We use cookies to enhance the usability of our website. If you continue, we'll assume that you are happy to receive all cookies. More information. Don't show this again.
NPM1
HPA
RESOURCES
  • TISSUE
  • BRAIN
  • SINGLE CELL
  • SUBCELLULAR
  • CANCER
  • BLOOD
  • CELL LINE
  • STRUCTURE & INTERACTION
ABOUT
  • INTRODUCTION
  • HISTORY
  • ORGANIZATION
  • PUBLICATIONS
  • ANTIBODY SUBMISSION
  • ANTIBODY AVAILABILITY
  • ACKNOWLEDGMENTS
  • CONTACT
NEWS
  • NEWS ARTICLES
  • PRESS ROOM
LEARN
  • DICTIONARY
  • PROTEIN CLASSES
  • PROTEIN EVIDENCE
  • METHODS
  • EDUCATIONAL VIDEOS
DATA
  • DOWNLOADABLE DATA
  • PUBLICATION DATA
  • RELEASE HISTORY
HELP
  • ANTIBODY VALIDATION
  • ASSAYS & ANNOTATION
  • DISCLAIMER
  • HELP & FAQ
  • PRIVACY STATEMENT
  • LICENCE & CITATION
Fields »
Search result

Field
Term
Gene name
Class
Subclass
Class
Keyword
Chromosome
External id
Tissue
Cell type
Expression
Antibody panel
Tissue
Main location
Patient ID
Annotation
Tissue
Category
Tau score
Cluster
Reliability
Brain region
Category
Tau score
Brain region
Category
Tau score
Brain region
Category
Tau score
Cluster
Reliability
Tissue
Cell type
Enrichment
Cell type
Category
Tau score
Cell type
Category
Tau score
Cell type
Category
Tau score
Cell lineage
Category
Tau score
Cluster
Cluster
Location
Searches
Location
Cell line
Class
Type
Phase
Reliability
Cancer
Prognosis
Cancer
Category
Cancer
Category
Tau score
Cluster
Variants
Interacting gene (ensg_id)
Type
Number of interactions
Pathway
Category
Score
Score
Score
Validation
Validation
Validation
Validation
Antibodies
Data type
Column


  • SUMMARY

  • TISSUE

  • BRAIN

  • SINGLE CELL

  • SUBCELL

  • CANCER

  • BLOOD

  • CELL LINE

  • STRUCT & INT

  • NPM1
TISSUE PRIMARY DATA SKIN Show tissue menu
ADIPOSE TISSUE ADRENAL GLAND AMYGDALA APPENDIX BASAL GANGLIA BONE MARROW BREAST BRONCHUS CEREBELLUM CEREBRAL CORTEX CERVIX CHOROID PLEXUS COLON DUODENUM
ENDOMETRIUM EPIDIDYMIS ESOPHAGUS FALLOPIAN TUBE GALLBLADDER HEART MUSCLE HIPPOCAMPAL FORMATION HYPOTHALAMUS KIDNEY LIVER LUNG LYMPH NODE MIDBRAIN NASOPHARYNX
ORAL MUCOSA OVARY PANCREAS PARATHYROID GLAND PITUITARY GLAND PLACENTA PROSTATE RECTUM RETINA SALIVARY GLAND SEMINAL VESICLE SKELETAL MUSCLE SKIN SMALL INTESTINE
SMOOTH MUSCLE SOFT TISSUE SPINAL CORD SPLEEN STOMACH TESTIS THYMUS THYROID GLAND TONGUE TONSIL URINARY BLADDER VAGINA
ANTIBODIES
AND
VALIDATION
Dictionary
Skin
Tissue proteome
Skin
SKIN - Expression summary
Protein expression
Skini

On the top, protein expression in current human tissue, based on all annotated cell types, is reported with the units not detected (n), low (l), medium (m) and high (h). Underneath, protein expression in each annotated cell type are reported using the same units.

Protein expression data is based on knowledge-based annotation. For genes where more than one antibody has been used, a collective score is set.

If knowledge-based annotation could not be performed for a gene, no data is displayed here. View antibody staining data further down this page.

h
m
l
n
Cells in basal layer: High
Cells in corneal layer: Not detected
Cells in granular layer: High
Cells in spinous layer: High
Endothelial cells: High
Extracellular matrix: Not detected
Fibrohistiocytic cells: High
Hair follicles: High
Langerhans cells: High
Lymphocytes: High
Melanocytes: High
Vascular mural cells: High
RNA expressioni

A summary of mRNA expression data available for current tissue based on several datasets. The mRNA expression levels in human tissues are based on RNA-seq data generated by the Human Protein Atlas (HPA), Genotype-Tissue Expression (GTEx) portal and CAGE data generated by the FANTOM5 consortium. Consensus normalized expression levels for human tissues was created by combining the data from HPA and GTEx datasets.

The mRNA expression levels in pig are based on RNA-seq data generated by the Human Protein Atlas (HPA), and for mouse, HPA data and in situ hybridization generated by the Allen brain atlas are reported.

Scroll down to view mRNA expression data in more detail.
Consensus:374.6 nTPM
HPA:294.2 nTPM
GTEx:374.6 nTPM

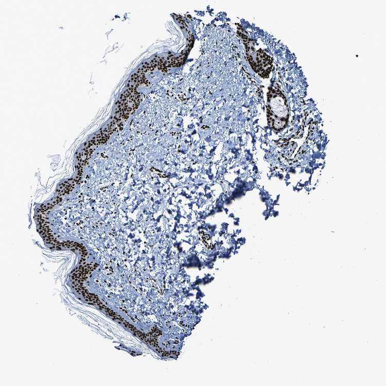
SKIN 1 - Antibody stainingi

Antibody staining in the annotated cell types in the current human tissue is reported as not detected, low, medium, or high, based on conventional immunohistochemistry profiling in selected tissues. This score is based on the combination of the staining intensity and fraction of stained cells.

Each image is clickable and will lead to virtual microscopy that enables deeper exploration of all samples and also displays staining intensity scores, fraction scores and subcellular localization as well as patient and tissue information for each sample.

Antibody HPA011384Antibody CAB012983
Langerhans -High
Cells in basal layer High-
Cells in corneal layer Not detected-
Cells in granular layer High-
Cells in spinous layer High-
Endothelial cells High-
Extracellular matrix Not detected-
Fibroblasts -High
Fibrohistiocytic cells High-
Hair follicles High-
Keratinocytes -High
Langerhans cells High-
Lymphocytes High-
Melanocytes HighHigh
Vascular mural cells High-


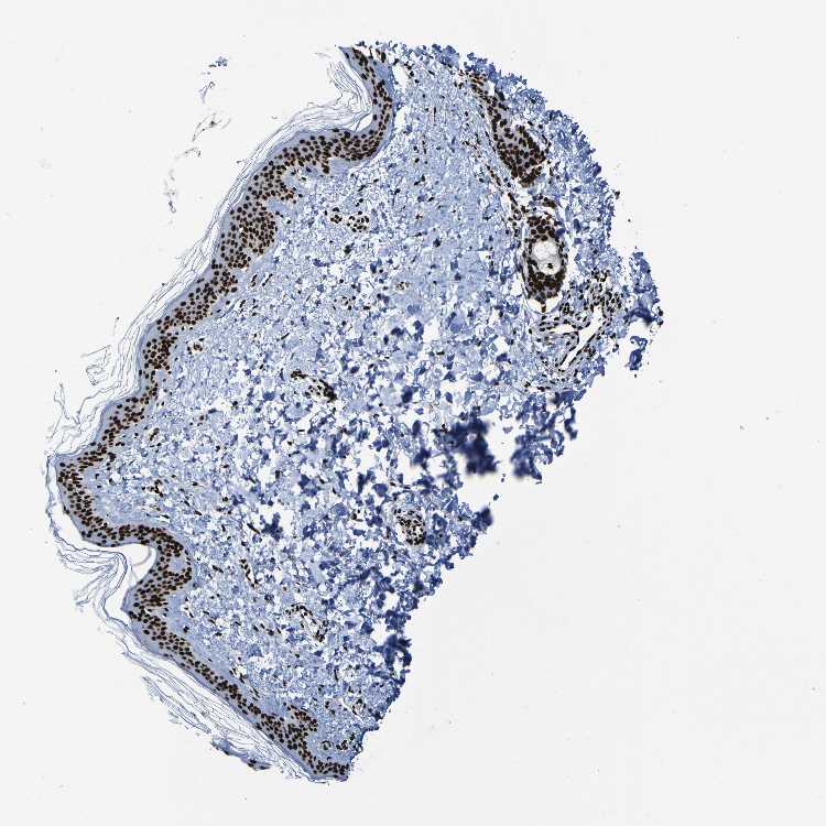
SKIN 2 - Antibody stainingi

Antibody staining in the annotated cell types in the current human tissue is reported as not detected, low, medium, or high, based on conventional immunohistochemistry profiling in selected tissues. This score is based on the combination of the staining intensity and fraction of stained cells.

Each image is clickable and will lead to virtual microscopy that enables deeper exploration of all samples and also displays staining intensity scores, fraction scores and subcellular localization as well as patient and tissue information for each sample.

Antibody HPA011384Antibody CAB012983
Cells in basal layer High-
Cells in corneal layer Not detected-
Cells in granular layer High-
Cells in spinous layer High-
Endothelial cells High-
Epidermal cells -High
Extracellular matrix Not detected-
Fibrohistiocytic cells High-
Hair follicles High-
Langerhans cells High-
Lymphocytes High-
Melanocytes High-
Vascular mural cells High-
  
  




SKIN - HPA RNA-seqi

The RNA-seq details section shows detailed information about the individual samples used for the transcript profiling and results of the RNA-seq analysis.

Information about each individual sample is listed below, including gender, age, a tissue section image and estimated fractions of cell types. nTPM (normalized transcripts per million) values give a quantification of the gene abundance which is comparable between different genes and samples.
Average nTPMi

Max subtype nTPM is the value for the subtype with the largest average nTPM across the subtype samples.

294.2
overview
Female, age 34
Skin sample 225
nTPM: 341.3
Cell types%
Keratinocytes:
60

Other cell types:
40

overview
Female, age 30
Skin sample 226
nTPM: 316.1
Cell types%
Keratinocytes:
55

Other cell types:
45

N/A
Male, age 57
Skin sample 227
nTPM: 225.3

SKIN - GTEx RNA-seqi

RNA-Seq data generated by the Genotype-Tissue Expression (GTEx) project from human tissues is reported as mean nTPM. More information can be found on the GTEx portal.

Distribution across the dataset is visualized with box plots, shown as median and 25th and 75th percentiles. Points are displayed as outliers if they are above or below 1.5 times the interquartile range. nTPM values of the individual samples are presented next to the box plot.
Max subtype nTPMi

Max subtype nTPM is the value for the subtype with the largest average nTPM across the subtype samples.

374.6
GTEx sample id Sample description nTPM
Skin - Not Sun Exposed (Suprapubic)
Average nTPM: 374.6
Samples: 604

Max nTPM: 923.4
Min nTPM: 171.5
Std nTPM: 93.6
Median nTPM: 361.4
GTEX-14XAO-1226-SM-6EU1C 60-69 years, female 923.4
GTEX-11DZ1-2426-SM-5GZZX 50-59 years, male 780.2
GTEX-13NYC-0126-SM-5L3F4 60-69 years, male 779.1
GTEX-1ICLZ-0326-SM-ARL82 60-69 years, male 764.7
GTEX-1A3MW-0626-SM-731CB 60-69 years, female 727.7
GTEX-11WQK-1026-SM-5EQLX 50-59 years, male 691.5
GTEX-13QBU-1226-SM-5LU4G 40-49 years, female 676.4
GTEX-14E6C-2426-SM-5S2NF 40-49 years, male 667.4
GTEX-ZAJG-1526-SM-5CVML 50-59 years, female 641.3
GTEX-144GO-2026-SM-5O99P 60-69 years, male 625.1
GTEX-15G1A-1626-SM-7KUKN 30-39 years, male 620.8
GTEX-15G19-2426-SM-7KUMR 60-69 years, male 619.2
GTEX-1117F-2926-SM-5GZYI 60-69 years, female 606.9
GTEX-12WSK-2126-SM-5CVNC 40-49 years, female 605.7
GTEX-ZYY3-2926-SM-5GIEB 60-69 years, female 600.4
GTEX-13NZ8-1226-SM-5KM4A 60-69 years, female 600.3
GTEX-1H3VE-0726-SM-9YFL5 40-49 years, male 598.8
GTEX-WH7G-2026-SM-3NMBL 40-49 years, male 587.9
GTEX-U8XE-0226-SM-4E3J3 30-39 years, male 585.2
GTEX-1F48J-0726-SM-7RHGS 50-59 years, female 584.1
GTEX-14C38-0726-SM-5SI6M 50-59 years, male 566.2
GTEX-1I1GU-0926-SM-ACKVS 40-49 years, male 563.0
GTEX-1E1VI-0326-SM-793D1 50-59 years, male 560.9
GTEX-ZVE1-0726-SM-51MRN 50-59 years, female 556.6
GTEX-ZTTD-2826-SM-4YCFA 50-59 years, male 555.8
GTEX-1AX9J-1326-SM-731BJ 60-69 years, male 555.2
GTEX-YF7O-1526-SM-5IFI6 50-59 years, male 552.6
GTEX-XMD2-2126-SM-4YCF8 60-69 years, female 551.3
GTEX-1F88E-1626-SM-7SB8Z 60-69 years, female 549.2
GTEX-1E2YA-2126-SM-7MXUO 50-59 years, male 546.9
GTEX-13X6H-0926-SM-5SIB2 50-59 years, female 546.5
GTEX-1J8QM-2426-SM-A9SLS 60-69 years, female 543.0
GTEX-144GL-0626-SM-5LU4D 50-59 years, male 541.5
GTEX-17EVQ-0126-SM-7IGLR 70-79 years, male 538.9
GTEX-Y5LM-0926-SM-6LLJG 40-49 years, female 537.2
GTEX-14LZ3-0126-SM-69LPM 60-69 years, female 535.7
GTEX-1L5NE-1126-SM-D3L9P 50-59 years, male 531.3
GTEX-14A5H-0826-SM-5QGPJ 60-69 years, male 531.2
GTEX-ZY6K-1426-SM-5GZX2 50-59 years, male 529.5
GTEX-14BMV-2826-SM-5TDED 50-59 years, male 524.3
GTEX-14PJ4-0226-SM-5YY92 60-69 years, male 521.9
GTEX-13X6K-0626-SM-5LU5D 60-69 years, female 519.9
GTEX-1NV5F-0626-SM-DTXEG 60-69 years, female 519.3
GTEX-1HSMO-0626-SM-ACKXC 60-69 years, male 518.4
GTEX-15UF6-1926-SM-7KUDV 70-79 years, female 517.3
GTEX-183WM-0326-SM-72D5V 70-79 years, female 514.2
GTEX-1F6IF-0926-SM-7SB7M 60-69 years, male 511.6
GTEX-1I1CD-0626-SM-CE6SW 60-69 years, female 509.8
GTEX-13RTJ-0126-SM-5S2NN 60-69 years, male 508.2
GTEX-15RIE-1926-SM-7KUKJ 60-69 years, male 506.2
GTEX-1CB4J-1326-SM-7P8RX 60-69 years, male 504.8
GTEX-1S5ZU-2526-SM-E6CIF 20-29 years, female 503.7
GTEX-1122O-1026-SM-9WYSF 60-69 years, female 502.9
GTEX-13OVH-0526-SM-5L3E6 70-79 years, male 502.2
GTEX-1399Q-2326-SM-5KM2X 40-49 years, male 501.9
GTEX-1GF9U-2026-SM-7SB92 40-49 years, female 500.7
GTEX-1HBPM-0726-SM-9YFL7 60-69 years, female 500.4
GTEX-1PIGE-1826-SM-E8VOU 20-29 years, male 498.1
GTEX-13IVO-0726-SM-5LZYV 70-79 years, male 496.5
GTEX-1I19N-0126-SM-CYPSF 70-79 years, male 496.4
GTEX-1J8Q3-0526-SM-ARL8U 60-69 years, male 494.0
GTEX-1PPH7-1126-SM-DTX9A 40-49 years, male 491.4
GTEX-14BMU-1226-SM-5S2OR 20-29 years, female 490.7
GTEX-14A6H-2026-SM-5Q5DD 30-39 years, male 489.8
GTEX-145MF-0926-SM-5Q5EA 50-59 years, male 487.3
GTEX-14ICL-1626-SM-5YYAO 30-39 years, male 487.3
GTEX-1NSGN-0726-SM-DTXEF 50-59 years, male 486.0
GTEX-13NYS-0626-SM-5L3F1 60-69 years, male 484.3
GTEX-ZYFD-0626-SM-5E44E 50-59 years, male 480.8
GTEX-UPK5-0426-SM-3GAEK 40-49 years, male 480.6
GTEX-1JN76-0626-SM-CKZOQ 20-29 years, female 478.5
GTEX-16YQH-2226-SM-7IGM2 30-39 years, male 478.3
GTEX-144FL-0626-SM-5LU43 50-59 years, male 478.2
GTEX-1HSMP-0926-SM-A9SKX 70-79 years, male 476.6
GTEX-ZVZP-1226-SM-5GID7 50-59 years, male 476.2
GTEX-1LVAM-0726-SM-E6CIL 50-59 years, female 474.6
GTEX-13PVR-0426-SM-5RQK2 60-69 years, female 474.0
GTEX-131YS-2826-SM-5EQ47 60-69 years, female 471.6
GTEX-13VXT-1926-SM-5K7UO 20-29 years, female 469.2
GTEX-1C6VQ-1226-SM-73KYD 50-59 years, male 467.6
GTEX-16GPK-0626-SM-7KFSF 60-69 years, male 467.0
GTEX-16MT9-0126-SM-7EPI8 60-69 years, female 464.9
GTEX-13O3O-2326-SM-5IJD6 60-69 years, female 464.5
GTEX-145MO-2826-SM-5LU96 60-69 years, male 463.6
GTEX-ZVTK-0226-SM-51MRG 20-29 years, male 463.3
GTEX-11EQ9-1626-SM-5PNY8 30-39 years, male 460.0
GTEX-1QP66-1226-SM-DTX7U 50-59 years, male 459.3
GTEX-12WSL-2026-SM-5GCML 50-59 years, male 458.8
GTEX-13FHO-0426-SM-5L3F5 60-69 years, male 458.2
GTEX-1B8L1-2226-SM-7P8PT 60-69 years, male 458.2
GTEX-WYJK-0526-SM-3NM8Z 50-59 years, male 455.6
GTEX-1R7EU-1626-SM-DTXG3 60-69 years, male 454.3
GTEX-1H1DF-1126-SM-9WG7G 40-49 years, female 453.4
GTEX-1RB15-1326-SM-E76Q9 60-69 years, male 453.4
GTEX-14PJ5-1526-SM-6LLIL 60-69 years, female 453.1
GTEX-11EM3-1226-SM-5N9DD 20-29 years, female 452.5
GTEX-11DXX-2126-SM-5PNYR 60-69 years, female 449.1
GTEX-1F5PK-2226-SM-7SB6N 50-59 years, male 448.5
GTEX-1A8FM-0626-SM-7PC25 50-59 years, female 448.3
GTEX-18A67-1626-SM-7LT9T 50-59 years, male 447.5
GTEX-144GM-0526-SM-79OJO 20-29 years, male 446.2
GTEX-16NPX-0726-SM-7KULC 50-59 years, male 445.9
GTEX-1F5PL-0926-SM-7PC2W 40-49 years, female 445.8
GTEX-12WSD-0626-SM-5GCMW 60-69 years, female 445.5
GTEX-14PJN-1826-SM-6AJ98 30-39 years, male 445.2
GTEX-1IDJI-0126-SM-CMKHS 50-59 years, female 444.2
GTEX-15ER7-0626-SM-6PANF 20-29 years, female 444.0
GTEX-ZF29-0926-SM-4WKFZ 60-69 years, female 443.2
GTEX-1I6K6-1726-SM-CGQFD 30-39 years, male 443.0
GTEX-16XZZ-0726-SM-7KUF2 60-69 years, male 442.1
GTEX-17MFQ-1526-SM-7KFRR 20-29 years, male 442.0
GTEX-13VXU-0626-SM-5L3F9 50-59 years, male 438.0
GTEX-1JKYR-0626-SM-ARL8R 20-29 years, male 438.0
GTEX-147F3-1726-SM-5SIAW 50-59 years, female 437.8
GTEX-15DYW-2726-SM-6EU2I 60-69 years, female 437.5
GTEX-1H2FU-0926-SM-9WPPT 60-69 years, female 437.5
GTEX-1F75I-2226-SM-7SB8U 40-49 years, male 436.9
GTEX-13FH7-1126-SM-5K7UG 50-59 years, female 436.8
GTEX-1H1DG-2426-SM-9QEHJ 70-79 years, male 435.8
GTEX-1R9PN-0426-SM-DTXDT 40-49 years, female 435.4
GTEX-1RAZA-2226-SM-E9U4X 20-29 years, male 434.5
GTEX-1ICLY-0826-SM-CMKG1 50-59 years, male 433.4
GTEX-W5X1-2526-SM-3GILC 40-49 years, female 432.3
GTEX-XBED-1926-SM-47JYP 60-69 years, male 432.2
GTEX-14E6E-0526-SM-793DN 30-39 years, male 432.0
GTEX-11TT1-1826-SM-5EQLV 20-29 years, male 430.9
GTEX-YB5K-2026-SM-4VDT3 40-49 years, female 430.2
GTEX-1I6K7-1926-SM-B2LXR 40-49 years, male 429.1
GTEX-111YS-1526-SM-5GZYW 60-69 years, male 428.2
GTEX-WFON-1926-SM-3LK7L 40-49 years, male 427.8
GTEX-13SLW-0626-SM-5Q5ER 70-79 years, male 427.5
GTEX-1GMR8-0626-SM-7RHI7 50-59 years, female 424.8
GTEX-14B4R-1326-SM-5Q5EZ 30-39 years, male 424.6
GTEX-17MF6-2626-SM-79OKQ 40-49 years, male 423.6
GTEX-ZYW4-0626-SM-59HJR 60-69 years, male 423.4
GTEX-ZPIC-0526-SM-DO91W 40-49 years, female 423.2
GTEX-1HFI7-2326-SM-CGQFS 50-59 years, female 422.5
GTEX-14DAR-1226-SM-73KYV 50-59 years, male 422.2
GTEX-1F75W-2726-SM-7SB8H 60-69 years, male 422.1
GTEX-1LKK1-2626-SM-DKPQE 50-59 years, female 421.7
GTEX-13FTY-2126-SM-5IFFB 40-49 years, female 421.6
GTEX-1QPFJ-1926-SM-EVYBD 30-39 years, female 421.1
GTEX-ZF3C-0626-SM-DO92O 50-59 years, female 420.7
GTEX-13QJC-0126-SM-5ZZWJ 60-69 years, female 420.3
GTEX-13OVG-1626-SM-5J1NF 60-69 years, male 420.1
GTEX-17HG3-2626-SM-7DUF2 30-39 years, female 419.8
GTEX-1IKOE-1426-SM-CE6T7 30-39 years, female 418.3
GTEX-XQ8I-0926-SM-4BOOF 50-59 years, male 418.1
GTEX-1QP2A-1726-SM-E76QC 50-59 years, male 416.6
GTEX-1JMOU-1026-SM-CYPSS 60-69 years, female 416.1
GTEX-WK11-2726-SM-3NMAQ 50-59 years, male 415.5
GTEX-13FTW-0326-SM-5K7UW 40-49 years, male 414.8
GTEX-1A32A-0626-SM-731AQ 50-59 years, female 413.5
GTEX-14PKU-0126-SM-6LLHV 40-49 years, female 412.9
GTEX-14C5O-0326-SM-5ZZUX 60-69 years, male 412.8
GTEX-13NZ9-2626-SM-5L3FK 50-59 years, male 412.5
GTEX-146FQ-2126-SM-5RQHU 30-39 years, male 412.2
GTEX-VJYA-1526-SM-3GIJV 60-69 years, male 411.9
GTEX-133LE-2326-SM-5K7W3 20-29 years, female 411.7
GTEX-YEC4-1826-SM-4W1YP 40-49 years, male 411.6
GTEX-1H1ZS-2726-SM-9WG75 70-79 years, male 411.5
GTEX-1AMFI-1326-SM-7939R 50-59 years, female 410.3
GTEX-13N11-2326-SM-5IJBF 50-59 years, female 410.2
GTEX-1RLM8-2926-SM-E8VON 50-59 years, male 410.1
GTEX-1A8G6-2726-SM-731AR 60-69 years, male 409.7
GTEX-1399R-1326-SM-5PNYS 30-39 years, male 409.0
GTEX-1F6RS-2026-SM-7RHHC 60-69 years, female 409.0
GTEX-11OF3-0126-SM-5PNYF 60-69 years, male 408.8
GTEX-14JG1-1526-SM-5YY9X 40-49 years, male 408.4
GTEX-13112-0126-SM-5P9IU 50-59 years, male 407.6
GTEX-1O9I2-0226-SM-EYYXD 50-59 years, male 407.2
GTEX-ZUA1-2626-SM-5NQ92 40-49 years, male 407.1
GTEX-ZYT6-2326-SM-5GZY3 30-39 years, male 407.0
GTEX-14C39-1726-SM-5RQIL 40-49 years, male 406.7
GTEX-11VI4-1126-SM-5EQMD 40-49 years, female 406.4
GTEX-13YAN-0226-SM-5TDC6 60-69 years, male 406.3
GTEX-145LT-0526-SM-5LUB2 40-49 years, male 406.1
GTEX-14LLW-2626-SM-62LDZ 70-79 years, female 404.9
GTEX-148VJ-0626-SM-5LUAW 70-79 years, male 404.8
GTEX-1A3MX-2626-SM-7PC24 60-69 years, male 404.4
GTEX-WFG8-2126-SM-3GIKQ 20-29 years, male 404.2
GTEX-ZLWG-0826-SM-59888 50-59 years, female 404.0
GTEX-ZYVF-0926-SM-5E44J 50-59 years, female 403.8
GTEX-1N5O9-0926-SM-E9J3C 60-69 years, male 403.8
GTEX-18D9A-1426-SM-7LT8M 30-39 years, female 403.7
GTEX-1I1GP-1326-SM-A9G28 50-59 years, male 403.5
GTEX-1IDJC-1526-SM-B2LW4 50-59 years, male 403.5
GTEX-1EN7A-2426-SM-793DB 40-49 years, male 403.3
GTEX-13X6J-0626-SM-5LU5F 50-59 years, male 403.0
GTEX-ZVE2-2826-SM-5GU51 50-59 years, male 401.5
GTEX-1LGRB-0926-SM-COH3K 50-59 years, female 401.0
GTEX-1QMI2-2526-SM-E8VNZ 60-69 years, male 401.0
GTEX-13W3W-0726-SM-5IJDQ 60-69 years, female 400.9
GTEX-14AS3-1526-SM-5Q5ED 40-49 years, female 400.6
GTEX-15SKB-2826-SM-6PAMH 60-69 years, male 400.4
GTEX-1HKZK-0726-SM-ACKW2 40-49 years, male 400.1
GTEX-13O3Q-0126-SM-5KM34 50-59 years, male 399.9
GTEX-1211K-1526-SM-5FQU4 60-69 years, female 399.2
GTEX-1LGOU-1326-SM-D3L8M 20-29 years, female 399.2
GTEX-15EO6-2426-SM-6PALZ 50-59 years, male 398.8
GTEX-UPJH-0226-SM-3GADV 50-59 years, male 398.7
GTEX-183FY-1026-SM-7939A 20-29 years, male 398.6
GTEX-V1D1-2026-SM-3GAF4 50-59 years, male 398.6
GTEX-15SHW-0226-SM-7LTAT 60-69 years, male 398.3
GTEX-11DXW-0826-SM-5H118 40-49 years, male 397.7
GTEX-117YX-1926-SM-5GIEC 50-59 years, male 397.5
GTEX-VUSG-2326-SM-4KL1U 50-59 years, male 396.9
GTEX-11ZUS-2626-SM-5FQUR 30-39 years, male 396.6
GTEX-1QP28-1126-SM-EVYC4 50-59 years, female 396.4
GTEX-1JMQL-2226-SM-CNPP4 50-59 years, female 395.9
GTEX-18D9B-0926-SM-7LG4U 60-69 years, male 395.8
GTEX-1HFI6-0126-SM-CNPPI 40-49 years, male 395.3
GTEX-1399U-1126-SM-5L3DB 50-59 years, female 395.1
GTEX-1JMPZ-0726-SM-CY8HZ 30-39 years, male 395.1
GTEX-14JG6-1426-SM-9WG7C 30-39 years, female 394.8
GTEX-1GF9X-1326-SM-7PC2Y 40-49 years, female 394.6
GTEX-12696-0126-SM-5EQ4L 60-69 years, male 392.8
GTEX-1399S-0126-SM-5IJCF 30-39 years, female 392.7
GTEX-1JN1M-2726-SM-CY8I4 60-69 years, female 392.7
GTEX-ZLFU-1826-SM-4WWBV 40-49 years, male 392.1
GTEX-12BJ1-0926-SM-5EQ62 60-69 years, male 392.0
GTEX-1GZHY-0626-SM-9KNVC 50-59 years, female 391.3
GTEX-11P81-2226-SM-5PNYI 30-39 years, female 390.9
GTEX-139TT-2126-SM-5LZWC 60-69 years, male 389.7
GTEX-13G51-1826-SM-5KLZH 60-69 years, male 389.6
GTEX-ZE7O-2726-SM-51MT5 50-59 years, female 389.3
GTEX-13U4I-2226-SM-5LU5H 40-49 years, female 389.2
GTEX-1H4P4-2126-SM-9WYSL 50-59 years, male 389.1
GTEX-1IDFM-0326-SM-ARL7V 60-69 years, male 388.8
GTEX-15DDE-2926-SM-6LLJ3 50-59 years, female 388.2
GTEX-1GMR3-0126-SM-A9SLW 40-49 years, male 388.2
GTEX-1QP29-1826-SM-DTX9S 50-59 years, male 387.7
GTEX-ZF2S-1626-SM-57WES 50-59 years, female 387.2
GTEX-13113-1626-SM-5EQ4I 60-69 years, female 386.7
GTEX-1HC8U-1326-SM-9YFMJ 40-49 years, female 385.2
GTEX-1I1GS-2626-SM-B2LY3 60-69 years, male 384.9
GTEX-1LVA9-2626-SM-EVYD4 50-59 years, male 384.2
GTEX-147GR-2426-SM-5ZZWQ 60-69 years, male 383.9
GTEX-12584-0726-SM-5FQTK 40-49 years, male 382.9
GTEX-1IKJJ-2226-SM-CJI4C 60-69 years, male 382.7
GTEX-1H1CY-0126-SM-9YFLY 60-69 years, female 382.6
GTEX-12WSM-1926-SM-5BC65 60-69 years, male 382.2
GTEX-11O72-0626-SM-5PNYE 40-49 years, male 382.1
GTEX-1CB4H-1126-SM-7MKGL 60-69 years, female 381.6
GTEX-1OJC4-2726-SM-E76PJ 50-59 years, female 381.6
GTEX-13OVJ-0826-SM-5J1OK 50-59 years, female 381.5
GTEX-1K2DU-1226-SM-CYPT4 20-29 years, male 381.4
GTEX-1269C-0126-SM-5EQ5L 60-69 years, female 381.1
GTEX-13NYB-0126-SM-5J1MD 40-49 years, male 381.1
GTEX-17HHY-0426-SM-7DHLC 50-59 years, male 381.0
GTEX-178AV-1726-SM-7KUL8 40-49 years, male 380.6
GTEX-1S82P-2126-SM-E6CI5 60-69 years, female 380.4
GTEX-13O61-1426-SM-5KM3D 60-69 years, male 380.3
GTEX-1N2DV-1526-SM-DTXEP 40-49 years, male 380.3
GTEX-13FLV-0126-SM-5K7WT 50-59 years, male 378.9
GTEX-1A8G7-1326-SM-73KVM 60-69 years, male 378.8
GTEX-139UW-0326-SM-5J1ML 60-69 years, male 376.3
GTEX-1HR98-2226-SM-ADEI2 60-69 years, male 375.7
GTEX-1JJ6O-2726-SM-CNPOG 60-69 years, male 375.7
GTEX-139TS-2126-SM-5K7XC 60-69 years, male 375.3
GTEX-YECK-0326-SM-4W1YS 60-69 years, male 375.1
GTEX-1I1HK-2326-SM-CKZOH 60-69 years, male 374.3
GTEX-11UD2-2526-SM-5CVNU 50-59 years, male 373.9
GTEX-1LG7Y-2526-SM-EWRO7 50-59 years, male 373.9
GTEX-1M4P7-0726-SM-E6CJ3 60-69 years, male 373.6
GTEX-XAJ8-1426-SM-47JYM 40-49 years, male 373.4
GTEX-14753-0726-SM-5QGQO 60-69 years, male 373.1
GTEX-Y5V5-0126-SM-5S2NW 60-69 years, female 372.0
GTEX-1J8JJ-0626-SM-ARZMQ 60-69 years, female 371.8
GTEX-13N2G-0226-SM-5K7VF 60-69 years, male 371.5
GTEX-1AMEY-0826-SM-72D65 30-39 years, female 371.4
GTEX-ZVT4-2426-SM-5GIEI 50-59 years, female 371.2
GTEX-1GF9W-1426-SM-7PBYM 60-69 years, male 371.0
GTEX-Y5V6-2326-SM-4VDSA 60-69 years, male 370.6
GTEX-145LU-1926-SM-79OJN 50-59 years, male 370.3
GTEX-11DXY-0126-SM-5H11Q 60-69 years, male 369.9
GTEX-17F9E-2326-SM-79OKD 50-59 years, male 369.9
GTEX-1HBPI-2126-SM-ARL9K 50-59 years, male 369.4
GTEX-12KS4-2126-SM-5FQUT 30-39 years, male 369.3
GTEX-13N1W-2426-SM-5IJD1 70-79 years, male 369.3
GTEX-14JFF-0626-SM-5ZZVT 60-69 years, male 369.1
GTEX-14PJ3-1126-SM-5ZZVX 50-59 years, male 369.0
GTEX-11LCK-2226-SM-5HL4Q 30-39 years, male 368.5
GTEX-1R46S-2426-SM-E76QA 60-69 years, female 367.9
GTEX-1PPH8-0126-SM-EWRN8 20-29 years, male 367.6
GTEX-13D11-0926-SM-5J2NC 50-59 years, female 366.7
GTEX-ZLV1-1526-SM-DO91J 60-69 years, female 366.7
GTEX-YJ8O-2526-SM-5HL85 40-49 years, female 366.4
GTEX-13OVL-0126-SM-5L3GJ 50-59 years, male 366.2
GTEX-XYKS-1426-SM-4BRUO 60-69 years, female 366.2
GTEX-ZYFG-1526-SM-5GZYM 60-69 years, female 366.1
GTEX-1KD5A-0126-SM-E9U54 50-59 years, male 365.8
GTEX-13JUV-2026-SM-5K7UA 40-49 years, female 365.6
GTEX-14PJ6-2626-SM-6EU2T 60-69 years, female 365.0
GTEX-11TUW-0626-SM-5LU9M 60-69 years, male 364.8
GTEX-XK95-0226-SM-4AT58 40-49 years, male 363.7
GTEX-1J8Q2-2626-SM-ACKWQ 60-69 years, male 363.4
GTEX-13PVQ-0626-SM-5LU47 50-59 years, male 363.2
GTEX-ZZ64-1026-SM-5GZXG 20-29 years, male 363.2
GTEX-1GPI7-1826-SM-9KNU1 20-29 years, male 362.8
GTEX-12C56-1526-SM-5FQUQ 20-29 years, male 362.0
GTEX-132AR-0326-SM-5KM2C 50-59 years, female 361.4
GTEX-1IDJU-1726-SM-CMKHU 60-69 years, female 361.4
GTEX-1B933-2426-SM-7DHMD 50-59 years, female 361.2
GTEX-147JS-0226-SM-5S2U9 60-69 years, male 361.1
GTEX-1OJC3-1226-SM-DTXER 20-29 years, male 361.1
GTEX-1H23P-0626-SM-9WG6T 60-69 years, male 360.6
GTEX-1ICG6-1226-SM-A9SLN 70-79 years, female 360.6
GTEX-1QCLZ-2426-SM-EVYBW 60-69 years, female 360.4
GTEX-145MG-1526-SM-5Q5EM 50-59 years, male 360.2
GTEX-16BQI-1326-SM-6M486 30-39 years, female 360.2
GTEX-1EH9U-2826-SM-7DUGT 60-69 years, male 360.0
GTEX-ZZPU-0826-SM-5GZX5 50-59 years, female 360.0
GTEX-ZPCL-1126-SM-4WWFE 60-69 years, female 359.9
GTEX-1H3NZ-2726-SM-9WYTQ 60-69 years, male 359.9
GTEX-145MI-0626-SM-5SI8S 60-69 years, female 359.6
GTEX-1S83E-1326-SM-E6CJM 40-49 years, male 359.6
GTEX-11EI6-2826-SM-5H11D 60-69 years, male 359.5
GTEX-1B932-2326-SM-79OL5 40-49 years, female 359.3
GTEX-15EU6-2226-SM-6EU2L 50-59 years, male 359.2
GTEX-14ABY-2026-SM-62LDL 50-59 years, male 358.7
GTEX-1N2EE-0626-SM-E76PW 60-69 years, male 358.6
GTEX-139T8-0626-SM-5KLZX 60-69 years, male 358.2
GTEX-139D8-1126-SM-5LU8W 30-39 years, female 357.9
GTEX-145MH-2826-SM-5RQJF 50-59 years, male 357.9
GTEX-ZGAY-1826-SM-DO91Q 40-49 years, female 357.9
GTEX-12WSC-2826-SM-5BC5Y 50-59 years, male 357.8
GTEX-1313W-0626-SM-5EQ4H 50-59 years, female 357.7
GTEX-1J1R8-2026-SM-CL53Y 40-49 years, male 357.7
GTEX-YFCO-1226-SM-5LUAT 40-49 years, male 357.4
GTEX-1JJE9-2626-SM-ARZMT 70-79 years, male 357.4
GTEX-1H3O1-1326-SM-9MQLD 60-69 years, male 356.4
GTEX-1B8KZ-0326-SM-73KY4 50-59 years, male 355.3
GTEX-1A3MV-1826-SM-731CD 30-39 years, male 355.0
GTEX-1KANB-2826-SM-CY8I6 50-59 years, male 354.7
GTEX-WHSE-0126-SM-3NMBT 20-29 years, male 354.4
GTEX-15D1Q-2826-SM-6LLH7 40-49 years, male 354.2
GTEX-1KANA-1326-SM-DIPFA 20-29 years, male 353.8
GTEX-1HCU9-0426-SM-9WYSD 20-29 years, male 353.7
GTEX-1I1GV-0626-SM-ARL7M 60-69 years, male 353.7
GTEX-ZVT2-0126-SM-5GIDQ 50-59 years, female 353.4
GTEX-1H1DE-1326-SM-9KNUG 20-29 years, male 353.3
GTEX-15RIG-0726-SM-7KUM7 40-49 years, male 353.1
GTEX-1KXAM-1626-SM-D3LAD 60-69 years, male 353.0
GTEX-1GN73-0726-SM-7P8TJ 60-69 years, male 352.5
GTEX-1HT8W-0626-SM-A9G2H 30-39 years, male 352.2
GTEX-1HR9M-2226-SM-CNPPY 60-69 years, male 351.8
GTEX-1IDJF-2026-SM-CL53V 20-29 years, male 351.7
GTEX-1IOXB-2726-SM-CM2RI 50-59 years, male 350.2
GTEX-WEY5-2326-SM-3GIKK 40-49 years, female 349.9
GTEX-1MCYP-0526-SM-E9U6Q 20-29 years, female 349.6
GTEX-1H11D-1826-SM-9QEHM 40-49 years, male 349.0
GTEX-1HSKV-1226-SM-ADEI4 60-69 years, male 349.0
GTEX-12WSA-0426-SM-5EQ5X 60-69 years, male 348.5
GTEX-14PHX-2226-SM-6EU2P 50-59 years, male 347.4
GTEX-X8HC-0626-SM-4E3HQ 50-59 years, female 347.2
GTEX-14PJ2-0626-SM-6LLII 50-59 years, male 346.9
GTEX-X4EO-2926-SM-4E3JH 60-69 years, female 346.9
GTEX-1MJK3-0726-SM-E6CJC 20-29 years, male 346.5
GTEX-13OW8-1026-SM-5J1NQ 60-69 years, male 346.2
GTEX-Z93S-1626-SM-5CVMB 50-59 years, male 345.7
GTEX-17EVP-2626-SM-7IGMA 40-49 years, male 345.6
GTEX-1HUB1-1426-SM-CGQF5 60-69 years, male 345.6
GTEX-1JK1U-0226-SM-ARZMX 60-69 years, male 345.0
GTEX-1QP9N-1226-SM-E76QN 30-39 years, male 344.8
GTEX-1QAET-0326-SM-EVR3U 50-59 years, male 344.3
GTEX-1B996-0426-SM-7EWF8 60-69 years, male 343.5
GTEX-ZWKS-0626-SM-5GIDV 30-39 years, male 342.0
GTEX-12WSJ-1126-SM-5LZVJ 40-49 years, female 341.7
GTEX-131XG-0326-SM-5L3DX 50-59 years, female 341.4
GTEX-18A66-0626-SM-7LT8Z 60-69 years, male 341.4
GTEX-ZA64-1026-SM-5HL8R 20-29 years, male 341.0
GTEX-145ME-1726-SM-5Q5EU 40-49 years, female 340.1
GTEX-1HBPN-0126-SM-CGQEF 50-59 years, male 339.8
GTEX-11P7K-1126-SM-5HL4L 30-39 years, male 339.4
GTEX-1B97I-0626-SM-73KUZ 40-49 years, male 339.4
GTEX-13X6I-1826-SM-5SIAO 60-69 years, male 338.9
GTEX-18A6Q-0626-SM-7KFRP 60-69 years, male 338.9
GTEX-1LVAO-2726-SM-E9TJ8 60-69 years, male 338.9
GTEX-1IDJH-0126-SM-D3L92 70-79 years, male 338.5
GTEX-ZT9X-1526-SM-5DUXD 40-49 years, male 338.4
GTEX-14BIN-1126-SM-5RQJZ 50-59 years, female 338.0
GTEX-1HSGN-0826-SM-ACKW3 40-49 years, female 337.9
GTEX-14PKV-1126-SM-6LLJ1 20-29 years, female 337.2
GTEX-1I4MK-0126-SM-CY8G6 50-59 years, female 337.2
GTEX-18A7B-2726-SM-7LG56 70-79 years, male 336.6
GTEX-1C6WA-2626-SM-7MKGM 60-69 years, male 336.3
GTEX-16NGA-0726-SM-731AO 40-49 years, female 336.1
GTEX-16Z82-2626-SM-7KULU 60-69 years, male 335.4
GTEX-1CB4I-0126-SM-7RHGG 50-59 years, male 335.2
GTEX-1GN1W-2426-SM-9KNUU 50-59 years, female 335.1
GTEX-1HCU6-2526-SM-ADEHL 60-69 years, female 335.0
GTEX-1I1GT-1026-SM-ARZLV 60-69 years, female 335.0
GTEX-1RAZR-2126-SM-E9U6T 40-49 years, male 334.8
GTEX-13FTX-1526-SM-5K7VJ 20-29 years, female 334.5
GTEX-17HGU-2326-SM-7DUFE 50-59 years, male 334.3
GTEX-13OW7-0426-SM-5K7VK 50-59 years, male 334.2
GTEX-17F98-1326-SM-7DUEP 40-49 years, female 333.0
GTEX-1KANC-1226-SM-CYPT7 50-59 years, female 332.8
GTEX-1497J-0226-SM-5QGPU 60-69 years, male 331.8
GTEX-1PBJJ-1026-SM-E76OS 30-39 years, male 331.4
GTEX-11EQ8-0926-SM-5H12V 60-69 years, male 331.2
GTEX-1H1E6-0426-SM-9WYUS 30-39 years, male 331.0
GTEX-1S82U-1026-SM-E6CJK 30-39 years, female 330.8
GTEX-111VG-1626-SM-5EGIO 60-69 years, male 330.6
GTEX-1J1OQ-0126-SM-D4P2N 40-49 years, female 330.4
GTEX-1GN1V-2826-SM-9JGIA 60-69 years, male 330.3
GTEX-1QEPI-2626-SM-DTXF4 60-69 years, female 329.9
GTEX-1BAJH-2426-SM-7IGP8 70-79 years, male 329.8
GTEX-1LB8K-0726-SM-D5OV2 50-59 years, male 329.7
GTEX-XV7Q-1826-SM-4BRUV 40-49 years, female 329.4
GTEX-15CHC-1126-SM-6LLHQ 60-69 years, female 329.3
GTEX-ZE9C-2526-SM-5IJDR 60-69 years, male 329.3
GTEX-1HCU7-0726-SM-A9SL1 50-59 years, male 329.1
GTEX-11ZTT-2126-SM-5CVLO 60-69 years, female 328.7
GTEX-1R9PM-1926-SM-EVR3O 20-29 years, male 328.6
GTEX-XXEK-1626-SM-4BRUZ 50-59 years, male 328.4
GTEX-XUW1-0926-SM-4BONX 50-59 years, female 328.3
GTEX-1S831-1826-SM-EWROF 20-29 years, male 328.1
GTEX-1QW4Y-1126-SM-DTXE3 30-39 years, male 327.4
GTEX-1F75B-0726-SM-7PC3R 50-59 years, male 327.2
GTEX-ZXG5-2126-SM-59HKD 60-69 years, male 326.2
GTEX-1C6VR-0126-SM-7RHGB 60-69 years, male 325.6
GTEX-1477Z-0326-SM-7IGLA 60-69 years, male 325.0
GTEX-1QCLY-0226-SM-EWRNH 30-39 years, male 324.9
GTEX-131XF-2626-SM-5EQ6K 60-69 years, male 324.7
GTEX-16AAH-0626-SM-793C9 50-59 years, male 324.6
GTEX-1HSMQ-2626-SM-A9SML 50-59 years, male 324.5
GTEX-13PDP-0726-SM-5L3HP 60-69 years, male 324.3
GTEX-139TU-0726-SM-5L3EK 60-69 years, male 324.1
GTEX-WXYG-2026-SM-4E3IY 50-59 years, female 323.8
GTEX-1PPGY-1626-SM-EVYBL 60-69 years, male 323.0
GTEX-ZVP2-0326-SM-57WBP 50-59 years, male 322.8
GTEX-1HCVE-2726-SM-CL54F 50-59 years, male 322.6
GTEX-1CAV2-0126-SM-7IGN7 40-49 years, female 322.5
GTEX-ZDYS-2426-SM-4WKGI 50-59 years, male 320.7
GTEX-11WQC-1826-SM-5GU59 60-69 years, male 320.1
GTEX-1LSVX-2526-SM-DIPEU 60-69 years, male 320.1
GTEX-1AX8Z-0726-SM-73KTS 60-69 years, male 319.9
GTEX-17HHE-1326-SM-7EWDZ 50-59 years, male 319.6
GTEX-131XW-0626-SM-5PNVD 50-59 years, female 319.0
GTEX-15CHQ-0326-SM-69LQD 60-69 years, male 319.0
GTEX-15RJ7-2126-SM-6PAMD 40-49 years, male 319.0
GTEX-1EU9M-1426-SM-793AI 60-69 years, male 318.6
GTEX-14E1K-2026-SM-7DUEI 50-59 years, male 318.3
GTEX-X4EP-0626-SM-3P621 60-69 years, female 318.1
GTEX-11P82-1426-SM-DTXFY 20-29 years, male 318.0
GTEX-1JMQK-1226-SM-D4P2S 60-69 years, male 318.0
GTEX-XBEC-0726-SM-4QARZ 50-59 years, male 317.8
GTEX-ZPU1-1126-SM-4YCF3 40-49 years, male 317.4
GTEX-ZT9W-1126-SM-57WDR 50-59 years, male 317.4
GTEX-1RAZQ-1326-SM-E9TK6 30-39 years, male 316.4
GTEX-X3Y1-2026-SM-3P5YM 40-49 years, male 316.3
GTEX-1CB4E-0926-SM-7EPHT 60-69 years, male 314.7
GTEX-1HCUA-0826-SM-ADEHM 50-59 years, female 313.7
GTEX-1POEN-2326-SM-E9J2L 30-39 years, female 313.3
GTEX-1314G-1326-SM-5BC6E 30-39 years, male 312.3
GTEX-111FC-2526-SM-5GZXU 60-69 years, male 311.7
GTEX-12126-0826-SM-5FQTZ 20-29 years, male 311.7
GTEX-X5EB-1926-SM-4E3IW 40-49 years, male 311.5
GTEX-1F88F-0126-SM-9WYSZ 60-69 years, female 310.3
GTEX-1GZ4H-0526-SM-9KNU9 50-59 years, female 310.1
GTEX-1CAMS-2226-SM-7PBXQ 40-49 years, female 309.7
GTEX-WHWD-1826-SM-3LK6I 50-59 years, male 309.4
GTEX-1GMR2-0826-SM-7PC3V 50-59 years, male 308.9
GTEX-WYBS-0626-SM-3NMAS 60-69 years, female 308.2
GTEX-WRHU-2826-SM-3MJG8 50-59 years, female 308.1
GTEX-145LS-0626-SM-7EPG7 60-69 years, female 307.4
GTEX-13OW6-2726-SM-5J2OE 50-59 years, male 307.1
GTEX-1C2JI-1026-SM-73KY1 50-59 years, male 306.9
GTEX-1HB9E-0126-SM-CM2S5 50-59 years, male 306.5
GTEX-1EX96-1026-SM-7MKG2 50-59 years, male 306.4
GTEX-1B8SF-0126-SM-7DUG3 60-69 years, male 306.2
GTEX-1RAZS-2526-SM-E6CHT 50-59 years, male 305.9
GTEX-YEC3-1326-SM-DO92X 50-59 years, male 305.8
GTEX-1GZ2Q-0126-SM-9WG6M 40-49 years, male 305.5
GTEX-12ZZZ-0726-SM-5GCNZ 60-69 years, male 305.4
GTEX-1B8KE-1126-SM-7EPHI 50-59 years, male 305.3
GTEX-1EKGG-0626-SM-7DUGJ 60-69 years, male 304.8
GTEX-Y114-2126-SM-4TT8B 50-59 years, female 304.4
GTEX-1C64N-2626-SM-7PC2N 50-59 years, male 303.8
GTEX-Y8E4-2026-SM-5IFJB 40-49 years, male 303.7
GTEX-1LSNL-2726-SM-E9TKJ 50-59 years, male 303.5
GTEX-1GN2E-0226-SM-9WG6K 60-69 years, male 303.2
GTEX-1AX9I-2226-SM-73KUO 60-69 years, male 302.3
GTEX-17KNJ-2126-SM-718AM 50-59 years, male 302.1
GTEX-13JVG-0726-SM-5KM16 60-69 years, male 301.3
GTEX-1IDJV-0126-SM-COH3Y 60-69 years, male 301.0
GTEX-11DYG-1526-SM-5A5JS 60-69 years, male 300.9
GTEX-131XH-0126-SM-5LZUY 50-59 years, male 300.6
GTEX-1GL5R-1326-SM-7RHHF 50-59 years, male 299.2
GTEX-1MCC2-1826-SM-DIPEX 30-39 years, female 299.1
GTEX-1GN1U-0626-SM-9MQL9 50-59 years, female 299.0
GTEX-18QFQ-1826-SM-72D52 30-39 years, male 298.0
GTEX-1GTWX-2026-SM-9YFLM 60-69 years, male 297.2
GTEX-12WSF-1626-SM-7KUG5 70-79 years, male 297.0
GTEX-14PHY-1226-SM-5ZZWK 60-69 years, female 296.9
GTEX-1JN6P-2926-SM-CL54D 60-69 years, male 296.7
GTEX-14DAQ-0626-SM-793DS 60-69 years, female 296.3
GTEX-12ZZX-2426-SM-5GCOE 40-49 years, female 296.2
GTEX-1IDJE-1426-SM-ADEIW 50-59 years, female 295.8
GTEX-1GZ4I-2626-SM-9KNU3 50-59 years, male 294.8
GTEX-1IDJD-2326-SM-ACKWX 30-39 years, male 294.5
GTEX-WFG7-2026-SM-5SI7P 20-29 years, male 293.1
GTEX-WHSB-1326-SM-3LK6W 50-59 years, male 292.9
GTEX-ZU9S-1826-SM-5NQ9E 30-39 years, male 292.8
GTEX-1HCU8-2526-SM-CE6RX 60-69 years, female 292.0
GTEX-18D9U-0126-SM-731BM 40-49 years, male 291.6
GTEX-Y9LG-1126-SM-4VBQ7 30-39 years, male 291.4
GTEX-ZTX8-1326-SM-4YCEL 20-29 years, male 290.3
GTEX-18A7A-0126-SM-731AH 50-59 years, female 289.0
GTEX-1F75A-0726-SM-7RHHD 50-59 years, male 288.9
GTEX-1S3DN-2126-SM-E9TIN 50-59 years, male 288.5
GTEX-1IL2V-1926-SM-B2LW8 70-79 years, male 288.2
GTEX-1JMQJ-0826-SM-CNPP7 50-59 years, male 288.0
GTEX-14PJO-2526-SM-6AJBQ 60-69 years, male 287.3
GTEX-11NUK-2726-SM-5A5MC 50-59 years, male 287.2
GTEX-1JJEA-1826-SM-ARU8P 60-69 years, male 287.1
GTEX-1F52S-2926-SM-7MKGA 60-69 years, female 286.7
GTEX-1K9T9-1526-SM-DIPFR 50-59 years, female 286.6
GTEX-12WSH-1526-SM-5BC5W 50-59 years, male 285.1
GTEX-145MN-1526-SM-5SI9T 30-39 years, male 285.1
GTEX-1C475-1326-SM-7SB73 40-49 years, female 285.0
GTEX-14PII-0726-SM-6EU2B 60-69 years, male 284.8
GTEX-ZDTT-0426-SM-4WKFL 60-69 years, male 283.4
GTEX-111CU-1126-SM-5EGIM 50-59 years, male 283.2
GTEX-13PL6-1126-SM-5L3IE 40-49 years, female 283.2
GTEX-1AYD5-2626-SM-7PBXY 50-59 years, male 280.8
GTEX-1IE54-1126-SM-A9G2Z 40-49 years, female 280.5
GTEX-1KWVE-1026-SM-D3L9O 30-39 years, male 279.2
GTEX-13OW5-2326-SM-5L3HO 60-69 years, male 278.1
GTEX-ZYFC-0426-SM-5GICQ 50-59 years, male 278.0
GTEX-15RJE-2826-SM-7KUM9 40-49 years, male 277.5
GTEX-Y3I4-1726-SM-4TT89 50-59 years, male 277.4
GTEX-14PK6-0226-SM-62LF5 70-79 years, female 276.8
GTEX-139YR-1026-SM-5LZYN 50-59 years, male 276.5
GTEX-1PIIG-2326-SM-DTXFR 30-39 years, male 276.0
GTEX-15CHR-1126-SM-7EWF4 50-59 years, male 275.6
GTEX-13OVK-1426-SM-6PAN7 40-49 years, male 270.5
GTEX-17JCI-2926-SM-7DUFF 60-69 years, female 270.0
GTEX-1GF9V-0826-SM-9KNUV 60-69 years, male 270.0
GTEX-1JMPY-0226-SM-CKZOK 30-39 years, male 269.7
GTEX-XBEW-1126-SM-4QARW 40-49 years, male 269.6
GTEX-1R9K4-2826-SM-DTX8F 60-69 years, male 269.5
GTEX-1LG7Z-1626-SM-CXKYR 30-39 years, male 269.2
GTEX-1CAMQ-1326-SM-7P8RV 40-49 years, male 268.2
GTEX-1EMGI-2326-SM-7PBYA 60-69 years, male 267.9
GTEX-1F6I4-2326-SM-7RHGL 60-69 years, male 266.2
GTEX-17F9Y-0126-SM-79OKX 70-79 years, female 265.9
GTEX-1LVAN-0626-SM-CNPOQ 50-59 years, female 265.7
GTEX-ZAK1-0626-SM-5HL8E 50-59 years, female 264.8
GTEX-13SLX-2226-SM-62LEP 50-59 years, female 264.4
GTEX-1PDJ9-1226-SM-EXUSX 20-29 years, male 262.9
GTEX-16MT8-2926-SM-7DUFO 60-69 years, female 261.3
GTEX-11NSD-0626-SM-5A5LU 20-29 years, male 260.8
GTEX-15FZZ-0526-SM-7KUGD 30-39 years, female 260.7
GTEX-11GSP-2326-SM-5HL63 60-69 years, female 260.3
GTEX-ZDTS-0826-SM-4WKHL 60-69 years, male 260.0
GTEX-1CB4F-1026-SM-7DUH1 60-69 years, male 259.9
GTEX-Y8LW-1526-SM-5IFHL 50-59 years, female 259.4
GTEX-1GPI6-1926-SM-9KNV7 60-69 years, male 255.3
GTEX-1192X-2726-SM-5N9DN 50-59 years, male 254.6
GTEX-11ZU8-0126-SM-5EQ58 60-69 years, male 254.0
GTEX-1212Z-0126-SM-59HK4 60-69 years, male 253.7
GTEX-1CAMR-1326-SM-7PC1F 20-29 years, male 251.4
GTEX-XPVG-2126-SM-4B667 50-59 years, male 250.4
GTEX-1JMQI-1726-SM-ARL93 50-59 years, male 250.4
GTEX-17HII-1426-SM-7EPGG 50-59 years, male 250.3
GTEX-1LBAC-0826-SM-CY8IJ 20-29 years, male 249.0
GTEX-18465-2826-SM-7LT9J 50-59 years, male 248.9
GTEX-1J8EW-2726-SM-CY8HR 60-69 years, female 248.3
GTEX-1C64O-1326-SM-7MGWR 60-69 years, male 247.2
GTEX-ZDXO-3126-SM-5IJDF 60-69 years, male 247.1
GTEX-11GS4-0226-SM-5HL77 60-69 years, male 245.4
GTEX-XQ3S-1426-SM-4BOPR 20-29 years, male 243.1
GTEX-11DXZ-2026-SM-5987S 50-59 years, male 242.5
GTEX-1GMRU-2126-SM-7P8RA 50-59 years, male 242.3
GTEX-1K2DA-1026-SM-CGQGF 50-59 years, male 242.0
GTEX-Y3IK-1626-SM-4YCF5 50-59 years, female 240.9
GTEX-17F97-2626-SM-7IGM5 50-59 years, male 239.7
GTEX-11PRG-0726-SM-5EGL1 50-59 years, male 239.6
GTEX-WI4N-2726-SM-3LK7Y 40-49 years, female 239.3
GTEX-1IY9M-2826-SM-ARU8H 60-69 years, male 238.8
GTEX-ZP4G-1426-SM-4WWCL 20-29 years, female 237.7
GTEX-WY7C-2126-SM-3NB2R 50-59 years, male 235.3
GTEX-WYVS-1626-SM-3NM9R 40-49 years, female 233.1
GTEX-16MTA-0926-SM-6M47Z 50-59 years, male 232.9
GTEX-1EWIQ-0326-SM-7DHMQ 70-79 years, female 232.0
GTEX-12ZZY-0726-SM-5EQ66 60-69 years, male 230.2
GTEX-1JKYN-0826-SM-ARU8S 30-39 years, male 229.1
GTEX-17F96-0126-SM-7EWDU 70-79 years, male 226.6
GTEX-ZC5H-1526-SM-5HL9Y 40-49 years, female 225.1
GTEX-1LSNM-0826-SM-DIPG8 50-59 years, male 224.8
GTEX-1HGF4-0126-SM-CNPPX 60-69 years, male 221.6
GTEX-1KAFJ-0126-SM-DIPEK 50-59 years, male 216.5
GTEX-X585-2426-SM-46MW2 50-59 years, male 213.0
GTEX-ZTSS-1426-SM-5985P 40-49 years, male 210.5
GTEX-WHPG-2626-SM-3NMBR 50-59 years, male 204.5
GTEX-147F4-0726-SM-5TDDD 50-59 years, male 202.1
GTEX-XOT4-0626-SM-4B66L 60-69 years, female 194.9
GTEX-Y111-0626-SM-4SOIT 50-59 years, male 194.4
GTEX-ZAB4-2126-SM-5HL8U 40-49 years, male 190.7
GTEX-1RMOY-1326-SM-E9TIH 50-59 years, male 190.1
GTEX-1JMLX-0626-SM-ARL8T 50-59 years, male 171.5
Show allShow less
Skin - Sun Exposed (Lower leg)
Average nTPM: 332.1
Samples: 701

Max nTPM: 912.4
Min nTPM: 162.5
Std nTPM: 86.3
Median nTPM: 316.4
GTEX-POMQ-2226-SM-2I5FK 20-29 years, female 912.4
GTEX-X4XY-0226-SM-4E3IZ 60-69 years, male 816.1
GTEX-1HSMO-0126-SM-CL547 60-69 years, male 757.4
GTEX-14E6E-1826-SM-5S2R7 30-39 years, male 710.8
GTEX-1A3MW-0126-SM-73KXX 60-69 years, female 696.4
GTEX-1R9K4-0126-SM-DTX9X 60-69 years, male 676.9
GTEX-O5YT-0126-SM-48TBW 20-29 years, male 667.2
GTEX-183WM-0126-SM-7LTAB 70-79 years, female 651.2
GTEX-VJWN-0126-SM-3GIK7 50-59 years, female 614.6
GTEX-144FL-0126-SM-5TDC8 50-59 years, male 605.3
GTEX-1I1GU-2226-SM-CGQFA 40-49 years, male 602.5
GTEX-1QP67-1626-SM-EAZ3X 40-49 years, female 597.8
GTEX-14E6C-0126-SM-5RQIP 40-49 years, male 593.4
GTEX-15EOM-0126-SM-7KUGG 20-29 years, female 589.6
GTEX-146FH-0126-SM-5QGPP 50-59 years, female 574.8
GTEX-14XAO-2326-SM-6EU1B 60-69 years, female 568.9
GTEX-11H98-0126-SM-5EGHG 50-59 years, male 562.3
GTEX-Q2AH-1626-SM-3GAF8 40-49 years, male 553.3
GTEX-QCQG-1726-SM-3GIJ9 50-59 years, female 551.5
GTEX-145LS-0126-SM-5QGP1 60-69 years, female 536.2
GTEX-1C6VQ-0126-SM-7P8RI 50-59 years, male 531.5
GTEX-15UF6-0826-SM-6PALJ 70-79 years, female 531.3
GTEX-WFG8-2226-SM-3GIL9 20-29 years, male 526.9
GTEX-1QW4Y-1526-SM-EAZ3Z 30-39 years, male 524.6
GTEX-1A3MX-0126-SM-731BR 60-69 years, male 513.7
GTEX-VJYA-1126-SM-3GIJU 60-69 years, male 508.5
GTEX-OIZG-0726-SM-33HBL 50-59 years, male 505.5
GTEX-13X6I-0626-SM-5QGP9 60-69 years, male 498.1
GTEX-1AX8Z-0126-SM-7DHM6 60-69 years, male 497.4
GTEX-1122O-2126-SM-5EGIR 60-69 years, female 497.3
GTEX-11O72-0126-SM-59887 40-49 years, male 490.5
GTEX-QDVN-2026-SM-3GAEP 50-59 years, male 490.3
GTEX-1RLM8-2326-SM-EWRN4 50-59 years, male 489.6
GTEX-146FR-1326-SM-E9J48 60-69 years, female 488.8
GTEX-15G19-0126-SM-6PANQ 60-69 years, male 488.7
GTEX-147F3-0526-SM-5SI98 50-59 years, female 481.5
GTEX-13U4I-0126-SM-5LU38 40-49 years, female 481.0
GTEX-13NYS-0126-SM-5MR3W 60-69 years, male 480.3
GTEX-13W3W-2426-SM-5LU5B 60-69 years, female 478.8
GTEX-11WQK-0526-SM-5EQLD 50-59 years, male 477.9
GTEX-145MO-0326-SM-5Q5B3 60-69 years, male 476.1
GTEX-P44H-0226-SM-2XCEU 40-49 years, male 475.7
GTEX-TMMY-0226-SM-33HBA 40-49 years, female 474.1
GTEX-13113-5016-SM-7EPIP 60-69 years, female 473.2
GTEX-1ICLZ-0126-SM-CKZPO 60-69 years, male 471.0
GTEX-ZVZO-0126-SM-5A5L9 40-49 years, male 470.6
GTEX-TSE9-0126-SM-3DB83 60-69 years, female 469.5
GTEX-1JMOU-1526-SM-CL54I 60-69 years, female 469.0
GTEX-SJXC-0126-SM-2XCFF 60-69 years, male 467.9
GTEX-15SB6-1726-SM-6PAME 50-59 years, female 467.8
GTEX-14A5I-0126-SM-5TDEA 50-59 years, female 467.0
GTEX-12WSN-5019-SM-79OM6 40-49 years, male 465.1
GTEX-1PPH7-2326-SM-EVYB8 40-49 years, male 462.9
GTEX-139UW-2826-SM-5L3E7 60-69 years, male 454.0
GTEX-14BIM-0226-SM-7IGLD 60-69 years, female 452.4
GTEX-1F75I-0326-SM-9YFLU 40-49 years, male 451.8
GTEX-14BIL-0126-SM-5SI92 50-59 years, male 451.6
GTEX-14BMV-0126-SM-5S2PO 50-59 years, male 449.2
GTEX-1K2DU-2326-SM-E9TIV 20-29 years, male 448.7
GTEX-S32W-2126-SM-2XCB1 50-59 years, female 446.4
GTEX-RVPV-0126-SM-EAZAW 60-69 years, male 446.4
GTEX-131XF-5016-SM-7MGWE 60-69 years, male 446.3
GTEX-OIZH-0126-SM-2HMIS 50-59 years, male 445.8
GTEX-11DZ1-0126-SM-5985Q 50-59 years, male 442.9
GTEX-1B8SG-0126-SM-73KZ3 50-59 years, male 442.5
GTEX-W5X1-3026-SM-EAZAX 40-49 years, female 439.1
GTEX-U8XE-0326-SM-3DB8P 30-39 years, male 438.7
GTEX-1HBPN-0226-SM-9YFM1 50-59 years, male 436.7
GTEX-1497J-2426-SM-7IGNX 60-69 years, male 434.7
GTEX-R3RS-0126-SM-3GIJL 40-49 years, female 433.8
GTEX-ZYT6-0226-SM-5NQ6T 30-39 years, male 433.5
GTEX-S7SE-0126-SM-2XCD5 50-59 years, male 429.3
GTEX-145LT-1726-SM-5QGP3 40-49 years, male 429.2
GTEX-1HB9E-0226-SM-E9U4R 50-59 years, male 429.0
GTEX-13NZ8-0826-SM-5MR3I 60-69 years, female 426.0
GTEX-SN8G-0126-SM-32PLI 50-59 years, female 425.8
GTEX-131XE-2326-SM-5PNZ2 50-59 years, male 425.5
GTEX-14C5O-0126-SM-5SI6N 60-69 years, male 424.0
GTEX-13NYB-2526-SM-5K7Z6 40-49 years, male 422.8
GTEX-1N2EF-0226-SM-EYYXB 60-69 years, male 422.4
GTEX-12WSA-0226-SM-5BC5V 60-69 years, male 420.2
GTEX-1R9PO-2126-SM-E9J4O 60-69 years, female 420.1
GTEX-1CB4J-0626-SM-7DHMP 60-69 years, male 419.7
GTEX-15D1Q-0126-SM-7KUG6 40-49 years, male 418.3
GTEX-13PVR-2326-SM-5QGR1 60-69 years, female 416.7
GTEX-1HCUA-2426-SM-ADEIS 50-59 years, female 416.3
GTEX-ZVE2-0226-SM-59HJB 50-59 years, male 414.0
GTEX-15UKP-0426-SM-7KUFQ 20-29 years, male 412.9
GTEX-RWS6-2026-SM-2XCB5 60-69 years, female 412.2
GTEX-14JG6-2226-SM-6EU2G 30-39 years, female 411.5
GTEX-13N2G-2626-SM-5J1OT 60-69 years, male 411.1
GTEX-11EM3-2426-SM-59861 20-29 years, female 409.6
GTEX-1399T-2826-SM-5KLYZ 60-69 years, male 408.2
GTEX-PWO3-1526-SM-48TCM 60-69 years, female 408.0
GTEX-11ZU8-2526-SM-5EQKI 60-69 years, male 407.5
GTEX-12WSE-0526-SM-793B2 20-29 years, male 407.4
GTEX-OOBK-0126-SM-2YUND 40-49 years, male 406.4
GTEX-14PN4-0126-SM-6EU2V 50-59 years, male 405.7
GTEX-1GF9U-2126-SM-7SB7L 40-49 years, female 405.6
GTEX-11TUW-2726-SM-E9J4M 60-69 years, male 403.8
GTEX-1AX9K-2326-SM-73KWU 50-59 years, male 403.6
GTEX-1S5ZA-0126-SM-EVYCV 20-29 years, male 402.3
GTEX-13IVO-0126-SM-5J1NG 70-79 years, male 402.2
GTEX-ZU9S-0226-SM-5E441 30-39 years, male 401.8
GTEX-11TT1-2526-SM-5EGIB 20-29 years, male 401.7
GTEX-13CF3-2426-SM-5IFGX 60-69 years, female 401.6
GTEX-148VJ-0126-SM-5TDDN 70-79 years, male 401.6
GTEX-Q2AG-0126-SM-33HBV 40-49 years, female 401.2
GTEX-13OVH-0126-SM-5MR4B 70-79 years, male 400.6
GTEX-17MF6-0126-SM-7LG4F 40-49 years, male 400.6
GTEX-1R46S-0626-SM-E9J41 60-69 years, female 400.0
GTEX-16XZY-2126-SM-79OK1 70-79 years, male 399.9
GTEX-16BQI-0226-SM-7KUEX 30-39 years, female 397.4
GTEX-1LH75-2426-SM-E9TJE 50-59 years, female 396.6
GTEX-13O1R-0126-SM-5L3EH 60-69 years, male 396.2
GTEX-1HCU7-0226-SM-CL545 50-59 years, male 395.2
GTEX-X62O-0126-SM-4E3JN 50-59 years, male 395.1
GTEX-15EU6-0426-SM-6PAN5 50-59 years, male 394.9
GTEX-13NYC-0326-SM-E9J4S 60-69 years, male 394.9
GTEX-1JK1U-2026-SM-CM2RZ 60-69 years, male 394.4
GTEX-1L5NE-2526-SM-E6CIE 50-59 years, male 394.3
GTEX-U4B1-1826-SM-4DXSU 40-49 years, male 393.4
GTEX-ZDYS-2026-SM-5HL5L 50-59 years, male 393.3
GTEX-13X6H-2126-SM-7EWD5 50-59 years, female 391.0
GTEX-13RTJ-2426-SM-5S2Q2 60-69 years, male 390.8
GTEX-1GPI7-0126-SM-9MQL8 20-29 years, male 389.8
GTEX-RWSA-0126-SM-2XCBB 40-49 years, male 389.7
GTEX-11EI6-0126-SM-5985R 60-69 years, male 387.7
GTEX-12WSL-2526-SM-5GCNJ 50-59 years, male 387.4
GTEX-1NHNU-1026-SM-E9J2A 50-59 years, male 387.4
GTEX-P4PP-0126-SM-3LK69 30-39 years, female 387.2
GTEX-1LC47-0326-SM-E9TJP 60-69 years, male 387.2
GTEX-Y5V6-2426-SM-4VDSB 60-69 years, male 386.6
GTEX-T2YK-0526-SM-32QPJ 50-59 years, male 386.5
GTEX-13W46-0226-SM-5SIAG 50-59 years, male 385.9
GTEX-1H23P-0126-SM-ADEJ3 60-69 years, male 385.4
GTEX-1IKJJ-0126-SM-CNPQB 60-69 years, male 385.1
GTEX-ZYY3-0126-SM-5GZY5 60-69 years, female 384.9
GTEX-13OVI-1426-SM-5L3EY 60-69 years, female 384.8
GTEX-139D8-0226-SM-5KLZO 30-39 years, female 384.4
GTEX-PLZ4-0126-SM-5SI8O 50-59 years, female 384.3
GTEX-1I1GR-0126-SM-CL55F 60-69 years, male 382.4
GTEX-1211K-2026-SM-5EQ4Z 60-69 years, female 381.5
GTEX-WVJS-0126-SM-4MVOT 50-59 years, male 381.4
GTEX-14BIN-0626-SM-793DP 50-59 years, female 380.5
GTEX-1JKYN-1326-SM-CGQG9 30-39 years, male 380.3
GTEX-ZDTT-2726-SM-4WKF8 60-69 years, male 379.7
GTEX-148VI-1626-SM-5SI6E 60-69 years, female 379.0
GTEX-T8EM-1026-SM-3DB7M 40-49 years, male 378.8
GTEX-1H1ZS-0426-SM-9WG6G 70-79 years, male 378.3
GTEX-PLZ6-1426-SM-DKPOT 30-39 years, male 378.3
GTEX-1A3MV-1926-SM-718BT 30-39 years, male 377.5
GTEX-1MJK2-0426-SM-DTXE5 50-59 years, male 377.2
GTEX-1J8Q2-0526-SM-CM2RW 60-69 years, male 376.6
GTEX-SE5C-1626-SM-2XCE3 40-49 years, female 376.5
GTEX-YJ8A-0426-SM-5IFID 20-29 years, male 376.2
GTEX-18A67-0126-SM-7LG5P 50-59 years, male 375.4
GTEX-1JN76-0126-SM-CNPPE 20-29 years, female 375.4
GTEX-13QJ3-0326-SM-5S2RA 50-59 years, male 375.2
GTEX-1GZ4H-1726-SM-7PBZJ 50-59 years, female 375.0
GTEX-1QP2A-0126-SM-E9J43 50-59 years, male 374.9
GTEX-145MF-0626-SM-5LUAI 50-59 years, male 374.6
GTEX-1I1GT-0626-SM-CGQER 60-69 years, female 374.4
GTEX-1AMFI-2026-SM-731BH 50-59 years, female 374.2
GTEX-1CAMS-0426-SM-7P8T2 40-49 years, female 374.2
GTEX-QESD-1426-SM-2S1R9 20-29 years, male 373.4
GTEX-1H3VE-0326-SM-9YFLH 40-49 years, male 373.3
GTEX-UPJH-0326-SM-3GADU 50-59 years, male 373.1
GTEX-11WQC-2526-SM-5CVLE 60-69 years, male 372.6
GTEX-XMD2-0126-SM-4YCDU 60-69 years, female 372.3
GTEX-11LCK-1026-SM-5A5KB 30-39 years, male 371.1
GTEX-14A6H-0126-SM-5QGPK 30-39 years, male 371.0
GTEX-11EQ9-2426-SM-5HL5T 30-39 years, male 370.2
GTEX-17F96-1626-SM-7DUFL 70-79 years, male 369.8
GTEX-Z93S-0126-SM-5HL7M 50-59 years, male 369.6
GTEX-131XW-0426-SM-5LZWP 50-59 years, female 369.4
GTEX-1HSGN-0226-SM-CGQFV 40-49 years, female 369.2
GTEX-13VXT-0126-SM-5LU4I 20-29 years, female 369.0
GTEX-1C475-1826-SM-73KWA 40-49 years, female 369.0
GTEX-13RTK-1426-SM-5QGQJ 20-29 years, male 368.7
GTEX-1IDFM-0126-SM-COH2V 60-69 years, male 367.9
GTEX-ZTPG-0326-SM-5O9AX 20-29 years, female 367.8
GTEX-ZVZP-2426-SM-59HKJ 50-59 years, male 366.5
GTEX-1J8QM-2126-SM-CYPSJ 60-69 years, female 366.4
GTEX-1H4P4-0726-SM-9YFLR 50-59 years, male 365.5
GTEX-1CB4H-0226-SM-7PBXM 60-69 years, female 364.7
GTEX-V1D1-2226-SM-3NMAX 50-59 years, male 364.5
GTEX-13YAN-0326-SM-5O9DF 60-69 years, male 364.4
GTEX-12696-2426-SM-5EQ6H 60-69 years, male 364.3
GTEX-1PDJ9-0326-SM-DTX95 20-29 years, male 362.0
GTEX-1192W-2626-SM-5Q5AF 60-69 years, male 361.5
GTEX-1M4P7-0226-SM-DIPEV 60-69 years, male 361.1
GTEX-14DAR-2026-SM-5S2O3 50-59 years, male 360.8
GTEX-Y8LW-1826-SM-5S2MV 50-59 years, female 360.8
GTEX-1JMQK-0226-SM-CL543 60-69 years, male 360.8
GTEX-1JJEA-0326-SM-CNPOT 60-69 years, male 360.4
GTEX-1OJC4-0126-SM-E9J2E 50-59 years, female 359.3
GTEX-1KD4Q-0226-SM-E9TJ9 40-49 years, male 359.2
GTEX-Z9EW-1626-SM-5CVMN 40-49 years, male 358.9
GTEX-1PIGE-0126-SM-EVYBJ 20-29 years, male 358.6
GTEX-13CF2-2526-SM-5LZYX 60-69 years, male 358.2
GTEX-17HII-0226-SM-7LG4E 50-59 years, male 357.8
GTEX-14ABY-0226-SM-5TDCQ 50-59 years, male 357.7
GTEX-1F7RK-0126-SM-7PC2S 20-29 years, female 357.7
GTEX-14PN3-2426-SM-6LLHS 60-69 years, female 357.6
GTEX-U3ZH-2026-SM-3DB78 30-39 years, male 357.6
GTEX-1I4MK-2226-SM-ACKWD 50-59 years, female 356.7
GTEX-13OVJ-0126-SM-5KM36 50-59 years, female 355.9
GTEX-T5JW-1626-SM-3GADZ 20-29 years, female 355.9
GTEX-1HSMQ-1226-SM-CGQFX 50-59 years, male 355.9
GTEX-ZPIC-1726-SM-DHXIU 40-49 years, female 355.7
GTEX-1B97I-1626-SM-73KYO 40-49 years, male 354.3
GTEX-14E6D-0126-SM-62LDV 50-59 years, male 354.2
GTEX-UJHI-1526-SM-3DB99 50-59 years, female 353.7
GTEX-1MUQO-0126-SM-EAZ58 60-69 years, male 353.2
GTEX-1F75A-0126-SM-7RHGM 50-59 years, male 352.8
GTEX-1JMPZ-0226-SM-CNPP1 30-39 years, male 352.7
GTEX-183FY-0126-SM-7LT9P 20-29 years, male 352.4
GTEX-17KNJ-2326-SM-7DHLQ 50-59 years, male 352.1
GTEX-14PHW-0126-SM-6LLJI 60-69 years, female 351.8
GTEX-14LLW-0126-SM-6LLIO 70-79 years, female 351.3
GTEX-1ICG6-2526-SM-CGQFZ 70-79 years, female 351.0
GTEX-1IE54-0126-SM-CMKHW 40-49 years, female 351.0
GTEX-1R9PM-2026-SM-E76OY 20-29 years, male 350.8
GTEX-ZVT4-0126-SM-DTXFN 50-59 years, female 350.5
GTEX-1AMEY-1326-SM-73KYK 30-39 years, female 349.7
GTEX-11VI4-1726-SM-5CVLH 40-49 years, female 349.6
GTEX-1IDJU-2626-SM-CM2RT 60-69 years, female 349.3
GTEX-13G51-2526-SM-5LZYK 60-69 years, male 349.2
GTEX-13SLX-0526-SM-5S2ON 50-59 years, female 348.5
GTEX-1R7EU-0226-SM-EVR4G 60-69 years, male 348.2
GTEX-145LU-0126-SM-5TDCB 50-59 years, male 348.1
GTEX-1K2DA-1826-SM-CGQGT 50-59 years, male 347.6
GTEX-1F48J-0126-SM-7P8TT 50-59 years, female 346.6
GTEX-1JJ6O-0126-SM-E6CI8 60-69 years, male 346.6
GTEX-1S82Z-0826-SM-E6CHY 30-39 years, female 346.5
GTEX-ZAJG-0126-SM-5HL94 50-59 years, female 346.1
GTEX-ZV6S-2326-SM-4YCEY 40-49 years, female 346.1
GTEX-X261-0126-SM-3NMD6 50-59 years, male 345.8
GTEX-OXRO-0126-SM-2YUN4 60-69 years, female 345.3
GTEX-16NGA-1726-SM-731B4 40-49 years, female 345.0
GTEX-ZVT2-2526-SM-51MT1 50-59 years, female 344.8
GTEX-1I1GP-2226-SM-CGQFK 50-59 years, male 344.7
GTEX-1K9T9-0126-SM-EVYCF 50-59 years, female 343.7
GTEX-1GF9X-2026-SM-7PC3A 40-49 years, female 343.6
GTEX-1B8KE-2126-SM-73KYX 50-59 years, male 343.3
GTEX-14LZ3-0226-SM-62LET 60-69 years, female 342.9
GTEX-111VG-2426-SM-5GZXD 60-69 years, male 342.3
GTEX-QDVJ-1726-SM-2I5FX 50-59 years, male 342.3
GTEX-14PJM-0226-SM-62LF1 50-59 years, female 342.2
GTEX-1GN1W-0526-SM-9MQJQ 50-59 years, female 342.1
GTEX-117YW-2626-SM-5GZZH 50-59 years, male 342.0
GTEX-11ZUS-0626-SM-59885 30-39 years, male 341.6
GTEX-11DXW-0226-SM-5H122 40-49 years, male 341.4
GTEX-1LGOU-2026-SM-DIPFF 20-29 years, female 341.4
GTEX-1QMI2-0226-SM-EVYBX 60-69 years, male 341.2
GTEX-1I19N-0326-SM-ACKVX 70-79 years, male 340.7
GTEX-1B8SF-1426-SM-7DUGL 60-69 years, male 340.6
GTEX-11OF3-2626-SM-5GU7F 60-69 years, male 340.3
GTEX-XAJ8-0826-SM-47JY6 40-49 years, male 339.9
GTEX-1R7EV-2426-SM-EVYBG 40-49 years, male 339.9
GTEX-R45C-0126-SM-EAZ2R 60-69 years, female 339.0
GTEX-13N11-2526-SM-5K7UE 50-59 years, female 338.6
GTEX-1B996-0226-SM-7RHGO 60-69 years, male 338.6
GTEX-1IDJH-0326-SM-A9SLQ 70-79 years, male 338.4
GTEX-11GS4-2726-SM-5A5LE 60-69 years, male 338.1
GTEX-117YX-2326-SM-5H12W 50-59 years, male 337.7
GTEX-SSA3-0126-SM-32QPU 60-69 years, male 337.4
GTEX-1F52S-0126-SM-9MQJU 60-69 years, female 337.1
GTEX-1C64N-0126-SM-793D7 50-59 years, male 336.4
GTEX-17EVQ-0226-SM-7LG4P 70-79 years, male 336.3
GTEX-1F5PK-2426-SM-7RHHY 50-59 years, male 336.3
GTEX-X88G-0126-SM-47JZ3 30-39 years, male 335.5
GTEX-1HUB1-0426-SM-E9U4U 60-69 years, male 334.3
GTEX-PWCY-1826-SM-DHXIZ 20-29 years, female 334.2
GTEX-144GN-2326-SM-5LU4F 50-59 years, male 333.9
GTEX-13N1W-0126-SM-5K7VT 70-79 years, male 333.3
GTEX-1J8Q3-1626-SM-CMKGC 60-69 years, male 333.3
GTEX-1MA7W-2026-SM-E9TJ6 20-29 years, female 333.3
GTEX-13OVK-2026-SM-7KUEO 40-49 years, male 332.9
GTEX-1GMR3-1926-SM-9KNUZ 40-49 years, male 332.8
GTEX-1OFPY-2426-SM-DTXEJ 60-69 years, male 332.7
GTEX-13D11-2426-SM-5KM1V 50-59 years, female 332.5
GTEX-1IGQW-0126-SM-COH42 60-69 years, male 331.8
GTEX-14BMU-2226-SM-5TDE9 20-29 years, female 331.6
GTEX-14753-0426-SM-5NQAM 60-69 years, male 331.4
GTEX-13NZB-2526-SM-5J1OM 30-39 years, male 331.2
GTEX-1CB4E-2226-SM-793DC 60-69 years, male 331.0
GTEX-1IL2V-0126-SM-CM2TX 70-79 years, male 330.7
GTEX-TML8-1926-SM-32QOS 40-49 years, female 329.4
GTEX-1H1DE-2126-SM-9WG6R 20-29 years, male 329.2
GTEX-1PWST-0226-SM-E76QJ 70-79 years, male 328.9
GTEX-13FHO-0226-SM-5IFGY 60-69 years, male 328.8
GTEX-1212Z-2526-SM-5EGKP 60-69 years, male 328.0
GTEX-1NV5F-0226-SM-E8VNY 60-69 years, female 327.7
GTEX-17JCI-0126-SM-7LG5G 60-69 years, female 327.5
GTEX-ZZ64-1726-SM-5GZYB 20-29 years, male 327.0
GTEX-1POEN-0126-SM-EYYXJ 30-39 years, female 326.5
GTEX-15ETS-0126-SM-7KUMW 40-49 years, female 326.2
GTEX-1E2YA-0126-SM-9KNUC 50-59 years, male 326.2
GTEX-111FC-0126-SM-5N9DL 60-69 years, male 326.0
GTEX-147F4-0226-SM-5QGPW 50-59 years, male 326.0
GTEX-RUSQ-1526-SM-2TF62 50-59 years, male 326.0
GTEX-1H1DG-0126-SM-9WYU2 70-79 years, male 325.8
GTEX-18D9A-1926-SM-7LG6P 30-39 years, female 325.7
GTEX-139T4-0226-SM-5HL5S 50-59 years, female 325.6
GTEX-1RB15-2126-SM-E9TIM 60-69 years, male 325.3
GTEX-145MI-0526-SM-5O9A8 60-69 years, female 325.1
GTEX-14PJ3-1826-SM-62LEX 50-59 years, male 324.7
GTEX-1H3NZ-0126-SM-ACKX7 60-69 years, male 324.5
GTEX-14A5H-0426-SM-5QGQF 60-69 years, male 324.0
GTEX-1I1CD-0126-SM-CM2TK 60-69 years, female 324.0
GTEX-13FH7-2026-SM-E9J4I 50-59 years, female 323.8
GTEX-15DDE-0126-SM-6LPKH 50-59 years, female 323.5
GTEX-1GTWX-0126-SM-9YFLK 60-69 years, male 323.5
GTEX-11DXX-2426-SM-5GZZW 60-69 years, female 323.4
GTEX-18465-0126-SM-731BN 50-59 years, male 323.2
GTEX-WI4N-1026-SM-3LK7N 40-49 years, female 323.0
GTEX-NPJ8-0126-SM-2YUNR 40-49 years, male 322.8
GTEX-1HFI7-1826-SM-ACKXH 50-59 years, female 322.8
GTEX-1LGRB-2526-SM-CNPPQ 50-59 years, female 322.2
GTEX-1N2DV-0226-SM-E6CJ6 40-49 years, male 322.1
GTEX-12WSG-2826-SM-E9J4H 50-59 years, female 321.7
GTEX-SNMC-1226-SM-2XCFP 20-29 years, male 321.6
GTEX-ZWKS-0126-SM-5SIAA 30-39 years, male 321.6
GTEX-11TTK-0126-SM-5987B 60-69 years, female 321.5
GTEX-1N2DW-0226-SM-E9TK2 50-59 years, male 321.3
GTEX-14PK6-1926-SM-6ETZU 70-79 years, female 321.1
GTEX-ZUA1-0126-SM-5GU76 40-49 years, male 321.1
GTEX-ZQUD-1426-SM-57WER 30-39 years, male 321.0
GTEX-113IC-0126-SM-5HL6T 60-69 years, male 320.8
GTEX-13S7M-0126-SM-5SI6A 60-69 years, female 320.8
GTEX-15SHW-0326-SM-6PAML 60-69 years, male 320.3
GTEX-16XZZ-0126-SM-793DV 60-69 years, male 320.2
GTEX-13RTL-0126-SM-7LG5S 40-49 years, male 320.0
GTEX-1F5PL-0326-SM-7P8PQ 40-49 years, female 319.9
GTEX-1F6RS-0126-SM-9MQKZ 60-69 years, female 319.6
GTEX-11XUK-2026-SM-5EQLF 40-49 years, female 319.4
GTEX-16YQH-0126-SM-7DUFJ 30-39 years, male 319.3
GTEX-17F98-0626-SM-79OMX 40-49 years, female 319.3
GTEX-145LV-2126-SM-5LU8N 50-59 years, male 318.9
GTEX-1ICLY-0126-SM-D4P36 50-59 years, male 318.5
GTEX-13OVL-0226-SM-5L3E9 50-59 years, male 317.9
GTEX-1GMRU-0126-SM-9YFLV 50-59 years, male 317.9
GTEX-1A8FM-0226-SM-7SB7Q 50-59 years, female 317.5
GTEX-13OW6-0426-SM-5L3HM 50-59 years, male 317.4
GTEX-VUSG-2526-SM-4KL1V 50-59 years, male 317.4
GTEX-14PJ6-2126-SM-6EU1V 60-69 years, female 316.9
GTEX-1HR98-0126-SM-B2LWI 60-69 years, male 316.7
GTEX-PLZ5-2026-SM-2S1O4 50-59 years, male 316.5
GTEX-1O97I-0326-SM-EYYX7 60-69 years, male 316.4
GTEX-18A66-0226-SM-718BD 60-69 years, male 316.2
GTEX-1KXAM-2226-SM-CYPTC 60-69 years, male 316.1
GTEX-OHPL-0126-SM-2HMJ7 60-69 years, female 315.9
GTEX-1HSMP-0126-SM-E6CJS 70-79 years, male 315.3
GTEX-1MCYP-1926-SM-E9J2R 20-29 years, female 315.2
GTEX-1F88F-2726-SM-7PBZZ 60-69 years, female 314.9
GTEX-1KD5A-0226-SM-D5OV3 50-59 years, male 314.8
GTEX-145ME-1826-SM-5SI9G 40-49 years, female 314.6
GTEX-147GR-0526-SM-5S2MY 60-69 years, male 314.6
GTEX-1H1CY-2826-SM-9MQM3 60-69 years, female 314.3
GTEX-X638-0126-SM-47JZ8 70-79 years, female 314.1
GTEX-1LG7Z-1726-SM-D3LA4 30-39 years, male 314.1
GTEX-PVOW-0126-SM-2XCFA 40-49 years, male 314.0
GTEX-OXRN-0126-SM-48TDM 50-59 years, male 313.7
GTEX-1GL5R-1826-SM-9KNUY 50-59 years, male 313.6
GTEX-Y3I4-2126-SM-4TT7C 50-59 years, male 313.5
GTEX-12WSC-0126-SM-5EQ4P 50-59 years, male 313.2
GTEX-WRHK-1426-SM-3MJF9 20-29 years, female 312.9
GTEX-1OJC3-0126-SM-E76QX 20-29 years, male 312.9
GTEX-14JIY-0126-SM-6LLH6 60-69 years, male 312.8
GTEX-ZF29-2326-SM-DO92K 60-69 years, female 312.7
GTEX-1RAZQ-0726-SM-EAZ43 30-39 years, male 312.6
GTEX-ZE7O-0126-SM-57WC1 50-59 years, female 312.4
GTEX-ZE9C-2726-SM-57WB5 60-69 years, male 312.4
GTEX-17HGU-0226-SM-7DHKV 50-59 years, male 312.2
GTEX-U3ZN-2326-SM-3DB7W 30-39 years, female 312.1
GTEX-1EN7A-0126-SM-7SB81 40-49 years, male 311.8
GTEX-X585-0226-SM-4QAS2 50-59 years, male 311.7
GTEX-1MCQQ-0826-SM-DLHC2 60-69 years, male 311.5
GTEX-13FTX-1826-SM-5J1NX 20-29 years, female 311.4
GTEX-11DXY-2626-SM-5GIE7 60-69 years, male 310.7
GTEX-W5WG-1826-SM-4KL2Y 50-59 years, female 310.6
GTEX-1GPI6-0126-SM-9WG69 60-69 years, male 310.5
GTEX-12ZZZ-0626-SM-5DUXI 60-69 years, male 309.4
GTEX-S95S-1226-SM-4GICG 60-69 years, male 309.1
GTEX-1HCU6-0126-SM-CL54K 60-69 years, female 309.1
GTEX-1E1VI-0126-SM-7DHMZ 50-59 years, male 308.8
GTEX-144GL-0126-SM-5TDE2 50-59 years, male 308.4
GTEX-WOFL-0126-SM-3MJG2 60-69 years, male 308.0
GTEX-1HCU8-0626-SM-A9SM9 60-69 years, female 308.0
GTEX-P4PQ-0126-SM-2S1NM 60-69 years, male 307.6
GTEX-18A7B-0126-SM-7LG64 70-79 years, male 307.4
GTEX-XPVG-2626-SM-4B669 50-59 years, male 307.1
GTEX-ZXG5-0126-SM-5GIEU 60-69 years, male 306.8
GTEX-13OW5-0126-SM-DTXFS 60-69 years, male 306.8
GTEX-T6MO-1626-SM-32QOM 40-49 years, female 306.6
GTEX-14PII-0226-SM-6EU1T 60-69 years, male 305.7
GTEX-ZQG8-1626-SM-DHXIT 60-69 years, female 305.6
GTEX-1128S-2326-SM-5GZZY 60-69 years, female 305.3
GTEX-13O3Q-2426-SM-5IJBR 50-59 years, male 305.1
GTEX-1C2JI-1826-SM-73KXC 50-59 years, male 304.5
GTEX-Y5LM-1926-SM-5RQJH 40-49 years, female 304.3
GTEX-1JJE9-0326-SM-CL53Z 70-79 years, male 303.3
GTEX-1JMQL-0226-SM-CNPP5 50-59 years, female 303.3
GTEX-1GN73-0226-SM-9WG67 60-69 years, male 303.1
GTEX-139TU-0126-SM-5K7WH 60-69 years, male 303.0
GTEX-1CAMR-1926-SM-7EPI2 20-29 years, male 302.5
GTEX-1JKYR-0126-SM-CNPOJ 20-29 years, male 302.5
GTEX-13PDP-0126-SM-5L3HD 60-69 years, male 302.4
GTEX-1H1E6-1726-SM-ACKVK 30-39 years, male 302.4
GTEX-YJ89-0126-SM-4TT3X 60-69 years, male 302.1
GTEX-QV44-1926-SM-2S1RF 50-59 years, male 301.8
GTEX-XUYS-0126-SM-47JWZ 50-59 years, male 301.8
GTEX-18A7A-0226-SM-718BH 50-59 years, female 301.5
GTEX-13OVG-1926-SM-5L3DK 60-69 years, male 301.3
GTEX-1JN6P-0126-SM-D3L98 60-69 years, male 301.3
GTEX-Z93T-0126-SM-5HL5N 50-59 years, male 301.2
GTEX-1EKGG-0226-SM-9WYTH 60-69 years, male 301.0
GTEX-OXRP-0126-SM-3NB32 60-69 years, female 300.8
GTEX-XBED-2226-SM-47JYQ 60-69 years, male 300.7
GTEX-ZTX8-1426-SM-5DUVO 20-29 years, male 300.7
GTEX-ZF3C-0126-SM-DO92D 50-59 years, female 300.4
GTEX-13OW8-1326-SM-5J1OW 60-69 years, male 300.1
GTEX-14DAQ-0126-SM-5S2MQ 60-69 years, female 299.9
GTEX-17HHY-0126-SM-7LG5D 50-59 years, male 299.6
GTEX-1QPFJ-0226-SM-E76PB 30-39 years, female 299.6
GTEX-139TT-0126-SM-5K7Y5 60-69 years, male 299.4
GTEX-1HBPI-1526-SM-C1YQ1 50-59 years, male 299.4
GTEX-12126-0326-SM-5PNW3 20-29 years, male 299.2
GTEX-1IOXB-0126-SM-ARL8G 50-59 years, male 299.2
GTEX-1B8L1-2526-SM-9WYTF 60-69 years, male 299.1
GTEX-13NZA-0226-SM-5K7Z7 60-69 years, male 298.8
GTEX-1PBJI-0526-SM-E8VNK 20-29 years, female 298.8
GTEX-15RIG-0226-SM-7KFTL 40-49 years, male 298.5
GTEX-1B933-0126-SM-7PC29 50-59 years, female 298.5
GTEX-1HFI6-0226-SM-ADEHZ 40-49 years, male 297.9
GTEX-131XH-2226-SM-5DUXJ 50-59 years, male 297.0
GTEX-WXYG-2326-SM-4E3I6 50-59 years, female 296.6
GTEX-15ER7-0326-SM-7KUEV 20-29 years, female 296.4
GTEX-1LNCM-1126-SM-E9U5E 50-59 years, female 296.2
GTEX-12ZZY-0226-SM-5LZVE 60-69 years, male 296.0
GTEX-1JN1M-0326-SM-CYPT3 60-69 years, female 296.0
GTEX-11DXZ-2326-SM-5EGGV 50-59 years, male 295.9
GTEX-17GQL-2026-SM-718BA 60-69 years, male 295.6
GTEX-1EWIQ-0126-SM-7RHH2 70-79 years, female 295.6
GTEX-1GN1U-0126-SM-7PBZK 50-59 years, female 295.6
GTEX-1PPH8-0226-SM-E8VND 20-29 years, male 295.0
GTEX-T2IS-0126-SM-4DM6O 20-29 years, female 294.9
GTEX-Y8E4-0626-SM-4WWDL 40-49 years, male 294.9
GTEX-XBEW-0626-SM-4QASP 40-49 years, male 294.6
GTEX-1QP66-1726-SM-E8VO1 50-59 years, male 294.5
GTEX-15DYW-0126-SM-7KULE 60-69 years, female 294.4
GTEX-1KANC-1526-SM-D3LAB 50-59 years, female 293.9
GTEX-1IDJF-0126-SM-CM2RS 20-29 years, male 293.7
GTEX-SUCS-1926-SM-32PM3 70-79 years, male 292.8
GTEX-1H3O1-0426-SM-9YFKY 60-69 years, male 292.8
GTEX-1I1GQ-0126-SM-COH3H 50-59 years, male 292.8
GTEX-18D9B-0526-SM-7LTAS 60-69 years, male 292.7
GTEX-1A32A-0126-SM-718B1 50-59 years, female 292.6
GTEX-1AX9J-0226-SM-73KXM 60-69 years, male 292.0
GTEX-ZZPT-0226-SM-5E43X 50-59 years, male 291.7
GTEX-13O21-1426-SM-5K7XI 50-59 years, male 291.4
GTEX-11OC5-0126-SM-5HL6A 60-69 years, male 291.3
GTEX-16AAH-1726-SM-7939C 50-59 years, male 291.1
GTEX-Y114-2426-SM-4TT8A 50-59 years, female 291.0
GTEX-1C64O-0126-SM-7SB8P 60-69 years, male 290.6
GTEX-14PHX-2326-SM-62LEM 50-59 years, male 290.5
GTEX-1QAET-0926-SM-E76QM 50-59 years, male 290.2
GTEX-139TS-2826-SM-5J1OO 60-69 years, male 289.4
GTEX-OIZF-0126-SM-7SB8I 60-69 years, male 289.3
GTEX-U8T8-0126-SM-3DB94 60-69 years, male 289.2
GTEX-RTLS-0126-SM-447CA 60-69 years, female 289.1
GTEX-1IKOH-0226-SM-COH4E 60-69 years, female 289.0
GTEX-1QCLY-0326-SM-E8VOG 30-39 years, male 288.7
GTEX-11ZTT-2426-SM-5EQLS 60-69 years, female 288.5
GTEX-YFC4-0126-SM-5CVLY 40-49 years, female 288.5
GTEX-1RDX4-0126-SM-E9J4P 50-59 years, female 288.4
GTEX-1I1HK-0126-SM-COH49 60-69 years, male 288.2
GTEX-1192X-0226-SM-5H12D 50-59 years, male 287.9
GTEX-12584-0126-SM-5EGKQ 40-49 years, male 287.9
GTEX-1QEPI-0126-SM-EWRMQ 60-69 years, female 287.8
GTEX-13X6J-0126-SM-5QGOU 50-59 years, male 287.3
GTEX-14JG1-0426-SM-6ETZZ 40-49 years, male 287.2
GTEX-1MGNQ-0126-SM-EVYCJ 40-49 years, male 287.2
GTEX-17MFQ-1726-SM-793C7 20-29 years, male 287.1
GTEX-13JUV-2726-SM-5LZZ8 40-49 years, female 286.9
GTEX-1LSNM-1926-SM-E6CII 50-59 years, male 286.4
GTEX-YEC4-2126-SM-5IFJH 40-49 years, male 286.3
GTEX-1HT8W-0126-SM-CNPPP 30-39 years, male 286.3
GTEX-P4QT-0126-SM-2I3FL 50-59 years, female 286.0
GTEX-SIU8-0126-SM-2XCDT 50-59 years, male 286.0
GTEX-131YS-0126-SM-5KM1M 60-69 years, female 285.8
GTEX-ZY6K-1826-SM-5GZXK 50-59 years, male 285.4
GTEX-1EMGI-0126-SM-9KNUE 60-69 years, male 285.2
GTEX-18A6Q-0126-SM-731BZ 60-69 years, male 284.7
GTEX-13FHP-0126-SM-5IJBG 50-59 years, male 284.3
GTEX-1GMR8-0126-SM-9WYTM 50-59 years, female 284.2
GTEX-TMZS-0126-SM-3DB9Q 60-69 years, male 284.0
GTEX-WQUQ-0426-SM-3MJFU 60-69 years, male 283.7
GTEX-ZYFD-0126-SM-5GIDL 50-59 years, male 283.4
GTEX-1J1R8-1726-SM-ARL8M 40-49 years, male 283.3
GTEX-169BO-1326-SM-9MQK2 50-59 years, male 283.2
GTEX-1GZHY-0326-SM-9QEHI 50-59 years, female 282.8
GTEX-1QP9N-1426-SM-DTXFL 30-39 years, male 282.7
GTEX-15CHC-2126-SM-6EU21 60-69 years, female 282.5
GTEX-1RQEC-0426-SM-E6CHU 60-69 years, male 282.4
GTEX-1C4CL-0526-SM-73KVK 30-39 years, male 282.0
GTEX-1I6K6-0126-SM-A9SLE 30-39 years, male 281.7
GTEX-14ICK-0226-SM-6EU25 40-49 years, male 281.4
GTEX-16GPK-0126-SM-7DHLE 60-69 years, male 280.7
GTEX-1399R-2726-SM-5IJBA 30-39 years, male 280.5
GTEX-1HBPH-0426-SM-B2LW5 40-49 years, female 280.4
GTEX-1F75B-0126-SM-9KNVL 50-59 years, male 280.3
GTEX-OOBJ-0126-SM-E6CJW 60-69 years, male 280.2
GTEX-ZVT3-0126-SM-5GU6I 60-69 years, female 279.7
GTEX-1HBPM-0226-SM-ARL9F 60-69 years, female 279.7
GTEX-1H2FU-0126-SM-9WYSI 60-69 years, female 279.6
GTEX-15SHU-0126-SM-7KUEH 40-49 years, female 279.4
GTEX-1269C-2526-SM-5EGJ3 60-69 years, female 279.2
GTEX-15DCD-0126-SM-7KUEK 70-79 years, female 279.1
GTEX-Y8DK-0126-SM-4TT3L 60-69 years, male 279.1
GTEX-QDT8-0126-SM-48TZ1 30-39 years, female 278.3
GTEX-13O3P-0126-SM-5KM4S 50-59 years, male 277.8
GTEX-17EUY-0426-SM-793BD 20-29 years, male 277.8
GTEX-1C6VS-0526-SM-7DUEN 60-69 years, male 277.7
GTEX-1LVAN-0226-SM-COH3S 50-59 years, female 277.6
GTEX-12WSK-2326-SM-5GCOH 40-49 years, female 277.4
GTEX-1EX96-1626-SM-7PBXR 50-59 years, male 277.0
GTEX-1M5QR-1226-SM-EWROB 40-49 years, male 276.9
GTEX-XUW1-0426-SM-4BOOT 50-59 years, female 276.7
GTEX-1PIIG-0226-SM-EWRN6 30-39 years, male 276.4
GTEX-1GF9V-0326-SM-7RHI5 60-69 years, male 276.1
GTEX-1S82Y-2026-SM-EVYCM 40-49 years, male 276.0
GTEX-16MT8-0426-SM-7KUEY 60-69 years, female 275.9
GTEX-OXRL-0126-SM-2YUMP 50-59 years, male 275.6
GTEX-1PFEY-1526-SM-E76PP 30-39 years, male 275.6
GTEX-11P82-1626-SM-59879 20-29 years, male 275.4
GTEX-1MA7X-2226-SM-E6CIY 60-69 years, male 275.4
GTEX-16NPX-0226-SM-79OMT 50-59 years, male 275.3
GTEX-11NUK-0126-SM-5A5L3 50-59 years, male 275.2
GTEX-Y3IK-2426-SM-4WWDU 50-59 years, female 275.1
GTEX-113JC-2326-SM-5EQ4E 50-59 years, female 274.7
GTEX-131XG-2626-SM-5KM17 50-59 years, female 274.7
GTEX-13112-2826-SM-5DUWH 50-59 years, male 274.4
GTEX-17EVP-0326-SM-7DHLG 40-49 years, male 274.0
GTEX-1GF9W-0326-SM-9KNUN 60-69 years, male 273.9
GTEX-1CAMQ-0226-SM-7IGPK 40-49 years, male 273.7
GTEX-X8HC-0126-SM-4E3JW 50-59 years, female 273.0
GTEX-1JMQI-2226-SM-CM2SD 50-59 years, male 273.0
GTEX-11EMC-2926-SM-5EQ4F 60-69 years, female 272.8
GTEX-1KANA-0726-SM-D3L9I 20-29 years, male 272.8
GTEX-11UD2-0226-SM-5EQKY 50-59 years, male 272.7
GTEX-1RAZA-0126-SM-E6CI3 20-29 years, male 272.6
GTEX-1LG7Y-0526-SM-DKPQC 50-59 years, male 272.5
GTEX-1GZ2Q-0226-SM-7P8TL 40-49 years, male 272.3
GTEX-1H3VY-0126-SM-ACKXD 50-59 years, male 272.1
GTEX-1HGF4-2426-SM-ACKXM 60-69 years, male 271.5
GTEX-1C6VR-2426-SM-79OLD 60-69 years, male 270.9
GTEX-1KANB-0526-SM-E6CJH 50-59 years, male 270.8
GTEX-18QFQ-0126-SM-731BE 30-39 years, male 270.7
GTEX-13SLW-0126-SM-5SI6C 70-79 years, male 270.5
GTEX-ZYW4-0126-SM-5E44A 60-69 years, male 270.5
GTEX-WYJK-0126-SM-3NMAB 50-59 years, male 270.4
GTEX-XYKS-2126-SM-4E3IB 60-69 years, female 269.9
GTEX-1399U-2326-SM-5K7WY 50-59 years, female 269.5
GTEX-WFON-2126-SM-3LK7O 40-49 years, male 269.4
GTEX-11NSD-2226-SM-5986V 20-29 years, male 269.1
GTEX-1HCVE-0126-SM-CGQEU 50-59 years, male 268.9
GTEX-11P81-2326-SM-59875 30-39 years, female 268.0
GTEX-17HHE-2026-SM-79OKF 50-59 years, male 267.1
GTEX-Y5V5-2326-SM-4V6GA 60-69 years, female 266.3
GTEX-13OW7-0126-SM-5MR3B 50-59 years, male 266.2
GTEX-1EU9M-0226-SM-7P8SP 60-69 years, male 266.2
GTEX-ZAK1-0126-SM-5IJD3 50-59 years, female 265.9
GTEX-OXRK-0226-SM-3NB2G 50-59 years, female 264.1
GTEX-X4EO-0326-SM-3P5YO 60-69 years, female 263.9
GTEX-QLQ7-1626-SM-2S1R8 60-69 years, male 263.6
GTEX-1LB8K-0226-SM-EWRNW 50-59 years, male 263.6
GTEX-WYVS-2126-SM-3NMA3 40-49 years, female 263.2
GTEX-1J8JJ-0226-SM-CL53I 60-69 years, female 263.2
GTEX-11ZVC-2526-SM-5FQTE 50-59 years, female 262.8
GTEX-ZAB5-1826-SM-5HL7C 50-59 years, male 262.6
GTEX-NFK9-0226-SM-2HMKQ 40-49 years, male 261.8
GTEX-S33H-1026-SM-EZ6L6 30-39 years, male 260.8
GTEX-132NY-0326-SM-5IJBL 60-69 years, male 260.1
GTEX-XQ3S-1526-SM-4BOOC 20-29 years, male 259.9
GTEX-PSDG-0226-SM-DKPOZ 50-59 years, male 259.8
GTEX-139T8-0126-SM-5K7XZ 60-69 years, male 259.6
GTEX-1IY9M-0126-SM-D3L8S 60-69 years, male 259.6
GTEX-X5EB-2226-SM-46MW4 40-49 years, male 259.4
GTEX-146FQ-0126-SM-5NQA9 30-39 years, male 258.0
GTEX-11GSO-2426-SM-5A5LY 60-69 years, male 257.8
GTEX-ZF2S-2326-SM-4WWCE 50-59 years, female 256.7
GTEX-ZYFG-2326-SM-5E44B 60-69 years, female 256.4
GTEX-1HCU9-1526-SM-A9SL7 20-29 years, male 256.3
GTEX-1HSKV-0226-SM-A9SKJ 60-69 years, male 256.1
GTEX-XQ8I-0426-SM-4BOPO 50-59 years, male 255.8
GTEX-12KS4-0326-SM-5EQ41 30-39 years, male 255.4
GTEX-O5YW-0126-SM-3LK6D 50-59 years, male 255.4
GTEX-ZVTK-0426-SM-51MRS 20-29 years, male 255.4
GTEX-15F5U-1526-SM-6PANO 40-49 years, male 255.1
GTEX-11UD1-0126-SM-5PNYG 40-49 years, female 255.0
GTEX-1CB4G-0226-SM-7PC3O 60-69 years, male 254.8
GTEX-1I1GS-0126-SM-B2LVW 60-69 years, male 254.7
GTEX-1GN1V-0126-SM-9WPOS 60-69 years, male 254.1
GTEX-1HKZK-0326-SM-9WYUH 40-49 years, male 254.0
GTEX-1314G-1526-SM-5EGK2 30-39 years, male 253.2
GTEX-12ZZX-0126-SM-5EGK9 40-49 years, female 253.0
GTEX-S7PM-0126-SM-4AD6S 60-69 years, male 252.8
GTEX-TKQ1-1026-SM-4GICL 30-39 years, male 252.6
GTEX-133LE-1826-SM-5J1MV 20-29 years, female 252.5
GTEX-XXEK-2226-SM-4BRUM 50-59 years, male 252.4
GTEX-1BAJH-0526-SM-793CQ 70-79 years, male 252.0
GTEX-1J8EW-0126-SM-CJI4F 60-69 years, female 251.0
GTEX-13O3O-0126-SM-E9J49 60-69 years, female 250.2
GTEX-1JMPY-1326-SM-ARL8Y 30-39 years, male 250.0
GTEX-1AYCT-2426-SM-7IGQ3 50-59 years, male 249.9
GTEX-1LBAC-0126-SM-DIPEZ 20-29 years, male 249.6
GTEX-1C6WA-0126-SM-7PC2B 60-69 years, male 249.3
GTEX-1KAFJ-2026-SM-CY8ID 50-59 years, male 249.2
GTEX-12WSJ-1826-SM-5GCNY 40-49 years, female 248.9
GTEX-U3ZM-1526-SM-3DB9D 40-49 years, male 248.3
GTEX-1QP29-0626-SM-EWRMX 50-59 years, male 247.4
GTEX-11DYG-0126-SM-59883 60-69 years, male 247.3
GTEX-1GN2E-0426-SM-9MQKX 60-69 years, male 246.9
GTEX-WY7C-2326-SM-3NB2U 50-59 years, male 246.8
GTEX-ZC5H-0226-SM-4WAY9 40-49 years, female 246.6
GTEX-WH7G-2326-SM-3NMBC 40-49 years, male 245.9
GTEX-13FTW-2626-SM-5K7WL 40-49 years, male 245.6
GTEX-ZEX8-2426-SM-4WKG4 50-59 years, male 245.3
GTEX-X4EP-0126-SM-3P5YV 60-69 years, female 245.1
GTEX-1JMQJ-0526-SM-CYPSU 50-59 years, male 245.1
GTEX-1AYD5-2426-SM-73KXR 50-59 years, male 244.9
GTEX-1S3DN-2226-SM-EVYCD 50-59 years, male 244.3
GTEX-PX3G-0126-SM-2I3EN 20-29 years, female 244.0
GTEX-1F6I4-0126-SM-9MQL2 60-69 years, male 243.9
GTEX-1IL2U-0226-SM-CE6T8 60-69 years, male 243.9
GTEX-1313W-0126-SM-5LZUN 50-59 years, female 243.2
GTEX-ZF28-0126-SM-4WKGK 60-69 years, male 242.9
GTEX-YB5K-2126-SM-4WWDJ 40-49 years, female 242.6
GTEX-OHPM-0126-SM-2YUN9 50-59 years, male 242.4
GTEX-RN64-0126-SM-2TC68 50-59 years, male 242.4
GTEX-RU72-0926-SM-2TF6B 50-59 years, female 242.2
GTEX-ZAB4-0226-SM-5N9F5 40-49 years, male 241.7
GTEX-15SDE-2226-SM-7IGLO 50-59 years, female 238.7
GTEX-12C56-1726-SM-5EQ61 20-29 years, male 238.4
GTEX-T6MN-0126-SM-32PLP 50-59 years, male 236.3
GTEX-14E7W-0126-SM-6LLJ9 70-79 years, male 235.6
GTEX-17HG3-2226-SM-7938L 30-39 years, female 235.6
GTEX-13VXU-0126-SM-5SI9F 50-59 years, male 235.3
GTEX-R55E-0126-SM-2TC5Y 20-29 years, male 235.2
GTEX-13111-1626-SM-5EGJY 50-59 years, male 234.5
GTEX-PW2O-1526-SM-7RHHB 20-29 years, male 233.8
GTEX-RM2N-1426-SM-2TF4H 50-59 years, male 233.4
GTEX-Q2AI-1326-SM-2S1PL 40-49 years, male 232.8
GTEX-WZTO-0126-SM-3NM95 40-49 years, male 232.6
GTEX-X4XX-0126-SM-3NMC2 60-69 years, male 232.5
GTEX-T5JC-0426-SM-32PLO 20-29 years, male 231.5
GTEX-QVJO-1626-SM-2S1QW 60-69 years, female 230.5
GTEX-11GSP-2526-SM-5N9BP 60-69 years, female 230.1
GTEX-R55G-2526-SM-2TC6D 40-49 years, female 229.9
GTEX-ZGAY-0526-SM-4WWBB 40-49 years, female 229.1
GTEX-13FXS-0226-SM-5IJCK 50-59 years, male 228.4
GTEX-1KWVE-1426-SM-E9TJO 30-39 years, male 228.4
GTEX-RNOR-0126-SM-E9J4R 50-59 years, female 226.8
GTEX-ZXES-1826-SM-5E43S 30-39 years, female 225.6
GTEX-117XS-2726-SM-5N9BL 60-69 years, male 224.9
GTEX-18D9U-0226-SM-718BP 40-49 years, male 224.3
GTEX-1S83E-0126-SM-EWRO4 40-49 years, male 223.9
GTEX-1F6IF-0726-SM-7P8TW 60-69 years, male 223.4
GTEX-145MN-2226-SM-5SIAU 30-39 years, male 222.6
GTEX-Y111-0126-SM-4SOIV 50-59 years, male 222.4
GTEX-U412-0426-SM-3DB9O 60-69 years, male 220.8
GTEX-ZDTS-0126-SM-4WAY5 60-69 years, male 219.7
GTEX-1J1OQ-0226-SM-CYPSH 40-49 years, female 219.1
GTEX-Q734-1926-SM-2I5EV 40-49 years, female 218.8
GTEX-YB5E-2026-SM-5IFIS 40-49 years, male 217.1
GTEX-1H11D-0226-SM-9WG6Z 40-49 years, male 216.8
GTEX-1CAV2-2226-SM-7P8P2 40-49 years, female 216.3
GTEX-ZV68-0126-SM-59HKS 50-59 years, female 214.9
GTEX-1I1GV-0526-SM-A9G29 60-69 years, male 214.0
GTEX-1AX9I-0126-SM-7SB74 60-69 years, male 213.9
GTEX-1CB4I-0226-SM-79OLH 50-59 years, male 213.4
GTEX-XV7Q-2526-SM-4BRV9 40-49 years, female 213.4
GTEX-1B8KZ-2026-SM-7DHMB 50-59 years, male 213.1
GTEX-ZTSS-1926-SM-57WEW 40-49 years, male 210.3
GTEX-12WSD-0126-SM-59HKN 60-69 years, female 209.2
GTEX-1HSEH-0126-SM-ACKXN 60-69 years, male 209.2
GTEX-13FTY-0526-SM-5L3EV 40-49 years, female 204.3
GTEX-11ZTS-0126-SM-5EQ6M 60-69 years, female 203.4
GTEX-QLQW-1126-SM-2S1Q8 30-39 years, male 198.5
GTEX-1CB4F-0426-SM-9KNV4 60-69 years, male 196.6
GTEX-XUZC-1726-SM-4BRWS 30-39 years, female 194.1
GTEX-ZYFC-0226-SM-5NQ75 50-59 years, male 192.4
GTEX-17F97-0326-SM-7LG5B 50-59 years, male 192.0
GTEX-1JMLX-0226-SM-CM2RO 50-59 years, male 187.5
GTEX-11P7K-2126-SM-5GU7G 30-39 years, male 186.7
GTEX-1IKK5-0626-SM-ARL8A 60-69 years, male 184.8
GTEX-ZDXO-3026-SM-5J1N5 60-69 years, male 170.1
GTEX-QEG4-0226-SM-2S1PY 30-39 years, male 162.5
Show allShow less

Contact

  • NEWS ARTICLES
  • PRESS ROOM

The Project

  • INTRODUCTION
  • ORGANIZATION
  • PUBLICATIONS

The Human Protein Atlas

  • DOWNLOADABLE DATA
  • LICENCE & CITATION
  • HELP & FAQ
The Human Protein Atlas project is funded
by the Knut & Alice Wallenberg Foundation.


contact@proteinatlas.org