News Articles


Mathias Uhlen on Europes top one biotech podcast

flotbio_mu.PNG

KTH professor Mathias Uhlén, founder of the Human Protein Atlas and co-founder of numerous biotech companies, discusses science and entrepreneurship with Philip Hemme in a Flot.bio podcast episode...Read more


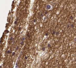
SMIM17 - a `Gene Doe` of the brain

2025-03-20
Human Protein Atlas
SMIM17.PNG

Among the about 20,000 genes giving rise to the human proteome there are still many rather unknown but potentially interesting genes that deserve some extra attention. Here we will focus on SMIM17, a gene with little evidence and specific expression in the brain...Read more


The circulating proteome - developments, challenges, and trends

circulating_proteome_march2025.PNG

In an article in the Journal of Proteome Research representatives of HUPO's Human Plasma Proteome Project (HPPP), including several HPA affiliated researchers, present the current progress in the study and mapping of the circulating proteome and discuss how updates of proteomics methods, emerging technologies, and investigations of proteoforms and protein networks can impact the understanding of the proteins circulating in blood...Read more


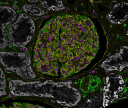
Multiplex tissue image of the month - NES in kidney

News image of the month February 2025 NES 2.PNG

The intermediate filament protein nestin (gene: NES) is highlighted in kidney through multiplex immunohistochemistry (mIHC/IF)...Read more