We use cookies to enhance the usability of our website. If you continue, we'll assume that you are happy to receive all cookies. More information. Don't show this again.
PUF60
HPA
RESOURCES
  • TISSUE
  • BRAIN
  • SINGLE CELL
  • SUBCELLULAR
  • CANCER
  • BLOOD
  • CELL LINE
  • STRUCTURE & INTERACTION
ABOUT
  • INTRODUCTION
  • HISTORY
  • ORGANIZATION
  • PUBLICATIONS
  • ANTIBODY SUBMISSION
  • ANTIBODY AVAILABILITY
  • ACKNOWLEDGMENTS
  • CONTACT
NEWS
  • NEWS ARTICLES
  • PRESS ROOM
LEARN
  • DICTIONARY
  • PROTEIN CLASSES
  • PROTEIN EVIDENCE
  • METHODS
  • EDUCATIONAL VIDEOS
DATA
  • DOWNLOADABLE DATA
  • PUBLICATION DATA
  • RELEASE HISTORY
HELP
  • ANTIBODY VALIDATION
  • ASSAYS & ANNOTATION
  • DISCLAIMER
  • HELP & FAQ
  • PRIVACY STATEMENT
  • LICENCE & CITATION
Fields »
Search result

Field
Term
Gene name
Class
Subclass
Class
Keyword
Chromosome
External id
Tissue
Cell type
Expression
Antibody panel
Tissue
Main location
Patient ID
Annotation
Tissue
Category
Tau score
Cluster
Reliability
Brain region
Category
Tau score
Brain region
Category
Tau score
Brain region
Category
Tau score
Cluster
Reliability
Tissue
Cell type
Enrichment
Cell type
Category
Tau score
Cell type
Category
Tau score
Cell type
Category
Tau score
Cell lineage
Category
Tau score
Cluster
Cluster
Location
Searches
Location
Cell line
Class
Type
Phase
Reliability
Cancer
Prognosis
Cancer
Category
Cancer
Category
Tau score
Cluster
Variants
Interacting gene (ensg_id)
Type
Number of interactions
Pathway
Category
Score
Score
Score
Validation
Validation
Validation
Validation
Antibodies
Data type
Column


  • SUMMARY

  • TISSUE

  • BRAIN

  • SINGLE CELL

  • SUBCELL

  • CANCER

  • BLOOD

  • CELL LINE

  • STRUCT & INT

  • PUF60
TISSUE PRIMARY DATA ADIPOSE TISSUE Show tissue menu
ADIPOSE TISSUE ADRENAL GLAND AMYGDALA APPENDIX BASAL GANGLIA BONE MARROW BREAST BRONCHUS CEREBELLUM CEREBRAL CORTEX CERVIX CHOROID PLEXUS COLON DUODENUM
ENDOMETRIUM EPIDIDYMIS ESOPHAGUS FALLOPIAN TUBE GALLBLADDER HEART MUSCLE HIPPOCAMPAL FORMATION HYPOTHALAMUS KIDNEY LIVER LUNG LYMPH NODE MIDBRAIN NASOPHARYNX
ORAL MUCOSA OVARY PANCREAS PARATHYROID GLAND PITUITARY GLAND PLACENTA PROSTATE RECTUM RETINA SALIVARY GLAND SEMINAL VESICLE SKELETAL MUSCLE SKIN SMALL INTESTINE
SMOOTH MUSCLE SOFT TISSUE SPINAL CORD SPLEEN STOMACH TESTIS THYMUS THYROID GLAND TONGUE TONSIL URINARY BLADDER VAGINA
ANTIBODIES
AND
VALIDATION
Dictionary
Tissue proteome
Adipose tissue
ADIPOSE TISSUE - Expression summary
Protein expression
Adipose tissuei

On the top, protein expression in current human tissue, based on all annotated cell types, is reported with the units not detected (n), low (l), medium (m) and high (h). Underneath, protein expression in each annotated cell type are reported using the same units.

Protein expression data is based on knowledge-based annotation. For genes where more than one antibody has been used, a collective score is set.

If knowledge-based annotation could not be performed for a gene, no data is displayed here. View antibody staining data further down this page.

h
m
l
n
Adipocytes: Medium
RNA expressioni

A summary of mRNA expression data available for current tissue based on several datasets. The mRNA expression levels in human tissues are based on RNA-seq data generated by the Human Protein Atlas (HPA), Genotype-Tissue Expression (GTEx) portal and CAGE data generated by the FANTOM5 consortium. Consensus normalized expression levels for human tissues was created by combining the data from HPA and GTEx datasets.

The mRNA expression levels in pig are based on RNA-seq data generated by the Human Protein Atlas (HPA), and for mouse, HPA data and in situ hybridization generated by the Allen brain atlas are reported.

Scroll down to view mRNA expression data in more detail.
Consensus:69.3 nTPM
HPA:18.6 nTPM
GTEx:69.3 nTPM
FANTOM5:56.8 Scaled Tags Per Million

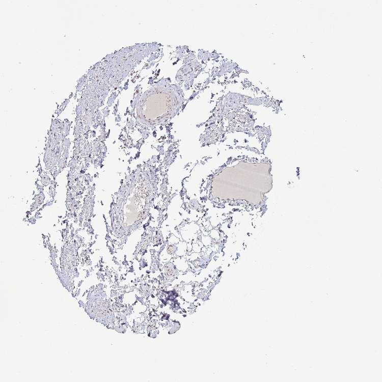
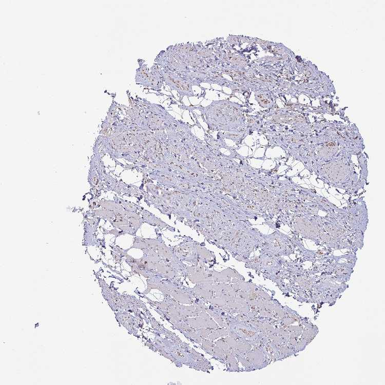
ADIPOSE TISSUE - Antibody stainingi

Antibody staining in the annotated cell types in the current human tissue is reported as not detected, low, medium, or high, based on conventional immunohistochemistry profiling in selected tissues. This score is based on the combination of the staining intensity and fraction of stained cells.

Each image is clickable and will lead to virtual microscopy that enables deeper exploration of all samples and also displays staining intensity scores, fraction scores and subcellular localization as well as patient and tissue information for each sample.

Antibody HPA052096Antibody HPA059714
Adipocytes Not detectedMedium







ADIPOSE TISSUE - HPA RNA-seqi

The RNA-seq details section shows detailed information about the individual samples used for the transcript profiling and results of the RNA-seq analysis.

Information about each individual sample is listed below, including gender, age, a tissue section image and estimated fractions of cell types. nTPM (normalized transcripts per million) values give a quantification of the gene abundance which is comparable between different genes and samples.
Average nTPMi

Max subtype nTPM is the value for the subtype with the largest average nTPM across the subtype samples.

18.6
N/A
Female, age 80
Adipose tissue sample 86
nTPM: 25.4
Cell types%
Adipocytes:
95

Other cell types:
5

N/A
Female, age 45
Adipose tissue sample 115
nTPM: 13
N/A
Female, age 57
Adipose tissue sample 137
nTPM: 22
Cell types%
Adipocytes:
60

Fibroblasts:
20

Smooth muscle cells:
15

Other cell types:
5

overview
Female, age 74
Adipose tissue sample 329
nTPM: 22.6
Cell types%
Adipocytes:
50

Fibroblasts:
30

Smooth muscle cells:
15

Other cell types:
5

overview
Female, age 59
Adipose tissue sample 331
nTPM: 10.1
Cell types%
Adipocytes:
40

Fibroblasts:
40

Smooth muscle cells:
15

Other cell types:
5


ADIPOSE TISSUE - GTEx RNA-seqi

RNA-Seq data generated by the Genotype-Tissue Expression (GTEx) project from human tissues is reported as mean nTPM. More information can be found on the GTEx portal.

Distribution across the dataset is visualized with box plots, shown as median and 25th and 75th percentiles. Points are displayed as outliers if they are above or below 1.5 times the interquartile range. nTPM values of the individual samples are presented next to the box plot.
Max subtype nTPMi

Max subtype nTPM is the value for the subtype with the largest average nTPM across the subtype samples.

69.3
GTEx sample id Sample description nTPM
Adipose - Subcutaneous
Average nTPM: 68.8
Samples: 663

Max nTPM: 133.4
Min nTPM: 40.6
Std nTPM: 13.3
Median nTPM: 66.9
GTEX-1R7EV-1926-SM-EVYBF 40-49 years, male 133.4
GTEX-1N2EF-0626-SM-E9J32 60-69 years, male 131.0
GTEX-T5JW-1726-SM-3GADN 20-29 years, female 126.7
GTEX-ZYVF-0226-SM-5GIEG 50-59 years, female 118.6
GTEX-132QS-2526-SM-62LFJ 60-69 years, male 115.0
GTEX-1399U-2426-SM-5K7XB 50-59 years, female 114.7
GTEX-1ICG6-2626-SM-CGQG1 70-79 years, female 114.5
GTEX-YB5E-2126-SM-5IFI7 40-49 years, male 112.4
GTEX-ZYFD-0226-SM-5NQ86 50-59 years, male 112.3
GTEX-X15G-2326-SM-4PQZS 50-59 years, female 110.2
GTEX-X4XY-0326-SM-46MVZ 60-69 years, male 108.7
GTEX-18A67-0226-SM-7LG67 50-59 years, male 108.3
GTEX-1CAMR-1826-SM-7MXUJ 20-29 years, male 107.1
GTEX-14E1K-2126-SM-793DU 50-59 years, male 106.7
GTEX-1H23P-0226-SM-9YFLO 60-69 years, male 105.9
GTEX-WFG8-2326-SM-DIPDX 20-29 years, male 104.1
GTEX-PWCY-1926-SM-3NB25 20-29 years, female 103.3
GTEX-11P82-1726-SM-5Q5AT 20-29 years, male 102.7
GTEX-U8XE-0426-SM-3DB91 30-39 years, male 102.5
GTEX-15UKP-0526-SM-7KFRO 20-29 years, male 102.3
GTEX-X8HC-0226-SM-4E3K1 50-59 years, female 101.7
GTEX-144GO-1626-SM-7EPG5 60-69 years, male 99.1
GTEX-13QBU-2526-SM-5LU4X 40-49 years, female 98.1
GTEX-1GTWX-0226-SM-9YFLL 60-69 years, male 97.6
GTEX-1GZ4H-1826-SM-9MQLE 50-59 years, female 97.4
GTEX-11TT1-2426-SM-5EQMK 20-29 years, male 96.4
GTEX-11DXX-2326-SM-9YFKS 60-69 years, female 96.4
GTEX-Q2AH-1726-SM-DIPDV 40-49 years, male 96.2
GTEX-1PPGY-0326-SM-DTXFD 60-69 years, male 95.2
GTEX-12WSL-2426-SM-5GCN7 50-59 years, male 94.9
GTEX-144GM-1926-SM-5LUAN 20-29 years, male 94.5
GTEX-1CAMS-0326-SM-7PC35 40-49 years, female 94.2
GTEX-1QP66-1326-SM-DTXDQ 50-59 years, male 94.0
GTEX-QDVJ-1826-SM-2S1P3 50-59 years, male 93.5
GTEX-TKQ1-1126-SM-4GIAZ 30-39 years, male 93.5
GTEX-WY7C-2426-SM-3NB2V 50-59 years, male 93.5
GTEX-XUZC-1826-SM-4BRVO 30-39 years, female 93.5
GTEX-SUCS-1826-SM-32PM1 70-79 years, male 92.9
GTEX-139YR-2426-SM-5J1OB 50-59 years, male 92.4
GTEX-13OW6-0526-SM-5L3HY 50-59 years, male 92.4
GTEX-11EMC-2826-SM-5PNY6 60-69 years, female 91.8
GTEX-13O1R-0226-SM-5K7U5 60-69 years, male 91.8
GTEX-13RTJ-2526-SM-5S2Q3 60-69 years, male 91.1
GTEX-1GPI7-0226-SM-9MQKB 20-29 years, male 91.0
GTEX-14ICK-0326-SM-6LLIZ 40-49 years, male 90.3
GTEX-S95S-1326-SM-2XCDK 60-69 years, male 90.3
GTEX-Y5V6-2526-SM-5IFJV 60-69 years, male 90.3
GTEX-12C56-1626-SM-5FQUO 20-29 years, male 90.1
GTEX-XXEK-2426-SM-4BRUS 50-59 years, male 90.0
GTEX-VUSG-2426-SM-4KKZG 50-59 years, male 89.0
GTEX-XYKS-2726-SM-4E3IC 60-69 years, female 88.8
GTEX-S4P3-1526-SM-E9J3W 50-59 years, female 88.7
GTEX-ZP4G-2326-SM-57WEM 20-29 years, female 88.5
GTEX-11EM3-2326-SM-5H12B 20-29 years, female 88.4
GTEX-17KNJ-2226-SM-DKPOU 50-59 years, male 88.3
GTEX-QESD-1526-SM-2S1QT 20-29 years, male 88.1
GTEX-ZTPG-0226-SM-5O99I 20-29 years, female 88.1
GTEX-1JMQK-0126-SM-CM2S3 60-69 years, male 88.0
GTEX-U4B1-1726-SM-3DB9F 40-49 years, male 87.2
GTEX-OOBK-0226-SM-2YUMF 40-49 years, male 87.0
GTEX-Y9LG-2026-SM-62LFS 30-39 years, male 86.2
GTEX-1I1GU-2326-SM-CGQFB 40-49 years, male 86.1
GTEX-ZQG8-1526-SM-5HL65 60-69 years, female 85.8
GTEX-1MA7W-1926-SM-E6CIO 20-29 years, female 85.8
GTEX-NPJ8-0226-SM-48TBN 40-49 years, male 85.6
GTEX-Y3IK-2526-SM-4WWDM 50-59 years, female 85.6
GTEX-Y114-2326-SM-4TT7X 50-59 years, female 85.4
GTEX-P44G-2326-SM-2XCCZ 30-39 years, male 84.7
GTEX-1LVAN-0126-SM-COH4H 50-59 years, female 84.5
GTEX-133LE-1926-SM-5N9FV 20-29 years, female 84.3
GTEX-U412-0526-SM-3DB9I 60-69 years, male 84.1
GTEX-117YX-2226-SM-5EGJJ 50-59 years, male 83.9
GTEX-14BMU-2126-SM-5S2TS 20-29 years, female 83.8
GTEX-1LSNM-2026-SM-E6CIJ 50-59 years, male 83.7
GTEX-P4PP-0226-SM-D4P1Z 30-39 years, female 83.6
GTEX-POMQ-2326-SM-DHXIS 20-29 years, female 83.6
GTEX-1GMR2-2526-SM-9MQKW 50-59 years, male 83.4
GTEX-WH7G-2226-SM-3NMBN 40-49 years, male 82.8
GTEX-VUSH-0226-SM-EXUQV 30-39 years, male 82.6
GTEX-1JN1M-0126-SM-D4P23 60-69 years, female 82.5
GTEX-1IDJD-1226-SM-CM2TP 30-39 years, male 82.4
GTEX-14ICL-2026-SM-62LDN 30-39 years, male 82.2
GTEX-ZPU1-2426-SM-4WWFM 40-49 years, male 82.2
GTEX-ZT9X-1926-SM-57WE7 40-49 years, male 82.2
GTEX-XGQ4-2226-SM-4AT4Y 50-59 years, male 82.1
GTEX-1RAZA-0226-SM-E9U4W 20-29 years, male 82.1
GTEX-W5WG-2526-SM-4SOJ2 50-59 years, female 81.8
GTEX-QEG5-0326-SM-2S1PB 20-29 years, male 81.7
GTEX-ZGAY-0626-SM-DO92E 40-49 years, female 81.7
GTEX-1FIGZ-1626-SM-7SB8L 40-49 years, male 81.6
GTEX-1HCU8-0726-SM-ADEIR 60-69 years, female 81.6
GTEX-O5YV-0226-SM-48TBY 60-69 years, female 81.5
GTEX-SNOS-1426-SM-32PLY 40-49 years, male 81.5
GTEX-17HII-0326-SM-7LG4X 50-59 years, male 81.3
GTEX-1RAZQ-0626-SM-E8VOR 30-39 years, male 81.2
GTEX-ZVZP-2326-SM-59HL4 50-59 years, male 80.7
GTEX-PWN1-0226-SM-DKPO9 40-49 years, female 80.7
GTEX-13O61-2426-SM-5J1NV 60-69 years, male 80.6
GTEX-ZDYS-2126-SM-5S2P2 50-59 years, male 80.3
GTEX-ZLFU-2626-SM-DO91L 40-49 years, male 80.3
GTEX-R55G-2426-SM-2TC5I 40-49 years, female 80.1
GTEX-15ETS-0426-SM-6PANI 40-49 years, female 79.9
GTEX-XK95-0426-SM-4AT4R 40-49 years, male 79.9
GTEX-1HSMP-0226-SM-CGQFI 70-79 years, male 79.8
GTEX-1S82P-0226-SM-E6CI6 60-69 years, female 79.7
GTEX-OIZG-0826-SM-E9TI4 50-59 years, male 79.7
GTEX-13FH7-2226-SM-5IJD4 50-59 years, female 79.5
GTEX-ZPCL-2126-SM-57WFZ 60-69 years, female 79.3
GTEX-1ICLY-0226-SM-ARL7R 50-59 years, male 79.3
GTEX-1LG7Z-2026-SM-DLHBP 30-39 years, male 79.3
GTEX-T6MN-0226-SM-32PMD 50-59 years, male 79.1
GTEX-1I4MK-2026-SM-B2LVR 50-59 years, female 79.1
GTEX-111CU-1826-SM-5GZYN 50-59 years, male 79.0
GTEX-13111-1726-SM-5EGJZ 50-59 years, male 78.8
GTEX-ZPIC-1826-SM-57WFE 40-49 years, female 78.8
GTEX-R55D-0326-SM-48FES 50-59 years, male 78.6
GTEX-1GN2E-0326-SM-COH3C 60-69 years, male 78.6
GTEX-1IL2V-0226-SM-CMKI2 70-79 years, male 78.6
GTEX-12696-2526-SM-5EQLN 60-69 years, male 78.5
GTEX-1OFPY-2326-SM-E8VNU 60-69 years, male 78.4
GTEX-13W3W-2526-SM-5SI9P 60-69 years, female 78.3
GTEX-1K9T9-0226-SM-E9U6K 50-59 years, female 78.3
GTEX-1A3MX-0226-SM-731C4 60-69 years, male 78.2
GTEX-ZZ64-1626-SM-5E43W 20-29 years, male 78.2
GTEX-13G51-2626-SM-5LZYW 60-69 years, male 78.1
GTEX-REY6-0326-SM-2TF5A 60-69 years, male 78.0
GTEX-14BMV-0226-SM-5S2N2 50-59 years, male 77.9
GTEX-146FH-0226-SM-5QGPQ 50-59 years, female 77.8
GTEX-1GN1W-0626-SM-9MQK3 50-59 years, female 77.7
GTEX-1HCU6-0226-SM-CGQES 60-69 years, female 77.6
GTEX-1R7EU-0326-SM-EWRNJ 60-69 years, male 77.4
GTEX-ZLWG-2226-SM-DO92V 50-59 years, female 77.3
GTEX-16MTA-2126-SM-6PALC 50-59 years, male 77.2
GTEX-1H1DF-0226-SM-ARL9A 40-49 years, female 77.1
GTEX-YJ8A-0526-SM-5IFHT 20-29 years, male 76.9
GTEX-ZYY3-0226-SM-5E45M 60-69 years, female 76.8
GTEX-1LGOU-2226-SM-E9U56 20-29 years, female 76.8
GTEX-11I78-2626-SM-5Q5AI 50-59 years, female 76.6
GTEX-13SLX-0426-SM-5QGRC 50-59 years, female 76.6
GTEX-145MO-0426-SM-5QGP6 60-69 years, male 76.4
GTEX-OXRO-0226-SM-3LK6F 60-69 years, female 76.4
GTEX-145ME-1926-SM-5MR6T 40-49 years, female 76.4
GTEX-14PHX-2426-SM-62LEN 50-59 years, male 76.3
GTEX-15RIE-2326-SM-7KFSC 60-69 years, male 76.3
GTEX-1I6K6-0226-SM-ADEID 30-39 years, male 76.3
GTEX-ZAJG-0226-SM-5HL81 50-59 years, female 76.1
GTEX-1GF9X-1926-SM-ADEIC 40-49 years, female 76.1
GTEX-1MJK2-0526-SM-DTXE6 50-59 years, male 76.1
GTEX-17EUY-0526-SM-7EWDE 20-29 years, male 76.0
GTEX-RUSQ-1626-SM-EZ6L4 50-59 years, male 75.8
GTEX-11H98-0226-SM-5NQ89 50-59 years, male 75.7
GTEX-14E6D-0226-SM-62LDW 50-59 years, male 75.7
GTEX-WEY5-1926-SM-3GIL8 40-49 years, female 75.7
GTEX-ZVP2-1826-SM-5GU62 50-59 years, male 75.6
GTEX-1H4P4-0226-SM-9YFKT 50-59 years, male 75.6
GTEX-1HSMQ-1426-SM-ADEHT 50-59 years, male 75.6
GTEX-VJWN-0226-SM-EZ6LF 50-59 years, female 75.6
GTEX-11XUK-2126-SM-5EQLR 40-49 years, female 75.5
GTEX-1H1ZS-0526-SM-9WG5L 70-79 years, male 75.5
GTEX-13CF3-2326-SM-5IFGL 60-69 years, female 75.3
GTEX-1LH75-2526-SM-E9U5A 50-59 years, female 75.3
GTEX-1MCYP-1826-SM-E9J2Q 20-29 years, female 75.3
GTEX-WFG7-2526-SM-EWRM5 20-29 years, male 75.2
GTEX-Y3I4-2226-SM-4TT7O 50-59 years, male 75.0
GTEX-ZDTT-2626-SM-5S2OP 60-69 years, male 75.0
GTEX-1GN1V-0226-SM-9WYTN 60-69 years, male 75.0
GTEX-1JK1U-2126-SM-CNPOU 60-69 years, male 75.0
GTEX-1L5NE-2626-SM-E9U6P 50-59 years, male 74.9
GTEX-18465-0226-SM-7LG5M 50-59 years, male 74.8
GTEX-YB5K-2226-SM-4WWG1 40-49 years, female 74.8
GTEX-1212Z-2426-SM-5EQ5D 60-69 years, male 74.5
GTEX-1B8KE-2526-SM-73KYQ 50-59 years, male 74.5
GTEX-139T6-2126-SM-5KM37 50-59 years, male 74.4
GTEX-147GR-0426-SM-5S2OL 60-69 years, male 74.3
GTEX-15CHQ-0226-SM-6EU2S 60-69 years, male 74.3
GTEX-1PBJI-0426-SM-E8VNM 20-29 years, female 74.3
GTEX-11P7K-2026-SM-5GU74 30-39 years, male 74.2
GTEX-X4EO-0426-SM-4QASA 60-69 years, female 74.2
GTEX-1HCU7-0326-SM-CMKGI 50-59 years, male 74.2
GTEX-13OVL-0326-SM-5IJCS 50-59 years, male 74.1
GTEX-XUW1-0526-SM-4BOP3 50-59 years, female 74.1
GTEX-1PIGE-0526-SM-DTXFA 20-29 years, male 74.1
GTEX-ZVT4-0226-SM-51MSD 50-59 years, female 74.0
GTEX-1JJEA-0226-SM-COH2X 60-69 years, male 74.0
GTEX-145LT-1826-SM-5QGP4 40-49 years, male 73.9
GTEX-1H1DE-2026-SM-9WG6Q 20-29 years, male 73.9
GTEX-1KD5A-0326-SM-D5OVD 50-59 years, male 73.8
GTEX-14C39-2526-SM-5S2UH 40-49 years, male 73.7
GTEX-13NYB-2626-SM-9YFMI 40-49 years, male 73.7
GTEX-169BO-1426-SM-9MQJT 50-59 years, male 73.6
GTEX-13QJ3-0426-SM-5RQHP 50-59 years, male 73.5
GTEX-14PN3-2526-SM-6EU15 60-69 years, female 73.5
GTEX-T8EM-1126-SM-3DB7D 40-49 years, male 73.5
GTEX-XQ8I-0526-SM-4BOPS 50-59 years, male 73.5
GTEX-16XZZ-0226-SM-7MGVJ 60-69 years, male 73.5
GTEX-UTHO-0426-SM-CE6QU 60-69 years, male 73.5
GTEX-11DZ1-0226-SM-5A5KF 50-59 years, male 73.3
GTEX-11TUW-2626-SM-5EQKZ 60-69 years, male 73.3
GTEX-17HHE-1926-SM-7EPGW 50-59 years, male 73.3
GTEX-18D9U-0726-SM-7LG5J 40-49 years, male 73.3
GTEX-13FTW-2526-SM-5IJC8 40-49 years, male 73.2
GTEX-13N1W-0226-SM-5K7W6 70-79 years, male 73.1
GTEX-1HB9E-0426-SM-CNPPV 50-59 years, male 73.1
GTEX-1K2DA-2126-SM-CGQGL 50-59 years, male 73.1
GTEX-16NGA-1826-SM-7LG5L 40-49 years, female 73.0
GTEX-ZF3C-0226-SM-4WWB3 50-59 years, female 73.0
GTEX-12ZZY-0326-SM-5LZVQ 60-69 years, male 72.9
GTEX-131XE-2426-SM-5EQ5V 50-59 years, male 72.9
GTEX-18A66-0326-SM-718BE 60-69 years, male 72.9
GTEX-UJHI-1626-SM-3DB9A 50-59 years, female 72.9
GTEX-1LBAC-0226-SM-DHXJZ 20-29 years, male 72.9
GTEX-1I1GS-0226-SM-B2LVX 60-69 years, male 72.8
GTEX-1JJ6O-0226-SM-E6CI9 60-69 years, male 72.7
GTEX-147F3-0626-SM-5NQ9I 50-59 years, female 72.6
GTEX-Q2AI-1426-SM-2S1P5 40-49 years, male 72.6
GTEX-XQ3S-1626-SM-4WAYN 20-29 years, male 72.6
GTEX-17F98-1126-SM-79OJS 40-49 years, female 72.5
GTEX-1KANA-0826-SM-D3L9J 20-29 years, male 72.5
GTEX-1J1R8-2226-SM-ARZMP 40-49 years, male 72.4
GTEX-14PII-0326-SM-6LLIQ 60-69 years, male 72.3
GTEX-1MGNQ-0226-SM-EVYCK 40-49 years, male 72.3
GTEX-YECK-0226-SM-4W215 60-69 years, male 72.2
GTEX-1122O-2026-SM-9YFMG 60-69 years, female 72.2
GTEX-1J8QM-2326-SM-CYPSL 60-69 years, female 72.2
GTEX-1497J-2326-SM-5NQBK 60-69 years, male 72.0
GTEX-1AX9K-2426-SM-73KZ4 50-59 years, male 72.0
GTEX-SIU8-0226-SM-2XCDS 50-59 years, male 72.0
GTEX-1QEPI-0226-SM-EWRMR 60-69 years, female 71.9
GTEX-13IVO-0226-SM-5LZXU 70-79 years, male 71.8
GTEX-YJ89-0226-SM-4TT3Y 60-69 years, male 71.8
GTEX-1QP29-0726-SM-DTXFM 50-59 years, male 71.8
GTEX-XLM4-0226-SM-4AT4N 60-69 years, male 71.7
GTEX-OXRP-0226-SM-3NB14 60-69 years, female 71.6
GTEX-131XW-0526-SM-5PNXZ 50-59 years, female 71.5
GTEX-ZF29-2226-SM-4WWB9 60-69 years, female 71.4
GTEX-1RDX4-0226-SM-DTXG1 50-59 years, female 71.4
GTEX-13X6J-0226-SM-7EPGC 50-59 years, male 71.2
GTEX-1IDJU-2526-SM-CMKGF 60-69 years, female 71.1
GTEX-11O72-0226-SM-59869 40-49 years, male 71.0
GTEX-12584-0226-SM-5EQL5 40-49 years, male 71.0
GTEX-1I1GP-2326-SM-CGQFL 50-59 years, male 70.9
GTEX-13PVQ-0226-SM-5SIBG 50-59 years, male 70.8
GTEX-16AAH-2026-SM-7LG5F 50-59 years, male 70.8
GTEX-ZTSS-2026-SM-5987K 40-49 years, male 70.8
GTEX-1R46S-0526-SM-EVYBZ 60-69 years, female 70.8
GTEX-14BIN-0726-SM-793DQ 50-59 years, female 70.7
GTEX-1HR98-0226-SM-CGQEK 60-69 years, male 70.7
GTEX-1PPH8-0626-SM-EWRN9 20-29 years, male 70.7
GTEX-14PK6-2026-SM-6LLHP 70-79 years, female 70.6
GTEX-OIZH-0226-SM-2YUMH 50-59 years, male 70.6
GTEX-OXRL-0226-SM-3NB18 50-59 years, male 70.6
GTEX-14E6E-1926-SM-664N4 30-39 years, male 70.5
GTEX-XBEW-0726-SM-4QARX 40-49 years, male 70.5
GTEX-1C6VR-2626-SM-7MGX2 60-69 years, male 70.5
GTEX-1QP28-0226-SM-E9J2N 50-59 years, female 70.5
GTEX-YFC4-0226-SM-57WD2 40-49 years, female 70.4
GTEX-YF7O-2426-SM-5IFJL 50-59 years, male 70.3
GTEX-Z9EW-1826-SM-5CVMA 40-49 years, male 70.3
GTEX-1LVA9-0226-SM-E9U5N 50-59 years, male 70.3
GTEX-XBED-2326-SM-47JYR 60-69 years, male 70.2
GTEX-1PDJ9-0426-SM-E9J3E 20-29 years, male 70.1
GTEX-1LVAO-0226-SM-E9U6O 60-69 years, male 70.0
GTEX-1PFEY-1626-SM-E9J3M 30-39 years, male 70.0
GTEX-11OF3-2426-SM-5Q5AS 60-69 years, male 69.8
GTEX-13OVJ-0326-SM-5L3GL 50-59 years, female 69.8
GTEX-13VXT-0226-SM-5LU9Q 20-29 years, female 69.8
GTEX-14PJ3-1926-SM-62LEY 50-59 years, male 69.8
GTEX-Y8LW-1926-SM-4WWFZ 50-59 years, female 69.8
GTEX-1LSNL-0526-SM-DIPFI 50-59 years, male 69.8
GTEX-1N2DW-0326-SM-E9TK3 50-59 years, male 69.8
GTEX-1313W-0226-SM-5LZV7 50-59 years, female 69.7
GTEX-TMZS-0226-SM-3DB9N 60-69 years, male 69.7
GTEX-11ZTT-2526-SM-5EQM9 60-69 years, female 69.6
GTEX-15G19-0226-SM-6PAL2 60-69 years, male 69.6
GTEX-ZE7O-0226-SM-5S2N1 50-59 years, female 69.6
GTEX-11DXW-0326-SM-5H11W 40-49 years, male 69.5
GTEX-1HSMO-0226-SM-CGQEZ 60-69 years, male 69.4
GTEX-PLZ6-1326-SM-3NB24 30-39 years, male 69.3
GTEX-13O21-1526-SM-5K7W4 50-59 years, male 69.2
GTEX-1LB8K-0326-SM-E9TJC 50-59 years, male 69.1
GTEX-1RQEC-0526-SM-E6CHV 60-69 years, male 69.1
GTEX-14753-0326-SM-5QGQB 60-69 years, male 68.9
GTEX-X4LF-1726-SM-3NMBZ 50-59 years, male 68.9
GTEX-Y111-0226-SM-4SOIW 50-59 years, male 68.9
GTEX-1C2JI-2226-SM-7IGPJ 50-59 years, male 68.7
GTEX-17MF6-0226-SM-7LG4G 40-49 years, male 68.6
GTEX-1CB4H-0326-SM-9WG5G 60-69 years, female 68.6
GTEX-1F5PK-2526-SM-9MQKN 50-59 years, male 68.6
GTEX-1HSKV-0326-SM-ADEJC 60-69 years, male 68.6
GTEX-1NHNU-1126-SM-E9J2C 50-59 years, male 68.6
GTEX-11ZTS-0226-SM-5EQKD 60-69 years, female 68.5
GTEX-N7MS-0326-SM-4E3K2 60-69 years, male 68.5
GTEX-X88G-0226-SM-4GIE4 30-39 years, male 68.4
GTEX-14LLW-0226-SM-62LEL 70-79 years, female 68.3
GTEX-SN8G-0226-SM-4DM6B 50-59 years, female 68.3
GTEX-RVPV-1526-SM-EXOHF 60-69 years, male 68.3
GTEX-11EQ8-0226-SM-5EQ5G 60-69 years, male 68.2
GTEX-131XF-2226-SM-5EQKG 60-69 years, male 68.2
GTEX-146FR-1826-SM-5QGPF 60-69 years, female 68.2
GTEX-16XZY-2526-SM-7DHL2 70-79 years, male 68.1
GTEX-P4PQ-0226-SM-2S1NK 60-69 years, male 68.1
GTEX-13112-2726-SM-5DUW5 50-59 years, male 68.0
GTEX-146FQ-0226-SM-5NQAL 30-39 years, male 68.0
GTEX-148VI-1726-SM-5S2W9 60-69 years, female 68.0
GTEX-1I1GQ-0226-SM-COH3I 50-59 years, male 67.9
GTEX-145LS-0226-SM-5O9A5 60-69 years, female 67.8
GTEX-14H4A-1026-SM-62LDY 40-49 years, female 67.7
GTEX-15SDE-2426-SM-7KFRC 50-59 years, female 67.7
GTEX-ZYFC-0326-SM-5NQ7H 50-59 years, male 67.7
GTEX-1QP9N-1526-SM-DTXFK 30-39 years, male 67.7
GTEX-1E2YA-0226-SM-9MQLY 50-59 years, male 67.6
GTEX-13OW8-1226-SM-5K7XD 60-69 years, male 67.5
GTEX-1B8SG-0226-SM-7939Q 50-59 years, male 67.5
GTEX-13113-1826-SM-5LZW4 60-69 years, female 67.4
GTEX-132AR-0226-SM-5IJBE 50-59 years, female 67.4
GTEX-1A3MV-2126-SM-718BV 30-39 years, male 67.4
GTEX-11GSO-2326-SM-5A5LX 60-69 years, male 67.2
GTEX-OHPM-0226-SM-3LK61 50-59 years, male 67.2
GTEX-WHPG-2126-SM-4M1ZM 50-59 years, male 67.2
GTEX-XMD2-0226-SM-4WWEE 60-69 years, female 67.2
GTEX-ZDTS-0226-SM-5HL7Q 60-69 years, male 67.2
GTEX-1PWST-0326-SM-EAZ42 70-79 years, male 67.2
GTEX-13PLJ-0126-SM-5L3HU 60-69 years, female 67.1
GTEX-14E6C-0226-SM-5S2N3 40-49 years, male 67.1
GTEX-14JG6-2326-SM-6LLH3 30-39 years, female 67.1
GTEX-16BQI-0526-SM-6PAM8 30-39 years, female 67.1
GTEX-1F75I-0426-SM-7PC3S 40-49 years, male 67.1
GTEX-R55C-1626-SM-48FEG 40-49 years, male 67.0
GTEX-111YS-2426-SM-5GZZQ 60-69 years, male 66.9
GTEX-13NZA-0126-SM-5K7UH 60-69 years, male 66.9
GTEX-13OW7-0226-SM-5MR3N 50-59 years, male 66.9
GTEX-145MN-2626-SM-5NQAH 30-39 years, male 66.9
GTEX-1A8G7-0226-SM-731AS 60-69 years, male 66.9
GTEX-1CB4I-0426-SM-7IGPR 50-59 years, male 66.9
GTEX-1OJC4-1726-SM-EXUSV 50-59 years, female 66.9
GTEX-11ZUS-0726-SM-59886 30-39 years, male 66.8
GTEX-13NZ8-0926-SM-5MR3U 60-69 years, female 66.8
GTEX-1QP2A-0226-SM-EVYBC 50-59 years, male 66.8
GTEX-1I6K7-0226-SM-CJI46 40-49 years, male 66.7
GTEX-14JIY-0526-SM-62LFH 60-69 years, male 66.6
GTEX-1HSGN-0126-SM-CGQFU 40-49 years, female 66.6
GTEX-1GN73-0326-SM-9KNTW 60-69 years, male 66.5
GTEX-1E1VI-0226-SM-793CZ 50-59 years, male 66.4
GTEX-14PJ4-2226-SM-6LLIS 60-69 years, male 66.3
GTEX-12WSC-0226-SM-5EQ52 50-59 years, male 66.2
GTEX-14AS3-2026-SM-5TDD9 40-49 years, female 66.2
GTEX-11ONC-2526-SM-5986W 60-69 years, male 66.1
GTEX-139T4-0126-SM-5HL5G 50-59 years, female 66.1
GTEX-18A6Q-0226-SM-718AS 60-69 years, male 66.1
GTEX-1I1GR-0226-SM-CMKHQ 60-69 years, male 66.1
GTEX-1BAJH-0426-SM-73KWY 70-79 years, male 66.0
GTEX-X261-0226-SM-3NMD2 50-59 years, male 66.0
GTEX-XAJ8-0926-SM-47JXZ 40-49 years, male 66.0
GTEX-YJ8O-2426-SM-5HL7S 40-49 years, female 66.0
GTEX-14PJM-0326-SM-62LF2 50-59 years, female 65.9
GTEX-13VXU-0226-SM-5SI9R 50-59 years, male 65.8
GTEX-YEC3-1226-SM-5IFI8 50-59 years, male 65.8
GTEX-18QFQ-0226-SM-731BQ 30-39 years, male 65.8
GTEX-11LCK-1126-SM-5A5KC 30-39 years, male 65.7
GTEX-12WSM-0226-SM-5LZV6 60-69 years, male 65.7
GTEX-RWSA-0226-SM-2XCBA 40-49 years, male 65.7
GTEX-WVLH-0226-SM-3MJG6 50-59 years, male 65.7
GTEX-1S83E-0226-SM-EVYCW 40-49 years, male 65.7
GTEX-1C475-1926-SM-7DUFV 40-49 years, female 65.6
GTEX-1C6WA-0226-SM-7IGPO 60-69 years, male 65.6
GTEX-1IDFM-0226-SM-CMKFX 60-69 years, male 65.6
GTEX-13NZB-2426-SM-5K7UF 30-39 years, male 65.5
GTEX-ZE9C-2826-SM-5S2MO 60-69 years, male 65.5
GTEX-1CB4J-1126-SM-7PBY1 60-69 years, male 65.5
GTEX-PSDG-0326-SM-48TCP 50-59 years, male 65.4
GTEX-WI4N-1126-SM-3LK7Q 40-49 years, female 65.4
GTEX-XPVG-2726-SM-4B66W 50-59 years, male 65.3
GTEX-14PJ2-0226-SM-6LLH4 50-59 years, male 65.2
GTEX-YFCO-2026-SM-4W21Q 40-49 years, male 65.2
GTEX-1H3VY-0226-SM-9YFMF 50-59 years, male 65.2
GTEX-183FY-0326-SM-793BY 20-29 years, male 65.1
GTEX-1GMRU-0226-SM-9YFLW 50-59 years, male 65.1
GTEX-17MFQ-1826-SM-7DHLS 20-29 years, male 65.0
GTEX-QV44-1825-SM-447CF 50-59 years, male 65.0
GTEX-1QP67-1726-SM-E8VOP 40-49 years, female 65.0
GTEX-13OVI-1326-SM-5IJBO 60-69 years, female 64.9
GTEX-1C64O-0226-SM-73KXB 60-69 years, male 64.9
GTEX-QDVN-2126-SM-33HBS 50-59 years, male 64.9
GTEX-X5EB-2426-SM-4E3HX 40-49 years, male 64.7
GTEX-R3RS-0226-SM-EYYVE 40-49 years, female 64.7
GTEX-ZTX8-1526-SM-5N9GI 20-29 years, male 64.6
GTEX-1GN1U-0226-SM-9YFLQ 50-59 years, female 64.6
GTEX-1HFI6-0326-SM-ADEI5 40-49 years, male 64.6
GTEX-1F6RS-0226-SM-9MQKO 60-69 years, female 64.5
GTEX-1MUQO-0526-SM-E9J31 60-69 years, male 64.5
GTEX-16GPK-0226-SM-7DUFI 60-69 years, male 64.4
GTEX-1JMPY-1426-SM-ARL8Z 30-39 years, male 64.4
GTEX-12ZZZ-0526-SM-5DUX6 60-69 years, male 64.3
GTEX-13O3P-0226-SM-5KM3Z 50-59 years, male 64.3
GTEX-1HCUA-2226-SM-ADEHF 50-59 years, female 64.3
GTEX-1B933-0526-SM-7EPHM 50-59 years, female 64.2
GTEX-TSE9-0226-SM-3DB84 60-69 years, female 64.2
GTEX-1R9K5-0226-SM-EWRNF 50-59 years, male 64.2
GTEX-P78B-0226-SM-3NB1Z 40-49 years, female 64.1
GTEX-ZVT2-2226-SM-5NQ6P 50-59 years, female 64.0
GTEX-11EQ9-2526-SM-5HL66 30-39 years, male 63.8
GTEX-1EH9U-0226-SM-7PBY8 60-69 years, male 63.8
GTEX-Y5V5-2426-SM-5IFJA 60-69 years, female 63.6
GTEX-1KXAM-2326-SM-CYPTD 60-69 years, male 63.6
GTEX-145MG-0126-SM-5TDDA 50-59 years, male 63.5
GTEX-14BIL-0226-SM-5SI9E 50-59 years, male 63.5
GTEX-1CB4F-0526-SM-9KNW2 60-69 years, male 63.5
GTEX-1MA7X-2126-SM-E6CIX 60-69 years, male 63.5
GTEX-1399T-2726-SM-5K7XK 60-69 years, male 63.4
GTEX-ZDXO-2426-SM-5S2NJ 60-69 years, male 63.4
GTEX-ZUA1-0226-SM-5NQ9Q 40-49 years, male 63.4
GTEX-QCQG-1826-SM-2S1P2 50-59 years, female 63.3
GTEX-1GF9V-0226-SM-9MQKA 60-69 years, male 63.3
GTEX-145MF-0526-SM-5LUA6 50-59 years, male 63.2
GTEX-14PJ6-2226-SM-6LLIV 60-69 years, female 63.2
GTEX-OOBJ-0226-SM-2YUMM 60-69 years, male 63.2
GTEX-1A32A-0226-SM-718B2 50-59 years, female 63.1
GTEX-T6MO-1726-SM-33HB8 40-49 years, female 63.1
GTEX-1IOXB-0226-SM-CMKHY 50-59 years, male 63.1
GTEX-YEC4-2426-SM-57WFO 40-49 years, male 63.0
GTEX-1RAZR-0226-SM-EVYC6 40-49 years, male 63.0
GTEX-13D11-2326-SM-5IJCY 50-59 years, female 62.9
GTEX-ZYT6-0326-SM-7LG5R 30-39 years, male 62.9
GTEX-1IDJF-0226-SM-CMKGE 20-29 years, male 62.9
GTEX-144GL-0226-SM-5QGOX 50-59 years, male 62.8
GTEX-18A7A-0326-SM-731AT 50-59 years, female 62.8
GTEX-1AMFI-2126-SM-731BT 50-59 years, female 62.8
GTEX-11WQC-2426-SM-5EQKQ 60-69 years, male 62.7
GTEX-1JKYR-0226-SM-CNPOK 20-29 years, male 62.7
GTEX-11P81-2426-SM-5GU65 30-39 years, female 62.6
GTEX-11UD1-0226-SM-5EQKL 40-49 years, female 62.6
GTEX-14DAQ-0226-SM-664MQ 60-69 years, female 62.6
GTEX-1I1GT-0526-SM-CGQEQ 60-69 years, female 62.6
GTEX-13FHP-0226-SM-5K7WD 50-59 years, male 62.5
GTEX-13PVR-2426-SM-5RQHN 60-69 years, female 62.5
GTEX-1H3VE-0226-SM-9WYST 40-49 years, male 62.5
GTEX-1I1GV-0426-SM-ARZLX 60-69 years, male 62.5
GTEX-1J8Q3-1526-SM-CMKGB 60-69 years, male 62.5
GTEX-1JKYN-1226-SM-CGQG8 30-39 years, male 62.5
GTEX-1128S-2126-SM-5H12U 60-69 years, female 62.4
GTEX-X638-0226-SM-47JZ9 70-79 years, female 62.4
GTEX-1HUB1-0326-SM-A9SKQ 60-69 years, male 62.4
GTEX-1EX96-1426-SM-7PBZ5 50-59 years, male 62.3
GTEX-1M5QR-2126-SM-DKPQM 40-49 years, male 62.3
GTEX-139TT-0226-SM-5K7YH 60-69 years, male 62.2
GTEX-RU72-1026-SM-46MUG 50-59 years, female 62.0
GTEX-Y8E4-0726-SM-4WWFN 40-49 years, male 62.0
GTEX-ZLV1-1826-SM-5FQU5 60-69 years, female 61.9
GTEX-1HSEH-0226-SM-ACKVV 60-69 years, male 61.9
GTEX-1IL2U-0326-SM-CE6T9 60-69 years, male 61.9
GTEX-QEG4-0326-SM-DIPE3 30-39 years, male 61.9
GTEX-PLZ4-0226-SM-CYPR1 50-59 years, female 61.8
GTEX-139D8-0326-SM-5IJCJ 30-39 years, female 61.7
GTEX-13X6K-0226-SM-5QGPB 60-69 years, female 61.6
GTEX-1JN76-0226-SM-CMKGO 20-29 years, female 61.6
GTEX-13U4I-0226-SM-5SIB1 40-49 years, female 61.5
GTEX-S32W-2226-SM-2XCAY 50-59 years, female 61.5
GTEX-16MT8-0526-SM-6PAM6 60-69 years, female 61.4
GTEX-T5JC-0526-SM-32PM7 20-29 years, male 61.4
GTEX-XMK1-2226-SM-4B673 40-49 years, male 61.4
GTEX-1H3O1-0526-SM-9MQLS 60-69 years, male 61.4
GTEX-1QAET-1126-SM-E8VML 50-59 years, male 61.4
GTEX-1211K-2226-SM-5FQU6 60-69 years, female 61.3
GTEX-13NZ9-0526-SM-5J1OX 50-59 years, male 61.3
GTEX-ZV68-0226-SM-59HJF 50-59 years, female 61.3
GTEX-WYJK-0226-SM-EYYV8 50-59 years, male 61.2
GTEX-Z93S-0226-SM-5HL7R 50-59 years, male 61.1
GTEX-1LSVX-0126-SM-EVYCY 60-69 years, male 61.1
GTEX-1R9PM-2126-SM-E8VOB 20-29 years, male 61.0
GTEX-1S831-0326-SM-EVYD3 20-29 years, male 61.0
GTEX-XBEC-0326-SM-4AT4M 50-59 years, male 60.9
GTEX-1117F-0226-SM-5GZZ7 60-69 years, female 60.8
GTEX-12126-0426-SM-5Q5AP 20-29 years, male 60.8
GTEX-147JS-0426-SM-5TDD2 60-69 years, male 60.7
GTEX-OIZF-0226-SM-E9TI3 60-69 years, male 60.7
GTEX-13YAN-0426-SM-5O9DR 60-69 years, male 60.6
GTEX-17HGU-0326-SM-7DUER 50-59 years, male 60.6
GTEX-1AX9J-0326-SM-73KXY 60-69 years, male 60.6
GTEX-NFK9-0326-SM-3MJGV 40-49 years, male 60.6
GTEX-ZXES-2026-SM-5NQ6R 30-39 years, female 60.6
GTEX-ZZPU-2726-SM-5NQ8O 50-59 years, female 60.6
GTEX-1LG7Y-0426-SM-DKPQB 50-59 years, male 60.6
GTEX-11GS4-2626-SM-5A5LD 60-69 years, male 60.5
GTEX-1J8JJ-0326-SM-CMKG6 60-69 years, female 60.5
GTEX-P4QT-0226-SM-3LK68 50-59 years, female 60.4
GTEX-PLZ5-1826-SM-3NB22 50-59 years, male 60.4
GTEX-1I1HK-0226-SM-COH4A 60-69 years, male 60.4
GTEX-RM2N-1726-SM-2TF55 50-59 years, male 60.2
GTEX-1HGF4-2526-SM-ADEIZ 60-69 years, male 60.2
GTEX-11ZU8-2426-SM-5EQMV 60-69 years, male 60.0
GTEX-12ZZX-0226-SM-5DUXU 40-49 years, female 60.0
GTEX-1399R-2626-SM-5KLZ7 30-39 years, male 60.0
GTEX-13CF2-2626-SM-5LZZA 60-69 years, male 60.0
GTEX-1B8SF-0526-SM-7939F 60-69 years, male 60.0
GTEX-ZVZO-0226-SM-5A5LA 40-49 years, male 60.0
GTEX-1GMR3-2026-SM-9MQLG 40-49 years, male 60.0
GTEX-17F97-0426-SM-7LT9U 50-59 years, male 59.9
GTEX-T2IS-0226-SM-32QPH 20-29 years, female 59.8
GTEX-Y8E5-0226-SM-57WCM 60-69 years, male 59.8
GTEX-WFON-2226-SM-3TW8W 40-49 years, male 59.6
GTEX-1JN6P-0226-SM-COH34 60-69 years, male 59.6
GTEX-S7SE-0226-SM-2XCD4 50-59 years, male 59.4
GTEX-1J1OQ-0326-SM-CYPTJ 40-49 years, female 59.4
GTEX-14DAR-1926-SM-5S2NQ 50-59 years, male 59.3
GTEX-111VG-2326-SM-5N9BK 60-69 years, male 59.2
GTEX-ZVTK-0526-SM-5GZWT 20-29 years, male 59.2
GTEX-12WSD-0226-SM-59HKO 60-69 years, female 59.1
GTEX-Q734-1826-SM-2I3EL 40-49 years, female 59.1
GTEX-SJXC-0226-SM-2XCDU 60-69 years, male 59.1
GTEX-ZAK1-0226-SM-5CVMX 50-59 years, female 59.1
GTEX-1IY9M-0226-SM-CMKHP 60-69 years, male 59.1
GTEX-18D9A-2026-SM-718BL 30-39 years, female 59.0
GTEX-WFJO-1926-SM-3GILA 30-39 years, male 59.0
GTEX-ZVE2-0326-SM-57WFC 50-59 years, male 59.0
GTEX-13JUV-2826-SM-5LZWU 40-49 years, female 58.9
GTEX-1EMGI-0226-SM-9MQL1 60-69 years, male 58.8
GTEX-14ABY-0326-SM-5TDDK 50-59 years, male 58.7
GTEX-WL46-0326-SM-3LK6Y 50-59 years, male 58.6
GTEX-1KWVE-1326-SM-E6CJ1 30-39 years, male 58.6
GTEX-11UD2-0126-SM-5EQL2 50-59 years, male 58.5
GTEX-13O3Q-2326-SM-5KM3G 50-59 years, male 58.5
GTEX-QEL4-0326-SM-3GAE5 50-59 years, male 58.5
GTEX-1EKGG-0126-SM-9YFLS 60-69 years, male 58.5
GTEX-17HHY-0226-SM-793BQ 50-59 years, male 58.4
GTEX-1C6VQ-0226-SM-7P8S5 50-59 years, male 58.4
GTEX-13FTY-0626-SM-5L3F8 40-49 years, female 58.3
GTEX-ZYW4-0226-SM-5E44M 60-69 years, male 58.3
GTEX-13PDP-0226-SM-5K7W9 60-69 years, male 58.2
GTEX-1EWIQ-0226-SM-793D3 70-79 years, female 58.2
GTEX-1F75A-0226-SM-7PC2K 50-59 years, male 58.2
GTEX-1J8EW-0226-SM-CYPSW 60-69 years, female 58.2
GTEX-1314G-1626-SM-5EQ67 30-39 years, male 58.1
GTEX-P4QS-0226-SM-3NB1U 60-69 years, male 58.0
GTEX-15DDE-0226-SM-6LLJ6 50-59 years, female 57.9
GTEX-W5X1-2626-SM-4LMI8 40-49 years, female 57.9
GTEX-ZC5H-0126-SM-4WAYL 40-49 years, female 57.9
GTEX-1HT8W-0226-SM-CMKGT 30-39 years, male 57.9
GTEX-1S5ZU-0226-SM-E6CHW 20-29 years, female 57.9
GTEX-11TTK-0226-SM-5N9EC 60-69 years, female 57.8
GTEX-1AMEY-1426-SM-7939I 30-39 years, female 57.8
GTEX-1C6VS-0426-SM-79OJV 60-69 years, male 57.8
GTEX-17F96-1726-SM-7IGMB 70-79 years, male 57.7
GTEX-1F6I4-0226-SM-9MQMA 60-69 years, male 57.7
GTEX-12WSA-0326-SM-5BC6I 60-69 years, male 57.5
GTEX-1I1CD-0226-SM-CM2TL 60-69 years, female 57.5
GTEX-13N11-2626-SM-5K7UQ 50-59 years, female 57.4
GTEX-15ER7-0426-SM-6PAM3 20-29 years, female 57.4
GTEX-XUYS-0226-SM-47JX1 50-59 years, male 57.4
GTEX-1KAFJ-2426-SM-D4P32 50-59 years, male 57.4
GTEX-QLQW-1226-SM-2S1Q9 30-39 years, male 57.3
GTEX-1QW4Y-1626-SM-EAZ41 30-39 years, male 57.3
GTEX-1269C-2726-SM-5EGJ4 60-69 years, female 57.2
GTEX-1IE54-0226-SM-CMKHX 40-49 years, female 57.2
GTEX-XOT4-0226-SM-4B66Z 60-69 years, female 57.2
GTEX-11ZVC-2626-SM-5FQTA 50-59 years, female 56.9
GTEX-1HFI7-2026-SM-CGQFR 50-59 years, female 56.9
GTEX-13N2G-2726-SM-5J1MG 60-69 years, male 56.8
GTEX-1F88F-2626-SM-9WG5K 60-69 years, female 56.8
GTEX-131YS-0226-SM-5IJEH 60-69 years, female 56.7
GTEX-1POEN-0226-SM-EYYXE 30-39 years, female 56.7
GTEX-1QCLY-0526-SM-EAZ47 30-39 years, male 56.7
GTEX-139TU-0226-SM-5J1NM 60-69 years, male 56.6
GTEX-111FC-0226-SM-5N9B8 60-69 years, male 56.5
GTEX-145MI-0426-SM-5O99V 60-69 years, female 56.5
GTEX-11NUK-0326-SM-5HL5K 50-59 years, male 56.5
GTEX-QV31-1326-SM-2S1QE 30-39 years, male 56.4
GTEX-1H1E6-2026-SM-9KNVK 30-39 years, male 56.3
GTEX-11EI6-0226-SM-5EQ64 60-69 years, male 56.2
GTEX-16YQH-0226-SM-6PALD 30-39 years, male 56.1
GTEX-1A8G6-0526-SM-7PC1E 60-69 years, male 56.0
GTEX-1EU9M-0326-SM-7RHGF 60-69 years, male 56.0
GTEX-SNMC-1326-SM-2XCFK 20-29 years, male 55.9
GTEX-139T8-0226-SM-5L3EA 60-69 years, male 55.8
GTEX-O5YT-0226-SM-32PK5 20-29 years, male 55.8
GTEX-1AYD5-2326-SM-73KXF 50-59 years, male 55.7
GTEX-ZEX8-2326-SM-5S2MN 50-59 years, male 55.6
GTEX-1JJE9-1226-SM-CNPOI 70-79 years, male 55.6
GTEX-11PRG-0626-SM-5BC56 50-59 years, male 55.5
GTEX-1C4CL-0426-SM-7939N 30-39 years, male 55.5
GTEX-QMRM-1726-SM-2S1QG 50-59 years, male 55.5
GTEX-VJYA-1326-SM-3GIJC 60-69 years, male 55.5
GTEX-OXRK-0326-SM-3NB3R 50-59 years, female 55.4
GTEX-1A3MW-0226-SM-7939O 60-69 years, female 55.3
GTEX-1HBPM-0326-SM-CMKGR 60-69 years, female 55.1
GTEX-1HCVE-0226-SM-CGQEV 50-59 years, male 55.1
GTEX-1IGQW-0226-SM-COH43 60-69 years, male 55.1
GTEX-12KS4-0426-SM-5EQMC 30-39 years, male 55.0
GTEX-1QP6S-0126-SM-E9J4K 40-49 years, male 55.0
GTEX-13JVG-0226-SM-5J1MW 60-69 years, male 54.9
GTEX-OIZI-0226-SM-2XCEE 40-49 years, male 54.8
GTEX-1IKK5-0526-SM-CMKGG 60-69 years, male 54.8
GTEX-113IC-0226-SM-5HL5C 60-69 years, male 54.6
GTEX-14JG1-0526-SM-6LLHW 40-49 years, male 54.6
GTEX-U3ZN-2626-SM-3DB7T 30-39 years, female 54.5
GTEX-RNOR-0226-SM-EZ6MF 50-59 years, female 54.5
GTEX-U3ZM-1026-SM-EZ6LD 40-49 years, male 54.5
GTEX-13S7M-0226-SM-5S2UG 60-69 years, female 54.3
GTEX-13SLW-0226-SM-5S2NA 70-79 years, male 54.3
GTEX-14C5O-0226-SM-5SI6O 60-69 years, male 54.3
GTEX-13OVK-2126-SM-6PAN1 40-49 years, male 54.1
GTEX-1H2FU-0226-SM-9YFKO 60-69 years, female 54.1
GTEX-OHPK-0226-SM-3MJH6 50-59 years, female 54.0
GTEX-1JMLX-0126-SM-CMKG9 50-59 years, male 54.0
GTEX-1HBPH-0526-SM-9YFMN 40-49 years, female 53.9
GTEX-1HBPI-1426-SM-B2LW7 50-59 years, male 53.9
GTEX-16NPX-0326-SM-7EWDI 50-59 years, male 53.8
GTEX-TML8-2026-SM-32QOP 40-49 years, female 53.8
GTEX-PX3G-0226-SM-DKPOF 20-29 years, female 53.8
GTEX-QLQ7-1526-SM-2S1QA 60-69 years, male 53.6
GTEX-1F48J-0226-SM-7SB82 50-59 years, female 53.6
GTEX-14A5H-0526-SM-5TDCN 60-69 years, male 53.4
GTEX-OHPN-0226-SM-48TBV 60-69 years, female 53.1
GTEX-1IKJJ-0226-SM-COH3T 60-69 years, male 53.1
GTEX-XV7Q-2626-SM-4BRVA 40-49 years, female 52.9
GTEX-1B8L1-2626-SM-7SB77 60-69 years, male 52.9
GTEX-1H1CY-2626-SM-9MQKJ 60-69 years, female 52.9
GTEX-1B97I-1726-SM-7939V 40-49 years, male 52.8
GTEX-1HR9M-0226-SM-COH3E 60-69 years, male 52.8
GTEX-1MCC2-2326-SM-E9U5G 30-39 years, female 52.8
GTEX-13FHO-0326-SM-5IJBH 60-69 years, male 52.7
GTEX-1QPFJ-0126-SM-E9J4B 30-39 years, female 52.7
GTEX-17F9Y-0326-SM-7IGLS 70-79 years, female 52.4
GTEX-Q2AG-0226-SM-2S1P4 40-49 years, female 52.2
GTEX-ZF28-0226-SM-5S2OE 60-69 years, male 52.1
GTEX-1JMQI-2026-SM-CMKGP 50-59 years, male 52.1
GTEX-13NYS-0226-SM-5MR49 60-69 years, male 52.0
GTEX-1B8KZ-1926-SM-7DUG8 50-59 years, male 51.9
GTEX-1A8FM-0126-SM-7SB7P 50-59 years, female 51.7
GTEX-R45C-0226-SM-EVYAJ 60-69 years, female 51.7
GTEX-183WM-0226-SM-7LT8T 70-79 years, female 51.6
GTEX-1GMR8-0226-SM-9YFL3 50-59 years, female 51.4
GTEX-OXRN-0226-SM-2I5EJ 50-59 years, male 51.3
GTEX-1CB4E-1826-SM-7RHG8 60-69 years, male 50.9
GTEX-Z93T-0226-SM-5HL5Z 50-59 years, male 50.7
GTEX-1CAMQ-0126-SM-7SB7S 40-49 years, male 50.5
GTEX-1LGRB-2426-SM-CNPP3 50-59 years, female 50.5
GTEX-1PIIG-0326-SM-EVYBV 30-39 years, male 50.2
GTEX-1B996-0126-SM-7PBYF 60-69 years, male 50.1
GTEX-1I19N-0426-SM-ACKVY 70-79 years, male 50.1
GTEX-15DCD-0226-SM-6LPKC 70-79 years, female 49.9
GTEX-1B932-0226-SM-7PBYH 40-49 years, female 49.7
GTEX-1GZ4I-0226-SM-7RHHO 50-59 years, male 49.7
GTEX-1AX9I-0226-SM-7SB75 60-69 years, male 49.6
GTEX-WVJS-0226-SM-4MVOU 50-59 years, male 49.5
GTEX-1CB4G-0326-SM-7SB8R 60-69 years, male 49.4
GTEX-ZXG5-0226-SM-59HJI 60-69 years, male 49.1
GTEX-S33H-1126-SM-2XCB6 30-39 years, male 49.0
GTEX-1F75W-0226-SM-9JGGP 60-69 years, male 49.0
GTEX-POYW-0726-SM-2XCEO 60-69 years, male 48.6
GTEX-1F52S-0226-SM-7SB7U 60-69 years, female 48.3
GTEX-1F88E-0526-SM-7SB8J 60-69 years, female 47.9
GTEX-RTLS-0226-SM-2TF5E 60-69 years, female 47.6
GTEX-1GZ2Q-0326-SM-9WG6N 40-49 years, male 47.5
GTEX-17EVP-0426-SM-79OKG 40-49 years, male 47.0
GTEX-144FL-0226-SM-5Q5D4 50-59 years, male 46.8
GTEX-17HG3-2326-SM-79OKH 30-39 years, female 46.2
GTEX-SSA3-0226-SM-32QPN 60-69 years, male 46.2
GTEX-1AYCT-2226-SM-7SB98 50-59 years, male 44.6
GTEX-QDT8-0226-SM-32PL4 30-39 years, female 43.9
GTEX-1ICLZ-0226-SM-CKZPP 60-69 years, male 43.4
GTEX-R53T-1626-SM-3GAEW 50-59 years, female 42.0
GTEX-P44H-0326-SM-2XCES 40-49 years, male 41.0
GTEX-1JMQL-0326-SM-CNPP6 50-59 years, female 40.6
Show allShow less
Adipose - Visceral (Omentum)
Average nTPM: 69.3
Samples: 541

Max nTPM: 177.3
Min nTPM: 36.1
Std nTPM: 21.2
Median nTPM: 64.1
GTEX-1RB15-1126-SM-E8VMX 60-69 years, male 177.3
GTEX-Y5LM-0826-SM-4VDSW 40-49 years, female 159.5
GTEX-1399S-1426-SM-5PNYQ 30-39 years, female 156.2
GTEX-11TT1-1926-SM-5PNYN 20-29 years, male 145.0
GTEX-13X6H-1726-SM-5Q5EH 50-59 years, female 132.4
GTEX-14PN3-0326-SM-6EU1X 60-69 years, female 128.0
GTEX-14PJO-1626-SM-69LPQ 60-69 years, male 127.2
GTEX-11P82-0326-SM-5HL51 20-29 years, male 127.0
GTEX-13QBU-1326-SM-5LU4K 40-49 years, female 125.6
GTEX-1122O-0926-SM-9YFLC 60-69 years, female 123.0
GTEX-132QS-0826-SM-5K7WV 60-69 years, male 121.5
GTEX-Y114-1326-SM-4TT9A 50-59 years, female 121.3
GTEX-1MJK3-0626-SM-E6CJB 20-29 years, male 119.8
GTEX-1339X-0726-SM-5L3FF 40-49 years, male 117.5
GTEX-13RTK-0726-SM-5Q5EN 20-29 years, male 116.9
GTEX-11I78-0226-SM-5HL6R 50-59 years, female 116.7
GTEX-133LE-0926-SM-5P9J1 20-29 years, female 116.6
GTEX-16BQI-1126-SM-7KULF 30-39 years, female 116.3
GTEX-1PFEY-0726-SM-E76PO 30-39 years, male 116.2
GTEX-XBEW-1726-SM-4RGMA 40-49 years, male 115.9
GTEX-ZA64-0926-SM-5HL7H 20-29 years, male 115.5
GTEX-11EQ9-1126-SM-5987I 30-39 years, male 115.3
GTEX-1L5NE-1726-SM-DHXKX 50-59 years, male 115.3
GTEX-1GPI7-0826-SM-9JGG7 20-29 years, male 115.2
GTEX-13FH7-1926-SM-5J2OL 50-59 years, female 114.6
GTEX-1HSEH-1326-SM-ADEI1 60-69 years, male 113.3
GTEX-ZTSS-1026-SM-5985N 40-49 years, male 113.0
GTEX-14PK6-0926-SM-62LF4 70-79 years, female 111.9
GTEX-1N2EF-0926-SM-E8VNW 60-69 years, male 111.3
GTEX-ZXES-0926-SM-5E43O 30-39 years, female 110.0
GTEX-13PVQ-2226-SM-5L3G9 50-59 years, male 109.9
GTEX-1MA7W-0526-SM-E6CIN 20-29 years, female 109.9
GTEX-145LV-1026-SM-5O9AE 50-59 years, male 109.8
GTEX-ZLWG-0726-SM-5S2N4 50-59 years, female 109.7
GTEX-ZYVF-1026-SM-5E44V 50-59 years, female 108.6
GTEX-1N2DV-0626-SM-E9U5H 40-49 years, male 107.6
GTEX-1399U-2026-SM-9WPNN 50-59 years, female 107.2
GTEX-1CB4I-0826-SM-7MGX1 50-59 years, male 107.0
GTEX-1PPH8-1026-SM-DPRXN 20-29 years, male 106.9
GTEX-1RNTQ-0826-SM-E9TK8 20-29 years, female 106.6
GTEX-14ICK-1726-SM-6AJA5 40-49 years, male 106.3
GTEX-1OKEX-0926-SM-E8VNJ 60-69 years, male 106.2
GTEX-1ICLY-1426-SM-CJI48 50-59 years, male 105.4
GTEX-1R7EV-1026-SM-DTX81 40-49 years, male 105.4
GTEX-1KANA-1426-SM-CY8IF 20-29 years, male 105.3
GTEX-1S5ZA-1026-SM-EWRO2 20-29 years, male 103.6
GTEX-14ICL-0926-SM-5S2TU 30-39 years, male 103.2
GTEX-1ICG6-1726-SM-ARU7K 70-79 years, female 101.6
GTEX-111YS-1326-SM-5EGGK 60-69 years, male 101.3
GTEX-17GQL-0826-SM-731AM 60-69 years, male 100.5
GTEX-U8XE-1926-SM-3DB98 30-39 years, male 99.5
GTEX-1HCU9-0626-SM-ACKW6 20-29 years, male 99.4
GTEX-13111-0626-SM-5LZVR 50-59 years, male 99.3
GTEX-14PJ4-0126-SM-62LEZ 60-69 years, male 99.3
GTEX-14C38-1026-SM-73KY7 50-59 years, male 98.3
GTEX-13O61-1926-SM-5KM1R 60-69 years, male 98.2
GTEX-1JKYN-0526-SM-CGQG3 30-39 years, male 98.2
GTEX-11EM3-1126-SM-5A5KM 20-29 years, female 97.8
GTEX-13CF3-1126-SM-5LZXB 60-69 years, female 97.8
GTEX-15UKP-1426-SM-7KUDX 20-29 years, male 97.1
GTEX-18D9B-1726-SM-7LTAP 60-69 years, male 97.1
GTEX-12696-1826-SM-5EGJS 60-69 years, male 96.8
GTEX-YEC4-0926-SM-5PNXY 40-49 years, male 96.2
GTEX-1RAZQ-1526-SM-E6CJI 30-39 years, male 96.0
GTEX-1PBJI-1326-SM-E9J2V 20-29 years, female 95.5
GTEX-1PIGE-1226-SM-EVR3Q 20-29 years, male 94.9
GTEX-111CU-1026-SM-5EGIL 50-59 years, male 94.8
GTEX-1211K-1226-SM-5EQ4N 60-69 years, female 94.6
GTEX-1H23P-1726-SM-A9SMN 60-69 years, male 94.1
GTEX-WH7G-1126-SM-3NMBK 40-49 years, male 94.0
GTEX-12C56-0826-SM-5EGJ5 20-29 years, male 93.8
GTEX-14BMU-0626-SM-73KZ6 20-29 years, female 93.1
GTEX-1H1E6-1126-SM-9JGGV 30-39 years, male 93.0
GTEX-ZT9W-1026-SM-57WG5 50-59 years, male 92.9
GTEX-11DXX-2026-SM-5EGJL 60-69 years, female 92.7
GTEX-ZQUD-0526-SM-57WG4 30-39 years, male 92.7
GTEX-13FTW-0426-SM-5K7X2 40-49 years, male 92.4
GTEX-1I1GP-1426-SM-ACKVZ 50-59 years, male 92.0
GTEX-14JG6-0526-SM-6LLIH 30-39 years, female 91.5
GTEX-1IKOE-1726-SM-CNNQ6 30-39 years, female 91.5
GTEX-12BJ1-0826-SM-5EQ5P 60-69 years, male 91.3
GTEX-17F98-0326-SM-7DHLH 40-49 years, female 91.1
GTEX-1F75I-1026-SM-7SB8B 40-49 years, male 90.2
GTEX-1K2DU-0726-SM-DIPF7 20-29 years, male 89.9
GTEX-1LGOU-0826-SM-DHXKL 20-29 years, female 89.9
GTEX-14PKU-0226-SM-6EU16 40-49 years, female 89.7
GTEX-YJ89-1926-SM-5IFJ6 60-69 years, male 89.3
GTEX-13PL7-1226-SM-5SIAR 60-69 years, female 89.1
GTEX-ZLV1-0926-SM-5S2MR 60-69 years, female 88.0
GTEX-ZZ64-0626-SM-5GZWR 20-29 years, male 87.7
GTEX-1HCU6-1626-SM-CMKGW 60-69 years, female 87.4
GTEX-13VXT-0926-SM-5LU5K 20-29 years, female 87.3
GTEX-WEY5-1326-SM-3GILS 40-49 years, female 87.3
GTEX-1CAMR-0326-SM-793AH 20-29 years, male 86.7
GTEX-ZV7C-0826-SM-59HK8 50-59 years, male 86.7
GTEX-14C39-0826-SM-5TDDU 40-49 years, male 86.6
GTEX-14PHX-1626-SM-69LQB 50-59 years, male 86.5
GTEX-1A32A-0926-SM-718AB 50-59 years, female 86.5
GTEX-1QP29-1626-SM-EXUSZ 50-59 years, male 86.4
GTEX-1B996-1226-SM-73KWZ 60-69 years, male 85.6
GTEX-13N1W-1226-SM-5K7UM 70-79 years, male 85.5
GTEX-1HC8U-0926-SM-A9G3L 40-49 years, female 85.4
GTEX-1AMFI-1026-SM-73KYM 50-59 years, female 85.3
GTEX-131XG-0126-SM-5K7UJ 50-59 years, female 84.8
GTEX-14DAR-0426-SM-664MW 50-59 years, male 84.8
GTEX-WYJK-1426-SM-3NM8V 50-59 years, male 84.8
GTEX-ZPCL-1026-SM-5GCOX 60-69 years, female 84.4
GTEX-18D9U-0426-SM-731AN 40-49 years, male 84.3
GTEX-14PJN-0626-SM-6EU13 30-39 years, male 84.2
GTEX-1CAMS-0926-SM-7SB7F 40-49 years, female 84.0
GTEX-1445S-2426-SM-79ON2 60-69 years, male 83.8
GTEX-1LVAN-0926-SM-CNNQ2 50-59 years, female 83.2
GTEX-1212Z-0526-SM-5FQSQ 60-69 years, male 83.0
GTEX-ZP4G-1326-SM-5EGIW 20-29 years, female 83.0
GTEX-1C2JI-0826-SM-7EPHB 50-59 years, male 82.7
GTEX-YEC3-0926-SM-5Q5AC 50-59 years, male 82.6
GTEX-XPVG-1626-SM-EYYVK 50-59 years, male 82.5
GTEX-14B4R-0526-SM-5QGQT 30-39 years, male 82.4
GTEX-ZTX8-0726-SM-59HL9 20-29 years, male 82.4
GTEX-1H11D-1126-SM-9YFM5 40-49 years, male 82.3
GTEX-1QP28-0926-SM-EVR4D 50-59 years, female 82.3
GTEX-13OVJ-0926-SM-5K7U1 50-59 years, female 82.2
GTEX-WRHK-0826-SM-3MJFG 20-29 years, female 81.8
GTEX-11WQK-1526-SM-5EGKN 50-59 years, male 81.7
GTEX-1K2DA-1126-SM-CGQGG 50-59 years, male 81.6
GTEX-XXEK-1426-SM-4BRW1 50-59 years, male 81.5
GTEX-Y9LG-1226-SM-4VBQA 30-39 years, male 81.3
GTEX-1AYCT-1126-SM-79OO8 50-59 years, male 81.0
GTEX-1JN76-1026-SM-ARZNI 20-29 years, female 81.0
GTEX-1LSNM-0626-SM-DIPG7 50-59 years, male 80.9
GTEX-1B97I-0526-SM-73KXE 40-49 years, male 80.8
GTEX-ZZPU-0326-SM-5N9BJ 50-59 years, female 80.7
GTEX-1H1DF-1426-SM-9YFMC 40-49 years, female 80.5
GTEX-1I1GU-0626-SM-CMKHR 40-49 years, male 80.5
GTEX-1JMPY-0326-SM-CM2S2 30-39 years, male 80.5
GTEX-1GMR2-0226-SM-9JGHO 50-59 years, male 80.4
GTEX-1HFI7-0726-SM-ACKVN 50-59 years, female 80.3
GTEX-YJ8A-1926-SM-EZ6LQ 20-29 years, male 80.1
GTEX-ZV6S-1626-SM-5NQ81 40-49 years, female 79.7
GTEX-1LBAC-1026-SM-CXKYA 20-29 years, male 79.5
GTEX-1R9K4-1426-SM-DPRY4 60-69 years, male 79.3
GTEX-11XUK-1726-SM-5GU61 40-49 years, female 79.2
GTEX-1AMEY-0526-SM-72D62 30-39 years, female 79.2
GTEX-XUZC-1126-SM-4BOPZ 30-39 years, female 79.1
GTEX-Z9EW-0826-SM-5HL9T 40-49 years, male 79.0
GTEX-13113-1126-SM-5LZU9 60-69 years, female 78.8
GTEX-131XF-0726-SM-5GIE5 60-69 years, male 78.6
GTEX-1EU9M-1126-SM-793DE 60-69 years, male 78.6
GTEX-1HBPN-1526-SM-9WYSB 50-59 years, male 78.4
GTEX-17F9E-1326-SM-7DHL4 50-59 years, male 78.2
GTEX-1MCC2-0626-SM-DKPQI 30-39 years, female 77.8
GTEX-15CHC-0826-SM-686YW 60-69 years, female 77.6
GTEX-1B8SG-1426-SM-7EWEM 50-59 years, male 77.5
GTEX-ZVZP-1126-SM-5GICU 50-59 years, male 77.5
GTEX-1IKK5-0826-SM-ACKWN 60-69 years, male 77.5
GTEX-15EU6-1726-SM-6M48H 50-59 years, male 77.4
GTEX-1KANC-0526-SM-D4P3T 50-59 years, female 77.4
GTEX-1S831-1926-SM-EV79P 20-29 years, male 76.9
GTEX-13PVR-0526-SM-5S2OB 60-69 years, female 76.5
GTEX-15RIE-0126-SM-7KUF8 60-69 years, male 76.4
GTEX-1OJC3-1326-SM-E9J3D 20-29 years, male 76.3
GTEX-13YAN-1126-SM-5TDC7 60-69 years, male 76.1
GTEX-ZDTT-0526-SM-5HL4M 60-69 years, male 76.1
GTEX-12WSF-1526-SM-6PAN6 70-79 years, male 75.9
GTEX-XAJ8-0226-SM-4GIB2 40-49 years, male 75.8
GTEX-18A67-1326-SM-7LT8V 50-59 years, male 75.6
GTEX-145LT-1526-SM-5O98P 40-49 years, male 75.5
GTEX-169BO-0426-SM-7EPI1 50-59 years, male 75.4
GTEX-1QP66-0626-SM-E76PD 50-59 years, male 75.4
GTEX-1QCLY-1226-SM-EVYC3 30-39 years, male 74.9
GTEX-VJYA-1626-SM-EXOHL 60-69 years, male 74.7
GTEX-XBED-1326-SM-4AT4F 60-69 years, male 74.6
GTEX-1C475-0326-SM-7SB8O 40-49 years, female 74.5
GTEX-1MUQO-0826-SM-EVYCZ 60-69 years, male 74.5
GTEX-139T6-0526-SM-5IJC9 50-59 years, male 74.3
GTEX-ZEX8-1226-SM-5S2OK 50-59 years, male 74.3
GTEX-ZVP2-0226-SM-57WBD 50-59 years, male 74.3
GTEX-14PJ5-0426-SM-5ZZW2 60-69 years, female 74.1
GTEX-1LGRB-0526-SM-COH3A 50-59 years, female 74.1
GTEX-1HSMQ-1026-SM-ADEHU 50-59 years, male 73.9
GTEX-ZQG8-1026-SM-51MR9 60-69 years, female 73.6
GTEX-1J1R8-0526-SM-ACKWO 40-49 years, male 73.6
GTEX-13FTX-0626-SM-5J2NS 20-29 years, female 73.5
GTEX-1HUB1-1526-SM-CGQF6 60-69 years, male 73.5
GTEX-1H3VE-1926-SM-9YFL4 40-49 years, male 73.4
GTEX-117YX-0726-SM-5GIET 50-59 years, male 73.2
GTEX-1GF9V-1126-SM-9MQM7 60-69 years, male 73.1
GTEX-1LH75-1026-SM-EWROK 50-59 years, female 73.1
GTEX-131XE-2026-SM-5LZW1 50-59 years, male 72.7
GTEX-ZPIC-0726-SM-57WFM 40-49 years, female 72.6
GTEX-14PN4-1426-SM-6LLJ4 50-59 years, male 72.4
GTEX-13O21-3126-SM-5J1OI 50-59 years, male 72.3
GTEX-1C6VS-1826-SM-73KXN 60-69 years, male 72.3
GTEX-ZVT2-0226-SM-5GIE3 50-59 years, female 72.3
GTEX-1HCU8-1126-SM-CM2SA 60-69 years, female 72.2
GTEX-14E1K-0426-SM-5S2PF 50-59 years, male 72.0
GTEX-1AX9J-2226-SM-731CW 60-69 years, male 71.6
GTEX-XGQ4-1026-SM-4AT4L 50-59 years, male 71.5
GTEX-16MTA-1326-SM-6PALX 50-59 years, male 71.4
GTEX-1128S-0926-SM-5GZZU 60-69 years, female 71.3
GTEX-X8HC-2326-SM-4QAS4 50-59 years, female 71.3
GTEX-1IDJC-0226-SM-CMKG2 50-59 years, male 71.3
GTEX-13OW8-0326-SM-5L3FB 60-69 years, male 71.2
GTEX-11VI4-1226-SM-5EQMP 40-49 years, female 71.1
GTEX-13IVO-2426-SM-5K7V9 70-79 years, male 71.0
GTEX-15DZA-0626-SM-6PANC 30-39 years, female 70.9
GTEX-1GZ4H-0926-SM-9WG6Y 50-59 years, female 70.9
GTEX-1HSMP-1126-SM-B2LXJ 70-79 years, male 70.9
GTEX-13W3W-1126-SM-5L3DO 60-69 years, female 70.6
GTEX-ZF29-0826-SM-5S2O2 60-69 years, female 70.6
GTEX-1S3DN-1626-SM-EVYCC 50-59 years, male 70.5
GTEX-17MFQ-1126-SM-7LT9O 20-29 years, male 70.4
GTEX-1RAZR-1026-SM-E8VOJ 40-49 years, male 70.4
GTEX-1CAV2-0226-SM-7IGPQ 40-49 years, female 70.3
GTEX-WFON-1226-SM-3TW8F 40-49 years, male 70.3
GTEX-12WSK-1026-SM-5CVNR 40-49 years, female 70.1
GTEX-13OVG-1326-SM-5K7Y3 60-69 years, male 70.1
GTEX-1B8KE-0826-SM-72D6S 50-59 years, male 70.1
GTEX-1F5PL-1326-SM-7SB83 40-49 years, female 70.0
GTEX-1HCUA-0926-SM-ADEIX 50-59 years, female 70.0
GTEX-1I4MK-0726-SM-ACKWC 50-59 years, female 69.9
GTEX-17HGU-1726-SM-79OKM 50-59 years, male 69.8
GTEX-14PJ3-0726-SM-69LQE 50-59 years, male 69.7
GTEX-Y8LW-0926-SM-4VBQ8 50-59 years, female 69.6
GTEX-1K9T9-1626-SM-DIPFS 50-59 years, female 69.6
GTEX-WOFM-0726-SM-3MJF8 20-29 years, male 69.5
GTEX-1LVAM-1026-SM-DIPFK 50-59 years, female 69.5
GTEX-1R9PO-0926-SM-E9U4Q 60-69 years, female 69.4
GTEX-11P7K-0826-SM-5BC5F 30-39 years, male 69.3
GTEX-11GS4-1026-SM-5N9DE 60-69 years, male 69.2
GTEX-14PHW-1626-SM-6EU2H 60-69 years, female 69.2
GTEX-1IL2U-2726-SM-C1YSG 60-69 years, male 69.2
GTEX-13OW7-1126-SM-5K7V6 50-59 years, male 69.1
GTEX-14PJ2-1426-SM-62LFF 50-59 years, male 69.1
GTEX-1JMQI-1026-SM-COH2U 50-59 years, male 69.1
GTEX-1POEN-1626-SM-EVYC2 30-39 years, female 69.1
GTEX-11LCK-0326-SM-5A5M7 30-39 years, male 68.9
GTEX-1LG7Z-0226-SM-E6CIG 30-39 years, male 68.7
GTEX-1F75B-1226-SM-7MXTW 50-59 years, male 68.6
GTEX-1OFPY-0826-SM-DTX8P 60-69 years, male 68.5
GTEX-1GF9W-1026-SM-7SB8X 60-69 years, male 68.1
GTEX-1JKYR-1226-SM-CM2S7 20-29 years, male 67.9
GTEX-183FY-1226-SM-7DHLK 20-29 years, male 67.8
GTEX-12KS4-1526-SM-5EQ6E 30-39 years, male 67.4
GTEX-1S5VW-2426-SM-EAZ52 60-69 years, male 67.4
GTEX-1CB4E-0826-SM-793CS 60-69 years, male 67.3
GTEX-Y3I4-0726-SM-E9J3Y 50-59 years, male 67.0
GTEX-13JUV-0626-SM-5J1MQ 40-49 years, female 66.9
GTEX-1GN73-0626-SM-7PC3I 60-69 years, male 66.9
GTEX-1I1GT-1326-SM-ACKWB 60-69 years, female 66.9
GTEX-1AX8Z-1626-SM-73KWD 60-69 years, male 66.8
GTEX-1AYD5-0126-SM-7DUG5 50-59 years, male 66.8
GTEX-146FH-2026-SM-5SI9I 50-59 years, female 66.3
GTEX-ZYFG-1426-SM-5GICS 60-69 years, female 66.2
GTEX-X585-2526-SM-4QAS1 50-59 years, male 66.1
GTEX-1A3MV-0626-SM-731CH 30-39 years, male 65.9
GTEX-1I6K6-1526-SM-CGQFC 30-39 years, male 65.6
GTEX-144GM-0626-SM-79OKY 20-29 years, male 65.5
GTEX-17EVP-1426-SM-79OMN 40-49 years, male 65.4
GTEX-18A66-1926-SM-7LTAG 60-69 years, male 65.4
GTEX-13112-1126-SM-5GCMY 50-59 years, male 65.3
GTEX-1QW4Y-0826-SM-DTXE1 30-39 years, male 65.1
GTEX-12WSL-1126-SM-5CVNK 50-59 years, male 65.0
GTEX-1HSGN-1926-SM-CMKGS 40-49 years, female 65.0
GTEX-12584-2126-SM-5FQUM 40-49 years, male 64.9
GTEX-1QEPI-2226-SM-E8VN6 60-69 years, female 64.9
GTEX-WXYG-0926-SM-3NB2O 50-59 years, female 64.8
GTEX-ZAJG-1626-SM-5HL7I 50-59 years, female 64.8
GTEX-1LG7Y-1126-SM-CYPTE 50-59 years, male 64.4
GTEX-1GMR3-0826-SM-9WYT4 40-49 years, male 64.3
GTEX-13S86-0926-SM-5SI6I 40-49 years, male 64.1
GTEX-12WSI-1526-SM-5GCNM 50-59 years, male 63.9
GTEX-14E6E-0226-SM-7DUEF 30-39 years, male 63.9
GTEX-131XH-0826-SM-5GCN8 50-59 years, male 63.8
GTEX-11GSO-0226-SM-5A5LV 60-69 years, male 63.7
GTEX-17HHY-1026-SM-7LG5E 50-59 years, male 63.6
GTEX-13U4I-1726-SM-5J1MF 40-49 years, female 63.4
GTEX-XYKS-1826-SM-4E3JV 60-69 years, female 63.3
GTEX-1H1DE-0826-SM-ARU8V 20-29 years, male 63.3
GTEX-1LVAO-2126-SM-DIPGA 60-69 years, male 63.2
GTEX-ZF3C-1026-SM-5S2OC 50-59 years, female 63.1
GTEX-1LSNL-1426-SM-E6CJ9 50-59 years, male 63.1
GTEX-13OW6-2426-SM-5K7WO 50-59 years, male 62.9
GTEX-1S82P-0926-SM-EWRNP 60-69 years, female 62.9
GTEX-1HCU7-2026-SM-A9G2B 50-59 years, male 62.8
GTEX-1RAZA-0926-SM-E6CQ8 20-29 years, male 62.4
GTEX-18QFQ-1326-SM-731CF 30-39 years, male 62.3
GTEX-15G19-1126-SM-7KUEL 60-69 years, male 62.1
GTEX-YFCO-1126-SM-5S2N9 40-49 years, male 62.1
GTEX-1F6IF-2026-SM-7P8SE 60-69 years, male 62.0
GTEX-139YR-0326-SM-5J1MC 50-59 years, male 61.9
GTEX-1RQEC-2526-SM-EVYD2 60-69 years, male 61.9
GTEX-1QPFJ-2126-SM-EXOJV 30-39 years, female 61.7
GTEX-VJWN-2326-SM-EVYAP 50-59 years, female 61.7
GTEX-16NGA-0526-SM-731AJ 40-49 years, female 61.6
GTEX-1B97J-1126-SM-7SB79 50-59 years, female 61.6
GTEX-14JIY-1426-SM-6EU29 60-69 years, male 61.5
GTEX-16XZZ-1626-SM-7KUEC 60-69 years, male 61.4
GTEX-XMK1-0926-SM-4B66X 40-49 years, male 61.4
GTEX-13D11-0526-SM-5LZYM 50-59 years, female 61.2
GTEX-XQ3S-2426-SM-4WAYB 20-29 years, male 61.2
GTEX-WI4N-1526-SM-EZ6LG 40-49 years, female 61.2
GTEX-14BIL-2426-SM-5QGQR 50-59 years, male 61.0
GTEX-1O9I2-1326-SM-E6CQD 50-59 years, male 60.9
GTEX-13FXS-1326-SM-62LFR 50-59 years, male 60.8
GTEX-1C6VR-1126-SM-7EPHD 60-69 years, male 60.8
GTEX-UTHO-1826-SM-3GAFE 60-69 years, male 60.8
GTEX-1JMQK-1326-SM-CNPOR 60-69 years, male 60.8
GTEX-14AS3-0426-SM-5QGQK 40-49 years, female 60.7
GTEX-ZPU1-1226-SM-5HL71 40-49 years, male 60.7
GTEX-146FR-0226-SM-5Q5F6 60-69 years, female 60.6
GTEX-ZF2S-1526-SM-5S2OO 50-59 years, female 60.6
GTEX-1HKZK-1726-SM-ADEJ9 40-49 years, male 60.6
GTEX-1117F-1326-SM-5EGHH 60-69 years, female 60.4
GTEX-18D9A-0726-SM-7LTA7 30-39 years, female 60.4
GTEX-14PHY-1026-SM-62LEV 60-69 years, female 60.0
GTEX-15EOM-2326-SM-7KUMV 20-29 years, female 60.0
GTEX-147JS-1026-SM-5S2MP 60-69 years, male 59.9
GTEX-1AX9K-0926-SM-7939G 50-59 years, male 59.9
GTEX-XQ8I-1426-SM-4BOPW 50-59 years, male 59.9
GTEX-XV7Q-1726-SM-4BRUU 40-49 years, female 59.8
GTEX-13VXU-1026-SM-5KLZE 50-59 years, male 59.5
GTEX-WHPG-0626-SM-3NMBD 50-59 years, male 59.5
GTEX-1IDJU-0926-SM-ARL88 60-69 years, female 59.5
GTEX-WVLH-1626-SM-EXURN 50-59 years, male 59.4
GTEX-13N2G-1926-SM-5J1O3 60-69 years, male 59.3
GTEX-1GN1W-1226-SM-9MQLW 50-59 years, female 59.3
GTEX-1IDJF-1726-SM-A9SLL 20-29 years, male 59.3
GTEX-1JMLX-1026-SM-D3L8U 50-59 years, male 59.1
GTEX-X3Y1-0926-SM-3P5YT 40-49 years, male 59.0
GTEX-ZYFC-1826-SM-5GZZA 50-59 years, male 59.0
GTEX-14E6D-1326-SM-62LES 50-59 years, male 58.8
GTEX-15SKB-1626-SM-6PAL6 60-69 years, male 58.7
GTEX-1KXAM-0526-SM-DKPQN 60-69 years, male 58.6
GTEX-12WSM-0626-SM-5GCOK 60-69 years, male 58.4
GTEX-14BIM-1626-SM-7EWD2 60-69 years, female 58.4
GTEX-1B933-1326-SM-7939U 50-59 years, female 58.4
GTEX-ZGAY-1326-SM-5S2NS 40-49 years, female 58.4
GTEX-ZVE2-1826-SM-51MRZ 50-59 years, male 58.4
GTEX-1KAFJ-0826-SM-CYPTF 50-59 years, male 58.4
GTEX-12WSC-1726-SM-5GCN3 50-59 years, male 58.3
GTEX-1JJ6O-2826-SM-CNNP7 60-69 years, male 58.3
GTEX-1MCQQ-1426-SM-E6CJA 60-69 years, male 58.2
GTEX-1I6K7-1826-SM-CGQFO 40-49 years, male 58.1
GTEX-11PRG-1526-SM-5HL6Z 50-59 years, male 58.0
GTEX-13OVL-0826-SM-5L3GV 50-59 years, male 58.0
GTEX-11DXZ-1426-SM-5H12A 50-59 years, male 57.9
GTEX-17JCI-1626-SM-7EPGZ 60-69 years, female 57.9
GTEX-1QP9N-0426-SM-DTXFT 30-39 years, male 57.9
GTEX-11ZUS-1826-SM-5FQTR 30-39 years, male 57.8
GTEX-132AR-0526-SM-5J2MJ 50-59 years, female 57.8
GTEX-ZTPG-2326-SM-57WFL 20-29 years, female 57.8
GTEX-144GN-0726-SM-5O98O 50-59 years, male 57.7
GTEX-WK11-2426-SM-3NMAA 50-59 years, male 57.7
GTEX-WL46-2026-SM-3LK7U 50-59 years, male 57.7
GTEX-1H1ZS-1326-SM-9WG74 70-79 years, male 57.7
GTEX-ZG7Y-1626-SM-5S2NO 50-59 years, male 57.6
GTEX-ZDYS-2226-SM-5S2MI 50-59 years, male 57.4
GTEX-Y111-0926-SM-4SOIU 50-59 years, male 57.3
GTEX-ZYT6-2126-SM-5GZZ4 30-39 years, male 57.3
GTEX-ZDXO-2326-SM-5LU9W 60-69 years, male 57.2
GTEX-16AAH-1526-SM-7LT9W 50-59 years, male 57.0
GTEX-1QP67-1126-SM-EAZ4C 40-49 years, female 56.8
GTEX-1QMI2-1626-SM-EYYXK 60-69 years, male 56.6
GTEX-12WSA-1626-SM-5EGJV 60-69 years, male 56.2
GTEX-1B8KZ-1026-SM-73KYN 50-59 years, male 56.1
GTEX-1F6I4-2126-SM-7PC2J 60-69 years, male 56.1
GTEX-1AX9I-1726-SM-731BX 60-69 years, male 56.0
GTEX-1IDJH-1626-SM-A9SLP 70-79 years, male 55.9
GTEX-17HII-0826-SM-7DUFH 50-59 years, male 55.8
GTEX-XLM4-1026-SM-4AT51 60-69 years, male 55.8
GTEX-1GF9U-1226-SM-ARL9I 40-49 years, female 55.8
GTEX-1GL5R-0726-SM-9MQL5 50-59 years, male 55.8
GTEX-1QP6S-1626-SM-EVYC5 40-49 years, male 55.8
GTEX-1GN1U-0726-SM-9MQKL 50-59 years, female 55.7
GTEX-17HHE-1526-SM-793AS 50-59 years, male 55.5
GTEX-1LSVX-1326-SM-DIPET 60-69 years, male 55.4
GTEX-VUSG-1426-SM-3GIJN 50-59 years, male 55.3
GTEX-13N11-1826-SM-5IJDS 50-59 years, female 55.2
GTEX-14ABY-1926-SM-62LDJ 50-59 years, male 55.1
GTEX-1JN6P-1626-SM-CYPSV 60-69 years, male 55.1
GTEX-16NPX-1026-SM-6PAM7 50-59 years, male 55.0
GTEX-ZE9C-1326-SM-5S2OW 60-69 years, male 55.0
GTEX-1HBPI-1826-SM-ADEHE 50-59 years, male 54.9
GTEX-1LKK1-1526-SM-EVYCO 50-59 years, female 54.8
GTEX-1192X-1526-SM-5H11I 50-59 years, male 54.7
GTEX-139D8-1626-SM-5IJFZ 30-39 years, female 54.7
GTEX-1HSMO-1426-SM-CNNQN 60-69 years, male 54.6
GTEX-1J8EW-1526-SM-CMKFZ 60-69 years, female 54.5
GTEX-14E7W-2326-SM-69LQC 70-79 years, male 54.4
GTEX-1EH9U-1326-SM-79OM3 60-69 years, male 54.4
GTEX-15ER7-1026-SM-7KUMD 20-29 years, female 54.3
GTEX-1E1VI-1826-SM-9WG5J 50-59 years, male 54.3
GTEX-1J8Q2-2226-SM-CM2TZ 60-69 years, male 54.3
GTEX-178AV-0626-SM-6PAM1 40-49 years, male 54.2
GTEX-XOT4-0826-SM-4B66Y 60-69 years, female 54.2
GTEX-1H4P4-0326-SM-9WYTD 50-59 years, male 54.2
GTEX-13OVK-0326-SM-7KUEJ 40-49 years, male 54.1
GTEX-18A7B-1226-SM-718AU 70-79 years, male 54.1
GTEX-1313W-1626-SM-5J1OE 50-59 years, female 54.0
GTEX-17F97-1226-SM-79OJT 50-59 years, male 54.0
GTEX-1KWVE-0226-SM-E9TKK 30-39 years, male 54.0
GTEX-1MA7X-1026-SM-DKPQ8 60-69 years, male 54.0
GTEX-1I1CD-1026-SM-COH3G 60-69 years, female 53.9
GTEX-1JJE9-1526-SM-CM2RR 70-79 years, male 53.9
GTEX-11P81-0726-SM-5PNYH 30-39 years, female 53.7
GTEX-1IDJD-0926-SM-ACKWW 30-39 years, male 53.5
GTEX-1N2EE-1526-SM-DTXE9 60-69 years, male 53.3
GTEX-12WSG-0426-SM-5FQSE 50-59 years, female 53.2
GTEX-145MF-1026-SM-5Q5EQ 50-59 years, male 53.2
GTEX-1CB4G-2126-SM-7IGQ8 60-69 years, male 53.2
GTEX-1RLM8-1026-SM-EWROE 50-59 years, male 53.2
GTEX-132NY-1126-SM-5PNVE 60-69 years, male 53.1
GTEX-1EWIQ-2526-SM-7EPIJ 70-79 years, female 53.1
GTEX-Y5V6-0626-SM-4WWFY 60-69 years, male 53.1
GTEX-Y5V5-0226-SM-5S2N8 60-69 years, female 53.0
GTEX-139TU-1426-SM-5LZY9 60-69 years, male 52.7
GTEX-1EN7A-1626-SM-79OLV 40-49 years, male 52.7
GTEX-1GTWX-1526-SM-9MQLF 60-69 years, male 52.7
GTEX-13O3Q-1126-SM-5K7YK 50-59 years, male 52.6
GTEX-1A3MX-0826-SM-72D64 60-69 years, male 52.6
GTEX-1GZ4I-2326-SM-9YFMO 50-59 years, male 52.6
GTEX-1QAET-1226-SM-DTX9I 50-59 years, male 52.6
GTEX-WFJO-1026-SM-3GIKL 30-39 years, male 52.4
GTEX-132Q8-1726-SM-5EGK8 60-69 years, male 52.3
GTEX-13G51-0526-SM-5IJCQ 60-69 years, male 52.3
GTEX-1B932-1726-SM-793A5 40-49 years, female 52.3
GTEX-1H1DG-2026-SM-9QEIV 70-79 years, male 52.2
GTEX-1I1GQ-1026-SM-CNNQS 50-59 years, male 52.1
GTEX-1I19N-1026-SM-A96TT 70-79 years, male 52.0
GTEX-1RMOY-0826-SM-E9TIF 50-59 years, male 52.0
GTEX-12ZZX-1726-SM-5BC63 40-49 years, female 51.9
GTEX-WY7C-0926-SM-3NB34 50-59 years, male 51.9
GTEX-13X6J-1926-SM-5TDCU 50-59 years, male 51.8
GTEX-17KNJ-0426-SM-718AK 50-59 years, male 51.8
GTEX-ZUA1-2126-SM-57YRB 40-49 years, male 51.8
GTEX-1HSKV-1926-SM-CNPPN 60-69 years, male 51.8
GTEX-113JC-0726-SM-5GZZR 50-59 years, female 51.7
GTEX-11DYG-2026-SM-5EGGX 60-69 years, male 51.6
GTEX-XBEC-1826-SM-4QASN 50-59 years, male 51.5
GTEX-YECK-1426-SM-5IFHE 60-69 years, male 51.5
GTEX-1HB9E-0526-SM-ARZNM 50-59 years, male 51.5
GTEX-1A8FM-2126-SM-7PC27 50-59 years, female 51.4
GTEX-ZE7O-1526-SM-5J1NH 50-59 years, female 51.3
GTEX-1GF9X-0926-SM-7PC2X 40-49 years, female 51.3
GTEX-13X6K-0726-SM-5LU2Z 60-69 years, female 51.2
GTEX-13NZ9-2026-SM-5KM1U 50-59 years, male 50.9
GTEX-13OVH-1126-SM-5K7YP 70-79 years, male 50.9
GTEX-1J1OQ-1526-SM-CJI4E 40-49 years, female 50.9
GTEX-WHWD-0826-SM-3LK6R 50-59 years, male 50.5
GTEX-ZXG5-1626-SM-59HJK 60-69 years, male 50.4
GTEX-16NPV-0626-SM-7IGOR 50-59 years, female 50.3
GTEX-1HR9M-1426-SM-A9SMB 60-69 years, male 50.2
GTEX-13NYS-0726-SM-5J1OR 60-69 years, male 50.1
GTEX-1N2DW-0726-SM-DTX97 50-59 years, male 50.1
GTEX-117YW-0826-SM-5H11O 50-59 years, male 50.0
GTEX-15CHQ-1126-SM-686YY 60-69 years, male 50.0
GTEX-145MI-0826-SM-5SI95 60-69 years, female 49.9
GTEX-11ZTS-1326-SM-5EQMA 60-69 years, female 49.7
GTEX-15DYW-1526-SM-7KUEP 60-69 years, female 49.7
GTEX-WWTW-1326-SM-4MVNT 50-59 years, male 49.7
GTEX-1HFI6-1726-SM-CGQFH 40-49 years, male 49.7
GTEX-W5X1-1426-SM-3GIKH 40-49 years, female 49.6
GTEX-1KANB-2426-SM-EV7BE 50-59 years, male 49.6
GTEX-145ME-0726-SM-5O9A3 40-49 years, female 49.4
GTEX-1A8G7-1226-SM-73KYP 60-69 years, male 49.4
GTEX-1I1GR-1726-SM-COH39 60-69 years, male 49.4
GTEX-1IY9M-1226-SM-ACKX1 60-69 years, male 49.4
GTEX-14753-2526-SM-5LU97 60-69 years, male 49.3
GTEX-14DAQ-2526-SM-5RQIO 60-69 years, female 49.3
GTEX-17MF6-1326-SM-79ONE 40-49 years, male 49.3
GTEX-11NUK-2026-SM-5PNVZ 50-59 years, male 49.1
GTEX-1B8SF-1726-SM-73KZ5 60-69 years, male 49.1
GTEX-18465-1826-SM-731BB 50-59 years, male 49.0
GTEX-16GPK-1326-SM-7KUE4 60-69 years, male 48.8
GTEX-ZDTS-1826-SM-5S2N6 60-69 years, male 48.8
GTEX-WYVS-0626-SM-4SOJY 40-49 years, female 48.7
GTEX-13S7M-0826-SM-5QGQX 60-69 years, female 48.6
GTEX-18A6Q-1026-SM-7LT9S 60-69 years, male 48.6
GTEX-18A7A-0926-SM-7LT8H 50-59 years, female 48.6
GTEX-145LU-1226-SM-5LU9B 50-59 years, male 48.4
GTEX-11GSP-1026-SM-9WYSH 60-69 years, female 48.4
GTEX-1P4AB-1226-SM-DTXET 50-59 years, male 48.3
GTEX-13PL6-0926-SM-5KLYY 40-49 years, female 48.2
GTEX-131YS-1726-SM-5HL7G 60-69 years, female 48.1
GTEX-15D1Q-1326-SM-69LOA 40-49 years, male 48.0
GTEX-1GZ2Q-1226-SM-9MQM8 40-49 years, male 48.0
GTEX-1I1GS-0926-SM-A9SL5 60-69 years, male 47.9
GTEX-13NZB-0826-SM-5K7X5 30-39 years, male 47.8
GTEX-1A8G6-2026-SM-73KYC 60-69 years, male 47.2
GTEX-14E6C-1226-SM-5ZZUN 40-49 years, male 47.1
GTEX-1H2FU-1426-SM-9WPO6 60-69 years, female 46.7
GTEX-Y8E4-1226-SM-5IFIM 40-49 years, male 46.6
GTEX-1F48J-1826-SM-7SB8T 50-59 years, female 46.6
GTEX-11DXY-0326-SM-5H12F 60-69 years, male 46.5
GTEX-1KD4Q-1426-SM-D4P3K 40-49 years, male 46.3
GTEX-17F9Y-0726-SM-7LT9G 70-79 years, female 46.1
GTEX-13PDP-1226-SM-5K7TW 60-69 years, male 46.0
GTEX-14BMV-1626-SM-73KVQ 50-59 years, male 46.0
GTEX-ZC5H-1626-SM-5HL7L 40-49 years, female 45.9
GTEX-1KD5A-1326-SM-CYPTB 50-59 years, male 45.9
GTEX-13W46-1226-SM-5SIAS 50-59 years, male 45.8
GTEX-13X6I-1526-SM-5SIAC 60-69 years, male 45.8
GTEX-1NV5F-2526-SM-EXUSK 60-69 years, female 45.8
GTEX-14PJM-1226-SM-686Z7 50-59 years, female 45.7
GTEX-1CAMQ-1226-SM-7SB7E 40-49 years, male 45.7
GTEX-1HT8W-0726-SM-A9SLB 30-39 years, male 45.6
GTEX-1CB4F-1126-SM-79OLG 60-69 years, male 45.5
GTEX-1ICLZ-1626-SM-CE6SS 60-69 years, male 45.5
GTEX-1B8L1-0126-SM-9KNVS 60-69 years, male 45.2
GTEX-1EKGG-1426-SM-7PBY2 60-69 years, male 45.0
GTEX-14C5O-0926-SM-793DM 60-69 years, male 44.8
GTEX-1H1CY-0826-SM-9WYTU 60-69 years, female 44.6
GTEX-1JMQJ-1926-SM-D4P3A 50-59 years, male 44.0
GTEX-1F52S-1326-SM-7SB6Q 60-69 years, female 43.7
GTEX-1HBPH-2226-SM-9WYSO 40-49 years, female 43.7
GTEX-11NV4-1426-SM-5BC4W 60-69 years, male 43.2
GTEX-ZYW4-2226-SM-5GZYG 60-69 years, male 42.9
GTEX-1HGF4-0226-SM-CNNQL 60-69 years, male 42.7
GTEX-12ZZW-2326-SM-5DUW2 50-59 years, male 42.6
GTEX-1C64N-1326-SM-7SB7D 50-59 years, male 42.5
GTEX-ZAB5-1126-SM-5Q5AD 50-59 years, male 42.4
GTEX-1BAJH-2126-SM-7EWFB 70-79 years, male 42.3
GTEX-1EMGI-0726-SM-7PBZ4 60-69 years, male 42.2
GTEX-1399T-1326-SM-5PNVH 60-69 years, male 42.1
GTEX-15SHU-2326-SM-7KUMC 40-49 years, female 42.1
GTEX-ZT9X-0926-SM-5O9C4 40-49 years, male 41.8
GTEX-11OF3-0826-SM-5BC51 60-69 years, male 41.4
GTEX-17EVQ-0626-SM-7KFTB 70-79 years, male 41.2
GTEX-1IE54-1426-SM-CL53C 40-49 years, female 41.1
GTEX-1C6VQ-1526-SM-73KU9 50-59 years, male 41.0
GTEX-14BIN-1226-SM-5S2OM 50-59 years, female 40.9
GTEX-1IDJI-0926-SM-ACKWZ 50-59 years, female 39.5
GTEX-17F96-0726-SM-793CB 70-79 years, male 38.9
GTEX-WYBS-1026-SM-4ONCY 60-69 years, female 38.8
GTEX-1GMRU-0726-SM-7PBZH 50-59 years, male 38.7
GTEX-13FHO-2026-SM-5J1OA 60-69 years, male 38.0
GTEX-ZF28-1426-SM-5S2OG 60-69 years, male 38.0
GTEX-13O3P-0926-SM-5IFFI 50-59 years, male 36.7
GTEX-ZAB4-1426-SM-5CVN6 40-49 years, male 36.7
GTEX-UPK5-1826-SM-3GAEB 40-49 years, male 36.1
Show allShow less

ADIPOSE TISSUE - FANTOM5 CAGEi

RNA expression in human tissues obtained through Cap Analysis of Gene Expression (CAGE) generated by the FANTOM5 project are reported as Scaled Tags Per Million.

Max subtype Scaled Tags Per Millioni

Max subtype Scaled Tags Per Million is the value for the subtype with the largest average Scaled Tags Per Million across the subtype samples.

56.8
FANTOM5 sample id Sample description Scaled Tags Per Million
Adipose tissue
Scaled Tags Per Million: 56.8
FF:10010-101C1 65,65,76 years, mixed 56.8

Contact

  • NEWS ARTICLES
  • PRESS ROOM

The Project

  • INTRODUCTION
  • ORGANIZATION
  • PUBLICATIONS

The Human Protein Atlas

  • DOWNLOADABLE DATA
  • LICENCE & CITATION
  • HELP & FAQ
The Human Protein Atlas project is funded
by the Knut & Alice Wallenberg Foundation.


contact@proteinatlas.org