We use cookies to enhance the usability of our website. If you continue, we'll assume that you are happy to receive all cookies. More information. Don't show this again.
APOD
HPA
RESOURCES
  • TISSUE
  • BRAIN
  • SINGLE CELL
  • SUBCELLULAR
  • CANCER
  • BLOOD
  • CELL LINE
  • STRUCTURE & INTERACTION
ABOUT
  • INTRODUCTION
  • HISTORY
  • ORGANIZATION
  • PUBLICATIONS
  • ANTIBODY SUBMISSION
  • ANTIBODY AVAILABILITY
  • ACKNOWLEDGMENTS
  • CONTACT
NEWS
  • NEWS ARTICLES
  • PRESS ROOM
LEARN
  • DICTIONARY
  • PROTEIN CLASSES
  • PROTEIN EVIDENCE
  • METHODS
  • EDUCATIONAL VIDEOS
DATA
  • DOWNLOADABLE DATA
  • PUBLICATION DATA
  • RELEASE HISTORY
HELP
  • ANTIBODY VALIDATION
  • ASSAYS & ANNOTATION
  • DISCLAIMER
  • HELP & FAQ
  • PRIVACY STATEMENT
  • LICENCE & CITATION
Fields »
Search result

Field
Term
Gene name
Class
Subclass
Class
Keyword
Chromosome
External id
Tissue
Cell type
Expression
Antibody panel
Tissue
Main location
Patient ID
Annotation
Tissue
Category
Tau score
Cluster
Reliability
Brain region
Category
Tau score
Brain region
Category
Tau score
Brain region
Category
Tau score
Cluster
Reliability
Tissue
Cell type
Enrichment
Cell type
Category
Tau score
Cell type
Category
Tau score
Cell type
Category
Tau score
Cell lineage
Category
Tau score
Cluster
Cluster
Location
Searches
Location
Cell line
Class
Type
Phase
Reliability
Cancer
Prognosis
Cancer
Category
Cancer
Category
Tau score
Cluster
Variants
Interacting gene (ensg_id)
Type
Number of interactions
Pathway
Category
Score
Score
Score
Validation
Validation
Validation
Validation
Antibodies
Data type
Column


  • SUMMARY

  • TISSUE

  • BRAIN

  • SINGLE CELL

  • SUBCELL

  • CANCER

  • BLOOD

  • CELL LINE

  • STRUCT & INT

  • APOD
TISSUE PRIMARY DATA SKIN Show tissue menu
ADIPOSE TISSUE ADRENAL GLAND AMYGDALA APPENDIX BASAL GANGLIA BONE MARROW BREAST BRONCHUS CEREBELLUM CEREBRAL CORTEX CERVIX CHOROID PLEXUS COLON DUODENUM
ENDOMETRIUM EPIDIDYMIS ESOPHAGUS FALLOPIAN TUBE GALLBLADDER HEART MUSCLE HIPPOCAMPAL FORMATION HYPOTHALAMUS KIDNEY LIVER LUNG LYMPH NODE MIDBRAIN ORAL MUCOSA
OVARY PANCREAS PARATHYROID GLAND PITUITARY GLAND PLACENTA PROSTATE RECTUM RETINA SALIVARY GLAND SEMINAL VESICLE SKELETAL MUSCLE SKIN SMALL INTESTINE SMOOTH MUSCLE
SOFT TISSUE SPINAL CORD SPLEEN STOMACH TESTIS THYMUS THYROID GLAND TONGUE TONSIL URINARY BLADDER VAGINA
ANTIBODIES
AND
VALIDATION
Dictionary
Skin
Tissue proteome
Skin
SKIN - Expression summary
Protein expression
Skini

On the top, protein expression in current human tissue, based on all annotated cell types, is reported with the units not detected (n), low (l), medium (m) and high (h). Underneath, protein expression in each annotated cell type are reported using the same units.

Protein expression data is based on knowledge-based annotation. For genes where more than one antibody has been used, a collective score is set.

If knowledge-based annotation could not be performed for a gene, no data is displayed here. View antibody staining data further down this page.

h
m
l
n
Arrector pili muscle cells: High
Cells in basal layer: Low
Cells in corneal layer: Low
Cells in granular layer: Medium
Cells in spinous layer: Not detected
Eccrine glands: Not detected
Endothelial cells: Not detected
Extracellular matrix: Not detected
Fibrohistiocytic cells: High
Hair follicles: Medium
Langerhans cells: Not detected
Lymphocytes: Not detected
Melanocytes: Not detected
Vascular mural cells: Not detected
RNA expressioni

A summary of mRNA expression data available for current tissue based on several datasets. The mRNA expression levels in human tissues are based on RNA-seq data generated by the Human Protein Atlas (HPA), Genotype-Tissue Expression (GTEx) portal and CAGE data generated by the FANTOM5 consortium. Consensus normalized expression levels for human tissues was created by combining the data from HPA and GTEx datasets.

The mRNA expression levels in pig are based on RNA-seq data generated by the Human Protein Atlas (HPA), and for mouse, HPA data and in situ hybridization generated by the Allen brain atlas are reported.

Scroll down to view mRNA expression data in more detail.
Consensus:938.7 nTPM
HPA:178.0 nTPM
GTEx:938.7 nTPM

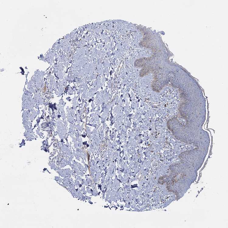
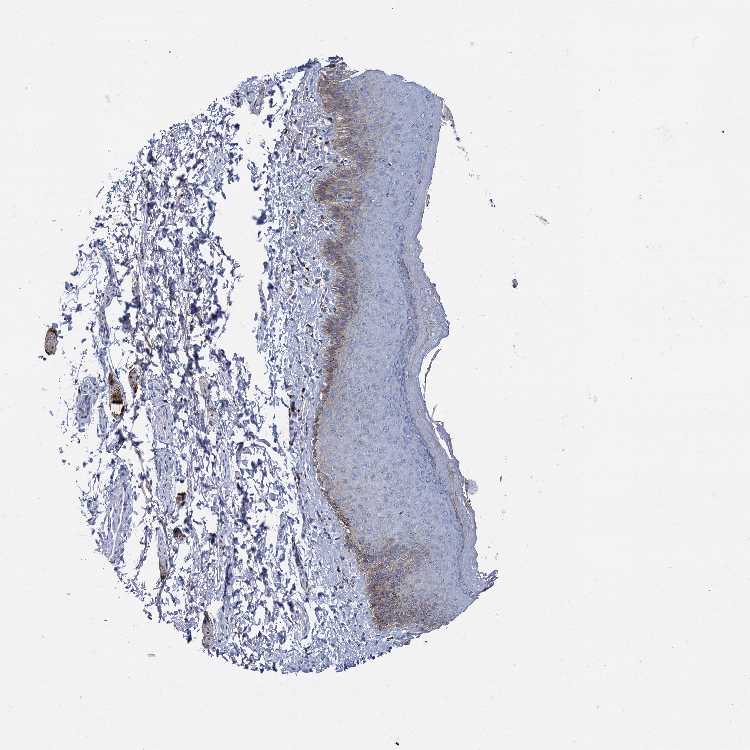
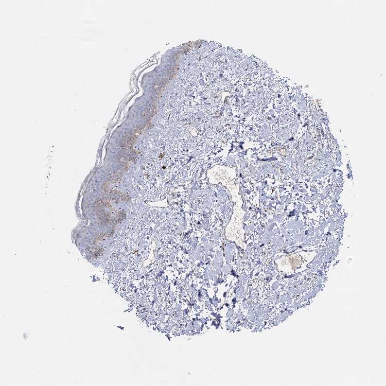
SKIN 1 - Antibody stainingi

Antibody staining in the annotated cell types in the current human tissue is reported as not detected, low, medium, or high, based on conventional immunohistochemistry profiling in selected tissues. This score is based on the combination of the staining intensity and fraction of stained cells.

Each image is clickable and will lead to virtual microscopy that enables deeper exploration of all samples and also displays staining intensity scores, fraction scores and subcellular localization as well as patient and tissue information for each sample.

Antibody HPA040520
Cells in basal layer Low
Cells in corneal layer Not detected
Cells in granular layer Not detected
Cells in spinous layer Not detected
Eccrine glands Not detected
Endothelial cells Not detected
Extracellular matrix Not detected
Fibrohistiocytic cells High
Langerhans cells Not detected
Lymphocytes Not detected
Melanocytes Not detected
Vascular mural cells Not detected
 


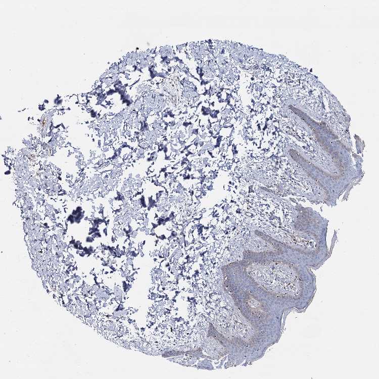
SKIN 2 - Antibody stainingi

Antibody staining in the annotated cell types in the current human tissue is reported as not detected, low, medium, or high, based on conventional immunohistochemistry profiling in selected tissues. This score is based on the combination of the staining intensity and fraction of stained cells.

Each image is clickable and will lead to virtual microscopy that enables deeper exploration of all samples and also displays staining intensity scores, fraction scores and subcellular localization as well as patient and tissue information for each sample.

Antibody HPA040520
Arrector pili muscle cells High
Cells in basal layer Low
Cells in corneal layer Low
Cells in granular layer Medium
Cells in spinous layer Not detected
Endothelial cells Not detected
Extracellular matrix Not detected
Fibrohistiocytic cells High
Hair follicles Medium
Langerhans cells Not detected
Lymphocytes Not detected
Melanocytes Not detected
Vascular mural cells Not detected



SKIN - HPA RNA-seqi

The RNA-seq details section shows detailed information about the individual samples used for the transcript profiling and results of the RNA-seq analysis.

Information about each individual sample is listed below, including gender, age, a tissue section image and estimated fractions of cell types. nTPM (normalized transcripts per million) values give a quantification of the gene abundance which is comparable between different genes and samples.
Average nTPMi

Max subtype nTPM is the value for the subtype with the largest average nTPM across the subtype samples.

178.0
overview
Female, age 34
Skin sample 225
nTPM: 201.5
Cell types%
Keratinocytes:
60

Other cell types:
40

overview
Female, age 30
Skin sample 226
nTPM: 167.7
Cell types%
Keratinocytes:
55

Other cell types:
45

N/A
Male, age 57
Skin sample 227
nTPM: 164.8

SKIN - GTEx RNA-seqi

RNA-Seq data generated by the Genotype-Tissue Expression (GTEx) project from human tissues is reported as mean nTPM. More information can be found on the GTEx portal.

Distribution across the dataset is visualized with box plots, shown as median and 25th and 75th percentiles. Points are displayed as outliers if they are above or below 1.5 times the interquartile range. nTPM values of the individual samples are presented next to the box plot.
Max subtype nTPMi

Max subtype nTPM is the value for the subtype with the largest average nTPM across the subtype samples.

938.7
GTEx sample id Sample description nTPM
Skin - Not Sun Exposed (Suprapubic)
Average nTPM: 739.0
Samples: 604

Max nTPM: 4486.9
Min nTPM: 73.7
Std nTPM: 518.1
Median nTPM: 608.9
GTEX-16NGA-0726-SM-731AO 40-49 years, female 4486.9
GTEX-11TT1-1826-SM-5EQLV 20-29 years, male 3192.7
GTEX-1K9T9-1526-SM-DIPFR 50-59 years, female 3008.8
GTEX-146FQ-2126-SM-5RQHU 30-39 years, male 2949.9
GTEX-1497J-0226-SM-5QGPU 60-69 years, male 2815.8
GTEX-14DAR-1226-SM-73KYV 50-59 years, male 2807.0
GTEX-17F96-0126-SM-7EWDU 70-79 years, male 2575.7
GTEX-ZYW4-0626-SM-59HJR 60-69 years, male 2385.3
GTEX-1399R-1326-SM-5PNYS 30-39 years, male 2264.2
GTEX-VJYA-1526-SM-3GIJV 60-69 years, male 2247.9
GTEX-18A66-0626-SM-7LT8Z 60-69 years, male 2240.8
GTEX-14PJO-2526-SM-6AJBQ 60-69 years, male 2239.1
GTEX-14BMU-1226-SM-5S2OR 20-29 years, female 2076.2
GTEX-X585-2426-SM-46MW2 50-59 years, male 2012.0
GTEX-YB5K-2026-SM-4VDT3 40-49 years, female 1994.0
GTEX-ZYFG-1526-SM-5GZYM 60-69 years, female 1991.5
GTEX-WI4N-2726-SM-3LK7Y 40-49 years, female 1974.2
GTEX-13X6H-0926-SM-5SIB2 50-59 years, female 1966.2
GTEX-ZGAY-1826-SM-DO91Q 40-49 years, female 1957.1
GTEX-1L5NE-1126-SM-D3L9P 50-59 years, male 1944.2
GTEX-ZLWG-0826-SM-59888 50-59 years, female 1904.7
GTEX-1PIGE-1826-SM-E8VOU 20-29 years, male 1894.7
GTEX-X8HC-0626-SM-4E3HQ 50-59 years, female 1801.3
GTEX-1QP66-1226-SM-DTX7U 50-59 years, male 1768.9
GTEX-11P7K-1126-SM-5HL4L 30-39 years, male 1735.6
GTEX-17EVQ-0126-SM-7IGLR 70-79 years, male 1734.6
GTEX-12BJ1-0926-SM-5EQ62 60-69 years, male 1726.2
GTEX-11EM3-1226-SM-5N9DD 20-29 years, female 1716.7
GTEX-13113-1626-SM-5EQ4I 60-69 years, female 1710.7
GTEX-ZT9W-1126-SM-57WDR 50-59 years, male 1664.1
GTEX-1F52S-2926-SM-7MKGA 60-69 years, female 1624.0
GTEX-17F9E-2326-SM-79OKD 50-59 years, male 1620.9
GTEX-11NSD-0626-SM-5A5LU 20-29 years, male 1618.9
GTEX-12WSL-2026-SM-5GCML 50-59 years, male 1602.8
GTEX-1IDJE-1426-SM-ADEIW 50-59 years, female 1577.3
GTEX-ZAJG-1526-SM-5CVML 50-59 years, female 1577.0
GTEX-ZF3C-0626-SM-DO92O 50-59 years, female 1576.4
GTEX-18A6Q-0626-SM-7KFRP 60-69 years, male 1568.5
GTEX-Y3IK-1626-SM-4YCF5 50-59 years, female 1561.6
GTEX-1IDJC-1526-SM-B2LW4 50-59 years, male 1556.5
GTEX-11EI6-2826-SM-5H11D 60-69 years, male 1547.4
GTEX-1LGOU-1326-SM-D3L8M 20-29 years, female 1536.6
GTEX-18D9A-1426-SM-7LT8M 30-39 years, female 1532.2
GTEX-XK95-0226-SM-4AT58 40-49 years, male 1531.4
GTEX-1C64O-1326-SM-7MGWR 60-69 years, male 1525.9
GTEX-X4EP-0626-SM-3P621 60-69 years, female 1524.5
GTEX-1QCLZ-2426-SM-EVYBW 60-69 years, female 1511.0
GTEX-1GF9W-1426-SM-7PBYM 60-69 years, male 1494.8
GTEX-1QW4Y-1126-SM-DTXE3 30-39 years, male 1491.4
GTEX-14E6C-2426-SM-5S2NF 40-49 years, male 1490.8
GTEX-15FZZ-0526-SM-7KUGD 30-39 years, female 1486.0
GTEX-1QP9N-1226-SM-E76QN 30-39 years, male 1478.9
GTEX-1JMOU-1026-SM-CYPSS 60-69 years, female 1470.9
GTEX-1AX8Z-0726-SM-73KTS 60-69 years, male 1462.6
GTEX-X3Y1-2026-SM-3P5YM 40-49 years, male 1452.7
GTEX-Y8LW-1526-SM-5IFHL 50-59 years, female 1444.7
GTEX-UPK5-0426-SM-3GAEK 40-49 years, male 1444.4
GTEX-1CAMR-1326-SM-7PC1F 20-29 years, male 1434.5
GTEX-1LVAO-2726-SM-E9TJ8 60-69 years, male 1432.9
GTEX-1S82P-2126-SM-E6CI5 60-69 years, female 1413.0
GTEX-1LVAN-0626-SM-CNPOQ 50-59 years, female 1384.9
GTEX-13OVK-1426-SM-6PAN7 40-49 years, male 1374.8
GTEX-1JMQK-1226-SM-D4P2S 60-69 years, male 1374.6
GTEX-Y8E4-2026-SM-5IFJB 40-49 years, male 1370.2
GTEX-1H1ZS-2726-SM-9WG75 70-79 years, male 1368.5
GTEX-ZA64-1026-SM-5HL8R 20-29 years, male 1355.3
GTEX-1192X-2726-SM-5N9DN 50-59 years, male 1347.9
GTEX-131XF-2626-SM-5EQ6K 60-69 years, male 1346.2
GTEX-13PVR-0426-SM-5RQK2 60-69 years, female 1336.9
GTEX-1LSNM-0826-SM-DIPG8 50-59 years, male 1333.0
GTEX-1K2DA-1026-SM-CGQGF 50-59 years, male 1332.1
GTEX-1H3NZ-2726-SM-9WYTQ 60-69 years, male 1329.5
GTEX-1IDJF-2026-SM-CL53V 20-29 years, male 1327.3
GTEX-1F75I-2226-SM-7SB8U 40-49 years, male 1324.8
GTEX-117YX-1926-SM-5GIEC 50-59 years, male 1310.4
GTEX-1JJ6O-2726-SM-CNPOG 60-69 years, male 1302.9
GTEX-145MO-2826-SM-5LU96 60-69 years, male 1302.5
GTEX-12WSF-1626-SM-7KUG5 70-79 years, male 1299.4
GTEX-YF7O-1526-SM-5IFI6 50-59 years, male 1285.4
GTEX-WEY5-2326-SM-3GIKK 40-49 years, female 1281.4
GTEX-ZVP2-0326-SM-57WBP 50-59 years, male 1277.3
GTEX-16XZZ-0726-SM-7KUF2 60-69 years, male 1276.3
GTEX-ZPU1-1126-SM-4YCF3 40-49 years, male 1263.8
GTEX-WXYG-2026-SM-4E3IY 50-59 years, female 1262.1
GTEX-1JKYN-0826-SM-ARU8S 30-39 years, male 1253.6
GTEX-1117F-2926-SM-5GZYI 60-69 years, female 1249.1
GTEX-15UF6-1926-SM-7KUDV 70-79 years, female 1248.6
GTEX-139YR-1026-SM-5LZYN 50-59 years, male 1243.2
GTEX-1I19N-0126-SM-CYPSF 70-79 years, male 1240.3
GTEX-17MF6-2626-SM-79OKQ 40-49 years, male 1228.8
GTEX-14JG6-1426-SM-9WG7C 30-39 years, female 1223.4
GTEX-1I6K7-1926-SM-B2LXR 40-49 years, male 1219.3
GTEX-1LBAC-0826-SM-CY8IJ 20-29 years, male 1218.1
GTEX-1GMR2-0826-SM-7PC3V 50-59 years, male 1212.3
GTEX-1KANC-1226-SM-CYPT7 50-59 years, female 1209.5
GTEX-147F3-1726-SM-5SIAW 50-59 years, female 1207.7
GTEX-1H1CY-0126-SM-9YFLY 60-69 years, female 1190.7
GTEX-11EQ8-0926-SM-5H12V 60-69 years, male 1190.4
GTEX-WYBS-0626-SM-3NMAS 60-69 years, female 1185.6
GTEX-1IDJD-2326-SM-ACKWX 30-39 years, male 1185.4
GTEX-1CAV2-0126-SM-7IGN7 40-49 years, female 1180.8
GTEX-ZTSS-1426-SM-5985P 40-49 years, male 1174.7
GTEX-12WSA-0426-SM-5EQ5X 60-69 years, male 1172.6
GTEX-1CB4I-0126-SM-7RHGG 50-59 years, male 1169.5
GTEX-1RLM8-2926-SM-E8VON 50-59 years, male 1169.0
GTEX-1S3DN-2126-SM-E9TIN 50-59 years, male 1156.3
GTEX-ZLFU-1826-SM-4WWBV 40-49 years, male 1155.2
GTEX-1MJK3-0726-SM-E6CJC 20-29 years, male 1142.4
GTEX-111FC-2526-SM-5GZXU 60-69 years, male 1135.6
GTEX-14753-0726-SM-5QGQO 60-69 years, male 1135.4
GTEX-1F75B-0726-SM-7PC3R 50-59 years, male 1133.0
GTEX-1IY9M-2826-SM-ARU8H 60-69 years, male 1127.0
GTEX-132AR-0326-SM-5KM2C 50-59 years, female 1113.5
GTEX-1C475-1326-SM-7SB73 40-49 years, female 1110.7
GTEX-11DYG-1526-SM-5A5JS 60-69 years, male 1110.1
GTEX-18A7B-2726-SM-7LG56 70-79 years, male 1110.0
GTEX-1JN1M-2726-SM-CY8I4 60-69 years, female 1108.2
GTEX-WHWD-1826-SM-3LK6I 50-59 years, male 1102.1
GTEX-ZDYS-2426-SM-4WKGI 50-59 years, male 1099.0
GTEX-ZVE2-2826-SM-5GU51 50-59 years, male 1096.7
GTEX-14AS3-1526-SM-5Q5ED 40-49 years, female 1096.6
GTEX-13QBU-1226-SM-5LU4G 40-49 years, female 1096.3
GTEX-15SHW-0226-SM-7LTAT 60-69 years, male 1089.4
GTEX-145MG-1526-SM-5Q5EM 50-59 years, male 1085.9
GTEX-1HSMO-0626-SM-ACKXC 60-69 years, male 1083.6
GTEX-ZF2S-1626-SM-57WES 50-59 years, female 1079.8
GTEX-1I6K6-1726-SM-CGQFD 30-39 years, male 1079.7
GTEX-13FH7-1126-SM-5K7UG 50-59 years, female 1079.6
GTEX-WH7G-2026-SM-3NMBL 40-49 years, male 1073.5
GTEX-1LG7Z-1626-SM-CXKYR 30-39 years, male 1073.1
GTEX-Y5V6-2326-SM-4VDSA 60-69 years, male 1071.6
GTEX-1HC8U-1326-SM-9YFMJ 40-49 years, female 1068.0
GTEX-13NZ9-2626-SM-5L3FK 50-59 years, male 1067.9
GTEX-12C56-1526-SM-5FQUQ 20-29 years, male 1066.0
GTEX-13YAN-0226-SM-5TDC6 60-69 years, male 1064.9
GTEX-18QFQ-1826-SM-72D52 30-39 years, male 1061.9
GTEX-Y5V5-0126-SM-5S2NW 60-69 years, female 1061.4
GTEX-145ME-1726-SM-5Q5EU 40-49 years, female 1059.4
GTEX-145MN-1526-SM-5SI9T 30-39 years, male 1058.8
GTEX-14PKV-1126-SM-6LLJ1 20-29 years, female 1046.9
GTEX-1QP29-1826-SM-DTX9S 50-59 years, male 1042.5
GTEX-13RTJ-0126-SM-5S2NN 60-69 years, male 1035.4
GTEX-15CHC-1126-SM-6LLHQ 60-69 years, female 1033.4
GTEX-1KANA-1326-SM-DIPFA 20-29 years, male 1024.2
GTEX-13FTX-1526-SM-5K7VJ 20-29 years, female 1019.9
GTEX-15EU6-2226-SM-6EU2L 50-59 years, male 1011.3
GTEX-1QP28-1126-SM-EVYC4 50-59 years, female 1011.3
GTEX-YFCO-1226-SM-5LUAT 40-49 years, male 999.5
GTEX-ZUA1-2626-SM-5NQ92 40-49 years, male 998.1
GTEX-XQ8I-0926-SM-4BOOF 50-59 years, male 997.3
GTEX-1H23P-0626-SM-9WG6T 60-69 years, male 992.8
GTEX-11EQ9-1626-SM-5PNY8 30-39 years, male 987.7
GTEX-ZZ64-1026-SM-5GZXG 20-29 years, male 985.5
GTEX-17F98-1326-SM-7DUEP 40-49 years, female 979.5
GTEX-139T8-0626-SM-5KLZX 60-69 years, male 973.7
GTEX-1RAZA-2226-SM-E9U4X 20-29 years, male 971.2
GTEX-17F97-2626-SM-7IGM5 50-59 years, male 965.2
GTEX-1IDJI-0126-SM-CMKHS 50-59 years, female 965.0
GTEX-18D9U-0126-SM-731BM 40-49 years, male 962.4
GTEX-1211K-1526-SM-5FQU4 60-69 years, female 959.7
GTEX-1NSGN-0726-SM-DTXEF 50-59 years, male 957.6
GTEX-1MCC2-1826-SM-DIPEX 30-39 years, female 954.4
GTEX-XUW1-0926-SM-4BONX 50-59 years, female 953.0
GTEX-15CHQ-0326-SM-69LQD 60-69 years, male 942.1
GTEX-1HUB1-1426-SM-CGQF5 60-69 years, male 942.0
GTEX-XBEW-1126-SM-4QARW 40-49 years, male 933.2
GTEX-183FY-1026-SM-7939A 20-29 years, male 930.9
GTEX-WHPG-2626-SM-3NMBR 50-59 years, male 909.9
GTEX-WYJK-0526-SM-3NM8Z 50-59 years, male 905.7
GTEX-133LE-2326-SM-5K7W3 20-29 years, female 905.1
GTEX-145LT-0526-SM-5LUB2 40-49 years, male 900.6
GTEX-13OVG-1626-SM-5J1NF 60-69 years, male 896.8
GTEX-WFG8-2126-SM-3GIKQ 20-29 years, male 893.0
GTEX-1F6I4-2326-SM-7RHGL 60-69 years, male 892.6
GTEX-13N11-2326-SM-5IJBF 50-59 years, female 889.3
GTEX-ZVE1-0726-SM-51MRN 50-59 years, female 885.4
GTEX-ZXG5-2126-SM-59HKD 60-69 years, male 882.4
GTEX-16MT8-2926-SM-7DUFO 60-69 years, female 880.9
GTEX-14PHX-2226-SM-6EU2P 50-59 years, male 877.1
GTEX-ZVTK-0226-SM-51MRG 20-29 years, male 876.9
GTEX-1S82U-1026-SM-E6CJK 30-39 years, female 875.4
GTEX-Y5LM-0926-SM-6LLJG 40-49 years, female 862.8
GTEX-13JUV-2026-SM-5K7UA 40-49 years, female 861.4
GTEX-1477Z-0326-SM-7IGLA 60-69 years, male 853.9
GTEX-1J8Q3-0526-SM-ARL8U 60-69 years, male 853.9
GTEX-UPJH-0226-SM-3GADV 50-59 years, male 851.1
GTEX-1N2DV-1526-SM-DTXEP 40-49 years, male 849.6
GTEX-1HR98-2226-SM-ADEI2 60-69 years, male 845.8
GTEX-1HKZK-0726-SM-ACKW2 40-49 years, male 841.7
GTEX-1GPI7-1826-SM-9KNU1 20-29 years, male 840.3
GTEX-1A3MW-0626-SM-731CB 60-69 years, female 839.2
GTEX-YEC3-1326-SM-DO92X 50-59 years, male 838.9
GTEX-14E1K-2026-SM-7DUEI 50-59 years, male 838.5
GTEX-14PK6-0226-SM-62LF5 70-79 years, female 837.2
GTEX-18D9B-0926-SM-7LG4U 60-69 years, male 828.8
GTEX-145LS-0626-SM-7EPG7 60-69 years, female 826.0
GTEX-1GZ2Q-0126-SM-9WG6M 40-49 years, male 821.8
GTEX-1M4P7-0726-SM-E6CJ3 60-69 years, male 819.1
GTEX-1F75W-2726-SM-7SB8H 60-69 years, male 818.6
GTEX-ZU9S-1826-SM-5NQ9E 30-39 years, male 812.8
GTEX-Y3I4-1726-SM-4TT89 50-59 years, male 806.3
GTEX-16AAH-0626-SM-793C9 50-59 years, male 801.9
GTEX-1HCU9-0426-SM-9WYSD 20-29 years, male 793.7
GTEX-12696-0126-SM-5EQ4L 60-69 years, male 789.4
GTEX-12126-0826-SM-5FQTZ 20-29 years, male 788.1
GTEX-14LZ3-0126-SM-69LPM 60-69 years, female 787.8
GTEX-15RJE-2826-SM-7KUM9 40-49 years, male 780.6
GTEX-1A8FM-0626-SM-7PC25 50-59 years, female 777.7
GTEX-1K2DU-1226-SM-CYPT4 20-29 years, male 777.1
GTEX-11ZTT-2126-SM-5CVLO 60-69 years, female 776.7
GTEX-ZDXO-3126-SM-5IJDF 60-69 years, male 773.6
GTEX-1RAZR-2126-SM-E9U6T 40-49 years, male 772.8
GTEX-11DXY-0126-SM-5H11Q 60-69 years, male 768.8
GTEX-1CAMQ-1326-SM-7P8RV 40-49 years, male 768.4
GTEX-1IDJU-1726-SM-CMKHU 60-69 years, female 766.9
GTEX-1S831-1826-SM-EWROF 20-29 years, male 765.9
GTEX-14PJ3-1126-SM-5ZZVX 50-59 years, male 762.5
GTEX-XXEK-1626-SM-4BRUZ 50-59 years, male 762.0
GTEX-1A32A-0626-SM-731AQ 50-59 years, female 761.4
GTEX-U8XE-0226-SM-4E3J3 30-39 years, male 758.6
GTEX-1E2YA-2126-SM-7MXUO 50-59 years, male 758.6
GTEX-111CU-1126-SM-5EGIM 50-59 years, male 756.5
GTEX-11P81-2226-SM-5PNYI 30-39 years, female 755.8
GTEX-1RB15-1326-SM-E76Q9 60-69 years, male 753.9
GTEX-VUSG-2326-SM-4KL1U 50-59 years, male 750.2
GTEX-ZDTT-0426-SM-4WKFL 60-69 years, male 748.7
GTEX-144GO-2026-SM-5O99P 60-69 years, male 741.8
GTEX-WY7C-2126-SM-3NB2R 50-59 years, male 741.3
GTEX-XYKS-1426-SM-4BRUO 60-69 years, female 738.8
GTEX-13FTW-0326-SM-5K7UW 40-49 years, male 734.3
GTEX-Z93S-1626-SM-5CVMB 50-59 years, male 732.9
GTEX-ZP4G-1426-SM-4WWCL 20-29 years, female 732.6
GTEX-16BQI-1326-SM-6M486 30-39 years, female 732.0
GTEX-13N2G-0226-SM-5K7VF 60-69 years, male 730.6
GTEX-11VI4-1126-SM-5EQMD 40-49 years, female 724.7
GTEX-1RMOY-1326-SM-E9TIH 50-59 years, male 720.4
GTEX-178AV-1726-SM-7KUL8 40-49 years, male 718.5
GTEX-X5EB-1926-SM-4E3IW 40-49 years, male 718.2
GTEX-1F88E-1626-SM-7SB8Z 60-69 years, female 718.1
GTEX-ZYFD-0626-SM-5E44E 50-59 years, male 717.9
GTEX-11DZ1-2426-SM-5GZZX 50-59 years, male 715.9
GTEX-1B996-0426-SM-7EWF8 60-69 years, male 715.5
GTEX-15RIE-1926-SM-7KUKJ 60-69 years, male 715.0
GTEX-13O61-1426-SM-5KM3D 60-69 years, male 712.7
GTEX-ZDTS-0826-SM-4WKHL 60-69 years, male 704.5
GTEX-15D1Q-2826-SM-6LLH7 40-49 years, male 703.2
GTEX-15RIG-0726-SM-7KUM7 40-49 years, male 701.6
GTEX-1GTWX-2026-SM-9YFLM 60-69 years, male 696.2
GTEX-WHSE-0126-SM-3NMBT 20-29 years, male 694.1
GTEX-1EH9U-2826-SM-7DUGT 60-69 years, male 692.4
GTEX-13OVH-0526-SM-5L3E6 70-79 years, male 691.5
GTEX-16Z82-2626-SM-7KULU 60-69 years, male 688.6
GTEX-12584-0726-SM-5FQTK 40-49 years, male 686.9
GTEX-XOT4-0626-SM-4B66L 60-69 years, female 686.8
GTEX-11ZUS-2626-SM-5FQUR 30-39 years, male 684.9
GTEX-ZF29-0926-SM-4WKFZ 60-69 years, female 684.8
GTEX-1IDJH-0126-SM-D3L92 70-79 years, male 682.8
GTEX-15CHR-1126-SM-7EWF4 50-59 years, male 675.2
GTEX-17JCI-2926-SM-7DUFF 60-69 years, female 673.6
GTEX-1I4MK-0126-SM-CY8G6 50-59 years, female 673.4
GTEX-ZPIC-0526-SM-DO91W 40-49 years, female 672.9
GTEX-WFON-1926-SM-3LK7L 40-49 years, male 670.6
GTEX-13OVL-0126-SM-5L3GJ 50-59 years, male 670.3
GTEX-139D8-1126-SM-5LU8W 30-39 years, female 669.2
GTEX-12WSH-1526-SM-5BC5W 50-59 years, male 668.4
GTEX-ZC5H-1526-SM-5HL9Y 40-49 years, female 666.6
GTEX-131XH-0126-SM-5LZUY 50-59 years, male 666.4
GTEX-1B97I-0626-SM-73KUZ 40-49 years, male 665.7
GTEX-ZTTD-2826-SM-4YCFA 50-59 years, male 663.0
GTEX-1ICG6-1226-SM-A9SLN 70-79 years, female 663.0
GTEX-16MTA-0926-SM-6M47Z 50-59 years, male 660.6
GTEX-1F6IF-0926-SM-7SB7M 60-69 years, male 660.1
GTEX-13D11-0926-SM-5J2NC 50-59 years, female 658.2
GTEX-13VXT-1926-SM-5K7UO 20-29 years, female 652.8
GTEX-1H1E6-0426-SM-9WYUS 30-39 years, male 651.9
GTEX-1GMR8-0626-SM-7RHI7 50-59 years, female 650.5
GTEX-1HCVE-2726-SM-CL54F 50-59 years, male 649.9
GTEX-1GF9U-2026-SM-7SB92 40-49 years, female 649.6
GTEX-13N1W-2426-SM-5IJD1 70-79 years, male 645.6
GTEX-15G1A-1626-SM-7KUKN 30-39 years, male 643.8
GTEX-1I1GS-2626-SM-B2LY3 60-69 years, male 643.1
GTEX-XBED-1926-SM-47JYP 60-69 years, male 641.8
GTEX-XPVG-2126-SM-4B667 50-59 years, male 641.6
GTEX-13X6I-1826-SM-5SIAO 60-69 years, male 639.6
GTEX-13W3W-0726-SM-5IJDQ 60-69 years, female 634.9
GTEX-ZWKS-0626-SM-5GIDV 30-39 years, male 631.7
GTEX-13OW5-2326-SM-5L3HO 60-69 years, male 630.1
GTEX-139TU-0726-SM-5L3EK 60-69 years, male 624.0
GTEX-1F48J-0726-SM-7RHGS 50-59 years, female 624.0
GTEX-1JMQI-1726-SM-ARL93 50-59 years, male 620.9
GTEX-1IKOE-1426-SM-CE6T7 30-39 years, female 618.1
GTEX-1JN6P-2926-SM-CL54D 60-69 years, male 618.0
GTEX-1S83E-1326-SM-E6CJM 40-49 years, male 616.8
GTEX-13NYS-0626-SM-5L3F1 60-69 years, male 615.1
GTEX-1OJC3-1226-SM-DTXER 20-29 years, male 613.7
GTEX-1CB4E-0926-SM-7EPHT 60-69 years, male 612.4
GTEX-WYVS-1626-SM-3NM9R 40-49 years, female 612.2
GTEX-147F4-0726-SM-5TDDD 50-59 years, male 612.0
GTEX-1PDJ9-1226-SM-EXUSX 20-29 years, male 611.8
GTEX-1QCLY-0226-SM-EWRNH 30-39 years, male 610.7
GTEX-1H1DG-2426-SM-9QEHJ 70-79 years, male 610.6
GTEX-1J8QM-2426-SM-A9SLS 60-69 years, female 610.1
GTEX-18A7A-0126-SM-731AH 50-59 years, female 607.7
GTEX-1H1DF-1126-SM-9WG7G 40-49 years, female 606.9
GTEX-Y114-2126-SM-4TT8B 50-59 years, female 606.3
GTEX-1R9PM-1926-SM-EVR3O 20-29 years, male 604.2
GTEX-ZAB4-2126-SM-5HL8U 40-49 years, male 602.4
GTEX-1HCUA-0826-SM-ADEHM 50-59 years, female 599.1
GTEX-ZE7O-2726-SM-51MT5 50-59 years, female 598.4
GTEX-1R7EU-1626-SM-DTXG3 60-69 years, male 595.1
GTEX-15G19-2426-SM-7KUMR 60-69 years, male 592.2
GTEX-1F5PL-0926-SM-7PC2W 40-49 years, female 591.4
GTEX-13OVJ-0826-SM-5J1OK 50-59 years, female 589.7
GTEX-1KD5A-0126-SM-E9U54 50-59 years, male 588.9
GTEX-1ICLY-0826-SM-CMKG1 50-59 years, male 587.9
GTEX-17HGU-2326-SM-7DUFE 50-59 years, male 587.8
GTEX-1PPH7-1126-SM-DTX9A 40-49 years, male 587.8
GTEX-ZAK1-0626-SM-5HL8E 50-59 years, female 586.5
GTEX-14ICL-1626-SM-5YYAO 30-39 years, male 586.4
GTEX-15DYW-2726-SM-6EU2I 60-69 years, female 585.2
GTEX-16GPK-0626-SM-7KFSF 60-69 years, male 583.9
GTEX-1314G-1326-SM-5BC6E 30-39 years, male 581.2
GTEX-14A5H-0826-SM-5QGPJ 60-69 years, male 580.4
GTEX-1A3MV-1826-SM-731CD 30-39 years, male 580.4
GTEX-15EO6-2426-SM-6PALZ 50-59 years, male 580.1
GTEX-ZLV1-1526-SM-DO91J 60-69 years, female 578.1
GTEX-1JMLX-0626-SM-ARL8T 50-59 years, male 576.8
GTEX-1HSMP-0926-SM-A9SKX 70-79 years, male 575.5
GTEX-11P82-1426-SM-DTXFY 20-29 years, male 575.0
GTEX-144GM-0526-SM-79OJO 20-29 years, male 574.2
GTEX-ZZPU-0826-SM-5GZX5 50-59 years, female 573.2
GTEX-1H1DE-1326-SM-9KNUG 20-29 years, male 569.7
GTEX-1F5PK-2226-SM-7SB6N 50-59 years, male 568.2
GTEX-1CB4H-1126-SM-7MKGL 60-69 years, female 568.1
GTEX-1KXAM-1626-SM-D3LAD 60-69 years, male 566.7
GTEX-11DXZ-2026-SM-5987S 50-59 years, male 564.4
GTEX-1A3MX-2626-SM-7PC24 60-69 years, male 564.1
GTEX-17MFQ-1526-SM-7KFRR 20-29 years, male 562.8
GTEX-13OW6-2726-SM-5J2OE 50-59 years, male 562.1
GTEX-1E1VI-0326-SM-793D1 50-59 years, male 555.1
GTEX-147JS-0226-SM-5S2U9 60-69 years, male 554.7
GTEX-12KS4-2126-SM-5FQUT 30-39 years, male 552.0
GTEX-131XG-0326-SM-5L3DX 50-59 years, female 551.7
GTEX-14PHY-1226-SM-5ZZWK 60-69 years, female 548.3
GTEX-1HFI6-0126-SM-CNPPI 40-49 years, male 543.7
GTEX-12ZZZ-0726-SM-5GCNZ 60-69 years, male 542.4
GTEX-1R9PN-0426-SM-DTXDT 40-49 years, female 542.1
GTEX-11DXX-2126-SM-5PNYR 60-69 years, female 540.9
GTEX-131YS-2826-SM-5EQ47 60-69 years, female 540.2
GTEX-1QEPI-2626-SM-DTXF4 60-69 years, female 539.0
GTEX-14PJ2-0626-SM-6LLII 50-59 years, male 538.4
GTEX-XQ3S-1426-SM-4BOPR 20-29 years, male 537.0
GTEX-1212Z-0126-SM-59HK4 60-69 years, male 532.5
GTEX-11LCK-2226-SM-5HL4Q 30-39 years, male 529.0
GTEX-1F6RS-2026-SM-7RHHC 60-69 years, female 528.9
GTEX-17F9Y-0126-SM-79OKX 70-79 years, female 528.5
GTEX-1IDFM-0326-SM-ARL7V 60-69 years, male 526.3
GTEX-11UD2-2526-SM-5CVNU 50-59 years, male 526.1
GTEX-1LVA9-2626-SM-EVYD4 50-59 years, male 524.1
GTEX-1ICLZ-0326-SM-ARL82 60-69 years, male 523.9
GTEX-14PJ6-2626-SM-6EU2T 60-69 years, female 521.9
GTEX-1HSGN-0826-SM-ACKW3 40-49 years, female 519.8
GTEX-13U4I-2226-SM-5LU5H 40-49 years, female 516.9
GTEX-11NUK-2726-SM-5A5MC 50-59 years, male 516.4
GTEX-1R9K4-2826-SM-DTX8F 60-69 years, male 514.4
GTEX-1EWIQ-0326-SM-7DHMQ 70-79 years, female 512.4
GTEX-WK11-2726-SM-3NMAQ 50-59 years, male 510.7
GTEX-111YS-1526-SM-5GZYW 60-69 years, male 508.7
GTEX-139TT-2126-SM-5LZWC 60-69 years, male 507.7
GTEX-1CAMS-2226-SM-7PBXQ 40-49 years, female 506.3
GTEX-1HCU6-2526-SM-ADEHL 60-69 years, female 504.6
GTEX-13PVQ-0626-SM-5LU47 50-59 years, male 503.4
GTEX-1LKK1-2626-SM-DKPQE 50-59 years, female 503.3
GTEX-13NYB-0126-SM-5J1MD 40-49 years, male 501.2
GTEX-148VJ-0626-SM-5LUAW 70-79 years, male 501.1
GTEX-1HB9E-0126-SM-CM2S5 50-59 years, male 500.1
GTEX-14PJN-1826-SM-6AJ98 30-39 years, male 495.8
GTEX-15RJ7-2126-SM-6PAMD 40-49 years, male 494.3
GTEX-13OW8-1026-SM-5J1NQ 60-69 years, male 494.2
GTEX-1LGRB-0926-SM-COH3K 50-59 years, female 491.7
GTEX-14PJ5-1526-SM-6LLIL 60-69 years, female 489.8
GTEX-1C64N-2626-SM-7PC2N 50-59 years, male 489.3
GTEX-1GZ4H-0526-SM-9KNU9 50-59 years, female 488.5
GTEX-WFG7-2026-SM-5SI7P 20-29 years, male 488.2
GTEX-1J8JJ-0626-SM-ARZMQ 60-69 years, female 487.3
GTEX-XMD2-2126-SM-4YCF8 60-69 years, female 486.1
GTEX-1JKYR-0626-SM-ARL8R 20-29 years, male 485.0
GTEX-1GN1W-2426-SM-9KNUU 50-59 years, female 484.5
GTEX-1IDJV-0126-SM-COH3Y 60-69 years, male 482.7
GTEX-1AX9J-1326-SM-731BJ 60-69 years, male 482.4
GTEX-1I1GP-1326-SM-A9G28 50-59 years, male 482.4
GTEX-1HFI7-2326-SM-CGQFS 50-59 years, female 481.3
GTEX-XBEC-0726-SM-4QARZ 50-59 years, male 481.1
GTEX-14LLW-2626-SM-62LDZ 70-79 years, female 479.0
GTEX-13112-0126-SM-5P9IU 50-59 years, male 478.6
GTEX-X4EO-2926-SM-4E3JH 60-69 years, female 477.3
GTEX-1C2JI-1026-SM-73KY1 50-59 years, male 476.3
GTEX-1B8KE-1126-SM-7EPHI 50-59 years, male 474.0
GTEX-183WM-0326-SM-72D5V 70-79 years, female 473.1
GTEX-12ZZY-0726-SM-5EQ66 60-69 years, male 468.5
GTEX-139TS-2126-SM-5K7XC 60-69 years, male 466.4
GTEX-13O3Q-0126-SM-5KM34 50-59 years, male 465.8
GTEX-1LSVX-2526-SM-DIPEU 60-69 years, male 464.1
GTEX-1AMFI-1326-SM-7939R 50-59 years, female 463.6
GTEX-ZVT2-0126-SM-5GIDQ 50-59 years, female 463.1
GTEX-13O3O-2326-SM-5IJD6 60-69 years, female 460.3
GTEX-12WSC-2826-SM-5BC5Y 50-59 years, male 459.2
GTEX-11DXW-0826-SM-5H118 40-49 years, male 458.4
GTEX-1QAET-0326-SM-EVR3U 50-59 years, male 457.0
GTEX-13NZ8-1226-SM-5KM4A 60-69 years, female 452.8
GTEX-18465-2826-SM-7LT9J 50-59 years, male 452.4
GTEX-ZPCL-1126-SM-4WWFE 60-69 years, female 449.2
GTEX-131XW-0626-SM-5PNVD 50-59 years, female 447.9
GTEX-1J1R8-2026-SM-CL53Y 40-49 years, male 447.9
GTEX-13JVG-0726-SM-5KM16 60-69 years, male 443.2
GTEX-1KWVE-1026-SM-D3L9O 30-39 years, male 440.7
GTEX-13SLX-2226-SM-62LEP 50-59 years, female 440.4
GTEX-13IVO-0726-SM-5LZYV 70-79 years, male 435.9
GTEX-YEC4-1826-SM-4W1YP 40-49 years, male 435.7
GTEX-1S5ZU-2526-SM-E6CIF 20-29 years, female 434.9
GTEX-144FL-0626-SM-5LU43 50-59 years, male 433.6
GTEX-1HSMQ-2626-SM-A9SML 50-59 years, male 430.1
GTEX-11OF3-0126-SM-5PNYF 60-69 years, male 420.9
GTEX-1GL5R-1326-SM-7RHHF 50-59 years, male 420.8
GTEX-1B932-2326-SM-79OL5 40-49 years, female 419.3
GTEX-1JMPZ-0726-SM-CY8HZ 30-39 years, male 418.1
GTEX-12WSD-0626-SM-5GCMW 60-69 years, female 414.8
GTEX-1JMQL-2226-SM-CNPP4 50-59 years, female 413.6
GTEX-16NPX-0726-SM-7KULC 50-59 years, male 413.4
GTEX-1PPH8-0126-SM-EWRN8 20-29 years, male 412.9
GTEX-11O72-0626-SM-5PNYE 40-49 years, male 408.9
GTEX-1A8G7-1326-SM-73KVM 60-69 years, male 408.7
GTEX-17HHE-1326-SM-7EWDZ 50-59 years, male 407.9
GTEX-11WQC-1826-SM-5GU59 60-69 years, male 407.7
GTEX-1RAZS-2526-SM-E6CHT 50-59 years, male 407.7
GTEX-14DAQ-0626-SM-793DS 60-69 years, female 405.0
GTEX-13X6K-0626-SM-5LU5D 60-69 years, female 404.4
GTEX-1LVAM-0726-SM-E6CIL 50-59 years, female 404.3
GTEX-11GSP-2326-SM-5HL63 60-69 years, female 401.5
GTEX-145MI-0626-SM-5SI8S 60-69 years, female 398.6
GTEX-1JK1U-0226-SM-ARZMX 60-69 years, male 398.0
GTEX-1N5O9-0926-SM-E9J3C 60-69 years, male 396.8
GTEX-12WSK-2126-SM-5CVNC 40-49 years, female 396.4
GTEX-YJ8O-2526-SM-5HL85 40-49 years, female 394.3
GTEX-14JG1-1526-SM-5YY9X 40-49 years, male 392.6
GTEX-12WSJ-1126-SM-5LZVJ 40-49 years, female 391.1
GTEX-16YQH-2226-SM-7IGM2 30-39 years, male 390.9
GTEX-ZYFC-0426-SM-5GICQ 50-59 years, male 390.5
GTEX-1HBPN-0126-SM-CGQEF 50-59 years, male 386.3
GTEX-1QPFJ-1926-SM-EVYBD 30-39 years, female 384.2
GTEX-14C39-1726-SM-5RQIL 40-49 years, male 383.7
GTEX-1I1GT-1026-SM-ARZLV 60-69 years, female 383.4
GTEX-1O9I2-0226-SM-EYYXD 50-59 years, male 383.4
GTEX-11ZU8-0126-SM-5EQ58 60-69 years, male 382.1
GTEX-1HGF4-0126-SM-CNPPX 60-69 years, male 381.3
GTEX-XV7Q-1826-SM-4BRUV 40-49 years, female 378.2
GTEX-14E6E-0526-SM-793DN 30-39 years, male 373.1
GTEX-1KAFJ-0126-SM-DIPEK 50-59 years, male 373.0
GTEX-1GN1U-0626-SM-9MQL9 50-59 years, female 369.4
GTEX-1R46S-2426-SM-E76QA 60-69 years, female 368.0
GTEX-1JN76-0626-SM-CKZOQ 20-29 years, female 366.9
GTEX-14ABY-2026-SM-62LDL 50-59 years, male 365.1
GTEX-13PDP-0726-SM-5L3HP 60-69 years, male 364.8
GTEX-17KNJ-2126-SM-718AM 50-59 years, male 364.8
GTEX-1H11D-1826-SM-9QEHM 40-49 years, male 355.6
GTEX-1LG7Y-2526-SM-EWRO7 50-59 years, male 353.7
GTEX-1AMEY-0826-SM-72D65 30-39 years, female 353.3
GTEX-1H2FU-0926-SM-9WPPT 60-69 years, female 352.8
GTEX-V1D1-2026-SM-3GAF4 50-59 years, male 351.4
GTEX-14PKU-0126-SM-6LLHV 40-49 years, female 349.5
GTEX-1EN7A-2426-SM-793DB 40-49 years, male 348.9
GTEX-13X6J-0626-SM-5LU5F 50-59 years, male 344.4
GTEX-13QJC-0126-SM-5ZZWJ 60-69 years, female 342.9
GTEX-17HHY-0426-SM-7DHLC 50-59 years, male 337.3
GTEX-1PPGY-1626-SM-EVYBL 60-69 years, male 336.8
GTEX-12WSM-1926-SM-5BC65 60-69 years, male 336.2
GTEX-17HG3-2626-SM-7DUF2 30-39 years, female 333.9
GTEX-W5X1-2526-SM-3GILC 40-49 years, female 331.3
GTEX-1GMR3-0126-SM-A9SLW 40-49 years, male 331.3
GTEX-1B8KZ-0326-SM-73KY4 50-59 years, male 331.0
GTEX-13PL6-1126-SM-5L3IE 40-49 years, female 330.6
GTEX-1399U-1126-SM-5L3DB 50-59 years, female 330.3
GTEX-139UW-0326-SM-5J1ML 60-69 years, male 328.0
GTEX-ZYY3-2926-SM-5GIEB 60-69 years, female 325.4
GTEX-1RAZQ-1326-SM-E9TK6 30-39 years, male 325.2
GTEX-1GZ4I-2626-SM-9KNU3 50-59 years, male 323.5
GTEX-1J8Q2-2626-SM-ACKWQ 60-69 years, male 320.8
GTEX-1JMPY-0226-SM-CKZOK 30-39 years, male 318.2
GTEX-1H4P4-2126-SM-9WYSL 50-59 years, male 316.0
GTEX-15DDE-2926-SM-6LLJ3 50-59 years, female 313.0
GTEX-WRHU-2826-SM-3MJG8 50-59 years, female 312.5
GTEX-1HCU7-0726-SM-A9SL1 50-59 years, male 311.1
GTEX-1JJE9-2626-SM-ARZMT 70-79 years, male 310.5
GTEX-1IL2V-1926-SM-B2LW8 70-79 years, male 309.9
GTEX-14C5O-0326-SM-5ZZUX 60-69 years, male 309.3
GTEX-14C38-0726-SM-5SI6M 50-59 years, male 309.0
GTEX-1CB4F-1026-SM-7DUH1 60-69 years, male 307.3
GTEX-1HBPM-0726-SM-9YFL7 60-69 years, female 305.5
GTEX-14PII-0726-SM-6EU2B 60-69 years, male 304.5
GTEX-1C6WA-2626-SM-7MKGM 60-69 years, male 304.2
GTEX-147GR-2426-SM-5ZZWQ 60-69 years, male 303.7
GTEX-1AX9I-2226-SM-73KUO 60-69 years, male 303.0
GTEX-13FLV-0126-SM-5K7WT 50-59 years, male 301.9
GTEX-17HII-1426-SM-7EPGG 50-59 years, male 301.3
GTEX-1CB4J-1326-SM-7P8RX 60-69 years, male 299.8
GTEX-1B933-2426-SM-7DHMD 50-59 years, female 299.2
GTEX-ZVZP-1226-SM-5GID7 50-59 years, male 297.8
GTEX-1122O-1026-SM-9WYSF 60-69 years, female 295.7
GTEX-1JMQJ-0826-SM-CNPP7 50-59 years, male 294.3
GTEX-1HCU8-2526-SM-CE6RX 60-69 years, female 294.0
GTEX-12ZZX-2426-SM-5GCOE 40-49 years, female 293.1
GTEX-1F75A-0726-SM-7RHHD 50-59 years, male 280.5
GTEX-1I1GU-0926-SM-ACKVS 40-49 years, male 278.8
GTEX-ZY6K-1426-SM-5GZX2 50-59 years, male 277.2
GTEX-1GMRU-2126-SM-7P8RA 50-59 years, male 276.3
GTEX-17EVP-2626-SM-7IGMA 40-49 years, male 275.1
GTEX-11WQK-1026-SM-5EQLX 50-59 years, male 272.5
GTEX-1EX96-1026-SM-7MKG2 50-59 years, male 272.3
GTEX-1HSKV-1226-SM-ADEI4 60-69 years, male 272.1
GTEX-ZTX8-1326-SM-4YCEL 20-29 years, male 271.2
GTEX-1H3VE-0726-SM-9YFL5 40-49 years, male 270.9
GTEX-18A67-1626-SM-7LT9T 50-59 years, male 270.8
GTEX-1C6VQ-1226-SM-73KYD 50-59 years, male 270.5
GTEX-15SKB-2826-SM-6PAMH 60-69 years, male 269.0
GTEX-ZT9X-1526-SM-5DUXD 40-49 years, male 269.0
GTEX-13NYC-0126-SM-5L3F4 60-69 years, male 268.9
GTEX-1HBPI-2126-SM-ARL9K 50-59 years, male 265.7
GTEX-XAJ8-1426-SM-47JYM 40-49 years, male 264.2
GTEX-1LSNL-2726-SM-E9TKJ 50-59 years, male 259.7
GTEX-14B4R-1326-SM-5Q5EZ 30-39 years, male 257.3
GTEX-1PBJJ-1026-SM-E76OS 30-39 years, male 255.5
GTEX-1GZHY-0626-SM-9KNVC 50-59 years, female 255.1
GTEX-1GF9X-1326-SM-7PC2Y 40-49 years, female 255.0
GTEX-ZE9C-2526-SM-5IJDR 60-69 years, male 253.0
GTEX-1IE54-1126-SM-A9G2Z 40-49 years, female 252.7
GTEX-1BAJH-2426-SM-7IGP8 70-79 years, male 247.6
GTEX-WHSB-1326-SM-3LK6W 50-59 years, male 247.6
GTEX-1I1CD-0626-SM-CE6SW 60-69 years, female 245.0
GTEX-1EU9M-1426-SM-793AI 60-69 years, male 244.9
GTEX-14XAO-1226-SM-6EU1C 60-69 years, female 243.6
GTEX-14BMV-2826-SM-5TDED 50-59 years, male 241.6
GTEX-13FTY-2126-SM-5IFFB 40-49 years, female 238.9
GTEX-1EKGG-0626-SM-7DUGJ 60-69 years, male 234.0
GTEX-15ER7-0626-SM-6PANF 20-29 years, female 230.0
GTEX-13VXU-0626-SM-5L3F9 50-59 years, male 227.6
GTEX-14BIN-1126-SM-5RQJZ 50-59 years, female 225.9
GTEX-ZYT6-2326-SM-5GZY3 30-39 years, male 225.4
GTEX-1N2EE-0626-SM-E76PW 60-69 years, male 222.2
GTEX-1A8G6-2726-SM-731AR 60-69 years, male 220.1
GTEX-11TUW-0626-SM-5LU9M 60-69 years, male 219.1
GTEX-1KANB-2826-SM-CY8I6 50-59 years, male 218.8
GTEX-13G51-1826-SM-5KLZH 60-69 years, male 215.9
GTEX-13FHO-0426-SM-5L3F5 60-69 years, male 212.6
GTEX-1H3O1-1326-SM-9MQLD 60-69 years, male 212.5
GTEX-13OW7-0426-SM-5K7VK 50-59 years, male 206.5
GTEX-1F88F-0126-SM-9WYSZ 60-69 years, female 206.5
GTEX-14PJ4-0226-SM-5YY92 60-69 years, male 205.7
GTEX-ZYVF-0926-SM-5E44J 50-59 years, female 203.7
GTEX-1PIIG-2326-SM-DTXFR 30-39 years, male 200.3
GTEX-14JFF-0626-SM-5ZZVT 60-69 years, male 199.7
GTEX-1GN2E-0226-SM-9WG6K 60-69 years, male 197.7
GTEX-1MCYP-0526-SM-E9U6Q 20-29 years, female 197.7
GTEX-1QMI2-2526-SM-E8VNZ 60-69 years, male 196.0
GTEX-1B8SF-0126-SM-7DUG3 60-69 years, male 195.8
GTEX-1I1HK-2326-SM-CKZOH 60-69 years, male 192.3
GTEX-1I1GV-0626-SM-ARL7M 60-69 years, male 185.9
GTEX-145MH-2826-SM-5RQJF 50-59 years, male 184.1
GTEX-YECK-0326-SM-4W1YS 60-69 years, male 176.1
GTEX-11GS4-0226-SM-5HL77 60-69 years, male 167.7
GTEX-1QP2A-1726-SM-E76QC 50-59 years, male 166.9
GTEX-1POEN-2326-SM-E9J2L 30-39 years, female 165.4
GTEX-1269C-0126-SM-5EQ5L 60-69 years, female 165.2
GTEX-1EMGI-2326-SM-7PBYA 60-69 years, male 164.3
GTEX-1GN73-0726-SM-7P8TJ 60-69 years, male 163.6
GTEX-1IKJJ-2226-SM-CJI4C 60-69 years, male 158.9
GTEX-145LU-1926-SM-79OJN 50-59 years, male 155.6
GTEX-Y111-0626-SM-4SOIT 50-59 years, male 153.4
GTEX-144GL-0626-SM-5LU4D 50-59 years, male 153.1
GTEX-ZVT4-2426-SM-5GIEI 50-59 years, female 152.6
GTEX-1B8L1-2226-SM-7P8PT 60-69 years, male 152.6
GTEX-Y9LG-1126-SM-4VBQ7 30-39 years, male 152.0
GTEX-1LB8K-0726-SM-D5OV2 50-59 years, male 150.6
GTEX-145MF-0926-SM-5Q5EA 50-59 years, male 148.2
GTEX-1IOXB-2726-SM-CM2RI 50-59 years, male 147.6
GTEX-1OJC4-2726-SM-E76PJ 50-59 years, female 147.4
GTEX-13SLW-0626-SM-5Q5ER 70-79 years, male 144.2
GTEX-1GF9V-0826-SM-9KNUV 60-69 years, male 143.9
GTEX-1AYD5-2626-SM-7PBXY 50-59 years, male 139.1
GTEX-1399Q-2326-SM-5KM2X 40-49 years, male 138.2
GTEX-1GPI6-1926-SM-9KNV7 60-69 years, male 137.4
GTEX-111VG-1626-SM-5EGIO 60-69 years, male 136.9
GTEX-16MT9-0126-SM-7EPI8 60-69 years, female 131.7
GTEX-14A6H-2026-SM-5Q5DD 30-39 years, male 131.3
GTEX-1J1OQ-0126-SM-D4P2N 40-49 years, female 128.1
GTEX-1NV5F-0626-SM-DTXEG 60-69 years, female 118.3
GTEX-1HR9M-2226-SM-CNPPY 60-69 years, male 102.0
GTEX-1399S-0126-SM-5IJCF 30-39 years, female 101.2
GTEX-1313W-0626-SM-5EQ4H 50-59 years, female 100.4
GTEX-1J8EW-2726-SM-CY8HR 60-69 years, female 99.9
GTEX-1C6VR-0126-SM-7RHGB 60-69 years, male 94.9
GTEX-1GN1V-2826-SM-9JGIA 60-69 years, male 88.2
GTEX-1JJEA-1826-SM-ARU8P 60-69 years, male 86.9
GTEX-11PRG-0726-SM-5EGL1 50-59 years, male 84.2
GTEX-1HT8W-0626-SM-A9G2H 30-39 years, male 73.7
Show allShow less
Skin - Sun Exposed (Lower leg)
Average nTPM: 938.7
Samples: 701

Max nTPM: 5754.3
Min nTPM: 106.2
Std nTPM: 595.5
Median nTPM: 828.2
GTEX-O5YW-0126-SM-3LK6D 50-59 years, male 5754.3
GTEX-15SB6-1726-SM-6PAME 50-59 years, female 3659.2
GTEX-15UF6-0826-SM-6PALJ 70-79 years, female 3457.3
GTEX-1N2DV-0226-SM-E6CJ6 40-49 years, male 3369.8
GTEX-146FR-1326-SM-E9J48 60-69 years, female 3152.0
GTEX-13OVI-1426-SM-5L3EY 60-69 years, female 3009.0
GTEX-1C64O-0126-SM-7SB8P 60-69 years, male 2984.5
GTEX-RM2N-1426-SM-2TF4H 50-59 years, male 2951.5
GTEX-RTLS-0126-SM-447CA 60-69 years, female 2877.3
GTEX-R45C-0126-SM-EAZ2R 60-69 years, female 2795.1
GTEX-OOBJ-0126-SM-E6CJW 60-69 years, male 2793.6
GTEX-OXRK-0226-SM-3NB2G 50-59 years, female 2667.5
GTEX-146FQ-0126-SM-5NQA9 30-39 years, male 2491.9
GTEX-1AX8Z-0126-SM-7DHM6 60-69 years, male 2455.8
GTEX-X62O-0126-SM-4E3JN 50-59 years, male 2412.1
GTEX-ZE7O-0126-SM-57WC1 50-59 years, female 2407.3
GTEX-14PJ3-1826-SM-62LEX 50-59 years, male 2396.6
GTEX-14BIL-0126-SM-5SI92 50-59 years, male 2368.0
GTEX-1MGNQ-0126-SM-EVYCJ 40-49 years, male 2337.9
GTEX-1LC47-0326-SM-E9TJP 60-69 years, male 2245.7
GTEX-VJWN-0126-SM-3GIK7 50-59 years, female 2216.3
GTEX-1NHNU-1026-SM-E9J2A 50-59 years, male 2202.5
GTEX-14PHW-0126-SM-6LLJI 60-69 years, female 2162.6
GTEX-17MF6-0126-SM-7LG4F 40-49 years, male 2151.3
GTEX-1QP67-1626-SM-EAZ3X 40-49 years, female 2144.5
GTEX-U3ZM-1526-SM-3DB9D 40-49 years, male 2133.9
GTEX-XQ8I-0426-SM-4BOPO 50-59 years, male 2126.1
GTEX-XUW1-0426-SM-4BOOT 50-59 years, female 2109.0
GTEX-X4EP-0126-SM-3P5YV 60-69 years, female 2086.9
GTEX-13NZ8-0826-SM-5MR3I 60-69 years, female 2085.0
GTEX-ZQUD-1426-SM-57WER 30-39 years, male 2082.4
GTEX-17EVQ-0226-SM-7LG4P 70-79 years, male 2075.6
GTEX-13W46-0226-SM-5SIAG 50-59 years, male 2075.5
GTEX-U4B1-1826-SM-4DXSU 40-49 years, male 2057.3
GTEX-1H2FU-0126-SM-9WYSI 60-69 years, female 2056.0
GTEX-11P7K-2126-SM-5GU7G 30-39 years, male 2054.5
GTEX-Y3I4-2126-SM-4TT7C 50-59 years, male 2052.2
GTEX-12C56-1726-SM-5EQ61 20-29 years, male 2049.2
GTEX-14DAR-2026-SM-5S2O3 50-59 years, male 2029.4
GTEX-1JMQK-0226-SM-CL543 60-69 years, male 2012.7
GTEX-S33H-1026-SM-EZ6L6 30-39 years, male 1995.1
GTEX-OXRL-0126-SM-2YUMP 50-59 years, male 1974.9
GTEX-1HSEH-0126-SM-ACKXN 60-69 years, male 1934.7
GTEX-11TTK-0126-SM-5987B 60-69 years, female 1922.4
GTEX-WI4N-1026-SM-3LK7N 40-49 years, female 1918.7
GTEX-RUSQ-1526-SM-2TF62 50-59 years, male 1915.0
GTEX-1JMOU-1526-SM-CL54I 60-69 years, female 1900.1
GTEX-145MO-0326-SM-5Q5B3 60-69 years, male 1892.7
GTEX-13O1R-0126-SM-5L3EH 60-69 years, male 1890.8
GTEX-ZF28-0126-SM-4WKGK 60-69 years, male 1879.2
GTEX-P4PQ-0126-SM-2S1NM 60-69 years, male 1848.3
GTEX-NPJ8-0126-SM-2YUNR 40-49 years, male 1846.2
GTEX-16XZZ-0126-SM-793DV 60-69 years, male 1841.4
GTEX-UPJH-0326-SM-3GADU 50-59 years, male 1821.9
GTEX-13O21-1426-SM-5K7XI 50-59 years, male 1756.2
GTEX-PLZ4-0126-SM-5SI8O 50-59 years, female 1739.1
GTEX-1A3MW-0126-SM-73KXX 60-69 years, female 1720.8
GTEX-TML8-1926-SM-32QOS 40-49 years, female 1709.0
GTEX-18A66-0226-SM-718BD 60-69 years, male 1702.2
GTEX-14PK6-1926-SM-6ETZU 70-79 years, female 1698.8
GTEX-14LLW-0126-SM-6LLIO 70-79 years, female 1697.6
GTEX-PWCY-1826-SM-DHXIZ 20-29 years, female 1689.9
GTEX-14753-0426-SM-5NQAM 60-69 years, male 1686.8
GTEX-TMMY-0226-SM-33HBA 40-49 years, female 1675.1
GTEX-ZF29-2326-SM-DO92K 60-69 years, female 1672.6
GTEX-1PPH7-2326-SM-EVYB8 40-49 years, male 1668.0
GTEX-1RAZA-0126-SM-E6CI3 20-29 years, male 1664.1
GTEX-1ICG6-2526-SM-CGQFZ 70-79 years, female 1663.4
GTEX-17HHE-2026-SM-79OKF 50-59 years, male 1655.8
GTEX-139T8-0126-SM-5K7XZ 60-69 years, male 1654.1
GTEX-1LNCM-1126-SM-E9U5E 50-59 years, female 1651.9
GTEX-ZDTT-2726-SM-4WKF8 60-69 years, male 1651.8
GTEX-1JKYN-1326-SM-CGQG9 30-39 years, male 1649.6
GTEX-11ZTT-2426-SM-5EQLS 60-69 years, female 1642.3
GTEX-QDVN-2026-SM-3GAEP 50-59 years, male 1640.9
GTEX-WQUQ-0426-SM-3MJFU 60-69 years, male 1640.1
GTEX-1399U-2326-SM-5K7WY 50-59 years, female 1638.6
GTEX-Q2AI-1326-SM-2S1PL 40-49 years, male 1636.9
GTEX-1GN1V-0126-SM-9WPOS 60-69 years, male 1608.6
GTEX-ZF3C-0126-SM-DO92D 50-59 years, female 1606.6
GTEX-TMZS-0126-SM-3DB9Q 60-69 years, male 1604.6
GTEX-13FTX-1826-SM-5J1NX 20-29 years, female 1603.7
GTEX-1HSMP-0126-SM-E6CJS 70-79 years, male 1594.0
GTEX-1PIGE-0126-SM-EVYBJ 20-29 years, male 1592.6
GTEX-ZAB5-1826-SM-5HL7C 50-59 years, male 1576.0
GTEX-Q2AH-1626-SM-3GAF8 40-49 years, male 1575.1
GTEX-145LV-2126-SM-5LU8N 50-59 years, male 1565.9
GTEX-S95S-1226-SM-4GICG 60-69 years, male 1558.0
GTEX-1H1E6-1726-SM-ACKVK 30-39 years, male 1553.6
GTEX-1AX9K-2326-SM-73KWU 50-59 years, male 1550.4
GTEX-1ICLY-0126-SM-D4P36 50-59 years, male 1546.5
GTEX-X5EB-2226-SM-46MW4 40-49 years, male 1543.2
GTEX-144GN-2326-SM-5LU4F 50-59 years, male 1533.6
GTEX-15SDE-2226-SM-7IGLO 50-59 years, female 1523.8
GTEX-145MN-2226-SM-5SIAU 30-39 years, male 1522.2
GTEX-W5WG-1826-SM-4KL2Y 50-59 years, female 1518.6
GTEX-18QFQ-0126-SM-731BE 30-39 years, male 1518.0
GTEX-169BO-1326-SM-9MQK2 50-59 years, male 1516.8
GTEX-ZZPT-0226-SM-5E43X 50-59 years, male 1510.0
GTEX-QV44-1926-SM-2S1RF 50-59 years, male 1500.1
GTEX-1QW4Y-1526-SM-EAZ3Z 30-39 years, male 1494.7
GTEX-13RTK-1426-SM-5QGQJ 20-29 years, male 1467.4
GTEX-1JK1U-2026-SM-CM2RZ 60-69 years, male 1467.3
GTEX-1GN1W-0526-SM-9MQJQ 50-59 years, female 1464.6
GTEX-13O3O-0126-SM-E9J49 60-69 years, female 1461.3
GTEX-WH7G-2326-SM-3NMBC 40-49 years, male 1460.8
GTEX-1I1GU-2226-SM-CGQFA 40-49 years, male 1453.5
GTEX-12WSG-2826-SM-E9J4H 50-59 years, female 1451.6
GTEX-13NYS-0126-SM-5MR3W 60-69 years, male 1451.3
GTEX-ZVT2-2526-SM-51MT1 50-59 years, female 1448.0
GTEX-PLZ5-2026-SM-2S1O4 50-59 years, male 1446.7
GTEX-ZEX8-2426-SM-4WKG4 50-59 years, male 1436.1
GTEX-1MUQO-0126-SM-EAZ58 60-69 years, male 1435.3
GTEX-1N2EF-0226-SM-EYYXB 60-69 years, male 1427.1
GTEX-X4XX-0126-SM-3NMC2 60-69 years, male 1418.4
GTEX-11P82-1626-SM-59879 20-29 years, male 1411.4
GTEX-SUCS-1926-SM-32PM3 70-79 years, male 1410.6
GTEX-1S82Y-2026-SM-EVYCM 40-49 years, male 1410.1
GTEX-1QP66-1726-SM-E8VO1 50-59 years, male 1407.8
GTEX-1C2JI-1826-SM-73KXC 50-59 years, male 1407.2
GTEX-14BMU-2226-SM-5TDE9 20-29 years, female 1402.7
GTEX-ZGAY-0526-SM-4WWBB 40-49 years, female 1394.7
GTEX-139T4-0226-SM-5HL5S 50-59 years, female 1394.3
GTEX-17F98-0626-SM-79OMX 40-49 years, female 1391.2
GTEX-WOFL-0126-SM-3MJG2 60-69 years, male 1386.7
GTEX-117YX-2326-SM-5H12W 50-59 years, male 1384.3
GTEX-1RB15-2126-SM-E9TIM 60-69 years, male 1376.4
GTEX-U3ZN-2326-SM-3DB7W 30-39 years, female 1375.5
GTEX-147F4-0226-SM-5QGPW 50-59 years, male 1374.2
GTEX-13D11-2426-SM-5KM1V 50-59 years, female 1370.0
GTEX-ZAB4-0226-SM-5N9F5 40-49 years, male 1369.3
GTEX-QCQG-1726-SM-3GIJ9 50-59 years, female 1369.0
GTEX-OIZF-0126-SM-7SB8I 60-69 years, male 1361.8
GTEX-YB5K-2126-SM-4WWDJ 40-49 years, female 1357.0
GTEX-ZXG5-0126-SM-5GIEU 60-69 years, male 1355.2
GTEX-1192X-0226-SM-5H12D 50-59 years, male 1354.6
GTEX-11EM3-2426-SM-59861 20-29 years, female 1352.6
GTEX-RU72-0926-SM-2TF6B 50-59 years, female 1348.8
GTEX-1PWST-0226-SM-E76QJ 70-79 years, male 1343.5
GTEX-145LT-1726-SM-5QGP3 40-49 years, male 1339.7
GTEX-1497J-2426-SM-7IGNX 60-69 years, male 1336.5
GTEX-111VG-2426-SM-5GZXD 60-69 years, male 1335.4
GTEX-13VXT-0126-SM-5LU4I 20-29 years, female 1333.9
GTEX-Z9EW-1626-SM-5CVMN 40-49 years, male 1331.6
GTEX-15SHU-0126-SM-7KUEH 40-49 years, female 1329.2
GTEX-17HII-0226-SM-7LG4E 50-59 years, male 1327.3
GTEX-11VI4-1726-SM-5CVLH 40-49 years, female 1322.0
GTEX-14ICK-0226-SM-6EU25 40-49 years, male 1319.2
GTEX-ZQG8-1626-SM-DHXIT 60-69 years, female 1318.4
GTEX-146FH-0126-SM-5QGPP 50-59 years, female 1315.4
GTEX-1QP29-0626-SM-EWRMX 50-59 years, male 1313.7
GTEX-OXRN-0126-SM-48TDM 50-59 years, male 1306.7
GTEX-1GF9X-2026-SM-7PC3A 40-49 years, female 1302.8
GTEX-1R9PO-2126-SM-E9J4O 60-69 years, female 1295.6
GTEX-1PFEY-1526-SM-E76PP 30-39 years, male 1291.8
GTEX-1HKZK-0326-SM-9WYUH 40-49 years, male 1290.0
GTEX-18A67-0126-SM-7LG5P 50-59 years, male 1278.4
GTEX-WRHK-1426-SM-3MJF9 20-29 years, female 1274.7
GTEX-11P81-2326-SM-59875 30-39 years, female 1271.4
GTEX-13NZB-2526-SM-5J1OM 30-39 years, male 1268.7
GTEX-ZVE2-0226-SM-59HJB 50-59 years, male 1266.2
GTEX-1C6VQ-0126-SM-7P8RI 50-59 years, male 1261.6
GTEX-14PN4-0126-SM-6EU2V 50-59 years, male 1258.8
GTEX-11EMC-2926-SM-5EQ4F 60-69 years, female 1256.4
GTEX-14PN3-2426-SM-6LLHS 60-69 years, female 1254.0
GTEX-1IY9M-0126-SM-D3L8S 60-69 years, male 1252.8
GTEX-1H3NZ-0126-SM-ACKX7 60-69 years, male 1250.8
GTEX-1K2DA-1826-SM-CGQGT 50-59 years, male 1245.8
GTEX-1HBPM-0226-SM-ARL9F 60-69 years, female 1245.7
GTEX-OHPM-0126-SM-2YUN9 50-59 years, male 1243.6
GTEX-PW2O-1526-SM-7RHHB 20-29 years, male 1242.5
GTEX-13X6H-2126-SM-7EWD5 50-59 years, female 1241.9
GTEX-1GF9W-0326-SM-9KNUN 60-69 years, male 1239.8
GTEX-T6MO-1626-SM-32QOM 40-49 years, female 1236.1
GTEX-OXRP-0126-SM-3NB32 60-69 years, female 1234.8
GTEX-ZTPG-0326-SM-5O9AX 20-29 years, female 1232.4
GTEX-1IDJF-0126-SM-CM2RS 20-29 years, male 1227.4
GTEX-WYJK-0126-SM-3NMAB 50-59 years, male 1226.0
GTEX-11DXX-2426-SM-5GZZW 60-69 years, female 1224.4
GTEX-X8HC-0126-SM-4E3JW 50-59 years, female 1224.3
GTEX-YEC4-2126-SM-5IFJH 40-49 years, male 1223.6
GTEX-Y3IK-2426-SM-4WWDU 50-59 years, female 1216.0
GTEX-X638-0126-SM-47JZ8 70-79 years, female 1206.9
GTEX-11NSD-2226-SM-5986V 20-29 years, male 1204.9
GTEX-1I6K6-0126-SM-A9SLE 30-39 years, male 1200.3
GTEX-NFK9-0226-SM-2HMKQ 40-49 years, male 1198.9
GTEX-1RAZQ-0726-SM-EAZ43 30-39 years, male 1194.7
GTEX-1RQEC-0426-SM-E6CHU 60-69 years, male 1189.3
GTEX-13RTJ-2426-SM-5S2Q2 60-69 years, male 1188.6
GTEX-S7PM-0126-SM-4AD6S 60-69 years, male 1188.2
GTEX-13OW7-0126-SM-5MR3B 50-59 years, male 1188.1
GTEX-WXYG-2326-SM-4E3I6 50-59 years, female 1187.5
GTEX-1K9T9-0126-SM-EVYCF 50-59 years, female 1185.0
GTEX-13YAN-0326-SM-5O9DF 60-69 years, male 1184.9
GTEX-148VJ-0126-SM-5TDDN 70-79 years, male 1184.9
GTEX-1211K-2026-SM-5EQ4Z 60-69 years, female 1182.6
GTEX-1R46S-0626-SM-E9J41 60-69 years, female 1177.6
GTEX-1JN1M-0326-SM-CYPT3 60-69 years, female 1175.1
GTEX-13FTW-2626-SM-5K7WL 40-49 years, male 1172.0
GTEX-ZYFG-2326-SM-5E44B 60-69 years, female 1171.7
GTEX-R55G-2526-SM-2TC6D 40-49 years, female 1162.6
GTEX-131XF-5016-SM-7MGWE 60-69 years, male 1159.8
GTEX-1HSMO-0126-SM-CL547 60-69 years, male 1156.7
GTEX-ZDYS-2026-SM-5HL5L 50-59 years, male 1154.8
GTEX-16XZY-2126-SM-79OK1 70-79 years, male 1153.5
GTEX-1NV5F-0226-SM-E8VNY 60-69 years, female 1150.7
GTEX-R55E-0126-SM-2TC5Y 20-29 years, male 1150.5
GTEX-11ZUS-0626-SM-59885 30-39 years, male 1149.2
GTEX-VUSG-2526-SM-4KL1V 50-59 years, male 1143.0
GTEX-13N11-2526-SM-5K7UE 50-59 years, female 1142.5
GTEX-11ZVC-2526-SM-5FQTE 50-59 years, female 1139.5
GTEX-1S5ZA-0126-SM-EVYCV 20-29 years, male 1139.0
GTEX-OXRO-0126-SM-2YUN4 60-69 years, female 1138.2
GTEX-1QP9N-1426-SM-DTXFL 30-39 years, male 1136.7
GTEX-ZUA1-0126-SM-5GU76 40-49 years, male 1135.0
GTEX-11DZ1-0126-SM-5985Q 50-59 years, male 1123.9
GTEX-T8EM-1026-SM-3DB7M 40-49 years, male 1121.5
GTEX-1GN1U-0126-SM-7PBZK 50-59 years, female 1109.1
GTEX-1J1R8-1726-SM-ARL8M 40-49 years, male 1106.8
GTEX-1MCQQ-0826-SM-DLHC2 60-69 years, male 1104.1
GTEX-1C6WA-0126-SM-7PC2B 60-69 years, male 1101.7
GTEX-1A3MX-0126-SM-731BR 60-69 years, male 1100.5
GTEX-XV7Q-2526-SM-4BRV9 40-49 years, female 1099.1
GTEX-17EUY-0426-SM-793BD 20-29 years, male 1097.3
GTEX-1CAMS-0426-SM-7P8T2 40-49 years, female 1093.5
GTEX-12WSD-0126-SM-59HKN 60-69 years, female 1091.6
GTEX-14JIY-0126-SM-6LLH6 60-69 years, male 1089.9
GTEX-117YW-2626-SM-5GZZH 50-59 years, male 1087.5
GTEX-Y114-2426-SM-4TT8A 50-59 years, female 1085.4
GTEX-1F5PK-2426-SM-7RHHY 50-59 years, male 1084.4
GTEX-P4PP-0126-SM-3LK69 30-39 years, female 1082.7
GTEX-1IDFM-0126-SM-COH2V 60-69 years, male 1081.4
GTEX-OOBK-0126-SM-2YUND 40-49 years, male 1079.0
GTEX-15EOM-0126-SM-7KUGG 20-29 years, female 1076.7
GTEX-1C4CL-0526-SM-73KVK 30-39 years, male 1075.6
GTEX-1CAV2-2226-SM-7P8P2 40-49 years, female 1074.6
GTEX-1PPH8-0226-SM-E8VND 20-29 years, male 1072.5
GTEX-UJHI-1526-SM-3DB99 50-59 years, female 1071.1
GTEX-1F52S-0126-SM-9MQJU 60-69 years, female 1070.5
GTEX-1GPI7-0126-SM-9MQL8 20-29 years, male 1067.1
GTEX-XMD2-0126-SM-4YCDU 60-69 years, female 1060.1
GTEX-1B8KZ-2026-SM-7DHMB 50-59 years, male 1060.0
GTEX-1OJC4-0126-SM-E9J2E 50-59 years, female 1059.5
GTEX-1LBAC-0126-SM-DIPEZ 20-29 years, male 1058.8
GTEX-13OVL-0226-SM-5L3E9 50-59 years, male 1055.3
GTEX-1S3DN-2226-SM-EVYCD 50-59 years, male 1053.1
GTEX-TSE9-0126-SM-3DB83 60-69 years, female 1052.5
GTEX-11EI6-0126-SM-5985R 60-69 years, male 1051.6
GTEX-1AYCT-2426-SM-7IGQ3 50-59 years, male 1049.9
GTEX-Z93T-0126-SM-5HL5N 50-59 years, male 1048.0
GTEX-183FY-0126-SM-7LT9P 20-29 years, male 1046.5
GTEX-11GSO-2426-SM-5A5LY 60-69 years, male 1046.4
GTEX-14JG6-2226-SM-6EU2G 30-39 years, female 1045.9
GTEX-13OVG-1926-SM-5L3DK 60-69 years, male 1041.5
GTEX-Y5LM-1926-SM-5RQJH 40-49 years, female 1041.5
GTEX-1JMPY-1326-SM-ARL8Y 30-39 years, male 1038.7
GTEX-PLZ6-1426-SM-DKPOT 30-39 years, male 1038.0
GTEX-13PVR-2326-SM-5QGR1 60-69 years, female 1037.0
GTEX-11UD1-0126-SM-5PNYG 40-49 years, female 1036.3
GTEX-U8T8-0126-SM-3DB94 60-69 years, male 1029.3
GTEX-SNMC-1226-SM-2XCFP 20-29 years, male 1027.8
GTEX-1H1ZS-0426-SM-9WG6G 70-79 years, male 1022.8
GTEX-113IC-0126-SM-5HL6T 60-69 years, male 1020.3
GTEX-1B8KE-2126-SM-73KYX 50-59 years, male 1016.8
GTEX-X4EO-0326-SM-3P5YO 60-69 years, female 1013.4
GTEX-1H3VY-0126-SM-ACKXD 50-59 years, male 1013.4
GTEX-1PBJI-0526-SM-E8VNK 20-29 years, female 1013.4
GTEX-1I1GS-0126-SM-B2LVW 60-69 years, male 1011.5
GTEX-1HCU6-0126-SM-CL54K 60-69 years, female 995.9
GTEX-1KANB-0526-SM-E6CJH 50-59 years, male 994.7
GTEX-1H23P-0126-SM-ADEJ3 60-69 years, male 991.6
GTEX-15ETS-0126-SM-7KUMW 40-49 years, female 990.8
GTEX-1S82Z-0826-SM-E6CHY 30-39 years, female 990.5
GTEX-13PDP-0126-SM-5L3HD 60-69 years, male 989.8
GTEX-14PHX-2326-SM-62LEM 50-59 years, male 989.0
GTEX-14E6C-0126-SM-5RQIP 40-49 years, male 984.8
GTEX-Q2AG-0126-SM-33HBV 40-49 years, female 979.7
GTEX-1HSGN-0226-SM-CGQFV 40-49 years, female 979.6
GTEX-XAJ8-0826-SM-47JY6 40-49 years, male 977.6
GTEX-12WSJ-1826-SM-5GCNY 40-49 years, female 975.8
GTEX-17HGU-0226-SM-7DHKV 50-59 years, male 972.4
GTEX-1IE54-0126-SM-CMKHW 40-49 years, female 971.2
GTEX-1A3MV-1926-SM-718BT 30-39 years, male 965.3
GTEX-16NGA-1726-SM-731B4 40-49 years, female 963.8
GTEX-18D9U-0226-SM-718BP 40-49 years, male 963.1
GTEX-1HGF4-2426-SM-ACKXM 60-69 years, male 963.1
GTEX-U3ZH-2026-SM-3DB78 30-39 years, male 962.2
GTEX-1HCVE-0126-SM-CGQEU 50-59 years, male 960.3
GTEX-1F6I4-0126-SM-9MQL2 60-69 years, male 958.3
GTEX-13QJ3-0326-SM-5S2RA 50-59 years, male 958.1
GTEX-147GR-0526-SM-5S2MY 60-69 years, male 956.3
GTEX-Y5V6-2426-SM-4VDSB 60-69 years, male 955.1
GTEX-15G19-0126-SM-6PANQ 60-69 years, male 953.7
GTEX-1F6RS-0126-SM-9MQKZ 60-69 years, female 953.2
GTEX-QDT8-0126-SM-48TZ1 30-39 years, female 952.3
GTEX-ZVZP-2426-SM-59HKJ 50-59 years, male 950.0
GTEX-1JN6P-0126-SM-D3L98 60-69 years, male 947.4
GTEX-12KS4-0326-SM-5EQ41 30-39 years, male 946.8
GTEX-15DCD-0126-SM-7KUEK 70-79 years, female 946.2
GTEX-QLQW-1126-SM-2S1Q8 30-39 years, male 945.1
GTEX-OIZG-0726-SM-33HBL 50-59 years, male 939.1
GTEX-XYKS-2126-SM-4E3IB 60-69 years, female 938.2
GTEX-SN8G-0126-SM-32PLI 50-59 years, female 934.7
GTEX-SE5C-1626-SM-2XCE3 40-49 years, female 932.9
GTEX-11GS4-2726-SM-5A5LE 60-69 years, male 928.0
GTEX-1AMEY-1326-SM-73KYK 30-39 years, female 924.8
GTEX-139TS-2826-SM-5J1OO 60-69 years, male 924.7
GTEX-1HUB1-0426-SM-E9U4U 60-69 years, male 923.7
GTEX-1HBPH-0426-SM-B2LW5 40-49 years, female 923.4
GTEX-1I19N-0326-SM-ACKVX 70-79 years, male 919.2
GTEX-1GZ4H-1726-SM-7PBZJ 50-59 years, female 918.2
GTEX-1ICLZ-0126-SM-CKZPO 60-69 years, male 917.8
GTEX-1HSMQ-1226-SM-CGQFX 50-59 years, male 917.4
GTEX-1GPI6-0126-SM-9WG69 60-69 years, male 915.8
GTEX-1EKGG-0226-SM-9WYTH 60-69 years, male 915.2
GTEX-17F96-1626-SM-7DUFL 70-79 years, male 911.7
GTEX-139D8-0226-SM-5KLZO 30-39 years, female 910.0
GTEX-1RLM8-2326-SM-EWRN4 50-59 years, male 909.3
GTEX-ZYFD-0126-SM-5GIDL 50-59 years, male 904.7
GTEX-1QCLY-0326-SM-E8VOG 30-39 years, male 903.9
GTEX-1GTWX-0126-SM-9YFLK 60-69 years, male 899.7
GTEX-13W3W-2426-SM-5LU5B 60-69 years, female 896.3
GTEX-1PDJ9-0326-SM-DTX95 20-29 years, male 892.8
GTEX-1JKYR-0126-SM-CNPOJ 20-29 years, male 892.3
GTEX-131XE-2326-SM-5PNZ2 50-59 years, male 890.6
GTEX-1R7EV-2426-SM-EVYBG 40-49 years, male 886.4
GTEX-13O3P-0126-SM-5KM4S 50-59 years, male 885.2
GTEX-11DXY-2626-SM-5GIE7 60-69 years, male 874.9
GTEX-ZY6K-1826-SM-5GZXK 50-59 years, male 872.9
GTEX-1LGOU-2026-SM-DIPFF 20-29 years, female 872.4
GTEX-ZAJG-0126-SM-5HL94 50-59 years, female 867.5
GTEX-13U4I-0126-SM-5LU38 40-49 years, female 866.7
GTEX-13N1W-0126-SM-5K7VT 70-79 years, male 865.4
GTEX-ZDTS-0126-SM-4WAY5 60-69 years, male 860.5
GTEX-1B933-0126-SM-7PC29 50-59 years, female 859.2
GTEX-13FHO-0226-SM-5IFGY 60-69 years, male 857.1
GTEX-1F48J-0126-SM-7P8TT 50-59 years, female 855.8
GTEX-13OVJ-0126-SM-5KM36 50-59 years, female 854.2
GTEX-RVPV-0126-SM-EAZAW 60-69 years, male 853.1
GTEX-13X6I-0626-SM-5QGP9 60-69 years, male 852.1
GTEX-18D9B-0526-SM-7LTAS 60-69 years, male 848.7
GTEX-Y8E4-0626-SM-4WWDL 40-49 years, male 846.3
GTEX-1KD5A-0226-SM-D5OV3 50-59 years, male 846.1
GTEX-131XG-2626-SM-5KM17 50-59 years, female 836.0
GTEX-1MA7X-2226-SM-E6CIY 60-69 years, male 835.5
GTEX-18A7B-0126-SM-7LG64 70-79 years, male 834.3
GTEX-U8XE-0326-SM-3DB8P 30-39 years, male 833.6
GTEX-1I1GP-2226-SM-CGQFK 50-59 years, male 829.5
GTEX-XXEK-2226-SM-4BRUM 50-59 years, male 829.2
GTEX-1F75B-0126-SM-9KNVL 50-59 years, male 828.7
GTEX-17F97-0326-SM-7LG5B 50-59 years, male 828.2
GTEX-11H98-0126-SM-5EGHG 50-59 years, male 827.3
GTEX-14BIM-0226-SM-7IGLD 60-69 years, female 825.9
GTEX-13IVO-0126-SM-5J1NG 70-79 years, male 823.7
GTEX-15CHC-2126-SM-6EU21 60-69 years, female 821.8
GTEX-15D1Q-0126-SM-7KUG6 40-49 years, male 821.7
GTEX-ZVTK-0426-SM-51MRS 20-29 years, male 816.3
GTEX-WY7C-2326-SM-3NB2U 50-59 years, male 815.2
GTEX-18A7A-0226-SM-718BH 50-59 years, female 814.7
GTEX-1QP2A-0126-SM-E9J43 50-59 years, male 812.5
GTEX-1JMQI-2226-SM-CM2SD 50-59 years, male 812.0
GTEX-RN64-0126-SM-2TC68 50-59 years, male 809.3
GTEX-1A32A-0126-SM-718B1 50-59 years, female 806.8
GTEX-QESD-1426-SM-2S1R9 20-29 years, male 806.4
GTEX-X585-0226-SM-4QAS2 50-59 years, male 804.4
GTEX-1LGRB-2526-SM-CNPPQ 50-59 years, female 802.6
GTEX-1I4MK-2226-SM-ACKWD 50-59 years, female 800.9
GTEX-RNOR-0126-SM-E9J4R 50-59 years, female 799.4
GTEX-11LCK-1026-SM-5A5KB 30-39 years, male 798.2
GTEX-ZDXO-3026-SM-5J1N5 60-69 years, male 794.8
GTEX-144FL-0126-SM-5TDC8 50-59 years, male 794.2
GTEX-ZYY3-0126-SM-5GZY5 60-69 years, female 793.7
GTEX-1LSNM-1926-SM-E6CII 50-59 years, male 791.2
GTEX-SIU8-0126-SM-2XCDT 50-59 years, male 791.1
GTEX-14C5O-0126-SM-5SI6N 60-69 years, male 790.6
GTEX-139TU-0126-SM-5K7WH 60-69 years, male 789.8
GTEX-11XUK-2026-SM-5EQLF 40-49 years, female 782.7
GTEX-VJYA-1126-SM-3GIJU 60-69 years, male 780.1
GTEX-QLQ7-1626-SM-2S1R8 60-69 years, male 779.2
GTEX-PSDG-0226-SM-DKPOZ 50-59 years, male 775.2
GTEX-16MT8-0426-SM-7KUEY 60-69 years, female 774.4
GTEX-1S83E-0126-SM-EWRO4 40-49 years, male 774.2
GTEX-1EU9M-0226-SM-7P8SP 60-69 years, male 771.6
GTEX-1F88F-2726-SM-7PBZZ 60-69 years, female 768.9
GTEX-16AAH-1726-SM-7939C 50-59 years, male 766.9
GTEX-1I1GT-0626-SM-CGQER 60-69 years, female 757.0
GTEX-1R7EU-0226-SM-EVR4G 60-69 years, male 755.4
GTEX-QDVJ-1726-SM-2I5FX 50-59 years, male 753.9
GTEX-147F3-0526-SM-5SI98 50-59 years, female 750.9
GTEX-1K2DU-2326-SM-E9TIV 20-29 years, male 750.2
GTEX-QVJO-1626-SM-2S1QW 60-69 years, female 746.3
GTEX-1I1CD-0126-SM-CM2TK 60-69 years, female 745.3
GTEX-QEG4-0226-SM-2S1PY 30-39 years, male 744.1
GTEX-1HCUA-2426-SM-ADEIS 50-59 years, female 742.2
GTEX-Y5V5-2326-SM-4V6GA 60-69 years, female 740.0
GTEX-W5X1-3026-SM-EAZAX 40-49 years, female 732.2
GTEX-1J8QM-2126-SM-CYPSJ 60-69 years, female 731.8
GTEX-1IKK5-0626-SM-ARL8A 60-69 years, male 731.2
GTEX-1MCYP-1926-SM-E9J2R 20-29 years, female 730.7
GTEX-1AX9I-0126-SM-7SB74 60-69 years, male 730.5
GTEX-13VXU-0126-SM-5SI9F 50-59 years, male 729.6
GTEX-1CAMR-1926-SM-7EPI2 20-29 years, male 729.6
GTEX-1QAET-0926-SM-E76QM 50-59 years, male 729.6
GTEX-13NZA-0226-SM-5K7Z7 60-69 years, male 729.1
GTEX-1I1HK-0126-SM-COH49 60-69 years, male 727.3
GTEX-PWO3-1526-SM-48TCM 60-69 years, female 726.2
GTEX-1CB4I-0226-SM-79OLH 50-59 years, male 723.4
GTEX-15F5U-1526-SM-6PANO 40-49 years, male 722.1
GTEX-1HBPN-0226-SM-9YFM1 50-59 years, male 720.5
GTEX-17HHY-0126-SM-7LG5D 50-59 years, male 720.1
GTEX-1J8JJ-0226-SM-CL53I 60-69 years, female 719.3
GTEX-ZPIC-1726-SM-DHXIU 40-49 years, female 719.3
GTEX-1GN73-0226-SM-9WG67 60-69 years, male 716.6
GTEX-1IDJU-2626-SM-CM2RT 60-69 years, female 716.3
GTEX-ZTSS-1926-SM-57WEW 40-49 years, male 714.6
GTEX-ZYW4-0126-SM-5E44A 60-69 years, male 714.1
GTEX-XBEW-0626-SM-4QASP 40-49 years, male 714.0
GTEX-YB5E-2026-SM-5IFIS 40-49 years, male 711.5
GTEX-13FH7-2026-SM-E9J4I 50-59 years, female 710.2
GTEX-P4QT-0126-SM-2I3FL 50-59 years, female 709.2
GTEX-P44H-0226-SM-2XCEU 40-49 years, male 706.4
GTEX-1J8Q3-1626-SM-CMKGC 60-69 years, male 705.2
GTEX-T2IS-0126-SM-4DM6O 20-29 years, female 704.3
GTEX-Y8LW-1826-SM-5S2MV 50-59 years, female 701.0
GTEX-1GZ2Q-0226-SM-7P8TL 40-49 years, male 696.1
GTEX-1LH75-2426-SM-E9TJE 50-59 years, female 695.7
GTEX-Y111-0126-SM-4SOIV 50-59 years, male 692.6
GTEX-12WSN-5019-SM-79OM6 40-49 years, male 692.0
GTEX-X88G-0126-SM-47JZ3 30-39 years, male 687.5
GTEX-1LG7Y-0526-SM-DKPQC 50-59 years, male 687.2
GTEX-1B996-0226-SM-7RHGO 60-69 years, male 686.2
GTEX-1GMR8-0126-SM-9WYTM 50-59 years, female 685.9
GTEX-1CB4J-0626-SM-7DHMP 60-69 years, male 685.4
GTEX-1128S-2326-SM-5GZZY 60-69 years, female 684.6
GTEX-133LE-1826-SM-5J1MV 20-29 years, female 683.2
GTEX-16BQI-0226-SM-7KUEX 30-39 years, female 682.7
GTEX-12696-2426-SM-5EQ6H 60-69 years, male 680.6
GTEX-RWS6-2026-SM-2XCB5 60-69 years, female 678.7
GTEX-WZTO-0126-SM-3NM95 40-49 years, male 675.6
GTEX-1H1DE-2126-SM-9WG6R 20-29 years, male 675.2
GTEX-13RTL-0126-SM-7LG5S 40-49 years, male 666.3
GTEX-1H11D-0226-SM-9WG6Z 40-49 years, male 663.6
GTEX-11ZU8-2526-SM-5EQKI 60-69 years, male 662.1
GTEX-WYVS-2126-SM-3NMA3 40-49 years, female 661.7
GTEX-TKQ1-1026-SM-4GICL 30-39 years, male 659.7
GTEX-1H3VE-0326-SM-9YFLH 40-49 years, male 658.8
GTEX-ZV6S-2326-SM-4YCEY 40-49 years, female 655.9
GTEX-ZVT3-0126-SM-5GU6I 60-69 years, female 654.0
GTEX-1AMFI-2026-SM-731BH 50-59 years, female 647.8
GTEX-X261-0126-SM-3NMD6 50-59 years, male 647.6
GTEX-132NY-0326-SM-5IJBL 60-69 years, male 641.5
GTEX-XQ3S-1526-SM-4BOOC 20-29 years, male 636.0
GTEX-U412-0426-SM-3DB9O 60-69 years, male 633.9
GTEX-148VI-1626-SM-5SI6E 60-69 years, female 632.3
GTEX-14XAO-2326-SM-6EU1B 60-69 years, female 632.2
GTEX-18A6Q-0126-SM-731BZ 60-69 years, male 631.2
GTEX-17GQL-2026-SM-718BA 60-69 years, male 628.3
GTEX-13OVK-2026-SM-7KUEO 40-49 years, male 627.6
GTEX-ZZ64-1726-SM-5GZYB 20-29 years, male 624.5
GTEX-T2YK-0526-SM-32QPJ 50-59 years, male 624.0
GTEX-1122O-2126-SM-5EGIR 60-69 years, female 623.9
GTEX-XBED-2226-SM-47JYQ 60-69 years, male 622.4
GTEX-14A5I-0126-SM-5TDEA 50-59 years, female 618.0
GTEX-YJ8A-0426-SM-5IFID 20-29 years, male 617.7
GTEX-13OVH-0126-SM-5MR4B 70-79 years, male 615.7
GTEX-X4XY-0226-SM-4E3IZ 60-69 years, male 615.1
GTEX-11WQC-2526-SM-5CVLE 60-69 years, male 614.2
GTEX-1LVAN-0226-SM-COH3S 50-59 years, female 613.5
GTEX-1314G-1526-SM-5EGK2 30-39 years, male 612.3
GTEX-145ME-1826-SM-5SI9G 40-49 years, female 609.1
GTEX-ZXES-1826-SM-5E43S 30-39 years, female 608.4
GTEX-15SHW-0326-SM-6PAML 60-69 years, male 606.5
GTEX-1313W-0126-SM-5LZUN 50-59 years, female 605.9
GTEX-ZC5H-0226-SM-4WAY9 40-49 years, female 604.2
GTEX-12WSA-0226-SM-5BC5V 60-69 years, male 601.0
GTEX-1H1CY-2826-SM-9MQM3 60-69 years, female 599.9
GTEX-1F75I-0326-SM-9YFLU 40-49 years, male 599.3
GTEX-13SLW-0126-SM-5SI6C 70-79 years, male 595.5
GTEX-XUYS-0126-SM-47JWZ 50-59 years, male 594.1
GTEX-1CAMQ-0226-SM-7IGPK 40-49 years, male 593.1
GTEX-15DYW-0126-SM-7KULE 60-69 years, female 588.5
GTEX-11OC5-0126-SM-5HL6A 60-69 years, male 587.5
GTEX-13G51-2526-SM-5LZYK 60-69 years, male 586.6
GTEX-15DDE-0126-SM-6LPKH 50-59 years, female 586.5
GTEX-11O72-0126-SM-59887 40-49 years, male 586.4
GTEX-V1D1-2226-SM-3NMAX 50-59 years, male 584.9
GTEX-1399R-2726-SM-5IJBA 30-39 years, male 580.0
GTEX-11GSP-2526-SM-5N9BP 60-69 years, female 578.1
GTEX-1HR98-0126-SM-B2LWI 60-69 years, male 576.8
GTEX-13FHP-0126-SM-5IJBG 50-59 years, male 576.1
GTEX-1CB4E-2226-SM-793DC 60-69 years, male 574.5
GTEX-1AX9J-0226-SM-73KXM 60-69 years, male 574.2
GTEX-1H3O1-0426-SM-9YFKY 60-69 years, male 574.1
GTEX-1LB8K-0226-SM-EWRNW 50-59 years, male 574.1
GTEX-11NUK-0126-SM-5A5L3 50-59 years, male 573.5
GTEX-14ABY-0226-SM-5TDCQ 50-59 years, male 572.4
GTEX-1OFPY-2426-SM-DTXEJ 60-69 years, male 570.7
GTEX-15RIG-0226-SM-7KFTL 40-49 years, male 570.5
GTEX-12ZZZ-0626-SM-5DUXI 60-69 years, male 567.9
GTEX-1QPFJ-0226-SM-E76PB 30-39 years, female 566.9
GTEX-1KAFJ-2026-SM-CY8ID 50-59 years, male 566.0
GTEX-ZAK1-0126-SM-5IJD3 50-59 years, female 564.6
GTEX-11OF3-2626-SM-5GU7F 60-69 years, male 562.1
GTEX-13O3Q-2426-SM-5IJBR 50-59 years, male 561.4
GTEX-13X6J-0126-SM-5QGOU 50-59 years, male 556.9
GTEX-XPVG-2626-SM-4B669 50-59 years, male 553.4
GTEX-1HFI7-1826-SM-ACKXH 50-59 years, female 553.1
GTEX-1CB4G-0226-SM-7PC3O 60-69 years, male 551.7
GTEX-1JMQJ-0526-SM-CYPSU 50-59 years, male 548.3
GTEX-1HCU9-1526-SM-A9SL7 20-29 years, male 547.3
GTEX-12WSK-2326-SM-5GCOH 40-49 years, female 547.2
GTEX-13CF2-2526-SM-5LZYX 60-69 years, male 541.4
GTEX-1J8Q2-0526-SM-CM2RW 60-69 years, male 535.5
GTEX-1192W-2626-SM-5Q5AF 60-69 years, male 535.0
GTEX-14E7W-0126-SM-6LLJ9 70-79 years, male 532.7
GTEX-14A6H-0126-SM-5QGPK 30-39 years, male 530.7
GTEX-15UKP-0426-SM-7KUFQ 20-29 years, male 530.4
GTEX-1JN76-0126-SM-CNPPE 20-29 years, female 530.0
GTEX-12126-0326-SM-5PNW3 20-29 years, male 529.1
GTEX-PVOW-0126-SM-2XCFA 40-49 years, male 527.9
GTEX-139TT-0126-SM-5K7Y5 60-69 years, male 524.5
GTEX-14PII-0226-SM-6EU1T 60-69 years, male 522.2
GTEX-1IGQW-0126-SM-COH42 60-69 years, male 521.1
GTEX-1AYD5-2426-SM-73KXR 50-59 years, male 516.4
GTEX-12ZZX-0126-SM-5EGK9 40-49 years, female 516.1
GTEX-1GZHY-0326-SM-9QEHI 50-59 years, female 510.1
GTEX-1JJE9-0326-SM-CL53Z 70-79 years, male 506.7
GTEX-Z93S-0126-SM-5HL7M 50-59 years, male 505.0
GTEX-1QEPI-0126-SM-EWRMQ 60-69 years, female 502.2
GTEX-11TT1-2526-SM-5EGIB 20-29 years, male 499.5
GTEX-18465-0126-SM-731BN 50-59 years, male 495.6
GTEX-1J8EW-0126-SM-CJI4F 60-69 years, female 494.7
GTEX-1A8FM-0226-SM-7SB7Q 50-59 years, female 491.1
GTEX-YFC4-0126-SM-5CVLY 40-49 years, female 489.6
GTEX-13CF3-2426-SM-5IFGX 60-69 years, female 489.4
GTEX-1JJ6O-0126-SM-E6CI8 60-69 years, male 488.1
GTEX-14PJM-0226-SM-62LF1 50-59 years, female 486.5
GTEX-1EWIQ-0126-SM-7RHH2 70-79 years, female 483.1
GTEX-1B8SG-0126-SM-73KZ3 50-59 years, male 482.3
GTEX-OIZH-0126-SM-2HMIS 50-59 years, male 481.2
GTEX-18D9A-1926-SM-7LG6P 30-39 years, female 480.1
GTEX-OHPL-0126-SM-2HMJ7 60-69 years, female 476.1
GTEX-O5YT-0126-SM-48TBW 20-29 years, male 475.1
GTEX-13OW5-0126-SM-DTXFS 60-69 years, male 474.8
GTEX-1KD4Q-0226-SM-E9TJ9 40-49 years, male 474.0
GTEX-1C6VS-0526-SM-7DUEN 60-69 years, male 472.1
GTEX-13113-5016-SM-7EPIP 60-69 years, female 469.8
GTEX-WFG8-2226-SM-3GIL9 20-29 years, male 469.8
GTEX-13OW8-1326-SM-5J1OW 60-69 years, male 468.8
GTEX-16YQH-0126-SM-7DUFJ 30-39 years, male 467.9
GTEX-RWSA-0126-SM-2XCBB 40-49 years, male 467.3
GTEX-12ZZY-0226-SM-5LZVE 60-69 years, male 463.1
GTEX-1H1DG-0126-SM-9WYU2 70-79 years, male 462.1
GTEX-131YS-0126-SM-5KM1M 60-69 years, female 454.9
GTEX-14LZ3-0226-SM-62LET 60-69 years, female 454.7
GTEX-11DXZ-2326-SM-5EGGV 50-59 years, male 453.8
GTEX-1B8L1-2526-SM-9WYTF 60-69 years, male 453.0
GTEX-1GF9U-2126-SM-7SB7L 40-49 years, female 450.1
GTEX-1HSKV-0226-SM-A9SKJ 60-69 years, male 450.1
GTEX-1J1OQ-0226-SM-CYPSH 40-49 years, female 446.6
GTEX-13N2G-2626-SM-5J1OT 60-69 years, male 442.4
GTEX-14PJ6-2126-SM-6EU1V 60-69 years, female 441.3
GTEX-Q734-1926-SM-2I5EV 40-49 years, female 441.2
GTEX-14DAQ-0126-SM-5S2MQ 60-69 years, female 440.8
GTEX-R3RS-0126-SM-3GIJL 40-49 years, female 439.6
GTEX-11EQ9-2426-SM-5HL5T 30-39 years, male 439.4
GTEX-1O97I-0326-SM-EYYX7 60-69 years, male 438.8
GTEX-12584-0126-SM-5EGKQ 40-49 years, male 433.3
GTEX-WVJS-0126-SM-4MVOT 50-59 years, male 433.1
GTEX-ZE9C-2726-SM-57WB5 60-69 years, male 432.1
GTEX-1POEN-0126-SM-EYYXJ 30-39 years, female 431.9
GTEX-1HCU7-0226-SM-CL545 50-59 years, male 431.5
GTEX-1F6IF-0726-SM-7P8TW 60-69 years, male 430.4
GTEX-1M4P7-0226-SM-DIPEV 60-69 years, male 429.6
GTEX-SSA3-0126-SM-32QPU 60-69 years, male 429.2
GTEX-13FTY-0526-SM-5L3EV 40-49 years, female 428.2
GTEX-S7SE-0126-SM-2XCD5 50-59 years, male 427.1
GTEX-13112-2826-SM-5DUWH 50-59 years, male 426.9
GTEX-1GN2E-0426-SM-9MQKX 60-69 years, male 426.6
GTEX-1E2YA-0126-SM-9KNUC 50-59 years, male 425.9
GTEX-1F75A-0126-SM-7RHGM 50-59 years, male 424.8
GTEX-1KANA-0726-SM-D3L9I 20-29 years, male 422.6
GTEX-1IKOH-0226-SM-COH4E 60-69 years, female 422.1
GTEX-1MA7W-2026-SM-E9TJ6 20-29 years, female 420.2
GTEX-1IL2V-0126-SM-CM2TX 70-79 years, male 417.7
GTEX-1269C-2526-SM-5EGJ3 60-69 years, female 416.3
GTEX-1HBPI-1526-SM-C1YQ1 50-59 years, male 413.4
GTEX-ZU9S-0226-SM-5E441 30-39 years, male 409.5
GTEX-12WSL-2526-SM-5GCNJ 50-59 years, male 406.3
GTEX-1B97I-1626-SM-73KYO 40-49 years, male 405.8
GTEX-11TUW-2726-SM-E9J4M 60-69 years, male 401.9
GTEX-1HB9E-0226-SM-E9U4R 50-59 years, male 399.1
GTEX-1KANC-1526-SM-D3LAB 50-59 years, female 396.9
GTEX-183WM-0126-SM-7LTAB 70-79 years, female 388.4
GTEX-131XW-0426-SM-5LZWP 50-59 years, female 388.0
GTEX-17KNJ-2326-SM-7DHLQ 50-59 years, male 386.6
GTEX-1IL2U-0226-SM-CE6T8 60-69 years, male 385.8
GTEX-XUZC-1726-SM-4BRWS 30-39 years, female 384.6
GTEX-17MFQ-1726-SM-793C7 20-29 years, male 382.1
GTEX-13OW6-0426-SM-5L3HM 50-59 years, male 379.9
GTEX-139UW-2826-SM-5L3E7 60-69 years, male 378.6
GTEX-13S7M-0126-SM-5SI6A 60-69 years, female 377.6
GTEX-1KXAM-2226-SM-CYPTC 60-69 years, male 372.1
GTEX-1GMRU-0126-SM-9YFLV 50-59 years, male 372.0
GTEX-15EU6-0426-SM-6PAN5 50-59 years, male 366.8
GTEX-1CB4H-0226-SM-7PBXM 60-69 years, female 366.2
GTEX-1E1VI-0126-SM-7DHMZ 50-59 years, male 364.3
GTEX-1OJC3-0126-SM-E76QX 20-29 years, male 360.8
GTEX-T5JC-0426-SM-32PLO 20-29 years, male 360.1
GTEX-1BAJH-0526-SM-793CQ 70-79 years, male 359.8
GTEX-1F7RK-0126-SM-7PC2S 20-29 years, female 354.2
GTEX-1EMGI-0126-SM-9KNUE 60-69 years, male 352.8
GTEX-11WQK-0526-SM-5EQLD 50-59 years, male 352.5
GTEX-11UD2-0226-SM-5EQKY 50-59 years, male 351.0
GTEX-1IOXB-0126-SM-ARL8G 50-59 years, male 348.4
GTEX-145MI-0526-SM-5O9A8 60-69 years, female 347.9
GTEX-13JUV-2726-SM-5LZZ8 40-49 years, female 347.4
GTEX-14E6E-1826-SM-5S2R7 30-39 years, male 340.0
GTEX-11DYG-0126-SM-59883 60-69 years, male 335.8
GTEX-ZYFC-0226-SM-5NQ75 50-59 years, male 335.8
GTEX-1LG7Z-1726-SM-D3LA4 30-39 years, male 333.0
GTEX-13SLX-0526-SM-5S2ON 50-59 years, female 331.9
GTEX-1JMPZ-0226-SM-CNPP1 30-39 years, male 330.7
GTEX-14E6D-0126-SM-62LDV 50-59 years, male 325.0
GTEX-ZV68-0126-SM-59HKS 50-59 years, female 324.5
GTEX-ZVZO-0126-SM-5A5L9 40-49 years, male 317.1
GTEX-1HFI6-0226-SM-ADEHZ 40-49 years, male 317.0
GTEX-1R9PM-2026-SM-E76OY 20-29 years, male 316.4
GTEX-T5JW-1626-SM-3GADZ 20-29 years, female 313.2
GTEX-131XH-2226-SM-5DUXJ 50-59 years, male 311.8
GTEX-SJXC-0126-SM-2XCFF 60-69 years, male 305.8
GTEX-14BIN-0626-SM-793DP 50-59 years, female 305.5
GTEX-Y8DK-0126-SM-4TT3L 60-69 years, male 305.0
GTEX-1I1GV-0526-SM-A9G29 60-69 years, male 300.9
GTEX-1I1GR-0126-SM-CL55F 60-69 years, male 300.4
GTEX-12WSC-0126-SM-5EQ4P 50-59 years, male 296.5
GTEX-1212Z-2526-SM-5EGKP 60-69 years, male 294.7
GTEX-1EN7A-0126-SM-7SB81 40-49 years, male 294.6
GTEX-1CB4F-0426-SM-9KNV4 60-69 years, male 294.0
GTEX-ZWKS-0126-SM-5SIAA 30-39 years, male 284.0
GTEX-PX3G-0126-SM-2I3EN 20-29 years, female 279.9
GTEX-111FC-0126-SM-5N9DL 60-69 years, male 277.3
GTEX-14BMV-0126-SM-5S2PO 50-59 years, male 276.6
GTEX-16GPK-0126-SM-7DHLE 60-69 years, male 274.6
GTEX-1EX96-1626-SM-7PBXR 50-59 years, male 270.2
GTEX-13111-1626-SM-5EGJY 50-59 years, male 268.4
GTEX-13FXS-0226-SM-5IJCK 50-59 years, male 265.1
GTEX-1IDJH-0326-SM-A9SLQ 70-79 years, male 263.6
GTEX-145LS-0126-SM-5QGP1 60-69 years, female 260.5
GTEX-1M5QR-1226-SM-EWROB 40-49 years, male 256.3
GTEX-1JMLX-0226-SM-CM2RO 50-59 years, male 254.2
GTEX-1F5PL-0326-SM-7P8PQ 40-49 years, female 246.8
GTEX-POMQ-2226-SM-2I5FK 20-29 years, female 242.6
GTEX-16NPX-0226-SM-79OMT 50-59 years, male 241.2
GTEX-ZF2S-2326-SM-4WWCE 50-59 years, female 240.8
GTEX-WFON-2126-SM-3LK7O 40-49 years, male 240.0
GTEX-1I1GQ-0126-SM-COH3H 50-59 years, male 238.9
GTEX-14JG1-0426-SM-6ETZZ 40-49 years, male 236.7
GTEX-15ER7-0326-SM-7KUEV 20-29 years, female 232.7
GTEX-113JC-2326-SM-5EQ4E 50-59 years, female 231.2
GTEX-1B8SF-1426-SM-7DUGL 60-69 years, male 230.8
GTEX-14A5H-0426-SM-5QGQF 60-69 years, male 230.6
GTEX-1C6VR-2426-SM-79OLD 60-69 years, male 230.4
GTEX-1RDX4-0126-SM-E9J4P 50-59 years, female 229.5
GTEX-17HG3-2226-SM-7938L 30-39 years, female 228.7
GTEX-S32W-2126-SM-2XCB1 50-59 years, female 224.1
GTEX-13NYB-2526-SM-5K7Z6 40-49 years, male 219.7
GTEX-ZVT4-0126-SM-DTXFN 50-59 years, female 218.2
GTEX-1HCU8-0626-SM-A9SM9 60-69 years, female 218.1
GTEX-ZYT6-0226-SM-5NQ6T 30-39 years, male 217.2
GTEX-1KWVE-1426-SM-E9TJO 30-39 years, male 216.2
GTEX-1H4P4-0726-SM-9YFLR 50-59 years, male 215.1
GTEX-144GL-0126-SM-5TDE2 50-59 years, male 207.9
GTEX-11ZTS-0126-SM-5EQ6M 60-69 years, female 207.3
GTEX-117XS-2726-SM-5N9BL 60-69 years, male 203.0
GTEX-1GL5R-1826-SM-9KNUY 50-59 years, male 202.0
GTEX-17EVP-0326-SM-7DHLG 40-49 years, male 201.0
GTEX-11DXW-0226-SM-5H122 40-49 years, male 200.4
GTEX-T6MN-0126-SM-32PLP 50-59 years, male 198.6
GTEX-1GF9V-0326-SM-7RHI5 60-69 years, male 198.4
GTEX-1N2DW-0226-SM-E9TK2 50-59 years, male 196.6
GTEX-1QMI2-0226-SM-EVYBX 60-69 years, male 195.1
GTEX-1L5NE-2526-SM-E6CIE 50-59 years, male 177.5
GTEX-1C475-1826-SM-73KWA 40-49 years, female 171.8
GTEX-ZTX8-1426-SM-5DUVO 20-29 years, male 164.9
GTEX-1GMR3-1926-SM-9KNUZ 40-49 years, male 163.0
GTEX-12WSE-0526-SM-793B2 20-29 years, male 161.0
GTEX-1MJK2-0426-SM-DTXE5 50-59 years, male 158.5
GTEX-YJ89-0126-SM-4TT3X 60-69 years, male 151.9
GTEX-1399T-2826-SM-5KLYZ 60-69 years, male 149.5
GTEX-145MF-0626-SM-5LUAI 50-59 years, male 145.4
GTEX-145LU-0126-SM-5TDCB 50-59 years, male 144.8
GTEX-13NYC-0326-SM-E9J4S 60-69 years, male 141.9
GTEX-1IKJJ-0126-SM-CNPQB 60-69 years, male 140.7
GTEX-17JCI-0126-SM-7LG5G 60-69 years, female 137.1
GTEX-1C64N-0126-SM-793D7 50-59 years, male 111.7
GTEX-1R9K4-0126-SM-DTX9X 60-69 years, male 109.9
GTEX-1JJEA-0326-SM-CNPOT 60-69 years, male 108.0
GTEX-1HT8W-0126-SM-CNPPP 30-39 years, male 107.5
GTEX-1PIIG-0226-SM-EWRN6 30-39 years, male 107.5
GTEX-1JMQL-0226-SM-CNPP5 50-59 years, female 106.2
Show allShow less

Contact

  • NEWS ARTICLES
  • PRESS ROOM

The Project

  • INTRODUCTION
  • ORGANIZATION
  • PUBLICATIONS

The Human Protein Atlas

  • DOWNLOADABLE DATA
  • LICENCE & CITATION
  • HELP & FAQ
The Human Protein Atlas project is funded
by the Knut & Alice Wallenberg Foundation.


contact@proteinatlas.org