News Articles


Building a high-resolution map of proteins in sperm

Sperm_IF.png

Sperm cells are highly specialized for their function in reproduction and have a unique structure among the human cell types. Similarly, the repertoire of proteins that are present in sperm comprise many cell-type specific components. Researchers affiliated with the Human Protein Atlas have started to map proteins in human sperm using immunofluorescence and confocal microscopy to complement and further build on the comprehensive studies of the sperm proteome that so far mainly have been performed using mass spectrometry. This new approach gives a detailed view of the presence and subcellular localization of proteins in sperm, with single-cell resolution...Read more


Festival of Genomics & Biodata

festivalofgenomics.PNG

The Festival of Genomics & Biodata is UK's largest and the world's fastest growing life sciences event. This year in London HPA affiliated professor Jochen Schwenk was there to present his research on using blood proteomes for molecular health monitoring...Read more


HPA Tissue resource for Young Minds

Young_minds.jpg

An article about the HPA has been published in the magazine Frontiers for Young Minds, explaining the Atlas's purpose and work in simple, engaging language. The magazine is aimed at children and teenagers, but anyone curious about how scientists map cells and tissues in the human body will find the article informative...Read more


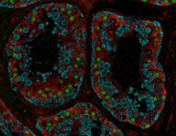
Multiplex tissue image of the month - SOX9 in testis

News image of the month January 2025 SOX9.PNG

The localization of SOX9 in the nucleus of sertoli cells in testis is visualized with multiplex immunohistochemistry (mIHC/IF)...Read more