We use cookies to enhance the usability of our website. If you continue, we'll assume that you are happy to receive all cookies. More information. Don't show this again.
H1-0
HPA
RESOURCES
  • TISSUE
  • BRAIN
  • SINGLE CELL
  • SUBCELLULAR
  • CANCER
  • BLOOD
  • CELL LINE
  • STRUCTURE & INTERACTION
ABOUT
  • INTRODUCTION
  • HISTORY
  • ORGANIZATION
  • PUBLICATIONS
  • ANTIBODY SUBMISSION
  • ANTIBODY AVAILABILITY
  • ACKNOWLEDGMENTS
  • CONTACT
NEWS
  • NEWS ARTICLES
  • PRESS ROOM
LEARN
  • DICTIONARY
  • PROTEIN CLASSES
  • PROTEIN EVIDENCE
  • METHODS
  • EDUCATIONAL VIDEOS
DATA
  • DOWNLOADABLE DATA
  • PUBLICATION DATA
  • RELEASE HISTORY
HELP
  • ANTIBODY VALIDATION
  • ASSAYS & ANNOTATION
  • DISCLAIMER
  • HELP & FAQ
  • PRIVACY STATEMENT
  • LICENCE & CITATION
Fields »
Search result

Field
Term
Gene name
Class
Subclass
Class
Keyword
Chromosome
External id
Tissue
Cell type
Expression
Antibody panel
Tissue
Main location
Patient ID
Annotation
Tissue
Category
Tau score
Cluster
Reliability
Brain region
Category
Tau score
Brain region
Category
Tau score
Brain region
Category
Tau score
Cluster
Reliability
Tissue
Cell type
Enrichment
Cell type
Category
Tau score
Cell type
Category
Tau score
Cell type
Category
Tau score
Cell lineage
Category
Tau score
Cluster
Cluster
Location
Searches
Location
Cell line
Class
Type
Phase
Reliability
Cancer
Prognosis
Cancer
Category
Cancer
Category
Tau score
Cluster
Variants
Interacting gene (ensg_id)
Type
Number of interactions
Pathway
Category
Score
Score
Score
Validation
Validation
Validation
Validation
Antibodies
Data type
Column


  • SUMMARY

  • TISSUE

  • BRAIN

  • SINGLE CELL

  • SUBCELL

  • CANCER

  • BLOOD

  • CELL LINE

  • STRUCT & INT

  • H1-0
TISSUE PRIMARY DATA BREAST Show tissue menu
ADIPOSE TISSUE ADRENAL GLAND AMYGDALA APPENDIX BASAL GANGLIA BONE MARROW BREAST BRONCHUS CEREBELLUM CEREBRAL CORTEX CERVIX CHOROID PLEXUS COLON DUODENUM
ENDOMETRIUM EPIDIDYMIS ESOPHAGUS FALLOPIAN TUBE GALLBLADDER HEART MUSCLE HIPPOCAMPAL FORMATION HYPOTHALAMUS KIDNEY LIVER LUNG LYMPH NODE MIDBRAIN NASOPHARYNX
ORAL MUCOSA OVARY PANCREAS PARATHYROID GLAND PITUITARY GLAND PLACENTA PROSTATE RECTUM RETINA SALIVARY GLAND SEMINAL VESICLE SKELETAL MUSCLE SKIN SMALL INTESTINE
SMOOTH MUSCLE SOFT TISSUE SPINAL CORD SPLEEN STOMACH TESTIS THYMUS THYROID GLAND TONGUE TONSIL URINARY BLADDER VAGINA
ANTIBODIES
AND
VALIDATION
Dictionary
Breast
Tissue proteome
Breast
BREAST - Expression summary
Protein expression
Breasti

On the top, protein expression in current human tissue, based on all annotated cell types, is reported with the units not detected (n), low (l), medium (m) and high (h). Underneath, protein expression in each annotated cell type are reported using the same units.

Protein expression data is based on knowledge-based annotation. For genes where more than one antibody has been used, a collective score is set.

If knowledge-based annotation could not be performed for a gene, no data is displayed here. View antibody staining data further down this page.

h
m
l
n
Adipocytes: High
Glandular cells: High
Myoepithelial cells: High
RNA expressioni

A summary of mRNA expression data available for current tissue based on several datasets. The mRNA expression levels in human tissues are based on RNA-seq data generated by the Human Protein Atlas (HPA), Genotype-Tissue Expression (GTEx) portal and CAGE data generated by the FANTOM5 consortium. Consensus normalized expression levels for human tissues was created by combining the data from HPA and GTEx datasets.

The mRNA expression levels in pig are based on RNA-seq data generated by the Human Protein Atlas (HPA), and for mouse, HPA data and in situ hybridization generated by the Allen brain atlas are reported.

Scroll down to view mRNA expression data in more detail.
Consensus:117.4 nTPM
HPA:113.7 nTPM
GTEx:117.4 nTPM
FANTOM5:136.1 Scaled Tags Per Million

BREAST - Antibody stainingi

Antibody staining in the annotated cell types in the current human tissue is reported as not detected, low, medium, or high, based on conventional immunohistochemistry profiling in selected tissues. This score is based on the combination of the staining intensity and fraction of stained cells.

Each image is clickable and will lead to virtual microscopy that enables deeper exploration of all samples and also displays staining intensity scores, fraction scores and subcellular localization as well as patient and tissue information for each sample.

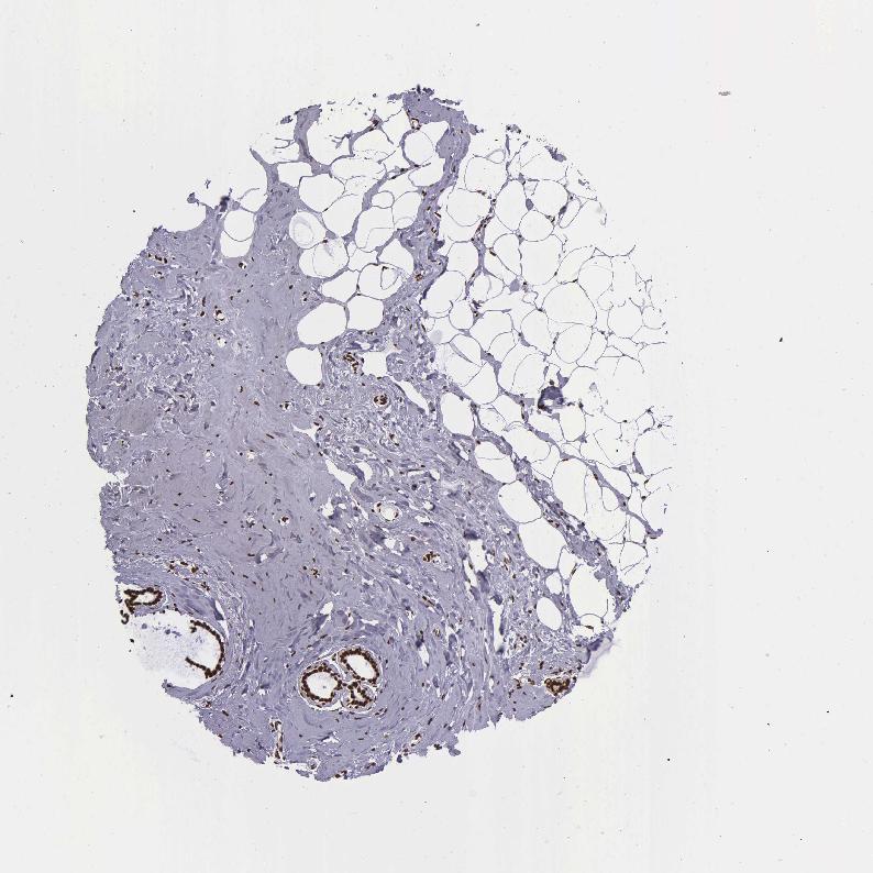
Antibody HPA000843
Adipocytes High
Glandular cells High
Myoepithelial cells High



BREAST - HPA RNA-seqi

The RNA-seq details section shows detailed information about the individual samples used for the transcript profiling and results of the RNA-seq analysis.

Information about each individual sample is listed below, including gender, age, a tissue section image and estimated fractions of cell types. nTPM (normalized transcripts per million) values give a quantification of the gene abundance which is comparable between different genes and samples.
Average nTPMi

Max subtype nTPM is the value for the subtype with the largest average nTPM across the subtype samples.

113.7
overview
Female, age 52
Breast sample 373
nTPM: 115.1
Cell types%
Glandular cells:
15

Adipocytes:
5

Other cell types:
80

overview
Female, age 80
Breast sample 390
nTPM: 89.8
Cell types%
Glandular cells:
5

Adipocytes:
15

Other cell types:
80

overview
Female, age 47
Breast sample 405
nTPM: 174
Cell types%
Glandular cells:
5

Adipocytes:
5

Other cell types:
90

overview
Female, age 38
Breast sample 410
nTPM: 75.8
Cell types%
Glandular cells:
40

Adipocytes:
5

Other cell types:
55


BREAST - GTEx RNA-seqi

RNA-Seq data generated by the Genotype-Tissue Expression (GTEx) project from human tissues is reported as mean nTPM. More information can be found on the GTEx portal.

Distribution across the dataset is visualized with box plots, shown as median and 25th and 75th percentiles. Points are displayed as outliers if they are above or below 1.5 times the interquartile range. nTPM values of the individual samples are presented next to the box plot.
Max subtype nTPMi

Max subtype nTPM is the value for the subtype with the largest average nTPM across the subtype samples.

117.4
GTEx sample id Sample description nTPM
Breast - Mammary Tissue
Average nTPM: 117.4
Samples: 459

Max nTPM: 479.3
Min nTPM: 17.2
Std nTPM: 62.5
Median nTPM: 105.4
GTEX-11EM3-1326-SM-5N9C6 20-29 years, female 479.3
GTEX-U412-1826-SM-4DXTJ 60-69 years, male 407.9
GTEX-14H4A-2526-SM-5YYAY 40-49 years, female 368.0
GTEX-15FZZ-0726-SM-7KUFZ 30-39 years, female 336.2
GTEX-X15G-1626-SM-3NMB3 50-59 years, female 323.4
GTEX-ZXES-0826-SM-5E43C 30-39 years, female 318.5
GTEX-Y114-2026-SM-4TT7L 50-59 years, female 310.7
GTEX-1269C-2426-SM-5FQSN 60-69 years, female 302.3
GTEX-1PDJ9-1126-SM-EXUSW 20-29 years, male 294.7
GTEX-VJWN-0726-SM-3GIJ8 50-59 years, female 288.4
GTEX-13FTY-2226-SM-5J1ND 40-49 years, female 271.1
GTEX-14LLW-0626-SM-62LFC 70-79 years, female 266.9
GTEX-131XW-0726-SM-5EGK3 50-59 years, female 266.0
GTEX-15ETS-0626-SM-7KUMX 40-49 years, female 263.9
GTEX-S4UY-0726-SM-4AD6X 40-49 years, female 259.0
GTEX-1B97I-0426-SM-79OL7 40-49 years, male 255.2
GTEX-11GS4-2126-SM-5A5KR 60-69 years, male 249.5
GTEX-147F4-2826-SM-5NQBN 50-59 years, male 247.6
GTEX-11P7K-0726-SM-5EGKX 30-39 years, male 244.7
GTEX-T2IS-1526-SM-32QPR 20-29 years, female 241.8
GTEX-1GN1U-0526-SM-9KNTT 50-59 years, female 234.0
GTEX-1A3MV-1626-SM-731C1 30-39 years, male 228.3
GTEX-1QCLY-1626-SM-DTXDW 30-39 years, male 228.1
GTEX-14B4R-1226-SM-5TDDT 30-39 years, male 226.7
GTEX-ZU9S-1926-SM-5NQBP 30-39 years, male 226.5
GTEX-14PN4-0626-SM-62LFP 50-59 years, male 226.0
GTEX-Y8LW-1626-SM-5IFHX 50-59 years, female 222.9
GTEX-WYVS-1726-SM-3NMAY 40-49 years, female 222.2
GTEX-X4EP-2926-SM-3P5YQ 60-69 years, female 221.0
GTEX-13SLX-2326-SM-5ZZWE 50-59 years, female 219.4
GTEX-ZC5H-2626-SM-5J2MG 40-49 years, female 217.7
GTEX-11PRG-0826-SM-5EQ6A 50-59 years, male 215.6
GTEX-1JMPY-0526-SM-CL54O 30-39 years, male 213.8
GTEX-XOT4-0726-SM-4GIAW 60-69 years, female 211.6
GTEX-1BAJH-0826-SM-7EWEF 70-79 years, male 209.1
GTEX-13O3P-0826-SM-5L3DH 50-59 years, male 208.1
GTEX-145MN-1926-SM-5SIAI 30-39 years, male 202.6
GTEX-ZTX8-1226-SM-4YCE9 20-29 years, male 199.9
GTEX-1HSKV-2026-SM-CMKGX 60-69 years, male 199.8
GTEX-1C6VS-0726-SM-7EPHF 60-69 years, male 199.7
GTEX-XBED-1626-SM-47JYN 60-69 years, male 199.2
GTEX-T6MN-0726-SM-32PML 50-59 years, male 196.7
GTEX-1GZ4I-2826-SM-9MQK5 50-59 years, male 195.3
GTEX-UJHI-1426-SM-3DB9C 50-59 years, female 192.7
GTEX-ZVTK-0326-SM-51MRR 20-29 years, male 192.5
GTEX-ZDYS-1126-SM-5K7UB 50-59 years, male 192.3
GTEX-1N5O9-1126-SM-DTXEQ 60-69 years, male 192.0
GTEX-15ER7-1626-SM-6PAMZ 20-29 years, female 191.8
GTEX-1MJK2-2226-SM-EVYCR 50-59 years, male 191.4
GTEX-1KANA-2026-SM-DIPFB 20-29 years, male 188.4
GTEX-1MA7W-1026-SM-DKPQK 20-29 years, female 188.0
GTEX-132Q8-1426-SM-5EGK7 60-69 years, male 187.6
GTEX-14PHY-1926-SM-5YY95 60-69 years, female 187.5
GTEX-13NZB-2126-SM-5MR4Y 30-39 years, male 185.9
GTEX-ZF2S-2026-SM-5E461 50-59 years, female 185.7
GTEX-T5JC-2126-SM-32PMO 20-29 years, male 185.1
GTEX-12ZZX-1126-SM-5EGKB 40-49 years, female 183.7
GTEX-17EUY-1926-SM-7DUF6 20-29 years, male 183.2
GTEX-1IKJJ-2326-SM-COH3U 60-69 years, male 182.2
GTEX-1HUB1-1626-SM-CM2SL 60-69 years, male 181.8
GTEX-YFC4-1426-SM-5IFJG 40-49 years, female 181.4
GTEX-RU72-0626-SM-46MUI 50-59 years, female 179.4
GTEX-1H1E6-0926-SM-9YFLT 30-39 years, male 179.3
GTEX-13FTW-1426-SM-5LZWZ 40-49 years, male 179.0
GTEX-Q2AG-0326-SM-48U1O 40-49 years, female 177.7
GTEX-1IDJE-0826-SM-CKZNZ 50-59 years, female 176.5
GTEX-1HKZK-1826-SM-ADEJ2 40-49 years, male 176.4
GTEX-1IE54-0626-SM-ARL8D 40-49 years, female 175.8
GTEX-ZQUD-1926-SM-51MSA 30-39 years, male 175.7
GTEX-111YS-1926-SM-5GICC 60-69 years, male 172.3
GTEX-ZGAY-1726-SM-DO91P 40-49 years, female 172.3
GTEX-13FHO-0826-SM-5L3E8 60-69 years, male 172.0
GTEX-S4P3-1326-SM-4AD6V 50-59 years, female 171.9
GTEX-1R9PN-0326-SM-DTX85 40-49 years, female 171.3
GTEX-16NGA-0826-SM-718AF 40-49 years, female 171.0
GTEX-1HCVE-2626-SM-ADEJ8 50-59 years, male 170.8
GTEX-13NZ9-1026-SM-5MR5K 50-59 years, male 169.9
GTEX-131YS-0626-SM-5EGKL 60-69 years, female 169.7
GTEX-XMD2-0926-SM-4WWEF 60-69 years, female 169.6
GTEX-1CB4E-0226-SM-79OLW 60-69 years, male 169.5
GTEX-1GMR3-2626-SM-7RHHG 40-49 years, male 168.6
GTEX-11EI6-0626-SM-5985T 60-69 years, male 168.3
GTEX-11EMC-2026-SM-5A5JV 60-69 years, female 168.1
GTEX-T5JW-2026-SM-4DM63 20-29 years, female 167.8
GTEX-1IKOH-2326-SM-CM2TW 60-69 years, female 166.8
GTEX-TML8-1226-SM-32QON 40-49 years, female 166.6
GTEX-ZV7C-1826-SM-5NQ83 50-59 years, male 166.4
GTEX-1GMRU-0826-SM-9WYT7 50-59 years, male 166.3
GTEX-ZF29-1926-SM-5S2P1 60-69 years, female 162.5
GTEX-1A8G7-2426-SM-731AK 60-69 years, male 162.3
GTEX-ZF3C-2326-SM-5S2NC 50-59 years, female 161.4
GTEX-WFG8-2026-SM-EXOHO 20-29 years, male 160.8
GTEX-1ICG6-1326-SM-ACKWR 70-79 years, female 160.6
GTEX-13PL6-2926-SM-5L3I2 40-49 years, female 160.2
GTEX-145LT-0726-SM-5S2VM 40-49 years, male 160.2
GTEX-18D9A-1526-SM-7LG4J 30-39 years, female 159.1
GTEX-WI4N-1426-SM-3LK7H 40-49 years, female 159.1
GTEX-1F75A-1826-SM-7SB8G 50-59 years, male 158.9
GTEX-11DXW-0626-SM-5N9ER 40-49 years, male 158.2
GTEX-11TT1-2126-SM-5GU5Y 20-29 years, male 158.2
GTEX-1J8QM-2026-SM-ARZMW 60-69 years, female 158.1
GTEX-TKQ1-0226-SM-33HB5 30-39 years, male 156.5
GTEX-Y3I4-1526-SM-4TT7K 50-59 years, male 156.3
GTEX-1RAZS-1226-SM-E8VMT 50-59 years, male 155.9
GTEX-17HHY-0926-SM-793C1 50-59 years, male 153.9
GTEX-17KNJ-2026-SM-7LG53 50-59 years, male 153.2
GTEX-117YX-1426-SM-5H12H 50-59 years, male 152.9
GTEX-1IY9M-2726-SM-CMKG5 60-69 years, male 152.9
GTEX-1RQEC-2026-SM-DTXDM 60-69 years, male 152.8
GTEX-1M5QR-2526-SM-E9U5P 40-49 years, male 151.7
GTEX-1399U-1826-SM-5PNZ1 50-59 years, female 151.6
GTEX-1HC8U-0826-SM-ADEIL 40-49 years, female 151.2
GTEX-WHSB-1926-SM-EXOHH 50-59 years, male 151.2
GTEX-1RAZQ-1226-SM-EWRNL 30-39 years, male 150.5
GTEX-WYJK-1326-SM-3NB2T 50-59 years, male 150.3
GTEX-WYBS-0926-SM-3NM94 60-69 years, female 149.3
GTEX-1N2EE-2126-SM-E8VNN 60-69 years, male 149.2
GTEX-1JMPZ-1626-SM-COH31 30-39 years, male 147.6
GTEX-13QIC-2326-SM-5LU5N 60-69 years, female 147.4
GTEX-1R7EU-1226-SM-E8VMR 60-69 years, male 147.4
GTEX-QEG5-0726-SM-D4P1T 20-29 years, male 147.4
GTEX-ZVE2-1226-SM-5NQ8R 50-59 years, male 146.8
GTEX-15G19-2126-SM-6M48J 60-69 years, male 146.2
GTEX-WXYG-2226-SM-4E3IM 50-59 years, female 146.0
GTEX-R3RS-0626-SM-48FE1 40-49 years, female 145.7
GTEX-1HSGN-1526-SM-A9SMO 40-49 years, female 145.2
GTEX-11WQC-1726-SM-5GU4W 60-69 years, male 144.8
GTEX-145MF-2226-SM-7EPIR 50-59 years, male 144.2
GTEX-1QP29-1726-SM-E8VMQ 50-59 years, male 143.8
GTEX-SE5C-2126-SM-4BRUJ 40-49 years, female 143.3
GTEX-S341-1526-SM-4AD6K 40-49 years, female 143.2
GTEX-1CB4G-2326-SM-79OOI 60-69 years, male 143.1
GTEX-17EVP-0226-SM-79OND 40-49 years, male 142.9
GTEX-RU1J-0626-SM-4WAWY 20-29 years, female 142.0
GTEX-Y111-2026-SM-4SOJA 50-59 years, male 141.1
GTEX-1EU9M-2826-SM-7EWFH 60-69 years, male 140.1
GTEX-18A7A-0726-SM-7LTAI 50-59 years, female 139.3
GTEX-1F75I-2026-SM-7SB7N 40-49 years, male 139.0
GTEX-ZA64-1526-SM-5CVMD 20-29 years, male 138.4
GTEX-1I1GT-1126-SM-ARL7J 60-69 years, female 137.6
GTEX-1B8SG-1226-SM-7IGPF 50-59 years, male 137.5
GTEX-ZVT2-1826-SM-5NQ8W 50-59 years, female 137.5
GTEX-X4XY-0926-SM-4E3JD 60-69 years, male 137.1
GTEX-1B8KZ-1526-SM-7DUG7 50-59 years, male 136.2
GTEX-Y3IK-2326-SM-4WWDT 50-59 years, female 135.8
GTEX-ZYW4-0826-SM-5GIDG 60-69 years, male 135.1
GTEX-13N11-1726-SM-5J1OJ 50-59 years, female 135.0
GTEX-14A5I-0726-SM-5TDEB 50-59 years, female 134.1
GTEX-18QFQ-0826-SM-718AX 30-39 years, male 134.1
GTEX-17HHE-1426-SM-7EPH4 50-59 years, male 133.7
GTEX-11P81-1926-SM-5BC53 30-39 years, female 133.3
GTEX-13O3O-0826-SM-5K7WE 60-69 years, female 132.7
GTEX-1F6I4-2526-SM-7SB8F 60-69 years, male 132.7
GTEX-14BMU-1626-SM-5TDE7 20-29 years, female 132.5
GTEX-1JJEA-2726-SM-ARL8V 60-69 years, male 131.8
GTEX-1JN1M-3026-SM-CMKGK 60-69 years, female 131.5
GTEX-13SLW-2526-SM-62LDQ 70-79 years, male 131.1
GTEX-14ICK-2426-SM-6EU27 40-49 years, male 130.8
GTEX-1CB4J-1826-SM-7EWF9 60-69 years, male 130.8
GTEX-1PPGY-1526-SM-EVYBK 60-69 years, male 130.7
GTEX-1GN2E-2226-SM-9WG6J 60-69 years, male 130.0
GTEX-1LVAM-0926-SM-E9TJ2 50-59 years, female 129.9
GTEX-ZLV1-1426-SM-DO92Z 60-69 years, female 129.1
GTEX-17F98-0526-SM-79OK5 40-49 years, female 128.6
GTEX-133LE-1726-SM-5K7VQ 20-29 years, female 128.4
GTEX-1B932-0826-SM-73KXG 40-49 years, female 128.1
GTEX-1HCU8-0126-SM-ADEHH 60-69 years, female 127.9
GTEX-ZVZQ-0826-SM-51MRF 60-69 years, female 127.8
GTEX-WOFL-0826-SM-3MJG1 60-69 years, male 127.2
GTEX-1GPI6-0626-SM-7RHHJ 60-69 years, male 127.0
GTEX-1GZ2Q-2626-SM-7MXV9 40-49 years, male 127.0
GTEX-1GN1W-1926-SM-7P8TH 50-59 years, female 126.9
GTEX-14ABY-2126-SM-5QGQZ 50-59 years, male 126.7
GTEX-1B933-2526-SM-7IGO5 50-59 years, female 126.1
GTEX-1LNCM-0226-SM-DIPF4 50-59 years, female 124.9
GTEX-139T8-0826-SM-5L3DE 60-69 years, male 124.7
GTEX-13OW5-2226-SM-5L3HC 60-69 years, male 124.4
GTEX-1J8Q2-2726-SM-A9G2X 60-69 years, male 124.4
GTEX-WRHU-0326-SM-3MJFY 50-59 years, female 124.1
GTEX-U3ZN-1926-SM-4DXSG 30-39 years, female 124.0
GTEX-14PKU-0426-SM-6EU1P 40-49 years, female 123.6
GTEX-XUZC-1626-SM-4BRVP 30-39 years, female 123.2
GTEX-S4Q7-1126-SM-4AD6R 20-29 years, male 122.0
GTEX-1314G-1226-SM-5BC6D 30-39 years, male 121.4
GTEX-15UF6-0126-SM-6PAMB 70-79 years, female 121.4
GTEX-13CF2-2026-SM-5K7VI 60-69 years, male 121.1
GTEX-1CAMS-1426-SM-7IGPM 40-49 years, female 121.0
GTEX-XYKS-1326-SM-4BRUN 60-69 years, female 121.0
GTEX-12BJ1-1826-SM-5HL9N 60-69 years, male 120.2
GTEX-139T6-1626-SM-5PNYZ 50-59 years, male 119.4
GTEX-1QPFJ-2026-SM-EVYBE 30-39 years, female 119.3
GTEX-1AX8Z-0926-SM-731AW 60-69 years, male 119.2
GTEX-13NZ8-0126-SM-5IJCT 60-69 years, female 119.1
GTEX-ZDXO-0126-SM-5S2ND 60-69 years, male 118.9
GTEX-1I1HK-2426-SM-ADEHX 60-69 years, male 118.9
GTEX-13W46-0826-SM-5LU3H 50-59 years, male 118.8
GTEX-1P4AB-1826-SM-E76PU 50-59 years, male 118.8
GTEX-1POEN-0926-SM-DTX88 30-39 years, female 118.6
GTEX-1HR98-0426-SM-COH36 60-69 years, male 118.1
GTEX-ZZPU-0626-SM-5E43T 50-59 years, female 117.8
GTEX-1H1CY-2226-SM-9WG7E 60-69 years, female 117.6
GTEX-1MCYP-0126-SM-E6CIS 20-29 years, female 117.6
GTEX-11LCK-2426-SM-5HL5F 30-39 years, male 116.8
GTEX-1IDJH-2226-SM-E6CJV 70-79 years, male 116.8
GTEX-1K2DA-1726-SM-CGQGS 50-59 years, male 116.6
GTEX-16BQI-1026-SM-7KUEA 30-39 years, female 116.5
GTEX-ZEX8-2226-SM-57WC6 50-59 years, male 116.1
GTEX-ZZ64-1226-SM-5E43R 20-29 years, male 115.9
GTEX-1QP9N-1826-SM-E8VMP 30-39 years, male 115.8
GTEX-1GMR8-0726-SM-9KNVI 50-59 years, female 115.6
GTEX-1C475-1226-SM-7SB72 40-49 years, female 115.4
GTEX-11DXZ-1926-SM-5GZZL 50-59 years, male 115.1
GTEX-ZAJG-0626-SM-5HL8X 50-59 years, female 115.1
GTEX-1LSNM-1326-SM-E9TJ1 50-59 years, male 115.0
GTEX-1H3VY-0926-SM-ACKXE 50-59 years, male 113.7
GTEX-1E2YA-2726-SM-7IGPW 50-59 years, male 110.8
GTEX-17JCI-0726-SM-7EPH1 60-69 years, female 110.7
GTEX-1I19N-2826-SM-CL55D 70-79 years, male 110.0
GTEX-ZTTD-1026-SM-51MRD 50-59 years, male 109.1
GTEX-S33H-0326-SM-4AD6N 30-39 years, male 108.7
GTEX-1HBPN-2326-SM-9WPPU 50-59 years, male 108.6
GTEX-145MO-0826-SM-5NQBL 60-69 years, male 108.4
GTEX-1C64O-0726-SM-7DUFU 60-69 years, male 108.1
GTEX-Y5LM-1726-SM-4VDSX 40-49 years, female 107.8
GTEX-ZAK1-1326-SM-EVYAS 50-59 years, female 107.7
GTEX-T2YK-2226-SM-32QPT 50-59 years, male 107.4
GTEX-RWS6-1926-SM-47JXY 60-69 years, female 106.9
GTEX-XMK1-1126-SM-4IHJ8 40-49 years, male 105.6
GTEX-13O3Q-2226-SM-5KM4O 50-59 years, male 105.5
GTEX-ZPIC-1126-SM-5BC7F 40-49 years, female 105.4
GTEX-139TU-0626-SM-5KM3X 60-69 years, male 105.1
GTEX-15SHW-1326-SM-6PAL8 60-69 years, male 105.1
GTEX-17HG3-0126-SM-7IGNH 30-39 years, female 104.1
GTEX-ZVT4-1026-SM-57WC4 50-59 years, female 104.0
GTEX-1NUQO-2226-SM-E9U68 20-29 years, female 103.3
GTEX-14PJO-0726-SM-69LO8 60-69 years, male 103.2
GTEX-14AS3-1626-SM-5S2OY 40-49 years, female 102.9
GTEX-PSDG-1626-SM-48TCQ 50-59 years, male 102.8
GTEX-13W3W-1226-SM-5LU4H 60-69 years, female 102.7
GTEX-11GSP-0926-SM-9WYSG 60-69 years, female 102.6
GTEX-1EN7A-1426-SM-7PBY4 40-49 years, male 102.6
GTEX-12WSK-2226-SM-5GCO5 40-49 years, female 102.3
GTEX-12WSN-1326-SM-5GCNT 40-49 years, male 102.1
GTEX-1J8EW-2626-SM-CL53E 60-69 years, female 102.1
GTEX-TMMY-0726-SM-33HBE 40-49 years, female 101.9
GTEX-1313W-0826-SM-5EQ4T 50-59 years, female 101.7
GTEX-ZV6S-1826-SM-5NQ8D 40-49 years, female 101.6
GTEX-X62O-0526-SM-EWRMA 50-59 years, male 101.6
GTEX-1I6K7-1026-SM-A9SLK 40-49 years, male 100.5
GTEX-1M4P7-2626-SM-E9U5F 60-69 years, male 100.0
GTEX-1QEPI-0926-SM-DTXF3 60-69 years, female 99.6
GTEX-1211K-1926-SM-5EQLB 60-69 years, female 99.3
GTEX-1F5PL-1026-SM-7RHI1 40-49 years, female 99.3
GTEX-1IDJF-2326-SM-ARL86 20-29 years, male 99.3
GTEX-1QMI2-0726-SM-E9J4F 60-69 years, male 98.6
GTEX-146FH-0826-SM-5SI8T 50-59 years, female 98.3
GTEX-14E7W-0826-SM-62LEJ 70-79 years, male 98.1
GTEX-1K9T9-1426-SM-DIPFQ 50-59 years, female 98.0
GTEX-YB5K-1626-SM-5IFIN 40-49 years, female 97.9
GTEX-1H1DG-0526-SM-9YFLN 70-79 years, male 97.0
GTEX-13PVR-2226-SM-7DHKP 60-69 years, female 96.9
GTEX-1KXAM-1026-SM-CY8IA 60-69 years, male 96.6
GTEX-Y5V5-2126-SM-4WWFO 60-69 years, female 96.4
GTEX-15EOM-5019-SM-793DK 20-29 years, female 96.0
GTEX-1HR9M-2426-SM-ACKXI 60-69 years, male 95.9
GTEX-UPK5-2326-SM-3P5Z8 40-49 years, male 95.7
GTEX-Y8E4-1626-SM-5S2MW 40-49 years, male 95.2
GTEX-ZLWG-1926-SM-DO92J 50-59 years, female 95.0
GTEX-1R7EV-1526-SM-E8VOD 40-49 years, male 94.8
GTEX-QDT8-0626-SM-48TYW 30-39 years, female 93.9
GTEX-1HT8W-2226-SM-CGQEC 30-39 years, male 93.9
GTEX-ZDTT-2126-SM-DKPOM 60-69 years, male 93.7
GTEX-1IGQW-0926-SM-ADEH6 60-69 years, male 93.6
GTEX-1JJE9-2326-SM-ARL8Q 70-79 years, male 92.4
GTEX-13CF3-2126-SM-5IFJP 60-69 years, female 91.9
GTEX-14BMV-0626-SM-793AU 50-59 years, male 91.7
GTEX-VUSG-2226-SM-4KKZO 50-59 years, male 91.4
GTEX-1NV8Z-2826-SM-E8VME 60-69 years, male 90.5
GTEX-132NY-0826-SM-5K7Y7 60-69 years, male 89.9
GTEX-1JMQK-2626-SM-COH2W 60-69 years, male 89.7
GTEX-1LBAC-0926-SM-CXKY9 20-29 years, male 89.5
GTEX-1I4MK-1626-SM-CM2TJ 50-59 years, female 89.2
GTEX-17MFQ-0926-SM-7LG4S 20-29 years, male 89.0
GTEX-183FY-1126-SM-7DHLJ 20-29 years, male 88.6
GTEX-13113-5013-SM-7SB7G 60-69 years, female 88.5
GTEX-1192X-2326-SM-5987X 50-59 years, male 88.0
GTEX-117XS-1926-SM-5GICO 60-69 years, male 87.9
GTEX-Z9EW-1526-SM-EZ6LU 40-49 years, male 87.9
GTEX-13VXU-2826-SM-664MA 50-59 years, male 87.1
GTEX-ZQG8-0726-SM-5P9H9 60-69 years, female 87.1
GTEX-1GZHY-0726-SM-9WG6B 50-59 years, female 86.9
GTEX-1HFI7-0126-SM-CGQFQ 50-59 years, female 86.3
GTEX-QEL4-2126-SM-447AE 50-59 years, male 85.5
GTEX-1KAFJ-0226-SM-DIPEL 50-59 years, male 84.9
GTEX-1LVAN-1326-SM-CNPQE 50-59 years, female 84.9
GTEX-QMRM-1626-SM-D4P1U 50-59 years, male 84.7
GTEX-Y9LG-1426-SM-5IFJZ 30-39 years, male 83.7
GTEX-1GZ4H-0326-SM-7P8QX 50-59 years, female 83.3
GTEX-U3ZH-1426-SM-4DXSR 30-39 years, male 83.1
GTEX-1GF9X-1026-SM-ACKX2 40-49 years, female 83.0
GTEX-1GMR2-1926-SM-9MQLZ 50-59 years, male 83.0
GTEX-12KS4-0126-SM-5Q5A5 30-39 years, male 82.9
GTEX-ZY6K-1626-SM-5GZWV 50-59 years, male 82.8
GTEX-1C6WA-2426-SM-7SB86 60-69 years, male 82.7
GTEX-1R9JW-0326-SM-EAZ45 30-39 years, female 82.7
GTEX-1JMLX-2026-SM-CMKGN 50-59 years, male 82.6
GTEX-XMD1-0826-SM-4AT52 60-69 years, male 82.0
GTEX-1MCC2-2126-SM-EWRON 30-39 years, female 81.9
GTEX-T6MO-0326-SM-32QOK 40-49 years, female 81.7
GTEX-11ZUS-0826-SM-5FQUY 30-39 years, male 80.7
GTEX-ZYFC-0826-SM-5E44K 50-59 years, male 80.0
GTEX-11NV4-2026-SM-5N9DG 60-69 years, male 79.9
GTEX-ZAB4-2526-SM-5HL8M 40-49 years, male 79.9
GTEX-1R9PM-1826-SM-EVYBH 20-29 years, male 79.7
GTEX-R55D-0826-SM-48FEA 50-59 years, male 78.7
GTEX-1I6K6-0826-SM-ARL7Z 30-39 years, male 78.7
GTEX-1JN6P-2426-SM-ARL99 60-69 years, male 78.6
GTEX-1B8L1-2426-SM-9WYTE 60-69 years, male 78.2
GTEX-1GPI7-0926-SM-7PC3J 20-29 years, male 78.0
GTEX-1MJK3-1126-SM-E9J3F 20-29 years, male 77.9
GTEX-18A6Q-0926-SM-7LG4N 60-69 years, male 77.7
GTEX-1IOXB-1926-SM-ARL8E 50-59 years, male 77.7
GTEX-16YQH-2826-SM-6PAMY 30-39 years, male 77.6
GTEX-13D11-1026-SM-5IJFB 50-59 years, female 77.5
GTEX-YJ8O-2226-SM-5IFHW 40-49 years, female 77.3
GTEX-ZTPG-2826-SM-57WGA 20-29 years, female 77.3
GTEX-1B97J-0426-SM-79OLQ 50-59 years, female 77.1
GTEX-1KD4Q-2326-SM-D4P3M 40-49 years, male 77.1
GTEX-17F97-2526-SM-7EWDV 50-59 years, male 76.0
GTEX-1OKEX-0826-SM-E9J2B 60-69 years, male 75.9
GTEX-QVJO-1826-SM-447C9 60-69 years, female 75.7
GTEX-ZUA1-1526-SM-59HLS 40-49 years, male 75.3
GTEX-WY7C-2726-SM-3NB3P 50-59 years, male 75.2
GTEX-1122O-1226-SM-5H113 60-69 years, female 74.9
GTEX-1HSMO-0826-SM-ADEIV 60-69 years, male 74.7
GTEX-13FTX-1126-SM-5N9EN 20-29 years, female 74.2
GTEX-1S82Z-0726-SM-E6CHX 30-39 years, female 73.9
GTEX-1EKGG-2626-SM-7IGPY 60-69 years, male 73.4
GTEX-15RJE-2626-SM-7KFT1 40-49 years, male 72.8
GTEX-18465-2026-SM-718AP 50-59 years, male 72.2
GTEX-1QP28-1226-SM-E9J2M 50-59 years, female 71.8
GTEX-S7SE-0826-SM-4AT4D 50-59 years, male 71.6
GTEX-1I1GV-2426-SM-CGQFM 60-69 years, male 71.6
GTEX-17EVQ-0426-SM-7LG57 70-79 years, male 71.5
GTEX-YB5E-1726-SM-5IFJ3 40-49 years, male 71.4
GTEX-11OF3-1926-SM-59889 60-69 years, male 71.2
GTEX-144GM-0926-SM-5O994 20-29 years, male 71.2
GTEX-1NHNU-0926-SM-E9J2T 50-59 years, male 70.1
GTEX-1MA7X-1626-SM-E9U5B 60-69 years, male 69.8
GTEX-X261-0626-SM-3NMD9 50-59 years, male 69.7
GTEX-XUW1-2326-SM-4BOO5 50-59 years, female 69.6
GTEX-1QCLZ-2326-SM-DTXDO 60-69 years, female 69.6
GTEX-1R46S-2526-SM-E8VN2 60-69 years, female 69.0
GTEX-TKQ2-1826-SM-33HB2 50-59 years, male 68.9
GTEX-1GF9U-1726-SM-7MGY5 40-49 years, female 68.5
GTEX-1EWIQ-1726-SM-7SB7T 70-79 years, female 68.1
GTEX-12WSM-1726-SM-5BC6J 60-69 years, male 67.6
GTEX-13QJ3-0826-SM-7DHKK 50-59 years, male 67.6
GTEX-15UF7-0726-SM-6M46D 40-49 years, male 67.3
GTEX-1KD5A-1926-SM-DKPQA 50-59 years, male 67.3
GTEX-13OW8-0226-SM-5K7UP 60-69 years, male 67.1
GTEX-XV7Q-2326-SM-4BRVZ 40-49 years, female 66.8
GTEX-YECK-0726-SM-EZ6LV 60-69 years, male 66.6
GTEX-11ZTT-2326-SM-5EQLG 60-69 years, female 66.5
GTEX-1IDJU-1826-SM-CMKHV 60-69 years, female 66.0
GTEX-11O72-2126-SM-5N9FO 40-49 years, male 65.6
GTEX-ZYT6-0126-SM-5E45J 30-39 years, male 65.1
GTEX-1JK1U-1826-SM-ARL8W 60-69 years, male 64.8
GTEX-17F96-2426-SM-7IGLN 70-79 years, male 64.2
GTEX-WFON-1826-SM-3GILG 40-49 years, male 64.2
GTEX-11GSO-1926-SM-5A5K3 60-69 years, male 64.0
GTEX-1L5NE-2126-SM-CY8IH 50-59 years, male 64.0
GTEX-Y5V6-2126-SM-4WWFX 60-69 years, male 63.9
GTEX-1J8Q3-1326-SM-CMKI1 60-69 years, male 63.2
GTEX-11EQ9-1826-SM-5Q5AJ 30-39 years, male 62.8
GTEX-1H4P4-2226-SM-9MQKQ 50-59 years, male 62.6
GTEX-1HCUA-0726-SM-ACKVU 50-59 years, female 62.6
GTEX-1N2EF-2226-SM-E9J33 60-69 years, male 62.3
GTEX-R53T-1526-SM-48FEK 50-59 years, female 62.0
GTEX-1I1GU-1026-SM-ADEHJ 40-49 years, male 62.0
GTEX-1JMOU-2026-SM-CMKGU 60-69 years, female 61.8
GTEX-11DXY-2326-SM-5GICW 60-69 years, male 61.6
GTEX-1HBPM-0126-SM-ARL9E 60-69 years, female 61.6
GTEX-1F5PK-2126-SM-7PC28 50-59 years, male 61.5
GTEX-1AMEY-1026-SM-718AA 30-39 years, female 60.7
GTEX-1AX9I-0726-SM-73KWV 60-69 years, male 60.5
GTEX-1B8KE-1226-SM-73KWK 50-59 years, male 59.5
GTEX-U8XE-0826-SM-4E3J1 30-39 years, male 59.3
GTEX-144GL-2026-SM-5LU3O 50-59 years, male 58.7
GTEX-YEC3-1026-SM-5IFI5 50-59 years, male 58.3
GTEX-W5X1-2326-SM-3GIL6 40-49 years, female 58.0
GTEX-1H11D-1526-SM-9MQJY 40-49 years, male 57.5
GTEX-1LGRB-1826-SM-CNPQL 50-59 years, female 57.1
GTEX-14PJ4-2126-SM-6ETZJ 60-69 years, male 56.8
GTEX-XQ3S-1326-SM-4BOPQ 20-29 years, male 56.8
GTEX-1ICLY-1726-SM-B2LVT 50-59 years, male 56.6
GTEX-11DZ1-0326-SM-5N9BN 50-59 years, male 56.5
GTEX-1117F-2826-SM-5GZXL 60-69 years, female 56.4
GTEX-14E6C-1326-SM-62LEQ 40-49 years, male 56.2
GTEX-1I1GP-0426-SM-COH3N 50-59 years, male 56.1
GTEX-14753-2426-SM-5LU8U 60-69 years, male 56.0
GTEX-1IKOE-1326-SM-CE6T6 30-39 years, female 55.7
GTEX-17MF6-0326-SM-7EPH5 40-49 years, male 55.3
GTEX-1ICLZ-0426-SM-B2LW2 60-69 years, male 55.2
GTEX-1JKYN-0726-SM-ARZMY 30-39 years, male 54.8
GTEX-1QW4Y-1026-SM-DTXE2 30-39 years, male 53.9
GTEX-132AR-0826-SM-5EGK6 50-59 years, female 53.2
GTEX-13PVQ-1026-SM-5KM3M 50-59 years, male 53.2
GTEX-1LSVX-2426-SM-E6CJX 60-69 years, male 52.2
GTEX-169BO-1126-SM-7MGWN 50-59 years, male 51.8
GTEX-13N1W-0626-SM-5MR4U 70-79 years, male 51.7
GTEX-11NSD-0926-SM-5N9DR 20-29 years, male 51.5
GTEX-REY6-2426-SM-48FF5 60-69 years, male 51.0
GTEX-18A66-1726-SM-7LG5N 60-69 years, male 50.3
GTEX-1LG7Z-0726-SM-CXKYD 30-39 years, male 50.0
GTEX-S32W-2026-SM-4AD6E 50-59 years, female 49.3
GTEX-YFCO-1826-SM-4W1YH 40-49 years, male 49.3
GTEX-1PPH7-0826-SM-E8VNX 40-49 years, male 49.3
GTEX-11ONC-2126-SM-5HL6E 60-69 years, male 49.2
GTEX-1AX9J-1126-SM-731B7 60-69 years, male 48.9
GTEX-11I78-2226-SM-5PNYA 50-59 years, female 48.8
GTEX-1S82U-1126-SM-E9U6I 30-39 years, female 48.4
GTEX-1GF9V-2526-SM-7SB8K 60-69 years, male 48.0
GTEX-1IDFM-0426-SM-B2LVV 60-69 years, male 48.0
GTEX-1HCU9-0326-SM-9WYSC 20-29 years, male 47.6
GTEX-UTHO-1026-SM-3GAF7 60-69 years, male 46.9
GTEX-1RLM8-2226-SM-EVYD1 50-59 years, male 46.9
GTEX-13O61-1826-SM-5KM4I 60-69 years, male 46.0
GTEX-18A7B-2626-SM-7LG55 70-79 years, male 45.0
GTEX-XQ8I-2426-SM-4WAXY 50-59 years, male 44.8
GTEX-ZT9W-2026-SM-51MRA 50-59 years, male 44.8
GTEX-1KANC-1426-SM-CYPT9 50-59 years, female 44.1
GTEX-1LSNL-2826-SM-E9U5L 50-59 years, male 43.8
GTEX-1JKYR-0926-SM-CMKGJ 20-29 years, male 43.5
GTEX-183WM-0726-SM-7LTAA 70-79 years, female 43.3
GTEX-14DAR-1326-SM-7DUEG 50-59 years, male 42.9
GTEX-XGQ4-0926-SM-4AT4U 50-59 years, male 42.6
GTEX-11P82-1326-SM-5HL62 20-29 years, male 42.5
GTEX-1F75B-0626-SM-7SB8A 50-59 years, male 41.6
GTEX-ZLFU-2126-SM-DO931 40-49 years, male 41.2
GTEX-17F9E-2526-SM-7MGW2 50-59 years, male 40.8
GTEX-V955-2026-SM-3GAFA 60-69 years, male 40.6
GTEX-17GQL-0326-SM-7LG5U 60-69 years, male 38.6
GTEX-1HCU7-1026-SM-ADEIP 50-59 years, male 38.6
GTEX-14E6E-1326-SM-5S2NR 30-39 years, male 38.2
GTEX-17HGU-1326-SM-79OKB 50-59 years, male 36.0
GTEX-1C6VQ-0426-SM-79OOX 50-59 years, male 35.5
GTEX-11TUW-1826-SM-5BC5D 60-69 years, male 34.6
GTEX-1CAMR-1426-SM-793BO 20-29 years, male 34.5
GTEX-1A3MX-2726-SM-718B6 60-69 years, male 30.5
GTEX-1H23P-0726-SM-9WG7K 60-69 years, male 30.4
GTEX-1H1ZS-0126-SM-9YFKQ 70-79 years, male 30.2
GTEX-145ME-1526-SM-5Q5F2 40-49 years, female 29.0
GTEX-ZWKS-2826-SM-5NQ74 30-39 years, male 28.7
GTEX-1LC47-1226-SM-D4P44 60-69 years, male 28.4
GTEX-1HSEH-2026-SM-ADEHN 60-69 years, male 27.3
GTEX-RUSQ-2026-SM-4GIAK 50-59 years, male 21.1
GTEX-11WQK-2426-SM-5GU5C 50-59 years, male 19.6
GTEX-13S86-1226-SM-5S2OA 40-49 years, male 17.2
Show allShow less

BREAST - FANTOM5 CAGEi

RNA expression in human tissues obtained through Cap Analysis of Gene Expression (CAGE) generated by the FANTOM5 project are reported as Scaled Tags Per Million.

Max subtype Scaled Tags Per Millioni

Max subtype Scaled Tags Per Million is the value for the subtype with the largest average Scaled Tags Per Million across the subtype samples.

136.1
FANTOM5 sample id Sample description Scaled Tags Per Million
Breast
Scaled Tags Per Million: 136.1
FF:10080-102A8 77 years, female 136.1

Contact

  • NEWS ARTICLES
  • PRESS ROOM

The Project

  • INTRODUCTION
  • ORGANIZATION
  • PUBLICATIONS

The Human Protein Atlas

  • DOWNLOADABLE DATA
  • LICENCE & CITATION
  • HELP & FAQ
The Human Protein Atlas project is funded
by the Knut & Alice Wallenberg Foundation.


contact@proteinatlas.org