We use cookies to enhance the usability of our website. If you continue, we'll assume that you are happy to receive all cookies. More information. Don't show this again.
CST3
HPA
RESOURCES
  • TISSUE
  • BRAIN
  • SINGLE CELL
  • SUBCELLULAR
  • CANCER
  • BLOOD
  • CELL LINE
  • STRUCTURE & INTERACTION
ABOUT
  • INTRODUCTION
  • HISTORY
  • ORGANIZATION
  • PUBLICATIONS
  • ANTIBODY SUBMISSION
  • ANTIBODY AVAILABILITY
  • ACKNOWLEDGMENTS
  • CONTACT
NEWS
  • NEWS ARTICLES
  • PRESS ROOM
LEARN
  • DICTIONARY
  • PROTEIN CLASSES
  • PROTEIN EVIDENCE
  • METHODS
  • EDUCATIONAL VIDEOS
DATA
  • DOWNLOADABLE DATA
  • PUBLICATION DATA
  • RELEASE HISTORY
HELP
  • ANTIBODY VALIDATION
  • ASSAYS & ANNOTATION
  • DISCLAIMER
  • HELP & FAQ
  • PRIVACY STATEMENT
  • LICENCE & CITATION
Fields »
Search result

Field
Term
Gene name
Class
Subclass
Class
Keyword
Chromosome
External id
Tissue
Cell type
Expression
Antibody panel
Tissue
Main location
Patient ID
Annotation
Tissue
Category
Tau score
Cluster
Reliability
Brain region
Category
Tau score
Brain region
Category
Tau score
Brain region
Category
Tau score
Cluster
Reliability
Tissue
Cell type
Enrichment
Cell type
Category
Tau score
Cell type
Category
Tau score
Cell type
Category
Tau score
Cell lineage
Category
Tau score
Cluster
Cluster
Location
Searches
Location
Cell line
Class
Type
Phase
Reliability
Cancer
Prognosis
Cancer
Category
Cancer
Category
Tau score
Cluster
Variants
Interacting gene (ensg_id)
Type
Number of interactions
Pathway
Category
Score
Score
Score
Validation
Validation
Validation
Validation
Antibodies
Data type
Column


  • SUMMARY

  • TISSUE

  • BRAIN

  • SINGLE CELL

  • SUBCELL

  • CANCER

  • BLOOD

  • CELL LINE

  • STRUCT & INT

  • CST3
TISSUE PRIMARY DATA SALIVARY GLAND Show tissue menu
ADIPOSE TISSUE ADRENAL GLAND AMYGDALA APPENDIX BASAL GANGLIA BONE MARROW BREAST BRONCHUS CEREBELLUM CEREBRAL CORTEX CERVIX CHOROID PLEXUS COLON DUODENUM
ENDOMETRIUM EPIDIDYMIS ESOPHAGUS FALLOPIAN TUBE GALLBLADDER HEART MUSCLE HIPPOCAMPAL FORMATION HYPOTHALAMUS KIDNEY LIVER LUNG LYMPH NODE MIDBRAIN NASOPHARYNX
ORAL MUCOSA OVARY PANCREAS PARATHYROID GLAND PITUITARY GLAND PLACENTA PROSTATE RECTUM RETINA SALIVARY GLAND SEMINAL VESICLE SKELETAL MUSCLE SKIN SMALL INTESTINE
SMOOTH MUSCLE SOFT TISSUE SPINAL CORD SPLEEN STOMACH TESTIS THYMUS THYROID GLAND TONGUE TONSIL URINARY BLADDER VAGINA
ANTIBODIES
AND
VALIDATION
Dictionary
Salivary gland
Tissue proteome
Salivary gland
SALIVARY GLAND - Expression summary
Protein expression
Salivary glandi

On the top, protein expression in current human tissue, based on all annotated cell types, is reported with the units not detected (n), low (l), medium (m) and high (h). Underneath, protein expression in each annotated cell type are reported using the same units.

Protein expression data is based on knowledge-based annotation. For genes where more than one antibody has been used, a collective score is set.

If knowledge-based annotation could not be performed for a gene, no data is displayed here. View antibody staining data further down this page.

h
m
l
n
Glandular cells: High
Protein profiling
Multiplex tissuei

A summary of the protein localization in the current human tissue based on multiplex immunohistochemistry profiling in selected tissues is shown for genes where this analysis has been performed.

Cytoplasmic staining in serous and mucus acini with additional cytoplasmic staining in small ducts.

RNA expressioni

A summary of mRNA expression data available for current tissue based on several datasets. The mRNA expression levels in human tissues are based on RNA-seq data generated by the Human Protein Atlas (HPA), Genotype-Tissue Expression (GTEx) portal and CAGE data generated by the FANTOM5 consortium. Consensus normalized expression levels for human tissues was created by combining the data from HPA and GTEx datasets.

The mRNA expression levels in pig are based on RNA-seq data generated by the Human Protein Atlas (HPA), and for mouse, HPA data and in situ hybridization generated by the Allen brain atlas are reported.

Scroll down to view mRNA expression data in more detail.
Consensus:1948.3 nTPM
HPA:1948.3 nTPM
GTEx:692.6 nTPM
FANTOM5:11781.3 Scaled Tags Per Million

SALIVARY GLAND - Multiplex stainingi

Antibody localization in the annotated cell types/states/structures of the current human tissue is reported as main/additional locations, percent overlap between the antibody and cell type/state/structure-specific markers, and, when applicable also subcellular localization. The scores are based on multiplex immunohistochemistry profiling in selected tissues.

Main locations are characterized by a high overlap between the antibody and the cell type/state-specific marker combined with strong antibody signal intensity, while additional locations are characterized by lower overlap and weaker antibody signal intensity.

The antibody of interest is reported in green, while cell types/states/structures are reported in various other colors, and DAPI (marks nucleus) is reported in blue. Colors can be toggled on and off by clicking on the name of the cell type/state of interest, “Antibody” or “DAPI”. To toggle between the different tissue samples, click on the miniature images at the right bottom corner of the main image. The miniature images appear upon hovering the mouse over that area.

- Antibody HPA013143
Main location Serous acini
Mucus acini
Additional location Small ducts
Antibody overlap>75%
LocationCytoplasm
Antibody overlap>75%
LocationCytoplasm
No antibody overlap
No antibody overlap
Antibody overlap50%-25%
LocationCytoplasm

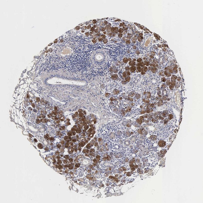
SALIVARY GLAND - Antibody stainingi

Antibody staining in the annotated cell types in the current human tissue is reported as not detected, low, medium, or high, based on conventional immunohistochemistry profiling in selected tissues. This score is based on the combination of the staining intensity and fraction of stained cells.

Each image is clickable and will lead to virtual microscopy that enables deeper exploration of all samples and also displays staining intensity scores, fraction scores and subcellular localization as well as patient and tissue information for each sample.

Antibody HPA013143Antibody CAB000118
Glandular cells HighHigh





SALIVARY GLAND - HPA RNA-seqi

The RNA-seq details section shows detailed information about the individual samples used for the transcript profiling and results of the RNA-seq analysis.

Information about each individual sample is listed below, including gender, age, a tissue section image and estimated fractions of cell types. nTPM (normalized transcripts per million) values give a quantification of the gene abundance which is comparable between different genes and samples.
Average nTPMi

Max subtype nTPM is the value for the subtype with the largest average nTPM across the subtype samples.

1948.3
overview
Female, age 68
Salivary gland sample 216
nTPM: 1482.6
Cell types%
Glandular cells:
45

Ductal cells:
25

Adipocytes:
5

Other cell types:
25

overview
Male, age 60
Salivary gland sample 217
nTPM: 2893.3
Cell types%
Glandular cells:
55

Ductal cells:
20

Adipocytes:
5

Endothelial cells:
5

Other cell types:
15

overview
Female, age 21
Salivary gland sample 218
nTPM: 1468.8
Cell types%
Glandular cells:
55

Ductal cells:
15

Adipocytes:
5

Endothelial cells:
5

Other cell types:
20


SALIVARY GLAND - GTEx RNA-seqi

RNA-Seq data generated by the Genotype-Tissue Expression (GTEx) project from human tissues is reported as mean nTPM. More information can be found on the GTEx portal.

Distribution across the dataset is visualized with box plots, shown as median and 25th and 75th percentiles. Points are displayed as outliers if they are above or below 1.5 times the interquartile range. nTPM values of the individual samples are presented next to the box plot.
Max subtype nTPMi

Max subtype nTPM is the value for the subtype with the largest average nTPM across the subtype samples.

692.6
GTEx sample id Sample description nTPM
Minor Salivary Gland
Average nTPM: 692.6
Samples: 162

Max nTPM: 2043.7
Min nTPM: 210.2
Std nTPM: 281.9
Median nTPM: 642.8
GTEX-1NSGN-0626-SM-E9J35 50-59 years, male 2043.7
GTEX-Y111-2626-SM-4TT24 50-59 years, male 1578.0
GTEX-ZE7O-2926-SM-51MSG 50-59 years, female 1431.8
GTEX-X3Y1-1926-SM-4PQZO 40-49 years, male 1401.1
GTEX-1HSEH-1826-SM-A96SA 60-69 years, male 1335.7
GTEX-1KD5A-2226-SM-EV79U 50-59 years, male 1292.3
GTEX-1LVA9-2526-SM-EVR5H 50-59 years, male 1269.4
GTEX-1QMI2-0426-SM-EWRND 60-69 years, male 1254.7
GTEX-111FC-2926-SM-5GZY7 60-69 years, male 1231.3
GTEX-1KANC-1326-SM-CYPT8 50-59 years, female 1229.3
GTEX-ZQUD-2126-SM-51MSY 30-39 years, male 1208.4
GTEX-1R9PM-1726-SM-E8VOA 20-29 years, male 1206.3
GTEX-13OVL-2926-SM-5IFG3 50-59 years, male 1138.5
GTEX-1LSNL-2626-SM-EV7AT 50-59 years, male 1114.6
GTEX-11NV4-1926-SM-5N9D4 60-69 years, male 1095.7
GTEX-1IY9M-2926-SM-A96TH 60-69 years, male 1091.9
GTEX-ZLWG-2026-SM-DO11F 50-59 years, female 1050.4
GTEX-1I1HK-2526-SM-A96SM 60-69 years, male 1044.3
GTEX-ZC5H-2726-SM-5KLZW 40-49 years, female 1022.4
GTEX-X261-2426-SM-4PQZU 50-59 years, male 1010.3
GTEX-1IOXB-2826-SM-AHZ32 50-59 years, male 994.8
GTEX-1IDJC-1626-SM-AHZ2R 50-59 years, male 982.0
GTEX-1S82P-0726-SM-EVR4O 60-69 years, female 955.0
GTEX-13NYB-2426-SM-5IFF4 40-49 years, male 951.5
GTEX-13VXT-1726-SM-5IFF5 20-29 years, female 945.7
GTEX-1OJC4-3126-SM-EXOJK 50-59 years, female 937.4
GTEX-1MCQQ-2226-SM-DLHC4 60-69 years, male 935.5
GTEX-1R9K4-0526-SM-E76P1 60-69 years, male 918.6
GTEX-13CF2-2426-SM-5LZYL 60-69 years, male 916.5
GTEX-146FR-1226-SM-5SIA7 60-69 years, female 913.9
GTEX-1GF9X-0226-SM-7P8SM 40-49 years, female 894.9
GTEX-13G51-2426-SM-5LZY8 60-69 years, male 877.7
GTEX-1QEPI-0626-SM-E76QE 60-69 years, female 861.3
GTEX-15RJE-2726-SM-6LPJ1 40-49 years, male 853.1
GTEX-1B8SF-1826-SM-731DJ 60-69 years, male 852.7
GTEX-1MCC2-2226-SM-EV7AJ 30-39 years, female 851.5
GTEX-1HSMQ-0926-SM-A96SI 50-59 years, male 838.7
GTEX-1LVAO-2626-SM-EVR4S 60-69 years, male 828.1
GTEX-1POEN-2226-SM-DPRXV 30-39 years, female 821.4
GTEX-1RNSC-2926-SM-EV79L 60-69 years, male 818.6
GTEX-14B4R-1426-SM-5Q5CG 30-39 years, male 816.1
GTEX-1LBAC-0626-SM-D3L9T 20-29 years, male 812.2
GTEX-131XF-2826-SM-5EGKH 60-69 years, male 808.1
GTEX-1H1CY-2326-SM-9OSXW 60-69 years, female 804.1
GTEX-12WSM-1826-SM-5BC64 60-69 years, male 803.7
GTEX-1AMEY-1126-SM-72D79 30-39 years, female 802.2
GTEX-1JN6P-2526-SM-CNNPX 60-69 years, male 794.8
GTEX-1J8QM-1826-SM-A96TA 60-69 years, female 789.9
GTEX-1J8EW-2826-SM-A96T9 60-69 years, female 779.1
GTEX-ZF29-2126-SM-DNZYX 60-69 years, female 777.9
GTEX-WYVS-2026-SM-4RGNS 40-49 years, female 769.5
GTEX-1KD4Q-2526-SM-CXZKL 40-49 years, male 769.1
GTEX-X5EB-1726-SM-4E3J7 40-49 years, male 769.0
GTEX-11TUW-2426-SM-5EQKB 60-69 years, male 766.3
GTEX-15SHV-2226-SM-6M464 60-69 years, male 759.7
GTEX-1A3MV-1726-SM-72D68 30-39 years, male 759.7
GTEX-11EMC-2526-SM-5PNVU 60-69 years, female 757.0
GTEX-1C4CL-2026-SM-731EB 30-39 years, male 756.0
GTEX-14PN4-2526-SM-686ZG 50-59 years, male 754.5
GTEX-1LC47-2426-SM-DHXKK 60-69 years, male 752.8
GTEX-1IE54-0826-SM-AHZ2Z 40-49 years, female 747.5
GTEX-YB5K-1726-SM-5IFIZ 40-49 years, female 742.4
GTEX-ZT9W-2126-SM-51MSF 50-59 years, male 733.6
GTEX-14PJN-1726-SM-69LO7 30-39 years, male 725.4
GTEX-11ZTT-2226-SM-5CVLP 60-69 years, female 725.0
GTEX-13JVG-2926-SM-5J2N9 60-69 years, male 721.2
GTEX-1GN1V-2926-SM-9JGI3 60-69 years, male 718.7
GTEX-1C6VR-0726-SM-7P8OV 60-69 years, male 716.4
GTEX-1QP9N-2026-SM-DPRZT 30-39 years, male 708.2
GTEX-1H4P4-2026-SM-9WPNV 50-59 years, male 704.2
GTEX-11P82-0926-SM-5986X 20-29 years, male 688.4
GTEX-14E1K-2626-SM-664OJ 50-59 years, male 681.8
GTEX-11EQ9-2026-SM-5P9JI 30-39 years, male 680.2
GTEX-1IDJD-2526-SM-C1YSA 30-39 years, male 676.3
GTEX-1HFI7-2426-SM-B2LXV 50-59 years, female 673.1
GTEX-1RAZA-0626-SM-EAZ4H 20-29 years, male 668.2
GTEX-Y5LM-1826-SM-4VDT9 40-49 years, female 663.4
GTEX-1B97J-2126-SM-79OL6 50-59 years, female 657.6
GTEX-14JIY-3026-SM-6EU1R 60-69 years, male 657.1
GTEX-1GTWX-2526-SM-9JGHG 60-69 years, male 656.8
GTEX-1445S-2926-SM-5O993 60-69 years, male 648.5
GTEX-ZG7Y-2426-SM-DO11H 50-59 years, male 637.1
GTEX-17KNJ-2726-SM-7KFRE 50-59 years, male 636.0
GTEX-13111-2326-SM-5LZUQ 50-59 years, male 634.9
GTEX-XV7Q-2426-SM-4BRV8 40-49 years, female 626.9
GTEX-X15G-2126-SM-4PQZR 50-59 years, female 615.6
GTEX-13QJC-2326-SM-5Q5CD 60-69 years, female 614.8
GTEX-Y5V6-2226-SM-4VDTC 60-69 years, male 610.0
GTEX-1HCU7-0126-SM-C1YR3 50-59 years, male 609.3
GTEX-18A7B-2826-SM-7KFTK 70-79 years, male 603.4
GTEX-17MFQ-1626-SM-7938Z 20-29 years, male 603.1
GTEX-XGQ4-2626-SM-4AT6B 50-59 years, male 602.5
GTEX-ZQG8-2126-SM-4YCF1 60-69 years, female 600.8
GTEX-1HSGN-0626-SM-A9G2E 40-49 years, female 597.3
GTEX-1EH9U-2926-SM-7DHLX 60-69 years, male 596.7
GTEX-11WQK-2926-SM-5EQKT 50-59 years, male 595.7
GTEX-1I6K6-0626-SM-ARU7J 30-39 years, male 594.5
GTEX-131XH-2626-SM-5GCNP 50-59 years, male 593.2
GTEX-13O21-1926-SM-5MR39 50-59 years, male 588.3
GTEX-11ZTS-3026-SM-5EQM7 60-69 years, female 587.4
GTEX-13113-1526-SM-5EGHV 60-69 years, female 584.3
GTEX-1I6K7-0926-SM-A96SV 40-49 years, male 571.0
GTEX-1LKK1-2926-SM-EVR4Z 50-59 years, female 570.5
GTEX-1GZ2Q-2526-SM-9KNVW 40-49 years, male 560.3
GTEX-WFJO-2026-SM-4LVM3 30-39 years, male 553.1
GTEX-WOFM-2126-SM-4OOSR 20-29 years, male 549.2
GTEX-1B8KZ-1726-SM-73KV7 50-59 years, male 548.8
GTEX-13QBU-2126-SM-5KLZN 40-49 years, female 545.5
GTEX-1C64N-2926-SM-79OLM 50-59 years, male 544.1
GTEX-YF7O-2226-SM-5CVN8 50-59 years, male 541.3
GTEX-18A67-0626-SM-7KFSL 50-59 years, male 538.7
GTEX-12BJ1-2226-SM-5BC6G 60-69 years, male 536.5
GTEX-1CB4I-2526-SM-7MKG1 50-59 years, male 528.6
GTEX-ZP4G-1926-SM-57WDZ 20-29 years, female 527.5
GTEX-WY7C-1426-SM-4OND1 50-59 years, male 519.7
GTEX-145ME-1626-SM-5RQI3 40-49 years, female 498.2
GTEX-ZLFU-2226-SM-EXUS7 40-49 years, male 497.4
GTEX-1GMR2-2026-SM-7MKHK 50-59 years, male 493.7
GTEX-14PJ3-1526-SM-664O9 50-59 years, male 493.0
GTEX-Y3I4-1926-SM-4TT8L 50-59 years, male 488.3
GTEX-13OVK-1826-SM-6PALE 40-49 years, male 485.3
GTEX-15CHC-1226-SM-686ZH 60-69 years, female 484.2
GTEX-1117F-3026-SM-5GZYU 60-69 years, female 481.9
GTEX-ZPU1-2326-SM-57WEP 40-49 years, male 480.0
GTEX-1I4MK-1326-SM-B2LWT 50-59 years, female 478.8
GTEX-WHSB-2326-SM-4M1XK 50-59 years, male 471.0
GTEX-12WSN-2226-SM-5DUXT 40-49 years, male 467.0
GTEX-1JN1M-2426-SM-ARU93 60-69 years, female 463.9
GTEX-1R9PO-2626-SM-E6CPU 60-69 years, female 463.6
GTEX-178AV-1426-SM-6LLID 40-49 years, male 459.8
GTEX-1HR9M-2526-SM-A9G3J 60-69 years, male 458.3
GTEX-ZXG5-2826-SM-5NQ8T 60-69 years, male 456.4
GTEX-1S83E-0626-SM-E9TKC 40-49 years, male 451.9
GTEX-ZAB5-2326-SM-5IJFR 50-59 years, male 450.2
GTEX-1R9K5-0626-SM-DPRZB 50-59 years, male 447.2
GTEX-18D9U-2226-SM-7KFTN 40-49 years, male 440.8
GTEX-1QCLZ-2526-SM-EXUST 60-69 years, female 435.1
GTEX-1P4AB-2926-SM-EXOJR 50-59 years, male 430.0
GTEX-1192X-2926-SM-5N9BA 50-59 years, male 420.0
GTEX-1GN1W-2526-SM-9JGHX 50-59 years, female 419.2
GTEX-1C64O-0626-SM-7DHL1 60-69 years, male 411.3
GTEX-1J1R8-1826-SM-AHZ3B 40-49 years, male 401.9
GTEX-XMK1-2626-SM-4B65R 40-49 years, male 388.1
GTEX-12WSL-2126-SM-5GCNG 50-59 years, male 383.4
GTEX-1314G-2026-SM-5LZUM 30-39 years, male 379.4
GTEX-1OJC3-1026-SM-E6CQK 20-29 years, male 370.3
GTEX-WH7G-2126-SM-4M1XU 40-49 years, male 368.9
GTEX-15EU6-2626-SM-7KUN4 50-59 years, male 368.0
GTEX-1MGNQ-1926-SM-DTX8L 40-49 years, male 364.3
GTEX-11P81-2026-SM-5P9GT 30-39 years, female 363.1
GTEX-18QFQ-0626-SM-718AW 30-39 years, male 361.2
GTEX-1339X-2326-SM-5HL5B 40-49 years, male 359.4
GTEX-1AX9K-2126-SM-72D7K 50-59 years, male 355.1
GTEX-ZA64-1726-SM-5CVMF 20-29 years, male 355.0
GTEX-13OVI-2326-SM-5KM47 60-69 years, female 354.4
GTEX-1GPI7-0326-SM-7MKH6 20-29 years, male 340.7
GTEX-1AYD5-2726-SM-7MXVG 50-59 years, male 329.9
GTEX-1PIEJ-0626-SM-DTX99 20-29 years, female 306.4
GTEX-1AX8Z-0626-SM-731EH 60-69 years, male 306.0
GTEX-1PPH8-1526-SM-E6CQO 20-29 years, male 284.1
GTEX-1B932-0626-SM-731EM 40-49 years, female 261.2
GTEX-1JKYR-0726-SM-AHZ3K 20-29 years, male 210.2
Show allShow less

SALIVARY GLAND - FANTOM5 CAGEi

RNA expression in human tissues obtained through Cap Analysis of Gene Expression (CAGE) generated by the FANTOM5 project are reported as Scaled Tags Per Million.

Max subtype Scaled Tags Per Millioni

Max subtype Scaled Tags Per Million is the value for the subtype with the largest average Scaled Tags Per Million across the subtype samples.

11781.3
FANTOM5 sample id Sample description Scaled Tags Per Million
Parotid gland
Scaled Tags Per Million: 6247.7
FF:10199-103F1 23 years, male 6247.7
Salivary gland
Scaled Tags Per Million: 11781.3
FF:10093-102C3 16-60 years, mixed 11781.3
Submaxillary gland
Scaled Tags Per Million: 7051.2
FF:10202-103F4 24 years, male 7051.2

Contact

  • NEWS ARTICLES
  • PRESS ROOM

The Project

  • INTRODUCTION
  • ORGANIZATION
  • PUBLICATIONS

The Human Protein Atlas

  • DOWNLOADABLE DATA
  • LICENCE & CITATION
  • HELP & FAQ
The Human Protein Atlas project is funded
by the Knut & Alice Wallenberg Foundation.


contact@proteinatlas.org