We use cookies to enhance the usability of our website. If you continue, we'll assume that you are happy to receive all cookies. More information. Don't show this again.
MT-ND3
HPA
RESOURCES
  • TISSUE
  • BRAIN
  • SINGLE CELL
  • SUBCELLULAR
  • CANCER
  • BLOOD
  • CELL LINE
  • STRUCTURE & INTERACTION
ABOUT
  • INTRODUCTION
  • HISTORY
  • ORGANIZATION
  • PUBLICATIONS
  • ANTIBODY SUBMISSION
  • ANTIBODY AVAILABILITY
  • ACKNOWLEDGMENTS
  • CONTACT
NEWS
  • NEWS ARTICLES
  • PRESS ROOM
LEARN
  • DICTIONARY
  • PROTEIN CLASSES
  • PROTEIN EVIDENCE
  • METHODS
  • EDUCATIONAL VIDEOS
DATA
  • DOWNLOADABLE DATA
  • PUBLICATION DATA
  • RELEASE HISTORY
HELP
  • ANTIBODY VALIDATION
  • ASSAYS & ANNOTATION
  • DISCLAIMER
  • HELP & FAQ
  • PRIVACY STATEMENT
  • LICENCE & CITATION
Fields »
Search result

Field
Term
Gene name
Class
Subclass
Class
Keyword
Chromosome
External id
Tissue
Cell type
Expression
Antibody panel
Tissue
Main location
Patient ID
Annotation
Tissue
Category
Tau score
Cluster
Reliability
Brain region
Category
Tau score
Brain region
Category
Tau score
Brain region
Category
Tau score
Cluster
Reliability
Tissue
Cell type
Enrichment
Cell type
Category
Tau score
Cell type
Category
Tau score
Cell type
Category
Tau score
Cell lineage
Category
Tau score
Cluster
Cluster
Location
Searches
Location
Cell line
Class
Type
Phase
Reliability
Cancer
Prognosis
Cancer
Category
Cancer
Category
Tau score
Cluster
Variants
Interacting gene (ensg_id)
Type
Number of interactions
Pathway
Category
Score
Score
Score
Validation
Validation
Validation
Validation
Antibodies
Data type
Column


  • SUMMARY

  • TISSUE

  • BRAIN

  • SINGLE CELL

  • SUBCELL

  • CANCER

  • BLOOD

  • CELL LINE

  • STRUCT & INT

  • MT-ND3
TISSUE PRIMARY DATA SKIN Show tissue menu
ADIPOSE TISSUE ADRENAL GLAND AMYGDALA APPENDIX BASAL GANGLIA BONE MARROW BREAST BRONCHUS CEREBELLUM CEREBRAL CORTEX CERVIX CHOROID PLEXUS COLON DUODENUM
ENDOMETRIUM EPIDIDYMIS ESOPHAGUS FALLOPIAN TUBE GALLBLADDER HEART MUSCLE HIPPOCAMPAL FORMATION HYPOTHALAMUS KIDNEY LIVER LUNG LYMPH NODE MIDBRAIN NASOPHARYNX
ORAL MUCOSA OVARY PANCREAS PARATHYROID GLAND PITUITARY GLAND PLACENTA PROSTATE RECTUM RETINA SALIVARY GLAND SEMINAL VESICLE SKELETAL MUSCLE SKIN SMALL INTESTINE
SMOOTH MUSCLE SOFT TISSUE SPINAL CORD SPLEEN STOMACH TESTIS THYMUS THYROID GLAND TONGUE TONSIL URINARY BLADDER VAGINA
ANTIBODIES
AND
VALIDATION
Dictionary
Skin
Tissue proteome
Skin
SKIN - Expression summary
Protein expression
Skini

On the top, protein expression in current human tissue, based on all annotated cell types, is reported with the units not detected (n), low (l), medium (m) and high (h). Underneath, protein expression in each annotated cell type are reported using the same units.

Protein expression data is based on knowledge-based annotation. For genes where more than one antibody has been used, a collective score is set.

If knowledge-based annotation could not be performed for a gene, no data is displayed here. View antibody staining data further down this page.

h
m
l
n
Cells in basal layer: High
Cells in corneal layer: Not detected
Cells in granular layer: Not detected
Cells in spinous layer: Medium
Endothelial cells: Medium
Extracellular matrix: Not detected
Fibrohistiocytic cells: Not detected
Langerhans cells: Medium
Lymphocytes: Medium
Melanocytes: High
Vascular mural cells: Not detected
RNA expressioni

A summary of mRNA expression data available for current tissue based on several datasets. The mRNA expression levels in human tissues are based on RNA-seq data generated by the Human Protein Atlas (HPA), Genotype-Tissue Expression (GTEx) portal and CAGE data generated by the FANTOM5 consortium. Consensus normalized expression levels for human tissues was created by combining the data from HPA and GTEx datasets.

The mRNA expression levels in pig are based on RNA-seq data generated by the Human Protein Atlas (HPA), and for mouse, HPA data and in situ hybridization generated by the Allen brain atlas are reported.

Scroll down to view mRNA expression data in more detail.
Consensus:16359.9 nTPM
HPA:7417.1 nTPM
GTEx:16359.9 nTPM

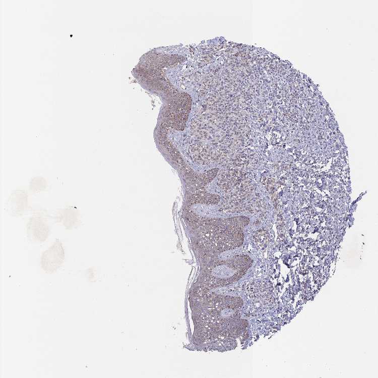
SKIN 1 - Antibody stainingi

Antibody staining in the annotated cell types in the current human tissue is reported as not detected, low, medium, or high, based on conventional immunohistochemistry profiling in selected tissues. This score is based on the combination of the staining intensity and fraction of stained cells.

Each image is clickable and will lead to virtual microscopy that enables deeper exploration of all samples and also displays staining intensity scores, fraction scores and subcellular localization as well as patient and tissue information for each sample.

Antibody HPA063296
Cells in basal layer Medium
Cells in corneal layer Not detected
Cells in granular layer Not detected
Cells in spinous layer Low
Endothelial cells Not detected
Extracellular matrix Not detected
Fibrohistiocytic cells Not detected
Langerhans cells Not detected
Lymphocytes Medium
Melanocytes Medium
Vascular mural cells Not detected


SKIN 2 - Antibody stainingi

Antibody staining in the annotated cell types in the current human tissue is reported as not detected, low, medium, or high, based on conventional immunohistochemistry profiling in selected tissues. This score is based on the combination of the staining intensity and fraction of stained cells.

Each image is clickable and will lead to virtual microscopy that enables deeper exploration of all samples and also displays staining intensity scores, fraction scores and subcellular localization as well as patient and tissue information for each sample.

Antibody HPA063296
Cells in basal layer High
Cells in corneal layer Not detected
Cells in granular layer Not detected
Cells in spinous layer Medium
Endothelial cells Medium
Extracellular matrix Not detected
Fibrohistiocytic cells Not detected
Langerhans cells Medium
Lymphocytes Medium
Melanocytes High
Vascular mural cells Not detected

SKIN - HPA RNA-seqi

The RNA-seq details section shows detailed information about the individual samples used for the transcript profiling and results of the RNA-seq analysis.

Information about each individual sample is listed below, including gender, age, a tissue section image and estimated fractions of cell types. nTPM (normalized transcripts per million) values give a quantification of the gene abundance which is comparable between different genes and samples.
Average nTPMi

Max subtype nTPM is the value for the subtype with the largest average nTPM across the subtype samples.

7417.1
overview
Female, age 34
Skin sample 225
nTPM: 6293.3
Cell types%
Keratinocytes:
60

Other cell types:
40

overview
Female, age 30
Skin sample 226
nTPM: 5839.6
Cell types%
Keratinocytes:
55

Other cell types:
45

N/A
Male, age 57
Skin sample 227
nTPM: 10118.4

SKIN - GTEx RNA-seqi

RNA-Seq data generated by the Genotype-Tissue Expression (GTEx) project from human tissues is reported as mean nTPM. More information can be found on the GTEx portal.

Distribution across the dataset is visualized with box plots, shown as median and 25th and 75th percentiles. Points are displayed as outliers if they are above or below 1.5 times the interquartile range. nTPM values of the individual samples are presented next to the box plot.
Max subtype nTPMi

Max subtype nTPM is the value for the subtype with the largest average nTPM across the subtype samples.

16359.9
GTEx sample id Sample description nTPM
Skin - Not Sun Exposed (Suprapubic)
Average nTPM: 16359.9
Samples: 604

Max nTPM: 54068.0
Min nTPM: 3443.7
Std nTPM: 7436.6
Median nTPM: 14794.9
GTEX-1CAMS-2226-SM-7PBXQ 40-49 years, female 54068.0
GTEX-ZTX8-1326-SM-4YCEL 20-29 years, male 45019.1
GTEX-1LSNM-0826-SM-DIPG8 50-59 years, male 44657.4
GTEX-Y114-2126-SM-4TT8B 50-59 years, female 44470.5
GTEX-1399S-0126-SM-5IJCF 30-39 years, female 43684.5
GTEX-1K2DA-1026-SM-CGQGF 50-59 years, male 42922.1
GTEX-1MCYP-0526-SM-E9U6Q 20-29 years, female 42448.6
GTEX-1LVAN-0626-SM-CNPOQ 50-59 years, female 42043.9
GTEX-WFG7-2026-SM-5SI7P 20-29 years, male 41323.1
GTEX-XBEW-1126-SM-4QARW 40-49 years, male 40805.2
GTEX-16MTA-0926-SM-6M47Z 50-59 years, male 38295.9
GTEX-15RIG-0726-SM-7KUM7 40-49 years, male 38161.6
GTEX-1399R-1326-SM-5PNYS 30-39 years, male 38011.4
GTEX-ZU9S-1826-SM-5NQ9E 30-39 years, male 37459.0
GTEX-Y3I4-1726-SM-4TT89 50-59 years, male 36602.8
GTEX-1CAMR-1326-SM-7PC1F 20-29 years, male 35790.5
GTEX-14PJ3-1126-SM-5ZZVX 50-59 years, male 35570.4
GTEX-11P7K-1126-SM-5HL4L 30-39 years, male 35221.2
GTEX-ZUA1-2626-SM-5NQ92 40-49 years, male 35216.1
GTEX-1RMOY-1326-SM-E9TIH 50-59 years, male 34863.2
GTEX-11PRG-0726-SM-5EGL1 50-59 years, male 34232.8
GTEX-W5X1-2526-SM-3GILC 40-49 years, female 34171.6
GTEX-ZVP2-0326-SM-57WBP 50-59 years, male 34166.8
GTEX-ZPCL-1126-SM-4WWFE 60-69 years, female 34130.4
GTEX-1CAMQ-1326-SM-7P8RV 40-49 years, male 33377.2
GTEX-12WSJ-1126-SM-5LZVJ 40-49 years, female 33251.2
GTEX-11ZUS-2626-SM-5FQUR 30-39 years, male 32958.4
GTEX-17F97-2626-SM-7IGM5 50-59 years, male 32707.2
GTEX-1HGF4-0126-SM-CNPPX 60-69 years, male 32632.1
GTEX-1LG7Z-1626-SM-CXKYR 30-39 years, male 32403.1
GTEX-Y111-0626-SM-4SOIT 50-59 years, male 32175.0
GTEX-18D9U-0126-SM-731BM 40-49 years, male 31825.1
GTEX-1EMGI-2326-SM-7PBYA 60-69 years, male 31689.1
GTEX-1JMPY-0226-SM-CKZOK 30-39 years, male 31660.3
GTEX-117YX-1926-SM-5GIEC 50-59 years, male 31642.2
GTEX-ZDTT-0426-SM-4WKFL 60-69 years, male 31307.0
GTEX-Y5V6-2326-SM-4VDSA 60-69 years, male 30992.0
GTEX-1S3DN-2126-SM-E9TIN 50-59 years, male 30641.5
GTEX-14PK6-0226-SM-62LF5 70-79 years, female 30559.6
GTEX-ZVZP-1226-SM-5GID7 50-59 years, male 30346.0
GTEX-1HBPN-0126-SM-CGQEF 50-59 years, male 29748.8
GTEX-1LKK1-2626-SM-DKPQE 50-59 years, female 29495.7
GTEX-12BJ1-0926-SM-5EQ62 60-69 years, male 29438.6
GTEX-YB5K-2026-SM-4VDT3 40-49 years, female 29244.9
GTEX-WEY5-2326-SM-3GIKK 40-49 years, female 28256.8
GTEX-1HCUA-0826-SM-ADEHM 50-59 years, female 28183.8
GTEX-Y9LG-1126-SM-4VBQ7 30-39 years, male 28118.5
GTEX-11NSD-0626-SM-5A5LU 20-29 years, male 27895.6
GTEX-111CU-1126-SM-5EGIM 50-59 years, male 27174.9
GTEX-132AR-0326-SM-5KM2C 50-59 years, female 26704.6
GTEX-1OJC3-1226-SM-DTXER 20-29 years, male 26581.0
GTEX-1GPI7-1826-SM-9KNU1 20-29 years, male 26570.3
GTEX-145ME-1726-SM-5Q5EU 40-49 years, female 26562.2
GTEX-ZP4G-1426-SM-4WWCL 20-29 years, female 26453.9
GTEX-15CHR-1126-SM-7EWF4 50-59 years, male 26420.5
GTEX-ZDYS-2426-SM-4WKGI 50-59 years, male 26346.2
GTEX-1IKOE-1426-SM-CE6T7 30-39 years, female 26234.9
GTEX-1PPH8-0126-SM-EWRN8 20-29 years, male 26085.4
GTEX-139TS-2126-SM-5K7XC 60-69 years, male 26083.0
GTEX-17HHE-1326-SM-7EWDZ 50-59 years, male 26047.3
GTEX-ZVE1-0726-SM-51MRN 50-59 years, female 25841.2
GTEX-XPVG-2126-SM-4B667 50-59 years, male 25725.0
GTEX-11TT1-1826-SM-5EQLV 20-29 years, male 25595.2
GTEX-ZPU1-1126-SM-4YCF3 40-49 years, male 25465.2
GTEX-ZYFG-1526-SM-5GZYM 60-69 years, female 25420.1
GTEX-1313W-0626-SM-5EQ4H 50-59 years, female 25414.9
GTEX-Y8LW-1526-SM-5IFHL 50-59 years, female 25365.6
GTEX-1GMR2-0826-SM-7PC3V 50-59 years, male 25276.6
GTEX-XBEC-0726-SM-4QARZ 50-59 years, male 25021.9
GTEX-ZA64-1026-SM-5HL8R 20-29 years, male 24857.8
GTEX-147F4-0726-SM-5TDDD 50-59 years, male 24822.1
GTEX-11DXZ-2026-SM-5987S 50-59 years, male 24765.6
GTEX-13RTJ-0126-SM-5S2NN 60-69 years, male 24699.1
GTEX-15RIE-1926-SM-7KUKJ 60-69 years, male 24292.4
GTEX-WI4N-2726-SM-3LK7Y 40-49 years, female 24274.5
GTEX-1LBAC-0826-SM-CY8IJ 20-29 years, male 24266.7
GTEX-111FC-2526-SM-5GZXU 60-69 years, male 24249.7
GTEX-UPK5-0426-SM-3GAEK 40-49 years, male 24221.2
GTEX-13O61-1426-SM-5KM3D 60-69 years, male 24082.6
GTEX-1B97I-0626-SM-73KUZ 40-49 years, male 23732.4
GTEX-17F9E-2326-SM-79OKD 50-59 years, male 23550.4
GTEX-131XH-0126-SM-5LZUY 50-59 years, male 23494.5
GTEX-11P81-2226-SM-5PNYI 30-39 years, female 23478.3
GTEX-1J1R8-2026-SM-CL53Y 40-49 years, male 23412.1
GTEX-14JG1-1526-SM-5YY9X 40-49 years, male 23311.7
GTEX-YFCO-1226-SM-5LUAT 40-49 years, male 23052.4
GTEX-13W3W-0726-SM-5IJDQ 60-69 years, female 23026.9
GTEX-11P82-1426-SM-DTXFY 20-29 years, male 22869.8
GTEX-1LGOU-1326-SM-D3L8M 20-29 years, female 22785.1
GTEX-1JN6P-2926-SM-CL54D 60-69 years, male 22734.8
GTEX-12WSA-0426-SM-5EQ5X 60-69 years, male 22672.5
GTEX-ZF2S-1626-SM-57WES 50-59 years, female 22612.8
GTEX-148VJ-0626-SM-5LUAW 70-79 years, male 22602.9
GTEX-1JKYN-0826-SM-ARU8S 30-39 years, male 22545.2
GTEX-12WSH-1526-SM-5BC5W 50-59 years, male 22428.6
GTEX-V1D1-2026-SM-3GAF4 50-59 years, male 22293.2
GTEX-11DXY-0126-SM-5H11Q 60-69 years, male 22236.5
GTEX-14LLW-2626-SM-62LDZ 70-79 years, female 22183.7
GTEX-XQ3S-1426-SM-4BOPR 20-29 years, male 22172.0
GTEX-1F6I4-2326-SM-7RHGL 60-69 years, male 22099.4
GTEX-14PJO-2526-SM-6AJBQ 60-69 years, male 22025.0
GTEX-11DYG-1526-SM-5A5JS 60-69 years, male 22018.3
GTEX-1H1E6-0426-SM-9WYUS 30-39 years, male 21928.8
GTEX-1GZ4H-0526-SM-9KNU9 50-59 years, female 21898.2
GTEX-1HB9E-0126-SM-CM2S5 50-59 years, male 21889.7
GTEX-1HKZK-0726-SM-ACKW2 40-49 years, male 21835.4
GTEX-1C475-1326-SM-7SB73 40-49 years, female 21704.7
GTEX-17HII-1426-SM-7EPGG 50-59 years, male 21626.1
GTEX-11NUK-2726-SM-5A5MC 50-59 years, male 21624.8
GTEX-16AAH-0626-SM-793C9 50-59 years, male 21553.4
GTEX-14E6E-0526-SM-793DN 30-39 years, male 21481.5
GTEX-1JMQI-1726-SM-ARL93 50-59 years, male 21350.6
GTEX-11ZTT-2126-SM-5CVLO 60-69 years, female 21300.0
GTEX-1AX8Z-0726-SM-73KTS 60-69 years, male 21130.6
GTEX-ZDXO-3126-SM-5IJDF 60-69 years, male 21087.9
GTEX-1A3MV-1826-SM-731CD 30-39 years, male 21059.9
GTEX-ZTSS-1426-SM-5985P 40-49 years, male 21020.5
GTEX-ZT9W-1126-SM-57WDR 50-59 years, male 20854.2
GTEX-XUW1-0926-SM-4BONX 50-59 years, female 20745.1
GTEX-ZLFU-1826-SM-4WWBV 40-49 years, male 20575.8
GTEX-1JJEA-1826-SM-ARU8P 60-69 years, male 20547.4
GTEX-1RAZQ-1326-SM-E9TK6 30-39 years, male 20515.1
GTEX-1KAFJ-0126-SM-DIPEK 50-59 years, male 20400.8
GTEX-ZT9X-1526-SM-5DUXD 40-49 years, male 20335.0
GTEX-15G1A-1626-SM-7KUKN 30-39 years, male 20310.6
GTEX-13FTX-1526-SM-5K7VJ 20-29 years, female 20301.5
GTEX-139YR-1026-SM-5LZYN 50-59 years, male 20285.7
GTEX-1J1OQ-0126-SM-D4P2N 40-49 years, female 20281.0
GTEX-13FH7-1126-SM-5K7UG 50-59 years, female 20277.7
GTEX-1I1HK-2326-SM-CKZOH 60-69 years, male 20274.4
GTEX-1H3O1-1326-SM-9MQLD 60-69 years, male 20173.0
GTEX-1AYD5-2626-SM-7PBXY 50-59 years, male 20068.6
GTEX-147GR-2426-SM-5ZZWQ 60-69 years, male 20039.8
GTEX-18465-2826-SM-7LT9J 50-59 years, male 20016.0
GTEX-11ZU8-0126-SM-5EQ58 60-69 years, male 19995.6
GTEX-1LG7Y-2526-SM-EWRO7 50-59 years, male 19960.7
GTEX-17F96-0126-SM-7EWDU 70-79 years, male 19912.9
GTEX-1HSGN-0826-SM-ACKW3 40-49 years, female 19912.2
GTEX-1F88F-0126-SM-9WYSZ 60-69 years, female 19855.3
GTEX-XOT4-0626-SM-4B66L 60-69 years, female 19777.7
GTEX-1J8EW-2726-SM-CY8HR 60-69 years, female 19741.3
GTEX-WHSB-1326-SM-3LK6W 50-59 years, male 19675.1
GTEX-1H1DE-1326-SM-9KNUG 20-29 years, male 19644.1
GTEX-145LT-0526-SM-5LUB2 40-49 years, male 19592.8
GTEX-ZDTS-0826-SM-4WKHL 60-69 years, male 19591.3
GTEX-1ICG6-1226-SM-A9SLN 70-79 years, female 19557.5
GTEX-14DAR-1226-SM-73KYV 50-59 years, male 19451.2
GTEX-ZC5H-1526-SM-5HL9Y 40-49 years, female 19339.4
GTEX-131XG-0326-SM-5L3DX 50-59 years, female 19279.9
GTEX-14C39-1726-SM-5RQIL 40-49 years, male 19262.0
GTEX-1L5NE-1126-SM-D3L9P 50-59 years, male 19184.5
GTEX-1R9PM-1926-SM-EVR3O 20-29 years, male 19176.7
GTEX-17EVP-2626-SM-7IGMA 40-49 years, male 19148.9
GTEX-1QP9N-1226-SM-E76QN 30-39 years, male 19148.9
GTEX-WXYG-2026-SM-4E3IY 50-59 years, female 19137.2
GTEX-1192X-2726-SM-5N9DN 50-59 years, male 19107.6
GTEX-18QFQ-1826-SM-72D52 30-39 years, male 19106.9
GTEX-1JK1U-0226-SM-ARZMX 60-69 years, male 19090.1
GTEX-13JVG-0726-SM-5KM16 60-69 years, male 19081.2
GTEX-Y8E4-2026-SM-5IFJB 40-49 years, male 18996.3
GTEX-1399Q-2326-SM-5KM2X 40-49 years, male 18926.7
GTEX-1399U-1126-SM-5L3DB 50-59 years, female 18906.8
GTEX-1PIGE-1826-SM-E8VOU 20-29 years, male 18895.3
GTEX-13SLX-2226-SM-62LEP 50-59 years, female 18873.1
GTEX-VJYA-1526-SM-3GIJV 60-69 years, male 18864.4
GTEX-1R9PN-0426-SM-DTXDT 40-49 years, female 18855.3
GTEX-131XF-2626-SM-5EQ6K 60-69 years, male 18854.3
GTEX-14PKV-1126-SM-6LLJ1 20-29 years, female 18835.3
GTEX-1CB4E-0926-SM-7EPHT 60-69 years, male 18829.5
GTEX-1C6WA-2626-SM-7MKGM 60-69 years, male 18804.5
GTEX-16MT9-0126-SM-7EPI8 60-69 years, female 18772.2
GTEX-1HCU6-2526-SM-ADEHL 60-69 years, female 18763.6
GTEX-1I4MK-0126-SM-CY8G6 50-59 years, female 18739.3
GTEX-15RJE-2826-SM-7KUM9 40-49 years, male 18622.1
GTEX-ZAK1-0626-SM-5HL8E 50-59 years, female 18594.7
GTEX-WFG8-2126-SM-3GIKQ 20-29 years, male 18564.4
GTEX-VUSG-2326-SM-4KL1U 50-59 years, male 18504.4
GTEX-1C64O-1326-SM-7MGWR 60-69 years, male 18496.9
GTEX-14ICL-1626-SM-5YYAO 30-39 years, male 18412.2
GTEX-1GTWX-2026-SM-9YFLM 60-69 years, male 18381.5
GTEX-13NYC-0126-SM-5L3F4 60-69 years, male 18378.8
GTEX-1C64N-2626-SM-7PC2N 50-59 years, male 18367.8
GTEX-1C2JI-1026-SM-73KY1 50-59 years, male 18363.2
GTEX-111VG-1626-SM-5EGIO 60-69 years, male 18277.5
GTEX-X8HC-0626-SM-4E3HQ 50-59 years, female 18277.1
GTEX-13PL6-1126-SM-5L3IE 40-49 years, female 18268.3
GTEX-139TU-0726-SM-5L3EK 60-69 years, male 18246.5
GTEX-14PII-0726-SM-6EU2B 60-69 years, male 18236.8
GTEX-14BMU-1226-SM-5S2OR 20-29 years, female 18194.0
GTEX-14PHY-1226-SM-5ZZWK 60-69 years, female 18189.6
GTEX-146FQ-2126-SM-5RQHU 30-39 years, male 18175.2
GTEX-16Z82-2626-SM-7KULU 60-69 years, male 18174.5
GTEX-ZVT2-0126-SM-5GIDQ 50-59 years, female 18148.1
GTEX-Y3IK-1626-SM-4YCF5 50-59 years, female 18142.1
GTEX-14753-0726-SM-5QGQO 60-69 years, male 18132.5
GTEX-13N2G-0226-SM-5K7VF 60-69 years, male 18110.5
GTEX-13U4I-2226-SM-5LU5H 40-49 years, female 18072.2
GTEX-XXEK-1626-SM-4BRUZ 50-59 years, male 17902.7
GTEX-17MFQ-1526-SM-7KFRR 20-29 years, male 17841.7
GTEX-1211K-1526-SM-5FQU4 60-69 years, female 17791.2
GTEX-1JMLX-0626-SM-ARL8T 50-59 years, male 17758.7
GTEX-13OVH-0526-SM-5L3E6 70-79 years, male 17688.1
GTEX-ZAB4-2126-SM-5HL8U 40-49 years, male 17661.5
GTEX-14PJN-1826-SM-6AJ98 30-39 years, male 17647.0
GTEX-1LVA9-2626-SM-EVYD4 50-59 years, male 17549.6
GTEX-17F9Y-0126-SM-79OKX 70-79 years, female 17497.6
GTEX-1H11D-1826-SM-9QEHM 40-49 years, male 17350.4
GTEX-1IDJF-2026-SM-CL53V 20-29 years, male 17344.5
GTEX-YEC4-1826-SM-4W1YP 40-49 years, male 17338.9
GTEX-11OF3-0126-SM-5PNYF 60-69 years, male 17318.3
GTEX-1CB4I-0126-SM-7RHGG 50-59 years, male 17294.8
GTEX-15CHQ-0326-SM-69LQD 60-69 years, male 17283.1
GTEX-1IY9M-2826-SM-ARU8H 60-69 years, male 17244.7
GTEX-XV7Q-1826-SM-4BRUV 40-49 years, female 17164.2
GTEX-1QW4Y-1126-SM-DTXE3 30-39 years, male 17160.7
GTEX-13SLW-0626-SM-5Q5ER 70-79 years, male 17140.7
GTEX-13OVK-1426-SM-6PAN7 40-49 years, male 17110.0
GTEX-1JJ6O-2726-SM-CNPOG 60-69 years, male 17107.6
GTEX-ZXG5-2126-SM-59HKD 60-69 years, male 17089.5
GTEX-111YS-1526-SM-5GZYW 60-69 years, male 17069.5
GTEX-147F3-1726-SM-5SIAW 50-59 years, female 17035.5
GTEX-YEC3-1326-SM-DO92X 50-59 years, male 17027.0
GTEX-1F75W-2726-SM-7SB8H 60-69 years, male 17001.2
GTEX-11EM3-1226-SM-5N9DD 20-29 years, female 16956.9
GTEX-12584-0726-SM-5FQTK 40-49 years, male 16874.4
GTEX-1269C-0126-SM-5EQ5L 60-69 years, female 16831.4
GTEX-14JFF-0626-SM-5ZZVT 60-69 years, male 16825.7
GTEX-ZYT6-2326-SM-5GZY3 30-39 years, male 16817.2
GTEX-ZF3C-0626-SM-DO92O 50-59 years, female 16777.0
GTEX-1K9T9-1526-SM-DIPFR 50-59 years, female 16713.8
GTEX-145MG-1526-SM-5Q5EM 50-59 years, male 16711.6
GTEX-WY7C-2126-SM-3NB2R 50-59 years, male 16638.4
GTEX-1IDJD-2326-SM-ACKWX 30-39 years, male 16625.1
GTEX-13OVJ-0826-SM-5J1OK 50-59 years, female 16616.0
GTEX-1122O-1026-SM-9WYSF 60-69 years, female 16615.3
GTEX-XAJ8-1426-SM-47JYM 40-49 years, male 16611.5
GTEX-1JMQJ-0826-SM-CNPP7 50-59 years, male 16581.6
GTEX-1H23P-0626-SM-9WG6T 60-69 years, male 16568.0
GTEX-ZZPU-0826-SM-5GZX5 50-59 years, female 16561.9
GTEX-12WSK-2126-SM-5CVNC 40-49 years, female 16545.4
GTEX-13OVG-1626-SM-5J1NF 60-69 years, male 16510.0
GTEX-1I1GT-1026-SM-ARZLV 60-69 years, female 16476.7
GTEX-1O9I2-0226-SM-EYYXD 50-59 years, male 16450.7
GTEX-1F52S-2926-SM-7MKGA 60-69 years, female 16386.8
GTEX-14DAQ-0626-SM-793DS 60-69 years, female 16291.1
GTEX-ZYY3-2926-SM-5GIEB 60-69 years, female 16289.5
GTEX-18A6Q-0626-SM-7KFRP 60-69 years, male 16263.4
GTEX-145MN-1526-SM-5SI9T 30-39 years, male 16205.9
GTEX-1212Z-0126-SM-59HK4 60-69 years, male 16190.7
GTEX-11GS4-0226-SM-5HL77 60-69 years, male 16186.6
GTEX-12126-0826-SM-5FQTZ 20-29 years, male 16182.7
GTEX-ZE9C-2526-SM-5IJDR 60-69 years, male 16158.5
GTEX-16BQI-1326-SM-6M486 30-39 years, female 16110.9
GTEX-1IDJU-1726-SM-CMKHU 60-69 years, female 16093.5
GTEX-1CB4F-1026-SM-7DUH1 60-69 years, male 16091.3
GTEX-ZYFD-0626-SM-5E44E 50-59 years, male 16090.1
GTEX-12696-0126-SM-5EQ4L 60-69 years, male 16049.8
GTEX-14PJ4-0226-SM-5YY92 60-69 years, male 16001.7
GTEX-ZF29-0926-SM-4WKFZ 60-69 years, female 15946.2
GTEX-1E2YA-2126-SM-7MXUO 50-59 years, male 15942.3
GTEX-Z93S-1626-SM-5CVMB 50-59 years, male 15839.0
GTEX-13G51-1826-SM-5KLZH 60-69 years, male 15778.5
GTEX-YECK-0326-SM-4W1YS 60-69 years, male 15771.4
GTEX-14PHX-2226-SM-6EU2P 50-59 years, male 15751.4
GTEX-1I1GU-0926-SM-ACKVS 40-49 years, male 15724.8
GTEX-15G19-2426-SM-7KUMR 60-69 years, male 15716.4
GTEX-1GN1V-2826-SM-9JGIA 60-69 years, male 15704.7
GTEX-ZE7O-2726-SM-51MT5 50-59 years, female 15638.1
GTEX-11VI4-1126-SM-5EQMD 40-49 years, female 15560.1
GTEX-11DXW-0826-SM-5H118 40-49 years, male 15512.5
GTEX-183WM-0326-SM-72D5V 70-79 years, female 15498.8
GTEX-1HCU9-0426-SM-9WYSD 20-29 years, male 15483.2
GTEX-ZY6K-1426-SM-5GZX2 50-59 years, male 15478.9
GTEX-1F75B-0726-SM-7PC3R 50-59 years, male 15467.1
GTEX-14E1K-2026-SM-7DUEI 50-59 years, male 15456.5
GTEX-1IDJH-0126-SM-D3L92 70-79 years, male 15426.7
GTEX-12WSF-1626-SM-7KUG5 70-79 years, male 15409.1
GTEX-X5EB-1926-SM-4E3IW 40-49 years, male 15398.5
GTEX-XK95-0226-SM-4AT58 40-49 years, male 15356.7
GTEX-144GO-2026-SM-5O99P 60-69 years, male 15331.9
GTEX-1LSVX-2526-SM-DIPEU 60-69 years, male 15290.5
GTEX-Y5LM-0926-SM-6LLJG 40-49 years, female 15253.6
GTEX-139UW-0326-SM-5J1ML 60-69 years, male 15238.6
GTEX-15DYW-2726-SM-6EU2I 60-69 years, female 15183.1
GTEX-1B8KE-1126-SM-7EPHI 50-59 years, male 15163.2
GTEX-1KANA-1326-SM-DIPFA 20-29 years, male 15093.7
GTEX-13112-0126-SM-5P9IU 50-59 years, male 15089.6
GTEX-13FTW-0326-SM-5K7UW 40-49 years, male 15068.3
GTEX-12ZZY-0726-SM-5EQ66 60-69 years, male 15016.6
GTEX-13FTY-2126-SM-5IFFB 40-49 years, female 15009.0
GTEX-1S831-1826-SM-EWROF 20-29 years, male 15001.5
GTEX-WH7G-2026-SM-3NMBL 40-49 years, male 14965.9
GTEX-145MH-2826-SM-5RQJF 50-59 years, male 14960.4
GTEX-11DXX-2126-SM-5PNYR 60-69 years, female 14959.1
GTEX-16XZZ-0726-SM-7KUF2 60-69 years, male 14920.0
GTEX-12WSM-1926-SM-5BC65 60-69 years, male 14906.4
GTEX-ZYW4-0626-SM-59HJR 60-69 years, male 14883.1
GTEX-1IL2V-1926-SM-B2LW8 70-79 years, male 14871.4
GTEX-13X6H-0926-SM-5SIB2 50-59 years, female 14862.1
GTEX-WHPG-2626-SM-3NMBR 50-59 years, male 14859.0
GTEX-13IVO-0726-SM-5LZYV 70-79 years, male 14801.3
GTEX-1H1DG-2426-SM-9QEHJ 70-79 years, male 14796.5
GTEX-1HBPM-0726-SM-9YFL7 60-69 years, female 14793.4
GTEX-1HR98-2226-SM-ADEI2 60-69 years, male 14731.6
GTEX-13X6I-1826-SM-5SIAO 60-69 years, male 14696.7
GTEX-14ABY-2026-SM-62LDL 50-59 years, male 14661.7
GTEX-1N2DV-1526-SM-DTXEP 40-49 years, male 14646.9
GTEX-11DZ1-2426-SM-5GZZX 50-59 years, male 14621.1
GTEX-14A5H-0826-SM-5QGPJ 60-69 years, male 14569.2
GTEX-1B996-0426-SM-7EWF8 60-69 years, male 14550.8
GTEX-13NZ9-2626-SM-5L3FK 50-59 years, male 14538.0
GTEX-1IOXB-2726-SM-CM2RI 50-59 years, male 14529.5
GTEX-13VXU-0626-SM-5L3F9 50-59 years, male 14526.4
GTEX-11EQ8-0926-SM-5H12V 60-69 years, male 14487.7
GTEX-1497J-0226-SM-5QGPU 60-69 years, male 14477.5
GTEX-1IDJE-1426-SM-ADEIW 50-59 years, female 14451.1
GTEX-1AMEY-0826-SM-72D65 30-39 years, female 14445.6
GTEX-ZYVF-0926-SM-5E44J 50-59 years, female 14432.8
GTEX-13N11-2326-SM-5IJBF 50-59 years, female 14426.0
GTEX-XQ8I-0926-SM-4BOOF 50-59 years, male 14409.4
GTEX-1NSGN-0726-SM-DTXEF 50-59 years, male 14407.6
GTEX-ZLV1-1526-SM-DO91J 60-69 years, female 14321.5
GTEX-13FLV-0126-SM-5K7WT 50-59 years, male 14296.7
GTEX-15RJ7-2126-SM-6PAMD 40-49 years, male 14290.5
GTEX-1QPFJ-1926-SM-EVYBD 30-39 years, female 14289.9
GTEX-ZYFC-0426-SM-5GICQ 50-59 years, male 14270.4
GTEX-1F5PK-2226-SM-7SB6N 50-59 years, male 14270.4
GTEX-11GSP-2326-SM-5HL63 60-69 years, female 14252.3
GTEX-1LVAO-2726-SM-E9TJ8 60-69 years, male 14244.7
GTEX-1I19N-0126-SM-CYPSF 70-79 years, male 14235.2
GTEX-13JUV-2026-SM-5K7UA 40-49 years, female 14204.2
GTEX-X585-2426-SM-46MW2 50-59 years, male 14187.1
GTEX-1GN73-0726-SM-7P8TJ 60-69 years, male 14103.8
GTEX-15DDE-2926-SM-6LLJ3 50-59 years, female 14005.6
GTEX-13OVL-0126-SM-5L3GJ 50-59 years, male 13999.6
GTEX-18D9A-1426-SM-7LT8M 30-39 years, female 13978.0
GTEX-1H3VE-0726-SM-9YFL5 40-49 years, male 13919.6
GTEX-16MT8-2926-SM-7DUFO 60-69 years, female 13867.6
GTEX-1RB15-1326-SM-E76Q9 60-69 years, male 13860.7
GTEX-12WSL-2026-SM-5GCML 50-59 years, male 13762.2
GTEX-13PVQ-0626-SM-5LU47 50-59 years, male 13762.0
GTEX-14PJ6-2626-SM-6EU2T 60-69 years, female 13718.2
GTEX-14AS3-1526-SM-5Q5ED 40-49 years, female 13708.2
GTEX-X3Y1-2026-SM-3P5YM 40-49 years, male 13536.1
GTEX-11O72-0626-SM-5PNYE 40-49 years, male 13508.0
GTEX-ZAJG-1526-SM-5CVML 50-59 years, female 13481.3
GTEX-1HSMP-0926-SM-A9SKX 70-79 years, male 13455.9
GTEX-145LS-0626-SM-7EPG7 60-69 years, female 13440.9
GTEX-131XW-0626-SM-5PNVD 50-59 years, female 13430.8
GTEX-13D11-0926-SM-5J2NC 50-59 years, female 13404.3
GTEX-14PKU-0126-SM-6LLHV 40-49 years, female 13380.8
GTEX-1JJE9-2626-SM-ARZMT 70-79 years, male 13360.6
GTEX-1CAV2-0126-SM-7IGN7 40-49 years, female 13341.5
GTEX-1F75A-0726-SM-7RHHD 50-59 years, male 13340.0
GTEX-1QP2A-1726-SM-E76QC 50-59 years, male 13333.1
GTEX-1H2FU-0926-SM-9WPPT 60-69 years, female 13314.6
GTEX-1QP28-1126-SM-EVYC4 50-59 years, female 13290.6
GTEX-1HR9M-2226-SM-CNPPY 60-69 years, male 13200.3
GTEX-11TUW-0626-SM-5LU9M 60-69 years, male 13188.7
GTEX-1LGRB-0926-SM-COH3K 50-59 years, female 13181.0
GTEX-1J8Q2-2626-SM-ACKWQ 60-69 years, male 13164.9
GTEX-11EQ9-1626-SM-5PNY8 30-39 years, male 13153.4
GTEX-X4EO-2926-SM-4E3JH 60-69 years, female 13140.0
GTEX-145MI-0626-SM-5SI8S 60-69 years, female 13122.5
GTEX-17HGU-2326-SM-7DUFE 50-59 years, male 13118.6
GTEX-1IDJI-0126-SM-CMKHS 50-59 years, female 13082.8
GTEX-1NV5F-0626-SM-DTXEG 60-69 years, female 13066.7
GTEX-12C56-1526-SM-5FQUQ 20-29 years, male 13054.5
GTEX-1I1GP-1326-SM-A9G28 50-59 years, male 13044.6
GTEX-1POEN-2326-SM-E9J2L 30-39 years, female 13000.4
GTEX-12WSC-2826-SM-5BC5Y 50-59 years, male 12988.2
GTEX-1KXAM-1626-SM-D3LAD 60-69 years, male 12942.7
GTEX-13PDP-0726-SM-5L3HP 60-69 years, male 12936.4
GTEX-13N1W-2426-SM-5IJD1 70-79 years, male 12876.3
GTEX-15FZZ-0526-SM-7KUGD 30-39 years, female 12876.1
GTEX-1EX96-1026-SM-7MKG2 50-59 years, male 12830.7
GTEX-1F75I-2226-SM-7SB8U 40-49 years, male 12813.1
GTEX-1KANC-1226-SM-CYPT7 50-59 years, female 12808.0
GTEX-1314G-1326-SM-5BC6E 30-39 years, male 12785.3
GTEX-1GMRU-2126-SM-7P8RA 50-59 years, male 12783.9
GTEX-12ZZZ-0726-SM-5GCNZ 60-69 years, male 12768.0
GTEX-WHSE-0126-SM-3NMBT 20-29 years, male 12767.4
GTEX-13NYS-0626-SM-5L3F1 60-69 years, male 12753.5
GTEX-13PVR-0426-SM-5RQK2 60-69 years, female 12740.7
GTEX-1BAJH-2426-SM-7IGP8 70-79 years, male 12633.4
GTEX-11UD2-2526-SM-5CVNU 50-59 years, male 12620.5
GTEX-1HFI7-2326-SM-CGQFS 50-59 years, female 12606.9
GTEX-UPJH-0226-SM-3GADV 50-59 years, male 12588.5
GTEX-ZLWG-0826-SM-59888 50-59 years, female 12580.2
GTEX-ZZ64-1026-SM-5GZXG 20-29 years, male 12548.6
GTEX-WHWD-1826-SM-3LK6I 50-59 years, male 12539.2
GTEX-1GZ2Q-0126-SM-9WG6M 40-49 years, male 12525.7
GTEX-1ICLZ-0326-SM-ARL82 60-69 years, male 12518.6
GTEX-12WSD-0626-SM-5GCMW 60-69 years, female 12515.9
GTEX-14PJ2-0626-SM-6LLII 50-59 years, male 12501.6
GTEX-XMD2-2126-SM-4YCF8 60-69 years, female 12486.1
GTEX-1PBJJ-1026-SM-E76OS 30-39 years, male 12460.9
GTEX-1H1ZS-2726-SM-9WG75 70-79 years, male 12430.6
GTEX-1QP66-1226-SM-DTX7U 50-59 years, male 12425.5
GTEX-1B8L1-2226-SM-7P8PT 60-69 years, male 12415.6
GTEX-13VXT-1926-SM-5K7UO 20-29 years, female 12383.4
GTEX-18A7A-0126-SM-731AH 50-59 years, female 12383.4
GTEX-1PPH7-1126-SM-DTX9A 40-49 years, male 12380.4
GTEX-1IDJC-1526-SM-B2LW4 50-59 years, male 12377.3
GTEX-16NGA-0726-SM-731AO 40-49 years, female 12375.5
GTEX-13NZ8-1226-SM-5KM4A 60-69 years, female 12328.6
GTEX-18A67-1626-SM-7LT9T 50-59 years, male 12309.4
GTEX-1JN76-0626-SM-CKZOQ 20-29 years, female 12305.2
GTEX-1I6K6-1726-SM-CGQFD 30-39 years, male 12274.3
GTEX-14XAO-1226-SM-6EU1C 60-69 years, female 12258.9
GTEX-144FL-0626-SM-5LU43 50-59 years, male 12218.3
GTEX-WYJK-0526-SM-3NM8Z 50-59 years, male 12207.5
GTEX-1QCLY-0226-SM-EWRNH 30-39 years, male 12197.7
GTEX-1JMQL-2226-SM-CNPP4 50-59 years, female 12168.0
GTEX-ZWKS-0626-SM-5GIDV 30-39 years, male 12161.6
GTEX-1B932-2326-SM-79OL5 40-49 years, female 12126.9
GTEX-13O3Q-0126-SM-5KM34 50-59 years, male 12089.1
GTEX-1GN1W-2426-SM-9KNUU 50-59 years, female 12072.8
GTEX-14B4R-1326-SM-5Q5EZ 30-39 years, male 12042.6
GTEX-1JMQK-1226-SM-D4P2S 60-69 years, male 12033.4
GTEX-1IE54-1126-SM-A9G2Z 40-49 years, female 12014.2
GTEX-14LZ3-0126-SM-69LPM 60-69 years, female 12010.0
GTEX-11LCK-2226-SM-5HL4Q 30-39 years, male 12005.7
GTEX-144GM-0526-SM-79OJO 20-29 years, male 11997.4
GTEX-1GZ4I-2626-SM-9KNU3 50-59 years, male 11994.4
GTEX-139TT-2126-SM-5LZWC 60-69 years, male 11969.5
GTEX-1R9K4-2826-SM-DTX8F 60-69 years, male 11942.0
GTEX-1LSNL-2726-SM-E9TKJ 50-59 years, male 11940.6
GTEX-ZVTK-0226-SM-51MRG 20-29 years, male 11896.7
GTEX-13O3O-2326-SM-5IJD6 60-69 years, female 11844.4
GTEX-14PJ5-1526-SM-6LLIL 60-69 years, female 11791.9
GTEX-145MO-2826-SM-5LU96 60-69 years, male 11740.1
GTEX-17JCI-2926-SM-7DUFF 60-69 years, female 11684.9
GTEX-14BMV-2826-SM-5TDED 50-59 years, male 11612.7
GTEX-1PDJ9-1226-SM-EXUSX 20-29 years, male 11604.9
GTEX-15D1Q-2826-SM-6LLH7 40-49 years, male 11574.4
GTEX-13QJC-0126-SM-5ZZWJ 60-69 years, female 11561.8
GTEX-145MF-0926-SM-5Q5EA 50-59 years, male 11515.7
GTEX-13NYB-0126-SM-5J1MD 40-49 years, male 11505.6
GTEX-14C38-0726-SM-5SI6M 50-59 years, male 11497.6
GTEX-13FHO-0426-SM-5L3F5 60-69 years, male 11490.3
GTEX-1F88E-1626-SM-7SB8Z 60-69 years, female 11488.4
GTEX-18D9B-0926-SM-7LG4U 60-69 years, male 11484.4
GTEX-14BIN-1126-SM-5RQJZ 50-59 years, female 11456.3
GTEX-1IDJV-0126-SM-COH3Y 60-69 years, male 11403.1
GTEX-1I1GS-2626-SM-B2LY3 60-69 years, male 11396.5
GTEX-17F98-1326-SM-7DUEP 40-49 years, female 11366.2
GTEX-1GF9V-0826-SM-9KNUV 60-69 years, male 11358.0
GTEX-1HC8U-1326-SM-9YFMJ 40-49 years, female 11335.9
GTEX-1MCC2-1826-SM-DIPEX 30-39 years, female 11301.4
GTEX-13X6J-0626-SM-5LU5F 50-59 years, male 11300.5
GTEX-1H4P4-2126-SM-9WYSL 50-59 years, male 11256.4
GTEX-1K2DU-1226-SM-CYPT4 20-29 years, male 11254.6
GTEX-ZPIC-0526-SM-DO91W 40-49 years, female 11249.7
GTEX-1HSMQ-2626-SM-A9SML 50-59 years, male 11193.0
GTEX-13OW8-1026-SM-5J1NQ 60-69 years, male 11170.4
GTEX-12KS4-2126-SM-5FQUT 30-39 years, male 11162.8
GTEX-14E6C-2426-SM-5S2NF 40-49 years, male 11135.9
GTEX-1A8G7-1326-SM-73KVM 60-69 years, male 11099.4
GTEX-16NPX-0726-SM-7KULC 50-59 years, male 11059.3
GTEX-WRHU-2826-SM-3MJG8 50-59 years, female 11052.3
GTEX-XBED-1926-SM-47JYP 60-69 years, male 11038.2
GTEX-139D8-1126-SM-5LU8W 30-39 years, female 11010.7
GTEX-ZTTD-2826-SM-4YCFA 50-59 years, male 11002.3
GTEX-1H1CY-0126-SM-9YFLY 60-69 years, female 10948.5
GTEX-1QAET-0326-SM-EVR3U 50-59 years, male 10923.8
GTEX-1KANB-2826-SM-CY8I6 50-59 years, male 10872.1
GTEX-1HCU7-0726-SM-A9SL1 50-59 years, male 10870.4
GTEX-139T8-0626-SM-5KLZX 60-69 years, male 10823.2
GTEX-YF7O-1526-SM-5IFI6 50-59 years, male 10797.5
GTEX-1HCVE-2726-SM-CL54F 50-59 years, male 10788.7
GTEX-1KD5A-0126-SM-E9U54 50-59 years, male 10786.7
GTEX-1KWVE-1026-SM-D3L9O 30-39 years, male 10785.7
GTEX-1HSKV-1226-SM-ADEI4 60-69 years, male 10784.1
GTEX-1IDFM-0326-SM-ARL7V 60-69 years, male 10775.7
GTEX-1S82U-1026-SM-E6CJK 30-39 years, female 10731.4
GTEX-1RAZR-2126-SM-E9U6T 40-49 years, male 10675.8
GTEX-1GL5R-1326-SM-7RHHF 50-59 years, male 10644.7
GTEX-1ICLY-0826-SM-CMKG1 50-59 years, male 10602.7
GTEX-13113-1626-SM-5EQ4I 60-69 years, female 10600.4
GTEX-16GPK-0626-SM-7KFSF 60-69 years, male 10578.5
GTEX-1PIIG-2326-SM-DTXFR 30-39 years, male 10574.8
GTEX-Y5V5-0126-SM-5S2NW 60-69 years, female 10573.0
GTEX-1I6K7-1926-SM-B2LXR 40-49 years, male 10532.1
GTEX-18A7B-2726-SM-7LG56 70-79 years, male 10527.6
GTEX-178AV-1726-SM-7KUL8 40-49 years, male 10507.4
GTEX-1GF9W-1426-SM-7PBYM 60-69 years, male 10496.7
GTEX-1J8QM-2426-SM-A9SLS 60-69 years, female 10491.6
GTEX-13OW5-2326-SM-5L3HO 60-69 years, male 10474.7
GTEX-1GMR8-0626-SM-7RHI7 50-59 years, female 10439.1
GTEX-YJ8O-2526-SM-5HL85 40-49 years, female 10430.6
GTEX-13OW7-0426-SM-5K7VK 50-59 years, male 10404.1
GTEX-1HSMO-0626-SM-ACKXC 60-69 years, male 10402.4
GTEX-1H1DF-1126-SM-9WG7G 40-49 years, female 10387.6
GTEX-1A3MW-0626-SM-731CB 60-69 years, female 10373.5
GTEX-1HT8W-0626-SM-A9G2H 30-39 years, male 10348.7
GTEX-ZGAY-1826-SM-DO91Q 40-49 years, female 10302.2
GTEX-1QCLZ-2426-SM-EVYBW 60-69 years, female 10271.6
GTEX-11WQC-1826-SM-5GU59 60-69 years, male 10256.9
GTEX-147JS-0226-SM-5S2U9 60-69 years, male 10234.3
GTEX-15ER7-0626-SM-6PANF 20-29 years, female 10193.4
GTEX-1AX9I-2226-SM-73KUO 60-69 years, male 10157.7
GTEX-17KNJ-2126-SM-718AM 50-59 years, male 10137.8
GTEX-1GF9X-1326-SM-7PC2Y 40-49 years, female 10104.6
GTEX-17MF6-2626-SM-79OKQ 40-49 years, male 10098.3
GTEX-1N2EE-0626-SM-E76PW 60-69 years, male 10090.7
GTEX-1C6VQ-1226-SM-73KYD 50-59 years, male 10084.3
GTEX-1IKJJ-2226-SM-CJI4C 60-69 years, male 10025.9
GTEX-13OW6-2726-SM-5J2OE 50-59 years, male 10005.0
GTEX-1I1CD-0626-SM-CE6SW 60-69 years, female 9978.6
GTEX-1B8KZ-0326-SM-73KY4 50-59 years, male 9947.0
GTEX-1HBPI-2126-SM-ARL9K 50-59 years, male 9922.0
GTEX-14JG6-1426-SM-9WG7C 30-39 years, female 9910.2
GTEX-1CB4J-1326-SM-7P8RX 60-69 years, male 9867.6
GTEX-12ZZX-2426-SM-5GCOE 40-49 years, female 9845.3
GTEX-1F6IF-0926-SM-7SB7M 60-69 years, male 9822.8
GTEX-1CB4H-1126-SM-7MKGL 60-69 years, female 9734.4
GTEX-1GF9U-2026-SM-7SB92 40-49 years, female 9715.4
GTEX-145LU-1926-SM-79OJN 50-59 years, male 9670.3
GTEX-XYKS-1426-SM-4BRUO 60-69 years, female 9668.8
GTEX-X4EP-0626-SM-3P621 60-69 years, female 9652.7
GTEX-13QBU-1226-SM-5LU4G 40-49 years, female 9623.8
GTEX-15CHC-1126-SM-6LLHQ 60-69 years, female 9620.4
GTEX-1HUB1-1426-SM-CGQF5 60-69 years, male 9616.7
GTEX-1J8JJ-0626-SM-ARZMQ 60-69 years, female 9572.9
GTEX-1E1VI-0326-SM-793D1 50-59 years, male 9570.4
GTEX-1AX9J-1326-SM-731BJ 60-69 years, male 9491.0
GTEX-1EWIQ-0326-SM-7DHMQ 70-79 years, female 9476.6
GTEX-1EKGG-0626-SM-7DUGJ 60-69 years, male 9446.4
GTEX-1I1GV-0626-SM-ARL7M 60-69 years, male 9437.9
GTEX-1A8FM-0626-SM-7PC25 50-59 years, female 9425.0
GTEX-1RAZA-2226-SM-E9U4X 20-29 years, male 9399.2
GTEX-1C6VR-0126-SM-7RHGB 60-69 years, male 9379.7
GTEX-1MJK3-0726-SM-E6CJC 20-29 years, male 9369.1
GTEX-1N5O9-0926-SM-E9J3C 60-69 years, male 9321.3
GTEX-1PPGY-1626-SM-EVYBL 60-69 years, male 9246.9
GTEX-1477Z-0326-SM-7IGLA 60-69 years, male 9213.9
GTEX-15UF6-1926-SM-7KUDV 70-79 years, female 9206.2
GTEX-1A32A-0626-SM-731AQ 50-59 years, female 9165.1
GTEX-13X6K-0626-SM-5LU5D 60-69 years, female 9153.3
GTEX-18A66-0626-SM-7LT8Z 60-69 years, male 9147.2
GTEX-11EI6-2826-SM-5H11D 60-69 years, male 9132.7
GTEX-133LE-2326-SM-5K7W3 20-29 years, female 9101.8
GTEX-1R7EU-1626-SM-DTXG3 60-69 years, male 9048.9
GTEX-1JMPZ-0726-SM-CY8HZ 30-39 years, male 9048.1
GTEX-1GMR3-0126-SM-A9SLW 40-49 years, male 8990.5
GTEX-1HCU8-2526-SM-CE6RX 60-69 years, female 8962.8
GTEX-14A6H-2026-SM-5Q5DD 30-39 years, male 8937.5
GTEX-131YS-2826-SM-5EQ47 60-69 years, female 8826.5
GTEX-15EO6-2426-SM-6PALZ 50-59 years, male 8771.8
GTEX-WK11-2726-SM-3NMAQ 50-59 years, male 8705.7
GTEX-1JMOU-1026-SM-CYPSS 60-69 years, female 8684.9
GTEX-1HFI6-0126-SM-CNPPI 40-49 years, male 8672.1
GTEX-1GZHY-0626-SM-9KNVC 50-59 years, female 8667.2
GTEX-1OJC4-2726-SM-E76PJ 50-59 years, female 8554.8
GTEX-WYVS-1626-SM-3NM9R 40-49 years, female 8489.7
GTEX-14C5O-0326-SM-5ZZUX 60-69 years, male 8475.6
GTEX-17EVQ-0126-SM-7IGLR 70-79 years, male 8467.4
GTEX-16YQH-2226-SM-7IGM2 30-39 years, male 8412.4
GTEX-1LB8K-0726-SM-D5OV2 50-59 years, male 8379.9
GTEX-U8XE-0226-SM-4E3J3 30-39 years, male 8313.7
GTEX-1EN7A-2426-SM-793DB 40-49 years, male 8287.1
GTEX-17HHY-0426-SM-7DHLC 50-59 years, male 8208.9
GTEX-1QEPI-2626-SM-DTXF4 60-69 years, female 8208.5
GTEX-1B8SF-0126-SM-7DUG3 60-69 years, male 8113.2
GTEX-1GN1U-0626-SM-9MQL9 50-59 years, female 8096.0
GTEX-17HG3-2626-SM-7DUF2 30-39 years, female 8076.8
GTEX-1A3MX-2626-SM-7PC24 60-69 years, male 8041.8
GTEX-1LVAM-0726-SM-E6CIL 50-59 years, female 8029.0
GTEX-15SKB-2826-SM-6PAMH 60-69 years, male 8023.1
GTEX-1AMFI-1326-SM-7939R 50-59 years, female 8013.8
GTEX-1EH9U-2826-SM-7DUGT 60-69 years, male 8005.3
GTEX-1A8G6-2726-SM-731AR 60-69 years, male 7928.1
GTEX-ZVE2-2826-SM-5GU51 50-59 years, male 7908.4
GTEX-1S82P-2126-SM-E6CI5 60-69 years, female 7867.5
GTEX-15EU6-2226-SM-6EU2L 50-59 years, male 7849.0
GTEX-1RLM8-2926-SM-E8VON 50-59 years, male 7703.2
GTEX-ZVT4-2426-SM-5GIEI 50-59 years, female 7668.9
GTEX-1R46S-2426-SM-E76QA 60-69 years, female 7660.3
GTEX-183FY-1026-SM-7939A 20-29 years, male 7568.7
GTEX-1GN2E-0226-SM-9WG6K 60-69 years, male 7537.2
GTEX-1H3NZ-2726-SM-9WYTQ 60-69 years, male 7522.8
GTEX-144GL-0626-SM-5LU4D 50-59 years, male 7486.8
GTEX-WFON-1926-SM-3LK7L 40-49 years, male 7340.1
GTEX-1QMI2-2526-SM-E8VNZ 60-69 years, male 7311.0
GTEX-1EU9M-1426-SM-793AI 60-69 years, male 7146.0
GTEX-1GPI6-1926-SM-9KNV7 60-69 years, male 7048.5
GTEX-15SHW-0226-SM-7LTAT 60-69 years, male 6807.7
GTEX-1F5PL-0926-SM-7PC2W 40-49 years, female 6544.4
GTEX-13YAN-0226-SM-5TDC6 60-69 years, male 6440.6
GTEX-1J8Q3-0526-SM-ARL8U 60-69 years, male 6365.5
GTEX-1117F-2926-SM-5GZYI 60-69 years, female 6282.9
GTEX-11WQK-1026-SM-5EQLX 50-59 years, male 6269.3
GTEX-1JN1M-2726-SM-CY8I4 60-69 years, female 6212.6
GTEX-WYBS-0626-SM-3NMAS 60-69 years, female 6128.8
GTEX-1F48J-0726-SM-7RHGS 50-59 years, female 5899.2
GTEX-1QP29-1826-SM-DTX9S 50-59 years, male 5822.8
GTEX-1RAZS-2526-SM-E6CHT 50-59 years, male 5324.2
GTEX-1B933-2426-SM-7DHMD 50-59 years, female 5269.7
GTEX-1M4P7-0726-SM-E6CJ3 60-69 years, male 4939.9
GTEX-1JKYR-0626-SM-ARL8R 20-29 years, male 4725.7
GTEX-1S83E-1326-SM-E6CJM 40-49 years, male 4494.6
GTEX-1S5ZU-2526-SM-E6CIF 20-29 years, female 3611.1
GTEX-1F6RS-2026-SM-7RHHC 60-69 years, female 3443.7
Show allShow less
Skin - Sun Exposed (Lower leg)
Average nTPM: 13811.3
Samples: 701

Max nTPM: 49430.6
Min nTPM: 3095.5
Std nTPM: 5685.9
Median nTPM: 12932.2
GTEX-1399U-2326-SM-5K7WY 50-59 years, female 49430.6
GTEX-XUZC-1726-SM-4BRWS 30-39 years, female 48563.9
GTEX-ZYFG-2326-SM-5E44B 60-69 years, female 41363.8
GTEX-OXRL-0126-SM-2YUMP 50-59 years, male 36082.1
GTEX-1MCYP-1926-SM-E9J2R 20-29 years, female 34475.8
GTEX-TMZS-0126-SM-3DB9Q 60-69 years, male 34254.0
GTEX-12126-0326-SM-5PNW3 20-29 years, male 33170.4
GTEX-SE5C-1626-SM-2XCE3 40-49 years, female 31189.1
GTEX-13O21-1426-SM-5K7XI 50-59 years, male 30720.7
GTEX-Y114-2426-SM-4TT8A 50-59 years, female 29611.4
GTEX-13FTW-2626-SM-5K7WL 40-49 years, male 28743.9
GTEX-1QP66-1726-SM-E8VO1 50-59 years, male 28684.4
GTEX-11P7K-2126-SM-5GU7G 30-39 years, male 28676.2
GTEX-11P82-1626-SM-59879 20-29 years, male 28154.7
GTEX-W5X1-3026-SM-EAZAX 40-49 years, female 27481.7
GTEX-18D9U-0226-SM-718BP 40-49 years, male 27330.9
GTEX-1HSEH-0126-SM-ACKXN 60-69 years, male 27216.2
GTEX-1I1GV-0526-SM-A9G29 60-69 years, male 27008.9
GTEX-13NZB-2526-SM-5J1OM 30-39 years, male 26417.2
GTEX-ZVT2-2526-SM-51MT1 50-59 years, female 26392.3
GTEX-1HCU9-1526-SM-A9SL7 20-29 years, male 26157.3
GTEX-O5YW-0126-SM-3LK6D 50-59 years, male 26049.9
GTEX-1211K-2026-SM-5EQ4Z 60-69 years, female 26022.7
GTEX-U3ZN-2326-SM-3DB7W 30-39 years, female 25651.4
GTEX-OIZG-0726-SM-33HBL 50-59 years, male 25437.7
GTEX-Y5LM-1926-SM-5RQJH 40-49 years, female 25406.4
GTEX-146FQ-0126-SM-5NQA9 30-39 years, male 25342.5
GTEX-1AYCT-2426-SM-7IGQ3 50-59 years, male 25080.1
GTEX-WVJS-0126-SM-4MVOT 50-59 years, male 24780.4
GTEX-OHPM-0126-SM-2YUN9 50-59 years, male 24605.8
GTEX-Q734-1926-SM-2I5EV 40-49 years, female 24503.6
GTEX-1PFEY-1526-SM-E76PP 30-39 years, male 24381.4
GTEX-ZDYS-2026-SM-5HL5L 50-59 years, male 24239.0
GTEX-132NY-0326-SM-5IJBL 60-69 years, male 24012.8
GTEX-18QFQ-0126-SM-731BE 30-39 years, male 23989.6
GTEX-Y5V6-2426-SM-4VDSB 60-69 years, male 23948.9
GTEX-ZDXO-3026-SM-5J1N5 60-69 years, male 23942.6
GTEX-1AMEY-1326-SM-73KYK 30-39 years, female 23675.4
GTEX-1QP9N-1426-SM-DTXFL 30-39 years, male 23657.2
GTEX-1IKK5-0626-SM-ARL8A 60-69 years, male 23645.2
GTEX-S95S-1226-SM-4GICG 60-69 years, male 23553.2
GTEX-1CAV2-2226-SM-7P8P2 40-49 years, female 23516.9
GTEX-YB5K-2126-SM-4WWDJ 40-49 years, female 23470.1
GTEX-13O3Q-2426-SM-5IJBR 50-59 years, male 23388.7
GTEX-PW2O-1526-SM-7RHHB 20-29 years, male 23376.9
GTEX-ZVTK-0426-SM-51MRS 20-29 years, male 23309.1
GTEX-1399R-2726-SM-5IJBA 30-39 years, male 23148.2
GTEX-145MN-2226-SM-5SIAU 30-39 years, male 23011.9
GTEX-11ZTS-0126-SM-5EQ6M 60-69 years, female 23002.5
GTEX-1HBPM-0226-SM-ARL9F 60-69 years, female 22988.1
GTEX-Y3I4-2126-SM-4TT7C 50-59 years, male 22922.2
GTEX-14ICK-0226-SM-6EU25 40-49 years, male 22831.3
GTEX-117YX-2326-SM-5H12W 50-59 years, male 21999.4
GTEX-131XG-2626-SM-5KM17 50-59 years, female 21862.0
GTEX-15SB6-1726-SM-6PAME 50-59 years, female 21687.8
GTEX-P4PQ-0126-SM-2S1NM 60-69 years, male 21661.2
GTEX-RWS6-2026-SM-2XCB5 60-69 years, female 21584.5
GTEX-15RIG-0226-SM-7KFTL 40-49 years, male 21427.5
GTEX-Y111-0126-SM-4SOIV 50-59 years, male 21382.7
GTEX-Q2AH-1626-SM-3GAF8 40-49 years, male 21142.3
GTEX-1RAZQ-0726-SM-EAZ43 30-39 years, male 21096.4
GTEX-PLZ5-2026-SM-2S1O4 50-59 years, male 21075.0
GTEX-14BMU-2226-SM-5TDE9 20-29 years, female 21031.3
GTEX-PLZ6-1426-SM-DKPOT 30-39 years, male 21015.3
GTEX-11UD1-0126-SM-5PNYG 40-49 years, female 21000.4
GTEX-1H11D-0226-SM-9WG6Z 40-49 years, male 20996.2
GTEX-ZEX8-2426-SM-4WKG4 50-59 years, male 20952.2
GTEX-T6MO-1626-SM-32QOM 40-49 years, female 20891.3
GTEX-OHPL-0126-SM-2HMJ7 60-69 years, female 20809.7
GTEX-SNMC-1226-SM-2XCFP 20-29 years, male 20722.8
GTEX-1LVAN-0226-SM-COH3S 50-59 years, female 20717.8
GTEX-1CB4F-0426-SM-9KNV4 60-69 years, male 20640.4
GTEX-ZXES-1826-SM-5E43S 30-39 years, female 20637.2
GTEX-QV44-1926-SM-2S1RF 50-59 years, male 20610.0
GTEX-11OC5-0126-SM-5HL6A 60-69 years, male 20551.3
GTEX-Y3IK-2426-SM-4WWDU 50-59 years, female 20549.6
GTEX-1JMPY-1326-SM-ARL8Y 30-39 years, male 20523.8
GTEX-WZTO-0126-SM-3NM95 40-49 years, male 20400.2
GTEX-QDVJ-1726-SM-2I5FX 50-59 years, male 20357.3
GTEX-13CF2-2526-SM-5LZYX 60-69 years, male 20344.8
GTEX-117XS-2726-SM-5N9BL 60-69 years, male 20333.2
GTEX-111FC-0126-SM-5N9DL 60-69 years, male 20319.0
GTEX-Q2AI-1326-SM-2S1PL 40-49 years, male 20315.9
GTEX-1CAMQ-0226-SM-7IGPK 40-49 years, male 20275.1
GTEX-1GF9U-2126-SM-7SB7L 40-49 years, female 20184.9
GTEX-X8HC-0126-SM-4E3JW 50-59 years, female 20147.1
GTEX-ZVZO-0126-SM-5A5L9 40-49 years, male 20147.0
GTEX-17F98-0626-SM-79OMX 40-49 years, female 20107.1
GTEX-X62O-0126-SM-4E3JN 50-59 years, male 19744.9
GTEX-13111-1626-SM-5EGJY 50-59 years, male 19726.6
GTEX-RVPV-0126-SM-EAZAW 60-69 years, male 19665.5
GTEX-1NV5F-0226-SM-E8VNY 60-69 years, female 19641.2
GTEX-OXRK-0226-SM-3NB2G 50-59 years, female 19632.0
GTEX-1PPH8-0226-SM-E8VND 20-29 years, male 19610.2
GTEX-YEC4-2126-SM-5IFJH 40-49 years, male 19586.0
GTEX-ZE9C-2726-SM-57WB5 60-69 years, male 19441.2
GTEX-12WSD-0126-SM-59HKN 60-69 years, female 19423.0
GTEX-1M5QR-1226-SM-EWROB 40-49 years, male 19418.4
GTEX-1497J-2426-SM-7IGNX 60-69 years, male 19411.6
GTEX-ZF28-0126-SM-4WKGK 60-69 years, male 19324.5
GTEX-13RTK-1426-SM-5QGQJ 20-29 years, male 19320.8
GTEX-VJYA-1126-SM-3GIJU 60-69 years, male 19207.8
GTEX-1R9PO-2126-SM-E9J4O 60-69 years, female 19167.8
GTEX-U3ZM-1526-SM-3DB9D 40-49 years, male 19013.1
GTEX-14A6H-0126-SM-5QGPK 30-39 years, male 18991.0
GTEX-PVOW-0126-SM-2XCFA 40-49 years, male 18916.2
GTEX-13QJ3-0326-SM-5S2RA 50-59 years, male 18899.8
GTEX-R45C-0126-SM-EAZ2R 60-69 years, female 18884.9
GTEX-1GPI7-0126-SM-9MQL8 20-29 years, male 18852.3
GTEX-U412-0426-SM-3DB9O 60-69 years, male 18781.2
GTEX-NPJ8-0126-SM-2YUNR 40-49 years, male 18767.9
GTEX-SIU8-0126-SM-2XCDT 50-59 years, male 18715.6
GTEX-S33H-1026-SM-EZ6L6 30-39 years, male 18652.6
GTEX-ZAJG-0126-SM-5HL94 50-59 years, female 18640.4
GTEX-WFG8-2226-SM-3GIL9 20-29 years, male 18442.7
GTEX-1HGF4-2426-SM-ACKXM 60-69 years, male 18416.9
GTEX-1IDJF-0126-SM-CM2RS 20-29 years, male 18401.6
GTEX-RTLS-0126-SM-447CA 60-69 years, female 18356.8
GTEX-W5WG-1826-SM-4KL2Y 50-59 years, female 18324.0
GTEX-1I1GP-2226-SM-CGQFK 50-59 years, male 18286.9
GTEX-144GN-2326-SM-5LU4F 50-59 years, male 18180.9
GTEX-14PK6-1926-SM-6ETZU 70-79 years, female 18179.4
GTEX-WY7C-2326-SM-3NB2U 50-59 years, male 18129.5
GTEX-1MGNQ-0126-SM-EVYCJ 40-49 years, male 18090.8
GTEX-17HHE-2026-SM-79OKF 50-59 years, male 18086.1
GTEX-ZE7O-0126-SM-57WC1 50-59 years, female 18081.5
GTEX-1N2DW-0226-SM-E9TK2 50-59 years, male 18068.8
GTEX-Z93T-0126-SM-5HL5N 50-59 years, male 18016.4
GTEX-PWO3-1526-SM-48TCM 60-69 years, female 17993.2
GTEX-Y8DK-0126-SM-4TT3L 60-69 years, male 17970.8
GTEX-1F5PL-0326-SM-7P8PQ 40-49 years, female 17969.5
GTEX-QDVN-2026-SM-3GAEP 50-59 years, male 17828.2
GTEX-169BO-1326-SM-9MQK2 50-59 years, male 17793.8
GTEX-QCQG-1726-SM-3GIJ9 50-59 years, female 17793.7
GTEX-13RTJ-2426-SM-5S2Q2 60-69 years, male 17765.2
GTEX-YB5E-2026-SM-5IFIS 40-49 years, male 17758.7
GTEX-12WSK-2326-SM-5GCOH 40-49 years, female 17723.3
GTEX-13FXS-0226-SM-5IJCK 50-59 years, male 17690.1
GTEX-1F6I4-0126-SM-9MQL2 60-69 years, male 17673.6
GTEX-145MF-0626-SM-5LUAI 50-59 years, male 17632.5
GTEX-QEG4-0226-SM-2S1PY 30-39 years, male 17630.2
GTEX-RUSQ-1526-SM-2TF62 50-59 years, male 17543.5
GTEX-1LG7Z-1726-SM-D3LA4 30-39 years, male 17488.4
GTEX-1QP67-1626-SM-EAZ3X 40-49 years, female 17481.3
GTEX-1H1CY-2826-SM-9MQM3 60-69 years, female 17407.5
GTEX-13NYB-2526-SM-5K7Z6 40-49 years, male 17404.7
GTEX-1GF9X-2026-SM-7PC3A 40-49 years, female 17388.2
GTEX-YJ89-0126-SM-4TT3X 60-69 years, male 17373.3
GTEX-XV7Q-2526-SM-4BRV9 40-49 years, female 17336.0
GTEX-1CB4E-2226-SM-793DC 60-69 years, male 17322.2
GTEX-145LV-2126-SM-5LU8N 50-59 years, male 17300.8
GTEX-14A5H-0426-SM-5QGQF 60-69 years, male 17289.5
GTEX-139TS-2826-SM-5J1OO 60-69 years, male 17274.0
GTEX-X4XY-0226-SM-4E3IZ 60-69 years, male 17205.2
GTEX-RNOR-0126-SM-E9J4R 50-59 years, female 17179.2
GTEX-1IDJH-0326-SM-A9SLQ 70-79 years, male 17176.5
GTEX-TML8-1926-SM-32QOS 40-49 years, female 17145.4
GTEX-SUCS-1926-SM-32PM3 70-79 years, male 17132.1
GTEX-13FTY-0526-SM-5L3EV 40-49 years, female 17119.7
GTEX-ZZPT-0226-SM-5E43X 50-59 years, male 17103.5
GTEX-ZAB5-1826-SM-5HL7C 50-59 years, male 17095.5
GTEX-1HKZK-0326-SM-9WYUH 40-49 years, male 17061.3
GTEX-XXEK-2226-SM-4BRUM 50-59 years, male 17052.4
GTEX-T8EM-1026-SM-3DB7M 40-49 years, male 17030.1
GTEX-1J1OQ-0226-SM-CYPSH 40-49 years, female 16974.3
GTEX-13NZ8-0826-SM-5MR3I 60-69 years, female 16951.3
GTEX-16XZY-2126-SM-79OK1 70-79 years, male 16949.8
GTEX-XQ8I-0426-SM-4BOPO 50-59 years, male 16947.3
GTEX-13OVK-2026-SM-7KUEO 40-49 years, male 16945.4
GTEX-1JMLX-0226-SM-CM2RO 50-59 years, male 16945.3
GTEX-ZY6K-1826-SM-5GZXK 50-59 years, male 16942.1
GTEX-1S5ZA-0126-SM-EVYCV 20-29 years, male 16924.8
GTEX-QDT8-0126-SM-48TZ1 30-39 years, female 16817.7
GTEX-1C2JI-1826-SM-73KXC 50-59 years, male 16789.9
GTEX-PX3G-0126-SM-2I3EN 20-29 years, female 16752.5
GTEX-14PJ3-1826-SM-62LEX 50-59 years, male 16735.9
GTEX-1CB4I-0226-SM-79OLH 50-59 years, male 16722.2
GTEX-YFC4-0126-SM-5CVLY 40-49 years, female 16721.2
GTEX-1HCU8-0626-SM-A9SM9 60-69 years, female 16709.5
GTEX-1J1R8-1726-SM-ARL8M 40-49 years, male 16705.7
GTEX-13FTX-1826-SM-5J1NX 20-29 years, female 16643.7
GTEX-1IOXB-0126-SM-ARL8G 50-59 years, male 16617.3
GTEX-R3RS-0126-SM-3GIJL 40-49 years, female 16564.7
GTEX-ZGAY-0526-SM-4WWBB 40-49 years, female 16532.9
GTEX-1CAMS-0426-SM-7P8T2 40-49 years, female 16516.8
GTEX-1JKYR-0126-SM-CNPOJ 20-29 years, male 16513.8
GTEX-1CAMR-1926-SM-7EPI2 20-29 years, male 16512.6
GTEX-PLZ4-0126-SM-5SI8O 50-59 years, female 16508.1
GTEX-12WSJ-1826-SM-5GCNY 40-49 years, female 16496.7
GTEX-ZVZP-2426-SM-59HKJ 50-59 years, male 16474.8
GTEX-14DAR-2026-SM-5S2O3 50-59 years, male 16395.0
GTEX-PWCY-1826-SM-DHXIZ 20-29 years, female 16348.3
GTEX-11GS4-2726-SM-5A5LE 60-69 years, male 16321.5
GTEX-WI4N-1026-SM-3LK7N 40-49 years, female 16320.8
GTEX-X4XX-0126-SM-3NMC2 60-69 years, male 16262.1
GTEX-14LZ3-0226-SM-62LET 60-69 years, female 16207.9
GTEX-1OJC3-0126-SM-E76QX 20-29 years, male 16181.3
GTEX-1K2DA-1826-SM-CGQGT 50-59 years, male 16178.3
GTEX-1AX8Z-0126-SM-7DHM6 60-69 years, male 16132.8
GTEX-13SLW-0126-SM-5SI6C 70-79 years, male 16126.0
GTEX-P4QT-0126-SM-2I3FL 50-59 years, female 16102.6
GTEX-12696-2426-SM-5EQ6H 60-69 years, male 16053.6
GTEX-ZDTS-0126-SM-4WAY5 60-69 years, male 16045.7
GTEX-ZYFD-0126-SM-5GIDL 50-59 years, male 16040.3
GTEX-1GTWX-0126-SM-9YFLK 60-69 years, male 16039.4
GTEX-13PVR-2326-SM-5QGR1 60-69 years, female 16019.9
GTEX-XQ3S-1526-SM-4BOOC 20-29 years, male 15986.0
GTEX-XBEW-0626-SM-4QASP 40-49 years, male 15972.0
GTEX-13D11-2426-SM-5KM1V 50-59 years, female 15969.6
GTEX-P44H-0226-SM-2XCEU 40-49 years, male 15966.4
GTEX-ZYFC-0226-SM-5NQ75 50-59 years, male 15955.6
GTEX-1HSGN-0226-SM-CGQFV 40-49 years, female 15911.6
GTEX-1128S-2326-SM-5GZZY 60-69 years, female 15889.6
GTEX-1H1E6-1726-SM-ACKVK 30-39 years, male 15817.7
GTEX-Q2AG-0126-SM-33HBV 40-49 years, female 15787.3
GTEX-139T8-0126-SM-5K7XZ 60-69 years, male 15763.3
GTEX-1JN6P-0126-SM-D3L98 60-69 years, male 15747.7
GTEX-14753-0426-SM-5NQAM 60-69 years, male 15730.5
GTEX-11DZ1-0126-SM-5985Q 50-59 years, male 15729.2
GTEX-T5JW-1626-SM-3GADZ 20-29 years, female 15691.1
GTEX-13X6J-0126-SM-5QGOU 50-59 years, male 15643.5
GTEX-VUSG-2526-SM-4KL1V 50-59 years, male 15642.6
GTEX-1F75A-0126-SM-7RHGM 50-59 years, male 15594.8
GTEX-1S83E-0126-SM-EWRO4 40-49 years, male 15577.8
GTEX-1H2FU-0126-SM-9WYSI 60-69 years, female 15576.2
GTEX-11EQ9-2426-SM-5HL5T 30-39 years, male 15558.3
GTEX-1F75B-0126-SM-9KNVL 50-59 years, male 15549.7
GTEX-15ETS-0126-SM-7KUMW 40-49 years, female 15502.2
GTEX-1313W-0126-SM-5LZUN 50-59 years, female 15414.5
GTEX-13FH7-2026-SM-E9J4I 50-59 years, female 15390.8
GTEX-117YW-2626-SM-5GZZH 50-59 years, male 15372.3
GTEX-11NUK-0126-SM-5A5L3 50-59 years, male 15269.5
GTEX-ZF3C-0126-SM-DO92D 50-59 years, female 15260.1
GTEX-11DXZ-2326-SM-5EGGV 50-59 years, male 15250.2
GTEX-1JMQI-2226-SM-CM2SD 50-59 years, male 15224.5
GTEX-1AX9I-0126-SM-7SB74 60-69 years, male 15202.3
GTEX-1ICG6-2526-SM-CGQFZ 70-79 years, female 15127.4
GTEX-1QPFJ-0226-SM-E76PB 30-39 years, female 15092.2
GTEX-ZAB4-0226-SM-5N9F5 40-49 years, male 15079.9
GTEX-1GZ4H-1726-SM-7PBZJ 50-59 years, female 15068.2
GTEX-1JMQL-0226-SM-CNPP5 50-59 years, female 15056.8
GTEX-Z93S-0126-SM-5HL7M 50-59 years, male 15034.4
GTEX-11DXY-2626-SM-5GIE7 60-69 years, male 15026.7
GTEX-ZV6S-2326-SM-4YCEY 40-49 years, female 14969.1
GTEX-1KXAM-2226-SM-CYPTC 60-69 years, male 14954.5
GTEX-1H3O1-0426-SM-9YFKY 60-69 years, male 14935.1
GTEX-QESD-1426-SM-2S1R9 20-29 years, male 14932.6
GTEX-145LT-1726-SM-5QGP3 40-49 years, male 14932.0
GTEX-1F75I-0326-SM-9YFLU 40-49 years, male 14919.8
GTEX-16NPX-0226-SM-79OMT 50-59 years, male 14905.1
GTEX-RU72-0926-SM-2TF6B 50-59 years, female 14895.4
GTEX-Y8LW-1826-SM-5S2MV 50-59 years, female 14880.4
GTEX-O5YT-0126-SM-48TBW 20-29 years, male 14863.2
GTEX-SJXC-0126-SM-2XCFF 60-69 years, male 14837.2
GTEX-14PHX-2326-SM-62LEM 50-59 years, male 14816.7
GTEX-U8T8-0126-SM-3DB94 60-69 years, male 14811.8
GTEX-1I1HK-0126-SM-COH49 60-69 years, male 14801.4
GTEX-WXYG-2326-SM-4E3I6 50-59 years, female 14795.4
GTEX-1EX96-1626-SM-7PBXR 50-59 years, male 14757.4
GTEX-1J8EW-0126-SM-CJI4F 60-69 years, female 14746.8
GTEX-11EM3-2426-SM-59861 20-29 years, female 14720.4
GTEX-1H1ZS-0426-SM-9WG6G 70-79 years, male 14712.4
GTEX-1PBJI-0526-SM-E8VNK 20-29 years, female 14708.7
GTEX-XPVG-2626-SM-4B669 50-59 years, male 14685.5
GTEX-1R9PM-2026-SM-E76OY 20-29 years, male 14657.3
GTEX-14JG1-0426-SM-6ETZZ 40-49 years, male 14653.4
GTEX-139T4-0226-SM-5HL5S 50-59 years, female 14585.8
GTEX-131XW-0426-SM-5LZWP 50-59 years, female 14567.5
GTEX-OIZH-0126-SM-2HMIS 50-59 years, male 14535.2
GTEX-1PIIG-0226-SM-EWRN6 30-39 years, male 14530.7
GTEX-ZV68-0126-SM-59HKS 50-59 years, female 14516.1
GTEX-14PJ6-2126-SM-6EU1V 60-69 years, female 14479.2
GTEX-1F52S-0126-SM-9MQJU 60-69 years, female 14473.2
GTEX-SSA3-0126-SM-32QPU 60-69 years, male 14471.6
GTEX-11DXX-2426-SM-5GZZW 60-69 years, female 14434.2
GTEX-13O3O-0126-SM-E9J49 60-69 years, female 14414.8
GTEX-12C56-1726-SM-5EQ61 20-29 years, male 14381.4
GTEX-17MFQ-1726-SM-793C7 20-29 years, male 14365.1
GTEX-16GPK-0126-SM-7DHLE 60-69 years, male 14326.3
GTEX-ZDTT-2726-SM-4WKF8 60-69 years, male 14312.2
GTEX-ZZ64-1726-SM-5GZYB 20-29 years, male 14295.2
GTEX-1GN1V-0126-SM-9WPOS 60-69 years, male 14270.2
GTEX-145MO-0326-SM-5Q5B3 60-69 years, male 14241.5
GTEX-13VXU-0126-SM-5SI9F 50-59 years, male 14191.3
GTEX-1PIGE-0126-SM-EVYBJ 20-29 years, male 14146.7
GTEX-1ICLY-0126-SM-D4P36 50-59 years, male 14116.5
GTEX-11ZTT-2426-SM-5EQLS 60-69 years, female 14107.0
GTEX-ZTX8-1426-SM-5DUVO 20-29 years, male 14103.0
GTEX-1KANA-0726-SM-D3L9I 20-29 years, male 14095.1
GTEX-WH7G-2326-SM-3NMBC 40-49 years, male 14094.9
GTEX-1LNCM-1126-SM-E9U5E 50-59 years, female 14032.2
GTEX-1A3MV-1926-SM-718BT 30-39 years, male 14023.8
GTEX-13S7M-0126-SM-5SI6A 60-69 years, female 14011.4
GTEX-14E6D-0126-SM-62LDV 50-59 years, male 14001.7
GTEX-11ZUS-0626-SM-59885 30-39 years, male 13997.6
GTEX-1LGRB-2526-SM-CNPPQ 50-59 years, female 13969.6
GTEX-1JN1M-0326-SM-CYPT3 60-69 years, female 13950.4
GTEX-1QW4Y-1526-SM-EAZ3Z 30-39 years, male 13950.4
GTEX-XAJ8-0826-SM-47JY6 40-49 years, male 13942.4
GTEX-X88G-0126-SM-47JZ3 30-39 years, male 13919.1
GTEX-13W3W-2426-SM-5LU5B 60-69 years, female 13886.6
GTEX-WRHK-1426-SM-3MJF9 20-29 years, female 13860.3
GTEX-14PII-0226-SM-6EU1T 60-69 years, male 13855.1
GTEX-11DXW-0226-SM-5H122 40-49 years, male 13854.9
GTEX-ZTPG-0326-SM-5O9AX 20-29 years, female 13832.2
GTEX-QVJO-1626-SM-2S1QW 60-69 years, female 13828.8
GTEX-15UF6-0826-SM-6PALJ 70-79 years, female 13779.8
GTEX-13OW7-0126-SM-5MR3B 50-59 years, male 13755.6
GTEX-14PN4-0126-SM-6EU2V 50-59 years, male 13747.0
GTEX-T2YK-0526-SM-32QPJ 50-59 years, male 13743.9
GTEX-ZU9S-0226-SM-5E441 30-39 years, male 13722.8
GTEX-U4B1-1826-SM-4DXSU 40-49 years, male 13722.0
GTEX-13O3P-0126-SM-5KM4S 50-59 years, male 13692.1
GTEX-1C4CL-0526-SM-73KVK 30-39 years, male 13676.6
GTEX-Y8E4-0626-SM-4WWDL 40-49 years, male 13653.8
GTEX-14JG6-2226-SM-6EU2G 30-39 years, female 13596.2
GTEX-11NSD-2226-SM-5986V 20-29 years, male 13560.3
GTEX-OOBJ-0126-SM-E6CJW 60-69 years, male 13545.6
GTEX-1I4MK-2226-SM-ACKWD 50-59 years, female 13545.0
GTEX-1OFPY-2426-SM-DTXEJ 60-69 years, male 13545.0
GTEX-ZWKS-0126-SM-5SIAA 30-39 years, male 13536.9
GTEX-T5JC-0426-SM-32PLO 20-29 years, male 13452.3
GTEX-11TT1-2526-SM-5EGIB 20-29 years, male 13445.0
GTEX-1MUQO-0126-SM-EAZ58 60-69 years, male 13413.6
GTEX-1122O-2126-SM-5EGIR 60-69 years, female 13397.7
GTEX-1HCU6-0126-SM-CL54K 60-69 years, female 13394.5
GTEX-X4EP-0126-SM-3P5YV 60-69 years, female 13314.1
GTEX-1KWVE-1426-SM-E9TJO 30-39 years, male 13304.2
GTEX-TKQ1-1026-SM-4GICL 30-39 years, male 13287.2
GTEX-1H1DE-2126-SM-9WG6R 20-29 years, male 13274.4
GTEX-11DYG-0126-SM-59883 60-69 years, male 13272.3
GTEX-1IDFM-0126-SM-COH2V 60-69 years, male 13268.2
GTEX-1C64O-0126-SM-7SB8P 60-69 years, male 13251.9
GTEX-1S82Y-2026-SM-EVYCM 40-49 years, male 13248.3
GTEX-1KAFJ-2026-SM-CY8ID 50-59 years, male 13215.4
GTEX-1KANC-1526-SM-D3LAB 50-59 years, female 13187.5
GTEX-147GR-0526-SM-5S2MY 60-69 years, male 13180.0
GTEX-RM2N-1426-SM-2TF4H 50-59 years, male 13156.3
GTEX-U3ZH-2026-SM-3DB78 30-39 years, male 13137.3
GTEX-15G19-0126-SM-6PANQ 60-69 years, male 13131.3
GTEX-18A6Q-0126-SM-731BZ 60-69 years, male 13113.5
GTEX-1S3DN-2226-SM-EVYCD 50-59 years, male 13098.4
GTEX-UPJH-0326-SM-3GADU 50-59 years, male 13096.2
GTEX-15F5U-1526-SM-6PANO 40-49 years, male 13072.5
GTEX-1GZ2Q-0226-SM-7P8TL 40-49 years, male 13028.8
GTEX-QLQW-1126-SM-2S1Q8 30-39 years, male 12978.5
GTEX-WYJK-0126-SM-3NMAB 50-59 years, male 12977.4
GTEX-OXRN-0126-SM-48TDM 50-59 years, male 12954.6
GTEX-11UD2-0226-SM-5EQKY 50-59 years, male 12951.3
GTEX-13G51-2526-SM-5LZYK 60-69 years, male 12945.2
GTEX-15CHC-2126-SM-6EU21 60-69 years, female 12932.2
GTEX-UJHI-1526-SM-3DB99 50-59 years, female 12895.8
GTEX-1F6RS-0126-SM-9MQKZ 60-69 years, female 12844.8
GTEX-147F4-0226-SM-5QGPW 50-59 years, male 12830.4
GTEX-15SDE-2226-SM-7IGLO 50-59 years, female 12809.7
GTEX-131YS-0126-SM-5KM1M 60-69 years, female 12806.4
GTEX-T6MN-0126-SM-32PLP 50-59 years, male 12750.1
GTEX-PSDG-0226-SM-DKPOZ 50-59 years, male 12742.9
GTEX-ZTSS-1926-SM-57WEW 40-49 years, male 12742.2
GTEX-139D8-0226-SM-5KLZO 30-39 years, female 12729.0
GTEX-1RDX4-0126-SM-E9J4P 50-59 years, female 12727.4
GTEX-1EMGI-0126-SM-9KNUE 60-69 years, male 12665.8
GTEX-1HFI6-0226-SM-ADEHZ 40-49 years, male 12618.2
GTEX-14PN3-2426-SM-6LLHS 60-69 years, female 12617.9
GTEX-1QAET-0926-SM-E76QM 50-59 years, male 12583.9
GTEX-11TTK-0126-SM-5987B 60-69 years, female 12521.8
GTEX-1HSMO-0126-SM-CL547 60-69 years, male 12518.2
GTEX-1I1GT-0626-SM-CGQER 60-69 years, female 12467.8
GTEX-X585-0226-SM-4QAS2 50-59 years, male 12461.2
GTEX-17EUY-0426-SM-793BD 20-29 years, male 12429.3
GTEX-P4PP-0126-SM-3LK69 30-39 years, female 12421.4
GTEX-1192X-0226-SM-5H12D 50-59 years, male 12413.2
GTEX-16MT8-0426-SM-7KUEY 60-69 years, female 12361.3
GTEX-1399T-2826-SM-5KLYZ 60-69 years, male 12359.6
GTEX-NFK9-0226-SM-2HMKQ 40-49 years, male 12345.4
GTEX-1LG7Y-0526-SM-DKPQC 50-59 years, male 12322.5
GTEX-1I1GS-0126-SM-B2LVW 60-69 years, male 12305.0
GTEX-X4EO-0326-SM-3P5YO 60-69 years, female 12287.9
GTEX-1314G-1526-SM-5EGK2 30-39 years, male 12279.1
GTEX-144FL-0126-SM-5TDC8 50-59 years, male 12250.4
GTEX-111VG-2426-SM-5GZXD 60-69 years, male 12208.7
GTEX-13FHO-0226-SM-5IFGY 60-69 years, male 12203.0
GTEX-145ME-1826-SM-5SI9G 40-49 years, female 12202.3
GTEX-T2IS-0126-SM-4DM6O 20-29 years, female 12197.4
GTEX-1RB15-2126-SM-E9TIM 60-69 years, male 12167.8
GTEX-X5EB-2226-SM-46MW4 40-49 years, male 12167.1
GTEX-1GN2E-0426-SM-9MQKX 60-69 years, male 12140.1
GTEX-1B8KZ-2026-SM-7DHMB 50-59 years, male 12111.5
GTEX-1R7EU-0226-SM-EVR4G 60-69 years, male 12111.4
GTEX-1HR98-0126-SM-B2LWI 60-69 years, male 12107.0
GTEX-1HBPI-1526-SM-C1YQ1 50-59 years, male 12099.7
GTEX-OOBK-0126-SM-2YUND 40-49 years, male 12084.9
GTEX-1B8L1-2526-SM-9WYTF 60-69 years, male 12066.6
GTEX-1I6K6-0126-SM-A9SLE 30-39 years, male 12062.0
GTEX-1HT8W-0126-SM-CNPPP 30-39 years, male 12050.1
GTEX-17GQL-2026-SM-718BA 60-69 years, male 12025.9
GTEX-147F3-0526-SM-5SI98 50-59 years, female 12011.2
GTEX-139UW-2826-SM-5L3E7 60-69 years, male 11985.4
GTEX-146FH-0126-SM-5QGPP 50-59 years, female 11941.0
GTEX-ZQUD-1426-SM-57WER 30-39 years, male 11930.8
GTEX-17F97-0326-SM-7LG5B 50-59 years, male 11915.6
GTEX-ZC5H-0226-SM-4WAY9 40-49 years, female 11899.4
GTEX-1MCQQ-0826-SM-DLHC2 60-69 years, male 11895.4
GTEX-14LLW-0126-SM-6LLIO 70-79 years, female 11856.5
GTEX-ZAK1-0126-SM-5IJD3 50-59 years, female 11842.9
GTEX-13NZA-0226-SM-5K7Z7 60-69 years, male 11837.2
GTEX-13FHP-0126-SM-5IJBG 50-59 years, male 11828.8
GTEX-13CF3-2426-SM-5IFGX 60-69 years, female 11746.1
GTEX-VJWN-0126-SM-3GIK7 50-59 years, female 11712.9
GTEX-12ZZZ-0626-SM-5DUXI 60-69 years, male 11699.8
GTEX-13112-2826-SM-5DUWH 50-59 years, male 11681.7
GTEX-183FY-0126-SM-7LT9P 20-29 years, male 11644.3
GTEX-1I19N-0326-SM-ACKVX 70-79 years, male 11610.5
GTEX-1EWIQ-0126-SM-7RHH2 70-79 years, female 11605.8
GTEX-1F7RK-0126-SM-7PC2S 20-29 years, female 11602.6
GTEX-ZF2S-2326-SM-4WWCE 50-59 years, female 11577.9
GTEX-11GSO-2426-SM-5A5LY 60-69 years, male 11565.5
GTEX-13N2G-2626-SM-5J1OT 60-69 years, male 11564.0
GTEX-1F6IF-0726-SM-7P8TW 60-69 years, male 11560.5
GTEX-13NYS-0126-SM-5MR3W 60-69 years, male 11543.6
GTEX-13OVJ-0126-SM-5KM36 50-59 years, female 11507.1
GTEX-1GN73-0226-SM-9WG67 60-69 years, male 11505.7
GTEX-X638-0126-SM-47JZ8 70-79 years, female 11488.2
GTEX-12WSG-2826-SM-E9J4H 50-59 years, female 11481.6
GTEX-1HCUA-2426-SM-ADEIS 50-59 years, female 11478.4
GTEX-XUYS-0126-SM-47JWZ 50-59 years, male 11464.2
GTEX-1R46S-0626-SM-E9J41 60-69 years, female 11464.2
GTEX-113IC-0126-SM-5HL6T 60-69 years, male 11450.1
GTEX-XUW1-0426-SM-4BOOT 50-59 years, female 11444.1
GTEX-1H23P-0126-SM-ADEJ3 60-69 years, male 11440.3
GTEX-RN64-0126-SM-2TC68 50-59 years, male 11360.7
GTEX-1J8Q3-1626-SM-CMKGC 60-69 years, male 11360.6
GTEX-13OVL-0226-SM-5L3E9 50-59 years, male 11353.6
GTEX-YJ8A-0426-SM-5IFID 20-29 years, male 11324.0
GTEX-1H1DG-0126-SM-9WYU2 70-79 years, male 11314.4
GTEX-S7SE-0126-SM-2XCD5 50-59 years, male 11306.1
GTEX-1H3VY-0126-SM-ACKXD 50-59 years, male 11303.5
GTEX-14BIM-0226-SM-7IGLD 60-69 years, female 11294.7
GTEX-1HCVE-0126-SM-CGQEU 50-59 years, male 11272.9
GTEX-ZYT6-0226-SM-5NQ6T 30-39 years, male 11208.5
GTEX-145MI-0526-SM-5O9A8 60-69 years, female 11157.4
GTEX-12WSA-0226-SM-5BC5V 60-69 years, male 11136.1
GTEX-TMMY-0226-SM-33HBA 40-49 years, female 11135.3
GTEX-1RLM8-2326-SM-EWRN4 50-59 years, male 11125.0
GTEX-15SHU-0126-SM-7KUEH 40-49 years, female 11123.4
GTEX-11VI4-1726-SM-5CVLH 40-49 years, female 11099.7
GTEX-13W46-0226-SM-5SIAG 50-59 years, male 11037.6
GTEX-11P81-2326-SM-59875 30-39 years, female 10999.7
GTEX-1J8JJ-0226-SM-CL53I 60-69 years, female 10967.9
GTEX-XBED-2226-SM-47JYQ 60-69 years, male 10965.2
GTEX-1JKYN-1326-SM-CGQG9 30-39 years, male 10952.0
GTEX-11TUW-2726-SM-E9J4M 60-69 years, male 10951.9
GTEX-1QP29-0626-SM-EWRMX 50-59 years, male 10943.0
GTEX-1C6WA-0126-SM-7PC2B 60-69 years, male 10935.0
GTEX-OXRO-0126-SM-2YUN4 60-69 years, female 10915.4
GTEX-1PPH7-2326-SM-EVYB8 40-49 years, male 10913.6
GTEX-13OW8-1326-SM-5J1OW 60-69 years, male 10894.8
GTEX-1JN76-0126-SM-CNPPE 20-29 years, female 10868.8
GTEX-11GSP-2526-SM-5N9BP 60-69 years, female 10860.6
GTEX-14E6E-1826-SM-5S2R7 30-39 years, male 10849.4
GTEX-1IE54-0126-SM-CMKHW 40-49 years, female 10844.8
GTEX-13JUV-2726-SM-5LZZ8 40-49 years, female 10839.0
GTEX-15D1Q-0126-SM-7KUG6 40-49 years, male 10834.5
GTEX-1MJK2-0426-SM-DTXE5 50-59 years, male 10826.0
GTEX-148VI-1626-SM-5SI6E 60-69 years, female 10825.2
GTEX-146FR-1326-SM-E9J48 60-69 years, female 10785.9
GTEX-V1D1-2226-SM-3NMAX 50-59 years, male 10757.2
GTEX-11O72-0126-SM-59887 40-49 years, male 10749.9
GTEX-1I1GU-2226-SM-CGQFA 40-49 years, male 10744.9
GTEX-13U4I-0126-SM-5LU38 40-49 years, female 10740.9
GTEX-1AMFI-2026-SM-731BH 50-59 years, female 10723.3
GTEX-12WSE-0526-SM-793B2 20-29 years, male 10713.6
GTEX-13O1R-0126-SM-5L3EH 60-69 years, male 10705.6
GTEX-12584-0126-SM-5EGKQ 40-49 years, male 10705.4
GTEX-14BIL-0126-SM-5SI92 50-59 years, male 10660.5
GTEX-1OJC4-0126-SM-E9J2E 50-59 years, female 10648.7
GTEX-1GN1W-0526-SM-9MQJQ 50-59 years, female 10617.8
GTEX-1LBAC-0126-SM-DIPEZ 20-29 years, male 10606.4
GTEX-ZF29-2326-SM-DO92K 60-69 years, female 10603.5
GTEX-18A7A-0226-SM-718BH 50-59 years, female 10594.2
GTEX-XYKS-2126-SM-4E3IB 60-69 years, female 10583.0
GTEX-1B933-0126-SM-7PC29 50-59 years, female 10568.3
GTEX-18465-0126-SM-731BN 50-59 years, male 10563.9
GTEX-145LS-0126-SM-5QGP1 60-69 years, female 10546.0
GTEX-14XAO-2326-SM-6EU1B 60-69 years, female 10543.1
GTEX-13OVH-0126-SM-5MR4B 70-79 years, male 10489.8
GTEX-183WM-0126-SM-7LTAB 70-79 years, female 10479.6
GTEX-14ABY-0226-SM-5TDCQ 50-59 years, male 10469.0
GTEX-18D9A-1926-SM-7LG6P 30-39 years, female 10468.8
GTEX-16XZZ-0126-SM-793DV 60-69 years, male 10456.8
GTEX-1GF9W-0326-SM-9KNUN 60-69 years, male 10453.7
GTEX-1H4P4-0726-SM-9YFLR 50-59 years, male 10450.8
GTEX-1NHNU-1026-SM-E9J2A 50-59 years, male 10438.7
GTEX-139TT-0126-SM-5K7Y5 60-69 years, male 10418.7
GTEX-1R7EV-2426-SM-EVYBG 40-49 years, male 10399.3
GTEX-1KD4Q-0226-SM-E9TJ9 40-49 years, male 10382.3
GTEX-13IVO-0126-SM-5J1NG 70-79 years, male 10364.6
GTEX-1IY9M-0126-SM-D3L8S 60-69 years, male 10362.6
GTEX-14A5I-0126-SM-5TDEA 50-59 years, female 10347.0
GTEX-X261-0126-SM-3NMD6 50-59 years, male 10343.1
GTEX-14DAQ-0126-SM-5S2MQ 60-69 years, female 10328.9
GTEX-Z9EW-1626-SM-5CVMN 40-49 years, male 10315.4
GTEX-1212Z-2526-SM-5EGKP 60-69 years, male 10276.7
GTEX-1HBPN-0226-SM-9YFM1 50-59 years, male 10269.1
GTEX-1JJEA-0326-SM-CNPOT 60-69 years, male 10179.2
GTEX-113JC-2326-SM-5EQ4E 50-59 years, female 10153.2
GTEX-1GPI6-0126-SM-9WG69 60-69 years, male 10137.6
GTEX-U8XE-0326-SM-3DB8P 30-39 years, male 10120.4
GTEX-131XF-5016-SM-7MGWE 60-69 years, male 10116.8
GTEX-1J8QM-2126-SM-CYPSJ 60-69 years, female 10084.0
GTEX-1JMPZ-0226-SM-CNPP1 30-39 years, male 10061.3
GTEX-1GZHY-0326-SM-9QEHI 50-59 years, female 10058.9
GTEX-1K9T9-0126-SM-EVYCF 50-59 years, female 10018.4
GTEX-RWSA-0126-SM-2XCBB 40-49 years, male 10009.6
GTEX-R55G-2526-SM-2TC6D 40-49 years, female 10007.5
GTEX-1B996-0226-SM-7RHGO 60-69 years, male 10005.9
GTEX-12KS4-0326-SM-5EQ41 30-39 years, male 9988.0
GTEX-1QP2A-0126-SM-E9J43 50-59 years, male 9975.1
GTEX-14PJM-0226-SM-62LF1 50-59 years, female 9942.4
GTEX-1IL2V-0126-SM-CM2TX 70-79 years, male 9938.7
GTEX-ZXG5-0126-SM-5GIEU 60-69 years, male 9926.7
GTEX-13N1W-0126-SM-5K7VT 70-79 years, male 9914.2
GTEX-WQUQ-0426-SM-3MJFU 60-69 years, male 9909.3
GTEX-11EI6-0126-SM-5985R 60-69 years, male 9889.2
GTEX-1LH75-2426-SM-E9TJE 50-59 years, female 9874.2
GTEX-145LU-0126-SM-5TDCB 50-59 years, male 9871.8
GTEX-14E6C-0126-SM-5RQIP 40-49 years, male 9860.3
GTEX-1GN1U-0126-SM-7PBZK 50-59 years, female 9860.0
GTEX-1GF9V-0326-SM-7RHI5 60-69 years, male 9845.2
GTEX-14JIY-0126-SM-6LLH6 60-69 years, male 9840.8
GTEX-11XUK-2026-SM-5EQLF 40-49 years, female 9824.7
GTEX-1ICLZ-0126-SM-CKZPO 60-69 years, male 9800.4
GTEX-1BAJH-0526-SM-793CQ 70-79 years, male 9759.8
GTEX-1QCLY-0326-SM-E8VOG 30-39 years, male 9751.4
GTEX-11ZVC-2526-SM-5FQTE 50-59 years, female 9744.6
GTEX-1CB4G-0226-SM-7PC3O 60-69 years, male 9744.0
GTEX-11OF3-2626-SM-5GU7F 60-69 years, male 9720.7
GTEX-12WSN-5019-SM-79OM6 40-49 years, male 9703.1
GTEX-1IGQW-0126-SM-COH42 60-69 years, male 9700.2
GTEX-1B8SG-0126-SM-73KZ3 50-59 years, male 9684.8
GTEX-18A67-0126-SM-7LG5P 50-59 years, male 9668.0
GTEX-OIZF-0126-SM-7SB8I 60-69 years, male 9666.2
GTEX-Y5V5-2326-SM-4V6GA 60-69 years, female 9605.7
GTEX-11ZU8-2526-SM-5EQKI 60-69 years, male 9600.8
GTEX-1N2DV-0226-SM-E6CJ6 40-49 years, male 9535.6
GTEX-1E2YA-0126-SM-9KNUC 50-59 years, male 9531.8
GTEX-1F88F-2726-SM-7PBZZ 60-69 years, female 9518.9
GTEX-1B8KE-2126-SM-73KYX 50-59 years, male 9491.9
GTEX-1IDJU-2626-SM-CM2RT 60-69 years, female 9435.9
GTEX-1LGOU-2026-SM-DIPFF 20-29 years, female 9422.1
GTEX-QLQ7-1626-SM-2S1R8 60-69 years, male 9400.5
GTEX-S7PM-0126-SM-4AD6S 60-69 years, male 9370.0
GTEX-13NYC-0326-SM-E9J4S 60-69 years, male 9353.4
GTEX-13PDP-0126-SM-5L3HD 60-69 years, male 9348.8
GTEX-1I1CD-0126-SM-CM2TK 60-69 years, female 9278.6
GTEX-WOFL-0126-SM-3MJG2 60-69 years, male 9265.9
GTEX-1192W-2626-SM-5Q5AF 60-69 years, male 9252.5
GTEX-13VXT-0126-SM-5LU4I 20-29 years, female 9245.6
GTEX-1C64N-0126-SM-793D7 50-59 years, male 9229.3
GTEX-1MA7W-2026-SM-E9TJ6 20-29 years, female 9183.1
GTEX-1J8Q2-0526-SM-CM2RW 60-69 years, male 9157.9
GTEX-13X6I-0626-SM-5QGP9 60-69 years, male 9142.4
GTEX-1JJE9-0326-SM-CL53Z 70-79 years, male 9134.8
GTEX-1GMRU-0126-SM-9YFLV 50-59 years, male 9134.2
GTEX-16NGA-1726-SM-731B4 40-49 years, female 9095.5
GTEX-WYVS-2126-SM-3NMA3 40-49 years, female 9090.7
GTEX-1AX9K-2326-SM-73KWU 50-59 years, male 9078.6
GTEX-R55E-0126-SM-2TC5Y 20-29 years, male 9078.6
GTEX-1JMQJ-0526-SM-CYPSU 50-59 years, male 9065.7
GTEX-133LE-1826-SM-5J1MV 20-29 years, female 9048.5
GTEX-1K2DU-2326-SM-E9TIV 20-29 years, male 9035.4
GTEX-1PWST-0226-SM-E76QJ 70-79 years, male 9021.7
GTEX-131XH-2226-SM-5DUXJ 50-59 years, male 9020.0
GTEX-13N11-2526-SM-5K7UE 50-59 years, female 8953.3
GTEX-1EKGG-0226-SM-9WYTH 60-69 years, male 8945.2
GTEX-ZQG8-1626-SM-DHXIT 60-69 years, female 8929.3
GTEX-13X6H-2126-SM-7EWD5 50-59 years, female 8928.3
GTEX-13OVG-1926-SM-5L3DK 60-69 years, male 8926.9
GTEX-17HGU-0226-SM-7DHKV 50-59 years, male 8913.9
GTEX-11WQC-2526-SM-5CVLE 60-69 years, male 8893.1
GTEX-1HSMP-0126-SM-E6CJS 70-79 years, male 8871.5
GTEX-12ZZX-0126-SM-5EGK9 40-49 years, female 8868.0
GTEX-1A32A-0126-SM-718B1 50-59 years, female 8859.9
GTEX-1LB8K-0226-SM-EWRNW 50-59 years, male 8850.9
GTEX-1B8SF-1426-SM-7DUGL 60-69 years, male 8840.4
GTEX-1JK1U-2026-SM-CM2RZ 60-69 years, male 8790.4
GTEX-1HSKV-0226-SM-A9SKJ 60-69 years, male 8767.6
GTEX-13OVI-1426-SM-5L3EY 60-69 years, female 8736.5
GTEX-1H3NZ-0126-SM-ACKX7 60-69 years, male 8687.3
GTEX-17HG3-2226-SM-7938L 30-39 years, female 8643.0
GTEX-ZYY3-0126-SM-5GZY5 60-69 years, female 8641.5
GTEX-1269C-2526-SM-5EGJ3 60-69 years, female 8630.4
GTEX-1O97I-0326-SM-EYYX7 60-69 years, male 8590.3
GTEX-POMQ-2226-SM-2I5FK 20-29 years, female 8564.0
GTEX-ZVT3-0126-SM-5GU6I 60-69 years, female 8561.6
GTEX-1CB4H-0226-SM-7PBXM 60-69 years, female 8557.5
GTEX-ZVE2-0226-SM-59HJB 50-59 years, male 8535.0
GTEX-16YQH-0126-SM-7DUFJ 30-39 years, male 8523.9
GTEX-15DCD-0126-SM-7KUEK 70-79 years, female 8483.6
GTEX-1H3VE-0326-SM-9YFLH 40-49 years, male 8477.3
GTEX-17JCI-0126-SM-7LG5G 60-69 years, female 8464.6
GTEX-1HUB1-0426-SM-E9U4U 60-69 years, male 8441.4
GTEX-1HBPH-0426-SM-B2LW5 40-49 years, female 8409.6
GTEX-XMD2-0126-SM-4YCDU 60-69 years, female 8355.2
GTEX-13113-5016-SM-7EPIP 60-69 years, female 8330.0
GTEX-12ZZY-0226-SM-5LZVE 60-69 years, male 8325.8
GTEX-1F5PK-2426-SM-7RHHY 50-59 years, male 8317.9
GTEX-TSE9-0126-SM-3DB83 60-69 years, female 8274.0
GTEX-15ER7-0326-SM-7KUEV 20-29 years, female 8260.7
GTEX-1GMR8-0126-SM-9WYTM 50-59 years, female 8235.6
GTEX-1IKOH-0226-SM-COH4E 60-69 years, female 8219.2
GTEX-1C6VQ-0126-SM-7P8RI 50-59 years, male 8215.5
GTEX-17EVP-0326-SM-7DHLG 40-49 years, male 8208.0
GTEX-14BIN-0626-SM-793DP 50-59 years, female 8199.8
GTEX-1AYD5-2426-SM-73KXR 50-59 years, male 8198.0
GTEX-1F48J-0126-SM-7P8TT 50-59 years, female 8180.3
GTEX-18D9B-0526-SM-7LTAS 60-69 years, male 8157.8
GTEX-1I1GQ-0126-SM-COH3H 50-59 years, male 8152.6
GTEX-1PDJ9-0326-SM-DTX95 20-29 years, male 8075.9
GTEX-12WSC-0126-SM-5EQ4P 50-59 years, male 8059.9
GTEX-144GL-0126-SM-5TDE2 50-59 years, male 8023.6
GTEX-15DYW-0126-SM-7KULE 60-69 years, female 8014.1
GTEX-148VJ-0126-SM-5TDDN 70-79 years, male 7974.9
GTEX-17HHY-0126-SM-7LG5D 50-59 years, male 7967.3
GTEX-WFON-2126-SM-3LK7O 40-49 years, male 7966.5
GTEX-13OW6-0426-SM-5L3HM 50-59 years, male 7942.6
GTEX-14BMV-0126-SM-5S2PO 50-59 years, male 7896.4
GTEX-1GL5R-1826-SM-9KNUY 50-59 years, male 7895.3
GTEX-1CB4J-0626-SM-7DHMP 60-69 years, male 7894.8
GTEX-1C6VS-0526-SM-7DUEN 60-69 years, male 7893.9
GTEX-1B97I-1626-SM-73KYO 40-49 years, male 7883.0
GTEX-13OW5-0126-SM-DTXFS 60-69 years, male 7866.0
GTEX-11EMC-2926-SM-5EQ4F 60-69 years, female 7835.9
GTEX-1JMQK-0226-SM-CL543 60-69 years, male 7806.7
GTEX-14E7W-0126-SM-6LLJ9 70-79 years, male 7757.6
GTEX-1GMR3-1926-SM-9KNUZ 40-49 years, male 7732.5
GTEX-OXRP-0126-SM-3NB32 60-69 years, female 7716.4
GTEX-13RTL-0126-SM-7LG5S 40-49 years, male 7714.5
GTEX-1E1VI-0126-SM-7DHMZ 50-59 years, male 7654.9
GTEX-17MF6-0126-SM-7LG4F 40-49 years, male 7652.0
GTEX-S32W-2126-SM-2XCB1 50-59 years, female 7645.3
GTEX-11LCK-1026-SM-5A5KB 30-39 years, male 7588.5
GTEX-1AX9J-0226-SM-73KXM 60-69 years, male 7578.8
GTEX-1A3MX-0126-SM-731BR 60-69 years, male 7533.7
GTEX-ZUA1-0126-SM-5GU76 40-49 years, male 7519.5
GTEX-17KNJ-2326-SM-7DHLQ 50-59 years, male 7489.5
GTEX-1EU9M-0226-SM-7P8SP 60-69 years, male 7483.7
GTEX-ZPIC-1726-SM-DHXIU 40-49 years, female 7452.5
GTEX-1I1GR-0126-SM-CL55F 60-69 years, male 7433.6
GTEX-16AAH-1726-SM-7939C 50-59 years, male 7411.8
GTEX-14PHW-0126-SM-6LLJI 60-69 years, female 7397.1
GTEX-1IKJJ-0126-SM-CNPQB 60-69 years, male 7373.1
GTEX-11H98-0126-SM-5EGHG 50-59 years, male 7312.7
GTEX-1KD5A-0226-SM-D5OV3 50-59 years, male 7250.6
GTEX-1C6VR-2426-SM-79OLD 60-69 years, male 7235.3
GTEX-17F96-1626-SM-7DUFL 70-79 years, male 7234.1
GTEX-1LSNM-1926-SM-E6CII 50-59 years, male 7180.3
GTEX-1M4P7-0226-SM-DIPEV 60-69 years, male 7173.0
GTEX-1HB9E-0226-SM-E9U4R 50-59 years, male 7124.2
GTEX-1A3MW-0126-SM-73KXX 60-69 years, female 7104.3
GTEX-1RAZA-0126-SM-E6CI3 20-29 years, male 7104.1
GTEX-15EU6-0426-SM-6PAN5 50-59 years, male 7074.5
GTEX-16BQI-0226-SM-7KUEX 30-39 years, female 6862.8
GTEX-17EVQ-0226-SM-7LG4P 70-79 years, male 6853.9
GTEX-1LC47-0326-SM-E9TJP 60-69 years, male 6815.3
GTEX-ZYW4-0126-SM-5E44A 60-69 years, male 6747.9
GTEX-1HCU7-0226-SM-CL545 50-59 years, male 6686.1
GTEX-18A7B-0126-SM-7LG64 70-79 years, male 6669.0
GTEX-17HII-0226-SM-7LG4E 50-59 years, male 6442.2
GTEX-13YAN-0326-SM-5O9DF 60-69 years, male 6441.2
GTEX-15DDE-0126-SM-6LPKH 50-59 years, female 6396.5
GTEX-1HFI7-1826-SM-ACKXH 50-59 years, female 6395.5
GTEX-ZVT4-0126-SM-DTXFN 50-59 years, female 6369.6
GTEX-13SLX-0526-SM-5S2ON 50-59 years, female 6317.4
GTEX-14C5O-0126-SM-5SI6N 60-69 years, male 6263.8
GTEX-1POEN-0126-SM-EYYXJ 30-39 years, female 6248.1
GTEX-12WSL-2526-SM-5GCNJ 50-59 years, male 6206.2
GTEX-1JJ6O-0126-SM-E6CI8 60-69 years, male 5993.4
GTEX-1IL2U-0226-SM-CE6T8 60-69 years, male 5903.0
GTEX-1HSMQ-1226-SM-CGQFX 50-59 years, male 5751.9
GTEX-1RQEC-0426-SM-E6CHU 60-69 years, male 5722.1
GTEX-1JMOU-1526-SM-CL54I 60-69 years, female 5674.8
GTEX-139TU-0126-SM-5K7WH 60-69 years, male 5667.4
GTEX-1A8FM-0226-SM-7SB7Q 50-59 years, female 5512.0
GTEX-18A66-0226-SM-718BD 60-69 years, male 5495.4
GTEX-1C475-1826-SM-73KWA 40-49 years, female 5418.7
GTEX-131XE-2326-SM-5PNZ2 50-59 years, male 5276.0
GTEX-11WQK-0526-SM-5EQLD 50-59 years, male 5272.4
GTEX-1N2EF-0226-SM-EYYXB 60-69 years, male 5175.9
GTEX-15UKP-0426-SM-7KUFQ 20-29 years, male 5073.5
GTEX-1S82Z-0826-SM-E6CHY 30-39 years, female 5037.6
GTEX-1R9K4-0126-SM-DTX9X 60-69 years, male 4915.3
GTEX-1L5NE-2526-SM-E6CIE 50-59 years, male 4862.8
GTEX-1QMI2-0226-SM-EVYBX 60-69 years, male 4744.1
GTEX-15EOM-0126-SM-7KUGG 20-29 years, female 4663.2
GTEX-1QEPI-0126-SM-EWRMQ 60-69 years, female 4588.8
GTEX-1KANB-0526-SM-E6CJH 50-59 years, male 4572.7
GTEX-1MA7X-2226-SM-E6CIY 60-69 years, male 4507.5
GTEX-15SHW-0326-SM-6PAML 60-69 years, male 4379.9
GTEX-SN8G-0126-SM-32PLI 50-59 years, female 4212.5
GTEX-1EN7A-0126-SM-7SB81 40-49 years, male 3095.5
Show allShow less

Contact

  • NEWS ARTICLES
  • PRESS ROOM

The Project

  • INTRODUCTION
  • ORGANIZATION
  • PUBLICATIONS

The Human Protein Atlas

  • DOWNLOADABLE DATA
  • LICENCE & CITATION
  • HELP & FAQ
The Human Protein Atlas project is funded
by the Knut & Alice Wallenberg Foundation.


contact@proteinatlas.org