We use cookies to enhance the usability of our website. If you continue, we'll assume that you are happy to receive all cookies. More information. Don't show this again.
HNRNPL
HPA
RESOURCES
  • TISSUE
  • BRAIN
  • SINGLE CELL
  • SUBCELLULAR
  • CANCER
  • BLOOD
  • CELL LINE
  • STRUCTURE & INTERACTION
ABOUT
  • INTRODUCTION
  • HISTORY
  • ORGANIZATION
  • PUBLICATIONS
  • ANTIBODY SUBMISSION
  • ANTIBODY AVAILABILITY
  • ACKNOWLEDGMENTS
  • CONTACT
NEWS
  • NEWS ARTICLES
  • PRESS ROOM
LEARN
  • DICTIONARY
  • PROTEIN CLASSES
  • PROTEIN EVIDENCE
  • METHODS
  • EDUCATIONAL VIDEOS
DATA
  • DOWNLOADABLE DATA
  • PUBLICATION DATA
  • RELEASE HISTORY
HELP
  • ANTIBODY VALIDATION
  • ASSAYS & ANNOTATION
  • DISCLAIMER
  • HELP & FAQ
  • PRIVACY STATEMENT
  • LICENCE & CITATION
Fields »
Search result

Field
Term
Gene name
Class
Subclass
Class
Keyword
Chromosome
External id
Tissue
Cell type
Expression
Antibody panel
Tissue
Main location
Patient ID
Annotation
Tissue
Category
Tau score
Cluster
Reliability
Brain region
Category
Tau score
Brain region
Category
Tau score
Brain region
Category
Tau score
Cluster
Reliability
Tissue
Cell type
Enrichment
Cell type
Category
Tau score
Cell type
Category
Tau score
Cell type
Category
Tau score
Cell lineage
Category
Tau score
Cluster
Cluster
Location
Searches
Location
Cell line
Class
Type
Phase
Reliability
Cancer
Prognosis
Cancer
Category
Cancer
Category
Tau score
Cluster
Variants
Interacting gene (ensg_id)
Type
Number of interactions
Pathway
Category
Score
Score
Score
Validation
Validation
Validation
Validation
Antibodies
Data type
Column


  • SUMMARY

  • TISSUE

  • BRAIN

  • SINGLE CELL

  • SUBCELL

  • CANCER

  • BLOOD

  • CELL LINE

  • STRUCT & INT

  • HNRNPL
TISSUE PRIMARY DATA ADIPOSE TISSUE Show tissue menu
ADIPOSE TISSUE ADRENAL GLAND AMYGDALA APPENDIX BASAL GANGLIA BONE MARROW BREAST BRONCHUS CEREBELLUM CEREBRAL CORTEX CERVIX CHOROID PLEXUS COLON DUODENUM
ENDOMETRIUM EPIDIDYMIS ESOPHAGUS FALLOPIAN TUBE GALLBLADDER HEART MUSCLE HIPPOCAMPAL FORMATION HYPOTHALAMUS KIDNEY LIVER LUNG LYMPH NODE MIDBRAIN NASOPHARYNX
ORAL MUCOSA OVARY PANCREAS PARATHYROID GLAND PITUITARY GLAND PLACENTA PROSTATE RECTUM RETINA SALIVARY GLAND SEMINAL VESICLE SKELETAL MUSCLE SKIN SMALL INTESTINE
SMOOTH MUSCLE SOFT TISSUE SPINAL CORD SPLEEN STOMACH TESTIS THYMUS THYROID GLAND TONGUE TONSIL URINARY BLADDER VAGINA
ANTIBODIES
AND
VALIDATION
Dictionary
Tissue proteome
Adipose tissue
ADIPOSE TISSUE - Expression summary
Protein expression
Adipose tissuei

On the top, protein expression in current human tissue, based on all annotated cell types, is reported with the units not detected (n), low (l), medium (m) and high (h). Underneath, protein expression in each annotated cell type are reported using the same units.

Protein expression data is based on knowledge-based annotation. For genes where more than one antibody has been used, a collective score is set.

If knowledge-based annotation could not be performed for a gene, no data is displayed here. View antibody staining data further down this page.

h
m
l
n
Adipocytes: Medium
RNA expressioni

A summary of mRNA expression data available for current tissue based on several datasets. The mRNA expression levels in human tissues are based on RNA-seq data generated by the Human Protein Atlas (HPA), Genotype-Tissue Expression (GTEx) portal and CAGE data generated by the FANTOM5 consortium. Consensus normalized expression levels for human tissues was created by combining the data from HPA and GTEx datasets.

The mRNA expression levels in pig are based on RNA-seq data generated by the Human Protein Atlas (HPA), and for mouse, HPA data and in situ hybridization generated by the Allen brain atlas are reported.

Scroll down to view mRNA expression data in more detail.
Consensus:108.9 nTPM
HPA:60.6 nTPM
GTEx:108.9 nTPM
FANTOM5:180.6 Scaled Tags Per Million

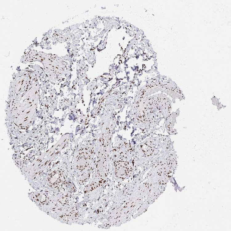
ADIPOSE TISSUE - Antibody stainingi

Antibody staining in the annotated cell types in the current human tissue is reported as not detected, low, medium, or high, based on conventional immunohistochemistry profiling in selected tissues. This score is based on the combination of the staining intensity and fraction of stained cells.

Each image is clickable and will lead to virtual microscopy that enables deeper exploration of all samples and also displays staining intensity scores, fraction scores and subcellular localization as well as patient and tissue information for each sample.

Antibody HPA051748Antibody HPA052661Antibody CAB016326
Adipocytes HighHighMedium
















ADIPOSE TISSUE - HPA RNA-seqi

The RNA-seq details section shows detailed information about the individual samples used for the transcript profiling and results of the RNA-seq analysis.

Information about each individual sample is listed below, including gender, age, a tissue section image and estimated fractions of cell types. nTPM (normalized transcripts per million) values give a quantification of the gene abundance which is comparable between different genes and samples.
Average nTPMi

Max subtype nTPM is the value for the subtype with the largest average nTPM across the subtype samples.

60.6
N/A
Female, age 80
Adipose tissue sample 86
nTPM: 69.9
Cell types%
Adipocytes:
95

Other cell types:
5

N/A
Female, age 45
Adipose tissue sample 115
nTPM: 59.5
N/A
Female, age 57
Adipose tissue sample 137
nTPM: 53.4
Cell types%
Adipocytes:
60

Fibroblasts:
20

Smooth muscle cells:
15

Other cell types:
5

overview
Female, age 74
Adipose tissue sample 329
nTPM: 63.4
Cell types%
Adipocytes:
50

Fibroblasts:
30

Smooth muscle cells:
15

Other cell types:
5

overview
Female, age 59
Adipose tissue sample 331
nTPM: 56.9
Cell types%
Adipocytes:
40

Fibroblasts:
40

Smooth muscle cells:
15

Other cell types:
5


ADIPOSE TISSUE - GTEx RNA-seqi

RNA-Seq data generated by the Genotype-Tissue Expression (GTEx) project from human tissues is reported as mean nTPM. More information can be found on the GTEx portal.

Distribution across the dataset is visualized with box plots, shown as median and 25th and 75th percentiles. Points are displayed as outliers if they are above or below 1.5 times the interquartile range. nTPM values of the individual samples are presented next to the box plot.
Max subtype nTPMi

Max subtype nTPM is the value for the subtype with the largest average nTPM across the subtype samples.

108.9
GTEx sample id Sample description nTPM
Adipose - Subcutaneous
Average nTPM: 108.9
Samples: 663

Max nTPM: 233.4
Min nTPM: 67.5
Std nTPM: 20.1
Median nTPM: 106.6
GTEX-14E6C-0226-SM-5S2N3 40-49 years, male 233.4
GTEX-REY6-0326-SM-2TF5A 60-69 years, male 204.3
GTEX-12WSL-2426-SM-5GCN7 50-59 years, male 193.8
GTEX-POYW-0726-SM-2XCEO 60-69 years, male 190.5
GTEX-183WM-0226-SM-7LT8T 70-79 years, female 187.9
GTEX-VUSH-0226-SM-EXUQV 30-39 years, male 172.8
GTEX-1S5ZU-0226-SM-E6CHW 20-29 years, female 172.4
GTEX-14ICK-0326-SM-6LLIZ 40-49 years, male 171.4
GTEX-QESD-1526-SM-2S1QT 20-29 years, male 171.0
GTEX-131XW-0526-SM-5PNXZ 50-59 years, female 168.0
GTEX-1JMQL-0326-SM-CNPP6 50-59 years, female 166.6
GTEX-U8XE-0426-SM-3DB91 30-39 years, male 163.3
GTEX-OOBK-0226-SM-2YUMF 40-49 years, male 163.0
GTEX-16XZZ-0226-SM-7MGVJ 60-69 years, male 161.9
GTEX-17HII-0326-SM-7LG4X 50-59 years, male 160.7
GTEX-1H1DE-2026-SM-9WG6Q 20-29 years, male 159.3
GTEX-1HR98-0226-SM-CGQEK 60-69 years, male 158.4
GTEX-132QS-2526-SM-62LFJ 60-69 years, male 157.5
GTEX-ZE7O-0226-SM-5S2N1 50-59 years, female 154.7
GTEX-1JJ6O-0226-SM-E6CI9 60-69 years, male 154.0
GTEX-U412-0526-SM-3DB9I 60-69 years, male 153.4
GTEX-OXRN-0226-SM-2I5EJ 50-59 years, male 152.9
GTEX-1ICLY-0226-SM-ARL7R 50-59 years, male 151.4
GTEX-1A32A-0226-SM-718B2 50-59 years, female 150.8
GTEX-WI4N-1126-SM-3LK7Q 40-49 years, female 150.4
GTEX-145LS-0226-SM-5O9A5 60-69 years, female 149.7
GTEX-1C6VS-0426-SM-79OJV 60-69 years, male 149.5
GTEX-11P82-1726-SM-5Q5AT 20-29 years, male 149.1
GTEX-139D8-0326-SM-5IJCJ 30-39 years, female 148.3
GTEX-1HCU8-0726-SM-ADEIR 60-69 years, female 148.0
GTEX-Q734-1826-SM-2I3EL 40-49 years, female 147.4
GTEX-146FH-0226-SM-5QGPQ 50-59 years, female 146.9
GTEX-QEG5-0326-SM-2S1PB 20-29 years, male 146.5
GTEX-145MI-0426-SM-5O99V 60-69 years, female 146.1
GTEX-1HSMO-0226-SM-CGQEZ 60-69 years, male 146.1
GTEX-1IDFM-0226-SM-CMKFX 60-69 years, male 143.9
GTEX-17MF6-0226-SM-7LG4G 40-49 years, male 143.2
GTEX-XK95-0426-SM-4AT4R 40-49 years, male 143.1
GTEX-1JN1M-0126-SM-D4P23 60-69 years, female 142.9
GTEX-ZYFD-0226-SM-5NQ86 50-59 years, male 142.8
GTEX-133LE-1926-SM-5N9FV 20-29 years, female 142.5
GTEX-14C5O-0226-SM-5SI6O 60-69 years, male 142.2
GTEX-1I1GR-0226-SM-CMKHQ 60-69 years, male 141.8
GTEX-11O72-0226-SM-59869 40-49 years, male 141.5
GTEX-1399U-2426-SM-5K7XB 50-59 years, female 140.3
GTEX-13OVJ-0326-SM-5L3GL 50-59 years, female 139.9
GTEX-13QBU-2526-SM-5LU4X 40-49 years, female 139.5
GTEX-15G19-0226-SM-6PAL2 60-69 years, male 139.0
GTEX-14E6E-1926-SM-664N4 30-39 years, male 138.5
GTEX-1JN6P-0226-SM-COH34 60-69 years, male 138.5
GTEX-Y3IK-2526-SM-4WWDM 50-59 years, female 138.2
GTEX-1JMQK-0126-SM-CM2S3 60-69 years, male 137.9
GTEX-TSE9-0226-SM-3DB84 60-69 years, female 136.8
GTEX-ZAJG-0226-SM-5HL81 50-59 years, female 136.7
GTEX-1314G-1626-SM-5EQ67 30-39 years, male 136.4
GTEX-12C56-1626-SM-5FQUO 20-29 years, male 136.1
GTEX-1H1DF-0226-SM-ARL9A 40-49 years, female 135.8
GTEX-14PJ2-0226-SM-6LLH4 50-59 years, male 135.6
GTEX-1CAMS-0326-SM-7PC35 40-49 years, female 135.6
GTEX-14ICL-2026-SM-62LDN 30-39 years, male 135.1
GTEX-18465-0226-SM-7LG5M 50-59 years, male 134.8
GTEX-13O1R-0226-SM-5K7U5 60-69 years, male 134.2
GTEX-QDVN-2126-SM-33HBS 50-59 years, male 134.1
GTEX-14E6D-0226-SM-62LDW 50-59 years, male 133.9
GTEX-WFG8-2326-SM-DIPDX 20-29 years, male 133.9
GTEX-VUSG-2426-SM-4KKZG 50-59 years, male 133.7
GTEX-1CB4J-1126-SM-7PBY1 60-69 years, male 133.5
GTEX-Q2AH-1726-SM-DIPDV 40-49 years, male 132.7
GTEX-1LSNM-2026-SM-E6CIJ 50-59 years, male 132.4
GTEX-POMQ-2326-SM-DHXIS 20-29 years, female 132.1
GTEX-1H3VE-0226-SM-9WYST 40-49 years, male 131.9
GTEX-ZYW4-0226-SM-5E44M 60-69 years, male 131.7
GTEX-1I1GU-2326-SM-CGQFB 40-49 years, male 131.6
GTEX-13N1W-0226-SM-5K7W6 70-79 years, male 131.3
GTEX-QDVJ-1826-SM-2S1P3 50-59 years, male 131.0
GTEX-U4B1-1726-SM-3DB9F 40-49 years, male 131.0
GTEX-P4PQ-0226-SM-2S1NK 60-69 years, male 130.9
GTEX-X8HC-0226-SM-4E3K1 50-59 years, female 130.5
GTEX-11DXW-0326-SM-5H11W 40-49 years, male 129.8
GTEX-O5YT-0226-SM-32PK5 20-29 years, male 129.6
GTEX-1B8KE-2526-SM-73KYQ 50-59 years, male 129.2
GTEX-WY7C-2426-SM-3NB2V 50-59 years, male 129.0
GTEX-X4XY-0326-SM-46MVZ 60-69 years, male 128.9
GTEX-1CAMR-1826-SM-7MXUJ 20-29 years, male 128.9
GTEX-14E1K-2126-SM-793DU 50-59 years, male 128.8
GTEX-ZV68-0226-SM-59HJF 50-59 years, female 128.8
GTEX-111CU-1826-SM-5GZYN 50-59 years, male 128.7
GTEX-13CF2-2626-SM-5LZZA 60-69 years, male 128.5
GTEX-1S82P-0226-SM-E6CI6 60-69 years, female 128.5
GTEX-13NZ9-0526-SM-5J1OX 50-59 years, male 128.1
GTEX-1RDX4-0226-SM-DTXG1 50-59 years, female 128.0
GTEX-ZP4G-2326-SM-57WEM 20-29 years, female 127.8
GTEX-148VI-1726-SM-5S2W9 60-69 years, female 127.5
GTEX-1HCU7-0326-SM-CMKGI 50-59 years, male 127.4
GTEX-13O61-2426-SM-5J1NV 60-69 years, male 126.9
GTEX-1KWVE-1326-SM-E6CJ1 30-39 years, male 126.8
GTEX-14PJ4-2226-SM-6LLIS 60-69 years, male 126.7
GTEX-14BMV-0226-SM-5S2N2 50-59 years, male 126.6
GTEX-WVLH-0226-SM-3MJG6 50-59 years, male 126.3
GTEX-1B996-0126-SM-7PBYF 60-69 years, male 126.3
GTEX-OIZH-0226-SM-2YUMH 50-59 years, male 126.1
GTEX-13SLX-0426-SM-5QGRC 50-59 years, female 126.0
GTEX-ZLFU-2626-SM-DO91L 40-49 years, male 125.9
GTEX-YJ8A-0526-SM-5IFHT 20-29 years, male 125.8
GTEX-1PPGY-0326-SM-DTXFD 60-69 years, male 125.8
GTEX-1JJE9-1226-SM-CNPOI 70-79 years, male 125.3
GTEX-1HB9E-0426-SM-CNPPV 50-59 years, male 125.2
GTEX-WFG7-2526-SM-EWRM5 20-29 years, male 125.2
GTEX-13FH7-2226-SM-5IJD4 50-59 years, female 125.1
GTEX-13VXU-0226-SM-5SI9R 50-59 years, male 125.0
GTEX-144GM-1926-SM-5LUAN 20-29 years, male 124.8
GTEX-18QFQ-0226-SM-731BQ 30-39 years, male 124.7
GTEX-139T4-0126-SM-5HL5G 50-59 years, female 124.5
GTEX-145MO-0426-SM-5QGP6 60-69 years, male 123.6
GTEX-1E1VI-0226-SM-793CZ 50-59 years, male 123.3
GTEX-1LVA9-0226-SM-E9U5N 50-59 years, male 123.3
GTEX-1QP66-1326-SM-DTXDQ 50-59 years, male 123.3
GTEX-1C6WA-0226-SM-7IGPO 60-69 years, male 123.2
GTEX-1LG7Z-2026-SM-DLHBP 30-39 years, male 123.0
GTEX-17EUY-0526-SM-7EWDE 20-29 years, male 122.9
GTEX-OXRP-0226-SM-3NB14 60-69 years, female 122.9
GTEX-145LT-1826-SM-5QGP4 40-49 years, male 122.5
GTEX-ZYVF-0226-SM-5GIEG 50-59 years, female 122.5
GTEX-T5JW-1726-SM-3GADN 20-29 years, female 121.8
GTEX-14753-0326-SM-5QGQB 60-69 years, male 121.6
GTEX-1HBPH-0526-SM-9YFMN 40-49 years, female 121.6
GTEX-1PDJ9-0426-SM-E9J3E 20-29 years, male 121.5
GTEX-144GL-0226-SM-5QGOX 50-59 years, male 121.4
GTEX-ZF3C-0226-SM-4WWB3 50-59 years, female 121.4
GTEX-1GF9X-1926-SM-ADEIC 40-49 years, female 121.4
GTEX-144GO-1626-SM-7EPG5 60-69 years, male 121.3
GTEX-OXRO-0226-SM-3LK6F 60-69 years, female 121.3
GTEX-1F75I-0426-SM-7PC3S 40-49 years, male 121.3
GTEX-12584-0226-SM-5EQL5 40-49 years, male 121.2
GTEX-13RTJ-2526-SM-5S2Q3 60-69 years, male 121.2
GTEX-14DAQ-0226-SM-664MQ 60-69 years, female 121.2
GTEX-11H98-0226-SM-5NQ89 50-59 years, male 121.1
GTEX-12696-2526-SM-5EQLN 60-69 years, male 121.1
GTEX-139YR-2426-SM-5J1OB 50-59 years, male 121.1
GTEX-1399T-2726-SM-5K7XK 60-69 years, male 120.9
GTEX-ZDTS-0226-SM-5HL7Q 60-69 years, male 120.9
GTEX-1S831-0326-SM-EVYD3 20-29 years, male 120.9
GTEX-11EMC-2826-SM-5PNY6 60-69 years, female 120.8
GTEX-1211K-2226-SM-5FQU6 60-69 years, female 120.8
GTEX-OOBJ-0226-SM-2YUMM 60-69 years, male 120.8
GTEX-1I1GT-0526-SM-CGQEQ 60-69 years, female 120.8
GTEX-XLM4-0226-SM-4AT4N 60-69 years, male 120.5
GTEX-13NZB-2426-SM-5K7UF 30-39 years, male 120.4
GTEX-15RIE-2326-SM-7KFSC 60-69 years, male 120.3
GTEX-1EX96-1426-SM-7PBZ5 50-59 years, male 120.3
GTEX-ZTX8-1526-SM-5N9GI 20-29 years, male 120.2
GTEX-P4QT-0226-SM-3LK68 50-59 years, female 120.1
GTEX-QEL4-0326-SM-3GAE5 50-59 years, male 120.0
GTEX-147GR-0426-SM-5S2OL 60-69 years, male 119.9
GTEX-145ME-1926-SM-5MR6T 40-49 years, female 119.8
GTEX-1GN73-0326-SM-9KNTW 60-69 years, male 119.8
GTEX-PLZ4-0226-SM-CYPR1 50-59 years, female 119.8
GTEX-1B8SG-0226-SM-7939Q 50-59 years, male 119.6
GTEX-1GN1V-0226-SM-9WYTN 60-69 years, male 119.6
GTEX-1GZ4H-1826-SM-9MQLE 50-59 years, female 119.6
GTEX-13YAN-0426-SM-5O9DR 60-69 years, male 119.3
GTEX-SNOS-1426-SM-32PLY 40-49 years, male 119.3
GTEX-X261-0226-SM-3NMD2 50-59 years, male 119.2
GTEX-11WQC-2426-SM-5EQKQ 60-69 years, male 119.0
GTEX-1MA7X-2126-SM-E6CIX 60-69 years, male 119.0
GTEX-139T8-0226-SM-5L3EA 60-69 years, male 118.9
GTEX-RTLS-0226-SM-2TF5E 60-69 years, female 118.9
GTEX-1GN2E-0326-SM-COH3C 60-69 years, male 118.9
GTEX-17F97-0426-SM-7LT9U 50-59 years, male 118.8
GTEX-1OJC4-1726-SM-EXUSV 50-59 years, female 118.7
GTEX-P44G-2326-SM-2XCCZ 30-39 years, male 118.5
GTEX-13OW7-0226-SM-5MR3N 50-59 years, male 118.3
GTEX-1A3MW-0226-SM-7939O 60-69 years, female 118.3
GTEX-S32W-2226-SM-2XCAY 50-59 years, female 118.3
GTEX-WFJO-1926-SM-3GILA 30-39 years, male 118.2
GTEX-1RAZA-0226-SM-E9U4W 20-29 years, male 118.2
GTEX-TKQ1-1126-SM-4GIAZ 30-39 years, male 118.1
GTEX-1N2DW-0326-SM-E9TK3 50-59 years, male 118.0
GTEX-13PVQ-0226-SM-5SIBG 50-59 years, male 117.9
GTEX-1LVAO-0226-SM-E9U6O 60-69 years, male 117.9
GTEX-XBEW-0726-SM-4QARX 40-49 years, male 117.8
GTEX-SNMC-1326-SM-2XCFK 20-29 years, male 117.6
GTEX-WH7G-2226-SM-3NMBN 40-49 years, male 117.3
GTEX-YFCO-2026-SM-4W21Q 40-49 years, male 117.2
GTEX-1N2EF-0626-SM-E9J32 60-69 years, male 117.2
GTEX-146FQ-0226-SM-5NQAL 30-39 years, male 117.1
GTEX-R55D-0326-SM-48FES 50-59 years, male 117.0
GTEX-11UD2-0126-SM-5EQL2 50-59 years, male 116.9
GTEX-11GS4-2626-SM-5A5LD 60-69 years, male 116.8
GTEX-16AAH-2026-SM-7LG5F 50-59 years, male 116.7
GTEX-1MUQO-0526-SM-E9J31 60-69 years, male 116.7
GTEX-12ZZZ-0526-SM-5DUX6 60-69 years, male 116.6
GTEX-131XF-2226-SM-5EQKG 60-69 years, male 116.5
GTEX-1A3MV-2126-SM-718BV 30-39 years, male 116.5
GTEX-R45C-0226-SM-EVYAJ 60-69 years, female 116.4
GTEX-16XZY-2526-SM-7DHL2 70-79 years, male 116.3
GTEX-1J1OQ-0326-SM-CYPTJ 40-49 years, female 116.1
GTEX-11PRG-0626-SM-5BC56 50-59 years, male 116.0
GTEX-18A67-0226-SM-7LG67 50-59 years, male 116.0
GTEX-145MG-0126-SM-5TDDA 50-59 years, male 115.7
GTEX-PWCY-1926-SM-3NB25 20-29 years, female 115.7
GTEX-11UD1-0226-SM-5EQKL 40-49 years, female 115.6
GTEX-13QJ3-0426-SM-5RQHP 50-59 years, male 115.6
GTEX-15ETS-0426-SM-6PANI 40-49 years, female 115.5
GTEX-ZF29-2226-SM-4WWB9 60-69 years, female 115.5
GTEX-111YS-2426-SM-5GZZQ 60-69 years, male 115.4
GTEX-13OW6-0526-SM-5L3HY 50-59 years, male 115.4
GTEX-ZT9X-1926-SM-57WE7 40-49 years, male 115.4
GTEX-17MFQ-1826-SM-7DHLS 20-29 years, male 115.2
GTEX-ZE9C-2826-SM-5S2MO 60-69 years, male 115.2
GTEX-1FIGZ-1626-SM-7SB8L 40-49 years, male 115.2
GTEX-XXEK-2426-SM-4BRUS 50-59 years, male 115.1
GTEX-18A6Q-0226-SM-718AS 60-69 years, male 115.0
GTEX-1R9K5-0226-SM-EWRNF 50-59 years, male 114.6
GTEX-1KD5A-0326-SM-D5OVD 50-59 years, male 114.5
GTEX-18A66-0326-SM-718BE 60-69 years, male 114.4
GTEX-1IOXB-0226-SM-CMKHY 50-59 years, male 114.3
GTEX-T5JC-0526-SM-32PM7 20-29 years, male 114.1
GTEX-1QP67-1726-SM-E8VOP 40-49 years, female 114.1
GTEX-144FL-0226-SM-5Q5D4 50-59 years, male 113.9
GTEX-1GZ2Q-0326-SM-9WG6N 40-49 years, male 113.8
GTEX-11I78-2626-SM-5Q5AI 50-59 years, female 113.6
GTEX-13IVO-0226-SM-5LZXU 70-79 years, male 113.6
GTEX-ZVE2-0326-SM-57WFC 50-59 years, male 113.6
GTEX-1H1E6-2026-SM-9KNVK 30-39 years, male 113.6
GTEX-YJ89-0226-SM-4TT3Y 60-69 years, male 113.5
GTEX-S4P3-1526-SM-E9J3W 50-59 years, female 113.5
GTEX-Y114-2326-SM-4TT7X 50-59 years, female 113.4
GTEX-YB5E-2126-SM-5IFI7 40-49 years, male 113.4
GTEX-13U4I-0226-SM-5SIB1 40-49 years, female 113.3
GTEX-ZVZO-0226-SM-5A5LA 40-49 years, male 113.3
GTEX-YFC4-0226-SM-57WD2 40-49 years, female 113.1
GTEX-1MA7W-1926-SM-E6CIO 20-29 years, female 113.1
GTEX-13S7M-0226-SM-5S2UG 60-69 years, female 113.0
GTEX-131XE-2426-SM-5EQ5V 50-59 years, male 112.9
GTEX-1AX9K-2426-SM-73KZ4 50-59 years, male 112.8
GTEX-QMRM-1726-SM-2S1QG 50-59 years, male 112.8
GTEX-14JG6-2326-SM-6LLH3 30-39 years, female 112.7
GTEX-1JK1U-2126-SM-CNPOU 60-69 years, male 112.7
GTEX-14PN3-2526-SM-6EU15 60-69 years, female 112.5
GTEX-QV31-1326-SM-2S1QE 30-39 years, male 112.5
GTEX-15CHQ-0226-SM-6EU2S 60-69 years, male 112.4
GTEX-1RQEC-0526-SM-E6CHV 60-69 years, male 112.4
GTEX-1A3MX-0226-SM-731C4 60-69 years, male 112.3
GTEX-QLQW-1226-SM-2S1Q9 30-39 years, male 112.3
GTEX-13OVL-0326-SM-5IJCS 50-59 years, male 112.2
GTEX-SJXC-0226-SM-2XCDU 60-69 years, male 112.2
GTEX-1ICG6-2626-SM-CGQG1 70-79 years, female 112.2
GTEX-1POEN-0226-SM-EYYXE 30-39 years, female 112.1
GTEX-1H1CY-2626-SM-9MQKJ 60-69 years, female 112.0
GTEX-PSDG-0326-SM-48TCP 50-59 years, male 111.9
GTEX-T6MN-0226-SM-32PMD 50-59 years, male 111.9
GTEX-P44H-0326-SM-2XCES 40-49 years, male 111.8
GTEX-13FHP-0226-SM-5K7WD 50-59 years, male 111.6
GTEX-WFON-2226-SM-3TW8W 40-49 years, male 111.6
GTEX-1I1GP-2326-SM-CGQFL 50-59 years, male 111.6
GTEX-1GMR3-2026-SM-9MQLG 40-49 years, male 111.5
GTEX-13SLW-0226-SM-5S2NA 70-79 years, male 111.4
GTEX-1B97I-1726-SM-7939V 40-49 years, male 111.4
GTEX-QCQG-1826-SM-2S1P2 50-59 years, female 111.4
GTEX-X4EO-0426-SM-4QASA 60-69 years, female 111.3
GTEX-ZYFC-0326-SM-5NQ7H 50-59 years, male 111.3
GTEX-1LBAC-0226-SM-DHXJZ 20-29 years, male 111.1
GTEX-1LSNL-0526-SM-DIPFI 50-59 years, male 110.9
GTEX-Y9LG-2026-SM-62LFS 30-39 years, male 110.8
GTEX-11DZ1-0226-SM-5A5KF 50-59 years, male 110.6
GTEX-13X6K-0226-SM-5QGPB 60-69 years, female 110.6
GTEX-1MJK2-0526-SM-DTXE6 50-59 years, male 110.6
GTEX-1I1GV-0426-SM-ARZLX 60-69 years, male 110.5
GTEX-11TTK-0226-SM-5N9EC 60-69 years, female 110.4
GTEX-1CB4I-0426-SM-7IGPR 50-59 years, male 110.4
GTEX-1JMPY-1426-SM-ARL8Z 30-39 years, male 110.4
GTEX-1H4P4-0226-SM-9YFKT 50-59 years, male 110.3
GTEX-1I1GS-0226-SM-B2LVX 60-69 years, male 110.3
GTEX-1KXAM-2326-SM-CYPTD 60-69 years, male 110.0
GTEX-1PBJI-0426-SM-E8VNM 20-29 years, female 110.0
GTEX-SUCS-1826-SM-32PM1 70-79 years, male 109.9
GTEX-1PIGE-0526-SM-DTXFA 20-29 years, male 109.9
GTEX-14BIL-0226-SM-5SI9E 50-59 years, male 109.8
GTEX-14JIY-0526-SM-62LFH 60-69 years, male 109.8
GTEX-1A8G6-0526-SM-7PC1E 60-69 years, male 109.8
GTEX-15DDE-0226-SM-6LLJ6 50-59 years, female 109.7
GTEX-Y5V6-2526-SM-5IFJV 60-69 years, male 109.6
GTEX-13NZA-0126-SM-5K7UH 60-69 years, male 109.5
GTEX-UJHI-1626-SM-3DB9A 50-59 years, female 109.5
GTEX-X15G-2326-SM-4PQZS 50-59 years, female 109.5
GTEX-1H3O1-0526-SM-9MQLS 60-69 years, male 109.5
GTEX-1A8G7-0226-SM-731AS 60-69 years, male 109.4
GTEX-117YX-2226-SM-5EGJJ 50-59 years, male 109.3
GTEX-ZVZP-2326-SM-59HL4 50-59 years, male 109.3
GTEX-11GSO-2326-SM-5A5LX 60-69 years, male 109.2
GTEX-16BQI-0526-SM-6PAM8 30-39 years, female 109.2
GTEX-S33H-1126-SM-2XCB6 30-39 years, male 109.2
GTEX-1CB4H-0326-SM-9WG5G 60-69 years, female 109.2
GTEX-ZVT4-0226-SM-51MSD 50-59 years, female 109.0
GTEX-13FTY-0626-SM-5L3F8 40-49 years, female 108.9
GTEX-14BMU-2126-SM-5S2TS 20-29 years, female 108.9
GTEX-14PII-0326-SM-6LLIQ 60-69 years, male 108.8
GTEX-1LH75-2526-SM-E9U5A 50-59 years, female 108.8
GTEX-11ZUS-0726-SM-59886 30-39 years, male 108.7
GTEX-1B933-0526-SM-7EPHM 50-59 years, female 108.7
GTEX-1A8FM-0126-SM-7SB7P 50-59 years, female 108.7
GTEX-14C39-2526-SM-5S2UH 40-49 years, male 108.5
GTEX-QLQ7-1526-SM-2S1QA 60-69 years, male 108.5
GTEX-ZYT6-0326-SM-7LG5R 30-39 years, male 108.5
GTEX-15UKP-0526-SM-7KFRO 20-29 years, male 108.4
GTEX-OHPM-0226-SM-3LK61 50-59 years, male 108.4
GTEX-T2IS-0226-SM-32QPH 20-29 years, female 108.4
GTEX-1IDJD-1226-SM-CM2TP 30-39 years, male 108.4
GTEX-Q2AI-1426-SM-2S1P5 40-49 years, male 108.3
GTEX-1GPI7-0226-SM-9MQKB 20-29 years, male 108.3
GTEX-13112-2726-SM-5DUW5 50-59 years, male 108.2
GTEX-14LLW-0226-SM-62LEL 70-79 years, female 108.1
GTEX-11EI6-0226-SM-5EQ64 60-69 years, male 107.9
GTEX-1PWST-0326-SM-EAZ42 70-79 years, male 107.9
GTEX-145MF-0526-SM-5LUA6 50-59 years, male 107.8
GTEX-1HGF4-2526-SM-ADEIZ 60-69 years, male 107.7
GTEX-1S83E-0226-SM-EVYCW 40-49 years, male 107.6
GTEX-WHPG-2126-SM-4M1ZM 50-59 years, male 107.4
GTEX-16NGA-1826-SM-7LG5L 40-49 years, female 107.2
GTEX-1GF9V-0226-SM-9MQKA 60-69 years, male 107.1
GTEX-1IY9M-0226-SM-CMKHP 60-69 years, male 107.1
GTEX-12WSM-0226-SM-5LZV6 60-69 years, male 107.0
GTEX-1CB4F-0526-SM-9KNW2 60-69 years, male 107.0
GTEX-1HUB1-0326-SM-A9SKQ 60-69 years, male 107.0
GTEX-13G51-2626-SM-5LZYW 60-69 years, male 106.9
GTEX-13X6J-0226-SM-7EPGC 50-59 years, male 106.9
GTEX-NPJ8-0226-SM-48TBN 40-49 years, male 106.9
GTEX-13OW8-1226-SM-5K7XD 60-69 years, male 106.8
GTEX-1LG7Y-0426-SM-DKPQB 50-59 years, male 106.8
GTEX-18D9U-0726-SM-7LG5J 40-49 years, male 106.7
GTEX-131YS-0226-SM-5IJEH 60-69 years, female 106.6
GTEX-13PDP-0226-SM-5K7W9 60-69 years, male 106.6
GTEX-RM2N-1726-SM-2TF55 50-59 years, male 106.1
GTEX-1IGQW-0226-SM-COH43 60-69 years, male 106.1
GTEX-OIZI-0226-SM-2XCEE 40-49 years, male 106.0
GTEX-XQ3S-1626-SM-4WAYN 20-29 years, male 106.0
GTEX-12KS4-0426-SM-5EQMC 30-39 years, male 105.9
GTEX-12WSC-0226-SM-5EQ52 50-59 years, male 105.8
GTEX-13113-1826-SM-5LZW4 60-69 years, female 105.8
GTEX-1HSEH-0226-SM-ACKVV 60-69 years, male 105.8
GTEX-13O3Q-2326-SM-5KM3G 50-59 years, male 105.7
GTEX-1HCU6-0226-SM-CGQES 60-69 years, female 105.7
GTEX-YF7O-2426-SM-5IFJL 50-59 years, male 105.5
GTEX-ZTPG-0226-SM-5O99I 20-29 years, female 105.5
GTEX-1J8EW-0226-SM-CYPSW 60-69 years, female 105.3
GTEX-16MT8-0526-SM-6PAM6 60-69 years, female 105.2
GTEX-ZDTT-2626-SM-5S2OP 60-69 years, male 105.1
GTEX-1GTWX-0226-SM-9YFLL 60-69 years, male 105.0
GTEX-1MCYP-1826-SM-E9J2Q 20-29 years, female 105.0
GTEX-1QCLY-0526-SM-EAZ47 30-39 years, male 105.0
GTEX-VJWN-0226-SM-EZ6LF 50-59 years, female 105.0
GTEX-ZZ64-1626-SM-5E43W 20-29 years, male 104.8
GTEX-1QP29-0726-SM-DTXFM 50-59 years, male 104.7
GTEX-1212Z-2426-SM-5EQ5D 60-69 years, male 104.5
GTEX-1B8SF-0526-SM-7939F 60-69 years, male 104.5
GTEX-13OVI-1326-SM-5IJBO 60-69 years, female 104.4
GTEX-T8EM-1126-SM-3DB7D 40-49 years, male 104.2
GTEX-OHPN-0226-SM-48TBV 60-69 years, female 104.1
GTEX-1AX9I-0226-SM-7SB75 60-69 years, male 104.1
GTEX-1IDJF-0226-SM-CMKGE 20-29 years, male 104.1
GTEX-1OFPY-2326-SM-E8VNU 60-69 years, male 104.1
GTEX-XMD2-0226-SM-4WWEE 60-69 years, female 104.0
GTEX-ZQG8-1526-SM-5HL65 60-69 years, female 104.0
GTEX-1QP6S-0126-SM-E9J4K 40-49 years, male 103.8
GTEX-147F3-0626-SM-5NQ9I 50-59 years, female 103.7
GTEX-1F5PK-2526-SM-9MQKN 50-59 years, male 103.6
GTEX-1HR9M-0226-SM-COH3E 60-69 years, male 103.6
GTEX-1QPFJ-0126-SM-E9J4B 30-39 years, female 103.6
GTEX-11ZU8-2426-SM-5EQMV 60-69 years, male 103.5
GTEX-12WSD-0226-SM-59HKO 60-69 years, female 103.5
GTEX-1HSMQ-1426-SM-ADEHT 50-59 years, male 103.5
GTEX-1IE54-0226-SM-CMKHX 40-49 years, female 103.4
GTEX-14PJ3-1926-SM-62LEY 50-59 years, male 103.1
GTEX-T6MO-1726-SM-33HB8 40-49 years, female 103.1
GTEX-ZLV1-1826-SM-5FQU5 60-69 years, female 103.0
GTEX-1H23P-0226-SM-9YFLO 60-69 years, male 102.9
GTEX-X5EB-2426-SM-4E3HX 40-49 years, male 102.8
GTEX-ZZPU-2726-SM-5NQ8O 50-59 years, female 102.8
GTEX-1F75A-0226-SM-7PC2K 50-59 years, male 102.7
GTEX-1KAFJ-2426-SM-D4P32 50-59 years, male 102.7
GTEX-1128S-2126-SM-5H12U 60-69 years, female 102.6
GTEX-139T6-2126-SM-5KM37 50-59 years, male 102.6
GTEX-13W3W-2526-SM-5SI9P 60-69 years, female 102.5
GTEX-1J1R8-2226-SM-ARZMP 40-49 years, male 102.5
GTEX-1NHNU-1126-SM-E9J2C 50-59 years, male 102.4
GTEX-12126-0426-SM-5Q5AP 20-29 years, male 102.3
GTEX-1QP9N-1526-SM-DTXFK 30-39 years, male 102.3
GTEX-UTHO-0426-SM-CE6QU 60-69 years, male 102.3
GTEX-1EU9M-0326-SM-7RHGF 60-69 years, male 102.2
GTEX-1I1CD-0226-SM-CM2TL 60-69 years, female 102.2
GTEX-11ONC-2526-SM-5986W 60-69 years, male 102.1
GTEX-1C64O-0226-SM-73KXB 60-69 years, male 102.1
GTEX-W5X1-2626-SM-4LMI8 40-49 years, female 102.1
GTEX-11EM3-2326-SM-5H12B 20-29 years, female 102.0
GTEX-XBED-2326-SM-47JYR 60-69 years, male 102.0
GTEX-18D9A-2026-SM-718BL 30-39 years, female 101.9
GTEX-13JUV-2826-SM-5LZWU 40-49 years, female 101.8
GTEX-17KNJ-2226-SM-DKPOU 50-59 years, male 101.7
GTEX-XBEC-0326-SM-4AT4M 50-59 years, male 101.6
GTEX-ZLWG-2226-SM-DO92V 50-59 years, female 101.6
GTEX-13CF3-2326-SM-5IFGL 60-69 years, female 101.5
GTEX-1JN76-0226-SM-CMKGO 20-29 years, female 101.5
GTEX-RUSQ-1626-SM-EZ6L4 50-59 years, male 101.5
GTEX-ZGAY-0626-SM-DO92E 40-49 years, female 101.5
GTEX-QEG4-0326-SM-DIPE3 30-39 years, male 101.4
GTEX-14PHX-2426-SM-62LEN 50-59 years, male 101.3
GTEX-139TT-0226-SM-5K7YH 60-69 years, male 101.2
GTEX-Y111-0226-SM-4SOIW 50-59 years, male 101.1
GTEX-1HCVE-0226-SM-CGQEV 50-59 years, male 101.1
GTEX-17EVP-0426-SM-79OKG 40-49 years, male 101.0
GTEX-1CB4E-1826-SM-7RHG8 60-69 years, male 101.0
GTEX-1EH9U-0226-SM-7PBY8 60-69 years, male 101.0
GTEX-111FC-0226-SM-5N9B8 60-69 years, male 100.9
GTEX-1H3VY-0226-SM-9YFMF 50-59 years, male 100.9
GTEX-18A7A-0326-SM-731AT 50-59 years, female 100.7
GTEX-O5YV-0226-SM-48TBY 60-69 years, female 100.7
GTEX-PLZ5-1826-SM-3NB22 50-59 years, male 100.7
GTEX-1497J-2326-SM-5NQBK 60-69 years, male 100.6
GTEX-1ICLZ-0226-SM-CKZPP 60-69 years, male 100.6
GTEX-1117F-0226-SM-5GZZ7 60-69 years, female 100.5
GTEX-11P7K-2026-SM-5GU74 30-39 years, male 100.5
GTEX-132AR-0226-SM-5IJBE 50-59 years, female 100.5
GTEX-Y5V5-2426-SM-5IFJA 60-69 years, female 100.5
GTEX-1HBPI-1426-SM-B2LW7 50-59 years, male 100.5
GTEX-17F9Y-0326-SM-7IGLS 70-79 years, female 100.4
GTEX-1I6K7-0226-SM-CJI46 40-49 years, male 100.4
GTEX-Y3I4-2226-SM-4TT7O 50-59 years, male 100.1
GTEX-1GMRU-0226-SM-9YFLW 50-59 years, male 100.1
GTEX-1KANA-0826-SM-D3L9J 20-29 years, male 100.0
GTEX-1L5NE-2626-SM-E9U6P 50-59 years, male 100.0
GTEX-1313W-0226-SM-5LZV7 50-59 years, female 99.9
GTEX-XQ8I-0526-SM-4BOPS 50-59 years, male 99.9
GTEX-1IKJJ-0226-SM-COH3T 60-69 years, male 99.9
GTEX-ZEX8-2326-SM-5S2MN 50-59 years, male 99.8
GTEX-11TUW-2626-SM-5EQKZ 60-69 years, male 99.7
GTEX-145MN-2626-SM-5NQAH 30-39 years, male 99.7
GTEX-1HSGN-0126-SM-CGQFU 40-49 years, female 99.7
GTEX-1LVAN-0126-SM-COH4H 50-59 years, female 99.7
GTEX-1E2YA-0226-SM-9MQLY 50-59 years, male 99.5
GTEX-1BAJH-0426-SM-73KWY 70-79 years, male 99.3
GTEX-1PFEY-1626-SM-E9J3M 30-39 years, male 99.3
GTEX-XUW1-0526-SM-4BOP3 50-59 years, female 99.1
GTEX-1JJEA-0226-SM-COH2X 60-69 years, male 99.1
GTEX-1R46S-0526-SM-EVYBZ 60-69 years, female 99.1
GTEX-14BIN-0726-SM-793DQ 50-59 years, female 99.0
GTEX-YECK-0226-SM-4W215 60-69 years, male 99.0
GTEX-1HFI7-2026-SM-CGQFR 50-59 years, female 99.0
GTEX-1HSMP-0226-SM-CGQFI 70-79 years, male 98.9
GTEX-1GMR2-2526-SM-9MQKW 50-59 years, male 98.8
GTEX-1HSKV-0326-SM-ADEJC 60-69 years, male 98.8
GTEX-1I4MK-2026-SM-B2LVR 50-59 years, female 98.8
GTEX-16MTA-2126-SM-6PALC 50-59 years, male 98.6
GTEX-12ZZY-0326-SM-5LZVQ 60-69 years, male 98.5
GTEX-17HHE-1926-SM-7EPGW 50-59 years, male 98.5
GTEX-ZVTK-0526-SM-5GZWT 20-29 years, male 98.5
GTEX-13NYB-2626-SM-9YFMI 40-49 years, male 98.5
GTEX-13O3P-0226-SM-5KM3Z 50-59 years, male 98.4
GTEX-13PLJ-0126-SM-5L3HU 60-69 years, female 98.4
GTEX-1C475-1926-SM-7DUFV 40-49 years, female 98.4
GTEX-13NZ8-0926-SM-5MR3U 60-69 years, female 98.3
GTEX-1F88E-0526-SM-7SB8J 60-69 years, female 98.3
GTEX-R55G-2426-SM-2TC5I 40-49 years, female 98.2
GTEX-11OF3-2426-SM-5Q5AS 60-69 years, male 98.1
GTEX-11ZTS-0226-SM-5EQKD 60-69 years, female 98.1
GTEX-1GN1U-0226-SM-9YFLQ 50-59 years, female 98.1
GTEX-13VXT-0226-SM-5LU9Q 20-29 years, female 98.0
GTEX-1GZ4I-0226-SM-7RHHO 50-59 years, male 98.0
GTEX-1HBPM-0326-SM-CMKGR 60-69 years, female 98.0
GTEX-1LB8K-0326-SM-E9TJC 50-59 years, male 98.0
GTEX-1AYD5-2326-SM-73KXF 50-59 years, male 97.9
GTEX-1GN1W-0626-SM-9MQK3 50-59 years, female 97.8
GTEX-RWSA-0226-SM-2XCBA 40-49 years, male 97.7
GTEX-SIU8-0226-SM-2XCDS 50-59 years, male 97.7
GTEX-TMZS-0226-SM-3DB9N 60-69 years, male 97.7
GTEX-14PJM-0326-SM-62LF2 50-59 years, female 97.6
GTEX-1R9PM-2126-SM-E8VOB 20-29 years, male 97.6
GTEX-13D11-2326-SM-5IJCY 50-59 years, female 97.5
GTEX-1LGOU-2226-SM-E9U56 20-29 years, female 97.5
GTEX-1RAZR-0226-SM-EVYC6 40-49 years, male 97.5
GTEX-X4LF-1726-SM-3NMBZ 50-59 years, male 97.4
GTEX-ZTSS-2026-SM-5987K 40-49 years, male 97.4
GTEX-13N2G-2726-SM-5J1MG 60-69 years, male 97.3
GTEX-1IL2V-0226-SM-CMKI2 70-79 years, male 97.2
GTEX-1CB4G-0326-SM-7SB8R 60-69 years, male 97.1
GTEX-1LSVX-0126-SM-EVYCY 60-69 years, male 97.0
GTEX-13FHO-0326-SM-5IJBH 60-69 years, male 96.9
GTEX-1HT8W-0226-SM-CMKGT 30-39 years, male 96.9
GTEX-WL46-0326-SM-3LK6Y 50-59 years, male 96.8
GTEX-1HCUA-2226-SM-ADEHF 50-59 years, female 96.8
GTEX-14PJ6-2226-SM-6LLIV 60-69 years, female 96.7
GTEX-1RAZQ-0626-SM-E8VOR 30-39 years, male 96.6
GTEX-RU72-1026-SM-46MUG 50-59 years, female 96.5
GTEX-1PPH8-0626-SM-EWRN9 20-29 years, male 96.4
GTEX-16YQH-0226-SM-6PALD 30-39 years, male 96.3
GTEX-1JMLX-0126-SM-CMKG9 50-59 years, male 96.3
GTEX-Q2AG-0226-SM-2S1P4 40-49 years, female 96.0
GTEX-1B932-0226-SM-7PBYH 40-49 years, female 96.0
GTEX-XYKS-2726-SM-4E3IC 60-69 years, female 95.9
GTEX-1F6I4-0226-SM-9MQMA 60-69 years, male 95.9
GTEX-P4QS-0226-SM-3NB1U 60-69 years, male 95.8
GTEX-1AX9J-0326-SM-73KXY 60-69 years, male 95.7
GTEX-OXRK-0326-SM-3NB3R 50-59 years, female 95.6
GTEX-1JKYN-1226-SM-CGQG8 30-39 years, male 95.6
GTEX-1JMQI-2026-SM-CMKGP 50-59 years, male 95.6
GTEX-183FY-0326-SM-793BY 20-29 years, male 95.5
GTEX-11TT1-2426-SM-5EQMK 20-29 years, male 95.3
GTEX-1QP2A-0226-SM-EVYBC 50-59 years, male 95.3
GTEX-S95S-1326-SM-2XCDK 60-69 years, male 95.2
GTEX-ZAK1-0226-SM-5CVMX 50-59 years, female 95.2
GTEX-1PIIG-0326-SM-EVYBV 30-39 years, male 95.2
GTEX-XMK1-2226-SM-4B673 40-49 years, male 95.1
GTEX-ZVT2-2226-SM-5NQ6P 50-59 years, female 95.0
GTEX-1K2DA-2126-SM-CGQGL 50-59 years, male 95.0
GTEX-ZDYS-2126-SM-5S2P2 50-59 years, male 95.0
GTEX-WEY5-1926-SM-3GIL8 40-49 years, female 94.8
GTEX-ZC5H-0126-SM-4WAYL 40-49 years, female 94.8
GTEX-N7MS-0326-SM-4E3K2 60-69 years, male 94.7
GTEX-16NPX-0326-SM-7EWDI 50-59 years, male 94.6
GTEX-Z93S-0226-SM-5HL7R 50-59 years, male 94.6
GTEX-147JS-0426-SM-5TDD2 60-69 years, male 94.5
GTEX-1F75W-0226-SM-9JGGP 60-69 years, male 94.5
GTEX-1C6VQ-0226-SM-7P8S5 50-59 years, male 94.4
GTEX-1C6VR-2626-SM-7MGX2 60-69 years, male 94.4
GTEX-11ZTT-2526-SM-5EQM9 60-69 years, female 94.2
GTEX-1399R-2626-SM-5KLZ7 30-39 years, male 94.2
GTEX-WVJS-0226-SM-4MVOU 50-59 years, male 94.1
GTEX-1CAMQ-0126-SM-7SB7S 40-49 years, male 94.1
GTEX-OXRL-0226-SM-3NB18 50-59 years, male 94.0
GTEX-TML8-2026-SM-32QOP 40-49 years, female 93.9
GTEX-14JG1-0526-SM-6LLHW 40-49 years, male 93.8
GTEX-1I6K6-0226-SM-ADEID 30-39 years, male 93.6
GTEX-XV7Q-2626-SM-4BRVA 40-49 years, female 93.4
GTEX-11ZVC-2626-SM-5FQTA 50-59 years, female 93.2
GTEX-1QW4Y-1626-SM-EAZ41 30-39 years, male 93.2
GTEX-14PK6-2026-SM-6LLHP 70-79 years, female 93.1
GTEX-ZPU1-2426-SM-4WWFM 40-49 years, male 93.0
GTEX-1R7EV-1926-SM-EVYBF 40-49 years, male 93.0
GTEX-1HFI6-0326-SM-ADEI5 40-49 years, male 92.7
GTEX-1EWIQ-0226-SM-793D3 70-79 years, female 92.6
GTEX-XUYS-0226-SM-47JX1 50-59 years, male 92.6
GTEX-ZF28-0226-SM-5S2OE 60-69 years, male 92.4
GTEX-13FTW-2526-SM-5IJC8 40-49 years, male 92.3
GTEX-1I1HK-0226-SM-COH4A 60-69 years, male 92.0
GTEX-1QEPI-0226-SM-EWRMR 60-69 years, female 91.9
GTEX-13O21-1526-SM-5K7W4 50-59 years, male 91.8
GTEX-OHPK-0226-SM-3MJH6 50-59 years, female 91.8
GTEX-14A5H-0526-SM-5TDCN 60-69 years, male 91.7
GTEX-15SDE-2426-SM-7KFRC 50-59 years, female 91.6
GTEX-1EKGG-0126-SM-9YFLS 60-69 years, male 91.5
GTEX-111VG-2326-SM-5N9BK 60-69 years, male 91.4
GTEX-1IL2U-0326-SM-CE6T9 60-69 years, male 91.4
GTEX-SN8G-0226-SM-4DM6B 50-59 years, female 91.3
GTEX-1F48J-0226-SM-7SB82 50-59 years, female 91.3
GTEX-Y8LW-1926-SM-4WWFZ 50-59 years, female 91.2
GTEX-ZDXO-2426-SM-5S2NJ 60-69 years, male 91.2
GTEX-R55C-1626-SM-48FEG 40-49 years, male 91.1
GTEX-13OVK-2126-SM-6PAN1 40-49 years, male 91.0
GTEX-OIZG-0826-SM-E9TI4 50-59 years, male 91.0
GTEX-RVPV-1526-SM-EXOHF 60-69 years, male 90.9
GTEX-P4PP-0226-SM-D4P1Z 30-39 years, female 90.7
GTEX-11EQ9-2526-SM-5HL66 30-39 years, male 90.6
GTEX-P78B-0226-SM-3NB1Z 40-49 years, female 90.4
GTEX-Y8E4-0726-SM-4WWFN 40-49 years, male 90.4
GTEX-1M5QR-2126-SM-DKPQM 40-49 years, male 90.4
GTEX-U3ZM-1026-SM-EZ6LD 40-49 years, male 90.4
GTEX-YB5K-2226-SM-4WWG1 40-49 years, female 90.3
GTEX-1GMR8-0226-SM-9YFL3 50-59 years, female 90.2
GTEX-14AS3-2026-SM-5TDD9 40-49 years, female 90.0
GTEX-1H1ZS-0526-SM-9WG5L 70-79 years, male 90.0
GTEX-XUZC-1826-SM-4BRVO 30-39 years, female 89.9
GTEX-1MGNQ-0226-SM-EVYCK 40-49 years, male 89.9
GTEX-1F6RS-0226-SM-9MQKO 60-69 years, female 89.8
GTEX-1QP28-0226-SM-E9J2N 50-59 years, female 89.8
GTEX-ZVP2-1826-SM-5GU62 50-59 years, male 89.7
GTEX-1I1GQ-0226-SM-COH3I 50-59 years, male 89.5
GTEX-13JVG-0226-SM-5J1MW 60-69 years, male 89.1
GTEX-12WSA-0326-SM-5BC6I 60-69 years, male 88.7
GTEX-1EMGI-0226-SM-9MQL1 60-69 years, male 88.7
GTEX-PWN1-0226-SM-DKPO9 40-49 years, female 88.6
GTEX-X88G-0226-SM-4GIE4 30-39 years, male 88.4
GTEX-1IKK5-0526-SM-CMKGG 60-69 years, male 88.4
GTEX-XPVG-2726-SM-4B66W 50-59 years, male 88.3
GTEX-1F88F-2626-SM-9WG5K 60-69 years, female 88.2
GTEX-1I19N-0426-SM-ACKVY 70-79 years, male 88.0
GTEX-113IC-0226-SM-5HL5C 60-69 years, male 87.9
GTEX-16GPK-0226-SM-7DUFI 60-69 years, male 87.9
GTEX-PLZ6-1326-SM-3NB24 30-39 years, male 87.8
GTEX-1J8JJ-0326-SM-CMKG6 60-69 years, female 87.3
GTEX-RNOR-0226-SM-EZ6MF 50-59 years, female 87.2
GTEX-11LCK-1126-SM-5A5KC 30-39 years, male 87.1
GTEX-17HHY-0226-SM-793BQ 50-59 years, male 87.1
GTEX-WYJK-0226-SM-EYYV8 50-59 years, male 86.9
GTEX-15DCD-0226-SM-6LPKC 70-79 years, female 86.8
GTEX-YJ8O-2426-SM-5HL7S 40-49 years, female 86.5
GTEX-XGQ4-2226-SM-4AT4Y 50-59 years, male 86.2
GTEX-1JKYR-0226-SM-CNPOK 20-29 years, male 86.2
GTEX-1AMEY-1426-SM-7939I 30-39 years, female 86.0
GTEX-13NYS-0226-SM-5MR49 60-69 years, male 85.8
GTEX-ZXG5-0226-SM-59HJI 60-69 years, male 85.8
GTEX-QV44-1825-SM-447CF 50-59 years, male 85.6
GTEX-13PVR-2426-SM-5RQHN 60-69 years, female 85.3
GTEX-SSA3-0226-SM-32QPN 60-69 years, male 85.3
GTEX-1B8L1-2626-SM-7SB77 60-69 years, male 85.2
GTEX-Y8E5-0226-SM-57WCM 60-69 years, male 85.1
GTEX-13N11-2626-SM-5K7UQ 50-59 years, female 84.7
GTEX-ZXES-2026-SM-5NQ6R 30-39 years, female 84.6
GTEX-1R7EU-0326-SM-EWRNJ 60-69 years, male 84.5
GTEX-11XUK-2126-SM-5EQLR 40-49 years, female 84.4
GTEX-ZYY3-0226-SM-5E45M 60-69 years, female 84.2
GTEX-NFK9-0326-SM-3MJGV 40-49 years, male 83.8
GTEX-14H4A-1026-SM-62LDY 40-49 years, female 83.7
GTEX-ZPIC-1826-SM-57WFE 40-49 years, female 83.7
GTEX-1AYCT-2226-SM-7SB98 50-59 years, male 83.7
GTEX-17HG3-2326-SM-79OKH 30-39 years, female 83.2
GTEX-1C2JI-2226-SM-7IGPJ 50-59 years, male 83.2
GTEX-U3ZN-2626-SM-3DB7T 30-39 years, female 83.0
GTEX-17F96-1726-SM-7IGMB 70-79 years, male 82.6
GTEX-OIZF-0226-SM-E9TI3 60-69 years, male 82.6
GTEX-XOT4-0226-SM-4B66Z 60-69 years, female 82.4
GTEX-13111-1726-SM-5EGJZ 50-59 years, male 82.0
GTEX-R53T-1626-SM-3GAEW 50-59 years, female 82.0
GTEX-11EQ8-0226-SM-5EQ5G 60-69 years, male 81.9
GTEX-11P81-2426-SM-5GU65 30-39 years, female 81.9
GTEX-1269C-2726-SM-5EGJ4 60-69 years, female 81.9
GTEX-1MCC2-2326-SM-E9U5G 30-39 years, female 81.9
GTEX-11NUK-0326-SM-5HL5K 50-59 years, male 81.7
GTEX-17F98-1126-SM-79OJS 40-49 years, female 81.2
GTEX-1AMFI-2126-SM-731BT 50-59 years, female 81.1
GTEX-Z9EW-1826-SM-5CVMA 40-49 years, male 81.0
GTEX-ZUA1-0226-SM-5NQ9Q 40-49 years, male 80.7
GTEX-14ABY-0326-SM-5TDDK 50-59 years, male 80.4
GTEX-14DAR-1926-SM-5S2NQ 50-59 years, male 80.3
GTEX-1B8KZ-1926-SM-7DUG8 50-59 years, male 80.2
GTEX-139TU-0226-SM-5J1NM 60-69 years, male 80.1
GTEX-17HGU-0326-SM-7DUER 50-59 years, male 80.0
GTEX-1122O-2026-SM-9YFMG 60-69 years, female 79.4
GTEX-S7SE-0226-SM-2XCD4 50-59 years, male 79.1
GTEX-ZPCL-2126-SM-57WFZ 60-69 years, female 79.1
GTEX-YEC3-1226-SM-5IFI8 50-59 years, male 79.0
GTEX-12ZZX-0226-SM-5DUXU 40-49 years, female 78.8
GTEX-1J8QM-2326-SM-CYPSL 60-69 years, female 78.5
GTEX-169BO-1426-SM-9MQJT 50-59 years, male 78.4
GTEX-W5WG-2526-SM-4SOJ2 50-59 years, female 78.1
GTEX-QDT8-0226-SM-32PL4 30-39 years, female 77.3
GTEX-1H2FU-0226-SM-9YFKO 60-69 years, female 77.3
GTEX-146FR-1826-SM-5QGPF 60-69 years, female 76.1
GTEX-1F52S-0226-SM-7SB7U 60-69 years, female 76.1
GTEX-VJYA-1326-SM-3GIJC 60-69 years, male 75.8
GTEX-X638-0226-SM-47JZ9 70-79 years, female 75.6
GTEX-1J8Q3-1526-SM-CMKGB 60-69 years, male 75.5
GTEX-R3RS-0226-SM-EYYVE 40-49 years, female 75.2
GTEX-Z93T-0226-SM-5HL5Z 50-59 years, male 75.0
GTEX-YEC4-2426-SM-57WFO 40-49 years, male 74.4
GTEX-1QAET-1126-SM-E8VML 50-59 years, male 73.8
GTEX-PX3G-0226-SM-DKPOF 20-29 years, female 73.8
GTEX-1C4CL-0426-SM-7939N 30-39 years, male 73.5
GTEX-15ER7-0426-SM-6PAM3 20-29 years, female 73.2
GTEX-XAJ8-0926-SM-47JXZ 40-49 years, male 73.1
GTEX-1IDJU-2526-SM-CMKGF 60-69 years, female 73.1
GTEX-1LGRB-2426-SM-CNPP3 50-59 years, female 69.6
GTEX-1K9T9-0226-SM-E9U6K 50-59 years, female 67.9
GTEX-11DXX-2326-SM-9YFKS 60-69 years, female 67.5
Show allShow less
Adipose - Visceral (Omentum)
Average nTPM: 105.0
Samples: 541

Max nTPM: 206.2
Min nTPM: 59.1
Std nTPM: 20.7
Median nTPM: 101.6
GTEX-11TT1-1926-SM-5PNYN 20-29 years, male 206.2
GTEX-15UKP-1426-SM-7KUDX 20-29 years, male 203.9
GTEX-13X6H-1726-SM-5Q5EH 50-59 years, female 181.1
GTEX-13OVJ-0926-SM-5K7U1 50-59 years, female 173.7
GTEX-1J1OQ-1526-SM-CJI4E 40-49 years, female 167.9
GTEX-X8HC-2326-SM-4QAS4 50-59 years, female 167.2
GTEX-1RB15-1126-SM-E8VMX 60-69 years, male 161.4
GTEX-132QS-0826-SM-5K7WV 60-69 years, male 159.3
GTEX-U8XE-1926-SM-3DB98 30-39 years, male 156.1
GTEX-1445S-2426-SM-79ON2 60-69 years, male 155.7
GTEX-1A32A-0926-SM-718AB 50-59 years, female 154.7
GTEX-1K2DU-0726-SM-DIPF7 20-29 years, male 153.9
GTEX-13YAN-1126-SM-5TDC7 60-69 years, male 153.6
GTEX-1HC8U-0926-SM-A9G3L 40-49 years, female 153.2
GTEX-1RAZQ-1526-SM-E6CJI 30-39 years, male 152.8
GTEX-1CAV2-0226-SM-7IGPQ 40-49 years, female 152.5
GTEX-14C39-0826-SM-5TDDU 40-49 years, male 151.4
GTEX-13FH7-1926-SM-5J2OL 50-59 years, female 151.0
GTEX-12WSF-1526-SM-6PAN6 70-79 years, male 149.8
GTEX-Y5LM-0826-SM-4VDSW 40-49 years, female 149.5
GTEX-ZYVF-1026-SM-5E44V 50-59 years, female 149.5
GTEX-14PN4-1426-SM-6LLJ4 50-59 years, male 148.8
GTEX-16XZZ-1626-SM-7KUEC 60-69 years, male 148.0
GTEX-1192X-1526-SM-5H11I 50-59 years, male 147.7
GTEX-18D9B-1726-SM-7LTAP 60-69 years, male 147.7
GTEX-14ICK-1726-SM-6AJA5 40-49 years, male 147.3
GTEX-ZZPU-0326-SM-5N9BJ 50-59 years, female 147.1
GTEX-13PVQ-2226-SM-5L3G9 50-59 years, male 146.5
GTEX-132AR-0526-SM-5J2MJ 50-59 years, female 146.3
GTEX-1128S-0926-SM-5GZZU 60-69 years, female 146.0
GTEX-1EU9M-1126-SM-793DE 60-69 years, male 145.9
GTEX-13N1W-1226-SM-5K7UM 70-79 years, male 144.7
GTEX-1GMR3-0826-SM-9WYT4 40-49 years, male 144.2
GTEX-14E6C-1226-SM-5ZZUN 40-49 years, male 143.8
GTEX-146FH-2026-SM-5SI9I 50-59 years, female 143.2
GTEX-1ICLY-1426-SM-CJI48 50-59 years, male 143.1
GTEX-1AX8Z-1626-SM-73KWD 60-69 years, male 142.7
GTEX-117YX-0726-SM-5GIET 50-59 years, male 141.9
GTEX-13RTK-0726-SM-5Q5EN 20-29 years, male 141.9
GTEX-1IKOE-1726-SM-CNNQ6 30-39 years, female 141.4
GTEX-1IKK5-0826-SM-ACKWN 60-69 years, male 140.3
GTEX-1R9PO-0926-SM-E9U4Q 60-69 years, female 139.1
GTEX-1GF9W-1026-SM-7SB8X 60-69 years, male 138.6
GTEX-1MCQQ-1426-SM-E6CJA 60-69 years, male 138.4
GTEX-12BJ1-0826-SM-5EQ5P 60-69 years, male 137.9
GTEX-1HB9E-0526-SM-ARZNM 50-59 years, male 136.5
GTEX-12KS4-1526-SM-5EQ6E 30-39 years, male 136.3
GTEX-1QEPI-2226-SM-E8VN6 60-69 years, female 136.2
GTEX-17EVP-1426-SM-79OMN 40-49 years, male 135.8
GTEX-1117F-1326-SM-5EGHH 60-69 years, female 135.6
GTEX-1MJK3-0626-SM-E6CJB 20-29 years, male 135.6
GTEX-13OVH-1126-SM-5K7YP 70-79 years, male 135.5
GTEX-XLM4-1026-SM-4AT51 60-69 years, male 132.8
GTEX-1GN1U-0726-SM-9MQKL 50-59 years, female 132.3
GTEX-1IDJC-0226-SM-CMKG2 50-59 years, male 132.1
GTEX-133LE-0926-SM-5P9J1 20-29 years, female 131.9
GTEX-1IDJD-0926-SM-ACKWW 30-39 years, male 131.5
GTEX-18A7A-0926-SM-7LT8H 50-59 years, female 131.4
GTEX-14753-2526-SM-5LU97 60-69 years, male 131.3
GTEX-13JUV-0626-SM-5J1MQ 40-49 years, female 131.1
GTEX-14C38-1026-SM-73KY7 50-59 years, male 131.1
GTEX-ZV6S-1626-SM-5NQ81 40-49 years, female 131.0
GTEX-14PKU-0226-SM-6EU16 40-49 years, female 130.7
GTEX-1212Z-0526-SM-5FQSQ 60-69 years, male 130.4
GTEX-ZAJG-1626-SM-5HL7I 50-59 years, female 129.4
GTEX-1O9I2-1326-SM-E6CQD 50-59 years, male 129.2
GTEX-113JC-0726-SM-5GZZR 50-59 years, female 128.7
GTEX-131XG-0126-SM-5K7UJ 50-59 years, female 128.7
GTEX-1J8Q2-2226-SM-CM2TZ 60-69 years, male 128.4
GTEX-183FY-1226-SM-7DHLK 20-29 years, male 128.2
GTEX-1122O-0926-SM-9YFLC 60-69 years, female 128.2
GTEX-16NPX-1026-SM-6PAM7 50-59 years, male 127.8
GTEX-1LSVX-1326-SM-DIPET 60-69 years, male 127.8
GTEX-16MTA-1326-SM-6PALX 50-59 years, male 127.4
GTEX-1I1CD-1026-SM-COH3G 60-69 years, female 127.3
GTEX-1LG7Z-0226-SM-E6CIG 30-39 years, male 127.0
GTEX-13O61-1926-SM-5KM1R 60-69 years, male 126.4
GTEX-12WSK-1026-SM-5CVNR 40-49 years, female 126.1
GTEX-13OW7-1126-SM-5K7V6 50-59 years, male 125.4
GTEX-1AX9J-2226-SM-731CW 60-69 years, male 125.4
GTEX-1I1GT-1326-SM-ACKWB 60-69 years, female 125.2
GTEX-1AYCT-1126-SM-79OO8 50-59 years, male 124.5
GTEX-1I1GU-0626-SM-CMKHR 40-49 years, male 124.1
GTEX-1H1DG-2026-SM-9QEIV 70-79 years, male 124.0
GTEX-1HCU8-1126-SM-CM2SA 60-69 years, female 123.7
GTEX-17JCI-1626-SM-7EPGZ 60-69 years, female 123.1
GTEX-111YS-1326-SM-5EGGK 60-69 years, male 123.0
GTEX-XXEK-1426-SM-4BRW1 50-59 years, male 122.9
GTEX-1MA7W-0526-SM-E6CIN 20-29 years, female 122.7
GTEX-14BIL-2426-SM-5QGQR 50-59 years, male 122.6
GTEX-1IL2U-2726-SM-C1YSG 60-69 years, male 122.5
GTEX-14PHW-1626-SM-6EU2H 60-69 years, female 122.3
GTEX-1H3VE-1926-SM-9YFL4 40-49 years, male 122.3
GTEX-14PHX-1626-SM-69LQB 50-59 years, male 122.2
GTEX-1AYD5-0126-SM-7DUG5 50-59 years, male 122.2
GTEX-1B8KE-0826-SM-72D6S 50-59 years, male 122.1
GTEX-1F6IF-2026-SM-7P8SE 60-69 years, male 122.0
GTEX-1PBJI-1326-SM-E9J2V 20-29 years, female 121.6
GTEX-17MFQ-1126-SM-7LT9O 20-29 years, male 121.4
GTEX-13S86-0926-SM-5SI6I 40-49 years, male 121.2
GTEX-1RAZR-1026-SM-E8VOJ 40-49 years, male 120.8
GTEX-1LVAO-2126-SM-DIPGA 60-69 years, male 120.2
GTEX-11GSP-1026-SM-9WYSH 60-69 years, female 119.9
GTEX-11ZUS-1826-SM-5FQTR 30-39 years, male 119.5
GTEX-1GN73-0626-SM-7PC3I 60-69 years, male 119.3
GTEX-XBEW-1726-SM-4RGMA 40-49 years, male 119.1
GTEX-14JG6-0526-SM-6LLIH 30-39 years, female 119.0
GTEX-14ICL-0926-SM-5S2TU 30-39 years, male 118.9
GTEX-VJWN-2326-SM-EVYAP 50-59 years, female 118.9
GTEX-14PN3-0326-SM-6EU1X 60-69 years, female 118.8
GTEX-1LSNL-1426-SM-E6CJ9 50-59 years, male 118.7
GTEX-1ICG6-1726-SM-ARU7K 70-79 years, female 118.6
GTEX-1I1GP-1426-SM-ACKVZ 50-59 years, male 118.2
GTEX-1I4MK-0726-SM-ACKWC 50-59 years, female 118.2
GTEX-12WSI-1526-SM-5GCNM 50-59 years, male 118.1
GTEX-ZVZP-1126-SM-5GICU 50-59 years, male 117.9
GTEX-1HSMO-1426-SM-CNNQN 60-69 years, male 117.9
GTEX-1GF9V-1126-SM-9MQM7 60-69 years, male 117.8
GTEX-UTHO-1826-SM-3GAFE 60-69 years, male 117.6
GTEX-1H1DF-1426-SM-9YFMC 40-49 years, female 117.5
GTEX-1JMQK-1326-SM-CNPOR 60-69 years, male 117.5
GTEX-1QPFJ-2126-SM-EXOJV 30-39 years, female 117.5
GTEX-13FXS-1326-SM-62LFR 50-59 years, male 117.4
GTEX-1JN6P-1626-SM-CYPSV 60-69 years, male 117.3
GTEX-1H1DE-0826-SM-ARU8V 20-29 years, male 117.2
GTEX-1NV5F-2526-SM-EXUSK 60-69 years, female 116.9
GTEX-15EU6-1726-SM-6M48H 50-59 years, male 116.8
GTEX-ZLV1-0926-SM-5S2MR 60-69 years, female 116.8
GTEX-ZLWG-0726-SM-5S2N4 50-59 years, female 116.2
GTEX-1LKK1-1526-SM-EVYCO 50-59 years, female 116.1
GTEX-17F97-1226-SM-79OJT 50-59 years, male 115.8
GTEX-1GTWX-1526-SM-9MQLF 60-69 years, male 115.8
GTEX-X585-2526-SM-4QAS1 50-59 years, male 115.7
GTEX-16BQI-1126-SM-7KULF 30-39 years, female 115.5
GTEX-Y114-1326-SM-4TT9A 50-59 years, female 115.2
GTEX-ZPIC-0726-SM-57WFM 40-49 years, female 115.0
GTEX-1HSGN-1926-SM-CMKGS 40-49 years, female 114.6
GTEX-1HSEH-1326-SM-ADEI1 60-69 years, male 114.5
GTEX-1KAFJ-0826-SM-CYPTF 50-59 years, male 114.4
GTEX-1S3DN-1626-SM-EVYCC 50-59 years, male 114.2
GTEX-WRHK-0826-SM-3MJFG 20-29 years, female 114.1
GTEX-1HFI7-0726-SM-ACKVN 50-59 years, female 113.6
GTEX-13W46-1226-SM-5SIAS 50-59 years, male 113.5
GTEX-1JKYN-0526-SM-CGQG3 30-39 years, male 113.4
GTEX-144GM-0626-SM-79OKY 20-29 years, male 113.1
GTEX-11P82-0326-SM-5HL51 20-29 years, male 113.0
GTEX-1JJ6O-2826-SM-CNNP7 60-69 years, male 113.0
GTEX-15G19-1126-SM-7KUEL 60-69 years, male 112.9
GTEX-13X6K-0726-SM-5LU2Z 60-69 years, female 112.8
GTEX-Z9EW-0826-SM-5HL9T 40-49 years, male 112.8
GTEX-13FTW-0426-SM-5K7X2 40-49 years, male 112.4
GTEX-14E6E-0226-SM-7DUEF 30-39 years, male 112.2
GTEX-13QBU-1326-SM-5LU4K 40-49 years, female 112.0
GTEX-12584-2126-SM-5FQUM 40-49 years, male 111.9
GTEX-1GZ2Q-1226-SM-9MQM8 40-49 years, male 111.9
GTEX-14PJ3-0726-SM-69LQE 50-59 years, male 111.7
GTEX-14BIM-1626-SM-7EWD2 60-69 years, female 111.5
GTEX-18A6Q-1026-SM-7LT9S 60-69 years, male 111.5
GTEX-1B97I-0526-SM-73KXE 40-49 years, male 111.5
GTEX-1HBPH-2226-SM-9WYSO 40-49 years, female 111.5
GTEX-ZF3C-1026-SM-5S2OC 50-59 years, female 111.3
GTEX-14E1K-0426-SM-5S2PF 50-59 years, male 111.1
GTEX-14PJO-1626-SM-69LPQ 60-69 years, male 110.6
GTEX-13W3W-1126-SM-5L3DO 60-69 years, female 110.5
GTEX-1GPI7-0826-SM-9JGG7 20-29 years, male 110.4
GTEX-1LG7Y-1126-SM-CYPTE 50-59 years, male 110.3
GTEX-14PJ2-1426-SM-62LFF 50-59 years, male 110.2
GTEX-UPK5-1826-SM-3GAEB 40-49 years, male 110.1
GTEX-ZE7O-1526-SM-5J1NH 50-59 years, female 110.1
GTEX-1JJE9-1526-SM-CM2RR 70-79 years, male 110.0
GTEX-WYBS-1026-SM-4ONCY 60-69 years, female 109.9
GTEX-WI4N-1526-SM-EZ6LG 40-49 years, female 109.8
GTEX-1HCU7-2026-SM-A9G2B 50-59 years, male 109.7
GTEX-ZA64-0926-SM-5HL7H 20-29 years, male 109.6
GTEX-14PJ4-0126-SM-62LEZ 60-69 years, male 109.5
GTEX-17F9E-1326-SM-7DHL4 50-59 years, male 109.4
GTEX-18A67-1326-SM-7LT8V 50-59 years, male 109.2
GTEX-1AX9I-1726-SM-731BX 60-69 years, male 109.2
GTEX-1CAMR-0326-SM-793AH 20-29 years, male 109.1
GTEX-1OFPY-0826-SM-DTX8P 60-69 years, male 109.1
GTEX-WFON-1226-SM-3TW8F 40-49 years, male 109.0
GTEX-1399U-2026-SM-9WPNN 50-59 years, female 108.9
GTEX-13CF3-1126-SM-5LZXB 60-69 years, female 108.8
GTEX-14BMV-1626-SM-73KVQ 50-59 years, male 108.8
GTEX-17HGU-1726-SM-79OKM 50-59 years, male 108.7
GTEX-YJ89-1926-SM-5IFJ6 60-69 years, male 108.7
GTEX-1N2EE-1526-SM-DTXE9 60-69 years, male 108.7
GTEX-1JN76-1026-SM-ARZNI 20-29 years, female 108.6
GTEX-13VXU-1026-SM-5KLZE 50-59 years, male 108.4
GTEX-1C6VS-1826-SM-73KXN 60-69 years, male 108.4
GTEX-13OW8-0326-SM-5L3FB 60-69 years, male 108.3
GTEX-1N2DW-0726-SM-DTX97 50-59 years, male 108.3
GTEX-1HSKV-1926-SM-CNPPN 60-69 years, male 108.2
GTEX-169BO-0426-SM-7EPI1 50-59 years, male 108.0
GTEX-131XE-2026-SM-5LZW1 50-59 years, male 107.8
GTEX-1EN7A-1626-SM-79OLV 40-49 years, male 107.8
GTEX-1LVAN-0926-SM-CNNQ2 50-59 years, female 107.3
GTEX-1PIGE-1226-SM-EVR3Q 20-29 years, male 107.3
GTEX-12696-1826-SM-5EGJS 60-69 years, male 107.2
GTEX-13IVO-2426-SM-5K7V9 70-79 years, male 107.2
GTEX-XBED-1326-SM-4AT4F 60-69 years, male 107.2
GTEX-1HCU6-1626-SM-CMKGW 60-69 years, female 107.0
GTEX-YEC3-0926-SM-5Q5AC 50-59 years, male 106.9
GTEX-1QP28-0926-SM-EVR4D 50-59 years, female 106.9
GTEX-ZDTT-0526-SM-5HL4M 60-69 years, male 106.7
GTEX-144GN-0726-SM-5O98O 50-59 years, male 106.6
GTEX-1CAMS-0926-SM-7SB7F 40-49 years, female 106.6
GTEX-1HCU9-0626-SM-ACKW6 20-29 years, male 106.6
GTEX-13NYS-0726-SM-5J1OR 60-69 years, male 106.5
GTEX-Y3I4-0726-SM-E9J3Y 50-59 years, male 106.5
GTEX-1RQEC-2526-SM-EVYD2 60-69 years, male 106.2
GTEX-11I78-0226-SM-5HL6R 50-59 years, female 106.1
GTEX-11LCK-0326-SM-5A5M7 30-39 years, male 106.0
GTEX-13NZ9-2026-SM-5KM1U 50-59 years, male 106.0
GTEX-1A3MX-0826-SM-72D64 60-69 years, male 106.0
GTEX-1CB4G-2126-SM-7IGQ8 60-69 years, male 106.0
GTEX-1H11D-1126-SM-9YFM5 40-49 years, male 106.0
GTEX-12ZZW-2326-SM-5DUW2 50-59 years, male 105.9
GTEX-147JS-1026-SM-5S2MP 60-69 years, male 105.9
GTEX-1CB4E-0826-SM-793CS 60-69 years, male 105.9
GTEX-XV7Q-1726-SM-4BRUU 40-49 years, female 105.8
GTEX-1S831-1926-SM-EV79P 20-29 years, male 105.8
GTEX-11EQ9-1126-SM-5987I 30-39 years, male 105.7
GTEX-14PJN-0626-SM-6EU13 30-39 years, male 105.5
GTEX-1AMEY-0526-SM-72D62 30-39 years, female 105.3
GTEX-11DXZ-1426-SM-5H12A 50-59 years, male 105.2
GTEX-12WSA-1626-SM-5EGJV 60-69 years, male 105.2
GTEX-139D8-1626-SM-5IJFZ 30-39 years, female 105.0
GTEX-1RNTQ-0826-SM-E9TK8 20-29 years, female 105.0
GTEX-14PK6-0926-SM-62LF4 70-79 years, female 104.9
GTEX-17MF6-1326-SM-79ONE 40-49 years, male 104.9
GTEX-1LH75-1026-SM-EWROK 50-59 years, female 104.9
GTEX-17HII-0826-SM-7DUFH 50-59 years, male 104.8
GTEX-1N2DV-0626-SM-E9U5H 40-49 years, male 104.8
GTEX-1PFEY-0726-SM-E76PO 30-39 years, male 104.7
GTEX-1EH9U-1326-SM-79OM3 60-69 years, male 104.6
GTEX-1L5NE-1726-SM-DHXKX 50-59 years, male 104.5
GTEX-ZT9W-1026-SM-57WG5 50-59 years, male 104.3
GTEX-1KANC-0526-SM-D4P3T 50-59 years, female 104.3
GTEX-ZE9C-1326-SM-5S2OW 60-69 years, male 104.2
GTEX-1RLM8-1026-SM-EWROE 50-59 years, male 103.9
GTEX-18A66-1926-SM-7LTAG 60-69 years, male 103.8
GTEX-WY7C-0926-SM-3NB34 50-59 years, male 103.8
GTEX-1IDJF-1726-SM-A9SLL 20-29 years, male 103.6
GTEX-1PPH8-1026-SM-DPRXN 20-29 years, male 103.5
GTEX-14BMU-0626-SM-73KZ6 20-29 years, female 103.2
GTEX-1LGOU-0826-SM-DHXKL 20-29 years, female 103.2
GTEX-17GQL-0826-SM-731AM 60-69 years, male 103.1
GTEX-1H1ZS-1326-SM-9WG74 70-79 years, male 103.1
GTEX-17F96-0726-SM-793CB 70-79 years, male 103.0
GTEX-1RAZA-0926-SM-E6CQ8 20-29 years, male 103.0
GTEX-1HBPN-1526-SM-9WYSB 50-59 years, male 102.9
GTEX-1HCUA-0926-SM-ADEIX 50-59 years, female 102.8
GTEX-14E7W-2326-SM-69LQC 70-79 years, male 102.7
GTEX-14PJM-1226-SM-686Z7 50-59 years, female 102.6
GTEX-1A8FM-2126-SM-7PC27 50-59 years, female 102.6
GTEX-1JMPY-0326-SM-CM2S2 30-39 years, male 102.6
GTEX-13OVG-1326-SM-5K7Y3 60-69 years, male 102.4
GTEX-1J8EW-1526-SM-CMKFZ 60-69 years, female 102.3
GTEX-11DYG-2026-SM-5EGGX 60-69 years, male 102.2
GTEX-11GSO-0226-SM-5A5LV 60-69 years, male 102.1
GTEX-14C5O-0926-SM-793DM 60-69 years, male 102.1
GTEX-13X6I-1526-SM-5SIAC 60-69 years, male 102.0
GTEX-W5X1-1426-SM-3GIKH 40-49 years, female 102.0
GTEX-11ZTS-1326-SM-5EQMA 60-69 years, female 101.9
GTEX-1B996-1226-SM-73KWZ 60-69 years, male 101.9
GTEX-1R9K4-1426-SM-DPRY4 60-69 years, male 101.9
GTEX-18A7B-1226-SM-718AU 70-79 years, male 101.8
GTEX-16AAH-1526-SM-7LT9W 50-59 years, male 101.7
GTEX-1AMFI-1026-SM-73KYM 50-59 years, female 101.7
GTEX-139TU-1426-SM-5LZY9 60-69 years, male 101.6
GTEX-1211K-1226-SM-5EQ4N 60-69 years, female 101.5
GTEX-ZYW4-2226-SM-5GZYG 60-69 years, male 101.5
GTEX-1JMLX-1026-SM-D3L8U 50-59 years, male 101.5
GTEX-131XF-0726-SM-5GIE5 60-69 years, male 101.4
GTEX-XBEC-1826-SM-4QASN 50-59 years, male 101.4
GTEX-1C475-0326-SM-7SB8O 40-49 years, female 101.4
GTEX-111CU-1026-SM-5EGIL 50-59 years, male 101.3
GTEX-1HSMQ-1026-SM-ADEHU 50-59 years, male 101.3
GTEX-1OKEX-0926-SM-E8VNJ 60-69 years, male 101.1
GTEX-131XH-0826-SM-5GCN8 50-59 years, male 101.0
GTEX-1F52S-1326-SM-7SB6Q 60-69 years, female 101.0
GTEX-1HFI6-1726-SM-CGQFH 40-49 years, male 101.0
GTEX-145MI-0826-SM-5SI95 60-69 years, female 100.9
GTEX-14E6D-1326-SM-62LES 50-59 years, male 100.9
GTEX-1399T-1326-SM-5PNVH 60-69 years, male 100.8
GTEX-13O21-3126-SM-5J1OI 50-59 years, male 100.8
GTEX-Y5V5-0226-SM-5S2N8 60-69 years, female 100.8
GTEX-1HSMP-1126-SM-B2LXJ 70-79 years, male 100.8
GTEX-1LVAM-1026-SM-DIPFK 50-59 years, female 100.8
GTEX-13U4I-1726-SM-5J1MF 40-49 years, female 100.6
GTEX-Y8LW-0926-SM-4VBQ8 50-59 years, female 100.5
GTEX-17F9Y-0726-SM-7LT9G 70-79 years, female 100.4
GTEX-ZUA1-2126-SM-57YRB 40-49 years, male 100.4
GTEX-1N2EF-0926-SM-E8VNW 60-69 years, male 100.4
GTEX-ZEX8-1226-SM-5S2OK 50-59 years, male 100.2
GTEX-1S5VW-2426-SM-EAZ52 60-69 years, male 100.2
GTEX-ZVT2-0226-SM-5GIE3 50-59 years, female 100.1
GTEX-1C64N-1326-SM-7SB7D 50-59 years, male 100.1
GTEX-11PRG-1526-SM-5HL6Z 50-59 years, male 99.9
GTEX-1HUB1-1526-SM-CGQF6 60-69 years, male 99.9
GTEX-WXYG-0926-SM-3NB2O 50-59 years, female 99.6
GTEX-13113-1126-SM-5LZU9 60-69 years, female 99.5
GTEX-WK11-2426-SM-3NMAA 50-59 years, male 99.5
GTEX-1E1VI-1826-SM-9WG5J 50-59 years, male 99.4
GTEX-1HKZK-1726-SM-ADEJ9 40-49 years, male 99.3
GTEX-1I6K7-1826-SM-CGQFO 40-49 years, male 99.3
GTEX-13OW6-2426-SM-5K7WO 50-59 years, male 99.1
GTEX-ZTSS-1026-SM-5985N 40-49 years, male 99.1
GTEX-1HGF4-0226-SM-CNNQL 60-69 years, male 99.1
GTEX-1KD5A-1326-SM-CYPTB 50-59 years, male 99.1
GTEX-12WSL-1126-SM-5CVNK 50-59 years, male 98.9
GTEX-1C6VR-1126-SM-7EPHD 60-69 years, male 98.8
GTEX-YEC4-0926-SM-5PNXY 40-49 years, male 98.8
GTEX-1LGRB-0526-SM-COH3A 50-59 years, female 98.6
GTEX-13OVL-0826-SM-5L3GV 50-59 years, male 98.5
GTEX-VJYA-1626-SM-EXOHL 60-69 years, male 98.5
GTEX-ZYFG-1426-SM-5GICS 60-69 years, female 98.4
GTEX-17KNJ-0426-SM-718AK 50-59 years, male 98.2
GTEX-ZV7C-0826-SM-59HK8 50-59 years, male 98.2
GTEX-1MUQO-0826-SM-EVYCZ 60-69 years, male 98.2
GTEX-16GPK-1326-SM-7KUE4 60-69 years, male 98.1
GTEX-ZP4G-1326-SM-5EGIW 20-29 years, female 98.1
GTEX-15SKB-1626-SM-6PAL6 60-69 years, male 98.0
GTEX-1GN1W-1226-SM-9MQLW 50-59 years, female 98.0
GTEX-1I1GS-0926-SM-A9SL5 60-69 years, male 98.0
GTEX-145LU-1226-SM-5LU9B 50-59 years, male 97.6
GTEX-13111-0626-SM-5LZVR 50-59 years, male 97.4
GTEX-11EM3-1126-SM-5A5KM 20-29 years, female 97.2
GTEX-13D11-0526-SM-5LZYM 50-59 years, female 97.2
GTEX-ZGAY-1326-SM-5S2NS 40-49 years, female 97.2
GTEX-1I6K6-1526-SM-CGQFC 30-39 years, male 97.1
GTEX-1QP66-0626-SM-E76PD 50-59 years, male 97.1
GTEX-1HBPI-1826-SM-ADEHE 50-59 years, male 97.0
GTEX-1QCLY-1226-SM-EVYC3 30-39 years, male 97.0
GTEX-145LT-1526-SM-5O98P 40-49 years, male 96.9
GTEX-ZPCL-1026-SM-5GCOX 60-69 years, female 96.9
GTEX-1EMGI-0726-SM-7PBZ4 60-69 years, male 96.9
GTEX-14DAQ-2526-SM-5RQIO 60-69 years, female 96.8
GTEX-WH7G-1126-SM-3NMBK 40-49 years, male 96.6
GTEX-1H2FU-1426-SM-9WPO6 60-69 years, female 96.6
GTEX-13X6J-1926-SM-5TDCU 50-59 years, male 96.5
GTEX-1F6I4-2126-SM-7PC2J 60-69 years, male 96.5
GTEX-1F75I-1026-SM-7SB8B 40-49 years, male 96.5
GTEX-XOT4-0826-SM-4B66Y 60-69 years, female 96.4
GTEX-1GF9U-1226-SM-ARL9I 40-49 years, female 96.4
GTEX-18D9U-0426-SM-731AN 40-49 years, male 96.3
GTEX-YECK-1426-SM-5IFHE 60-69 years, male 96.3
GTEX-13N2G-1926-SM-5J1O3 60-69 years, male 96.2
GTEX-1A8G7-1226-SM-73KYP 60-69 years, male 96.1
GTEX-139YR-0326-SM-5J1MC 50-59 years, male 96.0
GTEX-ZDYS-2226-SM-5S2MI 50-59 years, male 95.9
GTEX-11P81-0726-SM-5PNYH 30-39 years, female 95.7
GTEX-XAJ8-0226-SM-4GIB2 40-49 years, male 95.7
GTEX-ZXG5-1626-SM-59HJK 60-69 years, male 95.7
GTEX-1LSNM-0626-SM-DIPG7 50-59 years, male 95.7
GTEX-12C56-0826-SM-5EGJ5 20-29 years, male 95.6
GTEX-WEY5-1326-SM-3GILS 40-49 years, female 95.5
GTEX-WWTW-1326-SM-4MVNT 50-59 years, male 95.5
GTEX-1S82P-0926-SM-EWRNP 60-69 years, female 95.4
GTEX-1F48J-1826-SM-7SB8T 50-59 years, female 95.3
GTEX-1J1R8-0526-SM-ACKWO 40-49 years, male 95.3
GTEX-139T6-0526-SM-5IJC9 50-59 years, male 95.2
GTEX-1QAET-1226-SM-DTX9I 50-59 years, male 95.2
GTEX-WOFM-0726-SM-3MJF8 20-29 years, male 95.1
GTEX-1JMQI-1026-SM-COH2U 50-59 years, male 95.1
GTEX-13OVK-0326-SM-7KUEJ 40-49 years, male 94.8
GTEX-17HHE-1526-SM-793AS 50-59 years, male 94.4
GTEX-11P7K-0826-SM-5BC5F 30-39 years, male 94.3
GTEX-WYJK-1426-SM-3NM8V 50-59 years, male 94.3
GTEX-1B97J-1126-SM-7SB79 50-59 years, female 94.3
GTEX-1OJC3-1326-SM-E9J3D 20-29 years, male 93.9
GTEX-1B8SG-1426-SM-7EWEM 50-59 years, male 93.8
GTEX-17EVQ-0626-SM-7KFTB 70-79 years, male 93.5
GTEX-1GZ4I-2326-SM-9YFMO 50-59 years, male 93.3
GTEX-1IDJI-0926-SM-ACKWZ 50-59 years, female 93.3
GTEX-12WSC-1726-SM-5GCN3 50-59 years, male 93.2
GTEX-1F75B-1226-SM-7MXTW 50-59 years, male 93.2
GTEX-14JIY-1426-SM-6EU29 60-69 years, male 93.1
GTEX-15DYW-1526-SM-7KUEP 60-69 years, female 93.1
GTEX-15RIE-0126-SM-7KUF8 60-69 years, male 93.0
GTEX-131YS-1726-SM-5HL7G 60-69 years, female 92.8
GTEX-WFJO-1026-SM-3GIKL 30-39 years, male 92.8
GTEX-ZQG8-1026-SM-51MR9 60-69 years, female 92.8
GTEX-ZPU1-1226-SM-5HL71 40-49 years, male 92.7
GTEX-132NY-1126-SM-5PNVE 60-69 years, male 92.6
GTEX-18D9A-0726-SM-7LTA7 30-39 years, female 92.6
GTEX-17HHY-1026-SM-7LG5E 50-59 years, male 92.5
GTEX-1GMR2-0226-SM-9JGHO 50-59 years, male 92.5
GTEX-13PDP-1226-SM-5K7TW 60-69 years, male 92.3
GTEX-1AX9K-0926-SM-7939G 50-59 years, male 92.2
GTEX-ZF28-1426-SM-5S2OG 60-69 years, male 92.1
GTEX-ZT9X-0926-SM-5O9C4 40-49 years, male 92.1
GTEX-18QFQ-1326-SM-731CF 30-39 years, male 91.8
GTEX-18465-1826-SM-731BB 50-59 years, male 91.6
GTEX-Y111-0926-SM-4SOIU 50-59 years, male 91.5
GTEX-14PJ5-0426-SM-5ZZW2 60-69 years, female 91.1
GTEX-1B8KZ-1026-SM-73KYN 50-59 years, male 91.0
GTEX-1K2DA-1126-SM-CGQGG 50-59 years, male 90.9
GTEX-13112-1126-SM-5GCMY 50-59 years, male 90.8
GTEX-17F98-0326-SM-7DHLH 40-49 years, female 90.8
GTEX-ZF2S-1526-SM-5S2OO 50-59 years, female 90.8
GTEX-14ABY-1926-SM-62LDJ 50-59 years, male 90.7
GTEX-ZAB4-1426-SM-5CVN6 40-49 years, male 90.6
GTEX-1KXAM-0526-SM-DKPQN 60-69 years, male 90.6
GTEX-1S5ZA-1026-SM-EWRO2 20-29 years, male 90.5
GTEX-13FHO-2026-SM-5J1OA 60-69 years, male 90.4
GTEX-13VXT-0926-SM-5LU5K 20-29 years, female 90.4
GTEX-1A8G6-2026-SM-73KYC 60-69 years, male 90.4
GTEX-1R7EV-1026-SM-DTX81 40-49 years, male 90.4
GTEX-WHPG-0626-SM-3NMBD 50-59 years, male 90.3
GTEX-16NPV-0626-SM-7IGOR 50-59 years, female 90.1
GTEX-1IE54-1426-SM-CL53C 40-49 years, female 89.9
GTEX-14BIN-1226-SM-5S2OM 50-59 years, female 89.8
GTEX-1HR9M-1426-SM-A9SMB 60-69 years, male 89.8
GTEX-11GS4-1026-SM-5N9DE 60-69 years, male 89.7
GTEX-11XUK-1726-SM-5GU61 40-49 years, female 89.6
GTEX-11NUK-2026-SM-5PNVZ 50-59 years, male 89.5
GTEX-WHWD-0826-SM-3LK6R 50-59 years, male 89.5
GTEX-ZVE2-1826-SM-51MRZ 50-59 years, male 89.5
GTEX-15EOM-2326-SM-7KUMV 20-29 years, female 89.4
GTEX-WYVS-0626-SM-4SOJY 40-49 years, female 89.4
GTEX-ZZ64-0626-SM-5GZWR 20-29 years, male 89.4
GTEX-1GZ4H-0926-SM-9WG6Y 50-59 years, female 89.3
GTEX-XPVG-1626-SM-EYYVK 50-59 years, male 89.3
GTEX-ZAB5-1126-SM-5Q5AD 50-59 years, male 88.8
GTEX-ZXES-0926-SM-5E43O 30-39 years, female 88.8
GTEX-178AV-0626-SM-6PAM1 40-49 years, male 88.7
GTEX-1313W-1626-SM-5J1OE 50-59 years, female 88.6
GTEX-1KANA-1426-SM-CY8IF 20-29 years, male 88.6
GTEX-1QP29-1626-SM-EXUSZ 50-59 years, male 88.6
GTEX-13NZB-0826-SM-5K7X5 30-39 years, male 88.5
GTEX-WVLH-1626-SM-EXURN 50-59 years, male 88.5
GTEX-ZF29-0826-SM-5S2O2 60-69 years, female 88.5
GTEX-ZVP2-0226-SM-57WBD 50-59 years, male 88.4
GTEX-1EWIQ-2526-SM-7EPIJ 70-79 years, female 88.2
GTEX-ZC5H-1626-SM-5HL7L 40-49 years, female 88.2
GTEX-1QMI2-1626-SM-EYYXK 60-69 years, male 88.2
GTEX-1QW4Y-0826-SM-DTXE1 30-39 years, male 88.2
GTEX-12WSM-0626-SM-5GCOK 60-69 years, male 88.1
GTEX-15DZA-0626-SM-6PANC 30-39 years, female 88.0
GTEX-14PHY-1026-SM-62LEV 60-69 years, female 87.8
GTEX-1B932-1726-SM-793A5 40-49 years, female 87.7
GTEX-145MF-1026-SM-5Q5EQ 50-59 years, male 87.6
GTEX-XQ3S-2426-SM-4WAYB 20-29 years, male 87.5
GTEX-1QP6S-1626-SM-EVYC5 40-49 years, male 87.5
GTEX-1IDJU-0926-SM-ARL88 60-69 years, female 87.4
GTEX-1P4AB-1226-SM-DTXET 50-59 years, male 87.2
GTEX-1MCC2-0626-SM-DKPQI 30-39 years, female 87.1
GTEX-15CHC-0826-SM-686YW 60-69 years, female 87.0
GTEX-1EKGG-1426-SM-7PBY2 60-69 years, male 87.0
GTEX-1399S-1426-SM-5PNYQ 30-39 years, female 86.9
GTEX-13O3Q-1126-SM-5K7YK 50-59 years, male 86.8
GTEX-12ZZX-1726-SM-5BC63 40-49 years, female 86.5
GTEX-XUZC-1126-SM-4BOPZ 30-39 years, female 86.5
GTEX-Y5V6-0626-SM-4WWFY 60-69 years, male 86.5
GTEX-1JMQJ-1926-SM-D4P3A 50-59 years, male 86.5
GTEX-Y9LG-1226-SM-4VBQA 30-39 years, male 86.3
GTEX-1F5PL-1326-SM-7SB83 40-49 years, female 86.3
GTEX-11VI4-1226-SM-5EQMP 40-49 years, female 86.1
GTEX-1C6VQ-1526-SM-73KU9 50-59 years, male 86.0
GTEX-1HT8W-0726-SM-A9SLB 30-39 years, male 86.0
GTEX-1KWVE-0226-SM-E9TKK 30-39 years, male 86.0
GTEX-1MA7X-1026-SM-DKPQ8 60-69 years, male 85.4
GTEX-1I19N-1026-SM-A96TT 70-79 years, male 85.2
GTEX-1B933-1326-SM-7939U 50-59 years, female 85.1
GTEX-1CB4I-0826-SM-7MGX1 50-59 years, male 85.1
GTEX-15CHQ-1126-SM-686YY 60-69 years, male 84.8
GTEX-ZYFC-1826-SM-5GZZA 50-59 years, male 84.8
GTEX-117YW-0826-SM-5H11O 50-59 years, male 84.5
GTEX-146FR-0226-SM-5Q5F6 60-69 years, female 84.5
GTEX-ZTX8-0726-SM-59HL9 20-29 years, male 84.1
GTEX-ZYT6-2126-SM-5GZZ4 30-39 years, male 84.1
GTEX-16NGA-0526-SM-731AJ 40-49 years, female 83.9
GTEX-1B8SF-1726-SM-73KZ5 60-69 years, male 83.9
GTEX-1QP9N-0426-SM-DTXFT 30-39 years, male 83.9
GTEX-13N11-1826-SM-5IJDS 50-59 years, female 83.6
GTEX-ZTPG-2326-SM-57WFL 20-29 years, female 83.3
GTEX-145LV-1026-SM-5O9AE 50-59 years, male 82.4
GTEX-X3Y1-0926-SM-3P5YT 40-49 years, male 82.3
GTEX-1H1CY-0826-SM-9WYTU 60-69 years, female 82.3
GTEX-13FTX-0626-SM-5J2NS 20-29 years, female 82.0
GTEX-13PL7-1226-SM-5SIAR 60-69 years, female 81.9
GTEX-13PL6-0926-SM-5KLYY 40-49 years, female 81.8
GTEX-145ME-0726-SM-5O9A3 40-49 years, female 81.8
GTEX-1H4P4-0326-SM-9WYTD 50-59 years, male 81.7
GTEX-1RMOY-0826-SM-E9TIF 50-59 years, male 81.7
GTEX-1A3MV-0626-SM-731CH 30-39 years, male 81.4
GTEX-WL46-2026-SM-3LK7U 50-59 years, male 81.2
GTEX-1POEN-1626-SM-EVYC2 30-39 years, female 81.1
GTEX-12WSG-0426-SM-5FQSE 50-59 years, female 81.0
GTEX-1K9T9-1626-SM-DIPFS 50-59 years, female 81.0
GTEX-1IY9M-1226-SM-ACKX1 60-69 years, male 80.7
GTEX-ZDTS-1826-SM-5S2N6 60-69 years, male 80.4
GTEX-14AS3-0426-SM-5QGQK 40-49 years, female 80.2
GTEX-YFCO-1126-SM-5S2N9 40-49 years, male 80.1
GTEX-1B8L1-0126-SM-9KNVS 60-69 years, male 80.1
GTEX-YJ8A-1926-SM-EZ6LQ 20-29 years, male 80.1
GTEX-14DAR-0426-SM-664MW 50-59 years, male 79.8
GTEX-1LBAC-1026-SM-CXKYA 20-29 years, male 79.8
GTEX-15SHU-2326-SM-7KUMC 40-49 years, female 79.6
GTEX-1CB4F-1126-SM-79OLG 60-69 years, male 79.4
GTEX-XQ8I-1426-SM-4BOPW 50-59 years, male 79.4
GTEX-11NV4-1426-SM-5BC4W 60-69 years, male 79.3
GTEX-1QP67-1126-SM-EAZ4C 40-49 years, female 79.1
GTEX-XMK1-0926-SM-4B66X 40-49 years, male 79.0
GTEX-ZQUD-0526-SM-57WG4 30-39 years, male 78.7
GTEX-1I1GQ-1026-SM-CNNQS 50-59 years, male 78.7
GTEX-1H1E6-1126-SM-9JGGV 30-39 years, male 78.6
GTEX-1IDJH-1626-SM-A9SLP 70-79 years, male 78.3
GTEX-1339X-0726-SM-5L3FF 40-49 years, male 78.1
GTEX-ZG7Y-1626-SM-5S2NO 50-59 years, male 77.9
GTEX-1GF9X-0926-SM-7PC2X 40-49 years, female 77.7
GTEX-1GMRU-0726-SM-7PBZH 50-59 years, male 77.6
GTEX-1JKYR-1226-SM-CM2S7 20-29 years, male 77.6
GTEX-1H23P-1726-SM-A9SMN 60-69 years, male 76.7
GTEX-1BAJH-2126-SM-7EWFB 70-79 years, male 76.6
GTEX-11OF3-0826-SM-5BC51 60-69 years, male 76.3
GTEX-XYKS-1826-SM-4E3JV 60-69 years, female 76.0
GTEX-1C2JI-0826-SM-7EPHB 50-59 years, male 75.9
GTEX-13S7M-0826-SM-5QGQX 60-69 years, female 75.8
GTEX-13G51-0526-SM-5IJCQ 60-69 years, male 75.7
GTEX-1KD4Q-1426-SM-D4P3K 40-49 years, male 75.3
GTEX-13O3P-0926-SM-5IFFI 50-59 years, male 74.3
GTEX-1KANB-2426-SM-EV7BE 50-59 years, male 74.3
GTEX-15ER7-1026-SM-7KUMD 20-29 years, female 74.2
GTEX-VUSG-1426-SM-3GIJN 50-59 years, male 74.2
GTEX-1ICLZ-1626-SM-CE6SS 60-69 years, male 73.8
GTEX-XGQ4-1026-SM-4AT4L 50-59 years, male 73.3
GTEX-ZDXO-2326-SM-5LU9W 60-69 years, male 72.3
GTEX-1GL5R-0726-SM-9MQL5 50-59 years, male 72.3
GTEX-1I1GR-1726-SM-COH39 60-69 years, male 72.1
GTEX-11DXX-2026-SM-5EGJL 60-69 years, female 72.0
GTEX-1CAMQ-1226-SM-7SB7E 40-49 years, male 72.0
GTEX-11DXY-0326-SM-5H12F 60-69 years, male 71.8
GTEX-14B4R-0526-SM-5QGQT 30-39 years, male 71.0
GTEX-15D1Q-1326-SM-69LOA 40-49 years, male 69.7
GTEX-Y8E4-1226-SM-5IFIM 40-49 years, male 69.2
GTEX-13PVR-0526-SM-5S2OB 60-69 years, female 69.1
GTEX-132Q8-1726-SM-5EGK8 60-69 years, male 68.0
GTEX-11WQK-1526-SM-5EGKN 50-59 years, male 59.1
Show allShow less

ADIPOSE TISSUE - FANTOM5 CAGEi

RNA expression in human tissues obtained through Cap Analysis of Gene Expression (CAGE) generated by the FANTOM5 project are reported as Scaled Tags Per Million.

Max subtype Scaled Tags Per Millioni

Max subtype Scaled Tags Per Million is the value for the subtype with the largest average Scaled Tags Per Million across the subtype samples.

180.6
FANTOM5 sample id Sample description Scaled Tags Per Million
Adipose tissue
Scaled Tags Per Million: 180.6
FF:10010-101C1 65,65,76 years, mixed 180.6

Contact

  • NEWS ARTICLES
  • PRESS ROOM

The Project

  • INTRODUCTION
  • ORGANIZATION
  • PUBLICATIONS

The Human Protein Atlas

  • DOWNLOADABLE DATA
  • LICENCE & CITATION
  • HELP & FAQ
The Human Protein Atlas project is funded
by the Knut & Alice Wallenberg Foundation.


contact@proteinatlas.org