We use cookies to enhance the usability of our website. If you continue, we'll assume that you are happy to receive all cookies. More information. Don't show this again.
H1-10
HPA
RESOURCES
  • TISSUE
  • BRAIN
  • SINGLE CELL
  • SUBCELLULAR
  • CANCER
  • BLOOD
  • CELL LINE
  • STRUCTURE & INTERACTION
ABOUT
  • INTRODUCTION
  • HISTORY
  • ORGANIZATION
  • PUBLICATIONS
  • ANTIBODY SUBMISSION
  • ANTIBODY AVAILABILITY
  • ACKNOWLEDGMENTS
  • CONTACT
NEWS
  • NEWS ARTICLES
  • PRESS ROOM
LEARN
  • DICTIONARY
  • PROTEIN CLASSES
  • PROTEIN EVIDENCE
  • METHODS
  • EDUCATIONAL VIDEOS
DATA
  • DOWNLOADABLE DATA
  • PUBLICATION DATA
  • RELEASE HISTORY
HELP
  • ANTIBODY VALIDATION
  • ASSAYS & ANNOTATION
  • DISCLAIMER
  • HELP & FAQ
  • PRIVACY STATEMENT
  • LICENCE & CITATION
Fields »
Search result

Field
Term
Gene name
Class
Subclass
Class
Keyword
Chromosome
External id
Tissue
Cell type
Expression
Antibody panel
Tissue
Main location
Patient ID
Annotation
Tissue
Category
Tau score
Cluster
Reliability
Brain region
Category
Tau score
Brain region
Category
Tau score
Brain region
Category
Tau score
Cluster
Reliability
Tissue
Cell type
Enrichment
Cell type
Category
Tau score
Cell type
Category
Tau score
Cell type
Category
Tau score
Cell lineage
Category
Tau score
Cluster
Cluster
Location
Searches
Location
Cell line
Class
Type
Phase
Reliability
Cancer
Prognosis
Cancer
Category
Cancer
Category
Tau score
Cluster
Variants
Interacting gene (ensg_id)
Type
Number of interactions
Pathway
Category
Score
Score
Score
Validation
Validation
Validation
Validation
Antibodies
Data type
Column


  • SUMMARY

  • TISSUE

  • BRAIN

  • SINGLE CELL

  • SUBCELL

  • CANCER

  • BLOOD

  • CELL LINE

  • STRUCT & INT

  • H1-10
TISSUE PRIMARY DATA STOMACH Show tissue menu
ADIPOSE TISSUE ADRENAL GLAND AMYGDALA APPENDIX BASAL GANGLIA BONE MARROW BREAST BRONCHUS CEREBELLUM CEREBRAL CORTEX CERVIX CHOROID PLEXUS COLON DUODENUM
ENDOMETRIUM EPIDIDYMIS ESOPHAGUS FALLOPIAN TUBE GALLBLADDER HEART MUSCLE HIPPOCAMPAL FORMATION HYPOTHALAMUS KIDNEY LIVER LUNG LYMPH NODE MIDBRAIN NASOPHARYNX
ORAL MUCOSA OVARY PANCREAS PARATHYROID GLAND PITUITARY GLAND PLACENTA PROSTATE RECTUM RETINA SALIVARY GLAND SEMINAL VESICLE SKELETAL MUSCLE SKIN SMALL INTESTINE
SMOOTH MUSCLE SOFT TISSUE SPINAL CORD SPLEEN STOMACH TESTIS THYMUS THYROID GLAND TONGUE TONSIL URINARY BLADDER VAGINA
ANTIBODIES
AND
VALIDATION
Dictionary
Tissue proteome
Stomach
STOMACH - Expression summary
Protein expression
Stomachi

On the top, protein expression in current human tissue, based on all annotated cell types, is reported with the units not detected (n), low (l), medium (m) and high (h). Underneath, protein expression in each annotated cell type are reported using the same units.

Protein expression data is based on knowledge-based annotation. For genes where more than one antibody has been used, a collective score is set.

If knowledge-based annotation could not be performed for a gene, no data is displayed here. View antibody staining data further down this page.

h
m
l
n
Glandular cells: Medium
RNA expressioni

A summary of mRNA expression data available for current tissue based on several datasets. The mRNA expression levels in human tissues are based on RNA-seq data generated by the Human Protein Atlas (HPA), Genotype-Tissue Expression (GTEx) portal and CAGE data generated by the FANTOM5 consortium. Consensus normalized expression levels for human tissues was created by combining the data from HPA and GTEx datasets.

The mRNA expression levels in pig are based on RNA-seq data generated by the Human Protein Atlas (HPA), and for mouse, HPA data and in situ hybridization generated by the Allen brain atlas are reported.

Scroll down to view mRNA expression data in more detail.
Consensus:112.3 nTPM
HPA:63.1 nTPM
GTEx:112.3 nTPM

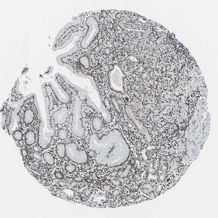
STOMACH 1 - Antibody stainingi

Antibody staining in the annotated cell types in the current human tissue is reported as not detected, low, medium, or high, based on conventional immunohistochemistry profiling in selected tissues. This score is based on the combination of the staining intensity and fraction of stained cells.

Each image is clickable and will lead to virtual microscopy that enables deeper exploration of all samples and also displays staining intensity scores, fraction scores and subcellular localization as well as patient and tissue information for each sample.

Antibody HPA068431Antibody CAB012235
Glandular cells MediumLow




STOMACH 2 - Antibody stainingi

Antibody staining in the annotated cell types in the current human tissue is reported as not detected, low, medium, or high, based on conventional immunohistochemistry profiling in selected tissues. This score is based on the combination of the staining intensity and fraction of stained cells.

Each image is clickable and will lead to virtual microscopy that enables deeper exploration of all samples and also displays staining intensity scores, fraction scores and subcellular localization as well as patient and tissue information for each sample.

Antibody HPA068431Antibody CAB012235
Glandular cells LowMedium





STOMACH - HPA RNA-seqi

The RNA-seq details section shows detailed information about the individual samples used for the transcript profiling and results of the RNA-seq analysis.

Information about each individual sample is listed below, including gender, age, a tissue section image and estimated fractions of cell types. nTPM (normalized transcripts per million) values give a quantification of the gene abundance which is comparable between different genes and samples.
Average nTPMi

Max subtype nTPM is the value for the subtype with the largest average nTPM across the subtype samples.

63.1
overview
Female, age 33
Stomach sample 61
nTPM: 69.9
Cell types%
Glandular cells:
60

Smooth muscle cells:
5

Other cell types:
35

N/A
Male, age 82
Stomach sample 240
nTPM: 50.6
Cell types%
Glandular cells:
65

Smooth muscle cells:
5

Other cell types:
30

overview
Male, age 71
Stomach sample 241
nTPM: 114.2
Cell types%
Glandular cells:
50

Smooth muscle cells:
5

Other cell types:
45

overview
Female, age 66
Stomach sample 369
nTPM: 17.6
Cell types%
Glandular cells:
50

Smooth muscle cells:
10

Other cell types:
40


STOMACH - GTEx RNA-seqi

RNA-Seq data generated by the Genotype-Tissue Expression (GTEx) project from human tissues is reported as mean nTPM. More information can be found on the GTEx portal.

Distribution across the dataset is visualized with box plots, shown as median and 25th and 75th percentiles. Points are displayed as outliers if they are above or below 1.5 times the interquartile range. nTPM values of the individual samples are presented next to the box plot.
Max subtype nTPMi

Max subtype nTPM is the value for the subtype with the largest average nTPM across the subtype samples.

112.3
GTEx sample id Sample description nTPM
Stomach
Average nTPM: 112.3
Samples: 359

Max nTPM: 899.9
Min nTPM: 20.8
Std nTPM: 75.9
Median nTPM: 94.4
GTEX-13PVQ-2126-SM-5L3FW 50-59 years, male 899.9
GTEX-1JMLX-2426-SM-CXZJQ 50-59 years, male 557.6
GTEX-15G19-1526-SM-6LPKP 60-69 years, male 510.2
GTEX-1A8G6-1426-SM-731EZ 60-69 years, male 470.3
GTEX-1QMI2-2126-SM-DPRXQ 60-69 years, male 340.2
GTEX-1I1HK-2026-SM-CNNRB 60-69 years, male 332.3
GTEX-1H1DE-1226-SM-9JGHH 20-29 years, male 327.9
GTEX-13S7M-1826-SM-5RQK6 60-69 years, female 327.4
GTEX-11NUK-2426-SM-5BC4U 50-59 years, male 326.8
GTEX-13X6J-2126-SM-5TDCV 50-59 years, male 314.6
GTEX-X15G-1126-SM-4PQZG 50-59 years, female 275.2
GTEX-1CB4E-1326-SM-7DUGD 60-69 years, male 272.1
GTEX-QXCU-1926-SM-48FE4 50-59 years, male 268.3
GTEX-18D9B-2226-SM-718BM 60-69 years, male 250.5
GTEX-1JMPZ-1826-SM-CXZJT 30-39 years, male 245.4
GTEX-1RQEC-2126-SM-DPS15 60-69 years, male 243.0
GTEX-1J8JJ-1726-SM-C1YQG 60-69 years, female 242.6
GTEX-S4P3-0726-SM-4AD57 50-59 years, female 236.1
GTEX-1QW4Y-0726-SM-DTX8E 30-39 years, male 235.3
GTEX-13111-1226-SM-5GCNC 50-59 years, male 225.6
GTEX-Y114-1226-SM-4TT88 50-59 years, female 212.0
GTEX-RTLS-2626-SM-46MUJ 60-69 years, female 210.1
GTEX-1IDJF-1426-SM-ACKWK 20-29 years, male 207.0
GTEX-11EM3-1026-SM-5A5KL 20-29 years, female 202.9
GTEX-1J8EW-2226-SM-AHZ3T 60-69 years, female 200.2
GTEX-P4PQ-1526-SM-3NMCK 60-69 years, male 199.7
GTEX-1HCU8-1326-SM-C1YQQ 60-69 years, female 199.5
GTEX-1B97I-1226-SM-7MGWQ 40-49 years, male 196.9
GTEX-T5JW-0926-SM-4DM5K 20-29 years, female 195.8
GTEX-12C56-0526-SM-5FQST 20-29 years, male 188.7
GTEX-146FH-2126-SM-5SI9U 50-59 years, female 182.8
GTEX-1ICG6-1826-SM-AHZ2O 70-79 years, female 181.8
GTEX-11TT1-0726-SM-5GU5A 20-29 years, male 181.0
GTEX-ZYY3-1726-SM-5EGH3 60-69 years, female 180.7
GTEX-13OW6-2526-SM-5IJEC 50-59 years, male 170.9
GTEX-S4UY-1626-SM-4AD55 40-49 years, female 169.0
GTEX-11VI4-0326-SM-5EQ6L 40-49 years, female 167.6
GTEX-12WSG-2026-SM-5FQUU 50-59 years, female 166.3
GTEX-S4Q7-0726-SM-4AD5F 20-29 years, male 165.7
GTEX-145MN-1326-SM-5NQ9S 30-39 years, male 163.6
GTEX-XBED-1226-SM-4AT5V 60-69 years, male 163.1
GTEX-ZDYS-1926-SM-5HL59 50-59 years, male 162.8
GTEX-ZAB4-1526-SM-5CVN7 40-49 years, male 162.7
GTEX-WFG8-1326-SM-4LVN3 20-29 years, male 162.4
GTEX-1MJIX-1126-SM-EV7AO 40-49 years, male 160.6
GTEX-ZTX8-0426-SM-59HLG 20-29 years, male 158.2
GTEX-1HT8W-2326-SM-A9SLA 30-39 years, male 156.4
GTEX-1PIGE-1126-SM-EWRMV 20-29 years, male 156.3
GTEX-TKQ1-0526-SM-4DXTG 30-39 years, male 156.1
GTEX-Y8LW-0826-SM-4WWDO 50-59 years, female 153.6
GTEX-1399U-1626-SM-5P9J3 50-59 years, female 152.6
GTEX-ZGAY-1626-SM-DNZZ3 40-49 years, female 151.6
GTEX-XV7Q-1326-SM-4BRWM 40-49 years, female 150.4
GTEX-11P7K-1726-SM-5GU6F 30-39 years, male 149.6
GTEX-1PPH8-1326-SM-DTXFO 20-29 years, male 149.4
GTEX-15G1A-1226-SM-7KUF3 30-39 years, male 149.3
GTEX-VJYA-1026-SM-4KL21 60-69 years, male 149.2
GTEX-13CF3-1926-SM-5K7WF 60-69 years, female 148.5
GTEX-18A7A-2726-SM-7LG6U 50-59 years, female 148.2
GTEX-WFJO-1126-SM-4LVLZ 30-39 years, male 145.9
GTEX-PWN1-1526-SM-48TDA 40-49 years, female 145.8
GTEX-Y8E4-1526-SM-4WWDI 40-49 years, male 144.5
GTEX-ZEX8-1626-SM-4WKG7 50-59 years, male 143.7
GTEX-TMMY-1626-SM-4DXTY 40-49 years, female 143.1
GTEX-1211K-1426-SM-5FQTF 60-69 years, female 141.8
GTEX-ZV6S-0926-SM-57WGB 40-49 years, female 140.8
GTEX-13X6H-1626-SM-5Q5CT 50-59 years, female 140.4
GTEX-1399S-1626-SM-5P9GI 30-39 years, female 140.3
GTEX-1GF9U-1126-SM-AHZ4H 40-49 years, female 139.2
GTEX-18D9A-0626-SM-7KFTY 30-39 years, female 138.9
GTEX-QLQW-0726-SM-447AA 30-39 years, male 137.4
GTEX-QDVJ-1426-SM-48U1Y 50-59 years, male 136.8
GTEX-S3XE-1026-SM-4AD4O 50-59 years, male 136.2
GTEX-17HII-2426-SM-7KFTT 50-59 years, male 136.0
GTEX-XAJ8-0326-SM-47JYI 40-49 years, male 136.0
GTEX-1QP67-1026-SM-EVR47 40-49 years, female 136.0
GTEX-1NSGN-1926-SM-E9J36 50-59 years, male 132.8
GTEX-145MO-2226-SM-5Q5BN 60-69 years, male 131.7
GTEX-QCQG-0526-SM-48U2A 50-59 years, female 130.5
GTEX-RWS6-0926-SM-47JXE 60-69 years, female 130.4
GTEX-PLZ6-0826-SM-3P61K 30-39 years, male 130.1
GTEX-12WSJ-0926-SM-5P9JD 40-49 years, female 129.7
GTEX-PW2O-1226-SM-48TCH 20-29 years, male 128.8
GTEX-XQ8I-2026-SM-4BOOL 50-59 years, male 127.7
GTEX-15SHW-2126-SM-6M46Y 60-69 years, male 127.6
GTEX-13O61-1126-SM-5L3FI 60-69 years, male 127.1
GTEX-1HBPI-0726-SM-9WG7Z 50-59 years, male 126.2
GTEX-13N1W-2026-SM-5K7YU 70-79 years, male 126.1
GTEX-15RIF-1126-SM-7KUG2 20-29 years, male 125.8
GTEX-1H1E6-1626-SM-9OSWC 30-39 years, male 125.7
GTEX-1JN76-0926-SM-ARZNH 20-29 years, female 125.2
GTEX-1IDJD-2426-SM-C1YS6 30-39 years, male 125.0
GTEX-WRHK-0626-SM-4MVOE 20-29 years, female 124.6
GTEX-S7SF-0626-SM-4AD4V 20-29 years, female 122.3
GTEX-S4Z8-1226-SM-4AD6W 60-69 years, male 122.1
GTEX-11GSP-2126-SM-5HL5E 60-69 years, female 121.4
GTEX-Y3I4-1626-SM-4TT7W 50-59 years, male 120.8
GTEX-QDVN-1226-SM-48TZ5 50-59 years, male 120.6
GTEX-Q2AI-0826-SM-48TZO 40-49 years, male 120.0
GTEX-1GPI7-1326-SM-9KNVA 20-29 years, male 119.8
GTEX-Y3IK-1426-SM-4YCES 50-59 years, female 119.3
GTEX-13O21-0926-SM-5IFGT 50-59 years, male 119.1
GTEX-139YR-1926-SM-5LZXM 50-59 years, male 119.0
GTEX-14PHY-0926-SM-5ZZWL 60-69 years, female 118.6
GTEX-ZF2S-1426-SM-57WET 50-59 years, female 117.5
GTEX-SUCS-0926-SM-4DM4Z 70-79 years, male 116.5
GTEX-TKQ2-0926-SM-4DXU5 50-59 years, male 116.2
GTEX-ZXES-1426-SM-5NQ8S 30-39 years, female 115.9
GTEX-144GN-1226-SM-5O991 50-59 years, male 115.5
GTEX-OXRL-1526-SM-E6CHQ 50-59 years, male 115.5
GTEX-146FR-2026-SM-5NQAI 60-69 years, female 114.4
GTEX-14DAQ-2826-SM-664MU 60-69 years, female 113.9
GTEX-RU1J-0526-SM-46MUT 20-29 years, female 113.5
GTEX-U3ZN-2026-SM-4DXUC 30-39 years, female 113.2
GTEX-S95S-0826-SM-4B64N 60-69 years, male 113.0
GTEX-131XE-2226-SM-5PNYX 50-59 years, male 112.0
GTEX-1N2DV-0926-SM-E9TJT 40-49 years, male 111.6
GTEX-17MF6-2126-SM-7KFS7 40-49 years, male 111.5
GTEX-POMQ-0826-SM-3P61H 20-29 years, female 111.4
GTEX-14PKU-1126-SM-69LOU 40-49 years, female 110.5
GTEX-14JG6-1226-SM-664O6 30-39 years, female 110.3
GTEX-T5JC-1926-SM-4DM6Q 20-29 years, male 110.3
GTEX-14B4R-0726-SM-5TDDR 30-39 years, male 109.9
GTEX-15EU6-2526-SM-7KUGB 50-59 years, male 109.6
GTEX-1S82Z-1726-SM-E6CHZ 30-39 years, female 109.5
GTEX-14PJ5-0826-SM-6AJAR 60-69 years, female 108.7
GTEX-XUZC-0726-SM-4BOPH 30-39 years, female 106.9
GTEX-13RTK-0226-SM-5RQHR 20-29 years, male 106.5
GTEX-QMRM-1126-SM-447BN 50-59 years, male 106.4
GTEX-OOBJ-1526-SM-3NB1Q 60-69 years, male 105.8
GTEX-ZV7C-1626-SM-5NQ7E 50-59 years, male 105.8
GTEX-13FTW-1726-SM-5KM2B 40-49 years, male 105.4
GTEX-11P82-0726-SM-5PNYL 20-29 years, male 104.9
GTEX-1MGNQ-1826-SM-DPRYI 40-49 years, male 104.4
GTEX-131XG-1226-SM-5EGH9 50-59 years, female 104.1
GTEX-111CU-0926-SM-5EGIK 50-59 years, male 103.3
GTEX-1K2DA-0826-SM-CGQGD 50-59 years, male 103.3
GTEX-1LSNM-1026-SM-DHXL2 50-59 years, male 103.3
GTEX-1R7EU-1126-SM-EAZ4M 60-69 years, male 102.7
GTEX-V1D1-1726-SM-4JBHB 50-59 years, male 102.6
GTEX-UPK5-2126-SM-4JBJK 40-49 years, male 101.6
GTEX-12WSD-2326-SM-59HKQ 60-69 years, female 101.5
GTEX-V955-1326-SM-4JBHR 60-69 years, male 101.4
GTEX-1HSMQ-2426-SM-CE6RY 50-59 years, male 101.4
GTEX-1JMQJ-1326-SM-D4P3B 50-59 years, male 101.1
GTEX-XPVG-1526-SM-4B66C 50-59 years, male 100.9
GTEX-YEC4-1426-SM-5IFHS 40-49 years, male 100.9
GTEX-ZP4G-1226-SM-4WWCJ 20-29 years, female 100.6
GTEX-1CAMR-0726-SM-7EPIE 20-29 years, male 100.5
GTEX-1LVAM-1426-SM-E9TJ4 50-59 years, female 100.2
GTEX-ZVT3-2126-SM-59HL2 60-69 years, female 100.0
GTEX-WFG7-1326-SM-4LMK1 20-29 years, male 99.9
GTEX-13U4I-2526-SM-5SI8Z 40-49 years, female 99.5
GTEX-13QJ3-2726-SM-5SI6L 50-59 years, male 99.4
GTEX-R55D-1526-SM-48FEJ 50-59 years, male 99.4
GTEX-ZLV1-0826-SM-DO11P 60-69 years, female 99.4
GTEX-ZPIC-2026-SM-57WG3 40-49 years, female 99.2
GTEX-1E2YA-2426-SM-7EPIG 50-59 years, male 99.0
GTEX-ZE7O-3026-SM-51MS4 50-59 years, female 98.9
GTEX-ZYVF-2726-SM-5GID4 50-59 years, female 98.8
GTEX-UJHI-1026-SM-4IHJP 50-59 years, female 98.4
GTEX-1HBPN-1626-SM-9WPNP 50-59 years, male 98.1
GTEX-P4PP-1526-SM-3P61M 30-39 years, female 97.5
GTEX-1C475-1026-SM-7MKFJ 40-49 years, female 97.3
GTEX-QDT8-2026-SM-EZ6LS 30-39 years, female 97.0
GTEX-14BMU-1126-SM-5RQJ8 20-29 years, female 96.4
GTEX-1CB4H-2426-SM-7PBYR 60-69 years, female 96.3
GTEX-1KD5A-1426-SM-D4P3V 50-59 years, male 96.0
GTEX-1QP28-2126-SM-DTX8B 50-59 years, female 96.0
GTEX-T8EM-1226-SM-4DM5J 40-49 years, male 95.9
GTEX-1S3DN-1526-SM-EVYCB 50-59 years, male 95.9
GTEX-13FH7-1026-SM-5IJGF 50-59 years, female 95.8
GTEX-WXYG-1626-SM-4ONCR 50-59 years, female 95.8
GTEX-1A3MV-1226-SM-718BW 30-39 years, male 95.5
GTEX-WYJK-2526-SM-4ONDF 50-59 years, male 95.4
GTEX-O5YV-1926-SM-EV797 60-69 years, female 95.4
GTEX-11DXX-1326-SM-5GIDZ 60-69 years, female 95.2
GTEX-1H23P-2726-SM-9JGHN 60-69 years, male 94.6
GTEX-14ICL-0826-SM-5YY9W 30-39 years, male 94.5
GTEX-14PJ3-1426-SM-664O8 50-59 years, male 94.4
GTEX-17EUY-1526-SM-793CA 20-29 years, male 94.4
GTEX-WH7G-1526-SM-4LVMX 40-49 years, male 94.1
GTEX-17HHE-1026-SM-79ON6 50-59 years, male 93.8
GTEX-U4B1-1026-SM-4DXT1 40-49 years, male 93.7
GTEX-P78B-1826-SM-3P5YX 40-49 years, female 93.5
GTEX-1399R-1126-SM-5IFIO 30-39 years, male 92.8
GTEX-1JMPY-0926-SM-ARL92 30-39 years, male 92.7
GTEX-13O3Q-2126-SM-5KM4C 50-59 years, male 92.5
GTEX-XMK1-1526-SM-EYYVO 40-49 years, male 92.5
GTEX-QV31-0626-SM-447C5 30-39 years, male 92.4
GTEX-1GMRU-2526-SM-9WG7T 50-59 years, male 92.2
GTEX-S341-0626-SM-4AD5T 40-49 years, female 91.6
GTEX-16AAH-1226-SM-79OO9 50-59 years, male 91.3
GTEX-1339X-1426-SM-5K7YO 40-49 years, male 90.9
GTEX-ZZ64-0426-SM-5E43F 20-29 years, male 90.6
GTEX-14BIL-1926-SM-73KYI 50-59 years, male 90.2
GTEX-1QP2A-2126-SM-DPRZ7 50-59 years, male 89.9
GTEX-1AYCT-1326-SM-7MKHB 50-59 years, male 89.8
GTEX-NFK9-1526-SM-3LK7B 40-49 years, male 89.7
GTEX-ZLWG-1526-SM-DO12F 50-59 years, female 88.8
GTEX-Q734-1026-SM-48U16 40-49 years, female 88.4
GTEX-OIZH-1526-SM-3NB1J 50-59 years, male 88.2
GTEX-Q2AH-1126-SM-48TZM 40-49 years, male 87.9
GTEX-1GZ4H-1026-SM-9OSXL 50-59 years, female 87.6
GTEX-14BMV-2226-SM-5RQHX 50-59 years, male 87.5
GTEX-1IL2V-2026-SM-ARZMA 70-79 years, male 87.5
GTEX-14PHX-1026-SM-664OL 50-59 years, male 87.3
GTEX-ZLFU-1326-SM-DO11R 40-49 years, male 86.7
GTEX-1H1DG-2126-SM-9WPPB 70-79 years, male 86.6
GTEX-18QFQ-1226-SM-718AE 30-39 years, male 86.3
GTEX-12BJ1-1726-SM-5HL9B 60-69 years, male 85.9
GTEX-14PKV-1826-SM-69LO9 20-29 years, female 85.9
GTEX-15DZA-1126-SM-6LPK8 30-39 years, female 85.6
GTEX-WYVS-1326-SM-4ONCQ 40-49 years, female 85.6
GTEX-WZTO-2126-SM-4PQYW 40-49 years, male 85.5
GTEX-11EI6-2426-SM-5PNVS 60-69 years, male 85.1
GTEX-16NGA-1526-SM-72D56 40-49 years, female 84.9
GTEX-13OVI-2426-SM-5KM4J 60-69 years, female 84.8
GTEX-1KXAM-0926-SM-CXZKA 60-69 years, male 84.8
GTEX-R55G-1126-SM-48FDG 40-49 years, female 84.7
GTEX-UJMC-1226-SM-4IHLI 50-59 years, male 84.7
GTEX-15DCE-1626-SM-6LPJM 20-29 years, male 84.6
GTEX-1J8QM-1126-SM-C1YQB 60-69 years, female 84.6
GTEX-139D8-2326-SM-5IFGE 30-39 years, female 84.5
GTEX-1GL5R-1926-SM-9WG7U 50-59 years, male 84.4
GTEX-1HCUA-1626-SM-A9SMG 50-59 years, female 84.4
GTEX-12696-1726-SM-5EQLH 60-69 years, male 84.2
GTEX-18A67-2626-SM-718AD 50-59 years, male 84.0
GTEX-XXEK-0826-SM-4BRWG 50-59 years, male 83.3
GTEX-13QBU-1126-SM-5LU44 40-49 years, female 83.2
GTEX-1QCLY-1126-SM-EAZ4J 30-39 years, male 83.0
GTEX-YEC3-1426-SM-D4P1S 50-59 years, male 82.8
GTEX-1I4MK-0926-SM-A9SLD 50-59 years, female 82.7
GTEX-17JCI-2226-SM-7LTA1 60-69 years, female 82.3
GTEX-13113-0726-SM-5LZUF 60-69 years, female 82.0
GTEX-ZF29-1526-SM-4WKF7 60-69 years, female 82.0
GTEX-117YX-1026-SM-5H11V 50-59 years, male 81.9
GTEX-1C64O-2226-SM-73KTV 60-69 years, male 81.5
GTEX-132AR-2426-SM-5IFFD 50-59 years, female 81.1
GTEX-WHSB-1226-SM-4M1XR 50-59 years, male 81.1
GTEX-PLZ5-1226-SM-EXOHA 50-59 years, male 81.1
GTEX-1LVAN-2426-SM-CNNPZ 50-59 years, female 80.9
GTEX-17F98-1526-SM-7EWD8 40-49 years, female 80.6
GTEX-ZZPU-1426-SM-5GZZ6 50-59 years, female 80.6
GTEX-Y5LM-1326-SM-5RQIS 40-49 years, female 80.4
GTEX-1I1GT-1726-SM-C1YS3 60-69 years, female 80.4
GTEX-14E6E-0926-SM-664N8 30-39 years, male 79.4
GTEX-1HR9M-2326-SM-CNPPZ 60-69 years, male 79.4
GTEX-P4QT-1526-SM-3NMCT 50-59 years, female 79.1
GTEX-W5WG-1726-SM-4LMI5 50-59 years, female 78.7
GTEX-YB5E-1126-SM-664NU 40-49 years, male 78.6
GTEX-1E1VI-2826-SM-7MGWU 50-59 years, male 78.4
GTEX-1H3VY-2326-SM-9WG81 50-59 years, male 77.6
GTEX-15UF7-1226-SM-6M46G 40-49 years, male 77.5
GTEX-17GQL-1226-SM-7KFTS 60-69 years, male 77.2
GTEX-133LE-1326-SM-5IFGO 20-29 years, female 77.1
GTEX-WHWD-1426-SM-4OORU 50-59 years, male 76.7
GTEX-1QP29-2326-SM-EXOJO 50-59 years, male 76.6
GTEX-1JN1M-2926-SM-CNNPJ 60-69 years, female 76.3
GTEX-R55C-1026-SM-48FCM 40-49 years, male 75.8
GTEX-O5YW-1526-SM-3MJGL 50-59 years, male 75.6
GTEX-11NSD-1426-SM-5HL67 20-29 years, male 75.5
GTEX-18A66-2226-SM-7189E 60-69 years, male 75.5
GTEX-13FTX-0726-SM-5N9BI 20-29 years, female 75.4
GTEX-QV44-1226-SM-CJI1S 50-59 years, male 75.4
GTEX-1HSEH-1526-SM-B2LXG 60-69 years, male 74.8
GTEX-YJ8A-1526-SM-5P9FT 20-29 years, male 74.2
GTEX-1B97J-1826-SM-7IGPP 50-59 years, female 74.1
GTEX-WY7C-1726-SM-4ONCC 50-59 years, male 74.0
GTEX-1H3NZ-2226-SM-9WYUT 60-69 years, male 73.5
GTEX-17HGU-2126-SM-7IGOV 50-59 years, male 73.3
GTEX-WEY5-1226-SM-4LMIQ 40-49 years, female 72.8
GTEX-1F75I-1826-SM-7MKGX 40-49 years, male 72.7
GTEX-WHPG-0426-SM-4M1XW 50-59 years, male 71.9
GTEX-1HFI7-1526-SM-9WG7W 50-59 years, female 71.0
GTEX-1JKYN-1726-SM-AHZ48 30-39 years, male 71.0
GTEX-17KNJ-1526-SM-7LTA9 50-59 years, male 70.9
GTEX-1S831-1126-SM-EWROI 20-29 years, male 70.3
GTEX-1JK1U-1326-SM-AHZ45 60-69 years, male 70.1
GTEX-1AX9J-2626-SM-731EK 60-69 years, male 69.9
GTEX-XBEW-1826-SM-4RTWX 40-49 years, male 69.9
GTEX-11EQ9-1226-SM-5987E 30-39 years, male 69.8
GTEX-1MCYP-1126-SM-E9J2P 20-29 years, female 69.6
GTEX-1RB15-1026-SM-E9U6V 60-69 years, male 69.5
GTEX-1LGRB-1726-SM-CNNRA 50-59 years, female 69.4
GTEX-ZVZP-1726-SM-5GZWY 50-59 years, male 69.0
GTEX-PX3G-1526-SM-48U11 20-29 years, female 68.9
GTEX-SNOS-0826-SM-4DM5N 40-49 years, male 68.8
GTEX-1B8KZ-1226-SM-793CP 50-59 years, male 68.2
GTEX-SNMC-0626-SM-4DM6H 20-29 years, male 68.2
GTEX-1EH9U-2226-SM-7PBXX 60-69 years, male 68.2
GTEX-1AMFI-1226-SM-731CZ 50-59 years, female 68.1
GTEX-1A3MX-1926-SM-72D7F 60-69 years, male 67.9
GTEX-1GN1W-2126-SM-9JGI7 50-59 years, female 67.9
GTEX-13PVR-2126-SM-73KVR 60-69 years, female 67.8
GTEX-117YW-2226-SM-5N9DB 50-59 years, male 67.5
GTEX-Y5V6-1326-SM-4VDTF 60-69 years, male 67.3
GTEX-1F5PK-1826-SM-7RHHX 50-59 years, male 66.9
GTEX-1I6K7-1726-SM-B2LXQ 40-49 years, male 66.9
GTEX-13OVK-0926-SM-7KUFX 40-49 years, male 66.8
GTEX-1B8L1-1526-SM-79OLK 60-69 years, male 66.7
GTEX-PWCY-0926-SM-48TD7 20-29 years, female 66.7
GTEX-OXRK-1626-SM-3NB17 50-59 years, female 66.5
GTEX-ZVP2-1626-SM-5GU5D 50-59 years, male 66.3
GTEX-14PN3-1326-SM-6AJ9U 60-69 years, female 66.2
GTEX-1B8KE-1326-SM-73KVI 50-59 years, male 66.2
GTEX-15RIE-1026-SM-6LPJQ 60-69 years, male 65.7
GTEX-14E1K-1526-SM-664MN 50-59 years, male 65.1
GTEX-1QCLZ-1826-SM-DPRXP 60-69 years, female 65.1
GTEX-ZA64-0826-SM-5HL9U 20-29 years, male 63.7
GTEX-1HKZK-1526-SM-B2LWG 40-49 years, male 63.3
GTEX-14DAR-0926-SM-73KUQ 50-59 years, male 62.8
GTEX-14PJ4-1626-SM-664OB 60-69 years, male 62.8
GTEX-145ME-1026-SM-5O9B4 40-49 years, female 62.7
GTEX-145LT-1426-SM-5O9B3 40-49 years, male 62.5
GTEX-ZYFG-1326-SM-5GICJ 60-69 years, female 62.5
GTEX-WFON-1126-SM-4LVMA 40-49 years, male 62.0
GTEX-1RMOY-1126-SM-EV79E 50-59 years, male 62.0
GTEX-YFCO-0826-SM-5LUAG 40-49 years, male 61.9
GTEX-RUSQ-1126-SM-EAZAU 50-59 years, male 61.8
GTEX-13D11-2126-SM-5IFH2 50-59 years, female 61.7
GTEX-144GM-1726-SM-5O9AS 20-29 years, male 61.5
GTEX-131XF-1226-SM-5HL8V 60-69 years, male 61.3
GTEX-ZT9W-1526-SM-4YCDE 50-59 years, male 61.3
GTEX-Y9LG-1026-SM-5IFJN 30-39 years, male 60.1
GTEX-QLQ7-0826-SM-447B3 60-69 years, male 60.0
GTEX-1KANA-1126-SM-D3L9M 20-29 years, male 60.0
GTEX-1F5PL-1426-SM-7MKFH 40-49 years, female 59.8
GTEX-OHPK-1526-SM-3MJGM 50-59 years, female 59.6
GTEX-ZQUD-0826-SM-57WDQ 30-39 years, male 59.6
GTEX-1122O-1926-SM-5EGIQ 60-69 years, female 59.4
GTEX-1LG7Z-1226-SM-DHXK4 30-39 years, male 59.4
GTEX-1H11D-2226-SM-9OSXN 40-49 years, male 58.9
GTEX-1QPFJ-1526-SM-DPRXT 30-39 years, female 57.4
GTEX-ZVT2-1626-SM-51MRC 50-59 years, female 57.3
GTEX-14PJ6-0826-SM-686Z9 60-69 years, female 57.0
GTEX-17F9E-2226-SM-7IGNC 50-59 years, male 56.7
GTEX-RM2N-0826-SM-48FD3 50-59 years, male 55.9
GTEX-1R9K5-1026-SM-EAZ4F 50-59 years, male 55.3
GTEX-1LGOU-1526-SM-D3LAJ 20-29 years, female 54.6
GTEX-1AMEY-1226-SM-731DU 30-39 years, female 54.3
GTEX-12WSK-1426-SM-5CVNN 40-49 years, female 53.8
GTEX-ZPU1-1626-SM-4WWB2 40-49 years, male 53.7
GTEX-111YS-1126-SM-5GZYQ 60-69 years, male 53.5
GTEX-OIZF-1526-SM-2I5GR 60-69 years, male 52.8
GTEX-R53T-1226-SM-48FCT 50-59 years, female 51.4
GTEX-1RAZR-1526-SM-EAZ4U 40-49 years, male 51.1
GTEX-1LBAC-1426-SM-CXZKT 20-29 years, male 49.8
GTEX-OHPM-1526-SM-EV796 50-59 years, male 49.7
GTEX-1J8Q3-1926-SM-C1YSJ 60-69 years, male 49.4
GTEX-1MUQO-1926-SM-EAZ59 60-69 years, male 48.9
GTEX-15CHR-1326-SM-79OLT 50-59 years, male 47.2
GTEX-1IDJU-1526-SM-CNNR3 60-69 years, female 47.0
GTEX-1L5NE-1526-SM-DIPFW 50-59 years, male 45.5
GTEX-132QS-1826-SM-5IFFN 60-69 years, male 45.2
GTEX-T6MO-0726-SM-4DM58 40-49 years, female 45.2
GTEX-ZY6K-0726-SM-5A5L8 50-59 years, male 44.4
GTEX-11I78-1726-SM-5A5M3 50-59 years, female 27.8
GTEX-11WQK-2626-SM-5EQ4K 50-59 years, male 20.8
Show allShow less

Contact

  • NEWS ARTICLES
  • PRESS ROOM

The Project

  • INTRODUCTION
  • ORGANIZATION
  • PUBLICATIONS

The Human Protein Atlas

  • DOWNLOADABLE DATA
  • LICENCE & CITATION
  • HELP & FAQ
The Human Protein Atlas project is funded
by the Knut & Alice Wallenberg Foundation.


contact@proteinatlas.org