We use cookies to enhance the usability of our website. If you continue, we'll assume that you are happy to receive all cookies. More information. Don't show this again.
MT-ND4
HPA
RESOURCES
  • TISSUE
  • BRAIN
  • SINGLE CELL
  • SUBCELLULAR
  • CANCER
  • BLOOD
  • CELL LINE
  • STRUCTURE & INTERACTION
ABOUT
  • INTRODUCTION
  • HISTORY
  • ORGANIZATION
  • PUBLICATIONS
  • ANTIBODY SUBMISSION
  • ANTIBODY AVAILABILITY
  • ACKNOWLEDGMENTS
  • CONTACT
NEWS
  • NEWS ARTICLES
  • PRESS ROOM
LEARN
  • DICTIONARY
  • PROTEIN CLASSES
  • PROTEIN EVIDENCE
  • METHODS
  • EDUCATIONAL VIDEOS
DATA
  • DOWNLOADABLE DATA
  • PUBLICATION DATA
  • RELEASE HISTORY
HELP
  • ANTIBODY VALIDATION
  • ASSAYS & ANNOTATION
  • DISCLAIMER
  • HELP & FAQ
  • PRIVACY STATEMENT
  • LICENCE & CITATION
Fields »
Search result

Field
Term
Gene name
Class
Subclass
Class
Keyword
Chromosome
External id
Tissue
Cell type
Expression
Antibody panel
Tissue
Main location
Patient ID
Annotation
Tissue
Category
Tau score
Cluster
Reliability
Brain region
Category
Tau score
Brain region
Category
Tau score
Brain region
Category
Tau score
Cluster
Reliability
Tissue
Cell type
Enrichment
Cell type
Category
Tau score
Cell type
Category
Tau score
Cell type
Category
Tau score
Cell lineage
Category
Tau score
Cluster
Cluster
Location
Searches
Location
Cell line
Class
Type
Phase
Reliability
Cancer
Prognosis
Cancer
Category
Cancer
Category
Tau score
Cluster
Variants
Interacting gene (ensg_id)
Type
Number of interactions
Pathway
Category
Score
Score
Score
Validation
Validation
Validation
Validation
Antibodies
Data type
Column


  • SUMMARY

  • TISSUE

  • BRAIN

  • SINGLE CELL

  • SUBCELL

  • CANCER

  • BLOOD

  • CELL LINE

  • STRUCT & INT

  • MT-ND4
BRAIN CEREBELLUM Show tissue menu
AMYGDALA BASAL GANGLIA CEREBELLUM CEREBRAL CORTEX CHOROID PLEXUS HIPPOCAMPAL FORMATION HYPOTHALAMUS MEDULLA OBLONGATA
MIDBRAIN OLFACTORY BULB PITUITARY GLAND PONS RETINA SPINAL CORD THALAMUS WHITE MATTER
ANTIBODIES
AND
VALIDATION
Brain proteome
Cerebellum
CEREBELLUM - Expression summary
Protein expression
Cerebellumi

On the top, protein expression in current human tissue, based on all annotated cell types, is reported with the units not detected (n), low (l), medium (m) and high (h). Underneath, protein expression in each annotated cell type are reported using the same units.

Protein expression data is based on knowledge-based annotation. For genes where more than one antibody has been used, a collective score is set.

If knowledge-based annotation could not be performed for a gene, no data is displayed here. View antibody staining data further down this page.

h
m
l
n
Cells in granular layer: Medium
Cells in molecular layer: Low
Purkinje cells: Medium
RNA expressioni

A summary of mRNA expression data available for current tissue based on several datasets. The mRNA expression levels in human tissues are based on RNA-seq data generated by the Human Protein Atlas (HPA), Genotype-Tissue Expression (GTEx) portal and CAGE data generated by the FANTOM5 consortium. Consensus normalized expression levels for human tissues was created by combining the data from HPA and GTEx datasets.

The mRNA expression levels in pig are based on RNA-seq data generated by the Human Protein Atlas (HPA), and for mouse, HPA data and in situ hybridization generated by the Allen brain atlas are reported.

Scroll down to view mRNA expression data in more detail.
Consensus:27492.6 nTPM
HPA Brain:33588.7 nTPM
GTEx:27492.6 nTPM
Pig:4344.1 nTPM
Mouse:7818.3 nTPM
Allen mouse:4.1 Expression energy

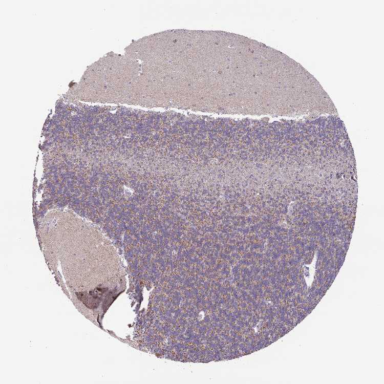
CEREBELLUM - Antibody stainingi

Antibody staining in the annotated cell types in the current human tissue is reported as not detected, low, medium, or high, based on conventional immunohistochemistry profiling in selected tissues. This score is based on the combination of the staining intensity and fraction of stained cells.

Each image is clickable and will lead to virtual microscopy that enables deeper exploration of all samples and also displays staining intensity scores, fraction scores and subcellular localization as well as patient and tissue information for each sample.

Antibody HPA053928
Purkinje cells Medium
Cells in granular layer Medium
Cells in molecular layer Low



CEREBELLUM - HPA Brain RNA-seq
Max subtype nTPMi

Max subtype nTPM is the value for the subtype with the largest average nTPM across the subtype samples.

33588.7
Sample id Sample description nTPM
Cerebellar cortex
nTPM: 25468.0
1769 Male, age 76, right hemisphere 70420.3
1774 Male, age 80, left hemisphere 32423.9
2003 Female, age 85, right hemisphere 26091.6
1768 Female, age 72, unknown 23771.4
2055 Female, age 91, right hemisphere 23357.3
2006 Male, age 61, right hemisphere 10288.0
1788 Male, age 55, unknown 9662.5
2101 Male, age 74, right hemisphere 7729.5
Cerebellar nuclei
nTPM: 28909.0
2882 Male, age 76, left hemisphere 65580.7
2177 Female, age 85, both hemispheres 49647.3
2005 Male, age 80, left hemisphere 28895.1
2175 Male, age 61, right hemisphere 26423.7
1871 Male, age 74, unknown 23171.2
1879 Male, age 55, unknown 20297.6
1966 Female, age 91, left hemisphere 18331.3
2783 Female, age 72, unknown 13966.0
2318 Male, age 74, left hemisphere 13867.7
Flocculonodular lobe
nTPM: 32749.1
1767 Male, age 76, left hemisphere 67773.9
1765 Male, age 55, unknown 47844.3
1771 Male, age 80, left hemisphere 40345.0
2176 Female, age 91, right hemisphere 30424.6
1835 Female, age 85, right hemisphere 17214.8
1792 Male, age 74, unknown 17179.3
2004 Male, age 61, right hemisphere 8462.0
Vermis
nTPM: 33588.7
1770 Male, age 76, left hemisphere 83532.9
1766 Male, age 55, unknown 56950.4
1778 Female, age 91, left hemisphere 47791.7
2834 Male, age 80, left hemisphere 26680.9
1825 Male, age 74, unknown 23291.9
1751 Male, age 74, right hemisphere 21724.9
1988 Female, age 85, left hemisphere 17037.9
2460 Male, age 61, both hemispheres 16153.1
1928 Female, age 72, unknown 9134.7

CEREBELLUM - GTEx RNA-seqi

RNA-Seq data generated by the Genotype-Tissue Expression (GTEx) project from human tissues is reported as mean nTPM. More information can be found on the GTEx portal.

Distribution across the dataset is visualized with box plots, shown as median and 25th and 75th percentiles. Points are displayed as outliers if they are above or below 1.5 times the interquartile range. nTPM values of the individual samples are presented next to the box plot.
Max subtype nTPMi

Max subtype nTPM is the value for the subtype with the largest average nTPM across the subtype samples.

27492.6
GTEx sample id Sample description nTPM
Brain - Cerebellar Hemisphere
Average nTPM: 27048.0
Samples: 215

Max nTPM: 185426.7
Min nTPM: 2549.6
Std nTPM: 28768.1
Median nTPM: 17524.7
GTEX-1CAV2-0011-R11a-SM-ARU8D 40-49 years, female 185426.7
GTEX-131XW-0011-R11a-SM-5DUV9 50-59 years, female 167122.1
GTEX-139UW-0011-R11a-SM-5IJGN 60-69 years, male 164665.4
GTEX-1LKK1-0011-R11a-SM-EXOIG 50-59 years, female 147226.8
GTEX-ZF28-0011-R11a-SM-4WWEI 60-69 years, male 140059.5
GTEX-1IOXB-0011-R11a-SM-A9G1X 50-59 years, male 134403.1
GTEX-16NPV-0011-R11a-SM-7IGMK 50-59 years, female 123496.5
GTEX-1J8Q2-0011-R11a-SM-A9SKI 60-69 years, male 104790.4
GTEX-14C39-0011-R11b-SM-5YYAF 40-49 years, male 92215.9
GTEX-OHPN-0011-R11A-SM-2I5FM 60-69 years, female 85761.8
GTEX-13PLJ-0011-R11b-SM-5O9BS 60-69 years, female 85051.6
GTEX-13CZV-0011-R11b-SM-5N9FN 60-69 years, male 84823.9
GTEX-1B8SG-0011-R11a-SM-7P8PF 50-59 years, male 79279.0
GTEX-16XZZ-0011-R11a-SM-7EPI3 60-69 years, male 79001.1
GTEX-1HUB1-0011-R11b-SM-CE6SC 60-69 years, male 74906.9
GTEX-11EI6-0011-R11a-SM-DO11V 60-69 years, male 64523.3
GTEX-16Z82-0011-R11a-SM-79OKJ 60-69 years, male 62902.5
GTEX-1GZHY-0011-R11a-SM-C1YRQ 50-59 years, female 59830.1
GTEX-13PVQ-0011-R11a-SM-5O9DU 50-59 years, male 57442.0
GTEX-17EVQ-0011-R11a-SM-7LT9C 70-79 years, male 55069.1
GTEX-ZE9C-0011-R11a-SM-4WKGG 60-69 years, male 53774.8
GTEX-1C64N-0011-R11b-SM-7P8Q6 50-59 years, male 52498.2
GTEX-13NZA-0011-R11b-SM-5KM4W 60-69 years, male 49358.7
GTEX-11WQC-0011-R11b-SM-57WD6 60-69 years, male 47720.3
GTEX-N7MT-0011-R11A-SM-2I3DZ 60-69 years, female 47448.2
GTEX-1H4P4-0011-R11b-SM-CE6S8 50-59 years, male 45544.3
GTEX-13QIC-0011-R11b-SM-5O9BU 60-69 years, female 44377.1
GTEX-145MI-0011-R11a-SM-5P9JZ 60-69 years, female 44169.5
GTEX-1IKOH-0011-R11a-SM-AHZ38 60-69 years, female 43732.6
GTEX-1BAJH-0011-R11b-SM-7IGLM 70-79 years, male 41787.4
GTEX-183WM-0011-R11a-SM-718A5 70-79 years, female 41101.4
GTEX-1M4P7-0011-R11b-SM-EXOIK 60-69 years, male 40439.7
GTEX-ZVT3-0011-R11b-SM-57WBI 60-69 years, female 38666.2
GTEX-12WSD-0011-R11a-SM-9OSVC 60-69 years, female 38490.8
GTEX-1E1VI-0011-R11a-SM-9OSWI 50-59 years, male 38403.9
GTEX-11EMC-0011-R11b-SM-DNZZK 60-69 years, female 36712.7
GTEX-1GMRU-0011-R11b-SM-C1YQ4 50-59 years, male 36362.5
GTEX-13OW8-0011-R11a-SM-5L3GT 60-69 years, male 35158.1
GTEX-1F75W-0011-R11b-SM-AHZ34 60-69 years, male 34887.4
GTEX-16GPK-0011-R11b-SM-7MKFF 60-69 years, male 34816.3
GTEX-ZE7O-0011-R11a-SM-57WBC 50-59 years, female 34154.5
GTEX-1JMOU-0011-R11b-SM-EXUTA 60-69 years, female 33740.0
GTEX-14BIN-0011-R11a-SM-5SI79 50-59 years, female 33549.8
GTEX-132Q8-0011-R11b-SM-5DUW9 60-69 years, male 33252.7
GTEX-1R9K4-0011-R11a-SM-EZ6N9 60-69 years, male 32891.3
GTEX-1JJ6O-0011-R11b-SM-EXUS2 60-69 years, male 31158.0
GTEX-17JCI-0011-R11a-SM-7189Y 60-69 years, female 30931.5
GTEX-1I19N-0011-R11b-SM-ARU6Y 70-79 years, male 30882.4
GTEX-NL4W-0011-R11A-SM-2I3DW 50-59 years, male 30758.4
GTEX-1GF9W-0011-R11b-SM-9OSXG 60-69 years, male 30347.6
GTEX-1HCU6-0011-R11b-SM-AHZ2F 60-69 years, female 30039.9
GTEX-13FTY-0011-R11a-SM-5IJEA 40-49 years, female 29242.0
GTEX-12WSF-0011-R11a-SM-5LZVT 70-79 years, male 28861.0
GTEX-1EKGG-0011-R11a-SM-9QEHZ 60-69 years, male 28641.5
GTEX-1J8EW-0011-R11a-SM-AHZ37 60-69 years, female 28488.0
GTEX-1IL2U-0011-R11a-SM-CE6SO 60-69 years, male 27442.3
GTEX-UTHO-0011-R11A-SM-3GIJE 60-69 years, male 27247.4
GTEX-145LU-0011-R11b-SM-5P9JX 50-59 years, male 27117.9
GTEX-XMD1-0011-R11A-SM-4AT5J 60-69 years, male 27024.1
GTEX-WHSE-0011-R11A-SM-3P5YY 20-29 years, male 26854.5
GTEX-1H3O1-0011-R11a-SM-A96RV 60-69 years, male 26109.4
GTEX-NPJ7-0011-R11A-SM-2I3E8 60-69 years, female 25964.2
GTEX-1GMR8-0011-R11b-SM-9OSX2 50-59 years, female 25960.6
GTEX-1I1HK-0011-R11a-SM-B2LVN 60-69 years, male 25926.8
GTEX-13FHP-0011-R11b-SM-5LZXP 50-59 years, male 25918.7
GTEX-1LVAO-0011-R11b-SM-EXOI8 60-69 years, male 25807.1
GTEX-1JJEA-0011-R11a-SM-EXUTE 60-69 years, male 25457.3
GTEX-1GTWX-0011-R11b-SM-C1YQJ 60-69 years, male 25420.6
GTEX-13JVG-0011-R11a-SM-5KM53 60-69 years, male 25212.0
GTEX-11ZTS-0011-R11a-SM-DO113 60-69 years, female 24849.7
GTEX-1H1DG-0011-R11a-SM-C1YQK 70-79 years, male 24673.8
GTEX-18A6Q-0011-R11a-SM-72D6H 60-69 years, male 24627.4
GTEX-1IGQW-0011-R11a-SM-C1YRV 60-69 years, male 24613.9
GTEX-14E7W-0011-R11a-SM-5ZZVA 70-79 years, male 24528.3
GTEX-ZVZQ-0011-R11a-SM-51MS6 60-69 years, female 24265.0
GTEX-13X6I-0011-R11a-SM-5P9HN 60-69 years, male 24097.9
GTEX-14ASI-0011-R11b-SM-6AJBJ 60-69 years, male 23600.7
GTEX-12WSH-0011-R11a-SM-5LZVM 50-59 years, male 23557.8
GTEX-1F52S-0011-R11a-SM-CJI23 60-69 years, female 22243.4
GTEX-RVPV-0011-R11A-SM-2TF6F 60-69 years, male 21841.3
GTEX-1F48J-0011-R11b-SM-9OSWV 50-59 years, female 21663.0
GTEX-13CF2-0011-R11b-SM-5LZXO 60-69 years, male 21333.1
GTEX-X261-0011-R11A-SM-4E3JY 50-59 years, male 21063.5
GTEX-1GZ4I-0011-R11b-SM-9OSWR 50-59 years, male 20938.1
GTEX-14E6D-0011-R11b-SM-664NP 50-59 years, male 20824.8
GTEX-RU72-0011-R11A-SM-CM2U1 50-59 years, female 20384.3
GTEX-1H3VE-0011-R11b-SM-C1YRP 40-49 years, male 20284.7
GTEX-13O3O-0011-R11b-SM-5KM4G 60-69 years, female 20249.0
GTEX-1B933-0011-R11a-SM-7P8PM 50-59 years, female 19848.4
GTEX-1IL2V-0011-R11a-SM-ARU6T 70-79 years, male 19797.0
GTEX-14BIM-0011-R11b-SM-5S2RN 60-69 years, female 19735.1
GTEX-13OW7-0011-R11a-SM-5O9DY 50-59 years, male 19689.2
GTEX-13JUV-0011-R11a-SM-5LZYH 40-49 years, female 19590.2
GTEX-1I1GV-0011-R11a-SM-CJI3Z 60-69 years, male 19050.5
GTEX-13X6J-0011-R11a-SM-5P9HE 50-59 years, male 18885.3
GTEX-TSE9-0011-R11A-SM-3DB7N 60-69 years, female 18868.7
GTEX-1H3NZ-0011-R11b-SM-CE6SF 60-69 years, male 18767.6
GTEX-13RTJ-0011-R11a-SM-5O9CK 60-69 years, male 18742.8
GTEX-1HGF4-0011-R11a-SM-C1YRR 60-69 years, male 18228.0
GTEX-1A3MX-0011-R11b-SM-7DUGP 60-69 years, male 18179.7
GTEX-QMR6-0011-R11A-SM-32PKK 50-59 years, male 18105.3
GTEX-1N2DW-0011-R11b-SM-EXOIL 50-59 years, male 17938.0
GTEX-11DZ1-0011-R11b-SM-DO11W 50-59 years, male 17886.6
GTEX-ZUA1-0011-R11b-SM-51MTI 40-49 years, male 17881.6
GTEX-P44G-0011-R11A-SM-2I3FD 30-39 years, male 17837.1
GTEX-1F6I4-0011-R11b-SM-9OSWS 60-69 years, male 17802.9
GTEX-1J1OQ-0011-R11a-SM-A96S3 40-49 years, female 17744.4
GTEX-13SLW-0011-R11a-SM-5SI8Q 70-79 years, male 17524.7
GTEX-1B8SF-0011-R11a-SM-79OOP 60-69 years, male 17511.2
GTEX-14C5O-0011-R11b-SM-6872H 60-69 years, male 17470.3
GTEX-13FLV-0011-R11a-SM-5LZZ7 50-59 years, male 17268.7
GTEX-13S7M-0011-R11b-SM-5P9HU 60-69 years, female 17268.6
GTEX-144GL-0011-R11b-SM-5P9F6 50-59 years, male 17222.5
GTEX-15DYW-0011-R11a-SM-6LPIT 60-69 years, female 17055.2
GTEX-13OW5-0011-R11b-SM-5L3GG 60-69 years, male 16551.6
GTEX-15G19-0011-R11b-SM-6LPIH 60-69 years, male 16369.6
GTEX-13NYS-0011-R11b-SM-5MR4P 60-69 years, male 16136.6
GTEX-11TTK-0011-R11b-SM-DO112 60-69 years, female 16100.7
GTEX-ZDXO-0011-R11a-SM-4WWD9 60-69 years, male 16051.7
GTEX-1EMGI-0011-R11b-SM-9OSWX 60-69 years, male 15847.5
GTEX-13OVL-0011-R11b-SM-5L3G7 50-59 years, male 15820.3
GTEX-YJ89-0011-R11a-SM-4SOKA 60-69 years, male 15768.8
GTEX-1HSKV-0011-R11b-SM-AHZ2E 60-69 years, male 15705.2
GTEX-14PN4-0011-R11a-SM-686ZW 50-59 years, male 15678.8
GTEX-1313W-0011-R11a-SM-5DUXN 50-59 years, female 15499.8
GTEX-13FXS-0011-R11a-SM-5L3DM 50-59 years, male 15475.5
GTEX-1I1GQ-0011-R11b-SM-CKZPA 50-59 years, male 15408.1
GTEX-15DCD-0011-R11a-SM-D4P1R 70-79 years, female 15388.4
GTEX-1LSVX-0011-R11b-SM-EXOIA 60-69 years, male 15132.6
GTEX-1H1CY-0011-R11a-SM-C1YQR 60-69 years, female 15023.1
GTEX-1CB4G-0011-R11a-SM-9OSWG 60-69 years, male 14954.2
GTEX-1399T-0011-R11a-SM-5J2O1 60-69 years, male 14676.9
GTEX-13N2G-0011-R11a-SM-5MR3F 60-69 years, male 14604.9
GTEX-1ICLZ-0011-R11a-SM-CJI3N 60-69 years, male 14504.2
GTEX-1F75A-0011-R11a-SM-AHZ35 50-59 years, male 14417.6
GTEX-1KD4Q-0011-R11b-SM-EXOIE 40-49 years, male 14410.1
GTEX-13NYB-0011-R11a-SM-5KM3Q 40-49 years, male 14284.8
GTEX-NPJ8-0011-R11A-SM-2YUMS 40-49 years, male 14048.8
GTEX-12ZZZ-0011-R11a-SM-5EGLC 60-69 years, male 13975.9
GTEX-1GN73-0011-R11b-SM-9OSX4 60-69 years, male 13910.7
GTEX-12WSM-0011-R11a-SM-5DUX8 60-69 years, male 13802.5
GTEX-17EVP-0011-R11a-SM-7EWDL 40-49 years, male 13794.6
GTEX-1IY9M-0011-R11b-SM-A96TI 60-69 years, male 13702.3
GTEX-S7SE-0011-R11A-SM-2XCDD 50-59 years, male 13625.3
GTEX-1HBPI-0011-R11b-SM-CE6SH 50-59 years, male 13617.2
GTEX-Z93S-0011-R11a-SM-4RGNN 50-59 years, male 13602.6
GTEX-14DAQ-0011-R11a-SM-664NO 60-69 years, female 13591.3
GTEX-12126-0011-R11a-SM-5BC6X 20-29 years, male 13506.8
GTEX-11GSP-0011-R11b-SM-5NQ7V 60-69 years, female 13500.0
GTEX-13FHO-0011-R11b-SM-5LZYQ 60-69 years, male 13214.5
GTEX-18464-0011-R11a-SM-72D76 50-59 years, male 13141.1
GTEX-11PRG-0011-R11b-SM-DNZZY 50-59 years, male 13096.0
GTEX-1AX9I-0011-R11b-SM-7DHN4 60-69 years, male 13072.0
GTEX-1IKK5-0011-R11a-SM-C1YRX 60-69 years, male 12945.0
GTEX-X4XX-0011-R11A-SM-46MWQ 60-69 years, male 12517.9
GTEX-13OVJ-0011-R11a-SM-5P9H8 50-59 years, female 12186.5
GTEX-NL3H-0011-R11A-SM-2I3E6 60-69 years, male 12114.9
GTEX-17HII-0011-R11b-SM-7KFSX 50-59 years, male 12073.5
GTEX-11ZUS-0011-R11b-SM-5BC7B 30-39 years, male 11980.7
GTEX-1I1GR-0011-R11a-SM-CM2T5 60-69 years, male 11954.3
GTEX-145MH-0011-R11a-SM-5P9HQ 50-59 years, male 11924.9
GTEX-Y8DK-0011-R11A-SM-4SOK2 60-69 years, male 11919.8
GTEX-12WSC-0011-R11a-SM-5GU5J 50-59 years, male 11726.3
GTEX-ZAB4-0011-R11a-SM-4SOKI 40-49 years, male 11678.7
GTEX-13OVH-0011-R11b-SM-5KM4X 70-79 years, male 11672.2
GTEX-11OF3-0011-R11a-SM-57WCR 60-69 years, male 11174.1
GTEX-N7MS-0011-R11A-SM-2HMJS 60-69 years, male 11078.1
GTEX-WZTO-0011-R11A-SM-4E3K9 40-49 years, male 11064.4
GTEX-T2IS-0011-R11A-SM-32QPC 20-29 years, female 11045.0
GTEX-13X6K-0011-R11a-SM-5P9F5 60-69 years, female 10898.4
GTEX-1R9PO-0011-R11b-SM-EZ6NB 60-69 years, female 10894.1
GTEX-139TT-0011-R11b-SM-5LZV1 60-69 years, male 10839.7
GTEX-16YQH-0011-R11b-SM-7LT98 30-39 years, male 10756.2
GTEX-WWYW-0011-R11A-SM-3NB38 50-59 years, female 10733.6
GTEX-1N2EE-0011-R11b-SM-EXOIJ 60-69 years, male 10621.7
GTEX-13G51-0011-R11b-SM-5J2NE 60-69 years, male 10599.7
GTEX-YFC4-0011-R11a-SM-4SOK6 40-49 years, female 10542.5
GTEX-1IDJH-0011-R11b-SM-C1YRT 70-79 years, male 10390.1
GTEX-18465-0011-R11a-SM-72D78 50-59 years, male 10379.0
GTEX-1H1ZS-0011-R11a-SM-C1YQM 70-79 years, male 10363.3
GTEX-12ZZX-0011-R11a-SM-5DUVJ 40-49 years, female 10357.0
GTEX-13VXU-0011-R11b-SM-5O9DJ 50-59 years, male 10333.0
GTEX-11H98-0011-R11b-SM-5NQ6U 50-59 years, male 10303.7
GTEX-WL46-0011-R11A-SM-3MJFT 50-59 years, male 10287.9
GTEX-13O3Q-0011-R11b-SM-5KM2W 50-59 years, male 10259.4
GTEX-15CHQ-0011-R11b-SM-686ZZ 60-69 years, male 9916.6
GTEX-R55E-0011-R11A-SM-2TC6I 20-29 years, male 9879.1
GTEX-14ABY-0011-R11a-SM-5SI7C 50-59 years, male 9790.0
GTEX-12WSE-0011-R11b-SM-5P9JW 20-29 years, male 9786.0
GTEX-QDT8-0011-R11A-SM-32PKD 30-39 years, female 9701.1
GTEX-1HB9E-0011-R11b-SM-ARU79 50-59 years, male 9617.8
GTEX-12WSI-0011-R11b-SM-5P9EZ 50-59 years, male 9540.3
GTEX-1HFI6-0011-R11b-SM-A96RU 40-49 years, male 9529.2
GTEX-17HG3-0011-R11b-SM-7KFT4 30-39 years, female 9469.5
GTEX-15ER7-0011-R11a-SM-6LPIL 20-29 years, female 9439.5
GTEX-13SLX-0011-R11b-SM-5O9C8 50-59 years, female 9385.2
GTEX-15EO6-0011-R11b-SM-6M47M 50-59 years, male 9298.6
GTEX-T5JC-0011-R11A-SM-32PMB 20-29 years, male 9290.6
GTEX-11DXY-0011-R11a-SM-DNZZN 60-69 years, male 9272.3
GTEX-P44H-0011-R11A-SM-2XCER 40-49 years, male 9152.2
GTEX-17F97-0011-R11b-SM-7KFRQ 50-59 years, male 9073.1
GTEX-1B8L1-0011-R11b-SM-793DJ 60-69 years, male 8858.4
GTEX-Q2AG-0011-R11A-SM-2HMKZ 40-49 years, female 8782.7
GTEX-1LG7Y-0011-R11a-SM-EXOIH 50-59 years, male 8756.7
GTEX-131YS-0011-R11b-SM-5EGLM 60-69 years, female 8524.3
GTEX-13OW6-0011-R11a-SM-5L3H2 50-59 years, male 8384.3
GTEX-1I1GS-0011-R11a-SM-C1YRU 60-69 years, male 8312.7
GTEX-1F7RK-0011-R11b-SM-9QEI2 20-29 years, female 7888.8
GTEX-1JMQJ-0011-R11a-SM-EXOJY 50-59 years, male 7150.5
GTEX-11DYG-0011-R11a-SM-DNZZP 60-69 years, male 6912.4
GTEX-131XH-0011-R11a-SM-5EGLN 50-59 years, male 6846.5
GTEX-X4EP-0011-R11B-SM-4QASK 60-69 years, female 6497.5
GTEX-T6MN-0011-R11A-SM-32QOX 50-59 years, male 5953.5
GTEX-WVLH-0011-R11A-SM-3MJFO 50-59 years, male 5747.3
GTEX-X585-0011-R11B-SM-46MUZ 50-59 years, male 2549.6
Show allShow less
Brain - Cerebellum
Average nTPM: 27492.6
Samples: 241

Max nTPM: 110312.4
Min nTPM: 9395.1
Std nTPM: 17508.7
Median nTPM: 21748.9
GTEX-1RNSC-3126-SM-EVR4V 60-69 years, male 110312.4
GTEX-1EH9U-3126-SM-7MXU5 60-69 years, male 106357.3
GTEX-1E2YA-2926-SM-7MGWX 50-59 years, male 101052.8
GTEX-14PJO-2926-SM-686ZI 60-69 years, male 94810.6
GTEX-16Z82-2926-SM-6LPJJ 60-69 years, male 93999.6
GTEX-1KANB-3226-SM-D4P3G 50-59 years, male 89672.1
GTEX-1E1VI-2926-SM-7IGLT 50-59 years, male 83842.7
GTEX-1JJE9-3026-SM-CNNPA 70-79 years, male 77213.3
GTEX-1269C-3126-SM-5EGI6 60-69 years, female 76484.9
GTEX-1EWIQ-3026-SM-7IGOJ 70-79 years, female 70124.7
GTEX-11EI6-2926-SM-5985U 60-69 years, male 70018.7
GTEX-16XZZ-2926-SM-6LPK4 60-69 years, male 68294.2
GTEX-OHPN-2626-SM-2I5H1 60-69 years, female 67461.6
GTEX-ZF28-2926-SM-4WKG1 60-69 years, male 61350.0
GTEX-1B8SG-1926-SM-73KUB 50-59 years, male 60516.8
GTEX-1BAJH-3126-SM-7MGXY 70-79 years, male 59874.9
GTEX-1IKOH-2826-SM-CNNRC 60-69 years, female 56761.6
GTEX-1QEPI-3026-SM-EXOIW 60-69 years, female 53846.5
GTEX-14E6D-2926-SM-664OP 50-59 years, male 53534.4
GTEX-14A5I-2826-SM-5SIBF 50-59 years, female 53197.6
GTEX-13PVQ-2926-SM-5L3HJ 50-59 years, male 52564.8
GTEX-11ZTS-3226-SM-5EGID 60-69 years, female 47613.3
GTEX-1GF9V-3026-SM-7P8R8 60-69 years, male 47325.0
GTEX-11ZVC-3026-SM-59HJM 50-59 years, female 47220.5
GTEX-1A8G7-3026-SM-73KTT 60-69 years, male 47063.4
GTEX-1GTWX-2926-SM-7MXV4 60-69 years, male 45628.2
GTEX-14JFF-2826-SM-6871Q 60-69 years, male 43700.2
GTEX-1H3VE-2826-SM-9WPOL 40-49 years, male 42535.4
GTEX-145MG-3126-SM-5Q5D3 50-59 years, male 42057.4
GTEX-1GZHY-3026-SM-7MXVA 50-59 years, female 41712.0
GTEX-PWO3-1026-SM-2I5F2 60-69 years, female 40999.1
GTEX-1HSMO-2926-SM-C1YR5 60-69 years, male 40581.9
GTEX-1RQEC-3026-SM-DPRXM 60-69 years, male 40456.4
GTEX-P44G-2526-SM-2I5EK 30-39 years, male 40272.5
GTEX-183WM-2726-SM-7KFRF 70-79 years, female 39665.7
GTEX-NPJ7-2826-SM-2I3FU 60-69 years, female 39430.8
GTEX-17JCI-3026-SM-7EWDR 60-69 years, female 37906.3
GTEX-1C6VR-3026-SM-7IGLW 60-69 years, male 37631.7
GTEX-139TS-3126-SM-5LZWX 60-69 years, male 37450.3
GTEX-1F6IF-3026-SM-7P8QN 60-69 years, male 37350.2
GTEX-1H1DG-2826-SM-9JGHB 70-79 years, male 36802.4
GTEX-13OW5-3126-SM-5MR3Y 60-69 years, male 36767.1
GTEX-1H4P4-2726-SM-9JGGB 50-59 years, male 36702.4
GTEX-1KD4Q-3026-SM-EV7A7 40-49 years, male 36374.1
GTEX-1128S-2826-SM-5N9DI 60-69 years, female 36173.7
GTEX-1F52S-3026-SM-7P8PV 60-69 years, female 35760.9
GTEX-1H1CY-3026-SM-9OSW7 60-69 years, female 35358.5
GTEX-ZYFD-2926-SM-5GID9 50-59 years, male 34680.3
GTEX-ZVT3-2926-SM-5GU6M 60-69 years, female 34427.9
GTEX-18A6Q-2826-SM-7LTAO 60-69 years, male 34383.3
GTEX-1H3O1-1826-SM-A96TO 60-69 years, male 33571.6
GTEX-13OW8-2926-SM-5L3FV 60-69 years, male 33486.1
GTEX-1399T-3126-SM-5IJFS 60-69 years, male 32764.7
GTEX-13OW7-2926-SM-5MR3Z 50-59 years, male 31941.9
GTEX-11EMC-3326-SM-5P9JH 60-69 years, female 31838.6
GTEX-13FHP-2926-SM-5IJG9 50-59 years, male 31591.9
GTEX-1EKGG-3126-SM-9WPO5 60-69 years, male 31384.9
GTEX-17HII-2926-SM-79OMK 50-59 years, male 31299.7
GTEX-1HBPH-3026-SM-9WPNY 40-49 years, female 31192.5
GTEX-11TTK-2826-SM-5GU5K 60-69 years, female 30941.6
GTEX-11ONC-3026-SM-5985W 60-69 years, male 30897.6
GTEX-147F4-3026-SM-5Q5BJ 50-59 years, male 30811.1
GTEX-13CF2-3026-SM-5IFFX 60-69 years, male 30685.0
GTEX-1IL2V-3026-SM-CYPSA 70-79 years, male 30549.8
GTEX-13N2G-3126-SM-5IJGL 60-69 years, male 30250.4
GTEX-1CB4H-3026-SM-79OLX 60-69 years, female 30088.5
GTEX-1H3NZ-2926-SM-9WPQ8 60-69 years, male 30004.8
GTEX-1JJ6O-3026-SM-C1YQH 60-69 years, male 29566.9
GTEX-1HB9E-3126-SM-AHZ4M 50-59 years, male 29558.4
GTEX-1C64N-3126-SM-79OO3 50-59 years, male 29416.5
GTEX-144GL-2926-SM-5O99F 50-59 years, male 29366.5
GTEX-17EVQ-2726-SM-7EWDT 70-79 years, male 29121.6
GTEX-ZZPT-2926-SM-5EQ5S 50-59 years, male 29031.4
GTEX-1EX96-3126-SM-9JGGC 50-59 years, male 29024.4
GTEX-14BIN-3326-SM-5Q5E6 50-59 years, female 28810.1
GTEX-13RTJ-3126-SM-5S2Q4 60-69 years, male 28612.9
GTEX-ZYY3-3026-SM-5GIEJ 60-69 years, female 28512.6
GTEX-132Q8-2926-SM-5IFFP 60-69 years, male 28455.8
GTEX-1I1HK-2726-SM-AHZ2M 60-69 years, male 28427.6
GTEX-1A8G6-3126-SM-731D8 60-69 years, male 28352.8
GTEX-1JMOU-2826-SM-EV79R 60-69 years, female 27763.6
GTEX-145LU-2626-SM-5LU9Z 50-59 years, male 27632.9
GTEX-1F75W-3126-SM-7P8SJ 60-69 years, male 27592.4
GTEX-ZAK1-2926-SM-5HL9S 50-59 years, female 26984.4
GTEX-1HCVE-2926-SM-9WPPJ 50-59 years, male 26895.1
GTEX-XMD1-2826-SM-4AT5F 60-69 years, male 26688.6
GTEX-QMR6-1326-SM-32PLB 50-59 years, male 26568.5
GTEX-X261-3126-SM-4PQZC 50-59 years, male 26530.5
GTEX-12WSM-2126-SM-5GCOC 60-69 years, male 26512.3
GTEX-1JN1M-3126-SM-AHZ4E 60-69 years, female 25768.8
GTEX-R55E-2526-SM-2TC6H 20-29 years, male 25580.2
GTEX-YFC4-3026-SM-5IFJK 40-49 years, female 25376.6
GTEX-1C6WA-3326-SM-7MKGN 60-69 years, male 25331.4
GTEX-1I1CD-2926-SM-A96SJ 60-69 years, female 24897.7
GTEX-ZDXO-2926-SM-4WKFM 60-69 years, male 24775.1
GTEX-15SHU-3026-SM-6LPIB 40-49 years, female 24751.6
GTEX-N7MT-1226-SM-DKPOK 60-69 years, female 24627.8
GTEX-1I1GV-3026-SM-CNNR9 60-69 years, male 24621.2
GTEX-11DXW-1026-SM-5H11K 40-49 years, male 24614.1
GTEX-14C39-3026-SM-5S2QE 40-49 years, male 24579.6
GTEX-ZAB4-2926-SM-57WCV 40-49 years, male 24535.7
GTEX-17HG3-2826-SM-7EPGO 30-39 years, female 24212.3
GTEX-12WSD-3026-SM-5LZU7 60-69 years, female 23868.2
GTEX-14C5O-2926-SM-5RQI1 60-69 years, male 23759.2
GTEX-11DZ1-2926-SM-5A5KI 50-59 years, male 23720.8
GTEX-11OC5-0626-SM-5HL6M 60-69 years, male 23604.7
GTEX-NPJ8-2626-SM-2D7W2 40-49 years, male 23433.3
GTEX-13O3O-3026-SM-5KM42 60-69 years, female 23432.0
GTEX-111FC-3326-SM-5GZYV 60-69 years, male 23250.6
GTEX-YJ89-2926-SM-5P9IT 60-69 years, male 23243.2
GTEX-1B8L1-3226-SM-7P8OX 60-69 years, male 23228.7
GTEX-1JMQK-2926-SM-D4P2T 60-69 years, male 23195.7
GTEX-1RDX4-3226-SM-DPS14 50-59 years, female 23028.6
GTEX-147GR-3126-SM-5S2PM 60-69 years, male 23004.0
GTEX-13FHO-2926-SM-5L3ES 60-69 years, male 22687.7
GTEX-1JMLX-3026-SM-EV79Q 50-59 years, male 22678.6
GTEX-QVUS-2926-SM-3GIJB 60-69 years, female 22562.0
GTEX-12ZZZ-3126-SM-5LZU6 60-69 years, male 22524.9
GTEX-1F48J-2726-SM-7P8PW 50-59 years, female 22467.8
GTEX-131YS-3026-SM-5EGHY 60-69 years, female 21963.2
GTEX-12WSH-3126-SM-5LZW8 50-59 years, male 21748.9
GTEX-13X6K-2826-SM-5O9DS 60-69 years, female 21614.6
GTEX-12WSC-2926-SM-5BC5Z 50-59 years, male 21502.2
GTEX-13FXS-3026-SM-5LZYO 50-59 years, male 21410.7
GTEX-14BMV-2926-SM-5TDEE 50-59 years, male 21359.9
GTEX-RU72-2926-SM-2TF66 50-59 years, female 21276.2
GTEX-13OVL-3026-SM-5IJF1 50-59 years, male 21113.7
GTEX-1HBPI-2726-SM-9WPPF 50-59 years, male 21068.1
GTEX-14BIM-3126-SM-5Q5C7 60-69 years, female 20947.1
GTEX-11GSO-3026-SM-5Q5AL 60-69 years, male 20655.3
GTEX-1R46S-3126-SM-DPRZ9 60-69 years, female 20569.0
GTEX-16YQH-2926-SM-6LPJE 30-39 years, male 20557.5
GTEX-1EMGI-3126-SM-7MXUR 60-69 years, male 20160.4
GTEX-11NUK-3026-SM-5986K 50-59 years, male 20104.4
GTEX-12126-0926-SM-5FQTW 20-29 years, male 20063.2
GTEX-13OVH-2926-SM-5IJFH 70-79 years, male 19981.6
GTEX-Z93S-2826-SM-57WBL 50-59 years, male 19910.8
GTEX-11PRG-2826-SM-5BC54 50-59 years, male 19775.5
GTEX-13G51-3126-SM-5IJG7 60-69 years, male 19586.7
GTEX-15G19-2826-SM-6M48K 60-69 years, male 19567.1
GTEX-14PN4-3026-SM-664O4 50-59 years, male 19559.1
GTEX-11GSP-3126-SM-5A5LL 60-69 years, female 19546.2
GTEX-WVLH-2926-SM-3MJG5 50-59 years, male 19541.4
GTEX-1HSKV-2926-SM-B2LWJ 60-69 years, male 19382.2
GTEX-1GZ4I-2926-SM-9JGGO 50-59 years, male 19356.4
GTEX-1GN73-3026-SM-7MXV8 60-69 years, male 19318.7
GTEX-14JG1-2926-SM-686ZK 40-49 years, male 19296.5
GTEX-13JUV-3026-SM-5K7WX 40-49 years, female 19221.2
GTEX-13JVG-3226-SM-5IJGJ 60-69 years, male 19161.6
GTEX-Y111-2826-SM-4TT3O 50-59 years, male 19128.0
GTEX-117XS-3126-SM-5GIDP 60-69 years, male 19093.3
GTEX-1CB4G-2926-SM-7MKFQ 60-69 years, male 19078.1
GTEX-1JJEA-2926-SM-C1YSK 60-69 years, male 18919.8
GTEX-TSE9-2926-SM-3DB77 60-69 years, female 18677.8
GTEX-1POEN-2726-SM-E9U6B 30-39 years, female 18673.4
GTEX-11DYG-2926-SM-5H132 60-69 years, male 18672.3
GTEX-15ER7-3026-SM-6M47W 20-29 years, female 18566.9
GTEX-1KWVE-2226-SM-CXZKN 30-39 years, male 18564.8
GTEX-ZAJG-3026-SM-5HL92 50-59 years, female 18516.9
GTEX-13O3Q-3026-SM-5IJGD 50-59 years, male 18514.6
GTEX-17HHY-2926-SM-79OJW 50-59 years, male 18424.4
GTEX-1EU9M-2926-SM-793DF 60-69 years, male 18396.5
GTEX-11DXY-3126-SM-5N9BT 60-69 years, male 18394.5
GTEX-13112-2926-SM-5DUWT 50-59 years, male 18328.5
GTEX-13OVJ-2726-SM-5IJG6 50-59 years, female 18295.3
GTEX-11O72-2826-SM-5HL6W 40-49 years, male 18146.1
GTEX-Y8DK-0726-SM-4TT3S 60-69 years, male 18071.3
GTEX-13S7M-3026-SM-5S2QQ 60-69 years, female 18050.6
GTEX-1F6I4-3026-SM-7P8SI 60-69 years, male 18005.8
GTEX-1JMQJ-3126-SM-EV79G 50-59 years, male 17906.5
GTEX-14ABY-3026-SM-664NE 50-59 years, male 17877.1
GTEX-13QIC-3026-SM-5LU58 60-69 years, female 17732.1
GTEX-T2IS-2926-SM-32QPO 20-29 years, female 17701.8
GTEX-14JIY-2326-SM-6AJAJ 60-69 years, male 17524.9
GTEX-1PIIG-2826-SM-DTX7O 30-39 years, male 17498.0
GTEX-1IY9M-3126-SM-AHZ3A 60-69 years, male 17493.2
GTEX-1GZ2Q-3026-SM-9JGG3 40-49 years, male 17453.1
GTEX-14PJM-3026-SM-6LLHM 50-59 years, female 17294.9
GTEX-1F75A-2926-SM-7MXVN 50-59 years, male 17210.4
GTEX-Q2AG-2826-SM-2HMJQ 40-49 years, female 17173.7
GTEX-UTHO-2926-SM-3P5Z9 60-69 years, male 17049.9
GTEX-17F97-2926-SM-7DUEQ 50-59 years, male 16919.7
GTEX-1B996-2926-SM-7MXUH 60-69 years, male 16911.5
GTEX-15DYW-3026-SM-7KFRM 60-69 years, female 16908.6
GTEX-1H1ZS-2926-SM-9WPP2 70-79 years, male 16646.4
GTEX-ZUA1-2926-SM-59HL3 40-49 years, male 16432.8
GTEX-1192X-3226-SM-5987D 50-59 years, male 16413.0
GTEX-13SLX-3226-SM-5YYA6 50-59 years, female 16389.1
GTEX-1MJK2-3026-SM-EV7A5 50-59 years, male 16337.7
GTEX-X4XX-2926-SM-3NMB1 60-69 years, male 16201.6
GTEX-1A3MX-2926-SM-718B7 60-69 years, male 16097.8
GTEX-XLM4-2926-SM-4AT59 60-69 years, male 16061.3
GTEX-13X6I-2926-SM-5Q5C3 60-69 years, male 16037.2
GTEX-QVJO-1325-SM-2S1QX 60-69 years, female 15999.6
GTEX-131XH-2926-SM-5LZU4 50-59 years, male 15915.5
GTEX-14ASI-2926-SM-5Q5DG 60-69 years, male 15903.2
GTEX-1313W-3026-SM-5LZUZ 50-59 years, female 15888.0
GTEX-13VXU-3026-SM-5LU3K 50-59 years, male 15867.7
GTEX-145MF-2826-SM-7EPGU 50-59 years, male 15831.8
GTEX-13X6J-2926-SM-7EPGP 50-59 years, male 15716.3
GTEX-11ZUS-2826-SM-5EQKW 30-39 years, male 15460.7
GTEX-1B8SF-3026-SM-731DX 60-69 years, male 15285.2
GTEX-WZTO-2826-SM-3NM8P 40-49 years, male 15181.3
GTEX-N7MS-2526-SM-2D7W3 60-69 years, male 15070.4
GTEX-145MH-2926-SM-5Q5D2 50-59 years, male 14950.4
GTEX-1LSVX-2826-SM-EVR58 60-69 years, male 14890.6
GTEX-12WSE-2926-SM-5RQJ9 20-29 years, male 14732.5
GTEX-139TT-2626-SM-5LZUB 60-69 years, male 14567.8
GTEX-RNOR-2226-SM-2TF5O 50-59 years, female 14550.6
GTEX-1GF9W-2726-SM-9JGGW 60-69 years, male 14519.7
GTEX-1P4AB-3026-SM-EXOJS 50-59 years, male 14504.7
GTEX-13OW6-2926-SM-5KM29 50-59 years, male 14419.7
GTEX-12ZZX-2826-SM-5BC6K 40-49 years, female 14224.7
GTEX-WHSE-2926-SM-3NMBG 20-29 years, male 14207.7
GTEX-S7SE-2526-SM-2XCDL 50-59 years, male 13790.6
GTEX-145LS-3026-SM-5O99S 60-69 years, female 13746.5
GTEX-14DAQ-3026-SM-5S2QZ 60-69 years, female 13611.8
GTEX-14E7W-2926-SM-5S2R8 70-79 years, male 13595.3
GTEX-T5JC-2326-SM-32PMR 20-29 years, male 13538.7
GTEX-1QP6S-3026-SM-EAZ4N 40-49 years, male 13501.9
GTEX-1LG7Y-3126-SM-EV7AS 50-59 years, male 13387.9
GTEX-1NV8Z-3026-SM-DTX8Z 60-69 years, male 13270.2
GTEX-1J1OQ-3126-SM-D4P2O 40-49 years, female 13112.0
GTEX-18465-2926-SM-7KFSE 50-59 years, male 13060.9
GTEX-QDT8-3026-SM-32PKB 30-39 years, female 13005.9
GTEX-WWYW-3026-SM-3NB36 50-59 years, female 12993.0
GTEX-1PWST-3026-SM-EAZ3H 70-79 years, male 12971.4
GTEX-T6MN-2526-SM-32PMN 50-59 years, male 12931.7
GTEX-11NV4-2226-SM-5BC4T 60-69 years, male 12662.8
GTEX-12ZZY-2926-SM-5DUXO 60-69 years, male 12506.8
GTEX-P44H-2426-SM-2XCEJ 40-49 years, male 12447.5
GTEX-WL46-2826-SM-3LK81 50-59 years, male 12442.0
GTEX-17EVP-2926-SM-793BU 40-49 years, male 12350.3
GTEX-1B933-3026-SM-731DB 50-59 years, female 11735.8
GTEX-PVOW-2626-SM-32PL8 40-49 years, male 11536.7
GTEX-13NYB-3226-SM-5J2ND 40-49 years, male 11395.3
GTEX-1R9PO-2826-SM-E6CPV 60-69 years, female 11166.1
GTEX-1IDJH-3126-SM-C1YQS 70-79 years, male 11158.1
GTEX-15EO6-2926-SM-6M48D 50-59 years, male 10577.0
GTEX-X4EP-3026-SM-3P5YP 60-69 years, female 9619.5
GTEX-1JMPZ-2826-SM-C1YRA 30-39 years, male 9395.1
Show allShow less

CEREBELLUM - Pig RNA-seqi

RNA-seq data obtained from pig brain is reported as nTPM .

Normal distribution across the dataset is visualized with box plots, shown as median and 25th and 75th percentiles. Points are displayed as outliers if they are above or below 1.5 times the interquartile range. nTPM values of the individual samples are presented next to the box plot.
Max subtype nTPMi

Max subtype nTPM is the value for the subtype with the largest average nTPM across the subtype samples.

4344.1
Pig sample Sample description nTPM
Cerebellum
nTPM: 4344.1
Samples: 4

Max nTPM: 5551.4
Min nTPM: 3787.7
Sample A Female 5551.4
Sample B Female 3960.2
Sample C Male 4077.0
Sample D Male 3787.7

CEREBELLUM - Mouse RNA-seqi

RNA-seq data obtained from mouse brain is reported as nTPM .

Normal distribution across the dataset is visualized with box plots, shown as median and 25th and 75th percentiles. Points are displayed as outliers if they are above or below 1.5 times the interquartile range. nTPM values of the individual samples are presented next to the box plot.
Max subtype nTPMi

Max subtype nTPM is the value for the subtype with the largest average nTPM across the subtype samples.

7818.3
Mouse sample Sample description nTPM
Cerebellum
nTPM: 7818.3
Samples: 4

Max nTPM: 8063.9
Min nTPM: 7199.6
Sample A Male 8063.9
Sample B Male 8017.9
Sample C Female 7199.6
Sample D Female 7991.8

CEREBELLUM - Allen Mouse ISHi

In situ hybridization (ISH) data generated by the Allen brain atlas from mouse brain is reported as expression energy. For more details about a particular experiment, click on the corresponding Allen experiment ID.

Max subtype Expression energyi

Max subtype Expression energy is the value for the subtype with the largest average Expression energy across the subtype samples.

4.1
Allen experiment id Experiment description Expression energy
Cerebellum
Expression energy: 4.1
77280559 Antisense, RP_070116_01_F10, Mouse strain C57BL/6J (56 days, male) 7.2
74076114 Antisense, RP_051219_02_G07, Mouse strain C57BL/6J (56 days, male) 5.1
74076066 Antisense, RP_051219_02_F10, Mouse strain C57BL/6J (56 days, male) 0.0

Contact

  • NEWS ARTICLES
  • PRESS ROOM

The Project

  • INTRODUCTION
  • ORGANIZATION
  • PUBLICATIONS

The Human Protein Atlas

  • DOWNLOADABLE DATA
  • LICENCE & CITATION
  • HELP & FAQ
The Human Protein Atlas project is funded
by the Knut & Alice Wallenberg Foundation.


contact@proteinatlas.org