We use cookies to enhance the usability of our website. If you continue, we'll assume that you are happy to receive all cookies. More information. Don't show this again.
APOD
HPA
RESOURCES
  • TISSUE
  • BRAIN
  • SINGLE CELL
  • SUBCELLULAR
  • CANCER
  • BLOOD
  • CELL LINE
  • STRUCTURE & INTERACTION
ABOUT
  • INTRODUCTION
  • HISTORY
  • ORGANIZATION
  • PUBLICATIONS
  • ANTIBODY SUBMISSION
  • ANTIBODY AVAILABILITY
  • ACKNOWLEDGMENTS
  • CONTACT
NEWS
  • NEWS ARTICLES
  • PRESS ROOM
LEARN
  • DICTIONARY
  • PROTEIN CLASSES
  • PROTEIN EVIDENCE
  • METHODS
  • EDUCATIONAL VIDEOS
DATA
  • DOWNLOADABLE DATA
  • PUBLICATION DATA
  • RELEASE HISTORY
HELP
  • ANTIBODY VALIDATION
  • ASSAYS & ANNOTATION
  • DISCLAIMER
  • HELP & FAQ
  • PRIVACY STATEMENT
  • LICENCE & CITATION
Fields »
Search result

Field
Term
Gene name
Class
Subclass
Class
Keyword
Chromosome
External id
Tissue
Cell type
Expression
Antibody panel
Tissue
Main location
Patient ID
Annotation
Tissue
Category
Tau score
Cluster
Reliability
Brain region
Category
Tau score
Brain region
Category
Tau score
Brain region
Category
Tau score
Cluster
Reliability
Tissue
Cell type
Enrichment
Cell type
Category
Tau score
Cell type
Category
Tau score
Cell type
Category
Tau score
Cell lineage
Category
Tau score
Cluster
Cluster
Location
Searches
Location
Cell line
Class
Type
Phase
Reliability
Cancer
Prognosis
Cancer
Category
Cancer
Category
Tau score
Cluster
Variants
Interacting gene (ensg_id)
Type
Number of interactions
Pathway
Category
Score
Score
Score
Validation
Validation
Validation
Validation
Antibodies
Data type
Column


  • SUMMARY

  • TISSUE

  • BRAIN

  • SINGLE CELL

  • SUBCELL

  • CANCER

  • BLOOD

  • CELL LINE

  • STRUCT & INT

  • APOD
TISSUE PRIMARY DATA COLON Show tissue menu
ADIPOSE TISSUE ADRENAL GLAND AMYGDALA APPENDIX BASAL GANGLIA BONE MARROW BREAST BRONCHUS CEREBELLUM CEREBRAL CORTEX CERVIX CHOROID PLEXUS COLON DUODENUM
ENDOMETRIUM EPIDIDYMIS ESOPHAGUS FALLOPIAN TUBE GALLBLADDER HEART MUSCLE HIPPOCAMPAL FORMATION HYPOTHALAMUS KIDNEY LIVER LUNG LYMPH NODE MIDBRAIN ORAL MUCOSA
OVARY PANCREAS PARATHYROID GLAND PITUITARY GLAND PLACENTA PROSTATE RECTUM RETINA SALIVARY GLAND SEMINAL VESICLE SKELETAL MUSCLE SKIN SMALL INTESTINE SMOOTH MUSCLE
SOFT TISSUE SPINAL CORD SPLEEN STOMACH TESTIS THYMUS THYROID GLAND TONGUE TONSIL URINARY BLADDER VAGINA
ANTIBODIES
AND
VALIDATION
Dictionary
Colon
Tissue proteome
Intestine
COLON - Expression summary
Protein expression
Coloni

On the top, protein expression in current human tissue, based on all annotated cell types, is reported with the units not detected (n), low (l), medium (m) and high (h). Underneath, protein expression in each annotated cell type are reported using the same units.

Protein expression data is based on knowledge-based annotation. For genes where more than one antibody has been used, a collective score is set.

If knowledge-based annotation could not be performed for a gene, no data is displayed here. View antibody staining data further down this page.

h
m
l
n
Endocrine cells: Not detected
Endothelial cells: Not detected
Enterocytes: Not detected
Enterocytes - Microvilli: Not detected
Fibroblasts: Not detected
Goblet cells: Not detected
Mucosal lymphoid cells: Medium
Peripheral nerve/ganglion: Not detected
RNA expressioni

A summary of mRNA expression data available for current tissue based on several datasets. The mRNA expression levels in human tissues are based on RNA-seq data generated by the Human Protein Atlas (HPA), Genotype-Tissue Expression (GTEx) portal and CAGE data generated by the FANTOM5 consortium. Consensus normalized expression levels for human tissues was created by combining the data from HPA and GTEx datasets.

The mRNA expression levels in pig are based on RNA-seq data generated by the Human Protein Atlas (HPA), and for mouse, HPA data and in situ hybridization generated by the Allen brain atlas are reported.

Scroll down to view mRNA expression data in more detail.
Consensus:139.8 nTPM
HPA:61.6 nTPM
GTEx:139.8 nTPM
FANTOM5:725.9 Scaled Tags Per Million

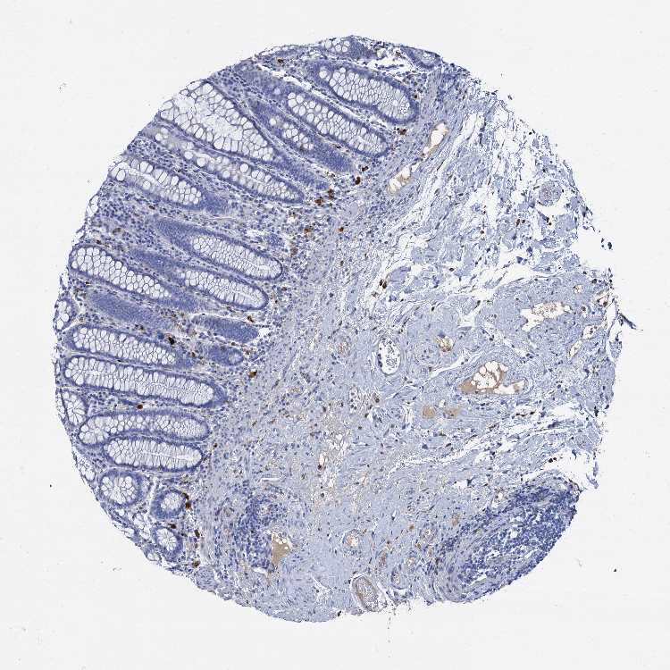
COLON - Antibody stainingi

Antibody staining in the annotated cell types in the current human tissue is reported as not detected, low, medium, or high, based on conventional immunohistochemistry profiling in selected tissues. This score is based on the combination of the staining intensity and fraction of stained cells.

Each image is clickable and will lead to virtual microscopy that enables deeper exploration of all samples and also displays staining intensity scores, fraction scores and subcellular localization as well as patient and tissue information for each sample.

Antibody HPA040520
Endocrine cells Not detected
Endothelial cells Not detected
Enterocytes Not detected
Enterocytes - Microvilli Not detected
Fibroblasts Not detected
Goblet cells Not detected
Mucosal lymphoid cells Medium
Peripheral nerve/ganglion Not detected



COLON - HPA RNA-seqi

The RNA-seq details section shows detailed information about the individual samples used for the transcript profiling and results of the RNA-seq analysis.

Information about each individual sample is listed below, including gender, age, a tissue section image and estimated fractions of cell types. nTPM (normalized transcripts per million) values give a quantification of the gene abundance which is comparable between different genes and samples.
Average nTPMi

Max subtype nTPM is the value for the subtype with the largest average nTPM across the subtype samples.

61.6
overview
Male, age 54
Colon sample 67
nTPM: 67.3
Cell types%
Glandular cells:
65

Smooth muscle cells:
10

Other cell types:
25

overview
Female, age 57
Colon sample 68
nTPM: 26.5
Cell types%
Glandular cells:
40

Smooth muscle cells:
5

Other cell types:
55

overview
Male, age 80
Colon sample 69
nTPM: 15.4
Cell types%
Glandular cells:
55

Smooth muscle cells:
5

Other cell types:
40

overview
Male, age 68
Colon sample 70
nTPM: 53.2
Cell types%
Glandular cells:
35

Smooth muscle cells:
10

Other cell types:
55

overview
Female, age 68
Colon sample 76
nTPM: 119.7
Cell types%
Glandular cells:
25

Smooth muscle cells:
5

Other cell types:
70

overview
Female, age 61
Colon sample 299
nTPM: 84.6
Cell types%
Glandular cells:
5

Smooth muscle cells:
65

Other cell types:
30

overview
Male, age 80
Colon sample 300
nTPM: 102.9
Cell types%
Glandular cells:
15

Smooth muscle cells:
20

Other cell types:
65

overview
Female, age 78
Colon sample 368
nTPM: 22.4
Cell types%
Glandular cells:
45

Smooth muscle cells:
5

Other cell types:
50

overview
Male, age 84
Colon sample 381
nTPM: 74.9
Cell types%
Glandular cells:
50

Smooth muscle cells:
15

Other cell types:
35

overview
Male, age 80
Colon sample 384
nTPM: 20.9
Cell types%
Glandular cells:
20

Smooth muscle cells:
35

Other cell types:
45

overview
Female, age 78
Colon sample 389
nTPM: 79.4
Cell types%
Glandular cells:
35

Smooth muscle cells:
10

Other cell types:
55

overview
Female, age 69
Colon sample 391
nTPM: 51.9
Cell types%
Glandular cells:
10

Smooth muscle cells:
45

Other cell types:
45

overview
Female, age 72
Colon sample 403
nTPM: 81.6
Cell types%
Glandular cells:
20

Smooth muscle cells:
15

Other cell types:
65


COLON - GTEx RNA-seqi

RNA-Seq data generated by the Genotype-Tissue Expression (GTEx) project from human tissues is reported as mean nTPM. More information can be found on the GTEx portal.

Distribution across the dataset is visualized with box plots, shown as median and 25th and 75th percentiles. Points are displayed as outliers if they are above or below 1.5 times the interquartile range. nTPM values of the individual samples are presented next to the box plot.
Max subtype nTPMi

Max subtype nTPM is the value for the subtype with the largest average nTPM across the subtype samples.

139.8
GTEx sample id Sample description nTPM
Colon - Sigmoid
Average nTPM: 139.8
Samples: 373

Max nTPM: 957.5
Min nTPM: 17.1
Std nTPM: 119.0
Median nTPM: 104.5
GTEX-1477Z-2126-SM-5Q5CM 60-69 years, male 957.5
GTEX-1JMQK-2326-SM-ARZN4 60-69 years, male 914.6
GTEX-1EH9U-1926-SM-7P8QM 60-69 years, male 855.0
GTEX-14C39-1626-SM-5S2P4 40-49 years, male 636.9
GTEX-1LGRB-2026-SM-COH47 50-59 years, female 606.0
GTEX-11EMC-1426-SM-5N9E4 60-69 years, female 586.0
GTEX-139D8-2926-SM-5IJBM 30-39 years, female 499.2
GTEX-1P4AB-2626-SM-DTXEU 50-59 years, male 495.2
GTEX-1HB9E-2526-SM-D4P35 50-59 years, male 472.5
GTEX-13FHO-2726-SM-5K7VG 60-69 years, male 464.7
GTEX-1H23P-2626-SM-9KNVN 60-69 years, male 446.8
GTEX-15UF6-2726-SM-7KULY 70-79 years, female 442.7
GTEX-1HCVE-2326-SM-9WYUD 50-59 years, male 404.0
GTEX-1HBPM-2626-SM-9WYU5 60-69 years, female 389.0
GTEX-1GTWX-2626-SM-9WPOT 60-69 years, male 374.3
GTEX-15F5U-1426-SM-7KUN2 40-49 years, male 352.3
GTEX-18QFQ-1726-SM-731C9 30-39 years, male 343.8
GTEX-14PJ3-1226-SM-5ZZVY 50-59 years, male 340.1
GTEX-16Z82-2426-SM-7KUMS 60-69 years, male 339.4
GTEX-1H3NZ-2526-SM-9KNVO 60-69 years, male 335.5
GTEX-145LS-2926-SM-5O99G 60-69 years, female 332.1
GTEX-147GR-2826-SM-5RQK8 60-69 years, male 325.9
GTEX-YF7O-1626-SM-5IFII 50-59 years, male 319.0
GTEX-1HCU7-2726-SM-A9G3D 50-59 years, male 307.2
GTEX-13OW6-2226-SM-5N9FL 50-59 years, male 306.6
GTEX-1J1R8-1426-SM-CL55O 40-49 years, male 295.3
GTEX-1N2DV-1826-SM-E6CJ5 40-49 years, male 293.4
GTEX-ZVT2-1726-SM-51MRO 50-59 years, female 288.9
GTEX-13OVJ-1826-SM-5KM2D 50-59 years, female 288.6
GTEX-17F9Y-2626-SM-7IGN9 70-79 years, female 280.4
GTEX-1H1E6-1826-SM-A9G21 30-39 years, male 276.4
GTEX-ZYFG-1826-SM-5GZWX 60-69 years, female 272.5
GTEX-11EI6-2626-SM-5PNVT 60-69 years, male 272.0
GTEX-139T6-1426-SM-5P9J7 50-59 years, male 271.2
GTEX-11DXX-1926-SM-5EGJK 60-69 years, female 269.0
GTEX-1QP67-1426-SM-E8VOO 40-49 years, female 268.4
GTEX-14C5O-2626-SM-5RQI5 60-69 years, male 267.0
GTEX-15ETS-2326-SM-7KUGC 40-49 years, female 259.1
GTEX-16NGA-0926-SM-718AG 40-49 years, female 258.2
GTEX-13OVI-2126-SM-5KM3U 60-69 years, female 258.1
GTEX-1LSNM-1426-SM-E6CIH 50-59 years, male 253.3
GTEX-14AS3-1026-SM-5TDD7 40-49 years, female 251.6
GTEX-12ZZW-2426-SM-5DUWE 50-59 years, male 251.1
GTEX-16XZZ-2726-SM-7EWDO 60-69 years, male 249.0
GTEX-1IKOE-2126-SM-A96T5 30-39 years, female 247.6
GTEX-17F96-2126-SM-7KFSM 70-79 years, male 245.5
GTEX-183WM-2526-SM-731BP 70-79 years, female 243.7
GTEX-1K2DA-1626-SM-CGQGB 50-59 years, male 237.2
GTEX-ZTSS-1226-SM-51MSZ 40-49 years, male 237.0
GTEX-ZLFU-1426-SM-4WWEU 40-49 years, male 236.8
GTEX-11P7K-1826-SM-5HL5A 30-39 years, male 236.7
GTEX-13RTJ-1926-SM-5YYA2 60-69 years, male 235.8
GTEX-WHWD-1526-SM-4OORV 50-59 years, male 234.8
GTEX-1RLM8-1726-SM-E9TKF 50-59 years, male 232.4
GTEX-1LKK1-2426-SM-DIPES 50-59 years, female 231.1
GTEX-14PJ4-1826-SM-5YY97 60-69 years, male 230.5
GTEX-14A5I-2426-SM-5Q5CP 50-59 years, female 228.9
GTEX-13X6I-2726-SM-5Q5ET 60-69 years, male 228.6
GTEX-1BAJH-2726-SM-7IGNJ 70-79 years, male 228.2
GTEX-WI4N-2226-SM-4OOS9 40-49 years, female 227.6
GTEX-ZXES-1726-SM-5E43G 30-39 years, female 226.1
GTEX-1399U-2226-SM-5KLZI 50-59 years, female 225.5
GTEX-1PDJ9-2026-SM-E76PT 20-29 years, male 219.3
GTEX-13SLW-2826-SM-5Q5ES 70-79 years, male 216.5
GTEX-148VJ-2426-SM-5NQ9Y 70-79 years, male 215.8
GTEX-11P81-1426-SM-5P9JN 30-39 years, female 209.0
GTEX-ZT9W-1726-SM-51MS3 50-59 years, male 208.4
GTEX-111CU-1226-SM-5EGIN 50-59 years, male 202.1
GTEX-1A3MX-2326-SM-718B4 60-69 years, male 201.3
GTEX-1HSEH-1926-SM-A96SB 60-69 years, male 200.6
GTEX-1QP29-2526-SM-E6CQ3 50-59 years, male 197.0
GTEX-1A3MV-1026-SM-72D5U 30-39 years, male 196.9
GTEX-1C6VQ-2626-SM-7IGMQ 50-59 years, male 196.9
GTEX-1LVAN-2626-SM-CNPQF 50-59 years, female 193.2
GTEX-1JKYN-2226-SM-ARZNE 30-39 years, male 192.2
GTEX-ZLV1-1326-SM-DO11Q 60-69 years, female 192.2
GTEX-ZF29-1826-SM-4WKG8 60-69 years, female 190.1
GTEX-1HSKV-2326-SM-A9SL9 60-69 years, male 188.8
GTEX-12696-1926-SM-5EGJT 60-69 years, male 188.1
GTEX-1122O-1426-SM-5H11R 60-69 years, female 187.6
GTEX-1R9JW-2126-SM-E76QT 30-39 years, female 186.7
GTEX-13111-1926-SM-5GCOL 50-59 years, male 185.5
GTEX-15CHQ-2626-SM-686YZ 60-69 years, male 185.2
GTEX-1IL2U-2526-SM-C1YQV 60-69 years, male 184.4
GTEX-13N2G-2226-SM-5IJCU 60-69 years, male 180.0
GTEX-1B97I-1526-SM-73KUK 40-49 years, male 177.7
GTEX-1OFPY-1226-SM-E76OM 60-69 years, male 175.9
GTEX-Y5LM-1426-SM-5RQJL 40-49 years, female 175.7
GTEX-1QP2A-2226-SM-DTXF6 50-59 years, male 174.6
GTEX-1GMR2-1826-SM-9KNUP 50-59 years, male 171.4
GTEX-1R9K5-2226-SM-DTX9G 50-59 years, male 171.2
GTEX-13QBU-2026-SM-5KLZB 40-49 years, female 170.0
GTEX-1S5ZA-1426-SM-E6CJQ 20-29 years, male 165.8
GTEX-17HG3-1126-SM-7DUFC 30-39 years, female 163.5
GTEX-139UW-2326-SM-5KM1Y 60-69 years, male 162.7
GTEX-1C475-1526-SM-7DHM3 40-49 years, female 162.3
GTEX-15DZA-1026-SM-6PAND 30-39 years, female 160.9
GTEX-144GM-1126-SM-79OJK 20-29 years, male 160.6
GTEX-Z93S-2626-SM-57WBX 50-59 years, male 158.1
GTEX-1I6K6-1926-SM-A96SN 30-39 years, male 157.5
GTEX-12ZZX-2726-SM-5N9FT 40-49 years, female 157.2
GTEX-1AMFI-1826-SM-73KWB 50-59 years, female 157.1
GTEX-1EU9M-2726-SM-7P8QD 60-69 years, male 156.5
GTEX-1GPI7-1926-SM-9KNUH 20-29 years, male 156.4
GTEX-15RIE-2026-SM-7KFRW 60-69 years, male 155.2
GTEX-X15G-1526-SM-4PQZM 50-59 years, female 155.2
GTEX-1RQEC-2626-SM-EVR3Z 60-69 years, male 152.7
GTEX-ZLWG-1826-SM-DO11I 50-59 years, female 152.7
GTEX-13PVR-1726-SM-5Q5EC 60-69 years, female 151.5
GTEX-1LVAO-2826-SM-E9TJH 60-69 years, male 151.5
GTEX-15UF7-1326-SM-7KUKV 40-49 years, male 150.9
GTEX-146FH-2426-SM-5Q5EW 50-59 years, female 150.1
GTEX-1F5PK-1726-SM-7RHHW 50-59 years, male 149.9
GTEX-1R9PO-2026-SM-E9J4N 60-69 years, female 149.6
GTEX-13VXT-2026-SM-5L3EW 20-29 years, female 149.5
GTEX-14E6C-2226-SM-5QGQG 40-49 years, male 149.2
GTEX-13PVQ-2726-SM-5L3H7 50-59 years, male 148.9
GTEX-11ZU8-1126-SM-5EQ5K 60-69 years, male 147.7
GTEX-1QP28-2226-SM-DTX8C 50-59 years, female 147.4
GTEX-1B996-2726-SM-7DUGG 60-69 years, male 146.1
GTEX-WRHK-1126-SM-4MVOJ 20-29 years, female 146.1
GTEX-1399R-2126-SM-5K7WZ 30-39 years, male 145.9
GTEX-1J8QM-1226-SM-CY8HI 60-69 years, female 145.2
GTEX-14PN3-1926-SM-6EU1Y 60-69 years, female 139.1
GTEX-ZF28-2526-SM-57WFH 60-69 years, male 137.2
GTEX-12ZZY-2726-SM-5EQ45 60-69 years, male 136.8
GTEX-WQUQ-2626-SM-4MVNP 60-69 years, male 136.7
GTEX-WFON-1326-SM-4LVMN 40-49 years, male 135.0
GTEX-11DXY-2026-SM-5N9CZ 60-69 years, male 133.5
GTEX-XUW1-1826-SM-4BOQD 50-59 years, female 133.5
GTEX-1CB4G-2726-SM-79OO4 60-69 years, male 133.2
GTEX-145MO-2626-SM-5QGPD 60-69 years, male 132.9
GTEX-1J8EW-2426-SM-CE6T5 60-69 years, female 130.6
GTEX-ZA64-1426-SM-5CVMC 20-29 years, male 130.3
GTEX-1QCLY-2026-SM-EVR4C 30-39 years, male 130.3
GTEX-1I1GT-2026-SM-CKZPK 60-69 years, female 129.4
GTEX-1PPH8-2226-SM-EWRN7 20-29 years, male 129.4
GTEX-12WSM-1426-SM-5GCPA 60-69 years, male 128.6
GTEX-1HKZK-2026-SM-9WYUF 40-49 years, male 127.6
GTEX-Y114-1626-SM-4TT7I 50-59 years, female 126.7
GTEX-1H1ZS-2626-SM-9QEIX 70-79 years, male 126.2
GTEX-1AMEY-1826-SM-72D5L 30-39 years, female 125.9
GTEX-17KNJ-1826-SM-7LT9N 50-59 years, male 125.2
GTEX-XAJ8-0726-SM-47JY5 40-49 years, male 125.2
GTEX-1B8L1-1926-SM-7IGND 60-69 years, male 125.1
GTEX-1B932-2126-SM-7IGMU 40-49 years, female 124.4
GTEX-XQ8I-2326-SM-4BOQC 50-59 years, male 124.1
GTEX-Y3I4-1126-SM-4TT7Y 50-59 years, male 123.4
GTEX-ZAJG-2626-SM-5S2NU 50-59 years, female 123.1
GTEX-15RJE-2226-SM-6M46A 40-49 years, male 122.6
GTEX-ZY6K-1326-SM-5GZWP 50-59 years, male 121.9
GTEX-Y9LG-1326-SM-4VBQB 30-39 years, male 121.8
GTEX-13O61-1526-SM-5KM3P 60-69 years, male 121.5
GTEX-14PK6-1826-SM-69LOM 70-79 years, female 121.4
GTEX-1J1OQ-2826-SM-D3L88 40-49 years, female 120.9
GTEX-WY7C-1926-SM-4ONCI 50-59 years, male 120.3
GTEX-1CAMS-2626-SM-7PBY3 40-49 years, female 118.8
GTEX-XUZC-1526-SM-4BRV4 30-39 years, female 118.6
GTEX-1HCUA-1926-SM-B2LWE 50-59 years, female 117.2
GTEX-ZC5H-2426-SM-4WAZ6 40-49 years, female 117.1
GTEX-1212Z-1826-SM-5FQSH 60-69 years, male 116.8
GTEX-11TUW-2326-SM-5EQMO 60-69 years, male 116.7
GTEX-WH7G-1426-SM-4LVMU 40-49 years, male 116.0
GTEX-14DAQ-2926-SM-664MV 60-69 years, female 115.2
GTEX-18A67-2226-SM-7LT9Z 50-59 years, male 115.2
GTEX-17GQL-1626-SM-7LG69 60-69 years, male 114.3
GTEX-1EMGI-2626-SM-7IGNR 60-69 years, male 114.2
GTEX-1RDX4-1926-SM-E6CJJ 50-59 years, female 114.2
GTEX-1H3VY-2526-SM-9KNW1 50-59 years, male 113.6
GTEX-1LSNL-1626-SM-E9TJY 50-59 years, male 113.5
GTEX-1PIGE-1526-SM-DTXFC 20-29 years, male 113.0
GTEX-11VI4-1426-SM-5GU6O 40-49 years, female 111.4
GTEX-1HSMQ-2526-SM-A9SMK 50-59 years, male 110.4
GTEX-ZAB5-1426-SM-5HL9D 50-59 years, male 109.2
GTEX-1PIEJ-1826-SM-EWRMN 20-29 years, female 109.1
GTEX-1QCLZ-2026-SM-EAZ4A 60-69 years, female 108.7
GTEX-1PFEY-1726-SM-DPRZ4 30-39 years, male 108.2
GTEX-13D11-0626-SM-5LZYY 50-59 years, female 107.7
GTEX-ZP4G-1526-SM-57WE5 20-29 years, female 107.1
GTEX-18465-2726-SM-7LT9I 50-59 years, male 107.0
GTEX-ZAB4-2426-SM-5HL8A 40-49 years, male 107.0
GTEX-1B8KE-1526-SM-7DUG2 50-59 years, male 106.2
GTEX-ZYFD-2226-SM-5E43P 50-59 years, male 106.1
GTEX-1C64O-2426-SM-7P8R3 60-69 years, male 105.8
GTEX-11ZTT-1626-SM-5EQKR 60-69 years, female 105.2
GTEX-11I78-1326-SM-5PNY9 50-59 years, female 105.1
GTEX-ZZ64-0826-SM-5E449 20-29 years, male 104.5
GTEX-1KXAM-1926-SM-D3LAG 60-69 years, male 103.5
GTEX-1RAZR-2026-SM-E9TKE 40-49 years, male 103.5
GTEX-ZQG8-2426-SM-57WEE 60-69 years, female 103.3
GTEX-117YX-0526-SM-5EGJH 50-59 years, male 102.8
GTEX-12KS4-2326-SM-5EGJB 30-39 years, male 102.7
GTEX-13113-1426-SM-5EGHU 60-69 years, female 102.4
GTEX-13O1R-2426-SM-5KLZZ 60-69 years, male 100.9
GTEX-1C2JI-1726-SM-73KUW 50-59 years, male 99.9
GTEX-YFCO-1526-SM-5YYB8 40-49 years, male 99.8
GTEX-1S82P-2026-SM-E9TIQ 60-69 years, female 99.2
GTEX-1HBPH-2526-SM-ACKXK 40-49 years, female 98.8
GTEX-15FZZ-1826-SM-6LLJP 30-39 years, female 98.6
GTEX-ZYT6-2826-SM-5GICX 30-39 years, male 98.5
GTEX-15G19-2726-SM-6LPKG 60-69 years, male 97.6
GTEX-132AR-2826-SM-5IJFV 50-59 years, female 97.4
GTEX-WYJK-2326-SM-4ONDN 50-59 years, male 97.3
GTEX-WOFM-1926-SM-4OOSP 20-29 years, male 97.2
GTEX-WXYG-1726-SM-4ONCU 50-59 years, female 97.0
GTEX-13X6K-2726-SM-5O9DG 60-69 years, female 96.7
GTEX-1AX9J-2526-SM-73KUY 60-69 years, male 96.1
GTEX-13OW5-2826-SM-5KM1G 60-69 years, male 96.0
GTEX-1LG7Y-2226-SM-E9U5K 50-59 years, male 96.0
GTEX-1HBPI-2226-SM-9WYTY 50-59 years, male 95.8
GTEX-1LBAC-1726-SM-D3L9W 20-29 years, male 95.7
GTEX-132NY-2726-SM-5PNY2 60-69 years, male 95.3
GTEX-14PKV-1926-SM-686YU 20-29 years, female 95.2
GTEX-1LSVX-2026-SM-E9TJD 60-69 years, male 95.2
GTEX-ZTTD-2626-SM-57WEX 50-59 years, male 95.1
GTEX-1I1GP-2826-SM-A9SKZ 50-59 years, male 95.1
GTEX-1IDJH-2826-SM-CJI49 70-79 years, male 95.0
GTEX-14BIN-2426-SM-5TDCF 50-59 years, female 94.0
GTEX-13PL7-2426-SM-5J2N3 60-69 years, female 93.9
GTEX-W5WG-2026-SM-4LMIB 50-59 years, female 93.8
GTEX-1I1GR-2226-SM-ARL7F 60-69 years, male 93.5
GTEX-ZE7O-2626-SM-51MSS 50-59 years, female 93.2
GTEX-WYVS-1126-SM-4SOJX 40-49 years, female 92.1
GTEX-1S831-1726-SM-EWROJ 20-29 years, male 91.5
GTEX-1QP9N-0826-SM-DTX9O 30-39 years, male 91.4
GTEX-1LGOU-1726-SM-D3L8P 20-29 years, female 90.9
GTEX-18A66-2626-SM-72D67 60-69 years, male 90.6
GTEX-1OJC3-1826-SM-DTX93 20-29 years, male 90.2
GTEX-145ME-1126-SM-5SIAT 40-49 years, female 89.3
GTEX-1KANA-1726-SM-CY8IG 20-29 years, male 89.2
GTEX-1IDJI-2226-SM-CKZPM 50-59 years, female 88.6
GTEX-18D9A-1326-SM-7LT8P 30-39 years, female 88.2
GTEX-1AYCT-1926-SM-793AE 50-59 years, male 87.6
GTEX-14BMU-1326-SM-5RQIH 20-29 years, female 86.9
GTEX-13CF3-1326-SM-5LZXZ 60-69 years, female 86.8
GTEX-11PRG-2026-SM-5GU5F 50-59 years, male 86.7
GTEX-147JS-2626-SM-5S2UX 60-69 years, male 86.0
GTEX-XV7Q-2226-SM-4BRVY 40-49 years, female 86.0
GTEX-1HSMO-2526-SM-A9SKP 60-69 years, male 85.6
GTEX-1HSGN-2226-SM-A9SL6 40-49 years, female 84.7
GTEX-1GZ4H-1326-SM-7P8TE 50-59 years, female 84.4
GTEX-1IDJU-1926-SM-CL53W 60-69 years, female 84.3
GTEX-1JMPY-1026-SM-ARZN1 30-39 years, male 83.9
GTEX-1H3VE-2326-SM-9KNVU 40-49 years, male 83.3
GTEX-1GMR3-2526-SM-7P8QS 40-49 years, male 83.2
GTEX-139TS-2226-SM-5J2N1 60-69 years, male 82.9
GTEX-1JMPZ-2626-SM-ARU8Z 30-39 years, male 82.6
GTEX-12WSJ-1426-SM-5GCON 40-49 years, female 82.1
GTEX-Y8E4-2326-SM-EAZAZ 40-49 years, male 80.1
GTEX-12WSD-2626-SM-5EGJE 60-69 years, female 79.4
GTEX-ZQUD-1026-SM-4YCEZ 30-39 years, male 79.4
GTEX-12WSL-1826-SM-5LZW9 50-59 years, male 79.1
GTEX-11EQ9-1526-SM-5PNY7 30-39 years, male 78.5
GTEX-13W3W-2226-SM-5LU4M 60-69 years, female 78.3
GTEX-17MFQ-1226-SM-7KFSA 20-29 years, male 78.3
GTEX-1C64N-2226-SM-7SB7C 50-59 years, male 78.0
GTEX-Y8LW-1126-SM-4VDS4 50-59 years, female 77.8
GTEX-13CF2-1826-SM-5N9GK 60-69 years, male 77.7
GTEX-1RAZQ-2026-SM-E76P7 30-39 years, male 77.6
GTEX-1GMRU-2626-SM-9WPPM 50-59 years, male 77.5
GTEX-ZVT4-2626-SM-5N9GJ 50-59 years, female 77.4
GTEX-1N2EF-1726-SM-EXUSI 60-69 years, male 76.9
GTEX-V955-1726-SM-4JBHF 60-69 years, male 76.1
GTEX-ZPU1-1726-SM-4WWFV 40-49 years, male 76.1
GTEX-ZPIC-2626-SM-57WE2 40-49 years, female 75.6
GTEX-YEC3-2026-SM-DKPOL 50-59 years, male 75.5
GTEX-14PHX-1126-SM-5YYA5 50-59 years, male 75.3
GTEX-1JJE9-2526-SM-ARU8K 70-79 years, male 75.3
GTEX-1K9T9-2926-SM-E9TKD 50-59 years, female 73.7
GTEX-13OVK-1026-SM-7KFTC 40-49 years, male 73.6
GTEX-ZG7Y-1826-SM-4WWD3 50-59 years, male 73.1
GTEX-1LG7Z-1326-SM-DIPF3 30-39 years, male 73.1
GTEX-1LVAM-1726-SM-DHXKQ 50-59 years, female 72.6
GTEX-11TT1-0926-SM-5GU5M 20-29 years, male 72.4
GTEX-1J8JJ-2426-SM-D4P4A 60-69 years, female 72.1
GTEX-1JMLX-2526-SM-CY8HX 50-59 years, male 71.1
GTEX-1HFI7-1626-SM-9WYTR 50-59 years, female 70.6
GTEX-ZPCL-1626-SM-57WGC 60-69 years, female 69.8
GTEX-1JK1U-1426-SM-CNPOW 60-69 years, male 69.5
GTEX-Y5V6-1626-SM-4VDT2 60-69 years, male 69.4
GTEX-1211K-1826-SM-5EGJ2 60-69 years, female 69.2
GTEX-16MTA-1626-SM-6M47N 50-59 years, male 68.5
GTEX-12WSG-2426-SM-5EQLZ 50-59 years, female 67.8
GTEX-X5EB-1126-SM-46MVV 40-49 years, male 67.8
GTEX-1ICG6-2226-SM-B2LY7 70-79 years, female 67.6
GTEX-17HGU-2626-SM-79OKN 50-59 years, male 67.1
GTEX-X4EO-2726-SM-4E3HS 60-69 years, female 66.5
GTEX-1J8Q3-2426-SM-CL53S 60-69 years, male 65.1
GTEX-1RMOY-1726-SM-EVYC9 50-59 years, male 65.1
GTEX-XBED-1726-SM-47JYO 60-69 years, male 64.8
GTEX-1F75W-2126-SM-7RHIA 60-69 years, male 64.2
GTEX-1JN76-1326-SM-ARU94 20-29 years, female 63.8
GTEX-1MGNQ-2126-SM-EV7AC 40-49 years, male 63.8
GTEX-1339X-1726-SM-5P9J9 40-49 years, male 63.7
GTEX-15RJ7-1726-SM-6PAL3 40-49 years, male 63.7
GTEX-17EUY-1726-SM-79OK4 20-29 years, male 63.7
GTEX-ZDTS-2726-SM-5L3E2 60-69 years, male 63.4
GTEX-ZYY3-2226-SM-5E45A 60-69 years, female 63.3
GTEX-14E1K-1626-SM-664MO 50-59 years, male 63.2
GTEX-1JN6P-2126-SM-ARL98 60-69 years, male 62.3
GTEX-ZVZQ-2626-SM-59HLB 60-69 years, female 62.2
GTEX-11ONC-1926-SM-5GU75 60-69 years, male 62.0
GTEX-13G51-2126-SM-5IJD9 60-69 years, male 62.0
GTEX-14E6E-1726-SM-5S2R6 30-39 years, male 60.7
GTEX-1HCU6-2926-SM-B2LWV 60-69 years, female 60.7
GTEX-1QPFJ-2426-SM-EVR3L 30-39 years, female 60.1
GTEX-131YS-2926-SM-5EGKI 60-69 years, female 59.9
GTEX-WFG8-1726-SM-4LVM6 20-29 years, male 59.2
GTEX-1GMR8-2926-SM-9KNW5 50-59 years, female 58.8
GTEX-1H1DE-1626-SM-9KNU5 20-29 years, male 58.8
GTEX-16BQI-2026-SM-7KULQ 30-39 years, female 58.5
GTEX-1AX9K-1626-SM-73KUS 50-59 years, male 58.5
GTEX-111YS-1826-SM-5GIEP 60-69 years, male 58.2
GTEX-13FH7-1626-SM-5J2O9 50-59 years, female 58.2
GTEX-1C4CL-1626-SM-7DUF3 30-39 years, male 57.6
GTEX-17JCI-2826-SM-7IGNA 60-69 years, female 56.8
GTEX-WHPG-1626-SM-4M1ZL 50-59 years, male 56.4
GTEX-YECK-2826-SM-5IFHF 60-69 years, male 55.7
GTEX-15ER7-2826-SM-6PAN2 20-29 years, female 55.6
GTEX-1F5PL-1926-SM-7MXTP 40-49 years, female 55.5
GTEX-11EQ8-2626-SM-5N9BO 60-69 years, male 55.3
GTEX-1CAMR-1026-SM-7P8QI 20-29 years, male 54.5
GTEX-1I1CD-2826-SM-A9SL4 60-69 years, female 54.4
GTEX-ZVT3-2826-SM-5GU6A 60-69 years, female 54.3
GTEX-145MH-2726-SM-5QGQ6 50-59 years, male 53.4
GTEX-1CB4F-1926-SM-7MKFN 60-69 years, male 53.4
GTEX-131XE-1026-SM-5EGKE 50-59 years, male 53.3
GTEX-1LB8K-2526-SM-DIPEQ 50-59 years, male 53.3
GTEX-1JKYR-2026-SM-CNPON 20-29 years, male 52.8
GTEX-11EM3-1626-SM-5N9CO 20-29 years, female 52.7
GTEX-1E2YA-2526-SM-7IGOU 50-59 years, male 52.0
GTEX-1JJEA-2526-SM-CY8HJ 60-69 years, male 50.6
GTEX-15RIF-1426-SM-7KUKQ 20-29 years, male 50.2
GTEX-15EO6-2326-SM-6LPKK 50-59 years, male 49.5
GTEX-1QW4Y-1426-SM-E76P3 30-39 years, male 49.5
GTEX-13U4I-2626-SM-5SI9C 40-49 years, female 49.3
GTEX-ZV6S-1126-SM-57WE9 40-49 years, female 48.8
GTEX-YJ8A-1726-SM-5P9IQ 20-29 years, male 48.0
GTEX-12BJ1-2026-SM-5FQUH 60-69 years, male 47.9
GTEX-WFG7-1626-SM-4LVMF 20-29 years, male 46.5
GTEX-131XG-1526-SM-5GCNQ 50-59 years, female 46.0
GTEX-ZE9C-2126-SM-4WKGY 60-69 years, male 45.8
GTEX-17HHE-1626-SM-7DHLN 50-59 years, male 45.7
GTEX-117XS-2226-SM-5GIE1 60-69 years, male 45.6
GTEX-WHSE-2726-SM-EZ6ML 20-29 years, male 45.1
GTEX-11DXZ-1626-SM-5GIDI 50-59 years, male 44.1
GTEX-11GS4-1826-SM-5HL4T 60-69 years, male 44.0
GTEX-14JG6-1626-SM-5YYBC 30-39 years, female 42.3
GTEX-18A6Q-2226-SM-7LG61 60-69 years, male 41.6
GTEX-1GF9X-1426-SM-7RHGX 40-49 years, female 41.5
GTEX-YJ8O-1426-SM-5PNV9 40-49 years, female 40.9
GTEX-1A32A-2626-SM-73KX9 50-59 years, female 40.4
GTEX-1R7EU-1826-SM-DTX9L 60-69 years, male 39.9
GTEX-183FY-1426-SM-7DHLM 20-29 years, male 39.7
GTEX-1JMQJ-2626-SM-CY8HQ 50-59 years, male 39.3
GTEX-1GN73-2726-SM-9WYUB 60-69 years, male 38.5
GTEX-1PBJI-2526-SM-E6CP4 20-29 years, female 38.2
GTEX-1PIIG-2126-SM-EXUSD 30-39 years, male 38.0
GTEX-1L5NE-1926-SM-D3L9R 50-59 years, male 37.6
GTEX-15G1A-1926-SM-7KUFF 30-39 years, male 37.2
GTEX-ZF2S-1826-SM-4WKFF 50-59 years, female 36.0
GTEX-1HBPN-2026-SM-B2LWA 50-59 years, male 35.9
GTEX-11ZTS-1526-SM-5N9G7 60-69 years, female 33.7
GTEX-145LT-0826-SM-5S2QL 40-49 years, male 31.9
GTEX-1GL5R-1726-SM-9KNUX 50-59 years, male 31.4
GTEX-14A5H-1626-SM-5SIAN 60-69 years, male 30.6
GTEX-13OW8-2726-SM-5L3FZ 60-69 years, male 28.7
GTEX-XXEK-1826-SM-4BRVC 50-59 years, male 28.1
GTEX-13X6J-2826-SM-7EPGA 50-59 years, male 26.2
GTEX-1PBJJ-2026-SM-DTX8U 30-39 years, male 25.3
GTEX-15DYW-2426-SM-7KUG8 60-69 years, female 25.0
GTEX-13FTW-2126-SM-5K7YG 40-49 years, male 24.1
GTEX-VJYA-2126-SM-4KL1O 60-69 years, male 17.1
Show allShow less
Colon - Transverse
Average nTPM: 134.1
Samples: 406

Max nTPM: 1260.2
Min nTPM: 5.7
Std nTPM: 136.3
Median nTPM: 97.1
GTEX-15CHQ-2526-SM-6EU24 60-69 years, male 1260.2
GTEX-13W3W-2126-SM-5K7UX 60-69 years, female 1022.8
GTEX-15UF6-2626-SM-6M466 70-79 years, female 816.7
GTEX-1PWST-2426-SM-EWRMP 70-79 years, male 742.6
GTEX-13OVI-2026-SM-5J1MU 60-69 years, female 699.3
GTEX-17F98-1026-SM-7IGO8 40-49 years, female 678.2
GTEX-13OVG-1426-SM-5K7VP 60-69 years, male 667.7
GTEX-1HCU7-2626-SM-C1YQO 50-59 years, male 636.6
GTEX-14PJ3-0926-SM-69LQG 50-59 years, male 587.1
GTEX-1LGOU-1626-SM-D3LAK 20-29 years, female 574.5
GTEX-1EH9U-2026-SM-7PBYS 60-69 years, male 528.2
GTEX-16XZZ-2626-SM-6M47S 60-69 years, male 476.5
GTEX-1JJ6O-2426-SM-ARU8J 60-69 years, male 473.6
GTEX-14C5O-2526-SM-73KU2 60-69 years, male 440.4
GTEX-ZXES-1626-SM-5NQ7L 30-39 years, female 430.4
GTEX-11TTK-2426-SM-5PNYO 60-69 years, female 418.1
GTEX-17MF6-2426-SM-7LTAM 40-49 years, male 417.1
GTEX-1QCLZ-1926-SM-E6CR3 60-69 years, female 415.1
GTEX-1LSVX-1726-SM-DHXJP 60-69 years, male 411.1
GTEX-17EVQ-1826-SM-7IGPH 70-79 years, male 382.5
GTEX-OXRN-2026-SM-E6CHK 50-59 years, male 381.7
GTEX-14C39-1926-SM-5ZZW5 40-49 years, male 338.7
GTEX-14ICK-1026-SM-6AJA4 40-49 years, male 336.8
GTEX-1NV5F-2226-SM-DTX8O 60-69 years, female 335.6
GTEX-145MO-2426-SM-5NQ9W 60-69 years, male 330.3
GTEX-14PJ5-0926-SM-6LLIK 60-69 years, female 313.2
GTEX-ZAB4-2226-SM-5HL97 40-49 years, male 311.5
GTEX-14BMV-2426-SM-5S2PP 50-59 years, male 309.3
GTEX-14ICL-1226-SM-5S2RD 30-39 years, male 303.4
GTEX-1EMGI-2726-SM-7P8S4 60-69 years, male 302.9
GTEX-1E2YA-2626-SM-7MGWW 50-59 years, male 298.6
GTEX-18A7B-2026-SM-72D71 70-79 years, male 297.0
GTEX-1R9K5-2126-SM-E8VN1 50-59 years, male 296.1
GTEX-16NPV-2626-SM-6M484 50-59 years, female 295.0
GTEX-145LS-2726-SM-5Q5D8 60-69 years, female 285.3
GTEX-ZYFG-1926-SM-5GID5 60-69 years, female 281.9
GTEX-OHPN-2026-SM-E9TIA 60-69 years, female 279.4
GTEX-1S5VW-2926-SM-E9U6H 60-69 years, male 270.5
GTEX-13O3P-2326-SM-5KM55 50-59 years, male 268.5
GTEX-15SHU-2526-SM-6M47D 40-49 years, female 266.8
GTEX-148VJ-2626-SM-5QGPI 70-79 years, male 265.9
GTEX-X5EB-0926-SM-46MVT 40-49 years, male 260.4
GTEX-1JJE9-2426-SM-D3L8T 70-79 years, male 260.2
GTEX-1I1GT-1926-SM-ARU7D 60-69 years, female 256.5
GTEX-1LGRB-1426-SM-CNNPT 50-59 years, female 256.5
GTEX-R45C-2126-SM-EZ6KZ 60-69 years, female 254.1
GTEX-1J1OQ-2726-SM-AHZ3R 40-49 years, female 253.6
GTEX-SJXC-2226-SM-EVYAK 60-69 years, male 244.3
GTEX-1OKEX-1226-SM-DTXEC 60-69 years, male 241.8
GTEX-1S3DN-1826-SM-EV79K 50-59 years, male 241.6
GTEX-16Z82-2226-SM-6LPJ7 60-69 years, male 237.6
GTEX-1128S-1626-SM-5H12O 60-69 years, female 235.2
GTEX-1LH75-2126-SM-EVR5F 50-59 years, female 235.0
GTEX-1AMEY-1926-SM-73KVT 30-39 years, female 229.4
GTEX-111VG-2226-SM-5N9DU 60-69 years, male 227.3
GTEX-14AS3-1126-SM-5Q5CR 40-49 years, female 224.2
GTEX-1AX9I-2626-SM-73KU5 60-69 years, male 220.8
GTEX-1RMOY-1626-SM-EVYC8 50-59 years, male 217.6
GTEX-QCQG-1626-SM-48U26 50-59 years, female 216.6
GTEX-WQUQ-2526-SM-4MVNO 60-69 years, male 204.2
GTEX-1HCVE-2526-SM-A9G2G 50-59 years, male 204.1
GTEX-1IKK5-2726-SM-CNPQ6 60-69 years, male 203.1
GTEX-ZLWG-1726-SM-DNZZ2 50-59 years, female 202.2
GTEX-147F3-1926-SM-5SIB9 50-59 years, female 201.5
GTEX-1HSMP-2326-SM-D3L8R 70-79 years, male 201.4
GTEX-16MT8-2726-SM-7IGLJ 60-69 years, female 200.5
GTEX-1C6VQ-2726-SM-73KUL 50-59 years, male 198.3
GTEX-1QCLY-1726-SM-DPRXY 30-39 years, male 194.9
GTEX-13FHP-2426-SM-5KLZ5 50-59 years, male 192.9
GTEX-13OW5-2626-SM-5MR3M 60-69 years, male 192.8
GTEX-13O3O-2526-SM-5L3DR 60-69 years, female 191.6
GTEX-13OVK-0826-SM-7KULZ 40-49 years, male 186.0
GTEX-12WSJ-1526-SM-5GCNI 40-49 years, female 183.4
GTEX-17F96-2026-SM-79ON4 70-79 years, male 182.2
GTEX-YF7O-1726-SM-5IFJ9 50-59 years, male 182.2
GTEX-1CAMS-2526-SM-7EPH7 40-49 years, female 181.5
GTEX-1KXAM-2126-SM-CY8I9 60-69 years, male 181.5
GTEX-1IDJU-2026-SM-A9SLM 60-69 years, female 179.0
GTEX-11LCK-2026-SM-5A5MA 30-39 years, male 175.6
GTEX-18D9U-1926-SM-7KFTM 40-49 years, male 174.7
GTEX-1F5PL-2126-SM-7PC2O 40-49 years, female 167.2
GTEX-S341-1426-SM-4AD6U 40-49 years, female 166.6
GTEX-11VI4-1526-SM-5EQKC 40-49 years, female 163.9
GTEX-1LVAN-2526-SM-CNPPC 50-59 years, female 162.8
GTEX-13U4I-2426-SM-5LU34 40-49 years, female 162.3
GTEX-16AAH-1326-SM-7KFRG 50-59 years, male 160.0
GTEX-11ONC-2026-SM-5HL61 60-69 years, male 159.5
GTEX-1HSEH-1726-SM-B2LXH 60-69 years, male 159.3
GTEX-ZV6S-1226-SM-59HLH 40-49 years, female 158.0
GTEX-12ZZZ-2426-SM-5GCNN 60-69 years, male 156.3
GTEX-11O72-2226-SM-5PNW2 40-49 years, male 155.5
GTEX-18D9A-1126-SM-7KFRJ 30-39 years, female 154.7
GTEX-1PPH8-2026-SM-DTX7P 20-29 years, male 153.2
GTEX-11ZVC-2126-SM-5EGJ1 50-59 years, female 152.5
GTEX-1PPGY-2826-SM-DTX9H 60-69 years, male 152.3
GTEX-13QBU-1826-SM-5IJG3 40-49 years, female 150.6
GTEX-17GQL-1526-SM-7LTAC 60-69 years, male 150.6
GTEX-11DXX-1826-SM-5H126 60-69 years, female 150.2
GTEX-1N2DV-1426-SM-DPRYQ 40-49 years, male 147.5
GTEX-1KANB-1526-SM-CXZK4 50-59 years, male 147.1
GTEX-1C64O-2326-SM-73KU8 60-69 years, male 146.8
GTEX-139YR-2126-SM-5KM11 50-59 years, male 146.4
GTEX-1GMR2-1726-SM-9JGI2 50-59 years, male 146.4
GTEX-V955-1626-SM-4JBHJ 60-69 years, male 145.2
GTEX-RM2N-0926-SM-48FD1 50-59 years, male 144.8
GTEX-Y8E4-2426-SM-4WWDN 40-49 years, male 143.5
GTEX-131XE-0826-SM-5HL9W 50-59 years, male 142.2
GTEX-ZF29-1726-SM-4WKFV 60-69 years, female 142.0
GTEX-1JMPZ-2426-SM-C1YQP 30-39 years, male 141.2
GTEX-ZVP2-1526-SM-5NQ82 50-59 years, male 140.6
GTEX-ZYVF-2826-SM-5GIDK 50-59 years, female 140.3
GTEX-QEL4-1926-SM-D3L8D 50-59 years, male 140.1
GTEX-1S82U-0726-SM-E9TKI 30-39 years, female 139.9
GTEX-12KS4-2426-SM-5LU8P 30-39 years, male 138.5
GTEX-147GR-2726-SM-664OO 60-69 years, male 138.5
GTEX-1MGNQ-2026-SM-EAZ51 40-49 years, male 138.5
GTEX-Y114-1526-SM-4TT79 50-59 years, female 137.4
GTEX-1H1DG-2226-SM-9WPPC 70-79 years, male 137.4
GTEX-145ME-0826-SM-5O9AF 40-49 years, female 137.3
GTEX-ZG7Y-2126-SM-DO117 50-59 years, male 136.7
GTEX-PLZ6-0926-SM-3P5ZQ 30-39 years, male 135.2
GTEX-ZZ64-0726-SM-5GZX4 20-29 years, male 135.0
GTEX-1GZ4H-1226-SM-9KNUA 50-59 years, female 135.0
GTEX-1MCC2-1626-SM-DIPEW 30-39 years, female 134.6
GTEX-15G1A-1826-SM-7KUKO 30-39 years, male 134.5
GTEX-XQ8I-2126-SM-4BOOM 50-59 years, male 132.9
GTEX-14BMU-1526-SM-5TDE6 20-29 years, female 132.3
GTEX-17HII-2726-SM-7MGVM 50-59 years, male 131.6
GTEX-ZGAY-2126-SM-4YCFB 40-49 years, female 131.5
GTEX-S4Q7-0826-SM-4AD5E 20-29 years, male 131.0
GTEX-18A66-2426-SM-7KFSQ 60-69 years, male 130.3
GTEX-TKQ1-0626-SM-4DXTS 30-39 years, male 130.3
GTEX-U3ZM-1126-SM-4DXUB 40-49 years, male 129.9
GTEX-15DYW-2326-SM-6PAMU 60-69 years, female 129.7
GTEX-ZPIC-2226-SM-57WDX 40-49 years, female 129.1
GTEX-O5YW-1426-SM-3MJHF 50-59 years, male 129.0
GTEX-OXRO-0726-SM-E9U4C 60-69 years, female 127.9
GTEX-1ICLZ-2426-SM-CKZOD 60-69 years, male 127.2
GTEX-OHPM-1426-SM-3TW8Y 50-59 years, male 126.1
GTEX-14DAQ-2726-SM-5S2QY 60-69 years, female 126.0
GTEX-1JMLX-2726-SM-CM2SB 50-59 years, male 124.1
GTEX-QDVN-1326-SM-48TZ3 50-59 years, male 123.7
GTEX-1L5NE-2026-SM-CXZKR 50-59 years, male 123.5
GTEX-1A3MV-1126-SM-718BS 30-39 years, male 123.4
GTEX-1B996-2626-SM-73KZ1 60-69 years, male 123.0
GTEX-ZPCL-1826-SM-57WF1 60-69 years, female 122.8
GTEX-XBEW-1926-SM-4SOJO 40-49 years, male 120.7
GTEX-117YX-0826-SM-5H11J 50-59 years, male 120.5
GTEX-OXRL-1426-SM-3NM9E 50-59 years, male 120.2
GTEX-1HSMQ-2726-SM-C1YRE 50-59 years, male 119.4
GTEX-1339X-1626-SM-5IJDN 40-49 years, male 118.3
GTEX-Z93S-2426-SM-5HL8N 50-59 years, male 117.5
GTEX-1HKZK-2126-SM-A9SL3 40-49 years, male 117.2
GTEX-XUW1-1926-SM-4BOP1 50-59 years, female 117.0
GTEX-WYJK-2226-SM-4ONDJ 50-59 years, male 116.8
GTEX-WHSB-0926-SM-4M1XJ 50-59 years, male 116.7
GTEX-13OVJ-1726-SM-5IJDZ 50-59 years, female 115.1
GTEX-18A7A-2226-SM-7LT8K 50-59 years, female 113.6
GTEX-147JS-2526-SM-5S2Q8 60-69 years, male 113.3
GTEX-145LT-0926-SM-5LU9C 40-49 years, male 113.1
GTEX-111YS-1626-SM-5GZZ9 60-69 years, male 113.0
GTEX-13O21-2426-SM-5MR4A 50-59 years, male 112.1
GTEX-ZY6K-1226-SM-5GZYL 50-59 years, male 111.6
GTEX-13QJ3-2626-SM-9OSXQ 50-59 years, male 110.7
GTEX-15SB6-1226-SM-7KUMP 50-59 years, female 109.0
GTEX-WOFM-2026-SM-4OOSQ 20-29 years, male 109.0
GTEX-1IGQW-2326-SM-CE6RV 60-69 years, male 109.0
GTEX-SE5C-1526-SM-4BRWU 40-49 years, female 108.9
GTEX-WVJS-2426-SM-EZ6LI 50-59 years, male 108.8
GTEX-1399U-1926-SM-5IFH7 50-59 years, female 108.5
GTEX-PWCY-1026-SM-48TD4 20-29 years, female 108.5
GTEX-OIZH-1426-SM-3NB1O 50-59 years, male 108.4
GTEX-1CB4F-2026-SM-79OLU 60-69 years, male 106.6
GTEX-11P81-1126-SM-5GU5G 30-39 years, female 106.3
GTEX-1211K-1726-SM-5FQUJ 60-69 years, female 106.3
GTEX-SNOS-1226-SM-4DM5H 40-49 years, male 105.8
GTEX-PLZ5-1126-SM-3P613 50-59 years, male 105.1
GTEX-1GN73-2626-SM-9KNUQ 60-69 years, male 104.9
GTEX-1RDX4-1826-SM-EVR54 50-59 years, female 104.8
GTEX-1NHNU-2326-SM-E6CQE 50-59 years, male 104.6
GTEX-1NSGN-2326-SM-E9U5X 50-59 years, male 104.5
GTEX-11P7K-1526-SM-5EGI7 30-39 years, male 104.0
GTEX-14E1K-1826-SM-793DT 50-59 years, male 103.6
GTEX-15CHC-1626-SM-5ZZWS 60-69 years, female 103.2
GTEX-1QP67-1326-SM-EAZ4D 40-49 years, female 103.2
GTEX-S4UY-0826-SM-4AD4Z 40-49 years, female 103.1
GTEX-XBED-1526-SM-4AT5W 60-69 years, male 103.1
GTEX-ZLV1-1226-SM-4WWBX 60-69 years, female 102.5
GTEX-15RIF-1326-SM-6LPKO 20-29 years, male 101.7
GTEX-13FTW-1826-SM-5IJEN 40-49 years, male 100.7
GTEX-NFK9-2026-SM-3LK5K 40-49 years, male 100.6
GTEX-R55C-1126-SM-48FCJ 40-49 years, male 100.5
GTEX-S4P3-1226-SM-4AD4Y 50-59 years, female 99.9
GTEX-13PL7-2526-SM-5IFGR 60-69 years, female 99.6
GTEX-1PIEJ-2026-SM-E6CPA 20-29 years, female 99.6
GTEX-1H1DE-1526-SM-ARL9B 20-29 years, male 99.3
GTEX-11NSD-1626-SM-5986U 20-29 years, male 99.0
GTEX-1R9PM-1526-SM-DPRY8 20-29 years, male 98.9
GTEX-1N2EF-1926-SM-DTX8M 60-69 years, male 98.7
GTEX-1HFI7-1726-SM-A9G22 50-59 years, female 98.6
GTEX-1J1R8-1126-SM-CNPQ3 40-49 years, male 98.1
GTEX-1JN1M-2626-SM-CY8I3 60-69 years, female 98.0
GTEX-16NGA-1026-SM-7KFS3 40-49 years, female 97.3
GTEX-13D11-0826-SM-5KLZJ 50-59 years, female 96.9
GTEX-1B932-2826-SM-73KUD 40-49 years, female 96.8
GTEX-13VXT-2426-SM-5LU46 20-29 years, female 96.5
GTEX-RWS6-1826-SM-47JXX 60-69 years, female 95.1
GTEX-13OW6-2126-SM-5N9GL 50-59 years, male 94.9
GTEX-18QFQ-1526-SM-72D57 30-39 years, male 94.7
GTEX-139T6-1326-SM-5IFFO 50-59 years, male 94.3
GTEX-1GZ4I-2426-SM-9WPPP 50-59 years, male 94.3
GTEX-YB5E-1626-SM-5IFIQ 40-49 years, male 93.2
GTEX-UJMC-1326-SM-4IHLS 50-59 years, male 93.1
GTEX-14H4A-1926-SM-5ZZWN 40-49 years, female 92.8
GTEX-P4QT-1426-SM-3NMCX 50-59 years, female 92.7
GTEX-SNMC-1126-SM-4DM5M 20-29 years, male 92.3
GTEX-PSDG-1826-SM-EAZ2S 50-59 years, male 91.8
GTEX-1F5PK-1926-SM-7MXT7 50-59 years, male 91.3
GTEX-1R7EU-1926-SM-E9U62 60-69 years, male 91.2
GTEX-15DCE-2026-SM-7KUFE 20-29 years, male 91.0
GTEX-T5JW-1126-SM-4DM5V 20-29 years, female 90.6
GTEX-1LG7Z-1426-SM-CXKYV 30-39 years, male 90.0
GTEX-1122O-1526-SM-5N9CL 60-69 years, female 89.4
GTEX-17HGU-2426-SM-7EWDP 50-59 years, male 88.8
GTEX-1LBAC-1626-SM-CXZKV 20-29 years, male 88.5
GTEX-Y9LG-1526-SM-4WWDR 30-39 years, male 88.1
GTEX-13CF3-1426-SM-5K7YY 60-69 years, female 88.0
GTEX-1BAJH-2326-SM-7IGMO 70-79 years, male 87.8
GTEX-T6MO-0826-SM-4DM51 40-49 years, female 87.7
GTEX-12C56-0626-SM-5EGGC 20-29 years, male 86.8
GTEX-PWN1-1426-SM-48TDF 40-49 years, female 86.8
GTEX-WYVS-1826-SM-4OND6 40-49 years, female 86.8
GTEX-144GL-2526-SM-5TDDL 50-59 years, male 86.2
GTEX-1MJK3-0926-SM-EV7AY 20-29 years, male 86.2
GTEX-1GPI7-1726-SM-7P8R1 20-29 years, male 85.7
GTEX-WFG7-1526-SM-4LVMG 20-29 years, male 85.5
GTEX-14PHX-1526-SM-68717 50-59 years, male 85.4
GTEX-R55G-1226-SM-48FDC 40-49 years, female 85.2
GTEX-145MN-1726-SM-5SIA6 30-39 years, male 85.0
GTEX-P4PP-1426-SM-3NM9L 30-39 years, female 83.5
GTEX-ZTSS-1126-SM-5985O 40-49 years, male 83.3
GTEX-WEY5-1426-SM-4LMJ3 40-49 years, female 83.1
GTEX-12WSL-1626-SM-5GCMU 50-59 years, male 82.9
GTEX-13PVR-1626-SM-73KVF 60-69 years, female 82.8
GTEX-ZDTT-1926-SM-5HL5W 60-69 years, male 82.7
GTEX-1H1E6-1926-SM-9OSWD 30-39 years, male 82.2
GTEX-14DAR-1526-SM-5RQIX 50-59 years, male 81.9
GTEX-1RAZQ-2126-SM-DTX9V 30-39 years, male 81.8
GTEX-WFON-1426-SM-4LVMT 40-49 years, male 81.6
GTEX-1I6K6-1826-SM-B2LX5 30-39 years, male 81.6
GTEX-1N5O9-2726-SM-E76QH 60-69 years, male 81.3
GTEX-1GL5R-2426-SM-7MXV1 50-59 years, male 81.1
GTEX-1K2DA-2026-SM-CGQGK 50-59 years, male 80.1
GTEX-WH7G-1326-SM-4LVMS 40-49 years, male 79.2
GTEX-12BJ1-2126-SM-5BC5O 60-69 years, male 79.0
GTEX-ZP4G-1726-SM-4WWCM 20-29 years, female 78.8
GTEX-1PIGE-1426-SM-E9U61 20-29 years, male 78.2
GTEX-R55D-1826-SM-48FEF 50-59 years, male 77.1
GTEX-1HSGN-2626-SM-CE6S1 40-49 years, female 76.9
GTEX-1KANC-0926-SM-D3LA9 50-59 years, female 76.7
GTEX-14PJ4-1926-SM-6LLHG 60-69 years, male 76.1
GTEX-1C475-1626-SM-731FP 40-49 years, female 76.1
GTEX-17HHE-1826-SM-79OKE 50-59 years, male 75.5
GTEX-X15G-1326-SM-4PQZJ 50-59 years, female 75.3
GTEX-U3ZH-1326-SM-4DXSF 30-39 years, male 75.1
GTEX-11P82-1026-SM-5BC5J 20-29 years, male 74.6
GTEX-XMK1-1726-SM-4B64Z 40-49 years, male 73.2
GTEX-1F75B-2726-SM-7P8QO 50-59 years, male 72.5
GTEX-1IDJC-1326-SM-CL53H 50-59 years, male 72.1
GTEX-Y3I4-1426-SM-4TT9C 50-59 years, male 71.8
GTEX-1PFEY-1426-SM-E9U6U 30-39 years, male 71.7
GTEX-ZVT2-1926-SM-5GU5T 50-59 years, female 71.6
GTEX-ZYFC-2626-SM-5NQ6S 50-59 years, male 71.4
GTEX-OOBJ-1426-SM-E6CHH 60-69 years, male 71.4
GTEX-14JG6-1726-SM-69LPL 30-39 years, female 71.3
GTEX-11EM3-1526-SM-5A5KN 20-29 years, female 69.6
GTEX-146FQ-1926-SM-5NQBY 30-39 years, male 69.5
GTEX-XYKS-2226-SM-4E3IU 60-69 years, female 69.5
GTEX-1KANA-1926-SM-DHXKF 20-29 years, male 69.5
GTEX-1K9T9-2826-SM-D4P3F 50-59 years, female 68.9
GTEX-1JK1U-1526-SM-AHZ46 60-69 years, male 68.7
GTEX-X4EO-2526-SM-EWRM8 60-69 years, female 68.7
GTEX-RU1J-1326-SM-46MUL 20-29 years, female 68.1
GTEX-QMRM-1226-SM-447C6 50-59 years, male 68.0
GTEX-1HCU9-1326-SM-B2LXT 20-29 years, male 67.8
GTEX-14PKV-2126-SM-664O3 20-29 years, female 67.0
GTEX-1399S-1926-SM-5J2M5 30-39 years, female 66.9
GTEX-17EUY-1826-SM-7DUEZ 20-29 years, male 66.6
GTEX-ZT9W-1826-SM-51MQX 50-59 years, male 66.5
GTEX-1LVAM-1626-SM-EV79Y 50-59 years, female 66.5
GTEX-17JCI-2626-SM-7EWE6 60-69 years, female 66.0
GTEX-U4B1-1126-SM-4DXV3 40-49 years, male 65.9
GTEX-13O61-1626-SM-5KM3T 60-69 years, male 65.5
GTEX-1AMFI-1726-SM-7189L 50-59 years, female 64.9
GTEX-1CAMR-0926-SM-7MXTD 20-29 years, male 64.7
GTEX-X3Y1-1726-SM-4PQZL 40-49 years, male 64.5
GTEX-1C4CL-2126-SM-7IGQC 30-39 years, male 64.4
GTEX-133LE-1526-SM-5IFEN 20-29 years, female 63.7
GTEX-1F75I-2426-SM-9WPOY 40-49 years, male 63.7
GTEX-U412-1726-SM-EZ6KX 60-69 years, male 63.0
GTEX-17F9E-1826-SM-7IGMC 50-59 years, male 62.9
GTEX-1RAZA-1726-SM-DPS13 20-29 years, male 62.9
GTEX-Y5LM-1526-SM-4VDTA 40-49 years, female 62.8
GTEX-1MUQO-2626-SM-EWRO3 60-69 years, male 62.7
GTEX-15DZA-0926-SM-69LQ3 30-39 years, female 62.6
GTEX-YEC3-2426-SM-DO11A 50-59 years, male 61.9
GTEX-ZV7C-1526-SM-5NQ72 50-59 years, male 61.7
GTEX-QLQW-0426-SM-447A7 30-39 years, male 61.5
GTEX-1S83E-1626-SM-EV7B9 40-49 years, male 61.5
GTEX-UJHI-1126-SM-4IHLN 50-59 years, female 61.4
GTEX-14PJM-2626-SM-686ZD 50-59 years, female 60.9
GTEX-1JKYR-1926-SM-C1YR7 20-29 years, male 60.8
GTEX-1QMI2-2626-SM-E6CR4 60-69 years, male 60.8
GTEX-1I1GR-2526-SM-CNNQF 60-69 years, male 60.5
GTEX-1IDJF-1826-SM-CKZOE 20-29 years, male 59.9
GTEX-S7SF-1926-SM-4AT5B 20-29 years, female 59.5
GTEX-XXEK-1926-SM-4BRVD 50-59 years, male 59.5
GTEX-1C2JI-1626-SM-7EPHC 50-59 years, male 59.0
GTEX-Y8LW-1226-SM-4WWDP 50-59 years, female 58.9
GTEX-11GSP-1626-SM-5986N 60-69 years, female 57.8
GTEX-1HCU6-2726-SM-A9SKV 60-69 years, female 57.8
GTEX-131XG-1826-SM-5LZV4 50-59 years, female 57.4
GTEX-1MA7W-0626-SM-EV79Z 20-29 years, female 57.4
GTEX-W5WG-2426-SM-4LMI6 50-59 years, female 57.2
GTEX-1LG7Y-2126-SM-DIPER 50-59 years, male 57.2
GTEX-XGQ4-1226-SM-4AT67 50-59 years, male 56.9
GTEX-XPVG-1826-SM-4B64X 50-59 years, male 56.0
GTEX-Y3IK-1826-SM-4WWDS 50-59 years, female 55.1
GTEX-OIZF-1426-SM-2HML2 60-69 years, male 54.8
GTEX-QV31-0826-SM-CKZNC 30-39 years, male 54.8
GTEX-111CU-1426-SM-5GZYP 50-59 years, male 54.6
GTEX-U3ZN-2126-SM-4DXU1 30-39 years, female 54.6
GTEX-1R9JW-2026-SM-EAZ4O 30-39 years, female 54.5
GTEX-YEC4-1926-SM-5IFHJ 40-49 years, male 54.3
GTEX-13111-0726-SM-5DUVE 50-59 years, male 53.1
GTEX-1QPFJ-2326-SM-E6CR7 30-39 years, female 53.0
GTEX-QLQ7-1126-SM-CYPRB 60-69 years, male 52.7
GTEX-Q2AI-0926-SM-48U1F 40-49 years, male 52.4
GTEX-1QP9N-1026-SM-E6CPX 30-39 years, male 52.3
GTEX-11I78-1226-SM-5A5K6 50-59 years, female 51.8
GTEX-1JKYN-2326-SM-CGQG7 30-39 years, male 51.4
GTEX-15ER7-2926-SM-7KUFK 20-29 years, female 51.3
GTEX-15RIE-1826-SM-6M48P 60-69 years, male 50.9
GTEX-XUZC-1326-SM-4BRV2 30-39 years, female 50.3
GTEX-1B8KE-1926-SM-731EE 50-59 years, male 49.9
GTEX-13S86-1626-SM-5Q5C5 40-49 years, male 49.8
GTEX-14BIN-3026-SM-5ZZUS 50-59 years, female 49.6
GTEX-1JN76-1226-SM-C1YRM 20-29 years, female 49.4
GTEX-ZPU1-1926-SM-57WDT 40-49 years, male 48.1
GTEX-1JMPY-0426-SM-C1YQ3 30-39 years, male 47.3
GTEX-1GF9X-1526-SM-7P8QP 40-49 years, female 47.1
GTEX-1CB4I-2226-SM-7P8SL 50-59 years, male 45.7
GTEX-14PK6-1726-SM-6871J 70-79 years, female 45.5
GTEX-1IOXB-2626-SM-CJI2N 50-59 years, male 45.3
GTEX-11EQ9-1426-SM-5987G 30-39 years, male 44.9
GTEX-178AV-1326-SM-6LPJX 40-49 years, male 44.3
GTEX-S3XE-1126-SM-4AD4N 50-59 years, male 43.3
GTEX-132AR-2726-SM-5PNVN 50-59 years, female 43.0
GTEX-11TUW-2026-SM-5EQL8 60-69 years, male 42.9
GTEX-OXRK-1726-SM-3NB16 50-59 years, female 41.7
GTEX-1I4MK-1126-SM-B2LWS 50-59 years, female 41.4
GTEX-1H3VY-2426-SM-9WPPD 50-59 years, male 40.5
GTEX-17KNJ-1726-SM-7LG6A 50-59 years, male 40.2
GTEX-TKQ2-1326-SM-4DXT9 50-59 years, male 38.8
GTEX-Q2AH-1226-SM-48TZL 40-49 years, male 38.5
GTEX-P78B-1726-SM-3P5ZV 40-49 years, female 37.7
GTEX-18D9B-2526-SM-718BN 60-69 years, male 37.6
GTEX-14XAO-2026-SM-69LOI 60-69 years, female 36.9
GTEX-1QW4Y-1326-SM-EWRMZ 30-39 years, male 36.2
GTEX-139TS-1926-SM-5IJFO 60-69 years, male 36.0
GTEX-1GF9U-1526-SM-7MXUW 40-49 years, female 36.0
GTEX-1399R-2226-SM-5P9JB 30-39 years, male 35.0
GTEX-13X6H-1926-SM-7EWD3 50-59 years, female 34.5
GTEX-ZDYS-2326-SM-4WKG6 50-59 years, male 32.9
GTEX-TML8-1326-SM-4DXTO 40-49 years, female 31.8
GTEX-144GM-1226-SM-5LU52 20-29 years, male 31.1
GTEX-1GMR3-2826-SM-9WPOG 40-49 years, male 30.8
GTEX-R53T-1326-SM-48FCQ 50-59 years, female 30.7
GTEX-1IDJD-2226-SM-A96TD 30-39 years, male 30.7
GTEX-1AYD5-1726-SM-7RHFW 50-59 years, male 30.5
GTEX-15CHR-1426-SM-7DUGV 50-59 years, male 30.2
GTEX-11TT1-1026-SM-5PNW7 20-29 years, male 29.9
GTEX-1AYCT-1826-SM-731EG 50-59 years, male 29.8
GTEX-144GN-1126-SM-5LU33 50-59 years, male 28.2
GTEX-WY7C-1626-SM-4ONC8 50-59 years, male 27.6
GTEX-14E6E-1526-SM-5RQIG 30-39 years, male 27.2
GTEX-1RAZR-1926-SM-E6CRF 40-49 years, male 26.4
GTEX-QDVJ-1326-SM-48U1X 50-59 years, male 26.1
GTEX-ZEX8-1926-SM-4WKFR 50-59 years, male 26.1
GTEX-117YW-1826-SM-5PNY5 50-59 years, male 25.9
GTEX-PX3G-1426-SM-48U1J 20-29 years, female 23.6
GTEX-O5YT-1426-SM-3MJHC 20-29 years, male 23.5
GTEX-WHWD-1226-SM-4OOS1 50-59 years, male 22.5
GTEX-VJYA-2026-SM-4KL1K 60-69 years, male 21.9
GTEX-Q734-1126-SM-48TZY 40-49 years, female 21.5
GTEX-1B8KZ-1326-SM-7DUG6 50-59 years, male 21.3
GTEX-11DXZ-1726-SM-5H12M 50-59 years, male 21.1
GTEX-XV7Q-2126-SM-4BRVX 40-49 years, female 20.0
GTEX-1H11D-2626-SM-9JGH4 40-49 years, male 19.6
GTEX-1POEN-2026-SM-E6CRL 30-39 years, female 19.2
GTEX-13FH7-1526-SM-5J2N6 50-59 years, female 18.6
GTEX-ZF2S-1926-SM-4WWAN 50-59 years, female 18.4
GTEX-14JIY-3326-SM-6871E 60-69 years, male 12.0
GTEX-XAJ8-0426-SM-47JYJ 40-49 years, male 10.8
GTEX-1IKOE-2026-SM-AHZ31 30-39 years, female 5.9
GTEX-1AX8Z-2726-SM-73KUC 60-69 years, male 5.7
Show allShow less

COLON - FANTOM5 CAGEi

RNA expression in human tissues obtained through Cap Analysis of Gene Expression (CAGE) generated by the FANTOM5 project are reported as Scaled Tags Per Million.

Max subtype Scaled Tags Per Millioni

Max subtype Scaled Tags Per Million is the value for the subtype with the largest average Scaled Tags Per Million across the subtype samples.

725.9
FANTOM5 sample id Sample description Scaled Tags Per Million
Colon
Scaled Tags Per Million: 725.9
FF:10014-101C5 62,83,84 years, mixed 725.9

Contact

  • NEWS ARTICLES
  • PRESS ROOM

The Project

  • INTRODUCTION
  • ORGANIZATION
  • PUBLICATIONS

The Human Protein Atlas

  • DOWNLOADABLE DATA
  • LICENCE & CITATION
  • HELP & FAQ
The Human Protein Atlas project is funded
by the Knut & Alice Wallenberg Foundation.


contact@proteinatlas.org