We use cookies to enhance the usability of our website. If you continue, we'll assume that you are happy to receive all cookies. More information. Don't show this again.
H1-0
HPA
RESOURCES
  • TISSUE
  • BRAIN
  • SINGLE CELL
  • SUBCELLULAR
  • CANCER
  • BLOOD
  • CELL LINE
  • STRUCTURE & INTERACTION
ABOUT
  • INTRODUCTION
  • HISTORY
  • ORGANIZATION
  • PUBLICATIONS
  • ANTIBODY SUBMISSION
  • ANTIBODY AVAILABILITY
  • ACKNOWLEDGMENTS
  • CONTACT
NEWS
  • NEWS ARTICLES
  • PRESS ROOM
LEARN
  • DICTIONARY
  • PROTEIN CLASSES
  • PROTEIN EVIDENCE
  • METHODS
  • EDUCATIONAL VIDEOS
DATA
  • DOWNLOADABLE DATA
  • PUBLICATION DATA
  • RELEASE HISTORY
HELP
  • ANTIBODY VALIDATION
  • ASSAYS & ANNOTATION
  • DISCLAIMER
  • HELP & FAQ
  • PRIVACY STATEMENT
  • LICENCE & CITATION
Fields »
Search result

Field
Term
Gene name
Class
Subclass
Class
Keyword
Chromosome
External id
Tissue
Cell type
Expression
Antibody panel
Tissue
Main location
Patient ID
Annotation
Tissue
Category
Tau score
Cluster
Reliability
Brain region
Category
Tau score
Brain region
Category
Tau score
Brain region
Category
Tau score
Cluster
Reliability
Tissue
Cell type
Enrichment
Cell type
Category
Tau score
Cell type
Category
Tau score
Cell type
Category
Tau score
Cell lineage
Category
Tau score
Cluster
Cluster
Location
Searches
Location
Cell line
Class
Type
Phase
Reliability
Cancer
Prognosis
Cancer
Category
Cancer
Category
Tau score
Cluster
Variants
Interacting gene (ensg_id)
Type
Number of interactions
Pathway
Category
Score
Score
Score
Validation
Validation
Validation
Validation
Antibodies
Data type
Column


  • SUMMARY

  • TISSUE

  • BRAIN

  • SINGLE CELL

  • SUBCELL

  • CANCER

  • BLOOD

  • CELL LINE

  • STRUCT & INT

  • H1-0
TISSUE PRIMARY DATA SKIN Show tissue menu
ADIPOSE TISSUE ADRENAL GLAND AMYGDALA APPENDIX BASAL GANGLIA BONE MARROW BREAST BRONCHUS CEREBELLUM CEREBRAL CORTEX CERVIX CHOROID PLEXUS COLON DUODENUM
ENDOMETRIUM EPIDIDYMIS ESOPHAGUS FALLOPIAN TUBE GALLBLADDER HEART MUSCLE HIPPOCAMPAL FORMATION HYPOTHALAMUS KIDNEY LIVER LUNG LYMPH NODE MIDBRAIN NASOPHARYNX
ORAL MUCOSA OVARY PANCREAS PARATHYROID GLAND PITUITARY GLAND PLACENTA PROSTATE RECTUM RETINA SALIVARY GLAND SEMINAL VESICLE SKELETAL MUSCLE SKIN SMALL INTESTINE
SMOOTH MUSCLE SOFT TISSUE SPINAL CORD SPLEEN STOMACH TESTIS THYMUS THYROID GLAND TONGUE TONSIL URINARY BLADDER VAGINA
ANTIBODIES
AND
VALIDATION
Dictionary
Skin
Tissue proteome
Skin
SKIN - Expression summary
Protein expression
Skini

On the top, protein expression in current human tissue, based on all annotated cell types, is reported with the units not detected (n), low (l), medium (m) and high (h). Underneath, protein expression in each annotated cell type are reported using the same units.

Protein expression data is based on knowledge-based annotation. For genes where more than one antibody has been used, a collective score is set.

If knowledge-based annotation could not be performed for a gene, no data is displayed here. View antibody staining data further down this page.

h
m
l
n
Arrector pili muscle cells: High
Cells in basal layer: High
Cells in corneal layer: Not detected
Cells in granular layer: High
Cells in spinous layer: High
Endothelial cells: High
Extracellular matrix: Not detected
Fibrohistiocytic cells: High
Hair follicles: High
Langerhans cells: High
Lymphocytes: High
Melanocytes: High
Sebaceous glands: High
Vascular mural cells: High
RNA expressioni

A summary of mRNA expression data available for current tissue based on several datasets. The mRNA expression levels in human tissues are based on RNA-seq data generated by the Human Protein Atlas (HPA), Genotype-Tissue Expression (GTEx) portal and CAGE data generated by the FANTOM5 consortium. Consensus normalized expression levels for human tissues was created by combining the data from HPA and GTEx datasets.

The mRNA expression levels in pig are based on RNA-seq data generated by the Human Protein Atlas (HPA), and for mouse, HPA data and in situ hybridization generated by the Allen brain atlas are reported.

Scroll down to view mRNA expression data in more detail.
Consensus:221.3 nTPM
HPA:120.3 nTPM
GTEx:221.3 nTPM

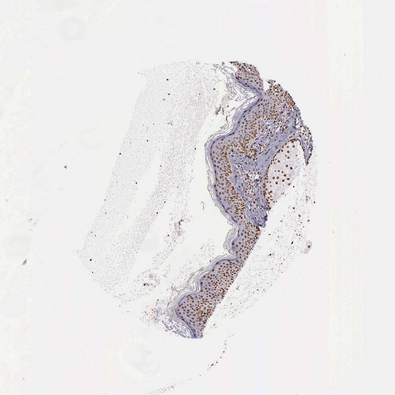
SKIN 1 - Antibody stainingi

Antibody staining in the annotated cell types in the current human tissue is reported as not detected, low, medium, or high, based on conventional immunohistochemistry profiling in selected tissues. This score is based on the combination of the staining intensity and fraction of stained cells.

Each image is clickable and will lead to virtual microscopy that enables deeper exploration of all samples and also displays staining intensity scores, fraction scores and subcellular localization as well as patient and tissue information for each sample.

Antibody HPA000843
Arrector pili muscle cells High
Cells in basal layer High
Cells in corneal layer Not detected
Cells in granular layer High
Cells in spinous layer High
Endothelial cells High
Extracellular matrix Not detected
Fibrohistiocytic cells High
Hair follicles Medium
Langerhans cells High
Lymphocytes High
Melanocytes High
Sebaceous glands High
Vascular mural cells High


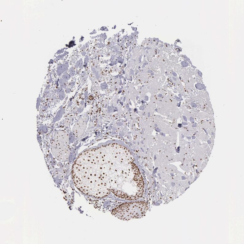
SKIN 2 - Antibody stainingi

Antibody staining in the annotated cell types in the current human tissue is reported as not detected, low, medium, or high, based on conventional immunohistochemistry profiling in selected tissues. This score is based on the combination of the staining intensity and fraction of stained cells.

Each image is clickable and will lead to virtual microscopy that enables deeper exploration of all samples and also displays staining intensity scores, fraction scores and subcellular localization as well as patient and tissue information for each sample.

Antibody HPA000843
Cells in basal layer High
Cells in corneal layer Not detected
Cells in granular layer High
Cells in spinous layer Medium
Endothelial cells High
Extracellular matrix Not detected
Fibrohistiocytic cells High
Hair follicles High
Langerhans cells High
Lymphocytes High
Melanocytes High
Sebaceous glands High
Vascular mural cells High
 



SKIN - HPA RNA-seqi

The RNA-seq details section shows detailed information about the individual samples used for the transcript profiling and results of the RNA-seq analysis.

Information about each individual sample is listed below, including gender, age, a tissue section image and estimated fractions of cell types. nTPM (normalized transcripts per million) values give a quantification of the gene abundance which is comparable between different genes and samples.
Average nTPMi

Max subtype nTPM is the value for the subtype with the largest average nTPM across the subtype samples.

120.3
overview
Female, age 34
Skin sample 225
nTPM: 127.4
Cell types%
Keratinocytes:
60

Other cell types:
40

overview
Female, age 30
Skin sample 226
nTPM: 121.7
Cell types%
Keratinocytes:
55

Other cell types:
45

N/A
Male, age 57
Skin sample 227
nTPM: 111.7

SKIN - GTEx RNA-seqi

RNA-Seq data generated by the Genotype-Tissue Expression (GTEx) project from human tissues is reported as mean nTPM. More information can be found on the GTEx portal.

Distribution across the dataset is visualized with box plots, shown as median and 25th and 75th percentiles. Points are displayed as outliers if they are above or below 1.5 times the interquartile range. nTPM values of the individual samples are presented next to the box plot.
Max subtype nTPMi

Max subtype nTPM is the value for the subtype with the largest average nTPM across the subtype samples.

221.3
GTEx sample id Sample description nTPM
Skin - Not Sun Exposed (Suprapubic)
Average nTPM: 220.0
Samples: 604

Max nTPM: 821.5
Min nTPM: 71.0
Std nTPM: 92.9
Median nTPM: 202.6
GTEX-1IDFM-0326-SM-ARL7V 60-69 years, male 821.5
GTEX-13YAN-0226-SM-5TDC6 60-69 years, male 729.8
GTEX-1F6RS-2026-SM-7RHHC 60-69 years, female 726.4
GTEX-15UF6-1926-SM-7KUDV 70-79 years, female 694.0
GTEX-1HBPM-0726-SM-9YFL7 60-69 years, female 554.6
GTEX-13IVO-0726-SM-5LZYV 70-79 years, male 538.4
GTEX-1117F-2926-SM-5GZYI 60-69 years, female 538.0
GTEX-13NZ8-1226-SM-5KM4A 60-69 years, female 537.9
GTEX-1S5ZU-2526-SM-E6CIF 20-29 years, female 493.0
GTEX-XMD2-2126-SM-4YCF8 60-69 years, female 474.3
GTEX-WI4N-2726-SM-3LK7Y 40-49 years, female 452.6
GTEX-1A8G7-1326-SM-73KVM 60-69 years, male 448.4
GTEX-11EM3-1226-SM-5N9DD 20-29 years, female 442.4
GTEX-13PL6-1126-SM-5L3IE 40-49 years, female 440.0
GTEX-1F48J-0726-SM-7RHGS 50-59 years, female 433.3
GTEX-14PJO-2526-SM-6AJBQ 60-69 years, male 431.4
GTEX-ZYVF-0926-SM-5E44J 50-59 years, female 428.5
GTEX-13PDP-0726-SM-5L3HP 60-69 years, male 422.4
GTEX-11O72-0626-SM-5PNYE 40-49 years, male 417.4
GTEX-1H2FU-0926-SM-9WPPT 60-69 years, female 416.4
GTEX-1NV5F-0626-SM-DTXEG 60-69 years, female 412.6
GTEX-Y114-2126-SM-4TT8B 50-59 years, female 411.3
GTEX-147F4-0726-SM-5TDDD 50-59 years, male 411.0
GTEX-139UW-0326-SM-5J1ML 60-69 years, male 403.3
GTEX-148VJ-0626-SM-5LUAW 70-79 years, male 398.1
GTEX-15SKB-2826-SM-6PAMH 60-69 years, male 394.6
GTEX-13O3O-2326-SM-5IJD6 60-69 years, female 383.0
GTEX-1A3MV-1826-SM-731CD 30-39 years, male 382.0
GTEX-12584-0726-SM-5FQTK 40-49 years, male 380.5
GTEX-1PDJ9-1226-SM-EXUSX 20-29 years, male 377.8
GTEX-ZVT4-2426-SM-5GIEI 50-59 years, female 375.9
GTEX-X4EP-0626-SM-3P621 60-69 years, female 375.7
GTEX-ZYY3-2926-SM-5GIEB 60-69 years, female 375.5
GTEX-139T8-0626-SM-5KLZX 60-69 years, male 370.3
GTEX-15D1Q-2826-SM-6LLH7 40-49 years, male 368.9
GTEX-17F97-2626-SM-7IGM5 50-59 years, male 363.6
GTEX-1F52S-2926-SM-7MKGA 60-69 years, female 363.0
GTEX-1K2DU-1226-SM-CYPT4 20-29 years, male 358.4
GTEX-15CHQ-0326-SM-69LQD 60-69 years, male 357.7
GTEX-1JN1M-2726-SM-CY8I4 60-69 years, female 357.3
GTEX-1PPH7-1126-SM-DTX9A 40-49 years, male 355.0
GTEX-1J8Q2-2626-SM-ACKWQ 60-69 years, male 354.8
GTEX-1LG7Y-2526-SM-EWRO7 50-59 years, male 353.9
GTEX-1GN1U-0626-SM-9MQL9 50-59 years, female 352.0
GTEX-1LKK1-2626-SM-DKPQE 50-59 years, female 352.0
GTEX-1H4P4-2126-SM-9WYSL 50-59 years, male 351.6
GTEX-11GSP-2326-SM-5HL63 60-69 years, female 350.7
GTEX-1EN7A-2426-SM-793DB 40-49 years, male 350.5
GTEX-1HCU7-0726-SM-A9SL1 50-59 years, male 350.5
GTEX-15ER7-0626-SM-6PANF 20-29 years, female 348.7
GTEX-1J8JJ-0626-SM-ARZMQ 60-69 years, female 343.0
GTEX-1IE54-1126-SM-A9G2Z 40-49 years, female 342.2
GTEX-1A8FM-0626-SM-7PC25 50-59 years, female 340.3
GTEX-13OVJ-0826-SM-5J1OK 50-59 years, female 338.4
GTEX-145MF-0926-SM-5Q5EA 50-59 years, male 335.3
GTEX-Z93S-1626-SM-5CVMB 50-59 years, male 334.7
GTEX-1C6VQ-1226-SM-73KYD 50-59 years, male 334.1
GTEX-13OW5-2326-SM-5L3HO 60-69 years, male 333.5
GTEX-ZAB4-2126-SM-5HL8U 40-49 years, male 333.2
GTEX-12KS4-2126-SM-5FQUT 30-39 years, male 332.4
GTEX-15RJE-2826-SM-7KUM9 40-49 years, male 332.3
GTEX-1JN6P-2926-SM-CL54D 60-69 years, male 330.6
GTEX-13OW6-2726-SM-5J2OE 50-59 years, male 329.5
GTEX-11ZUS-2626-SM-5FQUR 30-39 years, male 329.0
GTEX-1IKJJ-2226-SM-CJI4C 60-69 years, male 329.0
GTEX-17EVQ-0126-SM-7IGLR 70-79 years, male 328.7
GTEX-1OJC3-1226-SM-DTXER 20-29 years, male 328.0
GTEX-1PBJJ-1026-SM-E76OS 30-39 years, male 326.9
GTEX-18D9A-1426-SM-7LT8M 30-39 years, female 325.5
GTEX-11UD2-2526-SM-5CVNU 50-59 years, male 325.1
GTEX-1AX9J-1326-SM-731BJ 60-69 years, male 324.9
GTEX-ZVE1-0726-SM-51MRN 50-59 years, female 324.6
GTEX-ZC5H-1526-SM-5HL9Y 40-49 years, female 324.3
GTEX-ZVE2-2826-SM-5GU51 50-59 years, male 324.3
GTEX-13N1W-2426-SM-5IJD1 70-79 years, male 323.8
GTEX-17F9Y-0126-SM-79OKX 70-79 years, female 322.1
GTEX-1HR9M-2226-SM-CNPPY 60-69 years, male 322.1
GTEX-XK95-0226-SM-4AT58 40-49 years, male 321.9
GTEX-13JVG-0726-SM-5KM16 60-69 years, male 321.2
GTEX-18A67-1626-SM-7LT9T 50-59 years, male 318.9
GTEX-16XZZ-0726-SM-7KUF2 60-69 years, male 317.0
GTEX-14LZ3-0126-SM-69LPM 60-69 years, female 316.3
GTEX-1H23P-0626-SM-9WG6T 60-69 years, male 316.2
GTEX-13SLW-0626-SM-5Q5ER 70-79 years, male 316.1
GTEX-ZYFD-0626-SM-5E44E 50-59 years, male 314.9
GTEX-144GO-2026-SM-5O99P 60-69 years, male 314.0
GTEX-ZYW4-0626-SM-59HJR 60-69 years, male 313.0
GTEX-14B4R-1326-SM-5Q5EZ 30-39 years, male 312.8
GTEX-1K9T9-1526-SM-DIPFR 50-59 years, female 312.8
GTEX-1R9K4-2826-SM-DTX8F 60-69 years, male 311.7
GTEX-X585-2426-SM-46MW2 50-59 years, male 310.8
GTEX-16GPK-0626-SM-7KFSF 60-69 years, male 310.6
GTEX-ZDTS-0826-SM-4WKHL 60-69 years, male 310.1
GTEX-1HSKV-1226-SM-ADEI4 60-69 years, male 310.0
GTEX-14E6C-2426-SM-5S2NF 40-49 years, male 307.9
GTEX-145LS-0626-SM-7EPG7 60-69 years, female 305.9
GTEX-1I1GS-2626-SM-B2LY3 60-69 years, male 305.7
GTEX-ZUA1-2626-SM-5NQ92 40-49 years, male 304.3
GTEX-1M4P7-0726-SM-E6CJ3 60-69 years, male 304.3
GTEX-1B933-2426-SM-7DHMD 50-59 years, female 303.6
GTEX-X8HC-0626-SM-4E3HQ 50-59 years, female 303.3
GTEX-15FZZ-0526-SM-7KUGD 30-39 years, female 301.5
GTEX-1HCU6-2526-SM-ADEHL 60-69 years, female 298.9
GTEX-12ZZX-2426-SM-5GCOE 40-49 years, female 298.6
GTEX-Y8E4-2026-SM-5IFJB 40-49 years, male 298.6
GTEX-1R9PM-1926-SM-EVR3O 20-29 years, male 298.1
GTEX-1PIIG-2326-SM-DTXFR 30-39 years, male 297.8
GTEX-12C56-1526-SM-5FQUQ 20-29 years, male 296.8
GTEX-1GMRU-2126-SM-7P8RA 50-59 years, male 296.6
GTEX-YF7O-1526-SM-5IFI6 50-59 years, male 295.8
GTEX-1PIGE-1826-SM-E8VOU 20-29 years, male 294.5
GTEX-1RLM8-2926-SM-E8VON 50-59 years, male 293.1
GTEX-1J1OQ-0126-SM-D4P2N 40-49 years, female 293.0
GTEX-1192X-2726-SM-5N9DN 50-59 years, male 292.3
GTEX-14PHX-2226-SM-6EU2P 50-59 years, male 292.2
GTEX-147F3-1726-SM-5SIAW 50-59 years, female 291.4
GTEX-14ICL-1626-SM-5YYAO 30-39 years, male 290.9
GTEX-1I1GP-1326-SM-A9G28 50-59 years, male 290.4
GTEX-11EQ8-0926-SM-5H12V 60-69 years, male 289.8
GTEX-13OW7-0426-SM-5K7VK 50-59 years, male 288.6
GTEX-17F98-1326-SM-7DUEP 40-49 years, female 288.6
GTEX-11LCK-2226-SM-5HL4Q 30-39 years, male 287.1
GTEX-Y8LW-1526-SM-5IFHL 50-59 years, female 286.8
GTEX-12WSH-1526-SM-5BC5W 50-59 years, male 285.4
GTEX-11TUW-0626-SM-5LU9M 60-69 years, male 285.3
GTEX-13NYS-0626-SM-5L3F1 60-69 years, male 285.2
GTEX-1JMLX-0626-SM-ARL8T 50-59 years, male 284.6
GTEX-1C64N-2626-SM-7PC2N 50-59 years, male 284.2
GTEX-15SHW-0226-SM-7LTAT 60-69 years, male 283.2
GTEX-15DYW-2726-SM-6EU2I 60-69 years, female 283.0
GTEX-14BMV-2826-SM-5TDED 50-59 years, male 282.9
GTEX-1F75B-0726-SM-7PC3R 50-59 years, male 282.0
GTEX-ZDYS-2426-SM-4WKGI 50-59 years, male 281.9
GTEX-12WSF-1626-SM-7KUG5 70-79 years, male 281.2
GTEX-1A3MW-0626-SM-731CB 60-69 years, female 280.9
GTEX-131XG-0326-SM-5L3DX 50-59 years, female 279.8
GTEX-1HGF4-0126-SM-CNPPX 60-69 years, male 279.2
GTEX-13FHO-0426-SM-5L3F5 60-69 years, male 274.3
GTEX-12ZZZ-0726-SM-5GCNZ 60-69 years, male 273.9
GTEX-1GPI6-1926-SM-9KNV7 60-69 years, male 273.1
GTEX-11DXW-0826-SM-5H118 40-49 years, male 272.6
GTEX-ZXG5-2126-SM-59HKD 60-69 years, male 270.2
GTEX-1313W-0626-SM-5EQ4H 50-59 years, female 269.9
GTEX-139TT-2126-SM-5LZWC 60-69 years, male 269.6
GTEX-14C39-1726-SM-5RQIL 40-49 years, male 268.3
GTEX-1GN73-0726-SM-7P8TJ 60-69 years, male 267.8
GTEX-ZE7O-2726-SM-51MT5 50-59 years, female 267.0
GTEX-14PJN-1826-SM-6AJ98 30-39 years, male 264.7
GTEX-16YQH-2226-SM-7IGM2 30-39 years, male 264.0
GTEX-14PII-0726-SM-6EU2B 60-69 years, male 263.8
GTEX-14PHY-1226-SM-5ZZWK 60-69 years, female 263.4
GTEX-1E2YA-2126-SM-7MXUO 50-59 years, male 263.1
GTEX-WYBS-0626-SM-3NMAS 60-69 years, female 262.4
GTEX-YEC4-1826-SM-4W1YP 40-49 years, male 261.1
GTEX-1JMQJ-0826-SM-CNPP7 50-59 years, male 260.7
GTEX-111VG-1626-SM-5EGIO 60-69 years, male 260.5
GTEX-1HSMQ-2626-SM-A9SML 50-59 years, male 260.5
GTEX-1GF9U-2026-SM-7SB92 40-49 years, female 260.3
GTEX-11WQC-1826-SM-5GU59 60-69 years, male 259.7
GTEX-1OJC4-2726-SM-E76PJ 50-59 years, female 257.8
GTEX-13NYC-0126-SM-5L3F4 60-69 years, male 256.6
GTEX-1HT8W-0626-SM-A9G2H 30-39 years, male 256.1
GTEX-1JJE9-2626-SM-ARZMT 70-79 years, male 255.6
GTEX-1ICLZ-0326-SM-ARL82 60-69 years, male 255.3
GTEX-ZZ64-1026-SM-5GZXG 20-29 years, male 254.8
GTEX-WFG7-2026-SM-5SI7P 20-29 years, male 254.1
GTEX-144FL-0626-SM-5LU43 50-59 years, male 253.1
GTEX-YECK-0326-SM-4W1YS 60-69 years, male 252.9
GTEX-13NYB-0126-SM-5J1MD 40-49 years, male 252.6
GTEX-1QP9N-1226-SM-E76QN 30-39 years, male 251.7
GTEX-139D8-1126-SM-5LU8W 30-39 years, female 251.0
GTEX-1I1GV-0626-SM-ARL7M 60-69 years, male 251.0
GTEX-15EO6-2426-SM-6PALZ 50-59 years, male 250.3
GTEX-1F88E-1626-SM-7SB8Z 60-69 years, female 250.0
GTEX-1A8G6-2726-SM-731AR 60-69 years, male 249.7
GTEX-14C5O-0326-SM-5ZZUX 60-69 years, male 248.2
GTEX-11P7K-1126-SM-5HL4L 30-39 years, male 247.0
GTEX-18QFQ-1826-SM-72D52 30-39 years, male 246.1
GTEX-1QP66-1226-SM-DTX7U 50-59 years, male 245.7
GTEX-1N2DV-1526-SM-DTXEP 40-49 years, male 245.3
GTEX-1399Q-2326-SM-5KM2X 40-49 years, male 245.0
GTEX-17HHE-1326-SM-7EWDZ 50-59 years, male 245.0
GTEX-1A32A-0626-SM-731AQ 50-59 years, female 244.8
GTEX-1GZ4I-2626-SM-9KNU3 50-59 years, male 243.9
GTEX-1JMQI-1726-SM-ARL93 50-59 years, male 243.7
GTEX-12126-0826-SM-5FQTZ 20-29 years, male 243.4
GTEX-1H3VE-0726-SM-9YFL5 40-49 years, male 243.2
GTEX-1QEPI-2626-SM-DTXF4 60-69 years, female 242.7
GTEX-13X6I-1826-SM-5SIAO 60-69 years, male 242.5
GTEX-145MN-1526-SM-5SI9T 30-39 years, male 242.4
GTEX-1JMPZ-0726-SM-CY8HZ 30-39 years, male 241.9
GTEX-17EVP-2626-SM-7IGMA 40-49 years, male 239.4
GTEX-XOT4-0626-SM-4B66L 60-69 years, female 239.3
GTEX-13112-0126-SM-5P9IU 50-59 years, male 237.7
GTEX-13QJC-0126-SM-5ZZWJ 60-69 years, female 237.6
GTEX-1H3O1-1326-SM-9MQLD 60-69 years, male 237.5
GTEX-14JFF-0626-SM-5ZZVT 60-69 years, male 236.7
GTEX-1B8SF-0126-SM-7DUG3 60-69 years, male 236.4
GTEX-1EH9U-2826-SM-7DUGT 60-69 years, male 236.4
GTEX-1R9PN-0426-SM-DTXDT 40-49 years, female 235.9
GTEX-1GMR3-0126-SM-A9SLW 40-49 years, male 235.4
GTEX-1LSVX-2526-SM-DIPEU 60-69 years, male 235.4
GTEX-ZDXO-3126-SM-5IJDF 60-69 years, male 234.9
GTEX-1JMOU-1026-SM-CYPSS 60-69 years, female 234.9
GTEX-1GN1V-2826-SM-9JGIA 60-69 years, male 234.6
GTEX-111CU-1126-SM-5EGIM 50-59 years, male 234.2
GTEX-ZF3C-0626-SM-DO92O 50-59 years, female 233.5
GTEX-ZVZP-1226-SM-5GID7 50-59 years, male 232.5
GTEX-11DZ1-2426-SM-5GZZX 50-59 years, male 232.3
GTEX-1JMPY-0226-SM-CKZOK 30-39 years, male 230.6
GTEX-1RAZQ-1326-SM-E9TK6 30-39 years, male 229.5
GTEX-1LSNL-2726-SM-E9TKJ 50-59 years, male 228.9
GTEX-1PPGY-1626-SM-EVYBL 60-69 years, male 228.6
GTEX-14A5H-0826-SM-5QGPJ 60-69 years, male 228.1
GTEX-15G19-2426-SM-7KUMR 60-69 years, male 228.1
GTEX-1HFI7-2326-SM-CGQFS 50-59 years, female 227.6
GTEX-14BIN-1126-SM-5RQJZ 50-59 years, female 226.9
GTEX-WHPG-2626-SM-3NMBR 50-59 years, male 226.7
GTEX-1N5O9-0926-SM-E9J3C 60-69 years, male 226.4
GTEX-WHSB-1326-SM-3LK6W 50-59 years, male 226.1
GTEX-1QP2A-1726-SM-E76QC 50-59 years, male 226.0
GTEX-11ZU8-0126-SM-5EQ58 60-69 years, male 225.7
GTEX-1399U-1126-SM-5L3DB 50-59 years, female 225.4
GTEX-13NZ9-2626-SM-5L3FK 50-59 years, male 225.0
GTEX-17HII-1426-SM-7EPGG 50-59 years, male 225.0
GTEX-18465-2826-SM-7LT9J 50-59 years, male 225.0
GTEX-1269C-0126-SM-5EQ5L 60-69 years, female 224.9
GTEX-11GS4-0226-SM-5HL77 60-69 years, male 224.7
GTEX-1HBPN-0126-SM-CGQEF 50-59 years, male 224.6
GTEX-1N2EE-0626-SM-E76PW 60-69 years, male 224.3
GTEX-ZLV1-1526-SM-DO91J 60-69 years, female 224.3
GTEX-17MF6-2626-SM-79OKQ 40-49 years, male 224.1
GTEX-ZTX8-1326-SM-4YCEL 20-29 years, male 224.0
GTEX-1GF9V-0826-SM-9KNUV 60-69 years, male 223.8
GTEX-145MG-1526-SM-5Q5EM 50-59 years, male 223.3
GTEX-1JMQL-2226-SM-CNPP4 50-59 years, female 223.3
GTEX-133LE-2326-SM-5K7W3 20-29 years, female 220.5
GTEX-1C6VR-0126-SM-7RHGB 60-69 years, male 220.5
GTEX-YJ8O-2526-SM-5HL85 40-49 years, female 220.4
GTEX-13PVQ-0626-SM-5LU47 50-59 years, male 220.2
GTEX-145MO-2826-SM-5LU96 60-69 years, male 220.0
GTEX-11DXY-0126-SM-5H11Q 60-69 years, male 219.6
GTEX-14BMU-1226-SM-5S2OR 20-29 years, female 219.3
GTEX-ZT9X-1526-SM-5DUXD 40-49 years, male 218.3
GTEX-13SLX-2226-SM-62LEP 50-59 years, female 218.0
GTEX-11VI4-1126-SM-5EQMD 40-49 years, female 217.5
GTEX-ZYFC-0426-SM-5GICQ 50-59 years, male 217.0
GTEX-12WSD-0626-SM-5GCMW 60-69 years, female 216.8
GTEX-13OVK-1426-SM-6PAN7 40-49 years, male 216.8
GTEX-11NUK-2726-SM-5A5MC 50-59 years, male 216.4
GTEX-1GZHY-0626-SM-9KNVC 50-59 years, female 216.4
GTEX-1R46S-2426-SM-E76QA 60-69 years, female 216.1
GTEX-XYKS-1426-SM-4BRUO 60-69 years, female 215.9
GTEX-1F6I4-2326-SM-7RHGL 60-69 years, male 215.3
GTEX-1LB8K-0726-SM-D5OV2 50-59 years, male 215.3
GTEX-14JG6-1426-SM-9WG7C 30-39 years, female 214.8
GTEX-1477Z-0326-SM-7IGLA 60-69 years, male 214.7
GTEX-ZE9C-2526-SM-5IJDR 60-69 years, male 214.7
GTEX-Y3IK-1626-SM-4YCF5 50-59 years, female 214.6
GTEX-1CB4H-1126-SM-7MKGL 60-69 years, female 214.4
GTEX-11EI6-2826-SM-5H11D 60-69 years, male 214.3
GTEX-ZDTT-0426-SM-4WKFL 60-69 years, male 214.3
GTEX-ZP4G-1426-SM-4WWCL 20-29 years, female 214.3
GTEX-WXYG-2026-SM-4E3IY 50-59 years, female 214.2
GTEX-1497J-0226-SM-5QGPU 60-69 years, male 213.9
GTEX-1HR98-2226-SM-ADEI2 60-69 years, male 213.4
GTEX-1B8KE-1126-SM-7EPHI 50-59 years, male 213.2
GTEX-1211K-1526-SM-5FQU4 60-69 years, female 212.9
GTEX-1H3NZ-2726-SM-9WYTQ 60-69 years, male 212.9
GTEX-1H1CY-0126-SM-9YFLY 60-69 years, female 212.3
GTEX-WK11-2726-SM-3NMAQ 50-59 years, male 212.1
GTEX-12WSM-1926-SM-5BC65 60-69 years, male 211.9
GTEX-1A3MX-2626-SM-7PC24 60-69 years, male 211.9
GTEX-1QCLY-0226-SM-EWRNH 30-39 years, male 211.4
GTEX-145LU-1926-SM-79OJN 50-59 years, male 210.6
GTEX-1IOXB-2726-SM-CM2RI 50-59 years, male 210.3
GTEX-11DYG-1526-SM-5A5JS 60-69 years, male 209.9
GTEX-131XW-0626-SM-5PNVD 50-59 years, female 209.7
GTEX-14LLW-2626-SM-62LDZ 70-79 years, female 209.6
GTEX-XAJ8-1426-SM-47JYM 40-49 years, male 209.5
GTEX-18A6Q-0626-SM-7KFRP 60-69 years, male 209.3
GTEX-1HSMP-0926-SM-A9SKX 70-79 years, male 209.0
GTEX-YFCO-1226-SM-5LUAT 40-49 years, male 208.7
GTEX-1QAET-0326-SM-EVR3U 50-59 years, male 208.7
GTEX-13FTY-2126-SM-5IFFB 40-49 years, female 207.8
GTEX-U8XE-0226-SM-4E3J3 30-39 years, male 207.6
GTEX-1HB9E-0126-SM-CM2S5 50-59 years, male 207.1
GTEX-1C64O-1326-SM-7MGWR 60-69 years, male 206.8
GTEX-WYJK-0526-SM-3NM8Z 50-59 years, male 206.2
GTEX-139TU-0726-SM-5L3EK 60-69 years, male 206.1
GTEX-Y3I4-1726-SM-4TT89 50-59 years, male 206.1
GTEX-1314G-1326-SM-5BC6E 30-39 years, male 205.7
GTEX-15DDE-2926-SM-6LLJ3 50-59 years, female 205.6
GTEX-1HBPI-2126-SM-ARL9K 50-59 years, male 205.6
GTEX-1O9I2-0226-SM-EYYXD 50-59 years, male 205.5
GTEX-1QP29-1826-SM-DTX9S 50-59 years, male 205.0
GTEX-11DXZ-2026-SM-5987S 50-59 years, male 204.6
GTEX-ZAJG-1526-SM-5CVML 50-59 years, female 204.5
GTEX-1HSMO-0626-SM-ACKXC 60-69 years, male 204.4
GTEX-Y111-0626-SM-4SOIT 50-59 years, male 204.1
GTEX-15RJ7-2126-SM-6PAMD 40-49 years, male 203.4
GTEX-11P81-2226-SM-5PNYI 30-39 years, female 202.9
GTEX-1HCVE-2726-SM-CL54F 50-59 years, male 202.2
GTEX-1HC8U-1326-SM-9YFMJ 40-49 years, female 201.6
GTEX-WH7G-2026-SM-3NMBL 40-49 years, male 200.5
GTEX-1QP28-1126-SM-EVYC4 50-59 years, female 200.4
GTEX-X4EO-2926-SM-4E3JH 60-69 years, female 200.3
GTEX-1GZ4H-0526-SM-9KNU9 50-59 years, female 199.9
GTEX-1JJ6O-2726-SM-CNPOG 60-69 years, male 199.9
GTEX-1BAJH-2426-SM-7IGP8 70-79 years, male 199.3
GTEX-16MT8-2926-SM-7DUFO 60-69 years, female 199.2
GTEX-12ZZY-0726-SM-5EQ66 60-69 years, male 198.2
GTEX-16NPX-0726-SM-7KULC 50-59 years, male 198.0
GTEX-18D9U-0126-SM-731BM 40-49 years, male 197.8
GTEX-1I1CD-0626-SM-CE6SW 60-69 years, female 197.1
GTEX-13QBU-1226-SM-5LU4G 40-49 years, female 196.7
GTEX-XV7Q-1826-SM-4BRUV 40-49 years, female 196.7
GTEX-1LVAO-2726-SM-E9TJ8 60-69 years, male 196.6
GTEX-1AX9I-2226-SM-73KUO 60-69 years, male 196.1
GTEX-1GF9W-1426-SM-7PBYM 60-69 years, male 196.0
GTEX-ZA64-1026-SM-5HL8R 20-29 years, male 195.7
GTEX-1399S-0126-SM-5IJCF 30-39 years, female 195.6
GTEX-11PRG-0726-SM-5EGL1 50-59 years, male 195.4
GTEX-1KAFJ-0126-SM-DIPEK 50-59 years, male 195.1
GTEX-14PJ2-0626-SM-6LLII 50-59 years, male 194.4
GTEX-1LGOU-1326-SM-D3L8M 20-29 years, female 194.3
GTEX-13OVH-0526-SM-5L3E6 70-79 years, male 194.2
GTEX-1AYD5-2626-SM-7PBXY 50-59 years, male 194.0
GTEX-15RIG-0726-SM-7KUM7 40-49 years, male 193.8
GTEX-WHSE-0126-SM-3NMBT 20-29 years, male 193.6
GTEX-ZTTD-2826-SM-4YCFA 50-59 years, male 192.4
GTEX-1LGRB-0926-SM-COH3K 50-59 years, female 191.2
GTEX-17JCI-2926-SM-7DUFF 60-69 years, female 190.7
GTEX-11WQK-1026-SM-5EQLX 50-59 years, male 190.2
GTEX-1I19N-0126-SM-CYPSF 70-79 years, male 189.3
GTEX-1IDJE-1426-SM-ADEIW 50-59 years, female 189.3
GTEX-145MI-0626-SM-5SI8S 60-69 years, female 189.1
GTEX-1CAMS-2226-SM-7PBXQ 40-49 years, female 189.0
GTEX-1S3DN-2126-SM-E9TIN 50-59 years, male 188.4
GTEX-17HHY-0426-SM-7DHLC 50-59 years, male 187.8
GTEX-1PPH8-0126-SM-EWRN8 20-29 years, male 187.4
GTEX-147JS-0226-SM-5S2U9 60-69 years, male 187.3
GTEX-11TT1-1826-SM-5EQLV 20-29 years, male 187.2
GTEX-1POEN-2326-SM-E9J2L 30-39 years, female 187.1
GTEX-144GM-0526-SM-79OJO 20-29 years, male 186.2
GTEX-11DXX-2126-SM-5PNYR 60-69 years, female 185.9
GTEX-ZWKS-0626-SM-5GIDV 30-39 years, male 185.5
GTEX-1IY9M-2826-SM-ARU8H 60-69 years, male 185.5
GTEX-1C6WA-2626-SM-7MKGM 60-69 years, male 185.2
GTEX-1IDJC-1526-SM-B2LW4 50-59 years, male 185.2
GTEX-1CAMQ-1326-SM-7P8RV 40-49 years, male 184.8
GTEX-ZF29-0926-SM-4WKFZ 60-69 years, female 184.6
GTEX-13O3Q-0126-SM-5KM34 50-59 years, male 184.4
GTEX-1F75I-2226-SM-7SB8U 40-49 years, male 184.4
GTEX-11P82-1426-SM-DTXFY 20-29 years, male 183.7
GTEX-1HKZK-0726-SM-ACKW2 40-49 years, male 183.4
GTEX-13VXU-0626-SM-5L3F9 50-59 years, male 182.9
GTEX-13G51-1826-SM-5KLZH 60-69 years, male 182.4
GTEX-13X6K-0626-SM-5LU5D 60-69 years, female 182.1
GTEX-1ICLY-0826-SM-CMKG1 50-59 years, male 182.1
GTEX-ZYT6-2326-SM-5GZY3 30-39 years, male 181.8
GTEX-111FC-2526-SM-5GZXU 60-69 years, male 181.6
GTEX-16BQI-1326-SM-6M486 30-39 years, female 181.3
GTEX-18A7B-2726-SM-7LG56 70-79 years, male 181.2
GTEX-13VXT-1926-SM-5K7UO 20-29 years, female 180.0
GTEX-1I6K6-1726-SM-CGQFD 30-39 years, male 179.8
GTEX-13FH7-1126-SM-5K7UG 50-59 years, female 179.5
GTEX-183FY-1026-SM-7939A 20-29 years, male 179.4
GTEX-1EKGG-0626-SM-7DUGJ 60-69 years, male 179.3
GTEX-13JUV-2026-SM-5K7UA 40-49 years, female 179.2
GTEX-1H1E6-0426-SM-9WYUS 30-39 years, male 179.2
GTEX-1QPFJ-1926-SM-EVYBD 30-39 years, female 179.0
GTEX-1GTWX-2026-SM-9YFLM 60-69 years, male 178.3
GTEX-12WSJ-1126-SM-5LZVJ 40-49 years, female 178.1
GTEX-12BJ1-0926-SM-5EQ62 60-69 years, male 177.6
GTEX-WEY5-2326-SM-3GIKK 40-49 years, female 177.4
GTEX-14PJ5-1526-SM-6LLIL 60-69 years, female 177.1
GTEX-14DAR-1226-SM-73KYV 50-59 years, male 176.9
GTEX-1F75A-0726-SM-7RHHD 50-59 years, male 176.1
GTEX-1NSGN-0726-SM-DTXEF 50-59 years, male 175.5
GTEX-12WSC-2826-SM-5BC5Y 50-59 years, male 175.0
GTEX-13OW8-1026-SM-5J1NQ 60-69 years, male 175.0
GTEX-WY7C-2126-SM-3NB2R 50-59 years, male 174.5
GTEX-145MH-2826-SM-5RQJF 50-59 years, male 174.2
GTEX-14A6H-2026-SM-5Q5DD 30-39 years, male 174.2
GTEX-ZLWG-0826-SM-59888 50-59 years, female 173.9
GTEX-1GN2E-0226-SM-9WG6K 60-69 years, male 173.9
GTEX-131XF-2626-SM-5EQ6K 60-69 years, male 173.8
GTEX-XQ3S-1426-SM-4BOPR 20-29 years, male 173.7
GTEX-13FLV-0126-SM-5K7WT 50-59 years, male 173.3
GTEX-12696-0126-SM-5EQ4L 60-69 years, male 173.2
GTEX-1HCU8-2526-SM-CE6RX 60-69 years, female 173.1
GTEX-1IKOE-1426-SM-CE6T7 30-39 years, female 173.1
GTEX-16AAH-0626-SM-793C9 50-59 years, male 172.7
GTEX-1B996-0426-SM-7EWF8 60-69 years, male 172.6
GTEX-1IDJD-2326-SM-ACKWX 30-39 years, male 172.2
GTEX-13OVL-0126-SM-5L3GJ 50-59 years, male 172.0
GTEX-16MT9-0126-SM-7EPI8 60-69 years, female 171.9
GTEX-XQ8I-0926-SM-4BOOF 50-59 years, male 171.8
GTEX-1212Z-0126-SM-59HK4 60-69 years, male 171.4
GTEX-145LT-0526-SM-5LUB2 40-49 years, male 171.3
GTEX-XBED-1926-SM-47JYP 60-69 years, male 171.1
GTEX-14753-0726-SM-5QGQO 60-69 years, male 170.8
GTEX-1CB4E-0926-SM-7EPHT 60-69 years, male 170.7
GTEX-WFON-1926-SM-3LK7L 40-49 years, male 170.4
GTEX-ZT9W-1126-SM-57WDR 50-59 years, male 170.4
GTEX-14JG1-1526-SM-5YY9X 40-49 years, male 170.3
GTEX-1JJEA-1826-SM-ARU8P 60-69 years, male 170.2
GTEX-1I1GU-0926-SM-ACKVS 40-49 years, male 170.1
GTEX-WHWD-1826-SM-3LK6I 50-59 years, male 169.7
GTEX-11OF3-0126-SM-5PNYF 60-69 years, male 169.5
GTEX-13FTX-1526-SM-5K7VJ 20-29 years, female 169.0
GTEX-17F96-0126-SM-7EWDU 70-79 years, male 168.9
GTEX-14PJ3-1126-SM-5ZZVX 50-59 years, male 168.7
GTEX-1CB4F-1026-SM-7DUH1 60-69 years, male 168.6
GTEX-1JMQK-1226-SM-D4P2S 60-69 years, male 168.0
GTEX-XBEW-1126-SM-4QARW 40-49 years, male 167.8
GTEX-1KWVE-1026-SM-D3L9O 30-39 years, male 167.8
GTEX-13O61-1426-SM-5KM3D 60-69 years, male 166.9
GTEX-11NSD-0626-SM-5A5LU 20-29 years, male 166.6
GTEX-18A7A-0126-SM-731AH 50-59 years, female 166.6
GTEX-1B8KZ-0326-SM-73KY4 50-59 years, male 166.5
GTEX-1LSNM-0826-SM-DIPG8 50-59 years, male 166.5
GTEX-1C2JI-1026-SM-73KY1 50-59 years, male 166.1
GTEX-17MFQ-1526-SM-7KFRR 20-29 years, male 165.2
GTEX-UPJH-0226-SM-3GADV 50-59 years, male 165.1
GTEX-1MJK3-0726-SM-E6CJC 20-29 years, male 164.9
GTEX-1IL2V-1926-SM-B2LW8 70-79 years, male 164.4
GTEX-147GR-2426-SM-5ZZWQ 60-69 years, male 164.2
GTEX-UPK5-0426-SM-3GAEK 40-49 years, male 164.2
GTEX-1RB15-1326-SM-E76Q9 60-69 years, male 164.0
GTEX-117YX-1926-SM-5GIEC 50-59 years, male 163.9
GTEX-1I1GT-1026-SM-ARZLV 60-69 years, female 163.7
GTEX-1KANA-1326-SM-DIPFA 20-29 years, male 163.6
GTEX-1AMFI-1326-SM-7939R 50-59 years, female 163.2
GTEX-139TS-2126-SM-5K7XC 60-69 years, male 162.5
GTEX-YEC3-1326-SM-DO92X 50-59 years, male 162.3
GTEX-1IDJF-2026-SM-CL53V 20-29 years, male 162.2
GTEX-1B97I-0626-SM-73KUZ 40-49 years, male 162.0
GTEX-XBEC-0726-SM-4QARZ 50-59 years, male 162.0
GTEX-WFG8-2126-SM-3GIKQ 20-29 years, male 161.2
GTEX-1F6IF-0926-SM-7SB7M 60-69 years, male 161.1
GTEX-15RIE-1926-SM-7KUKJ 60-69 years, male 160.8
GTEX-1S831-1826-SM-EWROF 20-29 years, male 160.6
GTEX-1ICG6-1226-SM-A9SLN 70-79 years, female 160.4
GTEX-VJYA-1526-SM-3GIJV 60-69 years, male 159.8
GTEX-1GN1W-2426-SM-9KNUU 50-59 years, female 159.0
GTEX-XPVG-2126-SM-4B667 50-59 years, male 158.9
GTEX-144GL-0626-SM-5LU4D 50-59 years, male 158.1
GTEX-1J1R8-2026-SM-CL53Y 40-49 years, male 157.1
GTEX-1RMOY-1326-SM-E9TIH 50-59 years, male 156.9
GTEX-14AS3-1526-SM-5Q5ED 40-49 years, female 156.4
GTEX-ZF2S-1626-SM-57WES 50-59 years, female 156.4
GTEX-18D9B-0926-SM-7LG4U 60-69 years, male 156.3
GTEX-1HUB1-1426-SM-CGQF5 60-69 years, male 155.8
GTEX-1LVAM-0726-SM-E6CIL 50-59 years, female 155.6
GTEX-1AX8Z-0726-SM-73KTS 60-69 years, male 155.3
GTEX-ZGAY-1826-SM-DO91Q 40-49 years, female 155.3
GTEX-1F88F-0126-SM-9WYSZ 60-69 years, female 155.2
GTEX-1IDJV-0126-SM-COH3Y 60-69 years, male 155.1
GTEX-1EU9M-1426-SM-793AI 60-69 years, male 155.0
GTEX-1I6K7-1926-SM-B2LXR 40-49 years, male 154.9
GTEX-V1D1-2026-SM-3GAF4 50-59 years, male 154.5
GTEX-12WSL-2026-SM-5GCML 50-59 years, male 154.2
GTEX-15G1A-1626-SM-7KUKN 30-39 years, male 154.2
GTEX-1LBAC-0826-SM-CY8IJ 20-29 years, male 154.1
GTEX-1S82P-2126-SM-E6CI5 60-69 years, female 153.8
GTEX-ZPIC-0526-SM-DO91W 40-49 years, female 153.5
GTEX-17KNJ-2126-SM-718AM 50-59 years, male 153.1
GTEX-1QMI2-2526-SM-E8VNZ 60-69 years, male 152.5
GTEX-1C475-1326-SM-7SB73 40-49 years, female 152.0
GTEX-17HG3-2626-SM-7DUF2 30-39 years, female 150.9
GTEX-131XH-0126-SM-5LZUY 50-59 years, male 150.6
GTEX-139YR-1026-SM-5LZYN 50-59 years, male 150.4
GTEX-14E1K-2026-SM-7DUEI 50-59 years, male 150.4
GTEX-18A66-0626-SM-7LT8Z 60-69 years, male 150.3
GTEX-1KANC-1226-SM-CYPT7 50-59 years, female 150.2
GTEX-13OVG-1626-SM-5J1NF 60-69 years, male 150.1
GTEX-13RTJ-0126-SM-5S2NN 60-69 years, male 149.2
GTEX-1IDJI-0126-SM-CMKHS 50-59 years, female 149.1
GTEX-131YS-2826-SM-5EQ47 60-69 years, female 148.9
GTEX-11ZTT-2126-SM-5CVLO 60-69 years, female 148.8
GTEX-ZPCL-1126-SM-4WWFE 60-69 years, female 148.6
GTEX-146FQ-2126-SM-5RQHU 30-39 years, male 148.3
GTEX-ZU9S-1826-SM-5NQ9E 30-39 years, male 148.3
GTEX-13D11-0926-SM-5J2NC 50-59 years, female 148.1
GTEX-17HGU-2326-SM-7DUFE 50-59 years, male 148.1
GTEX-1I1HK-2326-SM-CKZOH 60-69 years, male 147.9
GTEX-1QCLZ-2426-SM-EVYBW 60-69 years, female 147.6
GTEX-1R7EU-1626-SM-DTXG3 60-69 years, male 147.2
GTEX-178AV-1726-SM-7KUL8 40-49 years, male 146.6
GTEX-1RAZR-2126-SM-E9U6T 40-49 years, male 145.1
GTEX-17F9E-2326-SM-79OKD 50-59 years, male 144.2
GTEX-1F75W-2726-SM-7SB8H 60-69 years, male 144.1
GTEX-1CB4I-0126-SM-7RHGG 50-59 years, male 144.0
GTEX-1HSGN-0826-SM-ACKW3 40-49 years, female 144.0
GTEX-1E1VI-0326-SM-793D1 50-59 years, male 143.9
GTEX-1GL5R-1326-SM-7RHHF 50-59 years, male 142.6
GTEX-ZVTK-0226-SM-51MRG 20-29 years, male 142.4
GTEX-1EWIQ-0326-SM-7DHMQ 70-79 years, female 142.1
GTEX-1AMEY-0826-SM-72D65 30-39 years, female 141.1
GTEX-WYVS-1626-SM-3NM9R 40-49 years, female 141.0
GTEX-Y9LG-1126-SM-4VBQ7 30-39 years, male 140.9
GTEX-111YS-1526-SM-5GZYW 60-69 years, male 140.2
GTEX-13PVR-0426-SM-5RQK2 60-69 years, female 139.9
GTEX-1KD5A-0126-SM-E9U54 50-59 years, male 139.7
GTEX-14ABY-2026-SM-62LDL 50-59 years, male 139.4
GTEX-16Z82-2626-SM-7KULU 60-69 years, male 138.8
GTEX-13FTW-0326-SM-5K7UW 40-49 years, male 138.5
GTEX-1LVA9-2626-SM-EVYD4 50-59 years, male 138.1
GTEX-16MTA-0926-SM-6M47Z 50-59 years, male 137.6
GTEX-1CAMR-1326-SM-7PC1F 20-29 years, male 137.4
GTEX-1EMGI-2326-SM-7PBYA 60-69 years, male 136.7
GTEX-16NGA-0726-SM-731AO 40-49 years, female 136.6
GTEX-1F5PK-2226-SM-7SB6N 50-59 years, male 136.6
GTEX-ZAK1-0626-SM-5HL8E 50-59 years, female 136.2
GTEX-1J8QM-2426-SM-A9SLS 60-69 years, female 135.5
GTEX-13U4I-2226-SM-5LU5H 40-49 years, female 135.4
GTEX-1EX96-1026-SM-7MKG2 50-59 years, male 135.1
GTEX-1122O-1026-SM-9WYSF 60-69 years, female 134.9
GTEX-11EQ9-1626-SM-5PNY8 30-39 years, male 133.7
GTEX-1HFI6-0126-SM-CNPPI 40-49 years, male 133.3
GTEX-XXEK-1626-SM-4BRUZ 50-59 years, male 132.9
GTEX-1J8EW-2726-SM-CY8HR 60-69 years, female 132.6
GTEX-1B932-2326-SM-79OL5 40-49 years, female 132.1
GTEX-1S83E-1326-SM-E6CJM 40-49 years, male 132.0
GTEX-1GPI7-1826-SM-9KNU1 20-29 years, male 131.9
GTEX-1MCYP-0526-SM-E9U6Q 20-29 years, female 131.4
GTEX-1HCU9-0426-SM-9WYSD 20-29 years, male 131.2
GTEX-1RAZA-2226-SM-E9U4X 20-29 years, male 130.9
GTEX-14PKV-1126-SM-6LLJ1 20-29 years, female 130.8
GTEX-1KXAM-1626-SM-D3LAD 60-69 years, male 130.7
GTEX-183WM-0326-SM-72D5V 70-79 years, female 130.6
GTEX-13113-1626-SM-5EQ4I 60-69 years, female 129.6
GTEX-14C38-0726-SM-5SI6M 50-59 years, male 129.4
GTEX-15EU6-2226-SM-6EU2L 50-59 years, male 128.7
GTEX-ZYFG-1526-SM-5GZYM 60-69 years, female 128.0
GTEX-1GMR8-0626-SM-7RHI7 50-59 years, female 127.6
GTEX-1L5NE-1126-SM-D3L9P 50-59 years, male 127.5
GTEX-1IDJH-0126-SM-D3L92 70-79 years, male 126.8
GTEX-1B8L1-2226-SM-7P8PT 60-69 years, male 126.3
GTEX-Y5LM-0926-SM-6LLJG 40-49 years, female 125.3
GTEX-Y5V5-0126-SM-5S2NW 60-69 years, female 125.3
GTEX-X5EB-1926-SM-4E3IW 40-49 years, male 124.8
GTEX-1CB4J-1326-SM-7P8RX 60-69 years, male 124.1
GTEX-14E6E-0526-SM-793DN 30-39 years, male 123.9
GTEX-1JK1U-0226-SM-ARZMX 60-69 years, male 123.0
GTEX-XUW1-0926-SM-4BONX 50-59 years, female 122.7
GTEX-15CHR-1126-SM-7EWF4 50-59 years, male 122.5
GTEX-12WSA-0426-SM-5EQ5X 60-69 years, male 122.3
GTEX-1LG7Z-1626-SM-CXKYR 30-39 years, male 121.5
GTEX-1J8Q3-0526-SM-ARL8U 60-69 years, male 121.2
GTEX-14PJ4-0226-SM-5YY92 60-69 years, male 120.9
GTEX-14PKU-0126-SM-6LLHV 40-49 years, female 120.7
GTEX-14DAQ-0626-SM-793DS 60-69 years, female 120.6
GTEX-X3Y1-2026-SM-3P5YM 40-49 years, male 120.3
GTEX-1QW4Y-1126-SM-DTXE3 30-39 years, male 120.0
GTEX-VUSG-2326-SM-4KL1U 50-59 years, male 119.4
GTEX-13W3W-0726-SM-5IJDQ 60-69 years, female 118.9
GTEX-1GZ2Q-0126-SM-9WG6M 40-49 years, male 118.7
GTEX-1RAZS-2526-SM-E6CHT 50-59 years, male 117.6
GTEX-1JKYN-0826-SM-ARU8S 30-39 years, male 117.2
GTEX-1GF9X-1326-SM-7PC2Y 40-49 years, female 117.0
GTEX-1H1DG-2426-SM-9QEHJ 70-79 years, male 117.0
GTEX-1F5PL-0926-SM-7PC2W 40-49 years, female 116.6
GTEX-1H1DE-1326-SM-9KNUG 20-29 years, male 116.5
GTEX-W5X1-2526-SM-3GILC 40-49 years, female 116.3
GTEX-YB5K-2026-SM-4VDT3 40-49 years, female 115.3
GTEX-1H11D-1826-SM-9QEHM 40-49 years, male 114.4
GTEX-WRHU-2826-SM-3MJG8 50-59 years, female 113.3
GTEX-13N11-2326-SM-5IJBF 50-59 years, female 113.1
GTEX-ZY6K-1426-SM-5GZX2 50-59 years, male 113.1
GTEX-1I4MK-0126-SM-CY8G6 50-59 years, female 112.6
GTEX-ZVP2-0326-SM-57WBP 50-59 years, male 112.1
GTEX-1JN76-0626-SM-CKZOQ 20-29 years, female 111.7
GTEX-13N2G-0226-SM-5K7VF 60-69 years, male 111.6
GTEX-1KANB-2826-SM-CY8I6 50-59 years, male 111.6
GTEX-1CAV2-0126-SM-7IGN7 40-49 years, female 110.7
GTEX-14PJ6-2626-SM-6EU2T 60-69 years, female 110.3
GTEX-1IDJU-1726-SM-CMKHU 60-69 years, female 109.9
GTEX-ZZPU-0826-SM-5GZX5 50-59 years, female 108.5
GTEX-ZTSS-1426-SM-5985P 40-49 years, male 107.9
GTEX-ZVT2-0126-SM-5GIDQ 50-59 years, female 107.3
GTEX-12WSK-2126-SM-5CVNC 40-49 years, female 105.4
GTEX-1H1DF-1126-SM-9WG7G 40-49 years, female 103.9
GTEX-1H1ZS-2726-SM-9WG75 70-79 years, male 103.9
GTEX-145ME-1726-SM-5Q5EU 40-49 years, female 102.7
GTEX-1MCC2-1826-SM-DIPEX 30-39 years, female 102.5
GTEX-ZLFU-1826-SM-4WWBV 40-49 years, male 101.3
GTEX-1K2DA-1026-SM-CGQGF 50-59 years, male 100.8
GTEX-13X6J-0626-SM-5LU5F 50-59 years, male 100.4
GTEX-Y5V6-2326-SM-4VDSA 60-69 years, male 98.1
GTEX-13X6H-0926-SM-5SIB2 50-59 years, female 94.2
GTEX-15CHC-1126-SM-6LLHQ 60-69 years, female 93.4
GTEX-14XAO-1226-SM-6EU1C 60-69 years, female 92.4
GTEX-14PK6-0226-SM-62LF5 70-79 years, female 92.1
GTEX-1LVAN-0626-SM-CNPOQ 50-59 years, female 91.6
GTEX-ZPU1-1126-SM-4YCF3 40-49 years, male 91.0
GTEX-1GMR2-0826-SM-7PC3V 50-59 years, male 90.2
GTEX-132AR-0326-SM-5KM2C 50-59 years, female 87.1
GTEX-1HCUA-0826-SM-ADEHM 50-59 years, female 83.2
GTEX-1399R-1326-SM-5PNYS 30-39 years, male 79.8
GTEX-1S82U-1026-SM-E6CJK 30-39 years, female 74.9
GTEX-1JKYR-0626-SM-ARL8R 20-29 years, male 71.0
Show allShow less
Skin - Sun Exposed (Lower leg)
Average nTPM: 221.3
Samples: 701

Max nTPM: 1608.1
Min nTPM: 61.7
Std nTPM: 96.8
Median nTPM: 204.9
GTEX-14E6C-0126-SM-5RQIP 40-49 years, male 1608.1
GTEX-T2YK-0526-SM-32QPJ 50-59 years, male 756.1
GTEX-11EM3-2426-SM-59861 20-29 years, female 667.4
GTEX-1PDJ9-0326-SM-DTX95 20-29 years, male 599.3
GTEX-13NZ8-0826-SM-5MR3I 60-69 years, female 560.6
GTEX-1F6RS-0126-SM-9MQKZ 60-69 years, female 544.2
GTEX-1LBAC-0126-SM-DIPEZ 20-29 years, male 531.8
GTEX-WI4N-1026-SM-3LK7N 40-49 years, female 511.5
GTEX-11TT1-2526-SM-5EGIB 20-29 years, male 490.1
GTEX-148VJ-0126-SM-5TDDN 70-79 years, male 487.1
GTEX-VJWN-0126-SM-3GIK7 50-59 years, female 472.5
GTEX-131XE-2326-SM-5PNZ2 50-59 years, male 472.2
GTEX-15ETS-0126-SM-7KUMW 40-49 years, female 462.0
GTEX-T5JW-1626-SM-3GADZ 20-29 years, female 456.2
GTEX-183WM-0126-SM-7LTAB 70-79 years, female 445.9
GTEX-X4XY-0226-SM-4E3IZ 60-69 years, male 432.5
GTEX-SN8G-0126-SM-32PLI 50-59 years, female 428.6
GTEX-PSDG-0226-SM-DKPOZ 50-59 years, male 417.2
GTEX-1E2YA-0126-SM-9KNUC 50-59 years, male 415.0
GTEX-18D9A-1926-SM-7LG6P 30-39 years, female 406.7
GTEX-1OJC3-0126-SM-E76QX 20-29 years, male 405.6
GTEX-145MO-0326-SM-5Q5B3 60-69 years, male 404.0
GTEX-ZWKS-0126-SM-5SIAA 30-39 years, male 403.5
GTEX-11XUK-2026-SM-5EQLF 40-49 years, female 401.9
GTEX-ZTX8-1426-SM-5DUVO 20-29 years, male 400.9
GTEX-13111-1626-SM-5EGJY 50-59 years, male 399.4
GTEX-1S5ZA-0126-SM-EVYCV 20-29 years, male 392.9
GTEX-1JN6P-0126-SM-D3L98 60-69 years, male 390.4
GTEX-OIZH-0126-SM-2HMIS 50-59 years, male 385.8
GTEX-1H2FU-0126-SM-9WYSI 60-69 years, female 385.0
GTEX-14PHX-2326-SM-62LEM 50-59 years, male 383.8
GTEX-11DZ1-0126-SM-5985Q 50-59 years, male 370.7
GTEX-P4PQ-0126-SM-2S1NM 60-69 years, male 369.1
GTEX-1QP66-1726-SM-E8VO1 50-59 years, male 368.2
GTEX-11H98-0126-SM-5EGHG 50-59 years, male 367.5
GTEX-13OVH-0126-SM-5MR4B 70-79 years, male 367.5
GTEX-1PIGE-0126-SM-EVYBJ 20-29 years, male 364.6
GTEX-12C56-1726-SM-5EQ61 20-29 years, male 363.1
GTEX-13PDP-0126-SM-5L3HD 60-69 years, male 360.1
GTEX-1A3MV-1926-SM-718BT 30-39 years, male 355.3
GTEX-T6MN-0126-SM-32PLP 50-59 years, male 352.2
GTEX-1GMR3-1926-SM-9KNUZ 40-49 years, male 350.9
GTEX-1HCU6-0126-SM-CL54K 60-69 years, female 349.3
GTEX-QCQG-1726-SM-3GIJ9 50-59 years, female 346.4
GTEX-SE5C-1626-SM-2XCE3 40-49 years, female 344.2
GTEX-TML8-1926-SM-32QOS 40-49 years, female 343.3
GTEX-1K2DU-2326-SM-E9TIV 20-29 years, male 343.3
GTEX-OIZG-0726-SM-33HBL 50-59 years, male 342.4
GTEX-1IGQW-0126-SM-COH42 60-69 years, male 341.2
GTEX-117XS-2726-SM-5N9BL 60-69 years, male 338.2
GTEX-WRHK-1426-SM-3MJF9 20-29 years, female 335.3
GTEX-X585-0226-SM-4QAS2 50-59 years, male 335.0
GTEX-13YAN-0326-SM-5O9DF 60-69 years, male 334.2
GTEX-X8HC-0126-SM-4E3JW 50-59 years, female 332.5
GTEX-1J8QM-2126-SM-CYPSJ 60-69 years, female 332.3
GTEX-X4EP-0126-SM-3P5YV 60-69 years, female 331.5
GTEX-145LS-0126-SM-5QGP1 60-69 years, female 330.3
GTEX-1HCU8-0626-SM-A9SM9 60-69 years, female 330.0
GTEX-13O3Q-2426-SM-5IJBR 50-59 years, male 329.5
GTEX-13113-5016-SM-7EPIP 60-69 years, female 328.0
GTEX-1GN1U-0126-SM-7PBZK 50-59 years, female 327.8
GTEX-139UW-2826-SM-5L3E7 60-69 years, male 327.2
GTEX-Y114-2426-SM-4TT8A 50-59 years, female 327.2
GTEX-YJ89-0126-SM-4TT3X 60-69 years, male 320.6
GTEX-Y8E4-0626-SM-4WWDL 40-49 years, male 319.1
GTEX-1HBPM-0226-SM-ARL9F 60-69 years, female 318.7
GTEX-1B97I-1626-SM-73KYO 40-49 years, male 318.3
GTEX-13CF2-2526-SM-5LZYX 60-69 years, male 317.1
GTEX-1F75B-0126-SM-9KNVL 50-59 years, male 316.5
GTEX-139D8-0226-SM-5KLZO 30-39 years, female 315.7
GTEX-139TS-2826-SM-5J1OO 60-69 years, male 315.0
GTEX-POMQ-2226-SM-2I5FK 20-29 years, female 313.5
GTEX-1F75A-0126-SM-7RHGM 50-59 years, male 313.3
GTEX-144FL-0126-SM-5TDC8 50-59 years, male 308.2
GTEX-11UD2-0226-SM-5EQKY 50-59 years, male 306.6
GTEX-1HT8W-0126-SM-CNPPP 30-39 years, male 304.7
GTEX-18A6Q-0126-SM-731BZ 60-69 years, male 304.2
GTEX-1HSMQ-1226-SM-CGQFX 50-59 years, male 304.2
GTEX-XUZC-1726-SM-4BRWS 30-39 years, female 304.0
GTEX-12WSJ-1826-SM-5GCNY 40-49 years, female 303.2
GTEX-11DYG-0126-SM-59883 60-69 years, male 303.0
GTEX-UJHI-1526-SM-3DB99 50-59 years, female 303.0
GTEX-1CB4F-0426-SM-9KNV4 60-69 years, male 303.0
GTEX-T8EM-1026-SM-3DB7M 40-49 years, male 302.6
GTEX-ZV68-0126-SM-59HKS 50-59 years, female 301.6
GTEX-13W46-0226-SM-5SIAG 50-59 years, male 301.5
GTEX-1QMI2-0226-SM-EVYBX 60-69 years, male 301.1
GTEX-1JN1M-0326-SM-CYPT3 60-69 years, female 300.9
GTEX-RTLS-0126-SM-447CA 60-69 years, female 299.0
GTEX-1H1CY-2826-SM-9MQM3 60-69 years, female 297.8
GTEX-1HGF4-2426-SM-ACKXM 60-69 years, male 297.5
GTEX-1314G-1526-SM-5EGK2 30-39 years, male 297.4
GTEX-1H3VY-0126-SM-ACKXD 50-59 years, male 297.2
GTEX-ZAB4-0226-SM-5N9F5 40-49 years, male 296.5
GTEX-17F97-0326-SM-7LG5B 50-59 years, male 295.5
GTEX-12584-0126-SM-5EGKQ 40-49 years, male 295.4
GTEX-XAJ8-0826-SM-47JY6 40-49 years, male 295.2
GTEX-QEG4-0226-SM-2S1PY 30-39 years, male 295.0
GTEX-P4PP-0126-SM-3LK69 30-39 years, female 294.7
GTEX-XYKS-2126-SM-4E3IB 60-69 years, female 294.7
GTEX-15UF6-0826-SM-6PALJ 70-79 years, female 293.8
GTEX-131YS-0126-SM-5KM1M 60-69 years, female 293.7
GTEX-ZV6S-2326-SM-4YCEY 40-49 years, female 292.6
GTEX-S33H-1026-SM-EZ6L6 30-39 years, male 292.5
GTEX-11LCK-1026-SM-5A5KB 30-39 years, male 292.4
GTEX-15F5U-1526-SM-6PANO 40-49 years, male 291.8
GTEX-YB5E-2026-SM-5IFIS 40-49 years, male 291.8
GTEX-NFK9-0226-SM-2HMKQ 40-49 years, male 291.4
GTEX-16XZZ-0126-SM-793DV 60-69 years, male 291.3
GTEX-15D1Q-0126-SM-7KUG6 40-49 years, male 289.2
GTEX-OXRL-0126-SM-2YUMP 50-59 years, male 288.9
GTEX-U412-0426-SM-3DB9O 60-69 years, male 288.6
GTEX-14PII-0226-SM-6EU1T 60-69 years, male 287.9
GTEX-ZF3C-0126-SM-DO92D 50-59 years, female 287.8
GTEX-QESD-1426-SM-2S1R9 20-29 years, male 287.0
GTEX-139T4-0226-SM-5HL5S 50-59 years, female 286.7
GTEX-1JMPY-1326-SM-ARL8Y 30-39 years, male 286.7
GTEX-1J1OQ-0226-SM-CYPSH 40-49 years, female 286.6
GTEX-13JUV-2726-SM-5LZZ8 40-49 years, female 284.1
GTEX-1CAV2-2226-SM-7P8P2 40-49 years, female 283.0
GTEX-WQUQ-0426-SM-3MJFU 60-69 years, male 282.9
GTEX-1MGNQ-0126-SM-EVYCJ 40-49 years, male 282.6
GTEX-S32W-2126-SM-2XCB1 50-59 years, female 282.5
GTEX-1JMQJ-0526-SM-CYPSU 50-59 years, male 281.7
GTEX-1H3VE-0326-SM-9YFLH 40-49 years, male 281.1
GTEX-11DXZ-2326-SM-5EGGV 50-59 years, male 280.1
GTEX-1H4P4-0726-SM-9YFLR 50-59 years, male 280.0
GTEX-13O21-1426-SM-5K7XI 50-59 years, male 279.7
GTEX-1CB4H-0226-SM-7PBXM 60-69 years, female 278.8
GTEX-Q2AH-1626-SM-3GAF8 40-49 years, male 278.7
GTEX-14PN4-0126-SM-6EU2V 50-59 years, male 278.4
GTEX-1R9PM-2026-SM-E76OY 20-29 years, male 277.9
GTEX-1POEN-0126-SM-EYYXJ 30-39 years, female 277.6
GTEX-ZVZP-2426-SM-59HKJ 50-59 years, male 277.1
GTEX-1HFI7-1826-SM-ACKXH 50-59 years, female 277.1
GTEX-13NYB-2526-SM-5K7Z6 40-49 years, male 277.0
GTEX-1I4MK-2226-SM-ACKWD 50-59 years, female 276.0
GTEX-13FTW-2626-SM-5K7WL 40-49 years, male 275.0
GTEX-1QCLY-0326-SM-E8VOG 30-39 years, male 274.6
GTEX-15ER7-0326-SM-7KUEV 20-29 years, female 274.5
GTEX-11GS4-2726-SM-5A5LE 60-69 years, male 274.1
GTEX-1JMQL-0226-SM-CNPP5 50-59 years, female 273.9
GTEX-17F98-0626-SM-79OMX 40-49 years, female 273.0
GTEX-Y3IK-2426-SM-4WWDU 50-59 years, female 272.6
GTEX-ZVE2-0226-SM-59HJB 50-59 years, male 272.2
GTEX-145MN-2226-SM-5SIAU 30-39 years, male 271.9
GTEX-1MUQO-0126-SM-EAZ58 60-69 years, male 271.6
GTEX-1S83E-0126-SM-EWRO4 40-49 years, male 271.5
GTEX-ZDYS-2026-SM-5HL5L 50-59 years, male 271.3
GTEX-16YQH-0126-SM-7DUFJ 30-39 years, male 271.0
GTEX-11WQC-2526-SM-5CVLE 60-69 years, male 270.3
GTEX-ZQUD-1426-SM-57WER 30-39 years, male 270.2
GTEX-1K2DA-1826-SM-CGQGT 50-59 years, male 270.0
GTEX-1KWVE-1426-SM-E9TJO 30-39 years, male 269.8
GTEX-Z93S-0126-SM-5HL7M 50-59 years, male 269.0
GTEX-P4QT-0126-SM-2I3FL 50-59 years, female 268.5
GTEX-YEC4-2126-SM-5IFJH 40-49 years, male 268.2
GTEX-1PFEY-1526-SM-E76PP 30-39 years, male 268.2
GTEX-15RIG-0226-SM-7KFTL 40-49 years, male 267.0
GTEX-14C5O-0126-SM-5SI6N 60-69 years, male 266.7
GTEX-1O97I-0326-SM-EYYX7 60-69 years, male 266.1
GTEX-T5JC-0426-SM-32PLO 20-29 years, male 266.0
GTEX-U8XE-0326-SM-3DB8P 30-39 years, male 265.9
GTEX-WYVS-2126-SM-3NMA3 40-49 years, female 265.7
GTEX-17JCI-0126-SM-7LG5G 60-69 years, female 265.6
GTEX-13QJ3-0326-SM-5S2RA 50-59 years, male 265.0
GTEX-1R7EU-0226-SM-EVR4G 60-69 years, male 264.8
GTEX-1I1GR-0126-SM-CL55F 60-69 years, male 264.3
GTEX-1H3O1-0426-SM-9YFKY 60-69 years, male 263.6
GTEX-1S3DN-2226-SM-EVYCD 50-59 years, male 262.9
GTEX-1IDFM-0126-SM-COH2V 60-69 years, male 261.6
GTEX-111VG-2426-SM-5GZXD 60-69 years, male 261.0
GTEX-1LG7Y-0526-SM-DKPQC 50-59 years, male 260.5
GTEX-Y111-0126-SM-4SOIV 50-59 years, male 260.4
GTEX-1NV5F-0226-SM-E8VNY 60-69 years, female 259.6
GTEX-ZF2S-2326-SM-4WWCE 50-59 years, female 259.1
GTEX-16GPK-0126-SM-7DHLE 60-69 years, male 258.4
GTEX-X4EO-0326-SM-3P5YO 60-69 years, female 257.0
GTEX-13CF3-2426-SM-5IFGX 60-69 years, female 256.5
GTEX-11TUW-2726-SM-E9J4M 60-69 years, male 255.6
GTEX-11TTK-0126-SM-5987B 60-69 years, female 255.3
GTEX-13NYS-0126-SM-5MR3W 60-69 years, male 254.7
GTEX-1N2EF-0226-SM-EYYXB 60-69 years, male 254.4
GTEX-1JMPZ-0226-SM-CNPP1 30-39 years, male 253.7
GTEX-1GMRU-0126-SM-9YFLV 50-59 years, male 253.5
GTEX-1211K-2026-SM-5EQ4Z 60-69 years, female 252.9
GTEX-17EUY-0426-SM-793BD 20-29 years, male 252.7
GTEX-1HSKV-0226-SM-A9SKJ 60-69 years, male 252.1
GTEX-NPJ8-0126-SM-2YUNR 40-49 years, male 251.4
GTEX-16BQI-0226-SM-7KUEX 30-39 years, female 251.3
GTEX-131XF-5016-SM-7MGWE 60-69 years, male 251.3
GTEX-145LV-2126-SM-5LU8N 50-59 years, male 251.2
GTEX-1ICG6-2526-SM-CGQFZ 70-79 years, female 250.7
GTEX-15EOM-0126-SM-7KUGG 20-29 years, female 250.2
GTEX-1GN73-0226-SM-9WG67 60-69 years, male 249.9
GTEX-1R7EV-2426-SM-EVYBG 40-49 years, male 249.7
GTEX-PLZ4-0126-SM-5SI8O 50-59 years, female 249.3
GTEX-15SB6-1726-SM-6PAME 50-59 years, female 249.0
GTEX-1I1GV-0526-SM-A9G29 60-69 years, male 248.5
GTEX-ZYT6-0226-SM-5NQ6T 30-39 years, male 248.2
GTEX-1EWIQ-0126-SM-7RHH2 70-79 years, female 247.6
GTEX-15G19-0126-SM-6PANQ 60-69 years, male 247.4
GTEX-SNMC-1226-SM-2XCFP 20-29 years, male 247.4
GTEX-Y5LM-1926-SM-5RQJH 40-49 years, female 246.7
GTEX-14ICK-0226-SM-6EU25 40-49 years, male 246.6
GTEX-14LLW-0126-SM-6LLIO 70-79 years, female 246.1
GTEX-18D9U-0226-SM-718BP 40-49 years, male 246.1
GTEX-111FC-0126-SM-5N9DL 60-69 years, male 246.0
GTEX-1122O-2126-SM-5EGIR 60-69 years, female 245.9
GTEX-1IL2U-0226-SM-CE6T8 60-69 years, male 245.8
GTEX-131XH-2226-SM-5DUXJ 50-59 years, male 245.7
GTEX-133LE-1826-SM-5J1MV 20-29 years, female 245.5
GTEX-1ICLZ-0126-SM-CKZPO 60-69 years, male 245.1
GTEX-ZDTS-0126-SM-4WAY5 60-69 years, male 245.0
GTEX-1MA7W-2026-SM-E9TJ6 20-29 years, female 244.0
GTEX-1H1DE-2126-SM-9WG6R 20-29 years, male 243.6
GTEX-ZDTT-2726-SM-4WKF8 60-69 years, male 243.5
GTEX-1JMLX-0226-SM-CM2RO 50-59 years, male 243.5
GTEX-11P7K-2126-SM-5GU7G 30-39 years, male 242.9
GTEX-1GN2E-0426-SM-9MQKX 60-69 years, male 242.4
GTEX-1399R-2726-SM-5IJBA 30-39 years, male 241.9
GTEX-13SLW-0126-SM-5SI6C 70-79 years, male 241.4
GTEX-1497J-2426-SM-7IGNX 60-69 years, male 240.8
GTEX-17HG3-2226-SM-7938L 30-39 years, female 240.8
GTEX-14BIL-0126-SM-5SI92 50-59 years, male 240.7
GTEX-1C2JI-1826-SM-73KXC 50-59 years, male 240.6
GTEX-1I19N-0326-SM-ACKVX 70-79 years, male 240.1
GTEX-1JMQI-2226-SM-CM2SD 50-59 years, male 239.4
GTEX-1ICLY-0126-SM-D4P36 50-59 years, male 239.2
GTEX-1RB15-2126-SM-E9TIM 60-69 years, male 239.2
GTEX-ZQG8-1626-SM-DHXIT 60-69 years, female 238.9
GTEX-ZXES-1826-SM-5E43S 30-39 years, female 238.8
GTEX-X88G-0126-SM-47JZ3 30-39 years, male 238.6
GTEX-13OW5-0126-SM-DTXFS 60-69 years, male 237.9
GTEX-13OVJ-0126-SM-5KM36 50-59 years, female 237.8
GTEX-OXRN-0126-SM-48TDM 50-59 years, male 237.4
GTEX-1I1GT-0626-SM-CGQER 60-69 years, female 237.3
GTEX-ZVT4-0126-SM-DTXFN 50-59 years, female 236.9
GTEX-1399U-2326-SM-5K7WY 50-59 years, female 236.6
GTEX-WYJK-0126-SM-3NMAB 50-59 years, male 236.4
GTEX-15UKP-0426-SM-7KUFQ 20-29 years, male 236.2
GTEX-1QP9N-1426-SM-DTXFL 30-39 years, male 236.2
GTEX-1GMR8-0126-SM-9WYTM 50-59 years, female 235.7
GTEX-YB5K-2126-SM-4WWDJ 40-49 years, female 235.6
GTEX-13FHP-0126-SM-5IJBG 50-59 years, male 235.0
GTEX-TMMY-0226-SM-33HBA 40-49 years, female 234.5
GTEX-1PWST-0226-SM-E76QJ 70-79 years, male 234.5
GTEX-OXRO-0126-SM-2YUN4 60-69 years, female 234.4
GTEX-13IVO-0126-SM-5J1NG 70-79 years, male 234.2
GTEX-14A5H-0426-SM-5QGQF 60-69 years, male 234.0
GTEX-13X6I-0626-SM-5QGP9 60-69 years, male 233.2
GTEX-146FQ-0126-SM-5NQA9 30-39 years, male 233.1
GTEX-18A66-0226-SM-718BD 60-69 years, male 232.8
GTEX-1313W-0126-SM-5LZUN 50-59 years, female 232.7
GTEX-1H23P-0126-SM-ADEJ3 60-69 years, male 232.6
GTEX-12ZZX-0126-SM-5EGK9 40-49 years, female 232.0
GTEX-1B8SF-1426-SM-7DUGL 60-69 years, male 231.9
GTEX-1MJK2-0426-SM-DTXE5 50-59 years, male 231.8
GTEX-17EVP-0326-SM-7DHLG 40-49 years, male 231.5
GTEX-1192W-2626-SM-5Q5AF 60-69 years, male 231.4
GTEX-145MF-0626-SM-5LUAI 50-59 years, male 231.0
GTEX-ZZ64-1726-SM-5GZYB 20-29 years, male 230.5
GTEX-1C6VS-0526-SM-7DUEN 60-69 years, male 230.2
GTEX-1KANC-1526-SM-D3LAB 50-59 years, female 230.2
GTEX-1CB4I-0226-SM-79OLH 50-59 years, male 227.7
GTEX-1QPFJ-0226-SM-E76PB 30-39 years, female 227.4
GTEX-1I1GP-2226-SM-CGQFK 50-59 years, male 227.1
GTEX-RNOR-0126-SM-E9J4R 50-59 years, female 226.7
GTEX-ZYFD-0126-SM-5GIDL 50-59 years, male 226.1
GTEX-1PIIG-0226-SM-EWRN6 30-39 years, male 225.8
GTEX-UPJH-0326-SM-3GADU 50-59 years, male 225.5
GTEX-13FTY-0526-SM-5L3EV 40-49 years, female 225.3
GTEX-1HBPI-1526-SM-C1YQ1 50-59 years, male 225.3
GTEX-13FTX-1826-SM-5J1NX 20-29 years, female 225.2
GTEX-18QFQ-0126-SM-731BE 30-39 years, male 225.1
GTEX-17HII-0226-SM-7LG4E 50-59 years, male 225.0
GTEX-17MFQ-1726-SM-793C7 20-29 years, male 225.0
GTEX-QVJO-1626-SM-2S1QW 60-69 years, female 223.3
GTEX-13NZB-2526-SM-5J1OM 30-39 years, male 223.2
GTEX-ZAJG-0126-SM-5HL94 50-59 years, female 222.9
GTEX-1KANA-0726-SM-D3L9I 20-29 years, male 222.0
GTEX-1HSMP-0126-SM-E6CJS 70-79 years, male 221.8
GTEX-12126-0326-SM-5PNW3 20-29 years, male 221.6
GTEX-X62O-0126-SM-4E3JN 50-59 years, male 221.6
GTEX-14JG6-2226-SM-6EU2G 30-39 years, female 220.7
GTEX-13OVK-2026-SM-7KUEO 40-49 years, male 220.6
GTEX-XBEW-0626-SM-4QASP 40-49 years, male 220.4
GTEX-ZF29-2326-SM-DO92K 60-69 years, female 220.0
GTEX-1QP29-0626-SM-EWRMX 50-59 years, male 218.9
GTEX-1I1CD-0126-SM-CM2TK 60-69 years, female 217.8
GTEX-13O1R-0126-SM-5L3EH 60-69 years, male 217.7
GTEX-13RTK-1426-SM-5QGQJ 20-29 years, male 217.2
GTEX-1J1R8-1726-SM-ARL8M 40-49 years, male 217.2
GTEX-1F52S-0126-SM-9MQJU 60-69 years, female 217.0
GTEX-18A67-0126-SM-7LG5P 50-59 years, male 216.4
GTEX-14DAQ-0126-SM-5S2MQ 60-69 years, female 216.1
GTEX-OOBK-0126-SM-2YUND 40-49 years, male 215.8
GTEX-17GQL-2026-SM-718BA 60-69 years, male 215.0
GTEX-WZTO-0126-SM-3NM95 40-49 years, male 214.4
GTEX-S7PM-0126-SM-4AD6S 60-69 years, male 213.9
GTEX-18465-0126-SM-731BN 50-59 years, male 213.8
GTEX-1LGRB-2526-SM-CNPPQ 50-59 years, female 213.8
GTEX-12KS4-0326-SM-5EQ41 30-39 years, male 213.7
GTEX-ZE7O-0126-SM-57WC1 50-59 years, female 213.5
GTEX-14E6D-0126-SM-62LDV 50-59 years, male 213.2
GTEX-T2IS-0126-SM-4DM6O 20-29 years, female 213.2
GTEX-QV44-1926-SM-2S1RF 50-59 years, male 212.9
GTEX-R55E-0126-SM-2TC5Y 20-29 years, male 212.8
GTEX-TKQ1-1026-SM-4GICL 30-39 years, male 212.7
GTEX-14A5I-0126-SM-5TDEA 50-59 years, female 212.2
GTEX-1R9PO-2126-SM-E9J4O 60-69 years, female 212.1
GTEX-14LZ3-0226-SM-62LET 60-69 years, female 211.9
GTEX-XV7Q-2526-SM-4BRV9 40-49 years, female 211.9
GTEX-1IKOH-0226-SM-COH4E 60-69 years, female 211.8
GTEX-VJYA-1126-SM-3GIJU 60-69 years, male 211.7
GTEX-11P82-1626-SM-59879 20-29 years, male 211.6
GTEX-13FXS-0226-SM-5IJCK 50-59 years, male 211.6
GTEX-1A3MX-0126-SM-731BR 60-69 years, male 211.5
GTEX-11VI4-1726-SM-5CVLH 40-49 years, female 211.1
GTEX-XBED-2226-SM-47JYQ 60-69 years, male 211.1
GTEX-14BMV-0126-SM-5S2PO 50-59 years, male 211.0
GTEX-1KAFJ-2026-SM-CY8ID 50-59 years, male 210.9
GTEX-1IKJJ-0126-SM-CNPQB 60-69 years, male 210.5
GTEX-15SDE-2226-SM-7IGLO 50-59 years, female 210.4
GTEX-1R46S-0626-SM-E9J41 60-69 years, female 210.1
GTEX-1399T-2826-SM-5KLYZ 60-69 years, male 209.8
GTEX-11DXW-0226-SM-5H122 40-49 years, male 209.5
GTEX-1B8KE-2126-SM-73KYX 50-59 years, male 209.5
GTEX-1F6IF-0726-SM-7P8TW 60-69 years, male 209.2
GTEX-1LH75-2426-SM-E9TJE 50-59 years, female 208.9
GTEX-17F96-1626-SM-7DUFL 70-79 years, male 208.8
GTEX-139T8-0126-SM-5K7XZ 60-69 years, male 208.5
GTEX-146FH-0126-SM-5QGPP 50-59 years, female 208.5
GTEX-XQ8I-0426-SM-4BOPO 50-59 years, male 208.2
GTEX-147F3-0526-SM-5SI98 50-59 years, female 207.8
GTEX-Y8LW-1826-SM-5S2MV 50-59 years, female 207.5
GTEX-1GPI6-0126-SM-9WG69 60-69 years, male 207.5
GTEX-13NZA-0226-SM-5K7Z7 60-69 years, male 207.3
GTEX-1EX96-1626-SM-7PBXR 50-59 years, male 207.3
GTEX-13OW7-0126-SM-5MR3B 50-59 years, male 207.1
GTEX-17HHE-2026-SM-79OKF 50-59 years, male 207.0
GTEX-145MI-0526-SM-5O9A8 60-69 years, female 206.5
GTEX-1S82Y-2026-SM-EVYCM 40-49 years, male 206.4
GTEX-1GZ2Q-0226-SM-7P8TL 40-49 years, male 206.2
GTEX-1GZ4H-1726-SM-7PBZJ 50-59 years, female 206.1
GTEX-14E7W-0126-SM-6LLJ9 70-79 years, male 205.9
GTEX-139TT-0126-SM-5K7Y5 60-69 years, male 205.3
GTEX-11P81-2326-SM-59875 30-39 years, female 205.1
GTEX-18A7A-0226-SM-718BH 50-59 years, female 205.0
GTEX-PLZ6-1426-SM-DKPOT 30-39 years, male 205.0
GTEX-17MF6-0126-SM-7LG4F 40-49 years, male 204.9
GTEX-11WQK-0526-SM-5EQLD 50-59 years, male 204.7
GTEX-1HCU7-0226-SM-CL545 50-59 years, male 204.7
GTEX-11UD1-0126-SM-5PNYG 40-49 years, female 204.6
GTEX-1A8FM-0226-SM-7SB7Q 50-59 years, female 204.6
GTEX-1L5NE-2526-SM-E6CIE 50-59 years, male 204.5
GTEX-1PPH7-2326-SM-EVYB8 40-49 years, male 204.3
GTEX-13VXU-0126-SM-5SI9F 50-59 years, male 204.2
GTEX-1H1E6-1726-SM-ACKVK 30-39 years, male 204.2
GTEX-14XAO-2326-SM-6EU1B 60-69 years, female 203.6
GTEX-1OFPY-2426-SM-DTXEJ 60-69 years, male 203.5
GTEX-1GZHY-0326-SM-9QEHI 50-59 years, female 203.3
GTEX-1I6K6-0126-SM-A9SLE 30-39 years, male 203.2
GTEX-WXYG-2326-SM-4E3I6 50-59 years, female 202.8
GTEX-ZVTK-0426-SM-51MRS 20-29 years, male 202.7
GTEX-1J8Q2-0526-SM-CM2RW 60-69 years, male 202.7
GTEX-1HKZK-0326-SM-9WYUH 40-49 years, male 202.5
GTEX-1IDJH-0326-SM-A9SLQ 70-79 years, male 202.5
GTEX-1GF9V-0326-SM-7RHI5 60-69 years, male 202.2
GTEX-ZYFC-0226-SM-5NQ75 50-59 years, male 202.0
GTEX-11NSD-2226-SM-5986V 20-29 years, male 201.8
GTEX-1F88F-2726-SM-7PBZZ 60-69 years, female 201.6
GTEX-12WSE-0526-SM-793B2 20-29 years, male 201.2
GTEX-1LC47-0326-SM-E9TJP 60-69 years, male 200.6
GTEX-XMD2-0126-SM-4YCDU 60-69 years, female 200.5
GTEX-U8T8-0126-SM-3DB94 60-69 years, male 200.4
GTEX-147GR-0526-SM-5S2MY 60-69 years, male 199.4
GTEX-RWSA-0126-SM-2XCBB 40-49 years, male 199.1
GTEX-Y8DK-0126-SM-4TT3L 60-69 years, male 198.9
GTEX-12WSD-0126-SM-59HKN 60-69 years, female 198.8
GTEX-WOFL-0126-SM-3MJG2 60-69 years, male 198.6
GTEX-11EQ9-2426-SM-5HL5T 30-39 years, male 198.2
GTEX-PVOW-0126-SM-2XCFA 40-49 years, male 198.2
GTEX-SIU8-0126-SM-2XCDT 50-59 years, male 198.1
GTEX-12ZZZ-0626-SM-5DUXI 60-69 years, male 197.3
GTEX-15DDE-0126-SM-6LPKH 50-59 years, female 197.2
GTEX-131XW-0426-SM-5LZWP 50-59 years, female 197.0
GTEX-14BMU-2226-SM-5TDE9 20-29 years, female 197.0
GTEX-ZE9C-2726-SM-57WB5 60-69 years, male 196.6
GTEX-1KD4Q-0226-SM-E9TJ9 40-49 years, male 196.6
GTEX-14JG1-0426-SM-6ETZZ 40-49 years, male 196.3
GTEX-PX3G-0126-SM-2I3EN 20-29 years, female 196.3
GTEX-12696-2426-SM-5EQ6H 60-69 years, male 196.1
GTEX-1JJ6O-0126-SM-E6CI8 60-69 years, male 196.0
GTEX-Y3I4-2126-SM-4TT7C 50-59 years, male 195.6
GTEX-ZGAY-0526-SM-4WWBB 40-49 years, female 195.6
GTEX-1QAET-0926-SM-E76QM 50-59 years, male 195.5
GTEX-1HSEH-0126-SM-ACKXN 60-69 years, male 195.4
GTEX-16MT8-0426-SM-7KUEY 60-69 years, female 194.9
GTEX-1IDJF-0126-SM-CM2RS 20-29 years, male 194.8
GTEX-13NYC-0326-SM-E9J4S 60-69 years, male 194.7
GTEX-1JJEA-0326-SM-CNPOT 60-69 years, male 194.7
GTEX-1CAMR-1926-SM-7EPI2 20-29 years, male 194.6
GTEX-1HBPN-0226-SM-9YFM1 50-59 years, male 194.4
GTEX-145LT-1726-SM-5QGP3 40-49 years, male 194.3
GTEX-ZC5H-0226-SM-4WAY9 40-49 years, female 194.3
GTEX-PWCY-1826-SM-DHXIZ 20-29 years, female 194.3
GTEX-11ZU8-2526-SM-5EQKI 60-69 years, male 194.2
GTEX-ZAB5-1826-SM-5HL7C 50-59 years, male 194.1
GTEX-16AAH-1726-SM-7939C 50-59 years, male 193.8
GTEX-16XZY-2126-SM-79OK1 70-79 years, male 193.6
GTEX-147F4-0226-SM-5QGPW 50-59 years, male 193.4
GTEX-PW2O-1526-SM-7RHHB 20-29 years, male 193.1
GTEX-13FH7-2026-SM-E9J4I 50-59 years, female 192.9
GTEX-1S82Z-0826-SM-E6CHY 30-39 years, female 192.7
GTEX-ZPIC-1726-SM-DHXIU 40-49 years, female 192.7
GTEX-1CB4G-0226-SM-7PC3O 60-69 years, male 192.4
GTEX-1LSNM-1926-SM-E6CII 50-59 years, male 192.4
GTEX-1LG7Z-1726-SM-D3LA4 30-39 years, male 192.3
GTEX-Y5V5-2326-SM-4V6GA 60-69 years, female 191.7
GTEX-1269C-2526-SM-5EGJ3 60-69 years, female 191.4
GTEX-14PJ3-1826-SM-62LEX 50-59 years, male 191.2
GTEX-11ZVC-2526-SM-5FQTE 50-59 years, female 191.0
GTEX-1IKK5-0626-SM-ARL8A 60-69 years, male 190.9
GTEX-1LVAN-0226-SM-COH3S 50-59 years, female 190.8
GTEX-1IL2V-0126-SM-CM2TX 70-79 years, male 190.3
GTEX-OXRK-0226-SM-3NB2G 50-59 years, female 189.7
GTEX-RU72-0926-SM-2TF6B 50-59 years, female 189.5
GTEX-15DCD-0126-SM-7KUEK 70-79 years, female 189.3
GTEX-13X6J-0126-SM-5QGOU 50-59 years, male 188.5
GTEX-11DXX-2426-SM-5GZZW 60-69 years, female 188.1
GTEX-XXEK-2226-SM-4BRUM 50-59 years, male 187.7
GTEX-1EU9M-0226-SM-7P8SP 60-69 years, male 187.6
GTEX-1GPI7-0126-SM-9MQL8 20-29 years, male 187.6
GTEX-1PPH8-0226-SM-E8VND 20-29 years, male 186.9
GTEX-RWS6-2026-SM-2XCB5 60-69 years, female 186.8
GTEX-148VI-1626-SM-5SI6E 60-69 years, female 186.6
GTEX-1BAJH-0526-SM-793CQ 70-79 years, male 186.6
GTEX-W5WG-1826-SM-4KL2Y 50-59 years, female 186.6
GTEX-ZTSS-1926-SM-57WEW 40-49 years, male 186.5
GTEX-15SHU-0126-SM-7KUEH 40-49 years, female 186.1
GTEX-1AMFI-2026-SM-731BH 50-59 years, female 186.1
GTEX-1LB8K-0226-SM-EWRNW 50-59 years, male 185.8
GTEX-OHPM-0126-SM-2YUN9 50-59 years, male 185.5
GTEX-1HR98-0126-SM-B2LWI 60-69 years, male 185.4
GTEX-117YX-2326-SM-5H12W 50-59 years, male 185.3
GTEX-1J8JJ-0226-SM-CL53I 60-69 years, female 185.2
GTEX-WY7C-2326-SM-3NB2U 50-59 years, male 185.1
GTEX-11ZUS-0626-SM-59885 30-39 years, male 184.8
GTEX-1QP2A-0126-SM-E9J43 50-59 years, male 184.6
GTEX-1JN76-0126-SM-CNPPE 20-29 years, female 184.5
GTEX-12WSN-5019-SM-79OM6 40-49 years, male 184.4
GTEX-T6MO-1626-SM-32QOM 40-49 years, female 184.2
GTEX-O5YW-0126-SM-3LK6D 50-59 years, male 184.0
GTEX-1HSGN-0226-SM-CGQFV 40-49 years, female 183.9
GTEX-YFC4-0126-SM-5CVLY 40-49 years, female 183.8
GTEX-1F5PL-0326-SM-7P8PQ 40-49 years, female 183.8
GTEX-144GN-2326-SM-5LU4F 50-59 years, male 183.3
GTEX-QDVJ-1726-SM-2I5FX 50-59 years, male 183.3
GTEX-WFG8-2226-SM-3GIL9 20-29 years, male 182.8
GTEX-1AX8Z-0126-SM-7DHM6 60-69 years, male 181.8
GTEX-12WSC-0126-SM-5EQ4P 50-59 years, male 181.7
GTEX-1M5QR-1226-SM-EWROB 40-49 years, male 181.5
GTEX-ZTPG-0326-SM-5O9AX 20-29 years, female 181.4
GTEX-13OVL-0226-SM-5L3E9 50-59 years, male 181.3
GTEX-1K9T9-0126-SM-EVYCF 50-59 years, female 181.3
GTEX-X4XX-0126-SM-3NMC2 60-69 years, male 181.2
GTEX-Q2AI-1326-SM-2S1PL 40-49 years, male 180.8
GTEX-1IOXB-0126-SM-ARL8G 50-59 years, male 180.6
GTEX-SUCS-1926-SM-32PM3 70-79 years, male 180.5
GTEX-14A6H-0126-SM-5QGPK 30-39 years, male 180.3
GTEX-ZVT2-2526-SM-51MT1 50-59 years, female 180.2
GTEX-13O3P-0126-SM-5KM4S 50-59 years, male 180.0
GTEX-139TU-0126-SM-5K7WH 60-69 years, male 179.4
GTEX-183FY-0126-SM-7LT9P 20-29 years, male 179.4
GTEX-15SHW-0326-SM-6PAML 60-69 years, male 179.1
GTEX-U3ZM-1526-SM-3DB9D 40-49 years, male 179.0
GTEX-16NGA-1726-SM-731B4 40-49 years, female 178.9
GTEX-X261-0126-SM-3NMD6 50-59 years, male 178.8
GTEX-1C475-1826-SM-73KWA 40-49 years, female 178.3
GTEX-13OW8-1326-SM-5J1OW 60-69 years, male 177.7
GTEX-S95S-1226-SM-4GICG 60-69 years, male 177.7
GTEX-14DAR-2026-SM-5S2O3 50-59 years, male 177.6
GTEX-11NUK-0126-SM-5A5L3 50-59 years, male 177.3
GTEX-12ZZY-0226-SM-5LZVE 60-69 years, male 176.7
GTEX-1B8KZ-2026-SM-7DHMB 50-59 years, male 176.7
GTEX-R45C-0126-SM-EAZ2R 60-69 years, female 176.2
GTEX-1PBJI-0526-SM-E8VNK 20-29 years, female 175.2
GTEX-RN64-0126-SM-2TC68 50-59 years, male 174.6
GTEX-ZYW4-0126-SM-5E44A 60-69 years, male 174.3
GTEX-ZAK1-0126-SM-5IJD3 50-59 years, female 173.4
GTEX-1NHNU-1026-SM-E9J2A 50-59 years, male 173.2
GTEX-RVPV-0126-SM-EAZAW 60-69 years, male 173.2
GTEX-11EI6-0126-SM-5985R 60-69 years, male 173.1
GTEX-1MCQQ-0826-SM-DLHC2 60-69 years, male 172.6
GTEX-1RDX4-0126-SM-E9J4P 50-59 years, female 172.4
GTEX-12WSA-0226-SM-5BC5V 60-69 years, male 172.2
GTEX-132NY-0326-SM-5IJBL 60-69 years, male 171.8
GTEX-144GL-0126-SM-5TDE2 50-59 years, male 171.8
GTEX-13OW6-0426-SM-5L3HM 50-59 years, male 171.4
GTEX-11OC5-0126-SM-5HL6A 60-69 years, male 170.9
GTEX-11GSO-2426-SM-5A5LY 60-69 years, male 170.4
GTEX-14JIY-0126-SM-6LLH6 60-69 years, male 170.2
GTEX-ZYFG-2326-SM-5E44B 60-69 years, female 170.1
GTEX-14PJM-0226-SM-62LF1 50-59 years, female 170.0
GTEX-1C6VR-2426-SM-79OLD 60-69 years, male 169.9
GTEX-1A32A-0126-SM-718B1 50-59 years, female 169.7
GTEX-1AX9J-0226-SM-73KXM 60-69 years, male 169.6
GTEX-13N1W-0126-SM-5K7VT 70-79 years, male 169.4
GTEX-S7SE-0126-SM-2XCD5 50-59 years, male 169.1
GTEX-QLQW-1126-SM-2S1Q8 30-39 years, male 169.0
GTEX-13G51-2526-SM-5LZYK 60-69 years, male 168.8
GTEX-1KD5A-0226-SM-D5OV3 50-59 years, male 168.0
GTEX-1I1GQ-0126-SM-COH3H 50-59 years, male 167.9
GTEX-PWO3-1526-SM-48TCM 60-69 years, female 167.8
GTEX-1E1VI-0126-SM-7DHMZ 50-59 years, male 167.6
GTEX-1GF9U-2126-SM-7SB7L 40-49 years, female 167.0
GTEX-1F7RK-0126-SM-7PC2S 20-29 years, female 166.9
GTEX-1GN1W-0526-SM-9MQJQ 50-59 years, female 166.8
GTEX-R3RS-0126-SM-3GIJL 40-49 years, female 166.3
GTEX-1AYCT-2426-SM-7IGQ3 50-59 years, male 166.0
GTEX-14BIN-0626-SM-793DP 50-59 years, female 165.8
GTEX-WVJS-0126-SM-4MVOT 50-59 years, male 165.8
GTEX-117YW-2626-SM-5GZZH 50-59 years, male 165.7
GTEX-1M4P7-0226-SM-DIPEV 60-69 years, male 165.5
GTEX-1A3MW-0126-SM-73KXX 60-69 years, female 164.9
GTEX-1CAMQ-0226-SM-7IGPK 40-49 years, male 164.9
GTEX-13O3O-0126-SM-E9J49 60-69 years, female 164.8
GTEX-17EVQ-0226-SM-7LG4P 70-79 years, male 164.7
GTEX-1128S-2326-SM-5GZZY 60-69 years, female 163.9
GTEX-13SLX-0526-SM-5S2ON 50-59 years, female 163.9
GTEX-1F6I4-0126-SM-9MQL2 60-69 years, male 163.5
GTEX-169BO-1326-SM-9MQK2 50-59 years, male 163.2
GTEX-TSE9-0126-SM-3DB83 60-69 years, female 163.0
GTEX-1AX9I-0126-SM-7SB74 60-69 years, male 162.6
GTEX-13FHO-0226-SM-5IFGY 60-69 years, male 162.5
GTEX-18D9B-0526-SM-7LTAS 60-69 years, male 162.4
GTEX-1CB4E-2226-SM-793DC 60-69 years, male 161.8
GTEX-1C6WA-0126-SM-7PC2B 60-69 years, male 161.4
GTEX-ZY6K-1826-SM-5GZXK 50-59 years, male 161.3
GTEX-1JKYN-1326-SM-CGQG9 30-39 years, male 161.1
GTEX-1B8L1-2526-SM-9WYTF 60-69 years, male 161.0
GTEX-1GL5R-1826-SM-9KNUY 50-59 years, male 160.8
GTEX-11GSP-2526-SM-5N9BP 60-69 years, female 160.6
GTEX-1QEPI-0126-SM-EWRMQ 60-69 years, female 160.5
GTEX-13VXT-0126-SM-5LU4I 20-29 years, female 160.3
GTEX-XQ3S-1526-SM-4BOOC 20-29 years, male 160.1
GTEX-XUW1-0426-SM-4BOOT 50-59 years, female 159.9
GTEX-ZF28-0126-SM-4WKGK 60-69 years, male 159.9
GTEX-ZXG5-0126-SM-5GIEU 60-69 years, male 159.7
GTEX-17HHY-0126-SM-7LG5D 50-59 years, male 159.6
GTEX-ZYY3-0126-SM-5GZY5 60-69 years, female 159.3
GTEX-1B996-0226-SM-7RHGO 60-69 years, male 159.0
GTEX-1C64N-0126-SM-793D7 50-59 years, male 158.9
GTEX-1JJE9-0326-SM-CL53Z 70-79 years, male 158.4
GTEX-1H11D-0226-SM-9WG6Z 40-49 years, male 158.3
GTEX-145LU-0126-SM-5TDCB 50-59 years, male 158.2
GTEX-1JMQK-0226-SM-CL543 60-69 years, male 157.6
GTEX-13PVR-2326-SM-5QGR1 60-69 years, female 157.2
GTEX-11OF3-2626-SM-5GU7F 60-69 years, male 156.8
GTEX-113JC-2326-SM-5EQ4E 50-59 years, female 156.7
GTEX-V1D1-2226-SM-3NMAX 50-59 years, male 156.5
GTEX-17KNJ-2326-SM-7DHLQ 50-59 years, male 155.6
GTEX-1B8SG-0126-SM-73KZ3 50-59 years, male 155.2
GTEX-1EN7A-0126-SM-7SB81 40-49 years, male 155.0
GTEX-1H1DG-0126-SM-9WYU2 70-79 years, male 154.4
GTEX-1AMEY-1326-SM-73KYK 30-39 years, female 154.0
GTEX-11O72-0126-SM-59887 40-49 years, male 153.0
GTEX-1LGOU-2026-SM-DIPFF 20-29 years, female 152.9
GTEX-1EMGI-0126-SM-9KNUE 60-69 years, male 152.7
GTEX-Q2AG-0126-SM-33HBV 40-49 years, female 152.6
GTEX-1GN1V-0126-SM-9WPOS 60-69 years, male 152.5
GTEX-1JMOU-1526-SM-CL54I 60-69 years, female 152.5
GTEX-SJXC-0126-SM-2XCFF 60-69 years, male 152.3
GTEX-1212Z-2526-SM-5EGKP 60-69 years, male 152.1
GTEX-13D11-2426-SM-5KM1V 50-59 years, female 151.9
GTEX-1C6VQ-0126-SM-7P8RI 50-59 years, male 151.9
GTEX-1C64O-0126-SM-7SB8P 60-69 years, male 151.7
GTEX-1F48J-0126-SM-7P8TT 50-59 years, female 151.7
GTEX-1HSMO-0126-SM-CL547 60-69 years, male 151.6
GTEX-OOBJ-0126-SM-E6CJW 60-69 years, male 151.2
GTEX-11DXY-2626-SM-5GIE7 60-69 years, male 150.9
GTEX-13OVI-1426-SM-5L3EY 60-69 years, female 150.7
GTEX-Z93T-0126-SM-5HL5N 50-59 years, male 150.7
GTEX-1AYD5-2426-SM-73KXR 50-59 years, male 150.6
GTEX-PLZ5-2026-SM-2S1O4 50-59 years, male 150.6
GTEX-1F75I-0326-SM-9YFLU 40-49 years, male 150.4
GTEX-Z9EW-1626-SM-5CVMN 40-49 years, male 150.1
GTEX-1KXAM-2226-SM-CYPTC 60-69 years, male 150.1
GTEX-1F5PK-2426-SM-7RHHY 50-59 years, male 150.0
GTEX-OXRP-0126-SM-3NB32 60-69 years, female 149.9
GTEX-14753-0426-SM-5NQAM 60-69 years, male 149.8
GTEX-13S7M-0126-SM-5SI6A 60-69 years, female 149.6
GTEX-ZDXO-3026-SM-5J1N5 60-69 years, male 149.3
GTEX-1192X-0226-SM-5H12D 50-59 years, male 149.1
GTEX-15DYW-0126-SM-7KULE 60-69 years, female 149.0
GTEX-QDVN-2026-SM-3GAEP 50-59 years, male 148.5
GTEX-1RAZA-0126-SM-E6CI3 20-29 years, male 148.0
GTEX-1HCVE-0126-SM-CGQEU 50-59 years, male 147.4
GTEX-1B933-0126-SM-7PC29 50-59 years, female 146.4
GTEX-17HGU-0226-SM-7DHKV 50-59 years, male 146.0
GTEX-16NPX-0226-SM-79OMT 50-59 years, male 145.6
GTEX-1QP67-1626-SM-EAZ3X 40-49 years, female 145.6
GTEX-14E6E-1826-SM-5S2R7 30-39 years, male 144.7
GTEX-U3ZN-2326-SM-3DB7W 30-39 years, female 144.3
GTEX-ZEX8-2426-SM-4WKG4 50-59 years, male 144.1
GTEX-1N2DV-0226-SM-E6CJ6 40-49 years, male 144.1
GTEX-TMZS-0126-SM-3DB9Q 60-69 years, male 142.5
GTEX-YJ8A-0426-SM-5IFID 20-29 years, male 142.5
GTEX-1HCUA-2426-SM-ADEIS 50-59 years, female 142.2
GTEX-P44H-0226-SM-2XCEU 40-49 years, male 141.1
GTEX-R55G-2526-SM-2TC6D 40-49 years, female 140.6
GTEX-15EU6-0426-SM-6PAN5 50-59 years, male 140.5
GTEX-QLQ7-1626-SM-2S1R8 60-69 years, male 140.4
GTEX-12WSG-2826-SM-E9J4H 50-59 years, female 139.6
GTEX-13RTJ-2426-SM-5S2Q2 60-69 years, male 137.9
GTEX-SSA3-0126-SM-32QPU 60-69 years, male 137.9
GTEX-1H3NZ-0126-SM-ACKX7 60-69 years, male 137.7
GTEX-1QW4Y-1526-SM-EAZ3Z 30-39 years, male 137.5
GTEX-1EKGG-0226-SM-9WYTH 60-69 years, male 137.1
GTEX-1I1GS-0126-SM-B2LVW 60-69 years, male 137.0
GTEX-1I1HK-0126-SM-COH49 60-69 years, male 136.6
GTEX-11ZTS-0126-SM-5EQ6M 60-69 years, female 136.5
GTEX-18A7B-0126-SM-7LG64 70-79 years, male 135.3
GTEX-ZU9S-0226-SM-5E441 30-39 years, male 135.3
GTEX-VUSG-2526-SM-4KL1V 50-59 years, male 135.2
GTEX-U3ZH-2026-SM-3DB78 30-39 years, male 134.9
GTEX-1GF9X-2026-SM-7PC3A 40-49 years, female 134.8
GTEX-1IDJU-2626-SM-CM2RT 60-69 years, female 134.8
GTEX-1HFI6-0226-SM-ADEHZ 40-49 years, male 134.6
GTEX-WH7G-2326-SM-3NMBC 40-49 years, male 134.4
GTEX-ZZPT-0226-SM-5E43X 50-59 years, male 134.2
GTEX-1J8Q3-1626-SM-CMKGC 60-69 years, male 133.6
GTEX-XPVG-2626-SM-4B669 50-59 years, male 133.3
GTEX-1IY9M-0126-SM-D3L8S 60-69 years, male 133.3
GTEX-1MCYP-1926-SM-E9J2R 20-29 years, female 133.3
GTEX-1I1GU-2226-SM-CGQFA 40-49 years, male 132.8
GTEX-13U4I-0126-SM-5LU38 40-49 years, female 132.4
GTEX-WFON-2126-SM-3LK7O 40-49 years, male 131.6
GTEX-1C4CL-0526-SM-73KVK 30-39 years, male 131.4
GTEX-11ZTT-2426-SM-5EQLS 60-69 years, female 131.1
GTEX-13N2G-2626-SM-5J1OT 60-69 years, male 131.1
GTEX-1HCU9-1526-SM-A9SL7 20-29 years, male 130.5
GTEX-12WSK-2326-SM-5GCOH 40-49 years, female 130.3
GTEX-14PN3-2426-SM-6LLHS 60-69 years, female 129.8
GTEX-XUYS-0126-SM-47JWZ 50-59 years, male 128.7
GTEX-W5X1-3026-SM-EAZAX 40-49 years, female 128.7
GTEX-15CHC-2126-SM-6EU21 60-69 years, female 128.4
GTEX-RM2N-1426-SM-2TF4H 50-59 years, male 128.4
GTEX-O5YT-0126-SM-48TBW 20-29 years, male 127.5
GTEX-1JKYR-0126-SM-CNPOJ 20-29 years, male 127.1
GTEX-1CAMS-0426-SM-7P8T2 40-49 years, female 126.7
GTEX-13N11-2526-SM-5K7UE 50-59 years, female 126.2
GTEX-1N2DW-0226-SM-E9TK2 50-59 years, male 126.0
GTEX-Y5V6-2426-SM-4VDSB 60-69 years, male 125.4
GTEX-1GF9W-0326-SM-9KNUN 60-69 years, male 125.4
GTEX-1OJC4-0126-SM-E9J2E 50-59 years, female 125.1
GTEX-1AX9K-2326-SM-73KWU 50-59 years, male 125.0
GTEX-OIZF-0126-SM-7SB8I 60-69 years, male 123.7
GTEX-13W3W-2426-SM-5LU5B 60-69 years, female 123.2
GTEX-1JK1U-2026-SM-CM2RZ 60-69 years, male 122.8
GTEX-1J8EW-0126-SM-CJI4F 60-69 years, female 121.3
GTEX-1KANB-0526-SM-E6CJH 50-59 years, male 120.4
GTEX-131XG-2626-SM-5KM17 50-59 years, female 120.1
GTEX-1HUB1-0426-SM-E9U4U 60-69 years, male 117.1
GTEX-13112-2826-SM-5DUWH 50-59 years, male 116.8
GTEX-1GTWX-0126-SM-9YFLK 60-69 years, male 116.5
GTEX-1RQEC-0426-SM-E6CHU 60-69 years, male 116.1
GTEX-11EMC-2926-SM-5EQ4F 60-69 years, female 115.7
GTEX-14PJ6-2126-SM-6EU1V 60-69 years, female 115.6
GTEX-X5EB-2226-SM-46MW4 40-49 years, male 114.6
GTEX-ZVZO-0126-SM-5A5L9 40-49 years, male 114.4
GTEX-12WSL-2526-SM-5GCNJ 50-59 years, male 111.7
GTEX-145ME-1826-SM-5SI9G 40-49 years, female 111.3
GTEX-13OVG-1926-SM-5L3DK 60-69 years, male 110.7
GTEX-1RLM8-2326-SM-EWRN4 50-59 years, male 110.3
GTEX-1MA7X-2226-SM-E6CIY 60-69 years, male 107.2
GTEX-14BIM-0226-SM-7IGLD 60-69 years, female 105.9
GTEX-14PHW-0126-SM-6LLJI 60-69 years, female 104.7
GTEX-ZUA1-0126-SM-5GU76 40-49 years, male 103.7
GTEX-1HB9E-0226-SM-E9U4R 50-59 years, male 102.4
GTEX-ZVT3-0126-SM-5GU6I 60-69 years, female 101.8
GTEX-U4B1-1826-SM-4DXSU 40-49 years, male 100.8
GTEX-OHPL-0126-SM-2HMJ7 60-69 years, female 100.3
GTEX-146FR-1326-SM-E9J48 60-69 years, female 100.3
GTEX-14ABY-0226-SM-5TDCQ 50-59 years, male 98.0
GTEX-QDT8-0126-SM-48TZ1 30-39 years, female 95.0
GTEX-1IE54-0126-SM-CMKHW 40-49 years, female 94.9
GTEX-14PK6-1926-SM-6ETZU 70-79 years, female 93.6
GTEX-13RTL-0126-SM-7LG5S 40-49 years, male 93.4
GTEX-Q734-1926-SM-2I5EV 40-49 years, female 92.6
GTEX-X638-0126-SM-47JZ8 70-79 years, female 87.2
GTEX-113IC-0126-SM-5HL6T 60-69 years, male 87.1
GTEX-RUSQ-1526-SM-2TF62 50-59 years, male 86.7
GTEX-1RAZQ-0726-SM-EAZ43 30-39 years, male 83.5
GTEX-1H1ZS-0426-SM-9WG6G 70-79 years, male 82.4
GTEX-1CB4J-0626-SM-7DHMP 60-69 years, male 76.6
GTEX-13X6H-2126-SM-7EWD5 50-59 years, female 75.6
GTEX-1LNCM-1126-SM-E9U5E 50-59 years, female 70.7
GTEX-1HBPH-0426-SM-B2LW5 40-49 years, female 62.2
GTEX-1R9K4-0126-SM-DTX9X 60-69 years, male 61.7
Show allShow less

Contact

  • NEWS ARTICLES
  • PRESS ROOM

The Project

  • INTRODUCTION
  • ORGANIZATION
  • PUBLICATIONS

The Human Protein Atlas

  • DOWNLOADABLE DATA
  • LICENCE & CITATION
  • HELP & FAQ
The Human Protein Atlas project is funded
by the Knut & Alice Wallenberg Foundation.


contact@proteinatlas.org