We use cookies to enhance the usability of our website. If you continue, we'll assume that you are happy to receive all cookies. More information. Don't show this again.
SELENOH
HPA
RESOURCES
  • TISSUE
  • BRAIN
  • SINGLE CELL
  • SUBCELLULAR
  • CANCER
  • BLOOD
  • CELL LINE
  • STRUCTURE & INTERACTION
ABOUT
  • INTRODUCTION
  • HISTORY
  • ORGANIZATION
  • PUBLICATIONS
  • ANTIBODY SUBMISSION
  • ANTIBODY AVAILABILITY
  • ACKNOWLEDGMENTS
  • CONTACT
NEWS
  • NEWS ARTICLES
  • PRESS ROOM
LEARN
  • DICTIONARY
  • PROTEIN CLASSES
  • PROTEIN EVIDENCE
  • METHODS
  • EDUCATIONAL VIDEOS
DATA
  • DOWNLOADABLE DATA
  • PUBLICATION DATA
  • RELEASE HISTORY
HELP
  • ANTIBODY VALIDATION
  • ASSAYS & ANNOTATION
  • DISCLAIMER
  • HELP & FAQ
  • PRIVACY STATEMENT
  • LICENCE & CITATION
Fields »
Search result

Field
Term
Gene name
Class
Subclass
Class
Keyword
Chromosome
External id
Tissue
Cell type
Expression
Antibody panel
Tissue
Main location
Patient ID
Annotation
Tissue
Category
Tau score
Cluster
Reliability
Brain region
Category
Tau score
Brain region
Category
Tau score
Brain region
Category
Tau score
Cluster
Reliability
Tissue
Cell type
Enrichment
Cell type
Category
Tau score
Cell type
Category
Tau score
Cell type
Category
Tau score
Cell lineage
Category
Tau score
Cluster
Cluster
Location
Searches
Location
Cell line
Class
Type
Phase
Reliability
Cancer
Prognosis
Cancer
Category
Cancer
Category
Tau score
Cluster
Variants
Interacting gene (ensg_id)
Type
Number of interactions
Pathway
Category
Score
Score
Score
Validation
Validation
Validation
Validation
Antibodies
Data type
Column


  • SUMMARY

  • TISSUE

  • BRAIN

  • SINGLE CELL

  • SUBCELL

  • CANCER

  • BLOOD

  • CELL LINE

  • STRUCT & INT

  • SELENOH
TISSUE PRIMARY DATA HEART MUSCLE Show tissue menu
ADIPOSE TISSUE ADRENAL GLAND AMYGDALA APPENDIX BASAL GANGLIA BONE MARROW BREAST BRONCHUS CEREBELLUM CEREBRAL CORTEX CERVIX CHOROID PLEXUS COLON DUODENUM
ENDOMETRIUM EPIDIDYMIS ESOPHAGUS FALLOPIAN TUBE GALLBLADDER HEART MUSCLE HIPPOCAMPAL FORMATION HYPOTHALAMUS KIDNEY LIVER LUNG LYMPH NODE MIDBRAIN NASOPHARYNX
ORAL MUCOSA OVARY PANCREAS PARATHYROID GLAND PITUITARY GLAND PLACENTA PROSTATE RECTUM RETINA SALIVARY GLAND SEMINAL VESICLE SKELETAL MUSCLE SKIN SMALL INTESTINE
SMOOTH MUSCLE SOFT TISSUE SPINAL CORD SPLEEN STOMACH TESTIS THYMUS THYROID GLAND TONGUE TONSIL URINARY BLADDER VAGINA
ANTIBODIES
AND
VALIDATION
Dictionary
Heart muscle
Tissue proteome
Heart
HEART MUSCLE - Expression summary
Protein expression
Heart musclei

On the top, protein expression in current human tissue, based on all annotated cell types, is reported with the units not detected (n), low (l), medium (m) and high (h). Underneath, protein expression in each annotated cell type are reported using the same units.

Protein expression data is based on knowledge-based annotation. For genes where more than one antibody has been used, a collective score is set.

If knowledge-based annotation could not be performed for a gene, no data is displayed here. View antibody staining data further down this page.

h
m
l
n
Cardiomyocytes: High
RNA expressioni

A summary of mRNA expression data available for current tissue based on several datasets. The mRNA expression levels in human tissues are based on RNA-seq data generated by the Human Protein Atlas (HPA), Genotype-Tissue Expression (GTEx) portal and CAGE data generated by the FANTOM5 consortium. Consensus normalized expression levels for human tissues was created by combining the data from HPA and GTEx datasets.

The mRNA expression levels in pig are based on RNA-seq data generated by the Human Protein Atlas (HPA), and for mouse, HPA data and in situ hybridization generated by the Allen brain atlas are reported.

Scroll down to view mRNA expression data in more detail.
Consensus:113.0 nTPM
HPA:23.5 nTPM
GTEx:113.0 nTPM
FANTOM5:138.1 Scaled Tags Per Million

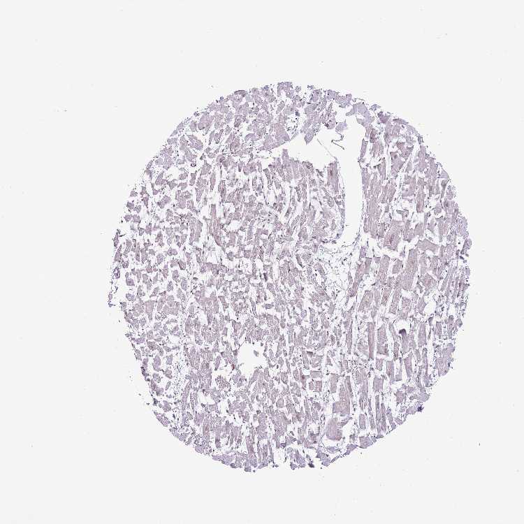
HEART MUSCLE - Antibody stainingi

Antibody staining in the annotated cell types in the current human tissue is reported as not detected, low, medium, or high, based on conventional immunohistochemistry profiling in selected tissues. This score is based on the combination of the staining intensity and fraction of stained cells.

Each image is clickable and will lead to virtual microscopy that enables deeper exploration of all samples and also displays staining intensity scores, fraction scores and subcellular localization as well as patient and tissue information for each sample.

Antibody HPA048362
Cardiomyocytes High



HEART MUSCLE - HPA RNA-seqi

The RNA-seq details section shows detailed information about the individual samples used for the transcript profiling and results of the RNA-seq analysis.

Information about each individual sample is listed below, including gender, age, a tissue section image and estimated fractions of cell types. nTPM (normalized transcripts per million) values give a quantification of the gene abundance which is comparable between different genes and samples.
Average nTPMi

Max subtype nTPM is the value for the subtype with the largest average nTPM across the subtype samples.

23.5
overview
Female, age 48
Heart muscle sample 149
nTPM: 34.6
Cell types%
Myocytes:
15

Fibroblasts:
55

Endothelial cells:
25

Other cell types:
5

overview
Female, age 42
Heart muscle sample 150
nTPM: 13.1
Cell types%
Myocytes:
20

Fibroblasts:
45

Endothelial cells:
30

Other cell types:
5

overview
Male, age 53
Heart muscle sample 151
nTPM: 16.7
Cell types%
Myocytes:
20

Fibroblasts:
45

Endothelial cells:
30

Other cell types:
5

overview
Female, age 69
Heart muscle sample 152
nTPM: 29.8
Cell types%
Myocytes:
20

Fibroblasts:
45

Endothelial cells:
30

Other cell types:
5


HEART MUSCLE - GTEx RNA-seqi

RNA-Seq data generated by the Genotype-Tissue Expression (GTEx) project from human tissues is reported as mean nTPM. More information can be found on the GTEx portal.

Distribution across the dataset is visualized with box plots, shown as median and 25th and 75th percentiles. Points are displayed as outliers if they are above or below 1.5 times the interquartile range. nTPM values of the individual samples are presented next to the box plot.
Max subtype nTPMi

Max subtype nTPM is the value for the subtype with the largest average nTPM across the subtype samples.

113.0
GTEx sample id Sample description nTPM
Heart - Atrial Appendage
Average nTPM: 113.0
Samples: 429

Max nTPM: 482.3
Min nTPM: 56.1
Std nTPM: 33.2
Median nTPM: 108.6
GTEX-14PJM-0826-SM-6LLIW 50-59 years, female 482.3
GTEX-148VJ-1426-SM-5TDE3 70-79 years, male 220.5
GTEX-14PN4-0826-SM-69LON 50-59 years, male 207.2
GTEX-13PDP-1326-SM-5K7U9 60-69 years, male 205.2
GTEX-13YAN-1426-SM-7EPG8 60-69 years, male 200.8
GTEX-16MT8-0826-SM-7KULO 60-69 years, female 196.4
GTEX-XLM4-2026-SM-4AT4X 60-69 years, male 190.1
GTEX-183WM-0926-SM-718AN 70-79 years, female 188.8
GTEX-13SLW-0826-SM-5QGP7 70-79 years, male 188.5
GTEX-1A8FM-1026-SM-7PC26 50-59 years, female 185.8
GTEX-1EH9U-0626-SM-7PC33 60-69 years, male 184.7
GTEX-1J1OQ-2226-SM-A96SS 40-49 years, female 183.3
GTEX-1QP29-1426-SM-DTX9Q 50-59 years, male 181.0
GTEX-14C5O-1226-SM-664N3 60-69 years, male 180.2
GTEX-ZYFC-1026-SM-5GZX9 50-59 years, male 178.5
GTEX-1RLM8-0226-SM-E6CJY 50-59 years, male 178.3
GTEX-1QMI2-1026-SM-DTX7T 60-69 years, male 175.7
GTEX-1JMLX-1826-SM-CNPOX 50-59 years, male 174.7
GTEX-1H1DG-0826-SM-9QEIW 70-79 years, male 173.3
GTEX-1GMR8-1026-SM-9MQLA 50-59 years, female 173.1
GTEX-12WSI-0426-SM-5EQ5J 50-59 years, male 172.3
GTEX-XBEC-1226-SM-4AT65 50-59 years, male 167.5
GTEX-W5X1-0826-SM-3GILN 40-49 years, female 165.9
GTEX-1GTWX-0926-SM-9MQKM 60-69 years, male 165.2
GTEX-145LS-1326-SM-5Q5EP 60-69 years, female 163.7
GTEX-13RTJ-0526-SM-62LDP 60-69 years, male 163.4
GTEX-1LVAO-0626-SM-EWRNT 60-69 years, male 163.1
GTEX-15SKB-0926-SM-7KUFC 60-69 years, male 162.2
GTEX-13JVG-1126-SM-5KM2M 60-69 years, male 161.0
GTEX-14C39-0726-SM-5RQIK 40-49 years, male 159.9
GTEX-ZE7O-0626-SM-57WCD 50-59 years, female 159.3
GTEX-13OW5-0926-SM-5L3GZ 60-69 years, male 159.2
GTEX-ZYVF-1826-SM-5E44F 50-59 years, female 159.0
GTEX-1212Z-0726-SM-5EGI5 60-69 years, male 157.9
GTEX-Y3IK-1026-SM-51MR7 50-59 years, female 155.8
GTEX-1KANC-0226-SM-E9TIW 50-59 years, female 152.8
GTEX-15CHQ-1326-SM-6871Z 60-69 years, male 152.1
GTEX-1HUB1-0726-SM-CGQF4 60-69 years, male 152.1
GTEX-14E6C-0326-SM-5Q5EE 40-49 years, male 151.1
GTEX-ZZPT-0926-SM-5GICZ 50-59 years, male 151.1
GTEX-1399T-0726-SM-5J1MH 60-69 years, male 149.9
GTEX-131XE-0526-SM-5K7YT 50-59 years, male 149.8
GTEX-13FHO-1226-SM-5L3EF 60-69 years, male 148.6
GTEX-1OFPY-0926-SM-DTX8Q 60-69 years, male 148.3
GTEX-1CB4J-0226-SM-7P8T4 60-69 years, male 148.2
GTEX-145LV-0226-SM-5S2QG 50-59 years, male 147.3
GTEX-Y3I4-0526-SM-4TT6X 50-59 years, male 147.2
GTEX-11DXZ-0326-SM-5EGH1 50-59 years, male 146.6
GTEX-1F75A-1026-SM-7PC3W 50-59 years, male 146.1
GTEX-13OW7-1626-SM-5IJDH 50-59 years, male 145.3
GTEX-1IKK5-1726-SM-CM2RU 60-69 years, male 144.7
GTEX-11UD2-0926-SM-5CVL6 50-59 years, male 144.4
GTEX-1RB15-0426-SM-E9U4Y 60-69 years, male 143.5
GTEX-13NYS-1926-SM-5IJCB 60-69 years, male 142.9
GTEX-13O1R-0926-SM-5L3DS 60-69 years, male 142.2
GTEX-13O3Q-0326-SM-5L3FE 50-59 years, male 141.8
GTEX-1CB4H-0626-SM-7IGN3 60-69 years, female 141.1
GTEX-XGQ4-0526-SM-4AT6C 50-59 years, male 141.1
GTEX-1A32A-1326-SM-73KWW 50-59 years, female 141.0
GTEX-1HC8U-0626-SM-B2LWB 40-49 years, female 140.2
GTEX-1GN1U-1426-SM-7P8TF 50-59 years, female 139.8
GTEX-12WSD-1226-SM-5HL9Q 60-69 years, female 139.4
GTEX-1GZ4I-0826-SM-9WG6O 50-59 years, male 139.1
GTEX-11O72-1026-SM-5986B 40-49 years, male 138.9
GTEX-14BIM-2726-SM-5Q5EG 60-69 years, female 138.8
GTEX-1EMGI-1126-SM-9KNUF 60-69 years, male 138.5
GTEX-11GSP-1226-SM-5985M 60-69 years, female 138.2
GTEX-14PJ2-1126-SM-69LOD 50-59 years, male 138.2
GTEX-ZDTS-1226-SM-4WKGL 60-69 years, male 138.0
GTEX-XPVG-0726-SM-4B658 50-59 years, male 137.9
GTEX-1K2DU-0226-SM-DIPF6 20-29 years, male 137.9
GTEX-1KXAM-1426-SM-D3LAC 60-69 years, male 137.6
GTEX-139TU-1926-SM-5J2OC 60-69 years, male 137.4
GTEX-1P4AB-0926-SM-E76PV 50-59 years, male 137.4
GTEX-WHSE-0826-SM-4SOJU 20-29 years, male 136.3
GTEX-1EX96-2626-SM-9MQJV 50-59 years, male 136.2
GTEX-1E2YA-0626-SM-7P8P4 50-59 years, male 136.0
GTEX-14PJO-0826-SM-6ETZK 60-69 years, male 135.8
GTEX-1H3NZ-1026-SM-A9SM5 60-69 years, male 135.8
GTEX-YF7O-0526-SM-5P9IO 50-59 years, male 135.4
GTEX-12BJ1-0326-SM-5FQUB 60-69 years, male 135.3
GTEX-11ONC-1026-SM-5GU64 60-69 years, male 134.5
GTEX-ZAJG-0926-SM-5Q5AB 50-59 years, female 134.4
GTEX-11DXY-1026-SM-5987V 60-69 years, male 134.3
GTEX-ZAB4-0926-SM-5CVN4 40-49 years, male 134.0
GTEX-111FC-0626-SM-5N9CU 60-69 years, male 133.9
GTEX-1PPGY-0926-SM-DTXFF 60-69 years, male 133.4
GTEX-1HBPN-0926-SM-CGQEG 50-59 years, male 133.3
GTEX-1C6VQ-0826-SM-7PBZT 50-59 years, male 132.9
GTEX-1A8G6-1826-SM-73KY8 60-69 years, male 132.8
GTEX-1R9K4-1026-SM-EXUT1 60-69 years, male 132.7
GTEX-1B996-1026-SM-793CF 60-69 years, male 131.8
GTEX-13NZB-0426-SM-5KM26 30-39 years, male 131.5
GTEX-X8HC-1026-SM-46MWH 50-59 years, female 130.9
GTEX-1192X-0726-SM-5987R 50-59 years, male 130.4
GTEX-1B933-0826-SM-79OMW 50-59 years, female 130.4
GTEX-12ZZY-1226-SM-5GCNK 60-69 years, male 130.3
GTEX-1BAJH-1026-SM-7EWEG 70-79 years, male 130.1
GTEX-11DYG-1026-SM-5A5JQ 60-69 years, male 129.9
GTEX-12WSE-0926-SM-5S2VX 20-29 years, male 129.5
GTEX-1JMQK-0926-SM-ARL96 60-69 years, male 129.2
GTEX-WOFL-1226-SM-4OOST 60-69 years, male 128.5
GTEX-12WSA-1126-SM-5EGKU 60-69 years, male 128.0
GTEX-1HBPM-1026-SM-ARL9D 60-69 years, female 127.8
GTEX-ZYFD-2026-SM-5E459 50-59 years, male 127.6
GTEX-1IY9M-0626-SM-D4P2L 60-69 years, male 127.6
GTEX-1JMQL-1026-SM-CMKGV 50-59 years, female 127.2
GTEX-ZLFU-0326-SM-4WWBK 40-49 years, male 127.0
GTEX-13PVQ-1326-SM-5LU4J 50-59 years, male 126.8
GTEX-1JJEA-0926-SM-CYPSO 60-69 years, male 126.8
GTEX-13O3P-1426-SM-5L3DT 50-59 years, male 126.3
GTEX-1CAMQ-0726-SM-7P8SG 40-49 years, male 125.8
GTEX-1C64O-0926-SM-79OLN 60-69 years, male 125.7
GTEX-18465-0726-SM-7LG4L 50-59 years, male 125.6
GTEX-WYBS-1226-SM-3NM9N 60-69 years, female 125.5
GTEX-1H3VY-1126-SM-A96TP 50-59 years, male 125.2
GTEX-13FXS-1026-SM-62LFQ 50-59 years, male 125.1
GTEX-13N1W-0926-SM-5MR36 70-79 years, male 125.1
GTEX-1117F-0726-SM-5GIEN 60-69 years, female 124.7
GTEX-1HFI7-0526-SM-A9SMA 50-59 years, female 124.7
GTEX-14JG1-0826-SM-5ZZWR 40-49 years, male 124.3
GTEX-1HR98-1026-SM-CKZOM 60-69 years, male 124.0
GTEX-1HBPH-0226-SM-9WYSM 40-49 years, female 123.9
GTEX-1HCVE-0826-SM-CM2SF 50-59 years, male 123.6
GTEX-117XS-0726-SM-5H131 60-69 years, male 123.4
GTEX-131XG-0526-SM-5DUWF 50-59 years, female 123.3
GTEX-13X6K-1726-SM-7IGLG 60-69 years, female 123.3
GTEX-13FHP-0826-SM-5K7V5 50-59 years, male 123.1
GTEX-1B97J-0326-SM-7939H 50-59 years, female 123.1
GTEX-1HSMO-1126-SM-CGQF2 60-69 years, male 123.0
GTEX-132NY-1426-SM-5J1MJ 60-69 years, male 122.7
GTEX-ZAK1-1126-SM-5PNXU 50-59 years, female 122.5
GTEX-1A3MX-1226-SM-731B3 60-69 years, male 122.4
GTEX-147F4-1126-SM-5TDDE 50-59 years, male 122.3
GTEX-1LSNM-0426-SM-E9TIZ 50-59 years, male 122.2
GTEX-ZDXO-0426-SM-4WKF6 60-69 years, male 122.1
GTEX-ZVT4-1326-SM-5NQ8E 50-59 years, female 122.0
GTEX-1JJ6O-2226-SM-AHZ3I 60-69 years, male 122.0
GTEX-13SLX-0926-SM-5S2NM 50-59 years, female 121.8
GTEX-1R9JW-0426-SM-E76QL 30-39 years, female 121.7
GTEX-15DCE-0826-SM-7KULW 20-29 years, male 121.4
GTEX-12WSC-1026-SM-5EQ5Y 50-59 years, male 121.3
GTEX-ZTPG-1326-SM-51MSQ 20-29 years, female 120.5
GTEX-17MF6-0926-SM-7LTAL 40-49 years, male 120.3
GTEX-1HT8W-1326-SM-CGQEN 30-39 years, male 120.0
GTEX-13S86-0326-SM-5SI6K 40-49 years, male 119.8
GTEX-1C2JI-0626-SM-7DHM1 50-59 years, male 119.8
GTEX-1I1GP-0626-SM-ARL7H 50-59 years, male 119.7
GTEX-14BIL-0926-SM-7DHKN 50-59 years, male 119.6
GTEX-1IDJH-1126-SM-COH3R 70-79 years, male 119.5
GTEX-13NZA-0826-SM-5K7WS 60-69 years, male 119.4
GTEX-14ASI-0826-SM-5Q5EB 60-69 years, male 118.9
GTEX-1LH75-0526-SM-DIPG2 50-59 years, female 118.9
GTEX-1GZ2Q-0926-SM-7RHHN 40-49 years, male 118.7
GTEX-1445S-1226-SM-5O9BF 60-69 years, male 118.5
GTEX-17JCI-0826-SM-7LT8W 60-69 years, female 118.5
GTEX-132Q8-1126-SM-5K7XS 60-69 years, male 118.1
GTEX-V1D1-0626-SM-4JBHN 50-59 years, male 118.1
GTEX-1KANB-1126-SM-DHXJT 50-59 years, male 118.1
GTEX-1H1ZS-1026-SM-9WG6E 70-79 years, male 117.8
GTEX-1I1GQ-1226-SM-CL55J 50-59 years, male 117.7
GTEX-1R7EV-0426-SM-DTX7Z 40-49 years, male 117.3
GTEX-13O61-0426-SM-5L3ET 60-69 years, male 116.9
GTEX-ZPU1-0726-SM-5HL6O 40-49 years, male 116.7
GTEX-14BMV-1026-SM-5SI6B 50-59 years, male 116.4
GTEX-YEC4-0226-SM-4W1YG 40-49 years, male 116.4
GTEX-1J8Q2-1026-SM-ARU8I 60-69 years, male 115.9
GTEX-18A7A-1226-SM-7LTAJ 50-59 years, female 115.5
GTEX-1I1GR-1026-SM-A9SLC 60-69 years, male 115.0
GTEX-1GF9V-1726-SM-9KNW4 60-69 years, male 114.8
GTEX-15RJE-0726-SM-7KUEG 40-49 years, male 114.4
GTEX-16XZY-0526-SM-7DHKY 70-79 years, male 114.2
GTEX-1IDJF-0826-SM-ARU7N 20-29 years, male 114.0
GTEX-132AR-1926-SM-5EGK5 50-59 years, female 113.9
GTEX-146FH-1126-SM-5NQAT 50-59 years, female 113.9
GTEX-ZF3C-1126-SM-57WEG 50-59 years, female 113.6
GTEX-1B932-1326-SM-79OM4 40-49 years, female 113.5
GTEX-WI4N-0726-SM-3TW93 40-49 years, female 113.5
GTEX-1IL2U-1226-SM-CL53P 60-69 years, male 113.5
GTEX-ZYT6-0926-SM-5GIEM 30-39 years, male 113.2
GTEX-17F9Y-1226-SM-7EPGE 70-79 years, female 113.1
GTEX-1HFI6-0826-SM-9YFM2 40-49 years, male 113.0
GTEX-144GL-1026-SM-5O99R 50-59 years, male 112.9
GTEX-1AX9K-0426-SM-73KUG 50-59 years, male 112.6
GTEX-Z93S-0326-SM-5HL84 50-59 years, male 112.6
GTEX-13CF2-0226-SM-5L3DV 60-69 years, male 112.5
GTEX-1GN73-2326-SM-9MQKV 60-69 years, male 112.3
GTEX-WQUQ-1326-SM-3MJFF 60-69 years, male 112.2
GTEX-1QEPI-1126-SM-E8VN7 60-69 years, female 112.2
GTEX-13JUV-0226-SM-5IJCC 40-49 years, female 112.1
GTEX-1MJK2-1626-SM-EVYCQ 50-59 years, male 112.0
GTEX-18A6Q-1526-SM-731CO 60-69 years, male 111.9
GTEX-147JS-1326-SM-5SI6D 60-69 years, male 111.8
GTEX-13VXT-0726-SM-5SIAD 20-29 years, female 111.7
GTEX-16YQH-0726-SM-7IGM1 30-39 years, male 111.4
GTEX-1CAMS-1126-SM-7MXUQ 40-49 years, female 110.5
GTEX-1F75I-1326-SM-7PBZX 40-49 years, male 110.4
GTEX-1IKJJ-0626-SM-CY8GF 60-69 years, male 110.4
GTEX-1HCU7-1226-SM-B2LX8 50-59 years, male 110.2
GTEX-1I1CD-1326-SM-A9SMM 60-69 years, female 110.2
GTEX-1MJIX-0426-SM-DTXEN 40-49 years, male 110.1
GTEX-YECK-1226-SM-4W21G 60-69 years, male 109.9
GTEX-ZVZQ-0726-SM-51MR3 60-69 years, female 109.8
GTEX-13OVI-0326-SM-5K7X1 60-69 years, female 109.7
GTEX-1I1GV-1426-SM-B2LXN 60-69 years, male 109.7
GTEX-1211K-0226-SM-59HJY 60-69 years, female 109.3
GTEX-1AX8Z-1126-SM-731CS 60-69 years, male 109.3
GTEX-U8XE-0926-SM-3DB8V 30-39 years, male 109.3
GTEX-XQ3S-0526-SM-4BOQA 20-29 years, male 109.2
GTEX-1QCLZ-1126-SM-EWRNB 60-69 years, female 109.2
GTEX-1477Z-1126-SM-5P9GK 60-69 years, male 109.0
GTEX-ZVT3-0826-SM-5GIC8 60-69 years, female 109.0
GTEX-WWYW-1126-SM-3NB2Q 50-59 years, female 108.9
GTEX-1KD5A-0926-SM-D4P3U 50-59 years, male 108.7
GTEX-111YS-0326-SM-5GZZ3 60-69 years, male 108.6
GTEX-139YR-0526-SM-5L3DG 50-59 years, male 108.6
GTEX-XQ8I-0226-SM-4BOPM 50-59 years, male 108.5
GTEX-131XF-0426-SM-5HL7U 60-69 years, male 108.4
GTEX-1AX9J-0926-SM-73KXA 60-69 years, male 108.4
GTEX-1EU9M-1926-SM-7RHH4 60-69 years, male 108.3
GTEX-11EMC-0826-SM-59862 60-69 years, female 108.2
GTEX-13PL7-0726-SM-5KM1S 60-69 years, female 108.0
GTEX-1GMR3-0426-SM-7PC17 40-49 years, male 108.0
GTEX-1H3O1-0226-SM-9WYSW 60-69 years, male 107.9
GTEX-ZG7Y-1426-SM-4WWBM 50-59 years, male 107.6
GTEX-132QS-0526-SM-5IJC7 60-69 years, male 107.4
GTEX-YFC4-0426-SM-4TT3J 40-49 years, female 107.3
GTEX-11GS4-0426-SM-5N9CD 60-69 years, male 107.2
GTEX-12WSK-0526-SM-5CVNA 40-49 years, female 107.2
GTEX-XOT4-1126-SM-4B66E 60-69 years, female 107.2
GTEX-1GN1V-1026-SM-CNPPS 60-69 years, male 107.2
GTEX-1QP6S-1026-SM-DTXFW 40-49 years, male 107.2
GTEX-Y8E4-0426-SM-4V6GB 40-49 years, male 106.9
GTEX-1I1HK-0626-SM-CNPQM 60-69 years, male 106.6
GTEX-1GN2E-1426-SM-7RHHI 60-69 years, male 105.9
GTEX-1H2FU-0826-SM-9WYSU 60-69 years, female 105.9
GTEX-15SDE-1826-SM-7KUFN 50-59 years, female 105.8
GTEX-12ZZX-0726-SM-5EGKA 40-49 years, female 105.6
GTEX-13NZ9-0126-SM-5K7XV 50-59 years, male 105.6
GTEX-1192W-0226-SM-5EGGT 60-69 years, male 105.1
GTEX-13N11-0726-SM-5L3DP 50-59 years, female 105.1
GTEX-14A5I-1026-SM-5Q5E3 50-59 years, female 105.1
GTEX-14PK6-0726-SM-6LLIX 70-79 years, female 105.0
GTEX-1LB8K-0926-SM-D4P42 50-59 years, male 104.5
GTEX-1313W-1126-SM-5EQ5U 50-59 years, female 104.2
GTEX-Y5V5-0726-SM-4VBPY 60-69 years, female 104.2
GTEX-1L5NE-0526-SM-DIPG5 50-59 years, male 104.1
GTEX-14PII-1026-SM-5ZZVW 60-69 years, male 104.0
GTEX-111VG-0326-SM-5GZX7 60-69 years, male 103.7
GTEX-17F9E-0726-SM-793A1 50-59 years, male 103.7
GTEX-1B8KE-0326-SM-73KTY 50-59 years, male 103.7
GTEX-1H11D-1026-SM-9QEIU 40-49 years, male 103.5
GTEX-11ZUS-0326-SM-5EQ4W 30-39 years, male 103.1
GTEX-1E1VI-1426-SM-793CY 50-59 years, male 102.9
GTEX-11WQK-0226-SM-5EQLI 50-59 years, male 102.5
GTEX-15RIE-1326-SM-6PAMM 60-69 years, male 102.5
GTEX-13O3O-1426-SM-5KM2S 60-69 years, female 102.3
GTEX-11EM3-0426-SM-5N9BZ 20-29 years, female 102.0
GTEX-18D9B-1126-SM-7KFSH 60-69 years, male 102.0
GTEX-1LVAN-1526-SM-CNPQN 50-59 years, female 101.8
GTEX-1J8EW-0626-SM-CM2TY 60-69 years, female 101.7
GTEX-1JN6P-0826-SM-ARL97 60-69 years, male 101.7
GTEX-1F88F-0326-SM-9KNV3 60-69 years, female 101.4
GTEX-13D11-1526-SM-5J2NA 50-59 years, female 101.3
GTEX-17F96-0826-SM-7DHLU 70-79 years, male 101.1
GTEX-VJWN-1026-SM-4M1ZN 50-59 years, female 101.1
GTEX-12WSG-1226-SM-5EQ4C 50-59 years, female 100.9
GTEX-1F75B-1126-SM-7RHGP 50-59 years, male 100.7
GTEX-11TUW-1126-SM-5EQKJ 60-69 years, male 100.5
GTEX-1HSKV-0726-SM-ACKWE 60-69 years, male 100.4
GTEX-1POEN-0726-SM-DTXDU 30-39 years, female 100.3
GTEX-1399U-0726-SM-5KM1D 50-59 years, female 100.2
GTEX-11NV4-0826-SM-5BC4S 60-69 years, male 100.1
GTEX-15D1Q-0426-SM-6AJ9G 40-49 years, male 100.1
GTEX-ZEX8-0326-SM-DO92C 50-59 years, male 99.8
GTEX-YJ8O-0826-SM-5CVM3 40-49 years, female 99.7
GTEX-13112-0526-SM-5EQ4S 50-59 years, male 99.3
GTEX-14C38-1326-SM-62LDK 50-59 years, male 99.2
GTEX-13OW6-0926-SM-5L3GM 50-59 years, male 99.0
GTEX-ZT9W-0526-SM-57WFG 50-59 years, male 98.8
GTEX-117YW-0426-SM-5GZZZ 50-59 years, male 98.7
GTEX-1399S-0826-SM-5KM23 30-39 years, female 98.7
GTEX-14PJ4-0926-SM-5YY98 60-69 years, male 98.0
GTEX-1LGRB-1026-SM-CNPQD 50-59 years, female 98.0
GTEX-X62O-0826-SM-46MW8 50-59 years, male 97.7
GTEX-14PN3-0726-SM-6EU14 60-69 years, female 97.5
GTEX-WL46-0726-SM-3LK5Z 50-59 years, male 97.3
GTEX-WRHU-1026-SM-4E3ID 50-59 years, female 97.3
GTEX-17GQL-0626-SM-731CN 60-69 years, male 97.1
GTEX-1IOXB-0726-SM-A9G32 50-59 years, male 97.0
GTEX-1LG7Y-1426-SM-D4P31 50-59 years, male 96.7
GTEX-11EQ8-1326-SM-5EGJQ 60-69 years, male 96.6
GTEX-ZZPU-1126-SM-5N9CW 50-59 years, female 96.6
GTEX-WHWD-0326-SM-3LK6L 50-59 years, male 96.5
GTEX-WK11-0626-SM-3NMAV 50-59 years, male 96.5
GTEX-13PVR-0926-SM-5S2RB 60-69 years, female 96.3
GTEX-117YX-0626-SM-5EGJI 50-59 years, male 96.1
GTEX-12584-1026-SM-59HK3 40-49 years, male 96.1
GTEX-1GF9U-0526-SM-7P8SK 40-49 years, female 95.7
GTEX-1IKOH-0926-SM-A9SLU 60-69 years, female 95.6
GTEX-XYKS-0226-SM-4BRW3 60-69 years, female 95.5
GTEX-YB5K-0226-SM-5IFJE 40-49 years, female 95.2
GTEX-1IDJD-0226-SM-CKZOA 30-39 years, male 95.1
GTEX-ZV7C-0526-SM-9WPNK 50-59 years, male 94.5
GTEX-1NSGN-1226-SM-E76OL 50-59 years, male 94.0
GTEX-18D9U-1426-SM-718BO 40-49 years, male 93.7
GTEX-14E7W-1126-SM-5ZZVS 70-79 years, male 93.2
GTEX-1HSGN-0926-SM-CNNQM 40-49 years, female 93.2
GTEX-131YS-0826-SM-5PNYV 60-69 years, female 93.1
GTEX-16NPX-0826-SM-6M489 50-59 years, male 93.0
GTEX-X3Y1-0226-SM-3P5Z5 40-49 years, male 93.0
GTEX-1CB4G-0726-SM-79OOJ 60-69 years, male 92.6
GTEX-ZPIC-0426-SM-DO91V 40-49 years, female 92.4
GTEX-ZYFG-0526-SM-5GZXX 60-69 years, female 92.3
GTEX-1ICG6-0726-SM-B2LY5 70-79 years, female 92.3
GTEX-14A6H-0326-SM-5NQAN 30-39 years, male 92.0
GTEX-1C64N-0826-SM-7RHGQ 50-59 years, male 92.0
GTEX-13FH7-0826-SM-5J2NW 50-59 years, female 91.9
GTEX-1QPFJ-0926-SM-EVR3K 30-39 years, female 91.9
GTEX-ZVT2-0926-SM-5GICE 50-59 years, female 91.3
GTEX-XXEK-2026-SM-4BRVE 50-59 years, male 90.7
GTEX-13OVG-0426-SM-5KM2T 60-69 years, male 90.4
GTEX-12696-1226-SM-5FQSM 60-69 years, male 90.3
GTEX-14E1K-0826-SM-5ZZW9 50-59 years, male 90.2
GTEX-13NYB-0326-SM-5IJDP 40-49 years, male 89.8
GTEX-11DXX-0526-SM-5PNVR 60-69 years, female 89.7
GTEX-11ZTT-0526-SM-5EQLA 60-69 years, female 89.7
GTEX-Y114-0126-SM-4TT8K 50-59 years, female 89.7
GTEX-11NUK-0926-SM-5HL57 50-59 years, male 89.3
GTEX-11LCK-0826-SM-5PNYD 30-39 years, male 89.1
GTEX-14XAO-0926-SM-69LPZ 60-69 years, female 89.1
GTEX-1AX9I-1026-SM-73KYF 60-69 years, male 88.9
GTEX-X261-0926-SM-3NMCY 50-59 years, male 88.9
GTEX-1NHNU-0626-SM-E6CP1 50-59 years, male 88.9
GTEX-17KNJ-0626-SM-7LT9L 50-59 years, male 88.6
GTEX-WHPG-1026-SM-3NMBA 50-59 years, male 88.2
GTEX-1J8Q3-1126-SM-ARU8N 60-69 years, male 88.2
GTEX-1F6I4-0826-SM-7RHGK 60-69 years, male 87.8
GTEX-11P81-0526-SM-59873 30-39 years, female 87.7
GTEX-13W3W-0526-SM-5LU3X 60-69 years, female 87.6
GTEX-1CB4I-1526-SM-7DHMY 50-59 years, male 87.5
GTEX-1IKOE-0626-SM-A9G31 30-39 years, female 87.4
GTEX-16XZZ-1026-SM-7DHKS 60-69 years, male 87.1
GTEX-1339X-0326-SM-5K7Z8 40-49 years, male 87.0
GTEX-X4EP-0326-SM-3P5Z6 60-69 years, female 87.0
GTEX-13FTW-0826-SM-5K7XR 40-49 years, male 86.7
GTEX-13FTZ-0326-SM-5J1O1 60-69 years, male 86.7
GTEX-YEC3-0426-SM-CYPS8 50-59 years, male 86.6
GTEX-13O21-0326-SM-5J1N9 50-59 years, male 86.5
GTEX-1399R-1726-SM-5K7YJ 30-39 years, male 86.4
GTEX-14PHX-0626-SM-5YY8Z 50-59 years, male 86.3
GTEX-WY7C-1126-SM-3NB3A 50-59 years, male 86.2
GTEX-146FR-0926-SM-5QGPE 60-69 years, female 86.1
GTEX-ZTTD-0626-SM-4YCCY 50-59 years, male 86.0
GTEX-1IL2V-1126-SM-CMKGH 70-79 years, male 85.8
GTEX-1LGOU-0326-SM-D3LAM 20-29 years, female 85.8
GTEX-13X6J-1226-SM-79OMF 50-59 years, male 85.4
GTEX-14DAQ-1026-SM-793B1 60-69 years, female 85.3
GTEX-1EWIQ-1126-SM-7EPIK 70-79 years, female 85.3
GTEX-ZF29-0426-SM-4WKFN 60-69 years, female 85.3
GTEX-ZF2S-0826-SM-4WWBI 50-59 years, female 85.3
GTEX-1AYCT-0526-SM-7RHHS 50-59 years, male 84.8
GTEX-13QBU-0226-SM-5LU48 40-49 years, female 84.6
GTEX-ZGAY-0226-SM-4WWAL 40-49 years, female 84.6
GTEX-1GN1W-0226-SM-7P8QY 50-59 years, female 84.5
GTEX-145MN-0726-SM-5NQBH 30-39 years, male 84.4
GTEX-1B8L1-0426-SM-7SB76 60-69 years, male 84.2
GTEX-WH7G-0326-SM-3NMBH 40-49 years, male 84.1
GTEX-1C6WA-0826-SM-7PBXS 60-69 years, male 84.0
GTEX-1F48J-1126-SM-9WYSY 50-59 years, female 84.0
GTEX-14PHY-0326-SM-62LE3 60-69 years, female 83.9
GTEX-15EU6-1326-SM-6PANG 50-59 years, male 83.8
GTEX-13PL6-0826-SM-5IJBI 40-49 years, female 83.7
GTEX-XV7Q-0726-SM-4BRV6 40-49 years, female 83.6
GTEX-15UF7-1526-SM-6LPI7 40-49 years, male 83.1
GTEX-1JK1U-0626-SM-CKZOJ 60-69 years, male 83.1
GTEX-1J8QM-0326-SM-CL53D 60-69 years, female 83.0
GTEX-1GMRU-1326-SM-9WYUI 50-59 years, male 82.5
GTEX-1JMOU-0326-SM-ARL8X 60-69 years, female 82.5
GTEX-X4XX-1126-SM-3NMBY 60-69 years, male 82.4
GTEX-ZUA1-0726-SM-4YCD9 40-49 years, male 82.1
GTEX-1122O-0626-SM-5N9B9 60-69 years, female 81.8
GTEX-1M5QR-1626-SM-E9U5O 40-49 years, male 81.8
GTEX-13U4I-0626-SM-5LU5L 40-49 years, female 81.6
GTEX-ZXG5-0626-SM-5NQ85 60-69 years, male 81.5
GTEX-1HCUA-0626-SM-ACKVT 50-59 years, female 81.4
GTEX-14PJ6-0626-SM-686Z6 60-69 years, female 81.3
GTEX-ZPCL-0526-SM-DO91R 60-69 years, female 81.3
GTEX-18A66-1126-SM-731C5 60-69 years, male 80.7
GTEX-ZDYS-0326-SM-5HL4W 50-59 years, male 80.5
GTEX-1MCC2-0226-SM-EVYD5 30-39 years, female 80.5
GTEX-11TT1-1426-SM-5EGIA 20-29 years, male 80.3
GTEX-15CHC-0326-SM-5ZZVP 60-69 years, female 80.3
GTEX-14BIN-2126-SM-793AX 50-59 years, female 80.1
GTEX-16GPK-1226-SM-7LTAU 60-69 years, male 80.1
GTEX-X5EB-0626-SM-46MVQ 40-49 years, male 79.5
GTEX-1B8SF-1326-SM-7IGQJ 60-69 years, male 78.9
GTEX-WEY5-0226-SM-3GIKN 40-49 years, female 78.9
GTEX-1B8SG-0726-SM-79ONS 50-59 years, male 78.8
GTEX-XPT6-0226-SM-4B65L 20-29 years, male 78.5
GTEX-WYJK-1126-SM-3NM9Z 50-59 years, male 78.1
GTEX-11ZVC-0526-SM-5N9G1 50-59 years, female 77.9
GTEX-1H1CY-0426-SM-9KNVD 60-69 years, female 77.8
GTEX-15ER7-0826-SM-6PALW 20-29 years, female 77.7
GTEX-12WSN-0226-SM-5DUXH 40-49 years, male 77.2
GTEX-ZAB5-0126-SM-5CVMT 50-59 years, male 76.7
GTEX-1IDJU-0626-SM-CKZOG 60-69 years, female 75.3
GTEX-17HGU-1126-SM-793BP 50-59 years, male 74.9
GTEX-V955-0826-SM-CYPR5 60-69 years, male 74.6
GTEX-1GL5R-0426-SM-9WPOP 50-59 years, male 74.0
GTEX-1LSNL-0626-SM-DIPFJ 50-59 years, male 74.0
GTEX-15SHU-0926-SM-6PAMK 40-49 years, female 73.7
GTEX-15SHV-0526-SM-7KUEN 60-69 years, male 73.1
GTEX-1I19N-0626-SM-A9SKY 70-79 years, male 72.3
GTEX-15CHR-0326-SM-7DHN3 50-59 years, male 72.1
GTEX-VUSG-0726-SM-3GIK1 50-59 years, male 71.6
GTEX-WFG7-0826-SM-3GIKU 20-29 years, male 70.6
GTEX-1HSMQ-0426-SM-ADEIM 50-59 years, male 70.3
GTEX-18A67-1026-SM-731CE 50-59 years, male 69.3
GTEX-14H4A-0426-SM-5ZZWO 40-49 years, female 68.8
GTEX-1GMR2-1326-SM-9KNUT 50-59 years, male 67.6
GTEX-1CB4E-0626-SM-7DHMW 60-69 years, male 66.9
GTEX-WFON-0226-SM-3GIKR 40-49 years, male 65.9
GTEX-ZDTT-0326-SM-4WKF9 60-69 years, male 65.9
GTEX-17EVP-0526-SM-7EPGY 40-49 years, male 65.0
GTEX-UPK5-0226-SM-3GAEV 40-49 years, male 60.5
GTEX-WFG8-0726-SM-3GILP 20-29 years, male 60.3
GTEX-UTHO-1226-SM-3GAEE 60-69 years, male 59.9
GTEX-WZTO-1226-SM-3NMAZ 40-49 years, male 56.1
Show allShow less
Heart - Left Ventricle
Average nTPM: 99.1
Samples: 432

Max nTPM: 226.4
Min nTPM: 29.4
Std nTPM: 26.1
Median nTPM: 95.7
GTEX-1O9I2-1126-SM-DTXEA 50-59 years, male 226.4
GTEX-1PWST-1026-SM-DTXF2 70-79 years, male 207.1
GTEX-1497J-1226-SM-5Q5BL 60-69 years, male 197.3
GTEX-11ONC-0126-SM-5PNW6 60-69 years, male 194.0
GTEX-13PVQ-1226-SM-5IJDC 50-59 years, male 178.5
GTEX-1R9PO-0326-SM-DTXA1 60-69 years, female 176.3
GTEX-13O1R-1226-SM-5J1NU 60-69 years, male 165.7
GTEX-X8HC-1626-SM-46MWE 50-59 years, female 160.5
GTEX-1ICLY-1326-SM-CJI47 50-59 years, male 160.1
GTEX-1HCU7-1326-SM-CNPPW 50-59 years, male 157.5
GTEX-1RQEC-0926-SM-EWROG 60-69 years, male 157.1
GTEX-1POEN-0626-SM-EVR4B 30-39 years, female 156.0
GTEX-131XE-0626-SM-5HL98 50-59 years, male 155.3
GTEX-1RAZS-0826-SM-E76QP 50-59 years, male 153.9
GTEX-1QP29-1526-SM-EXUSY 50-59 years, male 152.1
GTEX-1N2EF-2826-SM-E6CQF 60-69 years, male 150.5
GTEX-17F9E-0926-SM-7IGMG 50-59 years, male 149.1
GTEX-UPK5-0326-SM-CYPR4 40-49 years, male 149.0
GTEX-1JMQK-0626-SM-D4P2R 60-69 years, male 148.5
GTEX-13YAN-1326-SM-5Q5F1 60-69 years, male 147.9
GTEX-145MO-1126-SM-5NQBX 60-69 years, male 146.9
GTEX-ZAJG-0826-SM-5PNVA 50-59 years, female 145.1
GTEX-ZF3C-1226-SM-4WWCB 50-59 years, female 144.0
GTEX-1314G-0126-SM-5LZUL 30-39 years, male 143.2
GTEX-1JMOU-0226-SM-CNNPD 60-69 years, female 142.5
GTEX-1I1GP-0826-SM-A96SD 50-59 years, male 141.9
GTEX-132NY-1726-SM-5EGKK 60-69 years, male 140.7
GTEX-1IDJF-0726-SM-CJI1U 20-29 years, male 140.1
GTEX-11DXZ-0626-SM-5GU77 50-59 years, male 139.1
GTEX-12584-0926-SM-5FQTN 40-49 years, male 139.0
GTEX-XQ8I-0126-SM-4BOPL 50-59 years, male 138.3
GTEX-1LGOU-0726-SM-E9TIY 20-29 years, female 137.4
GTEX-1A3MX-1326-SM-72D58 60-69 years, male 137.3
GTEX-13RTJ-0726-SM-5QGQN 60-69 years, male 137.2
GTEX-WYJK-1026-SM-3NM8W 50-59 years, male 136.7
GTEX-14C39-0926-SM-5TDDV 40-49 years, male 136.4
GTEX-13O3O-1526-SM-5KM1C 60-69 years, female 135.5
GTEX-1KD5A-1026-SM-CY8I8 50-59 years, male 134.6
GTEX-1R9K4-1326-SM-DTX8G 60-69 years, male 134.4
GTEX-1M5QR-1026-SM-DHXK9 40-49 years, male 132.9
GTEX-14E6C-0426-SM-5YYA8 40-49 years, male 132.8
GTEX-Y8E4-0326-SM-4VBRR 40-49 years, male 132.5
GTEX-18465-0926-SM-731AY 50-59 years, male 131.8
GTEX-1R9JW-0526-SM-EWRNK 30-39 years, female 131.8
GTEX-12WSD-1126-SM-5EGJD 60-69 years, female 131.4
GTEX-WHSE-0926-SM-3NMBS 20-29 years, male 130.9
GTEX-ZG7Y-0926-SM-5EQ6O 50-59 years, male 130.4
GTEX-1MUQO-1226-SM-E9TJK 60-69 years, male 130.3
GTEX-ZDXO-0726-SM-57WBT 60-69 years, male 129.4
GTEX-17JCI-1126-SM-7IGMM 60-69 years, female 128.2
GTEX-13CF2-0426-SM-5KM1H 60-69 years, male 127.7
GTEX-13O21-2326-SM-5MR3X 50-59 years, male 127.5
GTEX-ZPU1-0626-SM-4YCDM 40-49 years, male 127.1
GTEX-15SHW-1226-SM-6M46C 60-69 years, male 126.5
GTEX-12WSG-0526-SM-5FQTH 50-59 years, female 126.3
GTEX-1H23P-1226-SM-9QEJ2 60-69 years, male 126.1
GTEX-1F6I4-0726-SM-7PC2P 60-69 years, male 125.7
GTEX-YEC3-0726-SM-CMKFH 50-59 years, male 125.2
GTEX-13OW5-1126-SM-5J1NR 60-69 years, male 124.0
GTEX-1JJ6O-2126-SM-CNNP6 60-69 years, male 124.0
GTEX-OIZI-0926-SM-E6CHF 40-49 years, male 124.0
GTEX-13O61-0526-SM-5J2M1 60-69 years, male 123.6
GTEX-1KXAM-1326-SM-E9TJW 60-69 years, male 123.5
GTEX-13N1W-1026-SM-5IJC5 70-79 years, male 123.4
GTEX-1HBPH-0126-SM-CNNQ7 40-49 years, female 123.3
GTEX-1HCU6-1026-SM-A9G25 60-69 years, female 123.0
GTEX-14DAQ-1126-SM-664MT 60-69 years, female 122.7
GTEX-1QCLZ-0926-SM-E6CQZ 60-69 years, female 122.3
GTEX-S33H-0526-SM-COH1W 30-39 years, male 121.8
GTEX-1JN6P-1126-SM-CKZON 60-69 years, male 121.7
GTEX-1R7EV-0326-SM-E76PA 40-49 years, male 121.3
GTEX-1R9K5-1326-SM-E6CPR 50-59 years, male 121.2
GTEX-13X6I-1426-SM-5SI9Z 60-69 years, male 121.1
GTEX-1LH75-0426-SM-E9TJF 50-59 years, female 120.8
GTEX-1JMLX-1626-SM-ARZMV 50-59 years, male 120.7
GTEX-1399T-0426-SM-5PNVJ 60-69 years, male 120.6
GTEX-1GMR3-0326-SM-7P8QT 40-49 years, male 120.5
GTEX-NPJ8-0426-SM-2HMK6 40-49 years, male 119.9
GTEX-13NZB-0226-SM-5KM1T 30-39 years, male 119.5
GTEX-11GSP-1326-SM-5A5KY 60-69 years, female 119.4
GTEX-1F48J-1026-SM-7P8SO 50-59 years, female 119.2
GTEX-12WSC-1126-SM-5EQ4G 50-59 years, male 119.0
GTEX-1LB8K-1026-SM-DHXJJ 50-59 years, male 119.0
GTEX-11O72-1126-SM-5N9E2 40-49 years, male 118.3
GTEX-ZYW4-0926-SM-59HJS 60-69 years, male 118.3
GTEX-17HII-1326-SM-7IGOB 50-59 years, male 117.9
GTEX-1MJIX-0326-SM-EVR42 40-49 years, male 117.9
GTEX-145LV-0326-SM-5Q5BW 50-59 years, male 117.8
GTEX-18A6Q-1626-SM-7KFTA 60-69 years, male 117.7
GTEX-1H1ZS-1126-SM-9MQLJ 70-79 years, male 117.6
GTEX-XQ3S-0626-SM-4BOOB 20-29 years, male 117.4
GTEX-18D9B-1226-SM-72D6V 60-69 years, male 116.7
GTEX-1CB4I-1626-SM-7RHGV 50-59 years, male 116.5
GTEX-1JN1M-1026-SM-CNPOS 60-69 years, female 116.5
GTEX-1IKJJ-0826-SM-A96SP 60-69 years, male 116.0
GTEX-148VJ-1526-SM-5Q5DU 70-79 years, male 115.9
GTEX-1ICLZ-1026-SM-A9SLF 60-69 years, male 115.8
GTEX-17HHY-1426-SM-7EWDQ 50-59 years, male 115.3
GTEX-14JG1-1026-SM-6ETZY 40-49 years, male 115.2
GTEX-1K9T9-1126-SM-D3L9E 50-59 years, female 115.2
GTEX-WQUQ-1426-SM-3MJFD 60-69 years, male 114.9
GTEX-SUCS-0326-SM-32PLL 70-79 years, male 114.8
GTEX-11EMC-0726-SM-5EGJO 60-69 years, female 114.6
GTEX-1LC47-1026-SM-D3LAH 60-69 years, male 114.4
GTEX-148VI-0326-SM-5RQK7 60-69 years, female 114.1
GTEX-15DDE-1126-SM-6LLHN 50-59 years, female 114.0
GTEX-1J8QM-0426-SM-AHZ3X 60-69 years, female 114.0
GTEX-Y3I4-0626-SM-4TT7A 50-59 years, male 113.7
GTEX-1IL2U-1326-SM-A9G2O 60-69 years, male 113.2
GTEX-YEC4-0326-SM-4W216 40-49 years, male 113.0
GTEX-147F4-1226-SM-5NQAY 50-59 years, male 112.9
GTEX-16NPX-0926-SM-7KUEZ 50-59 years, male 112.5
GTEX-13OVL-0526-SM-5KLZQ 50-59 years, male 112.4
GTEX-1HBPM-1226-SM-A9SM8 60-69 years, female 112.2
GTEX-1I1HK-0726-SM-B2LY4 60-69 years, male 111.9
GTEX-13FTW-1026-SM-5L3E3 40-49 years, male 111.8
GTEX-1A3MW-1326-SM-7189P 60-69 years, female 111.8
GTEX-13S86-0226-SM-5S2PJ 40-49 years, male 111.6
GTEX-1IKK5-1526-SM-CKZPW 60-69 years, male 111.5
GTEX-14E7W-1226-SM-5RQIU 70-79 years, male 111.4
GTEX-ZEX8-0426-SM-DO92Y 50-59 years, male 111.4
GTEX-17F9Y-1326-SM-7MGW9 70-79 years, female 111.3
GTEX-1212Z-0626-SM-5FQTB 60-69 years, male 111.2
GTEX-1B996-1126-SM-73KWN 60-69 years, male 111.0
GTEX-14JIY-1126-SM-6EU28 60-69 years, male 110.9
GTEX-1B97J-0726-SM-7RHG3 50-59 years, female 110.9
GTEX-1I1GQ-1426-SM-B2LWY 50-59 years, male 110.7
GTEX-1MCC2-0326-SM-EV7AK 30-39 years, female 110.6
GTEX-15DYW-1126-SM-6LPK5 60-69 years, female 110.5
GTEX-1O97I-0826-SM-E8VNE 60-69 years, male 110.5
GTEX-1EKGG-1126-SM-7MGXB 60-69 years, male 110.4
GTEX-15CHR-0226-SM-7PC2Z 50-59 years, male 110.0
GTEX-15SHU-1126-SM-7KUMB 40-49 years, female 109.9
GTEX-17GQL-0526-SM-72D5N 60-69 years, male 109.9
GTEX-WZTO-1326-SM-3NM8X 40-49 years, male 109.5
GTEX-OIZF-0326-SM-3MJGY 60-69 years, male 109.5
GTEX-1EMGI-1226-SM-793DD 60-69 years, male 109.3
GTEX-1GZ4I-1026-SM-9KNV5 50-59 years, male 109.3
GTEX-1JMPZ-1426-SM-CJI3C 30-39 years, male 109.2
GTEX-11ZUS-0226-SM-5FQT8 30-39 years, male 108.6
GTEX-14PHX-2126-SM-6EU2U 50-59 years, male 108.6
GTEX-13N11-0426-SM-5KM3O 50-59 years, female 108.5
GTEX-1JJEA-0826-SM-CL53T 60-69 years, male 108.5
GTEX-V1D1-0526-SM-4JBGW 50-59 years, male 108.3
GTEX-14A6H-0226-SM-5Q5DX 30-39 years, male 108.0
GTEX-1AX9J-1026-SM-72D6E 60-69 years, male 108.0
GTEX-14PJ2-1026-SM-6EU1M 50-59 years, male 107.6
GTEX-WH7G-0426-SM-3NMBJ 40-49 years, male 107.6
GTEX-131XH-0226-SM-5LZVB 50-59 years, male 107.3
GTEX-1EH9U-0826-SM-7IGPT 60-69 years, male 107.1
GTEX-1EU9M-1826-SM-7DUGU 60-69 years, male 107.0
GTEX-WK11-0826-SM-EZ6LH 50-59 years, male 106.8
GTEX-147JS-1526-SM-5ZZWF 60-69 years, male 106.7
GTEX-R45C-0926-SM-3GAD4 60-69 years, female 106.2
GTEX-Y5V5-0626-SM-4VBPX 60-69 years, female 106.1
GTEX-T6MN-0926-SM-32PLX 50-59 years, male 105.8
GTEX-1CB4J-0326-SM-7PBZO 60-69 years, male 105.6
GTEX-16MT8-0926-SM-6M487 60-69 years, female 105.2
GTEX-13SLX-1026-SM-5ZZUQ 50-59 years, female 105.1
GTEX-14C38-1426-SM-5RQHZ 50-59 years, male 105.1
GTEX-1C64O-0826-SM-79OKZ 60-69 years, male 105.1
GTEX-ZF2S-1026-SM-9QEGK 50-59 years, female 105.1
GTEX-1B8SG-0826-SM-7EWF7 50-59 years, male 104.9
GTEX-13VXT-1126-SM-5LU3A 20-29 years, female 104.7
GTEX-11TUW-1026-SM-5GU7D 60-69 years, male 104.6
GTEX-1269C-0826-SM-5N9EM 60-69 years, female 104.2
GTEX-XXEK-0926-SM-4BRWH 50-59 years, male 103.9
GTEX-1J8Q2-1226-SM-A9G2W 60-69 years, male 103.9
GTEX-12ZZY-1126-SM-5DUWQ 60-69 years, male 103.8
GTEX-1RMOY-0626-SM-E9TIE 50-59 years, male 103.8
GTEX-1IDJE-0326-SM-CM2TD 50-59 years, female 103.6
GTEX-1H11D-1226-SM-9WPQ2 40-49 years, male 103.4
GTEX-1AX9K-0526-SM-73KV1 50-59 years, male 103.3
GTEX-1AX9I-1126-SM-7EPHH 60-69 years, male 103.2
GTEX-ZYFC-1126-SM-5E44W 50-59 years, male 103.2
GTEX-WI4N-0626-SM-3TW8Z 40-49 years, female 102.9
GTEX-XGQ4-0326-SM-4GIEE 50-59 years, male 102.8
GTEX-R55E-1026-SM-2TC5S 20-29 years, male 102.7
GTEX-Y3IK-0826-SM-51MT8 50-59 years, female 102.6
GTEX-1JK1U-0526-SM-CYPSQ 60-69 years, male 102.6
GTEX-XV7Q-0826-SM-4BRV7 40-49 years, female 102.5
GTEX-YFC4-0526-SM-5ZZVI 40-49 years, female 102.4
GTEX-ZQUD-1526-SM-7IGO2 30-39 years, male 102.3
GTEX-1IDJH-1026-SM-E9TKH 70-79 years, male 102.1
GTEX-17MF6-0726-SM-7LT8E 40-49 years, male 101.9
GTEX-1KD4Q-0726-SM-DIPGE 40-49 years, male 101.7
GTEX-1PPGY-1126-SM-E76OU 60-69 years, male 101.7
GTEX-WRHU-1226-SM-4E3IJ 50-59 years, female 101.6
GTEX-ZAB4-1026-SM-5HL7T 40-49 years, male 101.1
GTEX-12ZZZ-1726-SM-59HK5 60-69 years, male 100.7
GTEX-1A8G6-1626-SM-7MGWO 60-69 years, male 100.4
GTEX-1399R-1926-SM-5K7X8 30-39 years, male 100.2
GTEX-XBEC-1326-SM-4AT69 50-59 years, male 100.1
GTEX-YF7O-0426-SM-5P9FS 50-59 years, male 100.1
GTEX-11DXY-0826-SM-5EGGR 60-69 years, male 100.0
GTEX-X15G-0426-SM-4PQZ6 50-59 years, female 99.8
GTEX-16YQH-0926-SM-793BC 30-39 years, male 99.7
GTEX-1C2JI-0526-SM-7EWEQ 50-59 years, male 99.6
GTEX-13O3P-1626-SM-5K7X3 50-59 years, male 99.4
GTEX-13NYB-0226-SM-5N9G4 40-49 years, male 99.2
GTEX-WL46-0926-SM-3LK7T 50-59 years, male 99.1
GTEX-18A66-1226-SM-7LT8G 60-69 years, male 98.9
GTEX-1LGRB-1126-SM-CNPP2 50-59 years, female 98.6
GTEX-SIU8-0826-SM-2XCDQ 50-59 years, male 98.4
GTEX-132QS-0426-SM-5KLZ6 60-69 years, male 98.2
GTEX-16XZY-0426-SM-793BI 70-79 years, male 98.0
GTEX-11DXX-0326-SM-5PNWC 60-69 years, female 97.8
GTEX-16BQI-0926-SM-6M485 30-39 years, female 97.8
GTEX-1LG7Y-1226-SM-CXZKD 50-59 years, male 97.5
GTEX-1NV8Z-1526-SM-DTX8X 60-69 years, male 97.2
GTEX-1B8KE-0126-SM-793AM 50-59 years, male 97.1
GTEX-P78B-0426-SM-2I5F5 40-49 years, female 96.9
GTEX-OOBJ-0326-SM-33HBO 60-69 years, male 96.7
GTEX-1LSNM-0526-SM-DIPG6 50-59 years, male 96.7
GTEX-1IDJU-0726-SM-CNPQ9 60-69 years, female 96.0
GTEX-ZUA1-0826-SM-4YCDL 40-49 years, male 95.9
GTEX-111FC-0826-SM-5GZWO 60-69 years, male 95.6
GTEX-1QP2A-1126-SM-EVR3H 50-59 years, male 95.2
GTEX-15CHQ-1526-SM-69LPW 60-69 years, male 95.0
GTEX-1BAJH-1626-SM-73KUV 70-79 years, male 94.8
GTEX-WHWD-0426-SM-3LK83 50-59 years, male 94.4
GTEX-1EWIQ-1426-SM-7IGOS 70-79 years, female 94.3
GTEX-PLZ5-0626-SM-2I5F8 50-59 years, male 94.3
GTEX-1GF9V-1626-SM-7PBXL 60-69 years, male 94.2
GTEX-12WSK-0626-SM-5LZUJ 40-49 years, female 94.1
GTEX-14PJ4-1126-SM-5YY91 60-69 years, male 94.1
GTEX-ZVZP-0226-SM-5NQ73 50-59 years, male 94.1
GTEX-1PPH7-2026-SM-E9J3N 40-49 years, male 94.1
GTEX-117YW-0326-SM-5N9CY 50-59 years, male 93.8
GTEX-12WSN-5001-SM-7DHMK 40-49 years, male 93.7
GTEX-13FLV-0926-SM-5L3DZ 50-59 years, male 93.7
GTEX-1HC8U-0726-SM-ACKXL 40-49 years, female 93.5
GTEX-X261-1426-SM-4PQZ1 50-59 years, male 93.4
GTEX-1HSMO-1226-SM-CL548 60-69 years, male 93.4
GTEX-YJ8O-0926-SM-EAZ2Z 40-49 years, female 93.4
GTEX-12ZZW-1026-SM-5GCMM 50-59 years, male 93.0
GTEX-15ER7-1726-SM-6PAMX 20-29 years, female 93.0
GTEX-ZAB5-0226-SM-5CVMH 50-59 years, male 92.8
GTEX-145MN-0626-SM-5QGRH 30-39 years, male 92.7
GTEX-1J8EW-0926-SM-A9G33 60-69 years, female 92.5
GTEX-1OFPY-1026-SM-EXUSO 60-69 years, male 92.5
GTEX-12696-1126-SM-5FQTI 60-69 years, male 92.3
GTEX-P44H-0726-SM-48TBT 40-49 years, male 92.3
GTEX-1L5NE-0426-SM-E9TIX 50-59 years, male 91.9
GTEX-111YS-0426-SM-5987O 60-69 years, male 91.7
GTEX-1EX96-2526-SM-7RHGW 50-59 years, male 91.6
GTEX-N7MS-0826-SM-2HML4 60-69 years, male 91.3
GTEX-11ZVC-0426-SM-5CVLD 50-59 years, female 91.1
GTEX-1OKEX-0726-SM-DPRYE 60-69 years, male 91.1
GTEX-1LVA9-0926-SM-EVR5G 50-59 years, male 90.9
GTEX-1EN7A-0726-SM-7PBXT 40-49 years, male 90.8
GTEX-1F5PK-0326-SM-9KNUD 50-59 years, male 90.7
GTEX-ZDTS-1326-SM-6LLHE 60-69 years, male 90.5
GTEX-139YR-0826-SM-5LZXY 50-59 years, male 90.4
GTEX-1AYCT-0426-SM-73KVZ 50-59 years, male 90.4
GTEX-1IKOE-1026-SM-ARZMF 30-39 years, female 90.4
GTEX-13OVG-0526-SM-5K7YD 60-69 years, male 90.2
GTEX-117YX-1126-SM-5H128 50-59 years, male 90.0
GTEX-ZF29-0226-SM-4WKHO 60-69 years, female 90.0
GTEX-ZYT6-1726-SM-5E44P 30-39 years, male 89.7
GTEX-146FR-0626-SM-5RQJ1 60-69 years, female 89.5
GTEX-1I6K7-0626-SM-ARL7Q 40-49 years, male 89.4
GTEX-18D9U-1126-SM-72D5Y 40-49 years, male 89.3
GTEX-1KANC-0426-SM-CXZK5 50-59 years, female 89.0
GTEX-13CF3-0726-SM-5J2MY 60-69 years, female 88.7
GTEX-PSDG-0926-SM-2I5FP 50-59 years, male 88.7
GTEX-1HSMQ-0226-SM-C1YQL 50-59 years, male 88.7
GTEX-13112-0426-SM-5PNVC 50-59 years, male 88.6
GTEX-13OW6-1126-SM-5L3HL 50-59 years, male 88.5
GTEX-1HCVE-1126-SM-9WPPG 50-59 years, male 88.5
GTEX-1QPFJ-1026-SM-E6CR6 30-39 years, female 88.1
GTEX-11EM3-0626-SM-5H12Z 20-29 years, female 88.0
GTEX-146FH-1026-SM-5RQIF 50-59 years, female 88.0
GTEX-14PN3-0526-SM-69LQF 60-69 years, female 88.0
GTEX-OIZG-1126-SM-2HMIU 50-59 years, male 88.0
GTEX-1HCUA-0526-SM-A9SMH 50-59 years, female 87.9
GTEX-1I1GV-1326-SM-A96SE 60-69 years, male 87.8
GTEX-PWCY-0526-SM-5P9HG 20-29 years, female 87.6
GTEX-132AR-2026-SM-5IJG4 50-59 years, female 87.4
GTEX-1GN2E-1326-SM-9KNVG 60-69 years, male 87.4
GTEX-1RB15-0326-SM-E6CQB 60-69 years, male 87.2
GTEX-1F6IF-2526-SM-7P8TV 60-69 years, male 87.1
GTEX-14PJ6-0726-SM-69LOL 60-69 years, female 87.0
GTEX-1JJE9-1426-SM-ARL8P 70-79 years, male 86.8
GTEX-1E1VI-1326-SM-7IGQD 50-59 years, male 86.7
GTEX-1H1CY-0326-SM-9QEIZ 60-69 years, female 86.7
GTEX-1F75I-1126-SM-9WYUO 40-49 years, male 86.5
GTEX-11GS4-0526-SM-5A5KQ 60-69 years, male 86.0
GTEX-11LCK-0926-SM-5A5KA 30-39 years, male 85.9
GTEX-1313W-1426-SM-5KLZU 50-59 years, female 85.9
GTEX-13X6K-1826-SM-5O9CR 60-69 years, female 85.9
GTEX-1GN1V-0826-SM-9KNU6 60-69 years, male 85.8
GTEX-QV44-0526-SM-2S1RE 50-59 years, male 85.4
GTEX-13FTZ-0226-SM-5K7X6 60-69 years, male 85.3
GTEX-XPVG-0826-SM-4B654 50-59 years, male 85.2
GTEX-1IDJI-1026-SM-A96TE 50-59 years, female 85.2
GTEX-1GTWX-1026-SM-7P8QW 60-69 years, male 84.8
GTEX-PVOW-0426-SM-5MR5R 40-49 years, male 84.5
GTEX-O5YV-0326-SM-2I5H2 60-69 years, female 84.3
GTEX-1HT8W-1726-SM-CNNQB 30-39 years, male 84.3
GTEX-14A5I-1226-SM-5NQBW 50-59 years, female 84.2
GTEX-ZVT2-1026-SM-5GU55 50-59 years, female 84.2
GTEX-1GMRU-1526-SM-9WYT5 50-59 years, male 84.2
GTEX-1H3NZ-1126-SM-9WYT9 60-69 years, male 84.1
GTEX-13QBU-0426-SM-5J2O4 40-49 years, female 84.0
GTEX-14XAO-1126-SM-6EU11 60-69 years, female 83.9
GTEX-U8XE-1126-SM-3DB8W 30-39 years, male 83.8
GTEX-ZTPG-1226-SM-4YCDO 20-29 years, female 83.4
GTEX-RWSA-0626-SM-2XCBD 40-49 years, male 83.2
GTEX-OXRO-2026-SM-2YUMZ 60-69 years, female 83.0
GTEX-1GN73-2426-SM-7RHFQ 60-69 years, male 82.9
GTEX-17HGU-1026-SM-79OKL 50-59 years, male 82.7
GTEX-1CB4G-0826-SM-7DUGF 60-69 years, male 82.7
GTEX-U3ZN-1426-SM-3DB87 30-39 years, female 82.4
GTEX-XBED-0526-SM-47JY3 60-69 years, male 82.0
GTEX-ZV7C-0326-SM-57WB1 50-59 years, male 82.0
GTEX-13FH7-0926-SM-5J2MR 50-59 years, female 81.9
GTEX-XPT6-0126-SM-4B65S 20-29 years, male 81.9
GTEX-1211K-0626-SM-5FQUZ 60-69 years, female 81.6
GTEX-ZLFU-0226-SM-4WWFH 40-49 years, male 81.6
GTEX-1GMR2-1426-SM-7RHHK 50-59 years, male 81.6
GTEX-YB5K-0126-SM-5IFJ2 40-49 years, female 81.4
GTEX-14PHY-0226-SM-5ZZWM 60-69 years, female 81.1
GTEX-1ICG6-0626-SM-ACKWS 70-79 years, female 81.1
GTEX-14C5O-1326-SM-5S2UW 60-69 years, male 80.9
GTEX-13JVG-1326-SM-5N9F8 60-69 years, male 80.6
GTEX-O5YW-0326-SM-2I5EI 50-59 years, male 80.6
GTEX-OXRL-0326-SM-2I3F2 50-59 years, male 80.3
GTEX-13OW8-2126-SM-5J1OS 60-69 years, male 80.2
GTEX-131XF-5001-SM-7DHLY 60-69 years, male 80.1
GTEX-15RJE-0626-SM-7KUKR 40-49 years, male 80.0
GTEX-P44G-0826-SM-2I5ES 30-39 years, male 80.0
GTEX-1S3DN-0726-SM-E9TIO 50-59 years, male 80.0
GTEX-ZPIC-0826-SM-4WWFJ 40-49 years, female 79.8
GTEX-WHPG-0826-SM-3NMBF 50-59 years, male 79.7
GTEX-14BIL-1126-SM-79OMC 50-59 years, male 79.6
GTEX-1CB4E-0526-SM-7MXTK 60-69 years, male 79.5
GTEX-1J8Q3-1226-SM-CKZPT 60-69 years, male 79.4
GTEX-14E1K-1026-SM-73KUR 50-59 years, male 79.3
GTEX-R53T-0926-SM-3GADH 50-59 years, female 79.3
GTEX-1B932-1026-SM-793CL 40-49 years, female 78.9
GTEX-WWYW-1326-SM-3NB2S 50-59 years, female 78.9
GTEX-14BIN-2226-SM-5YYA1 50-59 years, female 78.7
GTEX-1399S-1026-SM-5KLZ9 30-39 years, female 78.6
GTEX-X3Y1-0426-SM-3P5Z4 40-49 years, male 78.5
GTEX-RUSQ-0526-SM-2TF72 50-59 years, male 78.4
GTEX-13U4I-0826-SM-5SIBD 40-49 years, female 78.2
GTEX-ZYFG-0426-SM-5E43M 60-69 years, female 78.0
GTEX-WEY5-0426-SM-3GIKT 40-49 years, female 77.8
GTEX-14PK6-0826-SM-5ZZVO 70-79 years, female 77.6
GTEX-13FHP-1026-SM-5K7Y2 50-59 years, male 77.4
GTEX-15RJ7-0226-SM-7KUMN 40-49 years, male 77.4
GTEX-WY7C-0526-SM-3NB3D 50-59 years, male 77.4
GTEX-14E6D-0926-SM-5S2QV 50-59 years, male 77.2
GTEX-RNOR-0826-SM-2TF5C 50-59 years, female 77.2
GTEX-WFG8-0626-SM-3GILJ 20-29 years, male 77.2
GTEX-1B8L1-0526-SM-79ONX 60-69 years, male 77.1
GTEX-14PJM-1126-SM-6LLHK 50-59 years, female 76.9
GTEX-QEG5-0926-SM-2TC64 20-29 years, male 76.8
GTEX-NFK9-0926-SM-2HMJU 40-49 years, male 76.7
GTEX-1339X-0426-SM-5KLZY 40-49 years, male 76.2
GTEX-P4QS-0326-SM-2I3EU 60-69 years, male 76.2
GTEX-13D11-1726-SM-5IFGQ 50-59 years, female 76.1
GTEX-13X6H-0426-SM-5LU4E 50-59 years, female 75.9
GTEX-P4PQ-0326-SM-2HMJ8 60-69 years, male 75.6
GTEX-ZPCL-0426-SM-DNZZ4 60-69 years, female 75.3
GTEX-1AX8Z-5007-SM-AHZ36 60-69 years, male 75.2
GTEX-U3ZH-0326-SM-3DB7A 30-39 years, male 75.1
GTEX-Y114-0226-SM-4TT8W 50-59 years, female 74.9
GTEX-Y5V6-0826-SM-4VBRU 60-69 years, male 74.8
GTEX-ZGAY-0326-SM-57WF5 40-49 years, female 74.7
GTEX-15RIE-1726-SM-7KUMU 60-69 years, male 74.7
GTEX-1GN1W-0326-SM-9JGHF 50-59 years, female 74.5
GTEX-1HFI7-0826-SM-A9G23 50-59 years, female 74.4
GTEX-1CAMS-1326-SM-79OJR 40-49 years, female 74.1
GTEX-QEL4-0926-SM-3GAD1 50-59 years, male 74.0
GTEX-ZZPU-0926-SM-5GZYT 50-59 years, female 73.4
GTEX-RTLS-0826-SM-2TF5Q 60-69 years, female 72.5
GTEX-UJHI-0426-SM-3DB8Y 50-59 years, female 72.5
GTEX-1LVAN-1726-SM-CNNR1 50-59 years, female 72.2
GTEX-17KNJ-0826-SM-793A4 50-59 years, male 71.2
GTEX-WFON-0326-SM-3GIKX 40-49 years, male 70.9
GTEX-QVJO-1926-SM-2S1QZ 60-69 years, female 70.6
GTEX-18A67-1226-SM-7KFRS 50-59 years, male 70.4
GTEX-RN64-0826-SM-2TC62 50-59 years, male 70.4
GTEX-1C6VQ-1126-SM-7EWET 50-59 years, male 70.0
GTEX-QLQ7-0526-SM-2I5G3 60-69 years, male 69.8
GTEX-U4B1-0326-SM-3DB8K 40-49 years, male 69.8
GTEX-12BJ1-0226-SM-5LUA2 60-69 years, male 69.6
GTEX-PX3G-0326-SM-2I3EO 20-29 years, female 68.8
GTEX-11I78-0826-SM-5A5K4 50-59 years, female 68.7
GTEX-11TT1-1326-SM-5PNYM 20-29 years, male 68.4
GTEX-1399U-0526-SM-5K7YM 50-59 years, female 68.4
GTEX-O5YT-0326-SM-32PKA 20-29 years, male 68.0
GTEX-QDVJ-0426-SM-2I5FW 50-59 years, male 67.6
GTEX-13PVR-1026-SM-5QGQW 60-69 years, female 67.4
GTEX-RU72-0326-SM-2TF5T 50-59 years, female 66.8
GTEX-1GF9U-0426-SM-7RHHA 40-49 years, female 66.8
GTEX-1HSGN-1126-SM-CJI4G 40-49 years, female 66.8
GTEX-QESD-0526-SM-2I5G5 20-29 years, male 66.7
GTEX-14H4A-0626-SM-5ZZUT 40-49 years, female 66.1
GTEX-T2IS-0426-SM-32QPE 20-29 years, female 66.0
GTEX-ZDTT-0726-SM-4WKFK 60-69 years, male 65.9
GTEX-Q2AH-0526-SM-2I3ED 40-49 years, male 65.7
GTEX-1122O-0826-SM-5GICV 60-69 years, female 65.2
GTEX-131XG-0626-SM-5GCMP 50-59 years, female 65.0
GTEX-OIZH-0326-SM-2HMKC 50-59 years, male 64.8
GTEX-UJMC-0526-SM-3GAE3 50-59 years, male 64.4
GTEX-15EOM-5007-SM-793DG 20-29 years, female 63.7
GTEX-15CHC-0426-SM-6LLHI 60-69 years, female 62.8
GTEX-RWS6-0326-SM-2XCAP 60-69 years, female 62.8
GTEX-13W3W-0426-SM-5SI9D 60-69 years, female 60.8
GTEX-OHPK-0326-SM-2HMJO 50-59 years, female 60.3
GTEX-SE5C-0626-SM-2XCDV 40-49 years, female 60.0
GTEX-S32W-0626-SM-2XCBG 50-59 years, female 59.2
GTEX-ZDYS-0226-SM-5HL4K 50-59 years, male 58.7
GTEX-1GL5R-0326-SM-9WYTJ 50-59 years, male 58.7
GTEX-QEG4-0426-SM-33HC3 30-39 years, male 57.1
GTEX-POMQ-0326-SM-2I5FO 20-29 years, female 56.8
GTEX-WFG7-0726-SM-3GIKO 20-29 years, male 56.3
GTEX-OXRK-0826-SM-2HMK7 50-59 years, female 55.8
GTEX-QMRM-0526-SM-2I5GA 50-59 years, male 55.0
GTEX-REY6-1026-SM-2TF4Y 60-69 years, male 55.0
GTEX-QDVN-0326-SM-2I3FS 50-59 years, male 54.3
GTEX-OHPL-0326-SM-33HC8 60-69 years, female 53.7
GTEX-R55G-0526-SM-2TC5O 40-49 years, female 52.3
GTEX-N7MT-1326-SM-2I3FV 60-69 years, female 52.0
GTEX-OHPM-0326-SM-33HCA 50-59 years, male 49.4
GTEX-SNMC-0126-SM-2XCFO 20-29 years, male 48.4
GTEX-R55C-0326-SM-3GAF1 40-49 years, male 41.3
GTEX-P4PP-0326-SM-33HC4 30-39 years, female 37.8
GTEX-V955-0726-SM-3GAFG 60-69 years, male 29.4
Show allShow less

HEART MUSCLE - FANTOM5 CAGEi

RNA expression in human tissues obtained through Cap Analysis of Gene Expression (CAGE) generated by the FANTOM5 project are reported as Scaled Tags Per Million.

Max subtype Scaled Tags Per Millioni

Max subtype Scaled Tags Per Million is the value for the subtype with the largest average Scaled Tags Per Million across the subtype samples.

138.1
FANTOM5 sample id Sample description Scaled Tags Per Million
Heart
Scaled Tags Per Million: 138.1
FF:10016-101C7 70,73,74 years, mixed 138.1
Left atrium
Scaled Tags Per Million: 110.8
FF:10079-102A7 40 years, male 110.8
Left ventricle
Scaled Tags Per Million: 120.5
FF:10078-102A6 73 years, female 120.5

Contact

  • NEWS ARTICLES
  • PRESS ROOM

The Project

  • INTRODUCTION
  • ORGANIZATION
  • PUBLICATIONS

The Human Protein Atlas

  • DOWNLOADABLE DATA
  • LICENCE & CITATION
  • HELP & FAQ
The Human Protein Atlas project is funded
by the Knut & Alice Wallenberg Foundation.


contact@proteinatlas.org