We use cookies to enhance the usability of our website. If you continue, we'll assume that you are happy to receive all cookies. More information. Don't show this again.
ACTB
HPA
RESOURCES
  • TISSUE
  • BRAIN
  • SINGLE CELL
  • SUBCELLULAR
  • CANCER
  • BLOOD
  • CELL LINE
  • STRUCTURE & INTERACTION
ABOUT
  • INTRODUCTION
  • HISTORY
  • ORGANIZATION
  • PUBLICATIONS
  • ANTIBODY SUBMISSION
  • ANTIBODY AVAILABILITY
  • ACKNOWLEDGMENTS
  • CONTACT
NEWS
  • NEWS ARTICLES
  • PRESS ROOM
LEARN
  • DICTIONARY
  • PROTEIN CLASSES
  • PROTEIN EVIDENCE
  • METHODS
  • EDUCATIONAL VIDEOS
DATA
  • DOWNLOADABLE DATA
  • PUBLICATION DATA
  • RELEASE HISTORY
HELP
  • ANTIBODY VALIDATION
  • ASSAYS & ANNOTATION
  • DISCLAIMER
  • HELP & FAQ
  • PRIVACY STATEMENT
  • LICENCE & CITATION
Fields »
Search result

Field
Term
Gene name
Class
Subclass
Class
Keyword
Chromosome
External id
Tissue
Cell type
Expression
Antibody panel
Tissue
Main location
Patient ID
Annotation
Tissue
Category
Tau score
Cluster
Reliability
Brain region
Category
Tau score
Brain region
Category
Tau score
Brain region
Category
Tau score
Cluster
Reliability
Tissue
Cell type
Enrichment
Cell type
Category
Tau score
Cell type
Category
Tau score
Cell type
Category
Tau score
Cell lineage
Category
Tau score
Cluster
Cluster
Location
Searches
Location
Cell line
Class
Type
Phase
Reliability
Cancer
Prognosis
Cancer
Category
Cancer
Category
Tau score
Cluster
Variants
Interacting gene (ensg_id)
Type
Number of interactions
Pathway
Category
Score
Score
Score
Validation
Validation
Validation
Validation
Antibodies
Data type
Column


  • SUMMARY

  • TISSUE

  • BRAIN

  • SINGLE CELL

  • SUBCELL

  • CANCER

  • BLOOD

  • CELL LINE

  • STRUCT & INT

  • ACTB
TISSUE PRIMARY DATA SALIVARY GLAND Show tissue menu
ADIPOSE TISSUE ADRENAL GLAND AMYGDALA APPENDIX BASAL GANGLIA BONE MARROW BREAST BRONCHUS CEREBELLUM CEREBRAL CORTEX CERVIX CHOROID PLEXUS COLON DUODENUM
ENDOMETRIUM EPIDIDYMIS ESOPHAGUS FALLOPIAN TUBE GALLBLADDER HEART MUSCLE HIPPOCAMPAL FORMATION HYPOTHALAMUS KIDNEY LIVER LUNG LYMPH NODE MIDBRAIN NASOPHARYNX
ORAL MUCOSA OVARY PANCREAS PARATHYROID GLAND PITUITARY GLAND PLACENTA PROSTATE RECTUM RETINA SALIVARY GLAND SEMINAL VESICLE SKELETAL MUSCLE SKIN SMALL INTESTINE
SMOOTH MUSCLE SOFT TISSUE SPINAL CORD SPLEEN STOMACH TESTIS THYMUS THYROID GLAND TONGUE TONSIL URINARY BLADDER VAGINA
ANTIBODIES
AND
VALIDATION
Dictionary
Salivary gland
Tissue proteome
Salivary gland
SALIVARY GLAND - Expression summary
Protein expression
Salivary glandi

On the top, protein expression in current human tissue, based on all annotated cell types, is reported with the units not detected (n), low (l), medium (m) and high (h). Underneath, protein expression in each annotated cell type are reported using the same units.

Protein expression data is based on knowledge-based annotation. For genes where more than one antibody has been used, a collective score is set.

If knowledge-based annotation could not be performed for a gene, no data is displayed here. View antibody staining data further down this page.

h
m
l
n
Glandular cells: Low
RNA expressioni

A summary of mRNA expression data available for current tissue based on several datasets. The mRNA expression levels in human tissues are based on RNA-seq data generated by the Human Protein Atlas (HPA), Genotype-Tissue Expression (GTEx) portal and CAGE data generated by the FANTOM5 consortium. Consensus normalized expression levels for human tissues was created by combining the data from HPA and GTEx datasets.

The mRNA expression levels in pig are based on RNA-seq data generated by the Human Protein Atlas (HPA), and for mouse, HPA data and in situ hybridization generated by the Allen brain atlas are reported.

Scroll down to view mRNA expression data in more detail.
Consensus:1426.7 nTPM
HPA:1083.0 nTPM
GTEx:1426.7 nTPM
FANTOM5:2875.9 Scaled Tags Per Million

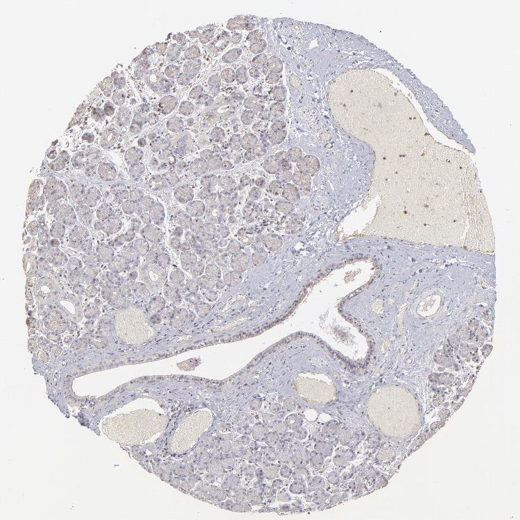
SALIVARY GLAND - Antibody stainingi

Antibody staining in the annotated cell types in the current human tissue is reported as not detected, low, medium, or high, based on conventional immunohistochemistry profiling in selected tissues. This score is based on the combination of the staining intensity and fraction of stained cells.

Each image is clickable and will lead to virtual microscopy that enables deeper exploration of all samples and also displays staining intensity scores, fraction scores and subcellular localization as well as patient and tissue information for each sample.

Antibody HPA041264Antibody HPA041271Antibody CAB002621
Glandular cells MediumLowLow







SALIVARY GLAND - HPA RNA-seqi

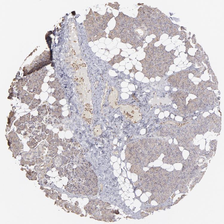
The RNA-seq details section shows detailed information about the individual samples used for the transcript profiling and results of the RNA-seq analysis.

Information about each individual sample is listed below, including gender, age, a tissue section image and estimated fractions of cell types. nTPM (normalized transcripts per million) values give a quantification of the gene abundance which is comparable between different genes and samples.
Average nTPMi

Max subtype nTPM is the value for the subtype with the largest average nTPM across the subtype samples.

1083.0
overview
Female, age 68
Salivary gland sample 216
nTPM: 1336
Cell types%
Glandular cells:
45

Ductal cells:
25

Adipocytes:
5

Other cell types:
25

overview
Male, age 60
Salivary gland sample 217
nTPM: 770.7
Cell types%
Glandular cells:
55

Ductal cells:
20

Adipocytes:
5

Endothelial cells:
5

Other cell types:
15

overview
Female, age 21
Salivary gland sample 218
nTPM: 1142.3
Cell types%
Glandular cells:
55

Ductal cells:
15

Adipocytes:
5

Endothelial cells:
5

Other cell types:
20


SALIVARY GLAND - GTEx RNA-seqi

RNA-Seq data generated by the Genotype-Tissue Expression (GTEx) project from human tissues is reported as mean nTPM. More information can be found on the GTEx portal.

Distribution across the dataset is visualized with box plots, shown as median and 25th and 75th percentiles. Points are displayed as outliers if they are above or below 1.5 times the interquartile range. nTPM values of the individual samples are presented next to the box plot.
Max subtype nTPMi

Max subtype nTPM is the value for the subtype with the largest average nTPM across the subtype samples.

1426.7
GTEx sample id Sample description nTPM
Minor Salivary Gland
Average nTPM: 1426.7
Samples: 162

Max nTPM: 3921.3
Min nTPM: 515.2
Std nTPM: 645.7
Median nTPM: 1191.0
GTEX-ZAB5-2326-SM-5IJFR 50-59 years, male 3921.3
GTEX-Y5LM-1826-SM-4VDT9 40-49 years, female 3511.0
GTEX-11EMC-2526-SM-5PNVU 60-69 years, female 3211.6
GTEX-ZA64-1726-SM-5CVMF 20-29 years, male 3100.0
GTEX-ZLWG-2026-SM-DO11F 50-59 years, female 2958.9
GTEX-13OVI-2326-SM-5KM47 60-69 years, female 2796.8
GTEX-1PPH8-1526-SM-E6CQO 20-29 years, male 2729.1
GTEX-XV7Q-2426-SM-4BRV8 40-49 years, female 2683.5
GTEX-18QFQ-0626-SM-718AW 30-39 years, male 2620.8
GTEX-1C64O-0626-SM-7DHL1 60-69 years, male 2601.2
GTEX-ZQG8-2126-SM-4YCF1 60-69 years, female 2599.1
GTEX-1PIEJ-0626-SM-DTX99 20-29 years, female 2500.7
GTEX-11ZTS-3026-SM-5EQM7 60-69 years, female 2492.8
GTEX-WY7C-1426-SM-4OND1 50-59 years, male 2460.0
GTEX-ZPU1-2326-SM-57WEP 40-49 years, male 2437.8
GTEX-XMK1-2626-SM-4B65R 40-49 years, male 2416.0
GTEX-1OJC3-1026-SM-E6CQK 20-29 years, male 2365.5
GTEX-ZXG5-2826-SM-5NQ8T 60-69 years, male 2344.7
GTEX-ZF29-2126-SM-DNZYX 60-69 years, female 2289.0
GTEX-13QBU-2126-SM-5KLZN 40-49 years, female 2252.0
GTEX-131XH-2626-SM-5GCNP 50-59 years, male 2221.4
GTEX-WFJO-2026-SM-4LVM3 30-39 years, male 2220.9
GTEX-1QP9N-2026-SM-DPRZT 30-39 years, male 2210.3
GTEX-1I6K7-0926-SM-A96SV 40-49 years, male 2199.8
GTEX-15EU6-2626-SM-7KUN4 50-59 years, male 2173.3
GTEX-13111-2326-SM-5LZUQ 50-59 years, male 2172.5
GTEX-1I4MK-1326-SM-B2LWT 50-59 years, female 2153.3
GTEX-18A67-0626-SM-7KFSL 50-59 years, male 2148.7
GTEX-1HCU7-0126-SM-C1YR3 50-59 years, male 2087.4
GTEX-WH7G-2126-SM-4M1XU 40-49 years, male 2067.1
GTEX-14PN4-2526-SM-686ZG 50-59 years, male 2058.2
GTEX-1192X-2926-SM-5N9BA 50-59 years, male 2033.3
GTEX-1R9K5-0626-SM-DPRZB 50-59 years, male 2030.2
GTEX-ZLFU-2226-SM-EXUS7 40-49 years, male 2002.7
GTEX-11P81-2026-SM-5P9GT 30-39 years, female 1983.5
GTEX-YB5K-1726-SM-5IFIZ 40-49 years, female 1958.2
GTEX-ZP4G-1926-SM-57WDZ 20-29 years, female 1909.0
GTEX-ZT9W-2126-SM-51MSF 50-59 years, male 1850.7
GTEX-1QCLZ-2526-SM-EXUST 60-69 years, female 1818.3
GTEX-YF7O-2226-SM-5CVN8 50-59 years, male 1783.0
GTEX-11WQK-2926-SM-5EQKT 50-59 years, male 1745.4
GTEX-1S83E-0626-SM-E9TKC 40-49 years, male 1741.4
GTEX-11P82-0926-SM-5986X 20-29 years, male 1715.5
GTEX-1GPI7-0326-SM-7MKH6 20-29 years, male 1699.2
GTEX-1AYD5-2726-SM-7MXVG 50-59 years, male 1698.1
GTEX-1C6VR-0726-SM-7P8OV 60-69 years, male 1682.7
GTEX-14E1K-2626-SM-664OJ 50-59 years, male 1679.4
GTEX-1EH9U-2926-SM-7DHLX 60-69 years, male 1674.3
GTEX-17KNJ-2726-SM-7KFRE 50-59 years, male 1651.1
GTEX-X261-2426-SM-4PQZU 50-59 years, male 1624.3
GTEX-18D9U-2226-SM-7KFTN 40-49 years, male 1616.7
GTEX-1CB4I-2526-SM-7MKG1 50-59 years, male 1579.6
GTEX-14PJ3-1526-SM-664O9 50-59 years, male 1572.7
GTEX-1JKYR-0726-SM-AHZ3K 20-29 years, male 1568.1
GTEX-1AX8Z-0626-SM-731EH 60-69 years, male 1547.0
GTEX-1HR9M-2526-SM-A9G3J 60-69 years, male 1546.0
GTEX-15CHC-1226-SM-686ZH 60-69 years, female 1533.1
GTEX-1JN1M-2426-SM-ARU93 60-69 years, female 1530.7
GTEX-Y3I4-1926-SM-4TT8L 50-59 years, male 1526.6
GTEX-1MGNQ-1926-SM-DTX8L 40-49 years, male 1491.6
GTEX-145ME-1626-SM-5RQI3 40-49 years, female 1486.2
GTEX-12WSN-2226-SM-5DUXT 40-49 years, male 1443.2
GTEX-12BJ1-2226-SM-5BC6G 60-69 years, male 1398.2
GTEX-13CF2-2426-SM-5LZYL 60-69 years, male 1383.6
GTEX-1339X-2326-SM-5HL5B 40-49 years, male 1383.2
GTEX-Y5V6-2226-SM-4VDTC 60-69 years, male 1383.1
GTEX-12WSL-2126-SM-5GCNG 50-59 years, male 1346.4
GTEX-1AX9K-2126-SM-72D7K 50-59 years, male 1342.1
GTEX-WHSB-2326-SM-4M1XK 50-59 years, male 1340.5
GTEX-11EQ9-2026-SM-5P9JI 30-39 years, male 1303.5
GTEX-13OVK-1826-SM-6PALE 40-49 years, male 1294.3
GTEX-13JVG-2926-SM-5J2N9 60-69 years, male 1283.9
GTEX-1HFI7-2426-SM-B2LXV 50-59 years, female 1274.9
GTEX-178AV-1426-SM-6LLID 40-49 years, male 1274.5
GTEX-13QJC-2326-SM-5Q5CD 60-69 years, female 1260.1
GTEX-1IY9M-2926-SM-A96TH 60-69 years, male 1229.9
GTEX-1R9PO-2626-SM-E6CPU 60-69 years, female 1226.5
GTEX-X15G-2126-SM-4PQZR 50-59 years, female 1210.1
GTEX-1NSGN-0626-SM-E9J35 50-59 years, male 1203.5
GTEX-1J8QM-1826-SM-A96TA 60-69 years, female 1202.7
GTEX-1QEPI-0626-SM-E76QE 60-69 years, female 1197.0
GTEX-14PJN-1726-SM-69LO7 30-39 years, male 1184.9
GTEX-WYVS-2026-SM-4RGNS 40-49 years, female 1181.9
GTEX-1MCC2-2226-SM-EV7AJ 30-39 years, female 1179.2
GTEX-1J8EW-2826-SM-A96T9 60-69 years, female 1149.0
GTEX-1IE54-0826-SM-AHZ2Z 40-49 years, female 1142.7
GTEX-13O21-1926-SM-5MR39 50-59 years, male 1142.6
GTEX-1GN1W-2526-SM-9JGHX 50-59 years, female 1137.5
GTEX-ZG7Y-2426-SM-DO11H 50-59 years, male 1130.5
GTEX-13113-1526-SM-5EGHV 60-69 years, female 1119.9
GTEX-17MFQ-1626-SM-7938Z 20-29 years, male 1116.6
GTEX-1B97J-2126-SM-79OL6 50-59 years, female 1116.5
GTEX-1QMI2-0426-SM-EWRND 60-69 years, male 1109.0
GTEX-1GF9X-0226-SM-7P8SM 40-49 years, female 1107.7
GTEX-1LC47-2426-SM-DHXKK 60-69 years, male 1099.1
GTEX-1LVA9-2526-SM-EVR5H 50-59 years, male 1097.7
GTEX-1314G-2026-SM-5LZUM 30-39 years, male 1092.1
GTEX-1IDJC-1626-SM-AHZ2R 50-59 years, male 1091.3
GTEX-1KANC-1326-SM-CYPT8 50-59 years, female 1083.0
GTEX-1GMR2-2026-SM-7MKHK 50-59 years, male 1071.3
GTEX-1HSEH-1826-SM-A96SA 60-69 years, male 1068.5
GTEX-1I1HK-2526-SM-A96SM 60-69 years, male 1064.9
GTEX-1POEN-2226-SM-DPRXV 30-39 years, female 1054.1
GTEX-1LKK1-2926-SM-EVR4Z 50-59 years, female 1047.7
GTEX-1A3MV-1726-SM-72D68 30-39 years, male 1045.4
GTEX-1HSMQ-0926-SM-A96SI 50-59 years, male 1035.7
GTEX-131XF-2826-SM-5EGKH 60-69 years, male 1032.1
GTEX-111FC-2926-SM-5GZY7 60-69 years, male 1020.9
GTEX-1117F-3026-SM-5GZYU 60-69 years, female 1010.5
GTEX-1GTWX-2526-SM-9JGHG 60-69 years, male 1005.6
GTEX-1GN1V-2926-SM-9JGI3 60-69 years, male 998.3
GTEX-1J1R8-1826-SM-AHZ3B 40-49 years, male 990.9
GTEX-WOFM-2126-SM-4OOSR 20-29 years, male 988.0
GTEX-1RAZA-0626-SM-EAZ4H 20-29 years, male 985.2
GTEX-1IDJD-2526-SM-C1YSA 30-39 years, male 971.8
GTEX-13G51-2426-SM-5LZY8 60-69 years, male 970.8
GTEX-1JN6P-2526-SM-CNNPX 60-69 years, male 969.4
GTEX-18A7B-2826-SM-7KFTK 70-79 years, male 960.2
GTEX-1KD4Q-2526-SM-CXZKL 40-49 years, male 960.1
GTEX-1AMEY-1126-SM-72D79 30-39 years, female 952.7
GTEX-146FR-1226-SM-5SIA7 60-69 years, female 947.1
GTEX-1R9PM-1726-SM-E8VOA 20-29 years, male 938.3
GTEX-13NYB-2426-SM-5IFF4 40-49 years, male 930.4
GTEX-14B4R-1426-SM-5Q5CG 30-39 years, male 923.8
GTEX-X5EB-1726-SM-4E3J7 40-49 years, male 923.5
GTEX-15RJE-2726-SM-6LPJ1 40-49 years, male 921.7
GTEX-ZC5H-2726-SM-5KLZW 40-49 years, female 919.1
GTEX-1B8SF-1826-SM-731DJ 60-69 years, male 917.0
GTEX-11TUW-2426-SM-5EQKB 60-69 years, male 915.8
GTEX-11NV4-1926-SM-5N9D4 60-69 years, male 904.9
GTEX-Y111-2626-SM-4TT24 50-59 years, male 904.4
GTEX-1R9K4-0526-SM-E76P1 60-69 years, male 900.7
GTEX-13OVL-2926-SM-5IFG3 50-59 years, male 897.8
GTEX-1MCQQ-2226-SM-DLHC4 60-69 years, male 895.3
GTEX-12WSM-1826-SM-5BC64 60-69 years, male 890.4
GTEX-1OJC4-3126-SM-EXOJK 50-59 years, female 887.8
GTEX-1RNSC-2926-SM-EV79L 60-69 years, male 855.0
GTEX-1B932-0626-SM-731EM 40-49 years, female 850.3
GTEX-11ZTT-2226-SM-5CVLP 60-69 years, female 843.4
GTEX-1I6K6-0626-SM-ARU7J 30-39 years, male 836.5
GTEX-1LVAO-2626-SM-EVR4S 60-69 years, male 828.3
GTEX-1445S-2926-SM-5O993 60-69 years, male 814.8
GTEX-ZE7O-2926-SM-51MSG 50-59 years, female 814.4
GTEX-13VXT-1726-SM-5IFF5 20-29 years, female 809.7
GTEX-1P4AB-2926-SM-EXOJR 50-59 years, male 808.7
GTEX-1LBAC-0626-SM-D3L9T 20-29 years, male 804.9
GTEX-15SHV-2226-SM-6M464 60-69 years, male 800.7
GTEX-1IOXB-2826-SM-AHZ32 50-59 years, male 785.4
GTEX-ZQUD-2126-SM-51MSY 30-39 years, male 784.8
GTEX-1B8KZ-1726-SM-73KV7 50-59 years, male 779.4
GTEX-1HSGN-0626-SM-A9G2E 40-49 years, female 764.5
GTEX-1C4CL-2026-SM-731EB 30-39 years, male 753.9
GTEX-1C64N-2926-SM-79OLM 50-59 years, male 744.4
GTEX-XGQ4-2626-SM-4AT6B 50-59 years, male 734.2
GTEX-X3Y1-1926-SM-4PQZO 40-49 years, male 733.1
GTEX-1KD5A-2226-SM-EV79U 50-59 years, male 726.2
GTEX-1S82P-0726-SM-EVR4O 60-69 years, female 718.8
GTEX-1GZ2Q-2526-SM-9KNVW 40-49 years, male 705.1
GTEX-1LSNL-2626-SM-EV7AT 50-59 years, male 690.8
GTEX-1H1CY-2326-SM-9OSXW 60-69 years, female 663.7
GTEX-1H4P4-2026-SM-9WPNV 50-59 years, male 584.5
GTEX-14JIY-3026-SM-6EU1R 60-69 years, male 515.2
Show allShow less

SALIVARY GLAND - FANTOM5 CAGEi

RNA expression in human tissues obtained through Cap Analysis of Gene Expression (CAGE) generated by the FANTOM5 project are reported as Scaled Tags Per Million.

Max subtype Scaled Tags Per Millioni

Max subtype Scaled Tags Per Million is the value for the subtype with the largest average Scaled Tags Per Million across the subtype samples.

2875.9
FANTOM5 sample id Sample description Scaled Tags Per Million
Parotid gland
Scaled Tags Per Million: 2875.9
FF:10199-103F1 23 years, male 2875.9
Salivary gland
Scaled Tags Per Million: 2604.6
FF:10093-102C3 16-60 years, mixed 2604.6
Submaxillary gland
Scaled Tags Per Million: 2419.9
FF:10202-103F4 24 years, male 2419.9

Contact

  • NEWS ARTICLES
  • PRESS ROOM

The Project

  • INTRODUCTION
  • ORGANIZATION
  • PUBLICATIONS

The Human Protein Atlas

  • DOWNLOADABLE DATA
  • LICENCE & CITATION
  • HELP & FAQ
The Human Protein Atlas project is funded
by the Knut & Alice Wallenberg Foundation.


contact@proteinatlas.org