We use cookies to enhance the usability of our website. If you continue, we'll assume that you are happy to receive all cookies. More information. Don't show this again.
IFITM1
HPA
RESOURCES
  • TISSUE
  • BRAIN
  • SINGLE CELL
  • SUBCELLULAR
  • CANCER
  • BLOOD
  • CELL LINE
  • STRUCTURE & INTERACTION
ABOUT
  • INTRODUCTION
  • HISTORY
  • ORGANIZATION
  • PUBLICATIONS
  • ANTIBODY SUBMISSION
  • ANTIBODY AVAILABILITY
  • ACKNOWLEDGMENTS
  • CONTACT
NEWS
  • NEWS ARTICLES
  • PRESS ROOM
LEARN
  • DICTIONARY
  • PROTEIN CLASSES
  • PROTEIN EVIDENCE
  • METHODS
  • EDUCATIONAL VIDEOS
DATA
  • DOWNLOADABLE DATA
  • PUBLICATION DATA
  • RELEASE HISTORY
HELP
  • ANTIBODY VALIDATION
  • ASSAYS & ANNOTATION
  • DISCLAIMER
  • HELP & FAQ
  • PRIVACY STATEMENT
  • LICENCE & CITATION
Fields »
Search result

Field
Term
Gene name
Class
Subclass
Class
Keyword
Chromosome
External id
Tissue
Cell type
Expression
Antibody panel
Tissue
Main location
Patient ID
Annotation
Tissue
Category
Tau score
Cluster
Reliability
Brain region
Category
Tau score
Brain region
Category
Tau score
Brain region
Category
Tau score
Cluster
Reliability
Tissue
Cell type
Enrichment
Cell type
Category
Tau score
Cell type
Category
Tau score
Cell type
Category
Tau score
Cell lineage
Category
Tau score
Cluster
Cluster
Location
Searches
Location
Cell line
Class
Type
Phase
Reliability
Cancer
Prognosis
Cancer
Category
Cancer
Category
Tau score
Cluster
Variants
Interacting gene (ensg_id)
Type
Number of interactions
Pathway
Category
Score
Score
Score
Validation
Validation
Validation
Validation
Antibodies
Data type
Column


  • SUMMARY

  • TISSUE

  • BRAIN

  • SINGLE CELL

  • SUBCELL

  • CANCER

  • BLOOD

  • CELL LINE

  • STRUCT & INT

  • IFITM1
TISSUE PRIMARY DATA ESOPHAGUS Show tissue menu
ADIPOSE TISSUE ADRENAL GLAND AMYGDALA APPENDIX BASAL GANGLIA BONE MARROW BREAST BRONCHUS CEREBELLUM CEREBRAL CORTEX CERVIX CHOROID PLEXUS COLON DUODENUM
ENDOMETRIUM EPIDIDYMIS ESOPHAGUS FALLOPIAN TUBE GALLBLADDER HEART MUSCLE HIPPOCAMPAL FORMATION HYPOTHALAMUS KIDNEY LIVER LUNG LYMPH NODE MIDBRAIN NASOPHARYNX
ORAL MUCOSA OVARY PANCREAS PARATHYROID GLAND PITUITARY GLAND PLACENTA PROSTATE RECTUM RETINA SALIVARY GLAND SEMINAL VESICLE SKELETAL MUSCLE SKIN SMALL INTESTINE
SMOOTH MUSCLE SOFT TISSUE SPINAL CORD SPLEEN STOMACH TESTIS THYMUS THYROID GLAND TONGUE TONSIL URINARY BLADDER VAGINA
ANTIBODIES
AND
VALIDATION
Dictionary
Esophagus
Tissue proteome
Esophagus
ESOPHAGUS - Expression summary
Protein expression
Esophagusi

On the top, protein expression in current human tissue, based on all annotated cell types, is reported with the units not detected (n), low (l), medium (m) and high (h). Underneath, protein expression in each annotated cell type are reported using the same units.

Protein expression data is based on knowledge-based annotation. For genes where more than one antibody has been used, a collective score is set.

If knowledge-based annotation could not be performed for a gene, no data is displayed here. View antibody staining data further down this page.

h
m
l
n
Squamous epithelial cells: Low
RNA expressioni

A summary of mRNA expression data available for current tissue based on several datasets. The mRNA expression levels in human tissues are based on RNA-seq data generated by the Human Protein Atlas (HPA), Genotype-Tissue Expression (GTEx) portal and CAGE data generated by the FANTOM5 consortium. Consensus normalized expression levels for human tissues was created by combining the data from HPA and GTEx datasets.

The mRNA expression levels in pig are based on RNA-seq data generated by the Human Protein Atlas (HPA), and for mouse, HPA data and in situ hybridization generated by the Allen brain atlas are reported.

Scroll down to view mRNA expression data in more detail.
Consensus:143.2 nTPM
HPA:138.6 nTPM
GTEx:143.2 nTPM
FANTOM5:394.6 Scaled Tags Per Million

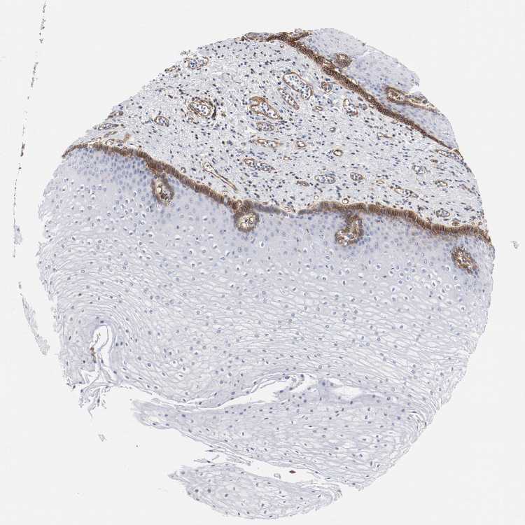
ESOPHAGUS - Antibody stainingi

Antibody staining in the annotated cell types in the current human tissue is reported as not detected, low, medium, or high, based on conventional immunohistochemistry profiling in selected tissues. This score is based on the combination of the staining intensity and fraction of stained cells.

Each image is clickable and will lead to virtual microscopy that enables deeper exploration of all samples and also displays staining intensity scores, fraction scores and subcellular localization as well as patient and tissue information for each sample.

Antibody HPA004810Antibody CAB017615
Squamous epithelial cells MediumNot detected



ESOPHAGUS - HPA RNA-seqi

The RNA-seq details section shows detailed information about the individual samples used for the transcript profiling and results of the RNA-seq analysis.

Information about each individual sample is listed below, including gender, age, a tissue section image and estimated fractions of cell types. nTPM (normalized transcripts per million) values give a quantification of the gene abundance which is comparable between different genes and samples.
Average nTPMi

Max subtype nTPM is the value for the subtype with the largest average nTPM across the subtype samples.

138.6
overview
Female, age 70
Esophagus sample 130
nTPM: 184.9
Cell types%
Squamous epithelial cells:
35

Smooth muscle cells:
15

Skeletal muscle cells:
5

Other cell types:
45

overview
Male, age 38
Esophagus sample 131
nTPM: 107.9
Cell types%
Squamous epithelial cells:
60

Smooth muscle cells:
20

Other cell types:
20

overview
Male, age 76
Esophagus sample 132
nTPM: 123
Cell types%
Squamous epithelial cells:
45

Smooth muscle cells:
15

Other cell types:
40


ESOPHAGUS - GTEx RNA-seqi

RNA-Seq data generated by the Genotype-Tissue Expression (GTEx) project from human tissues is reported as mean nTPM. More information can be found on the GTEx portal.

Distribution across the dataset is visualized with box plots, shown as median and 25th and 75th percentiles. Points are displayed as outliers if they are above or below 1.5 times the interquartile range. nTPM values of the individual samples are presented next to the box plot.
Max subtype nTPMi

Max subtype nTPM is the value for the subtype with the largest average nTPM across the subtype samples.

143.2
GTEx sample id Sample description nTPM
Esophagus - Mucosa
Average nTPM: 143.2
Samples: 555

Max nTPM: 1618.8
Min nTPM: 26.5
Std nTPM: 101.3
Median nTPM: 117.5
GTEX-17F97-1326-SM-7MGVO 50-59 years, male 1618.8
GTEX-146FR-0426-SM-5SI97 60-69 years, female 561.5
GTEX-1CB4J-2426-SM-7MXVC 60-69 years, male 528.9
GTEX-145ME-5004-SM-7MGXP 40-49 years, female 496.2
GTEX-R55D-1126-SM-48FEB 50-59 years, male 476.2
GTEX-U8XE-1726-SM-4E3IF 30-39 years, male 452.0
GTEX-1AX8Z-5016-SM-AHZ2B 60-69 years, male 440.1
GTEX-ZT9X-0526-SM-5GCOP 40-49 years, male 431.3
GTEX-1I6K7-1426-SM-B2LXP 40-49 years, male 410.6
GTEX-12WSN-5013-SM-7P8P9 40-49 years, male 383.7
GTEX-14BIM-1326-SM-7EWD1 60-69 years, female 373.4
GTEX-11DZ1-2026-SM-5A5KG 50-59 years, male 371.5
GTEX-1J1OQ-2526-SM-AHZ3Q 40-49 years, female 369.9
GTEX-13X6I-1026-SM-5LU4C 60-69 years, male 366.1
GTEX-OHPN-1026-SM-E9TI8 60-69 years, female 361.5
GTEX-1KANB-1826-SM-DHXJU 50-59 years, male 355.8
GTEX-12ZZW-1726-SM-5DUVD 50-59 years, male 343.0
GTEX-16XZY-0926-SM-7938M 70-79 years, male 341.4
GTEX-WFJO-0826-SM-4LVM5 30-39 years, male 339.0
GTEX-1LVA9-2126-SM-DLHBY 50-59 years, male 332.5
GTEX-1F52S-1426-SM-7P8PU 60-69 years, female 332.1
GTEX-144GM-1426-SM-5LU31 20-29 years, male 331.4
GTEX-ZZPT-1426-SM-5N9C5 50-59 years, male 327.2
GTEX-XV7Q-1126-SM-4BRVS 40-49 years, female 326.7
GTEX-145MF-1426-SM-5O9B6 50-59 years, male 324.6
GTEX-XLM4-2326-SM-4AT5E 60-69 years, male 309.4
GTEX-15EO6-1026-SM-7KUG9 50-59 years, male 305.6
GTEX-15ETS-1926-SM-7KUN5 40-49 years, female 303.6
GTEX-13NYB-0926-SM-5IFFA 40-49 years, male 302.4
GTEX-1H3NZ-1326-SM-9JGHI 60-69 years, male 300.1
GTEX-132AR-2226-SM-5J2NT 50-59 years, female 299.6
GTEX-1H3VY-2026-SM-9JGHK 50-59 years, male 291.6
GTEX-ZTX8-0226-SM-5E44D 20-29 years, male 288.7
GTEX-1269C-1026-SM-5N9EY 60-69 years, female 283.7
GTEX-1GMR8-1826-SM-9WYUE 50-59 years, female 283.2
GTEX-13O1R-1326-SM-5IJF5 60-69 years, male 281.8
GTEX-1CB4H-1526-SM-7MXU4 60-69 years, female 279.4
GTEX-15EOM-5013-SM-7MKF9 20-29 years, female 277.6
GTEX-R45C-1226-SM-48FEE 60-69 years, female 275.0
GTEX-X4EP-1626-SM-4QAS6 60-69 years, female 274.8
GTEX-1JMQK-2026-SM-C1YQN 60-69 years, male 270.9
GTEX-13CF3-1626-SM-5IFG9 60-69 years, female 270.8
GTEX-132Q8-1826-SM-5EGIY 60-69 years, male 269.6
GTEX-11TUW-1326-SM-5EQKV 60-69 years, male 267.8
GTEX-1LVAM-1126-SM-DHXKP 50-59 years, female 265.4
GTEX-1R9K4-1926-SM-DPRZW 60-69 years, male 264.7
GTEX-WHWD-0926-SM-4OORY 50-59 years, male 262.9
GTEX-1I1GP-1026-SM-C1YRZ 50-59 years, male 261.4
GTEX-12ZZX-1326-SM-5DUWI 40-49 years, female 260.9
GTEX-16Z82-1926-SM-6M47U 60-69 years, male 258.2
GTEX-14BMU-0926-SM-5S2QB 20-29 years, female 257.7
GTEX-1F7RK-1526-SM-7P8T6 20-29 years, female 256.8
GTEX-XK95-1026-SM-4GIDV 40-49 years, male 256.1
GTEX-183WM-1726-SM-7KFT5 70-79 years, female 255.0
GTEX-ZEX8-1426-SM-4WKHQ 50-59 years, male 254.0
GTEX-1IDFM-1126-SM-A96SY 60-69 years, male 250.6
GTEX-TSE9-1226-SM-4DXTM 60-69 years, female 247.9
GTEX-RUSQ-0826-SM-47JWW 50-59 years, male 245.2
GTEX-15UF7-0926-SM-6M46F 40-49 years, male 245.1
GTEX-144GO-2726-SM-5O9A2 60-69 years, male 240.8
GTEX-13OVJ-1226-SM-5L3HA 50-59 years, female 238.6
GTEX-14PJ6-1026-SM-686ZB 60-69 years, female 237.9
GTEX-XXEK-0326-SM-4BRVV 50-59 years, male 237.4
GTEX-WHPG-1126-SM-4M1XT 50-59 years, male 235.3
GTEX-ZV68-0926-SM-59HK7 50-59 years, female 233.0
GTEX-ZYW4-1326-SM-5E45N 60-69 years, male 232.6
GTEX-N7MS-1225-SM-3LK5G 60-69 years, male 232.2
GTEX-QESD-0826-SM-47J4G 20-29 years, male 231.6
GTEX-15RJ7-0926-SM-6LPJO 40-49 years, male 231.4
GTEX-13JVG-2026-SM-5KM1N 60-69 years, male 231.0
GTEX-1QP29-2126-SM-E6CPZ 50-59 years, male 230.8
GTEX-1HCU7-2126-SM-A96SG 50-59 years, male 230.4
GTEX-1RLM8-0726-SM-E6CRH 50-59 years, male 229.7
GTEX-16A39-1026-SM-6LPJU 30-39 years, female 229.1
GTEX-S32W-0926-SM-4AD5X 50-59 years, female 226.9
GTEX-1K9T9-2026-SM-CXZK3 50-59 years, female 226.1
GTEX-144FL-2726-SM-5O98Z 50-59 years, male 225.7
GTEX-X585-1226-SM-46MW7 50-59 years, male 225.3
GTEX-15DCD-1626-SM-6AJBH 70-79 years, female 224.1
GTEX-Q2AH-0826-SM-48TZN 40-49 years, male 223.2
GTEX-1211K-0926-SM-5FQTL 60-69 years, female 222.1
GTEX-1JMLX-2326-SM-CXZJP 50-59 years, male 220.8
GTEX-1HBPM-1426-SM-9WPPE 60-69 years, female 219.5
GTEX-13PVQ-1726-SM-5IFF3 50-59 years, male 218.3
GTEX-XMD2-1326-SM-4YCET 60-69 years, female 218.2
GTEX-1F5PL-1726-SM-9QEGL 40-49 years, female 217.9
GTEX-ZTPG-1626-SM-5DUX2 20-29 years, female 215.8
GTEX-1HC8U-1526-SM-9WPO4 40-49 years, female 213.7
GTEX-1GF9U-0826-SM-7MXTZ 40-49 years, female 213.6
GTEX-13YAN-1926-SM-7EPH9 60-69 years, male 212.9
GTEX-ZVE2-1326-SM-5NQ94 50-59 years, male 212.7
GTEX-1BAJH-2026-SM-7P8OZ 70-79 years, male 212.6
GTEX-145MN-1026-SM-5NQ9G 30-39 years, male 212.0
GTEX-17KNJ-1326-SM-7KFTG 50-59 years, male 209.3
GTEX-13S86-0826-SM-5SI6J 40-49 years, male 209.2
GTEX-17HII-1526-SM-9OSVD 50-59 years, male 208.4
GTEX-14E6E-0726-SM-5S2R3 30-39 years, male 206.0
GTEX-13QJ3-1726-SM-5RQK9 50-59 years, male 205.5
GTEX-ZE9C-1126-SM-4WWBD 60-69 years, male 203.9
GTEX-WHSE-1526-SM-4M1XH 20-29 years, male 203.8
GTEX-ZAB5-0926-SM-5CVMV 50-59 years, male 203.3
GTEX-139UW-1126-SM-5IJEJ 60-69 years, male 202.7
GTEX-12WSL-1526-SM-5GCP8 50-59 years, male 200.7
GTEX-OXRN-1726-SM-3NM9B 50-59 years, male 199.9
GTEX-ZAJG-1326-SM-5S2NV 50-59 years, female 199.2
GTEX-15UF6-2326-SM-6M465 70-79 years, female 195.5
GTEX-13FLV-1126-SM-5J2NO 50-59 years, male 193.0
GTEX-13SLX-1726-SM-5Q5E5 50-59 years, female 191.5
GTEX-11LCK-1726-SM-5S2OQ 30-39 years, male 191.3
GTEX-12WSA-1426-SM-5EGJU 60-69 years, male 191.1
GTEX-Q2AG-1326-SM-43V8K 40-49 years, female 188.0
GTEX-1QW4Y-0526-SM-EAZ3V 30-39 years, male 187.2
GTEX-XMK1-1326-SM-4B65Q 40-49 years, male 186.8
GTEX-14C38-2126-SM-5RQJO 50-59 years, male 186.0
GTEX-T2YK-1326-SM-4DM6S 50-59 years, male 185.3
GTEX-1E1VI-1526-SM-7IGQ2 50-59 years, male 181.5
GTEX-T5JW-1326-SM-4DM5G 20-29 years, female 181.3
GTEX-1I1GU-1426-SM-B2LX3 40-49 years, male 180.7
GTEX-VUSG-1226-SM-4KKZF 50-59 years, male 179.9
GTEX-145LS-1826-SM-5LUAZ 60-69 years, female 179.8
GTEX-QDVJ-0726-SM-48U1W 50-59 years, male 179.1
GTEX-Y3IK-1126-SM-51MSV 50-59 years, female 178.1
GTEX-SJXC-1426-SM-EYYVB 60-69 years, male 177.7
GTEX-14PHY-0626-SM-664NN 60-69 years, female 177.4
GTEX-XYKS-1526-SM-4BRUP 60-69 years, female 177.0
GTEX-1R9K5-1526-SM-DPRZA 50-59 years, male 176.7
GTEX-1N2EE-2426-SM-EXOIO 60-69 years, male 174.9
GTEX-11DXX-1126-SM-5GZZK 60-69 years, female 174.1
GTEX-XBED-1026-SM-48TCB 60-69 years, male 173.2
GTEX-14PJ4-1526-SM-664OA 60-69 years, male 172.6
GTEX-1LGRB-1626-SM-CNNR7 50-59 years, female 171.9
GTEX-ZDYS-0826-SM-4WWCR 50-59 years, male 171.3
GTEX-ZPU1-1426-SM-4WWFU 40-49 years, male 170.6
GTEX-P78B-1026-SM-3NMC4 40-49 years, female 169.9
GTEX-QEG5-1426-SM-447AS 20-29 years, male 168.7
GTEX-1EN7A-1226-SM-7MGX9 40-49 years, male 167.0
GTEX-1A32A-1826-SM-72D5G 50-59 years, female 166.0
GTEX-ZY6K-0626-SM-59HJL 50-59 years, male 164.3
GTEX-N7MT-0326-SM-48TDP 60-69 years, female 164.1
GTEX-S3XE-0926-SM-4AD4S 50-59 years, male 163.6
GTEX-QLQ7-0926-SM-447BC 60-69 years, male 163.1
GTEX-1GL5R-1526-SM-7MKHO 50-59 years, male 162.7
GTEX-15DCE-1326-SM-6LPJL 20-29 years, male 162.5
GTEX-QVUS-0626-SM-447CC 60-69 years, female 162.3
GTEX-ZGAY-1126-SM-4WWBS 40-49 years, female 161.5
GTEX-11TT1-0526-SM-5P9JO 20-29 years, male 161.0
GTEX-16MTA-0826-SM-6LLIC 50-59 years, male 161.0
GTEX-NPJ8-1926-SM-3MJGB 40-49 years, male 160.9
GTEX-Y3I4-1226-SM-4TT8N 50-59 years, male 159.9
GTEX-1IDJD-1626-SM-C1YRC 30-39 years, male 159.0
GTEX-18465-1126-SM-7LG6E 50-59 years, male 158.1
GTEX-15DYW-1826-SM-6LPIY 60-69 years, female 157.9
GTEX-1OJC3-0826-SM-DPRYU 20-29 years, male 157.9
GTEX-1PPGY-1726-SM-EVR3S 60-69 years, male 157.8
GTEX-13111-0826-SM-5LZV3 50-59 years, male 157.5
GTEX-QEL4-1426-SM-447AC 50-59 years, male 157.5
GTEX-XGQ4-1526-SM-4AT6H 50-59 years, male 157.5
GTEX-1I1GS-2126-SM-ARU7G 60-69 years, male 157.0
GTEX-1JMQJ-1226-SM-D3L97 50-59 years, male 156.6
GTEX-S4Q7-0626-SM-4AD5M 20-29 years, male 156.1
GTEX-1JK1U-1726-SM-CNNPM 60-69 years, male 155.9
GTEX-1GPI7-1026-SM-7MGY2 20-29 years, male 155.6
GTEX-117YW-1926-SM-5H121 50-59 years, male 155.4
GTEX-OXRL-0626-SM-3NM9C 50-59 years, male 155.4
GTEX-1LSNL-2226-SM-DHXKM 50-59 years, male 154.8
GTEX-17F9E-1926-SM-7IGQF 50-59 years, male 153.3
GTEX-11ZU8-1526-SM-5EGHX 60-69 years, male 153.2
GTEX-OOBK-0625-SM-3LK5P 40-49 years, male 153.1
GTEX-ZC5H-1326-SM-5HL7E 40-49 years, female 153.1
GTEX-139YR-1726-SM-5IFFK 50-59 years, male 152.7
GTEX-WFG8-1226-SM-4V6EI 20-29 years, male 151.9
GTEX-11EM3-0826-SM-5N9CC 20-29 years, female 150.9
GTEX-18A66-1426-SM-7KFRT 60-69 years, male 150.8
GTEX-ZAB4-1126-SM-5HL86 40-49 years, male 150.6
GTEX-P4PP-0626-SM-3NM9X 30-39 years, female 150.3
GTEX-1JMPZ-2026-SM-C1YR8 30-39 years, male 149.0
GTEX-X15G-0826-SM-4PQZD 50-59 years, female 148.9
GTEX-WK11-1026-SM-4OOS8 50-59 years, male 148.5
GTEX-1AX9K-1126-SM-731DQ 50-59 years, male 146.2
GTEX-13X6H-1326-SM-5LU42 50-59 years, female 145.7
GTEX-1M5QR-0726-SM-DHXK7 40-49 years, male 145.2
GTEX-15RIF-0826-SM-6M47C 20-29 years, male 144.9
GTEX-ZF3C-1626-SM-4WWB4 50-59 years, female 144.6
GTEX-18D9U-2126-SM-7LG4Y 40-49 years, male 144.0
GTEX-144GN-0626-SM-5O9B2 50-59 years, male 143.7
GTEX-1GMR3-1526-SM-9JGGL 40-49 years, male 143.6
GTEX-13W46-1926-SM-5J2MF 50-59 years, male 143.3
GTEX-UJHI-0826-SM-4IHLM 50-59 years, female 143.0
GTEX-11GSP-1826-SM-5N9DQ 60-69 years, female 142.8
GTEX-12WSG-5007-SM-7DUGZ 50-59 years, female 142.3
GTEX-131XE-1426-SM-5HL7V 50-59 years, male 142.1
GTEX-P4QS-0626-SM-3NMD1 60-69 years, male 142.1
GTEX-13FH7-0526-SM-5IJF8 50-59 years, female 142.0
GTEX-111YS-0926-SM-5EGGI 60-69 years, male 141.8
GTEX-1HCU8-2226-SM-9WPOV 60-69 years, female 141.7
GTEX-11EI6-1526-SM-5P9GL 60-69 years, male 141.5
GTEX-1R7EU-0826-SM-DPRZL 60-69 years, male 141.5
GTEX-1H23P-1426-SM-9JGH5 60-69 years, male 140.7
GTEX-WVLH-1426-SM-4MVNX 50-59 years, male 140.5
GTEX-S95S-0426-SM-4B64I 60-69 years, male 140.3
GTEX-13U4I-1126-SM-5LU3S 40-49 years, female 139.4
GTEX-146FH-1726-SM-5QGQ2 50-59 years, female 139.4
GTEX-146FQ-1026-SM-5LU8I 30-39 years, male 139.1
GTEX-145MO-1426-SM-DTX9W 60-69 years, male 139.1
GTEX-S7SF-0926-SM-4AD4M 20-29 years, female 138.3
GTEX-POYW-1326-SM-48TCG 60-69 years, male 138.2
GTEX-1HSGN-1626-SM-A96U2 40-49 years, female 138.1
GTEX-1MA7W-0426-SM-E9TJ5 20-29 years, female 137.1
GTEX-169BO-0526-SM-793AK 50-59 years, male 136.9
GTEX-OIZG-1026-SM-3LK5X 50-59 years, male 136.9
GTEX-1ICG6-1926-SM-ARU7L 70-79 years, female 136.9
GTEX-Y5V5-1626-SM-4VDSG 60-69 years, female 136.8
GTEX-QDVN-1026-SM-48TZA 50-59 years, male 136.7
GTEX-1PFEY-0826-SM-E9U6A 30-39 years, male 136.7
GTEX-VJYA-0726-SM-4KL1T 60-69 years, male 136.5
GTEX-1497J-2726-SM-5SI9W 60-69 years, male 136.2
GTEX-1399Q-1126-SM-5P9JA 40-49 years, male 135.5
GTEX-13FHO-1726-SM-DPRZX 60-69 years, male 135.0
GTEX-1C475-0926-SM-7MKFI 40-49 years, female 134.8
GTEX-RTLS-1126-SM-46MUQ 60-69 years, female 134.5
GTEX-R55G-1026-SM-48FDI 40-49 years, female 134.1
GTEX-132QS-1426-SM-5P9GE 60-69 years, male 133.9
GTEX-1GN73-1926-SM-9JGGS 60-69 years, male 133.9
GTEX-QV44-1126-SM-CL55C 50-59 years, male 133.9
GTEX-SNMC-0526-SM-4DM69 20-29 years, male 133.5
GTEX-1KAFJ-0626-SM-D3L8X 50-59 years, male 133.3
GTEX-1C6VQ-1826-SM-7EWEH 50-59 years, male 133.1
GTEX-1KD4Q-1126-SM-CXZKK 40-49 years, male 132.9
GTEX-1EU9M-2326-SM-7MKGS 60-69 years, male 132.1
GTEX-1R9JW-1526-SM-DPRZK 30-39 years, female 131.4
GTEX-1MJIX-0826-SM-DTXEO 40-49 years, male 131.1
GTEX-ZYFG-1126-SM-5GICY 60-69 years, female 130.7
GTEX-1A8FM-1526-SM-7MXTA 50-59 years, female 130.0
GTEX-13O3Q-0826-SM-5IFGF 50-59 years, male 129.7
GTEX-1F5PK-1526-SM-7MKGV 50-59 years, male 129.6
GTEX-1IDJF-1226-SM-C1YPX 20-29 years, male 129.5
GTEX-1I1GV-2226-SM-ARU7E 60-69 years, male 129.0
GTEX-15RIE-0826-SM-6M47X 60-69 years, male 128.8
GTEX-1F88F-1126-SM-7MKHL 60-69 years, female 128.8
GTEX-Q2AI-0626-SM-48TZU 40-49 years, male 128.8
GTEX-1I4MK-0426-SM-B2LWQ 50-59 years, female 128.7
GTEX-SNOS-0626-SM-4DM5F 40-49 years, male 128.4
GTEX-ZYFC-1626-SM-5N9EU 50-59 years, male 128.4
GTEX-1H1DG-1226-SM-9JGH3 70-79 years, male 128.4
GTEX-1HBPH-1126-SM-A96TU 40-49 years, female 128.0
GTEX-1QCLZ-1626-SM-E9U5R 60-69 years, female 128.0
GTEX-UPJH-1026-SM-EAZB2 50-59 years, male 128.0
GTEX-1B8KZ-0726-SM-7938W 50-59 years, male 127.8
GTEX-1399U-1026-SM-5J1OC 50-59 years, female 127.4
GTEX-1QEPI-1826-SM-EAZ3J 60-69 years, female 127.3
GTEX-UPK5-1226-SM-4IHL8 40-49 years, male 127.1
GTEX-P4PQ-0626-SM-3NMCU 60-69 years, male 126.5
GTEX-TMMY-1126-SM-4DXSX 40-49 years, female 126.5
GTEX-15EU6-1626-SM-6LPKF 50-59 years, male 126.4
GTEX-18A67-2426-SM-7LT95 50-59 years, male 126.1
GTEX-PLZ4-1626-SM-3P618 50-59 years, female 125.9
GTEX-16NPX-1626-SM-6LLI5 50-59 years, male 125.6
GTEX-O5YV-1026-SM-3LK72 60-69 years, female 124.2
GTEX-Y114-0926-SM-4TT7J 50-59 years, female 124.1
GTEX-1CB4F-1526-SM-7MKFM 60-69 years, male 123.9
GTEX-1I1CD-1726-SM-A9G3P 60-69 years, female 123.6
GTEX-T5JC-1726-SM-4DM6U 20-29 years, male 123.2
GTEX-1LSVX-1226-SM-DHXJN 60-69 years, male 123.1
GTEX-QLQW-0526-SM-4R1KS 30-39 years, male 122.3
GTEX-PVOW-1626-SM-48TC9 40-49 years, male 122.0
GTEX-14DAQ-1426-SM-5RQJD 60-69 years, female 121.9
GTEX-11DXY-1426-SM-5N9CN 60-69 years, male 120.7
GTEX-P4QT-0626-SM-3NMCP 50-59 years, female 120.1
GTEX-U3ZN-1726-SM-4DXUQ 30-39 years, female 120.1
GTEX-183FY-1526-SM-7IGOW 20-29 years, male 119.6
GTEX-Y111-1626-SM-57WCY 50-59 years, male 119.5
GTEX-SUCS-0726-SM-4DM7J 70-79 years, male 119.4
GTEX-1CB4I-1026-SM-7MKFZ 50-59 years, male 119.2
GTEX-1J8EW-1326-SM-AHZ3S 60-69 years, female 118.8
GTEX-T6MO-0526-SM-4DM6R 40-49 years, female 118.1
GTEX-SE5C-1226-SM-4BRWV 40-49 years, female 117.7
GTEX-13O21-0626-SM-5IJDI 50-59 years, male 117.6
GTEX-1A3MV-1326-SM-7LG6C 30-39 years, male 117.5
GTEX-13PVR-1826-SM-5Q5CC 60-69 years, female 117.0
GTEX-WXYG-1226-SM-4ONCJ 50-59 years, female 117.0
GTEX-Y8E4-1726-SM-5LU9G 40-49 years, male 117.0
GTEX-X62O-2226-SM-46MW3 50-59 years, male 116.7
GTEX-ZZ64-0226-SM-5E44X 20-29 years, male 116.6
GTEX-WQUQ-1626-SM-4OOSH 60-69 years, male 116.5
GTEX-133LE-0626-SM-5IFFJ 20-29 years, female 116.3
GTEX-V955-1126-SM-4JBH3 60-69 years, male 116.3
GTEX-17EVQ-1926-SM-7IGOF 70-79 years, male 115.9
GTEX-1C64O-1826-SM-7DHM4 60-69 years, male 115.5
GTEX-14A6H-1326-SM-5NQBC 30-39 years, male 115.4
GTEX-WOFM-0626-SM-4OOS3 20-29 years, male 115.4
GTEX-15SB6-0726-SM-6M48F 50-59 years, female 114.9
GTEX-13FHP-1526-SM-5IJGE 50-59 years, male 114.5
GTEX-14PKV-1726-SM-6871U 20-29 years, female 114.2
GTEX-17EUY-1426-SM-7938X 20-29 years, male 114.1
GTEX-RVPV-0526-SM-47JYL 60-69 years, male 113.7
GTEX-1HCUA-1426-SM-9WPP7 50-59 years, female 113.7
GTEX-14PJ5-0526-SM-664OE 60-69 years, female 113.6
GTEX-WH7G-0926-SM-4LVMJ 40-49 years, male 113.6
GTEX-PLZ5-0926-SM-3TW8L 50-59 years, male 113.2
GTEX-1F75I-1726-SM-7MKGW 40-49 years, male 113.1
GTEX-178AV-0526-SM-6LPJH 40-49 years, male 112.9
GTEX-145LT-1126-SM-5LUA1 40-49 years, male 112.8
GTEX-X4LF-0626-SM-4QASB 50-59 years, male 112.7
GTEX-RM2N-0726-SM-48FD5 50-59 years, male 112.5
GTEX-131XF-0826-SM-5GICG 60-69 years, male 112.3
GTEX-11ONC-1526-SM-5GU6S 60-69 years, male 110.8
GTEX-1HBPI-0626-SM-9WPP4 50-59 years, male 110.5
GTEX-13G51-0926-SM-5IFFU 60-69 years, male 110.2
GTEX-1QP67-0726-SM-DPRY1 40-49 years, female 110.2
GTEX-TML8-1526-SM-4DXUX 40-49 years, female 109.9
GTEX-ZYY3-1526-SM-5SIA9 60-69 years, female 109.8
GTEX-13X6K-2126-SM-5O9D4 60-69 years, female 109.6
GTEX-139TU-1226-SM-5J2NL 60-69 years, male 109.4
GTEX-WYJK-1926-SM-4ONDP 50-59 years, male 109.2
GTEX-ZLFU-1126-SM-DO11K 40-49 years, male 108.8
GTEX-11EMC-2226-SM-5A5JW 60-69 years, female 108.2
GTEX-13OVG-0626-SM-5IFEP 60-69 years, male 108.2
GTEX-T8EM-0526-SM-4DM64 40-49 years, male 108.1
GTEX-ZAK1-1526-SM-5S2OV 50-59 years, female 107.5
GTEX-Z9EW-0526-SM-5HL8S 40-49 years, male 106.4
GTEX-111CU-0726-SM-5GZYD 50-59 years, male 106.1
GTEX-R3RS-1326-SM-48FE7 40-49 years, female 106.1
GTEX-148VI-1026-SM-5TDDJ 60-69 years, female 105.9
GTEX-PSDG-1326-SM-48TD2 50-59 years, male 105.5
GTEX-12BJ1-1626-SM-5HL8Y 60-69 years, male 105.3
GTEX-17MFQ-0526-SM-7KFTX 20-29 years, male 105.0
GTEX-14PJN-0526-SM-68724 30-39 years, male 104.8
GTEX-1EKGG-1726-SM-7MXUP 60-69 years, male 104.7
GTEX-ZA64-0626-SM-5HL9O 20-29 years, male 104.5
GTEX-12696-1326-SM-5FQTJ 60-69 years, male 104.4
GTEX-1NUQO-1126-SM-DTX98 20-29 years, female 104.3
GTEX-YECK-1626-SM-5IFHQ 60-69 years, male 104.1
GTEX-X4XY-1726-SM-46MVO 60-69 years, male 103.8
GTEX-13O61-0926-SM-5IFFE 60-69 years, male 103.7
GTEX-U3ZM-0526-SM-4DXTB 40-49 years, male 103.3
GTEX-1JMPY-0826-SM-AHZ4A 30-39 years, male 102.8
GTEX-11NSD-1126-SM-5N9BQ 20-29 years, male 102.7
GTEX-14JG6-0926-SM-6871Y 30-39 years, female 102.6
GTEX-1HCVE-1226-SM-9WPPH 50-59 years, male 102.3
GTEX-1HFI6-1226-SM-A96SK 40-49 years, male 102.1
GTEX-Y8LW-0726-SM-5IFI1 50-59 years, female 102.0
GTEX-17F98-1726-SM-7938O 40-49 years, female 101.8
GTEX-ZYT6-1126-SM-5GZYR 30-39 years, male 101.8
GTEX-11DYG-1326-SM-5N9DO 60-69 years, male 101.4
GTEX-14B4R-0326-SM-5TDDP 30-39 years, male 101.3
GTEX-XUZC-0426-SM-4BOPE 30-39 years, female 101.3
GTEX-145LU-0926-SM-79OJL 50-59 years, male 100.9
GTEX-WEY5-0926-SM-4LMI4 40-49 years, female 100.7
GTEX-WFG7-1126-SM-4LMK3 20-29 years, male 100.7
GTEX-147F3-0826-SM-5NQA7 50-59 years, female 100.5
GTEX-1JKYR-2126-SM-CNNPC 20-29 years, male 100.4
GTEX-REY6-1326-SM-48FDO 60-69 years, male 100.0
GTEX-OIZF-0626-SM-7MKHG 60-69 years, male 99.8
GTEX-ZXES-1126-SM-5GZXN 30-39 years, female 99.7
GTEX-V1D1-1026-SM-4JBHE 50-59 years, male 99.6
GTEX-18D9A-0526-SM-7KFSW 30-39 years, female 99.2
GTEX-14PK6-1326-SM-686ZE 70-79 years, female 99.1
GTEX-1B996-1826-SM-7MGY6 60-69 years, male 99.1
GTEX-ZF2S-1226-SM-4WWAX 50-59 years, female 98.4
GTEX-16MT8-1326-SM-6M47R 60-69 years, female 98.3
GTEX-15F5U-5010-SM-AHZ2D 40-49 years, male 98.3
GTEX-ZVP2-1326-SM-57WCE 50-59 years, male 98.0
GTEX-13OW8-2326-SM-5L3I9 60-69 years, male 97.9
GTEX-1399S-1326-SM-5P9GH 30-39 years, female 97.7
GTEX-18A6Q-1226-SM-7KFS9 60-69 years, male 97.7
GTEX-18D9B-2026-SM-7LT96 60-69 years, male 97.2
GTEX-ZG7Y-1126-SM-4WWEZ 50-59 years, male 97.0
GTEX-TKQ1-0326-SM-4DXSM 30-39 years, male 96.9
GTEX-1EWIQ-1526-SM-79OO7 70-79 years, female 96.7
GTEX-1EH9U-2426-SM-7EWFG 60-69 years, male 96.5
GTEX-UJMC-0926-SM-4IHLK 50-59 years, male 96.0
GTEX-148VJ-1026-SM-5LU98 70-79 years, male 95.7
GTEX-Y9LG-0626-SM-4WWDH 30-39 years, male 95.3
GTEX-1GTWX-1326-SM-9JGHU 60-69 years, male 95.3
GTEX-17F96-2526-SM-7DHL3 70-79 years, male 94.8
GTEX-14BIN-2726-SM-5RQIE 50-59 years, female 94.4
GTEX-1RDX4-2126-SM-EV7B3 50-59 years, female 94.1
GTEX-1CB4E-1026-SM-793AB 60-69 years, male 94.0
GTEX-YB5E-0926-SM-4WWDQ 40-49 years, male 93.5
GTEX-ZF29-1326-SM-DNZYV 60-69 years, female 93.4
GTEX-WYVS-0726-SM-4ONDO 40-49 years, female 93.2
GTEX-1B97J-1026-SM-7MXTE 50-59 years, female 93.0
GTEX-1PPH8-1626-SM-E6CQP 20-29 years, male 92.4
GTEX-13FTW-1626-SM-5KM4N 40-49 years, male 92.1
GTEX-ZDTT-1326-SM-4WKFH 60-69 years, male 92.0
GTEX-1L5NE-1426-SM-DHXKV 50-59 years, male 92.0
GTEX-1MCC2-1926-SM-DHXJR 30-39 years, female 91.9
GTEX-1GN1U-1826-SM-9JGH2 50-59 years, female 91.8
GTEX-1GMR2-1526-SM-7MXV6 50-59 years, male 91.5
GTEX-17HGU-1426-SM-7938G 50-59 years, male 91.2
GTEX-1212Z-2126-SM-5FQTM 60-69 years, male 91.1
GTEX-RU72-0726-SM-46MUW 50-59 years, female 91.1
GTEX-Y5V6-1026-SM-4VBS2 60-69 years, male 90.8
GTEX-ZT9W-1326-SM-51MTB 50-59 years, male 90.6
GTEX-1LBAC-1226-SM-DHXK1 20-29 years, male 90.6
GTEX-131YS-1426-SM-5IJF7 60-69 years, female 90.5
GTEX-U3ZH-1026-SM-4DXUZ 30-39 years, male 90.3
GTEX-11P81-0826-SM-5P9GR 30-39 years, female 90.2
GTEX-12WSK-1126-SM-5LZV8 40-49 years, female 90.2
GTEX-18A7A-2326-SM-7KFRH 50-59 years, female 90.2
GTEX-ZQUD-0426-SM-57WFR 30-39 years, male 90.2
GTEX-1R9PM-0926-SM-DPRYA 20-29 years, male 90.0
GTEX-139T6-0626-SM-5IFF9 50-59 years, male 89.8
GTEX-14C5O-1626-SM-73KYH 60-69 years, male 89.6
GTEX-18QFQ-1026-SM-7LG6B 30-39 years, male 89.4
GTEX-12C56-1226-SM-5FQSU 20-29 years, male 89.2
GTEX-1B97I-0926-SM-731DZ 40-49 years, male 88.5
GTEX-YJ89-1526-SM-5P9IR 60-69 years, male 88.5
GTEX-ZLV1-0526-SM-4WWD4 60-69 years, female 88.4
GTEX-1KANA-0626-SM-D4P3I 20-29 years, male 88.4
GTEX-1JKYN-1526-SM-CGQGA 30-39 years, male 88.3
GTEX-11VI4-0526-SM-5EQ48 40-49 years, female 88.2
GTEX-OIZI-1426-SM-3NB1T 40-49 years, male 88.0
GTEX-1LGOU-0526-SM-D3LAO 20-29 years, female 87.8
GTEX-S4P3-0426-SM-4AD56 50-59 years, female 87.7
GTEX-13D11-1926-SM-5IFGB 50-59 years, female 87.6
GTEX-QCQG-0626-SM-48U21 50-59 years, female 86.8
GTEX-OXRP-0926-SM-48TC1 60-69 years, female 86.6
GTEX-S341-0526-SM-4AD5U 40-49 years, female 86.6
GTEX-WFON-0826-SM-4LVMI 40-49 years, male 86.6
GTEX-11P82-0526-SM-5986P 20-29 years, male 86.5
GTEX-13RTK-0526-SM-5S2QF 20-29 years, male 86.3
GTEX-14AS3-0626-SM-5QGQD 40-49 years, female 85.8
GTEX-1H1ZS-1526-SM-9OSXR 70-79 years, male 85.8
GTEX-1J1R8-0326-SM-AHZ3D 40-49 years, male 85.7
GTEX-1399R-0826-SM-5IJEL 30-39 years, male 85.0
GTEX-14ICL-0526-SM-5RQJ6 30-39 years, male 84.9
GTEX-1AMEY-0226-SM-7189Q 30-39 years, female 84.8
GTEX-1HKZK-1426-SM-A96U1 40-49 years, male 84.7
GTEX-14H4A-1626-SM-5SI69 40-49 years, female 84.5
GTEX-ZYVF-2226-SM-5GIDD 50-59 years, female 84.0
GTEX-11XUK-0826-SM-5GU6P 40-49 years, female 83.3
GTEX-1H1DE-1026-SM-9JGH6 20-29 years, male 83.2
GTEX-1IDJH-2026-SM-CNNQX 70-79 years, male 83.1
GTEX-RNOR-1226-SM-48FDQ 50-59 years, female 83.0
GTEX-1IKOE-1526-SM-C1YSD 30-39 years, female 82.8
GTEX-1122O-1726-SM-5GICM 60-69 years, female 82.3
GTEX-1HSKV-2426-SM-A8N8K 60-69 years, male 82.3
GTEX-13FTX-0526-SM-5IFGS 20-29 years, female 82.0
GTEX-S33H-0826-SM-4AD5Y 30-39 years, male 81.6
GTEX-1C2JI-1126-SM-731FH 50-59 years, male 81.4
GTEX-R53T-1126-SM-48FD4 50-59 years, female 81.4
GTEX-YF7O-0926-SM-5IFIF 50-59 years, male 81.3
GTEX-1I1GR-1326-SM-ARU7B 60-69 years, male 81.2
GTEX-1CAMQ-2726-SM-7MKGD 40-49 years, male 81.0
GTEX-1HCU6-1326-SM-A96TZ 60-69 years, female 80.5
GTEX-1HSMQ-2026-SM-B2LY1 50-59 years, male 80.4
GTEX-ZLWG-1326-SM-DNZYZ 50-59 years, female 80.4
GTEX-OXRK-1326-SM-3NB1A 50-59 years, female 80.3
GTEX-XQ8I-1526-SM-4BOOH 50-59 years, male 80.2
GTEX-1H11D-2126-SM-9OSXM 40-49 years, male 79.9
GTEX-13QBU-1026-SM-5LU3R 40-49 years, female 79.8
GTEX-12KS4-0926-SM-5BC5S 30-39 years, male 79.6
GTEX-YFC4-1226-SM-5LU9R 40-49 years, female 79.4
GTEX-1IKK5-1326-SM-AHZ2X 60-69 years, male 78.9
GTEX-1IY9M-1626-SM-AHZ39 60-69 years, male 78.9
GTEX-RU1J-0326-SM-46MUM 20-29 years, female 78.7
GTEX-14PJM-1526-SM-664NY 50-59 years, female 78.6
GTEX-YEC3-2526-SM-CXZIH 50-59 years, male 78.5
GTEX-13OVK-1126-SM-6PAMR 40-49 years, male 78.4
GTEX-15ER7-2126-SM-7939E 20-29 years, female 78.1
GTEX-1HGF4-0926-SM-9WPP8 60-69 years, male 77.4
GTEX-17JCI-1226-SM-793D9 60-69 years, female 77.0
GTEX-11NUK-1326-SM-5P9GN 50-59 years, male 76.8
GTEX-1KXAM-0826-SM-CXZK9 60-69 years, male 76.8
GTEX-131XG-1026-SM-5GCMX 50-59 years, female 76.6
GTEX-T2IS-0826-SM-4DM6L 20-29 years, female 76.6
GTEX-U4B1-0826-SM-4DXTW 40-49 years, male 76.3
GTEX-1QCLY-1526-SM-DPRXX 30-39 years, male 76.0
GTEX-1MA7X-0726-SM-EV7AB 60-69 years, male 75.8
GTEX-1RAZS-2626-SM-EV79C 50-59 years, male 75.6
GTEX-1MCQQ-1026-SM-EV7AX 60-69 years, male 75.5
GTEX-14E1K-1226-SM-5S2PD 50-59 years, male 75.4
GTEX-1J8QM-1926-SM-AHZ3Z 60-69 years, female 74.6
GTEX-11ZTS-2626-SM-5EGIC 60-69 years, female 74.5
GTEX-1GN1W-2226-SM-9JGI5 50-59 years, female 74.4
GTEX-1QP28-1826-SM-EAZ4L 50-59 years, female 74.4
GTEX-1LG7Z-0926-SM-CXKYK 30-39 years, male 74.1
GTEX-RWS6-0826-SM-47JXF 60-69 years, female 73.8
GTEX-PWCY-0726-SM-48TCS 20-29 years, female 73.2
GTEX-11I78-1526-SM-5A5K7 50-59 years, female 73.1
GTEX-Y5LM-1026-SM-4VDSQ 40-49 years, female 73.1
GTEX-1LNCM-0626-SM-EV7AI 50-59 years, female 72.9
GTEX-1N2DV-2026-SM-EV7BL 40-49 years, male 72.5
GTEX-1HB9E-1526-SM-D3LA6 50-59 years, male 72.1
GTEX-16BQI-1526-SM-6LLIE 30-39 years, female 71.9
GTEX-13W3W-1626-SM-5LU35 60-69 years, female 71.8
GTEX-1S83E-0826-SM-EV7B7 40-49 years, male 71.4
GTEX-11EQ9-0726-SM-5A5K2 30-39 years, male 71.0
GTEX-XQ3S-1126-SM-4BOPK 20-29 years, male 71.0
GTEX-QEG4-0726-SM-CNNRF 30-39 years, male 71.0
GTEX-1EX96-2226-SM-7MKGT 50-59 years, male 70.9
GTEX-OIZH-0626-SM-3NB1L 50-59 years, male 70.9
GTEX-16AAH-0726-SM-793A9 50-59 years, male 70.3
GTEX-1RAZA-1326-SM-DPS12 20-29 years, male 70.3
GTEX-WHSB-0426-SM-4M1XI 50-59 years, male 70.2
GTEX-12ZZY-1426-SM-5N9EI 60-69 years, male 70.0
GTEX-1B933-2026-SM-7EWFC 50-59 years, female 69.6
GTEX-1K2DU-1726-SM-EV79S 20-29 years, male 69.4
GTEX-1AX9I-1426-SM-7DHM8 60-69 years, male 69.0
GTEX-1EMGI-1926-SM-7938Y 60-69 years, male 69.0
GTEX-YEC4-1026-SM-9WG7N 40-49 years, male 68.5
GTEX-1LVAN-2326-SM-CNNPY 50-59 years, female 68.1
GTEX-11DXZ-1226-SM-5H11L 50-59 years, male 68.0
GTEX-13NZB-1226-SM-5J2MW 30-39 years, male 68.0
GTEX-1QPFJ-1226-SM-EAZ3M 30-39 years, female 67.4
GTEX-12WSD-1826-SM-5GCOA 60-69 years, female 67.0
GTEX-1N2DW-1426-SM-EV7AZ 50-59 years, male 66.4
GTEX-17HHE-0926-SM-7938K 50-59 years, male 66.2
GTEX-1AMFI-0226-SM-731D5 50-59 years, female 66.2
GTEX-PWN1-0626-SM-48TDT 40-49 years, female 66.1
GTEX-1QP9N-0926-SM-E9U5S 30-39 years, male 65.9
GTEX-XBEW-1326-SM-4AT63 40-49 years, male 65.8
GTEX-1B8KE-1826-SM-731FD 50-59 years, male 65.4
GTEX-ZPCL-1426-SM-57WEC 60-69 years, female 64.9
GTEX-1QP2A-1926-SM-EXOJ9 50-59 years, male 64.5
GTEX-1AX9J-1826-SM-731FM 60-69 years, male 64.1
GTEX-1CB4G-1326-SM-7MKFP 60-69 years, male 63.9
GTEX-R55E-1326-SM-48FCR 20-29 years, male 62.9
GTEX-NFK9-1126-SM-3LK78 40-49 years, male 62.5
GTEX-WRHK-0526-SM-4MVOF 20-29 years, female 62.1
GTEX-14DAR-0826-SM-73KYJ 50-59 years, male 60.9
GTEX-R55C-0826-SM-48FCL 40-49 years, male 60.1
GTEX-ZVT2-1326-SM-5E45H 50-59 years, female 58.7
GTEX-11P7K-1326-SM-5BC5G 30-39 years, male 58.6
GTEX-1I1GQ-1726-SM-B2LWZ 50-59 years, male 58.4
GTEX-1AYD5-0926-SM-793AF 50-59 years, male 58.3
GTEX-15SHU-1426-SM-6LPIN 40-49 years, female 58.1
GTEX-1MCYP-1026-SM-DPRYB 20-29 years, female 58.1
GTEX-X4EO-1226-SM-4QARR 60-69 years, female 57.8
GTEX-PLZ6-0526-SM-3P61C 30-39 years, male 57.6
GTEX-1PIGE-0926-SM-E9U5Z 20-29 years, male 57.3
GTEX-1K2DA-0626-SM-CGQGO 50-59 years, male 57.2
GTEX-1RAZQ-1726-SM-EAZ4T 30-39 years, male 57.2
GTEX-1MGNQ-1626-SM-EAZ4Z 40-49 years, male 57.0
GTEX-ZTSS-0626-SM-59867 40-49 years, male 56.2
GTEX-15RJE-0926-SM-6LLHZ 40-49 years, male 54.8
GTEX-16NGA-1426-SM-718AC 40-49 years, female 54.8
GTEX-14PJ3-0626-SM-6UGC5 50-59 years, male 54.4
GTEX-13OVI-2626-SM-5KM4T 60-69 years, female 54.3
GTEX-W5WG-1626-SM-4LMKG 50-59 years, female 53.5
GTEX-1RAZR-1226-SM-E6CRD 40-49 years, male 53.5
GTEX-YB5K-0826-SM-5YYB7 40-49 years, female 53.2
GTEX-X3Y1-1326-SM-4PQZB 40-49 years, male 52.5
GTEX-ZUA1-1226-SM-5NQ6O 40-49 years, male 52.0
GTEX-14JIY-0926-SM-6871D 60-69 years, male 51.8
GTEX-14ICK-2026-SM-6AJB2 40-49 years, male 51.6
GTEX-1OKEX-1326-SM-E9J2U 60-69 years, male 49.5
GTEX-13PL7-0226-SM-731DT 60-69 years, female 48.4
GTEX-1LB8K-1326-SM-CXZKB 50-59 years, male 45.8
GTEX-1S82Y-1226-SM-EV7BD 40-49 years, male 45.6
GTEX-1NSGN-2026-SM-DPRYM 50-59 years, male 41.2
GTEX-1LG7Y-1726-SM-EV7AR 50-59 years, male 40.9
GTEX-RN64-1026-SM-48FDX 50-59 years, male 40.6
GTEX-145LV-1326-SM-5S2QI 50-59 years, male 26.5
Show allShow less

ESOPHAGUS - FANTOM5 CAGEi

RNA expression in human tissues obtained through Cap Analysis of Gene Expression (CAGE) generated by the FANTOM5 project are reported as Scaled Tags Per Million.

Max subtype Scaled Tags Per Millioni

Max subtype Scaled Tags Per Million is the value for the subtype with the largest average Scaled Tags Per Million across the subtype samples.

394.6
FANTOM5 sample id Sample description Scaled Tags Per Million
Esophagus
Scaled Tags Per Million: 394.6
FF:10015-101C6 68,74,75 years, mixed 394.6

Contact

  • NEWS ARTICLES
  • PRESS ROOM

The Project

  • INTRODUCTION
  • ORGANIZATION
  • PUBLICATIONS

The Human Protein Atlas

  • DOWNLOADABLE DATA
  • LICENCE & CITATION
  • HELP & FAQ
The Human Protein Atlas project is funded
by the Knut & Alice Wallenberg Foundation.


contact@proteinatlas.org