We use cookies to enhance the usability of our website. If you continue, we'll assume that you are happy to receive all cookies. More information. Don't show this again.
ANXA2
HPA
RESOURCES
  • TISSUE
  • BRAIN
  • SINGLE CELL
  • SUBCELLULAR
  • CANCER
  • BLOOD
  • CELL LINE
  • STRUCTURE & INTERACTION
ABOUT
  • INTRODUCTION
  • HISTORY
  • ORGANIZATION
  • PUBLICATIONS
  • ANTIBODY SUBMISSION
  • ANTIBODY AVAILABILITY
  • ACKNOWLEDGMENTS
  • CONTACT
NEWS
  • NEWS ARTICLES
  • PRESS ROOM
LEARN
  • DICTIONARY
  • PROTEIN CLASSES
  • PROTEIN EVIDENCE
  • METHODS
  • EDUCATIONAL VIDEOS
DATA
  • DOWNLOADABLE DATA
  • PUBLICATION DATA
  • RELEASE HISTORY
HELP
  • ANTIBODY VALIDATION
  • ASSAYS & ANNOTATION
  • DISCLAIMER
  • HELP & FAQ
  • PRIVACY STATEMENT
  • LICENCE & CITATION
Fields »
Search result

Field
Term
Gene name
Class
Subclass
Class
Keyword
Chromosome
External id
Tissue
Cell type
Expression
Antibody panel
Tissue
Main location
Patient ID
Annotation
Tissue
Category
Tau score
Cluster
Reliability
Brain region
Category
Tau score
Brain region
Category
Tau score
Brain region
Category
Tau score
Cluster
Reliability
Tissue
Cell type
Enrichment
Cell type
Category
Tau score
Cell type
Category
Tau score
Cell type
Category
Tau score
Cell lineage
Category
Tau score
Cluster
Cluster
Location
Searches
Location
Cell line
Class
Type
Phase
Reliability
Cancer
Prognosis
Cancer
Category
Cancer
Category
Tau score
Cluster
Variants
Interacting gene (ensg_id)
Type
Number of interactions
Pathway
Category
Score
Score
Score
Validation
Validation
Validation
Validation
Antibodies
Data type
Column


  • SUMMARY

  • TISSUE

  • BRAIN

  • SINGLE CELL

  • SUBCELL

  • CANCER

  • BLOOD

  • CELL LINE

  • STRUCT & INT

  • ANXA2
TISSUE PRIMARY DATA SALIVARY GLAND Show tissue menu
ADIPOSE TISSUE ADRENAL GLAND AMYGDALA APPENDIX BASAL GANGLIA BONE MARROW BREAST BRONCHUS CEREBELLUM CEREBRAL CORTEX CERVIX CHOROID PLEXUS COLON DUODENUM
ENDOMETRIUM EPIDIDYMIS ESOPHAGUS FALLOPIAN TUBE GALLBLADDER HEART MUSCLE HIPPOCAMPAL FORMATION HYPOTHALAMUS KIDNEY LIVER LUNG LYMPH NODE MIDBRAIN NASOPHARYNX
ORAL MUCOSA OVARY PANCREAS PARATHYROID GLAND PITUITARY GLAND PLACENTA PROSTATE RECTUM RETINA SALIVARY GLAND SEMINAL VESICLE SKELETAL MUSCLE SKIN SMALL INTESTINE
SMOOTH MUSCLE SOFT TISSUE SPINAL CORD SPLEEN STOMACH TESTIS THYMUS THYROID GLAND TONGUE TONSIL URINARY BLADDER VAGINA
ANTIBODIES
AND
VALIDATION
Dictionary
Salivary gland
Tissue proteome
Salivary gland
SALIVARY GLAND - Expression summary
Protein expression
Salivary glandi

On the top, protein expression in current human tissue, based on all annotated cell types, is reported with the units not detected (n), low (l), medium (m) and high (h). Underneath, protein expression in each annotated cell type are reported using the same units.

Protein expression data is based on knowledge-based annotation. For genes where more than one antibody has been used, a collective score is set.

If knowledge-based annotation could not be performed for a gene, no data is displayed here. View antibody staining data further down this page.

h
m
l
n
Glandular cells: Low
RNA expressioni

A summary of mRNA expression data available for current tissue based on several datasets. The mRNA expression levels in human tissues are based on RNA-seq data generated by the Human Protein Atlas (HPA), Genotype-Tissue Expression (GTEx) portal and CAGE data generated by the FANTOM5 consortium. Consensus normalized expression levels for human tissues was created by combining the data from HPA and GTEx datasets.

The mRNA expression levels in pig are based on RNA-seq data generated by the Human Protein Atlas (HPA), and for mouse, HPA data and in situ hybridization generated by the Allen brain atlas are reported.

Scroll down to view mRNA expression data in more detail.
Consensus:905.7 nTPM
HPA:241.0 nTPM
GTEx:905.7 nTPM
FANTOM5:49.9 Scaled Tags Per Million

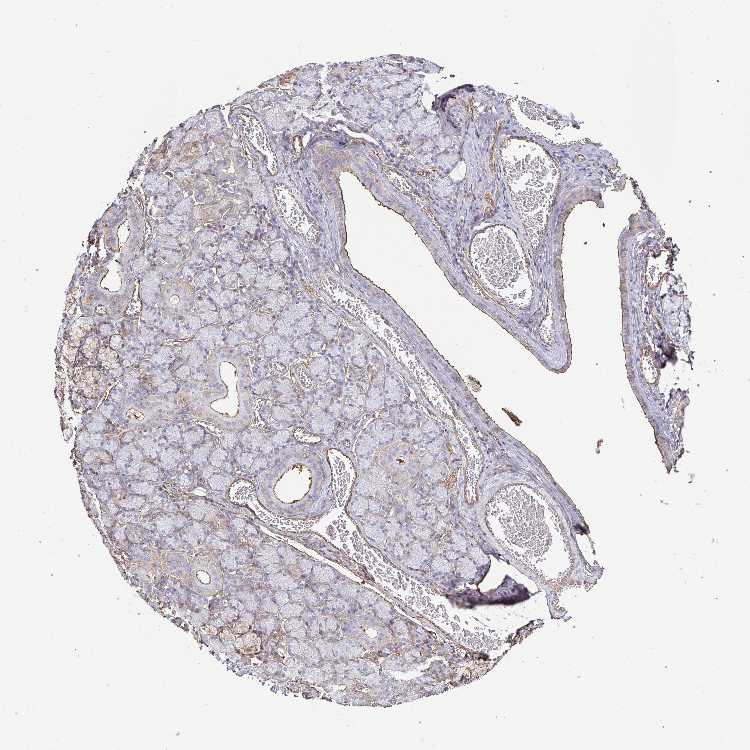
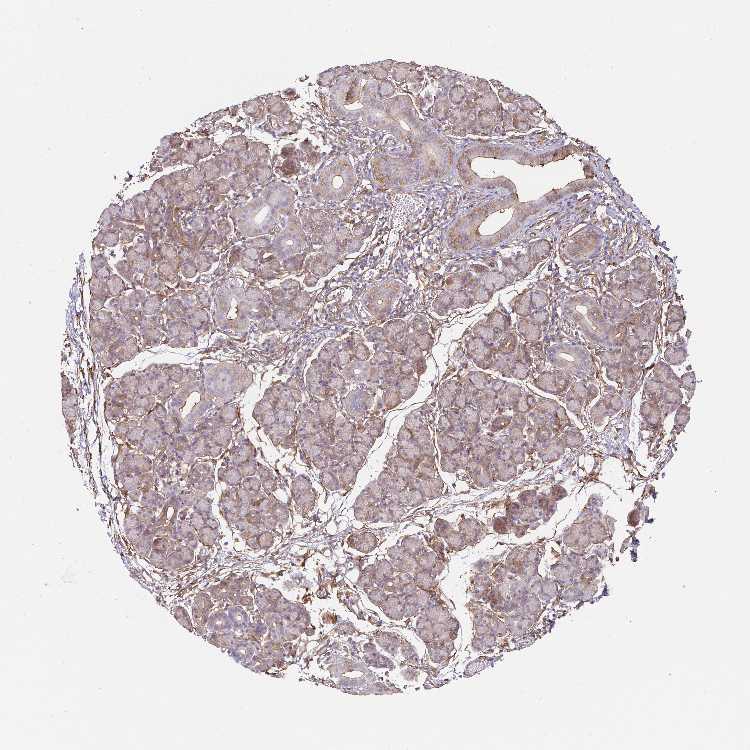
SALIVARY GLAND - Antibody stainingi

Antibody staining in the annotated cell types in the current human tissue is reported as not detected, low, medium, or high, based on conventional immunohistochemistry profiling in selected tissues. This score is based on the combination of the staining intensity and fraction of stained cells.

Each image is clickable and will lead to virtual microscopy that enables deeper exploration of all samples and also displays staining intensity scores, fraction scores and subcellular localization as well as patient and tissue information for each sample.

Antibody HPA046964Antibody HPA061798Antibody CAB004311
Glandular cells LowLowNot detected





SALIVARY GLAND - HPA RNA-seqi

The RNA-seq details section shows detailed information about the individual samples used for the transcript profiling and results of the RNA-seq analysis.

Information about each individual sample is listed below, including gender, age, a tissue section image and estimated fractions of cell types. nTPM (normalized transcripts per million) values give a quantification of the gene abundance which is comparable between different genes and samples.
Average nTPMi

Max subtype nTPM is the value for the subtype with the largest average nTPM across the subtype samples.

241.0
overview
Female, age 68
Salivary gland sample 216
nTPM: 239.8
Cell types%
Glandular cells:
45

Ductal cells:
25

Adipocytes:
5

Other cell types:
25

overview
Male, age 60
Salivary gland sample 217
nTPM: 228.5
Cell types%
Glandular cells:
55

Ductal cells:
20

Adipocytes:
5

Endothelial cells:
5

Other cell types:
15

overview
Female, age 21
Salivary gland sample 218
nTPM: 254.6
Cell types%
Glandular cells:
55

Ductal cells:
15

Adipocytes:
5

Endothelial cells:
5

Other cell types:
20


SALIVARY GLAND - GTEx RNA-seqi

RNA-Seq data generated by the Genotype-Tissue Expression (GTEx) project from human tissues is reported as mean nTPM. More information can be found on the GTEx portal.

Distribution across the dataset is visualized with box plots, shown as median and 25th and 75th percentiles. Points are displayed as outliers if they are above or below 1.5 times the interquartile range. nTPM values of the individual samples are presented next to the box plot.
Max subtype nTPMi

Max subtype nTPM is the value for the subtype with the largest average nTPM across the subtype samples.

905.7
GTEx sample id Sample description nTPM
Minor Salivary Gland
Average nTPM: 905.7
Samples: 162

Max nTPM: 3047.5
Min nTPM: 323.6
Std nTPM: 521.8
Median nTPM: 709.4
GTEX-ZLWG-2026-SM-DO11F 50-59 years, female 3047.5
GTEX-ZLFU-2226-SM-EXUS7 40-49 years, male 2889.4
GTEX-1HCU7-0126-SM-C1YR3 50-59 years, male 2563.2
GTEX-11ZTS-3026-SM-5EQM7 60-69 years, female 2374.6
GTEX-1192X-2926-SM-5N9BA 50-59 years, male 2331.8
GTEX-Y5LM-1826-SM-4VDT9 40-49 years, female 2287.8
GTEX-11EMC-2526-SM-5PNVU 60-69 years, female 2180.2
GTEX-ZF29-2126-SM-DNZYX 60-69 years, female 2102.0
GTEX-ZT9W-2126-SM-51MSF 50-59 years, male 1985.6
GTEX-11WQK-2926-SM-5EQKT 50-59 years, male 1964.9
GTEX-ZPU1-2326-SM-57WEP 40-49 years, male 1931.4
GTEX-13QBU-2126-SM-5KLZN 40-49 years, female 1809.8
GTEX-131XH-2626-SM-5GCNP 50-59 years, male 1785.8
GTEX-18QFQ-0626-SM-718AW 30-39 years, male 1764.6
GTEX-ZQG8-2126-SM-4YCF1 60-69 years, female 1738.3
GTEX-1CB4I-2526-SM-7MKG1 50-59 years, male 1631.1
GTEX-XV7Q-2426-SM-4BRV8 40-49 years, female 1601.3
GTEX-1C64O-0626-SM-7DHL1 60-69 years, male 1548.4
GTEX-WFJO-2026-SM-4LVM3 30-39 years, male 1523.3
GTEX-ZAB5-2326-SM-5IJFR 50-59 years, male 1513.9
GTEX-1QP9N-2026-SM-DPRZT 30-39 years, male 1484.4
GTEX-ZP4G-1926-SM-57WDZ 20-29 years, female 1479.9
GTEX-12BJ1-2226-SM-5BC6G 60-69 years, male 1441.2
GTEX-XMK1-2626-SM-4B65R 40-49 years, male 1440.2
GTEX-WY7C-1426-SM-4OND1 50-59 years, male 1414.9
GTEX-1PPH8-1526-SM-E6CQO 20-29 years, male 1387.3
GTEX-1C6VR-0726-SM-7P8OV 60-69 years, male 1359.4
GTEX-ZA64-1726-SM-5CVMF 20-29 years, male 1328.1
GTEX-ZXG5-2826-SM-5NQ8T 60-69 years, male 1275.0
GTEX-1QCLZ-2526-SM-EXUST 60-69 years, female 1273.0
GTEX-15EU6-2626-SM-7KUN4 50-59 years, male 1204.7
GTEX-11P81-2026-SM-5P9GT 30-39 years, female 1199.6
GTEX-18A67-0626-SM-7KFSL 50-59 years, male 1190.9
GTEX-1R9PO-2626-SM-E6CPU 60-69 years, female 1184.5
GTEX-13OVI-2326-SM-5KM47 60-69 years, female 1184.3
GTEX-X261-2426-SM-4PQZU 50-59 years, male 1182.6
GTEX-1I6K7-0926-SM-A96SV 40-49 years, male 1176.4
GTEX-14E1K-2626-SM-664OJ 50-59 years, male 1161.7
GTEX-1OJC3-1026-SM-E6CQK 20-29 years, male 1140.7
GTEX-1GPI7-0326-SM-7MKH6 20-29 years, male 1116.2
GTEX-YF7O-2226-SM-5CVN8 50-59 years, male 1115.7
GTEX-1S83E-0626-SM-E9TKC 40-49 years, male 1089.1
GTEX-1I4MK-1326-SM-B2LWT 50-59 years, female 1075.1
GTEX-1JKYR-0726-SM-AHZ3K 20-29 years, male 1068.2
GTEX-1PIEJ-0626-SM-DTX99 20-29 years, female 1065.2
GTEX-WH7G-2126-SM-4M1XU 40-49 years, male 1046.7
GTEX-1B97J-2126-SM-79OL6 50-59 years, female 1035.8
GTEX-14PJ3-1526-SM-664O9 50-59 years, male 1026.4
GTEX-18D9U-2226-SM-7KFTN 40-49 years, male 1013.7
GTEX-WYVS-2026-SM-4RGNS 40-49 years, female 1000.1
GTEX-1R9K5-0626-SM-DPRZB 50-59 years, male 997.8
GTEX-1AX9K-2126-SM-72D7K 50-59 years, male 993.2
GTEX-1339X-2326-SM-5HL5B 40-49 years, male 966.6
GTEX-1JN1M-2426-SM-ARU93 60-69 years, female 965.1
GTEX-14PN4-2526-SM-686ZG 50-59 years, male 956.7
GTEX-1POEN-2226-SM-DPRXV 30-39 years, female 953.1
GTEX-17KNJ-2726-SM-7KFRE 50-59 years, male 948.9
GTEX-13111-2326-SM-5LZUQ 50-59 years, male 905.0
GTEX-1MGNQ-1926-SM-DTX8L 40-49 years, male 904.4
GTEX-YB5K-1726-SM-5IFIZ 40-49 years, female 891.5
GTEX-11P82-0926-SM-5986X 20-29 years, male 884.4
GTEX-1IDJD-2526-SM-C1YSA 30-39 years, male 870.0
GTEX-15CHC-1226-SM-686ZH 60-69 years, female 868.7
GTEX-1MCC2-2226-SM-EV7AJ 30-39 years, female 858.0
GTEX-1AYD5-2726-SM-7MXVG 50-59 years, male 849.8
GTEX-1AX8Z-0626-SM-731EH 60-69 years, male 833.8
GTEX-Y5V6-2226-SM-4VDTC 60-69 years, male 826.7
GTEX-1EH9U-2926-SM-7DHLX 60-69 years, male 822.2
GTEX-12WSL-2126-SM-5GCNG 50-59 years, male 814.3
GTEX-17MFQ-1626-SM-7938Z 20-29 years, male 814.1
GTEX-Y3I4-1926-SM-4TT8L 50-59 years, male 809.8
GTEX-145ME-1626-SM-5RQI3 40-49 years, female 809.0
GTEX-1GF9X-0226-SM-7P8SM 40-49 years, female 805.8
GTEX-1IY9M-2926-SM-A96TH 60-69 years, male 799.4
GTEX-18A7B-2826-SM-7KFTK 70-79 years, male 780.4
GTEX-ZG7Y-2426-SM-DO11H 50-59 years, male 779.3
GTEX-WHSB-2326-SM-4M1XK 50-59 years, male 738.2
GTEX-1HFI7-2426-SM-B2LXV 50-59 years, female 725.7
GTEX-111FC-2926-SM-5GZY7 60-69 years, male 715.3
GTEX-1J1R8-1826-SM-AHZ3B 40-49 years, male 715.3
GTEX-11EQ9-2026-SM-5P9JI 30-39 years, male 709.4
GTEX-1HR9M-2526-SM-A9G3J 60-69 years, male 709.4
GTEX-1KANC-1326-SM-CYPT8 50-59 years, female 693.1
GTEX-1HSEH-1826-SM-A96SA 60-69 years, male 689.6
GTEX-1314G-2026-SM-5LZUM 30-39 years, male 672.3
GTEX-1LKK1-2926-SM-EVR4Z 50-59 years, female 668.0
GTEX-1GTWX-2526-SM-9JGHG 60-69 years, male 663.7
GTEX-11TUW-2426-SM-5EQKB 60-69 years, male 661.4
GTEX-12WSN-2226-SM-5DUXT 40-49 years, male 660.7
GTEX-13113-1526-SM-5EGHV 60-69 years, female 656.8
GTEX-1R9PM-1726-SM-E8VOA 20-29 years, male 647.1
GTEX-1GN1W-2526-SM-9JGHX 50-59 years, female 632.3
GTEX-13QJC-2326-SM-5Q5CD 60-69 years, female 631.5
GTEX-X5EB-1726-SM-4E3J7 40-49 years, male 631.3
GTEX-1LVA9-2526-SM-EVR5H 50-59 years, male 630.1
GTEX-1NSGN-0626-SM-E9J35 50-59 years, male 622.5
GTEX-13JVG-2926-SM-5J2N9 60-69 years, male 616.7
GTEX-Y111-2626-SM-4TT24 50-59 years, male 616.7
GTEX-12WSM-1826-SM-5BC64 60-69 years, male 615.8
GTEX-13O21-1926-SM-5MR39 50-59 years, male 612.1
GTEX-X15G-2126-SM-4PQZR 50-59 years, female 610.5
GTEX-178AV-1426-SM-6LLID 40-49 years, male 601.3
GTEX-1QEPI-0626-SM-E76QE 60-69 years, female 600.8
GTEX-1B8SF-1826-SM-731DJ 60-69 years, male 600.2
GTEX-1IDJC-1626-SM-AHZ2R 50-59 years, male 599.9
GTEX-1JN6P-2526-SM-CNNPX 60-69 years, male 599.7
GTEX-1MCQQ-2226-SM-DLHC4 60-69 years, male 588.8
GTEX-1IE54-0826-SM-AHZ2Z 40-49 years, female 588.7
GTEX-WOFM-2126-SM-4OOSR 20-29 years, male 585.8
GTEX-1LVAO-2626-SM-EVR4S 60-69 years, male 584.2
GTEX-1OJC4-3126-SM-EXOJK 50-59 years, female 582.4
GTEX-1QMI2-0426-SM-EWRND 60-69 years, male 581.5
GTEX-1RNSC-2926-SM-EV79L 60-69 years, male 575.7
GTEX-1GMR2-2026-SM-7MKHK 50-59 years, male 572.7
GTEX-1R9K4-0526-SM-E76P1 60-69 years, male 572.6
GTEX-13CF2-2426-SM-5LZYL 60-69 years, male 559.1
GTEX-1I1HK-2526-SM-A96SM 60-69 years, male 558.6
GTEX-13OVK-1826-SM-6PALE 40-49 years, male 554.3
GTEX-1J8QM-1826-SM-A96TA 60-69 years, female 553.7
GTEX-1GN1V-2926-SM-9JGI3 60-69 years, male 544.9
GTEX-1445S-2926-SM-5O993 60-69 years, male 544.1
GTEX-131XF-2826-SM-5EGKH 60-69 years, male 538.1
GTEX-1LC47-2426-SM-DHXKK 60-69 years, male 534.4
GTEX-14PJN-1726-SM-69LO7 30-39 years, male 534.1
GTEX-1J8EW-2826-SM-A96T9 60-69 years, female 533.8
GTEX-1B932-0626-SM-731EM 40-49 years, female 533.0
GTEX-1KD5A-2226-SM-EV79U 50-59 years, male 529.6
GTEX-1117F-3026-SM-5GZYU 60-69 years, female 528.8
GTEX-ZC5H-2726-SM-5KLZW 40-49 years, female 528.0
GTEX-1H4P4-2026-SM-9WPNV 50-59 years, male 521.7
GTEX-11NV4-1926-SM-5N9D4 60-69 years, male 520.8
GTEX-146FR-1226-SM-5SIA7 60-69 years, female 519.5
GTEX-ZE7O-2926-SM-51MSG 50-59 years, female 514.7
GTEX-1LSNL-2626-SM-EV7AT 50-59 years, male 512.4
GTEX-13NYB-2426-SM-5IFF4 40-49 years, male 507.8
GTEX-ZQUD-2126-SM-51MSY 30-39 years, male 504.6
GTEX-1KD4Q-2526-SM-CXZKL 40-49 years, male 501.9
GTEX-1P4AB-2926-SM-EXOJR 50-59 years, male 488.3
GTEX-1RAZA-0626-SM-EAZ4H 20-29 years, male 486.1
GTEX-1HSMQ-0926-SM-A96SI 50-59 years, male 485.7
GTEX-1B8KZ-1726-SM-73KV7 50-59 years, male 483.8
GTEX-1AMEY-1126-SM-72D79 30-39 years, female 476.1
GTEX-15SHV-2226-SM-6M464 60-69 years, male 474.2
GTEX-1HSGN-0626-SM-A9G2E 40-49 years, female 460.8
GTEX-1GZ2Q-2526-SM-9KNVW 40-49 years, male 451.2
GTEX-13VXT-1726-SM-5IFF5 20-29 years, female 446.9
GTEX-11ZTT-2226-SM-5CVLP 60-69 years, female 441.9
GTEX-1S82P-0726-SM-EVR4O 60-69 years, female 438.3
GTEX-14B4R-1426-SM-5Q5CG 30-39 years, male 437.5
GTEX-1I6K6-0626-SM-ARU7J 30-39 years, male 431.8
GTEX-13G51-2426-SM-5LZY8 60-69 years, male 431.3
GTEX-1C64N-2926-SM-79OLM 50-59 years, male 418.1
GTEX-1A3MV-1726-SM-72D68 30-39 years, male 417.5
GTEX-1LBAC-0626-SM-D3L9T 20-29 years, male 414.9
GTEX-1H1CY-2326-SM-9OSXW 60-69 years, female 414.4
GTEX-1IOXB-2826-SM-AHZ32 50-59 years, male 413.5
GTEX-15RJE-2726-SM-6LPJ1 40-49 years, male 403.2
GTEX-13OVL-2926-SM-5IFG3 50-59 years, male 400.7
GTEX-XGQ4-2626-SM-4AT6B 50-59 years, male 399.3
GTEX-X3Y1-1926-SM-4PQZO 40-49 years, male 396.7
GTEX-1C4CL-2026-SM-731EB 30-39 years, male 387.4
GTEX-14JIY-3026-SM-6EU1R 60-69 years, male 323.6
Show allShow less

SALIVARY GLAND - FANTOM5 CAGEi

RNA expression in human tissues obtained through Cap Analysis of Gene Expression (CAGE) generated by the FANTOM5 project are reported as Scaled Tags Per Million.

Max subtype Scaled Tags Per Millioni

Max subtype Scaled Tags Per Million is the value for the subtype with the largest average Scaled Tags Per Million across the subtype samples.

49.9
FANTOM5 sample id Sample description Scaled Tags Per Million
Parotid gland
Scaled Tags Per Million: 49.9
FF:10199-103F1 23 years, male 49.9
Salivary gland
Scaled Tags Per Million: 49.8
FF:10093-102C3 16-60 years, mixed 49.8
Submaxillary gland
Scaled Tags Per Million: 28.3
FF:10202-103F4 24 years, male 28.3

Contact

  • NEWS ARTICLES
  • PRESS ROOM

The Project

  • INTRODUCTION
  • ORGANIZATION
  • PUBLICATIONS

The Human Protein Atlas

  • DOWNLOADABLE DATA
  • LICENCE & CITATION
  • HELP & FAQ
The Human Protein Atlas project is funded
by the Knut & Alice Wallenberg Foundation.


contact@proteinatlas.org