We use cookies to enhance the usability of our website. If you continue, we'll assume that you are happy to receive all cookies. More information. Don't show this again.
RPS29
HPA
RESOURCES
  • TISSUE
  • BRAIN
  • SINGLE CELL
  • SUBCELLULAR
  • CANCER
  • BLOOD
  • CELL LINE
  • STRUCTURE & INTERACTION
ABOUT
  • INTRODUCTION
  • HISTORY
  • ORGANIZATION
  • PUBLICATIONS
  • ANTIBODY SUBMISSION
  • ANTIBODY AVAILABILITY
  • ACKNOWLEDGMENTS
  • CONTACT
NEWS
  • NEWS ARTICLES
  • PRESS ROOM
LEARN
  • DICTIONARY
  • PROTEIN CLASSES
  • PROTEIN EVIDENCE
  • METHODS
  • EDUCATIONAL VIDEOS
DATA
  • DOWNLOADABLE DATA
  • PUBLICATION DATA
  • RELEASE HISTORY
HELP
  • ANTIBODY VALIDATION
  • ASSAYS & ANNOTATION
  • DISCLAIMER
  • HELP & FAQ
  • PRIVACY STATEMENT
  • LICENCE & CITATION
Fields »
Search result

Field
Term
Gene name
Class
Subclass
Class
Keyword
Chromosome
External id
Tissue
Cell type
Expression
Antibody panel
Tissue
Main location
Patient ID
Annotation
Tissue
Category
Tau score
Cluster
Reliability
Brain region
Category
Tau score
Brain region
Category
Tau score
Brain region
Category
Tau score
Cluster
Reliability
Tissue
Cell type
Enrichment
Cell type
Category
Tau score
Cell type
Category
Tau score
Cell type
Category
Tau score
Cell lineage
Category
Tau score
Cluster
Cluster
Location
Searches
Location
Cell line
Class
Type
Phase
Reliability
Cancer
Prognosis
Cancer
Category
Cancer
Category
Tau score
Cluster
Variants
Interacting gene (ensg_id)
Type
Number of interactions
Pathway
Category
Score
Score
Score
Validation
Validation
Validation
Validation
Antibodies
Data type
Column


  • SUMMARY

  • TISSUE

  • BRAIN

  • SINGLE CELL

  • SUBCELL

  • CANCER

  • BLOOD

  • CELL LINE

  • STRUCT & INT

  • RPS29
TISSUE PRIMARY DATA SKIN Show tissue menu
ADIPOSE TISSUE ADRENAL GLAND AMYGDALA APPENDIX BASAL GANGLIA BONE MARROW BREAST BRONCHUS CEREBELLUM CEREBRAL CORTEX CERVIX CHOROID PLEXUS COLON DUODENUM
ENDOMETRIUM EPIDIDYMIS ESOPHAGUS FALLOPIAN TUBE GALLBLADDER HEART MUSCLE HIPPOCAMPAL FORMATION HYPOTHALAMUS KIDNEY LIVER LUNG LYMPH NODE MIDBRAIN NASOPHARYNX
ORAL MUCOSA OVARY PANCREAS PARATHYROID GLAND PITUITARY GLAND PLACENTA PROSTATE RECTUM RETINA SALIVARY GLAND SEMINAL VESICLE SKELETAL MUSCLE SKIN SMALL INTESTINE
SMOOTH MUSCLE SOFT TISSUE SPINAL CORD SPLEEN STOMACH TESTIS THYMUS THYROID GLAND TONGUE TONSIL URINARY BLADDER VAGINA
ANTIBODIES
AND
VALIDATION
Dictionary
Skin
Tissue proteome
Skin
SKIN - Expression summary
Protein expression
Skini

On the top, protein expression in current human tissue, based on all annotated cell types, is reported with the units not detected (n), low (l), medium (m) and high (h). Underneath, protein expression in each annotated cell type are reported using the same units.

Protein expression data is based on knowledge-based annotation. For genes where more than one antibody has been used, a collective score is set.

If knowledge-based annotation could not be performed for a gene, no data is displayed here. View antibody staining data further down this page.

h
m
l
n
Epidermal cells: Medium
Fibroblasts: Not detected
Keratinocytes: Medium
Langerhans: Medium
Melanocytes: Medium
RNA expressioni

A summary of mRNA expression data available for current tissue based on several datasets. The mRNA expression levels in human tissues are based on RNA-seq data generated by the Human Protein Atlas (HPA), Genotype-Tissue Expression (GTEx) portal and CAGE data generated by the FANTOM5 consortium. Consensus normalized expression levels for human tissues was created by combining the data from HPA and GTEx datasets.

The mRNA expression levels in pig are based on RNA-seq data generated by the Human Protein Atlas (HPA), and for mouse, HPA data and in situ hybridization generated by the Allen brain atlas are reported.

Scroll down to view mRNA expression data in more detail.
Consensus:4462.6 nTPM
HPA:879.6 nTPM
GTEx:4462.6 nTPM

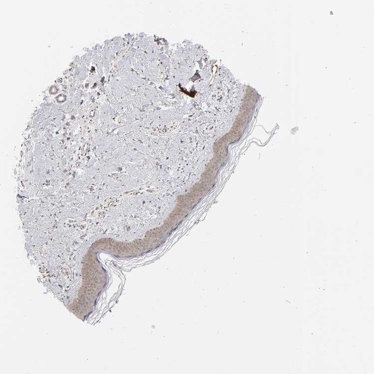
SKIN 1 - Antibody stainingi

Antibody staining in the annotated cell types in the current human tissue is reported as not detected, low, medium, or high, based on conventional immunohistochemistry profiling in selected tissues. This score is based on the combination of the staining intensity and fraction of stained cells.

Each image is clickable and will lead to virtual microscopy that enables deeper exploration of all samples and also displays staining intensity scores, fraction scores and subcellular localization as well as patient and tissue information for each sample.

Antibody HPA004107
Langerhans Medium
Fibroblasts Not detected
Keratinocytes Medium
Melanocytes Medium


SKIN 2 - Antibody stainingi

Antibody staining in the annotated cell types in the current human tissue is reported as not detected, low, medium, or high, based on conventional immunohistochemistry profiling in selected tissues. This score is based on the combination of the staining intensity and fraction of stained cells.

Each image is clickable and will lead to virtual microscopy that enables deeper exploration of all samples and also displays staining intensity scores, fraction scores and subcellular localization as well as patient and tissue information for each sample.

Antibody HPA004107
Epidermal cells Medium
 
 
 


SKIN - HPA RNA-seqi

The RNA-seq details section shows detailed information about the individual samples used for the transcript profiling and results of the RNA-seq analysis.

Information about each individual sample is listed below, including gender, age, a tissue section image and estimated fractions of cell types. nTPM (normalized transcripts per million) values give a quantification of the gene abundance which is comparable between different genes and samples.
Average nTPMi

Max subtype nTPM is the value for the subtype with the largest average nTPM across the subtype samples.

879.6
overview
Female, age 34
Skin sample 225
nTPM: 646.7
Cell types%
Keratinocytes:
60

Other cell types:
40

overview
Female, age 30
Skin sample 226
nTPM: 505.7
Cell types%
Keratinocytes:
55

Other cell types:
45

N/A
Male, age 57
Skin sample 227
nTPM: 1486.3

SKIN - GTEx RNA-seqi

RNA-Seq data generated by the Genotype-Tissue Expression (GTEx) project from human tissues is reported as mean nTPM. More information can be found on the GTEx portal.

Distribution across the dataset is visualized with box plots, shown as median and 25th and 75th percentiles. Points are displayed as outliers if they are above or below 1.5 times the interquartile range. nTPM values of the individual samples are presented next to the box plot.
Max subtype nTPMi

Max subtype nTPM is the value for the subtype with the largest average nTPM across the subtype samples.

4462.6
GTEx sample id Sample description nTPM
Skin - Not Sun Exposed (Suprapubic)
Average nTPM: 4462.6
Samples: 604

Max nTPM: 9630.8
Min nTPM: 2040.1
Std nTPM: 1165.4
Median nTPM: 4270.1
GTEX-ZPCL-1126-SM-4WWFE 60-69 years, female 9630.8
GTEX-ZTX8-1326-SM-4YCEL 20-29 years, male 9271.8
GTEX-ZF3C-0626-SM-DO92O 50-59 years, female 9172.1
GTEX-1PIGE-1826-SM-E8VOU 20-29 years, male 8785.4
GTEX-1RAZQ-1326-SM-E9TK6 30-39 years, male 8611.7
GTEX-1QP9N-1226-SM-E76QN 30-39 years, male 8565.2
GTEX-1OJC3-1226-SM-DTXER 20-29 years, male 8280.8
GTEX-WI4N-2726-SM-3LK7Y 40-49 years, female 8187.7
GTEX-Y5V6-2326-SM-4VDSA 60-69 years, male 7919.7
GTEX-X585-2426-SM-46MW2 50-59 years, male 7724.4
GTEX-1PPH8-0126-SM-EWRN8 20-29 years, male 7589.6
GTEX-1E2YA-2126-SM-7MXUO 50-59 years, male 7577.8
GTEX-1LKK1-2626-SM-DKPQE 50-59 years, female 7421.5
GTEX-Y9LG-1126-SM-4VBQ7 30-39 years, male 7416.1
GTEX-144FL-0626-SM-5LU43 50-59 years, male 7215.9
GTEX-14E1K-2026-SM-7DUEI 50-59 years, male 7043.6
GTEX-1CAMS-2226-SM-7PBXQ 40-49 years, female 7031.6
GTEX-13W3W-0726-SM-5IJDQ 60-69 years, female 7016.3
GTEX-1IKOE-1426-SM-CE6T7 30-39 years, female 7006.6
GTEX-1QP2A-1726-SM-E76QC 50-59 years, male 7002.9
GTEX-Y3I4-1726-SM-4TT89 50-59 years, male 6974.6
GTEX-15RIG-0726-SM-7KUM7 40-49 years, male 6857.9
GTEX-14ICL-1626-SM-5YYAO 30-39 years, male 6853.8
GTEX-ZYW4-0626-SM-59HJR 60-69 years, male 6850.5
GTEX-1HCUA-0826-SM-ADEHM 50-59 years, female 6831.8
GTEX-1AYD5-2626-SM-7PBXY 50-59 years, male 6796.0
GTEX-13NYB-0126-SM-5J1MD 40-49 years, male 6779.2
GTEX-1H1ZS-2726-SM-9WG75 70-79 years, male 6760.4
GTEX-1S3DN-2126-SM-E9TIN 50-59 years, male 6749.3
GTEX-14DAR-1226-SM-73KYV 50-59 years, male 6678.8
GTEX-ZTTD-2826-SM-4YCFA 50-59 years, male 6654.8
GTEX-1J1OQ-0126-SM-D4P2N 40-49 years, female 6643.0
GTEX-11OF3-0126-SM-5PNYF 60-69 years, male 6572.3
GTEX-1399Q-2326-SM-5KM2X 40-49 years, male 6540.3
GTEX-1I1GT-1026-SM-ARZLV 60-69 years, female 6527.0
GTEX-ZVZP-1226-SM-5GID7 50-59 years, male 6511.0
GTEX-1QAET-0326-SM-EVR3U 50-59 years, male 6503.2
GTEX-1JMLX-0626-SM-ARL8T 50-59 years, male 6500.5
GTEX-WFG7-2026-SM-5SI7P 20-29 years, male 6484.3
GTEX-15UF6-1926-SM-7KUDV 70-79 years, female 6476.8
GTEX-13JVG-0726-SM-5KM16 60-69 years, male 6434.8
GTEX-12WSJ-1126-SM-5LZVJ 40-49 years, female 6432.0
GTEX-16YQH-2226-SM-7IGM2 30-39 years, male 6414.1
GTEX-ZF29-0926-SM-4WKFZ 60-69 years, female 6407.4
GTEX-1S831-1826-SM-EWROF 20-29 years, male 6392.2
GTEX-1399S-0126-SM-5IJCF 30-39 years, female 6294.9
GTEX-17HII-1426-SM-7EPGG 50-59 years, male 6258.1
GTEX-1OJC4-2726-SM-E76PJ 50-59 years, female 6174.9
GTEX-1117F-2926-SM-5GZYI 60-69 years, female 6168.4
GTEX-15DYW-2726-SM-6EU2I 60-69 years, female 6162.9
GTEX-WHSB-1326-SM-3LK6W 50-59 years, male 6136.9
GTEX-145MG-1526-SM-5Q5EM 50-59 years, male 6128.6
GTEX-14C39-1726-SM-5RQIL 40-49 years, male 6119.5
GTEX-16MTA-0926-SM-6M47Z 50-59 years, male 6108.5
GTEX-Y114-2126-SM-4TT8B 50-59 years, female 6090.4
GTEX-11ZU8-0126-SM-5EQ58 60-69 years, male 6085.1
GTEX-XBEW-1126-SM-4QARW 40-49 years, male 6082.7
GTEX-Y111-0626-SM-4SOIT 50-59 years, male 6079.9
GTEX-ZE7O-2726-SM-51MT5 50-59 years, female 6040.3
GTEX-13X6H-0926-SM-5SIB2 50-59 years, female 6039.0
GTEX-1R46S-2426-SM-E76QA 60-69 years, female 5992.0
GTEX-1ICLZ-0326-SM-ARL82 60-69 years, male 5989.2
GTEX-13FTY-2126-SM-5IFFB 40-49 years, female 5974.9
GTEX-13YAN-0226-SM-5TDC6 60-69 years, male 5974.0
GTEX-1GN1V-2826-SM-9JGIA 60-69 years, male 5962.8
GTEX-Y3IK-1626-SM-4YCF5 50-59 years, female 5920.1
GTEX-131XH-0126-SM-5LZUY 50-59 years, male 5887.1
GTEX-1RMOY-1326-SM-E9TIH 50-59 years, male 5887.1
GTEX-1LG7Y-2526-SM-EWRO7 50-59 years, male 5880.9
GTEX-1H3VE-0726-SM-9YFL5 40-49 years, male 5878.7
GTEX-1LGRB-0926-SM-COH3K 50-59 years, female 5877.5
GTEX-1H11D-1826-SM-9QEHM 40-49 years, male 5872.3
GTEX-WH7G-2026-SM-3NMBL 40-49 years, male 5852.4
GTEX-1CB4J-1326-SM-7P8RX 60-69 years, male 5841.9
GTEX-14XAO-1226-SM-6EU1C 60-69 years, female 5837.6
GTEX-YECK-0326-SM-4W1YS 60-69 years, male 5837.0
GTEX-15RJE-2826-SM-7KUM9 40-49 years, male 5830.7
GTEX-13RTJ-0126-SM-5S2NN 60-69 years, male 5828.3
GTEX-1HBPN-0126-SM-CGQEF 50-59 years, male 5791.3
GTEX-15RIE-1926-SM-7KUKJ 60-69 years, male 5764.6
GTEX-1HB9E-0126-SM-CM2S5 50-59 years, male 5756.7
GTEX-1C6WA-2626-SM-7MKGM 60-69 years, male 5734.2
GTEX-1PPH7-1126-SM-DTX9A 40-49 years, male 5697.5
GTEX-1QW4Y-1126-SM-DTXE3 30-39 years, male 5694.7
GTEX-1N2EE-0626-SM-E76PW 60-69 years, male 5655.0
GTEX-1R9PM-1926-SM-EVR3O 20-29 years, male 5653.4
GTEX-13OVJ-0826-SM-5J1OK 50-59 years, female 5626.9
GTEX-11DXX-2126-SM-5PNYR 60-69 years, female 5611.9
GTEX-1A3MW-0626-SM-731CB 60-69 years, female 5588.7
GTEX-1GPI7-1826-SM-9KNU1 20-29 years, male 5561.2
GTEX-11PRG-0726-SM-5EGL1 50-59 years, male 5550.9
GTEX-1LSVX-2526-SM-DIPEU 60-69 years, male 5550.7
GTEX-14PII-0726-SM-6EU2B 60-69 years, male 5540.5
GTEX-183WM-0326-SM-72D5V 70-79 years, female 5530.6
GTEX-1JMQJ-0826-SM-CNPP7 50-59 years, male 5517.5
GTEX-1IKJJ-2226-SM-CJI4C 60-69 years, male 5508.0
GTEX-YEC4-1826-SM-4W1YP 40-49 years, male 5501.4
GTEX-1PIIG-2326-SM-DTXFR 30-39 years, male 5490.3
GTEX-15SKB-2826-SM-6PAMH 60-69 years, male 5471.8
GTEX-1B97I-0626-SM-73KUZ 40-49 years, male 5467.2
GTEX-ZYY3-2926-SM-5GIEB 60-69 years, female 5456.4
GTEX-14753-0726-SM-5QGQO 60-69 years, male 5447.2
GTEX-14PJ4-0226-SM-5YY92 60-69 years, male 5438.4
GTEX-148VJ-0626-SM-5LUAW 70-79 years, male 5425.7
GTEX-1JJE9-2626-SM-ARZMT 70-79 years, male 5421.3
GTEX-17EVP-2626-SM-7IGMA 40-49 years, male 5417.1
GTEX-1JMPY-0226-SM-CKZOK 30-39 years, male 5412.0
GTEX-1C6VQ-1226-SM-73KYD 50-59 years, male 5405.7
GTEX-1LVA9-2626-SM-EVYD4 50-59 years, male 5389.1
GTEX-13NYS-0626-SM-5L3F1 60-69 years, male 5387.7
GTEX-ZF2S-1626-SM-57WES 50-59 years, female 5379.7
GTEX-14JG1-1526-SM-5YY9X 40-49 years, male 5367.6
GTEX-131XG-0326-SM-5L3DX 50-59 years, female 5360.8
GTEX-1KAFJ-0126-SM-DIPEK 50-59 years, male 5359.1
GTEX-1JMQL-2226-SM-CNPP4 50-59 years, female 5343.0
GTEX-1NSGN-0726-SM-DTXEF 50-59 years, male 5341.4
GTEX-13PL6-1126-SM-5L3IE 40-49 years, female 5332.7
GTEX-139TU-0726-SM-5L3EK 60-69 years, male 5305.5
GTEX-147F4-0726-SM-5TDDD 50-59 years, male 5298.5
GTEX-13IVO-0726-SM-5LZYV 70-79 years, male 5292.5
GTEX-1LSNM-0826-SM-DIPG8 50-59 years, male 5285.3
GTEX-X8HC-0626-SM-4E3HQ 50-59 years, female 5270.5
GTEX-W5X1-2526-SM-3GILC 40-49 years, female 5266.4
GTEX-1O9I2-0226-SM-EYYXD 50-59 years, male 5237.9
GTEX-ZVE1-0726-SM-51MRN 50-59 years, female 5228.0
GTEX-XQ8I-0926-SM-4BOOF 50-59 years, male 5223.1
GTEX-ZT9X-1526-SM-5DUXD 40-49 years, male 5213.0
GTEX-1HBPI-2126-SM-ARL9K 50-59 years, male 5206.6
GTEX-ZLV1-1526-SM-DO91J 60-69 years, female 5195.0
GTEX-Y5LM-0926-SM-6LLJG 40-49 years, female 5190.1
GTEX-1EMGI-2326-SM-7PBYA 60-69 years, male 5185.3
GTEX-ZY6K-1426-SM-5GZX2 50-59 years, male 5174.7
GTEX-14E6E-0526-SM-793DN 30-39 years, male 5171.3
GTEX-1HFI6-0126-SM-CNPPI 40-49 years, male 5167.2
GTEX-XMD2-2126-SM-4YCF8 60-69 years, female 5151.1
GTEX-12ZZZ-0726-SM-5GCNZ 60-69 years, male 5150.8
GTEX-13112-0126-SM-5P9IU 50-59 years, male 5147.5
GTEX-1PBJJ-1026-SM-E76OS 30-39 years, male 5144.9
GTEX-1QPFJ-1926-SM-EVYBD 30-39 years, female 5142.4
GTEX-17HHE-1326-SM-7EWDZ 50-59 years, male 5135.6
GTEX-ZAB4-2126-SM-5HL8U 40-49 years, male 5131.9
GTEX-ZYT6-2326-SM-5GZY3 30-39 years, male 5131.7
GTEX-1NV5F-0626-SM-DTXEG 60-69 years, female 5120.8
GTEX-1JMQK-1226-SM-D4P2S 60-69 years, male 5117.7
GTEX-1I1GV-0626-SM-ARL7M 60-69 years, male 5111.8
GTEX-17MFQ-1526-SM-7KFRR 20-29 years, male 5095.8
GTEX-11DYG-1526-SM-5A5JS 60-69 years, male 5094.6
GTEX-11DXZ-2026-SM-5987S 50-59 years, male 5091.1
GTEX-14PJ6-2626-SM-6EU2T 60-69 years, female 5082.6
GTEX-13SLX-2226-SM-62LEP 50-59 years, female 5079.6
GTEX-1497J-0226-SM-5QGPU 60-69 years, male 5071.1
GTEX-1QP28-1126-SM-EVYC4 50-59 years, female 5064.7
GTEX-1GN73-0726-SM-7P8TJ 60-69 years, male 5033.2
GTEX-15SHW-0226-SM-7LTAT 60-69 years, male 5033.1
GTEX-1IDJI-0126-SM-CMKHS 50-59 years, female 5026.1
GTEX-14ABY-2026-SM-62LDL 50-59 years, male 5026.0
GTEX-ZLFU-1826-SM-4WWBV 40-49 years, male 5025.2
GTEX-12WSH-1526-SM-5BC5W 50-59 years, male 5024.9
GTEX-1H3O1-1326-SM-9MQLD 60-69 years, male 5021.2
GTEX-1BAJH-2426-SM-7IGP8 70-79 years, male 5021.1
GTEX-11ZTT-2126-SM-5CVLO 60-69 years, female 5019.3
GTEX-18D9A-1426-SM-7LT8M 30-39 years, female 5014.1
GTEX-1I1GU-0926-SM-ACKVS 40-49 years, male 4998.9
GTEX-ZPIC-0526-SM-DO91W 40-49 years, female 4977.5
GTEX-145MN-1526-SM-5SI9T 30-39 years, male 4975.6
GTEX-111VG-1626-SM-5EGIO 60-69 years, male 4964.0
GTEX-11P81-2226-SM-5PNYI 30-39 years, female 4955.0
GTEX-11WQK-1026-SM-5EQLX 50-59 years, male 4947.3
GTEX-13PDP-0726-SM-5L3HP 60-69 years, male 4946.1
GTEX-14PJ5-1526-SM-6LLIL 60-69 years, female 4935.2
GTEX-1HR9M-2226-SM-CNPPY 60-69 years, male 4930.7
GTEX-ZZPU-0826-SM-5GZX5 50-59 years, female 4904.3
GTEX-XK95-0226-SM-4AT58 40-49 years, male 4899.4
GTEX-15DDE-2926-SM-6LLJ3 50-59 years, female 4893.5
GTEX-1LB8K-0726-SM-D5OV2 50-59 years, male 4889.4
GTEX-11DXY-0126-SM-5H11Q 60-69 years, male 4885.9
GTEX-15FZZ-0526-SM-7KUGD 30-39 years, female 4880.8
GTEX-1GTWX-2026-SM-9YFLM 60-69 years, male 4872.0
GTEX-15G1A-1626-SM-7KUKN 30-39 years, male 4869.2
GTEX-1JN76-0626-SM-CKZOQ 20-29 years, female 4865.2
GTEX-13QJC-0126-SM-5ZZWJ 60-69 years, female 4860.0
GTEX-14A5H-0826-SM-5QGPJ 60-69 years, male 4858.3
GTEX-14PHY-1226-SM-5ZZWK 60-69 years, female 4850.0
GTEX-15G19-2426-SM-7KUMR 60-69 years, male 4833.4
GTEX-XV7Q-1826-SM-4BRUV 40-49 years, female 4830.5
GTEX-ZPU1-1126-SM-4YCF3 40-49 years, male 4829.4
GTEX-1HGF4-0126-SM-CNPPX 60-69 years, male 4823.3
GTEX-1313W-0626-SM-5EQ4H 50-59 years, female 4822.2
GTEX-1QCLY-0226-SM-EWRNH 30-39 years, male 4819.4
GTEX-Z93S-1626-SM-5CVMB 50-59 years, male 4817.8
GTEX-18QFQ-1826-SM-72D52 30-39 years, male 4811.6
GTEX-XUW1-0926-SM-4BONX 50-59 years, female 4796.5
GTEX-1HFI7-2326-SM-CGQFS 50-59 years, female 4795.7
GTEX-14PK6-0226-SM-62LF5 70-79 years, female 4794.2
GTEX-11WQC-1826-SM-5GU59 60-69 years, male 4793.7
GTEX-1LSNL-2726-SM-E9TKJ 50-59 years, male 4793.3
GTEX-1JJ6O-2726-SM-CNPOG 60-69 years, male 4780.7
GTEX-13D11-0926-SM-5J2NC 50-59 years, female 4777.0
GTEX-15EO6-2426-SM-6PALZ 50-59 years, male 4773.8
GTEX-1JKYR-0626-SM-ARL8R 20-29 years, male 4771.4
GTEX-1399R-1326-SM-5PNYS 30-39 years, male 4770.1
GTEX-YFCO-1226-SM-5LUAT 40-49 years, male 4746.0
GTEX-1EH9U-2826-SM-7DUGT 60-69 years, male 4740.4
GTEX-18A67-1626-SM-7LT9T 50-59 years, male 4733.1
GTEX-ZDTT-0426-SM-4WKFL 60-69 years, male 4733.0
GTEX-1B996-0426-SM-7EWF8 60-69 years, male 4731.6
GTEX-11UD2-2526-SM-5CVNU 50-59 years, male 4723.4
GTEX-18465-2826-SM-7LT9J 50-59 years, male 4717.9
GTEX-ZA64-1026-SM-5HL8R 20-29 years, male 4717.1
GTEX-1J8EW-2726-SM-CY8HR 60-69 years, female 4711.4
GTEX-11NUK-2726-SM-5A5MC 50-59 years, male 4707.5
GTEX-1LVAN-0626-SM-CNPOQ 50-59 years, female 4699.8
GTEX-1PPGY-1626-SM-EVYBL 60-69 years, male 4694.2
GTEX-1K2DU-1226-SM-CYPT4 20-29 years, male 4690.7
GTEX-1IDFM-0326-SM-ARL7V 60-69 years, male 4690.2
GTEX-14PKV-1126-SM-6LLJ1 20-29 years, female 4687.5
GTEX-1RLM8-2926-SM-E8VON 50-59 years, male 4683.3
GTEX-144GO-2026-SM-5O99P 60-69 years, male 4682.3
GTEX-13NYC-0126-SM-5L3F4 60-69 years, male 4672.7
GTEX-13N11-2326-SM-5IJBF 50-59 years, female 4658.6
GTEX-14PHX-2226-SM-6EU2P 50-59 years, male 4655.6
GTEX-1H23P-0626-SM-9WG6T 60-69 years, male 4649.9
GTEX-1N5O9-0926-SM-E9J3C 60-69 years, male 4643.5
GTEX-XPVG-2126-SM-4B667 50-59 years, male 4639.3
GTEX-1JJEA-1826-SM-ARU8P 60-69 years, male 4633.6
GTEX-1GMRU-2126-SM-7P8RA 50-59 years, male 4626.2
GTEX-1H2FU-0926-SM-9WPPT 60-69 years, female 4623.7
GTEX-1ICLY-0826-SM-CMKG1 50-59 years, male 4620.5
GTEX-1C2JI-1026-SM-73KY1 50-59 years, male 4609.0
GTEX-1477Z-0326-SM-7IGLA 60-69 years, male 4607.7
GTEX-14LZ3-0126-SM-69LPM 60-69 years, female 4600.3
GTEX-1POEN-2326-SM-E9J2L 30-39 years, female 4597.6
GTEX-139TT-2126-SM-5LZWC 60-69 years, male 4596.6
GTEX-1LVAO-2726-SM-E9TJ8 60-69 years, male 4585.5
GTEX-1K2DA-1026-SM-CGQGF 50-59 years, male 4580.4
GTEX-1KXAM-1626-SM-D3LAD 60-69 years, male 4570.9
GTEX-13O61-1426-SM-5KM3D 60-69 years, male 4566.7
GTEX-14BIN-1126-SM-5RQJZ 50-59 years, female 4563.9
GTEX-15ER7-0626-SM-6PANF 20-29 years, female 4560.3
GTEX-YB5K-2026-SM-4VDT3 40-49 years, female 4558.2
GTEX-XYKS-1426-SM-4BRUO 60-69 years, female 4553.3
GTEX-139UW-0326-SM-5J1ML 60-69 years, male 4552.6
GTEX-1HBPM-0726-SM-9YFL7 60-69 years, female 4549.7
GTEX-147GR-2426-SM-5ZZWQ 60-69 years, male 4538.5
GTEX-1R9K4-2826-SM-DTX8F 60-69 years, male 4535.5
GTEX-ZVT2-0126-SM-5GIDQ 50-59 years, female 4533.8
GTEX-ZYFG-1526-SM-5GZYM 60-69 years, female 4531.2
GTEX-1R9PN-0426-SM-DTXDT 40-49 years, female 4519.1
GTEX-1RB15-1326-SM-E76Q9 60-69 years, male 4512.4
GTEX-1I1GS-2626-SM-B2LY3 60-69 years, male 4500.4
GTEX-131XW-0626-SM-5PNVD 50-59 years, female 4492.5
GTEX-13X6K-0626-SM-5LU5D 60-69 years, female 4490.9
GTEX-1JK1U-0226-SM-ARZMX 60-69 years, male 4481.0
GTEX-17MF6-2626-SM-79OKQ 40-49 years, male 4478.3
GTEX-145ME-1726-SM-5Q5EU 40-49 years, female 4457.2
GTEX-17F9E-2326-SM-79OKD 50-59 years, male 4452.6
GTEX-1IOXB-2726-SM-CM2RI 50-59 years, male 4447.8
GTEX-XQ3S-1426-SM-4BOPR 20-29 years, male 4438.6
GTEX-ZE9C-2526-SM-5IJDR 60-69 years, male 4438.5
GTEX-14LLW-2626-SM-62LDZ 70-79 years, female 4437.6
GTEX-12WSA-0426-SM-5EQ5X 60-69 years, male 4431.4
GTEX-1MCC2-1826-SM-DIPEX 30-39 years, female 4426.9
GTEX-XOT4-0626-SM-4B66L 60-69 years, female 4422.6
GTEX-144GM-0526-SM-79OJO 20-29 years, male 4419.8
GTEX-11DZ1-2426-SM-5GZZX 50-59 years, male 4410.3
GTEX-1IDJU-1726-SM-CMKHU 60-69 years, female 4406.5
GTEX-1EN7A-2426-SM-793DB 40-49 years, male 4405.9
GTEX-1CAMQ-1326-SM-7P8RV 40-49 years, male 4398.4
GTEX-117YX-1926-SM-5GIEC 50-59 years, male 4397.7
GTEX-14PKU-0126-SM-6LLHV 40-49 years, female 4397.5
GTEX-1122O-1026-SM-9WYSF 60-69 years, female 4392.6
GTEX-133LE-2326-SM-5K7W3 20-29 years, female 4389.9
GTEX-1KD5A-0126-SM-E9U54 50-59 years, male 4389.0
GTEX-1H1DG-2426-SM-9QEHJ 70-79 years, male 4388.2
GTEX-13SLW-0626-SM-5Q5ER 70-79 years, male 4385.0
GTEX-11O72-0626-SM-5PNYE 40-49 years, male 4378.7
GTEX-13OVG-1626-SM-5J1NF 60-69 years, male 4377.9
GTEX-16Z82-2626-SM-7KULU 60-69 years, male 4375.9
GTEX-11GSP-2326-SM-5HL63 60-69 years, female 4368.6
GTEX-15D1Q-2826-SM-6LLH7 40-49 years, male 4361.7
GTEX-1J1R8-2026-SM-CL53Y 40-49 years, male 4358.6
GTEX-1JN6P-2926-SM-CL54D 60-69 years, male 4356.6
GTEX-12WSF-1626-SM-7KUG5 70-79 years, male 4353.8
GTEX-1KANB-2826-SM-CY8I6 50-59 years, male 4345.0
GTEX-1QMI2-2526-SM-E8VNZ 60-69 years, male 4333.1
GTEX-1EX96-1026-SM-7MKG2 50-59 years, male 4330.6
GTEX-XXEK-1626-SM-4BRUZ 50-59 years, male 4328.5
GTEX-ZP4G-1426-SM-4WWCL 20-29 years, female 4324.8
GTEX-1F5PK-2226-SM-7SB6N 50-59 years, male 4320.5
GTEX-1E1VI-0326-SM-793D1 50-59 years, male 4319.8
GTEX-111CU-1126-SM-5EGIM 50-59 years, male 4313.5
GTEX-1CB4E-0926-SM-7EPHT 60-69 years, male 4312.9
GTEX-1I1GP-1326-SM-A9G28 50-59 years, male 4312.1
GTEX-147F3-1726-SM-5SIAW 50-59 years, female 4311.7
GTEX-1S82U-1026-SM-E6CJK 30-39 years, female 4311.6
GTEX-1HSMP-0926-SM-A9SKX 70-79 years, male 4304.0
GTEX-145LU-1926-SM-79OJN 50-59 years, male 4302.6
GTEX-1F6I4-2326-SM-7RHGL 60-69 years, male 4301.5
GTEX-ZC5H-1526-SM-5HL9Y 40-49 years, female 4300.4
GTEX-13G51-1826-SM-5KLZH 60-69 years, male 4287.4
GTEX-ZYVF-0926-SM-5E44J 50-59 years, female 4284.6
GTEX-1399U-1126-SM-5L3DB 50-59 years, female 4279.0
GTEX-1LBAC-0826-SM-CY8IJ 20-29 years, male 4261.2
GTEX-1M4P7-0726-SM-E6CJ3 60-69 years, male 4260.2
GTEX-11TUW-0626-SM-5LU9M 60-69 years, male 4252.7
GTEX-14AS3-1526-SM-5Q5ED 40-49 years, female 4250.8
GTEX-13U4I-2226-SM-5LU5H 40-49 years, female 4244.7
GTEX-12WSK-2126-SM-5CVNC 40-49 years, female 4233.0
GTEX-ZDYS-2426-SM-4WKGI 50-59 years, male 4232.5
GTEX-1JMOU-1026-SM-CYPSS 60-69 years, female 4227.2
GTEX-12BJ1-0926-SM-5EQ62 60-69 years, male 4225.7
GTEX-16NPX-0726-SM-7KULC 50-59 years, male 4224.7
GTEX-1B8L1-2226-SM-7P8PT 60-69 years, male 4213.7
GTEX-13NZ8-1226-SM-5KM4A 60-69 years, female 4213.3
GTEX-16BQI-1326-SM-6M486 30-39 years, female 4204.0
GTEX-12696-0126-SM-5EQ4L 60-69 years, male 4200.6
GTEX-1GMR2-0826-SM-7PC3V 50-59 years, male 4196.2
GTEX-XBED-1926-SM-47JYP 60-69 years, male 4193.6
GTEX-13OVH-0526-SM-5L3E6 70-79 years, male 4190.2
GTEX-1IDJH-0126-SM-D3L92 70-79 years, male 4190.2
GTEX-ZDXO-3126-SM-5IJDF 60-69 years, male 4187.9
GTEX-145MI-0626-SM-5SI8S 60-69 years, female 4186.3
GTEX-1S82P-2126-SM-E6CI5 60-69 years, female 4181.8
GTEX-1211K-1526-SM-5FQU4 60-69 years, female 4178.1
GTEX-14A6H-2026-SM-5Q5DD 30-39 years, male 4176.9
GTEX-1AMFI-1326-SM-7939R 50-59 years, female 4167.2
GTEX-111YS-1526-SM-5GZYW 60-69 years, male 4158.3
GTEX-1A8G7-1326-SM-73KVM 60-69 years, male 4147.2
GTEX-145MH-2826-SM-5RQJF 50-59 years, male 4146.6
GTEX-1K9T9-1526-SM-DIPFR 50-59 years, female 4142.4
GTEX-1GN1U-0626-SM-9MQL9 50-59 years, female 4138.0
GTEX-1HSMQ-2626-SM-A9SML 50-59 years, male 4137.9
GTEX-13X6I-1826-SM-5SIAO 60-69 years, male 4129.3
GTEX-13FTX-1526-SM-5K7VJ 20-29 years, female 4127.8
GTEX-1C64N-2626-SM-7PC2N 50-59 years, male 4127.8
GTEX-ZXG5-2126-SM-59HKD 60-69 years, male 4121.5
GTEX-1JMPZ-0726-SM-CY8HZ 30-39 years, male 4120.3
GTEX-WXYG-2026-SM-4E3IY 50-59 years, female 4120.0
GTEX-ZDTS-0826-SM-4WKHL 60-69 years, male 4115.2
GTEX-15CHQ-0326-SM-69LQD 60-69 years, male 4105.4
GTEX-13QBU-1226-SM-5LU4G 40-49 years, female 4102.7
GTEX-15EU6-2226-SM-6EU2L 50-59 years, male 4095.7
GTEX-1GZ4I-2626-SM-9KNU3 50-59 years, male 4094.5
GTEX-1GF9V-0826-SM-9KNUV 60-69 years, male 4094.3
GTEX-1H1CY-0126-SM-9YFLY 60-69 years, female 4088.7
GTEX-X5EB-1926-SM-4E3IW 40-49 years, male 4088.0
GTEX-145MF-0926-SM-5Q5EA 50-59 years, male 4087.0
GTEX-1HCU6-2526-SM-ADEHL 60-69 years, female 4084.4
GTEX-14E6C-2426-SM-5S2NF 40-49 years, male 4081.6
GTEX-1J8QM-2426-SM-A9SLS 60-69 years, female 4080.0
GTEX-1CB4I-0126-SM-7RHGG 50-59 years, male 4076.3
GTEX-1F52S-2926-SM-7MKGA 60-69 years, female 4070.3
GTEX-1192X-2726-SM-5N9DN 50-59 years, male 4069.7
GTEX-1JMQI-1726-SM-ARL93 50-59 years, male 4067.2
GTEX-1H4P4-2126-SM-9WYSL 50-59 years, male 4058.5
GTEX-1B8KZ-0326-SM-73KY4 50-59 years, male 4056.1
GTEX-1F48J-0726-SM-7RHGS 50-59 years, female 4053.9
GTEX-1I1HK-2326-SM-CKZOH 60-69 years, male 4052.6
GTEX-12126-0826-SM-5FQTZ 20-29 years, male 4041.1
GTEX-1N2DV-1526-SM-DTXEP 40-49 years, male 4039.8
GTEX-18D9U-0126-SM-731BM 40-49 years, male 4035.6
GTEX-14C38-0726-SM-5SI6M 50-59 years, male 4033.9
GTEX-1212Z-0126-SM-59HK4 60-69 years, male 4031.0
GTEX-1AX8Z-0726-SM-73KTS 60-69 years, male 4028.0
GTEX-ZAJG-1526-SM-5CVML 50-59 years, female 4024.6
GTEX-12ZZY-0726-SM-5EQ66 60-69 years, male 4022.6
GTEX-1HSGN-0826-SM-ACKW3 40-49 years, female 4021.8
GTEX-16XZZ-0726-SM-7KUF2 60-69 years, male 4020.8
GTEX-1A3MV-1826-SM-731CD 30-39 years, male 4019.8
GTEX-13N1W-2426-SM-5IJD1 70-79 years, male 4013.1
GTEX-X4EO-2926-SM-4E3JH 60-69 years, female 4006.0
GTEX-ZAK1-0626-SM-5HL8E 50-59 years, female 3998.6
GTEX-1HC8U-1326-SM-9YFMJ 40-49 years, female 3994.0
GTEX-1RAZS-2526-SM-E6CHT 50-59 years, male 3993.6
GTEX-13OW8-1026-SM-5J1NQ 60-69 years, male 3990.3
GTEX-144GL-0626-SM-5LU4D 50-59 years, male 3986.2
GTEX-139D8-1126-SM-5LU8W 30-39 years, female 3984.8
GTEX-1J8Q3-0526-SM-ARL8U 60-69 years, male 3982.9
GTEX-1J8Q2-2626-SM-ACKWQ 60-69 years, male 3981.7
GTEX-XBEC-0726-SM-4QARZ 50-59 years, male 3981.5
GTEX-11ZUS-2626-SM-5FQUR 30-39 years, male 3978.4
GTEX-1QEPI-2626-SM-DTXF4 60-69 years, female 3968.7
GTEX-1F5PL-0926-SM-7PC2W 40-49 years, female 3955.8
GTEX-1JN1M-2726-SM-CY8I4 60-69 years, female 3948.3
GTEX-V1D1-2026-SM-3GAF4 50-59 years, male 3934.4
GTEX-13FHO-0426-SM-5L3F5 60-69 years, male 3930.2
GTEX-145LS-0626-SM-7EPG7 60-69 years, female 3926.0
GTEX-1HKZK-0726-SM-ACKW2 40-49 years, male 3924.6
GTEX-18D9B-0926-SM-7LG4U 60-69 years, male 3922.1
GTEX-11P7K-1126-SM-5HL4L 30-39 years, male 3919.1
GTEX-1A8G6-2726-SM-731AR 60-69 years, male 3917.9
GTEX-11EQ9-1626-SM-5PNY8 30-39 years, male 3917.0
GTEX-1PDJ9-1226-SM-EXUSX 20-29 years, male 3915.0
GTEX-1GN2E-0226-SM-9WG6K 60-69 years, male 3909.1
GTEX-139T8-0626-SM-5KLZX 60-69 years, male 3904.8
GTEX-1GPI6-1926-SM-9KNV7 60-69 years, male 3904.1
GTEX-17KNJ-2126-SM-718AM 50-59 years, male 3903.1
GTEX-1I6K7-1926-SM-B2LXR 40-49 years, male 3900.1
GTEX-1B8SF-0126-SM-7DUG3 60-69 years, male 3898.4
GTEX-1HCU7-0726-SM-A9SL1 50-59 years, male 3893.2
GTEX-13PVR-0426-SM-5RQK2 60-69 years, female 3892.2
GTEX-16MT8-2926-SM-7DUFO 60-69 years, female 3891.6
GTEX-1JKYN-0826-SM-ARU8S 30-39 years, male 3890.8
GTEX-14BMV-2826-SM-5TDED 50-59 years, male 3883.8
GTEX-17EVQ-0126-SM-7IGLR 70-79 years, male 3883.3
GTEX-13VXT-1926-SM-5K7UO 20-29 years, female 3877.2
GTEX-ZYFD-0626-SM-5E44E 50-59 years, male 3875.0
GTEX-16AAH-0626-SM-793C9 50-59 years, male 3871.3
GTEX-13PVQ-0626-SM-5LU47 50-59 years, male 3867.0
GTEX-13VXU-0626-SM-5L3F9 50-59 years, male 3846.1
GTEX-12ZZX-2426-SM-5GCOE 40-49 years, female 3843.5
GTEX-132AR-0326-SM-5KM2C 50-59 years, female 3842.9
GTEX-Y8LW-1526-SM-5IFHL 50-59 years, female 3838.9
GTEX-1IL2V-1926-SM-B2LW8 70-79 years, male 3836.2
GTEX-16GPK-0626-SM-7KFSF 60-69 years, male 3834.7
GTEX-11LCK-2226-SM-5HL4Q 30-39 years, male 3830.7
GTEX-12WSM-1926-SM-5BC65 60-69 years, male 3824.4
GTEX-1HSMO-0626-SM-ACKXC 60-69 years, male 3823.7
GTEX-1QP29-1826-SM-DTX9S 50-59 years, male 3821.0
GTEX-1GZ4H-0526-SM-9KNU9 50-59 years, female 3817.7
GTEX-12KS4-2126-SM-5FQUT 30-39 years, male 3812.7
GTEX-14PJN-1826-SM-6AJ98 30-39 years, male 3812.4
GTEX-1A8FM-0626-SM-7PC25 50-59 years, female 3802.0
GTEX-16MT9-0126-SM-7EPI8 60-69 years, female 3798.8
GTEX-1I4MK-0126-SM-CY8G6 50-59 years, female 3795.6
GTEX-1I19N-0126-SM-CYPSF 70-79 years, male 3785.5
GTEX-1KANA-1326-SM-DIPFA 20-29 years, male 3785.2
GTEX-1CB4H-1126-SM-7MKGL 60-69 years, female 3780.0
GTEX-13OW7-0426-SM-5K7VK 50-59 years, male 3779.2
GTEX-14B4R-1326-SM-5Q5EZ 30-39 years, male 3775.8
GTEX-1ICG6-1226-SM-A9SLN 70-79 years, female 3770.4
GTEX-13OW6-2726-SM-5J2OE 50-59 years, male 3769.0
GTEX-11TT1-1826-SM-5EQLV 20-29 years, male 3750.6
GTEX-UPJH-0226-SM-3GADV 50-59 years, male 3747.3
GTEX-WFON-1926-SM-3LK7L 40-49 years, male 3740.7
GTEX-11NSD-0626-SM-5A5LU 20-29 years, male 3729.5
GTEX-ZWKS-0626-SM-5GIDV 30-39 years, male 3728.0
GTEX-139TS-2126-SM-5K7XC 60-69 years, male 3726.4
GTEX-1C6VR-0126-SM-7RHGB 60-69 years, male 3717.7
GTEX-14C5O-0326-SM-5ZZUX 60-69 years, male 3705.9
GTEX-X3Y1-2026-SM-3P5YM 40-49 years, male 3696.7
GTEX-13O3Q-0126-SM-5KM34 50-59 years, male 3695.0
GTEX-XAJ8-1426-SM-47JYM 40-49 years, male 3692.8
GTEX-13FTW-0326-SM-5K7UW 40-49 years, male 3690.8
GTEX-15CHR-1126-SM-7EWF4 50-59 years, male 3687.6
GTEX-1269C-0126-SM-5EQ5L 60-69 years, female 3686.4
GTEX-1LG7Z-1626-SM-CXKYR 30-39 years, male 3679.2
GTEX-1GZ2Q-0126-SM-9WG6M 40-49 years, male 3675.6
GTEX-1S5ZU-2526-SM-E6CIF 20-29 years, female 3663.1
GTEX-11DXW-0826-SM-5H118 40-49 years, male 3651.1
GTEX-UPK5-0426-SM-3GAEK 40-49 years, male 3643.0
GTEX-1MJK3-0726-SM-E6CJC 20-29 years, male 3635.6
GTEX-14BMU-1226-SM-5S2OR 20-29 years, female 3634.2
GTEX-13FH7-1126-SM-5K7UG 50-59 years, female 3634.1
GTEX-1R7EU-1626-SM-DTXG3 60-69 years, male 3631.8
GTEX-1HSKV-1226-SM-ADEI4 60-69 years, male 3620.3
GTEX-17F96-0126-SM-7EWDU 70-79 years, male 3619.1
GTEX-1MCYP-0526-SM-E9U6Q 20-29 years, female 3618.5
GTEX-X4EP-0626-SM-3P621 60-69 years, female 3618.2
GTEX-14JFF-0626-SM-5ZZVT 60-69 years, male 3611.0
GTEX-16NGA-0726-SM-731AO 40-49 years, female 3599.1
GTEX-1F88E-1626-SM-7SB8Z 60-69 years, female 3594.2
GTEX-ZVT4-2426-SM-5GIEI 50-59 years, female 3585.3
GTEX-WRHU-2826-SM-3MJG8 50-59 years, female 3577.9
GTEX-1EKGG-0626-SM-7DUGJ 60-69 years, male 3574.3
GTEX-Y5V5-0126-SM-5S2NW 60-69 years, female 3567.9
GTEX-1KANC-1226-SM-CYPT7 50-59 years, female 3564.7
GTEX-1F6IF-0926-SM-7SB7M 60-69 years, male 3563.6
GTEX-VUSG-2326-SM-4KL1U 50-59 years, male 3555.5
GTEX-146FQ-2126-SM-5RQHU 30-39 years, male 3550.0
GTEX-1GMR8-0626-SM-7RHI7 50-59 years, female 3544.0
GTEX-1GZHY-0626-SM-9KNVC 50-59 years, female 3533.9
GTEX-13O3O-2326-SM-5IJD6 60-69 years, female 3531.4
GTEX-ZYFC-0426-SM-5GICQ 50-59 years, male 3520.1
GTEX-11EM3-1226-SM-5N9DD 20-29 years, female 3518.9
GTEX-1B932-2326-SM-79OL5 40-49 years, female 3518.9
GTEX-1QCLZ-2426-SM-EVYBW 60-69 years, female 3512.8
GTEX-17HG3-2626-SM-7DUF2 30-39 years, female 3510.5
GTEX-1HT8W-0626-SM-A9G2H 30-39 years, male 3508.5
GTEX-145LT-0526-SM-5LUB2 40-49 years, male 3507.3
GTEX-1KWVE-1026-SM-D3L9O 30-39 years, male 3502.9
GTEX-1EU9M-1426-SM-793AI 60-69 years, male 3499.8
GTEX-139YR-1026-SM-5LZYN 50-59 years, male 3489.8
GTEX-1AX9J-1326-SM-731BJ 60-69 years, male 3488.4
GTEX-1HR98-2226-SM-ADEI2 60-69 years, male 3481.7
GTEX-1GF9W-1426-SM-7PBYM 60-69 years, male 3477.2
GTEX-1F88F-0126-SM-9WYSZ 60-69 years, female 3470.2
GTEX-Y8E4-2026-SM-5IFJB 40-49 years, male 3465.1
GTEX-YJ8O-2526-SM-5HL85 40-49 years, female 3464.0
GTEX-14PJO-2526-SM-6AJBQ 60-69 years, male 3459.1
GTEX-11VI4-1126-SM-5EQMD 40-49 years, female 3455.9
GTEX-17HGU-2326-SM-7DUFE 50-59 years, male 3453.9
GTEX-11GS4-0226-SM-5HL77 60-69 years, male 3451.2
GTEX-13OVL-0126-SM-5L3GJ 50-59 years, male 3449.4
GTEX-1F75A-0726-SM-7RHHD 50-59 years, male 3446.9
GTEX-WY7C-2126-SM-3NB2R 50-59 years, male 3445.6
GTEX-WYJK-0526-SM-3NM8Z 50-59 years, male 3443.1
GTEX-13OW5-2326-SM-5L3HO 60-69 years, male 3442.6
GTEX-1CB4F-1026-SM-7DUH1 60-69 years, male 3440.3
GTEX-1B8KE-1126-SM-7EPHI 50-59 years, male 3436.2
GTEX-13FLV-0126-SM-5K7WT 50-59 years, male 3429.1
GTEX-1RAZA-2226-SM-E9U4X 20-29 years, male 3427.4
GTEX-18A6Q-0626-SM-7KFRP 60-69 years, male 3425.6
GTEX-13NZ9-2626-SM-5L3FK 50-59 years, male 3423.9
GTEX-ZU9S-1826-SM-5NQ9E 30-39 years, male 3422.0
GTEX-WHSE-0126-SM-3NMBT 20-29 years, male 3418.3
GTEX-1LVAM-0726-SM-E6CIL 50-59 years, female 3412.1
GTEX-YEC3-1326-SM-DO92X 50-59 years, male 3409.8
GTEX-1HUB1-1426-SM-CGQF5 60-69 years, male 3409.1
GTEX-178AV-1726-SM-7KUL8 40-49 years, male 3407.4
GTEX-14PJ3-1126-SM-5ZZVX 50-59 years, male 3401.6
GTEX-11EQ8-0926-SM-5H12V 60-69 years, male 3400.9
GTEX-1AMEY-0826-SM-72D65 30-39 years, female 3393.2
GTEX-1C64O-1326-SM-7MGWR 60-69 years, male 3378.8
GTEX-1J8JJ-0626-SM-ARZMQ 60-69 years, female 3378.0
GTEX-WK11-2726-SM-3NMAQ 50-59 years, male 3361.9
GTEX-12584-0726-SM-5FQTK 40-49 years, male 3356.0
GTEX-17HHY-0426-SM-7DHLC 50-59 years, male 3354.6
GTEX-1CAMR-1326-SM-7PC1F 20-29 years, male 3352.0
GTEX-WHWD-1826-SM-3LK6I 50-59 years, male 3346.4
GTEX-1LGOU-1326-SM-D3L8M 20-29 years, female 3341.2
GTEX-17F97-2626-SM-7IGM5 50-59 years, male 3340.2
GTEX-12WSD-0626-SM-5GCMW 60-69 years, female 3337.6
GTEX-1IDJF-2026-SM-CL53V 20-29 years, male 3336.7
GTEX-1CAV2-0126-SM-7IGN7 40-49 years, female 3327.1
GTEX-1I6K6-1726-SM-CGQFD 30-39 years, male 3323.5
GTEX-1HCVE-2726-SM-CL54F 50-59 years, male 3322.3
GTEX-13113-1626-SM-5EQ4I 60-69 years, female 3311.4
GTEX-13X6J-0626-SM-5LU5F 50-59 years, male 3310.3
GTEX-131YS-2826-SM-5EQ47 60-69 years, female 3307.6
GTEX-ZGAY-1826-SM-DO91Q 40-49 years, female 3302.2
GTEX-1GL5R-1326-SM-7RHHF 50-59 years, male 3295.7
GTEX-1B933-2426-SM-7DHMD 50-59 years, female 3287.5
GTEX-1F6RS-2026-SM-7RHHC 60-69 years, female 3275.7
GTEX-15CHC-1126-SM-6LLHQ 60-69 years, female 3274.9
GTEX-1RAZR-2126-SM-E9U6T 40-49 years, male 3274.1
GTEX-1H1DF-1126-SM-9WG7G 40-49 years, female 3271.1
GTEX-1F75I-2226-SM-7SB8U 40-49 years, male 3268.1
GTEX-WFG8-2126-SM-3GIKQ 20-29 years, male 3268.0
GTEX-ZVE2-2826-SM-5GU51 50-59 years, male 3263.2
GTEX-1F75W-2726-SM-7SB8H 60-69 years, male 3261.5
GTEX-14DAQ-0626-SM-793DS 60-69 years, female 3261.3
GTEX-1GMR3-0126-SM-A9SLW 40-49 years, male 3259.9
GTEX-1A32A-0626-SM-731AQ 50-59 years, female 3256.3
GTEX-1QP66-1226-SM-DTX7U 50-59 years, male 3249.9
GTEX-18A7B-2726-SM-7LG56 70-79 years, male 3195.5
GTEX-U8XE-0226-SM-4E3J3 30-39 years, male 3193.9
GTEX-ZVP2-0326-SM-57WBP 50-59 years, male 3160.0
GTEX-131XF-2626-SM-5EQ6K 60-69 years, male 3151.4
GTEX-1AX9I-2226-SM-73KUO 60-69 years, male 3140.9
GTEX-1H1DE-1326-SM-9KNUG 20-29 years, male 3137.3
GTEX-13N2G-0226-SM-5K7VF 60-69 years, male 3131.8
GTEX-1HCU8-2526-SM-CE6RX 60-69 years, female 3121.1
GTEX-1IE54-1126-SM-A9G2Z 40-49 years, female 3106.6
GTEX-12C56-1526-SM-5FQUQ 20-29 years, male 3090.7
GTEX-1IY9M-2826-SM-ARU8H 60-69 years, male 3086.0
GTEX-ZVTK-0226-SM-51MRG 20-29 years, male 3075.4
GTEX-11P82-1426-SM-DTXFY 20-29 years, male 3056.2
GTEX-1I1CD-0626-SM-CE6SW 60-69 years, female 3054.4
GTEX-1IDJD-2326-SM-ACKWX 30-39 years, male 3049.4
GTEX-13OVK-1426-SM-6PAN7 40-49 years, male 3049.1
GTEX-17F98-1326-SM-7DUEP 40-49 years, female 3040.9
GTEX-1IDJV-0126-SM-COH3Y 60-69 years, male 3039.2
GTEX-12WSC-2826-SM-5BC5Y 50-59 years, male 3018.3
GTEX-147JS-0226-SM-5S2U9 60-69 years, male 2999.7
GTEX-145MO-2826-SM-5LU96 60-69 years, male 2996.6
GTEX-14PJ2-0626-SM-6LLII 50-59 years, male 2988.1
GTEX-12WSL-2026-SM-5GCML 50-59 years, male 2972.4
GTEX-ZZ64-1026-SM-5GZXG 20-29 years, male 2966.4
GTEX-1HCU9-0426-SM-9WYSD 20-29 years, male 2965.5
GTEX-1H1E6-0426-SM-9WYUS 30-39 years, male 2949.7
GTEX-14JG6-1426-SM-9WG7C 30-39 years, female 2946.4
GTEX-1EWIQ-0326-SM-7DHMQ 70-79 years, female 2942.0
GTEX-1S83E-1326-SM-E6CJM 40-49 years, male 2928.9
GTEX-1IDJC-1526-SM-B2LW4 50-59 years, male 2921.3
GTEX-WHPG-2626-SM-3NMBR 50-59 years, male 2917.3
GTEX-18A7A-0126-SM-731AH 50-59 years, female 2896.6
GTEX-17JCI-2926-SM-7DUFF 60-69 years, female 2879.8
GTEX-183FY-1026-SM-7939A 20-29 years, male 2876.8
GTEX-ZLWG-0826-SM-59888 50-59 years, female 2869.0
GTEX-1F75B-0726-SM-7PC3R 50-59 years, male 2868.2
GTEX-111FC-2526-SM-5GZXU 60-69 years, male 2867.6
GTEX-17F9Y-0126-SM-79OKX 70-79 years, female 2829.3
GTEX-ZTSS-1426-SM-5985P 40-49 years, male 2827.8
GTEX-11EI6-2826-SM-5H11D 60-69 years, male 2819.0
GTEX-1GF9X-1326-SM-7PC2Y 40-49 years, female 2804.0
GTEX-1314G-1326-SM-5BC6E 30-39 years, male 2791.6
GTEX-1L5NE-1126-SM-D3L9P 50-59 years, male 2757.9
GTEX-1C475-1326-SM-7SB73 40-49 years, female 2745.5
GTEX-13JUV-2026-SM-5K7UA 40-49 years, female 2719.7
GTEX-15RJ7-2126-SM-6PAMD 40-49 years, male 2655.0
GTEX-WEY5-2326-SM-3GIKK 40-49 years, female 2617.6
GTEX-1H3NZ-2726-SM-9WYTQ 60-69 years, male 2604.9
GTEX-YF7O-1526-SM-5IFI6 50-59 years, male 2590.7
GTEX-1A3MX-2626-SM-7PC24 60-69 years, male 2557.8
GTEX-ZUA1-2626-SM-5NQ92 40-49 years, male 2519.2
GTEX-WYBS-0626-SM-3NMAS 60-69 years, female 2517.4
GTEX-ZT9W-1126-SM-57WDR 50-59 years, male 2461.7
GTEX-1IDJE-1426-SM-ADEIW 50-59 years, female 2445.0
GTEX-1GN1W-2426-SM-9KNUU 50-59 years, female 2412.1
GTEX-1GF9U-2026-SM-7SB92 40-49 years, female 2339.1
GTEX-WYVS-1626-SM-3NM9R 40-49 years, female 2321.4
GTEX-VJYA-1526-SM-3GIJV 60-69 years, male 2084.6
GTEX-18A66-0626-SM-7LT8Z 60-69 years, male 2040.1
Show allShow less
Skin - Sun Exposed (Lower leg)
Average nTPM: 4401.5
Samples: 701

Max nTPM: 10462.8
Min nTPM: 1877.3
Std nTPM: 1275.9
Median nTPM: 4193.7
GTEX-15UF6-0826-SM-6PALJ 70-79 years, female 10462.8
GTEX-1399U-2326-SM-5K7WY 50-59 years, female 10095.0
GTEX-1JMLX-0226-SM-CM2RO 50-59 years, male 9847.9
GTEX-11UD1-0126-SM-5PNYG 40-49 years, female 9628.8
GTEX-15SB6-1726-SM-6PAME 50-59 years, female 9227.6
GTEX-W5X1-3026-SM-EAZAX 40-49 years, female 9187.1
GTEX-1JMQL-0226-SM-CNPP5 50-59 years, female 8759.8
GTEX-1HSMO-0126-SM-CL547 60-69 years, male 8704.4
GTEX-1M5QR-1226-SM-EWROB 40-49 years, male 8376.4
GTEX-1OJC3-0126-SM-E76QX 20-29 years, male 8358.2
GTEX-ZVTK-0426-SM-51MRS 20-29 years, male 8297.2
GTEX-Y5V6-2426-SM-4VDSB 60-69 years, male 8180.5
GTEX-117XS-2726-SM-5N9BL 60-69 years, male 8001.5
GTEX-Z93T-0126-SM-5HL5N 50-59 years, male 7973.1
GTEX-WI4N-1026-SM-3LK7N 40-49 years, female 7938.7
GTEX-14E6C-0126-SM-5RQIP 40-49 years, male 7936.7
GTEX-RVPV-0126-SM-EAZAW 60-69 years, male 7919.1
GTEX-O5YT-0126-SM-48TBW 20-29 years, male 7849.6
GTEX-131XE-2326-SM-5PNZ2 50-59 years, male 7844.2
GTEX-Y3IK-2426-SM-4WWDU 50-59 years, female 7798.7
GTEX-POMQ-2226-SM-2I5FK 20-29 years, female 7689.6
GTEX-1QAET-0926-SM-E76QM 50-59 years, male 7486.6
GTEX-1122O-2126-SM-5EGIR 60-69 years, female 7314.3
GTEX-13NYB-2526-SM-5K7Z6 40-49 years, male 7227.6
GTEX-139TS-2826-SM-5J1OO 60-69 years, male 7216.9
GTEX-1QP9N-1426-SM-DTXFL 30-39 years, male 7168.2
GTEX-1PIIG-0226-SM-EWRN6 30-39 years, male 7124.4
GTEX-1JMPZ-0226-SM-CNPP1 30-39 years, male 7123.6
GTEX-1MJK2-0426-SM-DTXE5 50-59 years, male 7017.1
GTEX-1PFEY-1526-SM-E76PP 30-39 years, male 7002.1
GTEX-P4PP-0126-SM-3LK69 30-39 years, female 6910.1
GTEX-14753-0426-SM-5NQAM 60-69 years, male 6896.9
GTEX-1JN1M-0326-SM-CYPT3 60-69 years, female 6771.4
GTEX-13PDP-0126-SM-5L3HD 60-69 years, male 6731.7
GTEX-11DYG-0126-SM-59883 60-69 years, male 6672.5
GTEX-1LGOU-2026-SM-DIPFF 20-29 years, female 6664.2
GTEX-X8HC-0126-SM-4E3JW 50-59 years, female 6657.4
GTEX-1C6VQ-0126-SM-7P8RI 50-59 years, male 6636.8
GTEX-ZF3C-0126-SM-DO92D 50-59 years, female 6635.2
GTEX-13FXS-0226-SM-5IJCK 50-59 years, male 6588.8
GTEX-Y8DK-0126-SM-4TT3L 60-69 years, male 6547.3
GTEX-X4XX-0126-SM-3NMC2 60-69 years, male 6541.1
GTEX-145LS-0126-SM-5QGP1 60-69 years, female 6470.4
GTEX-ZVZO-0126-SM-5A5L9 40-49 years, male 6451.7
GTEX-1KANC-1526-SM-D3LAB 50-59 years, female 6426.1
GTEX-OIZG-0726-SM-33HBL 50-59 years, male 6384.3
GTEX-145MN-2226-SM-5SIAU 30-39 years, male 6367.2
GTEX-1R9PM-2026-SM-E76OY 20-29 years, male 6353.4
GTEX-12WSA-0226-SM-5BC5V 60-69 years, male 6349.1
GTEX-ZPIC-1726-SM-DHXIU 40-49 years, female 6340.1
GTEX-T6MN-0126-SM-32PLP 50-59 years, male 6324.8
GTEX-ZYFG-2326-SM-5E44B 60-69 years, female 6320.8
GTEX-1497J-2426-SM-7IGNX 60-69 years, male 6310.1
GTEX-1KWVE-1426-SM-E9TJO 30-39 years, male 6309.1
GTEX-RTLS-0126-SM-447CA 60-69 years, female 6293.1
GTEX-1H1CY-2826-SM-9MQM3 60-69 years, female 6291.0
GTEX-13NZ8-0826-SM-5MR3I 60-69 years, female 6235.8
GTEX-U412-0426-SM-3DB9O 60-69 years, male 6213.1
GTEX-1IKK5-0626-SM-ARL8A 60-69 years, male 6208.3
GTEX-14JG1-0426-SM-6ETZZ 40-49 years, male 6156.0
GTEX-UJHI-1526-SM-3DB99 50-59 years, female 6141.6
GTEX-1PDJ9-0326-SM-DTX95 20-29 years, male 6134.7
GTEX-1K2DU-2326-SM-E9TIV 20-29 years, male 6131.5
GTEX-TML8-1926-SM-32QOS 40-49 years, female 6101.7
GTEX-1HGF4-2426-SM-ACKXM 60-69 years, male 6099.2
GTEX-1LBAC-0126-SM-DIPEZ 20-29 years, male 6065.9
GTEX-145LT-1726-SM-5QGP3 40-49 years, male 6053.9
GTEX-12WSE-0526-SM-793B2 20-29 years, male 6037.6
GTEX-15RIG-0226-SM-7KFTL 40-49 years, male 6034.8
GTEX-O5YW-0126-SM-3LK6D 50-59 years, male 6029.6
GTEX-1HBPM-0226-SM-ARL9F 60-69 years, female 6019.5
GTEX-16MT8-0426-SM-7KUEY 60-69 years, female 6005.9
GTEX-SN8G-0126-SM-32PLI 50-59 years, female 5992.2
GTEX-X5EB-2226-SM-46MW4 40-49 years, male 5980.2
GTEX-OIZH-0126-SM-2HMIS 50-59 years, male 5963.7
GTEX-1HB9E-0226-SM-E9U4R 50-59 years, male 5932.2
GTEX-1O97I-0326-SM-EYYX7 60-69 years, male 5900.1
GTEX-NPJ8-0126-SM-2YUNR 40-49 years, male 5898.6
GTEX-183WM-0126-SM-7LTAB 70-79 years, female 5877.7
GTEX-18D9A-1926-SM-7LG6P 30-39 years, female 5870.2
GTEX-144FL-0126-SM-5TDC8 50-59 years, male 5855.8
GTEX-1LB8K-0226-SM-EWRNW 50-59 years, male 5843.7
GTEX-1NV5F-0226-SM-E8VNY 60-69 years, female 5814.7
GTEX-ZAJG-0126-SM-5HL94 50-59 years, female 5809.9
GTEX-13NZB-2526-SM-5J1OM 30-39 years, male 5807.2
GTEX-13FHP-0126-SM-5IJBG 50-59 years, male 5801.8
GTEX-1PWST-0226-SM-E76QJ 70-79 years, male 5795.8
GTEX-U8T8-0126-SM-3DB94 60-69 years, male 5758.4
GTEX-1IDJH-0326-SM-A9SLQ 70-79 years, male 5753.7
GTEX-Q2AH-1626-SM-3GAF8 40-49 years, male 5718.8
GTEX-S33H-1026-SM-EZ6L6 30-39 years, male 5713.0
GTEX-1I1GV-0526-SM-A9G29 60-69 years, male 5706.3
GTEX-1OFPY-2426-SM-DTXEJ 60-69 years, male 5704.6
GTEX-1MA7W-2026-SM-E9TJ6 20-29 years, female 5704.4
GTEX-1S5ZA-0126-SM-EVYCV 20-29 years, male 5664.2
GTEX-1ICLZ-0126-SM-CKZPO 60-69 years, male 5659.0
GTEX-1B8SF-1426-SM-7DUGL 60-69 years, male 5655.5
GTEX-1IOXB-0126-SM-ARL8G 50-59 years, male 5652.3
GTEX-1MCQQ-0826-SM-DLHC2 60-69 years, male 5651.2
GTEX-11UD2-0226-SM-5EQKY 50-59 years, male 5647.5
GTEX-13OVI-1426-SM-5L3EY 60-69 years, female 5623.5
GTEX-1JMQJ-0526-SM-CYPSU 50-59 years, male 5620.5
GTEX-PWCY-1826-SM-DHXIZ 20-29 years, female 5604.0
GTEX-11H98-0126-SM-5EGHG 50-59 years, male 5596.5
GTEX-145MO-0326-SM-5Q5B3 60-69 years, male 5571.0
GTEX-14PII-0226-SM-6EU1T 60-69 years, male 5566.1
GTEX-17JCI-0126-SM-7LG5G 60-69 years, female 5565.5
GTEX-13PVR-2326-SM-5QGR1 60-69 years, female 5526.3
GTEX-1LC47-0326-SM-E9TJP 60-69 years, male 5518.8
GTEX-X585-0226-SM-4QAS2 50-59 years, male 5477.4
GTEX-ZYFC-0226-SM-5NQ75 50-59 years, male 5476.7
GTEX-1CAMS-0426-SM-7P8T2 40-49 years, female 5464.5
GTEX-ZWKS-0126-SM-5SIAA 30-39 years, male 5460.1
GTEX-18QFQ-0126-SM-731BE 30-39 years, male 5451.8
GTEX-1JKYR-0126-SM-CNPOJ 20-29 years, male 5420.6
GTEX-1H1ZS-0426-SM-9WG6G 70-79 years, male 5401.8
GTEX-111FC-0126-SM-5N9DL 60-69 years, male 5395.9
GTEX-P4QT-0126-SM-2I3FL 50-59 years, female 5395.8
GTEX-TMZS-0126-SM-3DB9Q 60-69 years, male 5376.5
GTEX-1S83E-0126-SM-EWRO4 40-49 years, male 5376.2
GTEX-15ETS-0126-SM-7KUMW 40-49 years, female 5372.8
GTEX-145ME-1826-SM-5SI9G 40-49 years, female 5368.4
GTEX-1K2DA-1826-SM-CGQGT 50-59 years, male 5367.5
GTEX-1GZ2Q-0226-SM-7P8TL 40-49 years, male 5360.6
GTEX-14PK6-1926-SM-6ETZU 70-79 years, female 5355.6
GTEX-131XH-2226-SM-5DUXJ 50-59 years, male 5350.4
GTEX-1HCVE-0126-SM-CGQEU 50-59 years, male 5335.2
GTEX-1CAV2-2226-SM-7P8P2 40-49 years, female 5322.7
GTEX-1LG7Z-1726-SM-D3LA4 30-39 years, male 5313.2
GTEX-X88G-0126-SM-47JZ3 30-39 years, male 5303.5
GTEX-13OW8-1326-SM-5J1OW 60-69 years, male 5287.5
GTEX-14PN4-0126-SM-6EU2V 50-59 years, male 5283.1
GTEX-12126-0326-SM-5PNW3 20-29 years, male 5282.3
GTEX-Y5LM-1926-SM-5RQJH 40-49 years, female 5278.8
GTEX-SUCS-1926-SM-32PM3 70-79 years, male 5277.0
GTEX-13NYS-0126-SM-5MR3W 60-69 years, male 5255.5
GTEX-YFC4-0126-SM-5CVLY 40-49 years, female 5254.1
GTEX-T2YK-0526-SM-32QPJ 50-59 years, male 5249.6
GTEX-1I1GQ-0126-SM-COH3H 50-59 years, male 5235.8
GTEX-18D9U-0226-SM-718BP 40-49 years, male 5234.0
GTEX-PSDG-0226-SM-DKPOZ 50-59 years, male 5232.3
GTEX-11GSO-2426-SM-5A5LY 60-69 years, male 5227.6
GTEX-1JMPY-1326-SM-ARL8Y 30-39 years, male 5200.7
GTEX-ZV68-0126-SM-59HKS 50-59 years, female 5196.6
GTEX-ZYY3-0126-SM-5GZY5 60-69 years, female 5187.5
GTEX-1GF9W-0326-SM-9KNUN 60-69 years, male 5175.6
GTEX-ZAB4-0226-SM-5N9F5 40-49 years, male 5156.5
GTEX-Y114-2426-SM-4TT8A 50-59 years, female 5155.5
GTEX-1GTWX-0126-SM-9YFLK 60-69 years, male 5154.7
GTEX-13FTW-2626-SM-5K7WL 40-49 years, male 5147.6
GTEX-17HII-0226-SM-7LG4E 50-59 years, male 5147.1
GTEX-Z93S-0126-SM-5HL7M 50-59 years, male 5141.4
GTEX-13FHO-0226-SM-5IFGY 60-69 years, male 5135.9
GTEX-YJ89-0126-SM-4TT3X 60-69 years, male 5115.0
GTEX-145MF-0626-SM-5LUAI 50-59 years, male 5113.1
GTEX-QDVN-2026-SM-3GAEP 50-59 years, male 5111.9
GTEX-1CAMQ-0226-SM-7IGPK 40-49 years, male 5105.1
GTEX-1JMQK-0226-SM-CL543 60-69 years, male 5100.1
GTEX-13RTK-1426-SM-5QGQJ 20-29 years, male 5093.3
GTEX-1LGRB-2526-SM-CNPPQ 50-59 years, female 5089.0
GTEX-1RB15-2126-SM-E9TIM 60-69 years, male 5083.9
GTEX-1LG7Y-0526-SM-DKPQC 50-59 years, male 5074.3
GTEX-S95S-1226-SM-4GICG 60-69 years, male 5064.2
GTEX-13OVH-0126-SM-5MR4B 70-79 years, male 5049.7
GTEX-1QMI2-0226-SM-EVYBX 60-69 years, male 5047.2
GTEX-1A3MW-0126-SM-73KXX 60-69 years, female 5039.2
GTEX-14ICK-0226-SM-6EU25 40-49 years, male 5030.6
GTEX-1N2DW-0226-SM-E9TK2 50-59 years, male 5030.6
GTEX-1J1OQ-0226-SM-CYPSH 40-49 years, female 5029.9
GTEX-1JMQI-2226-SM-CM2SD 50-59 years, male 5016.7
GTEX-1KD4Q-0226-SM-E9TJ9 40-49 years, male 5006.8
GTEX-NFK9-0226-SM-2HMKQ 40-49 years, male 4996.5
GTEX-13JUV-2726-SM-5LZZ8 40-49 years, female 4995.9
GTEX-1JN6P-0126-SM-D3L98 60-69 years, male 4991.1
GTEX-1CB4E-2226-SM-793DC 60-69 years, male 4989.0
GTEX-1F5PL-0326-SM-7P8PQ 40-49 years, female 4985.7
GTEX-1PPH8-0226-SM-E8VND 20-29 years, male 4982.0
GTEX-XBEW-0626-SM-4QASP 40-49 years, male 4975.7
GTEX-1R46S-0626-SM-E9J41 60-69 years, female 4974.6
GTEX-13O3Q-2426-SM-5IJBR 50-59 years, male 4974.5
GTEX-S7SE-0126-SM-2XCD5 50-59 years, male 4972.6
GTEX-1212Z-2526-SM-5EGKP 60-69 years, male 4971.0
GTEX-1MGNQ-0126-SM-EVYCJ 40-49 years, male 4963.6
GTEX-PLZ6-1426-SM-DKPOT 30-39 years, male 4961.9
GTEX-133LE-1826-SM-5J1MV 20-29 years, female 4956.0
GTEX-1H4P4-0726-SM-9YFLR 50-59 years, male 4954.7
GTEX-14DAR-2026-SM-5S2O3 50-59 years, male 4949.1
GTEX-14E6D-0126-SM-62LDV 50-59 years, male 4944.2
GTEX-17MF6-0126-SM-7LG4F 40-49 years, male 4944.1
GTEX-12ZZZ-0626-SM-5DUXI 60-69 years, male 4943.3
GTEX-1QP66-1726-SM-E8VO1 50-59 years, male 4919.0
GTEX-1S3DN-2226-SM-EVYCD 50-59 years, male 4918.0
GTEX-ZVT2-2526-SM-51MT1 50-59 years, female 4909.5
GTEX-1EWIQ-0126-SM-7RHH2 70-79 years, female 4909.5
GTEX-13FTY-0526-SM-5L3EV 40-49 years, female 4901.3
GTEX-15ER7-0326-SM-7KUEV 20-29 years, female 4894.8
GTEX-1AX9J-0226-SM-73KXM 60-69 years, male 4893.8
GTEX-ZVZP-2426-SM-59HKJ 50-59 years, male 4893.7
GTEX-1HSGN-0226-SM-CGQFV 40-49 years, female 4889.4
GTEX-13O3P-0126-SM-5KM4S 50-59 years, male 4883.6
GTEX-169BO-1326-SM-9MQK2 50-59 years, male 4877.5
GTEX-1313W-0126-SM-5LZUN 50-59 years, female 4877.3
GTEX-1R7EV-2426-SM-EVYBG 40-49 years, male 4873.0
GTEX-1I1GT-0626-SM-CGQER 60-69 years, female 4856.3
GTEX-18A7B-0126-SM-7LG64 70-79 years, male 4855.0
GTEX-1HFI6-0226-SM-ADEHZ 40-49 years, male 4850.5
GTEX-1HCU8-0626-SM-A9SM9 60-69 years, female 4848.2
GTEX-U8XE-0326-SM-3DB8P 30-39 years, male 4848.1
GTEX-1N2EF-0226-SM-EYYXB 60-69 years, male 4845.2
GTEX-1GZHY-0326-SM-9QEHI 50-59 years, female 4844.0
GTEX-1E2YA-0126-SM-9KNUC 50-59 years, male 4843.6
GTEX-SIU8-0126-SM-2XCDT 50-59 years, male 4836.3
GTEX-13IVO-0126-SM-5J1NG 70-79 years, male 4830.1
GTEX-13N11-2526-SM-5K7UE 50-59 years, female 4823.0
GTEX-131XF-5016-SM-7MGWE 60-69 years, male 4821.0
GTEX-S32W-2126-SM-2XCB1 50-59 years, female 4808.2
GTEX-XYKS-2126-SM-4E3IB 60-69 years, female 4799.6
GTEX-XPVG-2626-SM-4B669 50-59 years, male 4798.1
GTEX-ZE9C-2726-SM-57WB5 60-69 years, male 4795.2
GTEX-QESD-1426-SM-2S1R9 20-29 years, male 4786.4
GTEX-117YW-2626-SM-5GZZH 50-59 years, male 4785.0
GTEX-16YQH-0126-SM-7DUFJ 30-39 years, male 4784.8
GTEX-1J1R8-1726-SM-ARL8M 40-49 years, male 4782.7
GTEX-X4EP-0126-SM-3P5YV 60-69 years, female 4780.1
GTEX-T2IS-0126-SM-4DM6O 20-29 years, female 4773.7
GTEX-ZV6S-2326-SM-4YCEY 40-49 years, female 4772.5
GTEX-11WQK-0526-SM-5EQLD 50-59 years, male 4770.8
GTEX-Y8E4-0626-SM-4WWDL 40-49 years, male 4762.9
GTEX-1L5NE-2526-SM-E6CIE 50-59 years, male 4761.5
GTEX-X4XY-0226-SM-4E3IZ 60-69 years, male 4743.5
GTEX-14PJ6-2126-SM-6EU1V 60-69 years, female 4739.9
GTEX-11EQ9-2426-SM-5HL5T 30-39 years, male 4738.7
GTEX-1M4P7-0226-SM-DIPEV 60-69 years, male 4734.7
GTEX-14JG6-2226-SM-6EU2G 30-39 years, female 4726.1
GTEX-13X6J-0126-SM-5QGOU 50-59 years, male 4724.7
GTEX-1HSKV-0226-SM-A9SKJ 60-69 years, male 4724.5
GTEX-1IDJF-0126-SM-CM2RS 20-29 years, male 4715.8
GTEX-PWO3-1526-SM-48TCM 60-69 years, female 4710.7
GTEX-1211K-2026-SM-5EQ4Z 60-69 years, female 4708.3
GTEX-139UW-2826-SM-5L3E7 60-69 years, male 4707.3
GTEX-1GN2E-0426-SM-9MQKX 60-69 years, male 4698.4
GTEX-1B8KE-2126-SM-73KYX 50-59 years, male 4694.7
GTEX-Y111-0126-SM-4SOIV 50-59 years, male 4694.5
GTEX-1GF9U-2126-SM-7SB7L 40-49 years, female 4694.1
GTEX-12ZZY-0226-SM-5LZVE 60-69 years, male 4691.8
GTEX-X261-0126-SM-3NMD6 50-59 years, male 4690.2
GTEX-1KAFJ-2026-SM-CY8ID 50-59 years, male 4679.4
GTEX-1IKJJ-0126-SM-CNPQB 60-69 years, male 4677.6
GTEX-QV44-1926-SM-2S1RF 50-59 years, male 4669.7
GTEX-11DXZ-2326-SM-5EGGV 50-59 years, male 4669.2
GTEX-1GPI7-0126-SM-9MQL8 20-29 years, male 4661.5
GTEX-1B8SG-0126-SM-73KZ3 50-59 years, male 4659.0
GTEX-1KXAM-2226-SM-CYPTC 60-69 years, male 4658.0
GTEX-1LVAN-0226-SM-COH3S 50-59 years, female 4657.4
GTEX-11ZTS-0126-SM-5EQ6M 60-69 years, female 4643.7
GTEX-13CF3-2426-SM-5IFGX 60-69 years, female 4619.6
GTEX-1R9K4-0126-SM-DTX9X 60-69 years, male 4604.0
GTEX-14XAO-2326-SM-6EU1B 60-69 years, female 4602.6
GTEX-ZDTS-0126-SM-4WAY5 60-69 years, male 4598.0
GTEX-132NY-0326-SM-5IJBL 60-69 years, male 4597.9
GTEX-WFON-2126-SM-3LK7O 40-49 years, male 4594.3
GTEX-ZYT6-0226-SM-5NQ6T 30-39 years, male 4578.6
GTEX-1HT8W-0126-SM-CNPPP 30-39 years, male 4577.7
GTEX-XQ3S-1526-SM-4BOOC 20-29 years, male 4575.4
GTEX-1LH75-2426-SM-E9TJE 50-59 years, female 4571.3
GTEX-1EX96-1626-SM-7PBXR 50-59 years, male 4557.7
GTEX-1IL2V-0126-SM-CM2TX 70-79 years, male 4547.4
GTEX-WZTO-0126-SM-3NM95 40-49 years, male 4539.7
GTEX-ZDYS-2026-SM-5HL5L 50-59 years, male 4537.9
GTEX-1RDX4-0126-SM-E9J4P 50-59 years, female 4531.7
GTEX-14A5H-0426-SM-5QGQF 60-69 years, male 4530.6
GTEX-1MUQO-0126-SM-EAZ58 60-69 years, male 4522.9
GTEX-1S82Y-2026-SM-EVYCM 40-49 years, male 4521.9
GTEX-1H3VE-0326-SM-9YFLH 40-49 years, male 4512.5
GTEX-15EU6-0426-SM-6PAN5 50-59 years, male 4509.1
GTEX-1H1DG-0126-SM-9WYU2 70-79 years, male 4508.6
GTEX-14E6E-1826-SM-5S2R7 30-39 years, male 4507.4
GTEX-WVJS-0126-SM-4MVOT 50-59 years, male 4495.8
GTEX-TSE9-0126-SM-3DB83 60-69 years, female 4486.6
GTEX-1GMRU-0126-SM-9YFLV 50-59 years, male 4486.4
GTEX-14BMU-2226-SM-5TDE9 20-29 years, female 4477.8
GTEX-1C4CL-0526-SM-73KVK 30-39 years, male 4477.8
GTEX-1EMGI-0126-SM-9KNUE 60-69 years, male 4475.5
GTEX-1A3MX-0126-SM-731BR 60-69 years, male 4470.0
GTEX-1KANA-0726-SM-D3L9I 20-29 years, male 4469.8
GTEX-11DXW-0226-SM-5H122 40-49 years, male 4467.5
GTEX-1GZ4H-1726-SM-7PBZJ 50-59 years, female 4466.4
GTEX-1GF9V-0326-SM-7RHI5 60-69 years, male 4460.8
GTEX-1JN76-0126-SM-CNPPE 20-29 years, female 4459.7
GTEX-1399T-2826-SM-5KLYZ 60-69 years, male 4459.3
GTEX-1F6RS-0126-SM-9MQKZ 60-69 years, female 4457.6
GTEX-1QPFJ-0226-SM-E76PB 30-39 years, female 4455.8
GTEX-15EOM-0126-SM-7KUGG 20-29 years, female 4442.5
GTEX-1GMR3-1926-SM-9KNUZ 40-49 years, male 4439.9
GTEX-13RTL-0126-SM-7LG5S 40-49 years, male 4436.0
GTEX-16XZZ-0126-SM-793DV 60-69 years, male 4434.8
GTEX-XUZC-1726-SM-4BRWS 30-39 years, female 4423.4
GTEX-18465-0126-SM-731BN 50-59 years, male 4417.3
GTEX-17HHY-0126-SM-7LG5D 50-59 years, male 4412.3
GTEX-ZGAY-0526-SM-4WWBB 40-49 years, female 4411.7
GTEX-ZTX8-1426-SM-5DUVO 20-29 years, male 4406.9
GTEX-17F98-0626-SM-79OMX 40-49 years, female 4402.4
GTEX-1IDFM-0126-SM-COH2V 60-69 years, male 4400.1
GTEX-13CF2-2526-SM-5LZYX 60-69 years, male 4396.5
GTEX-1H3O1-0426-SM-9YFKY 60-69 years, male 4396.1
GTEX-13X6H-2126-SM-7EWD5 50-59 years, female 4386.6
GTEX-15D1Q-0126-SM-7KUG6 40-49 years, male 4375.7
GTEX-131XG-2626-SM-5KM17 50-59 years, female 4375.5
GTEX-14PHX-2326-SM-62LEM 50-59 years, male 4371.0
GTEX-XUYS-0126-SM-47JWZ 50-59 years, male 4366.9
GTEX-WH7G-2326-SM-3NMBC 40-49 years, male 4366.4
GTEX-1CB4I-0226-SM-79OLH 50-59 years, male 4356.7
GTEX-1J8EW-0126-SM-CJI4F 60-69 years, female 4354.3
GTEX-1C64N-0126-SM-793D7 50-59 years, male 4351.8
GTEX-1JJEA-0326-SM-CNPOT 60-69 years, male 4351.8
GTEX-1HCU6-0126-SM-CL54K 60-69 years, female 4350.5
GTEX-12696-2426-SM-5EQ6H 60-69 years, male 4348.1
GTEX-1R7EU-0226-SM-EVR4G 60-69 years, male 4346.4
GTEX-13VXU-0126-SM-5SI9F 50-59 years, male 4336.2
GTEX-XXEK-2226-SM-4BRUM 50-59 years, male 4335.9
GTEX-T5JC-0426-SM-32PLO 20-29 years, male 4334.8
GTEX-ZY6K-1826-SM-5GZXK 50-59 years, male 4326.2
GTEX-WFG8-2226-SM-3GIL9 20-29 years, male 4321.4
GTEX-1HBPN-0226-SM-9YFM1 50-59 years, male 4316.7
GTEX-1QCLY-0326-SM-E8VOG 30-39 years, male 4315.0
GTEX-1F75A-0126-SM-7RHGM 50-59 years, male 4310.4
GTEX-1POEN-0126-SM-EYYXJ 30-39 years, female 4309.4
GTEX-1HBPI-1526-SM-C1YQ1 50-59 years, male 4292.2
GTEX-18D9B-0526-SM-7LTAS 60-69 years, male 4292.1
GTEX-13U4I-0126-SM-5LU38 40-49 years, female 4291.5
GTEX-P4PQ-0126-SM-2S1NM 60-69 years, male 4287.8
GTEX-OXRO-0126-SM-2YUN4 60-69 years, female 4283.2
GTEX-YB5E-2026-SM-5IFIS 40-49 years, male 4279.5
GTEX-ZVT4-0126-SM-DTXFN 50-59 years, female 4278.6
GTEX-1A32A-0126-SM-718B1 50-59 years, female 4277.7
GTEX-1I1GP-2226-SM-CGQFK 50-59 years, male 4274.1
GTEX-139T8-0126-SM-5K7XZ 60-69 years, male 4264.0
GTEX-XMD2-0126-SM-4YCDU 60-69 years, female 4260.7
GTEX-1RLM8-2326-SM-EWRN4 50-59 years, male 4258.8
GTEX-1EU9M-0226-SM-7P8SP 60-69 years, male 4252.1
GTEX-14BIN-0626-SM-793DP 50-59 years, female 4248.0
GTEX-1J8Q2-0526-SM-CM2RW 60-69 years, male 4237.2
GTEX-1B8L1-2526-SM-9WYTF 60-69 years, male 4228.6
GTEX-17MFQ-1726-SM-793C7 20-29 years, male 4227.6
GTEX-15DDE-0126-SM-6LPKH 50-59 years, female 4218.0
GTEX-XQ8I-0426-SM-4BOPO 50-59 years, male 4217.0
GTEX-1F7RK-0126-SM-7PC2S 20-29 years, female 4205.7
GTEX-1JJE9-0326-SM-CL53Z 70-79 years, male 4201.7
GTEX-YB5K-2126-SM-4WWDJ 40-49 years, female 4194.7
GTEX-13RTJ-2426-SM-5S2Q2 60-69 years, male 4194.0
GTEX-16BQI-0226-SM-7KUEX 30-39 years, female 4193.7
GTEX-WXYG-2326-SM-4E3I6 50-59 years, female 4192.6
GTEX-ZYFD-0126-SM-5GIDL 50-59 years, male 4170.9
GTEX-X4EO-0326-SM-3P5YO 60-69 years, female 4168.1
GTEX-131YS-0126-SM-5KM1M 60-69 years, female 4167.6
GTEX-R45C-0126-SM-EAZ2R 60-69 years, female 4164.5
GTEX-14LZ3-0226-SM-62LET 60-69 years, female 4164.4
GTEX-QEG4-0226-SM-2S1PY 30-39 years, male 4163.9
GTEX-1IKOH-0226-SM-COH4E 60-69 years, female 4163.7
GTEX-ZXES-1826-SM-5E43S 30-39 years, female 4163.4
GTEX-Y5V5-2326-SM-4V6GA 60-69 years, female 4162.3
GTEX-ZAK1-0126-SM-5IJD3 50-59 years, female 4155.2
GTEX-13OVK-2026-SM-7KUEO 40-49 years, male 4150.8
GTEX-1CB4H-0226-SM-7PBXM 60-69 years, female 4149.6
GTEX-1GN73-0226-SM-9WG67 60-69 years, male 4147.7
GTEX-14A5I-0126-SM-5TDEA 50-59 years, female 4146.8
GTEX-13W46-0226-SM-5SIAG 50-59 years, male 4146.5
GTEX-139D8-0226-SM-5KLZO 30-39 years, female 4141.3
GTEX-1AX8Z-0126-SM-7DHM6 60-69 years, male 4124.8
GTEX-1BAJH-0526-SM-793CQ 70-79 years, male 4122.5
GTEX-SSA3-0126-SM-32QPU 60-69 years, male 4121.5
GTEX-PX3G-0126-SM-2I3EN 20-29 years, female 4121.1
GTEX-WY7C-2326-SM-3NB2U 50-59 years, male 4112.8
GTEX-1HCU9-1526-SM-A9SL7 20-29 years, male 4109.8
GTEX-13OW6-0426-SM-5L3HM 50-59 years, male 4109.1
GTEX-RWSA-0126-SM-2XCBB 40-49 years, male 4108.6
GTEX-1F52S-0126-SM-9MQJU 60-69 years, female 4108.3
GTEX-13SLW-0126-SM-5SI6C 70-79 years, male 4105.1
GTEX-13O21-1426-SM-5K7XI 50-59 years, male 4098.6
GTEX-13YAN-0326-SM-5O9DF 60-69 years, male 4097.1
GTEX-14BMV-0126-SM-5S2PO 50-59 years, male 4093.1
GTEX-1KANB-0526-SM-E6CJH 50-59 years, male 4088.5
GTEX-144GL-0126-SM-5TDE2 50-59 years, male 4086.8
GTEX-11TT1-2526-SM-5EGIB 20-29 years, male 4073.4
GTEX-13D11-2426-SM-5KM1V 50-59 years, female 4071.2
GTEX-WYJK-0126-SM-3NMAB 50-59 years, male 4066.2
GTEX-1B97I-1626-SM-73KYO 40-49 years, male 4063.6
GTEX-12WSJ-1826-SM-5GCNY 40-49 years, female 4059.7
GTEX-1HR98-0126-SM-B2LWI 60-69 years, male 4057.4
GTEX-VJWN-0126-SM-3GIK7 50-59 years, female 4054.0
GTEX-11LCK-1026-SM-5A5KB 30-39 years, male 4046.2
GTEX-11OC5-0126-SM-5HL6A 60-69 years, male 4045.7
GTEX-RNOR-0126-SM-E9J4R 50-59 years, female 4044.7
GTEX-1HSEH-0126-SM-ACKXN 60-69 years, male 4042.0
GTEX-ZU9S-0226-SM-5E441 30-39 years, male 4037.7
GTEX-15UKP-0426-SM-7KUFQ 20-29 years, male 4027.6
GTEX-ZDTT-2726-SM-4WKF8 60-69 years, male 4026.8
GTEX-OXRN-0126-SM-48TDM 50-59 years, male 4023.9
GTEX-12WSD-0126-SM-59HKN 60-69 years, female 4017.4
GTEX-13112-2826-SM-5DUWH 50-59 years, male 4015.2
GTEX-XUW1-0426-SM-4BOOT 50-59 years, female 4014.4
GTEX-WQUQ-0426-SM-3MJFU 60-69 years, male 4010.5
GTEX-111VG-2426-SM-5GZXD 60-69 years, male 3998.8
GTEX-17EVQ-0226-SM-7LG4P 70-79 years, male 3998.1
GTEX-12WSG-2826-SM-E9J4H 50-59 years, female 3997.8
GTEX-1399R-2726-SM-5IJBA 30-39 years, male 3995.3
GTEX-XAJ8-0826-SM-47JY6 40-49 years, male 3992.5
GTEX-1K9T9-0126-SM-EVYCF 50-59 years, female 3991.7
GTEX-1ICLY-0126-SM-D4P36 50-59 years, male 3989.2
GTEX-1B933-0126-SM-7PC29 50-59 years, female 3985.9
GTEX-13S7M-0126-SM-5SI6A 60-69 years, female 3983.7
GTEX-1H1DE-2126-SM-9WG6R 20-29 years, male 3976.4
GTEX-1HCUA-2426-SM-ADEIS 50-59 years, female 3974.8
GTEX-1IDJU-2626-SM-CM2RT 60-69 years, female 3974.6
GTEX-11DXY-2626-SM-5GIE7 60-69 years, male 3958.7
GTEX-13OVJ-0126-SM-5KM36 50-59 years, female 3956.7
GTEX-QVJO-1626-SM-2S1QW 60-69 years, female 3950.3
GTEX-13N2G-2626-SM-5J1OT 60-69 years, male 3950.2
GTEX-13OVL-0226-SM-5L3E9 50-59 years, male 3943.9
GTEX-145MI-0526-SM-5O9A8 60-69 years, female 3933.7
GTEX-148VJ-0126-SM-5TDDN 70-79 years, male 3932.8
GTEX-139TU-0126-SM-5K7WH 60-69 years, male 3931.2
GTEX-13QJ3-0326-SM-5S2RA 50-59 years, male 3921.9
GTEX-ZE7O-0126-SM-57WC1 50-59 years, female 3914.8
GTEX-1AYCT-2426-SM-7IGQ3 50-59 years, male 3914.3
GTEX-148VI-1626-SM-5SI6E 60-69 years, female 3909.9
GTEX-WYVS-2126-SM-3NMA3 40-49 years, female 3903.4
GTEX-1PIGE-0126-SM-EVYBJ 20-29 years, male 3900.6
GTEX-15DCD-0126-SM-7KUEK 70-79 years, female 3894.4
GTEX-13111-1626-SM-5EGJY 50-59 years, male 3892.8
GTEX-147F3-0526-SM-5SI98 50-59 years, female 3892.2
GTEX-WOFL-0126-SM-3MJG2 60-69 years, male 3882.9
GTEX-Y3I4-2126-SM-4TT7C 50-59 years, male 3869.1
GTEX-1JMOU-1526-SM-CL54I 60-69 years, female 3867.9
GTEX-14BIM-0226-SM-7IGLD 60-69 years, female 3863.2
GTEX-U3ZH-2026-SM-3DB78 30-39 years, male 3860.9
GTEX-1269C-2526-SM-5EGJ3 60-69 years, female 3860.7
GTEX-RM2N-1426-SM-2TF4H 50-59 years, male 3857.5
GTEX-Q2AG-0126-SM-33HBV 40-49 years, female 3853.7
GTEX-1QP29-0626-SM-EWRMX 50-59 years, male 3850.8
GTEX-15G19-0126-SM-6PANQ 60-69 years, male 3840.4
GTEX-1IGQW-0126-SM-COH42 60-69 years, male 3838.6
GTEX-1JJ6O-0126-SM-E6CI8 60-69 years, male 3834.2
GTEX-183FY-0126-SM-7LT9P 20-29 years, male 3830.7
GTEX-T5JW-1626-SM-3GADZ 20-29 years, female 3827.6
GTEX-146FQ-0126-SM-5NQA9 30-39 years, male 3825.2
GTEX-1GN1V-0126-SM-9WPOS 60-69 years, male 3823.5
GTEX-13FH7-2026-SM-E9J4I 50-59 years, female 3822.0
GTEX-147F4-0226-SM-5QGPW 50-59 years, male 3815.7
GTEX-16NGA-1726-SM-731B4 40-49 years, female 3814.9
GTEX-15SHU-0126-SM-7KUEH 40-49 years, female 3809.4
GTEX-X638-0126-SM-47JZ8 70-79 years, female 3803.9
GTEX-1IL2U-0226-SM-CE6T8 60-69 years, male 3803.4
GTEX-OOBJ-0126-SM-E6CJW 60-69 years, male 3802.5
GTEX-146FH-0126-SM-5QGPP 50-59 years, female 3796.0
GTEX-1J8Q3-1626-SM-CMKGC 60-69 years, male 3795.7
GTEX-16NPX-0226-SM-79OMT 50-59 years, male 3793.0
GTEX-18A6Q-0126-SM-731BZ 60-69 years, male 3792.8
GTEX-1314G-1526-SM-5EGK2 30-39 years, male 3791.0
GTEX-17F96-1626-SM-7DUFL 70-79 years, male 3790.1
GTEX-17F97-0326-SM-7LG5B 50-59 years, male 3786.3
GTEX-UPJH-0326-SM-3GADU 50-59 years, male 3782.5
GTEX-17EVP-0326-SM-7DHLG 40-49 years, male 3771.9
GTEX-1PPH7-2326-SM-EVYB8 40-49 years, male 3759.1
GTEX-13SLX-0526-SM-5S2ON 50-59 years, female 3754.1
GTEX-17GQL-2026-SM-718BA 60-69 years, male 3750.9
GTEX-17HG3-2226-SM-7938L 30-39 years, female 3750.5
GTEX-1J8JJ-0226-SM-CL53I 60-69 years, female 3740.4
GTEX-1HSMP-0126-SM-E6CJS 70-79 years, male 3737.7
GTEX-ZC5H-0226-SM-4WAY9 40-49 years, female 3732.6
GTEX-1MCYP-1926-SM-E9J2R 20-29 years, female 3732.4
GTEX-1J8QM-2126-SM-CYPSJ 60-69 years, female 3728.3
GTEX-1GN1U-0126-SM-7PBZK 50-59 years, female 3726.0
GTEX-1AYD5-2426-SM-73KXR 50-59 years, male 3717.2
GTEX-1NHNU-1026-SM-E9J2A 50-59 years, male 3716.2
GTEX-13O3O-0126-SM-E9J49 60-69 years, female 3715.4
GTEX-1CB4J-0626-SM-7DHMP 60-69 years, male 3713.3
GTEX-13OW7-0126-SM-5MR3B 50-59 years, male 3707.1
GTEX-17HGU-0226-SM-7DHKV 50-59 years, male 3704.0
GTEX-ZF29-2326-SM-DO92K 60-69 years, female 3703.3
GTEX-11EMC-2926-SM-5EQ4F 60-69 years, female 3702.1
GTEX-113JC-2326-SM-5EQ4E 50-59 years, female 3697.7
GTEX-1I6K6-0126-SM-A9SLE 30-39 years, male 3696.9
GTEX-11ZU8-2526-SM-5EQKI 60-69 years, male 3691.3
GTEX-R3RS-0126-SM-3GIJL 40-49 years, female 3686.2
GTEX-11EM3-2426-SM-59861 20-29 years, female 3683.5
GTEX-S7PM-0126-SM-4AD6S 60-69 years, male 3683.3
GTEX-1A3MV-1926-SM-718BT 30-39 years, male 3681.1
GTEX-ZQUD-1426-SM-57WER 30-39 years, male 3680.1
GTEX-11GS4-2726-SM-5A5LE 60-69 years, male 3677.7
GTEX-T6MO-1626-SM-32QOM 40-49 years, female 3674.9
GTEX-11GSP-2526-SM-5N9BP 60-69 years, female 3671.3
GTEX-VUSG-2526-SM-4KL1V 50-59 years, male 3671.1
GTEX-1C64O-0126-SM-7SB8P 60-69 years, male 3667.7
GTEX-12WSC-0126-SM-5EQ4P 50-59 years, male 3665.3
GTEX-11DZ1-0126-SM-5985Q 50-59 years, male 3658.8
GTEX-12ZZX-0126-SM-5EGK9 40-49 years, female 3654.5
GTEX-11EI6-0126-SM-5985R 60-69 years, male 3652.0
GTEX-1I1CD-0126-SM-CM2TK 60-69 years, female 3649.9
GTEX-RWS6-2026-SM-2XCB5 60-69 years, female 3649.7
GTEX-1GF9X-2026-SM-7PC3A 40-49 years, female 3646.0
GTEX-1AMFI-2026-SM-731BH 50-59 years, female 3641.7
GTEX-15DYW-0126-SM-7KULE 60-69 years, female 3639.2
GTEX-ZQG8-1626-SM-DHXIT 60-69 years, female 3627.9
GTEX-1GPI6-0126-SM-9WG69 60-69 years, male 3621.8
GTEX-Q2AI-1326-SM-2S1PL 40-49 years, male 3620.7
GTEX-1H23P-0126-SM-ADEJ3 60-69 years, male 3620.7
GTEX-14C5O-0126-SM-5SI6N 60-69 years, male 3608.3
GTEX-1HKZK-0326-SM-9WYUH 40-49 years, male 3605.0
GTEX-YEC4-2126-SM-5IFJH 40-49 years, male 3600.2
GTEX-145LV-2126-SM-5LU8N 50-59 years, male 3598.2
GTEX-14LLW-0126-SM-6LLIO 70-79 years, female 3594.3
GTEX-13X6I-0626-SM-5QGP9 60-69 years, male 3592.5
GTEX-16GPK-0126-SM-7DHLE 60-69 years, male 3590.0
GTEX-OHPL-0126-SM-2HMJ7 60-69 years, female 3583.5
GTEX-11TTK-0126-SM-5987B 60-69 years, female 3578.9
GTEX-ZYW4-0126-SM-5E44A 60-69 years, male 3576.5
GTEX-147GR-0526-SM-5S2MY 60-69 years, male 3567.4
GTEX-11XUK-2026-SM-5EQLF 40-49 years, female 3566.6
GTEX-OXRK-0226-SM-3NB2G 50-59 years, female 3566.4
GTEX-1EN7A-0126-SM-7SB81 40-49 years, male 3566.4
GTEX-13W3W-2426-SM-5LU5B 60-69 years, female 3565.6
GTEX-1QEPI-0126-SM-EWRMQ 60-69 years, female 3562.3
GTEX-11OF3-2626-SM-5GU7F 60-69 years, male 3545.0
GTEX-131XW-0426-SM-5LZWP 50-59 years, female 3545.0
GTEX-1I1GU-2226-SM-CGQFA 40-49 years, male 3544.9
GTEX-1192W-2626-SM-5Q5AF 60-69 years, male 3544.1
GTEX-11TUW-2726-SM-E9J4M 60-69 years, male 3539.7
GTEX-1B996-0226-SM-7RHGO 60-69 years, male 3539.2
GTEX-14PJM-0226-SM-62LF1 50-59 years, female 3532.4
GTEX-1HCU7-0226-SM-CL545 50-59 years, male 3528.0
GTEX-1128S-2326-SM-5GZZY 60-69 years, female 3527.7
GTEX-XBED-2226-SM-47JYQ 60-69 years, male 3522.1
GTEX-14PHW-0126-SM-6LLJI 60-69 years, female 3518.1
GTEX-11ZVC-2526-SM-5FQTE 50-59 years, female 3499.1
GTEX-1F75B-0126-SM-9KNVL 50-59 years, male 3498.4
GTEX-13113-5016-SM-7EPIP 60-69 years, female 3498.2
GTEX-OXRP-0126-SM-3NB32 60-69 years, female 3489.5
GTEX-1ICG6-2526-SM-CGQFZ 70-79 years, female 3485.5
GTEX-U3ZM-1526-SM-3DB9D 40-49 years, male 3474.8
GTEX-TKQ1-1026-SM-4GICL 30-39 years, male 3465.2
GTEX-XV7Q-2526-SM-4BRV9 40-49 years, female 3456.7
GTEX-11NSD-2226-SM-5986V 20-29 years, male 3451.8
GTEX-QDT8-0126-SM-48TZ1 30-39 years, female 3446.7
GTEX-1JK1U-2026-SM-CM2RZ 60-69 years, male 3440.8
GTEX-18A7A-0226-SM-718BH 50-59 years, female 3430.9
GTEX-17HHE-2026-SM-79OKF 50-59 years, male 3430.1
GTEX-1H11D-0226-SM-9WG6Z 40-49 years, male 3428.3
GTEX-18A67-0126-SM-7LG5P 50-59 years, male 3424.9
GTEX-1AMEY-1326-SM-73KYK 30-39 years, female 3420.1
GTEX-T8EM-1026-SM-3DB7M 40-49 years, male 3415.8
GTEX-14PN3-2426-SM-6LLHS 60-69 years, female 3408.7
GTEX-SJXC-0126-SM-2XCFF 60-69 years, male 3408.0
GTEX-1CAMR-1926-SM-7EPI2 20-29 years, male 3407.0
GTEX-ZVT3-0126-SM-5GU6I 60-69 years, female 3397.3
GTEX-1I4MK-2226-SM-ACKWD 50-59 years, female 3391.6
GTEX-ZAB5-1826-SM-5HL7C 50-59 years, male 3390.1
GTEX-YJ8A-0426-SM-5IFID 20-29 years, male 3386.5
GTEX-13FTX-1826-SM-5J1NX 20-29 years, female 3384.5
GTEX-117YX-2326-SM-5H12W 50-59 years, male 3379.3
GTEX-W5WG-1826-SM-4KL2Y 50-59 years, female 3377.6
GTEX-1C6VR-2426-SM-79OLD 60-69 years, male 3371.1
GTEX-1LNCM-1126-SM-E9U5E 50-59 years, female 3370.6
GTEX-15CHC-2126-SM-6EU21 60-69 years, female 3364.5
GTEX-1KD5A-0226-SM-D5OV3 50-59 years, male 3361.2
GTEX-QDVJ-1726-SM-2I5FX 50-59 years, male 3355.1
GTEX-17KNJ-2326-SM-7DHLQ 50-59 years, male 3347.7
GTEX-1I1GR-0126-SM-CL55F 60-69 years, male 3347.3
GTEX-SNMC-1226-SM-2XCFP 20-29 years, male 3343.5
GTEX-1CB4G-0226-SM-7PC3O 60-69 years, male 3341.1
GTEX-145LU-0126-SM-5TDCB 50-59 years, male 3324.6
GTEX-1HSMQ-1226-SM-CGQFX 50-59 years, male 3324.4
GTEX-1EKGG-0226-SM-9WYTH 60-69 years, male 3321.5
GTEX-13OVG-1926-SM-5L3DK 60-69 years, male 3319.8
GTEX-QCQG-1726-SM-3GIJ9 50-59 years, female 3317.4
GTEX-13NZA-0226-SM-5K7Z7 60-69 years, male 3315.2
GTEX-ZF28-0126-SM-4WKGK 60-69 years, male 3307.6
GTEX-ZTSS-1926-SM-57WEW 40-49 years, male 3296.0
GTEX-18A66-0226-SM-718BD 60-69 years, male 3287.9
GTEX-ZZ64-1726-SM-5GZYB 20-29 years, male 3282.5
GTEX-11WQC-2526-SM-5CVLE 60-69 years, male 3280.2
GTEX-11DXX-2426-SM-5GZZW 60-69 years, female 3268.5
GTEX-R55G-2526-SM-2TC6D 40-49 years, female 3266.8
GTEX-12C56-1726-SM-5EQ61 20-29 years, male 3261.3
GTEX-ZTPG-0326-SM-5O9AX 20-29 years, female 3247.3
GTEX-1H3VY-0126-SM-ACKXD 50-59 years, male 3245.9
GTEX-WRHK-1426-SM-3MJF9 20-29 years, female 3238.1
GTEX-13O1R-0126-SM-5L3EH 60-69 years, male 3236.3
GTEX-1I19N-0326-SM-ACKVX 70-79 years, male 3236.2
GTEX-1E1VI-0126-SM-7DHMZ 50-59 years, male 3230.7
GTEX-QLQ7-1626-SM-2S1R8 60-69 years, male 3226.3
GTEX-13OW5-0126-SM-DTXFS 60-69 years, male 3223.8
GTEX-ZDXO-3026-SM-5J1N5 60-69 years, male 3223.1
GTEX-15SHW-0326-SM-6PAML 60-69 years, male 3221.0
GTEX-13G51-2526-SM-5LZYK 60-69 years, male 3215.2
GTEX-1H3NZ-0126-SM-ACKX7 60-69 years, male 3212.1
GTEX-1OJC4-0126-SM-E9J2E 50-59 years, female 3198.6
GTEX-ZXG5-0126-SM-5GIEU 60-69 years, male 3185.5
GTEX-12584-0126-SM-5EGKQ 40-49 years, male 3181.4
GTEX-1RAZA-0126-SM-E6CI3 20-29 years, male 3180.8
GTEX-11P82-1626-SM-59879 20-29 years, male 3180.0
GTEX-14PJ3-1826-SM-62LEX 50-59 years, male 3173.2
GTEX-144GN-2326-SM-5LU4F 50-59 years, male 3172.8
GTEX-14ABY-0226-SM-5TDCQ 50-59 years, male 3171.7
GTEX-139TT-0126-SM-5K7Y5 60-69 years, male 3156.8
GTEX-1HFI7-1826-SM-ACKXH 50-59 years, female 3153.5
GTEX-14DAQ-0126-SM-5S2MQ 60-69 years, female 3145.1
GTEX-17EUY-0426-SM-793BD 20-29 years, male 3139.0
GTEX-Y8LW-1826-SM-5S2MV 50-59 years, female 3135.1
GTEX-1IY9M-0126-SM-D3L8S 60-69 years, male 3127.6
GTEX-P44H-0226-SM-2XCEU 40-49 years, male 3124.3
GTEX-PVOW-0126-SM-2XCFA 40-49 years, male 3123.1
GTEX-11VI4-1726-SM-5CVLH 40-49 years, female 3109.2
GTEX-139T4-0226-SM-5HL5S 50-59 years, female 3107.9
GTEX-1GL5R-1826-SM-9KNUY 50-59 years, male 3101.1
GTEX-16XZY-2126-SM-79OK1 70-79 years, male 3084.3
GTEX-1LSNM-1926-SM-E6CII 50-59 years, male 3081.1
GTEX-11NUK-0126-SM-5A5L3 50-59 years, male 3067.4
GTEX-1AX9K-2326-SM-73KWU 50-59 years, male 3065.8
GTEX-14BIL-0126-SM-5SI92 50-59 years, male 3064.6
GTEX-1QP67-1626-SM-EAZ3X 40-49 years, female 3064.1
GTEX-1PBJI-0526-SM-E8VNK 20-29 years, female 3057.7
GTEX-TMMY-0226-SM-33HBA 40-49 years, female 3053.9
GTEX-SE5C-1626-SM-2XCE3 40-49 years, female 3053.2
GTEX-11ZTT-2426-SM-5EQLS 60-69 years, female 3040.8
GTEX-OOBK-0126-SM-2YUND 40-49 years, male 3038.5
GTEX-U3ZN-2326-SM-3DB7W 30-39 years, female 3031.1
GTEX-ZUA1-0126-SM-5GU76 40-49 years, male 3027.9
GTEX-1I1HK-0126-SM-COH49 60-69 years, male 3018.5
GTEX-1F6IF-0726-SM-7P8TW 60-69 years, male 3016.2
GTEX-PW2O-1526-SM-7RHHB 20-29 years, male 3011.6
GTEX-1192X-0226-SM-5H12D 50-59 years, male 3003.4
GTEX-12KS4-0326-SM-5EQ41 30-39 years, male 2993.1
GTEX-1F88F-2726-SM-7PBZZ 60-69 years, female 2988.9
GTEX-PLZ4-0126-SM-5SI8O 50-59 years, female 2987.7
GTEX-OXRL-0126-SM-2YUMP 50-59 years, male 2984.4
GTEX-1S82Z-0826-SM-E6CHY 30-39 years, female 2974.4
GTEX-QLQW-1126-SM-2S1Q8 30-39 years, male 2971.3
GTEX-1A8FM-0226-SM-7SB7Q 50-59 years, female 2969.8
GTEX-Z9EW-1626-SM-5CVMN 40-49 years, male 2969.4
GTEX-1F48J-0126-SM-7P8TT 50-59 years, female 2964.5
GTEX-X62O-0126-SM-4E3JN 50-59 years, male 2957.6
GTEX-1C6VS-0526-SM-7DUEN 60-69 years, male 2955.3
GTEX-ZF2S-2326-SM-4WWCE 50-59 years, female 2954.3
GTEX-ZEX8-2426-SM-4WKG4 50-59 years, male 2954.0
GTEX-ZVE2-0226-SM-59HJB 50-59 years, male 2942.2
GTEX-RU72-0926-SM-2TF6B 50-59 years, female 2941.0
GTEX-1C2JI-1826-SM-73KXC 50-59 years, male 2938.6
GTEX-VJYA-1126-SM-3GIJU 60-69 years, male 2937.4
GTEX-PLZ5-2026-SM-2S1O4 50-59 years, male 2926.0
GTEX-11O72-0126-SM-59887 40-49 years, male 2925.2
GTEX-13N1W-0126-SM-5K7VT 70-79 years, male 2922.6
GTEX-1HUB1-0426-SM-E9U4U 60-69 years, male 2914.8
GTEX-1GMR8-0126-SM-9WYTM 50-59 years, female 2906.3
GTEX-1QP2A-0126-SM-E9J43 50-59 years, male 2900.7
GTEX-1CB4F-0426-SM-9KNV4 60-69 years, male 2888.9
GTEX-12WSN-5019-SM-79OM6 40-49 years, male 2885.1
GTEX-13VXT-0126-SM-5LU4I 20-29 years, female 2881.3
GTEX-OHPM-0126-SM-2YUN9 50-59 years, male 2871.7
GTEX-11P81-2326-SM-59875 30-39 years, female 2864.4
GTEX-1N2DV-0226-SM-E6CJ6 40-49 years, male 2860.9
GTEX-1F6I4-0126-SM-9MQL2 60-69 years, male 2852.1
GTEX-1AX9I-0126-SM-7SB74 60-69 years, male 2837.6
GTEX-Q734-1926-SM-2I5EV 40-49 years, female 2831.8
GTEX-14E7W-0126-SM-6LLJ9 70-79 years, male 2829.5
GTEX-13NYC-0326-SM-E9J4S 60-69 years, male 2824.7
GTEX-1IE54-0126-SM-CMKHW 40-49 years, female 2799.6
GTEX-OIZF-0126-SM-7SB8I 60-69 years, male 2795.9
GTEX-16AAH-1726-SM-7939C 50-59 years, male 2790.5
GTEX-1C6WA-0126-SM-7PC2B 60-69 years, male 2790.3
GTEX-1I1GS-0126-SM-B2LVW 60-69 years, male 2759.6
GTEX-15F5U-1526-SM-6PANO 40-49 years, male 2724.1
GTEX-15SDE-2226-SM-7IGLO 50-59 years, female 2688.7
GTEX-12WSL-2526-SM-5GCNJ 50-59 years, male 2688.6
GTEX-1C475-1826-SM-73KWA 40-49 years, female 2660.9
GTEX-R55E-0126-SM-2TC5Y 20-29 years, male 2647.4
GTEX-1B8KZ-2026-SM-7DHMB 50-59 years, male 2646.5
GTEX-RUSQ-1526-SM-2TF62 50-59 years, male 2598.4
GTEX-RN64-0126-SM-2TC68 50-59 years, male 2592.1
GTEX-1F5PK-2426-SM-7RHHY 50-59 years, male 2579.3
GTEX-11P7K-2126-SM-5GU7G 30-39 years, male 2572.7
GTEX-1RQEC-0426-SM-E6CHU 60-69 years, male 2560.9
GTEX-ZZPT-0226-SM-5E43X 50-59 years, male 2555.8
GTEX-V1D1-2226-SM-3NMAX 50-59 years, male 2555.0
GTEX-14A6H-0126-SM-5QGPK 30-39 years, male 2542.9
GTEX-1QW4Y-1526-SM-EAZ3Z 30-39 years, male 2537.4
GTEX-1R9PO-2126-SM-E9J4O 60-69 years, female 2534.4
GTEX-1JKYN-1326-SM-CGQG9 30-39 years, male 2518.8
GTEX-1F75I-0326-SM-9YFLU 40-49 years, male 2468.5
GTEX-1MA7X-2226-SM-E6CIY 60-69 years, male 2396.4
GTEX-1H1E6-1726-SM-ACKVK 30-39 years, male 2355.6
GTEX-12WSK-2326-SM-5GCOH 40-49 years, female 2341.3
GTEX-113IC-0126-SM-5HL6T 60-69 years, male 2286.7
GTEX-1GN1W-0526-SM-9MQJQ 50-59 years, female 2236.1
GTEX-1H2FU-0126-SM-9WYSI 60-69 years, female 2142.7
GTEX-1HBPH-0426-SM-B2LW5 40-49 years, female 2131.2
GTEX-14JIY-0126-SM-6LLH6 60-69 years, male 2081.6
GTEX-1RAZQ-0726-SM-EAZ43 30-39 years, male 2070.7
GTEX-146FR-1326-SM-E9J48 60-69 years, female 1930.5
GTEX-11ZUS-0626-SM-59885 30-39 years, male 1893.1
GTEX-U4B1-1826-SM-4DXSU 40-49 years, male 1877.3
Show allShow less

Contact

  • NEWS ARTICLES
  • PRESS ROOM

The Project

  • INTRODUCTION
  • ORGANIZATION
  • PUBLICATIONS

The Human Protein Atlas

  • DOWNLOADABLE DATA
  • LICENCE & CITATION
  • HELP & FAQ
The Human Protein Atlas project is funded
by the Knut & Alice Wallenberg Foundation.


contact@proteinatlas.org