We use cookies to enhance the usability of our website. If you continue, we'll assume that you are happy to receive all cookies. More information. Don't show this again.
YBX1
HPA
RESOURCES
  • TISSUE
  • BRAIN
  • SINGLE CELL
  • SUBCELLULAR
  • CANCER
  • BLOOD
  • CELL LINE
  • STRUCTURE & INTERACTION
ABOUT
  • INTRODUCTION
  • HISTORY
  • ORGANIZATION
  • PUBLICATIONS
  • ANTIBODY SUBMISSION
  • ANTIBODY AVAILABILITY
  • ACKNOWLEDGMENTS
  • CONTACT
NEWS
  • NEWS ARTICLES
  • PRESS ROOM
LEARN
  • DICTIONARY
  • PROTEIN CLASSES
  • PROTEIN EVIDENCE
  • METHODS
  • EDUCATIONAL VIDEOS
DATA
  • DOWNLOADABLE DATA
  • PUBLICATION DATA
  • RELEASE HISTORY
HELP
  • ANTIBODY VALIDATION
  • ASSAYS & ANNOTATION
  • DISCLAIMER
  • HELP & FAQ
  • PRIVACY STATEMENT
  • LICENCE & CITATION
Fields »
Search result

Field
Term
Gene name
Class
Subclass
Class
Keyword
Chromosome
External id
Tissue
Cell type
Expression
Antibody panel
Tissue
Main location
Patient ID
Annotation
Tissue
Category
Tau score
Cluster
Reliability
Brain region
Category
Tau score
Brain region
Category
Tau score
Brain region
Category
Tau score
Cluster
Reliability
Tissue
Cell type
Enrichment
Cell type
Category
Tau score
Cell type
Category
Tau score
Cell type
Category
Tau score
Cell lineage
Category
Tau score
Cluster
Cluster
Location
Searches
Location
Cell line
Class
Type
Phase
Reliability
Cancer
Prognosis
Cancer
Category
Cancer
Category
Tau score
Cluster
Variants
Interacting gene (ensg_id)
Type
Number of interactions
Pathway
Category
Score
Score
Score
Validation
Validation
Validation
Validation
Antibodies
Data type
Column


  • SUMMARY

  • TISSUE

  • BRAIN

  • SINGLE CELL

  • SUBCELL

  • CANCER

  • BLOOD

  • CELL LINE

  • STRUCT & INT

  • YBX1
BRAIN CEREBELLUM Show tissue menu
AMYGDALA BASAL GANGLIA CEREBELLUM CEREBRAL CORTEX CHOROID PLEXUS HIPPOCAMPAL FORMATION HYPOTHALAMUS MEDULLA OBLONGATA
MIDBRAIN OLFACTORY BULB PITUITARY GLAND PONS RETINA SPINAL CORD THALAMUS WHITE MATTER
ANTIBODIES
AND
VALIDATION
Brain proteome
Cerebellum
CEREBELLUM - Expression summary
Protein expression
Cerebellumi

On the top, protein expression in current human tissue, based on all annotated cell types, is reported with the units not detected (n), low (l), medium (m) and high (h). Underneath, protein expression in each annotated cell type are reported using the same units.

Protein expression data is based on knowledge-based annotation. For genes where more than one antibody has been used, a collective score is set.

If knowledge-based annotation could not be performed for a gene, no data is displayed here. View antibody staining data further down this page.

h
m
l
n
Bergmann glia - cytoplasm/membrane: Not detected
Bergmann glia - nucleus: Medium
GLUC cells - cytoplasm/membrane: Not detected
GLUC cells - nucleus: Not detected
Granular cells - cytoplasm/membrane: Not detected
Granular cells - nucleus: Medium
Molecular layer - neuropil: Not detected
Molecular layer cells - cytoplasm/membrane: Not detected
Molecular layer cells - nucleus: Medium
Processes in granular layer: Not detected
Processes in molecular layer: Not detected
Processes in white matter: Not detected
Purkinje cells - cytoplasm/membrane: Not detected
Purkinje cells - dendrites: Not detected
Purkinje cells - nucleus: Not detected
Synaptic glomeruli - capsule: Not detected
Synaptic glomeruli - core: Not detected
White matter cells - cytoplasm/membrane: Not detected
White matter cells - nucleus: Not detected
RNA expressioni

A summary of mRNA expression data available for current tissue based on several datasets. The mRNA expression levels in human tissues are based on RNA-seq data generated by the Human Protein Atlas (HPA), Genotype-Tissue Expression (GTEx) portal and CAGE data generated by the FANTOM5 consortium. Consensus normalized expression levels for human tissues was created by combining the data from HPA and GTEx datasets.

The mRNA expression levels in pig are based on RNA-seq data generated by the Human Protein Atlas (HPA), and for mouse, HPA data and in situ hybridization generated by the Allen brain atlas are reported.

Scroll down to view mRNA expression data in more detail.
Consensus:144.0 nTPM
HPA Brain:156.8 nTPM
GTEx:144.0 nTPM
FANTOM5:28.2 Scaled Tags Per Million
Pig:159.0 nTPM
Mouse:121.7 nTPM
Allen mouse:1.0 Expression energy

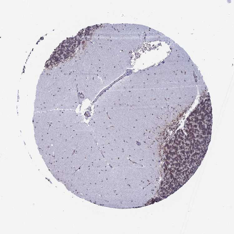
CEREBELLUM - Antibody stainingi

Antibody staining in the annotated cell types in the current human tissue is reported as not detected, low, medium, or high, based on conventional immunohistochemistry profiling in selected tissues. This score is based on the combination of the staining intensity and fraction of stained cells.

Each image is clickable and will lead to virtual microscopy that enables deeper exploration of all samples and also displays staining intensity scores, fraction scores and subcellular localization as well as patient and tissue information for each sample.

Antibody HPA040304Antibody HPA057159Antibody CAB005875
Bergmann glia - cytoplasm/membrane -Not detected-
Bergmann glia - nucleus -Medium-
GLUC cells - cytoplasm/membrane -Not detected-
GLUC cells - nucleus -Not detected-
Purkinje cells Not detected-Not detected
Purkinje cells - cytoplasm/membrane -Not detected-
Purkinje cells - dendrites -Not detected-
Purkinje cells - nucleus -Not detected-
Cells in granular layer Medium-Low
Cells in molecular layer Medium-Not detected
Granular cells - cytoplasm/membrane -Not detected-
Granular cells - nucleus -Medium-
Molecular layer - neuropil -Not detected-
Molecular layer cells - cytoplasm/membrane -Not detected-
Molecular layer cells - nucleus -Medium-
Processes in granular layer -Not detected-
Processes in molecular layer -Not detected-
Processes in white matter -Not detected-
Synaptic glomeruli - capsule -Not detected-
Synaptic glomeruli - core -Not detected-
White matter cells - cytoplasm/membrane -Not detected-
White matter cells - nucleus -Not detected-







CEREBELLUM - HPA Brain RNA-seq
Max subtype nTPMi

Max subtype nTPM is the value for the subtype with the largest average nTPM across the subtype samples.

156.8
Sample id Sample description nTPM
Cerebellar cortex
nTPM: 131.6
1768 Female, age 72, unknown 191.6
1769 Male, age 76, right hemisphere 157.1
2003 Female, age 85, right hemisphere 154.9
2055 Female, age 91, right hemisphere 116.7
2006 Male, age 61, right hemisphere 112.3
1774 Male, age 80, left hemisphere 108.9
2101 Male, age 74, right hemisphere 105.8
1788 Male, age 55, unknown 105.7
Cerebellar nuclei
nTPM: 156.8
2882 Male, age 76, left hemisphere 185.0
2783 Female, age 72, unknown 179.8
2005 Male, age 80, left hemisphere 175.1
2175 Male, age 61, right hemisphere 174.6
1879 Male, age 55, unknown 161.3
1871 Male, age 74, unknown 157.7
1966 Female, age 91, left hemisphere 148.7
2177 Female, age 85, both hemispheres 124.5
2318 Male, age 74, left hemisphere 104.4
Flocculonodular lobe
nTPM: 129.0
1765 Male, age 55, unknown 195.5
1767 Male, age 76, left hemisphere 145.9
1792 Male, age 74, unknown 133.3
2004 Male, age 61, right hemisphere 120.8
1771 Male, age 80, left hemisphere 110.3
2176 Female, age 91, right hemisphere 100.0
1835 Female, age 85, right hemisphere 97.1
Vermis
nTPM: 122.1
1770 Male, age 76, left hemisphere 158.1
1778 Female, age 91, left hemisphere 135.7
1766 Male, age 55, unknown 134.7
1751 Male, age 74, right hemisphere 130.2
1928 Female, age 72, unknown 129.3
1825 Male, age 74, unknown 127.6
2834 Male, age 80, left hemisphere 96.6
1988 Female, age 85, left hemisphere 95.8
2460 Male, age 61, both hemispheres 91.1

CEREBELLUM - GTEx RNA-seqi

RNA-Seq data generated by the Genotype-Tissue Expression (GTEx) project from human tissues is reported as mean nTPM. More information can be found on the GTEx portal.

Distribution across the dataset is visualized with box plots, shown as median and 25th and 75th percentiles. Points are displayed as outliers if they are above or below 1.5 times the interquartile range. nTPM values of the individual samples are presented next to the box plot.
Max subtype nTPMi

Max subtype nTPM is the value for the subtype with the largest average nTPM across the subtype samples.

144.0
GTEx sample id Sample description nTPM
Brain - Cerebellar Hemisphere
Average nTPM: 144.0
Samples: 215

Max nTPM: 266.1
Min nTPM: 97.7
Std nTPM: 22.3
Median nTPM: 142.4
GTEX-16Z82-0011-R11a-SM-79OKJ 60-69 years, male 266.1
GTEX-16NPV-0011-R11a-SM-7IGMK 50-59 years, female 212.8
GTEX-1CAV2-0011-R11a-SM-ARU8D 40-49 years, female 210.3
GTEX-1B8SG-0011-R11a-SM-7P8PF 50-59 years, male 206.5
GTEX-1B933-0011-R11a-SM-7P8PM 50-59 years, female 199.9
GTEX-1F75W-0011-R11b-SM-AHZ34 60-69 years, male 190.5
GTEX-12WSH-0011-R11a-SM-5LZVM 50-59 years, male 189.7
GTEX-ZVZQ-0011-R11a-SM-51MS6 60-69 years, female 184.8
GTEX-145MI-0011-R11a-SM-5P9JZ 60-69 years, female 184.0
GTEX-17EVP-0011-R11a-SM-7EWDL 40-49 years, male 180.7
GTEX-WHSE-0011-R11A-SM-3P5YY 20-29 years, male 180.0
GTEX-13PLJ-0011-R11b-SM-5O9BS 60-69 years, female 176.0
GTEX-13NZA-0011-R11b-SM-5KM4W 60-69 years, male 175.6
GTEX-1CB4G-0011-R11a-SM-9OSWG 60-69 years, male 173.8
GTEX-ZE7O-0011-R11a-SM-57WBC 50-59 years, female 173.4
GTEX-11ZUS-0011-R11b-SM-5BC7B 30-39 years, male 173.0
GTEX-1C64N-0011-R11b-SM-7P8Q6 50-59 years, male 172.8
GTEX-1H4P4-0011-R11b-SM-CE6S8 50-59 years, male 172.6
GTEX-13OW7-0011-R11a-SM-5O9DY 50-59 years, male 171.6
GTEX-1R9K4-0011-R11a-SM-EZ6N9 60-69 years, male 171.3
GTEX-14E7W-0011-R11a-SM-5ZZVA 70-79 years, male 170.9
GTEX-N7MS-0011-R11A-SM-2HMJS 60-69 years, male 170.8
GTEX-139UW-0011-R11a-SM-5IJGN 60-69 years, male 170.2
GTEX-1HBPI-0011-R11b-SM-CE6SH 50-59 years, male 169.6
GTEX-1GN73-0011-R11b-SM-9OSX4 60-69 years, male 169.0
GTEX-13X6J-0011-R11a-SM-5P9HE 50-59 years, male 168.8
GTEX-12126-0011-R11a-SM-5BC6X 20-29 years, male 167.9
GTEX-1J1OQ-0011-R11a-SM-A96S3 40-49 years, female 167.7
GTEX-1GZHY-0011-R11a-SM-C1YRQ 50-59 years, female 167.2
GTEX-12WSC-0011-R11a-SM-5GU5J 50-59 years, male 166.7
GTEX-1GMR8-0011-R11b-SM-9OSX2 50-59 years, female 166.4
GTEX-14ASI-0011-R11b-SM-6AJBJ 60-69 years, male 166.2
GTEX-15DCD-0011-R11a-SM-D4P1R 70-79 years, female 165.7
GTEX-12ZZZ-0011-R11a-SM-5EGLC 60-69 years, male 165.6
GTEX-1LKK1-0011-R11a-SM-EXOIG 50-59 years, female 165.4
GTEX-1F6I4-0011-R11b-SM-9OSWS 60-69 years, male 165.3
GTEX-1E1VI-0011-R11a-SM-9OSWI 50-59 years, male 163.5
GTEX-1F52S-0011-R11a-SM-CJI23 60-69 years, female 162.2
GTEX-131XW-0011-R11a-SM-5DUV9 50-59 years, female 161.7
GTEX-13FLV-0011-R11a-SM-5LZZ7 50-59 years, male 160.2
GTEX-12WSF-0011-R11a-SM-5LZVT 70-79 years, male 160.1
GTEX-13FTY-0011-R11a-SM-5IJEA 40-49 years, female 160.0
GTEX-P44H-0011-R11A-SM-2XCER 40-49 years, male 160.0
GTEX-12WSD-0011-R11a-SM-9OSVC 60-69 years, female 159.9
GTEX-1IOXB-0011-R11a-SM-A9G1X 50-59 years, male 159.2
GTEX-1J8Q2-0011-R11a-SM-A9SKI 60-69 years, male 158.8
GTEX-13O3O-0011-R11b-SM-5KM4G 60-69 years, female 158.3
GTEX-1GZ4I-0011-R11b-SM-9OSWR 50-59 years, male 158.3
GTEX-1F7RK-0011-R11b-SM-9QEI2 20-29 years, female 157.8
GTEX-13FXS-0011-R11a-SM-5L3DM 50-59 years, male 157.6
GTEX-15CHQ-0011-R11b-SM-686ZZ 60-69 years, male 157.3
GTEX-OHPN-0011-R11A-SM-2I5FM 60-69 years, female 157.1
GTEX-144GL-0011-R11b-SM-5P9F6 50-59 years, male 156.5
GTEX-11WQC-0011-R11b-SM-57WD6 60-69 years, male 155.7
GTEX-14C39-0011-R11b-SM-5YYAF 40-49 years, male 155.4
GTEX-17JCI-0011-R11a-SM-7189Y 60-69 years, female 155.3
GTEX-1EKGG-0011-R11a-SM-9QEHZ 60-69 years, male 155.2
GTEX-12WSI-0011-R11b-SM-5P9EZ 50-59 years, male 153.8
GTEX-16YQH-0011-R11b-SM-7LT98 30-39 years, male 153.8
GTEX-1313W-0011-R11a-SM-5DUXN 50-59 years, female 153.7
GTEX-1KD4Q-0011-R11b-SM-EXOIE 40-49 years, male 153.4
GTEX-1H3O1-0011-R11a-SM-A96RV 60-69 years, male 153.3
GTEX-14ABY-0011-R11a-SM-5SI7C 50-59 years, male 153.2
GTEX-ZUA1-0011-R11b-SM-51MTI 40-49 years, male 153.1
GTEX-NPJ8-0011-R11A-SM-2YUMS 40-49 years, male 152.6
GTEX-ZE9C-0011-R11a-SM-4WKGG 60-69 years, male 152.5
GTEX-1BAJH-0011-R11b-SM-7IGLM 70-79 years, male 152.3
GTEX-1HSKV-0011-R11b-SM-AHZ2E 60-69 years, male 151.9
GTEX-13JUV-0011-R11a-SM-5LZYH 40-49 years, female 151.4
GTEX-X261-0011-R11A-SM-4E3JY 50-59 years, male 151.2
GTEX-1GMRU-0011-R11b-SM-C1YQ4 50-59 years, male 151.1
GTEX-1IL2U-0011-R11a-SM-CE6SO 60-69 years, male 150.9
GTEX-13QIC-0011-R11b-SM-5O9BU 60-69 years, female 150.8
GTEX-13SLX-0011-R11b-SM-5O9C8 50-59 years, female 150.8
GTEX-1F48J-0011-R11b-SM-9OSWV 50-59 years, female 150.6
GTEX-139TT-0011-R11b-SM-5LZV1 60-69 years, male 150.5
GTEX-WZTO-0011-R11A-SM-4E3K9 40-49 years, male 150.4
GTEX-13CF2-0011-R11b-SM-5LZXO 60-69 years, male 150.0
GTEX-1I1GV-0011-R11a-SM-CJI3Z 60-69 years, male 150.0
GTEX-1HFI6-0011-R11b-SM-A96RU 40-49 years, male 149.6
GTEX-15EO6-0011-R11b-SM-6M47M 50-59 years, male 149.3
GTEX-13FHO-0011-R11b-SM-5LZYQ 60-69 years, male 149.0
GTEX-14PN4-0011-R11a-SM-686ZW 50-59 years, male 148.7
GTEX-16XZZ-0011-R11a-SM-7EPI3 60-69 years, male 148.7
GTEX-ZVT3-0011-R11b-SM-57WBI 60-69 years, female 148.7
GTEX-WWYW-0011-R11A-SM-3NB38 50-59 years, female 148.6
GTEX-16GPK-0011-R11b-SM-7MKFF 60-69 years, male 148.2
GTEX-WL46-0011-R11A-SM-3MJFT 50-59 years, male 147.7
GTEX-YJ89-0011-R11a-SM-4SOKA 60-69 years, male 147.5
GTEX-1HCU6-0011-R11b-SM-AHZ2F 60-69 years, female 147.4
GTEX-1I1GR-0011-R11a-SM-CM2T5 60-69 years, male 147.0
GTEX-18A6Q-0011-R11a-SM-72D6H 60-69 years, male 146.5
GTEX-1N2DW-0011-R11b-SM-EXOIL 50-59 years, male 146.5
GTEX-ZF28-0011-R11a-SM-4WWEI 60-69 years, male 146.3
GTEX-1H1DG-0011-R11a-SM-C1YQK 70-79 years, male 145.9
GTEX-1JJ6O-0011-R11b-SM-EXUS2 60-69 years, male 145.6
GTEX-13PVQ-0011-R11a-SM-5O9DU 50-59 years, male 145.5
GTEX-145MH-0011-R11a-SM-5P9HQ 50-59 years, male 145.1
GTEX-11DZ1-0011-R11b-SM-DO11W 50-59 years, male 145.1
GTEX-11GSP-0011-R11b-SM-5NQ7V 60-69 years, female 144.1
GTEX-13OW6-0011-R11a-SM-5L3H2 50-59 years, male 144.0
GTEX-11PRG-0011-R11b-SM-DNZZY 50-59 years, male 143.9
GTEX-1IGQW-0011-R11a-SM-C1YRV 60-69 years, male 143.4
GTEX-1HUB1-0011-R11b-SM-CE6SC 60-69 years, male 143.0
GTEX-13SLW-0011-R11a-SM-5SI8Q 70-79 years, male 142.9
GTEX-13VXU-0011-R11b-SM-5O9DJ 50-59 years, male 142.8
GTEX-13G51-0011-R11b-SM-5J2NE 60-69 years, male 142.5
GTEX-13JVG-0011-R11a-SM-5KM53 60-69 years, male 142.4
GTEX-13OVL-0011-R11b-SM-5L3G7 50-59 years, male 142.4
GTEX-1IY9M-0011-R11b-SM-A96TI 60-69 years, male 142.1
GTEX-13NYB-0011-R11a-SM-5KM3Q 40-49 years, male 142.0
GTEX-11EI6-0011-R11a-SM-DO11V 60-69 years, male 141.9
GTEX-1J8EW-0011-R11a-SM-AHZ37 60-69 years, female 141.9
GTEX-15ER7-0011-R11a-SM-6LPIL 20-29 years, female 141.8
GTEX-1F75A-0011-R11a-SM-AHZ35 50-59 years, male 141.6
GTEX-1GF9W-0011-R11b-SM-9OSXG 60-69 years, male 141.3
GTEX-NL4W-0011-R11A-SM-2I3DW 50-59 years, male 141.1
GTEX-1I1GQ-0011-R11b-SM-CKZPA 50-59 years, male 141.0
GTEX-12ZZX-0011-R11a-SM-5DUVJ 40-49 years, female 140.4
GTEX-11ZTS-0011-R11a-SM-DO113 60-69 years, female 140.2
GTEX-11OF3-0011-R11a-SM-57WCR 60-69 years, male 140.1
GTEX-NPJ7-0011-R11A-SM-2I3E8 60-69 years, female 140.1
GTEX-1M4P7-0011-R11b-SM-EXOIK 60-69 years, male 139.8
GTEX-14BIN-0011-R11a-SM-5SI79 50-59 years, female 139.0
GTEX-YFC4-0011-R11a-SM-4SOK6 40-49 years, female 138.0
GTEX-R55E-0011-R11A-SM-2TC6I 20-29 years, male 137.9
GTEX-1B8L1-0011-R11b-SM-793DJ 60-69 years, male 137.7
GTEX-1I1GS-0011-R11a-SM-C1YRU 60-69 years, male 137.6
GTEX-11EMC-0011-R11b-SM-DNZZK 60-69 years, female 137.2
GTEX-T2IS-0011-R11A-SM-32QPC 20-29 years, female 136.9
GTEX-S7SE-0011-R11A-SM-2XCDD 50-59 years, male 136.6
GTEX-1H3VE-0011-R11b-SM-C1YRP 40-49 years, male 136.5
GTEX-13X6I-0011-R11a-SM-5P9HN 60-69 years, male 136.1
GTEX-1EMGI-0011-R11b-SM-9OSWX 60-69 years, male 135.4
GTEX-1I1HK-0011-R11a-SM-B2LVN 60-69 years, male 134.6
GTEX-N7MT-0011-R11A-SM-2I3DZ 60-69 years, female 134.5
GTEX-1A3MX-0011-R11b-SM-7DUGP 60-69 years, male 133.9
GTEX-1B8SF-0011-R11a-SM-79OOP 60-69 years, male 133.8
GTEX-13RTJ-0011-R11a-SM-5O9CK 60-69 years, male 133.7
GTEX-13OVJ-0011-R11a-SM-5P9H8 50-59 years, female 133.2
GTEX-13N2G-0011-R11a-SM-5MR3F 60-69 years, male 133.1
GTEX-X4XX-0011-R11A-SM-46MWQ 60-69 years, male 132.9
GTEX-X585-0011-R11B-SM-46MUZ 50-59 years, male 132.9
GTEX-1LSVX-0011-R11b-SM-EXOIA 60-69 years, male 132.7
GTEX-1R9PO-0011-R11b-SM-EZ6NB 60-69 years, female 132.4
GTEX-ZDXO-0011-R11a-SM-4WWD9 60-69 years, male 132.2
GTEX-11H98-0011-R11b-SM-5NQ6U 50-59 years, male 131.8
GTEX-145LU-0011-R11b-SM-5P9JX 50-59 years, male 131.8
GTEX-13S7M-0011-R11b-SM-5P9HU 60-69 years, female 131.6
GTEX-1N2EE-0011-R11b-SM-EXOIJ 60-69 years, male 131.6
GTEX-13OVH-0011-R11b-SM-5KM4X 70-79 years, male 131.3
GTEX-1JMOU-0011-R11b-SM-EXUTA 60-69 years, female 131.1
GTEX-RU72-0011-R11A-SM-CM2U1 50-59 years, female 131.0
GTEX-131YS-0011-R11b-SM-5EGLM 60-69 years, female 130.5
GTEX-1H1CY-0011-R11a-SM-C1YQR 60-69 years, female 130.4
GTEX-1IL2V-0011-R11a-SM-ARU6T 70-79 years, male 130.4
GTEX-12WSE-0011-R11b-SM-5P9JW 20-29 years, male 130.2
GTEX-13X6K-0011-R11a-SM-5P9F5 60-69 years, female 130.2
GTEX-13FHP-0011-R11b-SM-5LZXP 50-59 years, male 130.1
GTEX-P44G-0011-R11A-SM-2I3FD 30-39 years, male 130.0
GTEX-17EVQ-0011-R11a-SM-7LT9C 70-79 years, male 129.5
GTEX-1IDJH-0011-R11b-SM-C1YRT 70-79 years, male 129.2
GTEX-14E6D-0011-R11b-SM-664NP 50-59 years, male 128.9
GTEX-NL3H-0011-R11A-SM-2I3E6 60-69 years, male 128.4
GTEX-1H1ZS-0011-R11a-SM-C1YQM 70-79 years, male 128.1
GTEX-1HGF4-0011-R11a-SM-C1YRR 60-69 years, male 128.1
GTEX-12WSM-0011-R11a-SM-5DUX8 60-69 years, male 127.5
GTEX-1399T-0011-R11a-SM-5J2O1 60-69 years, male 127.5
GTEX-Y8DK-0011-R11A-SM-4SOK2 60-69 years, male 127.2
GTEX-RVPV-0011-R11A-SM-2TF6F 60-69 years, male 126.9
GTEX-Z93S-0011-R11a-SM-4RGNN 50-59 years, male 126.6
GTEX-132Q8-0011-R11b-SM-5DUW9 60-69 years, male 125.8
GTEX-14BIM-0011-R11b-SM-5S2RN 60-69 years, female 125.8
GTEX-131XH-0011-R11a-SM-5EGLN 50-59 years, male 125.5
GTEX-1LVAO-0011-R11b-SM-EXOI8 60-69 years, male 125.3
GTEX-14C5O-0011-R11b-SM-6872H 60-69 years, male 124.6
GTEX-1JJEA-0011-R11a-SM-EXUTE 60-69 years, male 124.4
GTEX-1ICLZ-0011-R11a-SM-CJI3N 60-69 years, male 124.1
GTEX-1JMQJ-0011-R11a-SM-EXOJY 50-59 years, male 124.1
GTEX-11DXY-0011-R11a-SM-DNZZN 60-69 years, male 124.0
GTEX-17HII-0011-R11b-SM-7KFSX 50-59 years, male 123.6
GTEX-15DYW-0011-R11a-SM-6LPIT 60-69 years, female 122.9
GTEX-17HG3-0011-R11b-SM-7KFT4 30-39 years, female 122.7
GTEX-11DYG-0011-R11a-SM-DNZZP 60-69 years, male 122.6
GTEX-1IKOH-0011-R11a-SM-AHZ38 60-69 years, female 122.3
GTEX-QMR6-0011-R11A-SM-32PKK 50-59 years, male 122.1
GTEX-1IKK5-0011-R11a-SM-C1YRX 60-69 years, male 121.5
GTEX-1HB9E-0011-R11b-SM-ARU79 50-59 years, male 121.4
GTEX-13CZV-0011-R11b-SM-5N9FN 60-69 years, male 120.9
GTEX-13O3Q-0011-R11b-SM-5KM2W 50-59 years, male 120.1
GTEX-1H3NZ-0011-R11b-SM-CE6SF 60-69 years, male 120.1
GTEX-15G19-0011-R11b-SM-6LPIH 60-69 years, male 120.0
GTEX-13OW8-0011-R11a-SM-5L3GT 60-69 years, male 119.3
GTEX-1AX9I-0011-R11b-SM-7DHN4 60-69 years, male 119.0
GTEX-1I19N-0011-R11b-SM-ARU6Y 70-79 years, male 118.9
GTEX-18465-0011-R11a-SM-72D78 50-59 years, male 118.5
GTEX-14DAQ-0011-R11a-SM-664NO 60-69 years, female 118.1
GTEX-183WM-0011-R11a-SM-718A5 70-79 years, female 117.7
GTEX-T5JC-0011-R11A-SM-32PMB 20-29 years, male 117.1
GTEX-13OW5-0011-R11b-SM-5L3GG 60-69 years, male 116.3
GTEX-Q2AG-0011-R11A-SM-2HMKZ 40-49 years, female 115.9
GTEX-1LG7Y-0011-R11a-SM-EXOIH 50-59 years, male 114.2
GTEX-11TTK-0011-R11b-SM-DO112 60-69 years, female 113.7
GTEX-QDT8-0011-R11A-SM-32PKD 30-39 years, female 113.6
GTEX-17F97-0011-R11b-SM-7KFRQ 50-59 years, male 110.1
GTEX-X4EP-0011-R11B-SM-4QASK 60-69 years, female 108.6
GTEX-WVLH-0011-R11A-SM-3MJFO 50-59 years, male 107.9
GTEX-XMD1-0011-R11A-SM-4AT5J 60-69 years, male 106.8
GTEX-1GTWX-0011-R11b-SM-C1YQJ 60-69 years, male 106.0
GTEX-T6MN-0011-R11A-SM-32QOX 50-59 years, male 104.6
GTEX-18464-0011-R11a-SM-72D76 50-59 years, male 104.2
GTEX-UTHO-0011-R11A-SM-3GIJE 60-69 years, male 104.0
GTEX-TSE9-0011-R11A-SM-3DB7N 60-69 years, female 100.6
GTEX-13NYS-0011-R11b-SM-5MR4P 60-69 years, male 98.5
GTEX-ZAB4-0011-R11a-SM-4SOKI 40-49 years, male 97.7
Show allShow less
Brain - Cerebellum
Average nTPM: 133.5
Samples: 241

Max nTPM: 214.4
Min nTPM: 92.2
Std nTPM: 17.7
Median nTPM: 133.6
GTEX-11OC5-0626-SM-5HL6M 60-69 years, male 214.4
GTEX-1H3VE-2826-SM-9WPOL 40-49 years, male 193.3
GTEX-1192X-3226-SM-5987D 50-59 years, male 180.7
GTEX-1JN1M-3126-SM-AHZ4E 60-69 years, female 180.2
GTEX-1F6IF-3026-SM-7P8QN 60-69 years, male 175.0
GTEX-13OW7-2926-SM-5MR3Z 50-59 years, male 171.1
GTEX-R55E-2526-SM-2TC6H 20-29 years, male 170.1
GTEX-1E1VI-2926-SM-7IGLT 50-59 years, male 169.2
GTEX-1GZHY-3026-SM-7MXVA 50-59 years, female 166.9
GTEX-1QEPI-3026-SM-EXOIW 60-69 years, female 166.3
GTEX-1C6WA-3326-SM-7MKGN 60-69 years, male 166.0
GTEX-12WSH-3126-SM-5LZW8 50-59 years, male 165.5
GTEX-145MG-3126-SM-5Q5D3 50-59 years, male 163.0
GTEX-1GF9V-3026-SM-7P8R8 60-69 years, male 162.0
GTEX-16Z82-2926-SM-6LPJJ 60-69 years, male 160.5
GTEX-RU72-2926-SM-2TF66 50-59 years, female 159.8
GTEX-1POEN-2726-SM-E9U6B 30-39 years, female 158.8
GTEX-1B8L1-3226-SM-7P8OX 60-69 years, male 158.2
GTEX-1BAJH-3126-SM-7MGXY 70-79 years, male 157.6
GTEX-1269C-3126-SM-5EGI6 60-69 years, female 156.5
GTEX-N7MS-2526-SM-2D7W3 60-69 years, male 156.3
GTEX-15SHU-3026-SM-6LPIB 40-49 years, female 155.9
GTEX-1EH9U-3126-SM-7MXU5 60-69 years, male 155.7
GTEX-WWYW-3026-SM-3NB36 50-59 years, female 155.6
GTEX-1313W-3026-SM-5LZUZ 50-59 years, female 155.4
GTEX-14ABY-3026-SM-664NE 50-59 years, male 153.6
GTEX-1F48J-2726-SM-7P8PW 50-59 years, female 153.3
GTEX-11GSP-3126-SM-5A5LL 60-69 years, female 152.9
GTEX-1399T-3126-SM-5IJFS 60-69 years, male 152.7
GTEX-1B996-2926-SM-7MXUH 60-69 years, male 152.7
GTEX-1H4P4-2726-SM-9JGGB 50-59 years, male 152.3
GTEX-12ZZZ-3126-SM-5LZU6 60-69 years, male 151.4
GTEX-1E2YA-2926-SM-7MGWX 50-59 years, male 151.4
GTEX-1H1CY-3026-SM-9OSW7 60-69 years, female 151.1
GTEX-13FXS-3026-SM-5LZYO 50-59 years, male 150.8
GTEX-WL46-2826-SM-3LK81 50-59 years, male 150.1
GTEX-ZAK1-2926-SM-5HL9S 50-59 years, female 149.2
GTEX-1MJK2-3026-SM-EV7A5 50-59 years, male 149.1
GTEX-1B8SG-1926-SM-73KUB 50-59 years, male 149.0
GTEX-1A8G7-3026-SM-73KTT 60-69 years, male 148.9
GTEX-12WSC-2926-SM-5BC5Z 50-59 years, male 148.6
GTEX-11DZ1-2926-SM-5A5KI 50-59 years, male 148.5
GTEX-1EWIQ-3026-SM-7IGOJ 70-79 years, female 148.2
GTEX-1F52S-3026-SM-7P8PV 60-69 years, female 148.1
GTEX-PWO3-1026-SM-2I5F2 60-69 years, female 147.8
GTEX-X261-3126-SM-4PQZC 50-59 years, male 147.5
GTEX-12126-0926-SM-5FQTW 20-29 years, male 147.4
GTEX-14JFF-2826-SM-6871Q 60-69 years, male 147.4
GTEX-YJ89-2926-SM-5P9IT 60-69 years, male 147.4
GTEX-131YS-3026-SM-5EGHY 60-69 years, female 146.8
GTEX-15ER7-3026-SM-6M47W 20-29 years, female 146.7
GTEX-13QIC-3026-SM-5LU58 60-69 years, female 146.6
GTEX-13O3O-3026-SM-5KM42 60-69 years, female 146.0
GTEX-14BIM-3126-SM-5Q5C7 60-69 years, female 146.0
GTEX-147F4-3026-SM-5Q5BJ 50-59 years, male 145.9
GTEX-1RDX4-3226-SM-DPS14 50-59 years, female 145.8
GTEX-1I1CD-2926-SM-A96SJ 60-69 years, female 145.1
GTEX-1EX96-3126-SM-9JGGC 50-59 years, male 144.7
GTEX-12WSD-3026-SM-5LZU7 60-69 years, female 144.0
GTEX-13SLX-3226-SM-5YYA6 50-59 years, female 143.9
GTEX-1GN73-3026-SM-7MXV8 60-69 years, male 143.9
GTEX-1GZ2Q-3026-SM-9JGG3 40-49 years, male 143.7
GTEX-14E6D-2926-SM-664OP 50-59 years, male 143.2
GTEX-1HBPI-2726-SM-9WPPF 50-59 years, male 143.1
GTEX-13VXU-3026-SM-5LU3K 50-59 years, male 142.6
GTEX-1F6I4-3026-SM-7P8SI 60-69 years, male 142.5
GTEX-ZAJG-3026-SM-5HL92 50-59 years, female 142.3
GTEX-WZTO-2826-SM-3NM8P 40-49 years, male 141.9
GTEX-ZZPT-2926-SM-5EQ5S 50-59 years, male 141.4
GTEX-17JCI-3026-SM-7EWDR 60-69 years, female 141.2
GTEX-139TT-2626-SM-5LZUB 60-69 years, male 140.8
GTEX-1C6VR-3026-SM-7IGLW 60-69 years, male 140.7
GTEX-11EI6-2926-SM-5985U 60-69 years, male 140.6
GTEX-13OVL-3026-SM-5IJF1 50-59 years, male 140.6
GTEX-139TS-3126-SM-5LZWX 60-69 years, male 140.2
GTEX-1H1DG-2826-SM-9JGHB 70-79 years, male 140.2
GTEX-117XS-3126-SM-5GIDP 60-69 years, male 140.0
GTEX-YFC4-3026-SM-5IFJK 40-49 years, female 139.5
GTEX-1GF9W-2726-SM-9JGGW 60-69 years, male 139.3
GTEX-13NYB-3226-SM-5J2ND 40-49 years, male 138.8
GTEX-11PRG-2826-SM-5BC54 50-59 years, male 138.6
GTEX-OHPN-2626-SM-2I5H1 60-69 years, female 138.6
GTEX-T6MN-2526-SM-32PMN 50-59 years, male 138.4
GTEX-13112-2926-SM-5DUWT 50-59 years, male 138.2
GTEX-14A5I-2826-SM-5SIBF 50-59 years, female 138.2
GTEX-11ONC-3026-SM-5985W 60-69 years, male 138.1
GTEX-1KD4Q-3026-SM-EV7A7 40-49 years, male 138.1
GTEX-13G51-3126-SM-5IJG7 60-69 years, male 138.0
GTEX-11EMC-3326-SM-5P9JH 60-69 years, female 137.7
GTEX-Y111-2826-SM-4TT3O 50-59 years, male 137.7
GTEX-11NUK-3026-SM-5986K 50-59 years, male 137.6
GTEX-WHSE-2926-SM-3NMBG 20-29 years, male 137.6
GTEX-13CF2-3026-SM-5IFFX 60-69 years, male 137.4
GTEX-13OVJ-2726-SM-5IJG6 50-59 years, female 137.0
GTEX-1F75W-3126-SM-7P8SJ 60-69 years, male 137.0
GTEX-1NV8Z-3026-SM-DTX8Z 60-69 years, male 137.0
GTEX-13JVG-3226-SM-5IJGJ 60-69 years, male 136.9
GTEX-15EO6-2926-SM-6M48D 50-59 years, male 136.9
GTEX-1JJE9-3026-SM-CNNPA 70-79 years, male 136.8
GTEX-1C64N-3126-SM-79OO3 50-59 years, male 136.5
GTEX-18A6Q-2826-SM-7LTAO 60-69 years, male 136.2
GTEX-Z93S-2826-SM-57WBL 50-59 years, male 136.1
GTEX-12WSE-2926-SM-5RQJ9 20-29 years, male 135.9
GTEX-145MF-2826-SM-7EPGU 50-59 years, male 135.7
GTEX-13OW5-3126-SM-5MR3Y 60-69 years, male 135.6
GTEX-14JIY-2326-SM-6AJAJ 60-69 years, male 135.6
GTEX-1RNSC-3126-SM-EVR4V 60-69 years, male 135.6
GTEX-13OW6-2926-SM-5KM29 50-59 years, male 135.5
GTEX-P44H-2426-SM-2XCEJ 40-49 years, male 135.4
GTEX-T2IS-2926-SM-32QPO 20-29 years, female 135.3
GTEX-1H3O1-1826-SM-A96TO 60-69 years, male 135.3
GTEX-13JUV-3026-SM-5K7WX 40-49 years, female 135.0
GTEX-ZUA1-2926-SM-59HL3 40-49 years, male 134.9
GTEX-1HB9E-3126-SM-AHZ4M 50-59 years, male 134.7
GTEX-144GL-2926-SM-5O99F 50-59 years, male 134.4
GTEX-1H1ZS-2926-SM-9WPP2 70-79 years, male 134.4
GTEX-11GSO-3026-SM-5Q5AL 60-69 years, male 134.1
GTEX-13PVQ-2926-SM-5L3HJ 50-59 years, male 133.9
GTEX-1I1GV-3026-SM-CNNR9 60-69 years, male 133.9
GTEX-16XZZ-2926-SM-6LPK4 60-69 years, male 133.7
GTEX-1R46S-3126-SM-DPRZ9 60-69 years, female 133.6
GTEX-1CB4G-2926-SM-7MKFQ 60-69 years, male 133.5
GTEX-1IKOH-2826-SM-CNNRC 60-69 years, female 133.4
GTEX-17HG3-2826-SM-7EPGO 30-39 years, female 132.7
GTEX-13N2G-3126-SM-5IJGL 60-69 years, male 132.6
GTEX-14PN4-3026-SM-664O4 50-59 years, male 132.1
GTEX-1IL2V-3026-SM-CYPSA 70-79 years, male 132.1
GTEX-1A3MX-2926-SM-718B7 60-69 years, male 131.9
GTEX-145MH-2926-SM-5Q5D2 50-59 years, male 131.3
GTEX-1F75A-2926-SM-7MXVN 50-59 years, male 131.0
GTEX-Y8DK-0726-SM-4TT3S 60-69 years, male 130.9
GTEX-X4XX-2926-SM-3NMB1 60-69 years, male 130.8
GTEX-111FC-3326-SM-5GZYV 60-69 years, male 130.5
GTEX-14JG1-2926-SM-686ZK 40-49 years, male 130.4
GTEX-14BIN-3326-SM-5Q5E6 50-59 years, female 130.1
GTEX-ZDXO-2926-SM-4WKFM 60-69 years, male 130.1
GTEX-11ZVC-3026-SM-59HJM 50-59 years, female 130.0
GTEX-13FHO-2926-SM-5L3ES 60-69 years, male 130.0
GTEX-ZAB4-2926-SM-57WCV 40-49 years, male 130.0
GTEX-1JMQJ-3126-SM-EV79G 50-59 years, male 129.8
GTEX-NPJ7-2826-SM-2I3FU 60-69 years, female 129.5
GTEX-1QP6S-3026-SM-EAZ4N 40-49 years, male 129.4
GTEX-XLM4-2926-SM-4AT59 60-69 years, male 128.9
GTEX-145LU-2626-SM-5LU9Z 50-59 years, male 128.7
GTEX-12ZZX-2826-SM-5BC6K 40-49 years, female 128.5
GTEX-WVLH-2926-SM-3MJG5 50-59 years, male 128.5
GTEX-14PJM-3026-SM-6LLHM 50-59 years, female 128.2
GTEX-14ASI-2926-SM-5Q5DG 60-69 years, male 128.1
GTEX-12ZZY-2926-SM-5DUXO 60-69 years, male 127.2
GTEX-1EMGI-3126-SM-7MXUR 60-69 years, male 127.2
GTEX-1LSVX-2826-SM-EVR58 60-69 years, male 127.1
GTEX-14BMV-2926-SM-5TDEE 50-59 years, male 127.0
GTEX-1EKGG-3126-SM-9WPO5 60-69 years, male 126.9
GTEX-1PIIG-2826-SM-DTX7O 30-39 years, male 126.9
GTEX-13X6K-2826-SM-5O9DS 60-69 years, female 126.8
GTEX-14PJO-2926-SM-686ZI 60-69 years, male 126.6
GTEX-17EVQ-2726-SM-7EWDT 70-79 years, male 126.5
GTEX-11DXY-3126-SM-5N9BT 60-69 years, male 126.3
GTEX-13S7M-3026-SM-5S2QQ 60-69 years, female 126.3
GTEX-RNOR-2226-SM-2TF5O 50-59 years, female 126.3
GTEX-ZF28-2926-SM-4WKG1 60-69 years, male 126.3
GTEX-11DXW-1026-SM-5H11K 40-49 years, male 126.0
GTEX-13OVH-2926-SM-5IJFH 70-79 years, male 126.0
GTEX-1J1OQ-3126-SM-D4P2O 40-49 years, female 125.7
GTEX-Q2AG-2826-SM-2HMJQ 40-49 years, female 125.1
GTEX-13O3Q-3026-SM-5IJGD 50-59 years, male 125.0
GTEX-1HBPH-3026-SM-9WPNY 40-49 years, female 124.9
GTEX-1B933-3026-SM-731DB 50-59 years, female 124.8
GTEX-16YQH-2926-SM-6LPJE 30-39 years, male 124.7
GTEX-1I1HK-2726-SM-AHZ2M 60-69 years, male 124.3
GTEX-NPJ8-2626-SM-2D7W2 40-49 years, male 124.1
GTEX-QDT8-3026-SM-32PKB 30-39 years, female 124.0
GTEX-14E7W-2926-SM-5S2R8 70-79 years, male 123.8
GTEX-QVJO-1325-SM-2S1QX 60-69 years, female 123.6
GTEX-1PWST-3026-SM-EAZ3H 70-79 years, male 123.6
GTEX-14DAQ-3026-SM-5S2QZ 60-69 years, female 123.5
GTEX-131XH-2926-SM-5LZU4 50-59 years, male 123.3
GTEX-UTHO-2926-SM-3P5Z9 60-69 years, male 123.0
GTEX-11NV4-2226-SM-5BC4T 60-69 years, male 122.9
GTEX-1B8SF-3026-SM-731DX 60-69 years, male 122.8
GTEX-13FHP-2926-SM-5IJG9 50-59 years, male 122.4
GTEX-1HSKV-2926-SM-B2LWJ 60-69 years, male 122.2
GTEX-1JMQK-2926-SM-D4P2T 60-69 years, male 121.8
GTEX-S7SE-2526-SM-2XCDL 50-59 years, male 121.1
GTEX-12WSM-2126-SM-5GCOC 60-69 years, male 120.3
GTEX-11TTK-2826-SM-5GU5K 60-69 years, female 119.6
GTEX-147GR-3126-SM-5S2PM 60-69 years, male 119.6
GTEX-1JJEA-2926-SM-C1YSK 60-69 years, male 119.0
GTEX-1EU9M-2926-SM-793DF 60-69 years, male 118.9
GTEX-14C5O-2926-SM-5RQI1 60-69 years, male 118.3
GTEX-QMR6-1326-SM-32PLB 50-59 years, male 118.2
GTEX-1HSMO-2926-SM-C1YR5 60-69 years, male 118.2
GTEX-1128S-2826-SM-5N9DI 60-69 years, female 117.8
GTEX-11ZUS-2826-SM-5EQKW 30-39 years, male 117.7
GTEX-11DYG-2926-SM-5H132 60-69 years, male 117.6
GTEX-ZVT3-2926-SM-5GU6M 60-69 years, female 117.5
GTEX-ZYFD-2926-SM-5GID9 50-59 years, male 117.4
GTEX-1A8G6-3126-SM-731D8 60-69 years, male 117.3
GTEX-13RTJ-3126-SM-5S2Q4 60-69 years, male 117.1
GTEX-1JMLX-3026-SM-EV79Q 50-59 years, male 116.9
GTEX-1GTWX-2926-SM-7MXV4 60-69 years, male 116.8
GTEX-1H3NZ-2926-SM-9WPQ8 60-69 years, male 116.8
GTEX-17HHY-2926-SM-79OJW 50-59 years, male 116.6
GTEX-1P4AB-3026-SM-EXOJS 50-59 years, male 116.5
GTEX-18465-2926-SM-7KFSE 50-59 years, male 116.3
GTEX-17F97-2926-SM-7DUEQ 50-59 years, male 116.0
GTEX-1GZ4I-2926-SM-9JGGO 50-59 years, male 115.8
GTEX-P44G-2526-SM-2I5EK 30-39 years, male 115.6
GTEX-1IY9M-3126-SM-AHZ3A 60-69 years, male 115.5
GTEX-T5JC-2326-SM-32PMR 20-29 years, male 115.3
GTEX-17EVP-2926-SM-793BU 40-49 years, male 114.6
GTEX-1KANB-3226-SM-D4P3G 50-59 years, male 114.4
GTEX-1HCVE-2926-SM-9WPPJ 50-59 years, male 114.2
GTEX-132Q8-2926-SM-5IFFP 60-69 years, male 113.8
GTEX-ZYY3-3026-SM-5GIEJ 60-69 years, female 113.6
GTEX-15G19-2826-SM-6M48K 60-69 years, male 112.4
GTEX-11ZTS-3226-SM-5EGID 60-69 years, female 112.3
GTEX-14C39-3026-SM-5S2QE 40-49 years, male 111.9
GTEX-1KWVE-2226-SM-CXZKN 30-39 years, male 111.6
GTEX-13X6I-2926-SM-5Q5C3 60-69 years, male 111.1
GTEX-N7MT-1226-SM-DKPOK 60-69 years, female 111.0
GTEX-15DYW-3026-SM-7KFRM 60-69 years, female 110.0
GTEX-13OW8-2926-SM-5L3FV 60-69 years, male 109.3
GTEX-X4EP-3026-SM-3P5YP 60-69 years, female 109.1
GTEX-1IDJH-3126-SM-C1YQS 70-79 years, male 109.1
GTEX-1RQEC-3026-SM-DPRXM 60-69 years, male 107.9
GTEX-17HII-2926-SM-79OMK 50-59 years, male 106.7
GTEX-183WM-2726-SM-7KFRF 70-79 years, female 105.8
GTEX-1LG7Y-3126-SM-EV7AS 50-59 years, male 105.1
GTEX-QVUS-2926-SM-3GIJB 60-69 years, female 104.4
GTEX-PVOW-2626-SM-32PL8 40-49 years, male 104.2
GTEX-1JMOU-2826-SM-EV79R 60-69 years, female 103.6
GTEX-XMD1-2826-SM-4AT5F 60-69 years, male 103.1
GTEX-1JJ6O-3026-SM-C1YQH 60-69 years, male 101.6
GTEX-1CB4H-3026-SM-79OLX 60-69 years, female 100.7
GTEX-13X6J-2926-SM-7EPGP 50-59 years, male 99.9
GTEX-11O72-2826-SM-5HL6W 40-49 years, male 99.8
GTEX-1JMPZ-2826-SM-C1YRA 30-39 years, male 99.7
GTEX-1R9PO-2826-SM-E6CPV 60-69 years, female 98.6
GTEX-TSE9-2926-SM-3DB77 60-69 years, female 92.4
GTEX-145LS-3026-SM-5O99S 60-69 years, female 92.2
Show allShow less

CEREBELLUM - FANTOM5 CAGEi

RNA expression in human tissues obtained through Cap Analysis of Gene Expression (CAGE) generated by the FANTOM5 project are reported as Scaled Tags Per Million.

Max subtype Scaled Tags Per Millioni

Max subtype Scaled Tags Per Million is the value for the subtype with the largest average Scaled Tags Per Million across the subtype samples.

28.2
FANTOM5 sample id Sample description Scaled Tags Per Million
Cerebellum
Scaled Tags Per Million: 28.2
FF:10083-102B2 22-68 years, mixed 31.2
FF:10166-103B4 76 years, female 25.3

CEREBELLUM - Pig RNA-seqi

RNA-seq data obtained from pig brain is reported as nTPM .

Normal distribution across the dataset is visualized with box plots, shown as median and 25th and 75th percentiles. Points are displayed as outliers if they are above or below 1.5 times the interquartile range. nTPM values of the individual samples are presented next to the box plot.
Max subtype nTPMi

Max subtype nTPM is the value for the subtype with the largest average nTPM across the subtype samples.

159.0
Pig sample Sample description nTPM
Cerebellum
nTPM: 159.0
Samples: 4

Max nTPM: 186.0
Min nTPM: 131.5
Sample A Female 186.0
Sample B Female 164.2
Sample C Male 131.5
Sample D Male 154.3

CEREBELLUM - Mouse RNA-seqi

RNA-seq data obtained from mouse brain is reported as nTPM .

Normal distribution across the dataset is visualized with box plots, shown as median and 25th and 75th percentiles. Points are displayed as outliers if they are above or below 1.5 times the interquartile range. nTPM values of the individual samples are presented next to the box plot.
Max subtype nTPMi

Max subtype nTPM is the value for the subtype with the largest average nTPM across the subtype samples.

121.7
Mouse sample Sample description nTPM
Cerebellum
nTPM: 121.7
Samples: 4

Max nTPM: 129.2
Min nTPM: 114.5
Sample A Male 123.9
Sample B Male 114.5
Sample C Female 119.3
Sample D Female 129.2

CEREBELLUM - Allen Mouse ISHi

In situ hybridization (ISH) data generated by the Allen brain atlas from mouse brain is reported as expression energy. For more details about a particular experiment, click on the corresponding Allen experiment ID.

Max subtype Expression energyi

Max subtype Expression energy is the value for the subtype with the largest average Expression energy across the subtype samples.

1.0
Allen experiment id Experiment description Expression energy
Cerebellum
Expression energy: 1.0
743 Antisense, RP_Baylor_103125, Mouse strain C57BL/6J (56 days, male) 1.7
68341460 Antisense, RP_041207_01_F02, Mouse strain C57BL/6J (56 days, male) 0.2

Contact

  • NEWS ARTICLES
  • PRESS ROOM

The Project

  • INTRODUCTION
  • ORGANIZATION
  • PUBLICATIONS

The Human Protein Atlas

  • DOWNLOADABLE DATA
  • LICENCE & CITATION
  • HELP & FAQ
The Human Protein Atlas project is funded
by the Knut & Alice Wallenberg Foundation.


contact@proteinatlas.org