We use cookies to enhance the usability of our website. If you continue, we'll assume that you are happy to receive all cookies. More information. Don't show this again.
H1-10
HPA
RESOURCES
  • TISSUE
  • BRAIN
  • SINGLE CELL
  • SUBCELLULAR
  • CANCER
  • BLOOD
  • CELL LINE
  • STRUCTURE & INTERACTION
ABOUT
  • INTRODUCTION
  • HISTORY
  • ORGANIZATION
  • PUBLICATIONS
  • ANTIBODY SUBMISSION
  • ANTIBODY AVAILABILITY
  • ACKNOWLEDGMENTS
  • CONTACT
NEWS
  • NEWS ARTICLES
  • PRESS ROOM
LEARN
  • DICTIONARY
  • PROTEIN CLASSES
  • PROTEIN EVIDENCE
  • METHODS
  • EDUCATIONAL VIDEOS
DATA
  • DOWNLOADABLE DATA
  • PUBLICATION DATA
  • RELEASE HISTORY
HELP
  • ANTIBODY VALIDATION
  • ASSAYS & ANNOTATION
  • DISCLAIMER
  • HELP & FAQ
  • PRIVACY STATEMENT
  • LICENCE & CITATION
Fields »
Search result

Field
Term
Gene name
Class
Subclass
Class
Keyword
Chromosome
External id
Tissue
Cell type
Expression
Antibody panel
Tissue
Main location
Patient ID
Annotation
Tissue
Category
Tau score
Cluster
Reliability
Brain region
Category
Tau score
Brain region
Category
Tau score
Brain region
Category
Tau score
Cluster
Reliability
Tissue
Cell type
Enrichment
Cell type
Category
Tau score
Cell type
Category
Tau score
Cell type
Category
Tau score
Cell lineage
Category
Tau score
Cluster
Cluster
Location
Searches
Location
Cell line
Class
Type
Phase
Reliability
Cancer
Prognosis
Cancer
Category
Cancer
Category
Tau score
Cluster
Variants
Interacting gene (ensg_id)
Type
Number of interactions
Pathway
Category
Score
Score
Score
Validation
Validation
Validation
Validation
Antibodies
Data type
Column


  • SUMMARY

  • TISSUE

  • BRAIN

  • SINGLE CELL

  • SUBCELL

  • CANCER

  • BLOOD

  • CELL LINE

  • STRUCT & INT

  • H1-10
TISSUE PRIMARY DATA BREAST Show tissue menu
ADIPOSE TISSUE ADRENAL GLAND AMYGDALA APPENDIX BASAL GANGLIA BONE MARROW BREAST BRONCHUS CEREBELLUM CEREBRAL CORTEX CERVIX CHOROID PLEXUS COLON DUODENUM
ENDOMETRIUM EPIDIDYMIS ESOPHAGUS FALLOPIAN TUBE GALLBLADDER HEART MUSCLE HIPPOCAMPAL FORMATION HYPOTHALAMUS KIDNEY LIVER LUNG LYMPH NODE MIDBRAIN NASOPHARYNX
ORAL MUCOSA OVARY PANCREAS PARATHYROID GLAND PITUITARY GLAND PLACENTA PROSTATE RECTUM RETINA SALIVARY GLAND SEMINAL VESICLE SKELETAL MUSCLE SKIN SMALL INTESTINE
SMOOTH MUSCLE SOFT TISSUE SPINAL CORD SPLEEN STOMACH TESTIS THYMUS THYROID GLAND TONGUE TONSIL URINARY BLADDER VAGINA
ANTIBODIES
AND
VALIDATION
Dictionary
Breast
Tissue proteome
Breast
BREAST - Expression summary
Protein expression
Breasti

On the top, protein expression in current human tissue, based on all annotated cell types, is reported with the units not detected (n), low (l), medium (m) and high (h). Underneath, protein expression in each annotated cell type are reported using the same units.

Protein expression data is based on knowledge-based annotation. For genes where more than one antibody has been used, a collective score is set.

If knowledge-based annotation could not be performed for a gene, no data is displayed here. View antibody staining data further down this page.

h
m
l
n
Adipocytes: Not detected
Glandular cells: Not detected
Myoepithelial cells: Low
RNA expressioni

A summary of mRNA expression data available for current tissue based on several datasets. The mRNA expression levels in human tissues are based on RNA-seq data generated by the Human Protein Atlas (HPA), Genotype-Tissue Expression (GTEx) portal and CAGE data generated by the FANTOM5 consortium. Consensus normalized expression levels for human tissues was created by combining the data from HPA and GTEx datasets.

The mRNA expression levels in pig are based on RNA-seq data generated by the Human Protein Atlas (HPA), and for mouse, HPA data and in situ hybridization generated by the Allen brain atlas are reported.

Scroll down to view mRNA expression data in more detail.
Consensus:140.2 nTPM
HPA:20.5 nTPM
GTEx:140.2 nTPM
FANTOM5:613.8 Scaled Tags Per Million

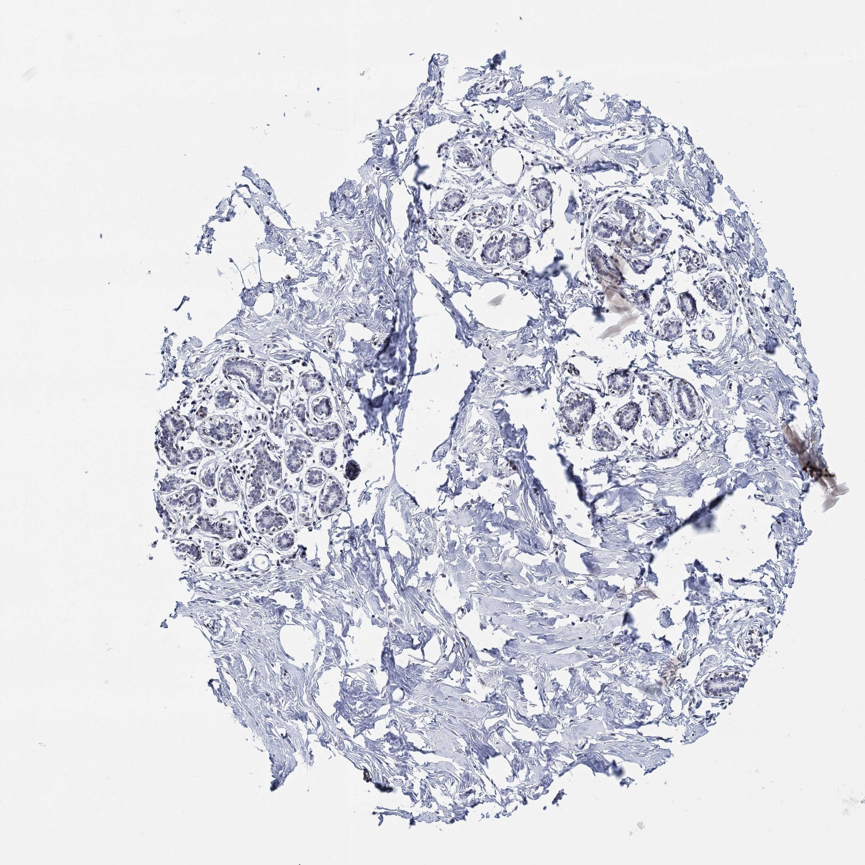
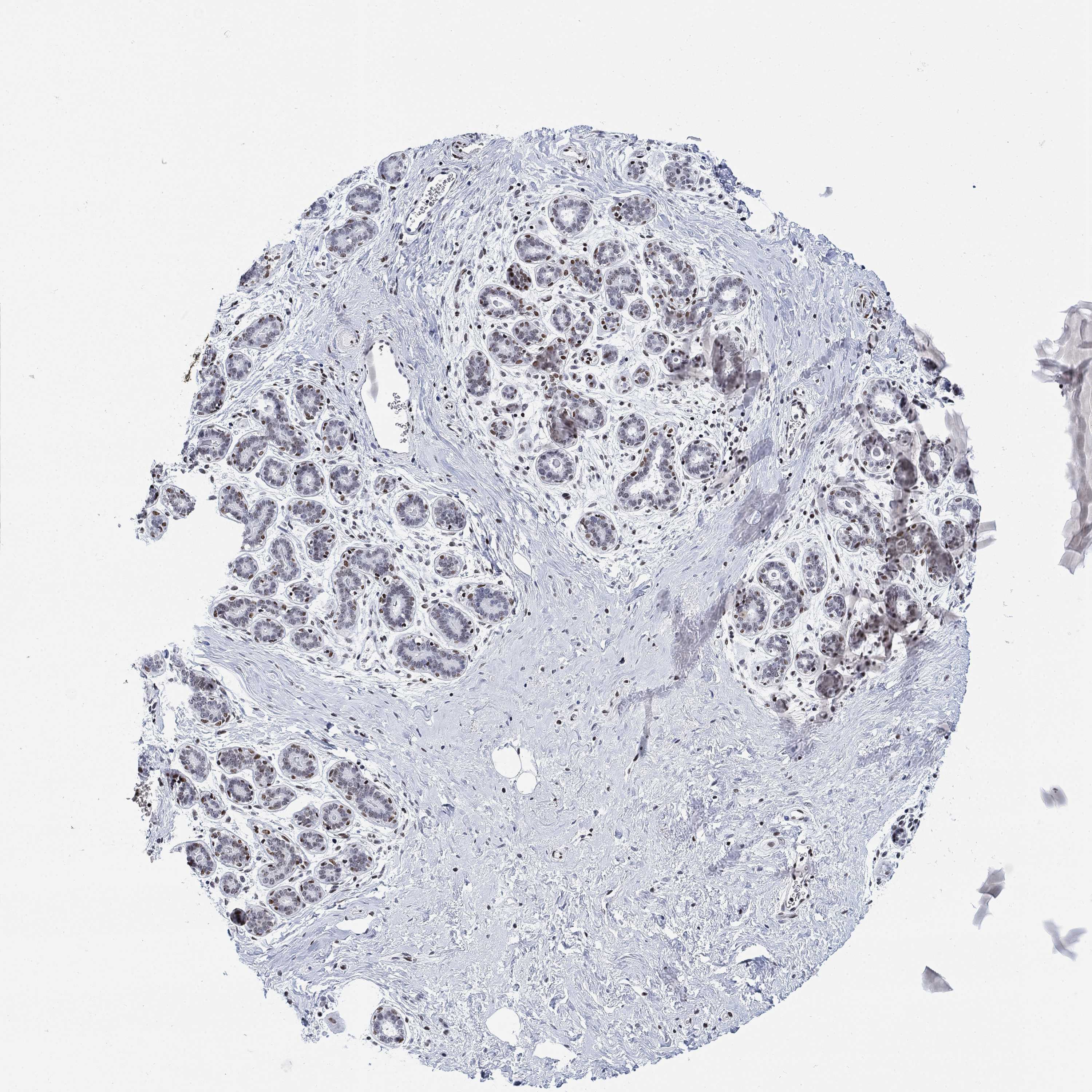
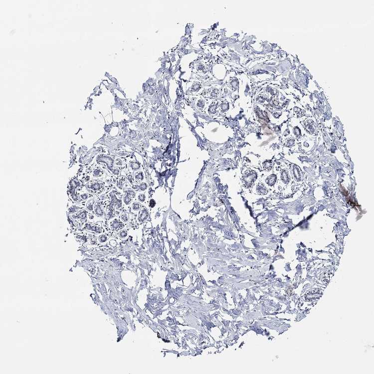
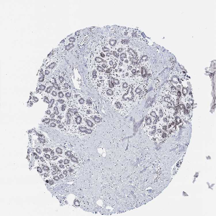
BREAST - Antibody stainingi

Antibody staining in the annotated cell types in the current human tissue is reported as not detected, low, medium, or high, based on conventional immunohistochemistry profiling in selected tissues. This score is based on the combination of the staining intensity and fraction of stained cells.

Each image is clickable and will lead to virtual microscopy that enables deeper exploration of all samples and also displays staining intensity scores, fraction scores and subcellular localization as well as patient and tissue information for each sample.

Antibody HPA068431Antibody CAB012235
Adipocytes -Not detected
Glandular cells LowNot detected
Myoepithelial cells LowLow


BREAST - HPA RNA-seqi

The RNA-seq details section shows detailed information about the individual samples used for the transcript profiling and results of the RNA-seq analysis.

Information about each individual sample is listed below, including gender, age, a tissue section image and estimated fractions of cell types. nTPM (normalized transcripts per million) values give a quantification of the gene abundance which is comparable between different genes and samples.
Average nTPMi

Max subtype nTPM is the value for the subtype with the largest average nTPM across the subtype samples.

20.5
overview
Female, age 52
Breast sample 373
nTPM: 29.6
Cell types%
Glandular cells:
15

Adipocytes:
5

Other cell types:
80

overview
Female, age 80
Breast sample 390
nTPM: 21.3
Cell types%
Glandular cells:
5

Adipocytes:
15

Other cell types:
80

overview
Female, age 47
Breast sample 405
nTPM: 23.4
Cell types%
Glandular cells:
5

Adipocytes:
5

Other cell types:
90

overview
Female, age 38
Breast sample 410
nTPM: 7.7
Cell types%
Glandular cells:
40

Adipocytes:
5

Other cell types:
55


BREAST - GTEx RNA-seqi

RNA-Seq data generated by the Genotype-Tissue Expression (GTEx) project from human tissues is reported as mean nTPM. More information can be found on the GTEx portal.

Distribution across the dataset is visualized with box plots, shown as median and 25th and 75th percentiles. Points are displayed as outliers if they are above or below 1.5 times the interquartile range. nTPM values of the individual samples are presented next to the box plot.
Max subtype nTPMi

Max subtype nTPM is the value for the subtype with the largest average nTPM across the subtype samples.

140.2
GTEx sample id Sample description nTPM
Breast - Mammary Tissue
Average nTPM: 140.2
Samples: 459

Max nTPM: 825.9
Min nTPM: 28.4
Std nTPM: 71.3
Median nTPM: 128.8
GTEX-U412-1826-SM-4DXTJ 60-69 years, male 825.9
GTEX-XMD2-0926-SM-4WWEF 60-69 years, female 494.3
GTEX-14LLW-0626-SM-62LFC 70-79 years, female 484.9
GTEX-1269C-2426-SM-5FQSN 60-69 years, female 410.2
GTEX-15FZZ-0726-SM-7KUFZ 30-39 years, female 377.5
GTEX-12ZZX-1126-SM-5EGKB 40-49 years, female 341.0
GTEX-1GZ4I-2826-SM-9MQK5 50-59 years, male 331.9
GTEX-14B4R-1226-SM-5TDDT 30-39 years, male 331.5
GTEX-13SLW-2526-SM-62LDQ 70-79 years, male 317.5
GTEX-1H1DG-0526-SM-9YFLN 70-79 years, male 317.5
GTEX-131XW-0726-SM-5EGK3 50-59 years, female 315.4
GTEX-145MN-1926-SM-5SIAI 30-39 years, male 314.9
GTEX-X4EP-2926-SM-3P5YQ 60-69 years, female 311.0
GTEX-1IE54-0626-SM-ARL8D 40-49 years, female 297.0
GTEX-X15G-1626-SM-3NMB3 50-59 years, female 293.2
GTEX-1GN1U-0526-SM-9KNTT 50-59 years, female 290.6
GTEX-11EM3-1326-SM-5N9C6 20-29 years, female 287.0
GTEX-ZF3C-2326-SM-5S2NC 50-59 years, female 286.6
GTEX-1HC8U-0826-SM-ADEIL 40-49 years, female 275.3
GTEX-13FTY-2226-SM-5J1ND 40-49 years, female 275.0
GTEX-11GS4-2126-SM-5A5KR 60-69 years, male 264.8
GTEX-WI4N-1426-SM-3LK7H 40-49 years, female 263.3
GTEX-T2IS-1526-SM-32QPR 20-29 years, female 262.0
GTEX-15ER7-1626-SM-6PAMZ 20-29 years, female 261.1
GTEX-11PRG-0826-SM-5EQ6A 50-59 years, male 257.0
GTEX-ZQUD-1926-SM-51MSA 30-39 years, male 254.5
GTEX-RU1J-0626-SM-4WAWY 20-29 years, female 252.6
GTEX-WYVS-1726-SM-3NMAY 40-49 years, female 252.1
GTEX-131YS-0626-SM-5EGKL 60-69 years, female 249.5
GTEX-1JJE9-2326-SM-ARL8Q 70-79 years, male 243.9
GTEX-Y114-2026-SM-4TT7L 50-59 years, female 241.4
GTEX-132Q8-1426-SM-5EGK7 60-69 years, male 239.3
GTEX-13FHO-0826-SM-5L3E8 60-69 years, male 235.5
GTEX-14H4A-2526-SM-5YYAY 40-49 years, female 230.6
GTEX-1HCU8-0126-SM-ADEHH 60-69 years, female 228.7
GTEX-1HR98-0426-SM-COH36 60-69 years, male 228.7
GTEX-13SLX-2326-SM-5ZZWE 50-59 years, female 226.3
GTEX-S32W-2026-SM-4AD6E 50-59 years, female 224.5
GTEX-ZZ64-1226-SM-5E43R 20-29 years, male 224.3
GTEX-R3RS-0626-SM-48FE1 40-49 years, female 223.6
GTEX-145MF-2226-SM-7EPIR 50-59 years, male 220.9
GTEX-ZC5H-2626-SM-5J2MG 40-49 years, female 220.1
GTEX-XMD1-0826-SM-4AT52 60-69 years, male 219.3
GTEX-ZVE2-1226-SM-5NQ8R 50-59 years, male 217.7
GTEX-1JJEA-2726-SM-ARL8V 60-69 years, male 215.8
GTEX-17EUY-1926-SM-7DUF6 20-29 years, male 211.7
GTEX-Y8LW-1626-SM-5IFHX 50-59 years, female 211.4
GTEX-1CB4J-1826-SM-7EWF9 60-69 years, male 210.8
GTEX-ZYFC-0826-SM-5E44K 50-59 years, male 209.4
GTEX-S4UY-0726-SM-4AD6X 40-49 years, female 208.7
GTEX-11LCK-2426-SM-5HL5F 30-39 years, male 208.4
GTEX-14PHY-1926-SM-5YY95 60-69 years, female 208.2
GTEX-147F4-2826-SM-5NQBN 50-59 years, male 208.1
GTEX-1B8SG-1226-SM-7IGPF 50-59 years, male 207.2
GTEX-15G19-2126-SM-6M48J 60-69 years, male 206.4
GTEX-132NY-0826-SM-5K7Y7 60-69 years, male 204.4
GTEX-15ETS-0626-SM-7KUMX 40-49 years, female 203.8
GTEX-ZDYS-1126-SM-5K7UB 50-59 years, male 202.0
GTEX-X4XY-0926-SM-4E3JD 60-69 years, male 201.9
GTEX-1BAJH-0826-SM-7EWEF 70-79 years, male 201.5
GTEX-1K9T9-1426-SM-DIPFQ 50-59 years, female 201.4
GTEX-1PPGY-1526-SM-EVYBK 60-69 years, male 200.1
GTEX-1C6VS-0726-SM-7EPHF 60-69 years, male 199.6
GTEX-1I19N-2826-SM-CL55D 70-79 years, male 199.6
GTEX-14ABY-2126-SM-5QGQZ 50-59 years, male 198.7
GTEX-1GMRU-0826-SM-9WYT7 50-59 years, male 198.6
GTEX-18A7A-0726-SM-7LTAI 50-59 years, female 198.4
GTEX-13O3P-0826-SM-5L3DH 50-59 years, male 197.1
GTEX-RWS6-1926-SM-47JXY 60-69 years, female 197.1
GTEX-ZTX8-1226-SM-4YCE9 20-29 years, male 196.6
GTEX-ZXES-0826-SM-5E43C 30-39 years, female 196.5
GTEX-11EMC-2026-SM-5A5JV 60-69 years, female 196.1
GTEX-18D9A-1526-SM-7LG4J 30-39 years, female 195.1
GTEX-PSDG-1626-SM-48TCQ 50-59 years, male 193.7
GTEX-XOT4-0726-SM-4GIAW 60-69 years, female 193.5
GTEX-1JMPZ-1626-SM-COH31 30-39 years, male 193.2
GTEX-1HCVE-2626-SM-ADEJ8 50-59 years, male 192.8
GTEX-Y3IK-2326-SM-4WWDT 50-59 years, female 192.3
GTEX-ZAK1-1326-SM-EVYAS 50-59 years, female 191.7
GTEX-16BQI-1026-SM-7KUEA 30-39 years, female 190.4
GTEX-S341-1526-SM-4AD6K 40-49 years, female 189.5
GTEX-1CAMS-1426-SM-7IGPM 40-49 years, female 187.7
GTEX-14PN4-0626-SM-62LFP 50-59 years, male 187.1
GTEX-1R7EV-1526-SM-E8VOD 40-49 years, male 187.0
GTEX-ZV6S-1826-SM-5NQ8D 40-49 years, female 186.9
GTEX-13PL6-2926-SM-5L3I2 40-49 years, female 186.0
GTEX-1JMQK-2626-SM-COH2W 60-69 years, male 186.0
GTEX-1J8EW-2626-SM-CL53E 60-69 years, female 184.8
GTEX-1NV8Z-2826-SM-E8VME 60-69 years, male 184.7
GTEX-1N5O9-1126-SM-DTXEQ 60-69 years, male 184.0
GTEX-WRHU-0326-SM-3MJFY 50-59 years, female 183.7
GTEX-11P81-1926-SM-5BC53 30-39 years, female 182.7
GTEX-ZGAY-1726-SM-DO91P 40-49 years, female 180.7
GTEX-T5JW-2026-SM-4DM63 20-29 years, female 180.2
GTEX-ZAJG-0626-SM-5HL8X 50-59 years, female 179.6
GTEX-1A3MV-1626-SM-731C1 30-39 years, male 178.7
GTEX-1PDJ9-1126-SM-EXUSW 20-29 years, male 178.7
GTEX-UJHI-1426-SM-3DB9C 50-59 years, female 177.6
GTEX-1E2YA-2726-SM-7IGPW 50-59 years, male 177.4
GTEX-11TT1-2126-SM-5GU5Y 20-29 years, male 177.2
GTEX-1HSGN-1526-SM-A9SMO 40-49 years, female 175.6
GTEX-1IKOH-2326-SM-CM2TW 60-69 years, female 175.0
GTEX-1IDJF-2326-SM-ARL86 20-29 years, male 174.8
GTEX-S4Q7-1126-SM-4AD6R 20-29 years, male 173.9
GTEX-ZLV1-1426-SM-DO92Z 60-69 years, female 173.8
GTEX-Q2AG-0326-SM-48U1O 40-49 years, female 173.7
GTEX-14PKU-0426-SM-6EU1P 40-49 years, female 173.4
GTEX-XBED-1626-SM-47JYN 60-69 years, male 171.1
GTEX-1POEN-0926-SM-DTX88 30-39 years, female 171.1
GTEX-1GPI6-0626-SM-7RHHJ 60-69 years, male 170.8
GTEX-1IDJE-0826-SM-CKZNZ 50-59 years, female 170.6
GTEX-RU72-0626-SM-46MUI 50-59 years, female 170.5
GTEX-1IDJH-2226-SM-E6CJV 70-79 years, male 170.5
GTEX-11P7K-0726-SM-5EGKX 30-39 years, male 170.0
GTEX-15UF6-0126-SM-6PAMB 70-79 years, female 169.5
GTEX-17MF6-0326-SM-7EPH5 40-49 years, male 169.0
GTEX-ZVTK-0326-SM-51MRR 20-29 years, male 168.4
GTEX-14A5I-0726-SM-5TDEB 50-59 years, female 167.5
GTEX-1RAZS-1226-SM-E8VMT 50-59 years, male 167.0
GTEX-ZYW4-0826-SM-5GIDG 60-69 years, male 165.4
GTEX-1399U-1826-SM-5PNZ1 50-59 years, female 165.3
GTEX-ZU9S-1926-SM-5NQBP 30-39 years, male 165.3
GTEX-1GF9X-1026-SM-ACKX2 40-49 years, female 164.8
GTEX-133LE-1726-SM-5K7VQ 20-29 years, female 164.6
GTEX-S4P3-1326-SM-4AD6V 50-59 years, female 164.5
GTEX-1IOXB-1926-SM-ARL8E 50-59 years, male 164.3
GTEX-ZVT4-1026-SM-57WC4 50-59 years, female 163.5
GTEX-ZVZQ-0826-SM-51MRF 60-69 years, female 163.5
GTEX-13OW8-0226-SM-5K7UP 60-69 years, male 163.1
GTEX-1R9PN-0326-SM-DTX85 40-49 years, female 162.4
GTEX-XMK1-1126-SM-4IHJ8 40-49 years, male 161.6
GTEX-QVJO-1826-SM-447C9 60-69 years, female 160.7
GTEX-ZTTD-1026-SM-51MRD 50-59 years, male 159.9
GTEX-13FTW-1426-SM-5LZWZ 40-49 years, male 159.3
GTEX-1J8QM-2026-SM-ARZMW 60-69 years, female 159.0
GTEX-1R46S-2526-SM-E8VN2 60-69 years, female 159.0
GTEX-ZAB4-2526-SM-5HL8M 40-49 years, male 158.1
GTEX-ZUA1-1526-SM-59HLS 40-49 years, male 157.8
GTEX-1MA7X-1626-SM-E9U5B 60-69 years, male 157.5
GTEX-17EVQ-0426-SM-7LG57 70-79 years, male 155.9
GTEX-1C64O-0726-SM-7DUFU 60-69 years, male 155.4
GTEX-14E7W-0826-SM-62LEJ 70-79 years, male 154.5
GTEX-11WQC-1726-SM-5GU4W 60-69 years, male 154.2
GTEX-WYJK-1326-SM-3NB2T 50-59 years, male 152.9
GTEX-WHSB-1926-SM-EXOHH 50-59 years, male 152.7
GTEX-16NGA-0826-SM-718AF 40-49 years, female 152.4
GTEX-13QIC-2326-SM-5LU5N 60-69 years, female 152.1
GTEX-WFG8-2026-SM-EXOHO 20-29 years, male 152.1
GTEX-1KAFJ-0226-SM-DIPEL 50-59 years, male 152.0
GTEX-1314G-1226-SM-5BC6D 30-39 years, male 151.9
GTEX-1CB4G-2326-SM-79OOI 60-69 years, male 151.3
GTEX-17HHE-1426-SM-7EPH4 50-59 years, male 151.1
GTEX-1GN1W-1926-SM-7P8TH 50-59 years, female 151.1
GTEX-1F75I-2026-SM-7SB7N 40-49 years, male 150.9
GTEX-1N2EE-2126-SM-E8VNN 60-69 years, male 150.2
GTEX-145MO-0826-SM-5NQBL 60-69 years, male 149.9
GTEX-11EI6-0626-SM-5985T 60-69 years, male 149.2
GTEX-146FH-0826-SM-5SI8T 50-59 years, female 148.3
GTEX-1C475-1226-SM-7SB72 40-49 years, female 148.1
GTEX-1JN6P-2426-SM-ARL99 60-69 years, male 147.8
GTEX-1P4AB-1826-SM-E76PU 50-59 years, male 147.5
GTEX-145LT-0726-SM-5S2VM 40-49 years, male 147.4
GTEX-11ZUS-0826-SM-5FQUY 30-39 years, male 147.3
GTEX-1QPFJ-2026-SM-EVYBE 30-39 years, female 147.0
GTEX-1JMPY-0526-SM-CL54O 30-39 years, male 146.3
GTEX-1M5QR-2526-SM-E9U5P 40-49 years, male 145.8
GTEX-1J8Q2-2726-SM-A9G2X 60-69 years, male 145.1
GTEX-14AS3-1626-SM-5S2OY 40-49 years, female 144.9
GTEX-1B97I-0426-SM-79OL7 40-49 years, male 144.6
GTEX-14BMU-1626-SM-5TDE7 20-29 years, female 144.2
GTEX-13VXU-2826-SM-664MA 50-59 years, male 144.0
GTEX-1A8G7-2426-SM-731AK 60-69 years, male 142.9
GTEX-ZEX8-2226-SM-57WC6 50-59 years, male 142.5
GTEX-12WSM-1726-SM-5BC6J 60-69 years, male 142.0
GTEX-1HUB1-1626-SM-CM2SL 60-69 years, male 141.3
GTEX-17HHY-0926-SM-793C1 50-59 years, male 141.0
GTEX-R55D-0826-SM-48FEA 50-59 years, male 140.8
GTEX-U3ZN-1926-SM-4DXSG 30-39 years, female 139.4
GTEX-1QCLY-1626-SM-DTXDW 30-39 years, male 139.2
GTEX-17KNJ-2026-SM-7LG53 50-59 years, male 139.1
GTEX-WXYG-2226-SM-4E3IM 50-59 years, female 139.1
GTEX-1GZHY-0726-SM-9WG6B 50-59 years, female 139.0
GTEX-17JCI-0726-SM-7EPH1 60-69 years, female 138.8
GTEX-WYBS-0926-SM-3NM94 60-69 years, female 138.8
GTEX-Y3I4-1526-SM-4TT7K 50-59 years, male 138.6
GTEX-1HBPN-2326-SM-9WPPU 50-59 years, male 138.4
GTEX-ZV7C-1826-SM-5NQ83 50-59 years, male 138.3
GTEX-1KANA-2026-SM-DIPFB 20-29 years, male 138.2
GTEX-1QEPI-0926-SM-DTXF3 60-69 years, female 138.2
GTEX-111YS-1926-SM-5GICC 60-69 years, male 137.9
GTEX-WOFL-0826-SM-3MJG1 60-69 years, male 137.9
GTEX-13NZB-2126-SM-5MR4Y 30-39 years, male 137.7
GTEX-13OW5-2226-SM-5L3HC 60-69 years, male 137.5
GTEX-11GSP-0926-SM-9WYSG 60-69 years, female 137.5
GTEX-13PVQ-1026-SM-5KM3M 50-59 years, male 137.4
GTEX-S33H-0326-SM-4AD6N 30-39 years, male 136.9
GTEX-1192X-2326-SM-5987X 50-59 years, male 136.6
GTEX-11DXZ-1926-SM-5GZZL 50-59 years, male 136.3
GTEX-1KD5A-1926-SM-DKPQA 50-59 years, male 136.0
GTEX-1JN1M-3026-SM-CMKGK 60-69 years, female 135.8
GTEX-14BMV-0626-SM-793AU 50-59 years, male 135.6
GTEX-13N11-1726-SM-5J1OJ 50-59 years, female 135.4
GTEX-1LNCM-0226-SM-DIPF4 50-59 years, female 134.8
GTEX-139T8-0826-SM-5L3DE 60-69 years, male 134.4
GTEX-1QMI2-0726-SM-E9J4F 60-69 years, male 134.2
GTEX-1I1GV-2426-SM-CGQFM 60-69 years, male 134.1
GTEX-1RQEC-2026-SM-DTXDM 60-69 years, male 133.8
GTEX-1R9JW-0326-SM-EAZ45 30-39 years, female 133.6
GTEX-18QFQ-0826-SM-718AX 30-39 years, male 133.3
GTEX-1JMLX-2026-SM-CMKGN 50-59 years, male 133.3
GTEX-1GZ4H-0326-SM-7P8QX 50-59 years, female 133.0
GTEX-1GMR8-0726-SM-9KNVI 50-59 years, female 132.8
GTEX-139T6-1626-SM-5PNYZ 50-59 years, male 132.7
GTEX-ZF2S-2026-SM-5E461 50-59 years, female 132.7
GTEX-13D11-1026-SM-5IJFB 50-59 years, female 132.3
GTEX-1R7EU-1226-SM-E8VMR 60-69 years, male 132.1
GTEX-1QP29-1726-SM-E8VMQ 50-59 years, male 131.8
GTEX-11DXW-0626-SM-5N9ER 40-49 years, male 131.5
GTEX-1LSVX-2426-SM-E6CJX 60-69 years, male 131.5
GTEX-U8XE-0826-SM-4E3J1 30-39 years, male 131.1
GTEX-11O72-2126-SM-5N9FO 40-49 years, male 130.7
GTEX-1EN7A-1426-SM-7PBY4 40-49 years, male 130.7
GTEX-1MJK3-1126-SM-E9J3F 20-29 years, male 130.6
GTEX-1MA7W-1026-SM-DKPQK 20-29 years, female 130.4
GTEX-1EKGG-2626-SM-7IGPY 60-69 years, male 130.3
GTEX-QDT8-0626-SM-48TYW 30-39 years, female 130.0
GTEX-1AX8Z-0926-SM-731AW 60-69 years, male 129.8
GTEX-1MJK2-2226-SM-EVYCR 50-59 years, male 129.8
GTEX-ZA64-1526-SM-5CVMD 20-29 years, male 129.5
GTEX-12BJ1-1826-SM-5HL9N 60-69 years, male 128.8
GTEX-1ICG6-1326-SM-ACKWR 70-79 years, female 128.6
GTEX-1JMOU-2026-SM-CMKGU 60-69 years, female 128.6
GTEX-1B8L1-2426-SM-9WYTE 60-69 years, male 128.3
GTEX-12WSN-1326-SM-5GCNT 40-49 years, male 127.9
GTEX-ZLFU-2126-SM-DO931 40-49 years, male 127.3
GTEX-1F75A-1826-SM-7SB8G 50-59 years, male 126.8
GTEX-117YX-1426-SM-5H12H 50-59 years, male 126.3
GTEX-13NZ9-1026-SM-5MR5K 50-59 years, male 125.9
GTEX-ZZPU-0626-SM-5E43T 50-59 years, female 125.6
GTEX-12WSK-2226-SM-5GCO5 40-49 years, female 124.7
GTEX-1GF9U-1726-SM-7MGY5 40-49 years, female 124.1
GTEX-ZLWG-1926-SM-DO92J 50-59 years, female 123.7
GTEX-1HCUA-0726-SM-ACKVU 50-59 years, female 123.6
GTEX-1B932-0826-SM-73KXG 40-49 years, female 123.5
GTEX-1B8KZ-1526-SM-7DUG7 50-59 years, male 123.3
GTEX-1KD4Q-2326-SM-D4P3M 40-49 years, male 123.3
GTEX-11GSO-1926-SM-5A5K3 60-69 years, male 122.7
GTEX-ZF29-1926-SM-5S2P1 60-69 years, female 122.7
GTEX-1HSKV-2026-SM-CMKGX 60-69 years, male 121.5
GTEX-Y111-2026-SM-4SOJA 50-59 years, male 121.1
GTEX-SE5C-2126-SM-4BRUJ 40-49 years, female 120.8
GTEX-1HKZK-1826-SM-ADEJ2 40-49 years, male 120.3
GTEX-13NZ8-0126-SM-5IJCT 60-69 years, female 120.1
GTEX-1H3VY-0926-SM-ACKXE 50-59 years, male 119.5
GTEX-13W46-0826-SM-5LU3H 50-59 years, male 119.1
GTEX-Y5LM-1726-SM-4VDSX 40-49 years, female 118.7
GTEX-ZDXO-0126-SM-5S2ND 60-69 years, male 118.5
GTEX-1I1HK-2426-SM-ADEHX 60-69 years, male 118.5
GTEX-XQ8I-2426-SM-4WAXY 50-59 years, male 118.4
GTEX-Z9EW-1526-SM-EZ6LU 40-49 years, male 118.2
GTEX-Y5V5-2126-SM-4WWFO 60-69 years, female 117.7
GTEX-17MFQ-0926-SM-7LG4S 20-29 years, male 117.0
GTEX-1H1E6-0926-SM-9YFLT 30-39 years, male 116.5
GTEX-1I4MK-1626-SM-CM2TJ 50-59 years, female 115.9
GTEX-1LVAN-1326-SM-CNPQE 50-59 years, female 115.9
GTEX-1IKJJ-2326-SM-COH3U 60-69 years, male 115.8
GTEX-Y8E4-1626-SM-5S2MW 40-49 years, male 115.4
GTEX-1QW4Y-1026-SM-DTXE2 30-39 years, male 115.4
GTEX-1KXAM-1026-SM-CY8IA 60-69 years, male 115.0
GTEX-139TU-0626-SM-5KM3X 60-69 years, male 114.9
GTEX-X62O-0526-SM-EWRMA 50-59 years, male 114.8
GTEX-13N1W-0626-SM-5MR4U 70-79 years, male 114.7
GTEX-1IY9M-2726-SM-CMKG5 60-69 years, male 114.7
GTEX-17F98-0526-SM-79OK5 40-49 years, female 114.5
GTEX-XV7Q-2326-SM-4BRVZ 40-49 years, female 114.5
GTEX-117XS-1926-SM-5GICO 60-69 years, male 114.2
GTEX-XYKS-1326-SM-4BRUN 60-69 years, female 114.2
GTEX-13PVR-2226-SM-7DHKP 60-69 years, female 114.1
GTEX-1GMR2-1926-SM-9MQLZ 50-59 years, male 113.8
GTEX-XQ3S-1326-SM-4BOPQ 20-29 years, male 113.7
GTEX-1IGQW-0926-SM-ADEH6 60-69 years, male 113.7
GTEX-1M4P7-2626-SM-E9U5F 60-69 years, male 112.7
GTEX-1RAZQ-1226-SM-EWRNL 30-39 years, male 112.1
GTEX-13O3Q-2226-SM-5KM4O 50-59 years, male 111.5
GTEX-1I6K6-0826-SM-ARL7Z 30-39 years, male 111.2
GTEX-1C6WA-2426-SM-7SB86 60-69 years, male 110.7
GTEX-11ZTT-2326-SM-5EQLG 60-69 years, female 110.5
GTEX-1GMR3-2626-SM-7RHHG 40-49 years, male 110.5
GTEX-T5JC-2126-SM-32PMO 20-29 years, male 110.0
GTEX-1CB4E-0226-SM-79OLW 60-69 years, male 109.9
GTEX-UPK5-2326-SM-3P5Z8 40-49 years, male 109.7
GTEX-13W3W-1226-SM-5LU4H 60-69 years, female 109.6
GTEX-ZDTT-2126-SM-DKPOM 60-69 years, male 109.6
GTEX-ZYT6-0126-SM-5E45J 30-39 years, male 109.5
GTEX-1I1GP-0426-SM-COH3N 50-59 years, male 109.5
GTEX-XUW1-2326-SM-4BOO5 50-59 years, female 109.3
GTEX-S7SE-0826-SM-4AT4D 50-59 years, male 109.2
GTEX-1F5PK-2126-SM-7PC28 50-59 years, male 109.0
GTEX-YFC4-1426-SM-5IFJG 40-49 years, female 108.1
GTEX-13113-5013-SM-7SB7G 60-69 years, female 108.1
GTEX-1R9PM-1826-SM-EVYBH 20-29 years, male 107.8
GTEX-1HT8W-2226-SM-CGQEC 30-39 years, male 107.7
GTEX-12KS4-0126-SM-5Q5A5 30-39 years, male 107.6
GTEX-1LVAM-0926-SM-E9TJ2 50-59 years, female 107.2
GTEX-16YQH-2826-SM-6PAMY 30-39 years, male 106.0
GTEX-13FTX-1126-SM-5N9EN 20-29 years, female 105.9
GTEX-14ICK-2426-SM-6EU27 40-49 years, male 105.3
GTEX-183FY-1126-SM-7DHLJ 20-29 years, male 105.2
GTEX-QMRM-1626-SM-D4P1U 50-59 years, male 105.2
GTEX-1K2DA-1726-SM-CGQGS 50-59 years, male 104.9
GTEX-YECK-0726-SM-EZ6LV 60-69 years, male 104.8
GTEX-1211K-1926-SM-5EQLB 60-69 years, female 104.7
GTEX-1HBPM-0126-SM-ARL9E 60-69 years, female 104.7
GTEX-YB5E-1726-SM-5IFJ3 40-49 years, male 104.5
GTEX-XUZC-1626-SM-4BRVP 30-39 years, female 104.4
GTEX-1HFI7-0126-SM-CGQFQ 50-59 years, female 104.2
GTEX-1MCC2-2126-SM-EWRON 30-39 years, female 103.1
GTEX-183WM-0726-SM-7LTAA 70-79 years, female 102.8
GTEX-15SHW-1326-SM-6PAL8 60-69 years, male 102.3
GTEX-YJ8O-2226-SM-5IFHW 40-49 years, female 101.9
GTEX-1NUQO-2226-SM-E9U68 20-29 years, female 101.9
GTEX-17F9E-2526-SM-7MGW2 50-59 years, male 101.6
GTEX-1PPH7-0826-SM-E8VNX 40-49 years, male 101.1
GTEX-17F96-2426-SM-7IGLN 70-79 years, male 100.7
GTEX-1HSMO-0826-SM-ADEIV 60-69 years, male 100.4
GTEX-1F6I4-2526-SM-7SB8F 60-69 years, male 100.0
GTEX-17F97-2526-SM-7EWDV 50-59 years, male 99.9
GTEX-1LSNM-1326-SM-E9TJ1 50-59 years, male 99.8
GTEX-1GN2E-2226-SM-9WG6J 60-69 years, male 99.6
GTEX-1QP9N-1826-SM-E8VMP 30-39 years, male 99.6
GTEX-1I1GT-1126-SM-ARL7J 60-69 years, female 99.4
GTEX-T6MN-0726-SM-32PML 50-59 years, male 99.0
GTEX-1GPI7-0926-SM-7PC3J 20-29 years, male 99.0
GTEX-13S86-1226-SM-5S2OA 40-49 years, male 98.7
GTEX-13CF3-2126-SM-5IFJP 60-69 years, female 98.6
GTEX-TML8-1226-SM-32QON 40-49 years, female 98.4
GTEX-11ONC-2126-SM-5HL6E 60-69 years, male 97.0
GTEX-1HCU7-1026-SM-ADEIP 50-59 years, male 97.0
GTEX-QEL4-2126-SM-447AE 50-59 years, male 96.6
GTEX-ZPIC-1126-SM-5BC7F 40-49 years, female 95.9
GTEX-15RJE-2626-SM-7KFT1 40-49 years, male 95.8
GTEX-1117F-2826-SM-5GZXL 60-69 years, female 95.7
GTEX-132AR-0826-SM-5EGK6 50-59 years, female 95.7
GTEX-11OF3-1926-SM-59889 60-69 years, male 95.1
GTEX-QEG5-0726-SM-D4P1T 20-29 years, male 95.1
GTEX-1H11D-1526-SM-9MQJY 40-49 years, male 94.9
GTEX-YEC3-1026-SM-5IFI5 50-59 years, male 94.6
GTEX-U3ZH-1426-SM-4DXSR 30-39 years, male 94.5
GTEX-1H1CY-2226-SM-9WG7E 60-69 years, female 94.5
GTEX-1NHNU-0926-SM-E9J2T 50-59 years, male 94.0
GTEX-Y5V6-2126-SM-4WWFX 60-69 years, male 93.8
GTEX-1MCYP-0126-SM-E6CIS 20-29 years, female 93.8
GTEX-144GL-2026-SM-5LU3O 50-59 years, male 93.3
GTEX-ZVT2-1826-SM-5NQ8W 50-59 years, female 93.3
GTEX-1313W-0826-SM-5EQ4T 50-59 years, female 93.0
GTEX-18465-2026-SM-718AP 50-59 years, male 92.9
GTEX-1LSNL-2826-SM-E9U5L 50-59 years, male 92.9
GTEX-18A7B-2626-SM-7LG55 70-79 years, male 92.2
GTEX-13CF2-2026-SM-5K7VI 60-69 years, male 91.7
GTEX-1H4P4-2226-SM-9MQKQ 50-59 years, male 91.5
GTEX-1JKYR-0926-SM-CMKGJ 20-29 years, male 91.5
GTEX-169BO-1126-SM-7MGWN 50-59 years, male 91.4
GTEX-YB5K-1626-SM-5IFIN 40-49 years, female 90.9
GTEX-18A66-1726-SM-7LG5N 60-69 years, male 90.8
GTEX-1AX9J-1126-SM-731B7 60-69 years, male 90.6
GTEX-1F5PL-1026-SM-7RHI1 40-49 years, female 90.4
GTEX-ZT9W-2026-SM-51MRA 50-59 years, male 90.2
GTEX-11NV4-2026-SM-5N9DG 60-69 years, male 90.0
GTEX-14PJO-0726-SM-69LO8 60-69 years, male 90.0
GTEX-1EU9M-2826-SM-7EWFH 60-69 years, male 89.7
GTEX-1IKOE-1326-SM-CE6T6 30-39 years, female 89.7
GTEX-1LBAC-0926-SM-CXKY9 20-29 years, male 89.3
GTEX-1GZ2Q-2626-SM-7MXV9 40-49 years, male 89.1
GTEX-13O3O-0826-SM-5K7WE 60-69 years, female 88.9
GTEX-ZTPG-2826-SM-57WGA 20-29 years, female 88.9
GTEX-1AMEY-1026-SM-718AA 30-39 years, female 88.1
GTEX-R53T-1526-SM-48FEK 50-59 years, female 87.9
GTEX-ZQG8-0726-SM-5P9H9 60-69 years, female 87.9
GTEX-1EWIQ-1726-SM-7SB7T 70-79 years, female 87.9
GTEX-17HG3-0126-SM-7IGNH 30-39 years, female 87.3
GTEX-TMMY-0726-SM-33HBE 40-49 years, female 87.1
GTEX-1HR9M-2426-SM-ACKXI 60-69 years, male 86.9
GTEX-11I78-2226-SM-5PNYA 50-59 years, female 86.4
GTEX-13QJ3-0826-SM-7DHKK 50-59 years, male 86.4
GTEX-1122O-1226-SM-5H113 60-69 years, female 86.3
GTEX-14E6C-1326-SM-62LEQ 40-49 years, male 86.3
GTEX-1L5NE-2126-SM-CY8IH 50-59 years, male 86.0
GTEX-1I6K7-1026-SM-A9SLK 40-49 years, male 85.9
GTEX-1S82Z-0726-SM-E6CHX 30-39 years, female 85.8
GTEX-1B933-2526-SM-7IGO5 50-59 years, female 85.1
GTEX-1ICLZ-0426-SM-B2LW2 60-69 years, male 84.2
GTEX-11DXY-2326-SM-5GICW 60-69 years, male 83.7
GTEX-17EVP-0226-SM-79OND 40-49 years, male 83.1
GTEX-1LGRB-1826-SM-CNPQL 50-59 years, female 82.8
GTEX-XGQ4-0926-SM-4AT4U 50-59 years, male 82.2
GTEX-1LG7Z-0726-SM-CXKYD 30-39 years, male 81.9
GTEX-144GM-0926-SM-5O994 20-29 years, male 81.7
GTEX-X261-0626-SM-3NMD9 50-59 years, male 81.4
GTEX-1AX9I-0726-SM-73KWV 60-69 years, male 81.1
GTEX-11NSD-0926-SM-5N9DR 20-29 years, male 79.7
GTEX-14753-2426-SM-5LU8U 60-69 years, male 79.1
GTEX-18A6Q-0926-SM-7LG4N 60-69 years, male 79.1
GTEX-WY7C-2726-SM-3NB3P 50-59 years, male 78.7
GTEX-1JKYN-0726-SM-ARZMY 30-39 years, male 78.6
GTEX-11EQ9-1826-SM-5Q5AJ 30-39 years, male 78.5
GTEX-1OKEX-0826-SM-E9J2B 60-69 years, male 78.2
GTEX-1QCLZ-2326-SM-DTXDO 60-69 years, female 77.8
GTEX-17GQL-0326-SM-7LG5U 60-69 years, male 75.9
GTEX-Y9LG-1426-SM-5IFJZ 30-39 years, male 75.0
GTEX-YFCO-1826-SM-4W1YH 40-49 years, male 74.8
GTEX-1KANC-1426-SM-CYPT9 50-59 years, female 74.8
GTEX-1GF9V-2526-SM-7SB8K 60-69 years, male 73.9
GTEX-1F75B-0626-SM-7SB8A 50-59 years, male 73.5
GTEX-14DAR-1326-SM-7DUEG 50-59 years, male 73.1
GTEX-1JK1U-1826-SM-ARL8W 60-69 years, male 72.8
GTEX-VUSG-2226-SM-4KKZO 50-59 years, male 72.1
GTEX-1QP28-1226-SM-E9J2M 50-59 years, female 72.1
GTEX-T2YK-2226-SM-32QPT 50-59 years, male 71.5
GTEX-11DZ1-0326-SM-5N9BN 50-59 years, male 71.4
GTEX-13O61-1826-SM-5KM4I 60-69 years, male 71.3
GTEX-14PJ4-2126-SM-6ETZJ 60-69 years, male 70.0
GTEX-1S82U-1126-SM-E9U6I 30-39 years, female 69.9
GTEX-1B97J-0426-SM-79OLQ 50-59 years, female 69.7
GTEX-REY6-2426-SM-48FF5 60-69 years, male 69.3
GTEX-1I1GU-1026-SM-ADEHJ 40-49 years, male 68.9
GTEX-1HSEH-2026-SM-ADEHN 60-69 years, male 68.3
GTEX-1IDJU-1826-SM-CMKHV 60-69 years, female 67.5
GTEX-TKQ1-0226-SM-33HB5 30-39 years, male 66.0
GTEX-15UF7-0726-SM-6M46D 40-49 years, male 65.0
GTEX-VJWN-0726-SM-3GIJ8 50-59 years, female 64.6
GTEX-17HGU-1326-SM-79OKB 50-59 years, male 63.7
GTEX-ZY6K-1626-SM-5GZWV 50-59 years, male 62.7
GTEX-1H1ZS-0126-SM-9YFKQ 70-79 years, male 61.8
GTEX-1RLM8-2226-SM-EVYD1 50-59 years, male 61.6
GTEX-15EOM-5019-SM-793DK 20-29 years, female 60.0
GTEX-1H23P-0726-SM-9WG7K 60-69 years, male 58.6
GTEX-T6MO-0326-SM-32QOK 40-49 years, female 58.4
GTEX-1C6VQ-0426-SM-79OOX 50-59 years, male 58.2
GTEX-1HCU9-0326-SM-9WYSC 20-29 years, male 57.5
GTEX-145ME-1526-SM-5Q5F2 40-49 years, female 56.4
GTEX-WFON-1826-SM-3GILG 40-49 years, male 55.9
GTEX-1LC47-1226-SM-D4P44 60-69 years, male 55.1
GTEX-1ICLY-1726-SM-B2LVT 50-59 years, male 54.4
GTEX-14E6E-1326-SM-5S2NR 30-39 years, male 53.6
GTEX-1B8KE-1226-SM-73KWK 50-59 years, male 53.3
GTEX-1J8Q3-1326-SM-CMKI1 60-69 years, male 53.2
GTEX-1N2EF-2226-SM-E9J33 60-69 years, male 53.1
GTEX-11P82-1326-SM-5HL62 20-29 years, male 48.7
GTEX-ZWKS-2826-SM-5NQ74 30-39 years, male 48.6
GTEX-1IDFM-0426-SM-B2LVV 60-69 years, male 47.2
GTEX-1CAMR-1426-SM-793BO 20-29 years, male 45.6
GTEX-1A3MX-2726-SM-718B6 60-69 years, male 42.6
GTEX-11TUW-1826-SM-5BC5D 60-69 years, male 41.9
GTEX-RUSQ-2026-SM-4GIAK 50-59 years, male 39.9
GTEX-11WQK-2426-SM-5GU5C 50-59 years, male 35.8
GTEX-V955-2026-SM-3GAFA 60-69 years, male 34.4
GTEX-TKQ2-1826-SM-33HB2 50-59 years, male 32.4
GTEX-W5X1-2326-SM-3GIL6 40-49 years, female 30.5
GTEX-UTHO-1026-SM-3GAF7 60-69 years, male 28.4
Show allShow less

BREAST - FANTOM5 CAGEi

RNA expression in human tissues obtained through Cap Analysis of Gene Expression (CAGE) generated by the FANTOM5 project are reported as Scaled Tags Per Million.

Max subtype Scaled Tags Per Millioni

Max subtype Scaled Tags Per Million is the value for the subtype with the largest average Scaled Tags Per Million across the subtype samples.

613.8
FANTOM5 sample id Sample description Scaled Tags Per Million
Breast
Scaled Tags Per Million: 613.8
FF:10080-102A8 77 years, female 613.8

Contact

  • NEWS ARTICLES
  • PRESS ROOM

The Project

  • INTRODUCTION
  • ORGANIZATION
  • PUBLICATIONS

The Human Protein Atlas

  • DOWNLOADABLE DATA
  • LICENCE & CITATION
  • HELP & FAQ
The Human Protein Atlas project is funded
by the Knut & Alice Wallenberg Foundation.


contact@proteinatlas.org