We use cookies to enhance the usability of our website. If you continue, we'll assume that you are happy to receive all cookies. More information. Don't show this again.
PUF60
HPA
RESOURCES
  • TISSUE
  • BRAIN
  • SINGLE CELL
  • SUBCELLULAR
  • CANCER
  • BLOOD
  • CELL LINE
  • STRUCTURE & INTERACTION
ABOUT
  • INTRODUCTION
  • HISTORY
  • ORGANIZATION
  • PUBLICATIONS
  • ANTIBODY SUBMISSION
  • ANTIBODY AVAILABILITY
  • ACKNOWLEDGMENTS
  • CONTACT
NEWS
  • NEWS ARTICLES
  • PRESS ROOM
LEARN
  • DICTIONARY
  • PROTEIN CLASSES
  • PROTEIN EVIDENCE
  • METHODS
  • EDUCATIONAL VIDEOS
DATA
  • DOWNLOADABLE DATA
  • PUBLICATION DATA
  • RELEASE HISTORY
HELP
  • ANTIBODY VALIDATION
  • ASSAYS & ANNOTATION
  • DISCLAIMER
  • HELP & FAQ
  • PRIVACY STATEMENT
  • LICENCE & CITATION
Fields »
Search result

Field
Term
Gene name
Class
Subclass
Class
Keyword
Chromosome
External id
Tissue
Cell type
Expression
Antibody panel
Tissue
Main location
Patient ID
Annotation
Tissue
Category
Tau score
Cluster
Reliability
Brain region
Category
Tau score
Brain region
Category
Tau score
Brain region
Category
Tau score
Cluster
Reliability
Tissue
Cell type
Enrichment
Cell type
Category
Tau score
Cell type
Category
Tau score
Cell type
Category
Tau score
Cell lineage
Category
Tau score
Cluster
Cluster
Location
Searches
Location
Cell line
Class
Type
Phase
Reliability
Cancer
Prognosis
Cancer
Category
Cancer
Category
Tau score
Cluster
Variants
Interacting gene (ensg_id)
Type
Number of interactions
Pathway
Category
Score
Score
Score
Validation
Validation
Validation
Validation
Antibodies
Data type
Column


  • SUMMARY

  • TISSUE

  • BRAIN

  • SINGLE CELL

  • SUBCELL

  • CANCER

  • BLOOD

  • CELL LINE

  • STRUCT & INT

  • PUF60
TISSUE PRIMARY DATA ESOPHAGUS Show tissue menu
ADIPOSE TISSUE ADRENAL GLAND AMYGDALA APPENDIX BASAL GANGLIA BONE MARROW BREAST BRONCHUS CEREBELLUM CEREBRAL CORTEX CERVIX CHOROID PLEXUS COLON DUODENUM
ENDOMETRIUM EPIDIDYMIS ESOPHAGUS FALLOPIAN TUBE GALLBLADDER HEART MUSCLE HIPPOCAMPAL FORMATION HYPOTHALAMUS KIDNEY LIVER LUNG LYMPH NODE MIDBRAIN NASOPHARYNX
ORAL MUCOSA OVARY PANCREAS PARATHYROID GLAND PITUITARY GLAND PLACENTA PROSTATE RECTUM RETINA SALIVARY GLAND SEMINAL VESICLE SKELETAL MUSCLE SKIN SMALL INTESTINE
SMOOTH MUSCLE SOFT TISSUE SPINAL CORD SPLEEN STOMACH TESTIS THYMUS THYROID GLAND TONGUE TONSIL URINARY BLADDER VAGINA
ANTIBODIES
AND
VALIDATION
Dictionary
Esophagus
Tissue proteome
Esophagus
ESOPHAGUS - Expression summary
Protein expression
Esophagusi

On the top, protein expression in current human tissue, based on all annotated cell types, is reported with the units not detected (n), low (l), medium (m) and high (h). Underneath, protein expression in each annotated cell type are reported using the same units.

Protein expression data is based on knowledge-based annotation. For genes where more than one antibody has been used, a collective score is set.

If knowledge-based annotation could not be performed for a gene, no data is displayed here. View antibody staining data further down this page.

h
m
l
n
Squamous epithelial cells: Medium
RNA expressioni

A summary of mRNA expression data available for current tissue based on several datasets. The mRNA expression levels in human tissues are based on RNA-seq data generated by the Human Protein Atlas (HPA), Genotype-Tissue Expression (GTEx) portal and CAGE data generated by the FANTOM5 consortium. Consensus normalized expression levels for human tissues was created by combining the data from HPA and GTEx datasets.

The mRNA expression levels in pig are based on RNA-seq data generated by the Human Protein Atlas (HPA), and for mouse, HPA data and in situ hybridization generated by the Allen brain atlas are reported.

Scroll down to view mRNA expression data in more detail.
Consensus:82.5 nTPM
HPA:10.6 nTPM
GTEx:82.5 nTPM
FANTOM5:59.2 Scaled Tags Per Million

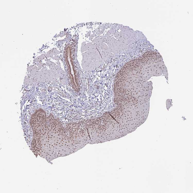
ESOPHAGUS - Antibody stainingi

Antibody staining in the annotated cell types in the current human tissue is reported as not detected, low, medium, or high, based on conventional immunohistochemistry profiling in selected tissues. This score is based on the combination of the staining intensity and fraction of stained cells.

Each image is clickable and will lead to virtual microscopy that enables deeper exploration of all samples and also displays staining intensity scores, fraction scores and subcellular localization as well as patient and tissue information for each sample.

Antibody HPA052096Antibody HPA059714
Squamous epithelial cells LowMedium





ESOPHAGUS - HPA RNA-seqi

The RNA-seq details section shows detailed information about the individual samples used for the transcript profiling and results of the RNA-seq analysis.

Information about each individual sample is listed below, including gender, age, a tissue section image and estimated fractions of cell types. nTPM (normalized transcripts per million) values give a quantification of the gene abundance which is comparable between different genes and samples.
Average nTPMi

Max subtype nTPM is the value for the subtype with the largest average nTPM across the subtype samples.

10.6
overview
Female, age 70
Esophagus sample 130
nTPM: 17.3
Cell types%
Squamous epithelial cells:
35

Smooth muscle cells:
15

Skeletal muscle cells:
5

Other cell types:
45

overview
Male, age 38
Esophagus sample 131
nTPM: 5.5
Cell types%
Squamous epithelial cells:
60

Smooth muscle cells:
20

Other cell types:
20

overview
Male, age 76
Esophagus sample 132
nTPM: 8.8
Cell types%
Squamous epithelial cells:
45

Smooth muscle cells:
15

Other cell types:
40


ESOPHAGUS - GTEx RNA-seqi

RNA-Seq data generated by the Genotype-Tissue Expression (GTEx) project from human tissues is reported as mean nTPM. More information can be found on the GTEx portal.

Distribution across the dataset is visualized with box plots, shown as median and 25th and 75th percentiles. Points are displayed as outliers if they are above or below 1.5 times the interquartile range. nTPM values of the individual samples are presented next to the box plot.
Max subtype nTPMi

Max subtype nTPM is the value for the subtype with the largest average nTPM across the subtype samples.

82.5
GTEx sample id Sample description nTPM
Esophagus - Mucosa
Average nTPM: 82.5
Samples: 555

Max nTPM: 153.0
Min nTPM: 31.2
Std nTPM: 16.4
Median nTPM: 81.1
GTEX-XQ3S-1126-SM-4BOPK 20-29 years, male 153.0
GTEX-15RIF-0826-SM-6M47C 20-29 years, male 152.7
GTEX-1I1GP-1026-SM-C1YRZ 50-59 years, male 144.7
GTEX-14PJ5-0526-SM-664OE 60-69 years, female 139.9
GTEX-145ME-5004-SM-7MGXP 40-49 years, female 136.9
GTEX-T5JW-1326-SM-4DM5G 20-29 years, female 131.3
GTEX-ZTX8-0226-SM-5E44D 20-29 years, male 130.4
GTEX-15DCE-1326-SM-6LPJL 20-29 years, male 127.5
GTEX-1GF9U-0826-SM-7MXTZ 40-49 years, female 126.0
GTEX-1QP2A-1926-SM-EXOJ9 50-59 years, male 123.1
GTEX-1HCU6-1326-SM-A96TZ 60-69 years, female 121.0
GTEX-18D9U-2126-SM-7LG4Y 40-49 years, male 119.6
GTEX-11TT1-0526-SM-5P9JO 20-29 years, male 118.7
GTEX-1L5NE-1426-SM-DHXKV 50-59 years, male 118.3
GTEX-1LVAM-1126-SM-DHXKP 50-59 years, female 117.8
GTEX-14PK6-1326-SM-686ZE 70-79 years, female 117.1
GTEX-1F5PL-1726-SM-9QEGL 40-49 years, female 117.1
GTEX-1IDJD-1626-SM-C1YRC 30-39 years, male 116.5
GTEX-16A39-1026-SM-6LPJU 30-39 years, female 115.6
GTEX-TMMY-1126-SM-4DXSX 40-49 years, female 115.5
GTEX-15F5U-5010-SM-AHZ2D 40-49 years, male 115.0
GTEX-1I4MK-0426-SM-B2LWQ 50-59 years, female 114.5
GTEX-148VI-1026-SM-5TDDJ 60-69 years, female 114.4
GTEX-16XZY-0926-SM-7938M 70-79 years, male 114.3
GTEX-1F75I-1726-SM-7MKGW 40-49 years, male 113.6
GTEX-1MCC2-1926-SM-DHXJR 30-39 years, female 113.5
GTEX-13O1R-1326-SM-5IJF5 60-69 years, male 112.9
GTEX-11GSP-1826-SM-5N9DQ 60-69 years, female 112.6
GTEX-VJYA-0726-SM-4KL1T 60-69 years, male 111.5
GTEX-XGQ4-1526-SM-4AT6H 50-59 years, male 110.8
GTEX-S4P3-0426-SM-4AD56 50-59 years, female 110.7
GTEX-ZY6K-0626-SM-59HJL 50-59 years, male 110.7
GTEX-14B4R-0326-SM-5TDDP 30-39 years, male 109.8
GTEX-1B996-1826-SM-7MGY6 60-69 years, male 109.7
GTEX-ZXES-1126-SM-5GZXN 30-39 years, female 109.4
GTEX-14PKV-1726-SM-6871U 20-29 years, female 109.3
GTEX-R55E-1326-SM-48FCR 20-29 years, male 109.0
GTEX-1GPI7-1026-SM-7MGY2 20-29 years, male 108.2
GTEX-YFC4-1226-SM-5LU9R 40-49 years, female 107.8
GTEX-132QS-1426-SM-5P9GE 60-69 years, male 107.6
GTEX-1LVAN-2326-SM-CNNPY 50-59 years, female 107.0
GTEX-14PJ6-1026-SM-686ZB 60-69 years, female 106.9
GTEX-ZTPG-1626-SM-5DUX2 20-29 years, female 106.9
GTEX-1PPH8-1626-SM-E6CQP 20-29 years, male 106.8
GTEX-1PFEY-0826-SM-E9U6A 30-39 years, male 106.3
GTEX-Q2AH-0826-SM-48TZN 40-49 years, male 106.0
GTEX-1C2JI-1126-SM-731FH 50-59 years, male 105.9
GTEX-ZYFG-1126-SM-5GICY 60-69 years, female 105.6
GTEX-R55D-1126-SM-48FEB 50-59 years, male 104.8
GTEX-13X6H-1326-SM-5LU42 50-59 years, female 104.0
GTEX-1N2DV-2026-SM-EV7BL 40-49 years, male 104.0
GTEX-1KANB-1826-SM-DHXJU 50-59 years, male 103.8
GTEX-1399S-1326-SM-5P9GH 30-39 years, female 103.7
GTEX-WOFM-0626-SM-4OOS3 20-29 years, male 103.6
GTEX-WHWD-0926-SM-4OORY 50-59 years, male 103.3
GTEX-18465-1126-SM-7LG6E 50-59 years, male 103.1
GTEX-14PJ4-1526-SM-664OA 60-69 years, male 102.9
GTEX-1I1GS-2126-SM-ARU7G 60-69 years, male 102.6
GTEX-1AMEY-0226-SM-7189Q 30-39 years, female 102.4
GTEX-1F88F-1126-SM-7MKHL 60-69 years, female 102.4
GTEX-1I6K7-1426-SM-B2LXP 40-49 years, male 102.3
GTEX-1C6VQ-1826-SM-7EWEH 50-59 years, male 101.8
GTEX-1OKEX-1326-SM-E9J2U 60-69 years, male 101.8
GTEX-QESD-0826-SM-47J4G 20-29 years, male 101.7
GTEX-15RIE-0826-SM-6M47X 60-69 years, male 101.6
GTEX-YEC3-2526-SM-CXZIH 50-59 years, male 101.6
GTEX-11DXX-1126-SM-5GZZK 60-69 years, female 101.0
GTEX-ZGAY-1126-SM-4WWBS 40-49 years, female 100.8
GTEX-S341-0526-SM-4AD5U 40-49 years, female 100.7
GTEX-WQUQ-1626-SM-4OOSH 60-69 years, male 100.7
GTEX-11EM3-0826-SM-5N9CC 20-29 years, female 100.5
GTEX-14PJN-0526-SM-68724 30-39 years, male 100.4
GTEX-1QP9N-0926-SM-E9U5S 30-39 years, male 100.4
GTEX-11I78-1526-SM-5A5K7 50-59 years, female 100.3
GTEX-1R7EU-0826-SM-DPRZL 60-69 years, male 100.2
GTEX-WXYG-1226-SM-4ONCJ 50-59 years, female 100.1
GTEX-ZVP2-1326-SM-57WCE 50-59 years, male 99.7
GTEX-1NSGN-2026-SM-DPRYM 50-59 years, male 99.6
GTEX-S3XE-0926-SM-4AD4S 50-59 years, male 99.3
GTEX-1C475-0926-SM-7MKFI 40-49 years, female 99.1
GTEX-1NUQO-1126-SM-DTX98 20-29 years, female 98.8
GTEX-139UW-1126-SM-5IJEJ 60-69 years, male 98.7
GTEX-QDVN-1026-SM-48TZA 50-59 years, male 98.7
GTEX-S32W-0926-SM-4AD5X 50-59 years, female 98.6
GTEX-Y3I4-1226-SM-4TT8N 50-59 years, male 98.3
GTEX-ZLFU-1126-SM-DO11K 40-49 years, male 98.3
GTEX-Q2AI-0626-SM-48TZU 40-49 years, male 98.0
GTEX-17MFQ-0526-SM-7KFTX 20-29 years, male 97.9
GTEX-1A3MV-1326-SM-7LG6C 30-39 years, male 97.9
GTEX-Y9LG-0626-SM-4WWDH 30-39 years, male 97.6
GTEX-14BMU-0926-SM-5S2QB 20-29 years, female 97.5
GTEX-14ICK-2026-SM-6AJB2 40-49 years, male 97.3
GTEX-XMK1-1326-SM-4B65Q 40-49 years, male 97.2
GTEX-11LCK-1726-SM-5S2OQ 30-39 years, male 97.1
GTEX-13FLV-1126-SM-5J2NO 50-59 years, male 97.0
GTEX-1CB4E-1026-SM-793AB 60-69 years, male 96.9
GTEX-1N2DW-1426-SM-EV7AZ 50-59 years, male 96.9
GTEX-RUSQ-0826-SM-47JWW 50-59 years, male 96.6
GTEX-1KANA-0626-SM-D4P3I 20-29 years, male 96.6
GTEX-1LG7Z-0926-SM-CXKYK 30-39 years, male 96.6
GTEX-OIZG-1026-SM-3LK5X 50-59 years, male 96.4
GTEX-1IKOE-1526-SM-C1YSD 30-39 years, female 96.2
GTEX-1RAZA-1326-SM-DPS12 20-29 years, male 96.2
GTEX-PVOW-1626-SM-48TC9 40-49 years, male 95.7
GTEX-14JG6-0926-SM-6871Y 30-39 years, female 95.4
GTEX-18A6Q-1226-SM-7KFS9 60-69 years, male 95.4
GTEX-1JK1U-1726-SM-CNNPM 60-69 years, male 95.1
GTEX-OXRL-0626-SM-3NM9C 50-59 years, male 95.0
GTEX-Y3IK-1126-SM-51MSV 50-59 years, female 94.9
GTEX-QDVJ-0726-SM-48U1W 50-59 years, male 94.6
GTEX-RU1J-0326-SM-46MUM 20-29 years, female 94.4
GTEX-U4B1-0826-SM-4DXTW 40-49 years, male 94.2
GTEX-ZT9W-1326-SM-51MTB 50-59 years, male 94.2
GTEX-1OJC3-0826-SM-DPRYU 20-29 years, male 94.2
GTEX-1H1DE-1026-SM-9JGH6 20-29 years, male 94.1
GTEX-11ZU8-1526-SM-5EGHX 60-69 years, male 93.9
GTEX-YEC4-1026-SM-9WG7N 40-49 years, male 93.8
GTEX-13111-0826-SM-5LZV3 50-59 years, male 93.6
GTEX-ZZ64-0226-SM-5E44X 20-29 years, male 93.5
GTEX-XBEW-1326-SM-4AT63 40-49 years, male 93.4
GTEX-1LSVX-1226-SM-DHXJN 60-69 years, male 93.4
GTEX-1H11D-2126-SM-9OSXM 40-49 years, male 93.3
GTEX-15RJE-0926-SM-6LLHZ 40-49 years, male 93.2
GTEX-PWCY-0726-SM-48TCS 20-29 years, female 93.2
GTEX-14ICL-0526-SM-5RQJ6 30-39 years, male 93.0
GTEX-ZLWG-1326-SM-DNZYZ 50-59 years, female 93.0
GTEX-14AS3-0626-SM-5QGQD 40-49 years, female 92.9
GTEX-T8EM-0526-SM-4DM64 40-49 years, male 92.8
GTEX-XUZC-0426-SM-4BOPE 30-39 years, female 92.8
GTEX-1CB4J-2426-SM-7MXVC 60-69 years, male 92.7
GTEX-1QCLZ-1626-SM-E9U5R 60-69 years, female 92.7
GTEX-Y114-0926-SM-4TT7J 50-59 years, female 92.2
GTEX-17F9E-1926-SM-7IGQF 50-59 years, male 92.1
GTEX-WFG8-1226-SM-4V6EI 20-29 years, male 92.1
GTEX-ZDYS-0826-SM-4WWCR 50-59 years, male 92.1
GTEX-13QBU-1026-SM-5LU3R 40-49 years, female 92.0
GTEX-16BQI-1526-SM-6LLIE 30-39 years, female 92.0
GTEX-TKQ1-0326-SM-4DXSM 30-39 years, male 91.9
GTEX-WFJO-0826-SM-4LVM5 30-39 years, male 91.8
GTEX-1MCQQ-1026-SM-EV7AX 60-69 years, male 91.7
GTEX-1F5PK-1526-SM-7MKGV 50-59 years, male 91.6
GTEX-1JKYN-1526-SM-CGQGA 30-39 years, male 91.6
GTEX-1QP67-0726-SM-DPRY1 40-49 years, female 91.6
GTEX-1K9T9-2026-SM-CXZK3 50-59 years, female 91.5
GTEX-SNMC-0526-SM-4DM69 20-29 years, male 91.3
GTEX-1AX8Z-5016-SM-AHZ2B 60-69 years, male 91.3
GTEX-1JKYR-2126-SM-CNNPC 20-29 years, male 91.3
GTEX-13PVQ-1726-SM-5IFF3 50-59 years, male 91.2
GTEX-15SB6-0726-SM-6M48F 50-59 years, female 91.2
GTEX-16MTA-0826-SM-6LLIC 50-59 years, male 91.2
GTEX-QEG5-1426-SM-447AS 20-29 years, male 90.8
GTEX-YB5E-0926-SM-4WWDQ 40-49 years, male 90.8
GTEX-14C38-2126-SM-5RQJO 50-59 years, male 90.7
GTEX-S4Q7-0626-SM-4AD5M 20-29 years, male 90.7
GTEX-ZTSS-0626-SM-59867 40-49 years, male 90.6
GTEX-13CF3-1626-SM-5IFG9 60-69 years, female 90.5
GTEX-11P81-0826-SM-5P9GR 30-39 years, female 90.4
GTEX-1AYD5-0926-SM-793AF 50-59 years, male 90.2
GTEX-Z9EW-0526-SM-5HL8S 40-49 years, male 90.0
GTEX-1QW4Y-0526-SM-EAZ3V 30-39 years, male 90.0
GTEX-13FH7-0526-SM-5IJF8 50-59 years, female 89.8
GTEX-X4LF-0626-SM-4QASB 50-59 years, male 89.8
GTEX-1JMPZ-2026-SM-C1YR8 30-39 years, male 89.7
GTEX-1H3VY-2026-SM-9JGHK 50-59 years, male 89.5
GTEX-1R9PM-0926-SM-DPRYA 20-29 years, male 89.4
GTEX-Q2AG-1326-SM-43V8K 40-49 years, female 89.2
GTEX-SUCS-0726-SM-4DM7J 70-79 years, male 89.2
GTEX-1I1GU-1426-SM-B2LX3 40-49 years, male 89.2
GTEX-1M5QR-0726-SM-DHXK7 40-49 years, male 89.2
GTEX-17F98-1726-SM-7938O 40-49 years, female 89.0
GTEX-144GM-1426-SM-5LU31 20-29 years, male 88.9
GTEX-146FH-1726-SM-5QGQ2 50-59 years, female 88.9
GTEX-11EQ9-0726-SM-5A5K2 30-39 years, male 88.4
GTEX-X4EO-1226-SM-4QARR 60-69 years, female 88.4
GTEX-OIZH-0626-SM-3NB1L 50-59 years, male 88.1
GTEX-S95S-0426-SM-4B64I 60-69 years, male 88.1
GTEX-R3RS-1326-SM-48FE7 40-49 years, female 88.0
GTEX-1LNCM-0626-SM-EV7AI 50-59 years, female 87.8
GTEX-XLM4-2326-SM-4AT5E 60-69 years, male 87.8
GTEX-1LBAC-1226-SM-DHXK1 20-29 years, male 87.7
GTEX-145MN-1026-SM-5NQ9G 30-39 years, male 87.6
GTEX-VUSG-1226-SM-4KKZF 50-59 years, male 87.6
GTEX-1399U-1026-SM-5J1OC 50-59 years, female 87.4
GTEX-UPJH-1026-SM-EAZB2 50-59 years, male 87.4
GTEX-11NSD-1126-SM-5N9BQ 20-29 years, male 87.3
GTEX-146FR-0426-SM-5SI97 60-69 years, female 87.3
GTEX-ZPU1-1426-SM-4WWFU 40-49 years, male 87.3
GTEX-1N2EE-2426-SM-EXOIO 60-69 years, male 87.3
GTEX-111YS-0926-SM-5EGGI 60-69 years, male 87.2
GTEX-ZLV1-0526-SM-4WWD4 60-69 years, female 87.1
GTEX-R55C-0826-SM-48FCL 40-49 years, male 87.0
GTEX-ZVT2-1326-SM-5E45H 50-59 years, female 87.0
GTEX-12WSL-1526-SM-5GCP8 50-59 years, male 86.9
GTEX-1MGNQ-1626-SM-EAZ4Z 40-49 years, male 86.9
GTEX-S7SF-0926-SM-4AD4M 20-29 years, female 86.8
GTEX-ZV68-0926-SM-59HK7 50-59 years, female 86.8
GTEX-OOBK-0625-SM-3LK5P 40-49 years, male 86.7
GTEX-RWS6-0826-SM-47JXF 60-69 years, female 86.6
GTEX-ZE9C-1126-SM-4WWBD 60-69 years, male 86.6
GTEX-WYJK-1926-SM-4ONDP 50-59 years, male 86.5
GTEX-1GMR2-1526-SM-7MXV6 50-59 years, male 86.5
GTEX-13FTW-1626-SM-5KM4N 40-49 years, male 86.4
GTEX-1RDX4-2126-SM-EV7B3 50-59 years, female 86.3
GTEX-QEG4-0726-SM-CNNRF 30-39 years, male 86.1
GTEX-PWN1-0626-SM-48TDT 40-49 years, female 86.0
GTEX-XYKS-1526-SM-4BRUP 60-69 years, female 85.9
GTEX-W5WG-1626-SM-4LMKG 50-59 years, female 85.6
GTEX-1CB4I-1026-SM-7MKFZ 50-59 years, male 85.5
GTEX-1K2DA-0626-SM-CGQGO 50-59 years, male 85.3
GTEX-13PVR-1826-SM-5Q5CC 60-69 years, female 85.2
GTEX-13W3W-1626-SM-5LU35 60-69 years, female 85.1
GTEX-U8XE-1726-SM-4E3IF 30-39 years, male 85.1
GTEX-XXEK-0326-SM-4BRVV 50-59 years, male 85.1
GTEX-U3ZN-1726-SM-4DXUQ 30-39 years, female 85.0
GTEX-UJMC-0926-SM-4IHLK 50-59 years, male 85.0
GTEX-1B97I-0926-SM-731DZ 40-49 years, male 84.9
GTEX-UJHI-0826-SM-4IHLM 50-59 years, female 84.7
GTEX-1HC8U-1526-SM-9WPO4 40-49 years, female 84.7
GTEX-ZF29-1326-SM-DNZYV 60-69 years, female 84.6
GTEX-17HHE-0926-SM-7938K 50-59 years, male 84.5
GTEX-17EUY-1426-SM-7938X 20-29 years, male 84.4
GTEX-16Z82-1926-SM-6M47U 60-69 years, male 84.3
GTEX-1MA7W-0426-SM-E9TJ5 20-29 years, female 84.3
GTEX-11NUK-1326-SM-5P9GN 50-59 years, male 84.2
GTEX-13S86-0826-SM-5SI6J 40-49 years, male 84.2
GTEX-1HSMQ-2026-SM-B2LY1 50-59 years, male 84.1
GTEX-15RJ7-0926-SM-6LPJO 40-49 years, male 84.0
GTEX-Y5V5-1626-SM-4VDSG 60-69 years, female 84.0
GTEX-QLQ7-0926-SM-447BC 60-69 years, male 83.9
GTEX-ZEX8-1426-SM-4WKHQ 50-59 years, male 83.9
GTEX-1KXAM-0826-SM-CXZK9 60-69 years, male 83.9
GTEX-1HCUA-1426-SM-9WPP7 50-59 years, female 83.7
GTEX-145MO-1426-SM-DTX9W 60-69 years, male 83.6
GTEX-X15G-0826-SM-4PQZD 50-59 years, female 83.5
GTEX-X4XY-1726-SM-46MVO 60-69 years, male 83.5
GTEX-13RTK-0526-SM-5S2QF 20-29 years, male 83.4
GTEX-WFG7-1126-SM-4LMK3 20-29 years, male 83.4
GTEX-15DCD-1626-SM-6AJBH 70-79 years, female 83.3
GTEX-1J1R8-0326-SM-AHZ3D 40-49 years, male 83.2
GTEX-132AR-2226-SM-5J2NT 50-59 years, female 83.1
GTEX-18A66-1426-SM-7KFRT 60-69 years, male 83.1
GTEX-1AX9J-1826-SM-731FM 60-69 years, male 83.1
GTEX-1H23P-1426-SM-9JGH5 60-69 years, male 83.1
GTEX-XQ8I-1526-SM-4BOOH 50-59 years, male 82.9
GTEX-11DXZ-1226-SM-5H11L 50-59 years, male 82.8
GTEX-NPJ8-1926-SM-3MJGB 40-49 years, male 82.8
GTEX-1HGF4-0926-SM-9WPP8 60-69 years, male 82.8
GTEX-18D9A-0526-SM-7KFSW 30-39 years, female 82.6
GTEX-Y111-1626-SM-57WCY 50-59 years, male 82.5
GTEX-Y5LM-1026-SM-4VDSQ 40-49 years, female 82.5
GTEX-WFON-0826-SM-4LVMI 40-49 years, male 82.4
GTEX-WRHK-0526-SM-4MVOF 20-29 years, female 82.4
GTEX-1KD4Q-1126-SM-CXZKK 40-49 years, male 82.4
GTEX-144GN-0626-SM-5O9B2 50-59 years, male 82.3
GTEX-1I1GQ-1726-SM-B2LWZ 50-59 years, male 82.3
GTEX-1QCLY-1526-SM-DPRXX 30-39 years, male 82.3
GTEX-PLZ5-0926-SM-3TW8L 50-59 years, male 82.2
GTEX-PLZ6-0526-SM-3P61C 30-39 years, male 82.2
GTEX-11ZTS-2626-SM-5EGIC 60-69 years, female 82.1
GTEX-139YR-1726-SM-5IFFK 50-59 years, male 82.1
GTEX-145MF-1426-SM-5O9B6 50-59 years, male 82.1
GTEX-WYVS-0726-SM-4ONDO 40-49 years, female 82.1
GTEX-ZDTT-1326-SM-4WKFH 60-69 years, male 82.1
GTEX-ZG7Y-1126-SM-4WWEZ 50-59 years, male 82.1
GTEX-1497J-2726-SM-5SI9W 60-69 years, male 82.0
GTEX-QEL4-1426-SM-447AC 50-59 years, male 82.0
GTEX-13U4I-1126-SM-5LU3S 40-49 years, female 81.9
GTEX-REY6-1326-SM-48FDO 60-69 years, male 81.8
GTEX-13NZB-1226-SM-5J2MW 30-39 years, male 81.6
GTEX-U3ZM-0526-SM-4DXTB 40-49 years, male 81.6
GTEX-X3Y1-1326-SM-4PQZB 40-49 years, male 81.5
GTEX-1GL5R-1526-SM-7MKHO 50-59 years, male 81.4
GTEX-UPK5-1226-SM-4IHL8 40-49 years, male 81.4
GTEX-133LE-0626-SM-5IFFJ 20-29 years, female 81.3
GTEX-1C64O-1826-SM-7DHM4 60-69 years, male 81.3
GTEX-13YAN-1926-SM-7EPH9 60-69 years, male 81.1
GTEX-1GN1W-2226-SM-9JGI5 50-59 years, female 81.1
GTEX-1J1OQ-2526-SM-AHZ3Q 40-49 years, female 81.1
GTEX-15SHU-1426-SM-6LPIN 40-49 years, female 80.9
GTEX-1AX9K-1126-SM-731DQ 50-59 years, male 80.9
GTEX-139T6-0626-SM-5IFF9 50-59 years, male 80.7
GTEX-1J8EW-1326-SM-AHZ3S 60-69 years, female 80.7
GTEX-WHPG-1126-SM-4M1XT 50-59 years, male 80.6
GTEX-12ZZW-1726-SM-5DUVD 50-59 years, male 80.5
GTEX-XBED-1026-SM-48TCB 60-69 years, male 80.5
GTEX-12WSK-1126-SM-5LZV8 40-49 years, female 80.4
GTEX-15ER7-2126-SM-7939E 20-29 years, female 80.4
GTEX-QVUS-0626-SM-447CC 60-69 years, female 80.4
GTEX-1122O-1726-SM-5GICM 60-69 years, female 80.3
GTEX-1QP28-1826-SM-EAZ4L 50-59 years, female 80.3
GTEX-14E6E-0726-SM-5S2R3 30-39 years, male 80.1
GTEX-RU72-0726-SM-46MUW 50-59 years, female 80.1
GTEX-13OVG-0626-SM-5IFEP 60-69 years, male 79.9
GTEX-1EKGG-1726-SM-7MXUP 60-69 years, male 79.9
GTEX-1HBPH-1126-SM-A96TU 40-49 years, female 79.9
GTEX-14H4A-1626-SM-5SI69 40-49 years, female 79.8
GTEX-NFK9-1126-SM-3LK78 40-49 years, male 79.8
GTEX-T6MO-0526-SM-4DM6R 40-49 years, female 79.8
GTEX-1EN7A-1226-SM-7MGX9 40-49 years, male 79.7
GTEX-1B933-2026-SM-7EWFC 50-59 years, female 79.6
GTEX-1IDJF-1226-SM-C1YPX 20-29 years, male 79.6
GTEX-WEY5-0926-SM-4LMI4 40-49 years, female 79.5
GTEX-ZA64-0626-SM-5HL9O 20-29 years, male 79.2
GTEX-P4QT-0626-SM-3NMCP 50-59 years, female 78.9
GTEX-P78B-1026-SM-3NMC4 40-49 years, female 78.9
GTEX-1HKZK-1426-SM-A96U1 40-49 years, male 78.8
GTEX-144FL-2726-SM-5O98Z 50-59 years, male 78.7
GTEX-PSDG-1326-SM-48TD2 50-59 years, male 78.7
GTEX-18A67-2426-SM-7LT95 50-59 years, male 78.6
GTEX-11P82-0526-SM-5986P 20-29 years, male 78.5
GTEX-145LV-1326-SM-5S2QI 50-59 years, male 78.5
GTEX-1AMFI-0226-SM-731D5 50-59 years, female 78.5
GTEX-1JMQJ-1226-SM-D3L97 50-59 years, male 78.5
GTEX-1212Z-2126-SM-5FQTM 60-69 years, male 78.4
GTEX-SNOS-0626-SM-4DM5F 40-49 years, male 78.4
GTEX-13X6I-1026-SM-5LU4C 60-69 years, male 78.3
GTEX-N7MS-1225-SM-3LK5G 60-69 years, male 78.3
GTEX-V955-1126-SM-4JBH3 60-69 years, male 78.2
GTEX-1269C-1026-SM-5N9EY 60-69 years, female 78.1
GTEX-14JIY-0926-SM-6871D 60-69 years, male 78.1
GTEX-YF7O-0926-SM-5IFIF 50-59 years, male 78.0
GTEX-P4PQ-0626-SM-3NMCU 60-69 years, male 77.9
GTEX-1HBPI-0626-SM-9WPP4 50-59 years, male 77.9
GTEX-1R9K5-1526-SM-DPRZA 50-59 years, male 77.9
GTEX-1RAZQ-1726-SM-EAZ4T 30-39 years, male 77.9
GTEX-12696-1326-SM-5FQTJ 60-69 years, male 77.8
GTEX-U3ZH-1026-SM-4DXUZ 30-39 years, male 77.8
GTEX-16NPX-1626-SM-6LLI5 50-59 years, male 77.7
GTEX-13OVI-2626-SM-5KM4T 60-69 years, female 77.6
GTEX-TSE9-1226-SM-4DXTM 60-69 years, female 77.6
GTEX-131YS-1426-SM-5IJF7 60-69 years, female 77.5
GTEX-15EU6-1626-SM-6LPKF 50-59 years, male 77.5
GTEX-O5YV-1026-SM-3LK72 60-69 years, female 77.5
GTEX-ZYW4-1326-SM-5E45N 60-69 years, male 77.5
GTEX-111CU-0726-SM-5GZYD 50-59 years, male 77.4
GTEX-1EMGI-1926-SM-7938Y 60-69 years, male 77.4
GTEX-QLQW-0526-SM-4R1KS 30-39 years, male 77.4
GTEX-1B97J-1026-SM-7MXTE 50-59 years, female 77.4
GTEX-1CAMQ-2726-SM-7MKGD 40-49 years, male 77.4
GTEX-1JMQK-2026-SM-C1YQN 60-69 years, male 77.3
GTEX-148VJ-1026-SM-5LU98 70-79 years, male 77.2
GTEX-Y8E4-1726-SM-5LU9G 40-49 years, male 77.2
GTEX-1399R-0826-SM-5IJEL 30-39 years, male 77.1
GTEX-14BIN-2726-SM-5RQIE 50-59 years, female 77.1
GTEX-1EX96-2226-SM-7MKGT 50-59 years, male 77.0
GTEX-131XF-0826-SM-5GICG 60-69 years, male 76.8
GTEX-13SLX-1726-SM-5Q5E5 50-59 years, female 76.8
GTEX-12BJ1-1626-SM-5HL8Y 60-69 years, male 76.7
GTEX-YB5K-0826-SM-5YYB7 40-49 years, female 76.7
GTEX-ZAJG-1326-SM-5S2NV 50-59 years, female 76.7
GTEX-1GN73-1926-SM-9JGGS 60-69 years, male 76.6
GTEX-OIZF-0626-SM-7MKHG 60-69 years, male 76.5
GTEX-13NYB-0926-SM-5IFFA 40-49 years, male 76.4
GTEX-16NGA-1426-SM-718AC 40-49 years, female 76.4
GTEX-13OVK-1126-SM-6PAMR 40-49 years, male 76.3
GTEX-ZYY3-1526-SM-5SIA9 60-69 years, female 76.3
GTEX-1IKK5-1326-SM-AHZ2X 60-69 years, male 76.3
GTEX-12WSD-1826-SM-5GCOA 60-69 years, female 76.2
GTEX-14E1K-1226-SM-5S2PD 50-59 years, male 76.2
GTEX-178AV-0526-SM-6LPJH 40-49 years, male 76.2
GTEX-OHPN-1026-SM-E9TI8 60-69 years, female 76.2
GTEX-1MCYP-1026-SM-DPRYB 20-29 years, female 76.0
GTEX-1QPFJ-1226-SM-EAZ3M 30-39 years, female 76.0
GTEX-11ONC-1526-SM-5GU6S 60-69 years, male 75.9
GTEX-1HSKV-2426-SM-A8N8K 60-69 years, male 75.9
GTEX-1R9K4-1926-SM-DPRZW 60-69 years, male 75.8
GTEX-146FQ-1026-SM-5LU8I 30-39 years, male 75.6
GTEX-1J8QM-1926-SM-AHZ3Z 60-69 years, female 75.6
GTEX-11EMC-2226-SM-5A5JW 60-69 years, female 75.5
GTEX-QCQG-0626-SM-48U21 50-59 years, female 75.5
GTEX-Y8LW-0726-SM-5IFI1 50-59 years, female 75.3
GTEX-12WSN-5013-SM-7P8P9 40-49 years, male 75.3
GTEX-RNOR-1226-SM-48FDQ 50-59 years, female 75.2
GTEX-1S83E-0826-SM-EV7B7 40-49 years, male 75.2
GTEX-1IDJH-2026-SM-CNNQX 70-79 years, male 75.1
GTEX-1211K-0926-SM-5FQTL 60-69 years, female 75.0
GTEX-12C56-1226-SM-5FQSU 20-29 years, male 75.0
GTEX-15DYW-1826-SM-6LPIY 60-69 years, female 74.9
GTEX-13FTX-0526-SM-5IFGS 20-29 years, female 74.8
GTEX-SE5C-1226-SM-4BRWV 40-49 years, female 74.8
GTEX-1A32A-1826-SM-72D5G 50-59 years, female 74.7
GTEX-131XE-1426-SM-5HL7V 50-59 years, male 74.6
GTEX-131XG-1026-SM-5GCMX 50-59 years, female 74.6
GTEX-S33H-0826-SM-4AD5Y 30-39 years, male 74.5
GTEX-14PHY-0626-SM-664NN 60-69 years, female 74.4
GTEX-13O21-0626-SM-5IJDI 50-59 years, male 74.3
GTEX-18A7A-2326-SM-7KFRH 50-59 years, female 74.3
GTEX-1CB4F-1526-SM-7MKFM 60-69 years, male 74.3
GTEX-169BO-0526-SM-793AK 50-59 years, male 74.2
GTEX-ZF2S-1226-SM-4WWAX 50-59 years, female 74.2
GTEX-WH7G-0926-SM-4LVMJ 40-49 years, male 74.0
GTEX-P4QS-0626-SM-3NMD1 60-69 years, male 73.8
GTEX-14DAR-0826-SM-73KYJ 50-59 years, male 73.7
GTEX-V1D1-1026-SM-4JBHE 50-59 years, male 73.7
GTEX-1S82Y-1226-SM-EV7BD 40-49 years, male 73.7
GTEX-11XUK-0826-SM-5GU6P 40-49 years, female 73.5
GTEX-QV44-1126-SM-CL55C 50-59 years, male 73.5
GTEX-ZPCL-1426-SM-57WEC 60-69 years, female 73.4
GTEX-1H1ZS-1526-SM-9OSXR 70-79 years, male 73.4
GTEX-1399Q-1126-SM-5P9JA 40-49 years, male 73.1
GTEX-183FY-1526-SM-7IGOW 20-29 years, male 73.0
GTEX-1MJIX-0826-SM-DTXEO 40-49 years, male 73.0
GTEX-11VI4-0526-SM-5EQ48 40-49 years, female 72.9
GTEX-13FHO-1726-SM-DPRZX 60-69 years, male 72.9
GTEX-117YW-1926-SM-5H121 50-59 years, male 72.8
GTEX-RM2N-0726-SM-48FD5 50-59 years, male 72.8
GTEX-1I1GR-1326-SM-ARU7B 60-69 years, male 72.6
GTEX-Y5V6-1026-SM-4VBS2 60-69 years, male 72.5
GTEX-1H1DG-1226-SM-9JGH3 70-79 years, male 72.5
GTEX-WVLH-1426-SM-4MVNX 50-59 years, male 72.4
GTEX-13X6K-2126-SM-5O9D4 60-69 years, female 72.2
GTEX-1RAZS-2626-SM-EV79C 50-59 years, male 72.2
GTEX-1B8KE-1826-SM-731FD 50-59 years, male 72.1
GTEX-12WSG-5007-SM-7DUGZ 50-59 years, female 72.0
GTEX-ZUA1-1226-SM-5NQ6O 40-49 years, male 71.9
GTEX-WHSE-1526-SM-4M1XH 20-29 years, male 71.8
GTEX-13OW8-2326-SM-5L3I9 60-69 years, male 71.6
GTEX-18D9B-2026-SM-7LT96 60-69 years, male 71.6
GTEX-1QEPI-1826-SM-EAZ3J 60-69 years, female 71.5
GTEX-OXRK-1326-SM-3NB1A 50-59 years, female 71.3
GTEX-11DXY-1426-SM-5N9CN 60-69 years, male 71.2
GTEX-PLZ4-1626-SM-3P618 50-59 years, female 71.2
GTEX-1RAZR-1226-SM-E6CRD 40-49 years, male 71.2
GTEX-ZYVF-2226-SM-5GIDD 50-59 years, female 71.1
GTEX-147F3-0826-SM-5NQA7 50-59 years, female 71.0
GTEX-R55G-1026-SM-48FDI 40-49 years, female 71.0
GTEX-1B8KZ-0726-SM-7938W 50-59 years, male 70.9
GTEX-1IY9M-1626-SM-AHZ39 60-69 years, male 70.5
GTEX-YECK-1626-SM-5IFHQ 60-69 years, male 70.2
GTEX-ZYFC-1626-SM-5N9EU 50-59 years, male 70.2
GTEX-132Q8-1826-SM-5EGIY 60-69 years, male 70.1
GTEX-17KNJ-1326-SM-7KFTG 50-59 years, male 69.9
GTEX-ZAB4-1126-SM-5HL86 40-49 years, male 69.9
GTEX-1LGOU-0526-SM-D3LAO 20-29 years, female 69.9
GTEX-11P7K-1326-SM-5BC5G 30-39 years, male 69.8
GTEX-ZT9X-0526-SM-5GCOP 40-49 years, male 69.8
GTEX-1A8FM-1526-SM-7MXTA 50-59 years, female 69.8
GTEX-WK11-1026-SM-4OOS8 50-59 years, male 69.7
GTEX-11TUW-1326-SM-5EQKV 60-69 years, male 69.4
GTEX-14PJ3-0626-SM-6UGC5 50-59 years, male 69.4
GTEX-1JMPY-0826-SM-AHZ4A 30-39 years, male 69.3
GTEX-T2IS-0826-SM-4DM6L 20-29 years, female 69.1
GTEX-1LGRB-1626-SM-CNNR7 50-59 years, female 69.1
GTEX-139TU-1226-SM-5J2NL 60-69 years, male 68.8
GTEX-15UF7-0926-SM-6M46F 40-49 years, male 68.8
GTEX-17JCI-1226-SM-793D9 60-69 years, female 68.8
GTEX-R53T-1126-SM-48FD4 50-59 years, female 68.8
GTEX-14PJM-1526-SM-664NY 50-59 years, female 68.7
GTEX-1HCVE-1226-SM-9WPPH 50-59 years, male 68.6
GTEX-11DYG-1326-SM-5N9DO 60-69 years, male 68.4
GTEX-13D11-1926-SM-5IFGB 50-59 years, female 68.3
GTEX-1QP29-2126-SM-E6CPZ 50-59 years, male 68.1
GTEX-1HCU8-2226-SM-9WPOV 60-69 years, female 67.9
GTEX-XK95-1026-SM-4GIDV 40-49 years, male 67.8
GTEX-ZAK1-1526-SM-5S2OV 50-59 years, female 67.8
GTEX-1PPGY-1726-SM-EVR3S 60-69 years, male 67.7
GTEX-17HGU-1426-SM-7938G 50-59 years, male 67.6
GTEX-X4EP-1626-SM-4QAS6 60-69 years, female 67.6
GTEX-ZAB5-0926-SM-5CVMV 50-59 years, male 67.6
GTEX-144GO-2726-SM-5O9A2 60-69 years, male 67.3
GTEX-15EO6-1026-SM-7KUG9 50-59 years, male 67.3
GTEX-SJXC-1426-SM-EYYVB 60-69 years, male 67.3
GTEX-18QFQ-1026-SM-7LG6B 30-39 years, male 67.1
GTEX-1ICG6-1926-SM-ARU7L 70-79 years, female 67.1
GTEX-1MA7X-0726-SM-EV7AB 60-69 years, male 67.1
GTEX-1R9JW-1526-SM-DPRZK 30-39 years, female 66.9
GTEX-14BIM-1326-SM-7EWD1 60-69 years, female 66.8
GTEX-17EVQ-1926-SM-7IGOF 70-79 years, male 66.8
GTEX-1HCU7-2126-SM-A96SG 50-59 years, male 66.7
GTEX-12WSA-1426-SM-5EGJU 60-69 years, male 66.3
GTEX-1HB9E-1526-SM-D3LA6 50-59 years, male 66.3
GTEX-13PL7-0226-SM-731DT 60-69 years, female 66.1
GTEX-12ZZX-1326-SM-5DUWI 40-49 years, female 66.0
GTEX-1BAJH-2026-SM-7P8OZ 70-79 years, male 66.0
GTEX-RN64-1026-SM-48FDX 50-59 years, male 65.9
GTEX-1K2DU-1726-SM-EV79S 20-29 years, male 65.9
GTEX-17F96-2526-SM-7DHL3 70-79 years, male 65.7
GTEX-15ETS-1926-SM-7KUN5 40-49 years, female 65.6
GTEX-TML8-1526-SM-4DXUX 40-49 years, female 65.6
GTEX-1RLM8-0726-SM-E6CRH 50-59 years, male 65.6
GTEX-1LSNL-2226-SM-DHXKM 50-59 years, male 65.5
GTEX-145LU-0926-SM-79OJL 50-59 years, male 65.4
GTEX-16MT8-1326-SM-6M47R 60-69 years, female 65.4
GTEX-12KS4-0926-SM-5BC5S 30-39 years, male 65.2
GTEX-145LT-1126-SM-5LUA1 40-49 years, male 65.2
GTEX-16AAH-0726-SM-793A9 50-59 years, male 65.0
GTEX-POYW-1326-SM-48TCG 60-69 years, male 65.0
GTEX-13G51-0926-SM-5IFFU 60-69 years, male 64.8
GTEX-1I1CD-1726-SM-A9G3P 60-69 years, female 64.8
GTEX-13FHP-1526-SM-5IJGE 50-59 years, male 64.6
GTEX-1LVA9-2126-SM-DLHBY 50-59 years, male 64.5
GTEX-OXRN-1726-SM-3NM9B 50-59 years, male 64.4
GTEX-OIZI-1426-SM-3NB1T 40-49 years, male 64.3
GTEX-14DAQ-1426-SM-5RQJD 60-69 years, female 64.0
GTEX-YJ89-1526-SM-5P9IR 60-69 years, male 63.8
GTEX-1EU9M-2326-SM-7MKGS 60-69 years, male 63.6
GTEX-P4PP-0626-SM-3NM9X 30-39 years, female 63.6
GTEX-11DZ1-2026-SM-5A5KG 50-59 years, male 63.5
GTEX-WHSB-0426-SM-4M1XI 50-59 years, male 63.5
GTEX-13OVJ-1226-SM-5L3HA 50-59 years, female 63.0
GTEX-ZYT6-1126-SM-5GZYR 30-39 years, male 63.0
GTEX-1LB8K-1326-SM-CXZKB 50-59 years, male 62.9
GTEX-12ZZY-1426-SM-5N9EI 60-69 years, male 62.8
GTEX-1CB4G-1326-SM-7MKFP 60-69 years, male 62.7
GTEX-XV7Q-1126-SM-4BRVS 40-49 years, female 62.7
GTEX-ZQUD-0426-SM-57WFR 30-39 years, male 62.7
GTEX-RVPV-0526-SM-47JYL 60-69 years, male 62.5
GTEX-1E1VI-1526-SM-7IGQ2 50-59 years, male 62.3
GTEX-1F7RK-1526-SM-7P8T6 20-29 years, female 62.1
GTEX-17F97-1326-SM-7MGVO 50-59 years, male 62.0
GTEX-1JMLX-2326-SM-CXZJP 50-59 years, male 62.0
GTEX-1PIGE-0926-SM-E9U5Z 20-29 years, male 61.8
GTEX-1HFI6-1226-SM-A96SK 40-49 years, male 61.7
GTEX-13O3Q-0826-SM-5IFGF 50-59 years, male 61.5
GTEX-1CB4H-1526-SM-7MXU4 60-69 years, female 61.2
GTEX-14A6H-1326-SM-5NQBC 30-39 years, male 61.1
GTEX-183WM-1726-SM-7KFT5 70-79 years, female 61.1
GTEX-15EOM-5013-SM-7MKF9 20-29 years, female 60.7
GTEX-1F52S-1426-SM-7P8PU 60-69 years, female 60.7
GTEX-RTLS-1126-SM-46MUQ 60-69 years, female 59.1
GTEX-ZC5H-1326-SM-5HL7E 40-49 years, female 59.1
GTEX-ZVE2-1326-SM-5NQ94 50-59 years, male 59.1
GTEX-1I1GV-2226-SM-ARU7E 60-69 years, male 59.1
GTEX-OXRP-0926-SM-48TC1 60-69 years, female 59.0
GTEX-1GTWX-1326-SM-9JGHU 60-69 years, male 58.4
GTEX-1EWIQ-1526-SM-79OO7 70-79 years, female 58.0
GTEX-1HSGN-1626-SM-A96U2 40-49 years, female 58.0
GTEX-1AX9I-1426-SM-7DHM8 60-69 years, male 57.9
GTEX-1H3NZ-1326-SM-9JGHI 60-69 years, male 57.4
GTEX-1GMR8-1826-SM-9WYUE 50-59 years, female 57.1
GTEX-13W46-1926-SM-5J2MF 50-59 years, male 56.9
GTEX-T5JC-1726-SM-4DM6U 20-29 years, male 56.9
GTEX-1GN1U-1826-SM-9JGH2 50-59 years, female 56.9
GTEX-1KAFJ-0626-SM-D3L8X 50-59 years, male 56.8
GTEX-13JVG-2026-SM-5KM1N 60-69 years, male 56.6
GTEX-1EH9U-2426-SM-7EWFG 60-69 years, male 56.6
GTEX-R45C-1226-SM-48FEE 60-69 years, female 56.5
GTEX-13QJ3-1726-SM-5RQK9 50-59 years, male 55.8
GTEX-11EI6-1526-SM-5P9GL 60-69 years, male 55.3
GTEX-ZF3C-1626-SM-4WWB4 50-59 years, female 55.3
GTEX-X62O-2226-SM-46MW3 50-59 years, male 54.6
GTEX-N7MT-0326-SM-48TDP 60-69 years, female 53.9
GTEX-13O61-0926-SM-5IFFE 60-69 years, male 53.5
GTEX-145LS-1826-SM-5LUAZ 60-69 years, female 53.4
GTEX-ZZPT-1426-SM-5N9C5 50-59 years, male 52.9
GTEX-17HII-1526-SM-9OSVD 50-59 years, male 52.9
GTEX-15UF6-2326-SM-6M465 70-79 years, female 52.6
GTEX-1LG7Y-1726-SM-EV7AR 50-59 years, male 52.2
GTEX-1HBPM-1426-SM-9WPPE 60-69 years, female 50.4
GTEX-1GMR3-1526-SM-9JGGL 40-49 years, male 50.1
GTEX-X585-1226-SM-46MW7 50-59 years, male 49.4
GTEX-T2YK-1326-SM-4DM6S 50-59 years, male 47.8
GTEX-14C5O-1626-SM-73KYH 60-69 years, male 47.0
GTEX-XMD2-1326-SM-4YCET 60-69 years, female 46.4
GTEX-1IDFM-1126-SM-A96SY 60-69 years, male 31.2
Show allShow less

ESOPHAGUS - FANTOM5 CAGEi

RNA expression in human tissues obtained through Cap Analysis of Gene Expression (CAGE) generated by the FANTOM5 project are reported as Scaled Tags Per Million.

Max subtype Scaled Tags Per Millioni

Max subtype Scaled Tags Per Million is the value for the subtype with the largest average Scaled Tags Per Million across the subtype samples.

59.2
FANTOM5 sample id Sample description Scaled Tags Per Million
Esophagus
Scaled Tags Per Million: 59.2
FF:10015-101C6 68,74,75 years, mixed 59.2

Contact

  • NEWS ARTICLES
  • PRESS ROOM

The Project

  • INTRODUCTION
  • ORGANIZATION
  • PUBLICATIONS

The Human Protein Atlas

  • DOWNLOADABLE DATA
  • LICENCE & CITATION
  • HELP & FAQ
The Human Protein Atlas project is funded
by the Knut & Alice Wallenberg Foundation.


contact@proteinatlas.org