We use cookies to enhance the usability of our website. If you continue, we'll assume that you are happy to receive all cookies. More information. Don't show this again.
HNRNPL
HPA
RESOURCES
  • TISSUE
  • BRAIN
  • SINGLE CELL
  • SUBCELLULAR
  • CANCER
  • BLOOD
  • CELL LINE
  • STRUCTURE & INTERACTION
ABOUT
  • INTRODUCTION
  • HISTORY
  • ORGANIZATION
  • PUBLICATIONS
  • ANTIBODY SUBMISSION
  • ANTIBODY AVAILABILITY
  • ACKNOWLEDGMENTS
  • CONTACT
NEWS
  • NEWS ARTICLES
  • PRESS ROOM
LEARN
  • DICTIONARY
  • PROTEIN CLASSES
  • PROTEIN EVIDENCE
  • METHODS
  • EDUCATIONAL VIDEOS
DATA
  • DOWNLOADABLE DATA
  • PUBLICATION DATA
  • RELEASE HISTORY
HELP
  • ANTIBODY VALIDATION
  • ASSAYS & ANNOTATION
  • DISCLAIMER
  • HELP & FAQ
  • PRIVACY STATEMENT
  • LICENCE & CITATION
Fields »
Search result

Field
Term
Gene name
Class
Subclass
Class
Keyword
Chromosome
External id
Tissue
Cell type
Expression
Antibody panel
Tissue
Main location
Patient ID
Annotation
Tissue
Category
Tau score
Cluster
Reliability
Brain region
Category
Tau score
Brain region
Category
Tau score
Brain region
Category
Tau score
Cluster
Reliability
Tissue
Cell type
Enrichment
Cell type
Category
Tau score
Cell type
Category
Tau score
Cell type
Category
Tau score
Cell lineage
Category
Tau score
Cluster
Cluster
Location
Searches
Location
Cell line
Class
Type
Phase
Reliability
Cancer
Prognosis
Cancer
Category
Cancer
Category
Tau score
Cluster
Variants
Interacting gene (ensg_id)
Type
Number of interactions
Pathway
Category
Score
Score
Score
Validation
Validation
Validation
Validation
Antibodies
Data type
Column


  • SUMMARY

  • TISSUE

  • BRAIN

  • SINGLE CELL

  • SUBCELL

  • CANCER

  • BLOOD

  • CELL LINE

  • STRUCT & INT

  • HNRNPL
TISSUE PRIMARY DATA BREAST Show tissue menu
ADIPOSE TISSUE ADRENAL GLAND AMYGDALA APPENDIX BASAL GANGLIA BONE MARROW BREAST BRONCHUS CEREBELLUM CEREBRAL CORTEX CERVIX CHOROID PLEXUS COLON DUODENUM
ENDOMETRIUM EPIDIDYMIS ESOPHAGUS FALLOPIAN TUBE GALLBLADDER HEART MUSCLE HIPPOCAMPAL FORMATION HYPOTHALAMUS KIDNEY LIVER LUNG LYMPH NODE MIDBRAIN NASOPHARYNX
ORAL MUCOSA OVARY PANCREAS PARATHYROID GLAND PITUITARY GLAND PLACENTA PROSTATE RECTUM RETINA SALIVARY GLAND SEMINAL VESICLE SKELETAL MUSCLE SKIN SMALL INTESTINE
SMOOTH MUSCLE SOFT TISSUE SPINAL CORD SPLEEN STOMACH TESTIS THYMUS THYROID GLAND TONGUE TONSIL URINARY BLADDER VAGINA
ANTIBODIES
AND
VALIDATION
Dictionary
Breast
Tissue proteome
Breast
BREAST - Expression summary
Protein expression
Breasti

On the top, protein expression in current human tissue, based on all annotated cell types, is reported with the units not detected (n), low (l), medium (m) and high (h). Underneath, protein expression in each annotated cell type are reported using the same units.

Protein expression data is based on knowledge-based annotation. For genes where more than one antibody has been used, a collective score is set.

If knowledge-based annotation could not be performed for a gene, no data is displayed here. View antibody staining data further down this page.

h
m
l
n
Adipocytes: High
Glandular cells: High
Myoepithelial cells: High
RNA expressioni

A summary of mRNA expression data available for current tissue based on several datasets. The mRNA expression levels in human tissues are based on RNA-seq data generated by the Human Protein Atlas (HPA), Genotype-Tissue Expression (GTEx) portal and CAGE data generated by the FANTOM5 consortium. Consensus normalized expression levels for human tissues was created by combining the data from HPA and GTEx datasets.

The mRNA expression levels in pig are based on RNA-seq data generated by the Human Protein Atlas (HPA), and for mouse, HPA data and in situ hybridization generated by the Allen brain atlas are reported.

Scroll down to view mRNA expression data in more detail.
Consensus:106.7 nTPM
HPA:48.4 nTPM
GTEx:106.7 nTPM
FANTOM5:90.7 Scaled Tags Per Million

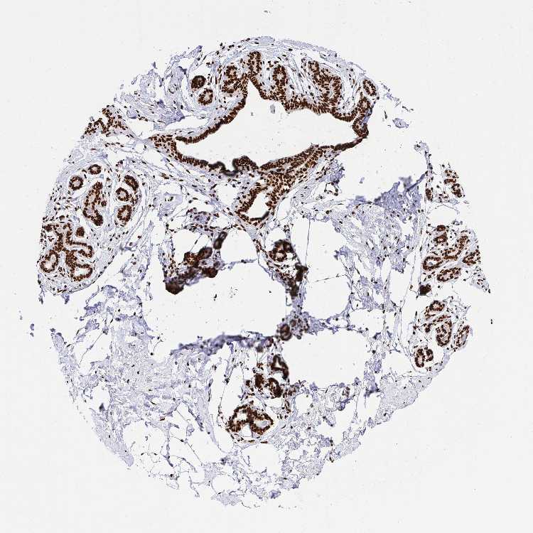
BREAST - Antibody stainingi

Antibody staining in the annotated cell types in the current human tissue is reported as not detected, low, medium, or high, based on conventional immunohistochemistry profiling in selected tissues. This score is based on the combination of the staining intensity and fraction of stained cells.

Each image is clickable and will lead to virtual microscopy that enables deeper exploration of all samples and also displays staining intensity scores, fraction scores and subcellular localization as well as patient and tissue information for each sample.

Antibody HPA051748Antibody HPA052661Antibody CAB016326
Adipocytes HighHighHigh
Glandular cells HighHighHigh
Myoepithelial cells HighHighHigh







BREAST - HPA RNA-seqi

The RNA-seq details section shows detailed information about the individual samples used for the transcript profiling and results of the RNA-seq analysis.

Information about each individual sample is listed below, including gender, age, a tissue section image and estimated fractions of cell types. nTPM (normalized transcripts per million) values give a quantification of the gene abundance which is comparable between different genes and samples.
Average nTPMi

Max subtype nTPM is the value for the subtype with the largest average nTPM across the subtype samples.

48.4
overview
Female, age 52
Breast sample 373
nTPM: 45.6
Cell types%
Glandular cells:
15

Adipocytes:
5

Other cell types:
80

overview
Female, age 80
Breast sample 390
nTPM: 37.2
Cell types%
Glandular cells:
5

Adipocytes:
15

Other cell types:
80

overview
Female, age 47
Breast sample 405
nTPM: 48.5
Cell types%
Glandular cells:
5

Adipocytes:
5

Other cell types:
90

overview
Female, age 38
Breast sample 410
nTPM: 62.3
Cell types%
Glandular cells:
40

Adipocytes:
5

Other cell types:
55


BREAST - GTEx RNA-seqi

RNA-Seq data generated by the Genotype-Tissue Expression (GTEx) project from human tissues is reported as mean nTPM. More information can be found on the GTEx portal.

Distribution across the dataset is visualized with box plots, shown as median and 25th and 75th percentiles. Points are displayed as outliers if they are above or below 1.5 times the interquartile range. nTPM values of the individual samples are presented next to the box plot.
Max subtype nTPMi

Max subtype nTPM is the value for the subtype with the largest average nTPM across the subtype samples.

106.7
GTEx sample id Sample description nTPM
Breast - Mammary Tissue
Average nTPM: 106.7
Samples: 459

Max nTPM: 180.4
Min nTPM: 57.4
Std nTPM: 20.1
Median nTPM: 103.8
GTEX-13PVQ-1026-SM-5KM3M 50-59 years, male 180.4
GTEX-1IDJH-2226-SM-E6CJV 70-79 years, male 174.0
GTEX-1H1DG-0526-SM-9YFLN 70-79 years, male 170.3
GTEX-REY6-2426-SM-48FF5 60-69 years, male 169.3
GTEX-13N1W-0626-SM-5MR4U 70-79 years, male 169.1
GTEX-1IDFM-0426-SM-B2LVV 60-69 years, male 164.7
GTEX-1ICLY-1726-SM-B2LVT 50-59 years, male 160.7
GTEX-1I1GU-1026-SM-ADEHJ 40-49 years, male 158.1
GTEX-1C6VS-0726-SM-7EPHF 60-69 years, male 156.0
GTEX-14E6C-1326-SM-62LEQ 40-49 years, male 155.8
GTEX-ZVT4-1026-SM-57WC4 50-59 years, female 153.7
GTEX-1HSMO-0826-SM-ADEIV 60-69 years, male 153.0
GTEX-13SLW-2526-SM-62LDQ 70-79 years, male 152.6
GTEX-14ICK-2426-SM-6EU27 40-49 years, male 151.4
GTEX-14753-2426-SM-5LU8U 60-69 years, male 150.8
GTEX-13O3O-0826-SM-5K7WE 60-69 years, female 149.4
GTEX-17MF6-0326-SM-7EPH5 40-49 years, male 147.1
GTEX-1HCU8-0126-SM-ADEHH 60-69 years, female 147.0
GTEX-X4XY-0926-SM-4E3JD 60-69 years, male 146.7
GTEX-1PPGY-1526-SM-EVYBK 60-69 years, male 146.6
GTEX-15G19-2126-SM-6M48J 60-69 years, male 146.1
GTEX-1IOXB-1926-SM-ARL8E 50-59 years, male 146.1
GTEX-1JJE9-2326-SM-ARL8Q 70-79 years, male 144.9
GTEX-14PN4-0626-SM-62LFP 50-59 years, male 144.5
GTEX-13W46-0826-SM-5LU3H 50-59 years, male 144.1
GTEX-15UF6-0126-SM-6PAMB 70-79 years, female 142.9
GTEX-X261-0626-SM-3NMD9 50-59 years, male 142.7
GTEX-VJWN-0726-SM-3GIJ8 50-59 years, female 142.5
GTEX-1JN6P-2426-SM-ARL99 60-69 years, male 142.4
GTEX-17EVQ-0426-SM-7LG57 70-79 years, male 141.9
GTEX-13S86-1226-SM-5S2OA 40-49 years, male 141.4
GTEX-1I6K6-0826-SM-ARL7Z 30-39 years, male 141.4
GTEX-1B8SG-1226-SM-7IGPF 50-59 years, male 140.5
GTEX-13NZ9-1026-SM-5MR5K 50-59 years, male 140.0
GTEX-1HCU7-1026-SM-ADEIP 50-59 years, male 140.0
GTEX-1GMR3-2626-SM-7RHHG 40-49 years, male 139.6
GTEX-12BJ1-1826-SM-5HL9N 60-69 years, male 136.9
GTEX-14LLW-0626-SM-62LFC 70-79 years, female 136.8
GTEX-WOFL-0826-SM-3MJG1 60-69 years, male 135.7
GTEX-13O3Q-2226-SM-5KM4O 50-59 years, male 135.1
GTEX-1A8G7-2426-SM-731AK 60-69 years, male 134.4
GTEX-1IGQW-0926-SM-ADEH6 60-69 years, male 133.9
GTEX-1HBPM-0126-SM-ARL9E 60-69 years, female 133.8
GTEX-WI4N-1426-SM-3LK7H 40-49 years, female 133.4
GTEX-13NZB-2126-SM-5MR4Y 30-39 years, male 133.2
GTEX-1KAFJ-0226-SM-DIPEL 50-59 years, male 133.2
GTEX-1CAMR-1426-SM-793BO 20-29 years, male 132.7
GTEX-1E2YA-2726-SM-7IGPW 50-59 years, male 132.5
GTEX-13QJ3-0826-SM-7DHKK 50-59 years, male 132.4
GTEX-147F4-2826-SM-5NQBN 50-59 years, male 132.2
GTEX-13VXU-2826-SM-664MA 50-59 years, male 131.8
GTEX-12WSK-2226-SM-5GCO5 40-49 years, female 130.8
GTEX-1I1GP-0426-SM-COH3N 50-59 years, male 130.8
GTEX-11DZ1-0326-SM-5N9BN 50-59 years, male 130.7
GTEX-1S82Z-0726-SM-E6CHX 30-39 years, female 130.4
GTEX-14BMV-0626-SM-793AU 50-59 years, male 130.0
GTEX-ZYW4-0826-SM-5GIDG 60-69 years, male 130.0
GTEX-117YX-1426-SM-5H12H 50-59 years, male 129.9
GTEX-1314G-1226-SM-5BC6D 30-39 years, male 129.7
GTEX-11EQ9-1826-SM-5Q5AJ 30-39 years, male 129.5
GTEX-14ABY-2126-SM-5QGQZ 50-59 years, male 128.9
GTEX-ZF3C-2326-SM-5S2NC 50-59 years, female 128.5
GTEX-U412-1826-SM-4DXTJ 60-69 years, male 128.4
GTEX-13O61-1826-SM-5KM4I 60-69 years, male 128.2
GTEX-1QPFJ-2026-SM-EVYBE 30-39 years, female 128.2
GTEX-132AR-0826-SM-5EGK6 50-59 years, female 128.1
GTEX-1AX8Z-0926-SM-731AW 60-69 years, male 128.0
GTEX-13SLX-2326-SM-5ZZWE 50-59 years, female 127.7
GTEX-ZT9W-2026-SM-51MRA 50-59 years, male 127.7
GTEX-T2IS-1526-SM-32QPR 20-29 years, female 127.6
GTEX-U8XE-0826-SM-4E3J1 30-39 years, male 127.3
GTEX-ZV6S-1826-SM-5NQ8D 40-49 years, female 127.3
GTEX-145MO-0826-SM-5NQBL 60-69 years, male 126.9
GTEX-17EUY-1926-SM-7DUF6 20-29 years, male 126.6
GTEX-1S82U-1126-SM-E9U6I 30-39 years, female 126.4
GTEX-1JJEA-2726-SM-ARL8V 60-69 years, male 125.9
GTEX-1CB4J-1826-SM-7EWF9 60-69 years, male 125.5
GTEX-TKQ1-0226-SM-33HB5 30-39 years, male 125.2
GTEX-11O72-2126-SM-5N9FO 40-49 years, male 124.6
GTEX-17JCI-0726-SM-7EPH1 60-69 years, female 124.5
GTEX-1I1GT-1126-SM-ARL7J 60-69 years, female 124.5
GTEX-1GPI7-0926-SM-7PC3J 20-29 years, male 124.1
GTEX-VUSG-2226-SM-4KKZO 50-59 years, male 124.0
GTEX-1M4P7-2626-SM-E9U5F 60-69 years, male 123.9
GTEX-1N2EF-2226-SM-E9J33 60-69 years, male 123.8
GTEX-1MJK2-2226-SM-EVYCR 50-59 years, male 123.6
GTEX-S7SE-0826-SM-4AT4D 50-59 years, male 123.4
GTEX-1H23P-0726-SM-9WG7K 60-69 years, male 123.3
GTEX-1NV8Z-2826-SM-E8VME 60-69 years, male 123.3
GTEX-131XW-0726-SM-5EGK3 50-59 years, female 122.8
GTEX-13FTW-1426-SM-5LZWZ 40-49 years, male 122.8
GTEX-ZLFU-2126-SM-DO931 40-49 years, male 122.4
GTEX-145LT-0726-SM-5S2VM 40-49 years, male 122.0
GTEX-183FY-1126-SM-7DHLJ 20-29 years, male 121.9
GTEX-XMD2-0926-SM-4WWEF 60-69 years, female 121.7
GTEX-1ICG6-1326-SM-ACKWR 70-79 years, female 121.3
GTEX-1LSVX-2426-SM-E6CJX 60-69 years, male 121.3
GTEX-PSDG-1626-SM-48TCQ 50-59 years, male 121.2
GTEX-18A7A-0726-SM-7LTAI 50-59 years, female 120.8
GTEX-ZU9S-1926-SM-5NQBP 30-39 years, male 120.6
GTEX-T5JC-2126-SM-32PMO 20-29 years, male 120.5
GTEX-ZVE2-1226-SM-5NQ8R 50-59 years, male 119.9
GTEX-11GS4-2126-SM-5A5KR 60-69 years, male 119.8
GTEX-13CF3-2126-SM-5IFJP 60-69 years, female 119.7
GTEX-1EKGG-2626-SM-7IGPY 60-69 years, male 119.6
GTEX-1JMLX-2026-SM-CMKGN 50-59 years, male 119.3
GTEX-1GN2E-2226-SM-9WG6J 60-69 years, male 119.1
GTEX-11P82-1326-SM-5HL62 20-29 years, male 118.9
GTEX-139T6-1626-SM-5PNYZ 50-59 years, male 118.9
GTEX-ZDYS-1126-SM-5K7UB 50-59 years, male 118.8
GTEX-1N5O9-1126-SM-DTXEQ 60-69 years, male 118.7
GTEX-12WSN-1326-SM-5GCNT 40-49 years, male 118.6
GTEX-S32W-2026-SM-4AD6E 50-59 years, female 118.5
GTEX-1L5NE-2126-SM-CY8IH 50-59 years, male 118.5
GTEX-1BAJH-0826-SM-7EWEF 70-79 years, male 118.4
GTEX-S4Q7-1126-SM-4AD6R 20-29 years, male 118.3
GTEX-1QEPI-0926-SM-DTXF3 60-69 years, female 118.3
GTEX-146FH-0826-SM-5SI8T 50-59 years, female 118.2
GTEX-14PKU-0426-SM-6EU1P 40-49 years, female 118.1
GTEX-ZY6K-1626-SM-5GZWV 50-59 years, male 117.9
GTEX-144GM-0926-SM-5O994 20-29 years, male 117.8
GTEX-14PJ4-2126-SM-6ETZJ 60-69 years, male 117.8
GTEX-1IKJJ-2326-SM-COH3U 60-69 years, male 117.8
GTEX-1J8Q2-2726-SM-A9G2X 60-69 years, male 117.3
GTEX-S33H-0326-SM-4AD6N 30-39 years, male 117.1
GTEX-17MFQ-0926-SM-7LG4S 20-29 years, male 116.7
GTEX-1IE54-0626-SM-ARL8D 40-49 years, female 116.4
GTEX-11PRG-0826-SM-5EQ6A 50-59 years, male 116.3
GTEX-ZAJG-0626-SM-5HL8X 50-59 years, female 116.2
GTEX-15UF7-0726-SM-6M46D 40-49 years, male 116.1
GTEX-15SHW-1326-SM-6PAL8 60-69 years, male 115.8
GTEX-183WM-0726-SM-7LTAA 70-79 years, female 115.6
GTEX-X4EP-2926-SM-3P5YQ 60-69 years, female 115.6
GTEX-1QCLY-1626-SM-DTXDW 30-39 years, male 115.0
GTEX-1GMRU-0826-SM-9WYT7 50-59 years, male 114.7
GTEX-1HCVE-2626-SM-ADEJ8 50-59 years, male 114.7
GTEX-1N2EE-2126-SM-E8VNN 60-69 years, male 114.6
GTEX-WYBS-0926-SM-3NM94 60-69 years, female 114.1
GTEX-1HR9M-2426-SM-ACKXI 60-69 years, male 114.1
GTEX-1ICLZ-0426-SM-B2LW2 60-69 years, male 114.1
GTEX-R3RS-0626-SM-48FE1 40-49 years, female 113.8
GTEX-1MJK3-1126-SM-E9J3F 20-29 years, male 113.6
GTEX-1IDJF-2326-SM-ARL86 20-29 years, male 113.5
GTEX-1JMPZ-1626-SM-COH31 30-39 years, male 113.4
GTEX-1PPH7-0826-SM-E8VNX 40-49 years, male 113.4
GTEX-1GF9V-2526-SM-7SB8K 60-69 years, male 113.3
GTEX-1GZ2Q-2626-SM-7MXV9 40-49 years, male 113.0
GTEX-11DXW-0626-SM-5N9ER 40-49 years, male 112.9
GTEX-1AMEY-1026-SM-718AA 30-39 years, female 112.8
GTEX-1JN1M-3026-SM-CMKGK 60-69 years, female 112.8
GTEX-1192X-2326-SM-5987X 50-59 years, male 112.5
GTEX-12KS4-0126-SM-5Q5A5 30-39 years, male 112.5
GTEX-15RJE-2626-SM-7KFT1 40-49 years, male 112.5
GTEX-ZTX8-1226-SM-4YCE9 20-29 years, male 112.5
GTEX-111YS-1926-SM-5GICC 60-69 years, male 112.4
GTEX-WFON-1826-SM-3GILG 40-49 years, male 112.4
GTEX-11WQC-1726-SM-5GU4W 60-69 years, male 112.3
GTEX-1211K-1926-SM-5EQLB 60-69 years, female 112.3
GTEX-13PL6-2926-SM-5L3I2 40-49 years, female 112.3
GTEX-Q2AG-0326-SM-48U1O 40-49 years, female 112.2
GTEX-ZA64-1526-SM-5CVMD 20-29 years, male 112.2
GTEX-1LC47-1226-SM-D4P44 60-69 years, male 112.2
GTEX-QEG5-0726-SM-D4P1T 20-29 years, male 112.1
GTEX-1MCC2-2126-SM-EWRON 30-39 years, female 111.7
GTEX-WY7C-2726-SM-3NB3P 50-59 years, male 111.4
GTEX-17GQL-0326-SM-7LG5U 60-69 years, male 111.3
GTEX-1NHNU-0926-SM-E9J2T 50-59 years, male 110.9
GTEX-13FHO-0826-SM-5L3E8 60-69 years, male 110.8
GTEX-13QIC-2326-SM-5LU5N 60-69 years, female 110.8
GTEX-ZQUD-1926-SM-51MSA 30-39 years, male 110.8
GTEX-1IKOE-1326-SM-CE6T6 30-39 years, female 110.8
GTEX-145MF-2226-SM-7EPIR 50-59 years, male 110.6
GTEX-1R46S-2526-SM-E8VN2 60-69 years, female 110.5
GTEX-13CF2-2026-SM-5K7VI 60-69 years, male 110.2
GTEX-1GF9X-1026-SM-ACKX2 40-49 years, female 110.1
GTEX-11TT1-2126-SM-5GU5Y 20-29 years, male 110.0
GTEX-11TUW-1826-SM-5BC5D 60-69 years, male 110.0
GTEX-1F5PK-2126-SM-7PC28 50-59 years, male 110.0
GTEX-1KANA-2026-SM-DIPFB 20-29 years, male 109.7
GTEX-1RLM8-2226-SM-EVYD1 50-59 years, male 109.7
GTEX-17F97-2526-SM-7EWDV 50-59 years, male 109.5
GTEX-Y114-2026-SM-4TT7L 50-59 years, female 109.4
GTEX-13113-5013-SM-7SB7G 60-69 years, female 109.4
GTEX-133LE-1726-SM-5K7VQ 20-29 years, female 109.3
GTEX-145ME-1526-SM-5Q5F2 40-49 years, female 109.3
GTEX-18D9A-1526-SM-7LG4J 30-39 years, female 109.2
GTEX-YEC3-1026-SM-5IFI5 50-59 years, male 108.9
GTEX-12WSM-1726-SM-5BC6J 60-69 years, male 108.7
GTEX-13OW5-2226-SM-5L3HC 60-69 years, male 108.7
GTEX-15ETS-0626-SM-7KUMX 40-49 years, female 108.4
GTEX-1GPI6-0626-SM-7RHHJ 60-69 years, male 108.4
GTEX-1RAZS-1226-SM-E8VMT 50-59 years, male 108.4
GTEX-WRHU-0326-SM-3MJFY 50-59 years, female 108.3
GTEX-1GZ4I-2826-SM-9MQK5 50-59 years, male 108.3
GTEX-XMD1-0826-SM-4AT52 60-69 years, male 108.1
GTEX-1399U-1826-SM-5PNZ1 50-59 years, female 108.0
GTEX-YECK-0726-SM-EZ6LV 60-69 years, male 107.9
GTEX-1C64O-0726-SM-7DUFU 60-69 years, male 107.8
GTEX-1OKEX-0826-SM-E9J2B 60-69 years, male 107.8
GTEX-14A5I-0726-SM-5TDEB 50-59 years, female 107.7
GTEX-18A6Q-0926-SM-7LG4N 60-69 years, male 107.7
GTEX-11OF3-1926-SM-59889 60-69 years, male 107.5
GTEX-1B933-2526-SM-7IGO5 50-59 years, female 107.5
GTEX-1HC8U-0826-SM-ADEIL 40-49 years, female 107.4
GTEX-144GL-2026-SM-5LU3O 50-59 years, male 107.3
GTEX-1EU9M-2826-SM-7EWFH 60-69 years, male 107.3
GTEX-QDT8-0626-SM-48TYW 30-39 years, female 107.1
GTEX-1117F-2826-SM-5GZXL 60-69 years, female 106.7
GTEX-17EVP-0226-SM-79OND 40-49 years, male 106.7
GTEX-1KANC-1426-SM-CYPT9 50-59 years, female 106.7
GTEX-1H3VY-0926-SM-ACKXE 50-59 years, male 106.6
GTEX-1QMI2-0726-SM-E9J4F 60-69 years, male 106.2
GTEX-1KD4Q-2326-SM-D4P3M 40-49 years, male 106.0
GTEX-ZQG8-0726-SM-5P9H9 60-69 years, female 105.9
GTEX-15FZZ-0726-SM-7KUFZ 30-39 years, female 105.0
GTEX-ZYFC-0826-SM-5E44K 50-59 years, male 104.9
GTEX-13OW8-0226-SM-5K7UP 60-69 years, male 104.8
GTEX-1JMOU-2026-SM-CMKGU 60-69 years, female 104.7
GTEX-1A3MX-2726-SM-718B6 60-69 years, male 104.6
GTEX-1HUB1-1626-SM-CM2SL 60-69 years, male 104.6
GTEX-ZLV1-1426-SM-DO92Z 60-69 years, female 104.6
GTEX-1AX9I-0726-SM-73KWV 60-69 years, male 104.4
GTEX-1LNCM-0226-SM-DIPF4 50-59 years, female 104.4
GTEX-1MA7X-1626-SM-E9U5B 60-69 years, male 104.3
GTEX-ZLWG-1926-SM-DO92J 50-59 years, female 104.3
GTEX-11EMC-2026-SM-5A5JV 60-69 years, female 104.1
GTEX-17HG3-0126-SM-7IGNH 30-39 years, female 104.0
GTEX-Y9LG-1426-SM-5IFJZ 30-39 years, male 104.0
GTEX-1CAMS-1426-SM-7IGPM 40-49 years, female 103.9
GTEX-11ZUS-0826-SM-5FQUY 30-39 years, male 103.8
GTEX-132NY-0826-SM-5K7Y7 60-69 years, male 103.4
GTEX-11EI6-0626-SM-5985T 60-69 years, male 103.3
GTEX-1AX9J-1126-SM-731B7 60-69 years, male 103.2
GTEX-QEL4-2126-SM-447AE 50-59 years, male 103.2
GTEX-1I19N-2826-SM-CL55D 70-79 years, male 103.2
GTEX-T2YK-2226-SM-32QPT 50-59 years, male 103.1
GTEX-17HGU-1326-SM-79OKB 50-59 years, male 102.9
GTEX-1CB4G-2326-SM-79OOI 60-69 years, male 102.9
GTEX-YB5E-1726-SM-5IFJ3 40-49 years, male 102.8
GTEX-1HCU9-0326-SM-9WYSC 20-29 years, male 102.8
GTEX-1CB4E-0226-SM-79OLW 60-69 years, male 102.6
GTEX-17F96-2426-SM-7IGLN 70-79 years, male 102.5
GTEX-1F75I-2026-SM-7SB7N 40-49 years, male 102.2
GTEX-T5JW-2026-SM-4DM63 20-29 years, female 102.1
GTEX-ZTTD-1026-SM-51MRD 50-59 years, male 102.1
GTEX-ZVT2-1826-SM-5NQ8W 50-59 years, female 102.1
GTEX-UPK5-2326-SM-3P5Z8 40-49 years, male 101.7
GTEX-1C6WA-2426-SM-7SB86 60-69 years, male 101.7
GTEX-ZZ64-1226-SM-5E43R 20-29 years, male 101.6
GTEX-18A7B-2626-SM-7LG55 70-79 years, male 101.5
GTEX-18A66-1726-SM-7LG5N 60-69 years, male 101.5
GTEX-1PDJ9-1126-SM-EXUSW 20-29 years, male 101.5
GTEX-11NV4-2026-SM-5N9DG 60-69 years, male 101.4
GTEX-131YS-0626-SM-5EGKL 60-69 years, female 101.4
GTEX-S4P3-1326-SM-4AD6V 50-59 years, female 101.4
GTEX-V955-2026-SM-3GAFA 60-69 years, male 101.4
GTEX-1POEN-0926-SM-DTX88 30-39 years, female 101.2
GTEX-11GSO-1926-SM-5A5K3 60-69 years, male 101.0
GTEX-13W3W-1226-SM-5LU4H 60-69 years, female 101.0
GTEX-14E7W-0826-SM-62LEJ 70-79 years, male 101.0
GTEX-WFG8-2026-SM-EXOHO 20-29 years, male 101.0
GTEX-RU72-0626-SM-46MUI 50-59 years, female 100.7
GTEX-1MCYP-0126-SM-E6CIS 20-29 years, female 100.6
GTEX-1122O-1226-SM-5H113 60-69 years, female 100.4
GTEX-1EN7A-1426-SM-7PBY4 40-49 years, male 100.4
GTEX-1B8KZ-1526-SM-7DUG7 50-59 years, male 100.3
GTEX-ZVZQ-0826-SM-51MRF 60-69 years, female 100.3
GTEX-1H11D-1526-SM-9MQJY 40-49 years, male 100.3
GTEX-117XS-1926-SM-5GICO 60-69 years, male 100.1
GTEX-1F75B-0626-SM-7SB8A 50-59 years, male 100.1
GTEX-1MA7W-1026-SM-DKPQK 20-29 years, female 100.0
GTEX-T6MN-0726-SM-32PML 50-59 years, male 99.9
GTEX-ZAB4-2526-SM-5HL8M 40-49 years, male 99.9
GTEX-1RAZQ-1226-SM-EWRNL 30-39 years, male 99.5
GTEX-11GSP-0926-SM-9WYSG 60-69 years, female 99.4
GTEX-S341-1526-SM-4AD6K 40-49 years, female 99.3
GTEX-ZV7C-1826-SM-5NQ83 50-59 years, male 99.3
GTEX-X62O-0526-SM-EWRMA 50-59 years, male 99.1
GTEX-1GF9U-1726-SM-7MGY5 40-49 years, female 99.0
GTEX-1HCUA-0726-SM-ACKVU 50-59 years, female 99.0
GTEX-1JK1U-1826-SM-ARL8W 60-69 years, male 98.8
GTEX-Y8E4-1626-SM-5S2MW 40-49 years, male 98.6
GTEX-1313W-0826-SM-5EQ4T 50-59 years, female 98.4
GTEX-1J8QM-2026-SM-ARZMW 60-69 years, female 98.4
GTEX-1KD5A-1926-SM-DKPQA 50-59 years, male 98.4
GTEX-W5X1-2326-SM-3GIL6 40-49 years, female 98.2
GTEX-YB5K-1626-SM-5IFIN 40-49 years, female 98.2
GTEX-1QCLZ-2326-SM-DTXDO 60-69 years, female 98.2
GTEX-14E6E-1326-SM-5S2NR 30-39 years, male 98.0
GTEX-17HHY-0926-SM-793C1 50-59 years, male 98.0
GTEX-ZC5H-2626-SM-5J2MG 40-49 years, female 97.6
GTEX-1HFI7-0126-SM-CGQFQ 50-59 years, female 97.5
GTEX-1QP29-1726-SM-E8VMQ 50-59 years, male 97.5
GTEX-1IDJE-0826-SM-CKZNZ 50-59 years, female 97.4
GTEX-1JKYN-0726-SM-ARZMY 30-39 years, male 97.4
GTEX-17F98-0526-SM-79OK5 40-49 years, female 97.3
GTEX-14PJO-0726-SM-69LO8 60-69 years, male 97.2
GTEX-1HBPN-2326-SM-9WPPU 50-59 years, male 97.2
GTEX-ZZPU-0626-SM-5E43T 50-59 years, female 97.1
GTEX-1I1GV-2426-SM-CGQFM 60-69 years, male 97.1
GTEX-145MN-1926-SM-5SIAI 30-39 years, male 97.0
GTEX-ZWKS-2826-SM-5NQ74 30-39 years, male 97.0
GTEX-1GN1U-0526-SM-9KNTT 50-59 years, female 97.0
GTEX-139TU-0626-SM-5KM3X 60-69 years, male 96.9
GTEX-16BQI-1026-SM-7KUEA 30-39 years, female 96.8
GTEX-UTHO-1026-SM-3GAF7 60-69 years, male 96.8
GTEX-17KNJ-2026-SM-7LG53 50-59 years, male 96.7
GTEX-U3ZH-1426-SM-4DXSR 30-39 years, male 96.7
GTEX-1H1CY-2226-SM-9WG7E 60-69 years, female 96.5
GTEX-YJ8O-2226-SM-5IFHW 40-49 years, female 96.1
GTEX-11ZTT-2326-SM-5EQLG 60-69 years, female 96.0
GTEX-14DAR-1326-SM-7DUEG 50-59 years, male 96.0
GTEX-1LSNM-1326-SM-E9TJ1 50-59 years, male 96.0
GTEX-ZF2S-2026-SM-5E461 50-59 years, female 95.7
GTEX-1K2DA-1726-SM-CGQGS 50-59 years, male 95.7
GTEX-14BMU-1626-SM-5TDE7 20-29 years, female 95.6
GTEX-11P7K-0726-SM-5EGKX 30-39 years, male 95.5
GTEX-13O3P-0826-SM-5L3DH 50-59 years, male 95.5
GTEX-14AS3-1626-SM-5S2OY 40-49 years, female 95.5
GTEX-ZDTT-2126-SM-DKPOM 60-69 years, male 95.5
GTEX-13FTX-1126-SM-5N9EN 20-29 years, female 95.4
GTEX-YFCO-1826-SM-4W1YH 40-49 years, male 95.4
GTEX-ZTPG-2826-SM-57WGA 20-29 years, female 95.4
GTEX-1HKZK-1826-SM-ADEJ2 40-49 years, male 95.3
GTEX-1I6K7-1026-SM-A9SLK 40-49 years, male 95.3
GTEX-1I4MK-1626-SM-CM2TJ 50-59 years, female 95.0
GTEX-1HT8W-2226-SM-CGQEC 30-39 years, male 94.9
GTEX-13NZ8-0126-SM-5IJCT 60-69 years, female 94.8
GTEX-1M5QR-2526-SM-E9U5P 40-49 years, male 94.7
GTEX-13FTY-2226-SM-5J1ND 40-49 years, female 94.5
GTEX-RUSQ-2026-SM-4GIAK 50-59 years, male 94.5
GTEX-1H1E6-0926-SM-9YFLT 30-39 years, male 94.5
GTEX-11ONC-2126-SM-5HL6E 60-69 years, male 94.4
GTEX-1GN1W-1926-SM-7P8TH 50-59 years, female 94.3
GTEX-1JKYR-0926-SM-CMKGJ 20-29 years, male 94.3
GTEX-WXYG-2226-SM-4E3IM 50-59 years, female 94.2
GTEX-XYKS-1326-SM-4BRUN 60-69 years, female 94.2
GTEX-XV7Q-2326-SM-4BRVZ 40-49 years, female 94.1
GTEX-1269C-2426-SM-5FQSN 60-69 years, female 94.0
GTEX-18QFQ-0826-SM-718AX 30-39 years, male 93.4
GTEX-13D11-1026-SM-5IJFB 50-59 years, female 93.3
GTEX-1B97I-0426-SM-79OL7 40-49 years, male 93.3
GTEX-11I78-2226-SM-5PNYA 50-59 years, female 93.2
GTEX-Y5V6-2126-SM-4WWFX 60-69 years, male 93.2
GTEX-1JMQK-2626-SM-COH2W 60-69 years, male 93.0
GTEX-Y5V5-2126-SM-4WWFO 60-69 years, female 92.9
GTEX-1RQEC-2026-SM-DTXDM 60-69 years, male 92.8
GTEX-139T8-0826-SM-5L3DE 60-69 years, male 92.5
GTEX-ZVTK-0326-SM-51MRR 20-29 years, male 92.5
GTEX-R55D-0826-SM-48FEA 50-59 years, male 92.1
GTEX-1LG7Z-0726-SM-CXKYD 30-39 years, male 91.9
GTEX-1J8Q3-1326-SM-CMKI1 60-69 years, male 91.8
GTEX-1F6I4-2526-SM-7SB8F 60-69 years, male 91.5
GTEX-17F9E-2526-SM-7MGW2 50-59 years, male 91.4
GTEX-1HSEH-2026-SM-ADEHN 60-69 years, male 91.4
GTEX-1HSKV-2026-SM-CMKGX 60-69 years, male 91.4
GTEX-Z9EW-1526-SM-EZ6LU 40-49 years, male 91.4
GTEX-1KXAM-1026-SM-CY8IA 60-69 years, male 91.2
GTEX-11LCK-2426-SM-5HL5F 30-39 years, male 90.9
GTEX-QVJO-1826-SM-447C9 60-69 years, female 90.9
GTEX-TKQ2-1826-SM-33HB2 50-59 years, male 90.9
GTEX-Y3IK-2326-SM-4WWDT 50-59 years, female 90.9
GTEX-1LGRB-1826-SM-CNPQL 50-59 years, female 90.9
GTEX-1B932-0826-SM-73KXG 40-49 years, female 90.7
GTEX-XUW1-2326-SM-4BOO5 50-59 years, female 90.6
GTEX-1GZ4H-0326-SM-7P8QX 50-59 years, female 90.5
GTEX-1H1ZS-0126-SM-9YFKQ 70-79 years, male 90.3
GTEX-1C6VQ-0426-SM-79OOX 50-59 years, male 90.0
GTEX-1QP28-1226-SM-E9J2M 50-59 years, female 89.9
GTEX-11DXY-2326-SM-5GICW 60-69 years, male 89.8
GTEX-ZPIC-1126-SM-5BC7F 40-49 years, female 89.8
GTEX-1IKOH-2326-SM-CM2TW 60-69 years, female 89.5
GTEX-1JMPY-0526-SM-CL54O 30-39 years, male 89.5
GTEX-18465-2026-SM-718AP 50-59 years, male 89.4
GTEX-1F5PL-1026-SM-7RHI1 40-49 years, female 89.3
GTEX-14PHY-1926-SM-5YY95 60-69 years, female 89.1
GTEX-XQ3S-1326-SM-4BOPQ 20-29 years, male 89.0
GTEX-UJHI-1426-SM-3DB9C 50-59 years, female 88.9
GTEX-ZDXO-0126-SM-5S2ND 60-69 years, male 88.6
GTEX-ZGAY-1726-SM-DO91P 40-49 years, female 88.6
GTEX-16NGA-0826-SM-718AF 40-49 years, female 88.5
GTEX-ZUA1-1526-SM-59HLS 40-49 years, male 88.5
GTEX-1GMR8-0726-SM-9KNVI 50-59 years, female 88.5
GTEX-1J8EW-2626-SM-CL53E 60-69 years, female 88.2
GTEX-TMMY-0726-SM-33HBE 40-49 years, female 88.1
GTEX-11EM3-1326-SM-5N9C6 20-29 years, female 88.0
GTEX-1A3MV-1626-SM-731C1 30-39 years, male 88.0
GTEX-T6MO-0326-SM-32QOK 40-49 years, female 88.0
GTEX-1HR98-0426-SM-COH36 60-69 years, male 87.7
GTEX-1IY9M-2726-SM-CMKG5 60-69 years, male 87.2
GTEX-XOT4-0726-SM-4GIAW 60-69 years, female 86.9
GTEX-1QP9N-1826-SM-E8VMP 30-39 years, male 86.8
GTEX-1GMR2-1926-SM-9MQLZ 50-59 years, male 86.7
GTEX-1I1HK-2426-SM-ADEHX 60-69 years, male 86.7
GTEX-11DXZ-1926-SM-5GZZL 50-59 years, male 86.5
GTEX-1K9T9-1426-SM-DIPFQ 50-59 years, female 86.4
GTEX-1R7EU-1226-SM-E8VMR 60-69 years, male 86.0
GTEX-Y111-2026-SM-4SOJA 50-59 years, male 85.8
GTEX-1GZHY-0726-SM-9WG6B 50-59 years, female 85.7
GTEX-WYVS-1726-SM-3NMAY 40-49 years, female 85.6
GTEX-QMRM-1626-SM-D4P1U 50-59 years, male 85.5
GTEX-1B8L1-2426-SM-9WYTE 60-69 years, male 85.4
GTEX-11NSD-0926-SM-5N9DR 20-29 years, male 85.2
GTEX-1P4AB-1826-SM-E76PU 50-59 years, male 85.0
GTEX-RU1J-0626-SM-4WAWY 20-29 years, female 84.9
GTEX-1F75A-1826-SM-7SB8G 50-59 years, male 84.9
GTEX-1R7EV-1526-SM-E8VOD 40-49 years, male 84.5
GTEX-17HHE-1426-SM-7EPH4 50-59 years, male 84.4
GTEX-ZEX8-2226-SM-57WC6 50-59 years, male 84.4
GTEX-S4UY-0726-SM-4AD6X 40-49 years, female 84.1
GTEX-16YQH-2826-SM-6PAMY 30-39 years, male 84.0
GTEX-12ZZX-1126-SM-5EGKB 40-49 years, female 83.7
GTEX-11P81-1926-SM-5BC53 30-39 years, female 83.6
GTEX-1H4P4-2226-SM-9MQKQ 50-59 years, male 83.6
GTEX-1C475-1226-SM-7SB72 40-49 years, female 83.1
GTEX-1HSGN-1526-SM-A9SMO 40-49 years, female 83.1
GTEX-1QW4Y-1026-SM-DTXE2 30-39 years, male 82.7
GTEX-14H4A-2526-SM-5YYAY 40-49 years, female 82.5
GTEX-15ER7-1626-SM-6PAMZ 20-29 years, female 82.4
GTEX-1LVAM-0926-SM-E9TJ2 50-59 years, female 82.3
GTEX-1R9JW-0326-SM-EAZ45 30-39 years, female 82.1
GTEX-Y5LM-1726-SM-4VDSX 40-49 years, female 82.0
GTEX-169BO-1126-SM-7MGWN 50-59 years, male 81.7
GTEX-ZXES-0826-SM-5E43C 30-39 years, female 81.6
GTEX-1IDJU-1826-SM-CMKHV 60-69 years, female 81.3
GTEX-1LBAC-0926-SM-CXKY9 20-29 years, male 81.1
GTEX-XBED-1626-SM-47JYN 60-69 years, male 81.0
GTEX-1B97J-0426-SM-79OLQ 50-59 years, female 80.8
GTEX-1B8KE-1226-SM-73KWK 50-59 years, male 80.6
GTEX-U3ZN-1926-SM-4DXSG 30-39 years, female 80.6
GTEX-WYJK-1326-SM-3NB2T 50-59 years, male 80.5
GTEX-XQ8I-2426-SM-4WAXY 50-59 years, male 79.7
GTEX-YFC4-1426-SM-5IFJG 40-49 years, female 79.7
GTEX-13PVR-2226-SM-7DHKP 60-69 years, female 79.5
GTEX-ZF29-1926-SM-5S2P1 60-69 years, female 79.3
GTEX-Y3I4-1526-SM-4TT7K 50-59 years, male 78.8
GTEX-Y8LW-1626-SM-5IFHX 50-59 years, female 78.8
GTEX-1LVAN-1326-SM-CNPQE 50-59 years, female 78.7
GTEX-SE5C-2126-SM-4BRUJ 40-49 years, female 78.0
GTEX-1EWIQ-1726-SM-7SB7T 70-79 years, female 76.6
GTEX-1NUQO-2226-SM-E9U68 20-29 years, female 76.0
GTEX-14B4R-1226-SM-5TDDT 30-39 years, male 75.9
GTEX-ZYT6-0126-SM-5E45J 30-39 years, male 75.7
GTEX-TML8-1226-SM-32QON 40-49 years, female 75.4
GTEX-RWS6-1926-SM-47JXY 60-69 years, female 75.1
GTEX-1R9PM-1826-SM-EVYBH 20-29 years, male 75.1
GTEX-R53T-1526-SM-48FEK 50-59 years, female 74.7
GTEX-XGQ4-0926-SM-4AT4U 50-59 years, male 74.4
GTEX-X15G-1626-SM-3NMB3 50-59 years, female 74.0
GTEX-WHSB-1926-SM-EXOHH 50-59 years, male 74.0
GTEX-15EOM-5019-SM-793DK 20-29 years, female 72.8
GTEX-ZAK1-1326-SM-EVYAS 50-59 years, female 71.8
GTEX-XMK1-1126-SM-4IHJ8 40-49 years, male 71.1
GTEX-13N11-1726-SM-5J1OJ 50-59 years, female 68.0
GTEX-1LSNL-2826-SM-E9U5L 50-59 years, male 67.7
GTEX-11WQK-2426-SM-5GU5C 50-59 years, male 65.4
GTEX-1R9PN-0326-SM-DTX85 40-49 years, female 64.9
GTEX-XUZC-1626-SM-4BRVP 30-39 years, female 59.7
GTEX-132Q8-1426-SM-5EGK7 60-69 years, male 57.4
Show allShow less

BREAST - FANTOM5 CAGEi

RNA expression in human tissues obtained through Cap Analysis of Gene Expression (CAGE) generated by the FANTOM5 project are reported as Scaled Tags Per Million.

Max subtype Scaled Tags Per Millioni

Max subtype Scaled Tags Per Million is the value for the subtype with the largest average Scaled Tags Per Million across the subtype samples.

90.7
FANTOM5 sample id Sample description Scaled Tags Per Million
Breast
Scaled Tags Per Million: 90.7
FF:10080-102A8 77 years, female 90.7

Contact

  • NEWS ARTICLES
  • PRESS ROOM

The Project

  • INTRODUCTION
  • ORGANIZATION
  • PUBLICATIONS

The Human Protein Atlas

  • DOWNLOADABLE DATA
  • LICENCE & CITATION
  • HELP & FAQ
The Human Protein Atlas project is funded
by the Knut & Alice Wallenberg Foundation.


contact@proteinatlas.org