We use cookies to enhance the usability of our website. If you continue, we'll assume that you are happy to receive all cookies. More information. Don't show this again.
S100A13
HPA
RESOURCES
  • TISSUE
  • BRAIN
  • SINGLE CELL
  • SUBCELLULAR
  • CANCER
  • BLOOD
  • CELL LINE
  • STRUCTURE & INTERACTION
ABOUT
  • INTRODUCTION
  • HISTORY
  • ORGANIZATION
  • PUBLICATIONS
  • ANTIBODY SUBMISSION
  • ANTIBODY AVAILABILITY
  • ACKNOWLEDGMENTS
  • CONTACT
NEWS
  • NEWS ARTICLES
  • PRESS ROOM
LEARN
  • DICTIONARY
  • PROTEIN CLASSES
  • PROTEIN EVIDENCE
  • METHODS
  • EDUCATIONAL VIDEOS
DATA
  • DOWNLOADABLE DATA
  • PUBLICATION DATA
  • RELEASE HISTORY
HELP
  • ANTIBODY VALIDATION
  • ASSAYS & ANNOTATION
  • DISCLAIMER
  • HELP & FAQ
  • PRIVACY STATEMENT
  • LICENCE & CITATION
Fields »
Search result

Field
Term
Gene name
Class
Subclass
Class
Keyword
Chromosome
External id
Tissue
Cell type
Expression
Antibody panel
Tissue
Main location
Patient ID
Annotation
Tissue
Category
Tau score
Cluster
Reliability
Brain region
Category
Tau score
Brain region
Category
Tau score
Brain region
Category
Tau score
Cluster
Reliability
Tissue
Cell type
Enrichment
Cell type
Category
Tau score
Cell type
Category
Tau score
Cell type
Category
Tau score
Cell lineage
Category
Tau score
Cluster
Cluster
Location
Searches
Location
Cell line
Class
Type
Phase
Reliability
Cancer
Prognosis
Cancer
Category
Cancer
Category
Tau score
Cluster
Variants
Interacting gene (ensg_id)
Type
Number of interactions
Pathway
Category
Score
Score
Score
Validation
Validation
Validation
Validation
Antibodies
Data type
Column


  • SUMMARY

  • TISSUE

  • BRAIN

  • SINGLE CELL

  • SUBCELL

  • CANCER

  • BLOOD

  • CELL LINE

  • STRUCT & INT

  • S100A13
BRAIN CEREBELLUM Show tissue menu
AMYGDALA BASAL GANGLIA CEREBELLUM CEREBRAL CORTEX CHOROID PLEXUS HIPPOCAMPAL FORMATION HYPOTHALAMUS MEDULLA OBLONGATA
MIDBRAIN OLFACTORY BULB PITUITARY GLAND PONS RETINA SPINAL CORD THALAMUS WHITE MATTER
ANTIBODIES
AND
VALIDATION
Brain proteome
Cerebellum
CEREBELLUM - Expression summary
Protein expression
Cerebellumi

On the top, protein expression in current human tissue, based on all annotated cell types, is reported with the units not detected (n), low (l), medium (m) and high (h). Underneath, protein expression in each annotated cell type are reported using the same units.

Protein expression data is based on knowledge-based annotation. For genes where more than one antibody has been used, a collective score is set.

If knowledge-based annotation could not be performed for a gene, no data is displayed here. View antibody staining data further down this page.

h
m
l
n
Cells in granular layer: Medium
Cells in molecular layer: Not detected
Purkinje cells: Not detected
RNA expressioni

A summary of mRNA expression data available for current tissue based on several datasets. The mRNA expression levels in human tissues are based on RNA-seq data generated by the Human Protein Atlas (HPA), Genotype-Tissue Expression (GTEx) portal and CAGE data generated by the FANTOM5 consortium. Consensus normalized expression levels for human tissues was created by combining the data from HPA and GTEx datasets.

The mRNA expression levels in pig are based on RNA-seq data generated by the Human Protein Atlas (HPA), and for mouse, HPA data and in situ hybridization generated by the Allen brain atlas are reported.

Scroll down to view mRNA expression data in more detail.
Consensus:74.2 nTPM
HPA Brain:111.4 nTPM
GTEx:74.2 nTPM
FANTOM5:27.1 Scaled Tags Per Million
Pig:8.9 nTPM
Mouse:87.3 nTPM
Allen mouse:0.1 Expression energy

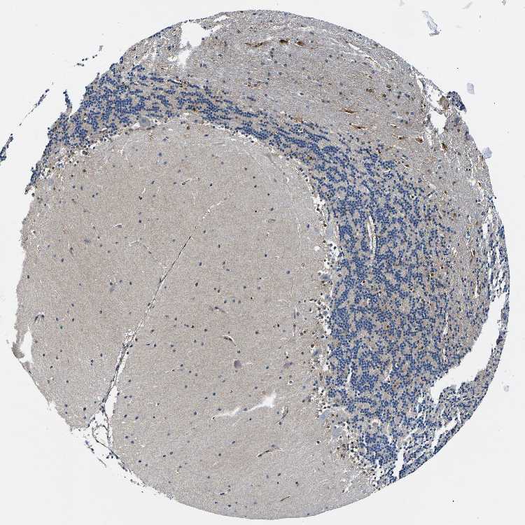
CEREBELLUM - Antibody stainingi

Antibody staining in the annotated cell types in the current human tissue is reported as not detected, low, medium, or high, based on conventional immunohistochemistry profiling in selected tissues. This score is based on the combination of the staining intensity and fraction of stained cells.

Each image is clickable and will lead to virtual microscopy that enables deeper exploration of all samples and also displays staining intensity scores, fraction scores and subcellular localization as well as patient and tissue information for each sample.

Antibody HPA019592Antibody CAB025494
Purkinje cells Not detectedNot detected
Cells in granular layer MediumNot detected
Cells in molecular layer Not detectedLow





CEREBELLUM - HPA Brain RNA-seq
Max subtype nTPMi

Max subtype nTPM is the value for the subtype with the largest average nTPM across the subtype samples.

111.4
Sample id Sample description nTPM
Cerebellar cortex
nTPM: 37.7
2003 Female, age 85, right hemisphere 67.1
2006 Male, age 61, right hemisphere 43.2
2055 Female, age 91, right hemisphere 39.1
1768 Female, age 72, unknown 38.1
2101 Male, age 74, right hemisphere 31.5
1774 Male, age 80, left hemisphere 29.5
1769 Male, age 76, right hemisphere 28.7
1788 Male, age 55, unknown 23.9
Cerebellar nuclei
nTPM: 111.4
2783 Female, age 72, unknown 166.6
2175 Male, age 61, right hemisphere 134.9
1871 Male, age 74, unknown 121.9
2005 Male, age 80, left hemisphere 111.3
2882 Male, age 76, left hemisphere 108.7
1966 Female, age 91, left hemisphere 103.9
1879 Male, age 55, unknown 102.7
2177 Female, age 85, both hemispheres 84.3
2318 Male, age 74, left hemisphere 68.6
Flocculonodular lobe
nTPM: 31.8
2004 Male, age 61, right hemisphere 38.3
1792 Male, age 74, unknown 36.3
1765 Male, age 55, unknown 36.2
1771 Male, age 80, left hemisphere 31.4
2176 Female, age 91, right hemisphere 30.8
1835 Female, age 85, right hemisphere 28.1
1767 Male, age 76, left hemisphere 21.8
Vermis
nTPM: 30.6
1751 Male, age 74, right hemisphere 36.4
1825 Male, age 74, unknown 35.8
2834 Male, age 80, left hemisphere 35.0
1778 Female, age 91, left hemisphere 34.6
1928 Female, age 72, unknown 34.0
1770 Male, age 76, left hemisphere 29.2
2460 Male, age 61, both hemispheres 27.5
1988 Female, age 85, left hemisphere 23.0
1766 Male, age 55, unknown 20.1

CEREBELLUM - GTEx RNA-seqi

RNA-Seq data generated by the Genotype-Tissue Expression (GTEx) project from human tissues is reported as mean nTPM. More information can be found on the GTEx portal.

Distribution across the dataset is visualized with box plots, shown as median and 25th and 75th percentiles. Points are displayed as outliers if they are above or below 1.5 times the interquartile range. nTPM values of the individual samples are presented next to the box plot.
Max subtype nTPMi

Max subtype nTPM is the value for the subtype with the largest average nTPM across the subtype samples.

74.2
GTEx sample id Sample description nTPM
Brain - Cerebellar Hemisphere
Average nTPM: 74.2
Samples: 215

Max nTPM: 201.4
Min nTPM: 28.9
Std nTPM: 28.8
Median nTPM: 67.8
GTEX-N7MT-0011-R11A-SM-2I3DZ 60-69 years, female 201.4
GTEX-139UW-0011-R11a-SM-5IJGN 60-69 years, male 199.2
GTEX-13FLV-0011-R11a-SM-5LZZ7 50-59 years, male 190.7
GTEX-16XZZ-0011-R11a-SM-7EPI3 60-69 years, male 174.2
GTEX-NL4W-0011-R11A-SM-2I3DW 50-59 years, male 154.5
GTEX-14C39-0011-R11b-SM-5YYAF 40-49 years, male 150.4
GTEX-16Z82-0011-R11a-SM-79OKJ 60-69 years, male 149.4
GTEX-1CAV2-0011-R11a-SM-ARU8D 40-49 years, female 143.8
GTEX-1IOXB-0011-R11a-SM-A9G1X 50-59 years, male 133.7
GTEX-1R9K4-0011-R11a-SM-EZ6N9 60-69 years, male 128.9
GTEX-1LKK1-0011-R11a-SM-EXOIG 50-59 years, female 127.9
GTEX-132Q8-0011-R11b-SM-5DUW9 60-69 years, male 121.1
GTEX-14E7W-0011-R11a-SM-5ZZVA 70-79 years, male 119.8
GTEX-1J8Q2-0011-R11a-SM-A9SKI 60-69 years, male 118.6
GTEX-13CZV-0011-R11b-SM-5N9FN 60-69 years, male 116.6
GTEX-17EVP-0011-R11a-SM-7EWDL 40-49 years, male 116.6
GTEX-16NPV-0011-R11a-SM-7IGMK 50-59 years, female 114.1
GTEX-1HSKV-0011-R11b-SM-AHZ2E 60-69 years, male 112.5
GTEX-1GF9W-0011-R11b-SM-9OSXG 60-69 years, male 110.6
GTEX-1HUB1-0011-R11b-SM-CE6SC 60-69 years, male 109.6
GTEX-16GPK-0011-R11b-SM-7MKFF 60-69 years, male 109.4
GTEX-1EKGG-0011-R11a-SM-9QEHZ 60-69 years, male 108.9
GTEX-1B933-0011-R11a-SM-7P8PM 50-59 years, female 108.1
GTEX-1JJ6O-0011-R11b-SM-EXUS2 60-69 years, male 108.0
GTEX-1I1GS-0011-R11a-SM-C1YRU 60-69 years, male 107.8
GTEX-11ZTS-0011-R11a-SM-DO113 60-69 years, female 107.4
GTEX-1313W-0011-R11a-SM-5DUXN 50-59 years, female 105.5
GTEX-11EI6-0011-R11a-SM-DO11V 60-69 years, male 104.4
GTEX-1F6I4-0011-R11b-SM-9OSWS 60-69 years, male 103.8
GTEX-1H3VE-0011-R11b-SM-C1YRP 40-49 years, male 103.8
GTEX-1IL2U-0011-R11a-SM-CE6SO 60-69 years, male 103.2
GTEX-12WSD-0011-R11a-SM-9OSVC 60-69 years, female 102.2
GTEX-1F75W-0011-R11b-SM-AHZ34 60-69 years, male 101.6
GTEX-13PVQ-0011-R11a-SM-5O9DU 50-59 years, male 101.5
GTEX-14ASI-0011-R11b-SM-6AJBJ 60-69 years, male 99.3
GTEX-1HBPI-0011-R11b-SM-CE6SH 50-59 years, male 98.4
GTEX-17EVQ-0011-R11a-SM-7LT9C 70-79 years, male 98.3
GTEX-1IY9M-0011-R11b-SM-A96TI 60-69 years, male 97.1
GTEX-1B8SG-0011-R11a-SM-7P8PF 50-59 years, male 95.2
GTEX-WHSE-0011-R11A-SM-3P5YY 20-29 years, male 93.4
GTEX-13X6I-0011-R11a-SM-5P9HN 60-69 years, male 93.3
GTEX-17JCI-0011-R11a-SM-7189Y 60-69 years, female 91.9
GTEX-1JJEA-0011-R11a-SM-EXUTE 60-69 years, male 90.5
GTEX-QMR6-0011-R11A-SM-32PKK 50-59 years, male 89.7
GTEX-13JVG-0011-R11a-SM-5KM53 60-69 years, male 89.6
GTEX-1IGQW-0011-R11a-SM-C1YRV 60-69 years, male 89.2
GTEX-11ZUS-0011-R11b-SM-5BC7B 30-39 years, male 88.7
GTEX-1GZHY-0011-R11a-SM-C1YRQ 50-59 years, female 88.6
GTEX-13X6J-0011-R11a-SM-5P9HE 50-59 years, male 88.5
GTEX-ZVT3-0011-R11b-SM-57WBI 60-69 years, female 88.5
GTEX-139TT-0011-R11b-SM-5LZV1 60-69 years, male 87.6
GTEX-ZF28-0011-R11a-SM-4WWEI 60-69 years, male 87.5
GTEX-1CB4G-0011-R11a-SM-9OSWG 60-69 years, male 86.8
GTEX-1GTWX-0011-R11b-SM-C1YQJ 60-69 years, male 86.4
GTEX-1HGF4-0011-R11a-SM-C1YRR 60-69 years, male 86.1
GTEX-1KD4Q-0011-R11b-SM-EXOIE 40-49 years, male 85.6
GTEX-1R9PO-0011-R11b-SM-EZ6NB 60-69 years, female 84.8
GTEX-P44H-0011-R11A-SM-2XCER 40-49 years, male 83.8
GTEX-14E6D-0011-R11b-SM-664NP 50-59 years, male 83.5
GTEX-Z93S-0011-R11a-SM-4RGNN 50-59 years, male 83.4
GTEX-12WSI-0011-R11b-SM-5P9EZ 50-59 years, male 83.1
GTEX-1IDJH-0011-R11b-SM-C1YRT 70-79 years, male 83.1
GTEX-15CHQ-0011-R11b-SM-686ZZ 60-69 years, male 82.8
GTEX-13QIC-0011-R11b-SM-5O9BU 60-69 years, female 82.5
GTEX-11WQC-0011-R11b-SM-57WD6 60-69 years, male 82.2
GTEX-1C64N-0011-R11b-SM-7P8Q6 50-59 years, male 81.7
GTEX-11GSP-0011-R11b-SM-5NQ7V 60-69 years, female 81.4
GTEX-1F48J-0011-R11b-SM-9OSWV 50-59 years, female 81.0
GTEX-131XW-0011-R11a-SM-5DUV9 50-59 years, female 80.8
GTEX-13G51-0011-R11b-SM-5J2NE 60-69 years, male 80.7
GTEX-11DXY-0011-R11a-SM-DNZZN 60-69 years, male 80.7
GTEX-11DYG-0011-R11a-SM-DNZZP 60-69 years, male 80.3
GTEX-ZE7O-0011-R11a-SM-57WBC 50-59 years, female 79.3
GTEX-13PLJ-0011-R11b-SM-5O9BS 60-69 years, female 78.6
GTEX-13JUV-0011-R11a-SM-5LZYH 40-49 years, female 78.5
GTEX-1B8L1-0011-R11b-SM-793DJ 60-69 years, male 77.4
GTEX-16YQH-0011-R11b-SM-7LT98 30-39 years, male 77.3
GTEX-13FXS-0011-R11a-SM-5L3DM 50-59 years, male 77.2
GTEX-13OW8-0011-R11a-SM-5L3GT 60-69 years, male 76.3
GTEX-13FTY-0011-R11a-SM-5IJEA 40-49 years, female 75.7
GTEX-12WSF-0011-R11a-SM-5LZVT 70-79 years, male 75.1
GTEX-TSE9-0011-R11A-SM-3DB7N 60-69 years, female 74.8
GTEX-1H1DG-0011-R11a-SM-C1YQK 70-79 years, male 74.3
GTEX-13NYS-0011-R11b-SM-5MR4P 60-69 years, male 73.1
GTEX-1LSVX-0011-R11b-SM-EXOIA 60-69 years, male 72.9
GTEX-X261-0011-R11A-SM-4E3JY 50-59 years, male 72.5
GTEX-1GMR8-0011-R11b-SM-9OSX2 50-59 years, female 72.2
GTEX-1F52S-0011-R11a-SM-CJI23 60-69 years, female 71.9
GTEX-1E1VI-0011-R11a-SM-9OSWI 50-59 years, male 71.7
GTEX-1JMOU-0011-R11b-SM-EXUTA 60-69 years, female 71.6
GTEX-12126-0011-R11a-SM-5BC6X 20-29 years, male 71.5
GTEX-17F97-0011-R11b-SM-7KFRQ 50-59 years, male 71.5
GTEX-1GZ4I-0011-R11b-SM-9OSWR 50-59 years, male 71.5
GTEX-11EMC-0011-R11b-SM-DNZZK 60-69 years, female 71.4
GTEX-1H4P4-0011-R11b-SM-CE6S8 50-59 years, male 70.7
GTEX-YJ89-0011-R11a-SM-4SOKA 60-69 years, male 70.1
GTEX-1HCU6-0011-R11b-SM-AHZ2F 60-69 years, female 69.1
GTEX-1I1GQ-0011-R11b-SM-CKZPA 50-59 years, male 69.0
GTEX-1N2DW-0011-R11b-SM-EXOIL 50-59 years, male 69.0
GTEX-1M4P7-0011-R11b-SM-EXOIK 60-69 years, male 68.9
GTEX-17HII-0011-R11b-SM-7KFSX 50-59 years, male 68.5
GTEX-14PN4-0011-R11a-SM-686ZW 50-59 years, male 68.4
GTEX-OHPN-0011-R11A-SM-2I5FM 60-69 years, female 68.4
GTEX-ZDXO-0011-R11a-SM-4WWD9 60-69 years, male 68.3
GTEX-1F75A-0011-R11a-SM-AHZ35 50-59 years, male 68.1
GTEX-T2IS-0011-R11A-SM-32QPC 20-29 years, female 68.0
GTEX-RU72-0011-R11A-SM-CM2U1 50-59 years, female 67.9
GTEX-18465-0011-R11a-SM-72D78 50-59 years, male 67.8
GTEX-1IKOH-0011-R11a-SM-AHZ38 60-69 years, female 67.6
GTEX-18A6Q-0011-R11a-SM-72D6H 60-69 years, male 67.2
GTEX-1GMRU-0011-R11b-SM-C1YQ4 50-59 years, male 67.2
GTEX-1EMGI-0011-R11b-SM-9OSWX 60-69 years, male 67.1
GTEX-13SLX-0011-R11b-SM-5O9C8 50-59 years, female 66.9
GTEX-17HG3-0011-R11b-SM-7KFT4 30-39 years, female 66.6
GTEX-1LG7Y-0011-R11a-SM-EXOIH 50-59 years, male 66.6
GTEX-1H1CY-0011-R11a-SM-C1YQR 60-69 years, female 66.3
GTEX-12WSM-0011-R11a-SM-5DUX8 60-69 years, male 66.0
GTEX-1BAJH-0011-R11b-SM-7IGLM 70-79 years, male 66.0
GTEX-1I19N-0011-R11b-SM-ARU6Y 70-79 years, male 66.0
GTEX-1I1GR-0011-R11a-SM-CM2T5 60-69 years, male 66.0
GTEX-1JMQJ-0011-R11a-SM-EXOJY 50-59 years, male 65.2
GTEX-WWYW-0011-R11A-SM-3NB38 50-59 years, female 65.0
GTEX-131XH-0011-R11a-SM-5EGLN 50-59 years, male 64.3
GTEX-ZE9C-0011-R11a-SM-4WKGG 60-69 years, male 64.2
GTEX-P44G-0011-R11A-SM-2I3FD 30-39 years, male 64.0
GTEX-144GL-0011-R11b-SM-5P9F6 50-59 years, male 63.9
GTEX-WL46-0011-R11A-SM-3MJFT 50-59 years, male 63.5
GTEX-14BIN-0011-R11a-SM-5SI79 50-59 years, female 63.2
GTEX-11DZ1-0011-R11b-SM-DO11W 50-59 years, male 62.9
GTEX-S7SE-0011-R11A-SM-2XCDD 50-59 years, male 62.8
GTEX-1H1ZS-0011-R11a-SM-C1YQM 70-79 years, male 62.8
GTEX-13NYB-0011-R11a-SM-5KM3Q 40-49 years, male 62.7
GTEX-12WSC-0011-R11a-SM-5GU5J 50-59 years, male 62.4
GTEX-15ER7-0011-R11a-SM-6LPIL 20-29 years, female 62.4
GTEX-1F7RK-0011-R11b-SM-9QEI2 20-29 years, female 62.4
GTEX-12ZZZ-0011-R11a-SM-5EGLC 60-69 years, male 62.3
GTEX-13OVJ-0011-R11a-SM-5P9H8 50-59 years, female 62.2
GTEX-ZUA1-0011-R11b-SM-51MTI 40-49 years, male 61.7
GTEX-1J8EW-0011-R11a-SM-AHZ37 60-69 years, female 61.5
GTEX-11OF3-0011-R11a-SM-57WCR 60-69 years, male 61.3
GTEX-1AX9I-0011-R11b-SM-7DHN4 60-69 years, male 61.3
GTEX-11TTK-0011-R11b-SM-DO112 60-69 years, female 61.3
GTEX-1I1HK-0011-R11a-SM-B2LVN 60-69 years, male 61.3
GTEX-145MH-0011-R11a-SM-5P9HQ 50-59 years, male 61.2
GTEX-12WSH-0011-R11a-SM-5LZVM 50-59 years, male 61.0
GTEX-13OVH-0011-R11b-SM-5KM4X 70-79 years, male 61.0
GTEX-1GN73-0011-R11b-SM-9OSX4 60-69 years, male 60.3
GTEX-14C5O-0011-R11b-SM-6872H 60-69 years, male 60.1
GTEX-1H3NZ-0011-R11b-SM-CE6SF 60-69 years, male 59.6
GTEX-WZTO-0011-R11A-SM-4E3K9 40-49 years, male 59.5
GTEX-13O3Q-0011-R11b-SM-5KM2W 50-59 years, male 59.4
GTEX-T5JC-0011-R11A-SM-32PMB 20-29 years, male 59.1
GTEX-13RTJ-0011-R11a-SM-5O9CK 60-69 years, male 58.0
GTEX-12ZZX-0011-R11a-SM-5DUVJ 40-49 years, female 57.0
GTEX-13CF2-0011-R11b-SM-5LZXO 60-69 years, male 56.8
GTEX-13OW7-0011-R11a-SM-5O9DY 50-59 years, male 56.2
GTEX-1J1OQ-0011-R11a-SM-A96S3 40-49 years, female 55.8
GTEX-15DCD-0011-R11a-SM-D4P1R 70-79 years, female 55.7
GTEX-QDT8-0011-R11A-SM-32PKD 30-39 years, female 55.6
GTEX-11H98-0011-R11b-SM-5NQ6U 50-59 years, male 55.3
GTEX-14BIM-0011-R11b-SM-5S2RN 60-69 years, female 55.3
GTEX-13OW5-0011-R11b-SM-5L3GG 60-69 years, male 55.0
GTEX-1N2EE-0011-R11b-SM-EXOIJ 60-69 years, male 55.0
GTEX-UTHO-0011-R11A-SM-3GIJE 60-69 years, male 54.6
GTEX-NPJ8-0011-R11A-SM-2YUMS 40-49 years, male 54.4
GTEX-RVPV-0011-R11A-SM-2TF6F 60-69 years, male 53.8
GTEX-13O3O-0011-R11b-SM-5KM4G 60-69 years, female 53.6
GTEX-13N2G-0011-R11a-SM-5MR3F 60-69 years, male 53.3
GTEX-1A3MX-0011-R11b-SM-7DUGP 60-69 years, male 51.6
GTEX-13VXU-0011-R11b-SM-5O9DJ 50-59 years, male 51.5
GTEX-1IKK5-0011-R11a-SM-C1YRX 60-69 years, male 51.5
GTEX-13NZA-0011-R11b-SM-5KM4W 60-69 years, male 51.4
GTEX-1I1GV-0011-R11a-SM-CJI3Z 60-69 years, male 51.2
GTEX-N7MS-0011-R11A-SM-2HMJS 60-69 years, male 50.6
GTEX-13S7M-0011-R11b-SM-5P9HU 60-69 years, female 50.4
GTEX-12WSE-0011-R11b-SM-5P9JW 20-29 years, male 50.3
GTEX-145MI-0011-R11a-SM-5P9JZ 60-69 years, female 50.0
GTEX-13OVL-0011-R11b-SM-5L3G7 50-59 years, male 49.7
GTEX-WVLH-0011-R11A-SM-3MJFO 50-59 years, male 49.2
GTEX-14ABY-0011-R11a-SM-5SI7C 50-59 years, male 48.9
GTEX-XMD1-0011-R11A-SM-4AT5J 60-69 years, male 48.7
GTEX-11PRG-0011-R11b-SM-DNZZY 50-59 years, male 48.5
GTEX-13FHO-0011-R11b-SM-5LZYQ 60-69 years, male 47.6
GTEX-1LVAO-0011-R11b-SM-EXOI8 60-69 years, male 47.6
GTEX-YFC4-0011-R11a-SM-4SOK6 40-49 years, female 47.3
GTEX-15DYW-0011-R11a-SM-6LPIT 60-69 years, female 47.2
GTEX-1B8SF-0011-R11a-SM-79OOP 60-69 years, male 47.2
GTEX-13FHP-0011-R11b-SM-5LZXP 50-59 years, male 47.1
GTEX-T6MN-0011-R11A-SM-32QOX 50-59 years, male 47.0
GTEX-1HFI6-0011-R11b-SM-A96RU 40-49 years, male 47.0
GTEX-183WM-0011-R11a-SM-718A5 70-79 years, female 46.5
GTEX-X585-0011-R11B-SM-46MUZ 50-59 years, male 46.4
GTEX-15G19-0011-R11b-SM-6LPIH 60-69 years, male 45.3
GTEX-13OW6-0011-R11a-SM-5L3H2 50-59 years, male 44.6
GTEX-13X6K-0011-R11a-SM-5P9F5 60-69 years, female 44.4
GTEX-1H3O1-0011-R11a-SM-A96RV 60-69 years, male 44.0
GTEX-ZVZQ-0011-R11a-SM-51MS6 60-69 years, female 43.8
GTEX-Y8DK-0011-R11A-SM-4SOK2 60-69 years, male 43.7
GTEX-ZAB4-0011-R11a-SM-4SOKI 40-49 years, male 43.7
GTEX-1IL2V-0011-R11a-SM-ARU6T 70-79 years, male 43.5
GTEX-Q2AG-0011-R11A-SM-2HMKZ 40-49 years, female 42.9
GTEX-NPJ7-0011-R11A-SM-2I3E8 60-69 years, female 42.5
GTEX-1HB9E-0011-R11b-SM-ARU79 50-59 years, male 42.5
GTEX-1399T-0011-R11a-SM-5J2O1 60-69 years, male 40.4
GTEX-14DAQ-0011-R11a-SM-664NO 60-69 years, female 40.1
GTEX-13SLW-0011-R11a-SM-5SI8Q 70-79 years, male 39.4
GTEX-NL3H-0011-R11A-SM-2I3E6 60-69 years, male 38.5
GTEX-R55E-0011-R11A-SM-2TC6I 20-29 years, male 38.0
GTEX-145LU-0011-R11b-SM-5P9JX 50-59 years, male 37.5
GTEX-131YS-0011-R11b-SM-5EGLM 60-69 years, female 37.3
GTEX-X4EP-0011-R11B-SM-4QASK 60-69 years, female 36.2
GTEX-15EO6-0011-R11b-SM-6M47M 50-59 years, male 34.9
GTEX-X4XX-0011-R11A-SM-46MWQ 60-69 years, male 34.2
GTEX-1ICLZ-0011-R11a-SM-CJI3N 60-69 years, male 31.7
GTEX-18464-0011-R11a-SM-72D76 50-59 years, male 28.9
Show allShow less
Brain - Cerebellum
Average nTPM: 69.1
Samples: 241

Max nTPM: 237.6
Min nTPM: 33.9
Std nTPM: 22.5
Median nTPM: 65.3
GTEX-1EH9U-3126-SM-7MXU5 60-69 years, male 237.6
GTEX-14PJO-2926-SM-686ZI 60-69 years, male 165.2
GTEX-16XZZ-2926-SM-6LPK4 60-69 years, male 153.6
GTEX-1BAJH-3126-SM-7MGXY 70-79 years, male 142.9
GTEX-1PWST-3026-SM-EAZ3H 70-79 years, male 135.0
GTEX-1H3VE-2826-SM-9WPOL 40-49 years, male 129.3
GTEX-1E2YA-2926-SM-7MGWX 50-59 years, male 117.7
GTEX-1H1ZS-2926-SM-9WPP2 70-79 years, male 116.7
GTEX-1JN1M-3126-SM-AHZ4E 60-69 years, female 114.1
GTEX-WVLH-2926-SM-3MJG5 50-59 years, male 111.8
GTEX-1F48J-2726-SM-7P8PW 50-59 years, female 111.7
GTEX-14A5I-2826-SM-5SIBF 50-59 years, female 109.7
GTEX-1JJE9-3026-SM-CNNPA 70-79 years, male 103.6
GTEX-1B996-2926-SM-7MXUH 60-69 years, male 102.3
GTEX-ZZPT-2926-SM-5EQ5S 50-59 years, male 99.3
GTEX-1CB4G-2926-SM-7MKFQ 60-69 years, male 98.5
GTEX-ZF28-2926-SM-4WKG1 60-69 years, male 97.3
GTEX-12WSM-2126-SM-5GCOC 60-69 years, male 97.0
GTEX-13CF2-3026-SM-5IFFX 60-69 years, male 96.7
GTEX-QMR6-1326-SM-32PLB 50-59 years, male 96.6
GTEX-1GF9V-3026-SM-7P8R8 60-69 years, male 95.9
GTEX-1HSKV-2926-SM-B2LWJ 60-69 years, male 95.6
GTEX-1F6I4-3026-SM-7P8SI 60-69 years, male 93.7
GTEX-1EWIQ-3026-SM-7IGOJ 70-79 years, female 93.2
GTEX-1KANB-3226-SM-D4P3G 50-59 years, male 91.3
GTEX-1C6VR-3026-SM-7IGLW 60-69 years, male 90.8
GTEX-11GSP-3126-SM-5A5LL 60-69 years, female 90.1
GTEX-14E7W-2926-SM-5S2R8 70-79 years, male 88.9
GTEX-1NV8Z-3026-SM-DTX8Z 60-69 years, male 88.3
GTEX-1GTWX-2926-SM-7MXV4 60-69 years, male 88.0
GTEX-ZYFD-2926-SM-5GID9 50-59 years, male 87.9
GTEX-1F75W-3126-SM-7P8SJ 60-69 years, male 87.9
GTEX-1128S-2826-SM-5N9DI 60-69 years, female 86.9
GTEX-18A6Q-2826-SM-7LTAO 60-69 years, male 86.9
GTEX-1E1VI-2926-SM-7IGLT 50-59 years, male 86.5
GTEX-1RDX4-3226-SM-DPS14 50-59 years, female 86.5
GTEX-11EMC-3326-SM-5P9JH 60-69 years, female 86.1
GTEX-145MG-3126-SM-5Q5D3 50-59 years, male 86.0
GTEX-13PVQ-2926-SM-5L3HJ 50-59 years, male 85.4
GTEX-1KD4Q-3026-SM-EV7A7 40-49 years, male 84.1
GTEX-15ER7-3026-SM-6M47W 20-29 years, female 84.0
GTEX-132Q8-2926-SM-5IFFP 60-69 years, male 83.9
GTEX-1JJ6O-3026-SM-C1YQH 60-69 years, male 83.4
GTEX-1HCVE-2926-SM-9WPPJ 50-59 years, male 83.3
GTEX-P44H-2426-SM-2XCEJ 40-49 years, male 82.6
GTEX-1MJK2-3026-SM-EV7A5 50-59 years, male 81.8
GTEX-13OVL-3026-SM-5IJF1 50-59 years, male 81.3
GTEX-13RTJ-3126-SM-5S2Q4 60-69 years, male 81.2
GTEX-S7SE-2526-SM-2XCDL 50-59 years, male 81.2
GTEX-1IKOH-2826-SM-CNNRC 60-69 years, female 80.9
GTEX-Y111-2826-SM-4TT3O 50-59 years, male 80.6
GTEX-11DXY-3126-SM-5N9BT 60-69 years, male 80.5
GTEX-WWYW-3026-SM-3NB36 50-59 years, female 80.5
GTEX-1269C-3126-SM-5EGI6 60-69 years, female 80.4
GTEX-1GF9W-2726-SM-9JGGW 60-69 years, male 80.3
GTEX-13O3Q-3026-SM-5IJGD 50-59 years, male 80.1
GTEX-ZYY3-3026-SM-5GIEJ 60-69 years, female 79.4
GTEX-183WM-2726-SM-7KFRF 70-79 years, female 79.0
GTEX-11ZTS-3226-SM-5EGID 60-69 years, female 78.4
GTEX-13X6I-2926-SM-5Q5C3 60-69 years, male 78.4
GTEX-13OW6-2926-SM-5KM29 50-59 years, male 78.2
GTEX-13OVJ-2726-SM-5IJG6 50-59 years, female 77.9
GTEX-ZDXO-2926-SM-4WKFM 60-69 years, male 77.6
GTEX-1RQEC-3026-SM-DPRXM 60-69 years, male 77.2
GTEX-15SHU-3026-SM-6LPIB 40-49 years, female 76.7
GTEX-11EI6-2926-SM-5985U 60-69 years, male 76.6
GTEX-ZAB4-2926-SM-57WCV 40-49 years, male 76.4
GTEX-12WSD-3026-SM-5LZU7 60-69 years, female 76.1
GTEX-XMD1-2826-SM-4AT5F 60-69 years, male 76.1
GTEX-T6MN-2526-SM-32PMN 50-59 years, male 75.8
GTEX-13JVG-3226-SM-5IJGJ 60-69 years, male 75.6
GTEX-ZVT3-2926-SM-5GU6M 60-69 years, female 75.1
GTEX-1JMQJ-3126-SM-EV79G 50-59 years, male 74.6
GTEX-139TT-2626-SM-5LZUB 60-69 years, male 74.1
GTEX-13OW7-2926-SM-5MR3Z 50-59 years, male 74.0
GTEX-1KWVE-2226-SM-CXZKN 30-39 years, male 74.0
GTEX-1RNSC-3126-SM-EVR4V 60-69 years, male 73.9
GTEX-14C39-3026-SM-5S2QE 40-49 years, male 73.0
GTEX-14BMV-2926-SM-5TDEE 50-59 years, male 72.6
GTEX-1A3MX-2926-SM-718B7 60-69 years, male 72.5
GTEX-1QEPI-3026-SM-EXOIW 60-69 years, female 72.1
GTEX-13112-2926-SM-5DUWT 50-59 years, male 71.9
GTEX-T2IS-2926-SM-32QPO 20-29 years, female 71.4
GTEX-UTHO-2926-SM-3P5Z9 60-69 years, male 71.3
GTEX-1I1CD-2926-SM-A96SJ 60-69 years, female 71.2
GTEX-12ZZZ-3126-SM-5LZU6 60-69 years, male 70.9
GTEX-Q2AG-2826-SM-2HMJQ 40-49 years, female 70.9
GTEX-QVJO-1325-SM-2S1QX 60-69 years, female 70.3
GTEX-1R46S-3126-SM-DPRZ9 60-69 years, female 70.3
GTEX-13OW8-2926-SM-5L3FV 60-69 years, male 70.0
GTEX-147GR-3126-SM-5S2PM 60-69 years, male 70.0
GTEX-14E6D-2926-SM-664OP 50-59 years, male 70.0
GTEX-13O3O-3026-SM-5KM42 60-69 years, female 69.9
GTEX-17HII-2926-SM-79OMK 50-59 years, male 69.4
GTEX-1A8G7-3026-SM-73KTT 60-69 years, male 69.3
GTEX-1H1CY-3026-SM-9OSW7 60-69 years, female 69.2
GTEX-1H3O1-1826-SM-A96TO 60-69 years, male 69.1
GTEX-1PIIG-2826-SM-DTX7O 30-39 years, male 68.4
GTEX-11DZ1-2926-SM-5A5KI 50-59 years, male 68.3
GTEX-1B8SG-1926-SM-73KUB 50-59 years, male 68.3
GTEX-16Z82-2926-SM-6LPJJ 60-69 years, male 68.2
GTEX-1JMQK-2926-SM-D4P2T 60-69 years, male 68.1
GTEX-R55E-2526-SM-2TC6H 20-29 years, male 68.0
GTEX-ZAK1-2926-SM-5HL9S 50-59 years, female 68.0
GTEX-N7MT-1226-SM-DKPOK 60-69 years, female 68.0
GTEX-11DXW-1026-SM-5H11K 40-49 years, male 67.4
GTEX-11DYG-2926-SM-5H132 60-69 years, male 67.1
GTEX-16YQH-2926-SM-6LPJE 30-39 years, male 67.0
GTEX-14JG1-2926-SM-686ZK 40-49 years, male 66.7
GTEX-1EX96-3126-SM-9JGGC 50-59 years, male 66.4
GTEX-11ZUS-2826-SM-5EQKW 30-39 years, male 66.3
GTEX-1C6WA-3326-SM-7MKGN 60-69 years, male 66.3
GTEX-Z93S-2826-SM-57WBL 50-59 years, male 66.3
GTEX-13N2G-3126-SM-5IJGL 60-69 years, male 66.2
GTEX-T5JC-2326-SM-32PMR 20-29 years, male 66.2
GTEX-1EKGG-3126-SM-9WPO5 60-69 years, male 66.2
GTEX-Y8DK-0726-SM-4TT3S 60-69 years, male 65.7
GTEX-1GN73-3026-SM-7MXV8 60-69 years, male 65.5
GTEX-13FXS-3026-SM-5LZYO 50-59 years, male 65.4
GTEX-1EU9M-2926-SM-793DF 60-69 years, male 65.4
GTEX-1HBPI-2726-SM-9WPPF 50-59 years, male 65.3
GTEX-1LSVX-2826-SM-EVR58 60-69 years, male 65.2
GTEX-1POEN-2726-SM-E9U6B 30-39 years, female 65.1
GTEX-1JMOU-2826-SM-EV79R 60-69 years, female 64.7
GTEX-14PN4-3026-SM-664O4 50-59 years, male 64.5
GTEX-11ONC-3026-SM-5985W 60-69 years, male 64.0
GTEX-13OW5-3126-SM-5MR3Y 60-69 years, male 64.0
GTEX-17JCI-3026-SM-7EWDR 60-69 years, female 63.9
GTEX-1399T-3126-SM-5IJFS 60-69 years, male 63.6
GTEX-13SLX-3226-SM-5YYA6 50-59 years, female 63.6
GTEX-1QP6S-3026-SM-EAZ4N 40-49 years, male 63.2
GTEX-P44G-2526-SM-2I5EK 30-39 years, male 63.0
GTEX-1B933-3026-SM-731DB 50-59 years, female 62.9
GTEX-1GZ4I-2926-SM-9JGGO 50-59 years, male 62.9
GTEX-18465-2926-SM-7KFSE 50-59 years, male 62.8
GTEX-11TTK-2826-SM-5GU5K 60-69 years, female 62.6
GTEX-1P4AB-3026-SM-EXOJS 50-59 years, male 62.6
GTEX-13NYB-3226-SM-5J2ND 40-49 years, male 62.5
GTEX-13OVH-2926-SM-5IJFH 70-79 years, male 62.4
GTEX-1CB4H-3026-SM-79OLX 60-69 years, female 62.3
GTEX-111FC-3326-SM-5GZYV 60-69 years, male 62.2
GTEX-1IDJH-3126-SM-C1YQS 70-79 years, male 62.0
GTEX-1192X-3226-SM-5987D 50-59 years, male 61.9
GTEX-15DYW-3026-SM-7KFRM 60-69 years, female 61.8
GTEX-1B8L1-3226-SM-7P8OX 60-69 years, male 61.6
GTEX-17HG3-2826-SM-7EPGO 30-39 years, female 61.5
GTEX-14ABY-3026-SM-664NE 50-59 years, male 61.2
GTEX-1R9PO-2826-SM-E6CPV 60-69 years, female 61.2
GTEX-145MH-2926-SM-5Q5D2 50-59 years, male 60.9
GTEX-12WSC-2926-SM-5BC5Z 50-59 years, male 60.8
GTEX-1GZHY-3026-SM-7MXVA 50-59 years, female 60.7
GTEX-1C64N-3126-SM-79OO3 50-59 years, male 60.2
GTEX-1I1HK-2726-SM-AHZ2M 60-69 years, male 60.1
GTEX-13X6J-2926-SM-7EPGP 50-59 years, male 59.8
GTEX-1H3NZ-2926-SM-9WPQ8 60-69 years, male 59.3
GTEX-13FHO-2926-SM-5L3ES 60-69 years, male 59.1
GTEX-WHSE-2926-SM-3NMBG 20-29 years, male 59.1
GTEX-117XS-3126-SM-5GIDP 60-69 years, male 59.0
GTEX-131YS-3026-SM-5EGHY 60-69 years, female 58.8
GTEX-13JUV-3026-SM-5K7WX 40-49 years, female 58.8
GTEX-1HSMO-2926-SM-C1YR5 60-69 years, male 58.6
GTEX-1H1DG-2826-SM-9JGHB 70-79 years, male 58.4
GTEX-QVUS-2926-SM-3GIJB 60-69 years, female 58.3
GTEX-1HB9E-3126-SM-AHZ4M 50-59 years, male 58.0
GTEX-1B8SF-3026-SM-731DX 60-69 years, male 57.9
GTEX-1JMPZ-2826-SM-C1YRA 30-39 years, male 57.8
GTEX-147F4-3026-SM-5Q5BJ 50-59 years, male 57.7
GTEX-X261-3126-SM-4PQZC 50-59 years, male 57.5
GTEX-1JMLX-3026-SM-EV79Q 50-59 years, male 57.2
GTEX-14BIN-3326-SM-5Q5E6 50-59 years, female 57.1
GTEX-YJ89-2926-SM-5P9IT 60-69 years, male 57.1
GTEX-1J1OQ-3126-SM-D4P2O 40-49 years, female 57.0
GTEX-NPJ8-2626-SM-2D7W2 40-49 years, male 56.8
GTEX-14ASI-2926-SM-5Q5DG 60-69 years, male 56.7
GTEX-1F75A-2926-SM-7MXVN 50-59 years, male 56.6
GTEX-1IL2V-3026-SM-CYPSA 70-79 years, male 56.6
GTEX-1A8G6-3126-SM-731D8 60-69 years, male 56.5
GTEX-NPJ7-2826-SM-2I3FU 60-69 years, female 56.4
GTEX-1H4P4-2726-SM-9JGGB 50-59 years, male 56.4
GTEX-WZTO-2826-SM-3NM8P 40-49 years, male 55.6
GTEX-13G51-3126-SM-5IJG7 60-69 years, male 55.3
GTEX-1IY9M-3126-SM-AHZ3A 60-69 years, male 55.3
GTEX-13VXU-3026-SM-5LU3K 50-59 years, male 55.2
GTEX-11GSO-3026-SM-5Q5AL 60-69 years, male 55.1
GTEX-11O72-2826-SM-5HL6W 40-49 years, male 55.0
GTEX-OHPN-2626-SM-2I5H1 60-69 years, female 54.9
GTEX-1EMGI-3126-SM-7MXUR 60-69 years, male 54.4
GTEX-TSE9-2926-SM-3DB77 60-69 years, female 54.1
GTEX-1313W-3026-SM-5LZUZ 50-59 years, female 53.8
GTEX-XLM4-2926-SM-4AT59 60-69 years, male 53.4
GTEX-11PRG-2826-SM-5BC54 50-59 years, male 52.5
GTEX-X4EP-3026-SM-3P5YP 60-69 years, female 52.2
GTEX-15G19-2826-SM-6M48K 60-69 years, male 52.0
GTEX-1F6IF-3026-SM-7P8QN 60-69 years, male 51.4
GTEX-14JIY-2326-SM-6AJAJ 60-69 years, male 51.3
GTEX-1LG7Y-3126-SM-EV7AS 50-59 years, male 51.3
GTEX-139TS-3126-SM-5LZWX 60-69 years, male 51.0
GTEX-145MF-2826-SM-7EPGU 50-59 years, male 51.0
GTEX-14C5O-2926-SM-5RQI1 60-69 years, male 51.0
GTEX-11ZVC-3026-SM-59HJM 50-59 years, female 50.9
GTEX-11NUK-3026-SM-5986K 50-59 years, male 50.6
GTEX-13QIC-3026-SM-5LU58 60-69 years, female 50.6
GTEX-145LS-3026-SM-5O99S 60-69 years, female 50.6
GTEX-12ZZX-2826-SM-5BC6K 40-49 years, female 50.5
GTEX-N7MS-2526-SM-2D7W3 60-69 years, male 50.4
GTEX-PVOW-2626-SM-32PL8 40-49 years, male 50.4
GTEX-WL46-2826-SM-3LK81 50-59 years, male 50.3
GTEX-144GL-2926-SM-5O99F 50-59 years, male 50.1
GTEX-QDT8-3026-SM-32PKB 30-39 years, female 50.0
GTEX-12ZZY-2926-SM-5DUXO 60-69 years, male 49.5
GTEX-1F52S-3026-SM-7P8PV 60-69 years, female 49.3
GTEX-14BIM-3126-SM-5Q5C7 60-69 years, female 49.2
GTEX-RU72-2926-SM-2TF66 50-59 years, female 48.2
GTEX-14DAQ-3026-SM-5S2QZ 60-69 years, female 48.1
GTEX-12126-0926-SM-5FQTW 20-29 years, male 47.9
GTEX-ZUA1-2926-SM-59HL3 40-49 years, male 47.9
GTEX-1HBPH-3026-SM-9WPNY 40-49 years, female 47.9
GTEX-14PJM-3026-SM-6LLHM 50-59 years, female 47.5
GTEX-12WSE-2926-SM-5RQJ9 20-29 years, male 47.0
GTEX-131XH-2926-SM-5LZU4 50-59 years, male 47.0
GTEX-13X6K-2826-SM-5O9DS 60-69 years, female 46.9
GTEX-1I1GV-3026-SM-CNNR9 60-69 years, male 46.9
GTEX-17EVQ-2726-SM-7EWDT 70-79 years, male 46.7
GTEX-13FHP-2926-SM-5IJG9 50-59 years, male 46.3
GTEX-ZAJG-3026-SM-5HL92 50-59 years, female 46.2
GTEX-12WSH-3126-SM-5LZW8 50-59 years, male 45.8
GTEX-14JFF-2826-SM-6871Q 60-69 years, male 45.6
GTEX-17F97-2926-SM-7DUEQ 50-59 years, male 45.3
GTEX-145LU-2626-SM-5LU9Z 50-59 years, male 44.5
GTEX-17EVP-2926-SM-793BU 40-49 years, male 44.5
GTEX-1JJEA-2926-SM-C1YSK 60-69 years, male 44.5
GTEX-15EO6-2926-SM-6M48D 50-59 years, male 43.3
GTEX-17HHY-2926-SM-79OJW 50-59 years, male 43.0
GTEX-YFC4-3026-SM-5IFJK 40-49 years, female 42.8
GTEX-X4XX-2926-SM-3NMB1 60-69 years, male 40.7
GTEX-13S7M-3026-SM-5S2QQ 60-69 years, female 40.4
GTEX-1GZ2Q-3026-SM-9JGG3 40-49 years, male 36.7
GTEX-11NV4-2226-SM-5BC4T 60-69 years, male 36.0
GTEX-11OC5-0626-SM-5HL6M 60-69 years, male 35.7
GTEX-RNOR-2226-SM-2TF5O 50-59 years, female 35.6
GTEX-PWO3-1026-SM-2I5F2 60-69 years, female 33.9
Show allShow less

CEREBELLUM - FANTOM5 CAGEi

RNA expression in human tissues obtained through Cap Analysis of Gene Expression (CAGE) generated by the FANTOM5 project are reported as Scaled Tags Per Million.

Max subtype Scaled Tags Per Millioni

Max subtype Scaled Tags Per Million is the value for the subtype with the largest average Scaled Tags Per Million across the subtype samples.

27.1
FANTOM5 sample id Sample description Scaled Tags Per Million
Cerebellum
Scaled Tags Per Million: 27.1
FF:10083-102B2 22-68 years, mixed 34.4
FF:10166-103B4 76 years, female 19.9

CEREBELLUM - Pig RNA-seqi

RNA-seq data obtained from pig brain is reported as nTPM .

Normal distribution across the dataset is visualized with box plots, shown as median and 25th and 75th percentiles. Points are displayed as outliers if they are above or below 1.5 times the interquartile range. nTPM values of the individual samples are presented next to the box plot.
Max subtype nTPMi

Max subtype nTPM is the value for the subtype with the largest average nTPM across the subtype samples.

8.9
Pig sample Sample description nTPM
Cerebellum
nTPM: 8.9
Samples: 4

Max nTPM: 11.4
Min nTPM: 7.7
Sample A Female 11.4
Sample B Female 7.9
Sample C Male 8.5
Sample D Male 7.7

CEREBELLUM - Mouse RNA-seqi

RNA-seq data obtained from mouse brain is reported as nTPM .

Normal distribution across the dataset is visualized with box plots, shown as median and 25th and 75th percentiles. Points are displayed as outliers if they are above or below 1.5 times the interquartile range. nTPM values of the individual samples are presented next to the box plot.
Max subtype nTPMi

Max subtype nTPM is the value for the subtype with the largest average nTPM across the subtype samples.

87.3
Mouse sample Sample description nTPM
Cerebellum
nTPM: 87.3
Samples: 4

Max nTPM: 94.0
Min nTPM: 80.9
Sample A Male 80.9
Sample B Male 94.0
Sample C Female 82.9
Sample D Female 91.4

CEREBELLUM - Allen Mouse ISHi

In situ hybridization (ISH) data generated by the Allen brain atlas from mouse brain is reported as expression energy. For more details about a particular experiment, click on the corresponding Allen experiment ID.

Max subtype Expression energyi

Max subtype Expression energy is the value for the subtype with the largest average Expression energy across the subtype samples.

0.1
Allen experiment id Experiment description Expression energy
Cerebellum
Expression energy: 0.1
71735833 Antisense, RP_051010_03_C07, Mouse strain C57BL/6J (56 days, male) 0.1

Contact

  • NEWS ARTICLES
  • PRESS ROOM

The Project

  • INTRODUCTION
  • ORGANIZATION
  • PUBLICATIONS

The Human Protein Atlas

  • DOWNLOADABLE DATA
  • LICENCE & CITATION
  • HELP & FAQ
The Human Protein Atlas project is funded
by the Knut & Alice Wallenberg Foundation.


contact@proteinatlas.org