News Articles


RD3L - a `Gene Doe` of the heart

RD3L_heart.jpg

Among the about 20,000 genes in the human proteome there are still many rather unknown but potentially interesting proteins that deserve some extra attention. Here we will focus on RD3L, a less investigated gene related to the Retinal Degeneration Protein 3 (RD3)...Read more


Image of the month - BSND in salivary ducts

BSND_July12.png

In this image of the month we highlight the protein barttin, encoded by the BSND gene, which is involved in the development of Bartter Syndrome. Barttin facilitates reabsorption of chloride in the loops of Henle in the kidneys and secretion of potassium in the stria vascularis of the inner ear (Estévez et al, 2001 ). More recently barttin has also been found to be expressed in the salivary ducts (Shinmura et al, 2018)...Read more


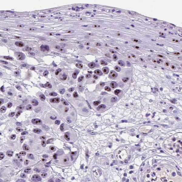
NIFK interacts with the proliferation marker Ki-67

NIFK_melanoma_HPA035735.jpg

Melanoma is a common form of cancer in the skin and among skin cancers it is the most deadly form. Melanoma originates from cells of melanocytic origin and most typically begins as a small intraepidermal tumor (melanoma in situ). As the tumor continues to grow and progress, tumor cells invade the epidermis and eventually spread to regional lymph nodes and subsequently via hematogenic spread to distant organs. Tumor thickness of the primary tumor is the most important determining prognostic factor and thus is early discovery of key importance for survival.

The cancer image of the month shows skin with growth of a cutaneous melanoma...Read more