML 40-49 years, female 384.8
GTEX-YB5K-1926-SM-4VDT4 40-49 years, female 382.7
GTEX-13PVR-0326-SM-5RQJY 60-69 years, female 376.4
GTEX-12WSJ-0526-SM-5GCOZ 40-49 years, female 373.4
GTEX-14E6E-1226-SM-5S2R5 30-39 years, male 371.1
GTEX-1J8Q3-0126-SM-C1YSI 60-69 years, male 367.1
GTEX-1KANA-1226-SM-DHXKE 20-29 years, male 364.6
GTEX-16XZY-0126-SM-7IGQ9 70-79 years, male 363.6
GTEX-WXYG-0126-SM-4OND7 50-59 years, female 363.4
GTEX-1JK1U-0126-SM-C1YQY 60-69 years, male 360.7
GTEX-13PL7-1126-SM-5MR5O 60-69 years, female 360.3
GTEX-UJHI-0126-SM-4IHLP 50-59 years, female 360.2
GTEX-139T6-0226-SM-5IFGZ 50-59 years, male 359.9
GTEX-QCQG-0226-SM-48U28 50-59 years, female 357.5
GTEX-R55C-0126-SM-48FEQ 40-49 years, male 353.3
GTEX-1S831-0726-SM-EV79O 20-29 years, male 352.2
GTEX-ZV6S-0826-SM-5NQ6Z 40-49 years, female 351.8
GTEX-XAJ8-0126-SM-47JYG 40-49 years, male 348.1
GTEX-O5YT-0926-SM-48TDG 20-29 years, male 346.5
GTEX-1HSMQ-0126-SM-D4P2I 50-59 years, male 343.1
GTEX-145MN-0126-SM-5RQHY 30-39 years, male 342.0
GTEX-ZLFU-0526-SM-4WWBN 40-49 years, male 341.9
GTEX-1F75I-0226-SM-7MKHQ 40-49 years, male 339.2
GTEX-QDVN-0526-SM-48TZ4 50-59 years, male 337.6
GTEX-147F3-0126-SM-5NQBJ 50-59 years, female 335.3
GTEX-WFON-0126-SM-4LVM9 40-49 years, male 335.0
GTEX-ZYFG-0726-SM-5GIDX 60-69 years, female 334.9
GTEX-T5JW-0126-SM-4DM6K 20-29 years, female 331.8
GTEX-1LSNM-0126-SM-EAZ57 50-59 years, male 321.3
GTEX-15SHV-0126-SM-6LPIS 60-69 years, male 319.7
GTEX-Y8LW-0126-SM-4VBS1 50-59 years, female 318.1
GTEX-17F98-0126-SM-7MGW3 40-49 years, female 313.6
GTEX-14PJ5-0326-SM-664OD 60-69 years, female 309.2
GTEX-13S86-0126-SM-5S2PI 40-49 years, male 308.9
GTEX-15DZA-0126-SM-6PAMV 30-39 years, female 307.6
GTEX-ZPCL-0626-SM-DNZZ6 60-69 years, female 306.3
GTEX-W5WG-0626-SM-4SOID 50-59 years, female 303.5
GTEX-Z9EW-0726-SM-5HL9H 40-49 years, male 303.4
GTEX-1B97J-1926-SM-7IGQB 50-59 years, female 302.9
GTEX-1GZ4H-0126-SM-9JGGI 50-59 years, female 302.9
GTEX-XPVG-0626-SM-4B65B 50-59 years, male 302.5
GTEX-Y5LM-0326-SM-4VBRN 40-49 years, female 300.8
GTEX-1MCC2-0826-SM-EV7AM 30-39 years, female 298.1
GTEX-X4LF-0226-SM-4QAS8 50-59 years, male 292.7
GTEX-P4QT-0926-SM-EZ6KQ 50-59 years, female 291.7
GTEX-1FIGZ-0126-SM-7MKGZ 40-49 years, male 289.8
GTEX-14JG6-0226-SM-6872A 30-39 years, female 285.5
GTEX-1R7EV-0126-SM-EAZ3O 40-49 years, male 284.8
GTEX-1122O-0526-SM-5N9DM 60-69 years, female 283.3
GTEX-1MUQO-1326-SM-EV7AE 60-69 years, male 278.5
GTEX-11DXX-0726-SM-5H12X 60-69 years, female 278.0
GTEX-1B97I-0126-SM-731DH 40-49 years, male 277.7
GTEX-1MCYP-0226-SM-EV7A3 20-29 years, female 272.0
GTEX-13FH7-1326-SM-5IFG8 50-59 years, female 266.7
GTEX-YB5E-0426-SM-5IFHR 40-49 years, male 265.3
GTEX-U3ZN-0126-SM-4DXUM 30-39 years, female 262.1
GTEX-VJYA-0126-SM-4KL1P 60-69 years, male 260.4
GTEX-14DAR-0326-SM-5S2PS 50-59 years, male 258.9
GTEX-1MJK3-0126-SM-DPRYY 20-29 years, male 258.7
GTEX-1LVAN-1026-SM-CNNQZ 50-59 years, female 258.6
GTEX-15ETS-3126-SM-6LPKN 40-49 years, female 257.4
GTEX-XGQ4-0126-SM-4AT4H 50-59 years, male 257.0
GTEX-12BJ1-0726-SM-5EGGF 60-69 years, male 254.4
GTEX-1K2DA-0126-SM-CGQGV 50-59 years, male 251.6
GTEX-15F5U-0126-SM-6LPKA 40-49 years, male 251.5
GTEX-OIZH-0926-SM-48TBR 50-59 years, male 249.0
GTEX-ZLWG-0426-SM-4WWFA 50-59 years, female 245.6
GTEX-XV7Q-0126-SM-4BRVK 40-49 years, female 245.1
GTEX-R55G-0226-SM-48FEI 40-49 years, female 237.6
GTEX-14PN3-0226-SM-6871K 60-69 years, female 236.4
GTEX-Q2AH-0226-SM-48U1I 40-49 years, male 235.0
GTEX-1QP29-0126-SM-EAZ3S 50-59 years, male 233.3
GTEX-11P7K-0426-SM-5BC5H 30-39 years, male 232.3
GTEX-QV31-0126-SM-447BP 30-39 years, male 232.1
GTEX-ZP4G-0326-SM-4YCEF 20-29 years, female 227.9
GTEX-17F9E-1126-SM-79OMO 50-59 years, male 227.1
GTEX-1JKYN-0326-SM-AHZ4D 30-39 years, male 225.4
GTEX-ZVP2-0526-SM-51MSC 50-59 years, male 224.4
GTEX-1AMFI-0926-SM-731E4 50-59 years, female 223.8
GTEX-1IDJC-0126-SM-C1YQC 50-59 years, male 219.7
GTEX-1LGRB-0126-SM-CNNR6 50-59 years, female 219.7
GTEX-QMRM-0226-SM-CL55S 50-59 years, male 218.8
GTEX-NFK9-1426-SM-43ISG 40-49 years, male 217.0
GTEX-1F5PK-0726-SM-7MGXN 50-59 years, male 213.9
GTEX-139YR-0426-SM-5IFFV 50-59 years, male 213.7
GTEX-X3Y1-0126-SM-4PQZA 40-49 years, male 212.9
GTEX-117YX-2126-SM-5GIEL 50-59 years, male 211.1
GTEX-1C4CL-0626-SM-731DM 30-39 years, male 207.9
GTEX-111CU-0426-SM-5GZY1 50-59 years, male 207.2
GTEX-18A67-1526-SM-7LG6F 50-59 years, male 206.6
GTEX-1RAZQ-0126-SM-EV7B1 30-39 years, male 203.2
GTEX-P4PP-0926-SM-48TBZ 30-39 years, female 202.6
GTEX-1H3VY-1526-SM-9WG7S 50-59 years, male 200.9
GTEX-1RAZA-1026-SM-E6CQ9 20-29 years, male 198.0
GTEX-1QCLZ-1026-SM-E6CR1 60-69 years, female 194.4
GTEX-15CHC-0726-SM-6AJ9D 60-69 years, female 191.5
GTEX-1RMOY-0726-SM-EV79D 50-59 years, male 190.2
GTEX-1MGNQ-1126-SM-EAZ4Y 40-49 years, male 190.1
GTEX-14ICL-0126-SM-664NG 30-39 years, male 185.8
GTEX-1HCU9-0126-SM-9WG7M 20-29 years, male 184.0
GTEX-Y114-0726-SM-4TT6U 50-59 years, female 182.3
GTEX-13VXT-1326-SM-5LU3Y 20-29 years, female 181.6
GTEX-13111-0126-SM-5EGHO 50-59 years, male 181.5
GTEX-14PJ6-0226-SM-6AJ9K 60-69 years, female 181.4
GTEX-YFCO-0926-SM-5LUA5 40-49 years, male 180.2
GTEX-11VI4-0126-SM-5GU6Z 40-49 years, female 179.7
GTEX-12WSK-0126-SM-5GCO7 40-49 years, female 173.1
GTEX-1R9K5-1126-SM-EAZ4G 50-59 years, male 169.2
GTEX-ZDYS-1026-SM-4WKHC 50-59 years, male 167.0
GTEX-1JKYR-1126-SM-CGQGJ 20-29 years, male 166.7
GTEX-WHWD-0126-SM-4OORS 50-59 years, male 164.1
GTEX-POMQ-0126-SM-48TD6 20-29 years, female 162.4
GTEX-1CB4E-0126-SM-7DHMX 60-69 years, male 161.9
GTEX-146FR-1926-SM-5NQA6 60-69 years, female 161.8
GTEX-15UF7-1926-SM-6LPJT 40-49 years, male 152.3
GTEX-ZPU1-1026-SM-4YCEQ 40-49 years, male 151.8
GTEX-1R9PM-0126-SM-DPRY6 20-29 years, male 149.4
GTEX-14PK6-0526-SM-69LOF 70-79 years, female 147.3
GTEX-15RJ7-0126-SM-6LPJN 40-49 years, male 145.6
GTEX-1R9JW-0126-SM-EAZ4P 30-39 years, female 144.4
GTEX-1QCLY-0126-SM-DPRZV 30-39 years, male 143.7
GTEX-1CB4I-1426-SM-79OLZ 50-59 years, male 142.3
GTEX-11P81-1326-SM-5GU5S 30-39 years, female 142.1
GTEX-1QW4Y-0126-SM-DPRZQ 30-39 years, male 141.5
GTEX-169BO-0126-SM-79OLS 50-59 years, male 138.9
GTEX-1RNTQ-1026-SM-EV7B4 20-29 years, female 137.3
GTEX-1J8QM-0926-SM-C1YQ9 60-69 years, female 136.3
GTEX-QV44-0126-SM-CJI1X 50-59 years, male 133.3
GTEX-1A3MV-0126-SM-731FQ 30-39 years, male 132.9
GTEX-15SB6-0126-SM-6LPJR 50-59 years, female 130.0
GTEX-QLQW-0126-SM-447BK 30-39 years, male 126.8
GTEX-1LG7Z-0126-SM-EV79V 30-39 years, male 126.8
GTEX-ZAB5-0526-SM-5CVMU 50-59 years, male 125.2
GTEX-11NSD-0426-SM-5N9CR 20-29 years, male 121.6
GTEX-PW2O-0126-SM-48TC8 20-29 years, male 121.3
GTEX-1QP66-0126-SM-EAZ3N 50-59 years, male 119.7
GTEX-14E1K-0126-SM-664NL 50-59 years, male 117.5
GTEX-1IDJE-0126-SM-C1YQ6 50-59 years, female 115.6
GTEX-15SDE-0126-SM-793BA 50-59 years, female 110.0
GTEX-P78B-1226-SM-EZ6KP 40-49 years, female 108.0
GTEX-1C64O-1626-SM-731EN 60-69 years, male 105.7
GTEX-ZEX8-0726-SM-4WKH8 50-59 years, male 104.4
GTEX-WYJK-0726-SM-4ONC9 50-59 years, male 103.4
GTEX-18A66-1826-SM-7KFSU 60-69 years, male 100.6
GTEX-XXEK-0126-SM-4BRVU 50-59 years, male 98.3
GTEX-Q734-0226-SM-48U1A 40-49 years, female 97.9
GTEX-146FQ-0626-SM-5LU9U 30-39 years, male 93.7
GTEX-U3ZH-0126-SM-4DXUK 30-39 years, male 92.6
GTEX-OIZF-0926-SM-7MKH7 60-69 years, male 89.6
GTEX-13OVK-0426-SM-7KFT8 40-49 years, male 88.9
GTEX-ZF2S-0326-SM-4WKGD 50-59 years, female 88.4
GTEX-1GF9U-0126-SM-AHZ4G 40-49 years, female 85.6
GTEX-WYVS-0126-SM-4ONDH 40-49 years, female 85.5
GTEX-13N11-0126-SM-5KM2Z 50-59 years, female 81.5
GTEX-XQ8I-1726-SM-4BOQB 50-59 years, male 78.1
GTEX-OOBJ-0926-SM-48TDO 60-69 years, male 76.7
GTEX-XMK1-0126-SM-4B65F 40-49 years, male 75.8
GTEX-Y3IK-0126-SM-4WWE9 50-59 years, female 75.2
GTEX-17HHE-0326-SM-793BH 50-59 years, male 74.7
GTEX-1CB4F-0226-SM-7EPHS 60-69 years, male 70.6
GTEX-16MT8-1826-SM-7EWE8 60-69 years, female 66.0
GTEX-1PWST-1626-SM-EXOIU 70-79 years, male 65.5
GTEX-13U4I-1626-SM-5IFFR 40-49 years, female 64.1
GTEX-UPK5-1626-SM-4JBHI 40-49 years, male 61.0
GTEX-1N2EF-1526-SM-EXOIY 60-69 years, male 59.4
GTEX-1B8KZ-0226-SM-7EWF6 50-59 years, male 55.1
GTEX-1399R-0226-SM-5IJGG 30-39 years, male 54.8
GTEX-PX3G-0926-SM-48U12 20-29 years, female 52.9
GTEX-1RAZR-1626-SM-EAZ4V 40-49 years, male 50.8
GTEX-1HCU7-1426-SM-CNNQK 50-59 years, male 50.3
GTEX-17F96-1426-SM-7IGQA 70-79 years, male 49.6
GTEX-12WSG-0926-SM-5EGIH 50-59 years, female 43.6
GTEX-ZTTD-1726-SM-57WEL 50-59 years, male 39.5
GTEX-1KAFJ-1026-SM-D4P2Z 50-59 years, male 39.0
GTEX-QDT8-1526-SM-EXOHP 30-39 years, female 37.8
GTEX-1PPH7-0126-SM-E6CPB 40-49 years, male 36.3
GTEX-131XE-1126-SM-5EGHW 50-59 years, male 35.0
GTEX-1KD5A-1526-SM-D4P3W 50-59 years, male 32.1
GTEX-Y5V5-1126-SM-EVYAR 60-69 years, female 30.8
GTEX-1QAET-2326-SM-EXOJ1 50-59 years, male 29.8
GTEX-1AYD5-0226-SM-79ONV 50-59 years, male 28.4
GTEX-1JMLX-1426-SM-CNNPO 50-59 years, male 28.2
GTEX-1R9K4-1526-SM-DPRY5 60-69 years, male 26.4
GTEX-17F97-1626-SM-72D6W 50-59 years, male 23.5
GTEX-16MT9-1726-SM-6M47P 60-69 years, female 21.6
GTEX-1JMQK-1126-SM-CXZJW 60-69 years, male 20.9
GTEX-1K9T9-0626-SM-CXZKY 50-59 years, female 20.5
GTEX-1LSVX-1426-SM-DHXJO 60-69 years, male 18.5
GTEX-1C6VQ-2126-SM-7IGNL 50-59 years, male 18.2
GTEX-1H3O1-1126-SM-9WPO9 60-69 years, male 16.0
GTEX-X585-1826-SM-4QAS3 50-59 years, male 15.8
GTEX-1LNCM-0426-SM-DHXK6 50-59 years, female 12.2
GTEX-QESD-0126-SM-EXOHG 20-29 years, male 10.9
GTEX-1JMPZ-0926-SM-CXZJR 30-39 years, male 9.5
GTEX-15DYW-1426-SM-6LPIW 60-69 years, female 8.4
GTEX-15CHQ-1226-SM-6ETZL 60-69 years, male 8.0
GTEX-1QMI2-1526-SM-EXOJT 60-69 years, male 7.2
GTEX-1PIIG-1226-SM-EXOIQ 30-39 years, male 6.4
GTEX-111FC-1326-SM-5N9D9 60-69 years, male 4.4
GTEX-15ER7-1526-SM-6LLHO 20-29 years, female 3.1
GTEX-12WSD-1726-SM-5GCN4 60-69 years, female 2.5
Show allShow less

SPLEEN - FANTOM5 CAGEi

RNA expression in human tissues obtained through Cap Analysis of Gene Expression (CAGE) generated by the FANTOM5 project are reported as Scaled Tags Per Million.

Max subtype Scaled Tags Per Millioni

Max subtype Scaled Tags Per Million is the value for the subtype with the largest average Scaled Tags Per Million across the subtype samples.

634.8
FANTOM5 sample id Sample description Scaled Tags Per Million
Spleen
Scaled Tags Per Million: 634.8
FF:10025-101D7 39,50,70 years, male 634.8

Contact

  • NEWS ARTICLES
  • PRESS ROOM

The Project

  • INTRODUCTION
  • ORGANIZATION
  • PUBLICATIONS

The Human Protein Atlas

  • DOWNLOADABLE DATA
  • LICENCE & CITATION
  • HELP & FAQ
The Human Protein Atlas project is funded
by the Knut & Alice Wallenberg Foundation.


contact@proteinatlas.org