We use cookies to enhance the usability of our website. If you continue, we'll assume that you are happy to receive all cookies. More information. Don't show this again.
SELENOH
HPA
RESOURCES
  • TISSUE
  • BRAIN
  • SINGLE CELL
  • SUBCELLULAR
  • CANCER
  • BLOOD
  • CELL LINE
  • STRUCTURE & INTERACTION
ABOUT
  • INTRODUCTION
  • HISTORY
  • ORGANIZATION
  • PUBLICATIONS
  • ANTIBODY SUBMISSION
  • ANTIBODY AVAILABILITY
  • ACKNOWLEDGMENTS
  • CONTACT
NEWS
  • NEWS ARTICLES
  • PRESS ROOM
LEARN
  • DICTIONARY
  • PROTEIN CLASSES
  • PROTEIN EVIDENCE
  • METHODS
  • EDUCATIONAL VIDEOS
DATA
  • DOWNLOADABLE DATA
  • PUBLICATION DATA
  • RELEASE HISTORY
HELP
  • ANTIBODY VALIDATION
  • ASSAYS & ANNOTATION
  • DISCLAIMER
  • HELP & FAQ
  • PRIVACY STATEMENT
  • LICENCE & CITATION
Fields »
Search result

Field
Term
Gene name
Class
Subclass
Class
Keyword
Chromosome
External id
Tissue
Cell type
Expression
Antibody panel
Tissue
Main location
Patient ID
Annotation
Tissue
Category
Tau score
Cluster
Reliability
Brain region
Category
Tau score
Brain region
Category
Tau score
Brain region
Category
Tau score
Cluster
Reliability
Tissue
Cell type
Enrichment
Cell type
Category
Tau score
Cell type
Category
Tau score
Cell type
Category
Tau score
Cell lineage
Category
Tau score
Cluster
Cluster
Location
Searches
Location
Cell line
Class
Type
Phase
Reliability
Cancer
Prognosis
Cancer
Category
Cancer
Category
Tau score
Cluster
Variants
Interacting gene (ensg_id)
Type
Number of interactions
Pathway
Category
Score
Score
Score
Validation
Validation
Validation
Validation
Antibodies
Data type
Column


  • SUMMARY

  • TISSUE

  • BRAIN

  • SINGLE CELL

  • SUBCELL

  • CANCER

  • BLOOD

  • CELL LINE

  • STRUCT & INT

  • SELENOH
TISSUE PRIMARY DATA STOMACH Show tissue menu
ADIPOSE TISSUE ADRENAL GLAND AMYGDALA APPENDIX BASAL GANGLIA BONE MARROW BREAST BRONCHUS CEREBELLUM CEREBRAL CORTEX CERVIX CHOROID PLEXUS COLON DUODENUM
ENDOMETRIUM EPIDIDYMIS ESOPHAGUS FALLOPIAN TUBE GALLBLADDER HEART MUSCLE HIPPOCAMPAL FORMATION HYPOTHALAMUS KIDNEY LIVER LUNG LYMPH NODE MIDBRAIN NASOPHARYNX
ORAL MUCOSA OVARY PANCREAS PARATHYROID GLAND PITUITARY GLAND PLACENTA PROSTATE RECTUM RETINA SALIVARY GLAND SEMINAL VESICLE SKELETAL MUSCLE SKIN SMALL INTESTINE
SMOOTH MUSCLE SOFT TISSUE SPINAL CORD SPLEEN STOMACH TESTIS THYMUS THYROID GLAND TONGUE TONSIL URINARY BLADDER VAGINA
ANTIBODIES
AND
VALIDATION
Dictionary
Tissue proteome
Stomach
STOMACH - Expression summary
Protein expression
Stomachi

On the top, protein expression in current human tissue, based on all annotated cell types, is reported with the units not detected (n), low (l), medium (m) and high (h). Underneath, protein expression in each annotated cell type are reported using the same units.

Protein expression data is based on knowledge-based annotation. For genes where more than one antibody has been used, a collective score is set.

If knowledge-based annotation could not be performed for a gene, no data is displayed here. View antibody staining data further down this page.

h
m
l
n
Glandular cells: High
RNA expressioni

A summary of mRNA expression data available for current tissue based on several datasets. The mRNA expression levels in human tissues are based on RNA-seq data generated by the Human Protein Atlas (HPA), Genotype-Tissue Expression (GTEx) portal and CAGE data generated by the FANTOM5 consortium. Consensus normalized expression levels for human tissues was created by combining the data from HPA and GTEx datasets.

The mRNA expression levels in pig are based on RNA-seq data generated by the Human Protein Atlas (HPA), and for mouse, HPA data and in situ hybridization generated by the Allen brain atlas are reported.

Scroll down to view mRNA expression data in more detail.
Consensus:88.0 nTPM
HPA:33.5 nTPM
GTEx:88.0 nTPM

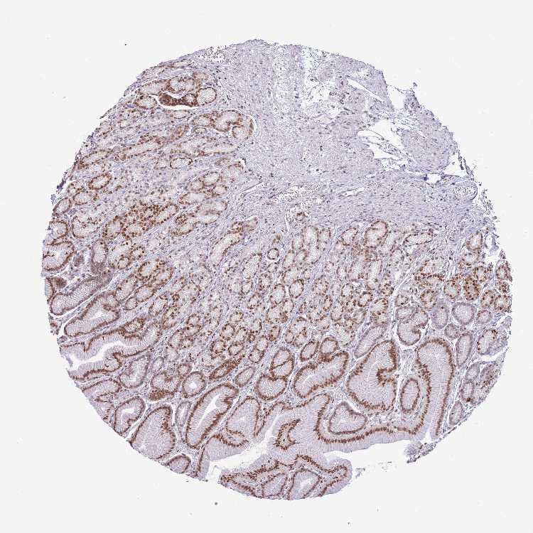
STOMACH 1 - Antibody stainingi

Antibody staining in the annotated cell types in the current human tissue is reported as not detected, low, medium, or high, based on conventional immunohistochemistry profiling in selected tissues. This score is based on the combination of the staining intensity and fraction of stained cells.

Each image is clickable and will lead to virtual microscopy that enables deeper exploration of all samples and also displays staining intensity scores, fraction scores and subcellular localization as well as patient and tissue information for each sample.

Antibody HPA048362
Glandular cells Medium

STOMACH 2 - Antibody stainingi

Antibody staining in the annotated cell types in the current human tissue is reported as not detected, low, medium, or high, based on conventional immunohistochemistry profiling in selected tissues. This score is based on the combination of the staining intensity and fraction of stained cells.

Each image is clickable and will lead to virtual microscopy that enables deeper exploration of all samples and also displays staining intensity scores, fraction scores and subcellular localization as well as patient and tissue information for each sample.

Antibody HPA048362
Glandular cells High


STOMACH - HPA RNA-seqi

The RNA-seq details section shows detailed information about the individual samples used for the transcript profiling and results of the RNA-seq analysis.

Information about each individual sample is listed below, including gender, age, a tissue section image and estimated fractions of cell types. nTPM (normalized transcripts per million) values give a quantification of the gene abundance which is comparable between different genes and samples.
Average nTPMi

Max subtype nTPM is the value for the subtype with the largest average nTPM across the subtype samples.

33.5
overview
Female, age 33
Stomach sample 61
nTPM: 41.6
Cell types%
Glandular cells:
60

Smooth muscle cells:
5

Other cell types:
35

N/A
Male, age 82
Stomach sample 240
nTPM: 25
Cell types%
Glandular cells:
65

Smooth muscle cells:
5

Other cell types:
30

overview
Male, age 71
Stomach sample 241
nTPM: 52.4
Cell types%
Glandular cells:
50

Smooth muscle cells:
5

Other cell types:
45

overview
Female, age 66
Stomach sample 369
nTPM: 14.9
Cell types%
Glandular cells:
50

Smooth muscle cells:
10

Other cell types:
40


STOMACH - GTEx RNA-seqi

RNA-Seq data generated by the Genotype-Tissue Expression (GTEx) project from human tissues is reported as mean nTPM. More information can be found on the GTEx portal.

Distribution across the dataset is visualized with box plots, shown as median and 25th and 75th percentiles. Points are displayed as outliers if they are above or below 1.5 times the interquartile range. nTPM values of the individual samples are presented next to the box plot.
Max subtype nTPMi

Max subtype nTPM is the value for the subtype with the largest average nTPM across the subtype samples.

88.0
GTEx sample id Sample description nTPM
Stomach
Average nTPM: 88.0
Samples: 359

Max nTPM: 189.3
Min nTPM: 52.3
Std nTPM: 18.4
Median nTPM: 87.3
GTEX-15RIF-1126-SM-7KUG2 20-29 years, male 189.3
GTEX-14PJ4-1626-SM-664OB 60-69 years, male 186.0
GTEX-15G1A-1226-SM-7KUF3 30-39 years, male 147.8
GTEX-17HII-2426-SM-7KFTT 50-59 years, male 138.0
GTEX-1B97I-1226-SM-7MGWQ 40-49 years, male 136.7
GTEX-WFG8-1326-SM-4LVN3 20-29 years, male 130.5
GTEX-14PKV-1826-SM-69LO9 20-29 years, female 128.2
GTEX-ZAB4-1526-SM-5CVN7 40-49 years, male 126.6
GTEX-T5JW-0926-SM-4DM5K 20-29 years, female 125.1
GTEX-ZT9W-1526-SM-4YCDE 50-59 years, male 123.1
GTEX-11TT1-0726-SM-5GU5A 20-29 years, male 122.8
GTEX-13O21-0926-SM-5IFGT 50-59 years, male 120.2
GTEX-17MF6-2126-SM-7KFS7 40-49 years, male 117.9
GTEX-1NSGN-1926-SM-E9J36 50-59 years, male 117.0
GTEX-12WSG-2026-SM-5FQUU 50-59 years, female 116.5
GTEX-1F5PL-1426-SM-7MKFH 40-49 years, female 116.0
GTEX-13CF3-1926-SM-5K7WF 60-69 years, female 115.8
GTEX-1I6K7-1726-SM-B2LXQ 40-49 years, male 115.7
GTEX-1GF9U-1126-SM-AHZ4H 40-49 years, female 115.5
GTEX-PWN1-1526-SM-48TDA 40-49 years, female 115.4
GTEX-1H1DG-2126-SM-9WPPB 70-79 years, male 114.2
GTEX-Q2AI-0826-SM-48TZO 40-49 years, male 114.1
GTEX-1LSNM-1026-SM-DHXL2 50-59 years, male 113.7
GTEX-XMK1-1526-SM-EYYVO 40-49 years, male 113.6
GTEX-XBED-1226-SM-4AT5V 60-69 years, male 113.4
GTEX-ZPU1-1626-SM-4WWB2 40-49 years, male 113.4
GTEX-QDVN-1226-SM-48TZ5 50-59 years, male 112.7
GTEX-1JMQJ-1326-SM-D4P3B 50-59 years, male 112.7
GTEX-1HCU8-1326-SM-C1YQQ 60-69 years, female 112.5
GTEX-144GM-1726-SM-5O9AS 20-29 years, male 112.3
GTEX-QDVJ-1426-SM-48U1Y 50-59 years, male 112.3
GTEX-QLQ7-0826-SM-447B3 60-69 years, male 112.3
GTEX-1AYCT-1326-SM-7MKHB 50-59 years, male 112.0
GTEX-WRHK-0626-SM-4MVOE 20-29 years, female 111.3
GTEX-11NSD-1426-SM-5HL67 20-29 years, male 111.2
GTEX-SUCS-0926-SM-4DM4Z 70-79 years, male 111.2
GTEX-17F9E-2226-SM-7IGNC 50-59 years, male 111.1
GTEX-1RAZR-1526-SM-EAZ4U 40-49 years, male 111.0
GTEX-ZEX8-1626-SM-4WKG7 50-59 years, male 109.8
GTEX-1MJIX-1126-SM-EV7AO 40-49 years, male 109.3
GTEX-1IDJD-2426-SM-C1YS6 30-39 years, male 109.0
GTEX-1122O-1926-SM-5EGIQ 60-69 years, female 108.6
GTEX-1J8JJ-1726-SM-C1YQG 60-69 years, female 108.4
GTEX-ZZ64-0426-SM-5E43F 20-29 years, male 108.2
GTEX-ZYY3-1726-SM-5EGH3 60-69 years, female 108.0
GTEX-111CU-0926-SM-5EGIK 50-59 years, male 107.0
GTEX-1QP2A-2126-SM-DPRZ7 50-59 years, male 107.0
GTEX-U4B1-1026-SM-4DXT1 40-49 years, male 106.6
GTEX-13O61-1126-SM-5L3FI 60-69 years, male 106.4
GTEX-ZGAY-1626-SM-DNZZ3 40-49 years, female 106.2
GTEX-15SHW-2126-SM-6M46Y 60-69 years, male 106.1
GTEX-ZLFU-1326-SM-DO11R 40-49 years, male 106.1
GTEX-1C475-1026-SM-7MKFJ 40-49 years, female 106.0
GTEX-12BJ1-1726-SM-5HL9B 60-69 years, male 105.8
GTEX-1H1E6-1626-SM-9OSWC 30-39 years, male 105.8
GTEX-131XF-1226-SM-5HL8V 60-69 years, male 105.6
GTEX-ZA64-0826-SM-5HL9U 20-29 years, male 105.3
GTEX-V1D1-1726-SM-4JBHB 50-59 years, male 105.1
GTEX-POMQ-0826-SM-3P61H 20-29 years, female 105.0
GTEX-15UF7-1226-SM-6M46G 40-49 years, male 104.7
GTEX-1HKZK-1526-SM-B2LWG 40-49 years, male 104.5
GTEX-1MCYP-1126-SM-E9J2P 20-29 years, female 104.0
GTEX-WYJK-2526-SM-4ONDF 50-59 years, male 103.9
GTEX-1LVAN-2426-SM-CNNPZ 50-59 years, female 103.9
GTEX-ZDYS-1926-SM-5HL59 50-59 years, male 103.8
GTEX-T6MO-0726-SM-4DM58 40-49 years, female 103.7
GTEX-139YR-1926-SM-5LZXM 50-59 years, male 103.4
GTEX-WXYG-1626-SM-4ONCR 50-59 years, female 103.4
GTEX-OXRL-1526-SM-E6CHQ 50-59 years, male 103.2
GTEX-RWS6-0926-SM-47JXE 60-69 years, female 102.7
GTEX-145MN-1326-SM-5NQ9S 30-39 years, male 102.6
GTEX-QV31-0626-SM-447C5 30-39 years, male 102.6
GTEX-1JKYN-1726-SM-AHZ48 30-39 years, male 102.4
GTEX-18D9A-0626-SM-7KFTY 30-39 years, female 102.2
GTEX-Y8LW-0826-SM-4WWDO 50-59 years, female 101.8
GTEX-1J8Q3-1926-SM-C1YSJ 60-69 years, male 101.8
GTEX-1RB15-1026-SM-E9U6V 60-69 years, male 101.6
GTEX-VJYA-1026-SM-4KL21 60-69 years, male 101.2
GTEX-ZY6K-0726-SM-5A5L8 50-59 years, male 101.1
GTEX-1LGRB-1726-SM-CNNRA 50-59 years, female 100.8
GTEX-ZYVF-2726-SM-5GID4 50-59 years, female 100.6
GTEX-12WSJ-0926-SM-5P9JD 40-49 years, female 100.3
GTEX-131XG-1226-SM-5EGH9 50-59 years, female 100.1
GTEX-ZVT2-1626-SM-51MRC 50-59 years, female 99.9
GTEX-PWCY-0926-SM-48TD7 20-29 years, female 99.8
GTEX-17GQL-1226-SM-7KFTS 60-69 years, male 99.5
GTEX-13FTW-1726-SM-5KM2B 40-49 years, male 99.2
GTEX-Y5LM-1326-SM-5RQIS 40-49 years, female 98.9
GTEX-13U4I-2526-SM-5SI8Z 40-49 years, female 98.5
GTEX-14DAQ-2826-SM-664MU 60-69 years, female 98.3
GTEX-S95S-0826-SM-4B64N 60-69 years, male 98.2
GTEX-1H23P-2726-SM-9JGHN 60-69 years, male 98.0
GTEX-QLQW-0726-SM-447AA 30-39 years, male 97.8
GTEX-ZV6S-0926-SM-57WGB 40-49 years, female 97.6
GTEX-WFON-1126-SM-4LVMA 40-49 years, male 97.5
GTEX-XUZC-0726-SM-4BOPH 30-39 years, female 97.4
GTEX-ZV7C-1626-SM-5NQ7E 50-59 years, male 97.4
GTEX-QMRM-1126-SM-447BN 50-59 years, male 97.3
GTEX-1399S-1626-SM-5P9GI 30-39 years, female 97.2
GTEX-Q2AH-1126-SM-48TZM 40-49 years, male 97.2
GTEX-14BMU-1126-SM-5RQJ8 20-29 years, female 96.9
GTEX-ZLWG-1526-SM-DO12F 50-59 years, female 96.9
GTEX-P78B-1826-SM-3P5YX 40-49 years, female 96.6
GTEX-14PJ3-1426-SM-664O8 50-59 years, male 96.5
GTEX-OHPM-1526-SM-EV796 50-59 years, male 96.0
GTEX-1F75I-1826-SM-7MKGX 40-49 years, male 95.9
GTEX-OOBJ-1526-SM-3NB1Q 60-69 years, male 95.9
GTEX-ZZPU-1426-SM-5GZZ6 50-59 years, female 95.7
GTEX-13X6H-1626-SM-5Q5CT 50-59 years, female 95.6
GTEX-13FTX-0726-SM-5N9BI 20-29 years, female 95.1
GTEX-17HGU-2126-SM-7IGOV 50-59 years, male 95.1
GTEX-1HBPN-1626-SM-9WPNP 50-59 years, male 95.0
GTEX-1R9K5-1026-SM-EAZ4F 50-59 years, male 94.9
GTEX-14PHX-1026-SM-664OL 50-59 years, male 94.8
GTEX-X15G-1126-SM-4PQZG 50-59 years, female 94.7
GTEX-1I1HK-2026-SM-CNNRB 60-69 years, male 94.6
GTEX-1KXAM-0926-SM-CXZKA 60-69 years, male 94.6
GTEX-1QP29-2326-SM-EXOJO 50-59 years, male 94.4
GTEX-18D9B-2226-SM-718BM 60-69 years, male 94.3
GTEX-12696-1726-SM-5EQLH 60-69 years, male 94.2
GTEX-Y3IK-1426-SM-4YCES 50-59 years, female 94.2
GTEX-PLZ5-1226-SM-EXOHA 50-59 years, male 94.2
GTEX-P4PP-1526-SM-3P61M 30-39 years, female 94.1
GTEX-15DCE-1626-SM-6LPJM 20-29 years, male 94.0
GTEX-XV7Q-1326-SM-4BRWM 40-49 years, female 93.9
GTEX-18QFQ-1226-SM-718AE 30-39 years, male 93.7
GTEX-ZP4G-1226-SM-4WWCJ 20-29 years, female 93.5
GTEX-1IDJU-1526-SM-CNNR3 60-69 years, female 93.4
GTEX-11NUK-2426-SM-5BC4U 50-59 years, male 93.3
GTEX-WFG7-1326-SM-4LMK1 20-29 years, male 92.9
GTEX-144GN-1226-SM-5O991 50-59 years, male 92.7
GTEX-15EU6-2526-SM-7KUGB 50-59 years, male 92.7
GTEX-1LGOU-1526-SM-D3LAJ 20-29 years, female 92.7
GTEX-11EM3-1026-SM-5A5KL 20-29 years, female 92.6
GTEX-15G19-1526-SM-6LPKP 60-69 years, male 92.6
GTEX-WHPG-0426-SM-4M1XW 50-59 years, male 92.6
GTEX-PW2O-1226-SM-48TCH 20-29 years, male 92.5
GTEX-PX3G-1526-SM-48U11 20-29 years, female 92.5
GTEX-18A66-2226-SM-7189E 60-69 years, male 92.3
GTEX-1QCLZ-1826-SM-DPRXP 60-69 years, female 92.2
GTEX-1399R-1126-SM-5IFIO 30-39 years, male 91.8
GTEX-14JG6-1226-SM-664O6 30-39 years, female 91.8
GTEX-14E1K-1526-SM-664MN 50-59 years, male 91.5
GTEX-WEY5-1226-SM-4LMIQ 40-49 years, female 91.5
GTEX-13OVK-0926-SM-7KUFX 40-49 years, male 91.4
GTEX-1JK1U-1326-SM-AHZ45 60-69 years, male 91.3
GTEX-OHPK-1526-SM-3MJGM 50-59 years, female 91.2
GTEX-1LG7Z-1226-SM-DHXK4 30-39 years, male 91.1
GTEX-1RQEC-2126-SM-DPS15 60-69 years, male 91.0
GTEX-YB5E-1126-SM-664NU 40-49 years, male 90.8
GTEX-1H3VY-2326-SM-9WG81 50-59 years, male 90.8
GTEX-117YX-1026-SM-5H11V 50-59 years, male 90.3
GTEX-11GSP-2126-SM-5HL5E 60-69 years, female 90.3
GTEX-YEC4-1426-SM-5IFHS 40-49 years, male 90.2
GTEX-ZF29-1526-SM-4WKF7 60-69 years, female 90.2
GTEX-WHWD-1426-SM-4OORU 50-59 years, male 90.0
GTEX-QV44-1226-SM-CJI1S 50-59 years, male 90.0
GTEX-17EUY-1526-SM-793CA 20-29 years, male 89.7
GTEX-S4Q7-0726-SM-4AD5F 20-29 years, male 89.5
GTEX-1J8QM-1126-SM-C1YQB 60-69 years, female 89.3
GTEX-1KANA-1126-SM-D3L9M 20-29 years, male 89.2
GTEX-O5YV-1926-SM-EV797 60-69 years, female 89.2
GTEX-14PJ5-0826-SM-6AJAR 60-69 years, female 89.1
GTEX-1MUQO-1926-SM-EAZ59 60-69 years, male 89.1
GTEX-13PVQ-2126-SM-5L3FW 50-59 years, male 89.0
GTEX-P4QT-1526-SM-3NMCT 50-59 years, female 89.0
GTEX-ZVZP-1726-SM-5GZWY 50-59 years, male 88.8
GTEX-1339X-1426-SM-5K7YO 40-49 years, male 88.6
GTEX-Y5V6-1326-SM-4VDTF 60-69 years, male 88.4
GTEX-1ICG6-1826-SM-AHZ2O 70-79 years, female 88.4
GTEX-13D11-2126-SM-5IFH2 50-59 years, female 88.2
GTEX-1A3MX-1926-SM-72D7F 60-69 years, male 88.2
GTEX-W5WG-1726-SM-4LMI5 50-59 years, female 88.1
GTEX-1CAMR-0726-SM-7EPIE 20-29 years, male 88.0
GTEX-1HFI7-1526-SM-9WG7W 50-59 years, female 88.0
GTEX-XXEK-0826-SM-4BRWG 50-59 years, male 87.9
GTEX-1A3MV-1226-SM-718BW 30-39 years, male 87.8
GTEX-146FH-2126-SM-5SI9U 50-59 years, female 87.5
GTEX-14DAR-0926-SM-73KUQ 50-59 years, male 87.3
GTEX-1HR9M-2326-SM-CNPPZ 60-69 years, male 87.3
GTEX-1HCUA-1626-SM-A9SMG 50-59 years, female 87.2
GTEX-15DZA-1126-SM-6LPK8 30-39 years, female 87.1
GTEX-ZE7O-3026-SM-51MS4 50-59 years, female 86.8
GTEX-133LE-1326-SM-5IFGO 20-29 years, female 86.5
GTEX-TMMY-1626-SM-4DXTY 40-49 years, female 86.4
GTEX-ZVP2-1626-SM-5GU5D 50-59 years, male 86.1
GTEX-18A7A-2726-SM-7LG6U 50-59 years, female 86.0
GTEX-Y9LG-1026-SM-5IFJN 30-39 years, male 86.0
GTEX-145ME-1026-SM-5O9B4 40-49 years, female 85.9
GTEX-OXRK-1626-SM-3NB17 50-59 years, female 85.9
GTEX-132AR-2426-SM-5IFFD 50-59 years, female 85.8
GTEX-Q734-1026-SM-48U16 40-49 years, female 85.8
GTEX-S3XE-1026-SM-4AD4O 50-59 years, male 85.7
GTEX-132QS-1826-SM-5IFFN 60-69 years, male 85.6
GTEX-ZLV1-0826-SM-DO11P 60-69 years, female 85.6
GTEX-U3ZN-2026-SM-4DXUC 30-39 years, female 85.5
GTEX-15CHR-1326-SM-79OLT 50-59 years, male 85.4
GTEX-T8EM-1226-SM-4DM5J 40-49 years, male 85.3
GTEX-UJMC-1226-SM-4IHLI 50-59 years, male 85.3
GTEX-Y3I4-1626-SM-4TT7W 50-59 years, male 85.0
GTEX-1CB4E-1326-SM-7DUGD 60-69 years, male 84.9
GTEX-1HBPI-0726-SM-9WG7Z 50-59 years, male 84.9
GTEX-1L5NE-1526-SM-DIPFW 50-59 years, male 84.8
GTEX-1PPH8-1326-SM-DTXFO 20-29 years, male 84.8
GTEX-1RMOY-1126-SM-EV79E 50-59 years, male 84.8
GTEX-14B4R-0726-SM-5TDDR 30-39 years, male 84.5
GTEX-1B8KZ-1226-SM-793CP 50-59 years, male 84.4
GTEX-SNMC-0626-SM-4DM6H 20-29 years, male 84.3
GTEX-1QMI2-2126-SM-DPRXQ 60-69 years, male 84.3
GTEX-17JCI-2226-SM-7LTA1 60-69 years, female 84.1
GTEX-S341-0626-SM-4AD5T 40-49 years, female 83.8
GTEX-1AMFI-1226-SM-731CZ 50-59 years, female 83.6
GTEX-1QPFJ-1526-SM-DPRXT 30-39 years, female 83.6
GTEX-YFCO-0826-SM-5LUAG 40-49 years, male 83.1
GTEX-QDT8-2026-SM-EZ6LS 30-39 years, female 83.1
GTEX-13113-0726-SM-5LZUF 60-69 years, female 83.0
GTEX-1B97J-1826-SM-7IGPP 50-59 years, female 83.0
GTEX-13PVR-2126-SM-73KVR 60-69 years, female 82.7
GTEX-1JMLX-2426-SM-CXZJQ 50-59 years, male 82.7
GTEX-18A67-2626-SM-718AD 50-59 years, male 82.1
GTEX-1MGNQ-1826-SM-DPRYI 40-49 years, male 82.0
GTEX-1S831-1126-SM-EWROI 20-29 years, male 82.0
GTEX-ZQUD-0826-SM-57WDQ 30-39 years, male 81.7
GTEX-14PJ6-0826-SM-686Z9 60-69 years, female 81.6
GTEX-111YS-1126-SM-5GZYQ 60-69 years, male 81.5
GTEX-139D8-2326-SM-5IFGE 30-39 years, female 81.5
GTEX-1R7EU-1126-SM-EAZ4M 60-69 years, male 81.4
GTEX-14BMV-2226-SM-5RQHX 50-59 years, male 81.3
GTEX-14E6E-0926-SM-664N8 30-39 years, male 81.3
GTEX-145MO-2226-SM-5Q5BN 60-69 years, male 81.0
GTEX-1211K-1426-SM-5FQTF 60-69 years, female 80.8
GTEX-ZF2S-1426-SM-57WET 50-59 years, female 80.8
GTEX-1QCLY-1126-SM-EAZ4J 30-39 years, male 80.6
GTEX-145LT-1426-SM-5O9B3 40-49 years, male 80.4
GTEX-QCQG-0526-SM-48U2A 50-59 years, female 80.3
GTEX-RM2N-0826-SM-48FD3 50-59 years, male 80.3
GTEX-1B8KE-1326-SM-73KVI 50-59 years, male 80.0
GTEX-ZYFG-1326-SM-5GICJ 60-69 years, female 80.0
GTEX-1399U-1626-SM-5P9J3 50-59 years, female 79.9
GTEX-11EQ9-1226-SM-5987E 30-39 years, male 79.8
GTEX-1I1GT-1726-SM-C1YS3 60-69 years, female 79.8
GTEX-13QBU-1126-SM-5LU44 40-49 years, female 79.7
GTEX-Y8E4-1526-SM-4WWDI 40-49 years, male 79.3
GTEX-13OW6-2526-SM-5IJEC 50-59 years, male 79.2
GTEX-R55G-1126-SM-48FDG 40-49 years, female 79.2
GTEX-13FH7-1026-SM-5IJGF 50-59 years, female 79.0
GTEX-13X6J-2126-SM-5TDCV 50-59 years, male 78.9
GTEX-1JMPZ-1826-SM-CXZJT 30-39 years, male 78.8
GTEX-YJ8A-1526-SM-5P9FT 20-29 years, male 78.7
GTEX-1I4MK-0926-SM-A9SLD 50-59 years, female 78.6
GTEX-WH7G-1526-SM-4LVMX 40-49 years, male 78.5
GTEX-R55C-1026-SM-48FCM 40-49 years, male 78.4
GTEX-15RIE-1026-SM-6LPJQ 60-69 years, male 78.3
GTEX-WYVS-1326-SM-4ONCQ 40-49 years, female 77.8
GTEX-1S82Z-1726-SM-E6CHZ 30-39 years, female 77.7
GTEX-11EI6-2426-SM-5PNVS 60-69 years, male 77.5
GTEX-S4UY-1626-SM-4AD55 40-49 years, female 77.5
GTEX-1A8G6-1426-SM-731EZ 60-69 years, male 77.3
GTEX-14BIL-1926-SM-73KYI 50-59 years, male 77.2
GTEX-11DXX-1326-SM-5GIDZ 60-69 years, female 77.1
GTEX-RTLS-2626-SM-46MUJ 60-69 years, female 77.0
GTEX-XQ8I-2026-SM-4BOOL 50-59 years, male 77.0
GTEX-13S7M-1826-SM-5RQK6 60-69 years, female 76.9
GTEX-12C56-0526-SM-5FQST 20-29 years, male 76.6
GTEX-1E1VI-2826-SM-7MGWU 50-59 years, male 76.5
GTEX-1GPI7-1326-SM-9KNVA 20-29 years, male 76.3
GTEX-1HSEH-1526-SM-B2LXG 60-69 years, male 76.2
GTEX-1GZ4H-1026-SM-9OSXL 50-59 years, female 76.1
GTEX-UPK5-2126-SM-4JBJK 40-49 years, male 76.0
GTEX-1N2DV-0926-SM-E9TJT 40-49 years, male 75.8
GTEX-11WQK-2626-SM-5EQ4K 50-59 years, male 75.7
GTEX-12WSK-1426-SM-5CVNN 40-49 years, female 75.6
GTEX-14PKU-1126-SM-69LOU 40-49 years, female 75.3
GTEX-SNOS-0826-SM-4DM5N 40-49 years, male 75.3
GTEX-V955-1326-SM-4JBHR 60-69 years, male 75.3
GTEX-NFK9-1526-SM-3LK7B 40-49 years, male 74.7
GTEX-WHSB-1226-SM-4M1XR 50-59 years, male 74.2
GTEX-1LBAC-1426-SM-CXZKT 20-29 years, male 74.1
GTEX-14ICL-0826-SM-5YY9W 30-39 years, male 73.9
GTEX-WY7C-1726-SM-4ONCC 50-59 years, male 73.9
GTEX-1H1DE-1226-SM-9JGHH 20-29 years, male 73.8
GTEX-1JN1M-2926-SM-CNNPJ 60-69 years, female 72.8
GTEX-1EH9U-2226-SM-7PBXX 60-69 years, male 72.6
GTEX-XPVG-1526-SM-4B66C 50-59 years, male 72.4
GTEX-ZXES-1426-SM-5NQ8S 30-39 years, female 72.3
GTEX-131XE-2226-SM-5PNYX 50-59 years, male 72.1
GTEX-OIZH-1526-SM-3NB1J 50-59 years, male 72.1
GTEX-R53T-1226-SM-48FCT 50-59 years, female 72.0
GTEX-1HT8W-2326-SM-A9SLA 30-39 years, male 72.0
GTEX-1QP28-2126-SM-DTX8B 50-59 years, female 71.9
GTEX-1GL5R-1926-SM-9WG7U 50-59 years, male 71.4
GTEX-1E2YA-2426-SM-7EPIG 50-59 years, male 71.3
GTEX-17F98-1526-SM-7EWD8 40-49 years, female 71.1
GTEX-P4PQ-1526-SM-3NMCK 60-69 years, male 71.0
GTEX-13QJ3-2726-SM-5SI6L 50-59 years, male 70.8
GTEX-ZTX8-0426-SM-59HLG 20-29 years, male 70.8
GTEX-1GN1W-2126-SM-9JGI7 50-59 years, female 70.7
GTEX-117YW-2226-SM-5N9DB 50-59 years, male 70.6
GTEX-1CB4H-2426-SM-7PBYR 60-69 years, female 70.2
GTEX-16AAH-1226-SM-79OO9 50-59 years, male 70.0
GTEX-O5YW-1526-SM-3MJGL 50-59 years, male 70.0
GTEX-1H3NZ-2226-SM-9WYUT 60-69 years, male 69.9
GTEX-16NGA-1526-SM-72D56 40-49 years, female 69.6
GTEX-ZPIC-2026-SM-57WG3 40-49 years, female 69.6
GTEX-WZTO-2126-SM-4PQYW 40-49 years, male 69.5
GTEX-13RTK-0226-SM-5RQHR 20-29 years, male 69.3
GTEX-1J8EW-2226-SM-AHZ3T 60-69 years, female 69.3
GTEX-13N1W-2026-SM-5K7YU 70-79 years, male 69.2
GTEX-13O3Q-2126-SM-5KM4C 50-59 years, male 68.9
GTEX-ZVT3-2126-SM-59HL2 60-69 years, female 68.4
GTEX-1LVAM-1426-SM-E9TJ4 50-59 years, female 67.8
GTEX-1QP67-1026-SM-EVR47 40-49 years, female 67.7
GTEX-TKQ1-0526-SM-4DXTG 30-39 years, male 67.6
GTEX-1JMPY-0926-SM-ARL92 30-39 years, male 67.5
GTEX-14PN3-1326-SM-6AJ9U 60-69 years, female 67.4
GTEX-1AMEY-1226-SM-731DU 30-39 years, female 67.3
GTEX-1K2DA-0826-SM-CGQGD 50-59 years, male 67.1
GTEX-1F5PK-1826-SM-7RHHX 50-59 years, male 66.9
GTEX-1KD5A-1426-SM-D4P3V 50-59 years, male 66.9
GTEX-13OVI-2426-SM-5KM4J 60-69 years, female 66.8
GTEX-RUSQ-1126-SM-EAZAU 50-59 years, male 66.8
GTEX-11I78-1726-SM-5A5M3 50-59 years, female 66.5
GTEX-17HHE-1026-SM-79ON6 50-59 years, male 66.4
GTEX-146FR-2026-SM-5NQAI 60-69 years, female 65.9
GTEX-QXCU-1926-SM-48FE4 50-59 years, male 65.5
GTEX-11VI4-0326-SM-5EQ6L 40-49 years, female 65.3
GTEX-1QW4Y-0726-SM-DTX8E 30-39 years, male 65.1
GTEX-S4P3-0726-SM-4AD57 50-59 years, female 65.0
GTEX-12WSD-2326-SM-59HKQ 60-69 years, female 64.8
GTEX-WFJO-1126-SM-4LVLZ 30-39 years, male 64.7
GTEX-S7SF-0626-SM-4AD4V 20-29 years, female 63.9
GTEX-1IL2V-2026-SM-ARZMA 70-79 years, male 63.4
GTEX-XBEW-1826-SM-4RTWX 40-49 years, male 62.1
GTEX-YEC3-1426-SM-D4P1S 50-59 years, male 61.9
GTEX-13111-1226-SM-5GCNC 50-59 years, male 61.6
GTEX-1JN76-0926-SM-ARZNH 20-29 years, female 61.5
GTEX-1PIGE-1126-SM-EWRMV 20-29 years, male 61.4
GTEX-XAJ8-0326-SM-47JYI 40-49 years, male 61.2
GTEX-17KNJ-1526-SM-7LTA9 50-59 years, male 59.9
GTEX-R55D-1526-SM-48FEJ 50-59 years, male 59.7
GTEX-1HSMQ-2426-SM-CE6RY 50-59 years, male 59.1
GTEX-OIZF-1526-SM-2I5GR 60-69 years, male 59.0
GTEX-11P7K-1726-SM-5GU6F 30-39 years, male 58.8
GTEX-1IDJF-1426-SM-ACKWK 20-29 years, male 58.0
GTEX-PLZ6-0826-SM-3P61K 30-39 years, male 57.9
GTEX-1GMRU-2526-SM-9WG7T 50-59 years, male 57.8
GTEX-14PHY-0926-SM-5ZZWL 60-69 years, female 57.6
GTEX-Y114-1226-SM-4TT88 50-59 years, female 57.1
GTEX-11P82-0726-SM-5PNYL 20-29 years, male 57.0
GTEX-1AX9J-2626-SM-731EK 60-69 years, male 57.0
GTEX-UJHI-1026-SM-4IHJP 50-59 years, female 56.7
GTEX-S4Z8-1226-SM-4AD6W 60-69 years, male 56.5
GTEX-TKQ2-0926-SM-4DXU5 50-59 years, male 56.1
GTEX-1H11D-2226-SM-9OSXN 40-49 years, male 55.1
GTEX-T5JC-1926-SM-4DM6Q 20-29 years, male 54.7
GTEX-1C64O-2226-SM-73KTV 60-69 years, male 53.7
GTEX-1S3DN-1526-SM-EVYCB 50-59 years, male 53.5
GTEX-RU1J-0526-SM-46MUT 20-29 years, female 52.7
GTEX-1B8L1-1526-SM-79OLK 60-69 years, male 52.3
Show allShow less

Contact

  • NEWS ARTICLES
  • PRESS ROOM

The Project

  • INTRODUCTION
  • ORGANIZATION
  • PUBLICATIONS

The Human Protein Atlas

  • DOWNLOADABLE DATA
  • LICENCE & CITATION
  • HELP & FAQ
The Human Protein Atlas project is funded
by the Knut & Alice Wallenberg Foundation.


contact@proteinatlas.org