We use cookies to enhance the usability of our website. If you continue, we'll assume that you are happy to receive all cookies. More information. Don't show this again.
H1-0
HPA
RESOURCES
  • TISSUE
  • BRAIN
  • SINGLE CELL
  • SUBCELLULAR
  • CANCER
  • BLOOD
  • CELL LINE
  • STRUCTURE & INTERACTION
ABOUT
  • INTRODUCTION
  • HISTORY
  • ORGANIZATION
  • PUBLICATIONS
  • ANTIBODY SUBMISSION
  • ANTIBODY AVAILABILITY
  • ACKNOWLEDGMENTS
  • CONTACT
NEWS
  • NEWS ARTICLES
  • PRESS ROOM
LEARN
  • DICTIONARY
  • PROTEIN CLASSES
  • PROTEIN EVIDENCE
  • METHODS
  • EDUCATIONAL VIDEOS
DATA
  • DOWNLOADABLE DATA
  • PUBLICATION DATA
  • RELEASE HISTORY
HELP
  • ANTIBODY VALIDATION
  • ASSAYS & ANNOTATION
  • DISCLAIMER
  • HELP & FAQ
  • PRIVACY STATEMENT
  • LICENCE & CITATION
Fields »
Search result

Field
Term
Gene name
Class
Subclass
Class
Keyword
Chromosome
External id
Tissue
Cell type
Expression
Antibody panel
Tissue
Main location
Patient ID
Annotation
Tissue
Category
Tau score
Cluster
Reliability
Brain region
Category
Tau score
Brain region
Category
Tau score
Brain region
Category
Tau score
Cluster
Reliability
Tissue
Cell type
Enrichment
Cell type
Category
Tau score
Cell type
Category
Tau score
Cell type
Category
Tau score
Cell lineage
Category
Tau score
Cluster
Cluster
Location
Searches
Location
Cell line
Class
Type
Phase
Reliability
Cancer
Prognosis
Cancer
Category
Cancer
Category
Tau score
Cluster
Variants
Interacting gene (ensg_id)
Type
Number of interactions
Pathway
Category
Score
Score
Score
Validation
Validation
Validation
Validation
Antibodies
Data type
Column


  • SUMMARY

  • TISSUE

  • BRAIN

  • SINGLE CELL

  • SUBCELL

  • CANCER

  • BLOOD

  • CELL LINE

  • STRUCT & INT

  • H1-0
TISSUE PRIMARY DATA CAUDATE Show tissue menu
ADIPOSE TISSUE ADRENAL GLAND AMYGDALA APPENDIX BASAL GANGLIA BONE MARROW BREAST BRONCHUS CEREBELLUM CEREBRAL CORTEX CERVIX CHOROID PLEXUS COLON DUODENUM
ENDOMETRIUM EPIDIDYMIS ESOPHAGUS FALLOPIAN TUBE GALLBLADDER HEART MUSCLE HIPPOCAMPAL FORMATION HYPOTHALAMUS KIDNEY LIVER LUNG LYMPH NODE MIDBRAIN NASOPHARYNX
ORAL MUCOSA OVARY PANCREAS PARATHYROID GLAND PITUITARY GLAND PLACENTA PROSTATE RECTUM RETINA SALIVARY GLAND SEMINAL VESICLE SKELETAL MUSCLE SKIN SMALL INTESTINE
SMOOTH MUSCLE SOFT TISSUE SPINAL CORD SPLEEN STOMACH TESTIS THYMUS THYROID GLAND TONGUE TONSIL URINARY BLADDER VAGINA
ANTIBODIES
AND
VALIDATION
Dictionary
Caudate
Tissue proteome
CAUDATE - Expression summary
Protein expression
Caudatei

On the top, protein expression in current human tissue, based on all annotated cell types, is reported with the units not detected (n), low (l), medium (m) and high (h). Underneath, protein expression in each annotated cell type are reported using the same units.

Protein expression data is based on knowledge-based annotation. For genes where more than one antibody has been used, a collective score is set.

If knowledge-based annotation could not be performed for a gene, no data is displayed here. View antibody staining data further down this page.

h
m
l
n
Glial cells: High
Neuronal cells: High
RNA expressioni

A summary of mRNA expression data available for current tissue based on several datasets. The mRNA expression levels in human tissues are based on RNA-seq data generated by the Human Protein Atlas (HPA), Genotype-Tissue Expression (GTEx) portal and CAGE data generated by the FANTOM5 consortium. Consensus normalized expression levels for human tissues was created by combining the data from HPA and GTEx datasets.

The mRNA expression levels in pig are based on RNA-seq data generated by the Human Protein Atlas (HPA), and for mouse, HPA data and in situ hybridization generated by the Allen brain atlas are reported.

Scroll down to view mRNA expression data in more detail.
GTEx:66.1 nTPM
FANTOM5:117.5 Scaled Tags Per Million
Pig:65.9 nTPM

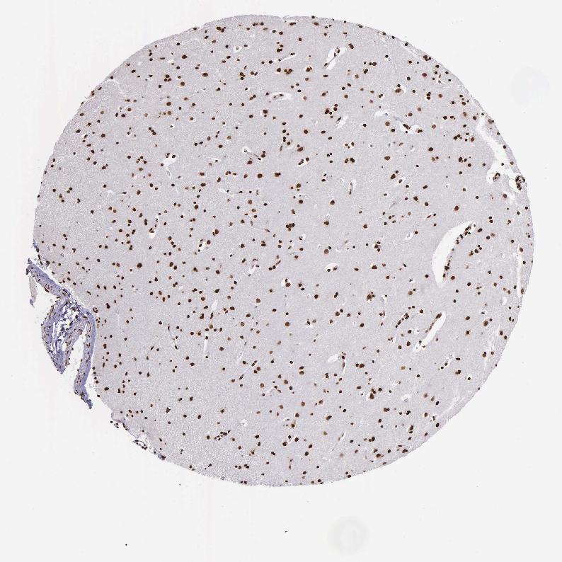
CAUDATE - Antibody stainingi

Antibody staining in the annotated cell types in the current human tissue is reported as not detected, low, medium, or high, based on conventional immunohistochemistry profiling in selected tissues. This score is based on the combination of the staining intensity and fraction of stained cells.

Each image is clickable and will lead to virtual microscopy that enables deeper exploration of all samples and also displays staining intensity scores, fraction scores and subcellular localization as well as patient and tissue information for each sample.

Antibody HPA000843
Glial cells High
Neuronal cells High



CAUDATE - GTEx RNA-seqi

RNA-Seq data generated by the Genotype-Tissue Expression (GTEx) project from human tissues is reported as mean nTPM. More information can be found on the GTEx portal.

Distribution across the dataset is visualized with box plots, shown as median and 25th and 75th percentiles. Points are displayed as outliers if they are above or below 1.5 times the interquartile range. nTPM values of the individual samples are presented next to the box plot.
Max subtype nTPMi

Max subtype nTPM is the value for the subtype with the largest average nTPM across the subtype samples.

66.1
GTEx sample id Sample description nTPM
Brain - Caudate (basal ganglia)
Average nTPM: 66.1
Samples: 246

Max nTPM: 164.9
Min nTPM: 29.7
Std nTPM: 16.2
Median nTPM: 63.8
GTEX-1HCU6-0011-R5a-SM-ARU76 60-69 years, female 164.9
GTEX-13JVG-0011-R5a-SM-5MR4O 60-69 years, male 121.4
GTEX-13N1W-0011-R5b-SM-5MR5Q 70-79 years, male 120.6
GTEX-1GN1U-0011-R5a-SM-9QEIS 50-59 years, female 118.5
GTEX-12WSA-0011-R5b-SM-5GU5I 60-69 years, male 109.3
GTEX-1CAV2-0011-R5b-SM-9QEH4 40-49 years, female 102.3
GTEX-14753-0011-R5a-SM-5S2VW 60-69 years, male 102.0
GTEX-1C6VR-0011-R5a-SM-9QEH1 60-69 years, male 100.5
GTEX-17HG3-0011-R5a-SM-7DUEW 30-39 years, female 97.2
GTEX-144GO-0011-R5a-SM-5PNUR 60-69 years, male 96.7
GTEX-14JG1-0011-R5a-SM-62LED 40-49 years, male 95.2
GTEX-139TT-0011-R5b-SM-5K7W8 60-69 years, male 95.1
GTEX-1B996-0011-R5a-SM-7P8PN 60-69 years, male 95.1
GTEX-1EN7A-0011-R5a-SM-9QEH6 40-49 years, male 94.3
GTEX-13NZA-0011-R5b-SM-5KM4K 60-69 years, male 93.8
GTEX-139TU-0011-R5b-SM-5L3E1 60-69 years, male 91.6
GTEX-16NPV-0011-R5a-SM-7EPGK 50-59 years, female 91.1
GTEX-1A8G6-0011-R5b-SM-7IGQG 60-69 years, male 90.5
GTEX-ZAB4-0011-R5a-SM-4SOKC 40-49 years, male 90.5
GTEX-YJ89-0011-R5a-SM-4V6GM 60-69 years, male 90.3
GTEX-14PJO-0011-R5a-SM-6AJBZ 60-69 years, male 90.0
GTEX-132Q8-0011-R5a-SM-5IJDM 60-69 years, male 89.2
GTEX-13CF2-0011-R5a-SM-5LZWS 60-69 years, male 88.9
GTEX-17EVQ-0011-R5a-SM-7LT92 70-79 years, male 88.2
GTEX-T5JC-0011-R5A-SM-32PLK 20-29 years, male 87.1
GTEX-17EVP-0011-R5b-SM-7DHKW 40-49 years, male 86.3
GTEX-1H23P-0011-R5a-SM-CKZOI 60-69 years, male 84.6
GTEX-1IGQW-0011-R5b-SM-CJI44 60-69 years, male 84.5
GTEX-1HR98-0011-R5a-SM-A9G1V 60-69 years, male 84.4
GTEX-13OVJ-0011-R5a-SM-5P9H7 50-59 years, female 84.3
GTEX-1I1HK-0011-R5b-SM-ARU6S 60-69 years, male 83.6
GTEX-11DYG-0011-R5a-SM-DO928 60-69 years, male 82.6
GTEX-S7PM-0011-R5A-SM-3NM8G 60-69 years, male 81.6
GTEX-ZDXO-0011-R5a-SM-4WKG5 60-69 years, male 81.3
GTEX-1E1VI-0011-R5b-SM-9WG5V 50-59 years, male 81.2
GTEX-1GTWX-0011-R5b-SM-CKZO6 60-69 years, male 79.6
GTEX-15DCD-0011-R5a-SM-CXZKZ 70-79 years, female 79.5
GTEX-13PLJ-0011-R5a-SM-5O9BG 60-69 years, female 79.0
GTEX-16Z82-0011-R5a-SM-7EPGB 60-69 years, male 79.0
GTEX-13X6I-0011-R5a-SM-5PNWW 60-69 years, male 78.3
GTEX-13PVQ-0011-R5b-SM-5O9DI 50-59 years, male 78.2
GTEX-1IKOH-0011-R5a-SM-ARU8C 60-69 years, female 78.1
GTEX-14LLW-0011-R5b-SM-5ZZU6 70-79 years, female 77.9
GTEX-12ZZX-0011-R5a-SM-5HL89 40-49 years, female 77.7
GTEX-1J8JJ-0011-R5a-SM-D4P2G 60-69 years, female 77.5
GTEX-1I19N-0011-R5b-SM-ARU6X 70-79 years, male 77.3
GTEX-1B8SF-0011-R5a-SM-79OOO 60-69 years, male 77.0
GTEX-14C39-0011-R5b-SM-5ZZV1 40-49 years, male 76.5
GTEX-13PL6-0011-R5b-SM-5O9BI 40-49 years, female 76.1
GTEX-145MG-0011-R5b-SM-5S2VU 50-59 years, male 76.1
GTEX-1HBPH-0011-R5b-SM-A9G1R 40-49 years, female 76.1
GTEX-1C6VS-0011-R5a-SM-7MXU9 60-69 years, male 76.0
GTEX-13NYB-0011-R5a-SM-5MR45 40-49 years, male 75.1
GTEX-14JIY-0011-R5b-SM-62LE7 60-69 years, male 75.1
GTEX-ZVZQ-0011-R5b-SM-57WDC 60-69 years, female 74.3
GTEX-15CHQ-0011-R5b-SM-6AJAN 60-69 years, male 74.2
GTEX-ZE9C-0011-R5a-SM-5EGLO 60-69 years, male 74.2
GTEX-13JUV-0011-R5a-SM-5LZY5 40-49 years, female 73.9
GTEX-1RNSC-0011-R5a-SM-EZ6N5 60-69 years, male 73.4
GTEX-17HII-0011-R5a-SM-7LG51 50-59 years, male 72.8
GTEX-1EKGG-0011-R5a-SM-9OSVQ 60-69 years, male 72.7
GTEX-11DXW-0011-R5b-SM-DO11D 40-49 years, male 72.6
GTEX-1EH9U-0011-R5a-SM-CJI2K 60-69 years, male 72.6
GTEX-17HHY-0011-R5b-SM-79OMZ 50-59 years, male 72.3
GTEX-1H1DG-0011-R5b-SM-CJI33 70-79 years, male 72.3
GTEX-14ABY-0011-R5b-SM-5SI7B 50-59 years, male 72.2
GTEX-1I1GV-0011-R5b-SM-CKZPD 60-69 years, male 72.1
GTEX-12ZZY-0011-R5a-SM-5EGL9 60-69 years, male 71.9
GTEX-1J8EW-0011-R5b-SM-ARU8B 60-69 years, female 71.8
GTEX-1IL2U-0011-R5a-SM-CE6SN 60-69 years, male 71.7
GTEX-13OW7-0011-R5b-SM-5O9DM 50-59 years, male 71.6
GTEX-1477Z-0011-R5b-SM-5PNUO 60-69 years, male 71.6
GTEX-1HSKV-0011-R5b-SM-ARZLN 60-69 years, male 71.5
GTEX-Z93S-0011-R5b-SM-4RGNI 50-59 years, male 71.4
GTEX-13CZV-0011-R5a-SM-5K7XA 60-69 years, male 71.3
GTEX-1GMRU-0011-R5a-SM-CKZNS 50-59 years, male 71.3
GTEX-1F75A-0011-R5a-SM-ARZMJ 50-59 years, male 70.9
GTEX-XMD1-0011-R5A-SM-4AT47 60-69 years, male 70.8
GTEX-12WSM-0011-R5a-SM-5EQ4Y 60-69 years, male 70.6
GTEX-13O3O-0011-R5b-SM-5KM44 60-69 years, female 70.0
GTEX-1F6I4-0011-R5b-SM-9QEHA 60-69 years, male 69.8
GTEX-13FLV-0011-R5a-SM-5LZWT 50-59 years, male 69.7
GTEX-13G51-0011-R5a-SM-5L3EB 60-69 years, male 69.7
GTEX-1HB9E-0011-R5b-SM-ARU78 50-59 years, male 69.6
GTEX-1GN2E-0011-R5b-SM-CJI2M 60-69 years, male 69.5
GTEX-11UD1-0011-R5b-SM-5P9FP 40-49 years, female 69.3
GTEX-13X6J-0011-R5b-SM-5PNWT 50-59 years, male 69.3
GTEX-12ZZW-0011-R5a-SM-5DUVN 50-59 years, male 69.0
GTEX-WZTO-0011-R5B-SM-3NMC5 40-49 years, male 68.6
GTEX-1C6WA-0011-R5a-SM-9WG5X 60-69 years, male 68.5
GTEX-14PQA-0011-R5b-SM-6AJC2 50-59 years, female 68.4
GTEX-1GPI6-0011-R5a-SM-CJI2W 60-69 years, male 68.2
GTEX-1B933-0011-R5b-SM-7P8SA 50-59 years, female 68.1
GTEX-144GL-0011-R5b-SM-5PNUJ 50-59 years, male 68.0
GTEX-RVPV-0011-R5A-SM-2TF69 60-69 years, male 67.8
GTEX-1HT8W-0011-R5b-SM-CJI3P 30-39 years, male 67.8
GTEX-11NUK-0011-R5a-SM-DO93N 50-59 years, male 67.7
GTEX-1E2YA-0011-R5a-SM-9QEGT 50-59 years, male 67.4
GTEX-11OF3-0011-R5a-SM-57WB4 60-69 years, male 67.1
GTEX-13OW6-0011-R5a-SM-5O9BK 50-59 years, male 67.1
GTEX-QVJO-0011-R5A-SM-2S1QM 60-69 years, female 67.1
GTEX-14E6D-0011-R5b-SM-69LQR 50-59 years, male 67.0
GTEX-T6MN-0011-R5A-SM-32QPD 50-59 years, male 66.8
GTEX-13SLW-0011-R5b-SM-5SI6Z 70-79 years, male 66.7
GTEX-S7SE-0011-R5A-SM-2XCDA 50-59 years, male 66.0
GTEX-11PRG-0011-R5b-SM-DNZZS 50-59 years, male 66.0
GTEX-12WSC-0011-R5b-SM-5CVNS 50-59 years, male 65.7
GTEX-1H3O1-0011-R5b-SM-ADEH8 60-69 years, male 65.7
GTEX-1J1OQ-0011-R5a-SM-D3L8K 40-49 years, female 65.7
GTEX-1HUB1-0011-R5a-SM-CKZOY 60-69 years, male 65.5
GTEX-14BIN-0011-R5b-SM-5SI78 50-59 years, female 65.4
GTEX-11NV4-0011-R5a-SM-5NQ88 60-69 years, male 65.3
GTEX-1GN73-0011-R5a-SM-9QEIM 60-69 years, male 65.2
GTEX-X261-0011-R5A-SM-3NMB4 50-59 years, male 65.1
GTEX-16YQH-0011-R5b-SM-7938U 30-39 years, male 64.8
GTEX-14DAQ-0011-R5b-SM-5YYAK 60-69 years, female 64.7
GTEX-1F52S-0011-R5a-SM-CJI22 60-69 years, female 64.7
GTEX-TSE9-0011-R5A-SM-3DB7J 60-69 years, female 64.3
GTEX-13112-0011-R5b-SM-5DUV8 50-59 years, male 64.2
GTEX-R55E-0011-R5A-SM-2TC5N 20-29 years, male 64.2
GTEX-11TTK-0011-R5a-SM-DNZZV 60-69 years, female 64.1
GTEX-1CB4H-0011-R5b-SM-9QEGN 60-69 years, female 64.0
GTEX-1IY9M-0011-R5a-SM-A9SLX 60-69 years, male 63.8
GTEX-11O72-0011-R5a-SM-DO922 40-49 years, male 63.7
GTEX-145LS-0011-R5a-SM-5SI65 60-69 years, female 63.1
GTEX-ZXG5-0011-R5b-SM-57WBN 60-69 years, male 63.1
GTEX-12ZZZ-0011-R5a-SM-5EQ4M 60-69 years, male 62.9
GTEX-12WSD-0011-R5b-SM-5CVNG 60-69 years, female 62.8
GTEX-1HGF4-0011-R5b-SM-CM2ST 60-69 years, male 62.8
GTEX-1I1GQ-0011-R5a-SM-CMKHJ 50-59 years, male 62.7
GTEX-1GF9V-0011-R5a-SM-9QEI8 60-69 years, male 62.6
GTEX-1I1GR-0011-R5a-SM-CMKHD 60-69 years, male 62.6
GTEX-13O3Q-0011-R5b-SM-5P9H4 50-59 years, male 62.5
GTEX-N7MS-0011-R5a-SM-2HMK8 60-69 years, male 62.4
GTEX-1313W-0011-R5b-SM-5L3EP 50-59 years, female 62.2
GTEX-1H1CY-0011-R5a-SM-CM2SN 60-69 years, female 62.2
GTEX-1N2DW-0011-R5a-SM-EYYX3 50-59 years, male 62.2
GTEX-11DZ1-0011-R5a-SM-DO11J 50-59 years, male 62.1
GTEX-1R9K4-0011-R5b-SM-EZ6N8 60-69 years, male 62.0
GTEX-1LG7Y-0011-R5a-SM-EZ6MU 50-59 years, male 61.8
GTEX-1HR9M-0011-R5a-SM-ARU72 60-69 years, male 61.7
GTEX-145MH-0011-R5a-SM-5P9JT 50-59 years, male 61.5
GTEX-13FHO-0011-R5b-SM-5LZZ3 60-69 years, male 61.3
GTEX-11DXY-0011-R5b-SM-DNZZL 60-69 years, male 61.3
GTEX-1F75W-0011-R5b-SM-9QEGV 60-69 years, male 61.2
GTEX-14BMV-0011-R5b-SM-62LFT 50-59 years, male 60.7
GTEX-183WM-0011-R5a-SM-718A4 70-79 years, female 60.6
GTEX-13OVL-0011-R5b-SM-5L3FU 50-59 years, male 60.5
GTEX-18465-0011-R5a-SM-72D5J 50-59 years, male 60.2
GTEX-14ASI-0011-R5b-SM-6EU2M 60-69 years, male 60.1
GTEX-17MF6-0011-R5a-SM-731BA 40-49 years, male 60.1
GTEX-N7MT-0011-R5a-SM-2I3G6 60-69 years, female 60.1
GTEX-RU72-0011-R5A-SM-2TF6U 50-59 years, female 60.0
GTEX-13RTJ-0011-R5a-SM-5P9HR 60-69 years, male 59.9
GTEX-18464-0011-R5b-SM-718A6 50-59 years, male 59.9
GTEX-1IKK5-0011-R5b-SM-CL55B 60-69 years, male 59.9
GTEX-11GSP-0011-R5a-SM-57WBE 60-69 years, female 59.8
GTEX-13NYS-0011-R5a-SM-5MR4D 60-69 years, male 59.7
GTEX-1192X-0011-R5a-SM-DNZZA 50-59 years, male 59.5
GTEX-13VXU-0011-R5a-SM-5O9D7 50-59 years, male 59.4
GTEX-1B8L1-0011-R5a-SM-7DHN5 60-69 years, male 59.4
GTEX-11ONC-0011-R5b-SM-DO93I 60-69 years, male 59.3
GTEX-1HFI6-0011-R5a-SM-A9G1J 40-49 years, male 59.3
GTEX-11H98-0011-R5b-SM-57WCF 50-59 years, male 59.2
GTEX-13OW8-0011-R5b-SM-5L3FQ 60-69 years, male 59.2
GTEX-RNOR-0011-R5A-SM-2TF4J 50-59 years, female 59.2
GTEX-139TS-0011-R5b-SM-5J2MZ 60-69 years, male 58.7
GTEX-ZVT3-0011-R5a-SM-51MSI 60-69 years, female 58.7
GTEX-131YS-0011-R5b-SM-5K7YB 60-69 years, female 58.5
GTEX-ZUA1-0011-R5b-SM-51MTG 40-49 years, male 58.5
GTEX-13FHP-0011-R5b-SM-5LZY2 50-59 years, male 58.4
GTEX-1445S-0011-R5a-SM-5PNUS 60-69 years, male 58.4
GTEX-1JMQJ-0011-R5a-SM-EYYXO 50-59 years, male 58.3
GTEX-1F75B-0011-R5a-SM-9QEHC 50-59 years, male 58.0
GTEX-15DYW-0011-R5a-SM-6M46W 60-69 years, female 57.9
GTEX-WVLH-0011-R5A-SM-3MJFW 50-59 years, male 57.9
GTEX-OXRN-0011-R5A-SM-2I5EF 50-59 years, male 57.8
GTEX-X585-0011-R5A-SM-46MVI 50-59 years, male 57.6
GTEX-1R9PO-0011-R5a-SM-EZ6NA 60-69 years, female 57.6
GTEX-1GZ2Q-0011-R5a-SM-A96RQ 40-49 years, male 57.4
GTEX-14PN4-0011-R5a-SM-686ZV 50-59 years, male 57.3
GTEX-1J8Q2-0011-R5b-SM-A9SKH 60-69 years, male 57.3
GTEX-1GZ4I-0011-R5a-SM-9OSWQ 50-59 years, male 57.1
GTEX-13OVH-0011-R5b-SM-5KM4L 70-79 years, male 56.8
GTEX-1HBPI-0011-R5a-SM-CKZOW 50-59 years, male 56.8
GTEX-1399T-0011-R5b-SM-5IJDK 60-69 years, male 56.3
GTEX-WL46-0011-R5A-SM-3LK6V 50-59 years, male 56.2
GTEX-14LZ3-0011-R5b-SM-5ZZV8 60-69 years, female 56.1
GTEX-ZE7O-0011-R5a-SM-57WBO 50-59 years, female 55.8
GTEX-1HCVE-0011-R5b-SM-CKZP7 50-59 years, male 55.4
GTEX-NPJ7-0011-R5a-SM-33HBK 60-69 years, female 55.3
GTEX-ZV68-0011-R5a-SM-4YCDW 50-59 years, female 55.3
GTEX-ZF28-0011-R5a-SM-4WWCZ 60-69 years, male 55.2
GTEX-13S7M-0011-R5b-SM-5P9HS 60-69 years, female 55.0
GTEX-Y8DK-0011-R5B-SM-4RTW6 60-69 years, male 54.8
GTEX-1EMGI-0011-R5a-SM-CJI2E 60-69 years, male 54.4
GTEX-13FLW-0011-R5a-SM-5LZX6 50-59 years, male 54.3
GTEX-15ER7-0011-R5b-SM-6M46T 20-29 years, female 54.3
GTEX-13OW5-0011-R5b-SM-5L3FR 60-69 years, male 53.9
GTEX-13FXS-0011-R5b-SM-5LZYE 50-59 years, male 53.6
GTEX-1H3VE-0011-R5a-SM-CKZOU 40-49 years, male 53.6
GTEX-1IDJH-0011-R5a-SM-CE6SR 70-79 years, male 53.6
GTEX-1AX9I-0011-R5b-SM-793DI 60-69 years, male 53.5
GTEX-NL3H-0011-R5a-SM-2I3GB 60-69 years, male 53.5
GTEX-1F7RK-0011-R5b-SM-9WG5S 20-29 years, female 53.5
GTEX-1JMPZ-0011-R5b-SM-EYYWY 30-39 years, male 53.5
GTEX-17F97-0011-R5a-SM-7LG4Z 50-59 years, male 52.9
GTEX-13SLX-0011-R5a-SM-5O9BV 50-59 years, female 52.6
GTEX-UTHO-0011-R5A-SM-3GIJD 60-69 years, male 52.6
GTEX-11WQC-0011-R5a-SM-5BC74 60-69 years, male 52.5
GTEX-P44G-0011-R5A-SM-2I3FA 30-39 years, male 52.3
GTEX-1IKJJ-0011-R5b-SM-CE6SL 60-69 years, male 52.2
GTEX-15G19-0011-R5b-SM-6M46P 60-69 years, male 52.0
GTEX-1EX96-0011-R5a-SM-ARU83 50-59 years, male 52.0
GTEX-X4XX-0011-R5A-SM-46MWN 60-69 years, male 51.9
GTEX-1H3NZ-0011-R5a-SM-CM2SP 60-69 years, male 51.7
GTEX-13CIG-0011-R5b-SM-5L3F2 50-59 years, male 51.3
GTEX-1GMR8-0011-R5b-SM-9QEIH 50-59 years, female 51.2
GTEX-1CB4G-0011-R5a-SM-CKZNM 60-69 years, male 51.0
GTEX-15SHU-0011-R5a-SM-7938Q 40-49 years, female 50.7
GTEX-QMR6-0011-R5A-SM-32PKT 50-59 years, male 50.7
GTEX-1IL2V-0011-R5a-SM-ARL78 70-79 years, male 50.4
GTEX-Q2AG-0011-R5A-SM-2HMJH 40-49 years, female 49.6
GTEX-YFC4-0011-R5a-SM-4RGLR 40-49 years, female 49.3
GTEX-QDT8-0011-R5A-SM-32PKN 30-39 years, female 48.5
GTEX-14BIM-0011-R5b-SM-5S2RM 60-69 years, female 48.3
GTEX-1F6IF-0011-R5b-SM-CM2RH 60-69 years, male 48.0
GTEX-13X6K-0011-R5b-SM-5PNUE 60-69 years, female 47.2
GTEX-P44H-0011-R5A-SM-2XCEX 40-49 years, male 47.0
GTEX-1GF9W-0011-R5a-SM-CKZO4 60-69 years, male 44.8
GTEX-12WSH-0011-R5b-SM-5P9F3 50-59 years, male 44.5
GTEX-1F48J-0011-R5b-SM-9OSVZ 50-59 years, female 44.2
GTEX-T2IS-0011-R5A-SM-32QP4 20-29 years, female 43.6
GTEX-15EO6-0011-R5b-SM-7KUDZ 50-59 years, male 43.2
GTEX-1I1GS-0011-R5a-SM-CKZPC 60-69 years, male 42.7
GTEX-NL4W-0011-R5a-SM-2I3GD 50-59 years, male 42.5
GTEX-PWO3-0011-R5A-SM-2I5EZ 60-69 years, female 41.3
GTEX-12WSF-0011-R5a-SM-5HL8K 70-79 years, male 41.0
GTEX-1A3MX-0011-R5a-SM-79OM5 60-69 years, male 40.5
GTEX-PVOW-0011-R5A-SM-32PL7 40-49 years, male 39.3
GTEX-OXRO-0011-R5A-SM-2I5EG 60-69 years, female 37.5
GTEX-1H2FU-0011-R5b-SM-CL552 60-69 years, female 36.3
GTEX-NPJ8-0011-R5a-SM-2HMJY 40-49 years, male 36.2
GTEX-1H1ZS-0011-R5b-SM-CL53L 70-79 years, male 34.3
GTEX-WWYW-0011-R5A-SM-3NB3E 50-59 years, female 33.8
GTEX-139T8-0011-R5b-SM-5J1MO 60-69 years, male 29.7
Show allShow less

CAUDATE - FANTOM5 CAGEi

RNA expression in human tissues obtained through Cap Analysis of Gene Expression (CAGE) generated by the FANTOM5 project are reported as Scaled Tags Per Million.

Max subtype Scaled Tags Per Millioni

Max subtype Scaled Tags Per Million is the value for the subtype with the largest average Scaled Tags Per Million across the subtype samples.

117.5
FANTOM5 sample id Sample description Scaled Tags Per Million
Caudate nucleus
Scaled Tags Per Million: 117.5
FF:10164-103B2 76 years, female 117.5

CAUDATE - Pig RNA-seqi

RNA-seq data obtained from pig brain is reported as nTPM .

Normal distribution across the dataset is visualized with box plots, shown as median and 25th and 75th percentiles. Points are displayed as outliers if they are above or below 1.5 times the interquartile range. nTPM values of the individual samples are presented next to the box plot.
Max subtype nTPMi

Max subtype nTPM is the value for the subtype with the largest average nTPM across the subtype samples.

65.9
Pig sample Sample description nTPM
Caudate
nTPM: 65.9
Samples: 4

Max nTPM: 73.1
Min nTPM: 54.7
Sample A Female 63.1
Sample B Female 73.1
Sample C Male 72.6
Sample D Male 54.7

Contact

  • NEWS ARTICLES
  • PRESS ROOM

The Project

  • INTRODUCTION
  • ORGANIZATION
  • PUBLICATIONS

The Human Protein Atlas

  • DOWNLOADABLE DATA
  • LICENCE & CITATION
  • HELP & FAQ
The Human Protein Atlas project is funded
by the Knut & Alice Wallenberg Foundation.


contact@proteinatlas.org