We use cookies to enhance the usability of our website. If you continue, we'll assume that you are happy to receive all cookies. More information. Don't show this again.
CD163
HPA
RESOURCES
  • TISSUE
  • BRAIN
  • SINGLE CELL
  • SUBCELLULAR
  • CANCER
  • BLOOD
  • CELL LINE
  • STRUCTURE & INTERACTION
ABOUT
  • INTRODUCTION
  • HISTORY
  • ORGANIZATION
  • PUBLICATIONS
  • ANTIBODY SUBMISSION
  • ANTIBODY AVAILABILITY
  • ACKNOWLEDGMENTS
  • CONTACT
NEWS
  • NEWS ARTICLES
  • PRESS ROOM
LEARN
  • DICTIONARY
  • PROTEIN CLASSES
  • PROTEIN EVIDENCE
  • METHODS
  • EDUCATIONAL VIDEOS
DATA
  • DOWNLOADABLE DATA
  • PUBLICATION DATA
  • RELEASE HISTORY
HELP
  • ANTIBODY VALIDATION
  • ASSAYS & ANNOTATION
  • DISCLAIMER
  • HELP & FAQ
  • PRIVACY STATEMENT
  • LICENCE & CITATION
Fields »
Search result

Field
Term
Gene name
Class
Subclass
Class
Keyword
Chromosome
External id
Tissue
Cell type
Expression
Antibody panel
Tissue
Main location
Patient ID
Annotation
Tissue
Category
Tau score
Cluster
Reliability
Brain region
Category
Tau score
Brain region
Category
Tau score
Brain region
Category
Tau score
Cluster
Reliability
Tissue
Cell type
Enrichment
Cell type
Category
Tau score
Cell type
Category
Tau score
Cell type
Category
Tau score
Cell lineage
Category
Tau score
Cluster
Cluster
Location
Searches
Location
Cell line
Class
Type
Phase
Reliability
Cancer
Prognosis
Cancer
Category
Cancer
Category
Tau score
Cluster
Variants
Interacting gene (ensg_id)
Type
Number of interactions
Pathway
Category
Score
Score
Score
Validation
Validation
Validation
Validation
Antibodies
Data type
Column


  • SUMMARY

  • TISSUE

  • BRAIN

  • SINGLE CELL

  • SUBCELL

  • CANCER

  • BLOOD

  • CELL LINE

  • STRUCT & INT

  • CD163
TISSUE PRIMARY DATA SKIN Show tissue menu
ADIPOSE TISSUE ADRENAL GLAND AMYGDALA APPENDIX BASAL GANGLIA BONE MARROW BREAST BRONCHUS CEREBELLUM CEREBRAL CORTEX CERVIX CHOROID PLEXUS COLON DUODENUM
ENDOMETRIUM EPIDIDYMIS ESOPHAGUS FALLOPIAN TUBE GALLBLADDER HEART MUSCLE HIPPOCAMPAL FORMATION HYPOTHALAMUS KIDNEY LIVER LUNG LYMPH NODE MIDBRAIN NASOPHARYNX
ORAL MUCOSA OVARY PANCREAS PARATHYROID GLAND PITUITARY GLAND PLACENTA PROSTATE RECTUM RETINA SALIVARY GLAND SEMINAL VESICLE SKELETAL MUSCLE SKIN SMALL INTESTINE
SMOOTH MUSCLE SOFT TISSUE SPINAL CORD SPLEEN STOMACH TESTIS THYMUS THYROID GLAND TONGUE TONSIL URINARY BLADDER VAGINA
ANTIBODIES
AND
VALIDATION
Dictionary
Skin
Tissue proteome
Skin
SKIN - Expression summary
Protein expression
Skini

On the top, protein expression in current human tissue, based on all annotated cell types, is reported with the units not detected (n), low (l), medium (m) and high (h). Underneath, protein expression in each annotated cell type are reported using the same units.

Protein expression data is based on knowledge-based annotation. For genes where more than one antibody has been used, a collective score is set.

If knowledge-based annotation could not be performed for a gene, no data is displayed here. View antibody staining data further down this page.

h
m
l
n
Cells in basal layer: Not detected
Cells in corneal layer: Not detected
Cells in granular layer: Not detected
Cells in spinous layer: Not detected
Endothelial cells: Not detected
Extracellular matrix: Not detected
Fibrohistiocytic cells: High
Hair follicles: Not detected
Langerhans cells: Not detected
Lymphocytes: Not detected
Melanocytes: Not detected
Sebaceous glands: Not detected
Vascular mural cells: Not detected
RNA expressioni

A summary of mRNA expression data available for current tissue based on several datasets. The mRNA expression levels in human tissues are based on RNA-seq data generated by the Human Protein Atlas (HPA), Genotype-Tissue Expression (GTEx) portal and CAGE data generated by the FANTOM5 consortium. Consensus normalized expression levels for human tissues was created by combining the data from HPA and GTEx datasets.

The mRNA expression levels in pig are based on RNA-seq data generated by the Human Protein Atlas (HPA), and for mouse, HPA data and in situ hybridization generated by the Allen brain atlas are reported.

Scroll down to view mRNA expression data in more detail.
Consensus:14.8 nTPM
HPA:1.8 nTPM
GTEx:14.8 nTPM

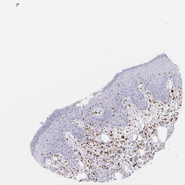
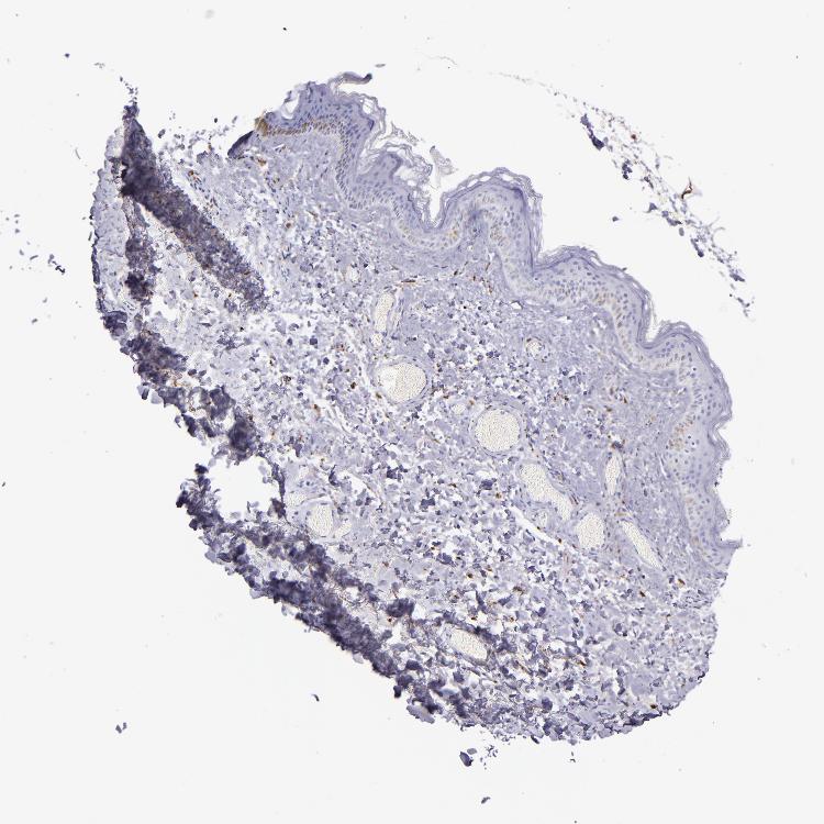
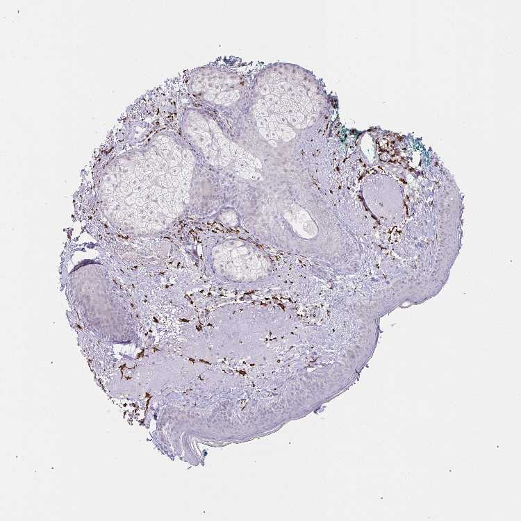
SKIN 1 - Antibody stainingi

Antibody staining in the annotated cell types in the current human tissue is reported as not detected, low, medium, or high, based on conventional immunohistochemistry profiling in selected tissues. This score is based on the combination of the staining intensity and fraction of stained cells.

Each image is clickable and will lead to virtual microscopy that enables deeper exploration of all samples and also displays staining intensity scores, fraction scores and subcellular localization as well as patient and tissue information for each sample.

Antibody HPA046404Antibody HPA051974Antibody CAB002432
Langerhans -Not detectedNot detected
Cells in basal layer Not detected--
Cells in corneal layer Not detected--
Cells in granular layer Not detected--
Cells in spinous layer Not detected--
Endothelial cells Not detected--
Extracellular matrix Not detected--
Fibroblasts -Not detectedNot detected
Fibrohistiocytic cells High--
Hair follicles Not detected--
Keratinocytes -LowNot detected
Langerhans cells Not detected--
Lymphocytes Not detected--
Melanocytes Not detectedNot detectedNot detected
Sebaceous glands Not detected--
Vascular mural cells Not detected--



SKIN 2 - Antibody stainingi

Antibody staining in the annotated cell types in the current human tissue is reported as not detected, low, medium, or high, based on conventional immunohistochemistry profiling in selected tissues. This score is based on the combination of the staining intensity and fraction of stained cells.

Each image is clickable and will lead to virtual microscopy that enables deeper exploration of all samples and also displays staining intensity scores, fraction scores and subcellular localization as well as patient and tissue information for each sample.

Antibody HPA046404Antibody HPA051974Antibody CAB002432
Cells in basal layer Not detected--
Cells in corneal layer Not detected--
Cells in granular layer Not detected--
Cells in spinous layer Not detected--
Endothelial cells Not detected--
Epidermal cells -Not detectedNot detected
Extracellular matrix Not detected--
Fibrohistiocytic cells High--
Langerhans cells Not detected--
Lymphocytes Not detected--
Melanocytes Not detected--
Vascular mural cells Not detected--
   
   
   
   




SKIN - HPA RNA-seqi

The RNA-seq details section shows detailed information about the individual samples used for the transcript profiling and results of the RNA-seq analysis.

Information about each individual sample is listed below, including gender, age, a tissue section image and estimated fractions of cell types. nTPM (normalized transcripts per million) values give a quantification of the gene abundance which is comparable between different genes and samples.
Average nTPMi

Max subtype nTPM is the value for the subtype with the largest average nTPM across the subtype samples.

1.8
overview
Female, age 34
Skin sample 225
nTPM: 2
Cell types%
Keratinocytes:
60

Other cell types:
40

overview
Female, age 30
Skin sample 226
nTPM: 0.9
Cell types%
Keratinocytes:
55

Other cell types:
45

N/A
Male, age 57
Skin sample 227
nTPM: 2.4

SKIN - GTEx RNA-seqi

RNA-Seq data generated by the Genotype-Tissue Expression (GTEx) project from human tissues is reported as mean nTPM. More information can be found on the GTEx portal.

Distribution across the dataset is visualized with box plots, shown as median and 25th and 75th percentiles. Points are displayed as outliers if they are above or below 1.5 times the interquartile range. nTPM values of the individual samples are presented next to the box plot.
Max subtype nTPMi

Max subtype nTPM is the value for the subtype with the largest average nTPM across the subtype samples.

14.8
GTEx sample id Sample description nTPM
Skin - Not Sun Exposed (Suprapubic)
Average nTPM: 11.5
Samples: 604

Max nTPM: 120.1
Min nTPM: 0.0
Std nTPM: 15.4
Median nTPM: 5.9
GTEX-14BMU-1226-SM-5S2OR 20-29 years, female 120.1
GTEX-13113-1626-SM-5EQ4I 60-69 years, female 118.4
GTEX-1L5NE-1126-SM-D3L9P 50-59 years, male 94.7
GTEX-ZGAY-1826-SM-DO91Q 40-49 years, female 84.5
GTEX-1RLM8-2926-SM-E8VON 50-59 years, male 83.3
GTEX-11EM3-1226-SM-5N9DD 20-29 years, female 81.1
GTEX-WFON-1926-SM-3LK7L 40-49 years, male 73.9
GTEX-Y5LM-0926-SM-6LLJG 40-49 years, female 71.5
GTEX-ZZPU-0826-SM-5GZX5 50-59 years, female 69.5
GTEX-1JMOU-1026-SM-CYPSS 60-69 years, female 67.2
GTEX-14JG6-1426-SM-9WG7C 30-39 years, female 65.0
GTEX-14DAR-1226-SM-73KYV 50-59 years, male 64.5
GTEX-ZT9W-1126-SM-57WDR 50-59 years, male 57.1
GTEX-1F48J-0726-SM-7RHGS 50-59 years, female 56.5
GTEX-1H1ZS-2726-SM-9WG75 70-79 years, male 55.8
GTEX-1QP29-1826-SM-DTX9S 50-59 years, male 53.3
GTEX-1J8Q3-0526-SM-ARL8U 60-69 years, male 53.1
GTEX-XBED-1926-SM-47JYP 60-69 years, male 52.2
GTEX-12C56-1526-SM-5FQUQ 20-29 years, male 51.3
GTEX-ZYFG-1526-SM-5GZYM 60-69 years, female 49.7
GTEX-X3Y1-2026-SM-3P5YM 40-49 years, male 49.6
GTEX-WH7G-2026-SM-3NMBL 40-49 years, male 48.9
GTEX-ZZ64-1026-SM-5GZXG 20-29 years, male 47.7
GTEX-YB5K-2026-SM-4VDT3 40-49 years, female 47.5
GTEX-13QBU-1226-SM-5LU4G 40-49 years, female 45.6
GTEX-12WSL-2026-SM-5GCML 50-59 years, male 45.4
GTEX-13X6H-0926-SM-5SIB2 50-59 years, female 44.8
GTEX-1IDJF-2026-SM-CL53V 20-29 years, male 44.8
GTEX-X5EB-1926-SM-4E3IW 40-49 years, male 44.4
GTEX-18D9B-0926-SM-7LG4U 60-69 years, male 43.6
GTEX-U8XE-0226-SM-4E3J3 30-39 years, male 42.0
GTEX-11VI4-1126-SM-5EQMD 40-49 years, female 41.8
GTEX-1IDJC-1526-SM-B2LW4 50-59 years, male 41.3
GTEX-13N11-2326-SM-5IJBF 50-59 years, female 40.1
GTEX-ZLFU-1826-SM-4WWBV 40-49 years, male 38.4
GTEX-YF7O-1526-SM-5IFI6 50-59 years, male 37.3
GTEX-139YR-1026-SM-5LZYN 50-59 years, male 37.0
GTEX-WFG8-2126-SM-3GIKQ 20-29 years, male 36.0
GTEX-1JMQL-2226-SM-CNPP4 50-59 years, female 35.6
GTEX-ZVT2-0126-SM-5GIDQ 50-59 years, female 35.4
GTEX-16BQI-1326-SM-6M486 30-39 years, female 34.4
GTEX-14PKU-0126-SM-6LLHV 40-49 years, female 34.1
GTEX-YEC4-1826-SM-4W1YP 40-49 years, male 33.9
GTEX-Y5V6-2326-SM-4VDSA 60-69 years, male 32.7
GTEX-Y3I4-1726-SM-4TT89 50-59 years, male 32.5
GTEX-1QCLZ-2426-SM-EVYBW 60-69 years, female 32.5
GTEX-1C475-1326-SM-7SB73 40-49 years, female 32.2
GTEX-ZLWG-0826-SM-59888 50-59 years, female 31.8
GTEX-18D9A-1426-SM-7LT8M 30-39 years, female 31.7
GTEX-ZVP2-0326-SM-57WBP 50-59 years, male 31.5
GTEX-145LT-0526-SM-5LUB2 40-49 years, male 31.2
GTEX-15G1A-1626-SM-7KUKN 30-39 years, male 31.2
GTEX-Y8LW-1526-SM-5IFHL 50-59 years, female 31.1
GTEX-14PJN-1826-SM-6AJ98 30-39 years, male 31.0
GTEX-1B8KE-1126-SM-7EPHI 50-59 years, male 30.9
GTEX-1IDJI-0126-SM-CMKHS 50-59 years, female 30.9
GTEX-ZPIC-0526-SM-DO91W 40-49 years, female 30.3
GTEX-1IDJU-1726-SM-CMKHU 60-69 years, female 29.9
GTEX-13FH7-1126-SM-5K7UG 50-59 years, female 29.4
GTEX-12BJ1-0926-SM-5EQ62 60-69 years, male 29.2
GTEX-1QP9N-1226-SM-E76QN 30-39 years, male 29.1
GTEX-1QP66-1226-SM-DTX7U 50-59 years, male 28.5
GTEX-ZA64-1026-SM-5HL8R 20-29 years, male 28.2
GTEX-1JN1M-2726-SM-CY8I4 60-69 years, female 28.1
GTEX-1497J-0226-SM-5QGPU 60-69 years, male 27.5
GTEX-13PVR-0426-SM-5RQK2 60-69 years, female 27.4
GTEX-ZYW4-0626-SM-59HJR 60-69 years, male 26.9
GTEX-147F3-1726-SM-5SIAW 50-59 years, female 26.8
GTEX-XPVG-2126-SM-4B667 50-59 years, male 26.7
GTEX-1211K-1526-SM-5FQU4 60-69 years, female 26.6
GTEX-ZPCL-1126-SM-4WWFE 60-69 years, female 26.3
GTEX-1I4MK-0126-SM-CY8G6 50-59 years, female 26.1
GTEX-WXYG-2026-SM-4E3IY 50-59 years, female 25.9
GTEX-WEY5-2326-SM-3GIKK 40-49 years, female 25.2
GTEX-14PJ5-1526-SM-6LLIL 60-69 years, female 24.8
GTEX-1J8QM-2426-SM-A9SLS 60-69 years, female 24.7
GTEX-18A66-0626-SM-7LT8Z 60-69 years, male 24.4
GTEX-15CHC-1126-SM-6LLHQ 60-69 years, female 24.3
GTEX-13OVJ-0826-SM-5J1OK 50-59 years, female 24.2
GTEX-1HC8U-1326-SM-9YFMJ 40-49 years, female 24.0
GTEX-13OVG-1626-SM-5J1NF 60-69 years, male 23.9
GTEX-1LGRB-0926-SM-COH3K 50-59 years, female 23.6
GTEX-1H1DF-1126-SM-9WG7G 40-49 years, female 23.1
GTEX-13D11-0926-SM-5J2NC 50-59 years, female 22.8
GTEX-14E6E-0526-SM-793DN 30-39 years, male 22.8
GTEX-111CU-1126-SM-5EGIM 50-59 years, male 22.4
GTEX-11LCK-2226-SM-5HL4Q 30-39 years, male 22.3
GTEX-1F5PL-0926-SM-7PC2W 40-49 years, female 22.3
GTEX-11EQ9-1626-SM-5PNY8 30-39 years, male 22.2
GTEX-1QP28-1126-SM-EVYC4 50-59 years, female 22.2
GTEX-14PK6-0226-SM-62LF5 70-79 years, female 22.0
GTEX-11ZTT-2126-SM-5CVLO 60-69 years, female 21.9
GTEX-XYKS-1426-SM-4BRUO 60-69 years, female 21.8
GTEX-1GMR2-0826-SM-7PC3V 50-59 years, male 21.5
GTEX-ZDYS-2426-SM-4WKGI 50-59 years, male 21.3
GTEX-1R9PN-0426-SM-DTXDT 40-49 years, female 21.2
GTEX-1GF9W-1426-SM-7PBYM 60-69 years, male 20.9
GTEX-1KANC-1226-SM-CYPT7 50-59 years, female 20.8
GTEX-145MN-1526-SM-5SI9T 30-39 years, male 20.7
GTEX-WY7C-2126-SM-3NB2R 50-59 years, male 20.7
GTEX-13VXT-1926-SM-5K7UO 20-29 years, female 20.6
GTEX-145ME-1726-SM-5Q5EU 40-49 years, female 20.5
GTEX-1AX8Z-0726-SM-73KTS 60-69 years, male 20.5
GTEX-13OW5-2326-SM-5L3HO 60-69 years, male 20.4
GTEX-XUW1-0926-SM-4BONX 50-59 years, female 20.3
GTEX-1S831-1826-SM-EWROF 20-29 years, male 20.2
GTEX-14PHX-2226-SM-6EU2P 50-59 years, male 20.1
GTEX-17F98-1326-SM-7DUEP 40-49 years, female 20.0
GTEX-1F75I-2226-SM-7SB8U 40-49 years, male 19.6
GTEX-1JKYN-0826-SM-ARU8S 30-39 years, male 19.6
GTEX-14PKV-1126-SM-6LLJ1 20-29 years, female 19.5
GTEX-1S82P-2126-SM-E6CI5 60-69 years, female 19.5
GTEX-ZLV1-1526-SM-DO91J 60-69 years, female 19.4
GTEX-1B97I-0626-SM-73KUZ 40-49 years, male 19.1
GTEX-144FL-0626-SM-5LU43 50-59 years, male 18.9
GTEX-1GF9U-2026-SM-7SB92 40-49 years, female 18.9
GTEX-1HKZK-0726-SM-ACKW2 40-49 years, male 18.8
GTEX-132AR-0326-SM-5KM2C 50-59 years, female 18.4
GTEX-13O61-1426-SM-5KM3D 60-69 years, male 18.3
GTEX-1KANA-1326-SM-DIPFA 20-29 years, male 18.3
GTEX-12WSJ-1126-SM-5LZVJ 40-49 years, female 18.2
GTEX-1MJK3-0726-SM-E6CJC 20-29 years, male 18.2
GTEX-1GTWX-2026-SM-9YFLM 60-69 years, male 17.7
GTEX-1H3NZ-2726-SM-9WYTQ 60-69 years, male 17.7
GTEX-1GZ4H-0526-SM-9KNU9 50-59 years, female 17.6
GTEX-15EU6-2226-SM-6EU2L 50-59 years, male 17.5
GTEX-X4EP-0626-SM-3P621 60-69 years, female 17.4
GTEX-1IDJD-2326-SM-ACKWX 30-39 years, male 17.3
GTEX-ZTSS-1426-SM-5985P 40-49 years, male 17.2
GTEX-1GL5R-1326-SM-7RHHF 50-59 years, male 17.2
GTEX-1HUB1-1426-SM-CGQF5 60-69 years, male 17.2
GTEX-14XAO-1226-SM-6EU1C 60-69 years, female 17.1
GTEX-1HSMO-0626-SM-ACKXC 60-69 years, male 17.1
GTEX-13FTX-1526-SM-5K7VJ 20-29 years, female 17.0
GTEX-183FY-1026-SM-7939A 20-29 years, male 17.0
GTEX-1PIGE-1826-SM-E8VOU 20-29 years, male 17.0
GTEX-1LGOU-1326-SM-D3L8M 20-29 years, female 16.9
GTEX-16NGA-0726-SM-731AO 40-49 years, female 16.5
GTEX-1AMEY-0826-SM-72D65 30-39 years, female 16.3
GTEX-1LG7Z-1626-SM-CXKYR 30-39 years, male 16.2
GTEX-WI4N-2726-SM-3LK7Y 40-49 years, female 16.1
GTEX-1HBPM-0726-SM-9YFL7 60-69 years, female 15.9
GTEX-X8HC-0626-SM-4E3HQ 50-59 years, female 15.8
GTEX-1HCUA-0826-SM-ADEHM 50-59 years, female 15.7
GTEX-1PDJ9-1226-SM-EXUSX 20-29 years, male 15.7
GTEX-14E6C-2426-SM-5S2NF 40-49 years, male 15.6
GTEX-117YX-1926-SM-5GIEC 50-59 years, male 15.5
GTEX-1JMQK-1226-SM-D4P2S 60-69 years, male 15.4
GTEX-1MCC2-1826-SM-DIPEX 30-39 years, female 15.4
GTEX-ZTX8-1326-SM-4YCEL 20-29 years, male 15.3
GTEX-WFG7-2026-SM-5SI7P 20-29 years, male 15.2
GTEX-14PJ4-0226-SM-5YY92 60-69 years, male 15.1
GTEX-Y3IK-1626-SM-4YCF5 50-59 years, female 15.1
GTEX-1H1E6-0426-SM-9WYUS 30-39 years, male 15.0
GTEX-1R7EU-1626-SM-DTXG3 60-69 years, male 15.0
GTEX-1K2DA-1026-SM-CGQGF 50-59 years, male 14.9
GTEX-13OVK-1426-SM-6PAN7 40-49 years, male 14.8
GTEX-18D9U-0126-SM-731BM 40-49 years, male 14.8
GTEX-14C38-0726-SM-5SI6M 50-59 years, male 14.6
GTEX-1A3MX-2626-SM-7PC24 60-69 years, male 14.6
GTEX-14B4R-1326-SM-5Q5EZ 30-39 years, male 14.3
GTEX-11P82-1426-SM-DTXFY 20-29 years, male 14.1
GTEX-VJYA-1526-SM-3GIJV 60-69 years, male 14.0
GTEX-1CB4J-1326-SM-7P8RX 60-69 years, male 13.9
GTEX-XK95-0226-SM-4AT58 40-49 years, male 13.8
GTEX-1477Z-0326-SM-7IGLA 60-69 years, male 13.7
GTEX-15G19-2426-SM-7KUMR 60-69 years, male 13.7
GTEX-1I6K7-1926-SM-B2LXR 40-49 years, male 13.7
GTEX-1JK1U-0226-SM-ARZMX 60-69 years, male 13.7
GTEX-1K2DU-1226-SM-CYPT4 20-29 years, male 13.7
GTEX-16MTA-0926-SM-6M47Z 50-59 years, male 13.6
GTEX-1399R-1326-SM-5PNYS 30-39 years, male 13.3
GTEX-1S3DN-2126-SM-E9TIN 50-59 years, male 13.2
GTEX-1A3MV-1826-SM-731CD 30-39 years, male 13.1
GTEX-ZP4G-1426-SM-4WWCL 20-29 years, female 13.1
GTEX-1LVAN-0626-SM-CNPOQ 50-59 years, female 13.1
GTEX-WHPG-2626-SM-3NMBR 50-59 years, male 13.0
GTEX-1IKOE-1426-SM-CE6T7 30-39 years, female 12.9
GTEX-14PHY-1226-SM-5ZZWK 60-69 years, female 12.8
GTEX-1AX9J-1326-SM-731BJ 60-69 years, male 12.8
GTEX-1F5PK-2226-SM-7SB6N 50-59 years, male 12.8
GTEX-1LSNM-0826-SM-DIPG8 50-59 years, male 12.8
GTEX-11DZ1-2426-SM-5GZZX 50-59 years, male 12.7
GTEX-133LE-2326-SM-5K7W3 20-29 years, female 12.7
GTEX-13FTW-0326-SM-5K7UW 40-49 years, male 12.7
GTEX-1CB4I-0126-SM-7RHGG 50-59 years, male 12.7
GTEX-1CAMR-1326-SM-7PC1F 20-29 years, male 12.6
GTEX-1KXAM-1626-SM-D3LAD 60-69 years, male 12.6
GTEX-XV7Q-1826-SM-4BRUV 40-49 years, female 12.5
GTEX-ZVE2-2826-SM-5GU51 50-59 years, male 12.3
GTEX-1HSMQ-2626-SM-A9SML 50-59 years, male 12.1
GTEX-11P7K-1126-SM-5HL4L 30-39 years, male 12.0
GTEX-ZDTT-0426-SM-4WKFL 60-69 years, male 11.9
GTEX-1117F-2926-SM-5GZYI 60-69 years, female 11.7
GTEX-1H23P-0626-SM-9WG6T 60-69 years, male 11.7
GTEX-11DXX-2126-SM-5PNYR 60-69 years, female 11.6
GTEX-YEC3-1326-SM-DO92X 50-59 years, male 11.6
GTEX-17F97-2626-SM-7IGM5 50-59 years, male 11.5
GTEX-1GN1W-2426-SM-9KNUU 50-59 years, female 11.4
GTEX-14PJ3-1126-SM-5ZZVX 50-59 years, male 11.2
GTEX-Y8E4-2026-SM-5IFJB 40-49 years, male 11.2
GTEX-1CAMS-2226-SM-7PBXQ 40-49 years, female 11.2
GTEX-11NSD-0626-SM-5A5LU 20-29 years, male 11.0
GTEX-1PPH7-1126-SM-DTX9A 40-49 years, male 11.0
GTEX-1RAZR-2126-SM-E9U6T 40-49 years, male 10.9
GTEX-131XF-2626-SM-5EQ6K 60-69 years, male 10.7
GTEX-17MFQ-1526-SM-7KFRR 20-29 years, male 10.7
GTEX-1JJ6O-2726-SM-CNPOG 60-69 years, male 10.7
GTEX-13NYS-0626-SM-5L3F1 60-69 years, male 10.6
GTEX-12WSH-1526-SM-5BC5W 50-59 years, male 10.5
GTEX-1QPFJ-1926-SM-EVYBD 30-39 years, female 10.5
GTEX-131XG-0326-SM-5L3DX 50-59 years, female 10.4
GTEX-1F52S-2926-SM-7MKGA 60-69 years, female 10.4
GTEX-XQ8I-0926-SM-4BOOF 50-59 years, male 10.4
GTEX-1ICG6-1226-SM-A9SLN 70-79 years, female 10.4
GTEX-1AMFI-1326-SM-7939R 50-59 years, female 10.2
GTEX-1122O-1026-SM-9WYSF 60-69 years, female 10.2
GTEX-1LVAO-2726-SM-E9TJ8 60-69 years, male 10.1
GTEX-YFCO-1226-SM-5LUAT 40-49 years, male 10.0
GTEX-1QAET-0326-SM-EVR3U 50-59 years, male 10.0
GTEX-11TT1-1826-SM-5EQLV 20-29 years, male 9.9
GTEX-15RIG-0726-SM-7KUM7 40-49 years, male 9.9
GTEX-XBEW-1126-SM-4QARW 40-49 years, male 9.7
GTEX-15UF6-1926-SM-7KUDV 70-79 years, female 9.6
GTEX-Y114-2126-SM-4TT8B 50-59 years, female 9.6
GTEX-ZF29-0926-SM-4WKFZ 60-69 years, female 9.6
GTEX-12ZZZ-0726-SM-5GCNZ 60-69 years, male 9.4
GTEX-WYJK-0526-SM-3NM8Z 50-59 years, male 9.4
GTEX-XAJ8-1426-SM-47JYM 40-49 years, male 9.3
GTEX-Y9LG-1126-SM-4VBQ7 30-39 years, male 9.3
GTEX-1A3MW-0626-SM-731CB 60-69 years, female 9.2
GTEX-13W3W-0726-SM-5IJDQ 60-69 years, female 9.1
GTEX-1I6K6-1726-SM-CGQFD 30-39 years, male 9.1
GTEX-15EO6-2426-SM-6PALZ 50-59 years, male 9.0
GTEX-ZYVF-0926-SM-5E44J 50-59 years, female 9.0
GTEX-16AAH-0626-SM-793C9 50-59 years, male 8.9
GTEX-1AX9I-2226-SM-73KUO 60-69 years, male 8.9
GTEX-12584-0726-SM-5FQTK 40-49 years, male 8.8
GTEX-1314G-1326-SM-5BC6E 30-39 years, male 8.8
GTEX-14C39-1726-SM-5RQIL 40-49 years, male 8.7
GTEX-17F9E-2326-SM-79OKD 50-59 years, male 8.7
GTEX-WYBS-0626-SM-3NMAS 60-69 years, female 8.7
GTEX-1IDJE-1426-SM-ADEIW 50-59 years, female 8.6
GTEX-1J1R8-2026-SM-CL53Y 40-49 years, male 8.6
GTEX-1I1GU-0926-SM-ACKVS 40-49 years, male 8.5
GTEX-14PJ6-2626-SM-6EU2T 60-69 years, female 8.4
GTEX-1B996-0426-SM-7EWF8 60-69 years, male 8.4
GTEX-1RAZA-2226-SM-E9U4X 20-29 years, male 8.4
GTEX-15D1Q-2826-SM-6LLH7 40-49 years, male 8.3
GTEX-1C2JI-1026-SM-73KY1 50-59 years, male 8.3
GTEX-1HFI7-2326-SM-CGQFS 50-59 years, female 8.3
GTEX-17HGU-2326-SM-7DUFE 50-59 years, male 8.1
GTEX-16XZZ-0726-SM-7KUF2 60-69 years, male 8.0
GTEX-WHWD-1826-SM-3LK6I 50-59 years, male 8.0
GTEX-ZDXO-3126-SM-5IJDF 60-69 years, male 8.0
GTEX-1H3VE-0726-SM-9YFL5 40-49 years, male 7.9
GTEX-111YS-1526-SM-5GZYW 60-69 years, male 7.8
GTEX-14753-0726-SM-5QGQO 60-69 years, male 7.8
GTEX-ZAJG-1526-SM-5CVML 50-59 years, female 7.8
GTEX-1N2DV-1526-SM-DTXEP 40-49 years, male 7.8
GTEX-13FHO-0426-SM-5L3F5 60-69 years, male 7.7
GTEX-1LBAC-0826-SM-CY8IJ 20-29 years, male 7.7
GTEX-ZAB4-2126-SM-5HL8U 40-49 years, male 7.5
GTEX-ZT9X-1526-SM-5DUXD 40-49 years, male 7.5
GTEX-1J8Q2-2626-SM-ACKWQ 60-69 years, male 7.5
GTEX-1HSGN-0826-SM-ACKW3 40-49 years, female 7.3
GTEX-1O9I2-0226-SM-EYYXD 50-59 years, male 7.3
GTEX-12WSK-2126-SM-5CVNC 40-49 years, female 7.2
GTEX-1HCU9-0426-SM-9WYSD 20-29 years, male 7.2
GTEX-1IE54-1126-SM-A9G2Z 40-49 years, female 7.2
GTEX-11WQK-1026-SM-5EQLX 50-59 years, male 7.1
GTEX-17HII-1426-SM-7EPGG 50-59 years, male 7.1
GTEX-1HBPN-0126-SM-CGQEF 50-59 years, male 7.1
GTEX-1R46S-2426-SM-E76QA 60-69 years, female 7.1
GTEX-144GM-0526-SM-79OJO 20-29 years, male 7.0
GTEX-14A5H-0826-SM-5QGPJ 60-69 years, male 7.0
GTEX-1GPI7-1826-SM-9KNU1 20-29 years, male 7.0
GTEX-1I1GS-2626-SM-B2LY3 60-69 years, male 7.0
GTEX-1JN76-0626-SM-CKZOQ 20-29 years, female 7.0
GTEX-1399U-1126-SM-5L3DB 50-59 years, female 6.9
GTEX-15FZZ-0526-SM-7KUGD 30-39 years, female 6.9
GTEX-1H1DG-2426-SM-9QEHJ 70-79 years, male 6.9
GTEX-1RMOY-1326-SM-E9TIH 50-59 years, male 6.9
GTEX-1CB4H-1126-SM-7MKGL 60-69 years, female 6.8
GTEX-Y5V5-0126-SM-5S2NW 60-69 years, female 6.8
GTEX-145MO-2826-SM-5LU96 60-69 years, male 6.7
GTEX-1HCVE-2726-SM-CL54F 50-59 years, male 6.6
GTEX-14LZ3-0126-SM-69LPM 60-69 years, female 6.5
GTEX-14PII-0726-SM-6EU2B 60-69 years, male 6.5
GTEX-1C64O-1326-SM-7MGWR 60-69 years, male 6.4
GTEX-1RAZQ-1326-SM-E9TK6 30-39 years, male 6.3
GTEX-13N2G-0226-SM-5K7VF 60-69 years, male 6.2
GTEX-1EU9M-1426-SM-793AI 60-69 years, male 6.2
GTEX-14AS3-1526-SM-5Q5ED 40-49 years, female 6.1
GTEX-183WM-0326-SM-72D5V 70-79 years, female 6.1
GTEX-WYVS-1626-SM-3NM9R 40-49 years, female 6.1
GTEX-1JKYR-0626-SM-ARL8R 20-29 years, male 6.1
GTEX-ZF2S-1626-SM-57WES 50-59 years, female 6.0
GTEX-16YQH-2226-SM-7IGM2 30-39 years, male 5.9
GTEX-17EVQ-0126-SM-7IGLR 70-79 years, male 5.9
GTEX-18A7B-2726-SM-7LG56 70-79 years, male 5.9
GTEX-XXEK-1626-SM-4BRUZ 50-59 years, male 5.9
GTEX-ZAK1-0626-SM-5HL8E 50-59 years, female 5.9
GTEX-14ICL-1626-SM-5YYAO 30-39 years, male 5.8
GTEX-15CHQ-0326-SM-69LQD 60-69 years, male 5.8
GTEX-13X6I-1826-SM-5SIAO 60-69 years, male 5.7
GTEX-139T8-0626-SM-5KLZX 60-69 years, male 5.6
GTEX-1I1GT-1026-SM-ARZLV 60-69 years, female 5.6
GTEX-15RJ7-2126-SM-6PAMD 40-49 years, male 5.5
GTEX-V1D1-2026-SM-3GAF4 50-59 years, male 5.5
GTEX-1F75A-0726-SM-7RHHD 50-59 years, male 5.5
GTEX-1MCYP-0526-SM-E9U6Q 20-29 years, female 5.5
GTEX-ZVZP-1226-SM-5GID7 50-59 years, male 5.4
GTEX-1RB15-1326-SM-E76Q9 60-69 years, male 5.4
GTEX-13O3O-2326-SM-5IJD6 60-69 years, female 5.3
GTEX-1GZHY-0626-SM-9KNVC 50-59 years, female 5.3
GTEX-1HCU8-2526-SM-CE6RX 60-69 years, female 5.3
GTEX-1JJE9-2626-SM-ARZMT 70-79 years, male 5.3
GTEX-YJ8O-2526-SM-5HL85 40-49 years, female 5.2
GTEX-139TU-0726-SM-5L3EK 60-69 years, male 5.1
GTEX-1F75B-0726-SM-7PC3R 50-59 years, male 5.1
GTEX-12696-0126-SM-5EQ4L 60-69 years, male 5.0
GTEX-ZVE1-0726-SM-51MRN 50-59 years, female 5.0
GTEX-1GMRU-2126-SM-7P8RA 50-59 years, male 5.0
GTEX-1R9K4-2826-SM-DTX8F 60-69 years, male 5.0
GTEX-13IVO-0726-SM-5LZYV 70-79 years, male 4.9
GTEX-14PJO-2526-SM-6AJBQ 60-69 years, male 4.9
GTEX-1GN1U-0626-SM-9MQL9 50-59 years, female 4.9
GTEX-1C6VQ-1226-SM-73KYD 50-59 years, male 4.8
GTEX-1EWIQ-0326-SM-7DHMQ 70-79 years, female 4.8
GTEX-1JMPZ-0726-SM-CY8HZ 30-39 years, male 4.8
GTEX-13X6K-0626-SM-5LU5D 60-69 years, female 4.7
GTEX-146FQ-2126-SM-5RQHU 30-39 years, male 4.7
GTEX-15RIE-1926-SM-7KUKJ 60-69 years, male 4.7
GTEX-1JMLX-0626-SM-ARL8T 50-59 years, male 4.7
GTEX-13U4I-2226-SM-5LU5H 40-49 years, female 4.6
GTEX-18QFQ-1826-SM-72D52 30-39 years, male 4.6
GTEX-ZXG5-2126-SM-59HKD 60-69 years, male 4.6
GTEX-13YAN-0226-SM-5TDC6 60-69 years, male 4.5
GTEX-15RJE-2826-SM-7KUM9 40-49 years, male 4.5
GTEX-178AV-1726-SM-7KUL8 40-49 years, male 4.5
GTEX-W5X1-2526-SM-3GILC 40-49 years, female 4.5
GTEX-1KAFJ-0126-SM-DIPEK 50-59 years, male 4.5
GTEX-13NYC-0126-SM-5L3F4 60-69 years, male 4.4
GTEX-13OVH-0526-SM-5L3E6 70-79 years, male 4.4
GTEX-1CB4E-0926-SM-7EPHT 60-69 years, male 4.4
GTEX-ZY6K-1426-SM-5GZX2 50-59 years, male 4.4
GTEX-1399S-0126-SM-5IJCF 30-39 years, female 4.3
GTEX-12KS4-2126-SM-5FQUT 30-39 years, male 4.2
GTEX-XOT4-0626-SM-4B66L 60-69 years, female 4.2
GTEX-139D8-1126-SM-5LU8W 30-39 years, female 4.1
GTEX-1C6WA-2626-SM-7MKGM 60-69 years, male 4.1
GTEX-WHSB-1326-SM-3LK6W 50-59 years, male 4.1
GTEX-1HSMP-0926-SM-A9SKX 70-79 years, male 4.1
GTEX-12WSM-1926-SM-5BC65 60-69 years, male 4.0
GTEX-13PVQ-0626-SM-5LU47 50-59 years, male 4.0
GTEX-ZPU1-1126-SM-4YCF3 40-49 years, male 4.0
GTEX-1AYD5-2626-SM-7PBXY 50-59 years, male 4.0
GTEX-11ZU8-0126-SM-5EQ58 60-69 years, male 3.9
GTEX-1A32A-0626-SM-731AQ 50-59 years, female 3.9
GTEX-1HB9E-0126-SM-CM2S5 50-59 years, male 3.9
GTEX-11EQ8-0926-SM-5H12V 60-69 years, male 3.8
GTEX-11P81-2226-SM-5PNYI 30-39 years, female 3.8
GTEX-17JCI-2926-SM-7DUFF 60-69 years, female 3.8
GTEX-ZU9S-1826-SM-5NQ9E 30-39 years, male 3.8
GTEX-1GMR8-0626-SM-7RHI7 50-59 years, female 3.8
GTEX-1GN73-0726-SM-7P8TJ 60-69 years, male 3.8
GTEX-1OJC3-1226-SM-DTXER 20-29 years, male 3.8
GTEX-ZTTD-2826-SM-4YCFA 50-59 years, male 3.7
GTEX-1QMI2-2526-SM-E8VNZ 60-69 years, male 3.7
GTEX-ZF3C-0626-SM-DO92O 50-59 years, female 3.7
GTEX-16MT8-2926-SM-7DUFO 60-69 years, female 3.6
GTEX-14C5O-0326-SM-5ZZUX 60-69 years, male 3.5
GTEX-1E2YA-2126-SM-7MXUO 50-59 years, male 3.5
GTEX-1I1CD-0626-SM-CE6SW 60-69 years, female 3.5
GTEX-1QCLY-0226-SM-EWRNH 30-39 years, male 3.5
GTEX-11EI6-2826-SM-5H11D 60-69 years, male 3.4
GTEX-13QJC-0126-SM-5ZZWJ 60-69 years, female 3.4
GTEX-145MG-1526-SM-5Q5EM 50-59 years, male 3.4
GTEX-X4EO-2926-SM-4E3JH 60-69 years, female 3.4
GTEX-ZVT4-2426-SM-5GIEI 50-59 years, female 3.4
GTEX-1JMPY-0226-SM-CKZOK 30-39 years, male 3.4
GTEX-1LG7Y-2526-SM-EWRO7 50-59 years, male 3.4
GTEX-1LVA9-2626-SM-EVYD4 50-59 years, male 3.4
GTEX-1QW4Y-1126-SM-DTXE3 30-39 years, male 3.4
GTEX-1CAV2-0126-SM-7IGN7 40-49 years, female 3.3
GTEX-1F6IF-0926-SM-7SB7M 60-69 years, male 3.3
GTEX-1H2FU-0926-SM-9WPPT 60-69 years, female 3.3
GTEX-1S82U-1026-SM-E6CJK 30-39 years, female 3.3
GTEX-13N1W-2426-SM-5IJD1 70-79 years, male 3.2
GTEX-14E1K-2026-SM-7DUEI 50-59 years, male 3.2
GTEX-1H1DE-1326-SM-9KNUG 20-29 years, male 3.2
GTEX-1HSKV-1226-SM-ADEI4 60-69 years, male 3.2
GTEX-1ICLZ-0326-SM-ARL82 60-69 years, male 3.2
GTEX-147JS-0226-SM-5S2U9 60-69 years, male 3.1
GTEX-15CHR-1126-SM-7EWF4 50-59 years, male 3.1
GTEX-1B8KZ-0326-SM-73KY4 50-59 years, male 3.1
GTEX-1CAMQ-1326-SM-7P8RV 40-49 years, male 3.1
GTEX-1H11D-1826-SM-9QEHM 40-49 years, male 3.1
GTEX-1IDJV-0126-SM-COH3Y 60-69 years, male 3.1
GTEX-VUSG-2326-SM-4KL1U 50-59 years, male 3.0
GTEX-XBEC-0726-SM-4QARZ 50-59 years, male 3.0
GTEX-1IY9M-2826-SM-ARU8H 60-69 years, male 3.0
GTEX-1JMQI-1726-SM-ARL93 50-59 years, male 3.0
GTEX-1PPH8-0126-SM-EWRN8 20-29 years, male 3.0
GTEX-1QP2A-1726-SM-E76QC 50-59 years, male 3.0
GTEX-1192X-2726-SM-5N9DN 50-59 years, male 2.9
GTEX-1E1VI-0326-SM-793D1 50-59 years, male 2.9
GTEX-UPJH-0226-SM-3GADV 50-59 years, male 2.9
GTEX-ZYFD-0626-SM-5E44E 50-59 years, male 2.9
GTEX-1HCU7-0726-SM-A9SL1 50-59 years, male 2.9
GTEX-111FC-2526-SM-5GZXU 60-69 years, male 2.8
GTEX-12WSF-1626-SM-7KUG5 70-79 years, male 2.8
GTEX-16NPX-0726-SM-7KULC 50-59 years, male 2.8
GTEX-1EKGG-0626-SM-7DUGJ 60-69 years, male 2.8
GTEX-1HCU6-2526-SM-ADEHL 60-69 years, female 2.8
GTEX-1PBJJ-1026-SM-E76OS 30-39 years, male 2.8
GTEX-1BAJH-2426-SM-7IGP8 70-79 years, male 2.7
GTEX-1LVAM-0726-SM-E6CIL 50-59 years, female 2.7
GTEX-1N2EE-0626-SM-E76PW 60-69 years, male 2.7
GTEX-15DYW-2726-SM-6EU2I 60-69 years, female 2.6
GTEX-17HG3-2626-SM-7DUF2 30-39 years, female 2.6
GTEX-18A6Q-0626-SM-7KFRP 60-69 years, male 2.6
GTEX-1M4P7-0726-SM-E6CJ3 60-69 years, male 2.6
GTEX-11O72-0626-SM-5PNYE 40-49 years, male 2.5
GTEX-12WSD-0626-SM-5GCMW 60-69 years, female 2.5
GTEX-13SLW-0626-SM-5Q5ER 70-79 years, male 2.5
GTEX-15ER7-0626-SM-6PANF 20-29 years, female 2.5
GTEX-17HHE-1326-SM-7EWDZ 50-59 years, male 2.5
GTEX-17MF6-2626-SM-79OKQ 40-49 years, male 2.5
GTEX-1CB4F-1026-SM-7DUH1 60-69 years, male 2.5
GTEX-1R9PM-1926-SM-EVR3O 20-29 years, male 2.5
GTEX-131XH-0126-SM-5LZUY 50-59 years, male 2.4
GTEX-147F4-0726-SM-5TDDD 50-59 years, male 2.4
GTEX-1F75W-2726-SM-7SB8H 60-69 years, male 2.4
GTEX-18A7A-0126-SM-731AH 50-59 years, female 2.3
GTEX-1A8G7-1326-SM-73KVM 60-69 years, male 2.3
GTEX-Z93S-1626-SM-5CVMB 50-59 years, male 2.3
GTEX-1EMGI-2326-SM-7PBYA 60-69 years, male 2.3
GTEX-1GF9X-1326-SM-7PC2Y 40-49 years, female 2.3
GTEX-1ICLY-0826-SM-CMKG1 50-59 years, male 2.3
GTEX-144GO-2026-SM-5O99P 60-69 years, male 2.2
GTEX-1EN7A-2426-SM-793DB 40-49 years, male 2.2
GTEX-WHSE-0126-SM-3NMBT 20-29 years, male 2.2
GTEX-1K9T9-1526-SM-DIPFR 50-59 years, female 2.2
GTEX-1KD5A-0126-SM-E9U54 50-59 years, male 2.2
GTEX-1QEPI-2626-SM-DTXF4 60-69 years, female 2.2
GTEX-111VG-1626-SM-5EGIO 60-69 years, male 2.1
GTEX-11NUK-2726-SM-5A5MC 50-59 years, male 2.1
GTEX-145MI-0626-SM-5SI8S 60-69 years, female 2.1
GTEX-1GF9V-0826-SM-9KNUV 60-69 years, male 2.1
GTEX-1GPI6-1926-SM-9KNV7 60-69 years, male 2.1
GTEX-1IKJJ-2226-SM-CJI4C 60-69 years, male 2.1
GTEX-1J1OQ-0126-SM-D4P2N 40-49 years, female 2.1
GTEX-13JUV-2026-SM-5K7UA 40-49 years, female 2.0
GTEX-13OW8-1026-SM-5J1NQ 60-69 years, male 2.0
GTEX-15SHW-0226-SM-7LTAT 60-69 years, male 2.0
GTEX-17F96-0126-SM-7EWDU 70-79 years, male 2.0
GTEX-1B8SF-0126-SM-7DUG3 60-69 years, male 2.0
GTEX-1B932-2326-SM-79OL5 40-49 years, female 2.0
GTEX-1KWVE-1026-SM-D3L9O 30-39 years, male 2.0
GTEX-11DYG-1526-SM-5A5JS 60-69 years, male 1.9
GTEX-14ABY-2026-SM-62LDL 50-59 years, male 1.9
GTEX-17HHY-0426-SM-7DHLC 50-59 years, male 1.9
GTEX-17KNJ-2126-SM-718AM 50-59 years, male 1.9
GTEX-1EX96-1026-SM-7MKG2 50-59 years, male 1.9
GTEX-UPK5-0426-SM-3GAEK 40-49 years, male 1.9
GTEX-1GMR3-0126-SM-A9SLW 40-49 years, male 1.9
GTEX-12WSC-2826-SM-5BC5Y 50-59 years, male 1.8
GTEX-13RTJ-0126-SM-5S2NN 60-69 years, male 1.8
GTEX-ZDTS-0826-SM-4WKHL 60-69 years, male 1.8
GTEX-ZYFC-0426-SM-5GICQ 50-59 years, male 1.8
GTEX-1H1CY-0126-SM-9YFLY 60-69 years, female 1.8
GTEX-1LKK1-2626-SM-DKPQE 50-59 years, female 1.8
GTEX-1LSNL-2726-SM-E9TKJ 50-59 years, male 1.8
GTEX-1S5ZU-2526-SM-E6CIF 20-29 years, female 1.8
GTEX-11DXW-0826-SM-5H118 40-49 years, male 1.7
GTEX-13FTY-2126-SM-5IFFB 40-49 years, female 1.7
GTEX-13OW6-2726-SM-5J2OE 50-59 years, male 1.7
GTEX-13X6J-0626-SM-5LU5F 50-59 years, male 1.7
GTEX-145MH-2826-SM-5RQJF 50-59 years, male 1.7
GTEX-15SKB-2826-SM-6PAMH 60-69 years, male 1.7
GTEX-17EVP-2626-SM-7IGMA 40-49 years, male 1.7
GTEX-ZC5H-1526-SM-5HL9Y 40-49 years, female 1.7
GTEX-ZUA1-2626-SM-5NQ92 40-49 years, male 1.7
GTEX-1LB8K-0726-SM-D5OV2 50-59 years, male 1.7
GTEX-1N5O9-0926-SM-E9J3C 60-69 years, male 1.7
GTEX-139UW-0326-SM-5J1ML 60-69 years, male 1.6
GTEX-14BMV-2826-SM-5TDED 50-59 years, male 1.6
GTEX-18465-2826-SM-7LT9J 50-59 years, male 1.6
GTEX-18A67-1626-SM-7LT9T 50-59 years, male 1.6
GTEX-ZYY3-2926-SM-5GIEB 60-69 years, female 1.6
GTEX-1C64N-2626-SM-7PC2N 50-59 years, male 1.6
GTEX-11UD2-2526-SM-5CVNU 50-59 years, male 1.5
GTEX-14LLW-2626-SM-62LDZ 70-79 years, female 1.5
GTEX-17F9Y-0126-SM-79OKX 70-79 years, female 1.5
GTEX-1GN2E-0226-SM-9WG6K 60-69 years, male 1.5
GTEX-1NSGN-0726-SM-DTXEF 50-59 years, male 1.5
GTEX-1NV5F-0626-SM-DTXEG 60-69 years, female 1.5
GTEX-1313W-0626-SM-5EQ4H 50-59 years, female 1.4
GTEX-1EH9U-2826-SM-7DUGT 60-69 years, male 1.4
GTEX-WRHU-2826-SM-3MJG8 50-59 years, female 1.4
GTEX-1HGF4-0126-SM-CNPPX 60-69 years, male 1.4
GTEX-1I1GV-0626-SM-ARL7M 60-69 years, male 1.4
GTEX-12126-0826-SM-5FQTZ 20-29 years, male 1.3
GTEX-12WSA-0426-SM-5EQ5X 60-69 years, male 1.3
GTEX-13PDP-0726-SM-5L3HP 60-69 years, male 1.3
GTEX-XMD2-2126-SM-4YCF8 60-69 years, female 1.3
GTEX-1I19N-0126-SM-CYPSF 70-79 years, male 1.3
GTEX-1JN6P-2926-SM-CL54D 60-69 years, male 1.3
GTEX-13OVL-0126-SM-5L3GJ 50-59 years, male 1.2
GTEX-1B8L1-2226-SM-7P8PT 60-69 years, male 1.2
GTEX-13JVG-0726-SM-5KM16 60-69 years, male 1.1
GTEX-13NZ9-2626-SM-5L3FK 50-59 years, male 1.1
GTEX-ZVTK-0226-SM-51MRG 20-29 years, male 1.1
GTEX-1GZ4I-2626-SM-9KNU3 50-59 years, male 1.1
GTEX-1I1HK-2326-SM-CKZOH 60-69 years, male 1.1
GTEX-1KANB-2826-SM-CY8I6 50-59 years, male 1.1
GTEX-1OJC4-2726-SM-E76PJ 50-59 years, female 1.1
GTEX-11DXZ-2026-SM-5987S 50-59 years, male 1.0
GTEX-144GL-0626-SM-5LU4D 50-59 years, male 1.0
GTEX-145LU-1926-SM-79OJN 50-59 years, male 1.0
GTEX-15DDE-2926-SM-6LLJ3 50-59 years, female 1.0
GTEX-16Z82-2626-SM-7KULU 60-69 years, male 1.0
GTEX-1B933-2426-SM-7DHMD 50-59 years, female 1.0
GTEX-Y111-0626-SM-4SOIT 50-59 years, male 1.0
GTEX-YECK-0326-SM-4W1YS 60-69 years, male 1.0
GTEX-1JMQJ-0826-SM-CNPP7 50-59 years, male 1.0
GTEX-1S83E-1326-SM-E6CJM 40-49 years, male 1.0
GTEX-12ZZY-0726-SM-5EQ66 60-69 years, male 0.9
GTEX-131YS-2826-SM-5EQ47 60-69 years, female 0.9
GTEX-13FLV-0126-SM-5K7WT 50-59 years, male 0.9
GTEX-14A6H-2026-SM-5Q5DD 30-39 years, male 0.9
GTEX-1A8FM-0626-SM-7PC25 50-59 years, female 0.9
GTEX-1C6VR-0126-SM-7RHGB 60-69 years, male 0.9
GTEX-1F6I4-2326-SM-7RHGL 60-69 years, male 0.9
GTEX-1HBPI-2126-SM-ARL9K 50-59 years, male 0.9
GTEX-1IDJH-0126-SM-D3L92 70-79 years, male 0.9
GTEX-11DXY-0126-SM-5H11Q 60-69 years, male 0.8
GTEX-11GS4-0226-SM-5HL77 60-69 years, male 0.8
GTEX-13112-0126-SM-5P9IU 50-59 years, male 0.8
GTEX-13NYB-0126-SM-5J1MD 40-49 years, male 0.8
GTEX-16GPK-0626-SM-7KFSF 60-69 years, male 0.8
GTEX-1RAZS-2526-SM-E6CHT 50-59 years, male 0.8
GTEX-11TUW-0626-SM-5LU9M 60-69 years, male 0.7
GTEX-1212Z-0126-SM-59HK4 60-69 years, male 0.7
GTEX-1399Q-2326-SM-5KM2X 40-49 years, male 0.7
GTEX-145MF-0926-SM-5Q5EA 50-59 years, male 0.7
GTEX-1H4P4-2126-SM-9WYSL 50-59 years, male 0.7
GTEX-1J8EW-2726-SM-CY8HR 60-69 years, female 0.7
GTEX-1POEN-2326-SM-E9J2L 30-39 years, female 0.7
GTEX-11GSP-2326-SM-5HL63 60-69 years, female 0.6
GTEX-12ZZX-2426-SM-5GCOE 40-49 years, female 0.6
GTEX-131XW-0626-SM-5PNVD 50-59 years, female 0.6
GTEX-139TS-2126-SM-5K7XC 60-69 years, male 0.6
GTEX-139TT-2126-SM-5LZWC 60-69 years, male 0.6
GTEX-14BIN-1126-SM-5RQJZ 50-59 years, female 0.6
GTEX-14JG1-1526-SM-5YY9X 40-49 years, male 0.6
GTEX-16MT9-0126-SM-7EPI8 60-69 years, female 0.6
GTEX-XQ3S-1426-SM-4BOPR 20-29 years, male 0.6
GTEX-ZYT6-2326-SM-5GZY3 30-39 years, male 0.6
GTEX-1F6RS-2026-SM-7RHHC 60-69 years, female 0.6
GTEX-1F88F-0126-SM-9WYSZ 60-69 years, female 0.6
GTEX-1GN1V-2826-SM-9JGIA 60-69 years, male 0.6
GTEX-1HFI6-0126-SM-CNPPI 40-49 years, male 0.6
GTEX-1HR9M-2226-SM-CNPPY 60-69 years, male 0.6
GTEX-1LSVX-2526-SM-DIPEU 60-69 years, male 0.6
GTEX-1PPGY-1626-SM-EVYBL 60-69 years, male 0.6
GTEX-1269C-0126-SM-5EQ5L 60-69 years, female 0.5
GTEX-13OW7-0426-SM-5K7VK 50-59 years, male 0.5
GTEX-13PL6-1126-SM-5L3IE 40-49 years, female 0.5
GTEX-147GR-2426-SM-5ZZWQ 60-69 years, male 0.5
GTEX-WK11-2726-SM-3NMAQ 50-59 years, male 0.5
GTEX-ZE7O-2726-SM-51MT5 50-59 years, female 0.5
GTEX-1I1GP-1326-SM-A9G28 50-59 years, male 0.5
GTEX-11OF3-0126-SM-5PNYF 60-69 years, male 0.4
GTEX-11WQC-1826-SM-5GU59 60-69 years, male 0.4
GTEX-13SLX-2226-SM-62LEP 50-59 years, female 0.4
GTEX-13VXU-0626-SM-5L3F9 50-59 years, male 0.4
GTEX-X585-2426-SM-46MW2 50-59 years, male 0.4
GTEX-1IOXB-2726-SM-CM2RI 50-59 years, male 0.4
GTEX-11ZUS-2626-SM-5FQUR 30-39 years, male 0.3
GTEX-13O3Q-0126-SM-5KM34 50-59 years, male 0.3
GTEX-14DAQ-0626-SM-793DS 60-69 years, female 0.3
GTEX-14PJ2-0626-SM-6LLII 50-59 years, male 0.3
GTEX-1F88E-1626-SM-7SB8Z 60-69 years, female 0.3
GTEX-1H3O1-1326-SM-9MQLD 60-69 years, male 0.3
GTEX-1JJEA-1826-SM-ARU8P 60-69 years, male 0.3
GTEX-1PIIG-2326-SM-DTXFR 30-39 years, male 0.3
GTEX-ZE9C-2526-SM-5IJDR 60-69 years, male 0.2
GTEX-ZWKS-0626-SM-5GIDV 30-39 years, male 0.2
GTEX-14JFF-0626-SM-5ZZVT 60-69 years, male 0.2
GTEX-1HT8W-0626-SM-A9G2H 30-39 years, male 0.2
GTEX-1IL2V-1926-SM-B2LW8 70-79 years, male 0.2
GTEX-1J8JJ-0626-SM-ARZMQ 60-69 years, female 0.2
GTEX-13G51-1826-SM-5KLZH 60-69 years, male 0.1
GTEX-145LS-0626-SM-7EPG7 60-69 years, female 0.1
GTEX-1A8G6-2726-SM-731AR 60-69 years, male 0.1
GTEX-1HR98-2226-SM-ADEI2 60-69 years, male 0.1
GTEX-1IDFM-0326-SM-ARL7V 60-69 years, male 0.1
GTEX-11PRG-0726-SM-5EGL1 50-59 years, male 0.0
GTEX-13NZ8-1226-SM-5KM4A 60-69 years, female 0.0
GTEX-148VJ-0626-SM-5LUAW 70-79 years, male 0.0
GTEX-1GZ2Q-0126-SM-9WG6M 40-49 years, male 0.0
Show allShow less
Skin - Sun Exposed (Lower leg)
Average nTPM: 14.8
Samples: 701

Max nTPM: 144.6
Min nTPM: 0.1
Std nTPM: 17.9
Median nTPM: 8.4
GTEX-Y3I4-2126-SM-4TT7C 50-59 years, male 144.6
GTEX-13OVG-1926-SM-5L3DK 60-69 years, male 107.6
GTEX-1QP67-1626-SM-EAZ3X 40-49 years, female 107.4
GTEX-1F48J-0126-SM-7P8TT 50-59 years, female 105.1
GTEX-WI4N-1026-SM-3LK7N 40-49 years, female 104.6
GTEX-QDVN-2026-SM-3GAEP 50-59 years, male 95.1
GTEX-1PWST-0226-SM-E76QJ 70-79 years, male 93.9
GTEX-1C6VQ-0126-SM-7P8RI 50-59 years, male 90.0
GTEX-RUSQ-1526-SM-2TF62 50-59 years, male 88.8
GTEX-ZTPG-0326-SM-5O9AX 20-29 years, female 85.8
GTEX-1H2FU-0126-SM-9WYSI 60-69 years, female 85.3
GTEX-ZQG8-1626-SM-DHXIT 60-69 years, female 79.5
GTEX-13OVJ-0126-SM-5KM36 50-59 years, female 78.0
GTEX-144GN-2326-SM-5LU4F 50-59 years, male 76.2
GTEX-PLZ4-0126-SM-5SI8O 50-59 years, female 73.8
GTEX-1JK1U-2026-SM-CM2RZ 60-69 years, male 73.6
GTEX-U4B1-1826-SM-4DXSU 40-49 years, male 72.6
GTEX-1211K-2026-SM-5EQ4Z 60-69 years, female 72.4
GTEX-14PK6-1926-SM-6ETZU 70-79 years, female 69.8
GTEX-14BIL-0126-SM-5SI92 50-59 years, male 68.4
GTEX-13D11-2426-SM-5KM1V 50-59 years, female 64.0
GTEX-Q734-1926-SM-2I5EV 40-49 years, female 61.9
GTEX-OOBK-0126-SM-2YUND 40-49 years, male 59.1
GTEX-12WSN-5019-SM-79OM6 40-49 years, male 57.4
GTEX-1H3VE-0326-SM-9YFLH 40-49 years, male 56.9
GTEX-13VXT-0126-SM-5LU4I 20-29 years, female 55.2
GTEX-146FR-1326-SM-E9J48 60-69 years, female 55.2
GTEX-1I1GU-2226-SM-CGQFA 40-49 years, male 54.9
GTEX-ZAB4-0226-SM-5N9F5 40-49 years, male 54.5
GTEX-1JKYN-1326-SM-CGQG9 30-39 years, male 52.8
GTEX-11DXX-2426-SM-5GZZW 60-69 years, female 52.4
GTEX-QCQG-1726-SM-3GIJ9 50-59 years, female 51.6
GTEX-WY7C-2326-SM-3NB2U 50-59 years, male 51.6
GTEX-145MO-0326-SM-5Q5B3 60-69 years, male 49.7
GTEX-14753-0426-SM-5NQAM 60-69 years, male 49.6
GTEX-XBED-2226-SM-47JYQ 60-69 years, male 49.0
GTEX-11EMC-2926-SM-5EQ4F 60-69 years, female 48.9
GTEX-13NYS-0126-SM-5MR3W 60-69 years, male 47.8
GTEX-13O1R-0126-SM-5L3EH 60-69 years, male 46.1
GTEX-1JMOU-1526-SM-CL54I 60-69 years, female 44.1
GTEX-1R46S-0626-SM-E9J41 60-69 years, female 43.6
GTEX-R55G-2526-SM-2TC6D 40-49 years, female 43.1
GTEX-Y5LM-1926-SM-5RQJH 40-49 years, female 42.1
GTEX-18D9B-0526-SM-7LTAS 60-69 years, male 41.7
GTEX-1AX8Z-0126-SM-7DHM6 60-69 years, male 41.7
GTEX-14BMU-2226-SM-5TDE9 20-29 years, female 41.5
GTEX-11EM3-2426-SM-59861 20-29 years, female 41.3
GTEX-13X6H-2126-SM-7EWD5 50-59 years, female 41.2
GTEX-Q2AI-1326-SM-2S1PL 40-49 years, male 41.1
GTEX-1CAMS-0426-SM-7P8T2 40-49 years, female 40.8
GTEX-1GZ4H-1726-SM-7PBZJ 50-59 years, female 40.8
GTEX-11XUK-2026-SM-5EQLF 40-49 years, female 40.4
GTEX-11VI4-1726-SM-5CVLH 40-49 years, female 39.8
GTEX-WH7G-2326-SM-3NMBC 40-49 years, male 39.8
GTEX-1HBPM-0226-SM-ARL9F 60-69 years, female 39.8
GTEX-ZF28-0126-SM-4WKGK 60-69 years, male 39.5
GTEX-SN8G-0126-SM-32PLI 50-59 years, female 39.2
GTEX-ZVT2-2526-SM-51MT1 50-59 years, female 39.2
GTEX-U3ZM-1526-SM-3DB9D 40-49 years, male 38.9
GTEX-ZF29-2326-SM-DO92K 60-69 years, female 38.7
GTEX-15EOM-0126-SM-7KUGG 20-29 years, female 37.5
GTEX-YEC4-2126-SM-5IFJH 40-49 years, male 37.1
GTEX-18A66-0226-SM-718BD 60-69 years, male 36.9
GTEX-1ICG6-2526-SM-CGQFZ 70-79 years, female 35.5
GTEX-1B8KE-2126-SM-73KYX 50-59 years, male 35.4
GTEX-183WM-0126-SM-7LTAB 70-79 years, female 35.3
GTEX-X4EP-0126-SM-3P5YV 60-69 years, female 35.3
GTEX-1RAZQ-0726-SM-EAZ43 30-39 years, male 35.1
GTEX-14PN4-0126-SM-6EU2V 50-59 years, male 34.9
GTEX-ZPIC-1726-SM-DHXIU 40-49 years, female 34.4
GTEX-15UKP-0426-SM-7KUFQ 20-29 years, male 33.9
GTEX-1LC47-0326-SM-E9TJP 60-69 years, male 33.9
GTEX-1MGNQ-0126-SM-EVYCJ 40-49 years, male 33.9
GTEX-ZF3C-0126-SM-DO92D 50-59 years, female 33.6
GTEX-1399U-2326-SM-5K7WY 50-59 years, female 33.1
GTEX-P4PQ-0126-SM-2S1NM 60-69 years, male 33.1
GTEX-P44H-0226-SM-2XCEU 40-49 years, male 33.0
GTEX-SE5C-1626-SM-2XCE3 40-49 years, female 33.0
GTEX-15UF6-0826-SM-6PALJ 70-79 years, female 32.9
GTEX-13RTJ-2426-SM-5S2Q2 60-69 years, male 32.8
GTEX-1R9K4-0126-SM-DTX9X 60-69 years, male 32.7
GTEX-144FL-0126-SM-5TDC8 50-59 years, male 32.5
GTEX-ZDTT-2726-SM-4WKF8 60-69 years, male 32.4
GTEX-1HCUA-2426-SM-ADEIS 50-59 years, female 32.4
GTEX-1HB9E-0226-SM-E9U4R 50-59 years, male 32.3
GTEX-1497J-2426-SM-7IGNX 60-69 years, male 32.2
GTEX-146FH-0126-SM-5QGPP 50-59 years, female 32.0
GTEX-PLZ5-2026-SM-2S1O4 50-59 years, male 31.7
GTEX-1J8Q3-1626-SM-CMKGC 60-69 years, male 31.7
GTEX-14JG6-2226-SM-6EU2G 30-39 years, female 31.4
GTEX-XUW1-0426-SM-4BOOT 50-59 years, female 31.1
GTEX-14PJ3-1826-SM-62LEX 50-59 years, male 30.9
GTEX-11DZ1-0126-SM-5985Q 50-59 years, male 30.3
GTEX-11TTK-0126-SM-5987B 60-69 years, female 30.3
GTEX-16BQI-0226-SM-7KUEX 30-39 years, female 30.2
GTEX-NFK9-0226-SM-2HMKQ 40-49 years, male 30.2
GTEX-QDVJ-1726-SM-2I5FX 50-59 years, male 30.1
GTEX-13RTK-1426-SM-5QGQJ 20-29 years, male 29.5
GTEX-ZYW4-0126-SM-5E44A 60-69 years, male 29.4
GTEX-139D8-0226-SM-5KLZO 30-39 years, female 29.3
GTEX-PWCY-1826-SM-DHXIZ 20-29 years, female 29.2
GTEX-1AX9J-0226-SM-73KXM 60-69 years, male 28.6
GTEX-1F5PK-2426-SM-7RHHY 50-59 years, male 28.5
GTEX-1S82Z-0826-SM-E6CHY 30-39 years, female 28.5
GTEX-11ZTT-2426-SM-5EQLS 60-69 years, female 28.2
GTEX-RWS6-2026-SM-2XCB5 60-69 years, female 28.0
GTEX-17F97-0326-SM-7LG5B 50-59 years, male 27.9
GTEX-QDT8-0126-SM-48TZ1 30-39 years, female 27.8
GTEX-18D9U-0226-SM-718BP 40-49 years, male 27.6
GTEX-1IDJU-2626-SM-CM2RT 60-69 years, female 27.4
GTEX-ZDYS-2026-SM-5HL5L 50-59 years, male 27.3
GTEX-1H1E6-1726-SM-ACKVK 30-39 years, male 27.2
GTEX-1HCVE-0126-SM-CGQEU 50-59 years, male 27.0
GTEX-1H23P-0126-SM-ADEJ3 60-69 years, male 26.7
GTEX-1HGF4-2426-SM-ACKXM 60-69 years, male 26.7
GTEX-1JN76-0126-SM-CNPPE 20-29 years, female 26.7
GTEX-12C56-1726-SM-5EQ61 20-29 years, male 26.5
GTEX-14PHW-0126-SM-6LLJI 60-69 years, female 26.5
GTEX-131XF-5016-SM-7MGWE 60-69 years, male 26.5
GTEX-13N11-2526-SM-5K7UE 50-59 years, female 26.4
GTEX-1HUB1-0426-SM-E9U4U 60-69 years, male 26.4
GTEX-145LT-1726-SM-5QGP3 40-49 years, male 26.1
GTEX-X5EB-2226-SM-46MW4 40-49 years, male 26.1
GTEX-14PHX-2326-SM-62LEM 50-59 years, male 26.0
GTEX-1PPH7-2326-SM-EVYB8 40-49 years, male 26.0
GTEX-13OVI-1426-SM-5L3EY 60-69 years, female 25.3
GTEX-1A3MX-0126-SM-731BR 60-69 years, male 25.3
GTEX-1IDJF-0126-SM-CM2RS 20-29 years, male 25.3
GTEX-1GN1W-0526-SM-9MQJQ 50-59 years, female 25.2
GTEX-ZYY3-0126-SM-5GZY5 60-69 years, female 25.0
GTEX-11H98-0126-SM-5EGHG 50-59 years, male 24.9
GTEX-R45C-0126-SM-EAZ2R 60-69 years, female 24.8
GTEX-O5YT-0126-SM-48TBW 20-29 years, male 24.7
GTEX-14LLW-0126-SM-6LLIO 70-79 years, female 24.5
GTEX-1RLM8-2326-SM-EWRN4 50-59 years, male 24.5
GTEX-1QPFJ-0226-SM-E76PB 30-39 years, female 24.2
GTEX-XV7Q-2526-SM-4BRV9 40-49 years, female 24.1
GTEX-1HSMQ-1226-SM-CGQFX 50-59 years, male 24.0
GTEX-12WSL-2526-SM-5GCNJ 50-59 years, male 23.9
GTEX-16XZZ-0126-SM-793DV 60-69 years, male 23.8
GTEX-O5YW-0126-SM-3LK6D 50-59 years, male 23.6
GTEX-145LV-2126-SM-5LU8N 50-59 years, male 23.5
GTEX-16MT8-0426-SM-7KUEY 60-69 years, female 23.5
GTEX-Y8LW-1826-SM-5S2MV 50-59 years, female 23.4
GTEX-XAJ8-0826-SM-47JY6 40-49 years, male 23.3
GTEX-1GMR8-0126-SM-9WYTM 50-59 years, female 23.1
GTEX-13O3O-0126-SM-E9J49 60-69 years, female 23.0
GTEX-17EVQ-0226-SM-7LG4P 70-79 years, male 22.9
GTEX-1I4MK-2226-SM-ACKWD 50-59 years, female 22.9
GTEX-13FHO-0226-SM-5IFGY 60-69 years, male 22.5
GTEX-1A3MW-0126-SM-73KXX 60-69 years, female 22.4
GTEX-1C64O-0126-SM-7SB8P 60-69 years, male 22.3
GTEX-13W3W-2426-SM-5LU5B 60-69 years, female 22.2
GTEX-1CB4J-0626-SM-7DHMP 60-69 years, male 22.1
GTEX-1QP29-0626-SM-EWRMX 50-59 years, male 22.1
GTEX-ZAJG-0126-SM-5HL94 50-59 years, female 21.9
GTEX-TMMY-0226-SM-33HBA 40-49 years, female 21.7
GTEX-1GTWX-0126-SM-9YFLK 60-69 years, male 21.6
GTEX-1JMQK-0226-SM-CL543 60-69 years, male 21.6
GTEX-17HII-0226-SM-7LG4E 50-59 years, male 21.5
GTEX-ZXES-1826-SM-5E43S 30-39 years, female 21.4
GTEX-16XZY-2126-SM-79OK1 70-79 years, male 21.3
GTEX-SUCS-1926-SM-32PM3 70-79 years, male 21.1
GTEX-12584-0126-SM-5EGKQ 40-49 years, male 21.0
GTEX-YB5K-2126-SM-4WWDJ 40-49 years, female 20.9
GTEX-1NHNU-1026-SM-E9J2A 50-59 years, male 20.8
GTEX-1AYD5-2426-SM-73KXR 50-59 years, male 20.7
GTEX-ZGAY-0526-SM-4WWBB 40-49 years, female 20.5
GTEX-1ICLZ-0126-SM-CKZPO 60-69 years, male 20.5
GTEX-OXRL-0126-SM-2YUMP 50-59 years, male 20.4
GTEX-TSE9-0126-SM-3DB83 60-69 years, female 20.4
GTEX-131XG-2626-SM-5KM17 50-59 years, female 20.3
GTEX-17EUY-0426-SM-793BD 20-29 years, male 20.3
GTEX-XBEW-0626-SM-4QASP 40-49 years, male 20.1
GTEX-1I1GT-0626-SM-CGQER 60-69 years, female 20.1
GTEX-U8T8-0126-SM-3DB94 60-69 years, male 20.0
GTEX-WXYG-2326-SM-4E3I6 50-59 years, female 20.0
GTEX-ZVZP-2426-SM-59HKJ 50-59 years, male 20.0
GTEX-X8HC-0126-SM-4E3JW 50-59 years, female 19.9
GTEX-X88G-0126-SM-47JZ3 30-39 years, male 19.8
GTEX-1J1OQ-0226-SM-CYPSH 40-49 years, female 19.7
GTEX-1AX9K-2326-SM-73KWU 50-59 years, male 19.4
GTEX-12WSJ-1826-SM-5GCNY 40-49 years, female 19.1
GTEX-1H1DG-0126-SM-9WYU2 70-79 years, male 18.7
GTEX-PSDG-0226-SM-DKPOZ 50-59 years, male 18.7
GTEX-11LCK-1026-SM-5A5KB 30-39 years, male 18.6
GTEX-ZV6S-2326-SM-4YCEY 40-49 years, female 18.6
GTEX-18A7B-0126-SM-7LG64 70-79 years, male 18.5
GTEX-133LE-1826-SM-5J1MV 20-29 years, female 18.3
GTEX-Z9EW-1626-SM-5CVMN 40-49 years, male 18.3
GTEX-RTLS-0126-SM-447CA 60-69 years, female 18.1
GTEX-1J1R8-1726-SM-ARL8M 40-49 years, male 18.0
GTEX-16AAH-1726-SM-7939C 50-59 years, male 17.9
GTEX-18QFQ-0126-SM-731BE 30-39 years, male 17.8
GTEX-13PVR-2326-SM-5QGR1 60-69 years, female 17.7
GTEX-13RTL-0126-SM-7LG5S 40-49 years, male 17.7
GTEX-13O21-1426-SM-5K7XI 50-59 years, male 17.6
GTEX-WRHK-1426-SM-3MJF9 20-29 years, female 17.4
GTEX-1R7EV-2426-SM-EVYBG 40-49 years, male 17.4
GTEX-1N2EF-0226-SM-EYYXB 60-69 years, male 17.3
GTEX-VUSG-2526-SM-4KL1V 50-59 years, male 17.2
GTEX-X4XY-0226-SM-4E3IZ 60-69 years, male 17.2
GTEX-S95S-1226-SM-4GICG 60-69 years, male 17.0
GTEX-W5WG-1826-SM-4KL2Y 50-59 years, female 17.0
GTEX-1N2DV-0226-SM-E6CJ6 40-49 years, male 16.9
GTEX-OXRK-0226-SM-3NB2G 50-59 years, female 16.8
GTEX-11ZVC-2526-SM-5FQTE 50-59 years, female 16.7
GTEX-Q2AG-0126-SM-33HBV 40-49 years, female 16.7
GTEX-145MN-2226-SM-5SIAU 30-39 years, male 16.6
GTEX-14PN3-2426-SM-6LLHS 60-69 years, female 16.5
GTEX-1I1GS-0126-SM-B2LVW 60-69 years, male 16.5
GTEX-17HGU-0226-SM-7DHKV 50-59 years, male 16.4
GTEX-1LGOU-2026-SM-DIPFF 20-29 years, female 16.4
GTEX-ZY6K-1826-SM-5GZXK 50-59 years, male 16.3
GTEX-1C6VS-0526-SM-7DUEN 60-69 years, male 16.0
GTEX-13CF3-2426-SM-5IFGX 60-69 years, female 15.9
GTEX-ZVE2-0226-SM-59HJB 50-59 years, male 15.9
GTEX-111VG-2426-SM-5GZXD 60-69 years, male 15.8
GTEX-18A67-0126-SM-7LG5P 50-59 years, male 15.8
GTEX-ZTSS-1926-SM-57WEW 40-49 years, male 15.6
GTEX-1GF9W-0326-SM-9KNUN 60-69 years, male 15.4
GTEX-14DAR-2026-SM-5S2O3 50-59 years, male 15.3
GTEX-11P82-1626-SM-59879 20-29 years, male 15.2
GTEX-14JIY-0126-SM-6LLH6 60-69 years, male 15.2
GTEX-113IC-0126-SM-5HL6T 60-69 years, male 15.1
GTEX-OXRN-0126-SM-48TDM 50-59 years, male 15.1
GTEX-ZYFG-2326-SM-5E44B 60-69 years, female 15.0
GTEX-1RB15-2126-SM-E9TIM 60-69 years, male 15.0
GTEX-145MI-0526-SM-5O9A8 60-69 years, female 14.8
GTEX-17F98-0626-SM-79OMX 40-49 years, female 14.7
GTEX-RM2N-1426-SM-2TF4H 50-59 years, male 14.7
GTEX-XXEK-2226-SM-4BRUM 50-59 years, male 14.7
GTEX-1KD5A-0226-SM-D5OV3 50-59 years, male 14.7
GTEX-1269C-2526-SM-5EGJ3 60-69 years, female 14.6
GTEX-NPJ8-0126-SM-2YUNR 40-49 years, male 14.6
GTEX-1HCU6-0126-SM-CL54K 60-69 years, female 14.6
GTEX-11TT1-2526-SM-5EGIB 20-29 years, male 14.4
GTEX-14ICK-0226-SM-6EU25 40-49 years, male 14.4
GTEX-15G19-0126-SM-6PANQ 60-69 years, male 14.4
GTEX-WOFL-0126-SM-3MJG2 60-69 years, male 14.4
GTEX-WYJK-0126-SM-3NMAB 50-59 years, male 14.4
GTEX-15SHU-0126-SM-7KUEH 40-49 years, female 14.2
GTEX-1K9T9-0126-SM-EVYCF 50-59 years, female 14.2
GTEX-183FY-0126-SM-7LT9P 20-29 years, male 14.1
GTEX-1K2DA-1826-SM-CGQGT 50-59 years, male 14.1
GTEX-1AMEY-1326-SM-73KYK 30-39 years, female 13.9
GTEX-14XAO-2326-SM-6EU1B 60-69 years, female 13.8
GTEX-13FH7-2026-SM-E9J4I 50-59 years, female 13.8
GTEX-1H3NZ-0126-SM-ACKX7 60-69 years, male 13.8
GTEX-1R7EU-0226-SM-EVR4G 60-69 years, male 13.8
GTEX-1JMPY-1326-SM-ARL8Y 30-39 years, male 13.7
GTEX-13FTX-1826-SM-5J1NX 20-29 years, female 13.6
GTEX-POMQ-2226-SM-2I5FK 20-29 years, female 13.6
GTEX-XYKS-2126-SM-4E3IB 60-69 years, female 13.6
GTEX-VJWN-0126-SM-3GIK7 50-59 years, female 13.3
GTEX-1MUQO-0126-SM-EAZ58 60-69 years, male 13.3
GTEX-1QP9N-1426-SM-DTXFL 30-39 years, male 13.3
GTEX-13113-5016-SM-7EPIP 60-69 years, female 13.2
GTEX-WQUQ-0426-SM-3MJFU 60-69 years, male 13.2
GTEX-T8EM-1026-SM-3DB7M 40-49 years, male 13.1
GTEX-17MFQ-1726-SM-793C7 20-29 years, male 13.0
GTEX-1C2JI-1826-SM-73KXC 50-59 years, male 13.0
GTEX-1HKZK-0326-SM-9WYUH 40-49 years, male 13.0
GTEX-Y114-2426-SM-4TT8A 50-59 years, female 12.9
GTEX-1B996-0226-SM-7RHGO 60-69 years, male 12.9
GTEX-1HR98-0126-SM-B2LWI 60-69 years, male 12.8
GTEX-1HSMP-0126-SM-E6CJS 70-79 years, male 12.8
GTEX-18D9A-1926-SM-7LG6P 30-39 years, female 12.7
GTEX-1K2DU-2326-SM-E9TIV 20-29 years, male 12.7
GTEX-13W46-0226-SM-5SIAG 50-59 years, male 12.6
GTEX-148VJ-0126-SM-5TDDN 70-79 years, male 12.6
GTEX-ZZ64-1726-SM-5GZYB 20-29 years, male 12.6
GTEX-11WQK-0526-SM-5EQLD 50-59 years, male 12.5
GTEX-11P7K-2126-SM-5GU7G 30-39 years, male 12.4
GTEX-13N2G-2626-SM-5J1OT 60-69 years, male 12.4
GTEX-ZQUD-1426-SM-57WER 30-39 years, male 12.4
GTEX-13IVO-0126-SM-5J1NG 70-79 years, male 12.3
GTEX-13X6I-0626-SM-5QGP9 60-69 years, male 12.3
GTEX-1122O-2126-SM-5EGIR 60-69 years, female 12.2
GTEX-1JN1M-0326-SM-CYPT3 60-69 years, female 12.0
GTEX-Q2AH-1626-SM-3GAF8 40-49 years, male 11.9
GTEX-15SB6-1726-SM-6PAME 50-59 years, female 11.8
GTEX-1H1DE-2126-SM-9WG6R 20-29 years, male 11.8
GTEX-QLQW-1126-SM-2S1Q8 30-39 years, male 11.7
GTEX-13YAN-0326-SM-5O9DF 60-69 years, male 11.6
GTEX-1128S-2326-SM-5GZZY 60-69 years, female 11.5
GTEX-147F3-0526-SM-5SI98 50-59 years, female 11.5
GTEX-1PFEY-1526-SM-E76PP 30-39 years, male 11.5
GTEX-14PII-0226-SM-6EU1T 60-69 years, male 11.4
GTEX-T6MO-1626-SM-32QOM 40-49 years, female 11.4
GTEX-QLQ7-1626-SM-2S1R8 60-69 years, male 11.3
GTEX-S7PM-0126-SM-4AD6S 60-69 years, male 11.3
GTEX-U8XE-0326-SM-3DB8P 30-39 years, male 11.2
GTEX-X62O-0126-SM-4E3JN 50-59 years, male 11.0
GTEX-WFG8-2226-SM-3GIL9 20-29 years, male 10.9
GTEX-1CAMR-1926-SM-7EPI2 20-29 years, male 10.8
GTEX-13QJ3-0326-SM-5S2RA 50-59 years, male 10.7
GTEX-1CAV2-2226-SM-7P8P2 40-49 years, female 10.7
GTEX-13SLW-0126-SM-5SI6C 70-79 years, male 10.6
GTEX-1LVAN-0226-SM-COH3S 50-59 years, female 10.6
GTEX-1PDJ9-0326-SM-DTX95 20-29 years, male 10.6
GTEX-1QP66-1726-SM-E8VO1 50-59 years, male 10.6
GTEX-17GQL-2026-SM-718BA 60-69 years, male 10.5
GTEX-U3ZH-2026-SM-3DB78 30-39 years, male 10.5
GTEX-12KS4-0326-SM-5EQ41 30-39 years, male 10.4
GTEX-1HBPN-0226-SM-9YFM1 50-59 years, male 10.4
GTEX-1MCYP-1926-SM-E9J2R 20-29 years, female 10.4
GTEX-117YX-2326-SM-5H12W 50-59 years, male 10.3
GTEX-13FTW-2626-SM-5K7WL 40-49 years, male 10.3
GTEX-1S5ZA-0126-SM-EVYCV 20-29 years, male 10.3
GTEX-OIZF-0126-SM-7SB8I 60-69 years, male 10.3
GTEX-YB5E-2026-SM-5IFIS 40-49 years, male 10.2
GTEX-15D1Q-0126-SM-7KUG6 40-49 years, male 10.1
GTEX-1F75I-0326-SM-9YFLU 40-49 years, male 10.1
GTEX-1JMPZ-0226-SM-CNPP1 30-39 years, male 10.1
GTEX-1LH75-2426-SM-E9TJE 50-59 years, female 10.1
GTEX-146FQ-0126-SM-5NQA9 30-39 years, male 10.0
GTEX-1192X-0226-SM-5H12D 50-59 years, male 9.9
GTEX-15ER7-0326-SM-7KUEV 20-29 years, female 9.9
GTEX-1GF9X-2026-SM-7PC3A 40-49 years, female 9.8
GTEX-1ICLY-0126-SM-D4P36 50-59 years, male 9.8
GTEX-12696-2426-SM-5EQ6H 60-69 years, male 9.7
GTEX-1J8Q2-0526-SM-CM2RW 60-69 years, male 9.7
GTEX-113JC-2326-SM-5EQ4E 50-59 years, female 9.6
GTEX-ZDXO-3026-SM-5J1N5 60-69 years, male 9.6
GTEX-ZZPT-0226-SM-5E43X 50-59 years, male 9.6
GTEX-139T8-0126-SM-5K7XZ 60-69 years, male 9.5
GTEX-13NZA-0226-SM-5K7Z7 60-69 years, male 9.5
GTEX-14BIM-0226-SM-7IGLD 60-69 years, female 9.5
GTEX-1CB4H-0226-SM-7PBXM 60-69 years, female 9.5
GTEX-TML8-1926-SM-32QOS 40-49 years, female 9.3
GTEX-X638-0126-SM-47JZ8 70-79 years, female 9.3
GTEX-ZYFD-0126-SM-5GIDL 50-59 years, male 9.3
GTEX-ZAB5-1826-SM-5HL7C 50-59 years, male 9.2
GTEX-1CB4G-0226-SM-7PC3O 60-69 years, male 9.2
GTEX-11EQ9-2426-SM-5HL5T 30-39 years, male 9.1
GTEX-1JKYR-0126-SM-CNPOJ 20-29 years, male 9.1
GTEX-13O3P-0126-SM-5KM4S 50-59 years, male 9.0
GTEX-ZC5H-0226-SM-4WAY9 40-49 years, female 9.0
GTEX-1F52S-0126-SM-9MQJU 60-69 years, female 8.9
GTEX-1M5QR-1226-SM-EWROB 40-49 years, male 8.9
GTEX-1MA7W-2026-SM-E9TJ6 20-29 years, female 8.9
GTEX-R55E-0126-SM-2TC5Y 20-29 years, male 8.8
GTEX-1IY9M-0126-SM-D3L8S 60-69 years, male 8.8
GTEX-1PIGE-0126-SM-EVYBJ 20-29 years, male 8.7
GTEX-1IE54-0126-SM-CMKHW 40-49 years, female 8.6
GTEX-1B97I-1626-SM-73KYO 40-49 years, male 8.5
GTEX-1CB4E-2226-SM-793DC 60-69 years, male 8.4
GTEX-1A8FM-0226-SM-7SB7Q 50-59 years, female 8.4
GTEX-1C6WA-0126-SM-7PC2B 60-69 years, male 8.4
GTEX-1I6K6-0126-SM-A9SLE 30-39 years, male 8.4
GTEX-1GN1U-0126-SM-7PBZK 50-59 years, female 8.3
GTEX-1NV5F-0226-SM-E8VNY 60-69 years, female 8.2
GTEX-1OFPY-2426-SM-DTXEJ 60-69 years, male 8.2
GTEX-13N1W-0126-SM-5K7VT 70-79 years, male 8.1
GTEX-13OW5-0126-SM-DTXFS 60-69 years, male 8.1
GTEX-1H11D-0226-SM-9WG6Z 40-49 years, male 8.1
GTEX-139TT-0126-SM-5K7Y5 60-69 years, male 8.0
GTEX-P4PP-0126-SM-3LK69 30-39 years, female 8.0
GTEX-XPVG-2626-SM-4B669 50-59 years, male 8.0
GTEX-1GPI7-0126-SM-9MQL8 20-29 years, male 8.0
GTEX-1LG7Z-1726-SM-D3LA4 30-39 years, male 8.0
GTEX-1A3MV-1926-SM-718BT 30-39 years, male 7.9
GTEX-1R9PO-2126-SM-E9J4O 60-69 years, female 7.9
GTEX-RU72-0926-SM-2TF6B 50-59 years, female 7.8
GTEX-11ZU8-2526-SM-5EQKI 60-69 years, male 7.7
GTEX-Y5V6-2426-SM-4VDSB 60-69 years, male 7.7
GTEX-1HSEH-0126-SM-ACKXN 60-69 years, male 7.7
GTEX-11P81-2326-SM-59875 30-39 years, female 7.6
GTEX-14E6C-0126-SM-5RQIP 40-49 years, male 7.6
GTEX-TMZS-0126-SM-3DB9Q 60-69 years, male 7.6
GTEX-148VI-1626-SM-5SI6E 60-69 years, female 7.5
GTEX-XMD2-0126-SM-4YCDU 60-69 years, female 7.5
GTEX-1HCU8-0626-SM-A9SM9 60-69 years, female 7.5
GTEX-1HCU9-1526-SM-A9SL7 20-29 years, male 7.5
GTEX-15DDE-0126-SM-6LPKH 50-59 years, female 7.4
GTEX-1QW4Y-1526-SM-EAZ3Z 30-39 years, male 7.4
GTEX-1192W-2626-SM-5Q5AF 60-69 years, male 7.3
GTEX-15F5U-1526-SM-6PANO 40-49 years, male 7.3
GTEX-OIZH-0126-SM-2HMIS 50-59 years, male 7.3
GTEX-U3ZN-2326-SM-3DB7W 30-39 years, female 7.3
GTEX-T2IS-0126-SM-4DM6O 20-29 years, female 7.2
GTEX-ZXG5-0126-SM-5GIEU 60-69 years, male 7.2
GTEX-PLZ6-1426-SM-DKPOT 30-39 years, male 7.2
GTEX-17HHE-2026-SM-79OKF 50-59 years, male 7.1
GTEX-UPJH-0326-SM-3GADU 50-59 years, male 7.1
GTEX-Y8E4-0626-SM-4WWDL 40-49 years, male 7.1
GTEX-1LNCM-1126-SM-E9U5E 50-59 years, female 7.1
GTEX-17F96-1626-SM-7DUFL 70-79 years, male 7.0
GTEX-OXRP-0126-SM-3NB32 60-69 years, female 7.0
GTEX-U412-0426-SM-3DB9O 60-69 years, male 7.0
GTEX-1J8EW-0126-SM-CJI4F 60-69 years, female 7.0
GTEX-11GSO-2426-SM-5A5LY 60-69 years, male 6.9
GTEX-14A5I-0126-SM-5TDEA 50-59 years, female 6.9
GTEX-15SDE-2226-SM-7IGLO 50-59 years, female 6.9
GTEX-1JJE9-0326-SM-CL53Z 70-79 years, male 6.9
GTEX-1OJC4-0126-SM-E9J2E 50-59 years, female 6.9
GTEX-Z93T-0126-SM-5HL5N 50-59 years, male 6.8
GTEX-1LGRB-2526-SM-CNPPQ 50-59 years, female 6.8
GTEX-15ETS-0126-SM-7KUMW 40-49 years, female 6.7
GTEX-1H3VY-0126-SM-ACKXD 50-59 years, male 6.7
GTEX-1M4P7-0226-SM-DIPEV 60-69 years, male 6.7
GTEX-1S82Y-2026-SM-EVYCM 40-49 years, male 6.7
GTEX-139TU-0126-SM-5K7WH 60-69 years, male 6.6
GTEX-17MF6-0126-SM-7LG4F 40-49 years, male 6.6
GTEX-ZEX8-2426-SM-4WKG4 50-59 years, male 6.6
GTEX-P4QT-0126-SM-2I3FL 50-59 years, female 6.5
GTEX-169BO-1326-SM-9MQK2 50-59 years, male 6.5
GTEX-14C5O-0126-SM-5SI6N 60-69 years, male 6.3
GTEX-TKQ1-1026-SM-4GICL 30-39 years, male 6.3
GTEX-ZTX8-1426-SM-5DUVO 20-29 years, male 6.3
GTEX-1GF9U-2126-SM-7SB7L 40-49 years, female 6.3
GTEX-1QP2A-0126-SM-E9J43 50-59 years, male 6.3
GTEX-ZVT4-0126-SM-DTXFN 50-59 years, female 6.3
GTEX-11OC5-0126-SM-5HL6A 60-69 years, male 6.0
GTEX-12ZZZ-0626-SM-5DUXI 60-69 years, male 6.0
GTEX-15CHC-2126-SM-6EU21 60-69 years, female 6.0
GTEX-SSA3-0126-SM-32QPU 60-69 years, male 6.0
GTEX-X4XX-0126-SM-3NMC2 60-69 years, male 6.0
GTEX-13U4I-0126-SM-5LU38 40-49 years, female 5.9
GTEX-1KANC-1526-SM-D3LAB 50-59 years, female 5.9
GTEX-OXRO-0126-SM-2YUN4 60-69 years, female 5.8
GTEX-11EI6-0126-SM-5985R 60-69 years, male 5.7
GTEX-1E2YA-0126-SM-9KNUC 50-59 years, male 5.7
GTEX-1F5PL-0326-SM-7P8PQ 40-49 years, female 5.7
GTEX-11O72-0126-SM-59887 40-49 years, male 5.6
GTEX-OHPL-0126-SM-2HMJ7 60-69 years, female 5.6
GTEX-1LG7Y-0526-SM-DKPQC 50-59 years, male 5.6
GTEX-1POEN-0126-SM-EYYXJ 30-39 years, female 5.6
GTEX-W5X1-3026-SM-EAZAX 40-49 years, female 5.6
GTEX-1314G-1526-SM-5EGK2 30-39 years, male 5.5
GTEX-16NGA-1726-SM-731B4 40-49 years, female 5.5
GTEX-18A7A-0226-SM-718BH 50-59 years, female 5.5
GTEX-SJXC-0126-SM-2XCFF 60-69 years, male 5.5
GTEX-ZVT3-0126-SM-5GU6I 60-69 years, female 5.5
GTEX-14ABY-0226-SM-5TDCQ 50-59 years, male 5.4
GTEX-15DYW-0126-SM-7KULE 60-69 years, female 5.4
GTEX-WFON-2126-SM-3LK7O 40-49 years, male 5.4
GTEX-ZU9S-0226-SM-5E441 30-39 years, male 5.4
GTEX-14E6E-1826-SM-5S2R7 30-39 years, male 5.3
GTEX-OHPM-0126-SM-2YUN9 50-59 years, male 5.3
GTEX-1EU9M-0226-SM-7P8SP 60-69 years, male 5.3
GTEX-QEG4-0226-SM-2S1PY 30-39 years, male 5.2
GTEX-1HBPH-0426-SM-B2LW5 40-49 years, female 5.2
GTEX-1HSGN-0226-SM-CGQFV 40-49 years, female 5.2
GTEX-1JMQI-2226-SM-CM2SD 50-59 years, male 5.2
GTEX-139T4-0226-SM-5HL5S 50-59 years, female 5.1
GTEX-X585-0226-SM-4QAS2 50-59 years, male 5.1
GTEX-Y3IK-2426-SM-4WWDU 50-59 years, female 5.1
GTEX-1HCU7-0226-SM-CL545 50-59 years, male 5.1
GTEX-11NSD-2226-SM-5986V 20-29 years, male 5.0
GTEX-13SLX-0526-SM-5S2ON 50-59 years, female 5.0
GTEX-18A6Q-0126-SM-731BZ 60-69 years, male 5.0
GTEX-1A32A-0126-SM-718B1 50-59 years, female 5.0
GTEX-S32W-2126-SM-2XCB1 50-59 years, female 5.0
GTEX-XQ8I-0426-SM-4BOPO 50-59 years, male 5.0
GTEX-13CF2-2526-SM-5LZYX 60-69 years, male 4.9
GTEX-13OW7-0126-SM-5MR3B 50-59 years, male 4.9
GTEX-147GR-0526-SM-5S2MY 60-69 years, male 4.9
GTEX-1B8SG-0126-SM-73KZ3 50-59 years, male 4.9
GTEX-OIZG-0726-SM-33HBL 50-59 years, male 4.9
GTEX-UJHI-1526-SM-3DB99 50-59 years, female 4.9
GTEX-12WSD-0126-SM-59HKN 60-69 years, female 4.8
GTEX-13NZB-2526-SM-5J1OM 30-39 years, male 4.8
GTEX-145ME-1826-SM-5SI9G 40-49 years, female 4.8
GTEX-14PJ6-2126-SM-6EU1V 60-69 years, female 4.8
GTEX-15RIG-0226-SM-7KFTL 40-49 years, male 4.8
GTEX-T5JC-0426-SM-32PLO 20-29 years, male 4.8
GTEX-1B933-0126-SM-7PC29 50-59 years, female 4.8
GTEX-1F88F-2726-SM-7PBZZ 60-69 years, female 4.8
GTEX-OOBJ-0126-SM-E6CJW 60-69 years, male 4.8
GTEX-13NZ8-0826-SM-5MR3I 60-69 years, female 4.7
GTEX-14PJM-0226-SM-62LF1 50-59 years, female 4.7
GTEX-1I1CD-0126-SM-CM2TK 60-69 years, female 4.7
GTEX-1IDFM-0126-SM-COH2V 60-69 years, male 4.7
GTEX-1QEPI-0126-SM-EWRMQ 60-69 years, female 4.7
GTEX-RWSA-0126-SM-2XCBB 40-49 years, male 4.6
GTEX-1HSMO-0126-SM-CL547 60-69 years, male 4.6
GTEX-11UD1-0126-SM-5PNYG 40-49 years, female 4.5
GTEX-YJ8A-0426-SM-5IFID 20-29 years, male 4.5
GTEX-1QMI2-0226-SM-EVYBX 60-69 years, male 4.5
GTEX-ZUA1-0126-SM-5GU76 40-49 years, male 4.4
GTEX-ZVZO-0126-SM-5A5L9 40-49 years, male 4.4
GTEX-12WSG-2826-SM-E9J4H 50-59 years, female 4.4
GTEX-1GN73-0226-SM-9WG67 60-69 years, male 4.4
GTEX-1OJC3-0126-SM-E76QX 20-29 years, male 4.4
GTEX-VJYA-1126-SM-3GIJU 60-69 years, male 4.3
GTEX-1GN2E-0426-SM-9MQKX 60-69 years, male 4.3
GTEX-1H1ZS-0426-SM-9WG6G 70-79 years, male 4.3
GTEX-13S7M-0126-SM-5SI6A 60-69 years, female 4.2
GTEX-1CB4I-0226-SM-79OLH 50-59 years, male 4.2
GTEX-PWO3-1526-SM-48TCM 60-69 years, female 4.2
GTEX-1KANA-0726-SM-D3L9I 20-29 years, male 4.2
GTEX-15EU6-0426-SM-6PAN5 50-59 years, male 4.0
GTEX-ZV68-0126-SM-59HKS 50-59 years, female 4.0
GTEX-1KAFJ-2026-SM-CY8ID 50-59 years, male 4.0
GTEX-16NPX-0226-SM-79OMT 50-59 years, male 3.9
GTEX-17EVP-0326-SM-7DHLG 40-49 years, male 3.9
GTEX-Y5V5-2326-SM-4V6GA 60-69 years, female 3.9
GTEX-YFC4-0126-SM-5CVLY 40-49 years, female 3.9
GTEX-1S3DN-2226-SM-EVYCD 50-59 years, male 3.9
GTEX-RNOR-0126-SM-E9J4R 50-59 years, female 3.9
GTEX-11OF3-2626-SM-5GU7F 60-69 years, male 3.8
GTEX-13OVL-0226-SM-5L3E9 50-59 years, male 3.8
GTEX-1JMQJ-0526-SM-CYPSU 50-59 years, male 3.8
GTEX-11GSP-2526-SM-5N9BP 60-69 years, female 3.7
GTEX-11ZUS-0626-SM-59885 30-39 years, male 3.7
GTEX-15DCD-0126-SM-7KUEK 70-79 years, female 3.7
GTEX-1C475-1826-SM-73KWA 40-49 years, female 3.7
GTEX-1CAMQ-0226-SM-7IGPK 40-49 years, male 3.7
GTEX-SNMC-1226-SM-2XCFP 20-29 years, male 3.7
GTEX-T2YK-0526-SM-32QPJ 50-59 years, male 3.7
GTEX-1HFI7-1826-SM-ACKXH 50-59 years, female 3.7
GTEX-1RAZA-0126-SM-E6CI3 20-29 years, male 3.7
GTEX-117XS-2726-SM-5N9BL 60-69 years, male 3.6
GTEX-12WSC-0126-SM-5EQ4P 50-59 years, male 3.6
GTEX-1E1VI-0126-SM-7DHMZ 50-59 years, male 3.6
GTEX-1AX9I-0126-SM-7SB74 60-69 years, male 3.6
GTEX-12WSK-2326-SM-5GCOH 40-49 years, female 3.5
GTEX-1313W-0126-SM-5LZUN 50-59 years, female 3.5
GTEX-13OW6-0426-SM-5L3HM 50-59 years, male 3.5
GTEX-14LZ3-0226-SM-62LET 60-69 years, female 3.5
GTEX-1JMLX-0226-SM-CM2RO 50-59 years, male 3.5
GTEX-14A6H-0126-SM-5QGPK 30-39 years, male 3.4
GTEX-PVOW-0126-SM-2XCFA 40-49 years, male 3.4
GTEX-X4EO-0326-SM-3P5YO 60-69 years, female 3.4
GTEX-Y111-0126-SM-4SOIV 50-59 years, male 3.4
GTEX-13NYC-0326-SM-E9J4S 60-69 years, male 3.4
GTEX-1F6IF-0726-SM-7P8TW 60-69 years, male 3.4
GTEX-17HHY-0126-SM-7LG5D 50-59 years, male 3.3
GTEX-XUZC-1726-SM-4BRWS 30-39 years, female 3.3
GTEX-1F7RK-0126-SM-7PC2S 20-29 years, female 3.3
GTEX-11WQC-2526-SM-5CVLE 60-69 years, male 3.2
GTEX-13111-1626-SM-5EGJY 50-59 years, male 3.2
GTEX-13FTY-0526-SM-5L3EV 40-49 years, female 3.2
GTEX-13OVH-0126-SM-5MR4B 70-79 years, male 3.2
GTEX-14BIN-0626-SM-793DP 50-59 years, female 3.2
GTEX-X261-0126-SM-3NMD6 50-59 years, male 3.2
GTEX-1F6RS-0126-SM-9MQKZ 60-69 years, female 3.2
GTEX-1GN1V-0126-SM-9WPOS 60-69 years, male 3.2
GTEX-S33H-1026-SM-EZ6L6 30-39 years, male 3.2
GTEX-11ZTS-0126-SM-5EQ6M 60-69 years, female 3.1
GTEX-13OW8-1326-SM-5J1OW 60-69 years, male 3.1
GTEX-T5JW-1626-SM-3GADZ 20-29 years, female 3.1
GTEX-1I1HK-0126-SM-COH49 60-69 years, male 3.1
GTEX-11DXW-0226-SM-5H122 40-49 years, male 2.9
GTEX-13112-2826-SM-5DUWH 50-59 years, male 2.9
GTEX-132NY-0326-SM-5IJBL 60-69 years, male 2.9
GTEX-14E6D-0126-SM-62LDV 50-59 years, male 2.9
GTEX-15SHW-0326-SM-6PAML 60-69 years, male 2.9
GTEX-QESD-1426-SM-2S1R9 20-29 years, male 2.9
GTEX-RN64-0126-SM-2TC68 50-59 years, male 2.9
GTEX-1GPI6-0126-SM-9WG69 60-69 years, male 2.9
GTEX-11NUK-0126-SM-5A5L3 50-59 years, male 2.8
GTEX-13VXU-0126-SM-5SI9F 50-59 years, male 2.8
GTEX-17HG3-2226-SM-7938L 30-39 years, female 2.8
GTEX-ZAK1-0126-SM-5IJD3 50-59 years, female 2.8
GTEX-1F6I4-0126-SM-9MQL2 60-69 years, male 2.8
GTEX-1GF9V-0326-SM-7RHI5 60-69 years, male 2.8
GTEX-1I1GR-0126-SM-CL55F 60-69 years, male 2.8
GTEX-1LSNM-1926-SM-E6CII 50-59 years, male 2.8
GTEX-1PBJI-0526-SM-E8VNK 20-29 years, female 2.8
GTEX-117YW-2626-SM-5GZZH 50-59 years, male 2.7
GTEX-WYVS-2126-SM-3NMA3 40-49 years, female 2.7
GTEX-Z93S-0126-SM-5HL7M 50-59 years, male 2.7
GTEX-11TUW-2726-SM-E9J4M 60-69 years, male 2.7
GTEX-1J8QM-2126-SM-CYPSJ 60-69 years, female 2.7
GTEX-11UD2-0226-SM-5EQKY 50-59 years, male 2.6
GTEX-1AMFI-2026-SM-731BH 50-59 years, female 2.6
GTEX-1JN6P-0126-SM-D3L98 60-69 years, male 2.6
GTEX-11DXZ-2326-SM-5EGGV 50-59 years, male 2.5
GTEX-11GS4-2726-SM-5A5LE 60-69 years, male 2.5
GTEX-13G51-2526-SM-5LZYK 60-69 years, male 2.5
GTEX-1EX96-1626-SM-7PBXR 50-59 years, male 2.5
GTEX-1MCQQ-0826-SM-DLHC2 60-69 years, male 2.5
GTEX-1O97I-0326-SM-EYYX7 60-69 years, male 2.5
GTEX-1GMRU-0126-SM-9YFLV 50-59 years, male 2.4
GTEX-1PPH8-0226-SM-E8VND 20-29 years, male 2.4
GTEX-PW2O-1526-SM-7RHHB 20-29 years, male 2.4
GTEX-13PDP-0126-SM-5L3HD 60-69 years, male 2.3
GTEX-14BMV-0126-SM-5S2PO 50-59 years, male 2.3
GTEX-XUYS-0126-SM-47JWZ 50-59 years, male 2.3
GTEX-1EN7A-0126-SM-7SB81 40-49 years, male 2.3
GTEX-1L5NE-2526-SM-E6CIE 50-59 years, male 2.3
GTEX-1QAET-0926-SM-E76QM 50-59 years, male 2.3
GTEX-11DXY-2626-SM-5GIE7 60-69 years, male 2.2
GTEX-131XE-2326-SM-5PNZ2 50-59 years, male 2.2
GTEX-1C4CL-0526-SM-73KVK 30-39 years, male 2.2
GTEX-1LBAC-0126-SM-DIPEZ 20-29 years, male 2.2
GTEX-1N2DW-0226-SM-E9TK2 50-59 years, male 2.2
GTEX-131XH-2226-SM-5DUXJ 50-59 years, male 2.1
GTEX-139TS-2826-SM-5J1OO 60-69 years, male 2.1
GTEX-16GPK-0126-SM-7DHLE 60-69 years, male 2.1
GTEX-1C6VR-2426-SM-79OLD 60-69 years, male 2.1
GTEX-S7SE-0126-SM-2XCD5 50-59 years, male 2.1
GTEX-ZWKS-0126-SM-5SIAA 30-39 years, male 2.1
GTEX-1IKK5-0626-SM-ARL8A 60-69 years, male 2.1
GTEX-1QCLY-0326-SM-E8VOG 30-39 years, male 2.1
GTEX-147F4-0226-SM-5QGPW 50-59 years, male 2.0
GTEX-QVJO-1626-SM-2S1QW 60-69 years, female 2.0
GTEX-SIU8-0126-SM-2XCDT 50-59 years, male 2.0
GTEX-1EWIQ-0126-SM-7RHH2 70-79 years, female 2.0
GTEX-1LB8K-0226-SM-EWRNW 50-59 years, male 2.0
GTEX-12ZZY-0226-SM-5LZVE 60-69 years, male 1.9
GTEX-145LU-0126-SM-5TDCB 50-59 years, male 1.9
GTEX-18465-0126-SM-731BN 50-59 years, male 1.9
GTEX-WZTO-0126-SM-3NM95 40-49 years, male 1.9
GTEX-1I1GQ-0126-SM-COH3H 50-59 years, male 1.9
GTEX-1MA7X-2226-SM-E6CIY 60-69 years, male 1.9
GTEX-1RQEC-0426-SM-E6CHU 60-69 years, male 1.9
GTEX-13X6J-0126-SM-5QGOU 50-59 years, male 1.8
GTEX-ZE7O-0126-SM-57WC1 50-59 years, female 1.8
GTEX-ZYFC-0226-SM-5NQ75 50-59 years, male 1.8
GTEX-1HBPI-1526-SM-C1YQ1 50-59 years, male 1.8
GTEX-1IKJJ-0126-SM-CNPQB 60-69 years, male 1.8
GTEX-1IKOH-0226-SM-COH4E 60-69 years, female 1.8
GTEX-1JMQL-0226-SM-CNPP5 50-59 years, female 1.8
GTEX-16YQH-0126-SM-7DUFJ 30-39 years, male 1.7
GTEX-ZVTK-0426-SM-51MRS 20-29 years, male 1.7
GTEX-1GL5R-1826-SM-9KNUY 50-59 years, male 1.7
GTEX-1HFI6-0226-SM-ADEHZ 40-49 years, male 1.7
GTEX-1KXAM-2226-SM-CYPTC 60-69 years, male 1.7
GTEX-1S83E-0126-SM-EWRO4 40-49 years, male 1.7
GTEX-1212Z-2526-SM-5EGKP 60-69 years, male 1.6
GTEX-14JG1-0426-SM-6ETZZ 40-49 years, male 1.6
GTEX-QV44-1926-SM-2S1RF 50-59 years, male 1.6
GTEX-R3RS-0126-SM-3GIJL 40-49 years, female 1.6
GTEX-XQ3S-1526-SM-4BOOC 20-29 years, male 1.6
GTEX-Y8DK-0126-SM-4TT3L 60-69 years, male 1.6
GTEX-1I1GP-2226-SM-CGQFK 50-59 years, male 1.6
GTEX-1I1GV-0526-SM-A9G29 60-69 years, male 1.6
GTEX-1JJ6O-0126-SM-E6CI8 60-69 years, male 1.6
GTEX-1RDX4-0126-SM-E9J4P 50-59 years, female 1.6
GTEX-RVPV-0126-SM-EAZAW 60-69 years, male 1.6
GTEX-12ZZX-0126-SM-5EGK9 40-49 years, female 1.5
GTEX-131XW-0426-SM-5LZWP 50-59 years, female 1.5
GTEX-13O3Q-2426-SM-5IJBR 50-59 years, male 1.5
GTEX-1AYCT-2426-SM-7IGQ3 50-59 years, male 1.5
GTEX-1B8L1-2526-SM-9WYTF 60-69 years, male 1.5
GTEX-1HSKV-0226-SM-A9SKJ 60-69 years, male 1.5
GTEX-1KD4Q-0226-SM-E9TJ9 40-49 years, male 1.5
GTEX-14E7W-0126-SM-6LLJ9 70-79 years, male 1.4
GTEX-1BAJH-0526-SM-793CQ 70-79 years, male 1.4
GTEX-V1D1-2226-SM-3NMAX 50-59 years, male 1.4
GTEX-1EKGG-0226-SM-9WYTH 60-69 years, male 1.4
GTEX-1J8JJ-0226-SM-CL53I 60-69 years, female 1.4
GTEX-1JJEA-0326-SM-CNPOT 60-69 years, male 1.4
GTEX-17KNJ-2326-SM-7DHLQ 50-59 years, male 1.3
GTEX-WVJS-0126-SM-4MVOT 50-59 years, male 1.3
GTEX-1GZHY-0326-SM-9QEHI 50-59 years, female 1.3
GTEX-1H1CY-2826-SM-9MQM3 60-69 years, female 1.3
GTEX-13FXS-0226-SM-5IJCK 50-59 years, male 1.2
GTEX-145LS-0126-SM-5QGP1 60-69 years, female 1.2
GTEX-1B8KZ-2026-SM-7DHMB 50-59 years, male 1.2
GTEX-ZDTS-0126-SM-4WAY5 60-69 years, male 1.2
GTEX-ZE9C-2726-SM-57WB5 60-69 years, male 1.2
GTEX-ZYT6-0226-SM-5NQ6T 30-39 years, male 1.2
GTEX-13JUV-2726-SM-5LZZ8 40-49 years, female 1.1
GTEX-145MF-0626-SM-5LUAI 50-59 years, male 1.1
GTEX-1EMGI-0126-SM-9KNUE 60-69 years, male 1.1
GTEX-1HT8W-0126-SM-CNPPP 30-39 years, male 1.1
GTEX-1I19N-0326-SM-ACKVX 70-79 years, male 1.1
GTEX-1KANB-0526-SM-E6CJH 50-59 years, male 1.1
GTEX-1F75A-0126-SM-7RHGM 50-59 years, male 1.0
GTEX-14DAQ-0126-SM-5S2MQ 60-69 years, female 0.9
GTEX-1B8SF-1426-SM-7DUGL 60-69 years, male 0.9
GTEX-1GZ2Q-0226-SM-7P8TL 40-49 years, male 0.9
GTEX-1H3O1-0426-SM-9YFKY 60-69 years, male 0.9
GTEX-1IL2U-0226-SM-CE6T8 60-69 years, male 0.9
GTEX-1IL2V-0126-SM-CM2TX 70-79 years, male 0.9
GTEX-1MJK2-0426-SM-DTXE5 50-59 years, male 0.9
GTEX-1399R-2726-SM-5IJBA 30-39 years, male 0.8
GTEX-1399T-2826-SM-5KLYZ 60-69 years, male 0.8
GTEX-13OVK-2026-SM-7KUEO 40-49 years, male 0.8
GTEX-144GL-0126-SM-5TDE2 50-59 years, male 0.8
GTEX-T6MN-0126-SM-32PLP 50-59 years, male 0.8
GTEX-1F75B-0126-SM-9KNVL 50-59 years, male 0.8
GTEX-1H4P4-0726-SM-9YFLR 50-59 years, male 0.8
GTEX-11DYG-0126-SM-59883 60-69 years, male 0.7
GTEX-12WSA-0226-SM-5BC5V 60-69 years, male 0.7
GTEX-13FHP-0126-SM-5IJBG 50-59 years, male 0.7
GTEX-1C64N-0126-SM-793D7 50-59 years, male 0.7
GTEX-1CB4F-0426-SM-9KNV4 60-69 years, male 0.7
GTEX-1GMR3-1926-SM-9KNUZ 40-49 years, male 0.7
GTEX-1IGQW-0126-SM-COH42 60-69 years, male 0.7
GTEX-1KWVE-1426-SM-E9TJO 30-39 years, male 0.7
GTEX-131YS-0126-SM-5KM1M 60-69 years, female 0.6
GTEX-139UW-2826-SM-5L3E7 60-69 years, male 0.6
GTEX-14A5H-0426-SM-5QGQF 60-69 years, male 0.6
GTEX-17JCI-0126-SM-7LG5G 60-69 years, female 0.6
GTEX-ZF2S-2326-SM-4WWCE 50-59 years, female 0.6
GTEX-1R9PM-2026-SM-E76OY 20-29 years, male 0.6
GTEX-12126-0326-SM-5PNW3 20-29 years, male 0.5
GTEX-PX3G-0126-SM-2I3EN 20-29 years, female 0.5
GTEX-YJ89-0126-SM-4TT3X 60-69 years, male 0.5
GTEX-111FC-0126-SM-5N9DL 60-69 years, male 0.4
GTEX-1IDJH-0326-SM-A9SLQ 70-79 years, male 0.4
GTEX-1IOXB-0126-SM-ARL8G 50-59 years, male 0.4
GTEX-13NYB-2526-SM-5K7Z6 40-49 years, male 0.2
GTEX-12WSE-0526-SM-793B2 20-29 years, male 0.1
GTEX-1PIIG-0226-SM-EWRN6 30-39 years, male 0.1
Show allShow less

Contact

  • NEWS ARTICLES
  • PRESS ROOM

The Project

  • INTRODUCTION
  • ORGANIZATION
  • PUBLICATIONS

The Human Protein Atlas

  • DOWNLOADABLE DATA
  • LICENCE & CITATION
  • HELP & FAQ
The Human Protein Atlas project is funded
by the Knut & Alice Wallenberg Foundation.


contact@proteinatlas.org