We use cookies to enhance the usability of our website. If you continue, we'll assume that you are happy to receive all cookies. More information. Don't show this again.
NPM1
HPA
RESOURCES
  • TISSUE
  • BRAIN
  • SINGLE CELL
  • SUBCELLULAR
  • CANCER
  • BLOOD
  • CELL LINE
  • STRUCTURE & INTERACTION
ABOUT
  • INTRODUCTION
  • HISTORY
  • ORGANIZATION
  • PUBLICATIONS
  • ANTIBODY SUBMISSION
  • ANTIBODY AVAILABILITY
  • ACKNOWLEDGMENTS
  • CONTACT
NEWS
  • NEWS ARTICLES
  • PRESS ROOM
LEARN
  • DICTIONARY
  • PROTEIN CLASSES
  • PROTEIN EVIDENCE
  • METHODS
  • EDUCATIONAL VIDEOS
DATA
  • DOWNLOADABLE DATA
  • PUBLICATION DATA
  • RELEASE HISTORY
HELP
  • ANTIBODY VALIDATION
  • ASSAYS & ANNOTATION
  • DISCLAIMER
  • HELP & FAQ
  • PRIVACY STATEMENT
  • LICENCE & CITATION
Fields »
Search result

Field
Term
Gene name
Class
Subclass
Class
Keyword
Chromosome
External id
Tissue
Cell type
Expression
Antibody panel
Tissue
Main location
Patient ID
Annotation
Tissue
Category
Tau score
Cluster
Reliability
Brain region
Category
Tau score
Brain region
Category
Tau score
Brain region
Category
Tau score
Cluster
Reliability
Tissue
Cell type
Enrichment
Cell type
Category
Tau score
Cell type
Category
Tau score
Cell type
Category
Tau score
Cell lineage
Category
Tau score
Cluster
Cluster
Location
Searches
Location
Cell line
Class
Type
Phase
Reliability
Cancer
Prognosis
Cancer
Category
Cancer
Category
Tau score
Cluster
Variants
Interacting gene (ensg_id)
Type
Number of interactions
Pathway
Category
Score
Score
Score
Validation
Validation
Validation
Validation
Antibodies
Data type
Column


  • SUMMARY

  • TISSUE

  • BRAIN

  • SINGLE CELL

  • SUBCELL

  • CANCER

  • BLOOD

  • CELL LINE

  • STRUCT & INT

  • NPM1
TISSUE PRIMARY DATA STOMACH Show tissue menu
ADIPOSE TISSUE ADRENAL GLAND AMYGDALA APPENDIX BASAL GANGLIA BONE MARROW BREAST BRONCHUS CEREBELLUM CEREBRAL CORTEX CERVIX CHOROID PLEXUS COLON DUODENUM
ENDOMETRIUM EPIDIDYMIS ESOPHAGUS FALLOPIAN TUBE GALLBLADDER HEART MUSCLE HIPPOCAMPAL FORMATION HYPOTHALAMUS KIDNEY LIVER LUNG LYMPH NODE MIDBRAIN NASOPHARYNX
ORAL MUCOSA OVARY PANCREAS PARATHYROID GLAND PITUITARY GLAND PLACENTA PROSTATE RECTUM RETINA SALIVARY GLAND SEMINAL VESICLE SKELETAL MUSCLE SKIN SMALL INTESTINE
SMOOTH MUSCLE SOFT TISSUE SPINAL CORD SPLEEN STOMACH TESTIS THYMUS THYROID GLAND TONGUE TONSIL URINARY BLADDER VAGINA
ANTIBODIES
AND
VALIDATION
Dictionary
Tissue proteome
Stomach
STOMACH - Expression summary
Protein expression
Stomachi

On the top, protein expression in current human tissue, based on all annotated cell types, is reported with the units not detected (n), low (l), medium (m) and high (h). Underneath, protein expression in each annotated cell type are reported using the same units.

Protein expression data is based on knowledge-based annotation. For genes where more than one antibody has been used, a collective score is set.

If knowledge-based annotation could not be performed for a gene, no data is displayed here. View antibody staining data further down this page.

h
m
l
n
Glandular cells: High
RNA expressioni

A summary of mRNA expression data available for current tissue based on several datasets. The mRNA expression levels in human tissues are based on RNA-seq data generated by the Human Protein Atlas (HPA), Genotype-Tissue Expression (GTEx) portal and CAGE data generated by the FANTOM5 consortium. Consensus normalized expression levels for human tissues was created by combining the data from HPA and GTEx datasets.

The mRNA expression levels in pig are based on RNA-seq data generated by the Human Protein Atlas (HPA), and for mouse, HPA data and in situ hybridization generated by the Allen brain atlas are reported.

Scroll down to view mRNA expression data in more detail.
Consensus:453.9 nTPM
HPA:325.9 nTPM
GTEx:453.9 nTPM

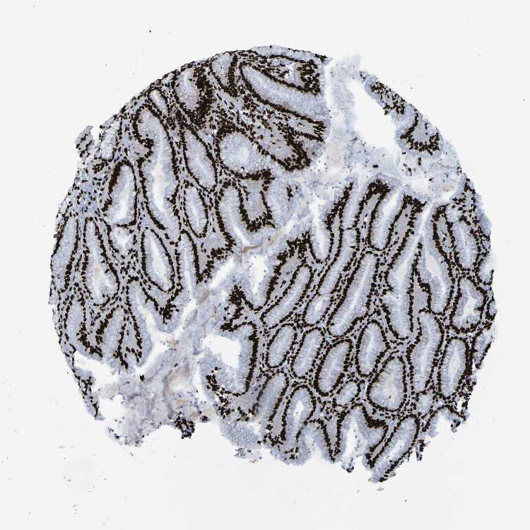
STOMACH 1 - Antibody stainingi

Antibody staining in the annotated cell types in the current human tissue is reported as not detected, low, medium, or high, based on conventional immunohistochemistry profiling in selected tissues. This score is based on the combination of the staining intensity and fraction of stained cells.

Each image is clickable and will lead to virtual microscopy that enables deeper exploration of all samples and also displays staining intensity scores, fraction scores and subcellular localization as well as patient and tissue information for each sample.

Antibody HPA011384Antibody CAB012983
Glandular cells HighHigh




STOMACH 2 - Antibody stainingi

Antibody staining in the annotated cell types in the current human tissue is reported as not detected, low, medium, or high, based on conventional immunohistochemistry profiling in selected tissues. This score is based on the combination of the staining intensity and fraction of stained cells.

Each image is clickable and will lead to virtual microscopy that enables deeper exploration of all samples and also displays staining intensity scores, fraction scores and subcellular localization as well as patient and tissue information for each sample.

Antibody HPA011384Antibody CAB012983
Glandular cells HighHigh





STOMACH - HPA RNA-seqi

The RNA-seq details section shows detailed information about the individual samples used for the transcript profiling and results of the RNA-seq analysis.

Information about each individual sample is listed below, including gender, age, a tissue section image and estimated fractions of cell types. nTPM (normalized transcripts per million) values give a quantification of the gene abundance which is comparable between different genes and samples.
Average nTPMi

Max subtype nTPM is the value for the subtype with the largest average nTPM across the subtype samples.

325.9
overview
Female, age 33
Stomach sample 61
nTPM: 381.5
Cell types%
Glandular cells:
60

Smooth muscle cells:
5

Other cell types:
35

N/A
Male, age 82
Stomach sample 240
nTPM: 297.5
Cell types%
Glandular cells:
65

Smooth muscle cells:
5

Other cell types:
30

overview
Male, age 71
Stomach sample 241
nTPM: 335.3
Cell types%
Glandular cells:
50

Smooth muscle cells:
5

Other cell types:
45

overview
Female, age 66
Stomach sample 369
nTPM: 289.4
Cell types%
Glandular cells:
50

Smooth muscle cells:
10

Other cell types:
40


STOMACH - GTEx RNA-seqi

RNA-Seq data generated by the Genotype-Tissue Expression (GTEx) project from human tissues is reported as mean nTPM. More information can be found on the GTEx portal.

Distribution across the dataset is visualized with box plots, shown as median and 25th and 75th percentiles. Points are displayed as outliers if they are above or below 1.5 times the interquartile range. nTPM values of the individual samples are presented next to the box plot.
Max subtype nTPMi

Max subtype nTPM is the value for the subtype with the largest average nTPM across the subtype samples.

453.9
GTEx sample id Sample description nTPM
Stomach
Average nTPM: 453.9
Samples: 359

Max nTPM: 988.2
Min nTPM: 212.0
Std nTPM: 118.8
Median nTPM: 446.6
GTEX-14PJ4-1626-SM-664OB 60-69 years, male 988.2
GTEX-15RIF-1126-SM-7KUG2 20-29 years, male 969.0
GTEX-1HBPI-0726-SM-9WG7Z 50-59 years, male 807.7
GTEX-1JMPY-0926-SM-ARL92 30-39 years, male 762.5
GTEX-144GM-1726-SM-5O9AS 20-29 years, male 725.4
GTEX-U4B1-1026-SM-4DXT1 40-49 years, male 723.3
GTEX-ZT9W-1526-SM-4YCDE 50-59 years, male 721.2
GTEX-ZYVF-2726-SM-5GID4 50-59 years, female 720.6
GTEX-14B4R-0726-SM-5TDDR 30-39 years, male 714.9
GTEX-1L5NE-1526-SM-DIPFW 50-59 years, male 712.5
GTEX-13O61-1126-SM-5L3FI 60-69 years, male 706.5
GTEX-11I78-1726-SM-5A5M3 50-59 years, female 695.4
GTEX-1339X-1426-SM-5K7YO 40-49 years, male 694.8
GTEX-117YW-2226-SM-5N9DB 50-59 years, male 685.8
GTEX-14PN3-1326-SM-6AJ9U 60-69 years, female 676.1
GTEX-1QP67-1026-SM-EVR47 40-49 years, female 673.9
GTEX-1RAZR-1526-SM-EAZ4U 40-49 years, male 668.7
GTEX-PWN1-1526-SM-48TDA 40-49 years, female 667.8
GTEX-11WQK-2626-SM-5EQ4K 50-59 years, male 664.1
GTEX-11EQ9-1226-SM-5987E 30-39 years, male 661.1
GTEX-ZTX8-0426-SM-59HLG 20-29 years, male 655.4
GTEX-1H3NZ-2226-SM-9WYUT 60-69 years, male 654.7
GTEX-1RB15-1026-SM-E9U6V 60-69 years, male 649.5
GTEX-1MCYP-1126-SM-E9J2P 20-29 years, female 647.5
GTEX-14BMU-1126-SM-5RQJ8 20-29 years, female 646.7
GTEX-T5JW-0926-SM-4DM5K 20-29 years, female 642.5
GTEX-11TT1-0726-SM-5GU5A 20-29 years, male 640.7
GTEX-XBED-1226-SM-4AT5V 60-69 years, male 638.7
GTEX-ZAB4-1526-SM-5CVN7 40-49 years, male 638.2
GTEX-QLQ7-0826-SM-447B3 60-69 years, male 631.1
GTEX-1JMLX-2426-SM-CXZJQ 50-59 years, male 630.8
GTEX-1QCLZ-1826-SM-DPRXP 60-69 years, female 621.9
GTEX-Y5LM-1326-SM-5RQIS 40-49 years, female 621.5
GTEX-18QFQ-1226-SM-718AE 30-39 years, male 619.1
GTEX-16NGA-1526-SM-72D56 40-49 years, female 617.9
GTEX-WYVS-1326-SM-4ONCQ 40-49 years, female 616.0
GTEX-1399U-1626-SM-5P9J3 50-59 years, female 608.2
GTEX-XMK1-1526-SM-EYYVO 40-49 years, male 606.3
GTEX-ZDYS-1926-SM-5HL59 50-59 years, male 601.2
GTEX-WHPG-0426-SM-4M1XW 50-59 years, male 596.9
GTEX-ZV6S-0926-SM-57WGB 40-49 years, female 596.6
GTEX-146FR-2026-SM-5NQAI 60-69 years, female 593.0
GTEX-18A67-2626-SM-718AD 50-59 years, male 593.0
GTEX-14JG6-1226-SM-664O6 30-39 years, female 589.5
GTEX-1J8Q3-1926-SM-C1YSJ 60-69 years, male 588.1
GTEX-PWCY-0926-SM-48TD7 20-29 years, female 587.9
GTEX-1QW4Y-0726-SM-DTX8E 30-39 years, male 584.6
GTEX-17EUY-1526-SM-793CA 20-29 years, male 583.6
GTEX-TMMY-1626-SM-4DXTY 40-49 years, female 580.7
GTEX-QV31-0626-SM-447C5 30-39 years, male 579.9
GTEX-ZE7O-3026-SM-51MS4 50-59 years, female 577.6
GTEX-ZZ64-0426-SM-5E43F 20-29 years, male 576.0
GTEX-1CB4E-1326-SM-7DUGD 60-69 years, male 573.4
GTEX-1F75I-1826-SM-7MKGX 40-49 years, male 571.0
GTEX-1IDJD-2426-SM-C1YS6 30-39 years, male 570.5
GTEX-1LGOU-1526-SM-D3LAJ 20-29 years, female 568.0
GTEX-QLQW-0726-SM-447AA 30-39 years, male 565.5
GTEX-14PKU-1126-SM-69LOU 40-49 years, female 565.1
GTEX-1QP28-2126-SM-DTX8B 50-59 years, female 561.3
GTEX-18D9A-0626-SM-7KFTY 30-39 years, female 555.1
GTEX-12BJ1-1726-SM-5HL9B 60-69 years, male 553.8
GTEX-ZA64-0826-SM-5HL9U 20-29 years, male 552.8
GTEX-17HGU-2126-SM-7IGOV 50-59 years, male 551.3
GTEX-18A66-2226-SM-7189E 60-69 years, male 549.4
GTEX-13O21-0926-SM-5IFGT 50-59 years, male 547.5
GTEX-1I6K7-1726-SM-B2LXQ 40-49 years, male 547.4
GTEX-Y5V6-1326-SM-4VDTF 60-69 years, male 545.6
GTEX-13OVI-2426-SM-5KM4J 60-69 years, female 542.2
GTEX-13QBU-1126-SM-5LU44 40-49 years, female 541.2
GTEX-WFG7-1326-SM-4LMK1 20-29 years, male 540.7
GTEX-14PKV-1826-SM-69LO9 20-29 years, female 539.1
GTEX-WHWD-1426-SM-4OORU 50-59 years, male 537.7
GTEX-1B97I-1226-SM-7MGWQ 40-49 years, male 537.6
GTEX-P4PQ-1526-SM-3NMCK 60-69 years, male 537.2
GTEX-W5WG-1726-SM-4LMI5 50-59 years, female 534.3
GTEX-1H23P-2726-SM-9JGHN 60-69 years, male 533.3
GTEX-RUSQ-1126-SM-EAZAU 50-59 years, male 532.4
GTEX-13D11-2126-SM-5IFH2 50-59 years, female 532.2
GTEX-14DAR-0926-SM-73KUQ 50-59 years, male 531.3
GTEX-15G1A-1226-SM-7KUF3 30-39 years, male 531.1
GTEX-1S831-1126-SM-EWROI 20-29 years, male 528.7
GTEX-1AMEY-1226-SM-731DU 30-39 years, female 528.3
GTEX-1N2DV-0926-SM-E9TJT 40-49 years, male 527.1
GTEX-OXRL-1526-SM-E6CHQ 50-59 years, male 526.6
GTEX-13N1W-2026-SM-5K7YU 70-79 years, male 523.8
GTEX-13QJ3-2726-SM-5SI6L 50-59 years, male 523.8
GTEX-1R9K5-1026-SM-EAZ4F 50-59 years, male 523.8
GTEX-131XG-1226-SM-5EGH9 50-59 years, female 522.6
GTEX-13FTW-1726-SM-5KM2B 40-49 years, male 522.5
GTEX-O5YV-1926-SM-EV797 60-69 years, female 522.0
GTEX-1IDJU-1526-SM-CNNR3 60-69 years, female 520.7
GTEX-Y114-1226-SM-4TT88 50-59 years, female 520.6
GTEX-WHSB-1226-SM-4M1XR 50-59 years, male 519.8
GTEX-11NUK-2426-SM-5BC4U 50-59 years, male 519.4
GTEX-SUCS-0926-SM-4DM4Z 70-79 years, male 519.4
GTEX-ZV7C-1626-SM-5NQ7E 50-59 years, male 519.3
GTEX-ZVT2-1626-SM-51MRC 50-59 years, female 518.5
GTEX-WRHK-0626-SM-4MVOE 20-29 years, female 518.1
GTEX-1GPI7-1326-SM-9KNVA 20-29 years, male 514.0
GTEX-1122O-1926-SM-5EGIQ 60-69 years, female 513.4
GTEX-1AX9J-2626-SM-731EK 60-69 years, male 513.3
GTEX-1LVAM-1426-SM-E9TJ4 50-59 years, female 510.2
GTEX-OHPK-1526-SM-3MJGM 50-59 years, female 509.4
GTEX-111CU-0926-SM-5EGIK 50-59 years, male 509.3
GTEX-OHPM-1526-SM-EV796 50-59 years, male 509.3
GTEX-OIZH-1526-SM-3NB1J 50-59 years, male 508.4
GTEX-18D9B-2226-SM-718BM 60-69 years, male 506.9
GTEX-1JMQJ-1326-SM-D4P3B 50-59 years, male 506.6
GTEX-WY7C-1726-SM-4ONCC 50-59 years, male 506.4
GTEX-R55C-1026-SM-48FCM 40-49 years, male 506.1
GTEX-S4Q7-0726-SM-4AD5F 20-29 years, male 505.9
GTEX-16AAH-1226-SM-79OO9 50-59 years, male 505.7
GTEX-1IDJF-1426-SM-ACKWK 20-29 years, male 504.6
GTEX-1HSMQ-2426-SM-CE6RY 50-59 years, male 504.2
GTEX-14E6E-0926-SM-664N8 30-39 years, male 502.3
GTEX-14E1K-1526-SM-664MN 50-59 years, male 502.1
GTEX-ZQUD-0826-SM-57WDQ 30-39 years, male 501.7
GTEX-17F9E-2226-SM-7IGNC 50-59 years, male 498.7
GTEX-13X6H-1626-SM-5Q5CT 50-59 years, female 498.5
GTEX-13FTX-0726-SM-5N9BI 20-29 years, female 497.5
GTEX-1HR9M-2326-SM-CNPPZ 60-69 years, male 497.1
GTEX-13FH7-1026-SM-5IJGF 50-59 years, female 496.9
GTEX-1HFI7-1526-SM-9WG7W 50-59 years, female 496.7
GTEX-1GN1W-2126-SM-9JGI7 50-59 years, female 494.2
GTEX-12C56-0526-SM-5FQST 20-29 years, male 494.0
GTEX-13PVQ-2126-SM-5L3FW 50-59 years, male 493.2
GTEX-T6MO-0726-SM-4DM58 40-49 years, female 490.6
GTEX-15G19-1526-SM-6LPKP 60-69 years, male 490.5
GTEX-1H1E6-1626-SM-9OSWC 30-39 years, male 490.1
GTEX-1H3VY-2326-SM-9WG81 50-59 years, male 487.3
GTEX-1CB4H-2426-SM-7PBYR 60-69 years, female 485.4
GTEX-ZLFU-1326-SM-DO11R 40-49 years, male 483.9
GTEX-1GF9U-1126-SM-AHZ4H 40-49 years, female 483.2
GTEX-Q2AH-1126-SM-48TZM 40-49 years, male 481.9
GTEX-1KANA-1126-SM-D3L9M 20-29 years, male 477.7
GTEX-P4QT-1526-SM-3NMCT 50-59 years, female 477.4
GTEX-1J8QM-1126-SM-C1YQB 60-69 years, female 477.0
GTEX-ZF29-1526-SM-4WKF7 60-69 years, female 476.3
GTEX-132AR-2426-SM-5IFFD 50-59 years, female 476.0
GTEX-14PJ3-1426-SM-664O8 50-59 years, male 474.8
GTEX-1A3MX-1926-SM-72D7F 60-69 years, male 473.2
GTEX-11P7K-1726-SM-5GU6F 30-39 years, male 473.1
GTEX-YJ8A-1526-SM-5P9FT 20-29 years, male 472.4
GTEX-QDT8-2026-SM-EZ6LS 30-39 years, female 470.0
GTEX-13PVR-2126-SM-73KVR 60-69 years, female 469.2
GTEX-1MJIX-1126-SM-EV7AO 40-49 years, male 468.2
GTEX-111YS-1126-SM-5GZYQ 60-69 years, male 467.8
GTEX-11EM3-1026-SM-5A5KL 20-29 years, female 467.0
GTEX-ZZPU-1426-SM-5GZZ6 50-59 years, female 465.4
GTEX-PLZ5-1226-SM-EXOHA 50-59 years, male 464.4
GTEX-QDVN-1226-SM-48TZ5 50-59 years, male 464.3
GTEX-1HCU8-1326-SM-C1YQQ 60-69 years, female 463.7
GTEX-13S7M-1826-SM-5RQK6 60-69 years, female 463.4
GTEX-1MUQO-1926-SM-EAZ59 60-69 years, male 463.3
GTEX-RTLS-2626-SM-46MUJ 60-69 years, female 461.1
GTEX-1JN76-0926-SM-ARZNH 20-29 years, female 461.1
GTEX-15SHW-2126-SM-6M46Y 60-69 years, male 458.2
GTEX-1C475-1026-SM-7MKFJ 40-49 years, female 458.1
GTEX-15EU6-2526-SM-7KUGB 50-59 years, male 457.4
GTEX-13O3Q-2126-SM-5KM4C 50-59 years, male 457.2
GTEX-1211K-1426-SM-5FQTF 60-69 years, female 455.0
GTEX-S95S-0826-SM-4B64N 60-69 years, male 453.5
GTEX-SNMC-0626-SM-4DM6H 20-29 years, male 453.2
GTEX-TKQ1-0526-SM-4DXTG 30-39 years, male 453.0
GTEX-QMRM-1126-SM-447BN 50-59 years, male 452.6
GTEX-144GN-1226-SM-5O991 50-59 years, male 452.5
GTEX-1PPH8-1326-SM-DTXFO 20-29 years, male 452.3
GTEX-12WSK-1426-SM-5CVNN 40-49 years, female 452.2
GTEX-1HCUA-1626-SM-A9SMG 50-59 years, female 451.5
GTEX-145LT-1426-SM-5O9B3 40-49 years, male 451.4
GTEX-13CF3-1926-SM-5K7WF 60-69 years, female 451.1
GTEX-OXRK-1626-SM-3NB17 50-59 years, female 450.3
GTEX-1QP29-2326-SM-EXOJO 50-59 years, male 450.0
GTEX-QDVJ-1426-SM-48U1Y 50-59 years, male 449.9
GTEX-SNOS-0826-SM-4DM5N 40-49 years, male 449.9
GTEX-1KD5A-1426-SM-D4P3V 50-59 years, male 449.8
GTEX-T8EM-1226-SM-4DM5J 40-49 years, male 449.6
GTEX-YEC4-1426-SM-5IFHS 40-49 years, male 449.4
GTEX-1S3DN-1526-SM-EVYCB 50-59 years, male 448.3
GTEX-11P82-0726-SM-5PNYL 20-29 years, male 446.6
GTEX-1K2DA-0826-SM-CGQGD 50-59 years, male 445.3
GTEX-1NSGN-1926-SM-E9J36 50-59 years, male 444.9
GTEX-XPVG-1526-SM-4B66C 50-59 years, male 443.8
GTEX-1JKYN-1726-SM-AHZ48 30-39 years, male 441.5
GTEX-UPK5-2126-SM-4JBJK 40-49 years, male 441.4
GTEX-1IL2V-2026-SM-ARZMA 70-79 years, male 438.9
GTEX-1B8KZ-1226-SM-793CP 50-59 years, male 438.6
GTEX-14PHX-1026-SM-664OL 50-59 years, male 438.4
GTEX-1B8KE-1326-SM-73KVI 50-59 years, male 438.4
GTEX-1I4MK-0926-SM-A9SLD 50-59 years, female 438.3
GTEX-X15G-1126-SM-4PQZG 50-59 years, female 436.8
GTEX-Q2AI-0826-SM-48TZO 40-49 years, male 436.0
GTEX-13113-0726-SM-5LZUF 60-69 years, female 435.9
GTEX-132QS-1826-SM-5IFFN 60-69 years, male 434.1
GTEX-1AYCT-1326-SM-7MKHB 50-59 years, male 430.7
GTEX-1B8L1-1526-SM-79OLK 60-69 years, male 429.8
GTEX-13111-1226-SM-5GCNC 50-59 years, male 428.7
GTEX-1C64O-2226-SM-73KTV 60-69 years, male 427.5
GTEX-1HKZK-1526-SM-B2LWG 40-49 years, male 427.5
GTEX-145MN-1326-SM-5NQ9S 30-39 years, male 427.1
GTEX-Y3IK-1426-SM-4YCES 50-59 years, female 427.1
GTEX-1F5PL-1426-SM-7MKFH 40-49 years, female 426.4
GTEX-Y8LW-0826-SM-4WWDO 50-59 years, female 426.3
GTEX-1AMFI-1226-SM-731CZ 50-59 years, female 422.9
GTEX-11EI6-2426-SM-5PNVS 60-69 years, male 422.7
GTEX-1EH9U-2226-SM-7PBXX 60-69 years, male 422.1
GTEX-11VI4-0326-SM-5EQ6L 40-49 years, female 422.0
GTEX-1HT8W-2326-SM-A9SLA 30-39 years, male 422.0
GTEX-12WSJ-0926-SM-5P9JD 40-49 years, female 421.8
GTEX-1JMPZ-1826-SM-CXZJT 30-39 years, male 420.6
GTEX-13X6J-2126-SM-5TDCV 50-59 years, male 420.3
GTEX-ZPIC-2026-SM-57WG3 40-49 years, female 419.7
GTEX-131XF-1226-SM-5HL8V 60-69 years, male 418.8
GTEX-133LE-1326-SM-5IFGO 20-29 years, female 418.7
GTEX-S3XE-1026-SM-4AD4O 50-59 years, male 417.2
GTEX-ZVZP-1726-SM-5GZWY 50-59 years, male 416.1
GTEX-1JN1M-2926-SM-CNNPJ 60-69 years, female 415.0
GTEX-Y3I4-1626-SM-4TT7W 50-59 years, male 413.8
GTEX-15UF7-1226-SM-6M46G 40-49 years, male 413.5
GTEX-1QP2A-2126-SM-DPRZ7 50-59 years, male 412.2
GTEX-1I1GT-1726-SM-C1YS3 60-69 years, female 409.5
GTEX-WFG8-1326-SM-4LVN3 20-29 years, male 409.3
GTEX-XBEW-1826-SM-4RTWX 40-49 years, male 408.2
GTEX-UJMC-1226-SM-4IHLI 50-59 years, male 408.0
GTEX-P78B-1826-SM-3P5YX 40-49 years, female 407.4
GTEX-1A3MV-1226-SM-718BW 30-39 years, male 406.1
GTEX-WFJO-1126-SM-4LVLZ 30-39 years, male 404.7
GTEX-YFCO-0826-SM-5LUAG 40-49 years, male 404.7
GTEX-17KNJ-1526-SM-7LTA9 50-59 years, male 404.5
GTEX-TKQ2-0926-SM-4DXU5 50-59 years, male 403.5
GTEX-17F98-1526-SM-7EWD8 40-49 years, female 403.0
GTEX-Y8E4-1526-SM-4WWDI 40-49 years, male 402.6
GTEX-1PIGE-1126-SM-EWRMV 20-29 years, male 402.6
GTEX-1S82Z-1726-SM-E6CHZ 30-39 years, female 402.5
GTEX-ZGAY-1626-SM-DNZZ3 40-49 years, female 402.4
GTEX-13RTK-0226-SM-5RQHR 20-29 years, male 401.4
GTEX-WXYG-1626-SM-4ONCR 50-59 years, female 400.9
GTEX-1GZ4H-1026-SM-9OSXL 50-59 years, female 400.5
GTEX-V955-1326-SM-4JBHR 60-69 years, male 400.1
GTEX-1KXAM-0926-SM-CXZKA 60-69 years, male 400.1
GTEX-145ME-1026-SM-5O9B4 40-49 years, female 399.4
GTEX-VJYA-1026-SM-4KL21 60-69 years, male 398.7
GTEX-117YX-1026-SM-5H11V 50-59 years, male 398.5
GTEX-WFON-1126-SM-4LVMA 40-49 years, male 398.1
GTEX-1HSEH-1526-SM-B2LXG 60-69 years, male 398.1
GTEX-NFK9-1526-SM-3LK7B 40-49 years, male 397.3
GTEX-WEY5-1226-SM-4LMIQ 40-49 years, female 396.9
GTEX-1LGRB-1726-SM-CNNRA 50-59 years, female 396.6
GTEX-R55G-1126-SM-48FDG 40-49 years, female 396.3
GTEX-131XE-2226-SM-5PNYX 50-59 years, male 395.0
GTEX-WH7G-1526-SM-4LVMX 40-49 years, male 392.1
GTEX-WYJK-2526-SM-4ONDF 50-59 years, male 390.8
GTEX-12696-1726-SM-5EQLH 60-69 years, male 388.1
GTEX-ZY6K-0726-SM-5A5L8 50-59 years, male 386.4
GTEX-1GMRU-2526-SM-9WG7T 50-59 years, male 385.3
GTEX-1ICG6-1826-SM-AHZ2O 70-79 years, female 384.7
GTEX-XXEK-0826-SM-4BRWG 50-59 years, male 384.4
GTEX-13OW6-2526-SM-5IJEC 50-59 years, male 383.7
GTEX-S7SF-0626-SM-4AD4V 20-29 years, female 382.7
GTEX-S341-0626-SM-4AD5T 40-49 years, female 382.3
GTEX-V1D1-1726-SM-4JBHB 50-59 years, male 381.7
GTEX-RWS6-0926-SM-47JXE 60-69 years, female 381.4
GTEX-PLZ6-0826-SM-3P61K 30-39 years, male 381.1
GTEX-XAJ8-0326-SM-47JYI 40-49 years, male 379.6
GTEX-14BMV-2226-SM-5RQHX 50-59 years, male 379.4
GTEX-ZP4G-1226-SM-4WWCJ 20-29 years, female 376.8
GTEX-1R7EU-1126-SM-EAZ4M 60-69 years, male 376.5
GTEX-1RMOY-1126-SM-EV79E 50-59 years, male 376.4
GTEX-146FH-2126-SM-5SI9U 50-59 years, female 374.7
GTEX-ZEX8-1626-SM-4WKG7 50-59 years, male 373.8
GTEX-1LG7Z-1226-SM-DHXK4 30-39 years, male 373.0
GTEX-ZLWG-1526-SM-DO12F 50-59 years, female 371.1
GTEX-12WSG-2026-SM-5FQUU 50-59 years, female 370.5
GTEX-S4Z8-1226-SM-4AD6W 60-69 years, male 368.6
GTEX-RM2N-0826-SM-48FD3 50-59 years, male 368.2
GTEX-145MO-2226-SM-5Q5BN 60-69 years, male 366.9
GTEX-17HII-2426-SM-7KFTT 50-59 years, male 365.8
GTEX-XUZC-0726-SM-4BOPH 30-39 years, female 364.6
GTEX-UJHI-1026-SM-4IHJP 50-59 years, female 364.3
GTEX-1399R-1126-SM-5IFIO 30-39 years, male 362.7
GTEX-YEC3-1426-SM-D4P1S 50-59 years, male 362.6
GTEX-14PHY-0926-SM-5ZZWL 60-69 years, female 361.4
GTEX-R53T-1226-SM-48FCT 50-59 years, female 360.2
GTEX-1H11D-2226-SM-9OSXN 40-49 years, male 358.6
GTEX-1E1VI-2826-SM-7MGWU 50-59 years, male 357.2
GTEX-O5YW-1526-SM-3MJGL 50-59 years, male 357.1
GTEX-POMQ-0826-SM-3P61H 20-29 years, female 354.7
GTEX-1HBPN-1626-SM-9WPNP 50-59 years, male 353.9
GTEX-11NSD-1426-SM-5HL67 20-29 years, male 353.7
GTEX-13U4I-2526-SM-5SI8Z 40-49 years, female 353.0
GTEX-T5JC-1926-SM-4DM6Q 20-29 years, male 352.3
GTEX-WZTO-2126-SM-4PQYW 40-49 years, male 350.7
GTEX-1RQEC-2126-SM-DPS15 60-69 years, male 349.8
GTEX-15DCE-1626-SM-6LPJM 20-29 years, male 349.6
GTEX-17GQL-1226-SM-7KFTS 60-69 years, male 345.7
GTEX-1MGNQ-1826-SM-DPRYI 40-49 years, male 345.6
GTEX-1LSNM-1026-SM-DHXL2 50-59 years, male 344.6
GTEX-1B97J-1826-SM-7IGPP 50-59 years, female 344.3
GTEX-12WSD-2326-SM-59HKQ 60-69 years, female 344.0
GTEX-1QCLY-1126-SM-EAZ4J 30-39 years, male 341.9
GTEX-1E2YA-2426-SM-7EPIG 50-59 years, male 341.1
GTEX-QCQG-0526-SM-48U2A 50-59 years, female 337.7
GTEX-P4PP-1526-SM-3P61M 30-39 years, female 336.1
GTEX-17MF6-2126-SM-7KFS7 40-49 years, male 335.7
GTEX-1J8EW-2226-SM-AHZ3T 60-69 years, female 334.8
GTEX-S4P3-0726-SM-4AD57 50-59 years, female 334.5
GTEX-1JK1U-1326-SM-AHZ45 60-69 years, male 332.6
GTEX-ZYY3-1726-SM-5EGH3 60-69 years, female 331.8
GTEX-1QPFJ-1526-SM-DPRXT 30-39 years, female 331.8
GTEX-QV44-1226-SM-CJI1S 50-59 years, male 330.4
GTEX-S4UY-1626-SM-4AD55 40-49 years, female 328.9
GTEX-1CAMR-0726-SM-7EPIE 20-29 years, male 327.7
GTEX-139YR-1926-SM-5LZXM 50-59 years, male 326.9
GTEX-11DXX-1326-SM-5GIDZ 60-69 years, female 323.2
GTEX-15DZA-1126-SM-6LPK8 30-39 years, female 322.2
GTEX-YB5E-1126-SM-664NU 40-49 years, male 320.2
GTEX-1399S-1626-SM-5P9GI 30-39 years, female 317.9
GTEX-11GSP-2126-SM-5HL5E 60-69 years, female 315.4
GTEX-1H1DG-2126-SM-9WPPB 70-79 years, male 314.0
GTEX-1H1DE-1226-SM-9JGHH 20-29 years, male 313.6
GTEX-ZXES-1426-SM-5NQ8S 30-39 years, female 313.2
GTEX-14ICL-0826-SM-5YY9W 30-39 years, male 312.1
GTEX-RU1J-0526-SM-46MUT 20-29 years, female 312.0
GTEX-ZYFG-1326-SM-5GICJ 60-69 years, female 307.8
GTEX-Y9LG-1026-SM-5IFJN 30-39 years, male 307.7
GTEX-1QMI2-2126-SM-DPRXQ 60-69 years, male 304.8
GTEX-1F5PK-1826-SM-7RHHX 50-59 years, male 303.4
GTEX-ZVT3-2126-SM-59HL2 60-69 years, female 301.9
GTEX-14PJ5-0826-SM-6AJAR 60-69 years, female 301.2
GTEX-13OVK-0926-SM-7KUFX 40-49 years, male 296.0
GTEX-139D8-2326-SM-5IFGE 30-39 years, female 295.4
GTEX-R55D-1526-SM-48FEJ 50-59 years, male 293.3
GTEX-14PJ6-0826-SM-686Z9 60-69 years, female 291.0
GTEX-ZF2S-1426-SM-57WET 50-59 years, female 288.7
GTEX-1LBAC-1426-SM-CXZKT 20-29 years, male 285.3
GTEX-1I1HK-2026-SM-CNNRB 60-69 years, male 283.9
GTEX-1GL5R-1926-SM-9WG7U 50-59 years, male 282.5
GTEX-PW2O-1226-SM-48TCH 20-29 years, male 281.3
GTEX-15CHR-1326-SM-79OLT 50-59 years, male 276.1
GTEX-15RIE-1026-SM-6LPJQ 60-69 years, male 275.9
GTEX-ZVP2-1626-SM-5GU5D 50-59 years, male 275.4
GTEX-XQ8I-2026-SM-4BOOL 50-59 years, male 274.2
GTEX-14BIL-1926-SM-73KYI 50-59 years, male 268.8
GTEX-QXCU-1926-SM-48FE4 50-59 years, male 266.8
GTEX-18A7A-2726-SM-7LG6U 50-59 years, female 263.2
GTEX-1A8G6-1426-SM-731EZ 60-69 years, male 261.4
GTEX-Q734-1026-SM-48U16 40-49 years, female 257.6
GTEX-XV7Q-1326-SM-4BRWM 40-49 years, female 255.2
GTEX-1LVAN-2426-SM-CNNPZ 50-59 years, female 254.5
GTEX-14DAQ-2826-SM-664MU 60-69 years, female 253.4
GTEX-ZPU1-1626-SM-4WWB2 40-49 years, male 253.2
GTEX-OIZF-1526-SM-2I5GR 60-69 years, male 252.8
GTEX-PX3G-1526-SM-48U11 20-29 years, female 250.5
GTEX-OOBJ-1526-SM-3NB1Q 60-69 years, male 246.5
GTEX-U3ZN-2026-SM-4DXUC 30-39 years, female 242.5
GTEX-17HHE-1026-SM-79ON6 50-59 years, male 240.0
GTEX-17JCI-2226-SM-7LTA1 60-69 years, female 222.3
GTEX-1J8JJ-1726-SM-C1YQG 60-69 years, female 213.6
GTEX-ZLV1-0826-SM-DO11P 60-69 years, female 212.0
Show allShow less

Contact

  • NEWS ARTICLES
  • PRESS ROOM

The Project

  • INTRODUCTION
  • ORGANIZATION
  • PUBLICATIONS

The Human Protein Atlas

  • DOWNLOADABLE DATA
  • LICENCE & CITATION
  • HELP & FAQ
The Human Protein Atlas project is funded
by the Knut & Alice Wallenberg Foundation.


contact@proteinatlas.org