We use cookies to enhance the usability of our website. If you continue, we'll assume that you are happy to receive all cookies. More information. Don't show this again.
CYB5R3
HPA
RESOURCES
  • TISSUE
  • BRAIN
  • SINGLE CELL
  • SUBCELLULAR
  • CANCER
  • BLOOD
  • CELL LINE
  • STRUCTURE & INTERACTION
ABOUT
  • INTRODUCTION
  • HISTORY
  • ORGANIZATION
  • PUBLICATIONS
  • ANTIBODY SUBMISSION
  • ANTIBODY AVAILABILITY
  • ACKNOWLEDGMENTS
  • CONTACT
NEWS
  • NEWS ARTICLES
  • PRESS ROOM
LEARN
  • DICTIONARY
  • PROTEIN CLASSES
  • PROTEIN EVIDENCE
  • METHODS
  • EDUCATIONAL VIDEOS
DATA
  • DOWNLOADABLE DATA
  • PUBLICATION DATA
  • RELEASE HISTORY
HELP
  • ANTIBODY VALIDATION
  • ASSAYS & ANNOTATION
  • DISCLAIMER
  • HELP & FAQ
  • PRIVACY STATEMENT
  • LICENCE & CITATION
Fields »
Search result

Field
Term
Gene name
Class
Subclass
Class
Keyword
Chromosome
External id
Tissue
Cell type
Expression
Antibody panel
Tissue
Main location
Patient ID
Annotation
Tissue
Category
Tau score
Cluster
Reliability
Brain region
Category
Tau score
Brain region
Category
Tau score
Brain region
Category
Tau score
Cluster
Reliability
Tissue
Cell type
Enrichment
Cell type
Category
Tau score
Cell type
Category
Tau score
Cell type
Category
Tau score
Cell lineage
Category
Tau score
Cluster
Cluster
Location
Searches
Location
Cell line
Class
Type
Phase
Reliability
Cancer
Prognosis
Cancer
Category
Cancer
Category
Tau score
Cluster
Variants
Interacting gene (ensg_id)
Type
Number of interactions
Pathway
Category
Score
Score
Score
Validation
Validation
Validation
Validation
Antibodies
Data type
Column


  • SUMMARY

  • TISSUE

  • BRAIN

  • SINGLE CELL

  • SUBCELL

  • CANCER

  • BLOOD

  • CELL LINE

  • STRUCT & INT

  • CYB5R3
TISSUE PRIMARY DATA PROSTATE Show tissue menu
ADIPOSE TISSUE ADRENAL GLAND AMYGDALA APPENDIX BASAL GANGLIA BONE MARROW BREAST BRONCHUS CEREBELLUM CEREBRAL CORTEX CERVIX CHOROID PLEXUS COLON DUODENUM
ENDOMETRIUM EPIDIDYMIS ESOPHAGUS FALLOPIAN TUBE GALLBLADDER HEART MUSCLE HIPPOCAMPAL FORMATION HYPOTHALAMUS KIDNEY LIVER LUNG LYMPH NODE MIDBRAIN NASOPHARYNX
ORAL MUCOSA OVARY PANCREAS PARATHYROID GLAND PITUITARY GLAND PLACENTA PROSTATE RECTUM RETINA SALIVARY GLAND SEMINAL VESICLE SKELETAL MUSCLE SKIN SMALL INTESTINE
SMOOTH MUSCLE SOFT TISSUE SPINAL CORD SPLEEN STOMACH TESTIS THYMUS THYROID GLAND TONGUE TONSIL URINARY BLADDER VAGINA
ANTIBODIES
AND
VALIDATION
Dictionary
Prostate
Tissue proteome
Prostate
PROSTATE - Expression summary
Protein expression
Prostatei

On the top, protein expression in current human tissue, based on all annotated cell types, is reported with the units not detected (n), low (l), medium (m) and high (h). Underneath, protein expression in each annotated cell type are reported using the same units.

Protein expression data is based on knowledge-based annotation. For genes where more than one antibody has been used, a collective score is set.

If knowledge-based annotation could not be performed for a gene, no data is displayed here. View antibody staining data further down this page.

h
m
l
n
Glandular cells: Low
RNA expressioni

A summary of mRNA expression data available for current tissue based on several datasets. The mRNA expression levels in human tissues are based on RNA-seq data generated by the Human Protein Atlas (HPA), Genotype-Tissue Expression (GTEx) portal and CAGE data generated by the FANTOM5 consortium. Consensus normalized expression levels for human tissues was created by combining the data from HPA and GTEx datasets.

The mRNA expression levels in pig are based on RNA-seq data generated by the Human Protein Atlas (HPA), and for mouse, HPA data and in situ hybridization generated by the Allen brain atlas are reported.

Scroll down to view mRNA expression data in more detail.
Consensus:175.7 nTPM
HPA:107.0 nTPM
GTEx:175.7 nTPM
FANTOM5:257.5 Scaled Tags Per Million

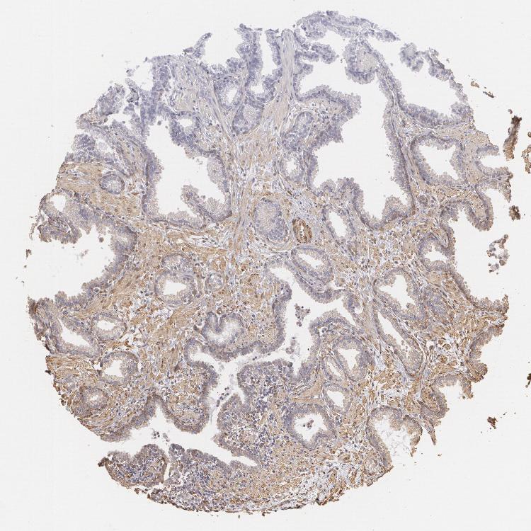
PROSTATE - Antibody stainingi

Antibody staining in the annotated cell types in the current human tissue is reported as not detected, low, medium, or high, based on conventional immunohistochemistry profiling in selected tissues. This score is based on the combination of the staining intensity and fraction of stained cells.

Each image is clickable and will lead to virtual microscopy that enables deeper exploration of all samples and also displays staining intensity scores, fraction scores and subcellular localization as well as patient and tissue information for each sample.

Antibody HPA001566
Glandular cells Low



PROSTATE - HPA RNA-seqi

The RNA-seq details section shows detailed information about the individual samples used for the transcript profiling and results of the RNA-seq analysis.

Information about each individual sample is listed below, including gender, age, a tissue section image and estimated fractions of cell types. nTPM (normalized transcripts per million) values give a quantification of the gene abundance which is comparable between different genes and samples.
Average nTPMi

Max subtype nTPM is the value for the subtype with the largest average nTPM across the subtype samples.

107.0
overview
Male, age 62
Prostate sample 59
nTPM: 139
Cell types%
Glandular cells:
30

Smooth muscle cells:
55

Skeletal muscle cells:
5

Other cell types:
10

N/A
Male, age 65
Prostate sample 205
nTPM: 140.1
Cell types%
Glandular cells:
20

Smooth muscle cells:
60

Other cell types:
20

overview
Male, age 65
Prostate sample 206
nTPM: 130.7
Cell types%
Glandular cells:
30

Smooth muscle cells:
65

Other cell types:
5

overview
Male, age 68
Prostate sample 207
nTPM: 149.4
Cell types%
Glandular cells:
30

Smooth muscle cells:
65

Other cell types:
5

overview
Male, age 60
Prostate sample 361
nTPM: 67.9
Cell types%
Glandular cells:
40

Smooth muscle cells:
55

Other cell types:
5

overview
Male, age 66
Prostate sample 364
nTPM: 100
Cell types%
Glandular cells:
50

Smooth muscle cells:
45

Other cell types:
5

overview
Male, age 63
Prostate sample 365
nTPM: 89.6
Cell types%
Glandular cells:
60

Smooth muscle cells:
35

Other cell types:
5

overview
Male, age 66
Prostate sample 388
nTPM: 77.4
Cell types%
Glandular cells:
65

Smooth muscle cells:
30

Other cell types:
5

overview
Male, age 58
Prostate sample 412
nTPM: 68.4
Cell types%
Glandular cells:
45

Smooth muscle cells:
50

Other cell types:
5


PROSTATE - GTEx RNA-seqi

RNA-Seq data generated by the Genotype-Tissue Expression (GTEx) project from human tissues is reported as mean nTPM. More information can be found on the GTEx portal.

Distribution across the dataset is visualized with box plots, shown as median and 25th and 75th percentiles. Points are displayed as outliers if they are above or below 1.5 times the interquartile range. nTPM values of the individual samples are presented next to the box plot.
Max subtype nTPMi

Max subtype nTPM is the value for the subtype with the largest average nTPM across the subtype samples.

175.7
GTEx sample id Sample description nTPM
Prostate
Average nTPM: 175.7
Samples: 245

Max nTPM: 433.5
Min nTPM: 81.8
Std nTPM: 51.1
Median nTPM: 162.0
GTEX-1KXAM-1126-SM-E9TJU 60-69 years, male 433.5
GTEX-1PWST-2626-SM-E8VN8 70-79 years, male 415.4
GTEX-1S3DN-1926-SM-E6CIR 50-59 years, male 352.4
GTEX-1GN73-1626-SM-9WYTS 60-69 years, male 334.8
GTEX-1PFEY-0626-SM-E76PH 30-39 years, male 330.9
GTEX-1AX9J-1426-SM-731BV 60-69 years, male 328.2
GTEX-WK11-2626-SM-4OOSK 50-59 years, male 322.3
GTEX-14PJ3-1726-SM-5ZZVH 50-59 years, male 302.6
GTEX-Y8E4-2126-SM-5RQHO 40-49 years, male 290.1
GTEX-1S5ZA-1626-SM-E9TKG 20-29 years, male 287.8
GTEX-T5JC-1226-SM-4DM7C 20-29 years, male 281.1
GTEX-ZG7Y-2226-SM-DO92I 50-59 years, male 280.2
GTEX-11DXZ-1826-SM-5H12Y 50-59 years, male 279.8
GTEX-SUCS-1126-SM-4DM61 70-79 years, male 278.6
GTEX-1HBPN-2126-SM-9WPNQ 50-59 years, male 268.8
GTEX-OOBK-2025-SM-3LK5S 40-49 years, male 264.6
GTEX-15RIF-1526-SM-6M46K 20-29 years, male 259.6
GTEX-13G51-2326-SM-5LZXV 60-69 years, male 257.1
GTEX-16MTA-1426-SM-6PALY 50-59 years, male 248.0
GTEX-15CHR-1226-SM-79OON 50-59 years, male 246.8
GTEX-17HHE-1126-SM-793BS 50-59 years, male 246.5
GTEX-14DAR-1026-SM-73KV3 50-59 years, male 244.5
GTEX-1N2EE-1026-SM-EXUS8 60-69 years, male 241.0
GTEX-1I6K7-2326-SM-ARZM2 40-49 years, male 240.9
GTEX-WFON-1626-SM-4LVMV 40-49 years, male 240.1
GTEX-13111-1326-SM-5GCNO 50-59 years, male 238.9
GTEX-147JS-2826-SM-5YYA7 60-69 years, male 236.2
GTEX-XGQ4-1826-SM-4AT6F 50-59 years, male 234.2
GTEX-11OF3-1726-SM-5GU5Q 60-69 years, male 233.9
GTEX-14C5O-2826-SM-5RQI6 60-69 years, male 231.9
GTEX-11NSD-0826-SM-5986S 20-29 years, male 229.8
GTEX-12BJ1-1226-SM-5LUAE 60-69 years, male 227.6
GTEX-1JMLX-1226-SM-CY8HW 50-59 years, male 226.6
GTEX-S4Q7-1026-SM-4AD75 20-29 years, male 221.5
GTEX-12WSN-5007-SM-7MGWH 40-49 years, male 221.4
GTEX-1EKGG-2826-SM-7MGXA 60-69 years, male 216.9
GTEX-1AX9I-2326-SM-7PBXV 60-69 years, male 216.8
GTEX-XPVG-2026-SM-4B65E 50-59 years, male 216.7
GTEX-1AX9K-1526-SM-73KVP 50-59 years, male 216.0
GTEX-P4QS-2026-SM-3NMCG 60-69 years, male 214.3
GTEX-13O21-1126-SM-5N9EV 50-59 years, male 213.9
GTEX-1HSMO-2326-SM-CGQF3 60-69 years, male 211.9
GTEX-12ZZZ-2026-SM-5LZWJ 60-69 years, male 211.0
GTEX-14PJ4-1226-SM-5YY9U 60-69 years, male 208.9
GTEX-T8EM-1826-SM-4DM7F 40-49 years, male 206.6
GTEX-YJ8A-1126-SM-5IFJU 20-29 years, male 206.1
GTEX-ZDYS-1226-SM-5IJF3 50-59 years, male 205.8
GTEX-13RTJ-2126-SM-5S2PZ 60-69 years, male 204.7
GTEX-1R7EU-0126-SM-EVR4F 60-69 years, male 203.3
GTEX-16GPK-2826-SM-6LPJ6 60-69 years, male 202.2
GTEX-1C6WA-2326-SM-7P8OW 60-69 years, male 201.9
GTEX-14PJ2-2126-SM-5YY96 50-59 years, male 201.2
GTEX-11EQ9-1726-SM-5HL6U 30-39 years, male 200.8
GTEX-14E6C-2826-SM-664NC 40-49 years, male 200.3
GTEX-U3ZM-0926-SM-4DXSW 40-49 years, male 198.5
GTEX-1HSMQ-1826-SM-A9SMJ 50-59 years, male 197.6
GTEX-ZTX8-1026-SM-5EGHD 20-29 years, male 196.3
GTEX-11ZUS-2126-SM-5N9E6 30-39 years, male 196.1
GTEX-1HKZK-1626-SM-B2LWH 40-49 years, male 196.1
GTEX-14E6E-1126-SM-5S2R4 30-39 years, male 196.0
GTEX-1399T-1226-SM-5P9J5 60-69 years, male 195.9
GTEX-145LU-2126-SM-5Q5E9 50-59 years, male 194.6
GTEX-132QS-1126-SM-5P9GC 60-69 years, male 194.3
GTEX-12696-2226-SM-5EQ65 60-69 years, male 193.8
GTEX-1OKEX-1826-SM-DTX8J 60-69 years, male 192.1
GTEX-13OW8-0426-SM-5J2NR 60-69 years, male 189.4
GTEX-ZEX8-2026-SM-4WKF3 50-59 years, male 188.4
GTEX-ZLFU-1726-SM-4WWBU 40-49 years, male 188.4
GTEX-WFG8-1826-SM-4LVM4 20-29 years, male 188.3
GTEX-139T6-1526-SM-5P9G6 50-59 years, male 188.2
GTEX-1I1GV-1926-SM-CNPQH 60-69 years, male 187.5
GTEX-111YS-1726-SM-5GIED 60-69 years, male 186.9
GTEX-QEG4-2226-SM-CXZJD 30-39 years, male 186.8
GTEX-T6MN-2126-SM-EZ6LC 50-59 years, male 186.4
GTEX-14BIL-2126-SM-73KW3 50-59 years, male 185.4
GTEX-1GF9V-0726-SM-9KNU4 60-69 years, male 185.0
GTEX-V955-1826-SM-4JBIL 60-69 years, male 184.5
GTEX-QLQ7-1326-SM-CNNOR 60-69 years, male 184.3
GTEX-S3XE-1326-SM-4AD4H 50-59 years, male 183.9
GTEX-SIU8-2226-SM-EAZ2T 50-59 years, male 183.9
GTEX-13FXS-2826-SM-5LZYC 50-59 years, male 183.6
GTEX-RM2N-1126-SM-48FCY 50-59 years, male 183.1
GTEX-1H3VY-2726-SM-A96TL 50-59 years, male 183.1
GTEX-1F6I4-1326-SM-7P8QQ 60-69 years, male 182.9
GTEX-OIZF-2026-SM-3MJH1 60-69 years, male 181.7
GTEX-U8XE-2526-SM-4E3IT 30-39 years, male 181.4
GTEX-1CB4G-2526-SM-7MXTG 60-69 years, male 181.3
GTEX-RWSA-2026-SM-47JX8 40-49 years, male 181.0
GTEX-18A66-2326-SM-7LT8Q 60-69 years, male 180.3
GTEX-XAJ8-0626-SM-47JY4 40-49 years, male 179.1
GTEX-SNMC-0926-SM-4DM5U 20-29 years, male 178.8
GTEX-111CU-1526-SM-5N9FS 50-59 years, male 178.1
GTEX-1GPI7-1626-SM-7P8TN 20-29 years, male 176.8
GTEX-1C6VQ-2426-SM-7EWEU 50-59 years, male 176.7
GTEX-1QP6S-0726-SM-E76QS 40-49 years, male 175.4
GTEX-RVPV-2526-SM-EYYVL 60-69 years, male 175.4
GTEX-117YW-1426-SM-5EGGO 50-59 years, male 174.9
GTEX-1JKYN-0926-SM-AHZ47 30-39 years, male 174.9
GTEX-S95S-1026-SM-4B64M 60-69 years, male 173.7
GTEX-14BMV-2326-SM-5RQJ4 50-59 years, male 173.6
GTEX-145LT-0626-SM-5O99E 40-49 years, male 173.5
GTEX-1CAMR-1626-SM-79OLC 20-29 years, male 173.5
GTEX-XQ3S-2526-SM-4BOOG 20-29 years, male 172.7
GTEX-11TT1-2026-SM-5EQM8 20-29 years, male 172.6
GTEX-1JJ6O-0726-SM-CY8HS 60-69 years, male 172.5
GTEX-1JKYR-1726-SM-C1YR6 20-29 years, male 172.4
GTEX-13N2G-1826-SM-5KM1I 60-69 years, male 172.1
GTEX-YB5E-1826-SM-5IFI4 40-49 years, male 171.3
GTEX-SNOS-1026-SM-4DM4Y 40-49 years, male 171.2
GTEX-1IDJD-2026-SM-A96TC 30-39 years, male 171.1
GTEX-QV31-1026-SM-CNNOS 30-39 years, male 171.0
GTEX-SJXC-2026-SM-4DM6N 60-69 years, male 168.1
GTEX-ZUA1-2826-SM-59HLE 40-49 years, male 167.6
GTEX-12C56-1326-SM-5FQSV 20-29 years, male 167.3
GTEX-QV44-1526-SM-DHXIP 50-59 years, male 167.1
GTEX-11TUW-2126-SM-5GU7B 60-69 years, male 166.6
GTEX-NPJ8-2426-SM-3MJHL 40-49 years, male 166.3
GTEX-WH7G-1726-SM-4LVKY 40-49 years, male 165.9
GTEX-1JN6P-2626-SM-D4P3C 60-69 years, male 165.5
GTEX-1A3MV-0826-SM-72D6J 30-39 years, male 164.3
GTEX-1I1GP-2026-SM-CE6SZ 50-59 years, male 163.7
GTEX-148VJ-1826-SM-5Q5DV 70-79 years, male 163.6
GTEX-1MJK2-0726-SM-DTXE7 50-59 years, male 162.0
GTEX-ZT9W-1626-SM-4YCDQ 50-59 years, male 161.9
GTEX-QMRM-1426-SM-CM2U2 50-59 years, male 161.9
GTEX-WY7C-2026-SM-4ONCM 50-59 years, male 161.6
GTEX-14ICK-1826-SM-69LOP 40-49 years, male 161.0
GTEX-1E1VI-2726-SM-7MXVH 50-59 years, male 160.2
GTEX-1I6K6-2126-SM-B2LX6 30-39 years, male 160.0
GTEX-Q2AI-1126-SM-48U19 40-49 years, male 159.6
GTEX-1EH9U-1826-SM-7P8QL 60-69 years, male 159.4
GTEX-Y9LG-1826-SM-4VBQC 30-39 years, male 159.2
GTEX-144GM-0826-SM-5O98R 20-29 years, male 158.7
GTEX-XMK1-1026-SM-4B65H 40-49 years, male 158.6
GTEX-1LG7Z-0826-SM-CXKYN 30-39 years, male 158.5
GTEX-1HSKV-1726-SM-C1YRO 60-69 years, male 158.3
GTEX-1C64O-2026-SM-7IGPA 60-69 years, male 158.0
GTEX-1KANA-1026-SM-D3L9L 20-29 years, male 157.9
GTEX-X5EB-1826-SM-4E3K8 40-49 years, male 157.8
GTEX-1PIGE-1726-SM-E6CQH 20-29 years, male 157.7
GTEX-17MFQ-1326-SM-718BX 20-29 years, male 156.7
GTEX-16YQH-2326-SM-7EWDS 30-39 years, male 156.3
GTEX-131XF-5013-SM-7EWFI 60-69 years, male 156.1
GTEX-18QFQ-2026-SM-72D7J 30-39 years, male 155.6
GTEX-WZTO-0926-SM-4PQZ3 40-49 years, male 155.6
GTEX-1PPH8-1426-SM-DTXA3 20-29 years, male 155.6
GTEX-16XZZ-2426-SM-7KULN 60-69 years, male 155.0
GTEX-YF7O-1926-SM-4W1YQ 50-59 years, male 154.7
GTEX-1LBAC-1926-SM-DHXK2 20-29 years, male 154.3
GTEX-ZPU1-2026-SM-57WFI 40-49 years, male 153.8
GTEX-1OJC3-1926-SM-DPRYV 20-29 years, male 153.6
GTEX-1BAJH-0626-SM-7P8OY 70-79 years, male 153.4
GTEX-17EUY-2026-SM-79OMV 20-29 years, male 152.9
GTEX-1HBPI-0326-SM-A9G3N 50-59 years, male 152.0
GTEX-13NYS-1026-SM-5KLZT 60-69 years, male 151.7
GTEX-11P82-1126-SM-5BC5K 20-29 years, male 151.5
GTEX-1B8KZ-1626-SM-73KUU 50-59 years, male 150.7
GTEX-U4B1-1426-SM-4DXTX 40-49 years, male 149.9
GTEX-11P7K-0626-SM-5985Z 30-39 years, male 149.8
GTEX-PLZ6-1126-SM-3P5ZR 30-39 years, male 149.8
GTEX-1KWVE-1226-SM-EV7AG 30-39 years, male 149.3
GTEX-OIZH-2026-SM-3NB1M 50-59 years, male 148.9
GTEX-1MUQO-1526-SM-DPRYK 60-69 years, male 148.6
GTEX-1K2DA-1226-SM-CGQGH 50-59 years, male 147.5
GTEX-1B97I-0826-SM-731DN 40-49 years, male 147.4
GTEX-1I1GU-1126-SM-A96S9 40-49 years, male 147.3
GTEX-17HHY-2526-SM-7IGME 50-59 years, male 147.1
GTEX-XXEK-1226-SM-4BRUY 50-59 years, male 146.9
GTEX-1S831-1226-SM-EVR5D 20-29 years, male 146.8
GTEX-1KANB-2026-SM-DIPEY 50-59 years, male 146.5
GTEX-11WQK-2726-SM-5EQMU 50-59 years, male 146.2
GTEX-1GZ4I-2226-SM-9WPPO 50-59 years, male 146.1
GTEX-1477Z-2226-SM-5QGPG 60-69 years, male 145.7
GTEX-1J8Q3-0926-SM-A96SU 60-69 years, male 145.6
GTEX-P4PQ-2026-SM-E9U4E 60-69 years, male 145.0
GTEX-ZVP2-0826-SM-59HJ6 50-59 years, male 144.9
GTEX-ZYFD-2526-SM-5E45L 50-59 years, male 144.8
GTEX-1QP2A-1526-SM-E6CPN 50-59 years, male 144.8
GTEX-1B8KE-1026-SM-731EQ 50-59 years, male 144.4
GTEX-ZTTD-2726-SM-57WFA 50-59 years, male 144.4
GTEX-132NY-2826-SM-5P9G2 60-69 years, male 144.3
GTEX-13O61-1726-SM-5KM46 60-69 years, male 144.1
GTEX-1HFI6-2326-SM-9WYUN 40-49 years, male 144.0
GTEX-1399R-0526-SM-5IJEF 30-39 years, male 143.7
GTEX-VJYA-1226-SM-3GIJ6 60-69 years, male 143.7
GTEX-1JK1U-0926-SM-AHZ43 60-69 years, male 143.7
GTEX-1JJE9-0426-SM-D4P2P 70-79 years, male 142.8
GTEX-OXRL-2026-SM-E6CHN 50-59 years, male 142.8
GTEX-1CB4E-1726-SM-7IGMS 60-69 years, male 142.1
GTEX-111FC-2026-SM-5GZYO 60-69 years, male 141.9
GTEX-1QP29-0526-SM-EAZ3T 50-59 years, male 141.4
GTEX-1IDJF-2126-SM-AHZ2S 20-29 years, male 141.3
GTEX-13FTW-1226-SM-5LZZ1 40-49 years, male 141.0
GTEX-117YX-1526-SM-5H12T 50-59 years, male 140.8
GTEX-OOBJ-2026-SM-3NB1R 60-69 years, male 140.4
GTEX-Q2AH-1426-SM-EXOHC 40-49 years, male 140.3
GTEX-1CAMQ-2226-SM-7MGWS 40-49 years, male 138.8
GTEX-11DYG-2526-SM-5N9BB 60-69 years, male 138.5
GTEX-REY6-2126-SM-48FD9 60-69 years, male 138.5
GTEX-1GF9W-2026-SM-7MXVO 60-69 years, male 138.0
GTEX-1I19N-2226-SM-A96TS 70-79 years, male 137.9
GTEX-1P4AB-1926-SM-E6CQL 50-59 years, male 137.8
GTEX-1L5NE-1026-SM-D3LAP 50-59 years, male 137.5
GTEX-1LSNL-2326-SM-DHXKN 50-59 years, male 137.5
GTEX-WFG7-1826-SM-3GIL1 20-29 years, male 136.6
GTEX-146FQ-1726-SM-5QGPX 30-39 years, male 135.9
GTEX-1LG7Y-2426-SM-EVR57 50-59 years, male 135.5
GTEX-1H1E6-0526-SM-9WPQ3 30-39 years, male 135.4
GTEX-1IDJH-2426-SM-CNNQW 70-79 years, male 134.8
GTEX-ZZ64-0926-SM-5E44L 20-29 years, male 133.9
GTEX-1GN2E-2026-SM-9JGGG 60-69 years, male 133.1
GTEX-U412-2026-SM-4DXSI 60-69 years, male 132.6
GTEX-1CB4J-1526-SM-7MXVB 60-69 years, male 131.9
GTEX-11O72-2726-SM-5HL6K 40-49 years, male 130.7
GTEX-V1D1-1926-SM-4JBGX 50-59 years, male 130.7
GTEX-1EU9M-1526-SM-79OLI 60-69 years, male 130.4
GTEX-WYJK-0626-SM-4ONCZ 50-59 years, male 130.0
GTEX-1GL5R-1226-SM-7MXUY 50-59 years, male 129.7
GTEX-1GZ2Q-2426-SM-9KNV8 40-49 years, male 129.6
GTEX-13FHO-2826-SM-5K7ZA 60-69 years, male 128.6
GTEX-1KAFJ-1226-SM-D4P46 50-59 years, male 128.0
GTEX-1JMPZ-2326-SM-CE6RW 30-39 years, male 127.2
GTEX-178AV-0426-SM-6LPJG 40-49 years, male 126.7
GTEX-1RAZQ-0826-SM-EVR4L 30-39 years, male 126.3
GTEX-1IL2U-2826-SM-A96SR 60-69 years, male 126.0
GTEX-14PJO-2826-SM-6AJA6 60-69 years, male 124.5
GTEX-14ABY-0726-SM-5Q5DF 50-59 years, male 124.4
GTEX-U3ZH-0926-SM-4DXU4 30-39 years, male 124.1
GTEX-XQ8I-2526-SM-EAZB3 50-59 years, male 123.9
GTEX-QEG5-2426-SM-EYYVC 20-29 years, male 123.7
GTEX-WOFM-0326-SM-4OOSL 20-29 years, male 123.4
GTEX-S33H-1826-SM-4AD65 30-39 years, male 122.3
GTEX-1CB4F-2326-SM-7MKFO 60-69 years, male 120.3
GTEX-1MGNQ-2226-SM-EV7A2 40-49 years, male 120.3
GTEX-145LV-1226-SM-5S2QH 50-59 years, male 118.7
GTEX-1AX8Z-5019-SM-AHZ2C 60-69 years, male 117.4
GTEX-1ICLZ-2626-SM-A9G2K 60-69 years, male 116.7
GTEX-1QCLY-1826-SM-DTX89 30-39 years, male 113.9
GTEX-17HGU-2226-SM-7IGLI 50-59 years, male 113.5
GTEX-17HII-2526-SM-7LT8C 50-59 years, male 111.6
GTEX-1JMQK-2226-SM-ARU8U 60-69 years, male 109.9
GTEX-UTHO-2726-SM-4JBH9 60-69 years, male 108.6
GTEX-1H3NZ-2826-SM-9WPQ7 60-69 years, male 87.6
GTEX-NFK9-2226-SM-3MJGP 40-49 years, male 84.5
GTEX-ZY6K-1526-SM-5GZXE 50-59 years, male 81.8
Show allShow less

PROSTATE - FANTOM5 CAGEi

RNA expression in human tissues obtained through Cap Analysis of Gene Expression (CAGE) generated by the FANTOM5 project are reported as Scaled Tags Per Million.

Max subtype Scaled Tags Per Millioni

Max subtype Scaled Tags Per Million is the value for the subtype with the largest average Scaled Tags Per Million across the subtype samples.

257.5
FANTOM5 sample id Sample description Scaled Tags Per Million
Prostate
Scaled Tags Per Million: 257.5
FF:10022-101D4 73,79,93 years, male 257.5

Contact

  • NEWS ARTICLES
  • PRESS ROOM

The Project

  • INTRODUCTION
  • ORGANIZATION
  • PUBLICATIONS

The Human Protein Atlas

  • DOWNLOADABLE DATA
  • LICENCE & CITATION
  • HELP & FAQ
The Human Protein Atlas project is funded
by the Knut & Alice Wallenberg Foundation.


contact@proteinatlas.org