We use cookies to enhance the usability of our website. If you continue, we'll assume that you are happy to receive all cookies. More information. Don't show this again.
PUF60
HPA
RESOURCES
  • TISSUE
  • BRAIN
  • SINGLE CELL
  • SUBCELLULAR
  • CANCER
  • BLOOD
  • CELL LINE
  • STRUCTURE & INTERACTION
ABOUT
  • INTRODUCTION
  • HISTORY
  • ORGANIZATION
  • PUBLICATIONS
  • ANTIBODY SUBMISSION
  • ANTIBODY AVAILABILITY
  • ACKNOWLEDGMENTS
  • CONTACT
NEWS
  • NEWS ARTICLES
  • PRESS ROOM
LEARN
  • DICTIONARY
  • PROTEIN CLASSES
  • PROTEIN EVIDENCE
  • METHODS
  • EDUCATIONAL VIDEOS
DATA
  • DOWNLOADABLE DATA
  • PUBLICATION DATA
  • RELEASE HISTORY
HELP
  • ANTIBODY VALIDATION
  • ASSAYS & ANNOTATION
  • DISCLAIMER
  • HELP & FAQ
  • PRIVACY STATEMENT
  • LICENCE & CITATION
Fields »
Search result

Field
Term
Gene name
Class
Subclass
Class
Keyword
Chromosome
External id
Tissue
Cell type
Expression
Antibody panel
Tissue
Main location
Patient ID
Annotation
Tissue
Category
Tau score
Cluster
Reliability
Brain region
Category
Tau score
Brain region
Category
Tau score
Brain region
Category
Tau score
Cluster
Reliability
Tissue
Cell type
Enrichment
Cell type
Category
Tau score
Cell type
Category
Tau score
Cell type
Category
Tau score
Cell lineage
Category
Tau score
Cluster
Cluster
Location
Searches
Location
Cell line
Class
Type
Phase
Reliability
Cancer
Prognosis
Cancer
Category
Cancer
Category
Tau score
Cluster
Variants
Interacting gene (ensg_id)
Type
Number of interactions
Pathway
Category
Score
Score
Score
Validation
Validation
Validation
Validation
Antibodies
Data type
Column


  • SUMMARY

  • TISSUE

  • BRAIN

  • SINGLE CELL

  • SUBCELL

  • CANCER

  • BLOOD

  • CELL LINE

  • STRUCT & INT

  • PUF60
TISSUE PRIMARY DATA HEART MUSCLE Show tissue menu
ADIPOSE TISSUE ADRENAL GLAND AMYGDALA APPENDIX BASAL GANGLIA BONE MARROW BREAST BRONCHUS CEREBELLUM CEREBRAL CORTEX CERVIX CHOROID PLEXUS COLON DUODENUM
ENDOMETRIUM EPIDIDYMIS ESOPHAGUS FALLOPIAN TUBE GALLBLADDER HEART MUSCLE HIPPOCAMPAL FORMATION HYPOTHALAMUS KIDNEY LIVER LUNG LYMPH NODE MIDBRAIN NASOPHARYNX
ORAL MUCOSA OVARY PANCREAS PARATHYROID GLAND PITUITARY GLAND PLACENTA PROSTATE RECTUM RETINA SALIVARY GLAND SEMINAL VESICLE SKELETAL MUSCLE SKIN SMALL INTESTINE
SMOOTH MUSCLE SOFT TISSUE SPINAL CORD SPLEEN STOMACH TESTIS THYMUS THYROID GLAND TONGUE TONSIL URINARY BLADDER VAGINA
ANTIBODIES
AND
VALIDATION
Dictionary
Heart muscle
Tissue proteome
Heart
HEART MUSCLE - Expression summary
Protein expression
Heart musclei

On the top, protein expression in current human tissue, based on all annotated cell types, is reported with the units not detected (n), low (l), medium (m) and high (h). Underneath, protein expression in each annotated cell type are reported using the same units.

Protein expression data is based on knowledge-based annotation. For genes where more than one antibody has been used, a collective score is set.

If knowledge-based annotation could not be performed for a gene, no data is displayed here. View antibody staining data further down this page.

h
m
l
n
Cardiomyocytes: Medium
RNA expressioni

A summary of mRNA expression data available for current tissue based on several datasets. The mRNA expression levels in human tissues are based on RNA-seq data generated by the Human Protein Atlas (HPA), Genotype-Tissue Expression (GTEx) portal and CAGE data generated by the FANTOM5 consortium. Consensus normalized expression levels for human tissues was created by combining the data from HPA and GTEx datasets.

The mRNA expression levels in pig are based on RNA-seq data generated by the Human Protein Atlas (HPA), and for mouse, HPA data and in situ hybridization generated by the Allen brain atlas are reported.

Scroll down to view mRNA expression data in more detail.
Consensus:85.7 nTPM
HPA:14.6 nTPM
GTEx:85.7 nTPM
FANTOM5:77.2 Scaled Tags Per Million

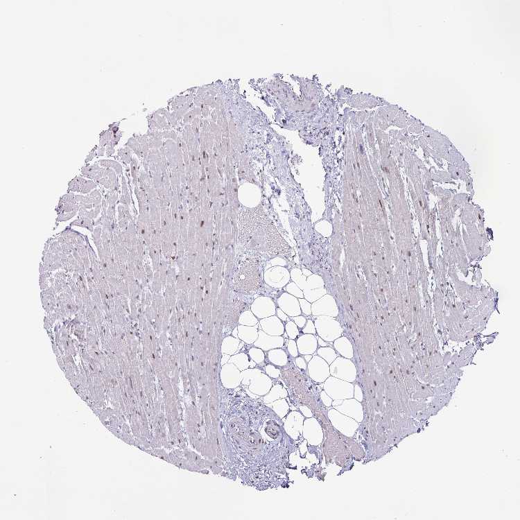
HEART MUSCLE - Antibody stainingi

Antibody staining in the annotated cell types in the current human tissue is reported as not detected, low, medium, or high, based on conventional immunohistochemistry profiling in selected tissues. This score is based on the combination of the staining intensity and fraction of stained cells.

Each image is clickable and will lead to virtual microscopy that enables deeper exploration of all samples and also displays staining intensity scores, fraction scores and subcellular localization as well as patient and tissue information for each sample.

Antibody HPA052096Antibody HPA059714
Cardiomyocytes MediumMedium




HEART MUSCLE - HPA RNA-seqi

The RNA-seq details section shows detailed information about the individual samples used for the transcript profiling and results of the RNA-seq analysis.

Information about each individual sample is listed below, including gender, age, a tissue section image and estimated fractions of cell types. nTPM (normalized transcripts per million) values give a quantification of the gene abundance which is comparable between different genes and samples.
Average nTPMi

Max subtype nTPM is the value for the subtype with the largest average nTPM across the subtype samples.

14.6
overview
Female, age 48
Heart muscle sample 149
nTPM: 11.6
Cell types%
Myocytes:
15

Fibroblasts:
55

Endothelial cells:
25

Other cell types:
5

overview
Female, age 42
Heart muscle sample 150
nTPM: 13.6
Cell types%
Myocytes:
20

Fibroblasts:
45

Endothelial cells:
30

Other cell types:
5

overview
Male, age 53
Heart muscle sample 151
nTPM: 11.5
Cell types%
Myocytes:
20

Fibroblasts:
45

Endothelial cells:
30

Other cell types:
5

overview
Female, age 69
Heart muscle sample 152
nTPM: 21.8
Cell types%
Myocytes:
20

Fibroblasts:
45

Endothelial cells:
30

Other cell types:
5


HEART MUSCLE - GTEx RNA-seqi

RNA-Seq data generated by the Genotype-Tissue Expression (GTEx) project from human tissues is reported as mean nTPM. More information can be found on the GTEx portal.

Distribution across the dataset is visualized with box plots, shown as median and 25th and 75th percentiles. Points are displayed as outliers if they are above or below 1.5 times the interquartile range. nTPM values of the individual samples are presented next to the box plot.
Max subtype nTPMi

Max subtype nTPM is the value for the subtype with the largest average nTPM across the subtype samples.

85.7
GTEx sample id Sample description nTPM
Heart - Atrial Appendage
Average nTPM: 73.6
Samples: 429

Max nTPM: 162.5
Min nTPM: 36.3
Std nTPM: 15.0
Median nTPM: 72.6
GTEX-14PJM-0826-SM-6LLIW 50-59 years, female 162.5
GTEX-1B996-1026-SM-793CF 60-69 years, male 130.8
GTEX-ZYFC-1026-SM-5GZX9 50-59 years, male 119.7
GTEX-1GF9U-0526-SM-7P8SK 40-49 years, female 108.8
GTEX-12696-1226-SM-5FQSM 60-69 years, male 108.4
GTEX-1RLM8-0226-SM-E6CJY 50-59 years, male 107.9
GTEX-13RTJ-0526-SM-62LDP 60-69 years, male 106.8
GTEX-1OFPY-0926-SM-DTX8Q 60-69 years, male 106.1
GTEX-13D11-1526-SM-5J2NA 50-59 years, female 105.8
GTEX-12WSG-1226-SM-5EQ4C 50-59 years, female 105.3
GTEX-ZYVF-1826-SM-5E44F 50-59 years, female 105.2
GTEX-14JG1-0826-SM-5ZZWR 40-49 years, male 104.9
GTEX-1GN1U-1426-SM-7P8TF 50-59 years, female 104.8
GTEX-YEC4-0226-SM-4W1YG 40-49 years, male 104.4
GTEX-XGQ4-0526-SM-4AT6C 50-59 years, male 102.1
GTEX-14C5O-1226-SM-664N3 60-69 years, male 101.4
GTEX-14PJ2-1126-SM-69LOD 50-59 years, male 100.6
GTEX-12BJ1-0326-SM-5FQUB 60-69 years, male 100.3
GTEX-ZYFD-2026-SM-5E459 50-59 years, male 99.8
GTEX-XBEC-1226-SM-4AT65 50-59 years, male 99.7
GTEX-13QBU-0226-SM-5LU48 40-49 years, female 99.4
GTEX-13O1R-0926-SM-5L3DS 60-69 years, male 99.0
GTEX-13O61-0426-SM-5L3ET 60-69 years, male 98.7
GTEX-1EH9U-0626-SM-7PC33 60-69 years, male 98.6
GTEX-ZTPG-1326-SM-51MSQ 20-29 years, female 98.5
GTEX-14PJO-0826-SM-6ETZK 60-69 years, male 98.1
GTEX-Y114-0126-SM-4TT8K 50-59 years, female 98.0
GTEX-1C2JI-0626-SM-7DHM1 50-59 years, male 97.5
GTEX-1I1GP-0626-SM-ARL7H 50-59 years, male 97.4
GTEX-14PK6-0726-SM-6LLIX 70-79 years, female 97.2
GTEX-13FH7-0826-SM-5J2NW 50-59 years, female 97.1
GTEX-1HFI7-0526-SM-A9SMA 50-59 years, female 96.9
GTEX-13OW5-0926-SM-5L3GZ 60-69 years, male 96.5
GTEX-1J1OQ-2226-SM-A96SS 40-49 years, female 96.4
GTEX-11EM3-0426-SM-5N9BZ 20-29 years, female 96.3
GTEX-YF7O-0526-SM-5P9IO 50-59 years, male 95.6
GTEX-14XAO-0926-SM-69LPZ 60-69 years, female 94.7
GTEX-1KANB-1126-SM-DHXJT 50-59 years, male 94.6
GTEX-ZLFU-0326-SM-4WWBK 40-49 years, male 94.5
GTEX-ZDTS-1226-SM-4WKGL 60-69 years, male 94.0
GTEX-11TUW-1126-SM-5EQKJ 60-69 years, male 93.4
GTEX-11WQK-0226-SM-5EQLI 50-59 years, male 93.3
GTEX-1MJIX-0426-SM-DTXEN 40-49 years, male 92.6
GTEX-ZAK1-1126-SM-5PNXU 50-59 years, female 91.9
GTEX-13W3W-0526-SM-5LU3X 60-69 years, female 91.8
GTEX-13FTW-0826-SM-5K7XR 40-49 years, male 91.6
GTEX-U8XE-0926-SM-3DB8V 30-39 years, male 91.6
GTEX-14PN3-0726-SM-6EU14 60-69 years, female 91.1
GTEX-XQ8I-0226-SM-4BOPM 50-59 years, male 90.8
GTEX-1L5NE-0526-SM-DIPG5 50-59 years, male 90.6
GTEX-12WSD-1226-SM-5HL9Q 60-69 years, female 90.5
GTEX-1122O-0626-SM-5N9B9 60-69 years, female 90.3
GTEX-WWYW-1126-SM-3NB2Q 50-59 years, female 90.0
GTEX-13PVQ-1326-SM-5LU4J 50-59 years, male 89.8
GTEX-13NZB-0426-SM-5KM26 30-39 years, male 89.7
GTEX-12WSC-1026-SM-5EQ5Y 50-59 years, male 89.1
GTEX-12WSI-0426-SM-5EQ5J 50-59 years, male 89.1
GTEX-13X6K-1726-SM-7IGLG 60-69 years, female 89.0
GTEX-1QP29-1426-SM-DTX9Q 50-59 years, male 88.9
GTEX-132NY-1426-SM-5J1MJ 60-69 years, male 88.7
GTEX-1HBPH-0226-SM-9WYSM 40-49 years, female 88.7
GTEX-1B97J-0326-SM-7939H 50-59 years, female 88.6
GTEX-1K2DU-0226-SM-DIPF6 20-29 years, male 88.5
GTEX-WHSE-0826-SM-4SOJU 20-29 years, male 88.4
GTEX-1KANC-0226-SM-E9TIW 50-59 years, female 88.1
GTEX-11TT1-1426-SM-5EGIA 20-29 years, male 87.9
GTEX-XQ3S-0526-SM-4BOQA 20-29 years, male 87.8
GTEX-183WM-0926-SM-718AN 70-79 years, female 87.5
GTEX-1A32A-1326-SM-73KWW 50-59 years, female 87.5
GTEX-1GN73-2326-SM-9MQKV 60-69 years, male 87.5
GTEX-Y3I4-0526-SM-4TT6X 50-59 years, male 87.4
GTEX-147JS-1326-SM-5SI6D 60-69 years, male 87.2
GTEX-ZTTD-0626-SM-4YCCY 50-59 years, male 87.1
GTEX-1F75I-1326-SM-7PBZX 40-49 years, male 87.1
GTEX-1QPFJ-0926-SM-EVR3K 30-39 years, female 87.0
GTEX-16NPX-0826-SM-6M489 50-59 years, male 86.9
GTEX-1AX9K-0426-SM-73KUG 50-59 years, male 86.9
GTEX-1B8KE-0326-SM-73KTY 50-59 years, male 86.7
GTEX-1HSGN-0926-SM-CNNQM 40-49 years, female 86.5
GTEX-14BIM-2726-SM-5Q5EG 60-69 years, female 86.2
GTEX-11DXX-0526-SM-5PNVR 60-69 years, female 86.1
GTEX-YB5K-0226-SM-5IFJE 40-49 years, female 86.0
GTEX-11DYG-1026-SM-5A5JQ 60-69 years, male 85.7
GTEX-13S86-0326-SM-5SI6K 40-49 years, male 85.6
GTEX-13VXT-0726-SM-5SIAD 20-29 years, female 85.6
GTEX-13OW7-1626-SM-5IJDH 50-59 years, male 85.4
GTEX-145MN-0726-SM-5NQBH 30-39 years, male 85.4
GTEX-13O3O-1426-SM-5KM2S 60-69 years, female 85.0
GTEX-1399S-0826-SM-5KM23 30-39 years, female 84.8
GTEX-145LS-1326-SM-5Q5EP 60-69 years, female 84.8
GTEX-1CB4I-1526-SM-7DHMY 50-59 years, male 84.7
GTEX-ZDYS-0326-SM-5HL4W 50-59 years, male 84.5
GTEX-1GN1W-0226-SM-7P8QY 50-59 years, female 84.3
GTEX-ZF29-0426-SM-4WKFN 60-69 years, female 83.9
GTEX-15RIE-1326-SM-6PAMM 60-69 years, male 83.8
GTEX-WH7G-0326-SM-3NMBH 40-49 years, male 83.8
GTEX-1GZ4I-0826-SM-9WG6O 50-59 years, male 83.8
GTEX-1RB15-0426-SM-E9U4Y 60-69 years, male 83.8
GTEX-13JVG-1126-SM-5KM2M 60-69 years, male 83.7
GTEX-1LH75-0526-SM-DIPG2 50-59 years, female 83.6
GTEX-15DCE-0826-SM-7KULW 20-29 years, male 83.0
GTEX-ZPU1-0726-SM-5HL6O 40-49 years, male 83.0
GTEX-1E2YA-0626-SM-7P8P4 50-59 years, male 82.9
GTEX-14PN4-0826-SM-69LON 50-59 years, male 82.6
GTEX-13N1W-0926-SM-5MR36 70-79 years, male 82.3
GTEX-1HBPN-0926-SM-CGQEG 50-59 years, male 82.0
GTEX-ZT9W-0526-SM-57WFG 50-59 years, male 81.9
GTEX-11LCK-0826-SM-5PNYD 30-39 years, male 81.8
GTEX-ZE7O-0626-SM-57WCD 50-59 years, female 81.8
GTEX-1EMGI-1126-SM-9KNUF 60-69 years, male 81.5
GTEX-1KXAM-1426-SM-D3LAC 60-69 years, male 81.5
GTEX-18465-0726-SM-7LG4L 50-59 years, male 81.4
GTEX-Y3IK-1026-SM-51MR7 50-59 years, female 81.3
GTEX-1CAMS-1126-SM-7MXUQ 40-49 years, female 81.2
GTEX-1MCC2-0226-SM-EVYD5 30-39 years, female 81.2
GTEX-XOT4-1126-SM-4B66E 60-69 years, female 81.0
GTEX-1LSNM-0426-SM-E9TIZ 50-59 years, male 81.0
GTEX-1H1DG-0826-SM-9QEIW 70-79 years, male 80.9
GTEX-1GF9V-1726-SM-9KNW4 60-69 years, male 80.5
GTEX-132QS-0526-SM-5IJC7 60-69 years, male 80.4
GTEX-1EU9M-1926-SM-7RHH4 60-69 years, male 80.4
GTEX-14H4A-0426-SM-5ZZWO 40-49 years, female 80.3
GTEX-XXEK-2026-SM-4BRVE 50-59 years, male 80.3
GTEX-131XG-0526-SM-5DUWF 50-59 years, female 80.2
GTEX-11NUK-0926-SM-5HL57 50-59 years, male 80.1
GTEX-17KNJ-0626-SM-7LT9L 50-59 years, male 80.1
GTEX-X4EP-0326-SM-3P5Z6 60-69 years, female 80.1
GTEX-1GMR8-1026-SM-9MQLA 50-59 years, female 80.1
GTEX-11UD2-0926-SM-5CVL6 50-59 years, male 79.9
GTEX-14PJ4-0926-SM-5YY98 60-69 years, male 79.8
GTEX-1QCLZ-1126-SM-EWRNB 60-69 years, female 79.7
GTEX-1IKOE-0626-SM-A9G31 30-39 years, female 79.6
GTEX-18A6Q-1526-SM-731CO 60-69 years, male 79.5
GTEX-131XF-0426-SM-5HL7U 60-69 years, male 79.4
GTEX-1339X-0326-SM-5K7Z8 40-49 years, male 79.4
GTEX-17JCI-0826-SM-7LT8W 60-69 years, female 79.3
GTEX-ZYT6-0926-SM-5GIEM 30-39 years, male 79.2
GTEX-1JJEA-0926-SM-CYPSO 60-69 years, male 79.2
GTEX-WQUQ-1326-SM-3MJFF 60-69 years, male 79.0
GTEX-1J8Q3-1126-SM-ARU8N 60-69 years, male 78.8
GTEX-132AR-1926-SM-5EGK5 50-59 years, female 78.7
GTEX-1399U-0726-SM-5KM1D 50-59 years, female 78.4
GTEX-1192X-0726-SM-5987R 50-59 years, male 78.2
GTEX-1GMR3-0426-SM-7PC17 40-49 years, male 78.2
GTEX-14C38-1326-SM-62LDK 50-59 years, male 78.0
GTEX-14PHX-0626-SM-5YY8Z 50-59 years, male 78.0
GTEX-X3Y1-0226-SM-3P5Z5 40-49 years, male 78.0
GTEX-1QMI2-1026-SM-DTX7T 60-69 years, male 78.0
GTEX-111FC-0626-SM-5N9CU 60-69 years, male 77.9
GTEX-145LV-0226-SM-5S2QG 50-59 years, male 77.9
GTEX-XPVG-0726-SM-4B658 50-59 years, male 77.9
GTEX-144GL-1026-SM-5O99R 50-59 years, male 77.7
GTEX-ZF3C-1126-SM-57WEG 50-59 years, female 77.7
GTEX-13FHP-0826-SM-5K7V5 50-59 years, male 77.5
GTEX-146FR-0926-SM-5QGPE 60-69 years, female 77.4
GTEX-16XZY-0526-SM-7DHKY 70-79 years, male 77.4
GTEX-14BIL-0926-SM-7DHKN 50-59 years, male 77.3
GTEX-13YAN-1426-SM-7EPG8 60-69 years, male 77.2
GTEX-17GQL-0626-SM-731CN 60-69 years, male 77.0
GTEX-1H2FU-0826-SM-9WYSU 60-69 years, female 77.0
GTEX-ZPIC-0426-SM-DO91V 40-49 years, female 77.0
GTEX-ZDXO-0426-SM-4WKF6 60-69 years, male 76.9
GTEX-1313W-1126-SM-5EQ5U 50-59 years, female 76.8
GTEX-17F9Y-1226-SM-7EPGE 70-79 years, female 76.8
GTEX-18D9U-1426-SM-718BO 40-49 years, male 76.8
GTEX-13NYB-0326-SM-5IJDP 40-49 years, male 76.7
GTEX-XYKS-0226-SM-4BRW3 60-69 years, female 76.7
GTEX-13SLW-0826-SM-5QGP7 70-79 years, male 76.6
GTEX-ZGAY-0226-SM-4WWAL 40-49 years, female 76.6
GTEX-146FH-1126-SM-5NQAT 50-59 years, female 76.5
GTEX-1212Z-0726-SM-5EGI5 60-69 years, male 76.3
GTEX-12WSK-0526-SM-5CVNA 40-49 years, female 76.1
GTEX-13JUV-0226-SM-5IJCC 40-49 years, female 76.1
GTEX-ZEX8-0326-SM-DO92C 50-59 years, male 76.1
GTEX-W5X1-0826-SM-3GILN 40-49 years, female 76.0
GTEX-YFC4-0426-SM-4TT3J 40-49 years, female 76.0
GTEX-117YX-0626-SM-5EGJI 50-59 years, male 75.8
GTEX-13PL7-0726-SM-5KM1S 60-69 years, female 75.8
GTEX-11O72-1026-SM-5986B 40-49 years, male 75.7
GTEX-14ASI-0826-SM-5Q5EB 60-69 years, male 75.7
GTEX-V955-0826-SM-CYPR5 60-69 years, male 75.7
GTEX-13FXS-1026-SM-62LFQ 50-59 years, male 75.5
GTEX-1AX9J-0926-SM-73KXA 60-69 years, male 75.4
GTEX-1R9JW-0426-SM-E76QL 30-39 years, female 75.4
GTEX-111YS-0326-SM-5GZZ3 60-69 years, male 75.3
GTEX-1IDJU-0626-SM-CKZOG 60-69 years, female 75.1
GTEX-12WSN-0226-SM-5DUXH 40-49 years, male 75.0
GTEX-13PVR-0926-SM-5S2RB 60-69 years, female 75.0
GTEX-11GSP-1226-SM-5985M 60-69 years, female 74.9
GTEX-13O3Q-0326-SM-5L3FE 50-59 years, male 74.9
GTEX-WK11-0626-SM-3NMAV 50-59 years, male 74.8
GTEX-ZVT3-0826-SM-5GIC8 60-69 years, female 74.8
GTEX-1IKK5-1726-SM-CM2RU 60-69 years, male 74.7
GTEX-WI4N-0726-SM-3TW93 40-49 years, female 74.5
GTEX-XLM4-2026-SM-4AT4X 60-69 years, male 74.5
GTEX-139YR-0526-SM-5L3DG 50-59 years, male 74.4
GTEX-1399R-1726-SM-5K7YJ 30-39 years, male 74.3
GTEX-13OVG-0426-SM-5KM2T 60-69 years, male 74.3
GTEX-15EU6-1326-SM-6PANG 50-59 years, male 74.3
GTEX-17F9E-0726-SM-793A1 50-59 years, male 74.3
GTEX-14E1K-0826-SM-5ZZW9 50-59 years, male 74.1
GTEX-147F4-1126-SM-5TDDE 50-59 years, male 74.0
GTEX-X8HC-1026-SM-46MWH 50-59 years, female 74.0
GTEX-13OW6-0926-SM-5L3GM 50-59 years, male 73.8
GTEX-1HSKV-0726-SM-ACKWE 60-69 years, male 73.7
GTEX-1C64O-0926-SM-79OLN 60-69 years, male 73.6
GTEX-YECK-1226-SM-4W21G 60-69 years, male 73.5
GTEX-XV7Q-0726-SM-4BRV6 40-49 years, female 73.3
GTEX-1R7EV-0426-SM-DTX7Z 40-49 years, male 73.3
GTEX-11P81-0526-SM-59873 30-39 years, female 73.2
GTEX-1GL5R-0426-SM-9WPOP 50-59 years, male 73.1
GTEX-1B933-0826-SM-79OMW 50-59 years, female 73.0
GTEX-1HBPM-1026-SM-ARL9D 60-69 years, female 73.0
GTEX-1PPGY-0926-SM-DTXFF 60-69 years, male 72.7
GTEX-15SHV-0526-SM-7KUEN 60-69 years, male 72.6
GTEX-17F96-0826-SM-7DHLU 70-79 years, male 72.6
GTEX-1H1ZS-1026-SM-9WG6E 70-79 years, male 72.6
GTEX-1NHNU-0626-SM-E6CP1 50-59 years, male 72.6
GTEX-13O3P-1426-SM-5L3DT 50-59 years, male 72.5
GTEX-15CHQ-1326-SM-6871Z 60-69 years, male 72.4
GTEX-ZDTT-0326-SM-4WKF9 60-69 years, male 72.4
GTEX-X62O-0826-SM-46MW8 50-59 years, male 72.2
GTEX-131YS-0826-SM-5PNYV 60-69 years, female 72.1
GTEX-1HT8W-1326-SM-CGQEN 30-39 years, male 72.1
GTEX-16YQH-0726-SM-7IGM1 30-39 years, male 71.8
GTEX-1LVAO-0626-SM-EWRNT 60-69 years, male 71.8
GTEX-1LGOU-0326-SM-D3LAM 20-29 years, female 71.7
GTEX-1211K-0226-SM-59HJY 60-69 years, female 71.5
GTEX-139TU-1926-SM-5J2OC 60-69 years, male 71.5
GTEX-15SKB-0926-SM-7KUFC 60-69 years, male 71.5
GTEX-1H3VY-1126-SM-A96TP 50-59 years, male 71.5
GTEX-1P4AB-0926-SM-E76PV 50-59 years, male 71.5
GTEX-WYJK-1126-SM-3NM9Z 50-59 years, male 71.3
GTEX-1CAMQ-0726-SM-7P8SG 40-49 years, male 71.3
GTEX-ZVT4-1326-SM-5NQ8E 50-59 years, female 71.2
GTEX-11DXY-1026-SM-5987V 60-69 years, male 71.1
GTEX-11DXZ-0326-SM-5EGH1 50-59 years, male 71.1
GTEX-15SDE-1826-SM-7KUFN 50-59 years, female 71.0
GTEX-14A6H-0326-SM-5NQAN 30-39 years, male 70.8
GTEX-1IDJH-1126-SM-COH3R 70-79 years, male 70.7
GTEX-1A8G6-1826-SM-73KY8 60-69 years, male 70.6
GTEX-1F75A-1026-SM-7PC3W 50-59 years, male 70.6
GTEX-1J8EW-0626-SM-CM2TY 60-69 years, female 70.6
GTEX-11EMC-0826-SM-59862 60-69 years, female 70.5
GTEX-1JK1U-0626-SM-CKZOJ 60-69 years, male 70.5
GTEX-14PJ6-0626-SM-686Z6 60-69 years, female 70.4
GTEX-1CB4E-0626-SM-7DHMW 60-69 years, male 70.4
GTEX-ZZPU-1126-SM-5N9CW 50-59 years, female 70.4
GTEX-13CF2-0226-SM-5L3DV 60-69 years, male 70.3
GTEX-WHWD-0326-SM-3LK6L 50-59 years, male 70.3
GTEX-1IY9M-0626-SM-D4P2L 60-69 years, male 70.3
GTEX-18A67-1026-SM-731CE 50-59 years, male 70.2
GTEX-WL46-0726-SM-3LK5Z 50-59 years, male 70.2
GTEX-18A7A-1226-SM-7LTAJ 50-59 years, female 70.1
GTEX-ZG7Y-1426-SM-4WWBM 50-59 years, male 70.1
GTEX-1JJ6O-2226-SM-AHZ3I 60-69 years, male 70.1
GTEX-1NSGN-1226-SM-E76OL 50-59 years, male 69.7
GTEX-14BMV-1026-SM-5SI6B 50-59 years, male 69.6
GTEX-13SLX-0926-SM-5S2NM 50-59 years, female 69.4
GTEX-1AX8Z-1126-SM-731CS 60-69 years, male 69.4
GTEX-1I1GQ-1226-SM-CL55J 50-59 years, male 69.4
GTEX-1LB8K-0926-SM-D4P42 50-59 years, male 69.4
GTEX-ZPCL-0526-SM-DO91R 60-69 years, female 69.3
GTEX-X5EB-0626-SM-46MVQ 40-49 years, male 69.2
GTEX-11GS4-0426-SM-5N9CD 60-69 years, male 69.0
GTEX-15CHR-0326-SM-7DHN3 50-59 years, male 68.9
GTEX-12WSE-0926-SM-5S2VX 20-29 years, male 68.8
GTEX-YEC3-0426-SM-CYPS8 50-59 years, male 68.8
GTEX-1ICG6-0726-SM-B2LY5 70-79 years, female 68.6
GTEX-1445S-1226-SM-5O9BF 60-69 years, male 68.5
GTEX-1BAJH-1026-SM-7EWEG 70-79 years, male 68.5
GTEX-14E6C-0326-SM-5Q5EE 40-49 years, male 68.3
GTEX-14PHY-0326-SM-62LE3 60-69 years, female 68.0
GTEX-1H3NZ-1026-SM-A9SM5 60-69 years, male 68.0
GTEX-1LVAN-1526-SM-CNPQN 50-59 years, female 68.0
GTEX-148VJ-1426-SM-5TDE3 70-79 years, male 67.9
GTEX-ZVT2-0926-SM-5GICE 50-59 years, female 67.9
GTEX-1CB4J-0226-SM-7P8T4 60-69 years, male 67.8
GTEX-ZV7C-0526-SM-9WPNK 50-59 years, male 67.7
GTEX-1HCUA-0626-SM-ACKVT 50-59 years, female 67.6
GTEX-1H11D-1026-SM-9QEIU 40-49 years, male 67.3
GTEX-1399T-0726-SM-5J1MH 60-69 years, male 67.2
GTEX-1R9K4-1026-SM-EXUT1 60-69 years, male 67.1
GTEX-WEY5-0226-SM-3GIKN 40-49 years, female 67.0
GTEX-1AYCT-0526-SM-7RHHS 50-59 years, male 66.8
GTEX-1IKJJ-0626-SM-CY8GF 60-69 years, male 66.8
GTEX-1GMRU-1326-SM-9WYUI 50-59 years, male 66.4
GTEX-1IDJD-0226-SM-CKZOA 30-39 years, male 66.4
GTEX-13O21-0326-SM-5J1N9 50-59 years, male 66.3
GTEX-11ZUS-0326-SM-5EQ4W 30-39 years, male 66.1
GTEX-13OVI-0326-SM-5K7X1 60-69 years, female 65.9
GTEX-131XE-0526-SM-5K7YT 50-59 years, male 65.6
GTEX-14PII-1026-SM-5ZZVW 60-69 years, male 65.6
GTEX-V1D1-0626-SM-4JBHN 50-59 years, male 65.6
GTEX-11NV4-0826-SM-5BC4S 60-69 years, male 65.5
GTEX-1J8QM-0326-SM-CL53D 60-69 years, female 65.5
GTEX-ZYFG-0526-SM-5GZXX 60-69 years, female 65.2
GTEX-XPT6-0226-SM-4B65L 20-29 years, male 65.1
GTEX-1B932-1326-SM-79OM4 40-49 years, female 65.0
GTEX-13N11-0726-SM-5L3DP 50-59 years, female 64.8
GTEX-1GMR2-1326-SM-9KNUT 50-59 years, male 64.7
GTEX-1HC8U-0626-SM-B2LWB 40-49 years, female 64.7
GTEX-12ZZY-1226-SM-5GCNK 60-69 years, male 64.6
GTEX-1QEPI-1126-SM-E8VN7 60-69 years, female 64.6
GTEX-1JMLX-1826-SM-CNPOX 50-59 years, male 64.5
GTEX-12ZZX-0726-SM-5EGKA 40-49 years, female 64.4
GTEX-1KD5A-0926-SM-D4P3U 50-59 years, male 64.3
GTEX-1MJK2-1626-SM-EVYCQ 50-59 years, male 64.3
GTEX-13FHO-1226-SM-5L3EF 60-69 years, male 64.2
GTEX-1HSMO-1126-SM-CGQF2 60-69 years, male 64.2
GTEX-1GN1V-1026-SM-CNPPS 60-69 years, male 64.1
GTEX-1HSMQ-0426-SM-ADEIM 50-59 years, male 64.0
GTEX-1E1VI-1426-SM-793CY 50-59 years, male 63.8
GTEX-1B8SG-0726-SM-79ONS 50-59 years, male 63.6
GTEX-ZZPT-0926-SM-5GICZ 50-59 years, male 63.6
GTEX-1C6VQ-0826-SM-7PBZT 50-59 years, male 63.4
GTEX-13112-0526-SM-5EQ4S 50-59 years, male 63.3
GTEX-132Q8-1126-SM-5K7XS 60-69 years, male 63.3
GTEX-1GN2E-1426-SM-7RHHI 60-69 years, male 63.2
GTEX-16XZZ-1026-SM-7DHKS 60-69 years, male 63.0
GTEX-1A3MX-1226-SM-731B3 60-69 years, male 62.8
GTEX-WRHU-1026-SM-4E3ID 50-59 years, female 62.7
GTEX-Y5V5-0726-SM-4VBPY 60-69 years, female 62.7
GTEX-13NZ9-0126-SM-5K7XV 50-59 years, male 62.6
GTEX-14C39-0726-SM-5RQIK 40-49 years, male 62.5
GTEX-1I1GV-1426-SM-B2LXN 60-69 years, male 62.5
GTEX-12WSA-1126-SM-5EGKU 60-69 years, male 62.3
GTEX-1LGRB-1026-SM-CNPQD 50-59 years, female 62.1
GTEX-1POEN-0726-SM-DTXDU 30-39 years, female 62.1
GTEX-13PL6-0826-SM-5IJBI 40-49 years, female 61.9
GTEX-VJWN-1026-SM-4M1ZN 50-59 years, female 61.9
GTEX-X4XX-1126-SM-3NMBY 60-69 years, male 61.9
GTEX-1B8L1-0426-SM-7SB76 60-69 years, male 61.8
GTEX-14BIN-2126-SM-793AX 50-59 years, female 61.7
GTEX-1192W-0226-SM-5EGGT 60-69 years, male 61.5
GTEX-18D9B-1126-SM-7KFSH 60-69 years, male 61.5
GTEX-ZF2S-0826-SM-4WWBI 50-59 years, female 61.5
GTEX-13U4I-0626-SM-5LU5L 40-49 years, female 61.4
GTEX-14A5I-1026-SM-5Q5E3 50-59 years, female 61.4
GTEX-14DAQ-1026-SM-793B1 60-69 years, female 61.4
GTEX-1F88F-0326-SM-9KNV3 60-69 years, female 61.3
GTEX-1I1HK-0626-SM-CNPQM 60-69 years, male 61.1
GTEX-15CHC-0326-SM-5ZZVP 60-69 years, female 60.8
GTEX-WFON-0226-SM-3GIKR 40-49 years, male 60.8
GTEX-WHPG-1026-SM-3NMBA 50-59 years, male 60.8
GTEX-YJ8O-0826-SM-5CVM3 40-49 years, female 60.7
GTEX-111VG-0326-SM-5GZX7 60-69 years, male 60.5
GTEX-15UF7-1526-SM-6LPI7 40-49 years, male 60.5
GTEX-18A66-1126-SM-731C5 60-69 years, male 60.3
GTEX-1CB4H-0626-SM-7IGN3 60-69 years, female 60.3
GTEX-ZAB4-0926-SM-5CVN4 40-49 years, male 60.2
GTEX-117XS-0726-SM-5H131 60-69 years, male 60.1
GTEX-WOFL-1226-SM-4OOST 60-69 years, male 60.1
GTEX-VUSG-0726-SM-3GIK1 50-59 years, male 60.0
GTEX-15SHU-0926-SM-6PAMK 40-49 years, female 59.9
GTEX-1CB4G-0726-SM-79OOJ 60-69 years, male 59.8
GTEX-X261-0926-SM-3NMCY 50-59 years, male 59.7
GTEX-16MT8-0826-SM-7KULO 60-69 years, female 59.6
GTEX-17MF6-0926-SM-7LTAL 40-49 years, male 59.6
GTEX-1EWIQ-1126-SM-7EPIK 70-79 years, female 59.5
GTEX-UPK5-0226-SM-3GAEV 40-49 years, male 59.5
GTEX-Y8E4-0426-SM-4V6GB 40-49 years, male 59.5
GTEX-1IL2U-1226-SM-CL53P 60-69 years, male 59.3
GTEX-13X6J-1226-SM-79OMF 50-59 years, male 59.1
GTEX-1B8SF-1326-SM-7IGQJ 60-69 years, male 59.1
GTEX-1C6WA-0826-SM-7PBXS 60-69 years, male 59.1
GTEX-1M5QR-1626-SM-E9U5O 40-49 years, male 59.1
GTEX-WY7C-1126-SM-3NB3A 50-59 years, male 58.9
GTEX-11ZTT-0526-SM-5EQLA 60-69 years, female 58.8
GTEX-ZAJG-0926-SM-5Q5AB 50-59 years, female 58.8
GTEX-1IDJF-0826-SM-ARU7N 20-29 years, male 58.7
GTEX-11ONC-1026-SM-5GU64 60-69 years, male 58.6
GTEX-1J8Q2-1026-SM-ARU8I 60-69 years, male 58.3
GTEX-1IL2V-1126-SM-CMKGH 70-79 years, male 58.2
GTEX-1HR98-1026-SM-CKZOM 60-69 years, male 58.1
GTEX-13PDP-1326-SM-5K7U9 60-69 years, male 58.0
GTEX-15RJE-0726-SM-7KUEG 40-49 years, male 57.8
GTEX-13NYS-1926-SM-5IJCB 60-69 years, male 57.7
GTEX-Z93S-0326-SM-5HL84 50-59 years, male 57.4
GTEX-ZAB5-0126-SM-5CVMT 50-59 years, male 57.4
GTEX-ZVZQ-0726-SM-51MR3 60-69 years, female 57.4
GTEX-14E7W-1126-SM-5ZZVS 70-79 years, male 57.3
GTEX-1EX96-2626-SM-9MQJV 50-59 years, male 57.3
GTEX-1F6I4-0826-SM-7RHGK 60-69 years, male 56.8
GTEX-1I1GR-1026-SM-A9SLC 60-69 years, male 56.8
GTEX-1QP6S-1026-SM-DTXFW 40-49 years, male 56.6
GTEX-WFG7-0826-SM-3GIKU 20-29 years, male 56.5
GTEX-15ER7-0826-SM-6PALW 20-29 years, female 55.9
GTEX-1HFI6-0826-SM-9YFM2 40-49 years, male 55.6
GTEX-WYBS-1226-SM-3NM9N 60-69 years, female 55.3
GTEX-117YW-0426-SM-5GZZZ 50-59 years, male 55.2
GTEX-1A8FM-1026-SM-7PC26 50-59 years, female 55.2
GTEX-17EVP-0526-SM-7EPGY 40-49 years, male 55.0
GTEX-WFG8-0726-SM-3GILP 20-29 years, male 54.1
GTEX-1C64N-0826-SM-7RHGQ 50-59 years, male 54.0
GTEX-17HGU-1126-SM-793BP 50-59 years, male 53.7
GTEX-13NZA-0826-SM-5K7WS 60-69 years, male 53.3
GTEX-1117F-0726-SM-5GIEN 60-69 years, female 53.1
GTEX-1HCU7-1226-SM-B2LX8 50-59 years, male 52.9
GTEX-1HCVE-0826-SM-CM2SF 50-59 years, male 52.5
GTEX-ZXG5-0626-SM-5NQ85 60-69 years, male 52.2
GTEX-1GZ2Q-0926-SM-7RHHN 40-49 years, male 52.2
GTEX-16GPK-1226-SM-7LTAU 60-69 years, male 52.0
GTEX-ZUA1-0726-SM-4YCD9 40-49 years, male 52.0
GTEX-1H3O1-0226-SM-9WYSW 60-69 years, male 52.0
GTEX-11ZVC-0526-SM-5N9G1 50-59 years, female 51.0
GTEX-1JN6P-0826-SM-ARL97 60-69 years, male 50.9
GTEX-1JMQK-0926-SM-ARL96 60-69 years, male 50.5
GTEX-1LSNL-0626-SM-DIPFJ 50-59 years, male 50.3
GTEX-1LG7Y-1426-SM-D4P31 50-59 years, male 49.8
GTEX-13FTZ-0326-SM-5J1O1 60-69 years, male 49.7
GTEX-1HUB1-0726-SM-CGQF4 60-69 years, male 49.7
GTEX-1AX9I-1026-SM-73KYF 60-69 years, male 49.1
GTEX-1I19N-0626-SM-A9SKY 70-79 years, male 49.0
GTEX-1IOXB-0726-SM-A9G32 50-59 years, male 48.7
GTEX-1JMQL-1026-SM-CMKGV 50-59 years, female 48.5
GTEX-WZTO-1226-SM-3NMAZ 40-49 years, male 47.8
GTEX-12584-1026-SM-59HK3 40-49 years, male 47.6
GTEX-1I1CD-1326-SM-A9SMM 60-69 years, female 47.2
GTEX-11EQ8-1326-SM-5EGJQ 60-69 years, male 46.3
GTEX-1JMOU-0326-SM-ARL8X 60-69 years, female 46.1
GTEX-1F48J-1126-SM-9WYSY 50-59 years, female 45.4
GTEX-1H1CY-0426-SM-9KNVD 60-69 years, female 45.0
GTEX-1IKOH-0926-SM-A9SLU 60-69 years, female 44.4
GTEX-1F75B-1126-SM-7RHGP 50-59 years, male 44.0
GTEX-1477Z-1126-SM-5P9GK 60-69 years, male 42.5
GTEX-1GTWX-0926-SM-9MQKM 60-69 years, male 41.0
GTEX-15D1Q-0426-SM-6AJ9G 40-49 years, male 40.4
GTEX-UTHO-1226-SM-3GAEE 60-69 years, male 36.3
Show allShow less
Heart - Left Ventricle
Average nTPM: 85.7
Samples: 432

Max nTPM: 142.4
Min nTPM: 41.5
Std nTPM: 18.1
Median nTPM: 86.3
GTEX-X15G-0426-SM-4PQZ6 50-59 years, female 142.4
GTEX-1O9I2-1126-SM-DTXEA 50-59 years, male 138.2
GTEX-17GQL-0526-SM-72D5N 60-69 years, male 137.9
GTEX-14XAO-1126-SM-6EU11 60-69 years, female 132.0
GTEX-1RQEC-0926-SM-EWROG 60-69 years, male 126.7
GTEX-OXRL-0326-SM-2I3F2 50-59 years, male 126.5
GTEX-YB5K-0126-SM-5IFJ2 40-49 years, female 126.2
GTEX-1LH75-0426-SM-E9TJF 50-59 years, female 125.4
GTEX-QEG5-0926-SM-2TC64 20-29 years, male 124.4
GTEX-11ONC-0126-SM-5PNW6 60-69 years, male 123.6
GTEX-1I1GP-0826-SM-A96SD 50-59 years, male 122.8
GTEX-Y114-0226-SM-4TT8W 50-59 years, female 119.7
GTEX-13O21-2326-SM-5MR3X 50-59 years, male 119.6
GTEX-WHSE-0926-SM-3NMBS 20-29 years, male 118.9
GTEX-O5YW-0326-SM-2I5EI 50-59 years, male 118.0
GTEX-1LSNM-0526-SM-DIPG6 50-59 years, male 118.0
GTEX-XV7Q-0826-SM-4BRV7 40-49 years, female 117.2
GTEX-11TT1-1326-SM-5PNYM 20-29 years, male 117.1
GTEX-11EM3-0626-SM-5H12Z 20-29 years, female 117.0
GTEX-1MUQO-1226-SM-E9TJK 60-69 years, male 116.9
GTEX-NPJ8-0426-SM-2HMK6 40-49 years, male 116.2
GTEX-ZPIC-0826-SM-4WWFJ 40-49 years, female 116.2
GTEX-12WSG-0526-SM-5FQTH 50-59 years, female 115.6
GTEX-1PWST-1026-SM-DTXF2 70-79 years, male 115.6
GTEX-1JMOU-0226-SM-CNNPD 60-69 years, female 115.5
GTEX-1IKOE-1026-SM-ARZMF 30-39 years, female 115.2
GTEX-11TUW-1026-SM-5GU7D 60-69 years, male 114.9
GTEX-1HCU6-1026-SM-A9G25 60-69 years, female 114.8
GTEX-1LC47-1026-SM-D3LAH 60-69 years, male 114.3
GTEX-139YR-0826-SM-5LZXY 50-59 years, male 114.1
GTEX-13PVQ-1226-SM-5IJDC 50-59 years, male 113.8
GTEX-132NY-1726-SM-5EGKK 60-69 years, male 113.3
GTEX-U4B1-0326-SM-3DB8K 40-49 years, male 113.3
GTEX-1ICG6-0626-SM-ACKWS 70-79 years, female 113.3
GTEX-1OFPY-1026-SM-EXUSO 60-69 years, male 111.7
GTEX-1OKEX-0726-SM-DPRYE 60-69 years, male 111.7
GTEX-13O3O-1526-SM-5KM1C 60-69 years, female 111.1
GTEX-UPK5-0326-SM-CYPR4 40-49 years, male 110.6
GTEX-13FTW-1026-SM-5L3E3 40-49 years, male 109.9
GTEX-11DXX-0326-SM-5PNWC 60-69 years, female 109.5
GTEX-1CB4E-0526-SM-7MXTK 60-69 years, male 108.5
GTEX-11ZUS-0226-SM-5FQT8 30-39 years, male 108.4
GTEX-13O1R-1226-SM-5J1NU 60-69 years, male 108.1
GTEX-14PN3-0526-SM-69LQF 60-69 years, female 108.1
GTEX-111YS-0426-SM-5987O 60-69 years, male 107.8
GTEX-ZPU1-0626-SM-4YCDM 40-49 years, male 107.2
GTEX-ZG7Y-0926-SM-5EQ6O 50-59 years, male 107.0
GTEX-1R7EV-0326-SM-E76PA 40-49 years, male 106.7
GTEX-R55E-1026-SM-2TC5S 20-29 years, male 106.6
GTEX-U8XE-1126-SM-3DB8W 30-39 years, male 106.3
GTEX-1CB4I-1626-SM-7RHGV 50-59 years, male 105.8
GTEX-1JK1U-0526-SM-CYPSQ 60-69 years, male 105.7
GTEX-ZEX8-0426-SM-DO92Y 50-59 years, male 105.5
GTEX-QESD-0526-SM-2I5G5 20-29 years, male 105.4
GTEX-1QP29-1526-SM-EXUSY 50-59 years, male 105.1
GTEX-P78B-0426-SM-2I5F5 40-49 years, female 105.0
GTEX-ZDXO-0726-SM-57WBT 60-69 years, male 104.8
GTEX-11DXZ-0626-SM-5GU77 50-59 years, male 104.7
GTEX-13FH7-0926-SM-5J2MR 50-59 years, female 104.6
GTEX-13W3W-0426-SM-5SI9D 60-69 years, female 104.2
GTEX-14PHY-0226-SM-5ZZWM 60-69 years, female 104.0
GTEX-14PJ6-0726-SM-69LOL 60-69 years, female 103.9
GTEX-13S86-0226-SM-5S2PJ 40-49 years, male 103.6
GTEX-WQUQ-1426-SM-3MJFD 60-69 years, male 103.6
GTEX-1C2JI-0526-SM-7EWEQ 50-59 years, male 103.5
GTEX-145MO-1126-SM-5NQBX 60-69 years, male 103.4
GTEX-PLZ5-0626-SM-2I5F8 50-59 years, male 103.2
GTEX-1RMOY-0626-SM-E9TIE 50-59 years, male 103.0
GTEX-XGQ4-0326-SM-4GIEE 50-59 years, male 102.9
GTEX-1LGOU-0726-SM-E9TIY 20-29 years, female 102.6
GTEX-1HSGN-1126-SM-CJI4G 40-49 years, female 102.5
GTEX-NFK9-0926-SM-2HMJU 40-49 years, male 102.3
GTEX-13N11-0426-SM-5KM3O 50-59 years, female 102.2
GTEX-1N2EF-2826-SM-E6CQF 60-69 years, male 102.2
GTEX-13VXT-1126-SM-5LU3A 20-29 years, female 102.1
GTEX-RUSQ-0526-SM-2TF72 50-59 years, male 102.0
GTEX-1EU9M-1826-SM-7DUGU 60-69 years, male 101.9
GTEX-1GN1W-0326-SM-9JGHF 50-59 years, female 101.9
GTEX-14H4A-0626-SM-5ZZUT 40-49 years, female 101.8
GTEX-ZDTT-0726-SM-4WKFK 60-69 years, male 101.5
GTEX-QDVN-0326-SM-2I3FS 50-59 years, male 101.4
GTEX-1GMR3-0326-SM-7P8QT 40-49 years, male 101.3
GTEX-1QP2A-1126-SM-EVR3H 50-59 years, male 101.2
GTEX-148VI-0326-SM-5RQK7 60-69 years, female 101.0
GTEX-1KANC-0426-SM-CXZK5 50-59 years, female 101.0
GTEX-QDVJ-0426-SM-2I5FW 50-59 years, male 100.9
GTEX-15CHR-0226-SM-7PC2Z 50-59 years, male 100.8
GTEX-PSDG-0926-SM-2I5FP 50-59 years, male 100.6
GTEX-17JCI-1126-SM-7IGMM 60-69 years, female 100.5
GTEX-WYJK-1026-SM-3NM8W 50-59 years, male 100.5
GTEX-1M5QR-1026-SM-DHXK9 40-49 years, male 100.3
GTEX-1MJIX-0326-SM-EVR42 40-49 years, male 100.3
GTEX-ZTPG-1226-SM-4YCDO 20-29 years, female 100.2
GTEX-16BQI-0926-SM-6M485 30-39 years, female 99.8
GTEX-XQ8I-0126-SM-4BOPL 50-59 years, male 99.4
GTEX-1HBPH-0126-SM-CNNQ7 40-49 years, female 99.2
GTEX-1IDJU-0726-SM-CNPQ9 60-69 years, female 99.2
GTEX-Y8E4-0326-SM-4VBRR 40-49 years, male 98.9
GTEX-16XZY-0426-SM-793BI 70-79 years, male 98.6
GTEX-XPT6-0126-SM-4B65S 20-29 years, male 98.6
GTEX-1IL2U-1326-SM-A9G2O 60-69 years, male 98.4
GTEX-132AR-2026-SM-5IJG4 50-59 years, female 98.1
GTEX-YF7O-0426-SM-5P9FS 50-59 years, male 98.1
GTEX-O5YV-0326-SM-2I5H2 60-69 years, female 97.9
GTEX-15RJ7-0226-SM-7KUMN 40-49 years, male 97.8
GTEX-1L5NE-0426-SM-E9TIX 50-59 years, male 97.8
GTEX-13X6H-0426-SM-5LU4E 50-59 years, female 97.6
GTEX-1399S-1026-SM-5KLZ9 30-39 years, female 97.5
GTEX-131XG-0626-SM-5GCMP 50-59 years, female 97.4
GTEX-131XE-0626-SM-5HL98 50-59 years, male 97.3
GTEX-OOBJ-0326-SM-33HBO 60-69 years, male 97.3
GTEX-YEC4-0326-SM-4W216 40-49 years, male 97.2
GTEX-ZGAY-0326-SM-57WF5 40-49 years, female 97.2
GTEX-12696-1126-SM-5FQTI 60-69 years, male 97.1
GTEX-PWCY-0526-SM-5P9HG 20-29 years, female 97.0
GTEX-145LV-0326-SM-5Q5BW 50-59 years, male 96.9
GTEX-16YQH-0926-SM-793BC 30-39 years, male 96.9
GTEX-1R9JW-0526-SM-EWRNK 30-39 years, female 96.9
GTEX-146FH-1026-SM-5RQIF 50-59 years, female 96.8
GTEX-1QPFJ-1026-SM-E6CR6 30-39 years, female 96.8
GTEX-PX3G-0326-SM-2I3EO 20-29 years, female 96.5
GTEX-V1D1-0526-SM-4JBGW 50-59 years, male 96.3
GTEX-1S3DN-0726-SM-E9TIO 50-59 years, male 96.3
GTEX-WZTO-1326-SM-3NM8X 40-49 years, male 96.2
GTEX-1AYCT-0426-SM-73KVZ 50-59 years, male 96.1
GTEX-13O61-0526-SM-5J2M1 60-69 years, male 96.0
GTEX-1F75I-1126-SM-9WYUO 40-49 years, male 96.0
GTEX-1R9K5-1326-SM-E6CPR 50-59 years, male 95.8
GTEX-14E6C-0426-SM-5YYA8 40-49 years, male 95.5
GTEX-1122O-0826-SM-5GICV 60-69 years, female 95.4
GTEX-131XF-5001-SM-7DHLY 60-69 years, male 95.4
GTEX-14A6H-0226-SM-5Q5DX 30-39 years, male 95.4
GTEX-XQ3S-0626-SM-4BOOB 20-29 years, male 95.2
GTEX-XPVG-0826-SM-4B654 50-59 years, male 95.1
GTEX-SUCS-0326-SM-32PLL 70-79 years, male 95.0
GTEX-13QBU-0426-SM-5J2O4 40-49 years, female 94.9
GTEX-1IDJF-0726-SM-CJI1U 20-29 years, male 94.9
GTEX-14PK6-0826-SM-5ZZVO 70-79 years, female 94.7
GTEX-1K9T9-1126-SM-D3L9E 50-59 years, female 94.7
GTEX-1KD5A-1026-SM-CY8I8 50-59 years, male 94.7
GTEX-14PHX-2126-SM-6EU2U 50-59 years, male 94.3
GTEX-YEC3-0726-SM-CMKFH 50-59 years, male 94.3
GTEX-SE5C-0626-SM-2XCDV 40-49 years, female 94.1
GTEX-1CB4J-0326-SM-7PBZO 60-69 years, male 94.1
GTEX-14E1K-1026-SM-73KUR 50-59 years, male 93.9
GTEX-117YX-1126-SM-5H128 50-59 years, male 93.8
GTEX-UJHI-0426-SM-3DB8Y 50-59 years, female 93.8
GTEX-1B97J-0726-SM-7RHG3 50-59 years, female 93.7
GTEX-18D9B-1226-SM-72D6V 60-69 years, male 93.5
GTEX-1AX9K-0526-SM-73KV1 50-59 years, male 93.3
GTEX-13N1W-1026-SM-5IJC5 70-79 years, male 93.0
GTEX-146FR-0626-SM-5RQJ1 60-69 years, female 92.7
GTEX-13NZB-0226-SM-5KM1T 30-39 years, male 92.6
GTEX-17F9E-0926-SM-7IGMG 50-59 years, male 92.3
GTEX-13CF3-0726-SM-5J2MY 60-69 years, female 92.2
GTEX-14C38-1426-SM-5RQHZ 50-59 years, male 92.2
GTEX-OIZG-1126-SM-2HMIU 50-59 years, male 92.1
GTEX-1F5PK-0326-SM-9KNUD 50-59 years, male 92.1
GTEX-13FLV-0926-SM-5L3DZ 50-59 years, male 92.0
GTEX-OIZH-0326-SM-2HMKC 50-59 years, male 92.0
GTEX-14JG1-1026-SM-6ETZY 40-49 years, male 91.9
GTEX-X3Y1-0426-SM-3P5Z4 40-49 years, male 91.9
GTEX-ZF29-0226-SM-4WKHO 60-69 years, female 91.9
GTEX-13OVL-0526-SM-5KLZQ 50-59 years, male 91.7
GTEX-1AX9J-1026-SM-72D6E 60-69 years, male 91.7
GTEX-XXEK-0926-SM-4BRWH 50-59 years, male 91.7
GTEX-1399R-1926-SM-5K7X8 30-39 years, male 91.5
GTEX-P44G-0826-SM-2I5ES 30-39 years, male 91.5
GTEX-ZQUD-1526-SM-7IGO2 30-39 years, male 91.5
GTEX-15EOM-5007-SM-793DG 20-29 years, female 91.0
GTEX-T6MN-0926-SM-32PLX 50-59 years, male 91.0
GTEX-ZV7C-0326-SM-57WB1 50-59 years, male 91.0
GTEX-12WSN-5001-SM-7DHMK 40-49 years, male 90.9
GTEX-OXRK-0826-SM-2HMK7 50-59 years, female 90.8
GTEX-ZVZP-0226-SM-5NQ73 50-59 years, male 90.7
GTEX-ZAB5-0226-SM-5CVMH 50-59 years, male 90.6
GTEX-12WSD-1126-SM-5EGJD 60-69 years, female 90.5
GTEX-WHPG-0826-SM-3NMBF 50-59 years, male 90.1
GTEX-Y3I4-0626-SM-4TT7A 50-59 years, male 90.1
GTEX-XBED-0526-SM-47JY3 60-69 years, male 90.0
GTEX-WH7G-0426-SM-3NMBJ 40-49 years, male 89.6
GTEX-OIZF-0326-SM-3MJGY 60-69 years, male 89.4
GTEX-1339X-0426-SM-5KLZY 40-49 years, male 89.3
GTEX-1B8KE-0126-SM-793AM 50-59 years, male 89.3
GTEX-P4QS-0326-SM-2I3EU 60-69 years, male 89.3
GTEX-ZLFU-0226-SM-4WWFH 40-49 years, male 89.2
GTEX-11I78-0826-SM-5A5K4 50-59 years, female 89.1
GTEX-1IDJI-1026-SM-A96TE 50-59 years, female 89.1
GTEX-WY7C-0526-SM-3NB3D 50-59 years, male 89.0
GTEX-RWSA-0626-SM-2XCBD 40-49 years, male 88.6
GTEX-1HFI7-0826-SM-A9G23 50-59 years, female 88.6
GTEX-1GMR2-1426-SM-7RHHK 50-59 years, male 88.5
GTEX-11LCK-0926-SM-5A5KA 30-39 years, male 88.3
GTEX-148VJ-1526-SM-5Q5DU 70-79 years, male 88.2
GTEX-1EMGI-1226-SM-793DD 60-69 years, male 88.1
GTEX-13YAN-1326-SM-5Q5F1 60-69 years, male 88.0
GTEX-1GF9U-0426-SM-7RHHA 40-49 years, female 87.8
GTEX-Q2AH-0526-SM-2I3ED 40-49 years, male 87.7
GTEX-1ICLY-1326-SM-CJI47 50-59 years, male 87.6
GTEX-1JMQK-0626-SM-D4P2R 60-69 years, male 87.6
GTEX-13OVG-0526-SM-5K7YD 60-69 years, male 87.5
GTEX-1R9PO-0326-SM-DTXA1 60-69 years, female 87.5
GTEX-ZPCL-0426-SM-DNZZ4 60-69 years, female 87.5
GTEX-1J8QM-0426-SM-AHZ3X 60-69 years, female 87.4
GTEX-1314G-0126-SM-5LZUL 30-39 years, male 87.2
GTEX-13PVR-1026-SM-5QGQW 60-69 years, female 87.2
GTEX-OHPK-0326-SM-2HMJO 50-59 years, female 87.2
GTEX-18D9U-1126-SM-72D5Y 40-49 years, male 86.9
GTEX-1GZ4I-1026-SM-9KNV5 50-59 years, male 86.9
GTEX-13SLX-1026-SM-5ZZUQ 50-59 years, female 86.8
GTEX-1HC8U-0726-SM-ACKXL 40-49 years, female 86.8
GTEX-RNOR-0826-SM-2TF5C 50-59 years, female 86.7
GTEX-POMQ-0326-SM-2I5FO 20-29 years, female 86.4
GTEX-ZYFG-0426-SM-5E43M 60-69 years, female 86.4
GTEX-1MCC2-0326-SM-EV7AK 30-39 years, female 86.4
GTEX-YFC4-0526-SM-5ZZVI 40-49 years, female 86.3
GTEX-11ZVC-0426-SM-5CVLD 50-59 years, female 86.2
GTEX-15CHC-0426-SM-6LLHI 60-69 years, female 86.2
GTEX-ZVT2-1026-SM-5GU55 50-59 years, female 86.2
GTEX-RWS6-0326-SM-2XCAP 60-69 years, female 85.9
GTEX-1HSMO-1226-SM-CL548 60-69 years, male 85.5
GTEX-1KXAM-1326-SM-E9TJW 60-69 years, male 85.5
GTEX-12BJ1-0226-SM-5LUA2 60-69 years, male 85.3
GTEX-QLQ7-0526-SM-2I5G3 60-69 years, male 85.2
GTEX-1IDJE-0326-SM-CM2TD 50-59 years, female 85.1
GTEX-132QS-0426-SM-5KLZ6 60-69 years, male 85.0
GTEX-14PJ4-1126-SM-5YY91 60-69 years, male 85.0
GTEX-1H11D-1226-SM-9WPQ2 40-49 years, male 85.0
GTEX-1QCLZ-0926-SM-E6CQZ 60-69 years, female 85.0
GTEX-ZDYS-0226-SM-5HL4K 50-59 years, male 84.5
GTEX-1I6K7-0626-SM-ARL7Q 40-49 years, male 84.5
GTEX-15ER7-1726-SM-6PAMX 20-29 years, female 84.4
GTEX-1A3MX-1326-SM-72D58 60-69 years, male 84.4
GTEX-UJMC-0526-SM-3GAE3 50-59 years, male 84.3
GTEX-15DDE-1126-SM-6LLHN 50-59 years, female 84.2
GTEX-QEL4-0926-SM-3GAD1 50-59 years, male 84.1
GTEX-1399U-0526-SM-5K7YM 50-59 years, female 83.8
GTEX-1B996-1126-SM-73KWN 60-69 years, male 83.5
GTEX-P4PQ-0326-SM-2HMJ8 60-69 years, male 83.5
GTEX-WHWD-0426-SM-3LK83 50-59 years, male 83.5
GTEX-RU72-0326-SM-2TF5T 50-59 years, female 83.4
GTEX-X8HC-1626-SM-46MWE 50-59 years, female 83.3
GTEX-13CF2-0426-SM-5KM1H 60-69 years, male 83.2
GTEX-Y5V6-0826-SM-4VBRU 60-69 years, male 83.2
GTEX-WFG8-0626-SM-3GILJ 20-29 years, male 83.1
GTEX-1211K-0626-SM-5FQUZ 60-69 years, female 83.0
GTEX-1I1GQ-1426-SM-B2LWY 50-59 years, male 83.0
GTEX-18A67-1226-SM-7KFRS 50-59 years, male 82.8
GTEX-1AX9I-1126-SM-7EPHH 60-69 years, male 82.7
GTEX-147F4-1226-SM-5NQAY 50-59 years, male 82.6
GTEX-1J8EW-0926-SM-A9G33 60-69 years, female 82.6
GTEX-1POEN-0626-SM-EVR4B 30-39 years, female 82.6
GTEX-13RTJ-0726-SM-5QGQN 60-69 years, male 82.3
GTEX-131XH-0226-SM-5LZVB 50-59 years, male 82.2
GTEX-WEY5-0426-SM-3GIKT 40-49 years, female 82.2
GTEX-12WSC-1126-SM-5EQ4G 50-59 years, male 82.0
GTEX-1JJ6O-2126-SM-CNNP6 60-69 years, male 81.8
GTEX-O5YT-0326-SM-32PKA 20-29 years, male 81.7
GTEX-ZZPU-0926-SM-5GZYT 50-59 years, female 81.7
GTEX-13U4I-0826-SM-5SIBD 40-49 years, female 81.6
GTEX-ZF2S-1026-SM-9QEGK 50-59 years, female 81.5
GTEX-1212Z-0626-SM-5FQTB 60-69 years, male 81.4
GTEX-1HSMQ-0226-SM-C1YQL 50-59 years, male 81.4
GTEX-1J8Q3-1226-SM-CKZPT 60-69 years, male 81.3
GTEX-17HGU-1026-SM-79OKL 50-59 years, male 80.8
GTEX-1C64O-0826-SM-79OKZ 60-69 years, male 80.8
GTEX-145MN-0626-SM-5QGRH 30-39 years, male 80.6
GTEX-OHPL-0326-SM-33HC8 60-69 years, female 80.5
GTEX-1JMPZ-1426-SM-CJI3C 30-39 years, male 80.5
GTEX-1H1ZS-1126-SM-9MQLJ 70-79 years, male 80.4
GTEX-1JMLX-1626-SM-ARZMV 50-59 years, male 80.3
GTEX-U3ZH-0326-SM-3DB7A 30-39 years, male 80.2
GTEX-1KD4Q-0726-SM-DIPGE 40-49 years, male 79.7
GTEX-WRHU-1226-SM-4E3IJ 50-59 years, female 79.6
GTEX-11O72-1126-SM-5N9E2 40-49 years, male 79.5
GTEX-U3ZN-1426-SM-3DB87 30-39 years, female 79.4
GTEX-1CAMS-1326-SM-79OJR 40-49 years, female 79.3
GTEX-17MF6-0726-SM-7LT8E 40-49 years, male 79.2
GTEX-1R9K4-1326-SM-DTX8G 60-69 years, male 79.2
GTEX-REY6-1026-SM-2TF4Y 60-69 years, male 79.1
GTEX-1F6I4-0726-SM-7PC2P 60-69 years, male 78.9
GTEX-OIZI-0926-SM-E6CHF 40-49 years, male 78.9
GTEX-ZYFC-1126-SM-5E44W 50-59 years, male 78.7
GTEX-P44H-0726-SM-48TBT 40-49 years, male 78.4
GTEX-16NPX-0926-SM-7KUEZ 50-59 years, male 78.2
GTEX-11EMC-0726-SM-5EGJO 60-69 years, female 78.1
GTEX-13D11-1726-SM-5IFGQ 50-59 years, female 78.1
GTEX-ZYW4-0926-SM-59HJS 60-69 years, male 78.0
GTEX-1497J-1226-SM-5Q5BL 60-69 years, male 77.9
GTEX-SIU8-0826-SM-2XCDQ 50-59 years, male 77.9
GTEX-ZDTS-1326-SM-6LLHE 60-69 years, male 77.9
GTEX-1RB15-0326-SM-E6CQB 60-69 years, male 77.9
GTEX-QV44-0526-SM-2S1RE 50-59 years, male 77.8
GTEX-1JJEA-0826-SM-CL53T 60-69 years, male 77.7
GTEX-1HCUA-0526-SM-A9SMH 50-59 years, female 77.5
GTEX-12WSK-0626-SM-5LZUJ 40-49 years, female 77.4
GTEX-11DXY-0826-SM-5EGGR 60-69 years, male 77.0
GTEX-1B8SG-0826-SM-7EWF7 50-59 years, male 77.0
GTEX-1IKK5-1526-SM-CKZPW 60-69 years, male 76.9
GTEX-R55G-0526-SM-2TC5O 40-49 years, female 76.7
GTEX-R53T-0926-SM-3GADH 50-59 years, female 76.3
GTEX-1I1HK-0726-SM-B2LY4 60-69 years, male 76.2
GTEX-11GSP-1326-SM-5A5KY 60-69 years, female 75.9
GTEX-1GN73-2426-SM-7RHFQ 60-69 years, male 75.9
GTEX-QMRM-0526-SM-2I5GA 50-59 years, male 75.8
GTEX-18465-0926-SM-731AY 50-59 years, male 75.7
GTEX-15RIE-1726-SM-7KUMU 60-69 years, male 75.6
GTEX-14C39-0926-SM-5TDDV 40-49 years, male 75.0
GTEX-12ZZZ-1726-SM-59HK5 60-69 years, male 74.9
GTEX-1BAJH-1626-SM-73KUV 70-79 years, male 74.9
GTEX-1GF9V-1626-SM-7PBXL 60-69 years, male 74.8
GTEX-1HCVE-1126-SM-9WPPG 50-59 years, male 74.6
GTEX-12584-0926-SM-5FQTN 40-49 years, male 74.3
GTEX-N7MS-0826-SM-2HML4 60-69 years, male 74.1
GTEX-1H23P-1226-SM-9QEJ2 60-69 years, male 74.0
GTEX-1HCU7-1326-SM-CNPPW 50-59 years, male 73.4
GTEX-13OW5-1126-SM-5J1NR 60-69 years, male 73.3
GTEX-17HHY-1426-SM-7EWDQ 50-59 years, male 73.0
GTEX-WFON-0326-SM-3GIKX 40-49 years, male 72.9
GTEX-1GL5R-0326-SM-9WYTJ 50-59 years, male 72.9
GTEX-1LGRB-1126-SM-CNPP2 50-59 years, female 72.9
GTEX-1EH9U-0826-SM-7IGPT 60-69 years, male 72.6
GTEX-WI4N-0626-SM-3TW8Z 40-49 years, female 72.6
GTEX-1IKJJ-0826-SM-A96SP 60-69 years, male 72.5
GTEX-1269C-0826-SM-5N9EM 60-69 years, female 72.2
GTEX-18A66-1226-SM-7LT8G 60-69 years, male 72.2
GTEX-R55C-0326-SM-3GAF1 40-49 years, male 72.1
GTEX-1LB8K-1026-SM-DHXJJ 50-59 years, male 72.1
GTEX-1B932-1026-SM-793CL 40-49 years, female 71.9
GTEX-WFG7-0726-SM-3GIKO 20-29 years, male 71.8
GTEX-S32W-0626-SM-2XCBG 50-59 years, female 71.7
GTEX-WL46-0926-SM-3LK7T 50-59 years, male 71.4
GTEX-Y3IK-0826-SM-51MT8 50-59 years, female 71.4
GTEX-13OW6-1126-SM-5L3HL 50-59 years, male 71.0
GTEX-Y5V5-0626-SM-4VBPX 60-69 years, female 70.3
GTEX-P4PP-0326-SM-33HC4 30-39 years, female 70.1
GTEX-15SHU-1126-SM-7KUMB 40-49 years, female 70.0
GTEX-QEG4-0426-SM-33HC3 30-39 years, male 69.9
GTEX-16MT8-0926-SM-6M487 60-69 years, female 69.4
GTEX-1A3MW-1326-SM-7189P 60-69 years, female 68.9
GTEX-13X6I-1426-SM-5SI9Z 60-69 years, male 68.8
GTEX-1AX8Z-5007-SM-AHZ36 60-69 years, male 68.7
GTEX-ZAB4-1026-SM-5HL7T 40-49 years, male 68.6
GTEX-147JS-1526-SM-5ZZWF 60-69 years, male 68.5
GTEX-1RAZS-0826-SM-E76QP 50-59 years, male 68.5
GTEX-14DAQ-1126-SM-664MT 60-69 years, female 68.4
GTEX-14JIY-1126-SM-6EU28 60-69 years, male 68.3
GTEX-1B8L1-0526-SM-79ONX 60-69 years, male 68.3
GTEX-1313W-1426-SM-5KLZU 50-59 years, female 68.2
GTEX-R45C-0926-SM-3GAD4 60-69 years, female 68.0
GTEX-14PJ2-1026-SM-6EU1M 50-59 years, male 67.9
GTEX-11GS4-0526-SM-5A5KQ 60-69 years, male 67.8
GTEX-1F48J-1026-SM-7P8SO 50-59 years, female 67.7
GTEX-S33H-0526-SM-COH1W 30-39 years, male 67.6
GTEX-15DYW-1126-SM-6LPK5 60-69 years, female 67.5
GTEX-PVOW-0426-SM-5MR5R 40-49 years, male 67.4
GTEX-1A8G6-1626-SM-7MGWO 60-69 years, male 67.3
GTEX-15SHW-1226-SM-6M46C 60-69 years, male 67.1
GTEX-1EN7A-0726-SM-7PBXT 40-49 years, male 67.1
GTEX-1J8Q2-1226-SM-A9G2W 60-69 years, male 67.0
GTEX-12ZZY-1126-SM-5DUWQ 60-69 years, male 66.9
GTEX-1JN1M-1026-SM-CNPOS 60-69 years, female 66.7
GTEX-13FTZ-0226-SM-5K7X6 60-69 years, male 65.9
GTEX-RTLS-0826-SM-2TF5Q 60-69 years, female 65.9
GTEX-1LVAN-1726-SM-CNNR1 50-59 years, female 65.7
GTEX-17KNJ-0826-SM-793A4 50-59 years, male 65.5
GTEX-ZAJG-0826-SM-5PNVA 50-59 years, female 65.5
GTEX-1GMRU-1526-SM-9WYT5 50-59 years, male 65.5
GTEX-1IDJH-1026-SM-E9TKH 70-79 years, male 65.4
GTEX-111FC-0826-SM-5GZWO 60-69 years, male 65.3
GTEX-18A6Q-1626-SM-7KFTA 60-69 years, male 65.3
GTEX-1ICLZ-1026-SM-A9SLF 60-69 years, male 65.3
GTEX-13X6K-1826-SM-5O9CR 60-69 years, female 65.2
GTEX-13112-0426-SM-5PNVC 50-59 years, male 65.0
GTEX-13O3P-1626-SM-5K7X3 50-59 years, male 65.0
GTEX-ZYT6-1726-SM-5E44P 30-39 years, male 65.0
GTEX-17F9Y-1326-SM-7MGW9 70-79 years, female 65.0
GTEX-1CB4G-0826-SM-7DUGF 60-69 years, male 64.9
GTEX-15RJE-0626-SM-7KUKR 40-49 years, male 64.8
GTEX-RN64-0826-SM-2TC62 50-59 years, male 64.2
GTEX-WK11-0826-SM-EZ6LH 50-59 years, male 64.2
GTEX-OXRO-2026-SM-2YUMZ 60-69 years, female 64.0
GTEX-1EKGG-1126-SM-7MGXB 60-69 years, male 64.0
GTEX-14E7W-1226-SM-5RQIU 70-79 years, male 63.9
GTEX-1I1GV-1326-SM-A96SE 60-69 years, male 63.7
GTEX-13OW8-2126-SM-5J1OS 60-69 years, male 63.6
GTEX-1PPGY-1126-SM-E76OU 60-69 years, male 63.6
GTEX-1HBPM-1226-SM-A9SM8 60-69 years, female 63.4
GTEX-WWYW-1326-SM-3NB2S 50-59 years, female 63.2
GTEX-OHPM-0326-SM-33HCA 50-59 years, male 61.6
GTEX-QVJO-1926-SM-2S1QZ 60-69 years, female 61.3
GTEX-13NYB-0226-SM-5N9G4 40-49 years, male 61.1
GTEX-1GN2E-1326-SM-9KNVG 60-69 years, male 60.6
GTEX-1F6IF-2526-SM-7P8TV 60-69 years, male 60.4
GTEX-13JVG-1326-SM-5N9F8 60-69 years, male 60.1
GTEX-14BIL-1126-SM-79OMC 50-59 years, male 60.1
GTEX-15CHQ-1526-SM-69LPW 60-69 years, male 59.7
GTEX-12ZZW-1026-SM-5GCMM 50-59 years, male 59.2
GTEX-1E1VI-1326-SM-7IGQD 50-59 years, male 59.2
GTEX-1C6VQ-1126-SM-7EWET 50-59 years, male 59.1
GTEX-1O97I-0826-SM-E8VNE 60-69 years, male 59.0
GTEX-13FHP-1026-SM-5K7Y2 50-59 years, male 58.8
GTEX-14PJM-1126-SM-6LLHK 50-59 years, female 58.8
GTEX-1H1CY-0326-SM-9QEIZ 60-69 years, female 58.8
GTEX-X261-1426-SM-4PQZ1 50-59 years, male 58.5
GTEX-117YW-0326-SM-5N9CY 50-59 years, male 58.1
GTEX-T2IS-0426-SM-32QPE 20-29 years, female 58.1
GTEX-1EX96-2526-SM-7RHGW 50-59 years, male 57.9
GTEX-ZF3C-1226-SM-4WWCB 50-59 years, female 57.5
GTEX-1399T-0426-SM-5PNVJ 60-69 years, male 57.3
GTEX-ZUA1-0826-SM-4YCDL 40-49 years, male 56.4
GTEX-14A5I-1226-SM-5NQBW 50-59 years, female 56.2
GTEX-XBEC-1326-SM-4AT69 50-59 years, male 54.6
GTEX-SNMC-0126-SM-2XCFO 20-29 years, male 53.7
GTEX-1JN6P-1126-SM-CKZON 60-69 years, male 53.7
GTEX-1NV8Z-1526-SM-DTX8X 60-69 years, male 53.6
GTEX-1GN1V-0826-SM-9KNU6 60-69 years, male 52.7
GTEX-1H3NZ-1126-SM-9WYT9 60-69 years, male 52.7
GTEX-1JJE9-1426-SM-ARL8P 70-79 years, male 52.6
GTEX-14C5O-1326-SM-5S2UW 60-69 years, male 51.7
GTEX-1LVA9-0926-SM-EVR5G 50-59 years, male 50.8
GTEX-N7MT-1326-SM-2I3FV 60-69 years, female 50.7
GTEX-1EWIQ-1426-SM-7IGOS 70-79 years, female 50.6
GTEX-YJ8O-0926-SM-EAZ2Z 40-49 years, female 50.2
GTEX-1GTWX-1026-SM-7P8QW 60-69 years, male 48.8
GTEX-14E6D-0926-SM-5S2QV 50-59 years, male 48.3
GTEX-1LG7Y-1226-SM-CXZKD 50-59 years, male 47.5
GTEX-14BIN-2226-SM-5YYA1 50-59 years, female 46.8
GTEX-V955-0726-SM-3GAFG 60-69 years, male 46.7
GTEX-1HT8W-1726-SM-CNNQB 30-39 years, male 46.0
GTEX-1PPH7-2026-SM-E9J3N 40-49 years, male 44.1
GTEX-17HII-1326-SM-7IGOB 50-59 years, male 41.5
Show allShow less

HEART MUSCLE - FANTOM5 CAGEi

RNA expression in human tissues obtained through Cap Analysis of Gene Expression (CAGE) generated by the FANTOM5 project are reported as Scaled Tags Per Million.

Max subtype Scaled Tags Per Millioni

Max subtype Scaled Tags Per Million is the value for the subtype with the largest average Scaled Tags Per Million across the subtype samples.

77.2
FANTOM5 sample id Sample description Scaled Tags Per Million
Heart
Scaled Tags Per Million: 77.2
FF:10016-101C7 70,73,74 years, mixed 77.2
Left atrium
Scaled Tags Per Million: 55.4
FF:10079-102A7 40 years, male 55.4
Left ventricle
Scaled Tags Per Million: 60.2
FF:10078-102A6 73 years, female 60.2

Contact

  • NEWS ARTICLES
  • PRESS ROOM

The Project

  • INTRODUCTION
  • ORGANIZATION
  • PUBLICATIONS

The Human Protein Atlas

  • DOWNLOADABLE DATA
  • LICENCE & CITATION
  • HELP & FAQ
The Human Protein Atlas project is funded
by the Knut & Alice Wallenberg Foundation.


contact@proteinatlas.org