We use cookies to enhance the usability of our website. If you continue, we'll assume that you are happy to receive all cookies. More information. Don't show this again.
SELENOH
HPA
RESOURCES
  • TISSUE
  • BRAIN
  • SINGLE CELL
  • SUBCELLULAR
  • CANCER
  • BLOOD
  • CELL LINE
  • STRUCTURE & INTERACTION
ABOUT
  • INTRODUCTION
  • HISTORY
  • ORGANIZATION
  • PUBLICATIONS
  • ANTIBODY SUBMISSION
  • ANTIBODY AVAILABILITY
  • ACKNOWLEDGMENTS
  • CONTACT
NEWS
  • NEWS ARTICLES
  • PRESS ROOM
LEARN
  • DICTIONARY
  • PROTEIN CLASSES
  • PROTEIN EVIDENCE
  • METHODS
  • EDUCATIONAL VIDEOS
DATA
  • DOWNLOADABLE DATA
  • PUBLICATION DATA
  • RELEASE HISTORY
HELP
  • ANTIBODY VALIDATION
  • ASSAYS & ANNOTATION
  • DISCLAIMER
  • HELP & FAQ
  • PRIVACY STATEMENT
  • LICENCE & CITATION
Fields »
Search result

Field
Term
Gene name
Class
Subclass
Class
Keyword
Chromosome
External id
Tissue
Cell type
Expression
Antibody panel
Tissue
Main location
Patient ID
Annotation
Tissue
Category
Tau score
Cluster
Reliability
Brain region
Category
Tau score
Brain region
Category
Tau score
Brain region
Category
Tau score
Cluster
Reliability
Tissue
Cell type
Enrichment
Cell type
Category
Tau score
Cell type
Category
Tau score
Cell type
Category
Tau score
Cell lineage
Category
Tau score
Cluster
Cluster
Location
Searches
Location
Cell line
Class
Type
Phase
Reliability
Cancer
Prognosis
Cancer
Category
Cancer
Category
Tau score
Cluster
Variants
Interacting gene (ensg_id)
Type
Number of interactions
Pathway
Category
Score
Score
Score
Validation
Validation
Validation
Validation
Antibodies
Data type
Column


  • SUMMARY

  • TISSUE

  • BRAIN

  • SINGLE CELL

  • SUBCELL

  • CANCER

  • BLOOD

  • CELL LINE

  • STRUCT & INT

  • SELENOH
TISSUE PRIMARY DATA TESTIS Show tissue menu
ADIPOSE TISSUE ADRENAL GLAND AMYGDALA APPENDIX BASAL GANGLIA BONE MARROW BREAST BRONCHUS CEREBELLUM CEREBRAL CORTEX CERVIX CHOROID PLEXUS COLON DUODENUM
ENDOMETRIUM EPIDIDYMIS ESOPHAGUS FALLOPIAN TUBE GALLBLADDER HEART MUSCLE HIPPOCAMPAL FORMATION HYPOTHALAMUS KIDNEY LIVER LUNG LYMPH NODE MIDBRAIN NASOPHARYNX
ORAL MUCOSA OVARY PANCREAS PARATHYROID GLAND PITUITARY GLAND PLACENTA PROSTATE RECTUM RETINA SALIVARY GLAND SEMINAL VESICLE SKELETAL MUSCLE SKIN SMALL INTESTINE
SMOOTH MUSCLE SOFT TISSUE SPINAL CORD SPLEEN STOMACH TESTIS THYMUS THYROID GLAND TONGUE TONSIL URINARY BLADDER VAGINA
ANTIBODIES
AND
VALIDATION
Dictionary
Testis
Tissue proteome
Testis
TESTIS - Expression summary
Protein expression
Testisi

On the top, protein expression in current human tissue, based on all annotated cell types, is reported with the units not detected (n), low (l), medium (m) and high (h). Underneath, protein expression in each annotated cell type are reported using the same units.

Protein expression data is based on knowledge-based annotation. For genes where more than one antibody has been used, a collective score is set.

If knowledge-based annotation could not be performed for a gene, no data is displayed here. View antibody staining data further down this page.

h
m
l
n
Cells in seminiferous ducts: Medium
Leydig cells: Medium
RNA expressioni

A summary of mRNA expression data available for current tissue based on several datasets. The mRNA expression levels in human tissues are based on RNA-seq data generated by the Human Protein Atlas (HPA), Genotype-Tissue Expression (GTEx) portal and CAGE data generated by the FANTOM5 consortium. Consensus normalized expression levels for human tissues was created by combining the data from HPA and GTEx datasets.

The mRNA expression levels in pig are based on RNA-seq data generated by the Human Protein Atlas (HPA), and for mouse, HPA data and in situ hybridization generated by the Allen brain atlas are reported.

Scroll down to view mRNA expression data in more detail.
Consensus:63.9 nTPM
HPA:13.9 nTPM
GTEx:63.9 nTPM
FANTOM5:113.4 Scaled Tags Per Million

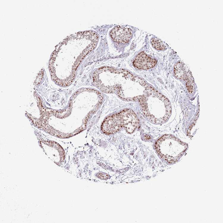
TESTIS - Antibody stainingi

Antibody staining in the annotated cell types in the current human tissue is reported as not detected, low, medium, or high, based on conventional immunohistochemistry profiling in selected tissues. This score is based on the combination of the staining intensity and fraction of stained cells.

Each image is clickable and will lead to virtual microscopy that enables deeper exploration of all samples and also displays staining intensity scores, fraction scores and subcellular localization as well as patient and tissue information for each sample.

Antibody HPA048362
Leydig cells Medium
Cells in seminiferous ducts Medium



TESTIS - HPA RNA-seqi

The RNA-seq details section shows detailed information about the individual samples used for the transcript profiling and results of the RNA-seq analysis.

Information about each individual sample is listed below, including gender, age, a tissue section image and estimated fractions of cell types. nTPM (normalized transcripts per million) values give a quantification of the gene abundance which is comparable between different genes and samples.
Average nTPMi

Max subtype nTPM is the value for the subtype with the largest average nTPM across the subtype samples.

13.9
overview
Male, age 56
Testis sample 244
nTPM: 18.4
Cell types%
Cells in seminiferous ducts:
65

Other cell types:
35

overview
Male, age 34
Testis sample 278
nTPM: 17.4
Cell types%
Cells in seminiferous ducts:
75

Other cell types:
25

overview
Male, age 62
Testis sample 279
nTPM: 18.4
Cell types%
Cells in seminiferous ducts:
70

Other cell types:
30

overview
Male, age 34
Testis sample 280
nTPM: 21.6
Cell types%
Cells in seminiferous ducts:
60

Other cell types:
40

overview
Male, age 26
Testis sample 281
nTPM: 13.6
Cell types%
Cells in seminiferous ducts:
55

Other cell types:
45

overview
Male, age 50
Testis sample 282
nTPM: 14.5
Cell types%
Cells in seminiferous ducts:
85

Other cell types:
15

overview
Male, age 37
Testis sample 283
nTPM: 15.5
Cell types%
Cells in seminiferous ducts:
35

Other cell types:
65

overview
Male, age 51
Testis sample 349
nTPM: 2.3
Cell types%
Cells in seminiferous ducts:
65

Other cell types:
35

overview
Male, age 34
Testis sample 354
nTPM: 9.1
Cell types%
Cells in seminiferous ducts:
70

Other cell types:
30

overview
Male, age 26
Testis sample 371
nTPM: 8.2
Cell types%
Cells in seminiferous ducts:
75

Other cell types:
25


TESTIS - GTEx RNA-seqi

RNA-Seq data generated by the Genotype-Tissue Expression (GTEx) project from human tissues is reported as mean nTPM. More information can be found on the GTEx portal.

Distribution across the dataset is visualized with box plots, shown as median and 25th and 75th percentiles. Points are displayed as outliers if they are above or below 1.5 times the interquartile range. nTPM values of the individual samples are presented next to the box plot.
Max subtype nTPMi

Max subtype nTPM is the value for the subtype with the largest average nTPM across the subtype samples.

63.9
GTEx sample id Sample description nTPM
Testis
Average nTPM: 63.9
Samples: 361

Max nTPM: 107.6
Min nTPM: 31.9
Std nTPM: 11.1
Median nTPM: 62.2
GTEX-1LG7Y-2326-SM-EVR56 50-59 years, male 107.6
GTEX-11DXY-0226-SM-5H123 60-69 years, male 105.0
GTEX-1QP29-0426-SM-EVR3Y 50-59 years, male 100.6
GTEX-18465-1526-SM-7KFTV 50-59 years, male 94.2
GTEX-1JMQK-2726-SM-CNNPI 60-69 years, male 93.5
GTEX-1H1ZS-2826-SM-9OSXS 70-79 years, male 91.3
GTEX-18A67-1826-SM-7KFT7 50-59 years, male 90.6
GTEX-XK95-2726-SM-4V6G6 40-49 years, male 90.1
GTEX-1QAET-1926-SM-DPRZG 50-59 years, male 89.7
GTEX-WY7C-2226-SM-4ONCS 50-59 years, male 88.8
GTEX-XPT6-1626-SM-4B655 20-29 years, male 88.6
GTEX-1JKYN-1026-SM-CGQG4 30-39 years, male 88.0
GTEX-1KD5A-1826-SM-DHXJI 50-59 years, male 87.9
GTEX-YJ89-0626-SM-4TT3Z 60-69 years, male 86.0
GTEX-1H1DG-2726-SM-9JGI1 70-79 years, male 85.8
GTEX-1LSNL-2426-SM-DHXKO 50-59 years, male 85.6
GTEX-147F4-0626-SM-5LUAK 50-59 years, male 85.4
GTEX-S4Z8-2126-SM-4AD5H 60-69 years, male 84.8
GTEX-1C6VS-1126-SM-7EWEW 60-69 years, male 84.6
GTEX-13OVH-0726-SM-5N9BU 70-79 years, male 84.3
GTEX-1K2DA-1326-SM-CGQGP 50-59 years, male 84.3
GTEX-Y8E4-2226-SM-5LU94 40-49 years, male 83.9
GTEX-1PPH8-1226-SM-DPRXO 20-29 years, male 83.6
GTEX-1LSVX-2126-SM-EV7A9 60-69 years, male 83.2
GTEX-OIZI-0126-SM-3NB13 40-49 years, male 82.2
GTEX-1S5VW-2626-SM-EVR4W 60-69 years, male 82.2
GTEX-1QP9N-1326-SM-DPRZN 30-39 years, male 81.8
GTEX-1GMR2-0726-SM-7MXVK 50-59 years, male 81.4
GTEX-ZLFU-2026-SM-4WWG2 40-49 years, male 81.3
GTEX-1F75A-2826-SM-7MXTS 50-59 years, male 81.3
GTEX-17KNJ-1126-SM-7KFT6 50-59 years, male 81.1
GTEX-RN64-2326-SM-48FDW 50-59 years, male 80.7
GTEX-1AX8Z-2826-SM-73KTZ 60-69 years, male 79.9
GTEX-11ONC-2226-SM-5HL6D 60-69 years, male 79.7
GTEX-1K2DU-2226-SM-CXZJY 20-29 years, male 79.4
GTEX-1MA7X-1526-SM-DHXJF 60-69 years, male 79.4
GTEX-13OW8-0526-SM-5KM24 60-69 years, male 79.2
GTEX-1339X-1926-SM-5PNVP 40-49 years, male 79.1
GTEX-1KXAM-1826-SM-D3LAF 60-69 years, male 78.3
GTEX-YEC4-1526-SM-4W1YU 40-49 years, male 78.2
GTEX-14A6H-2326-SM-5Q5B5 30-39 years, male 77.9
GTEX-1QP6S-0826-SM-E6CPP 40-49 years, male 77.8
GTEX-11EI6-2226-SM-5EGJM 60-69 years, male 77.6
GTEX-15SKB-0326-SM-6M477 60-69 years, male 77.2
GTEX-YFCO-1726-SM-4W21S 40-49 years, male 76.9
GTEX-XPVG-2226-SM-4B65U 50-59 years, male 76.3
GTEX-ZTX8-1126-SM-51MRM 20-29 years, male 76.3
GTEX-ZAB4-0126-SM-5CVMG 40-49 years, male 75.8
GTEX-1JJ6O-0526-SM-AHZ3G 60-69 years, male 75.8
GTEX-13O1R-0726-SM-5IJEI 60-69 years, male 75.5
GTEX-14PJN-1626-SM-68727 30-39 years, male 75.4
GTEX-14PJ4-1726-SM-664OC 60-69 years, male 75.2
GTEX-1399T-1526-SM-5P9J6 60-69 years, male 75.1
GTEX-1F6IF-0526-SM-7MKHD 60-69 years, male 74.6
GTEX-WVLH-2626-SM-4MVNV 50-59 years, male 74.6
GTEX-1BAJH-0726-SM-7IGMF 70-79 years, male 74.5
GTEX-Y9LG-1726-SM-4VBQE 30-39 years, male 74.5
GTEX-13QJ3-0226-SM-5S2PU 50-59 years, male 74.0
GTEX-1PDJ9-1426-SM-DPRYW 20-29 years, male 73.9
GTEX-117YX-2026-SM-5GIEF 50-59 years, male 73.6
GTEX-17EVP-2426-SM-7IGNK 40-49 years, male 73.6
GTEX-WYJK-1826-SM-4ONDM 50-59 years, male 72.8
GTEX-1HSMO-2426-SM-A9G24 60-69 years, male 72.8
GTEX-YF7O-2026-SM-4W1YE 50-59 years, male 72.7
GTEX-1CB4I-0926-SM-7MKFY 50-59 years, male 72.6
GTEX-OIZG-0126-SM-E9TI2 50-59 years, male 72.6
GTEX-U8T8-1126-SM-4DXUE 60-69 years, male 72.5
GTEX-1M5QR-2626-SM-EV7AV 40-49 years, male 72.5
GTEX-11O72-0726-SM-5P9GO 40-49 years, male 72.0
GTEX-17HHY-0726-SM-7IGM6 50-59 years, male 72.0
GTEX-1MCQQ-2326-SM-DLHBX 60-69 years, male 72.0
GTEX-12696-0226-SM-5EGL3 60-69 years, male 71.9
GTEX-139T6-1226-SM-5IFFC 50-59 years, male 71.9
GTEX-SUCS-1326-SM-4DM5T 70-79 years, male 71.9
GTEX-1I1GP-2426-SM-B2LXK 50-59 years, male 71.8
GTEX-PLZ5-1526-SM-3P5ZX 50-59 years, male 71.7
GTEX-ZT9X-1426-SM-5DUX1 40-49 years, male 71.7
GTEX-14C38-0126-SM-5YY9V 50-59 years, male 71.5
GTEX-R55E-0726-SM-48FCZ 20-29 years, male 71.4
GTEX-1GMR3-1726-SM-9JGGQ 40-49 years, male 71.4
GTEX-1NHNU-1526-SM-E6CP2 50-59 years, male 71.4
GTEX-1R7EU-1726-SM-DTX9M 60-69 years, male 71.3
GTEX-P4QS-2126-SM-3NMCF 60-69 years, male 71.2
GTEX-1LVA9-2826-SM-EAZ5D 50-59 years, male 71.2
GTEX-145MF-1726-SM-5LU9H 50-59 years, male 71.0
GTEX-XLM4-1526-SM-4AT6D 60-69 years, male 70.9
GTEX-1GZ4I-2726-SM-9JGG9 50-59 years, male 70.9
GTEX-WFG8-1926-SM-4LVM1 20-29 years, male 70.8
GTEX-OOBJ-2126-SM-3NB1N 60-69 years, male 70.7
GTEX-U3ZH-1526-SM-4DXV1 30-39 years, male 70.7
GTEX-17MF6-2726-SM-7IGMZ 40-49 years, male 70.6
GTEX-1E1VI-1026-SM-7MKGQ 50-59 years, male 70.4
GTEX-X261-2326-SM-4PQYU 50-59 years, male 70.4
GTEX-1JJEA-1926-SM-AHZ41 60-69 years, male 70.4
GTEX-1GN1V-1826-SM-9JGGD 60-69 years, male 70.3
GTEX-13FLW-2126-SM-5N9FD 50-59 years, male 70.2
GTEX-O5YT-2126-SM-3MJGD 20-29 years, male 70.2
GTEX-T5JC-0726-SM-4DM55 20-29 years, male 70.1
GTEX-144GN-1626-SM-5Q5BU 50-59 years, male 70.0
GTEX-13O61-2026-SM-5J2M6 60-69 years, male 69.9
GTEX-1ICLY-2926-SM-C1YS5 50-59 years, male 69.9
GTEX-1LB8K-2326-SM-DHXJL 50-59 years, male 69.6
GTEX-1O97I-2426-SM-DPRZ2 60-69 years, male 69.6
GTEX-1N2EE-0826-SM-E6CRI 60-69 years, male 69.5
GTEX-QMRM-1526-SM-4R1K6 50-59 years, male 69.1
GTEX-S7SE-0326-SM-4AT5Q 50-59 years, male 69.0
GTEX-UPJH-0126-SM-4IHLL 50-59 years, male 69.0
GTEX-1KWVE-1126-SM-DHXJY 30-39 years, male 68.9
GTEX-1RAZR-2226-SM-E6CRG 40-49 years, male 68.9
GTEX-1MJK2-1326-SM-EV7A4 50-59 years, male 68.8
GTEX-12BJ1-1326-SM-5BC5P 60-69 years, male 68.7
GTEX-WFON-2026-SM-4LVMW 40-49 years, male 68.7
GTEX-QEG5-0126-SM-CMKFD 20-29 years, male 68.7
GTEX-13NYB-2226-SM-5MR58 40-49 years, male 68.4
GTEX-ZQUD-2026-SM-51MSM 30-39 years, male 68.2
GTEX-18A6Q-2626-SM-7KFT3 60-69 years, male 68.1
GTEX-1212Z-0326-SM-5FQSJ 60-69 years, male 67.9
GTEX-13O21-1226-SM-5J2MK 50-59 years, male 67.9
GTEX-1EN7A-2226-SM-7MXU6 40-49 years, male 67.9
GTEX-11NUK-2626-SM-5A5MB 50-59 years, male 67.6
GTEX-1HSKV-1826-SM-CNPPM 60-69 years, male 67.4
GTEX-1IDJF-2226-SM-AHZ2T 20-29 years, male 67.3
GTEX-13NZA-2526-SM-5IJFX 60-69 years, male 67.2
GTEX-PW2O-1426-SM-48TCD 20-29 years, male 67.2
GTEX-11OF3-1826-SM-5987N 60-69 years, male 67.1
GTEX-1IDJH-2326-SM-D4P2K 70-79 years, male 67.1
GTEX-13112-0226-SM-5P9IV 50-59 years, male 67.0
GTEX-1KANB-2126-SM-DHXJV 50-59 years, male 67.0
GTEX-11TT1-2226-SM-5GU6B 20-29 years, male 66.9
GTEX-18A7B-1526-SM-7KFTH 70-79 years, male 66.9
GTEX-S3XE-1526-SM-4AD5A 50-59 years, male 66.6
GTEX-13OVK-2226-SM-6LPJY 40-49 years, male 66.5
GTEX-Y5V6-1726-SM-4VDSZ 60-69 years, male 66.5
GTEX-QLQW-1026-SM-447A9 30-39 years, male 66.4
GTEX-QV31-1126-SM-CKZNA 30-39 years, male 66.4
GTEX-1QMI2-2826-SM-DPRXR 60-69 years, male 66.3
GTEX-WOFM-1126-SM-4OOSB 20-29 years, male 66.2
GTEX-S33H-0126-SM-4AD62 30-39 years, male 66.0
GTEX-15SHV-1926-SM-6LPI1 60-69 years, male 65.8
GTEX-TKQ1-0926-SM-4DXU2 30-39 years, male 65.8
GTEX-U8XE-0126-SM-4E3I3 30-39 years, male 65.8
GTEX-1F6I4-1426-SM-7MXU3 60-69 years, male 65.7
GTEX-1GL5R-0826-SM-9KNTS 50-59 years, male 65.7
GTEX-1H1E6-0626-SM-9OSWF 30-39 years, male 65.7
GTEX-145MH-2326-SM-5O9AW 50-59 years, male 65.3
GTEX-14A5H-0626-SM-5TDCO 60-69 years, male 65.3
GTEX-1HSMQ-1726-SM-B2LXZ 50-59 years, male 65.2
GTEX-14753-0626-SM-5Q5CY 60-69 years, male 65.1
GTEX-RWSA-2426-SM-47JXR 40-49 years, male 65.1
GTEX-1JMQJ-0726-SM-CXZJJ 50-59 years, male 65.0
GTEX-1C6VR-1526-SM-7MKG9 60-69 years, male 64.9
GTEX-111CU-1726-SM-5EGHM 50-59 years, male 64.8
GTEX-PVOW-2126-SM-EZ6LN 40-49 years, male 64.7
GTEX-11NSD-1026-SM-5N9BE 20-29 years, male 64.6
GTEX-13FTW-1326-SM-5LZZD 40-49 years, male 64.6
GTEX-1JN6P-2826-SM-CXZJK 60-69 years, male 64.5
GTEX-1RAZA-2126-SM-EVR4A 20-29 years, male 64.4
GTEX-13VXU-0726-SM-5J2O7 50-59 years, male 64.1
GTEX-14E7W-0726-SM-664OK 70-79 years, male 64.1
GTEX-S95S-1126-SM-4B64E 60-69 years, male 63.8
GTEX-ZUA1-2726-SM-59HLJ 40-49 years, male 63.5
GTEX-1E2YA-2826-SM-7EPIN 50-59 years, male 63.4
GTEX-R55D-0126-SM-48FEL 50-59 years, male 63.3
GTEX-13111-1526-SM-5EGJX 50-59 years, male 63.2
GTEX-14PHX-1426-SM-69LPP 50-59 years, male 63.2
GTEX-1RQED-1626-SM-EAZ55 60-69 years, male 63.2
GTEX-XBED-2026-SM-4AT5D 60-69 years, male 63.1
GTEX-13N2G-0126-SM-5N9DV 60-69 years, male 63.0
GTEX-13FHP-2826-SM-5IJFW 50-59 years, male 62.9
GTEX-QEG4-0126-SM-48TZE 30-39 years, male 62.9
GTEX-18QFQ-1926-SM-72D5H 30-39 years, male 62.8
GTEX-1AX9J-1226-SM-72D6P 60-69 years, male 62.8
GTEX-U3ZM-1626-SM-4DXSK 40-49 years, male 62.8
GTEX-1HB9E-1926-SM-D4P34 50-59 years, male 62.8
GTEX-11WQK-2826-SM-5EQKH 50-59 years, male 62.6
GTEX-16XZZ-0626-SM-6M47T 60-69 years, male 62.6
GTEX-12WSI-2126-SM-5GCMV 50-59 years, male 62.5
GTEX-Q2AH-1526-SM-48TZG 40-49 years, male 62.5
GTEX-15RJ7-1826-SM-7KUMJ 40-49 years, male 62.4
GTEX-1GF9V-0626-SM-7MXU1 60-69 years, male 62.4
GTEX-1AX9K-1826-SM-731CY 50-59 years, male 62.2
GTEX-NFK9-0126-SM-3LK5H 40-49 years, male 62.1
GTEX-1IKJJ-2126-SM-C1YQU 60-69 years, male 62.1
GTEX-QLQ7-1426-SM-4R1JX 60-69 years, male 62.0
GTEX-1H4P4-1926-SM-9WPOO 50-59 years, male 62.0
GTEX-13NZB-2026-SM-5MR4M 30-39 years, male 61.9
GTEX-XQ3S-2726-SM-4BOP2 20-29 years, male 61.8
GTEX-ZYFC-0126-SM-5GIEH 50-59 years, male 61.7
GTEX-ZZ64-1126-SM-5GZXY 20-29 years, male 61.7
GTEX-1IL2U-0126-SM-CNPQ5 60-69 years, male 61.7
GTEX-R55C-1426-SM-48FED 40-49 years, male 61.5
GTEX-WH7G-1926-SM-4LVMM 40-49 years, male 61.5
GTEX-1HUB1-2026-SM-A96S8 60-69 years, male 61.5
GTEX-111FC-1926-SM-5GZYC 60-69 years, male 61.4
GTEX-11LCK-2326-SM-5HL53 30-39 years, male 61.3
GTEX-14PJ3-1626-SM-664O5 50-59 years, male 61.2
GTEX-XMK1-2026-SM-4B65K 40-49 years, male 61.2
GTEX-1EMGI-0626-SM-7MXUS 60-69 years, male 61.2
GTEX-1AYCT-1026-SM-79ONR 50-59 years, male 61.1
GTEX-147JS-0126-SM-5S2TW 60-69 years, male 61.0
GTEX-11GS4-2026-SM-5N9CP 60-69 years, male 60.9
GTEX-12C56-1426-SM-5FQSW 20-29 years, male 60.9
GTEX-12ZZY-0126-SM-5LZV2 60-69 years, male 60.9
GTEX-RUSQ-2126-SM-47JXK 50-59 years, male 60.9
GTEX-T8EM-0126-SM-4DM5R 40-49 years, male 60.9
GTEX-14ABY-0626-SM-5Q5C9 50-59 years, male 60.8
GTEX-SNMC-1026-SM-4DM7K 20-29 years, male 60.8
GTEX-1HCVE-2826-SM-9WPPI 50-59 years, male 60.7
GTEX-1I1GS-1826-SM-C1YS8 60-69 years, male 60.7
GTEX-1PPGY-0726-SM-EXOJ7 60-69 years, male 60.7
GTEX-1399Q-2826-SM-5IJEZ 40-49 years, male 60.6
GTEX-139TT-2226-SM-5LZWO 60-69 years, male 60.6
GTEX-RM2N-1326-SM-48FCW 50-59 years, male 60.6
GTEX-132QS-1226-SM-5P9GD 60-69 years, male 60.4
GTEX-Y3I4-2026-SM-4TT6Z 50-59 years, male 60.4
GTEX-18D9B-2726-SM-72D73 60-69 years, male 60.3
GTEX-N7MS-0126-SM-3TW8O 60-69 years, male 60.3
GTEX-1J8Q3-0726-SM-AHZ3W 60-69 years, male 60.2
GTEX-1R9K5-2326-SM-DPRZC 50-59 years, male 60.2
GTEX-1JKYR-1626-SM-AHZ3L 20-29 years, male 60.0
GTEX-1CB4F-2126-SM-7MXUL 60-69 years, male 59.9
GTEX-VJYA-1426-SM-4KL1Y 60-69 years, male 59.6
GTEX-YB5E-1926-SM-5IFIG 40-49 years, male 59.6
GTEX-18A66-0726-SM-72D77 60-69 years, male 59.5
GTEX-1S831-2026-SM-EXOJP 20-29 years, male 59.5
GTEX-1AX9I-1826-SM-72D5I 60-69 years, male 59.4
GTEX-1JK1U-0726-SM-C1YPZ 60-69 years, male 59.4
GTEX-1PIGE-1626-SM-DPRZE 20-29 years, male 59.4
GTEX-11TUW-2226-SM-5EQL9 60-69 years, male 59.3
GTEX-OOBK-2126-SM-3LK5T 40-49 years, male 59.2
GTEX-XBEC-0126-SM-4GIDT 50-59 years, male 59.1
GTEX-1IY9M-2526-SM-C1YQF 60-69 years, male 59.0
GTEX-1L5NE-1626-SM-DHXKW 50-59 years, male 58.9
GTEX-145MO-0126-SM-5S2QU 60-69 years, male 58.8
GTEX-1HBPN-2226-SM-9WPNR 50-59 years, male 58.8
GTEX-13OW6-0126-SM-5IJGM 50-59 years, male 58.6
GTEX-S7PM-0626-SM-4AD4Q 60-69 years, male 58.6
GTEX-1JMLX-0726-SM-AHZ3M 50-59 years, male 58.6
GTEX-17HII-0126-SM-7KFSS 50-59 years, male 58.5
GTEX-13N1W-2626-SM-5IJEP 70-79 years, male 58.4
GTEX-14C39-0526-SM-664OF 40-49 years, male 58.4
GTEX-WK11-0326-SM-4OOS6 50-59 years, male 58.3
GTEX-1GN2E-0126-SM-9OSW8 60-69 years, male 58.2
GTEX-117XS-2026-SM-5GID1 60-69 years, male 58.1
GTEX-V955-1926-SM-4KL1L 60-69 years, male 58.0
GTEX-Y111-2426-SM-4TT23 50-59 years, male 58.0
GTEX-OIZF-2126-SM-7P8R2 60-69 years, male 58.0
GTEX-REY6-0126-SM-48FDT 60-69 years, male 57.9
GTEX-139TS-1726-SM-5IJG5 60-69 years, male 57.7
GTEX-ZVTK-0126-SM-57WDG 20-29 years, male 57.7
GTEX-ZA64-1626-SM-5CVME 20-29 years, male 57.6
GTEX-17F9E-1626-SM-7EWDB 50-59 years, male 57.5
GTEX-11DXZ-2126-SM-59881 50-59 years, male 57.4
GTEX-XGQ4-2026-SM-4AT6G 50-59 years, male 57.4
GTEX-12WSL-2326-SM-5DUXQ 50-59 years, male 57.1
GTEX-WZTO-0326-SM-4PQYZ 40-49 years, male 57.1
GTEX-ZTSS-1526-SM-51MTC 40-49 years, male 57.1
GTEX-1GF9W-2126-SM-7MXUX 60-69 years, male 57.1
GTEX-144GL-0726-SM-5LU4P 50-59 years, male 57.0
GTEX-17GQL-1726-SM-718B8 60-69 years, male 57.0
GTEX-RVPV-1126-SM-EAZAV 60-69 years, male 57.0
GTEX-1HSEH-0726-SM-B2LXD 60-69 years, male 56.9
GTEX-13OVL-0426-SM-5IFG6 50-59 years, male 56.8
GTEX-14B4R-1026-SM-5TDDS 30-39 years, male 56.8
GTEX-WQUQ-0326-SM-EWRM7 60-69 years, male 56.7
GTEX-144GM-0426-SM-5Q5C8 20-29 years, male 56.6
GTEX-11EQ8-1426-SM-5EGJR 60-69 years, male 56.4
GTEX-11P82-1526-SM-5BC5M 20-29 years, male 56.4
GTEX-117YW-1526-SM-5EGGP 50-59 years, male 56.3
GTEX-17HGU-0726-SM-7DUFN 50-59 years, male 56.2
GTEX-QV44-1726-SM-4R1KG 50-59 years, male 56.2
GTEX-ZV7C-2026-SM-5NQ8F 50-59 years, male 56.2
GTEX-Z93S-1726-SM-5HL8G 50-59 years, male 56.1
GTEX-13OW5-2526-SM-5L3I1 60-69 years, male 56.0
GTEX-16Z82-2726-SM-7KULV 60-69 years, male 55.9
GTEX-11ZUS-2726-SM-5FQUA 30-39 years, male 55.8
GTEX-ZYT6-2726-SM-5GICP 30-39 years, male 55.8
GTEX-16YQH-1826-SM-6LPJW 30-39 years, male 55.7
GTEX-131XE-0426-SM-5IJF4 50-59 years, male 55.5
GTEX-12WSH-0326-SM-5GCNH 50-59 years, male 55.4
GTEX-T6MN-2026-SM-4DM7L 50-59 years, male 55.4
GTEX-ZT9W-2226-SM-57WFU 50-59 years, male 55.3
GTEX-PLZ6-1226-SM-3P5ZS 30-39 years, male 55.2
GTEX-1RAZQ-1126-SM-EAZ4S 30-39 years, male 55.1
GTEX-ZDYS-1326-SM-5IJFF 50-59 years, male 55.0
GTEX-X3Y1-2626-SM-4PQZI 40-49 years, male 54.8
GTEX-1OKEX-1926-SM-E6CP7 60-69 years, male 54.8
GTEX-1GMRU-0626-SM-7MKH2 50-59 years, male 54.7
GTEX-ZDTT-2026-SM-5K7TY 60-69 years, male 54.7
GTEX-111YS-2026-SM-5EGGL 60-69 years, male 54.6
GTEX-1B996-2326-SM-731EC 60-69 years, male 54.5
GTEX-14PJ2-2026-SM-6AJAQ 50-59 years, male 54.3
GTEX-1C4CL-1926-SM-731DY 30-39 years, male 54.3
GTEX-1I1GV-2526-SM-B2LXL 60-69 years, male 54.3
GTEX-1A3MV-0726-SM-72D5M 30-39 years, male 54.0
GTEX-1EKGG-2726-SM-79OOD 60-69 years, male 53.9
GTEX-ZAB5-2426-SM-5CVMW 50-59 years, male 53.9
GTEX-X5EB-2026-SM-4E3KA 40-49 years, male 53.8
GTEX-ZVZP-2226-SM-57WBF 50-59 years, male 53.8
GTEX-Q2AI-1226-SM-48U14 40-49 years, male 53.4
GTEX-183FY-1926-SM-7KFRI 20-29 years, male 53.1
GTEX-11WQC-2326-SM-5EQKE 60-69 years, male 53.0
GTEX-WHSE-0426-SM-4M1XO 20-29 years, male 52.9
GTEX-1B8L1-2326-SM-9JGGA 60-69 years, male 52.8
GTEX-1CB4G-2426-SM-7DUGM 60-69 years, male 52.7
GTEX-YEC3-1726-SM-5IFIK 50-59 years, male 52.6
GTEX-ZPU1-2126-SM-57WED 40-49 years, male 52.6
GTEX-1IOXB-1526-SM-A96T6 50-59 years, male 52.6
GTEX-1I1GU-0726-SM-ARU7H 40-49 years, male 52.4
GTEX-1399R-1626-SM-5P9GG 30-39 years, male 52.3
GTEX-14BIL-2226-SM-73KWF 50-59 years, male 52.3
GTEX-11EQ9-1926-SM-5PNVV 30-39 years, male 52.2
GTEX-OXRL-2126-SM-3NM98 50-59 years, male 52.2
GTEX-15G19-1326-SM-6LPIR 60-69 years, male 52.0
GTEX-TKQ2-1526-SM-4DXUN 50-59 years, male 52.0
GTEX-16AAH-1626-SM-7EWE2 50-59 years, male 51.9
GTEX-147GR-0626-SM-5S2PK 60-69 years, male 51.8
GTEX-15RIE-0626-SM-6M47G 60-69 years, male 51.8
GTEX-11NV4-1726-SM-5N9FC 60-69 years, male 51.6
GTEX-SNOS-1126-SM-4DM67 40-49 years, male 51.6
GTEX-12WSM-1326-SM-5GCP9 60-69 years, male 51.3
GTEX-11P7K-1026-SM-5HL6Y 30-39 years, male 51.2
GTEX-1B8KZ-1826-SM-73KVJ 50-59 years, male 51.2
GTEX-V1D1-2126-SM-4JBH4 50-59 years, male 51.2
GTEX-1C64N-2826-SM-7IGP5 50-59 years, male 51.0
GTEX-1J1R8-1326-SM-CE6TC 40-49 years, male 51.0
GTEX-1LBAC-1826-SM-D3L9X 20-29 years, male 51.0
GTEX-1I6K7-2426-SM-AHZ2I 40-49 years, male 50.8
GTEX-1B8KE-1426-SM-7EWEL 50-59 years, male 50.4
GTEX-1KANA-1626-SM-CXZL2 20-29 years, male 50.1
GTEX-U4B1-1526-SM-4DXSL 40-49 years, male 50.0
GTEX-17HHE-1226-SM-793C6 50-59 years, male 49.8
GTEX-145LT-0426-SM-5LUAP 40-49 years, male 49.7
GTEX-S4Q7-1226-SM-4AD5I 20-29 years, male 49.7
GTEX-1GPI7-1426-SM-9JGGR 20-29 years, male 49.6
GTEX-1GTWX-2226-SM-9JGHD 60-69 years, male 49.6
GTEX-XAJ8-1326-SM-47JYT 40-49 years, male 49.5
GTEX-14E6E-1026-SM-664N9 30-39 years, male 49.4
GTEX-1RB15-1926-SM-EV79J 60-69 years, male 49.4
GTEX-1EU9M-1626-SM-7EWF2 60-69 years, male 48.9
GTEX-WHSB-2126-SM-4M1XF 50-59 years, male 48.9
GTEX-1KD4Q-2126-SM-EV7A6 40-49 years, male 48.8
GTEX-1C64O-2126-SM-7IGPB 60-69 years, male 48.6
GTEX-15RIF-1826-SM-6M469 20-29 years, male 48.5
GTEX-OHPM-2126-SM-3LK75 50-59 years, male 48.4
GTEX-1H11D-1626-SM-9JGHM 40-49 years, male 48.4
GTEX-1PIIG-0526-SM-E6CQM 30-39 years, male 48.3
GTEX-1GN73-1726-SM-9JGFR 60-69 years, male 48.1
GTEX-1QP2A-1626-SM-E6CPO 50-59 years, male 48.0
GTEX-14E1K-1926-SM-73KWS 50-59 years, male 47.6
GTEX-17MFQ-0826-SM-793C8 20-29 years, male 47.6
GTEX-1A3MX-1026-SM-731F8 60-69 years, male 46.9
GTEX-14DAR-1126-SM-793AT 50-59 years, male 46.8
GTEX-OIZH-2126-SM-3NB1P 50-59 years, male 46.7
GTEX-111VG-1926-SM-5GIDO 60-69 years, male 45.8
GTEX-1B8SF-2926-SM-731DL 60-69 years, male 44.7
GTEX-1CAMR-1526-SM-79OLP 20-29 years, male 44.6
GTEX-14C5O-2326-SM-73KYU 60-69 years, male 42.2
GTEX-16MTA-1126-SM-6LPJA 50-59 years, male 42.1
GTEX-1HKZK-1926-SM-9WPPK 40-49 years, male 37.8
GTEX-1EH9U-2626-SM-7IGQN 60-69 years, male 31.9
Show allShow less

TESTIS - FANTOM5 CAGEi

RNA expression in human tissues obtained through Cap Analysis of Gene Expression (CAGE) generated by the FANTOM5 project are reported as Scaled Tags Per Million.

Max subtype Scaled Tags Per Millioni

Max subtype Scaled Tags Per Million is the value for the subtype with the largest average Scaled Tags Per Million across the subtype samples.

113.4
FANTOM5 sample id Sample description Scaled Tags Per Million
Testis
Scaled Tags Per Million: 113.4
FF:10096-102C6 14-64 years, male 139.1
FF:10026-101D8 34,53,86 years, male 87.7

Contact

  • NEWS ARTICLES
  • PRESS ROOM

The Project

  • INTRODUCTION
  • ORGANIZATION
  • PUBLICATIONS

The Human Protein Atlas

  • DOWNLOADABLE DATA
  • LICENCE & CITATION
  • HELP & FAQ
The Human Protein Atlas project is funded
by the Knut & Alice Wallenberg Foundation.


contact@proteinatlas.org