We use cookies to enhance the usability of our website. If you continue, we'll assume that you are happy to receive all cookies. More information. Don't show this again.
H1-0
HPA
RESOURCES
  • TISSUE
  • BRAIN
  • SINGLE CELL
  • SUBCELLULAR
  • CANCER
  • BLOOD
  • CELL LINE
  • STRUCTURE & INTERACTION
ABOUT
  • INTRODUCTION
  • HISTORY
  • ORGANIZATION
  • PUBLICATIONS
  • ANTIBODY SUBMISSION
  • ANTIBODY AVAILABILITY
  • ACKNOWLEDGMENTS
  • CONTACT
NEWS
  • NEWS ARTICLES
  • PRESS ROOM
LEARN
  • DICTIONARY
  • PROTEIN CLASSES
  • PROTEIN EVIDENCE
  • METHODS
  • EDUCATIONAL VIDEOS
DATA
  • DOWNLOADABLE DATA
  • PUBLICATION DATA
  • RELEASE HISTORY
HELP
  • ANTIBODY VALIDATION
  • ASSAYS & ANNOTATION
  • DISCLAIMER
  • HELP & FAQ
  • PRIVACY STATEMENT
  • LICENCE & CITATION
Fields »
Search result

Field
Term
Gene name
Class
Subclass
Class
Keyword
Chromosome
External id
Tissue
Cell type
Expression
Antibody panel
Tissue
Main location
Patient ID
Annotation
Tissue
Category
Tau score
Cluster
Reliability
Brain region
Category
Tau score
Brain region
Category
Tau score
Brain region
Category
Tau score
Cluster
Reliability
Tissue
Cell type
Enrichment
Cell type
Category
Tau score
Cell type
Category
Tau score
Cell type
Category
Tau score
Cell lineage
Category
Tau score
Cluster
Cluster
Location
Searches
Location
Cell line
Class
Type
Phase
Reliability
Cancer
Prognosis
Cancer
Category
Cancer
Category
Tau score
Cluster
Variants
Interacting gene (ensg_id)
Type
Number of interactions
Pathway
Category
Score
Score
Score
Validation
Validation
Validation
Validation
Antibodies
Data type
Column


  • SUMMARY

  • TISSUE

  • BRAIN

  • SINGLE CELL

  • SUBCELL

  • CANCER

  • BLOOD

  • CELL LINE

  • STRUCT & INT

  • H1-0
TISSUE PRIMARY DATA SKELETAL MUSCLE Show tissue menu
ADIPOSE TISSUE ADRENAL GLAND AMYGDALA APPENDIX BASAL GANGLIA BONE MARROW BREAST BRONCHUS CEREBELLUM CEREBRAL CORTEX CERVIX CHOROID PLEXUS COLON DUODENUM
ENDOMETRIUM EPIDIDYMIS ESOPHAGUS FALLOPIAN TUBE GALLBLADDER HEART MUSCLE HIPPOCAMPAL FORMATION HYPOTHALAMUS KIDNEY LIVER LUNG LYMPH NODE MIDBRAIN NASOPHARYNX
ORAL MUCOSA OVARY PANCREAS PARATHYROID GLAND PITUITARY GLAND PLACENTA PROSTATE RECTUM RETINA SALIVARY GLAND SEMINAL VESICLE SKELETAL MUSCLE SKIN SMALL INTESTINE
SMOOTH MUSCLE SOFT TISSUE SPINAL CORD SPLEEN STOMACH TESTIS THYMUS THYROID GLAND TONGUE TONSIL URINARY BLADDER VAGINA
ANTIBODIES
AND
VALIDATION
Dictionary
Skeletal muscle
Tissue proteome
Skeletal muscle
SKELETAL MUSCLE - Expression summary
Protein expression
Skeletal musclei

On the top, protein expression in current human tissue, based on all annotated cell types, is reported with the units not detected (n), low (l), medium (m) and high (h). Underneath, protein expression in each annotated cell type are reported using the same units.

Protein expression data is based on knowledge-based annotation. For genes where more than one antibody has been used, a collective score is set.

If knowledge-based annotation could not be performed for a gene, no data is displayed here. View antibody staining data further down this page.

h
m
l
n
Myocytes: High
RNA expressioni

A summary of mRNA expression data available for current tissue based on several datasets. The mRNA expression levels in human tissues are based on RNA-seq data generated by the Human Protein Atlas (HPA), Genotype-Tissue Expression (GTEx) portal and CAGE data generated by the FANTOM5 consortium. Consensus normalized expression levels for human tissues was created by combining the data from HPA and GTEx datasets.

The mRNA expression levels in pig are based on RNA-seq data generated by the Human Protein Atlas (HPA), and for mouse, HPA data and in situ hybridization generated by the Allen brain atlas are reported.

Scroll down to view mRNA expression data in more detail.
Consensus:222.6 nTPM
HPA:222.6 nTPM
GTEx:189.8 nTPM
FANTOM5:312.5 Scaled Tags Per Million

SKELETAL MUSCLE - Antibody stainingi

Antibody staining in the annotated cell types in the current human tissue is reported as not detected, low, medium, or high, based on conventional immunohistochemistry profiling in selected tissues. This score is based on the combination of the staining intensity and fraction of stained cells.

Each image is clickable and will lead to virtual microscopy that enables deeper exploration of all samples and also displays staining intensity scores, fraction scores and subcellular localization as well as patient and tissue information for each sample.

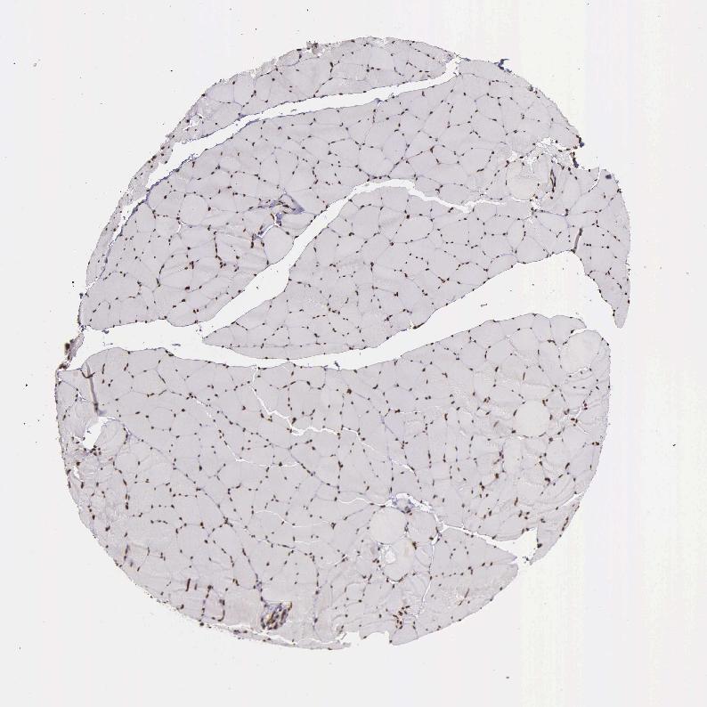
Antibody HPA000843
Myocytes High



SKELETAL MUSCLE - HPA RNA-seqi

The RNA-seq details section shows detailed information about the individual samples used for the transcript profiling and results of the RNA-seq analysis.

Information about each individual sample is listed below, including gender, age, a tissue section image and estimated fractions of cell types. nTPM (normalized transcripts per million) values give a quantification of the gene abundance which is comparable between different genes and samples.
Average nTPMi

Max subtype nTPM is the value for the subtype with the largest average nTPM across the subtype samples.

222.6
N/A
Male, age 23
Skeletal muscle sample 339
nTPM: 179.3
N/A
Female, age 25
Skeletal muscle sample 340
nTPM: 231.2
N/A
Female, age -
Skeletal muscle sample 341
nTPM: 226.8
N/A
Female, age 22
Skeletal muscle sample 342
nTPM: 272.2
N/A
Male, age 29
Skeletal muscle sample 343
nTPM: 203.4

SKELETAL MUSCLE - GTEx RNA-seqi

RNA-Seq data generated by the Genotype-Tissue Expression (GTEx) project from human tissues is reported as mean nTPM. More information can be found on the GTEx portal.

Distribution across the dataset is visualized with box plots, shown as median and 25th and 75th percentiles. Points are displayed as outliers if they are above or below 1.5 times the interquartile range. nTPM values of the individual samples are presented next to the box plot.
Max subtype nTPMi

Max subtype nTPM is the value for the subtype with the largest average nTPM across the subtype samples.

189.8
GTEx sample id Sample description nTPM
Muscle - Skeletal
Average nTPM: 189.8
Samples: 803

Max nTPM: 1299.9
Min nTPM: 26.9
Std nTPM: 121.9
Median nTPM: 165.9
GTEX-11EM3-2126-SM-5H11M 20-29 years, female 1299.9
GTEX-14H4A-0926-SM-5ZZUU 40-49 years, female 1093.2
GTEX-WOFM-1326-SM-3MJFR 20-29 years, male 1050.5
GTEX-13QBU-2426-SM-5LU4L 40-49 years, female 849.6
GTEX-1ICG6-2726-SM-CKZPN 70-79 years, female 781.8
GTEX-OIZI-0626-SM-2XCEH 40-49 years, male 719.2
GTEX-ZP4G-2026-SM-57WEH 20-29 years, female 628.8
GTEX-1I1GT-0726-SM-B2LWN 60-69 years, female 617.6
GTEX-TML8-1826-SM-32QOR 40-49 years, female 588.4
GTEX-P44G-0526-SM-2XCD1 30-39 years, male 581.4
GTEX-P4PQ-1626-SM-2HMKK 60-69 years, male 576.5
GTEX-WHSB-1826-SM-3TW8M 50-59 years, male 572.6
GTEX-12C56-1926-SM-5FQUG 20-29 years, male 560.8
GTEX-OXRL-1626-SM-2YUMU 50-59 years, male 551.2
GTEX-1MJIX-2126-SM-E9J3A 40-49 years, male 551.2
GTEX-ZDYS-1726-SM-5HL4Y 50-59 years, male 548.6
GTEX-ZV7C-2426-SM-5NQ7Q 50-59 years, male 529.8
GTEX-QCQG-2126-SM-DTXFV 50-59 years, female 528.4
GTEX-XPT6-2026-SM-4B64V 20-29 years, male 514.1
GTEX-1B97I-2026-SM-7DHN2 40-49 years, male 507.3
GTEX-Y8LW-2026-SM-4V6G8 50-59 years, female 499.1
GTEX-ZVT2-2426-SM-57WCQ 50-59 years, female 496.6
GTEX-15DZA-2026-SM-6PANE 30-39 years, female 495.4
GTEX-11TT1-2326-SM-5GU6N 20-29 years, male 485.7
GTEX-WFG7-2226-SM-3GIKP 20-29 years, male 475.4
GTEX-11VI4-1926-SM-5CVLI 40-49 years, female 472.1
GTEX-PWN1-1626-SM-2S1OL 40-49 years, female 467.9
GTEX-QV31-1426-SM-2S1QD 30-39 years, male 454.6
GTEX-16NGA-1926-SM-7LTA6 40-49 years, female 454.0
GTEX-1QP66-1626-SM-E76PC 50-59 years, male 452.8
GTEX-Y114-2526-SM-4TT8M 50-59 years, female 449.7
GTEX-13JVG-0126-SM-5L3D3 60-69 years, male 443.1
GTEX-12BJ1-2526-SM-5FQUE 60-69 years, male 442.4
GTEX-1AMFI-2226-SM-731C6 50-59 years, female 441.9
GTEX-1IDJE-2426-SM-ACKWF 50-59 years, female 438.5
GTEX-1PIEJ-0326-SM-EVYB5 20-29 years, female 433.3
GTEX-1R9PN-1826-SM-E8VO4 40-49 years, female 424.1
GTEX-1HKZK-0226-SM-9WYUG 40-49 years, male 408.1
GTEX-ZA64-2026-SM-5PNXT 20-29 years, male 407.9
GTEX-XUZC-2126-SM-4BRW8 30-39 years, female 404.6
GTEX-1JMPY-1226-SM-CJI3A 30-39 years, male 400.4
GTEX-13111-2226-SM-5LZUE 50-59 years, male 399.6
GTEX-1PDJ9-0526-SM-DTXDL 20-29 years, male 397.4
GTEX-1HBPN-0526-SM-A9SM6 50-59 years, male 394.2
GTEX-16XZY-2226-SM-7938N 70-79 years, male 384.0
GTEX-ZPIC-2526-SM-57WDP 40-49 years, female 381.1
GTEX-S32W-2326-SM-2XCAW 50-59 years, female 380.3
GTEX-14BIL-0326-SM-5SI9Q 50-59 years, male 379.3
GTEX-11WQK-0726-SM-5GU71 50-59 years, male 379.0
GTEX-14JG6-2126-SM-6EU2F 30-39 years, female 378.3
GTEX-15DCD-0626-SM-7KUG7 70-79 years, female 370.7
GTEX-ZTX8-1626-SM-51MRY 20-29 years, male 369.8
GTEX-17EUY-0626-SM-793BE 20-29 years, male 369.7
GTEX-1C475-1726-SM-73KVX 40-49 years, female 364.4
GTEX-1IDJU-2426-SM-ARZM9 60-69 years, female 364.4
GTEX-ZQUD-1726-SM-7P8ON 30-39 years, male 363.9
GTEX-13FTW-2326-SM-5K7YS 40-49 years, male 360.0
GTEX-145MN-2426-SM-5NQA5 30-39 years, male 360.0
GTEX-1HSGN-0326-SM-ACKXQ 40-49 years, female 359.3
GTEX-WHPG-2226-SM-3NMBO 50-59 years, male 359.2
GTEX-111CU-2026-SM-5GZZC 50-59 years, male 355.2
GTEX-13PL7-0626-SM-5IJCD 60-69 years, female 355.0
GTEX-14E6C-1526-SM-664ND 40-49 years, male 353.9
GTEX-1S83E-2126-SM-EWRO6 40-49 years, male 353.9
GTEX-1A3MV-2026-SM-718BU 30-39 years, male 352.2
GTEX-13O21-1726-SM-5MR5A 50-59 years, male 349.0
GTEX-11O72-0326-SM-5986D 40-49 years, male 348.1
GTEX-P4PP-1626-SM-2HMJF 30-39 years, female 347.8
GTEX-1MUQO-0226-SM-E9TJL 60-69 years, male 347.4
GTEX-1LGRB-2626-SM-CNPPR 50-59 years, female 343.3
GTEX-REY6-0826-SM-2TF4S 60-69 years, male 342.7
GTEX-14PJO-0526-SM-6EU2O 60-69 years, male 342.4
GTEX-1S5ZA-0526-SM-EWRO1 20-29 years, male 339.1
GTEX-14A5H-0326-SM-5RQIB 60-69 years, male 338.5
GTEX-169BO-1526-SM-9KNVR 50-59 years, male 338.5
GTEX-17F98-1626-SM-7938R 40-49 years, female 338.1
GTEX-11LCK-1226-SM-5Q5AM 30-39 years, male 334.7
GTEX-PLZ6-1526-SM-2S1OC 30-39 years, male 334.1
GTEX-13113-5019-SM-7EPH2 60-69 years, female 333.6
GTEX-13OVI-1726-SM-5L3DW 60-69 years, female 328.6
GTEX-1269C-2626-SM-5EQ5C 60-69 years, female 328.2
GTEX-WRHK-1626-SM-3MJFH 20-29 years, female 328.0
GTEX-Y8E4-1026-SM-4VBQ5 40-49 years, male 321.6
GTEX-1MJK3-1426-SM-E9TK1 20-29 years, male 318.9
GTEX-SE5C-1826-SM-2XCE4 40-49 years, female 313.0
GTEX-1QCLY-0426-SM-E8VOH 30-39 years, male 312.7
GTEX-1B932-0526-SM-73KU7 40-49 years, female 312.5
GTEX-ZQG8-1226-SM-51MRX 60-69 years, female 311.4
GTEX-14PJ3-2026-SM-5ZZVK 50-59 years, male 309.6
GTEX-XAJ8-1026-SM-47JY9 40-49 years, male 308.1
GTEX-YEC4-2226-SM-5IFJT 40-49 years, male 307.3
GTEX-11XUK-2226-SM-5CVLL 40-49 years, female 305.7
GTEX-1JMQJ-0126-SM-E6CI2 50-59 years, male 299.8
GTEX-1J1R8-2326-SM-CKZPS 40-49 years, male 295.8
GTEX-132AR-1026-SM-5PNVL 50-59 years, female 295.6
GTEX-1H3VY-0326-SM-9WYU6 50-59 years, male 295.4
GTEX-1A3MX-0526-SM-718A9 60-69 years, male 294.6
GTEX-XYKS-2426-SM-4AT43 60-69 years, female 293.4
GTEX-13X6H-2326-SM-7EWEB 50-59 years, female 290.3
GTEX-1GTWX-0326-SM-9WYTP 60-69 years, male 290.3
GTEX-P44H-0426-SM-2XCEZ 40-49 years, male 289.6
GTEX-15ER7-0226-SM-7KUEU 20-29 years, female 289.4
GTEX-1PWST-0426-SM-E76QV 70-79 years, male 287.3
GTEX-YB5E-2226-SM-5IFJ5 40-49 years, male 285.3
GTEX-1HGF4-2626-SM-CM2SJ 60-69 years, male 284.3
GTEX-1CB4F-0326-SM-9MQKD 60-69 years, male 284.2
GTEX-13O3P-0626-SM-5L3D5 50-59 years, male 283.5
GTEX-SSA3-0326-SM-32QPS 60-69 years, male 283.4
GTEX-139T6-2026-SM-5IFFL 50-59 years, male 282.9
GTEX-1HSMO-0526-SM-ACKXB 60-69 years, male 282.0
GTEX-1PPGY-0426-SM-DTXFE 60-69 years, male 282.0
GTEX-147GR-0126-SM-62LER 60-69 years, male 280.6
GTEX-13QJ3-0726-SM-5SI68 50-59 years, male 277.9
GTEX-ZF2S-2126-SM-4WWAY 50-59 years, female 277.9
GTEX-1LG7Y-0126-SM-E6CJ8 50-59 years, male 277.4
GTEX-15SHV-2526-SM-6PAMG 60-69 years, male 276.2
GTEX-1HC8U-2626-SM-CNPPH 40-49 years, female 272.7
GTEX-1HCU6-0526-SM-A9SKU 60-69 years, female 272.5
GTEX-XUYS-0326-SM-47JX2 50-59 years, male 271.0
GTEX-1IDJH-0226-SM-CYPSB 70-79 years, male 270.9
GTEX-13PVR-2526-SM-5RQIT 60-69 years, female 270.4
GTEX-13RTK-1626-SM-5QGQS 20-29 years, male 270.2
GTEX-11DXW-0726-SM-5H12J 40-49 years, male 270.0
GTEX-12WSM-0326-SM-5LZVI 60-69 years, male 268.9
GTEX-WY7C-2526-SM-3NB2N 50-59 years, male 268.2
GTEX-1212Z-2626-SM-5YY8P 60-69 years, male 265.5
GTEX-15RIF-2126-SM-7KUM8 20-29 years, male 264.5
GTEX-144GN-2426-SM-5LU4R 50-59 years, male 264.2
GTEX-YF7O-2526-SM-5IFJX 50-59 years, male 264.0
GTEX-ZYW4-0526-SM-5GZZ5 60-69 years, male 263.3
GTEX-YB5K-2326-SM-5IFHD 40-49 years, female 263.1
GTEX-14PJN-2126-SM-6AJBM 30-39 years, male 262.2
GTEX-11UD2-0326-SM-5EQLE 50-59 years, male 259.4
GTEX-14E6E-2026-SM-664N5 30-39 years, male 259.4
GTEX-15SHW-0726-SM-7KUEI 60-69 years, male 258.9
GTEX-ZGAY-0726-SM-DO91O 40-49 years, female 258.4
GTEX-SNMC-1426-SM-2XCFM 20-29 years, male 258.2
GTEX-Y3I4-2326-SM-4TT81 50-59 years, male 256.1
GTEX-S95S-1426-SM-2XCDM 60-69 years, male 255.5
GTEX-WYVS-2326-SM-3NMAI 40-49 years, female 255.5
GTEX-1H1DG-0326-SM-9QEHK 70-79 years, male 254.1
GTEX-13PLJ-0326-SM-5L3I7 60-69 years, female 253.6
GTEX-1KD5A-0726-SM-DIPEO 50-59 years, male 252.5
GTEX-147F3-0226-SM-5NQBV 50-59 years, female 251.6
GTEX-13NZ9-0626-SM-5IJCO 50-59 years, male 251.4
GTEX-P4QT-1626-SM-DHXIR 50-59 years, female 251.2
GTEX-TSE9-0526-SM-3DB7Z 60-69 years, female 251.0
GTEX-XV7Q-2926-SM-4BRUL 40-49 years, female 250.1
GTEX-15SDE-2326-SM-6PAL4 50-59 years, female 249.5
GTEX-12584-0526-SM-5FQTS 40-49 years, male 249.1
GTEX-139TU-0526-SM-5J2M8 60-69 years, male 249.1
GTEX-Y8E5-0326-SM-57WBM 60-69 years, male 248.8
GTEX-1IDJD-1326-SM-CM2TQ 30-39 years, male 248.4
GTEX-13S7M-0326-SM-5S2PH 60-69 years, female 245.7
GTEX-14PJ2-0326-SM-6EU2Q 50-59 years, male 244.9
GTEX-15ETS-0326-SM-6PANH 40-49 years, female 244.5
GTEX-1LGOU-2126-SM-DIPFG 20-29 years, female 244.4
GTEX-XOT4-0526-SM-4B66O 60-69 years, female 244.3
GTEX-16AAH-1826-SM-7939D 50-59 years, male 243.5
GTEX-15SB6-1826-SM-6PALN 50-59 years, female 243.4
GTEX-11ZVC-2726-SM-5FQSZ 50-59 years, female 243.0
GTEX-1S82Y-2226-SM-EWRNV 40-49 years, male 242.7
GTEX-18D9U-0626-SM-7LTA4 40-49 years, male 241.6
GTEX-OOBJ-1626-SM-2I3F7 60-69 years, male 240.3
GTEX-1CB4H-0426-SM-7MXTL 60-69 years, female 240.3
GTEX-ZYFC-0526-SM-5GIDF 50-59 years, male 239.5
GTEX-145MO-0726-SM-5NQB9 60-69 years, male 239.1
GTEX-13OVJ-0226-SM-5L3GK 50-59 years, female 238.7
GTEX-XBED-2626-SM-4E3J5 60-69 years, male 238.4
GTEX-15UKP-0326-SM-7KUFP 20-29 years, male 237.9
GTEX-13OW8-1426-SM-5IJDT 60-69 years, male 237.8
GTEX-RWS6-2126-SM-2XCAV 60-69 years, female 237.5
GTEX-11DXZ-2426-SM-5N9DT 50-59 years, male 237.2
GTEX-ZT9X-1826-SM-57WDU 40-49 years, male 236.8
GTEX-RTLS-0526-SM-2TF64 60-69 years, female 236.5
GTEX-14PJM-0426-SM-5ZZVN 50-59 years, female 236.0
GTEX-13RTJ-2726-SM-73KVG 60-69 years, male 235.9
GTEX-17HHE-2126-SM-7DHLO 50-59 years, male 235.4
GTEX-1B8SG-0326-SM-73KXW 50-59 years, male 233.5
GTEX-1H1E6-2126-SM-9KNVM 30-39 years, male 233.3
GTEX-1K2DA-2226-SM-CGQGM 50-59 years, male 232.4
GTEX-1LBAC-0326-SM-DIPF1 20-29 years, male 231.9
GTEX-145LT-1626-SM-5O992 40-49 years, male 230.8
GTEX-1BAJH-0126-SM-7DHMF 70-79 years, male 230.7
GTEX-131YS-0526-SM-5EGKJ 60-69 years, female 230.4
GTEX-14XAO-2226-SM-6LLHU 60-69 years, female 228.9
GTEX-T5JW-1826-SM-3GAE1 20-29 years, female 227.7
GTEX-1F88F-2526-SM-7PC2R 60-69 years, female 227.7
GTEX-1RAZR-0326-SM-EWRNM 40-49 years, male 227.2
GTEX-117XS-2526-SM-5H11G 60-69 years, male 226.6
GTEX-XBEW-1026-SM-4QARV 40-49 years, male 225.1
GTEX-17EVP-1326-SM-7DHMR 40-49 years, male 224.9
GTEX-YEC3-2126-SM-4YCDB 50-59 years, male 223.4
GTEX-139TT-0426-SM-5IJFA 60-69 years, male 223.0
GTEX-13FTX-2026-SM-5L3D6 20-29 years, female 222.4
GTEX-Y111-0326-SM-4SOIX 50-59 years, male 222.4
GTEX-17F96-2726-SM-7LT9F 70-79 years, male 222.3
GTEX-1HBPI-0226-SM-ADEJ7 50-59 years, male 222.2
GTEX-11PRG-0326-SM-5GU53 50-59 years, male 221.7
GTEX-1F75A-0626-SM-7PBYI 50-59 years, male 221.1
GTEX-1JN6P-0526-SM-COH33 60-69 years, male 220.4
GTEX-139T4-0326-SM-5K7XN 50-59 years, female 220.1
GTEX-132NY-0726-SM-5KLZM 60-69 years, male 219.9
GTEX-11P82-1826-SM-5PNYJ 20-29 years, male 219.3
GTEX-1J8QM-2226-SM-CYPSK 60-69 years, female 219.0
GTEX-1211K-2126-SM-59HJZ 60-69 years, female 218.7
GTEX-15SHU-0626-SM-7KUFH 40-49 years, female 218.7
GTEX-14DAQ-0326-SM-664MR 60-69 years, female 218.5
GTEX-RN64-0326-SM-2TC5J 50-59 years, male 218.5
GTEX-1HUB1-0526-SM-CL54N 60-69 years, male 218.2
GTEX-ZLWG-2126-SM-DO91M 50-59 years, female 218.2
GTEX-14C5O-0626-SM-664N2 60-69 years, male 217.0
GTEX-1N2DW-0426-SM-E9TK4 50-59 years, male 214.9
GTEX-1QAET-2026-SM-E9J3S 50-59 years, male 214.2
GTEX-13PVQ-0326-SM-5K7YF 50-59 years, male 214.0
GTEX-18QFQ-0326-SM-731C3 30-39 years, male 213.3
GTEX-17MF6-2026-SM-7LG5I 40-49 years, male 213.2
GTEX-1PIGE-0226-SM-E76OT 20-29 years, male 213.2
GTEX-13NYB-2726-SM-5J2MT 40-49 years, male 212.8
GTEX-148VJ-0326-SM-5QGQE 70-79 years, male 212.8
GTEX-X4EO-0526-SM-3P5Z3 60-69 years, female 212.5
GTEX-WEY5-2026-SM-CYPRC 40-49 years, female 212.5
GTEX-13JUV-2326-SM-5IJCE 40-49 years, female 211.7
GTEX-ZDXO-0326-SM-4WKHJ 60-69 years, male 211.4
GTEX-ZF28-0526-SM-4WKGW 60-69 years, male 211.4
GTEX-1CAMQ-0326-SM-7MXUI 40-49 years, male 210.7
GTEX-1HB9E-0326-SM-D3LA5 50-59 years, male 210.6
GTEX-ZVT4-0326-SM-51MS5 50-59 years, female 210.4
GTEX-1F48J-0526-SM-9WYSX 50-59 years, female 210.4
GTEX-13OVH-0626-SM-5L3EI 70-79 years, male 210.3
GTEX-ZF29-2426-SM-DO92G 60-69 years, female 210.1
GTEX-18D9A-1826-SM-718BK 30-39 years, female 209.0
GTEX-ZYT6-1626-SM-5E45R 30-39 years, male 208.7
GTEX-YBZK-0326-SM-59HLN 50-59 years, female 208.2
GTEX-1GMRU-0326-SM-9WYT6 50-59 years, male 208.2
GTEX-1I1HK-0326-SM-ACKW5 60-69 years, male 208.1
GTEX-15SKB-2526-SM-6PALP 60-69 years, male 207.9
GTEX-1I19N-2026-SM-ACKXJ 70-79 years, male 207.8
GTEX-144GL-0326-SM-5QGOY 50-59 years, male 206.9
GTEX-R55E-0526-SM-2TC6B 20-29 years, male 206.9
GTEX-QEG4-0626-SM-2S1OY 30-39 years, male 205.7
GTEX-ZE9C-2326-SM-5J1NT 60-69 years, male 205.6
GTEX-15CHQ-0726-SM-6EU18 60-69 years, male 205.1
GTEX-1QMI2-0526-SM-DTXFU 60-69 years, male 204.7
GTEX-117YW-2426-SM-5Q5AE 50-59 years, male 204.5
GTEX-1LSNL-0126-SM-EWRNR 50-59 years, male 204.5
GTEX-13FH7-2126-SM-5L3DJ 50-59 years, female 204.4
GTEX-12WSJ-1726-SM-5LZVV 40-49 years, female 204.2
GTEX-Q2AI-1526-SM-3GIJ3 40-49 years, male 204.2
GTEX-RNOR-0526-SM-2TF4O 50-59 years, female 204.1
GTEX-11P7K-1926-SM-5GU6R 30-39 years, male 204.0
GTEX-1HSMQ-1326-SM-ADEHS 50-59 years, male 204.0
GTEX-YJ8O-2826-SM-5CVM4 40-49 years, female 203.7
GTEX-11NV4-0326-SM-5HL58 60-69 years, male 203.6
GTEX-1F75W-0326-SM-7PC2Q 60-69 years, male 203.6
GTEX-XBEC-0626-SM-4QARY 50-59 years, male 203.5
GTEX-1R7EV-2026-SM-DTX83 40-49 years, male 203.4
GTEX-13X6K-0326-SM-5Q5D6 60-69 years, female 203.3
GTEX-14BMV-0326-SM-5RQHW 50-59 years, male 203.3
GTEX-1QCLZ-0326-SM-DTXG2 60-69 years, female 203.0
GTEX-144FL-0326-SM-5O99O 50-59 years, male 202.7
GTEX-1399R-2526-SM-5IFG2 30-39 years, male 202.6
GTEX-1RAZA-0526-SM-E76R2 20-29 years, male 202.0
GTEX-1N2EF-0526-SM-E76OK 60-69 years, male 201.8
GTEX-1PBJJ-0326-SM-E8VNT 30-39 years, male 201.6
GTEX-S7PM-0526-SM-3NM92 60-69 years, male 201.2
GTEX-1IDJF-0326-SM-ADEIG 20-29 years, male 201.1
GTEX-Y8DK-0326-SM-4TT3P 60-69 years, male 200.7
GTEX-OHPK-1626-SM-2YUN3 50-59 years, female 200.0
GTEX-1I1GP-2126-SM-CKZPJ 50-59 years, male 199.3
GTEX-1I1GQ-0326-SM-A9SKS 50-59 years, male 199.2
GTEX-13OW7-0326-SM-5J1MP 50-59 years, male 198.8
GTEX-ZVP2-2126-SM-5GU6E 50-59 years, male 198.1
GTEX-1EX96-1526-SM-7PBXK 50-59 years, male 198.1
GTEX-1I4MK-2326-SM-ADEHR 50-59 years, female 197.7
GTEX-1LVAM-0326-SM-DIPFL 50-59 years, female 197.7
GTEX-16BQI-0326-SM-6PAM4 30-39 years, female 197.5
GTEX-OIZG-1326-SM-2HMIQ 50-59 years, male 197.1
GTEX-T6MN-0526-SM-32PMS 50-59 years, male 196.9
GTEX-ZLV1-2126-SM-4WWD2 60-69 years, female 196.6
GTEX-1GMR3-2126-SM-9WYTZ 40-49 years, male 196.5
GTEX-Y5LM-2126-SM-4VDSY 40-49 years, female 196.1
GTEX-SIU8-0526-SM-2XCDP 50-59 years, male 195.8
GTEX-13G51-2726-SM-5LZZ9 60-69 years, male 195.3
GTEX-14A5I-0326-SM-5NQ9J 50-59 years, female 195.0
GTEX-T8EM-1326-SM-3DB7G 40-49 years, male 194.6
GTEX-1H11D-0326-SM-9WG71 40-49 years, male 194.6
GTEX-1J8JJ-0126-SM-D3L93 60-69 years, female 194.2
GTEX-1KWVE-0926-SM-CXZKP 30-39 years, male 193.3
GTEX-11ZUS-1426-SM-5FQSP 30-39 years, male 193.2
GTEX-1GN1U-2226-SM-9MQK1 50-59 years, female 193.2
GTEX-1CAV2-2426-SM-7P8QF 40-49 years, female 193.0
GTEX-Q734-2026-SM-3GADA 40-49 years, female 192.8
GTEX-X638-0326-SM-47JY1 70-79 years, female 192.8
GTEX-1AX8Z-5004-SM-ARZLD 60-69 years, male 192.4
GTEX-13X6J-0326-SM-7EPGD 50-59 years, male 191.6
GTEX-1I1GR-0326-SM-CKZPI 60-69 years, male 191.6
GTEX-ZZ64-1526-SM-5E43K 20-29 years, male 191.4
GTEX-15RIG-0426-SM-7KUF4 40-49 years, male 191.2
GTEX-14JG1-0126-SM-5ZZUP 40-49 years, male 190.9
GTEX-1J1OQ-0426-SM-A9SLI 40-49 years, female 190.3
GTEX-1HSMP-0326-SM-A9SMC 70-79 years, male 190.0
GTEX-1JN1M-0526-SM-CJI3D 60-69 years, female 190.0
GTEX-11DXY-2726-SM-5GID2 60-69 years, male 189.6
GTEX-145MH-0326-SM-5LU8H 50-59 years, male 189.5
GTEX-13CF2-2726-SM-5LZWW 60-69 years, male 189.0
GTEX-11GSP-2726-SM-5A5LJ 60-69 years, female 188.3
GTEX-TMZS-0326-SM-3DB9P 60-69 years, male 188.2
GTEX-13N1W-0526-SM-5MR4I 70-79 years, male 188.0
GTEX-1MCYP-2026-SM-DTXE4 20-29 years, female 187.7
GTEX-11NUK-0226-SM-5A5L4 50-59 years, male 187.2
GTEX-NFK9-0626-SM-2HMIV 40-49 years, male 187.1
GTEX-ZYFG-2426-SM-5GIE8 60-69 years, female 187.0
GTEX-117YX-2526-SM-5EQ4Q 50-59 years, male 186.8
GTEX-1QP9N-1926-SM-E6CPY 30-39 years, male 186.4
GTEX-1F6I4-0326-SM-7P8T8 60-69 years, male 186.3
GTEX-131XH-2726-SM-5GCO2 50-59 years, male 186.2
GTEX-15G1A-2026-SM-7KUFG 30-39 years, male 185.9
GTEX-1122O-2426-SM-5GIDN 60-69 years, female 185.8
GTEX-1B996-0326-SM-7DHMU 60-69 years, male 185.5
GTEX-ZYFD-0326-SM-5NQ8I 50-59 years, male 185.5
GTEX-183FY-0226-SM-7LG54 20-29 years, male 185.4
GTEX-13OW6-0626-SM-5L3IB 50-59 years, male 185.2
GTEX-1R9JW-2426-SM-DTXFI 30-39 years, female 185.0
GTEX-13D11-2526-SM-5KM28 50-59 years, female 184.4
GTEX-1GPI7-0426-SM-7RHHP 20-29 years, male 184.4
GTEX-1117F-0426-SM-5EGHI 60-69 years, female 184.3
GTEX-13FHO-0726-SM-5IJDG 60-69 years, male 184.2
GTEX-111VG-2626-SM-5GZY2 60-69 years, male 183.9
GTEX-15F5U-1826-SM-6LLJF 40-49 years, male 183.9
GTEX-WZTO-0826-SM-3NM8Q 40-49 years, male 183.8
GTEX-1IKOH-0126-SM-COH4D 60-69 years, female 183.7
GTEX-139UW-2626-SM-5K7W1 60-69 years, male 183.5
GTEX-YECK-0626-SM-4W1ZE 60-69 years, male 183.4
GTEX-Q2AG-0426-SM-2S1PU 40-49 years, female 183.3
GTEX-1A8G6-0126-SM-7DUFY 60-69 years, male 183.0
GTEX-1A8FM-0526-SM-7P8SF 50-59 years, female 183.0
GTEX-1C4CL-0326-SM-7DHMH 30-39 years, male 182.9
GTEX-11GS4-2526-SM-5A5KT 60-69 years, male 182.8
GTEX-1399T-2426-SM-5L3FJ 60-69 years, male 181.6
GTEX-13PL6-0326-SM-5IJCP 40-49 years, female 181.3
GTEX-1JMQL-0126-SM-CY8HN 50-59 years, female 180.9
GTEX-YFC4-1026-SM-5RQJM 40-49 years, female 180.4
GTEX-1RQEC-0126-SM-E9J2H 60-69 years, male 179.9
GTEX-13N11-2726-SM-5L3ER 50-59 years, female 179.0
GTEX-17JCI-0326-SM-7LG5H 60-69 years, female 179.0
GTEX-18A67-0326-SM-7LG5X 50-59 years, male 179.0
GTEX-TKQ1-1426-SM-4GICK 30-39 years, male 178.9
GTEX-15D79-0526-SM-6ETZP 50-59 years, male 178.8
GTEX-1IDJC-2026-SM-ADEIK 50-59 years, male 178.3
GTEX-1399U-2526-SM-5L3DL 50-59 years, female 177.7
GTEX-13OVL-1426-SM-5IJC1 50-59 years, male 177.7
GTEX-147JS-0526-SM-5TDD3 60-69 years, male 177.7
GTEX-QEG5-0426-SM-2I5GJ 20-29 years, male 176.9
GTEX-145MG-0226-SM-5TDDB 50-59 years, male 176.8
GTEX-WOFL-0626-SM-3MJG3 60-69 years, male 176.2
GTEX-WYJK-1726-SM-3NM9U 50-59 years, male 176.2
GTEX-1B8L1-2726-SM-793AL 60-69 years, male 176.0
GTEX-146FQ-0326-SM-5NQAX 30-39 years, male 175.9
GTEX-17HHY-0326-SM-7938H 50-59 years, male 175.9
GTEX-145LV-2326-SM-5LU8Z 50-59 years, male 175.8
GTEX-1B8KZ-2126-SM-73KYG 50-59 years, male 175.8
GTEX-1MA7W-1826-SM-DIPFP 20-29 years, female 175.2
GTEX-Y5V6-2626-SM-5IFIX 60-69 years, male 175.0
GTEX-WK11-2526-SM-3NM9Y 50-59 years, male 174.9
GTEX-13O3O-0526-SM-5J1NL 60-69 years, female 173.9
GTEX-147F4-0326-SM-5TDCK 50-59 years, male 173.6
GTEX-1IGQW-0526-SM-CKZO3 60-69 years, male 173.2
GTEX-146FR-1726-SM-5Q5DT 60-69 years, female 173.1
GTEX-13NZA-0526-SM-5L3D7 60-69 years, male 172.9
GTEX-Z93S-1326-SM-5CVMR 50-59 years, male 172.9
GTEX-ZAKK-0326-SM-5EGHA 70-79 years, male 172.7
GTEX-UPJH-0526-SM-4IHK8 50-59 years, male 172.6
GTEX-Y5V5-2526-SM-4VBQ4 60-69 years, female 172.3
GTEX-14E6D-0326-SM-62LDX 50-59 years, male 172.1
GTEX-1JMQK-0326-SM-ARZN5 60-69 years, male 172.0
GTEX-16GPK-0526-SM-7KUER 60-69 years, male 171.6
GTEX-1EWIQ-0626-SM-7PBYW 70-79 years, female 171.6
GTEX-1EN7A-0326-SM-7P8T1 40-49 years, male 171.3
GTEX-12WSD-0526-SM-5EQ6F 60-69 years, female 171.2
GTEX-1GZHY-0126-SM-9WYUQ 50-59 years, female 171.2
GTEX-13SLX-0326-SM-5Q5E4 50-59 years, female 171.1
GTEX-11EMC-2626-SM-59864 60-69 years, female 170.8
GTEX-11EQ9-2126-SM-5PNVW 30-39 years, male 170.8
GTEX-1LB8K-0126-SM-EVYCN 50-59 years, male 170.6
GTEX-14A6H-5019-SM-793DH 30-39 years, male 170.5
GTEX-111FC-0326-SM-5GZZ1 60-69 years, male 170.2
GTEX-18A6Q-0326-SM-718AT 60-69 years, male 170.2
GTEX-QXCU-1726-SM-2TC6L 50-59 years, male 169.9
GTEX-11TUW-2526-SM-5EQKN 60-69 years, male 169.8
GTEX-17HG3-2726-SM-7DHL5 30-39 years, female 169.7
GTEX-11H98-0326-SM-5HL4S 50-59 years, male 168.4
GTEX-1GPI6-0326-SM-9MQM6 60-69 years, male 167.8
GTEX-RU72-1326-SM-2TF6T 50-59 years, female 167.7
GTEX-1JN76-0326-SM-ARZNJ 20-29 years, female 167.6
GTEX-1GN1W-0726-SM-9KNTV 50-59 years, female 167.5
GTEX-131XW-0326-SM-5KM1J 50-59 years, female 166.8
GTEX-W5WG-1926-SM-4KKZK 50-59 years, female 166.6
GTEX-13FTZ-2226-SM-5LZXI 60-69 years, male 166.4
GTEX-WXYG-2526-SM-3NB3F 50-59 years, female 166.4
GTEX-15UF7-2226-SM-6PAMQ 40-49 years, male 166.2
GTEX-111YS-2326-SM-5987L 60-69 years, male 165.9
GTEX-13VXU-0326-SM-5LU36 50-59 years, male 165.7
GTEX-ZV6S-2126-SM-4YCEM 40-49 years, female 165.6
GTEX-U3ZN-2226-SM-3DB88 30-39 years, female 165.2
GTEX-1HSKV-0126-SM-E6CI1 60-69 years, male 164.8
GTEX-1O9I2-0526-SM-EYYXI 50-59 years, male 164.6
GTEX-1AYD5-2226-SM-73KX3 50-59 years, male 164.5
GTEX-1C6VS-0126-SM-7PC2H 60-69 years, male 164.5
GTEX-1PPH8-0326-SM-E76PR 20-29 years, male 164.3
GTEX-14C39-2426-SM-5S2U5 40-49 years, male 164.1
GTEX-R55D-0626-SM-3GAD5 50-59 years, male 164.0
GTEX-1IL2U-0726-SM-EAZ2Y 60-69 years, male 163.9
GTEX-1IKK5-0426-SM-CL53X 60-69 years, male 163.7
GTEX-UJMC-1826-SM-3GADT 50-59 years, male 163.5
GTEX-13N2G-2326-SM-5J1ON 60-69 years, male 163.4
GTEX-1JMQI-2126-SM-CM2SC 50-59 years, male 163.0
GTEX-1JMLX-0326-SM-CM2RP 50-59 years, male 162.2
GTEX-1RQED-0426-SM-E6CJP 60-69 years, male 162.0
GTEX-WL46-0626-SM-3LK7R 50-59 years, male 161.2
GTEX-13O3Q-2726-SM-5KM51 50-59 years, male 161.0
GTEX-131XE-2726-SM-5P9G7 50-59 years, male 160.7
GTEX-13QIC-1226-SM-5K7YR 60-69 years, female 160.7
GTEX-1B8SF-0426-SM-79OL4 60-69 years, male 160.6
GTEX-1K2DU-2526-SM-D3L8V 20-29 years, male 160.6
GTEX-1A8G7-0326-SM-72D5B 60-69 years, male 160.1
GTEX-ZAK1-0526-SM-5K7X4 50-59 years, female 160.1
GTEX-1MCQQ-0626-SM-E9U5Q 60-69 years, male 159.9
GTEX-11ZTT-2626-SM-5EQKK 60-69 years, female 159.8
GTEX-17EVQ-1226-SM-7LG59 70-79 years, male 159.3
GTEX-ZDTS-0526-SM-4WKH9 60-69 years, male 159.2
GTEX-16YQH-0426-SM-7KUL7 30-39 years, male 159.1
GTEX-1GF9U-2326-SM-7RHH9 40-49 years, female 159.1
GTEX-PLZ5-1726-SM-2I5F6 50-59 years, male 158.9
GTEX-OHPN-2726-SM-2I5H4 60-69 years, female 158.7
GTEX-1S82P-0326-SM-E9TIR 60-69 years, female 158.5
GTEX-145LU-2026-SM-5Q5E8 50-59 years, male 158.2
GTEX-17HII-0426-SM-793A3 50-59 years, male 158.2
GTEX-12126-0526-SM-5PNW4 20-29 years, male 158.0
GTEX-T2IS-2626-SM-32QPP 20-29 years, female 157.8
GTEX-1IKJJ-0326-SM-CL55L 60-69 years, male 157.3
GTEX-12WSC-0326-SM-5EQ5E 50-59 years, male 156.7
GTEX-1GMR2-2126-SM-7P8TX 50-59 years, male 156.7
GTEX-U8XE-0726-SM-3DB8O 30-39 years, male 156.3
GTEX-139YR-2526-SM-5IJC6 50-59 years, male 156.2
GTEX-PWCY-2026-SM-5SI8R 20-29 years, female 156.1
GTEX-18A7A-0626-SM-718BJ 50-59 years, female 155.8
GTEX-1H3VE-0126-SM-9WYTW 40-49 years, male 155.2
GTEX-145MI-0326-SM-5Q5EV 60-69 years, female 155.1
GTEX-17KNJ-2426-SM-7DHLR 50-59 years, male 155.1
GTEX-Y3IK-2626-SM-4WWDK 50-59 years, female 155.1
GTEX-1313W-0526-SM-5P9FZ 50-59 years, female 155.0
GTEX-1JJEA-0126-SM-D3L8A 60-69 years, male 155.0
GTEX-14ABY-0126-SM-62LDI 50-59 years, male 154.9
GTEX-PSDG-0426-SM-5SI86 50-59 years, male 154.5
GTEX-1HT8W-0326-SM-CM2SG 30-39 years, male 154.2
GTEX-X5EB-2326-SM-46MW5 40-49 years, male 154.1
GTEX-1F7RK-0326-SM-7RHH7 20-29 years, female 154.1
GTEX-U3ZH-1926-SM-4DXTR 30-39 years, male 153.7
GTEX-139TS-2626-SM-5J1MT 60-69 years, male 153.5
GTEX-QLQ7-1726-SM-2S1QQ 60-69 years, male 153.5
GTEX-WRHU-0826-SM-3MJFN 50-59 years, female 153.5
GTEX-Q2AH-1826-SM-2S1Q2 40-49 years, male 153.4
GTEX-RU1J-1726-SM-2TF5S 20-29 years, female 153.1
GTEX-13OVG-2126-SM-5KM1K 60-69 years, male 152.7
GTEX-XQ3S-0426-SM-4BOOA 20-29 years, male 152.5
GTEX-S33H-2226-SM-DKPOP 30-39 years, male 152.5
GTEX-1GF9V-0126-SM-9WYT2 60-69 years, male 152.3
GTEX-1CB4G-0426-SM-7MXUN 60-69 years, male 152.1
GTEX-PX3G-1626-SM-2S1PT 20-29 years, female 152.0
GTEX-ZE7O-0326-SM-51MTH 50-59 years, female 151.3
GTEX-1F6IF-0226-SM-7PBZ6 60-69 years, male 151.3
GTEX-15RJ7-2426-SM-6M48L 40-49 years, male 150.8
GTEX-1H1CY-2726-SM-9MQLR 60-69 years, female 150.6
GTEX-X8HC-0526-SM-4E3JA 50-59 years, female 150.0
GTEX-1PIIG-0126-SM-E9J46 30-39 years, male 149.2
GTEX-U412-0326-SM-3DB9L 60-69 years, male 148.9
GTEX-1F5PL-0426-SM-7P8PR 40-49 years, female 148.7
GTEX-ZV68-0526-SM-59HKI 50-59 years, female 148.6
GTEX-11ZU8-2326-SM-5EQMJ 60-69 years, male 147.8
GTEX-1R9PM-2226-SM-E8VOC 20-29 years, male 147.7
GTEX-QDVN-2426-SM-2S1Q4 50-59 years, male 147.4
GTEX-XMD2-0526-SM-4YCDI 60-69 years, female 147.2
GTEX-11EI6-0326-SM-5EQ6G 60-69 years, male 147.1
GTEX-1QP2A-0526-SM-E8VN5 50-59 years, male 146.7
GTEX-1QEPI-0526-SM-E76QF 60-69 years, female 146.6
GTEX-SN8G-0326-SM-32PLG 50-59 years, female 146.3
GTEX-11OF3-2526-SM-5P9JL 60-69 years, male 146.2
GTEX-R55C-1726-SM-3GADJ 40-49 years, male 146.0
GTEX-11NSD-2026-SM-5HL5U 20-29 years, male 145.8
GTEX-OXRO-1726-SM-3LK6C 60-69 years, female 145.8
GTEX-1497J-2626-SM-5SI9K 60-69 years, male 145.6
GTEX-1EMGI-0326-SM-9MQM5 60-69 years, male 145.6
GTEX-12ZZX-0326-SM-5DUVH 40-49 years, female 145.4
GTEX-1C64N-0326-SM-7P8QC 50-59 years, male 145.2
GTEX-1KANA-0926-SM-D3L9K 20-29 years, male 145.2
GTEX-T5JC-0626-SM-3NMA6 20-29 years, male 145.1
GTEX-1M4P7-0126-SM-DKPQF 60-69 years, male 144.7
GTEX-1CB4I-0326-SM-7DHMM 50-59 years, male 144.6
GTEX-ZZPT-0626-SM-5GZXT 50-59 years, male 144.6
GTEX-QESD-1626-SM-2S1RB 20-29 years, male 144.2
GTEX-14C38-0426-SM-5TDDZ 50-59 years, male 143.9
GTEX-1AX9J-0126-SM-73KY2 60-69 years, male 143.2
GTEX-1NUQO-0726-SM-E9J3K 20-29 years, female 142.4
GTEX-12KS4-0826-SM-5BC5R 30-39 years, male 142.0
GTEX-14PII-0626-SM-69LPY 60-69 years, male 141.7
GTEX-OXRP-2326-SM-2S1NL 60-69 years, female 141.2
GTEX-ZVTK-0626-SM-5GU6Y 20-29 years, male 141.2
GTEX-ZUA1-0326-SM-5NQA3 40-49 years, male 141.1
GTEX-1B933-0426-SM-7DHMC 50-59 years, female 140.6
GTEX-ZYY3-0526-SM-5E45G 60-69 years, female 140.6
GTEX-14PN4-0326-SM-6EU2N 50-59 years, male 140.2
GTEX-132Q8-0626-SM-5L3F3 60-69 years, male 140.1
GTEX-X4XY-0626-SM-4E3IN 60-69 years, male 140.0
GTEX-1E2YA-0526-SM-7P8RY 50-59 years, male 139.9
GTEX-17F97-0526-SM-7DUF8 50-59 years, male 139.7
GTEX-WFG8-2426-SM-3GILL 20-29 years, male 139.7
GTEX-1NHNU-1226-SM-DTX8I 50-59 years, male 139.1
GTEX-QV44-2026-SM-2S1RD 50-59 years, male 138.9
GTEX-1QP6S-0426-SM-DTXG4 40-49 years, male 138.8
GTEX-14ICL-1926-SM-5RQIZ 30-39 years, male 138.7
GTEX-1F75B-0526-SM-7P8T5 50-59 years, male 138.6
GTEX-1IY9M-0326-SM-ARZMN 60-69 years, male 138.5
GTEX-1I6K7-0326-SM-B2LXO 40-49 years, male 138.1
GTEX-U3ZM-1226-SM-3DB9G 40-49 years, male 137.9
GTEX-1I1GV-0126-SM-CL55G 60-69 years, male 137.8
GTEX-1C2JI-2126-SM-793CG 50-59 years, male 137.6
GTEX-1J8Q2-0126-SM-E9J2G 60-69 years, male 137.4
GTEX-ZXG5-0326-SM-5GICH 60-69 years, male 136.9
GTEX-1GN73-0126-SM-CNPPT 60-69 years, male 136.8
GTEX-SJXC-0526-SM-2XCFG 60-69 years, male 136.7
GTEX-12WSG-5016-SM-7SB84 50-59 years, female 136.4
GTEX-18465-0326-SM-7LTAD 50-59 years, male 136.1
GTEX-U3ZG-0326-SM-47JXN 50-59 years, male 135.2
GTEX-1JJ6O-0926-SM-CYPT1 60-69 years, male 135.0
GTEX-QDT8-0526-SM-3NMD8 30-39 years, female 134.9
GTEX-XPVG-2526-SM-4B66D 50-59 years, male 134.7
GTEX-1IDFM-1526-SM-ARL7U 60-69 years, male 134.1
GTEX-1314G-1726-SM-5LZUX 30-39 years, male 133.9
GTEX-PW2O-1726-SM-2S1OO 20-29 years, male 133.9
GTEX-ZAJG-0526-SM-5S2MT 50-59 years, female 132.9
GTEX-1EU9M-0126-SM-7P8P8 60-69 years, male 132.9
GTEX-1R9PO-2426-SM-EVYBS 60-69 years, female 132.3
GTEX-14DAR-1826-SM-664N1 50-59 years, male 132.2
GTEX-14ASI-0526-SM-5QGQP 60-69 years, male 132.1
GTEX-XQ8I-0626-SM-4BOPT 50-59 years, male 131.9
GTEX-1LH75-2626-SM-E9TKL 50-59 years, female 131.9
GTEX-N7MS-0426-SM-2YUN6 60-69 years, male 131.2
GTEX-1IOXB-0326-SM-CL55M 50-59 years, male 130.8
GTEX-12696-2826-SM-5FQTY 60-69 years, male 130.7
GTEX-1CB4J-1226-SM-7P8P3 60-69 years, male 130.7
GTEX-13FXS-0326-SM-5K7TV 50-59 years, male 130.2
GTEX-15G19-0526-SM-6PAMT 60-69 years, male 130.2
GTEX-ZF3C-0326-SM-4WWBF 50-59 years, female 130.0
GTEX-1H1ZS-0626-SM-CNPPU 70-79 years, male 129.9
GTEX-13OVK-1926-SM-6M48G 40-49 years, male 129.8
GTEX-1339X-2426-SM-5KLYU 40-49 years, male 129.7
GTEX-1LVA9-0326-SM-DLHBU 50-59 years, male 129.4
GTEX-1KAFJ-2326-SM-D3L8Z 50-59 years, male 129.3
GTEX-1I1GS-0326-SM-ARL7X 60-69 years, male 129.2
GTEX-1445S-0626-SM-5LU3C 60-69 years, male 129.0
GTEX-1K9T9-0326-SM-EWRNQ 50-59 years, female 129.0
GTEX-14LLW-0526-SM-62LFB 70-79 years, female 128.6
GTEX-Y9LG-1926-SM-5IFHY 30-39 years, male 128.6
GTEX-1F75I-0526-SM-7RHI3 40-49 years, male 128.4
GTEX-1128S-2426-SM-5H11B 60-69 years, female 128.3
GTEX-131XG-2326-SM-5HL8F 50-59 years, female 128.0
GTEX-18A66-0126-SM-731CQ 60-69 years, male 127.9
GTEX-1AX9I-0326-SM-73KXQ 60-69 years, male 127.8
GTEX-1C6VQ-0326-SM-7DHMS 50-59 years, male 127.7
GTEX-1QP67-1826-SM-DTX8D 40-49 years, female 127.3
GTEX-12ZZY-0626-SM-5EQ5T 60-69 years, male 127.2
GTEX-ZVZO-0326-SM-5HL4N 40-49 years, male 127.2
GTEX-TKQ2-0826-SM-33HB6 50-59 years, male 127.1
GTEX-12WSF-0926-SM-6PALU 70-79 years, male 126.9
GTEX-OXRN-1326-SM-3LK5V 50-59 years, male 126.6
GTEX-14PJ6-2326-SM-6ETZR 60-69 years, female 126.4
GTEX-15EO6-2826-SM-6PANB 50-59 years, male 126.4
GTEX-WWTW-0626-SM-4MVNS 50-59 years, male 126.4
GTEX-17MFQ-1926-SM-793A6 20-29 years, male 125.1
GTEX-QDVJ-1926-SM-2S1PJ 50-59 years, male 124.7
GTEX-RWSA-0726-SM-2XCBE 40-49 years, male 124.5
GTEX-1E1VI-0426-SM-7DHN1 50-59 years, male 124.2
GTEX-WFON-2326-SM-3LK7M 40-49 years, male 124.1
GTEX-14PQA-0526-SM-7KUFS 50-59 years, female 123.6
GTEX-14753-0526-SM-5QGPR 60-69 years, male 122.9
GTEX-13FTY-0226-SM-5IJBW 40-49 years, female 122.7
GTEX-13O1R-0526-SM-5K7XU 60-69 years, male 122.5
GTEX-V1D1-2426-SM-3GAER 50-59 years, male 122.4
GTEX-14JIY-0426-SM-62LF7 60-69 years, male 122.1
GTEX-1QW4Y-1726-SM-EWRN1 30-39 years, male 122.0
GTEX-13FHP-0526-SM-5K7UY 50-59 years, male 121.7
GTEX-13YAN-0526-SM-5O9BE 60-69 years, male 121.4
GTEX-1A32A-0526-SM-731B9 50-59 years, female 121.1
GTEX-1A3MW-0526-SM-731BY 60-69 years, female 120.9
GTEX-13SLW-0326-SM-5RQK5 70-79 years, male 120.7
GTEX-1AMEY-1526-SM-73KYW 30-39 years, female 120.3
GTEX-1AX9K-2726-SM-7DHMA 50-59 years, male 120.1
GTEX-146FH-0526-SM-5QGQ3 50-59 years, female 119.9
GTEX-1H4P4-0626-SM-9YFKZ 50-59 years, male 119.9
GTEX-11ZTS-0526-SM-5CVL9 60-69 years, female 119.6
GTEX-1HCVE-0326-SM-CGQEW 50-59 years, male 119.5
GTEX-11WQC-2626-SM-5CVLF 60-69 years, male 119.1
GTEX-1CB4E-2126-SM-793AP 60-69 years, male 118.8
GTEX-1H3O1-0626-SM-9MQM4 60-69 years, male 118.8
GTEX-18A7B-0326-SM-7LG65 70-79 years, male 118.6
GTEX-133LE-2026-SM-5K7WM 20-29 years, female 118.1
GTEX-1C6VR-2526-SM-7DHMT 60-69 years, male 118.1
GTEX-1GN1V-0326-SM-9WYTO 60-69 years, male 118.0
GTEX-1FIGZ-1726-SM-9MQKS 40-49 years, male 117.2
GTEX-16NPV-2426-SM-6M482 50-59 years, female 116.6
GTEX-1LSNM-2326-SM-EWRO8 50-59 years, male 116.6
GTEX-1477Z-1626-SM-5SIA8 60-69 years, male 116.5
GTEX-P4QS-1626-SM-2S1NH 60-69 years, male 116.3
GTEX-14PJ5-2026-SM-6LLIN 60-69 years, female 115.5
GTEX-X88G-0326-SM-47JZ4 30-39 years, male 115.5
GTEX-1IL2V-0526-SM-ARL8B 70-79 years, male 115.4
GTEX-113JC-2726-SM-5EGIS 50-59 years, female 115.0
GTEX-1HFI6-0426-SM-B2LXB 40-49 years, male 115.0
GTEX-1GN2E-0726-SM-9MQLU 60-69 years, male 114.4
GTEX-ZC5H-0326-SM-5HL9F 40-49 years, female 114.2
GTEX-11ONC-2426-SM-5GU7H 60-69 years, male 113.8
GTEX-1KD4Q-0326-SM-E9TJA 40-49 years, male 113.2
GTEX-1J8Q3-1426-SM-CKZPU 60-69 years, male 112.0
GTEX-1I1GU-2126-SM-CGQF9 40-49 years, male 111.9
GTEX-ZAB4-0426-SM-5HL7N 40-49 years, male 111.5
GTEX-1KANC-1626-SM-E6CIA 50-59 years, female 110.8
GTEX-QLQW-1326-SM-2S1QS 30-39 years, male 110.6
GTEX-1GZ4I-0526-SM-9YFLX 50-59 years, male 110.6
GTEX-POYW-0526-SM-2XCEY 60-69 years, male 110.4
GTEX-18D9B-0426-SM-7LTAR 60-69 years, male 110.0
GTEX-14BMU-2026-SM-5S2W6 20-29 years, female 109.9
GTEX-17GQL-1926-SM-718B9 60-69 years, male 109.7
GTEX-15CHC-2426-SM-6EU22 60-69 years, female 109.5
GTEX-VJYA-1926-SM-3GIJJ 60-69 years, male 109.5
GTEX-1JK1U-2226-SM-CNNPL 60-69 years, male 108.9
GTEX-UJHI-1726-SM-3DB9B 50-59 years, female 108.8
GTEX-16NPX-0626-SM-7KULB 50-59 years, male 107.8
GTEX-1HFI7-1926-SM-A96TQ 50-59 years, female 107.1
GTEX-1HBPH-0826-SM-ARZNB 40-49 years, female 106.8
GTEX-13NZB-2626-SM-5J2M7 30-39 years, male 106.4
GTEX-1KXAM-2426-SM-DIPFC 60-69 years, male 106.4
GTEX-1LG7Z-2126-SM-CXKYU 30-39 years, male 106.4
GTEX-1192X-0426-SM-5GIEE 50-59 years, male 106.2
GTEX-16MT8-0326-SM-6PAM5 60-69 years, female 106.2
GTEX-13W46-0726-SM-5LU3Z 50-59 years, male 105.8
GTEX-13X6I-0526-SM-5QGP8 60-69 years, male 105.4
GTEX-OIZH-1626-SM-2HMKI 50-59 years, male 105.1
GTEX-12WSA-0726-SM-5FQU2 60-69 years, male 104.9
GTEX-14PJ4-2426-SM-6EU1U 60-69 years, male 104.4
GTEX-11DXX-2726-SM-5PNXO 60-69 years, female 104.2
GTEX-13112-2626-SM-5BC66 50-59 years, male 104.2
GTEX-Z9EW-1726-SM-5CVMO 40-49 years, male 103.7
GTEX-1H23P-0526-SM-9WG6S 60-69 years, male 103.6
GTEX-16Z82-0126-SM-7DHLF 60-69 years, male 103.2
GTEX-O5YT-1626-SM-32PK6 20-29 years, male 103.1
GTEX-15CHR-2426-SM-7DUFX 50-59 years, male 102.7
GTEX-11TTK-0326-SM-5BC5N 60-69 years, female 102.5
GTEX-1QP28-0526-SM-E8VNR 50-59 years, female 102.5
GTEX-YFCO-1926-SM-4W212 40-49 years, male 102.2
GTEX-ZVT3-0526-SM-5GIE9 60-69 years, female 101.9
GTEX-11DZ1-0926-SM-5EQ5R 50-59 years, male 101.2
GTEX-QVUS-0226-SM-3GIJY 60-69 years, female 101.2
GTEX-11GSO-2526-SM-5PNVX 60-69 years, male 100.3
GTEX-1R9K4-0626-SM-E76OZ 60-69 years, male 100.3
GTEX-11P81-2526-SM-5GU6H 30-39 years, female 100.0
GTEX-11UD1-0326-SM-5EQKX 40-49 years, female 99.8
GTEX-131XF-2326-SM-5BC6B 60-69 years, male 99.1
GTEX-1RAZQ-0426-SM-DTXFQ 30-39 years, male 98.9
GTEX-1J8EW-0326-SM-CYPSX 60-69 years, female 98.6
GTEX-1HR9M-0326-SM-CL549 60-69 years, male 97.1
GTEX-1B8KE-2226-SM-7939K 50-59 years, male 97.0
GTEX-145LS-0526-SM-5LU8Y 60-69 years, female 96.7
GTEX-1JKYR-0326-SM-CNPOL 20-29 years, male 96.5
GTEX-1C6WA-0326-SM-7DUGE 60-69 years, male 96.0
GTEX-1LC47-0626-SM-DIPFE 60-69 years, male 96.0
GTEX-13NYC-0726-SM-5J2NQ 60-69 years, male 95.7
GTEX-ZVE2-0626-SM-5GU7I 50-59 years, male 95.5
GTEX-11I78-2426-SM-5A5K9 50-59 years, female 94.0
GTEX-OOBK-1626-SM-2HMKG 40-49 years, male 93.9
GTEX-1S5VW-0526-SM-E6CHL 60-69 years, male 93.9
GTEX-1LVAN-0526-SM-CNNQ1 50-59 years, female 93.8
GTEX-1GZ2Q-0426-SM-9WPOU 40-49 years, male 93.7
GTEX-WHSE-0526-SM-5GZZD 20-29 years, male 93.5
GTEX-12ZZZ-0226-SM-59HKU 60-69 years, male 93.3
GTEX-1ICLY-0326-SM-ARL7S 50-59 years, male 93.1
GTEX-XMD1-0626-SM-EZ6MC 60-69 years, male 92.8
GTEX-1R46S-0326-SM-EWRNE 60-69 years, female 92.6
GTEX-OXRK-1826-SM-2HMJE 50-59 years, female 92.5
GTEX-1M5QR-1326-SM-EWROC 40-49 years, male 92.5
GTEX-1R7EU-0626-SM-DTX9N 60-69 years, male 91.7
GTEX-ZVE1-0526-SM-5NQ71 50-59 years, female 91.4
GTEX-145ME-2026-SM-5SIA5 40-49 years, female 90.2
GTEX-1HCU7-0426-SM-D3L8Q 50-59 years, male 89.8
GTEX-12WSH-2526-SM-5CVNH 50-59 years, male 89.2
GTEX-1LVAO-0526-SM-EWRNS 60-69 years, male 89.2
GTEX-1399S-2726-SM-5KM22 30-39 years, female 89.0
GTEX-13CF3-1826-SM-5J1NK 60-69 years, female 89.0
GTEX-OIZF-1626-SM-2YUNE 60-69 years, male 88.5
GTEX-1I6K6-0326-SM-CJI4A 30-39 years, male 88.2
GTEX-SUCS-1626-SM-32PLS 70-79 years, male 88.1
GTEX-1HBPM-0426-SM-CKZOO 60-69 years, female 88.1
GTEX-13VXT-0326-SM-5LU4U 20-29 years, female 88.0
GTEX-1KANB-0126-SM-E6CJT 50-59 years, male 87.7
GTEX-XGQ4-2326-SM-4AT53 50-59 years, male 87.6
GTEX-ZZPU-2626-SM-5E45Y 50-59 years, female 86.9
GTEX-1CAMS-0126-SM-79396 40-49 years, female 86.8
GTEX-1JMPZ-0126-SM-CNPOZ 30-39 years, male 86.6
GTEX-POMQ-1926-SM-3NB1Y 20-29 years, female 86.5
GTEX-144GO-1326-SM-5Q5EL 60-69 years, male 86.1
GTEX-1JKYN-1826-SM-ARZMZ 30-39 years, male 86.1
GTEX-X4XX-0626-SM-3NMC1 60-69 years, male 85.4
GTEX-ZLFU-2526-SM-DO91K 40-49 years, male 84.9
GTEX-17HGU-0626-SM-7939Y 50-59 years, male 84.4
GTEX-R3RS-0526-SM-3GADG 40-49 years, female 84.0
GTEX-1GZ4H-1626-SM-7PC3F 50-59 years, female 83.5
GTEX-139T8-0526-SM-5KLZL 60-69 years, male 82.4
GTEX-R53T-1826-SM-3GIJX 50-59 years, female 81.7
GTEX-SNOS-1526-SM-32PLW 40-49 years, male 81.7
GTEX-1RB15-2226-SM-DTXFZ 60-69 years, male 81.7
GTEX-1H1DE-1726-SM-A9G3G 20-29 years, male 81.4
GTEX-16MTA-2026-SM-7KUL3 50-59 years, male 81.1
GTEX-1HSEH-0326-SM-A9G26 60-69 years, male 80.9
GTEX-XUW1-0826-SM-4BOP6 50-59 years, female 79.7
GTEX-1F88E-1826-SM-9MQLV 60-69 years, female 78.7
GTEX-1OFPY-2526-SM-DTXEK 60-69 years, male 78.6
GTEX-1P4AB-0326-SM-EXUT3 50-59 years, male 77.7
GTEX-U4B1-1626-SM-3DB8N 40-49 years, male 77.5
GTEX-VJWN-0426-SM-3GIJI 50-59 years, female 77.5
GTEX-13IVO-0626-SM-5LZYJ 70-79 years, male 77.1
GTEX-1N2DV-0526-SM-DTX8W 40-49 years, male 76.4
GTEX-1HCUA-2326-SM-ACKVJ 50-59 years, female 76.1
GTEX-UTHO-0726-SM-3GAEN 60-69 years, male 75.4
GTEX-12WSN-2526-SM-5LZU8 40-49 years, male 75.2
GTEX-13O61-2326-SM-5J1NJ 60-69 years, male 75.1
GTEX-1399Q-2426-SM-5J2MO 40-49 years, male 74.6
GTEX-RM2N-1626-SM-2TF5N 50-59 years, male 73.5
GTEX-ZPCL-2026-SM-57WFD 60-69 years, female 73.2
GTEX-1B97J-1226-SM-7PBZR 50-59 years, female 72.9
GTEX-ZVZP-2526-SM-57WBR 50-59 years, male 72.6
GTEX-1PPH7-2526-SM-E76OJ 40-49 years, male 72.6
GTEX-13RTL-0326-SM-7LT89 40-49 years, male 72.5
GTEX-14BIM-0326-SM-5SI9B 60-69 years, female 72.5
GTEX-1IDJV-0426-SM-COH3Z 60-69 years, male 72.1
GTEX-1EH9U-0326-SM-7P8S2 60-69 years, male 71.5
GTEX-1ICLZ-0626-SM-ARL83 60-69 years, male 71.1
GTEX-17F9E-0226-SM-79OKK 50-59 years, male 70.5
GTEX-ZEX8-2526-SM-DO92M 50-59 years, male 70.4
GTEX-1F5PK-2626-SM-7RHH6 50-59 years, male 70.2
GTEX-U8T8-1426-SM-3DB9H 60-69 years, male 70.1
GTEX-OHPL-1626-SM-2HMIR 60-69 years, female 69.0
GTEX-ZAB5-2126-SM-5K7UN 50-59 years, male 68.9
GTEX-14E1K-2326-SM-664MP 50-59 years, male 68.2
GTEX-1CAMR-1726-SM-793CU 20-29 years, male 67.8
GTEX-13U4I-1826-SM-5IJD2 40-49 years, female 67.0
GTEX-144GM-2026-SM-5LU3D 20-29 years, male 65.2
GTEX-139D8-0726-SM-5P9GJ 30-39 years, female 64.6
GTEX-QEL4-0626-SM-3GIJM 50-59 years, male 64.6
GTEX-16XZZ-0526-SM-7KUF1 60-69 years, male 64.2
GTEX-13NYS-0326-SM-5MR4L 60-69 years, male 62.6
GTEX-R55G-2326-SM-2TC61 40-49 years, female 62.1
GTEX-11EQ8-0526-SM-5N9BC 60-69 years, male 61.0
GTEX-15UF6-1026-SM-7KUF7 70-79 years, female 60.5
GTEX-1C64O-0326-SM-73KVW 60-69 years, male 59.3
GTEX-1GMR8-0326-SM-9KNUO 50-59 years, female 57.3
GTEX-QVJO-0126-SM-3GIK4 60-69 years, female 56.8
GTEX-V955-2426-SM-3GAEF 60-69 years, male 56.5
GTEX-1H3NZ-0326-SM-9MQL6 60-69 years, male 56.5
GTEX-1S82U-1426-SM-E6CJL 30-39 years, female 56.5
GTEX-13OW5-0326-SM-5L3HK 60-69 years, male 56.4
GTEX-P78B-1626-SM-5SI85 40-49 years, female 56.2
GTEX-1LNCM-1226-SM-E9U5C 50-59 years, female 55.0
GTEX-1H2FU-0526-SM-ACKXO 60-69 years, female 54.4
GTEX-12WSL-2726-SM-5CVNL 50-59 years, male 53.7
GTEX-14LZ3-0626-SM-5ZZWP 60-69 years, female 53.7
GTEX-WWYW-0526-SM-3NB2W 50-59 years, female 53.7
GTEX-1GF9X-2126-SM-7PBXN 40-49 years, female 53.2
GTEX-1R9K5-0326-SM-EWRNG 50-59 years, male 52.8
GTEX-14AS3-2126-SM-5S2MK 40-49 years, female 52.7
GTEX-ZTPG-0126-SM-5O9AL 20-29 years, female 51.1
GTEX-TMMY-0426-SM-33HBB 40-49 years, female 50.5
GTEX-1MCC2-2726-SM-EWRN3 30-39 years, female 50.1
GTEX-1HCU9-1926-SM-9WYSE 20-29 years, male 49.8
GTEX-11OC5-0326-SM-5PNW5 60-69 years, male 49.1
GTEX-183WM-0426-SM-731B1 70-79 years, female 48.6
GTEX-1IE54-0326-SM-ARZMD 40-49 years, female 48.4
GTEX-13PDP-0326-SM-5K7XP 60-69 years, male 48.2
GTEX-ZY6K-2026-SM-5GZXQ 50-59 years, male 47.9
GTEX-1GF9W-0526-SM-9MQJP 60-69 years, male 46.0
GTEX-PLZ4-0926-SM-2S1OI 50-59 years, female 45.4
GTEX-13W3W-2626-SM-5SIA2 60-69 years, female 44.8
GTEX-1QPFJ-0326-SM-E8VO2 30-39 years, female 44.2
GTEX-14PK6-2126-SM-6ETZV 70-79 years, female 41.9
GTEX-VUSG-2626-SM-4KKZI 50-59 years, male 40.5
GTEX-ZWKS-0326-SM-5NQ7G 30-39 years, male 39.0
GTEX-RUSQ-1726-SM-2TF68 50-59 years, male 36.9
GTEX-1F52S-0826-SM-7P8TQ 60-69 years, female 36.8
GTEX-X261-0326-SM-3NMD4 50-59 years, male 36.7
GTEX-15RIE-2426-SM-7KUDS 60-69 years, male 33.2
GTEX-15DDE-0526-SM-6ETZQ 50-59 years, female 31.6
GTEX-13S86-2326-SM-5RQK1 40-49 years, male 27.9
GTEX-O5YV-2026-SM-2D7VS 60-69 years, female 27.1
GTEX-1L5NE-2226-SM-CXZKS 50-59 years, male 26.9
Show allShow less

SKELETAL MUSCLE - FANTOM5 CAGEi

RNA expression in human tissues obtained through Cap Analysis of Gene Expression (CAGE) generated by the FANTOM5 project are reported as Scaled Tags Per Million.

Max subtype Scaled Tags Per Millioni

Max subtype Scaled Tags Per Million is the value for the subtype with the largest average Scaled Tags Per Million across the subtype samples.

312.5
FANTOM5 sample id Sample description Scaled Tags Per Million
Skeletal muscle
Scaled Tags Per Million: 261.3
FF:10023-101D5 55,79,79 years, mixed 261.3
Skeletal muscle - soleus muscle
Scaled Tags Per Million: 312.5
FF:10282-104F3 male 312.5

Contact

  • NEWS ARTICLES
  • PRESS ROOM

The Project

  • INTRODUCTION
  • ORGANIZATION
  • PUBLICATIONS

The Human Protein Atlas

  • DOWNLOADABLE DATA
  • LICENCE & CITATION
  • HELP & FAQ
The Human Protein Atlas project is funded
by the Knut & Alice Wallenberg Foundation.


contact@proteinatlas.org