We use cookies to enhance the usability of our website. If you continue, we'll assume that you are happy to receive all cookies. More information. Don't show this again.
CYB5R3
HPA
RESOURCES
  • TISSUE
  • BRAIN
  • SINGLE CELL
  • SUBCELLULAR
  • CANCER
  • BLOOD
  • CELL LINE
  • STRUCTURE & INTERACTION
ABOUT
  • INTRODUCTION
  • HISTORY
  • ORGANIZATION
  • PUBLICATIONS
  • ANTIBODY SUBMISSION
  • ANTIBODY AVAILABILITY
  • ACKNOWLEDGMENTS
  • CONTACT
NEWS
  • NEWS ARTICLES
  • PRESS ROOM
LEARN
  • DICTIONARY
  • PROTEIN CLASSES
  • PROTEIN EVIDENCE
  • METHODS
  • EDUCATIONAL VIDEOS
DATA
  • DOWNLOADABLE DATA
  • PUBLICATION DATA
  • RELEASE HISTORY
HELP
  • ANTIBODY VALIDATION
  • ASSAYS & ANNOTATION
  • DISCLAIMER
  • HELP & FAQ
  • PRIVACY STATEMENT
  • LICENCE & CITATION
Fields »
Search result

Field
Term
Gene name
Class
Subclass
Class
Keyword
Chromosome
External id
Tissue
Cell type
Expression
Antibody panel
Tissue
Main location
Patient ID
Annotation
Tissue
Category
Tau score
Cluster
Reliability
Brain region
Category
Tau score
Brain region
Category
Tau score
Brain region
Category
Tau score
Cluster
Reliability
Tissue
Cell type
Enrichment
Cell type
Category
Tau score
Cell type
Category
Tau score
Cell type
Category
Tau score
Cell lineage
Category
Tau score
Cluster
Cluster
Location
Searches
Location
Cell line
Class
Type
Phase
Reliability
Cancer
Prognosis
Cancer
Category
Cancer
Category
Tau score
Cluster
Variants
Interacting gene (ensg_id)
Type
Number of interactions
Pathway
Category
Score
Score
Score
Validation
Validation
Validation
Validation
Antibodies
Data type
Column


  • SUMMARY

  • TISSUE

  • BRAIN

  • SINGLE CELL

  • SUBCELL

  • CANCER

  • BLOOD

  • CELL LINE

  • STRUCT & INT

  • CYB5R3
TISSUE PRIMARY DATA STOMACH Show tissue menu
ADIPOSE TISSUE ADRENAL GLAND AMYGDALA APPENDIX BASAL GANGLIA BONE MARROW BREAST BRONCHUS CEREBELLUM CEREBRAL CORTEX CERVIX CHOROID PLEXUS COLON DUODENUM
ENDOMETRIUM EPIDIDYMIS ESOPHAGUS FALLOPIAN TUBE GALLBLADDER HEART MUSCLE HIPPOCAMPAL FORMATION HYPOTHALAMUS KIDNEY LIVER LUNG LYMPH NODE MIDBRAIN NASOPHARYNX
ORAL MUCOSA OVARY PANCREAS PARATHYROID GLAND PITUITARY GLAND PLACENTA PROSTATE RECTUM RETINA SALIVARY GLAND SEMINAL VESICLE SKELETAL MUSCLE SKIN SMALL INTESTINE
SMOOTH MUSCLE SOFT TISSUE SPINAL CORD SPLEEN STOMACH TESTIS THYMUS THYROID GLAND TONGUE TONSIL URINARY BLADDER VAGINA
ANTIBODIES
AND
VALIDATION
Dictionary
Tissue proteome
Stomach
STOMACH - Expression summary
Protein expression
Stomachi

On the top, protein expression in current human tissue, based on all annotated cell types, is reported with the units not detected (n), low (l), medium (m) and high (h). Underneath, protein expression in each annotated cell type are reported using the same units.

Protein expression data is based on knowledge-based annotation. For genes where more than one antibody has been used, a collective score is set.

If knowledge-based annotation could not be performed for a gene, no data is displayed here. View antibody staining data further down this page.

h
m
l
n
Glandular cells: Medium
RNA expressioni

A summary of mRNA expression data available for current tissue based on several datasets. The mRNA expression levels in human tissues are based on RNA-seq data generated by the Human Protein Atlas (HPA), Genotype-Tissue Expression (GTEx) portal and CAGE data generated by the FANTOM5 consortium. Consensus normalized expression levels for human tissues was created by combining the data from HPA and GTEx datasets.

The mRNA expression levels in pig are based on RNA-seq data generated by the Human Protein Atlas (HPA), and for mouse, HPA data and in situ hybridization generated by the Allen brain atlas are reported.

Scroll down to view mRNA expression data in more detail.
Consensus:176.6 nTPM
HPA:76.4 nTPM
GTEx:176.6 nTPM

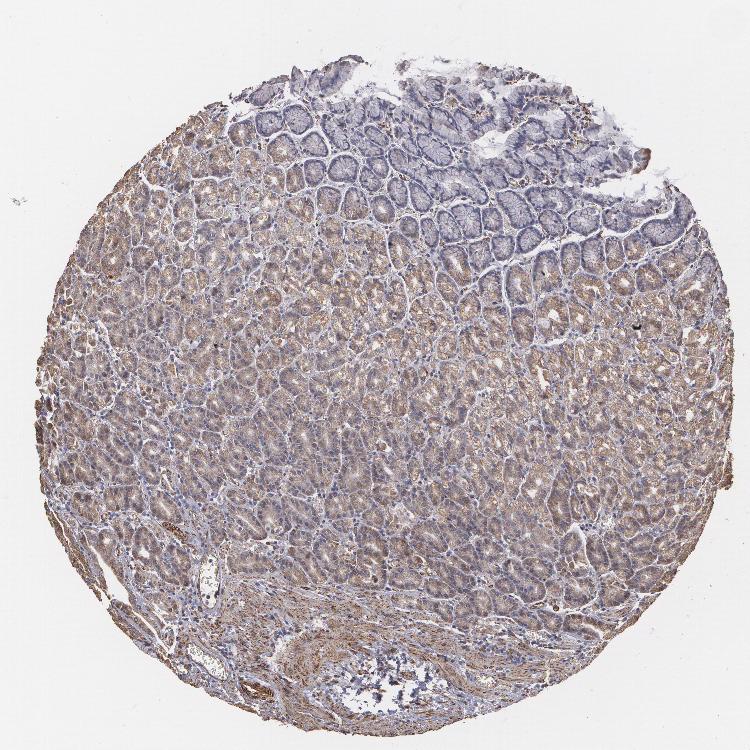
STOMACH 1 - Antibody stainingi

Antibody staining in the annotated cell types in the current human tissue is reported as not detected, low, medium, or high, based on conventional immunohistochemistry profiling in selected tissues. This score is based on the combination of the staining intensity and fraction of stained cells.

Each image is clickable and will lead to virtual microscopy that enables deeper exploration of all samples and also displays staining intensity scores, fraction scores and subcellular localization as well as patient and tissue information for each sample.

Antibody HPA001566
Glandular cells Medium


STOMACH 2 - Antibody stainingi

Antibody staining in the annotated cell types in the current human tissue is reported as not detected, low, medium, or high, based on conventional immunohistochemistry profiling in selected tissues. This score is based on the combination of the staining intensity and fraction of stained cells.

Each image is clickable and will lead to virtual microscopy that enables deeper exploration of all samples and also displays staining intensity scores, fraction scores and subcellular localization as well as patient and tissue information for each sample.

Antibody HPA001566
Glandular cells Low

STOMACH - HPA RNA-seqi

The RNA-seq details section shows detailed information about the individual samples used for the transcript profiling and results of the RNA-seq analysis.

Information about each individual sample is listed below, including gender, age, a tissue section image and estimated fractions of cell types. nTPM (normalized transcripts per million) values give a quantification of the gene abundance which is comparable between different genes and samples.
Average nTPMi

Max subtype nTPM is the value for the subtype with the largest average nTPM across the subtype samples.

76.4
overview
Female, age 33
Stomach sample 61
nTPM: 85.5
Cell types%
Glandular cells:
60

Smooth muscle cells:
5

Other cell types:
35

N/A
Male, age 82
Stomach sample 240
nTPM: 83.5
Cell types%
Glandular cells:
65

Smooth muscle cells:
5

Other cell types:
30

overview
Male, age 71
Stomach sample 241
nTPM: 83.7
Cell types%
Glandular cells:
50

Smooth muscle cells:
5

Other cell types:
45

overview
Female, age 66
Stomach sample 369
nTPM: 53.1
Cell types%
Glandular cells:
50

Smooth muscle cells:
10

Other cell types:
40


STOMACH - GTEx RNA-seqi

RNA-Seq data generated by the Genotype-Tissue Expression (GTEx) project from human tissues is reported as mean nTPM. More information can be found on the GTEx portal.

Distribution across the dataset is visualized with box plots, shown as median and 25th and 75th percentiles. Points are displayed as outliers if they are above or below 1.5 times the interquartile range. nTPM values of the individual samples are presented next to the box plot.
Max subtype nTPMi

Max subtype nTPM is the value for the subtype with the largest average nTPM across the subtype samples.

176.6
GTEx sample id Sample description nTPM
Stomach
Average nTPM: 176.6
Samples: 359

Max nTPM: 619.4
Min nTPM: 91.0
Std nTPM: 52.9
Median nTPM: 163.1
GTEX-WH7G-1526-SM-4LVMX 40-49 years, male 619.4
GTEX-17EUY-1526-SM-793CA 20-29 years, male 409.7
GTEX-S4P3-0726-SM-4AD57 50-59 years, female 409.3
GTEX-P4QT-1526-SM-3NMCT 50-59 years, female 407.7
GTEX-1NSGN-1926-SM-E9J36 50-59 years, male 370.6
GTEX-13X6H-1626-SM-5Q5CT 50-59 years, female 349.4
GTEX-12WSJ-0926-SM-5P9JD 40-49 years, female 316.1
GTEX-UJHI-1026-SM-4IHJP 50-59 years, female 315.5
GTEX-1E2YA-2426-SM-7EPIG 50-59 years, male 303.2
GTEX-UPK5-2126-SM-4JBJK 40-49 years, male 278.2
GTEX-1211K-1426-SM-5FQTF 60-69 years, female 277.4
GTEX-WZTO-2126-SM-4PQYW 40-49 years, male 277.3
GTEX-ZPIC-2026-SM-57WG3 40-49 years, female 269.2
GTEX-ZV6S-0926-SM-57WGB 40-49 years, female 266.8
GTEX-1S82Z-1726-SM-E6CHZ 30-39 years, female 264.3
GTEX-13OVI-2426-SM-5KM4J 60-69 years, female 263.7
GTEX-14PJ4-1626-SM-664OB 60-69 years, male 262.2
GTEX-R55D-1526-SM-48FEJ 50-59 years, male 262.0
GTEX-WFJO-1126-SM-4LVLZ 30-39 years, male 260.6
GTEX-15RIF-1126-SM-7KUG2 20-29 years, male 259.9
GTEX-1H1DE-1226-SM-9JGHH 20-29 years, male 257.6
GTEX-1B8L1-1526-SM-79OLK 60-69 years, male 255.3
GTEX-14E1K-1526-SM-664MN 50-59 years, male 254.7
GTEX-15G1A-1226-SM-7KUF3 30-39 years, male 254.1
GTEX-1CB4E-1326-SM-7DUGD 60-69 years, male 251.1
GTEX-R55C-1026-SM-48FCM 40-49 years, male 248.6
GTEX-ZEX8-1626-SM-4WKG7 50-59 years, male 248.1
GTEX-12C56-0526-SM-5FQST 20-29 years, male 247.6
GTEX-OIZH-1526-SM-3NB1J 50-59 years, male 246.6
GTEX-1L5NE-1526-SM-DIPFW 50-59 years, male 241.7
GTEX-Y3I4-1626-SM-4TT7W 50-59 years, male 241.4
GTEX-15SHW-2126-SM-6M46Y 60-69 years, male 240.4
GTEX-15EU6-2526-SM-7KUGB 50-59 years, male 239.8
GTEX-13O3Q-2126-SM-5KM4C 50-59 years, male 238.9
GTEX-146FR-2026-SM-5NQAI 60-69 years, female 238.8
GTEX-1B97I-1226-SM-7MGWQ 40-49 years, male 235.6
GTEX-R55G-1126-SM-48FDG 40-49 years, female 232.9
GTEX-17JCI-2226-SM-7LTA1 60-69 years, female 232.2
GTEX-1K2DA-0826-SM-CGQGD 50-59 years, male 231.9
GTEX-1N2DV-0926-SM-E9TJT 40-49 years, male 231.9
GTEX-TKQ2-0926-SM-4DXU5 50-59 years, male 230.5
GTEX-S4Z8-1226-SM-4AD6W 60-69 years, male 230.2
GTEX-WRHK-0626-SM-4MVOE 20-29 years, female 230.1
GTEX-PX3G-1526-SM-48U11 20-29 years, female 228.1
GTEX-Y114-1226-SM-4TT88 50-59 years, female 228.0
GTEX-QDT8-2026-SM-EZ6LS 30-39 years, female 227.6
GTEX-1MCYP-1126-SM-E9J2P 20-29 years, female 224.6
GTEX-1E1VI-2826-SM-7MGWU 50-59 years, male 224.0
GTEX-T5JC-1926-SM-4DM6Q 20-29 years, male 223.5
GTEX-14PKU-1126-SM-69LOU 40-49 years, female 222.5
GTEX-1F5PK-1826-SM-7RHHX 50-59 years, male 220.0
GTEX-11EQ9-1226-SM-5987E 30-39 years, male 219.5
GTEX-1EH9U-2226-SM-7PBXX 60-69 years, male 218.5
GTEX-1JN76-0926-SM-ARZNH 20-29 years, female 217.5
GTEX-1LSNM-1026-SM-DHXL2 50-59 years, male 216.3
GTEX-13O61-1126-SM-5L3FI 60-69 years, male 215.7
GTEX-XPVG-1526-SM-4B66C 50-59 years, male 215.4
GTEX-1IL2V-2026-SM-ARZMA 70-79 years, male 215.1
GTEX-1RQEC-2126-SM-DPS15 60-69 years, male 215.1
GTEX-PLZ6-0826-SM-3P61K 30-39 years, male 214.8
GTEX-1J8JJ-1726-SM-C1YQG 60-69 years, female 214.8
GTEX-XUZC-0726-SM-4BOPH 30-39 years, female 214.3
GTEX-TKQ1-0526-SM-4DXTG 30-39 years, male 212.7
GTEX-146FH-2126-SM-5SI9U 50-59 years, female 212.5
GTEX-1PPH8-1326-SM-DTXFO 20-29 years, male 211.4
GTEX-1A3MX-1926-SM-72D7F 60-69 years, male 211.0
GTEX-11VI4-0326-SM-5EQ6L 40-49 years, female 210.4
GTEX-RU1J-0526-SM-46MUT 20-29 years, female 210.4
GTEX-W5WG-1726-SM-4LMI5 50-59 years, female 208.9
GTEX-1QP28-2126-SM-DTX8B 50-59 years, female 208.6
GTEX-WEY5-1226-SM-4LMIQ 40-49 years, female 206.3
GTEX-139YR-1926-SM-5LZXM 50-59 years, male 205.4
GTEX-13QBU-1126-SM-5LU44 40-49 years, female 204.9
GTEX-1QW4Y-0726-SM-DTX8E 30-39 years, male 203.7
GTEX-1JMPY-0926-SM-ARL92 30-39 years, male 203.6
GTEX-1HT8W-2326-SM-A9SLA 30-39 years, male 203.5
GTEX-ZP4G-1226-SM-4WWCJ 20-29 years, female 203.4
GTEX-1GPI7-1326-SM-9KNVA 20-29 years, male 203.3
GTEX-11P82-0726-SM-5PNYL 20-29 years, male 203.2
GTEX-1HKZK-1526-SM-B2LWG 40-49 years, male 203.0
GTEX-ZE7O-3026-SM-51MS4 50-59 years, female 202.3
GTEX-17KNJ-1526-SM-7LTA9 50-59 years, male 202.2
GTEX-13N1W-2026-SM-5K7YU 70-79 years, male 201.9
GTEX-1S831-1126-SM-EWROI 20-29 years, male 201.7
GTEX-13FH7-1026-SM-5IJGF 50-59 years, female 201.6
GTEX-1C64O-2226-SM-73KTV 60-69 years, male 201.5
GTEX-14DAR-0926-SM-73KUQ 50-59 years, male 201.0
GTEX-P4PQ-1526-SM-3NMCK 60-69 years, male 200.6
GTEX-1PIGE-1126-SM-EWRMV 20-29 years, male 200.6
GTEX-14PHY-0926-SM-5ZZWL 60-69 years, female 199.6
GTEX-1S3DN-1526-SM-EVYCB 50-59 years, male 199.4
GTEX-1H1DG-2126-SM-9WPPB 70-79 years, male 198.4
GTEX-13QJ3-2726-SM-5SI6L 50-59 years, male 197.3
GTEX-QMRM-1126-SM-447BN 50-59 years, male 196.9
GTEX-14PKV-1826-SM-69LO9 20-29 years, female 196.3
GTEX-1AX9J-2626-SM-731EK 60-69 years, male 196.3
GTEX-1339X-1426-SM-5K7YO 40-49 years, male 196.1
GTEX-V955-1326-SM-4JBHR 60-69 years, male 195.5
GTEX-18A7A-2726-SM-7LG6U 50-59 years, female 195.1
GTEX-11P7K-1726-SM-5GU6F 30-39 years, male 194.8
GTEX-1HCUA-1626-SM-A9SMG 50-59 years, female 194.0
GTEX-ZGAY-1626-SM-DNZZ3 40-49 years, female 193.9
GTEX-11WQK-2626-SM-5EQ4K 50-59 years, male 193.7
GTEX-14JG6-1226-SM-664O6 30-39 years, female 193.4
GTEX-1GF9U-1126-SM-AHZ4H 40-49 years, female 193.1
GTEX-1QP29-2326-SM-EXOJO 50-59 years, male 193.1
GTEX-ZT9W-1526-SM-4YCDE 50-59 years, male 193.0
GTEX-1QP2A-2126-SM-DPRZ7 50-59 years, male 192.3
GTEX-QXCU-1926-SM-48FE4 50-59 years, male 192.1
GTEX-145LT-1426-SM-5O9B3 40-49 years, male 190.6
GTEX-14BMV-2226-SM-5RQHX 50-59 years, male 189.0
GTEX-1JMQJ-1326-SM-D4P3B 50-59 years, male 189.0
GTEX-Y5V6-1326-SM-4VDTF 60-69 years, male 187.3
GTEX-13RTK-0226-SM-5RQHR 20-29 years, male 186.8
GTEX-ZZPU-1426-SM-5GZZ6 50-59 years, female 186.2
GTEX-14DAQ-2826-SM-664MU 60-69 years, female 186.1
GTEX-1I4MK-0926-SM-A9SLD 50-59 years, female 186.1
GTEX-1399U-1626-SM-5P9J3 50-59 years, female 186.0
GTEX-Q2AI-0826-SM-48TZO 40-49 years, male 185.7
GTEX-S4Q7-0726-SM-4AD5F 20-29 years, male 185.7
GTEX-14PJ6-0826-SM-686Z9 60-69 years, female 185.4
GTEX-PWCY-0926-SM-48TD7 20-29 years, female 184.8
GTEX-SNOS-0826-SM-4DM5N 40-49 years, male 184.8
GTEX-1H3NZ-2226-SM-9WYUT 60-69 years, male 184.5
GTEX-11EI6-2426-SM-5PNVS 60-69 years, male 184.1
GTEX-1J8Q3-1926-SM-C1YSJ 60-69 years, male 184.0
GTEX-T5JW-0926-SM-4DM5K 20-29 years, female 183.5
GTEX-UJMC-1226-SM-4IHLI 50-59 years, male 183.4
GTEX-1J8QM-1126-SM-C1YQB 60-69 years, female 183.2
GTEX-145MO-2226-SM-5Q5BN 60-69 years, male 182.3
GTEX-T6MO-0726-SM-4DM58 40-49 years, female 182.2
GTEX-1LVAM-1426-SM-E9TJ4 50-59 years, female 181.8
GTEX-1H1E6-1626-SM-9OSWC 30-39 years, male 181.3
GTEX-13PVR-2126-SM-73KVR 60-69 years, female 180.4
GTEX-1HR9M-2326-SM-CNPPZ 60-69 years, male 179.8
GTEX-1H23P-2726-SM-9JGHN 60-69 years, male 179.5
GTEX-13111-1226-SM-5GCNC 50-59 years, male 179.3
GTEX-S4UY-1626-SM-4AD55 40-49 years, female 179.0
GTEX-ZF29-1526-SM-4WKF7 60-69 years, female 178.7
GTEX-YEC3-1426-SM-D4P1S 50-59 years, male 178.6
GTEX-1LVAN-2426-SM-CNNPZ 50-59 years, female 178.3
GTEX-T8EM-1226-SM-4DM5J 40-49 years, male 178.1
GTEX-XAJ8-0326-SM-47JYI 40-49 years, male 177.3
GTEX-1AMEY-1226-SM-731DU 30-39 years, female 176.9
GTEX-1HSEH-1526-SM-B2LXG 60-69 years, male 176.9
GTEX-TMMY-1626-SM-4DXTY 40-49 years, female 176.6
GTEX-QLQW-0726-SM-447AA 30-39 years, male 176.5
GTEX-18QFQ-1226-SM-718AE 30-39 years, male 175.9
GTEX-1AYCT-1326-SM-7MKHB 50-59 years, male 175.6
GTEX-1C475-1026-SM-7MKFJ 40-49 years, female 175.6
GTEX-ZYFG-1326-SM-5GICJ 60-69 years, female 175.5
GTEX-1JKYN-1726-SM-AHZ48 30-39 years, male 175.5
GTEX-12WSG-2026-SM-5FQUU 50-59 years, female 174.5
GTEX-WFON-1126-SM-4LVMA 40-49 years, male 174.1
GTEX-ZPU1-1626-SM-4WWB2 40-49 years, male 174.0
GTEX-OXRL-1526-SM-E6CHQ 50-59 years, male 173.4
GTEX-18D9B-2226-SM-718BM 60-69 years, male 173.0
GTEX-YB5E-1126-SM-664NU 40-49 years, male 172.7
GTEX-1CAMR-0726-SM-7EPIE 20-29 years, male 172.6
GTEX-14PN3-1326-SM-6AJ9U 60-69 years, female 172.2
GTEX-RTLS-2626-SM-46MUJ 60-69 years, female 172.1
GTEX-O5YW-1526-SM-3MJGL 50-59 years, male 171.4
GTEX-1B8KE-1326-SM-73KVI 50-59 years, male 171.0
GTEX-NFK9-1526-SM-3LK7B 40-49 years, male 170.7
GTEX-12BJ1-1726-SM-5HL9B 60-69 years, male 170.1
GTEX-YEC4-1426-SM-5IFHS 40-49 years, male 169.9
GTEX-ZA64-0826-SM-5HL9U 20-29 years, male 169.6
GTEX-ZYY3-1726-SM-5EGH3 60-69 years, female 169.5
GTEX-Y8E4-1526-SM-4WWDI 40-49 years, male 169.1
GTEX-1QP67-1026-SM-EVR47 40-49 years, female 167.4
GTEX-1399S-1626-SM-5P9GI 30-39 years, female 166.1
GTEX-17F9E-2226-SM-7IGNC 50-59 years, male 165.9
GTEX-1122O-1926-SM-5EGIQ 60-69 years, female 165.7
GTEX-OIZF-1526-SM-2I5GR 60-69 years, male 164.9
GTEX-P4PP-1526-SM-3P61M 30-39 years, female 164.2
GTEX-ZYVF-2726-SM-5GID4 50-59 years, female 164.1
GTEX-11EM3-1026-SM-5A5KL 20-29 years, female 163.9
GTEX-13O21-0926-SM-5IFGT 50-59 years, male 163.9
GTEX-SUCS-0926-SM-4DM4Z 70-79 years, male 163.4
GTEX-S341-0626-SM-4AD5T 40-49 years, female 163.1
GTEX-15DCE-1626-SM-6LPJM 20-29 years, male 162.9
GTEX-17F98-1526-SM-7EWD8 40-49 years, female 162.3
GTEX-1QPFJ-1526-SM-DPRXT 30-39 years, female 162.3
GTEX-13X6J-2126-SM-5TDCV 50-59 years, male 162.2
GTEX-QV31-0626-SM-447C5 30-39 years, male 162.2
GTEX-ZZ64-0426-SM-5E43F 20-29 years, male 162.0
GTEX-1AMFI-1226-SM-731CZ 50-59 years, female 161.9
GTEX-13CF3-1926-SM-5K7WF 60-69 years, female 161.8
GTEX-ZV7C-1626-SM-5NQ7E 50-59 years, male 161.7
GTEX-1I1GT-1726-SM-C1YS3 60-69 years, female 161.5
GTEX-WYVS-1326-SM-4ONCQ 40-49 years, female 161.1
GTEX-1HSMQ-2426-SM-CE6RY 50-59 years, male 160.7
GTEX-ZVT2-1626-SM-51MRC 50-59 years, female 160.3
GTEX-144GN-1226-SM-5O991 50-59 years, male 160.0
GTEX-WHPG-0426-SM-4M1XW 50-59 years, male 159.9
GTEX-Y5LM-1326-SM-5RQIS 40-49 years, female 159.8
GTEX-WHSB-1226-SM-4M1XR 50-59 years, male 159.6
GTEX-18A66-2226-SM-7189E 60-69 years, male 159.2
GTEX-13S7M-1826-SM-5RQK6 60-69 years, female 159.1
GTEX-SNMC-0626-SM-4DM6H 20-29 years, male 158.4
GTEX-QV44-1226-SM-CJI1S 50-59 years, male 158.2
GTEX-RUSQ-1126-SM-EAZAU 50-59 years, male 157.9
GTEX-PWN1-1526-SM-48TDA 40-49 years, female 157.1
GTEX-XQ8I-2026-SM-4BOOL 50-59 years, male 157.1
GTEX-OXRK-1626-SM-3NB17 50-59 years, female 156.7
GTEX-1KXAM-0926-SM-CXZKA 60-69 years, male 156.7
GTEX-RWS6-0926-SM-47JXE 60-69 years, female 156.5
GTEX-1IDJF-1426-SM-ACKWK 20-29 years, male 156.4
GTEX-ZLWG-1526-SM-DO12F 50-59 years, female 156.2
GTEX-16NGA-1526-SM-72D56 40-49 years, female 155.7
GTEX-ZVZP-1726-SM-5GZWY 50-59 years, male 155.6
GTEX-1H11D-2226-SM-9OSXN 40-49 years, male 155.6
GTEX-1J8EW-2226-SM-AHZ3T 60-69 years, female 155.6
GTEX-14ICL-0826-SM-5YY9W 30-39 years, male 155.1
GTEX-Q734-1026-SM-48U16 40-49 years, female 154.9
GTEX-144GM-1726-SM-5O9AS 20-29 years, male 154.8
GTEX-PW2O-1226-SM-48TCH 20-29 years, male 154.4
GTEX-XBEW-1826-SM-4RTWX 40-49 years, male 154.4
GTEX-14PJ3-1426-SM-664O8 50-59 years, male 154.3
GTEX-17MF6-2126-SM-7KFS7 40-49 years, male 153.7
GTEX-111CU-0926-SM-5EGIK 50-59 years, male 153.5
GTEX-V1D1-1726-SM-4JBHB 50-59 years, male 153.5
GTEX-13FTX-0726-SM-5N9BI 20-29 years, female 153.4
GTEX-U3ZN-2026-SM-4DXUC 30-39 years, female 152.7
GTEX-1R7EU-1126-SM-EAZ4M 60-69 years, male 152.4
GTEX-14PHX-1026-SM-664OL 50-59 years, male 151.8
GTEX-YFCO-0826-SM-5LUAG 40-49 years, male 151.8
GTEX-13OW6-2526-SM-5IJEC 50-59 years, male 151.6
GTEX-1RB15-1026-SM-E9U6V 60-69 years, male 151.5
GTEX-1A3MV-1226-SM-718BW 30-39 years, male 151.3
GTEX-1JK1U-1326-SM-AHZ45 60-69 years, male 151.2
GTEX-YJ8A-1526-SM-5P9FT 20-29 years, male 151.1
GTEX-ZLFU-1326-SM-DO11R 40-49 years, male 150.9
GTEX-17HII-2426-SM-7KFTT 50-59 years, male 150.7
GTEX-WFG8-1326-SM-4LVN3 20-29 years, male 150.3
GTEX-17HHE-1026-SM-79ON6 50-59 years, male 150.1
GTEX-Y8LW-0826-SM-4WWDO 50-59 years, female 150.0
GTEX-15UF7-1226-SM-6M46G 40-49 years, male 149.9
GTEX-1LG7Z-1226-SM-DHXK4 30-39 years, male 149.6
GTEX-QDVJ-1426-SM-48U1Y 50-59 years, male 149.4
GTEX-1JMLX-2426-SM-CXZJQ 50-59 years, male 149.3
GTEX-OHPK-1526-SM-3MJGM 50-59 years, female 149.2
GTEX-O5YV-1926-SM-EV797 60-69 years, female 149.2
GTEX-1HBPN-1626-SM-9WPNP 50-59 years, male 149.0
GTEX-14E6E-0926-SM-664N8 30-39 years, male 148.8
GTEX-11GSP-2126-SM-5HL5E 60-69 years, female 148.5
GTEX-139D8-2326-SM-5IFGE 30-39 years, female 148.0
GTEX-14BIL-1926-SM-73KYI 50-59 years, male 148.0
GTEX-131XF-1226-SM-5HL8V 60-69 years, male 147.9
GTEX-1KD5A-1426-SM-D4P3V 50-59 years, male 147.9
GTEX-131XE-2226-SM-5PNYX 50-59 years, male 147.7
GTEX-XV7Q-1326-SM-4BRWM 40-49 years, female 147.6
GTEX-QLQ7-0826-SM-447B3 60-69 years, male 147.2
GTEX-PLZ5-1226-SM-EXOHA 50-59 years, male 147.0
GTEX-X15G-1126-SM-4PQZG 50-59 years, female 146.8
GTEX-OHPM-1526-SM-EV796 50-59 years, male 146.8
GTEX-ZLV1-0826-SM-DO11P 60-69 years, female 146.6
GTEX-1B97J-1826-SM-7IGPP 50-59 years, female 146.2
GTEX-15DZA-1126-SM-6LPK8 30-39 years, female 145.3
GTEX-13FTW-1726-SM-5KM2B 40-49 years, male 145.1
GTEX-13D11-2126-SM-5IFH2 50-59 years, female 144.6
GTEX-18D9A-0626-SM-7KFTY 30-39 years, female 144.5
GTEX-132QS-1826-SM-5IFFN 60-69 years, male 144.4
GTEX-U4B1-1026-SM-4DXT1 40-49 years, male 143.6
GTEX-1QMI2-2126-SM-DPRXQ 60-69 years, male 143.5
GTEX-1LGOU-1526-SM-D3LAJ 20-29 years, female 143.0
GTEX-S3XE-1026-SM-4AD4O 50-59 years, male 142.7
GTEX-11NSD-1426-SM-5HL67 20-29 years, male 142.4
GTEX-ZF2S-1426-SM-57WET 50-59 years, female 142.4
GTEX-WYJK-2526-SM-4ONDF 50-59 years, male 142.1
GTEX-XBED-1226-SM-4AT5V 60-69 years, male 142.0
GTEX-1QCLZ-1826-SM-DPRXP 60-69 years, female 141.9
GTEX-1LGRB-1726-SM-CNNRA 50-59 years, female 141.8
GTEX-R53T-1226-SM-48FCT 50-59 years, female 141.5
GTEX-1I6K7-1726-SM-B2LXQ 40-49 years, male 140.8
GTEX-11NUK-2426-SM-5BC4U 50-59 years, male 140.1
GTEX-ZTX8-0426-SM-59HLG 20-29 years, male 139.9
GTEX-11TT1-0726-SM-5GU5A 20-29 years, male 139.8
GTEX-14B4R-0726-SM-5TDDR 30-39 years, male 139.8
GTEX-1HFI7-1526-SM-9WG7W 50-59 years, female 139.7
GTEX-WXYG-1626-SM-4ONCR 50-59 years, female 139.6
GTEX-ZXES-1426-SM-5NQ8S 30-39 years, female 138.7
GTEX-WFG7-1326-SM-4LMK1 20-29 years, male 138.6
GTEX-1RAZR-1526-SM-EAZ4U 40-49 years, male 138.6
GTEX-POMQ-0826-SM-3P61H 20-29 years, female 138.5
GTEX-1399R-1126-SM-5IFIO 30-39 years, male 138.3
GTEX-131XG-1226-SM-5EGH9 50-59 years, female 138.1
GTEX-1IDJD-2426-SM-C1YS6 30-39 years, male 138.0
GTEX-ZQUD-0826-SM-57WDQ 30-39 years, male 136.7
GTEX-1HBPI-0726-SM-9WG7Z 50-59 years, male 136.7
GTEX-1QCLY-1126-SM-EAZ4J 30-39 years, male 136.4
GTEX-111YS-1126-SM-5GZYQ 60-69 years, male 136.3
GTEX-14PJ5-0826-SM-6AJAR 60-69 years, female 135.0
GTEX-S95S-0826-SM-4B64N 60-69 years, male 135.0
GTEX-ZAB4-1526-SM-5CVN7 40-49 years, male 134.5
GTEX-1MGNQ-1826-SM-DPRYI 40-49 years, male 134.5
GTEX-13PVQ-2126-SM-5L3FW 50-59 years, male 134.3
GTEX-1ICG6-1826-SM-AHZ2O 70-79 years, female 134.1
GTEX-WHWD-1426-SM-4OORU 50-59 years, male 134.0
GTEX-ZY6K-0726-SM-5A5L8 50-59 years, male 133.9
GTEX-12WSD-2326-SM-59HKQ 60-69 years, female 133.8
GTEX-12WSK-1426-SM-5CVNN 40-49 years, female 133.7
GTEX-RM2N-0826-SM-48FD3 50-59 years, male 133.3
GTEX-XXEK-0826-SM-4BRWG 50-59 years, male 133.3
GTEX-1IDJU-1526-SM-CNNR3 60-69 years, female 133.2
GTEX-QCQG-0526-SM-48U2A 50-59 years, female 132.9
GTEX-S7SF-0626-SM-4AD4V 20-29 years, female 132.9
GTEX-133LE-1326-SM-5IFGO 20-29 years, female 132.8
GTEX-QDVN-1226-SM-48TZ5 50-59 years, male 132.4
GTEX-Y9LG-1026-SM-5IFJN 30-39 years, male 132.4
GTEX-1HCU8-1326-SM-C1YQQ 60-69 years, female 132.3
GTEX-1H3VY-2326-SM-9WG81 50-59 years, male 131.4
GTEX-1GL5R-1926-SM-9WG7U 50-59 years, male 131.0
GTEX-1JMPZ-1826-SM-CXZJT 30-39 years, male 130.9
GTEX-1R9K5-1026-SM-EAZ4F 50-59 years, male 130.7
GTEX-15RIE-1026-SM-6LPJQ 60-69 years, male 130.5
GTEX-13113-0726-SM-5LZUF 60-69 years, female 130.4
GTEX-18A67-2626-SM-718AD 50-59 years, male 129.7
GTEX-13OVK-0926-SM-7KUFX 40-49 years, male 129.6
GTEX-12696-1726-SM-5EQLH 60-69 years, male 129.4
GTEX-ZVP2-1626-SM-5GU5D 50-59 years, male 129.1
GTEX-117YW-2226-SM-5N9DB 50-59 years, male 128.9
GTEX-16AAH-1226-SM-79OO9 50-59 years, male 128.7
GTEX-ZVT3-2126-SM-59HL2 60-69 years, female 128.6
GTEX-11I78-1726-SM-5A5M3 50-59 years, female 128.1
GTEX-17GQL-1226-SM-7KFTS 60-69 years, male 128.0
GTEX-14BMU-1126-SM-5RQJ8 20-29 years, female 127.7
GTEX-OOBJ-1526-SM-3NB1Q 60-69 years, male 127.6
GTEX-1GN1W-2126-SM-9JGI7 50-59 years, female 127.6
GTEX-1MJIX-1126-SM-EV7AO 40-49 years, male 127.4
GTEX-15CHR-1326-SM-79OLT 50-59 years, male 127.2
GTEX-1I1HK-2026-SM-CNNRB 60-69 years, male 127.2
GTEX-145MN-1326-SM-5NQ9S 30-39 years, male 126.5
GTEX-WY7C-1726-SM-4ONCC 50-59 years, male 126.2
GTEX-ZDYS-1926-SM-5HL59 50-59 years, male 125.4
GTEX-VJYA-1026-SM-4KL21 60-69 years, male 125.3
GTEX-P78B-1826-SM-3P5YX 40-49 years, female 125.2
GTEX-1A8G6-1426-SM-731EZ 60-69 years, male 124.5
GTEX-1CB4H-2426-SM-7PBYR 60-69 years, female 124.5
GTEX-13U4I-2526-SM-5SI8Z 40-49 years, female 124.3
GTEX-1RMOY-1126-SM-EV79E 50-59 years, male 124.1
GTEX-1MUQO-1926-SM-EAZ59 60-69 years, male 124.0
GTEX-1F5PL-1426-SM-7MKFH 40-49 years, female 123.5
GTEX-XMK1-1526-SM-EYYVO 40-49 years, male 123.3
GTEX-11DXX-1326-SM-5GIDZ 60-69 years, female 121.1
GTEX-117YX-1026-SM-5H11V 50-59 years, male 118.3
GTEX-1GMRU-2526-SM-9WG7T 50-59 years, male 118.3
GTEX-15G19-1526-SM-6LPKP 60-69 years, male 118.2
GTEX-1B8KZ-1226-SM-793CP 50-59 years, male 116.3
GTEX-17HGU-2126-SM-7IGOV 50-59 years, male 114.7
GTEX-1LBAC-1426-SM-CXZKT 20-29 years, male 113.8
GTEX-Q2AH-1126-SM-48TZM 40-49 years, male 113.6
GTEX-1GZ4H-1026-SM-9OSXL 50-59 years, female 111.7
GTEX-1KANA-1126-SM-D3L9M 20-29 years, male 111.0
GTEX-132AR-2426-SM-5IFFD 50-59 years, female 106.3
GTEX-1F75I-1826-SM-7MKGX 40-49 years, male 104.6
GTEX-1JN1M-2926-SM-CNNPJ 60-69 years, female 103.1
GTEX-145ME-1026-SM-5O9B4 40-49 years, female 99.7
GTEX-Y3IK-1426-SM-4YCES 50-59 years, female 91.0
Show allShow less

Contact

  • NEWS ARTICLES
  • PRESS ROOM

The Project

  • INTRODUCTION
  • ORGANIZATION
  • PUBLICATIONS

The Human Protein Atlas

  • DOWNLOADABLE DATA
  • LICENCE & CITATION
  • HELP & FAQ
The Human Protein Atlas project is funded
by the Knut & Alice Wallenberg Foundation.


contact@proteinatlas.org