We use cookies to enhance the usability of our website. If you continue, we'll assume that you are happy to receive all cookies. More information. Don't show this again.
HNRNPL
HPA
RESOURCES
  • TISSUE
  • BRAIN
  • SINGLE CELL
  • SUBCELLULAR
  • CANCER
  • BLOOD
  • CELL LINE
  • STRUCTURE & INTERACTION
ABOUT
  • INTRODUCTION
  • HISTORY
  • ORGANIZATION
  • PUBLICATIONS
  • ANTIBODY SUBMISSION
  • ANTIBODY AVAILABILITY
  • ACKNOWLEDGMENTS
  • CONTACT
NEWS
  • NEWS ARTICLES
  • PRESS ROOM
LEARN
  • DICTIONARY
  • PROTEIN CLASSES
  • PROTEIN EVIDENCE
  • METHODS
  • EDUCATIONAL VIDEOS
DATA
  • DOWNLOADABLE DATA
  • PUBLICATION DATA
  • RELEASE HISTORY
HELP
  • ANTIBODY VALIDATION
  • ASSAYS & ANNOTATION
  • DISCLAIMER
  • HELP & FAQ
  • PRIVACY STATEMENT
  • LICENCE & CITATION
Fields »
Search result

Field
Term
Gene name
Class
Subclass
Class
Keyword
Chromosome
External id
Tissue
Cell type
Expression
Antibody panel
Tissue
Main location
Patient ID
Annotation
Tissue
Category
Tau score
Cluster
Reliability
Brain region
Category
Tau score
Brain region
Category
Tau score
Brain region
Category
Tau score
Cluster
Reliability
Tissue
Cell type
Enrichment
Cell type
Category
Tau score
Cell type
Category
Tau score
Cell type
Category
Tau score
Cell lineage
Category
Tau score
Cluster
Cluster
Location
Searches
Location
Cell line
Class
Type
Phase
Reliability
Cancer
Prognosis
Cancer
Category
Cancer
Category
Tau score
Cluster
Variants
Interacting gene (ensg_id)
Type
Number of interactions
Pathway
Category
Score
Score
Score
Validation
Validation
Validation
Validation
Antibodies
Data type
Column


  • SUMMARY

  • TISSUE

  • BRAIN

  • SINGLE CELL

  • SUBCELL

  • CANCER

  • BLOOD

  • CELL LINE

  • STRUCT & INT

  • HNRNPL
TISSUE PRIMARY DATA SKIN Show tissue menu
ADIPOSE TISSUE ADRENAL GLAND AMYGDALA APPENDIX BASAL GANGLIA BONE MARROW BREAST BRONCHUS CEREBELLUM CEREBRAL CORTEX CERVIX CHOROID PLEXUS COLON DUODENUM
ENDOMETRIUM EPIDIDYMIS ESOPHAGUS FALLOPIAN TUBE GALLBLADDER HEART MUSCLE HIPPOCAMPAL FORMATION HYPOTHALAMUS KIDNEY LIVER LUNG LYMPH NODE MIDBRAIN NASOPHARYNX
ORAL MUCOSA OVARY PANCREAS PARATHYROID GLAND PITUITARY GLAND PLACENTA PROSTATE RECTUM RETINA SALIVARY GLAND SEMINAL VESICLE SKELETAL MUSCLE SKIN SMALL INTESTINE
SMOOTH MUSCLE SOFT TISSUE SPINAL CORD SPLEEN STOMACH TESTIS THYMUS THYROID GLAND TONGUE TONSIL URINARY BLADDER VAGINA
ANTIBODIES
AND
VALIDATION
Dictionary
Skin
Tissue proteome
Skin
SKIN - Expression summary
Protein expression
Skini

On the top, protein expression in current human tissue, based on all annotated cell types, is reported with the units not detected (n), low (l), medium (m) and high (h). Underneath, protein expression in each annotated cell type are reported using the same units.

Protein expression data is based on knowledge-based annotation. For genes where more than one antibody has been used, a collective score is set.

If knowledge-based annotation could not be performed for a gene, no data is displayed here. View antibody staining data further down this page.

h
m
l
n
Epidermal cells: High
Fibroblasts: Medium
Keratinocytes: High
Langerhans: Medium
Melanocytes: High
RNA expressioni

A summary of mRNA expression data available for current tissue based on several datasets. The mRNA expression levels in human tissues are based on RNA-seq data generated by the Human Protein Atlas (HPA), Genotype-Tissue Expression (GTEx) portal and CAGE data generated by the FANTOM5 consortium. Consensus normalized expression levels for human tissues was created by combining the data from HPA and GTEx datasets.

The mRNA expression levels in pig are based on RNA-seq data generated by the Human Protein Atlas (HPA), and for mouse, HPA data and in situ hybridization generated by the Allen brain atlas are reported.

Scroll down to view mRNA expression data in more detail.
Consensus:137.9 nTPM
HPA:52.6 nTPM
GTEx:137.9 nTPM

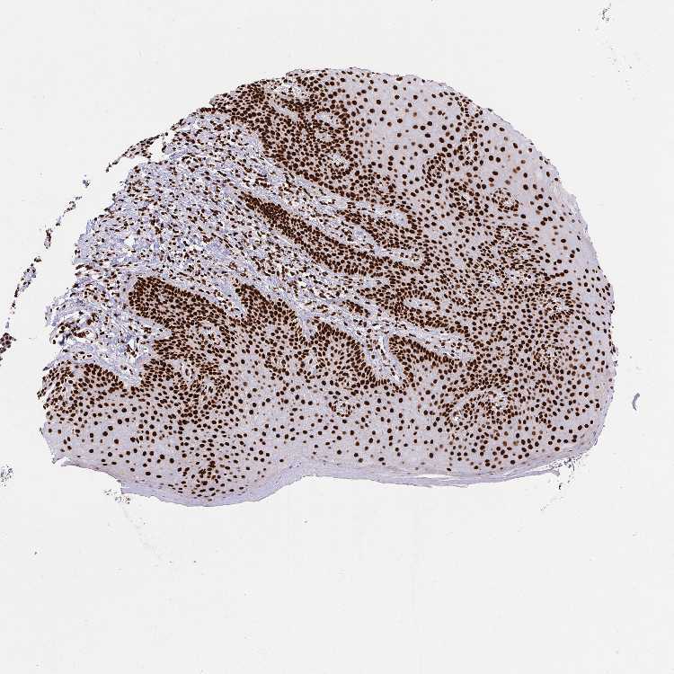
SKIN 1 - Antibody stainingi

Antibody staining in the annotated cell types in the current human tissue is reported as not detected, low, medium, or high, based on conventional immunohistochemistry profiling in selected tissues. This score is based on the combination of the staining intensity and fraction of stained cells.

Each image is clickable and will lead to virtual microscopy that enables deeper exploration of all samples and also displays staining intensity scores, fraction scores and subcellular localization as well as patient and tissue information for each sample.

Antibody HPA051748Antibody HPA052661Antibody CAB016326
Langerhans HighHighMedium
Fibroblasts HighHighMedium
Keratinocytes HighHighHigh
Melanocytes HighHighHigh




SKIN 2 - Antibody stainingi

Antibody staining in the annotated cell types in the current human tissue is reported as not detected, low, medium, or high, based on conventional immunohistochemistry profiling in selected tissues. This score is based on the combination of the staining intensity and fraction of stained cells.

Each image is clickable and will lead to virtual microscopy that enables deeper exploration of all samples and also displays staining intensity scores, fraction scores and subcellular localization as well as patient and tissue information for each sample.

Antibody HPA051748Antibody HPA052661Antibody CAB016326
Epidermal cells HighHighHigh
   
   
   






SKIN - HPA RNA-seqi

The RNA-seq details section shows detailed information about the individual samples used for the transcript profiling and results of the RNA-seq analysis.

Information about each individual sample is listed below, including gender, age, a tissue section image and estimated fractions of cell types. nTPM (normalized transcripts per million) values give a quantification of the gene abundance which is comparable between different genes and samples.
Average nTPMi

Max subtype nTPM is the value for the subtype with the largest average nTPM across the subtype samples.

52.6
overview
Female, age 34
Skin sample 225
nTPM: 60.1
Cell types%
Keratinocytes:
60

Other cell types:
40

overview
Female, age 30
Skin sample 226
nTPM: 53.7
Cell types%
Keratinocytes:
55

Other cell types:
45

N/A
Male, age 57
Skin sample 227
nTPM: 44

SKIN - GTEx RNA-seqi

RNA-Seq data generated by the Genotype-Tissue Expression (GTEx) project from human tissues is reported as mean nTPM. More information can be found on the GTEx portal.

Distribution across the dataset is visualized with box plots, shown as median and 25th and 75th percentiles. Points are displayed as outliers if they are above or below 1.5 times the interquartile range. nTPM values of the individual samples are presented next to the box plot.
Max subtype nTPMi

Max subtype nTPM is the value for the subtype with the largest average nTPM across the subtype samples.

137.9
GTEx sample id Sample description nTPM
Skin - Not Sun Exposed (Suprapubic)
Average nTPM: 137.9
Samples: 604

Max nTPM: 308.5
Min nTPM: 52.2
Std nTPM: 37.2
Median nTPM: 133.4
GTEX-13YAN-0226-SM-5TDC6 60-69 years, male 308.5
GTEX-15UF6-1926-SM-7KUDV 70-79 years, female 302.7
GTEX-X585-2426-SM-46MW2 50-59 years, male 279.0
GTEX-148VJ-0626-SM-5LUAW 70-79 years, male 277.8
GTEX-1F6RS-2026-SM-7RHHC 60-69 years, female 272.7
GTEX-1IKJJ-2226-SM-CJI4C 60-69 years, male 272.5
GTEX-13PL6-1126-SM-5L3IE 40-49 years, female 255.2
GTEX-1ICLZ-0326-SM-ARL82 60-69 years, male 250.8
GTEX-1HCU6-2526-SM-ADEHL 60-69 years, female 244.1
GTEX-13PDP-0726-SM-5L3HP 60-69 years, male 240.0
GTEX-1OJC3-1226-SM-DTXER 20-29 years, male 237.3
GTEX-1S5ZU-2526-SM-E6CIF 20-29 years, female 235.5
GTEX-1PBJJ-1026-SM-E76OS 30-39 years, male 233.6
GTEX-139UW-0326-SM-5J1ML 60-69 years, male 233.4
GTEX-ZTX8-1326-SM-4YCEL 20-29 years, male 226.0
GTEX-11DYG-1526-SM-5A5JS 60-69 years, male 225.9
GTEX-15SHW-0226-SM-7LTAT 60-69 years, male 225.4
GTEX-1E2YA-2126-SM-7MXUO 50-59 years, male 218.8
GTEX-13IVO-0726-SM-5LZYV 70-79 years, male 218.1
GTEX-WHSE-0126-SM-3NMBT 20-29 years, male 214.0
GTEX-1NV5F-0626-SM-DTXEG 60-69 years, female 213.1
GTEX-1GMRU-2126-SM-7P8RA 50-59 years, male 211.6
GTEX-144FL-0626-SM-5LU43 50-59 years, male 209.2
GTEX-1PPH8-0126-SM-EWRN8 20-29 years, male 208.6
GTEX-1HCU7-0726-SM-A9SL1 50-59 years, male 207.7
GTEX-1F75B-0726-SM-7PC3R 50-59 years, male 207.1
GTEX-13112-0126-SM-5P9IU 50-59 years, male 206.7
GTEX-17F97-2626-SM-7IGM5 50-59 years, male 205.8
GTEX-11WQC-1826-SM-5GU59 60-69 years, male 205.0
GTEX-YECK-0326-SM-4W1YS 60-69 years, male 204.6
GTEX-1IDFM-0326-SM-ARL7V 60-69 years, male 202.5
GTEX-17F9Y-0126-SM-79OKX 70-79 years, female 201.9
GTEX-13OW5-2326-SM-5L3HO 60-69 years, male 201.4
GTEX-1399Q-2326-SM-5KM2X 40-49 years, male 201.3
GTEX-14ICL-1626-SM-5YYAO 30-39 years, male 200.9
GTEX-1MJK3-0726-SM-E6CJC 20-29 years, male 200.6
GTEX-15SKB-2826-SM-6PAMH 60-69 years, male 200.2
GTEX-1GN73-0726-SM-7P8TJ 60-69 years, male 199.5
GTEX-WYBS-0626-SM-3NMAS 60-69 years, female 198.2
GTEX-11EQ8-0926-SM-5H12V 60-69 years, male 197.6
GTEX-14XAO-1226-SM-6EU1C 60-69 years, female 196.8
GTEX-WFG7-2026-SM-5SI7P 20-29 years, male 196.7
GTEX-1NSGN-0726-SM-DTXEF 50-59 years, male 196.6
GTEX-1497J-0226-SM-5QGPU 60-69 years, male 196.4
GTEX-1GPI6-1926-SM-9KNV7 60-69 years, male 193.5
GTEX-139D8-1126-SM-5LU8W 30-39 years, female 193.4
GTEX-WI4N-2726-SM-3LK7Y 40-49 years, female 193.1
GTEX-1GF9W-1426-SM-7PBYM 60-69 years, male 192.6
GTEX-13NZ8-1226-SM-5KM4A 60-69 years, female 191.7
GTEX-1IKOE-1426-SM-CE6T7 30-39 years, female 191.6
GTEX-1H2FU-0926-SM-9WPPT 60-69 years, female 190.3
GTEX-1C64N-2626-SM-7PC2N 50-59 years, male 189.7
GTEX-1A32A-0626-SM-731AQ 50-59 years, female 189.4
GTEX-11O72-0626-SM-5PNYE 40-49 years, male 188.7
GTEX-15DDE-2926-SM-6LLJ3 50-59 years, female 188.7
GTEX-XBEW-1126-SM-4QARW 40-49 years, male 188.5
GTEX-1N2DV-1526-SM-DTXEP 40-49 years, male 188.3
GTEX-15G19-2426-SM-7KUMR 60-69 years, male 187.8
GTEX-1C6WA-2626-SM-7MKGM 60-69 years, male 187.5
GTEX-11ZU8-0126-SM-5EQ58 60-69 years, male 187.3
GTEX-1H4P4-2126-SM-9WYSL 50-59 years, male 187.3
GTEX-ZVT4-2426-SM-5GIEI 50-59 years, female 186.9
GTEX-U8XE-0226-SM-4E3J3 30-39 years, male 186.5
GTEX-1I1GP-1326-SM-A9G28 50-59 years, male 185.7
GTEX-131XF-2626-SM-5EQ6K 60-69 years, male 185.1
GTEX-15DYW-2726-SM-6EU2I 60-69 years, female 184.6
GTEX-Y114-2126-SM-4TT8B 50-59 years, female 184.0
GTEX-1JJEA-1826-SM-ARU8P 60-69 years, male 184.0
GTEX-1F48J-0726-SM-7RHGS 50-59 years, female 183.1
GTEX-1117F-2926-SM-5GZYI 60-69 years, female 181.9
GTEX-1BAJH-2426-SM-7IGP8 70-79 years, male 180.0
GTEX-11DZ1-2426-SM-5GZZX 50-59 years, male 179.6
GTEX-1IE54-1126-SM-A9G2Z 40-49 years, female 179.5
GTEX-1AYD5-2626-SM-7PBXY 50-59 years, male 179.0
GTEX-15ER7-0626-SM-6PANF 20-29 years, female 177.6
GTEX-12WSD-0626-SM-5GCMW 60-69 years, female 176.9
GTEX-1EX96-1026-SM-7MKG2 50-59 years, male 176.8
GTEX-1F6I4-2326-SM-7RHGL 60-69 years, male 176.0
GTEX-1S82U-1026-SM-E6CJK 30-39 years, female 176.0
GTEX-11DXY-0126-SM-5H11Q 60-69 years, male 175.9
GTEX-144GL-0626-SM-5LU4D 50-59 years, male 175.9
GTEX-13NYC-0126-SM-5L3F4 60-69 years, male 175.5
GTEX-13NYB-0126-SM-5J1MD 40-49 years, male 175.4
GTEX-1CB4J-1326-SM-7P8RX 60-69 years, male 175.4
GTEX-12WSK-2126-SM-5CVNC 40-49 years, female 175.1
GTEX-13O3O-2326-SM-5IJD6 60-69 years, female 174.7
GTEX-1313W-0626-SM-5EQ4H 50-59 years, female 174.6
GTEX-1GZHY-0626-SM-9KNVC 50-59 years, female 172.8
GTEX-13X6K-0626-SM-5LU5D 60-69 years, female 171.8
GTEX-1PIIG-2326-SM-DTXFR 30-39 years, male 171.7
GTEX-1R9K4-2826-SM-DTX8F 60-69 years, male 171.7
GTEX-15RIG-0726-SM-7KUM7 40-49 years, male 171.6
GTEX-1I1GV-0626-SM-ARL7M 60-69 years, male 171.2
GTEX-ZC5H-1526-SM-5HL9Y 40-49 years, female 170.9
GTEX-12ZZY-0726-SM-5EQ66 60-69 years, male 170.8
GTEX-1S82P-2126-SM-E6CI5 60-69 years, female 170.7
GTEX-13O61-1426-SM-5KM3D 60-69 years, male 170.2
GTEX-ZAJG-1526-SM-5CVML 50-59 years, female 170.1
GTEX-14PJ3-1126-SM-5ZZVX 50-59 years, male 170.0
GTEX-ZXG5-2126-SM-59HKD 60-69 years, male 169.7
GTEX-14C38-0726-SM-5SI6M 50-59 years, male 169.6
GTEX-17HII-1426-SM-7EPGG 50-59 years, male 169.6
GTEX-11P7K-1126-SM-5HL4L 30-39 years, male 169.4
GTEX-ZYW4-0626-SM-59HJR 60-69 years, male 168.9
GTEX-13OVJ-0826-SM-5J1OK 50-59 years, female 168.7
GTEX-1B933-2426-SM-7DHMD 50-59 years, female 168.7
GTEX-1F75I-2226-SM-7SB8U 40-49 years, male 167.8
GTEX-1JMLX-0626-SM-ARL8T 50-59 years, male 167.3
GTEX-ZE7O-2726-SM-51MT5 50-59 years, female 167.1
GTEX-18A6Q-0626-SM-7KFRP 60-69 years, male 167.0
GTEX-1LSVX-2526-SM-DIPEU 60-69 years, male 167.0
GTEX-145LS-0626-SM-7EPG7 60-69 years, female 166.9
GTEX-1KAFJ-0126-SM-DIPEK 50-59 years, male 166.5
GTEX-11NUK-2726-SM-5A5MC 50-59 years, male 165.7
GTEX-17HHE-1326-SM-7EWDZ 50-59 years, male 165.7
GTEX-ZDTS-0826-SM-4WKHL 60-69 years, male 165.7
GTEX-15RJ7-2126-SM-6PAMD 40-49 years, male 165.3
GTEX-Y111-0626-SM-4SOIT 50-59 years, male 164.2
GTEX-16AAH-0626-SM-793C9 50-59 years, male 163.8
GTEX-14C39-1726-SM-5RQIL 40-49 years, male 163.6
GTEX-18A67-1626-SM-7LT9T 50-59 years, male 163.5
GTEX-13G51-1826-SM-5KLZH 60-69 years, male 163.4
GTEX-14E1K-2026-SM-7DUEI 50-59 years, male 163.2
GTEX-15RJE-2826-SM-7KUM9 40-49 years, male 163.2
GTEX-1GN1V-2826-SM-9JGIA 60-69 years, male 162.9
GTEX-16YQH-2226-SM-7IGM2 30-39 years, male 162.5
GTEX-WH7G-2026-SM-3NMBL 40-49 years, male 162.4
GTEX-145MH-2826-SM-5RQJF 50-59 years, male 162.3
GTEX-14PJO-2526-SM-6AJBQ 60-69 years, male 162.3
GTEX-17F9E-2326-SM-79OKD 50-59 years, male 162.3
GTEX-1M4P7-0726-SM-E6CJ3 60-69 years, male 162.2
GTEX-16XZZ-0726-SM-7KUF2 60-69 years, male 162.1
GTEX-1JMPY-0226-SM-CKZOK 30-39 years, male 161.8
GTEX-11TUW-0626-SM-5LU9M 60-69 years, male 161.4
GTEX-1C6VQ-1226-SM-73KYD 50-59 years, male 161.0
GTEX-111VG-1626-SM-5EGIO 60-69 years, male 160.9
GTEX-12ZZZ-0726-SM-5GCNZ 60-69 years, male 160.8
GTEX-14753-0726-SM-5QGQO 60-69 years, male 160.7
GTEX-1GF9V-0826-SM-9KNUV 60-69 years, male 160.3
GTEX-18QFQ-1826-SM-72D52 30-39 years, male 160.0
GTEX-X8HC-0626-SM-4E3HQ 50-59 years, female 159.9
GTEX-13JVG-0726-SM-5KM16 60-69 years, male 159.8
GTEX-1R9PM-1926-SM-EVR3O 20-29 years, male 159.7
GTEX-1I1CD-0626-SM-CE6SW 60-69 years, female 159.6
GTEX-1J8Q2-2626-SM-ACKWQ 60-69 years, male 159.2
GTEX-13RTJ-0126-SM-5S2NN 60-69 years, male 159.0
GTEX-14A5H-0826-SM-5QGPJ 60-69 years, male 158.9
GTEX-1H3O1-1326-SM-9MQLD 60-69 years, male 158.9
GTEX-13OW6-2726-SM-5J2OE 50-59 years, male 158.6
GTEX-1HT8W-0626-SM-A9G2H 30-39 years, male 158.6
GTEX-1I1GS-2626-SM-B2LY3 60-69 years, male 158.1
GTEX-1HSMP-0926-SM-A9SKX 70-79 years, male 157.8
GTEX-1AX9I-2226-SM-73KUO 60-69 years, male 157.7
GTEX-1J8EW-2726-SM-CY8HR 60-69 years, female 157.2
GTEX-139TS-2126-SM-5K7XC 60-69 years, male 156.9
GTEX-1PIGE-1826-SM-E8VOU 20-29 years, male 156.9
GTEX-15EO6-2426-SM-6PALZ 50-59 years, male 156.8
GTEX-X4EO-2926-SM-4E3JH 60-69 years, female 156.5
GTEX-12KS4-2126-SM-5FQUT 30-39 years, male 156.4
GTEX-11PRG-0726-SM-5EGL1 50-59 years, male 156.3
GTEX-1H1CY-0126-SM-9YFLY 60-69 years, female 156.2
GTEX-1EMGI-2326-SM-7PBYA 60-69 years, male 155.7
GTEX-12584-0726-SM-5FQTK 40-49 years, male 155.3
GTEX-14LZ3-0126-SM-69LPM 60-69 years, female 155.3
GTEX-1B97I-0626-SM-73KUZ 40-49 years, male 154.4
GTEX-WXYG-2026-SM-4E3IY 50-59 years, female 154.4
GTEX-1GPI7-1826-SM-9KNU1 20-29 years, male 154.4
GTEX-1R46S-2426-SM-E76QA 60-69 years, female 154.4
GTEX-13N1W-2426-SM-5IJD1 70-79 years, male 154.3
GTEX-1GF9X-1326-SM-7PC2Y 40-49 years, female 154.3
GTEX-1JMQJ-0826-SM-CNPP7 50-59 years, male 154.2
GTEX-1LVA9-2626-SM-EVYD4 50-59 years, male 153.9
GTEX-145MI-0626-SM-5SI8S 60-69 years, female 153.7
GTEX-1HCUA-0826-SM-ADEHM 50-59 years, female 153.6
GTEX-1J1OQ-0126-SM-D4P2N 40-49 years, female 153.6
GTEX-13SLW-0626-SM-5Q5ER 70-79 years, male 153.4
GTEX-12ZZX-2426-SM-5GCOE 40-49 years, female 153.2
GTEX-ZY6K-1426-SM-5GZX2 50-59 years, male 153.0
GTEX-1F52S-2926-SM-7MKGA 60-69 years, female 152.7
GTEX-14E6C-2426-SM-5S2NF 40-49 years, male 152.6
GTEX-1CAV2-0126-SM-7IGN7 40-49 years, female 152.6
GTEX-16MT9-0126-SM-7EPI8 60-69 years, female 152.5
GTEX-1CB4H-1126-SM-7MKGL 60-69 years, female 151.8
GTEX-1HSKV-1226-SM-ADEI4 60-69 years, male 151.8
GTEX-1HC8U-1326-SM-9YFMJ 40-49 years, female 151.4
GTEX-1PPH7-1126-SM-DTX9A 40-49 years, male 151.0
GTEX-17HG3-2626-SM-7DUF2 30-39 years, female 150.9
GTEX-WY7C-2126-SM-3NB2R 50-59 years, male 150.9
GTEX-YFCO-1226-SM-5LUAT 40-49 years, male 150.7
GTEX-1HBPM-0726-SM-9YFL7 60-69 years, female 150.4
GTEX-1GMR8-0626-SM-7RHI7 50-59 years, female 150.3
GTEX-1314G-1326-SM-5BC6E 30-39 years, male 150.1
GTEX-1HBPI-2126-SM-ARL9K 50-59 years, male 150.1
GTEX-1CB4E-0926-SM-7EPHT 60-69 years, male 150.0
GTEX-1HR98-2226-SM-ADEI2 60-69 years, male 149.9
GTEX-1EH9U-2826-SM-7DUGT 60-69 years, male 149.7
GTEX-1HGF4-0126-SM-CNPPX 60-69 years, male 149.7
GTEX-1LVAM-0726-SM-E6CIL 50-59 years, female 149.6
GTEX-ZYT6-2326-SM-5GZY3 30-39 years, male 149.5
GTEX-12696-0126-SM-5EQ4L 60-69 years, male 149.4
GTEX-1269C-0126-SM-5EQ5L 60-69 years, female 149.3
GTEX-1QAET-0326-SM-EVR3U 50-59 years, male 149.3
GTEX-XK95-0226-SM-4AT58 40-49 years, male 149.0
GTEX-1CB4F-1026-SM-7DUH1 60-69 years, male 148.7
GTEX-14BIN-1126-SM-5RQJZ 50-59 years, female 148.6
GTEX-1192X-2726-SM-5N9DN 50-59 years, male 148.5
GTEX-12WSL-2026-SM-5GCML 50-59 years, male 148.5
GTEX-1RAZS-2526-SM-E6CHT 50-59 years, male 148.4
GTEX-1A8G7-1326-SM-73KVM 60-69 years, male 148.2
GTEX-1PDJ9-1226-SM-EXUSX 20-29 years, male 147.9
GTEX-13OVK-1426-SM-6PAN7 40-49 years, male 147.8
GTEX-14PHX-2226-SM-6EU2P 50-59 years, male 147.7
GTEX-14A6H-2026-SM-5Q5DD 30-39 years, male 147.6
GTEX-1F75A-0726-SM-7RHHD 50-59 years, male 147.3
GTEX-1A8FM-0626-SM-7PC25 50-59 years, female 147.2
GTEX-ZF3C-0626-SM-DO92O 50-59 years, female 147.1
GTEX-1GZ4H-0526-SM-9KNU9 50-59 years, female 147.0
GTEX-1H3VE-0726-SM-9YFL5 40-49 years, male 147.0
GTEX-1JMQI-1726-SM-ARL93 50-59 years, male 146.9
GTEX-1RLM8-2926-SM-E8VON 50-59 years, male 146.9
GTEX-11OF3-0126-SM-5PNYF 60-69 years, male 146.7
GTEX-15CHR-1126-SM-7EWF4 50-59 years, male 146.7
GTEX-1GZ4I-2626-SM-9KNU3 50-59 years, male 146.4
GTEX-12126-0826-SM-5FQTZ 20-29 years, male 145.6
GTEX-WHWD-1826-SM-3LK6I 50-59 years, male 145.4
GTEX-1E1VI-0326-SM-793D1 50-59 years, male 145.2
GTEX-1PPGY-1626-SM-EVYBL 60-69 years, male 145.2
GTEX-131XW-0626-SM-5PNVD 50-59 years, female 144.4
GTEX-17HHY-0426-SM-7DHLC 50-59 years, male 144.2
GTEX-ZZ64-1026-SM-5GZXG 20-29 years, male 144.0
GTEX-1N2EE-0626-SM-E76PW 60-69 years, male 143.8
GTEX-14PII-0726-SM-6EU2B 60-69 years, male 143.5
GTEX-1S83E-1326-SM-E6CJM 40-49 years, male 143.2
GTEX-13FHO-0426-SM-5L3F5 60-69 years, male 143.0
GTEX-1HSMQ-2626-SM-A9SML 50-59 years, male 142.9
GTEX-145LU-1926-SM-79OJN 50-59 years, male 142.6
GTEX-14BMV-2826-SM-5TDED 50-59 years, male 142.6
GTEX-1IY9M-2826-SM-ARU8H 60-69 years, male 142.4
GTEX-1IL2V-1926-SM-B2LW8 70-79 years, male 142.2
GTEX-ZYFC-0426-SM-5GICQ 50-59 years, male 141.8
GTEX-14JFF-0626-SM-5ZZVT 60-69 years, male 141.8
GTEX-1EKGG-0626-SM-7DUGJ 60-69 years, male 141.7
GTEX-1CAMS-2226-SM-7PBXQ 40-49 years, female 141.5
GTEX-1HSMO-0626-SM-ACKXC 60-69 years, male 141.5
GTEX-13VXU-0626-SM-5L3F9 50-59 years, male 141.4
GTEX-13QJC-0126-SM-5ZZWJ 60-69 years, female 141.3
GTEX-1A3MW-0626-SM-731CB 60-69 years, female 141.3
GTEX-18A66-0626-SM-7LT8Z 60-69 years, male 141.2
GTEX-13FLV-0126-SM-5K7WT 50-59 years, male 141.0
GTEX-ZYY3-2926-SM-5GIEB 60-69 years, female 141.0
GTEX-1GN1U-0626-SM-9MQL9 50-59 years, female 140.7
GTEX-1A3MV-1826-SM-731CD 30-39 years, male 140.6
GTEX-1EU9M-1426-SM-793AI 60-69 years, male 140.4
GTEX-11GS4-0226-SM-5HL77 60-69 years, male 140.3
GTEX-1B8SF-0126-SM-7DUG3 60-69 years, male 140.3
GTEX-1CAMR-1326-SM-7PC1F 20-29 years, male 140.2
GTEX-15G1A-1626-SM-7KUKN 30-39 years, male 140.0
GTEX-18A7A-0126-SM-731AH 50-59 years, female 139.9
GTEX-13OW7-0426-SM-5K7VK 50-59 years, male 139.8
GTEX-1GMR3-0126-SM-A9SLW 40-49 years, male 139.5
GTEX-1I1GT-1026-SM-ARZLV 60-69 years, female 139.5
GTEX-12WSM-1926-SM-5BC65 60-69 years, male 139.2
GTEX-1C64O-1326-SM-7MGWR 60-69 years, male 139.2
GTEX-144GM-0526-SM-79OJO 20-29 years, male 138.8
GTEX-15EU6-2226-SM-6EU2L 50-59 years, male 138.8
GTEX-1HR9M-2226-SM-CNPPY 60-69 years, male 138.8
GTEX-18465-2826-SM-7LT9J 50-59 years, male 138.6
GTEX-1QCLY-0226-SM-EWRNH 30-39 years, male 138.5
GTEX-1CAMQ-1326-SM-7P8RV 40-49 years, male 138.3
GTEX-13SLX-2226-SM-62LEP 50-59 years, female 138.2
GTEX-1H1DF-1126-SM-9WG7G 40-49 years, female 138.2
GTEX-1399U-1126-SM-5L3DB 50-59 years, female 137.6
GTEX-17MFQ-1526-SM-7KFRR 20-29 years, male 137.6
GTEX-1QP9N-1226-SM-E76QN 30-39 years, male 137.6
GTEX-16NPX-0726-SM-7KULC 50-59 years, male 137.5
GTEX-1HCU9-0426-SM-9WYSD 20-29 years, male 137.3
GTEX-WHPG-2626-SM-3NMBR 50-59 years, male 137.2
GTEX-ZVE2-2826-SM-5GU51 50-59 years, male 137.0
GTEX-VUSG-2326-SM-4KL1U 50-59 years, male 136.8
GTEX-UPJH-0226-SM-3GADV 50-59 years, male 136.5
GTEX-147GR-2426-SM-5ZZWQ 60-69 years, male 136.4
GTEX-1O9I2-0226-SM-EYYXD 50-59 years, male 136.1
GTEX-YJ8O-2526-SM-5HL85 40-49 years, female 136.0
GTEX-13FTY-2126-SM-5IFFB 40-49 years, female 135.9
GTEX-W5X1-2526-SM-3GILC 40-49 years, female 135.8
GTEX-1JN1M-2726-SM-CY8I4 60-69 years, female 135.8
GTEX-1J8JJ-0626-SM-ARZMQ 60-69 years, female 135.7
GTEX-1A8G6-2726-SM-731AR 60-69 years, male 135.4
GTEX-15CHQ-0326-SM-69LQD 60-69 years, male 135.3
GTEX-13X6I-1826-SM-5SIAO 60-69 years, male 135.2
GTEX-17F96-0126-SM-7EWDU 70-79 years, male 135.0
GTEX-1F88E-1626-SM-7SB8Z 60-69 years, female 135.0
GTEX-1N5O9-0926-SM-E9J3C 60-69 years, male 134.9
GTEX-1LKK1-2626-SM-DKPQE 50-59 years, female 134.8
GTEX-18D9B-0926-SM-7LG4U 60-69 years, male 134.6
GTEX-139YR-1026-SM-5LZYN 50-59 years, male 134.2
GTEX-1HB9E-0126-SM-CM2S5 50-59 years, male 134.1
GTEX-1K2DU-1226-SM-CYPT4 20-29 years, male 134.1
GTEX-ZYFD-0626-SM-5E44E 50-59 years, male 134.0
GTEX-1I1GU-0926-SM-ACKVS 40-49 years, male 134.0
GTEX-XQ3S-1426-SM-4BOPR 20-29 years, male 133.9
GTEX-147F3-1726-SM-5SIAW 50-59 years, female 133.5
GTEX-17HGU-2326-SM-7DUFE 50-59 years, male 133.3
GTEX-1H23P-0626-SM-9WG6T 60-69 years, male 133.2
GTEX-ZDYS-2426-SM-4WKGI 50-59 years, male 132.9
GTEX-ZE9C-2526-SM-5IJDR 60-69 years, male 132.9
GTEX-XMD2-2126-SM-4YCF8 60-69 years, female 132.8
GTEX-Z93S-1626-SM-5CVMB 50-59 years, male 132.6
GTEX-13X6J-0626-SM-5LU5F 50-59 years, male 132.3
GTEX-111YS-1526-SM-5GZYW 60-69 years, male 131.9
GTEX-16BQI-1326-SM-6M486 30-39 years, female 131.9
GTEX-XXEK-1626-SM-4BRUZ 50-59 years, male 131.9
GTEX-144GO-2026-SM-5O99P 60-69 years, male 131.7
GTEX-ZVZP-1226-SM-5GID7 50-59 years, male 131.7
GTEX-1LSNL-2726-SM-E9TKJ 50-59 years, male 131.7
GTEX-12WSH-1526-SM-5BC5W 50-59 years, male 131.6
GTEX-1MCYP-0526-SM-E9U6Q 20-29 years, female 131.6
GTEX-ZF29-0926-SM-4WKFZ 60-69 years, female 131.5
GTEX-1JMPZ-0726-SM-CY8HZ 30-39 years, male 131.4
GTEX-147F4-0726-SM-5TDDD 50-59 years, male 131.2
GTEX-11P82-1426-SM-DTXFY 20-29 years, male 131.2
GTEX-1QP66-1226-SM-DTX7U 50-59 years, male 131.2
GTEX-1H1DE-1326-SM-9KNUG 20-29 years, male 131.1
GTEX-12WSF-1626-SM-7KUG5 70-79 years, male 131.0
GTEX-12WSJ-1126-SM-5LZVJ 40-49 years, female 131.0
GTEX-1B8L1-2226-SM-7P8PT 60-69 years, male 130.9
GTEX-139TU-0726-SM-5L3EK 60-69 years, male 130.2
GTEX-1122O-1026-SM-9WYSF 60-69 years, female 130.0
GTEX-1IDJC-1526-SM-B2LW4 50-59 years, male 129.8
GTEX-13X6H-0926-SM-5SIB2 50-59 years, female 129.7
GTEX-131XH-0126-SM-5LZUY 50-59 years, male 129.6
GTEX-18D9A-1426-SM-7LT8M 30-39 years, female 129.5
GTEX-1RB15-1326-SM-E76Q9 60-69 years, male 129.4
GTEX-Y8E4-2026-SM-5IFJB 40-49 years, male 129.3
GTEX-15RIE-1926-SM-7KUKJ 60-69 years, male 129.2
GTEX-ZVE1-0726-SM-51MRN 50-59 years, female 129.0
GTEX-1QP2A-1726-SM-E76QC 50-59 years, male 128.7
GTEX-UPK5-0426-SM-3GAEK 40-49 years, male 128.6
GTEX-1HKZK-0726-SM-ACKW2 40-49 years, male 127.8
GTEX-11P81-2226-SM-5PNYI 30-39 years, female 127.5
GTEX-1QP28-1126-SM-EVYC4 50-59 years, female 127.1
GTEX-16MT8-2926-SM-7DUFO 60-69 years, female 127.0
GTEX-139T8-0626-SM-5KLZX 60-69 years, male 126.9
GTEX-139TT-2126-SM-5LZWC 60-69 years, male 126.9
GTEX-1JKYR-0626-SM-ARL8R 20-29 years, male 126.9
GTEX-18A7B-2726-SM-7LG56 70-79 years, male 126.8
GTEX-1JMQK-1226-SM-D4P2S 60-69 years, male 126.8
GTEX-145ME-1726-SM-5Q5EU 40-49 years, female 126.5
GTEX-133LE-2326-SM-5K7W3 20-29 years, female 126.2
GTEX-1RAZQ-1326-SM-E9TK6 30-39 years, male 126.1
GTEX-1JJE9-2626-SM-ARZMT 70-79 years, male 126.0
GTEX-17EVQ-0126-SM-7IGLR 70-79 years, male 125.7
GTEX-14JG1-1526-SM-5YY9X 40-49 years, male 125.6
GTEX-ZT9X-1526-SM-5DUXD 40-49 years, male 125.6
GTEX-1IDJH-0126-SM-D3L92 70-79 years, male 125.6
GTEX-1GN1W-2426-SM-9KNUU 50-59 years, female 125.5
GTEX-1I19N-0126-SM-CYPSF 70-79 years, male 125.1
GTEX-1GN2E-0226-SM-9WG6K 60-69 years, male 125.0
GTEX-1AX9J-1326-SM-731BJ 60-69 years, male 124.8
GTEX-1JMQL-2226-SM-CNPP4 50-59 years, female 124.5
GTEX-13NYS-0626-SM-5L3F1 60-69 years, male 124.4
GTEX-WHSB-1326-SM-3LK6W 50-59 years, male 124.4
GTEX-1KANA-1326-SM-DIPFA 20-29 years, male 124.4
GTEX-17MF6-2626-SM-79OKQ 40-49 years, male 124.2
GTEX-ZF2S-1626-SM-57WES 50-59 years, female 124.2
GTEX-111CU-1126-SM-5EGIM 50-59 years, male 124.0
GTEX-13113-1626-SM-5EQ4I 60-69 years, female 124.0
GTEX-1IOXB-2726-SM-CM2RI 50-59 years, male 124.0
GTEX-145MG-1526-SM-5Q5EM 50-59 years, male 123.8
GTEX-12C56-1526-SM-5FQUQ 20-29 years, male 123.5
GTEX-1EN7A-2426-SM-793DB 40-49 years, male 123.5
GTEX-17F98-1326-SM-7DUEP 40-49 years, female 123.4
GTEX-YEC4-1826-SM-4W1YP 40-49 years, male 123.4
GTEX-ZTTD-2826-SM-4YCFA 50-59 years, male 123.4
GTEX-13JUV-2026-SM-5K7UA 40-49 years, female 123.3
GTEX-14C5O-0326-SM-5ZZUX 60-69 years, male 123.3
GTEX-WRHU-2826-SM-3MJG8 50-59 years, female 123.2
GTEX-13PVQ-0626-SM-5LU47 50-59 years, male 123.0
GTEX-1F88F-0126-SM-9WYSZ 60-69 years, female 122.6
GTEX-13FTX-1526-SM-5K7VJ 20-29 years, female 122.3
GTEX-13VXT-1926-SM-5K7UO 20-29 years, female 122.2
GTEX-11DXW-0826-SM-5H118 40-49 years, male 122.1
GTEX-13OVH-0526-SM-5L3E6 70-79 years, male 122.1
GTEX-147JS-0226-SM-5S2U9 60-69 years, male 122.1
GTEX-ZDTT-0426-SM-4WKFL 60-69 years, male 121.8
GTEX-1B996-0426-SM-7EWF8 60-69 years, male 121.7
GTEX-1EWIQ-0326-SM-7DHMQ 70-79 years, female 121.6
GTEX-1POEN-2326-SM-E9J2L 30-39 years, female 121.5
GTEX-14PJ2-0626-SM-6LLII 50-59 years, male 121.3
GTEX-1QPFJ-1926-SM-EVYBD 30-39 years, female 121.2
GTEX-ZLFU-1826-SM-4WWBV 40-49 years, male 121.1
GTEX-1KWVE-1026-SM-D3L9O 30-39 years, male 121.0
GTEX-1B8KZ-0326-SM-73KY4 50-59 years, male 120.6
GTEX-XQ8I-0926-SM-4BOOF 50-59 years, male 120.5
GTEX-145MF-0926-SM-5Q5EA 50-59 years, male 120.2
GTEX-1OJC4-2726-SM-E76PJ 50-59 years, female 120.0
GTEX-1HCVE-2726-SM-CL54F 50-59 years, male 119.8
GTEX-1C6VR-0126-SM-7RHGB 60-69 years, male 119.7
GTEX-1H11D-1826-SM-9QEHM 40-49 years, male 119.7
GTEX-1HFI6-0126-SM-CNPPI 40-49 years, male 119.7
GTEX-145MN-1526-SM-5SI9T 30-39 years, male 119.6
GTEX-14PJN-1826-SM-6AJ98 30-39 years, male 119.6
GTEX-XOT4-0626-SM-4B66L 60-69 years, female 119.5
GTEX-1J8QM-2426-SM-A9SLS 60-69 years, female 119.2
GTEX-1HBPN-0126-SM-CGQEF 50-59 years, male 118.9
GTEX-17EVP-2626-SM-7IGMA 40-49 years, male 118.8
GTEX-1211K-1526-SM-5FQU4 60-69 years, female 118.7
GTEX-1QW4Y-1126-SM-DTXE3 30-39 years, male 118.5
GTEX-17KNJ-2126-SM-718AM 50-59 years, male 118.4
GTEX-WK11-2726-SM-3NMAQ 50-59 years, male 118.4
GTEX-117YX-1926-SM-5GIEC 50-59 years, male 118.2
GTEX-11GSP-2326-SM-5HL63 60-69 years, female 118.2
GTEX-1QMI2-2526-SM-E8VNZ 60-69 years, male 118.0
GTEX-183WM-0326-SM-72D5V 70-79 years, female 117.7
GTEX-1GTWX-2026-SM-9YFLM 60-69 years, male 117.7
GTEX-14PJ6-2626-SM-6EU2T 60-69 years, female 117.6
GTEX-1MCC2-1826-SM-DIPEX 30-39 years, female 117.4
GTEX-11DXZ-2026-SM-5987S 50-59 years, male 117.3
GTEX-1ICLY-0826-SM-CMKG1 50-59 years, male 117.3
GTEX-1QP29-1826-SM-DTX9S 50-59 years, male 117.3
GTEX-1KD5A-0126-SM-E9U54 50-59 years, male 117.2
GTEX-1S3DN-2126-SM-E9TIN 50-59 years, male 117.2
GTEX-ZVP2-0326-SM-57WBP 50-59 years, male 116.9
GTEX-11ZUS-2626-SM-5FQUR 30-39 years, male 116.7
GTEX-14LLW-2626-SM-62LDZ 70-79 years, female 116.6
GTEX-11EQ9-1626-SM-5PNY8 30-39 years, male 116.5
GTEX-1JJ6O-2726-SM-CNPOG 60-69 years, male 116.3
GTEX-1JK1U-0226-SM-ARZMX 60-69 years, male 116.1
GTEX-131YS-2826-SM-5EQ47 60-69 years, female 116.0
GTEX-VJYA-1526-SM-3GIJV 60-69 years, male 115.8
GTEX-1KANB-2826-SM-CY8I6 50-59 years, male 115.8
GTEX-ZAK1-0626-SM-5HL8E 50-59 years, female 115.7
GTEX-1F5PK-2226-SM-7SB6N 50-59 years, male 115.7
GTEX-WFON-1926-SM-3LK7L 40-49 years, male 115.4
GTEX-ZLV1-1526-SM-DO91J 60-69 years, female 115.4
GTEX-1JN6P-2926-SM-CL54D 60-69 years, male 115.2
GTEX-13D11-0926-SM-5J2NC 50-59 years, female 115.1
GTEX-145MO-2826-SM-5LU96 60-69 years, male 114.7
GTEX-1IDJV-0126-SM-COH3Y 60-69 years, male 114.7
GTEX-1HUB1-1426-SM-CGQF5 60-69 years, male 114.5
GTEX-1LG7Y-2526-SM-EWRO7 50-59 years, male 114.5
GTEX-11UD2-2526-SM-5CVNU 50-59 years, male 114.4
GTEX-183FY-1026-SM-7939A 20-29 years, male 114.2
GTEX-V1D1-2026-SM-3GAF4 50-59 years, male 114.1
GTEX-1F6IF-0926-SM-7SB7M 60-69 years, male 114.0
GTEX-14PJ5-1526-SM-6LLIL 60-69 years, female 113.7
GTEX-131XG-0326-SM-5L3DX 50-59 years, female 113.4
GTEX-13OVL-0126-SM-5L3GJ 50-59 years, male 113.3
GTEX-15D1Q-2826-SM-6LLH7 40-49 years, male 112.7
GTEX-ZAB4-2126-SM-5HL8U 40-49 years, male 112.4
GTEX-1JMOU-1026-SM-CYPSS 60-69 years, female 112.3
GTEX-146FQ-2126-SM-5RQHU 30-39 years, male 112.1
GTEX-ZYVF-0926-SM-5E44J 50-59 years, female 112.0
GTEX-Y9LG-1126-SM-4VBQ7 30-39 years, male 111.0
GTEX-1I1HK-2326-SM-CKZOH 60-69 years, male 110.8
GTEX-X3Y1-2026-SM-3P5YM 40-49 years, male 110.7
GTEX-1H1DG-2426-SM-9QEHJ 70-79 years, male 110.3
GTEX-1AX8Z-0726-SM-73KTS 60-69 years, male 110.2
GTEX-ZGAY-1826-SM-DO91Q 40-49 years, female 110.1
GTEX-1RAZR-2126-SM-E9U6T 40-49 years, male 109.8
GTEX-14PJ4-0226-SM-5YY92 60-69 years, male 109.5
GTEX-178AV-1726-SM-7KUL8 40-49 years, male 109.5
GTEX-14ABY-2026-SM-62LDL 50-59 years, male 109.0
GTEX-14AS3-1526-SM-5Q5ED 40-49 years, female 109.0
GTEX-11DXX-2126-SM-5PNYR 60-69 years, female 108.9
GTEX-XBED-1926-SM-47JYP 60-69 years, male 108.9
GTEX-1477Z-0326-SM-7IGLA 60-69 years, male 108.7
GTEX-14JG6-1426-SM-9WG7C 30-39 years, female 108.7
GTEX-13O3Q-0126-SM-5KM34 50-59 years, male 108.6
GTEX-XAJ8-1426-SM-47JYM 40-49 years, male 108.6
GTEX-1LGOU-1326-SM-D3L8M 20-29 years, female 108.3
GTEX-1LVAO-2726-SM-E9TJ8 60-69 years, male 108.3
GTEX-WYVS-1626-SM-3NM9R 40-49 years, female 108.2
GTEX-1399S-0126-SM-5IJCF 30-39 years, female 108.1
GTEX-ZP4G-1426-SM-4WWCL 20-29 years, female 108.1
GTEX-13OVG-1626-SM-5J1NF 60-69 years, male 108.0
GTEX-14PHY-1226-SM-5ZZWK 60-69 years, female 107.9
GTEX-1B8KE-1126-SM-7EPHI 50-59 years, male 107.9
GTEX-1F5PL-0926-SM-7PC2W 40-49 years, female 107.6
GTEX-ZA64-1026-SM-5HL8R 20-29 years, male 107.4
GTEX-15FZZ-0526-SM-7KUGD 30-39 years, female 107.3
GTEX-16GPK-0626-SM-7KFSF 60-69 years, male 107.3
GTEX-X5EB-1926-SM-4E3IW 40-49 years, male 107.2
GTEX-1QEPI-2626-SM-DTXF4 60-69 years, female 106.9
GTEX-16Z82-2626-SM-7KULU 60-69 years, male 106.6
GTEX-13NZ9-2626-SM-5L3FK 50-59 years, male 106.2
GTEX-XYKS-1426-SM-4BRUO 60-69 years, female 106.2
GTEX-ZYFG-1526-SM-5GZYM 60-69 years, female 106.0
GTEX-ZVTK-0226-SM-51MRG 20-29 years, male 105.6
GTEX-1IDJE-1426-SM-ADEIW 50-59 years, female 105.5
GTEX-1I6K7-1926-SM-B2LXR 40-49 years, male 105.2
GTEX-11VI4-1126-SM-5EQMD 40-49 years, female 105.0
GTEX-ZPCL-1126-SM-4WWFE 60-69 years, female 104.8
GTEX-1GZ2Q-0126-SM-9WG6M 40-49 years, male 104.5
GTEX-1KANC-1226-SM-CYPT7 50-59 years, female 104.5
GTEX-1LSNM-0826-SM-DIPG8 50-59 years, male 104.5
GTEX-11NSD-0626-SM-5A5LU 20-29 years, male 104.4
GTEX-13FTW-0326-SM-5K7UW 40-49 years, male 104.3
GTEX-1IDJF-2026-SM-CL53V 20-29 years, male 104.2
GTEX-ZWKS-0626-SM-5GIDV 30-39 years, male 104.1
GTEX-Y3IK-1626-SM-4YCF5 50-59 years, female 103.8
GTEX-14DAQ-0626-SM-793DS 60-69 years, female 103.6
GTEX-14DAR-1226-SM-73KYV 50-59 years, male 103.6
GTEX-13N11-2326-SM-5IJBF 50-59 years, female 103.4
GTEX-14B4R-1326-SM-5Q5EZ 30-39 years, male 103.3
GTEX-1JN76-0626-SM-CKZOQ 20-29 years, female 103.2
GTEX-ZUA1-2626-SM-5NQ92 40-49 years, male 103.1
GTEX-WEY5-2326-SM-3GIKK 40-49 years, female 102.8
GTEX-132AR-0326-SM-5KM2C 50-59 years, female 102.3
GTEX-ZPU1-1126-SM-4YCF3 40-49 years, male 101.7
GTEX-1F75W-2726-SM-7SB8H 60-69 years, male 101.6
GTEX-1S831-1826-SM-EWROF 20-29 years, male 101.5
GTEX-18D9U-0126-SM-731BM 40-49 years, male 101.4
GTEX-Y5V5-0126-SM-5S2NW 60-69 years, female 101.1
GTEX-1LB8K-0726-SM-D5OV2 50-59 years, male 101.1
GTEX-1HFI7-2326-SM-CGQFS 50-59 years, female 100.9
GTEX-11EI6-2826-SM-5H11D 60-69 years, male 100.5
GTEX-1H3NZ-2726-SM-9WYTQ 60-69 years, male 100.5
GTEX-15CHC-1126-SM-6LLHQ 60-69 years, female 100.4
GTEX-Y3I4-1726-SM-4TT89 50-59 years, male 100.1
GTEX-1GL5R-1326-SM-7RHHF 50-59 years, male 100.1
GTEX-12BJ1-0926-SM-5EQ62 60-69 years, male 99.8
GTEX-1IDJI-0126-SM-CMKHS 50-59 years, female 99.8
GTEX-YEC3-1326-SM-DO92X 50-59 years, male 99.8
GTEX-14BMU-1226-SM-5S2OR 20-29 years, female 99.1
GTEX-12WSC-2826-SM-5BC5Y 50-59 years, male 99.0
GTEX-1B932-2326-SM-79OL5 40-49 years, female 98.7
GTEX-ZT9W-1126-SM-57WDR 50-59 years, male 98.4
GTEX-11WQK-1026-SM-5EQLX 50-59 years, male 98.1
GTEX-13N2G-0226-SM-5K7VF 60-69 years, male 98.1
GTEX-ZDXO-3126-SM-5IJDF 60-69 years, male 98.1
GTEX-1RAZA-2226-SM-E9U4X 20-29 years, male 98.0
GTEX-11ZTT-2126-SM-5CVLO 60-69 years, female 97.7
GTEX-1C475-1326-SM-7SB73 40-49 years, female 97.1
GTEX-1RMOY-1326-SM-E9TIH 50-59 years, male 96.9
GTEX-1H1E6-0426-SM-9WYUS 30-39 years, male 96.8
GTEX-14E6E-0526-SM-793DN 30-39 years, male 96.5
GTEX-1I6K6-1726-SM-CGQFD 30-39 years, male 96.3
GTEX-1H1ZS-2726-SM-9WG75 70-79 years, male 96.1
GTEX-13QBU-1226-SM-5LU4G 40-49 years, female 96.0
GTEX-1212Z-0126-SM-59HK4 60-69 years, male 95.9
GTEX-WFG8-2126-SM-3GIKQ 20-29 years, male 95.9
GTEX-1GMR2-0826-SM-7PC3V 50-59 years, male 95.8
GTEX-1R9PN-0426-SM-DTXDT 40-49 years, female 95.8
GTEX-ZLWG-0826-SM-59888 50-59 years, female 95.7
GTEX-ZZPU-0826-SM-5GZX5 50-59 years, female 95.6
GTEX-11LCK-2226-SM-5HL4Q 30-39 years, male 95.1
GTEX-1GF9U-2026-SM-7SB92 40-49 years, female 94.7
GTEX-1JKYN-0826-SM-ARU8S 30-39 years, male 94.7
GTEX-16NGA-0726-SM-731AO 40-49 years, female 94.1
GTEX-11EM3-1226-SM-5N9DD 20-29 years, female 94.0
GTEX-1R7EU-1626-SM-DTXG3 60-69 years, male 94.0
GTEX-XUW1-0926-SM-4BONX 50-59 years, female 93.7
GTEX-13W3W-0726-SM-5IJDQ 60-69 years, female 93.5
GTEX-14PKU-0126-SM-6LLHV 40-49 years, female 93.5
GTEX-ZVT2-0126-SM-5GIDQ 50-59 years, female 93.5
GTEX-1J8Q3-0526-SM-ARL8U 60-69 years, male 93.2
GTEX-1LBAC-0826-SM-CY8IJ 20-29 years, male 93.1
GTEX-1LG7Z-1626-SM-CXKYR 30-39 years, male 93.0
GTEX-XBEC-0726-SM-4QARZ 50-59 years, male 92.9
GTEX-12WSA-0426-SM-5EQ5X 60-69 years, male 92.8
GTEX-13PVR-0426-SM-5RQK2 60-69 years, female 92.4
GTEX-Y5LM-0926-SM-6LLJG 40-49 years, female 91.5
GTEX-ZU9S-1826-SM-5NQ9E 30-39 years, male 91.4
GTEX-145LT-0526-SM-5LUB2 40-49 years, male 89.6
GTEX-YB5K-2026-SM-4VDT3 40-49 years, female 89.4
GTEX-13FH7-1126-SM-5K7UG 50-59 years, female 89.0
GTEX-WYJK-0526-SM-3NM8Z 50-59 years, male 88.8
GTEX-1LVAN-0626-SM-CNPOQ 50-59 years, female 88.5
GTEX-1IDJD-2326-SM-ACKWX 30-39 years, male 88.2
GTEX-1ICG6-1226-SM-A9SLN 70-79 years, female 88.1
GTEX-1AMFI-1326-SM-7939R 50-59 years, female 88.0
GTEX-YF7O-1526-SM-5IFI6 50-59 years, male 87.8
GTEX-1L5NE-1126-SM-D3L9P 50-59 years, male 87.1
GTEX-X4EP-0626-SM-3P621 60-69 years, female 87.0
GTEX-1QCLZ-2426-SM-EVYBW 60-69 years, female 86.9
GTEX-13OW8-1026-SM-5J1NQ 60-69 years, male 86.3
GTEX-1C2JI-1026-SM-73KY1 50-59 years, male 86.3
GTEX-1KXAM-1626-SM-D3LAD 60-69 years, male 86.3
GTEX-1A3MX-2626-SM-7PC24 60-69 years, male 85.3
GTEX-1CB4I-0126-SM-7RHGG 50-59 years, male 85.3
GTEX-XPVG-2126-SM-4B667 50-59 years, male 85.0
GTEX-14PK6-0226-SM-62LF5 70-79 years, female 84.7
GTEX-1HSGN-0826-SM-ACKW3 40-49 years, female 84.2
GTEX-1HCU8-2526-SM-CE6RX 60-69 years, female 84.0
GTEX-17JCI-2926-SM-7DUFF 60-69 years, female 83.8
GTEX-1IDJU-1726-SM-CMKHU 60-69 years, female 83.7
GTEX-1LGRB-0926-SM-COH3K 50-59 years, female 83.4
GTEX-13U4I-2226-SM-5LU5H 40-49 years, female 82.9
GTEX-XV7Q-1826-SM-4BRUV 40-49 years, female 81.8
GTEX-Y8LW-1526-SM-5IFHL 50-59 years, female 81.7
GTEX-1J1R8-2026-SM-CL53Y 40-49 years, male 81.1
GTEX-1K9T9-1526-SM-DIPFR 50-59 years, female 79.7
GTEX-1I4MK-0126-SM-CY8G6 50-59 years, female 78.5
GTEX-111FC-2526-SM-5GZXU 60-69 years, male 77.9
GTEX-1K2DA-1026-SM-CGQGF 50-59 years, male 76.7
GTEX-1399R-1326-SM-5PNYS 30-39 years, male 74.9
GTEX-14PKV-1126-SM-6LLJ1 20-29 years, female 72.6
GTEX-1AMEY-0826-SM-72D65 30-39 years, female 70.9
GTEX-16MTA-0926-SM-6M47Z 50-59 years, male 69.8
GTEX-ZPIC-0526-SM-DO91W 40-49 years, female 61.4
GTEX-Y5V6-2326-SM-4VDSA 60-69 years, male 61.0
GTEX-11TT1-1826-SM-5EQLV 20-29 years, male 56.5
GTEX-ZTSS-1426-SM-5985P 40-49 years, male 52.2
Show allShow less
Skin - Sun Exposed (Lower leg)
Average nTPM: 137.2
Samples: 701

Max nTPM: 328.0
Min nTPM: 59.2
Std nTPM: 35.6
Median nTPM: 133.0
GTEX-14E6C-0126-SM-5RQIP 40-49 years, male 328.0
GTEX-15UF6-0826-SM-6PALJ 70-79 years, female 274.1
GTEX-ZTX8-1426-SM-5DUVO 20-29 years, male 266.3
GTEX-T2YK-0526-SM-32QPJ 50-59 years, male 254.8
GTEX-POMQ-2226-SM-2I5FK 20-29 years, female 251.4
GTEX-13YAN-0326-SM-5O9DF 60-69 years, male 248.5
GTEX-P4QT-0126-SM-2I3FL 50-59 years, female 247.7
GTEX-ZYFD-0126-SM-5GIDL 50-59 years, male 246.9
GTEX-18D9A-1926-SM-7LG6P 30-39 years, female 246.4
GTEX-1GMR3-1926-SM-9KNUZ 40-49 years, male 243.5
GTEX-11DXZ-2326-SM-5EGGV 50-59 years, male 243.3
GTEX-Y3IK-2426-SM-4WWDU 50-59 years, female 241.9
GTEX-16XZZ-0126-SM-793DV 60-69 years, male 241.0
GTEX-15ER7-0326-SM-7KUEV 20-29 years, female 240.2
GTEX-17HII-0226-SM-7LG4E 50-59 years, male 227.0
GTEX-13CF2-2526-SM-5LZYX 60-69 years, male 225.9
GTEX-PX3G-0126-SM-2I3EN 20-29 years, female 222.6
GTEX-WI4N-1026-SM-3LK7N 40-49 years, female 222.5
GTEX-O5YT-0126-SM-48TBW 20-29 years, male 221.8
GTEX-ZF3C-0126-SM-DO92D 50-59 years, female 220.5
GTEX-183WM-0126-SM-7LTAB 70-79 years, female 219.6
GTEX-11DYG-0126-SM-59883 60-69 years, male 218.6
GTEX-139UW-2826-SM-5L3E7 60-69 years, male 217.7
GTEX-14A5I-0126-SM-5TDEA 50-59 years, female 217.5
GTEX-1H1CY-2826-SM-9MQM3 60-69 years, female 214.6
GTEX-1LBAC-0126-SM-DIPEZ 20-29 years, male 214.6
GTEX-S32W-2126-SM-2XCB1 50-59 years, female 213.5
GTEX-1JN6P-0126-SM-D3L98 60-69 years, male 213.4
GTEX-139TS-2826-SM-5J1OO 60-69 years, male 212.2
GTEX-QESD-1426-SM-2S1R9 20-29 years, male 212.2
GTEX-1CB4G-0226-SM-7PC3O 60-69 years, male 211.0
GTEX-U8T8-0126-SM-3DB94 60-69 years, male 210.9
GTEX-13FXS-0226-SM-5IJCK 50-59 years, male 209.9
GTEX-1399U-2326-SM-5K7WY 50-59 years, female 209.4
GTEX-1HCUA-2426-SM-ADEIS 50-59 years, female 209.1
GTEX-ZYT6-0226-SM-5NQ6T 30-39 years, male 201.4
GTEX-1EWIQ-0126-SM-7RHH2 70-79 years, female 200.9
GTEX-14PN4-0126-SM-6EU2V 50-59 years, male 200.7
GTEX-1PIIG-0226-SM-EWRN6 30-39 years, male 198.2
GTEX-1N2EF-0226-SM-EYYXB 60-69 years, male 197.3
GTEX-OIZH-0126-SM-2HMIS 50-59 years, male 196.6
GTEX-ZV68-0126-SM-59HKS 50-59 years, female 195.5
GTEX-1CAV2-2226-SM-7P8P2 40-49 years, female 195.5
GTEX-1HBPM-0226-SM-ARL9F 60-69 years, female 195.1
GTEX-12696-2426-SM-5EQ6H 60-69 years, male 194.6
GTEX-1HSMO-0126-SM-CL547 60-69 years, male 194.6
GTEX-T6MN-0126-SM-32PLP 50-59 years, male 193.0
GTEX-1B8SG-0126-SM-73KZ3 50-59 years, male 192.0
GTEX-14E6E-1826-SM-5S2R7 30-39 years, male 191.6
GTEX-1L5NE-2526-SM-E6CIE 50-59 years, male 191.5
GTEX-12WSL-2526-SM-5GCNJ 50-59 years, male 191.2
GTEX-1HCU6-0126-SM-CL54K 60-69 years, female 190.8
GTEX-S7PM-0126-SM-4AD6S 60-69 years, male 190.4
GTEX-X88G-0126-SM-47JZ3 30-39 years, male 190.3
GTEX-145MO-0326-SM-5Q5B3 60-69 years, male 190.2
GTEX-13FHP-0126-SM-5IJBG 50-59 years, male 189.8
GTEX-1EMGI-0126-SM-9KNUE 60-69 years, male 189.7
GTEX-UJHI-1526-SM-3DB99 50-59 years, female 189.3
GTEX-PVOW-0126-SM-2XCFA 40-49 years, male 187.3
GTEX-XYKS-2126-SM-4E3IB 60-69 years, female 186.9
GTEX-U8XE-0326-SM-3DB8P 30-39 years, male 186.5
GTEX-Y114-2426-SM-4TT8A 50-59 years, female 185.6
GTEX-SNMC-1226-SM-2XCFP 20-29 years, male 185.2
GTEX-1PDJ9-0326-SM-DTX95 20-29 years, male 184.9
GTEX-1R9PM-2026-SM-E76OY 20-29 years, male 184.2
GTEX-ZVZO-0126-SM-5A5L9 40-49 years, male 184.1
GTEX-1F75B-0126-SM-9KNVL 50-59 years, male 181.4
GTEX-1JN1M-0326-SM-CYPT3 60-69 years, female 180.7
GTEX-XBEW-0626-SM-4QASP 40-49 years, male 180.1
GTEX-ZDTS-0126-SM-4WAY5 60-69 years, male 179.8
GTEX-13NZ8-0826-SM-5MR3I 60-69 years, female 178.8
GTEX-1IKJJ-0126-SM-CNPQB 60-69 years, male 178.8
GTEX-16GPK-0126-SM-7DHLE 60-69 years, male 178.5
GTEX-1BAJH-0526-SM-793CQ 70-79 years, male 178.4
GTEX-1CAMS-0426-SM-7P8T2 40-49 years, female 178.3
GTEX-Z93S-0126-SM-5HL7M 50-59 years, male 178.2
GTEX-1GN2E-0426-SM-9MQKX 60-69 years, male 177.9
GTEX-148VJ-0126-SM-5TDDN 70-79 years, male 177.8
GTEX-12WSK-2326-SM-5GCOH 40-49 years, female 177.6
GTEX-1GN1U-0126-SM-7PBZK 50-59 years, female 177.6
GTEX-11H98-0126-SM-5EGHG 50-59 years, male 177.0
GTEX-13OVK-2026-SM-7KUEO 40-49 years, male 176.8
GTEX-UPJH-0326-SM-3GADU 50-59 years, male 176.2
GTEX-1H3VE-0326-SM-9YFLH 40-49 years, male 176.0
GTEX-1C475-1826-SM-73KWA 40-49 years, female 175.7
GTEX-S33H-1026-SM-EZ6L6 30-39 years, male 175.7
GTEX-131XW-0426-SM-5LZWP 50-59 years, female 175.5
GTEX-P44H-0226-SM-2XCEU 40-49 years, male 175.1
GTEX-13NYS-0126-SM-5MR3W 60-69 years, male 175.0
GTEX-12584-0126-SM-5EGKQ 40-49 years, male 174.9
GTEX-18A6Q-0126-SM-731BZ 60-69 years, male 174.6
GTEX-Y5LM-1926-SM-5RQJH 40-49 years, female 174.6
GTEX-X4EO-0326-SM-3P5YO 60-69 years, female 174.2
GTEX-PSDG-0226-SM-DKPOZ 50-59 years, male 174.2
GTEX-17GQL-2026-SM-718BA 60-69 years, male 174.0
GTEX-1F6IF-0726-SM-7P8TW 60-69 years, male 174.0
GTEX-13O1R-0126-SM-5L3EH 60-69 years, male 173.9
GTEX-Y8DK-0126-SM-4TT3L 60-69 years, male 173.7
GTEX-1KANC-1526-SM-D3LAB 50-59 years, female 173.2
GTEX-1F6RS-0126-SM-9MQKZ 60-69 years, female 173.0
GTEX-ZE9C-2726-SM-57WB5 60-69 years, male 172.7
GTEX-1HGF4-2426-SM-ACKXM 60-69 years, male 172.0
GTEX-RTLS-0126-SM-447CA 60-69 years, female 171.6
GTEX-1LG7Z-1726-SM-D3LA4 30-39 years, male 171.4
GTEX-15ETS-0126-SM-7KUMW 40-49 years, female 171.3
GTEX-1B8KE-2126-SM-73KYX 50-59 years, male 171.2
GTEX-RVPV-0126-SM-EAZAW 60-69 years, male 170.3
GTEX-1GF9W-0326-SM-9KNUN 60-69 years, male 170.1
GTEX-1IDJH-0326-SM-A9SLQ 70-79 years, male 170.1
GTEX-145LS-0126-SM-5QGP1 60-69 years, female 169.7
GTEX-YJ89-0126-SM-4TT3X 60-69 years, male 169.2
GTEX-1211K-2026-SM-5EQ4Z 60-69 years, female 169.1
GTEX-ZVTK-0426-SM-51MRS 20-29 years, male 169.0
GTEX-13113-5016-SM-7EPIP 60-69 years, female 168.7
GTEX-1ICLZ-0126-SM-CKZPO 60-69 years, male 168.7
GTEX-ZF2S-2326-SM-4WWCE 50-59 years, female 167.9
GTEX-ZVT4-0126-SM-DTXFN 50-59 years, female 167.7
GTEX-15G19-0126-SM-6PANQ 60-69 years, male 167.5
GTEX-ZGAY-0526-SM-4WWBB 40-49 years, female 167.3
GTEX-1E2YA-0126-SM-9KNUC 50-59 years, male 166.6
GTEX-131XE-2326-SM-5PNZ2 50-59 years, male 166.5
GTEX-OIZG-0726-SM-33HBL 50-59 years, male 166.5
GTEX-1B8SF-1426-SM-7DUGL 60-69 years, male 166.3
GTEX-ZWKS-0126-SM-5SIAA 30-39 years, male 166.3
GTEX-1RB15-2126-SM-E9TIM 60-69 years, male 166.3
GTEX-13O3P-0126-SM-5KM4S 50-59 years, male 166.1
GTEX-1KD4Q-0226-SM-E9TJ9 40-49 years, male 166.1
GTEX-13PDP-0126-SM-5L3HD 60-69 years, male 165.7
GTEX-113JC-2326-SM-5EQ4E 50-59 years, female 165.5
GTEX-1313W-0126-SM-5LZUN 50-59 years, female 165.5
GTEX-1HFI6-0226-SM-ADEHZ 40-49 years, male 165.5
GTEX-1I1GV-0526-SM-A9G29 60-69 years, male 165.3
GTEX-1HT8W-0126-SM-CNPPP 30-39 years, male 164.7
GTEX-U412-0426-SM-3DB9O 60-69 years, male 164.4
GTEX-11WQK-0526-SM-5EQLD 50-59 years, male 164.1
GTEX-131XF-5016-SM-7MGWE 60-69 years, male 164.0
GTEX-131YS-0126-SM-5KM1M 60-69 years, female 163.7
GTEX-1LSNM-1926-SM-E6CII 50-59 years, male 163.5
GTEX-13OW5-0126-SM-DTXFS 60-69 years, male 163.4
GTEX-117YW-2626-SM-5GZZH 50-59 years, male 163.3
GTEX-13FTW-2626-SM-5K7WL 40-49 years, male 162.9
GTEX-1PPH8-0226-SM-E8VND 20-29 years, male 162.8
GTEX-T5JC-0426-SM-32PLO 20-29 years, male 162.7
GTEX-1POEN-0126-SM-EYYXJ 30-39 years, female 161.8
GTEX-11WQC-2526-SM-5CVLE 60-69 years, male 161.6
GTEX-14PII-0226-SM-6EU1T 60-69 years, male 161.6
GTEX-OOBJ-0126-SM-E6CJW 60-69 years, male 161.6
GTEX-1122O-2126-SM-5EGIR 60-69 years, female 161.3
GTEX-18465-0126-SM-731BN 50-59 years, male 161.2
GTEX-1LGOU-2026-SM-DIPFF 20-29 years, female 160.9
GTEX-1GMRU-0126-SM-9YFLV 50-59 years, male 160.8
GTEX-1JMQL-0226-SM-CNPP5 50-59 years, female 160.7
GTEX-11TUW-2726-SM-E9J4M 60-69 years, male 160.5
GTEX-1AX9I-0126-SM-7SB74 60-69 years, male 160.3
GTEX-OXRO-0126-SM-2YUN4 60-69 years, female 159.9
GTEX-1QPFJ-0226-SM-E76PB 30-39 years, female 159.6
GTEX-1H4P4-0726-SM-9YFLR 50-59 years, male 159.4
GTEX-1HR98-0126-SM-B2LWI 60-69 years, male 159.4
GTEX-12126-0326-SM-5PNW3 20-29 years, male 159.3
GTEX-146FH-0126-SM-5QGPP 50-59 years, female 159.3
GTEX-X261-0126-SM-3NMD6 50-59 years, male 159.1
GTEX-1MJK2-0426-SM-DTXE5 50-59 years, male 159.0
GTEX-12WSE-0526-SM-793B2 20-29 years, male 158.5
GTEX-13S7M-0126-SM-5SI6A 60-69 years, female 158.5
GTEX-17HG3-2226-SM-7938L 30-39 years, female 158.5
GTEX-1JJ6O-0126-SM-E6CI8 60-69 years, male 158.5
GTEX-11UD1-0126-SM-5PNYG 40-49 years, female 158.0
GTEX-18A7A-0226-SM-718BH 50-59 years, female 158.0
GTEX-W5X1-3026-SM-EAZAX 40-49 years, female 157.8
GTEX-ZV6S-2326-SM-4YCEY 40-49 years, female 157.5
GTEX-1I1GR-0126-SM-CL55F 60-69 years, male 157.5
GTEX-1GZ4H-1726-SM-7PBZJ 50-59 years, female 156.8
GTEX-13X6H-2126-SM-7EWD5 50-59 years, female 156.7
GTEX-1PIGE-0126-SM-EVYBJ 20-29 years, male 156.7
GTEX-1CB4F-0426-SM-9KNV4 60-69 years, male 156.6
GTEX-1OFPY-2426-SM-DTXEJ 60-69 years, male 156.6
GTEX-X4XY-0226-SM-4E3IZ 60-69 years, male 156.5
GTEX-T8EM-1026-SM-3DB7M 40-49 years, male 156.4
GTEX-13112-2826-SM-5DUWH 50-59 years, male 156.1
GTEX-12ZZZ-0626-SM-5DUXI 60-69 years, male 155.3
GTEX-14ICK-0226-SM-6EU25 40-49 years, male 154.8
GTEX-14PHX-2326-SM-62LEM 50-59 years, male 154.6
GTEX-1K2DA-1826-SM-CGQGT 50-59 years, male 154.6
GTEX-NFK9-0226-SM-2HMKQ 40-49 years, male 154.4
GTEX-1JMOU-1526-SM-CL54I 60-69 years, female 154.4
GTEX-1JJEA-0326-SM-CNPOT 60-69 years, male 153.7
GTEX-117YX-2326-SM-5H12W 50-59 years, male 153.5
GTEX-11UD2-0226-SM-5EQKY 50-59 years, male 153.5
GTEX-11XUK-2026-SM-5EQLF 40-49 years, female 153.5
GTEX-12WSJ-1826-SM-5GCNY 40-49 years, female 153.2
GTEX-1HSGN-0226-SM-CGQFV 40-49 years, female 153.1
GTEX-13FTX-1826-SM-5J1NX 20-29 years, female 152.8
GTEX-1B97I-1626-SM-73KYO 40-49 years, male 152.5
GTEX-NPJ8-0126-SM-2YUNR 40-49 years, male 152.4
GTEX-1I4MK-2226-SM-ACKWD 50-59 years, female 152.4
GTEX-1IOXB-0126-SM-ARL8G 50-59 years, male 152.4
GTEX-11DZ1-0126-SM-5985Q 50-59 years, male 152.3
GTEX-SN8G-0126-SM-32PLI 50-59 years, female 152.3
GTEX-ZDYS-2026-SM-5HL5L 50-59 years, male 152.3
GTEX-1NV5F-0226-SM-E8VNY 60-69 years, female 152.3
GTEX-OOBK-0126-SM-2YUND 40-49 years, male 152.2
GTEX-WFG8-2226-SM-3GIL9 20-29 years, male 152.2
GTEX-1399R-2726-SM-5IJBA 30-39 years, male 152.0
GTEX-17JCI-0126-SM-7LG5G 60-69 years, female 151.4
GTEX-1EX96-1626-SM-7PBXR 50-59 years, male 151.3
GTEX-1H3O1-0426-SM-9YFKY 60-69 years, male 151.2
GTEX-1GZHY-0326-SM-9QEHI 50-59 years, female 151.1
GTEX-1GZ2Q-0226-SM-7P8TL 40-49 years, male 151.0
GTEX-1GF9V-0326-SM-7RHI5 60-69 years, male 150.8
GTEX-1GMR8-0126-SM-9WYTM 50-59 years, female 150.7
GTEX-14BIN-0626-SM-793DP 50-59 years, female 150.3
GTEX-ZTPG-0326-SM-5O9AX 20-29 years, female 150.3
GTEX-OXRP-0126-SM-3NB32 60-69 years, female 150.2
GTEX-13U4I-0126-SM-5LU38 40-49 years, female 150.0
GTEX-17EVP-0326-SM-7DHLG 40-49 years, male 150.0
GTEX-17MF6-0126-SM-7LG4F 40-49 years, male 149.8
GTEX-15SHW-0326-SM-6PAML 60-69 years, male 149.6
GTEX-XQ3S-1526-SM-4BOOC 20-29 years, male 149.4
GTEX-YB5E-2026-SM-5IFIS 40-49 years, male 149.4
GTEX-13CF3-2426-SM-5IFGX 60-69 years, female 148.9
GTEX-15EOM-0126-SM-7KUGG 20-29 years, female 148.8
GTEX-1AX8Z-0126-SM-7DHM6 60-69 years, male 148.8
GTEX-1H2FU-0126-SM-9WYSI 60-69 years, female 148.6
GTEX-1PWST-0226-SM-E76QJ 70-79 years, male 148.5
GTEX-12KS4-0326-SM-5EQ41 30-39 years, male 148.0
GTEX-1CB4H-0226-SM-7PBXM 60-69 years, female 148.0
GTEX-1CB4J-0626-SM-7DHMP 60-69 years, male 147.9
GTEX-1QAET-0926-SM-E76QM 50-59 years, male 147.8
GTEX-WXYG-2326-SM-4E3I6 50-59 years, female 147.7
GTEX-12WSG-2826-SM-E9J4H 50-59 years, female 147.6
GTEX-1N2DW-0226-SM-E9TK2 50-59 years, male 147.5
GTEX-1OJC3-0126-SM-E76QX 20-29 years, male 147.5
GTEX-139D8-0226-SM-5KLZO 30-39 years, female 147.0
GTEX-17KNJ-2326-SM-7DHLQ 50-59 years, male 147.0
GTEX-1HBPI-1526-SM-C1YQ1 50-59 years, male 146.7
GTEX-1J8JJ-0226-SM-CL53I 60-69 years, female 146.7
GTEX-O5YW-0126-SM-3LK6D 50-59 years, male 146.5
GTEX-15DDE-0126-SM-6LPKH 50-59 years, female 146.4
GTEX-1CB4E-2226-SM-793DC 60-69 years, male 146.3
GTEX-P4PP-0126-SM-3LK69 30-39 years, female 146.3
GTEX-QEG4-0226-SM-2S1PY 30-39 years, male 146.3
GTEX-1IDJF-0126-SM-CM2RS 20-29 years, male 146.1
GTEX-14753-0426-SM-5NQAM 60-69 years, male 145.9
GTEX-17HHY-0126-SM-7LG5D 50-59 years, male 145.9
GTEX-1AYD5-2426-SM-73KXR 50-59 years, male 145.5
GTEX-13NYC-0326-SM-E9J4S 60-69 years, male 145.5
GTEX-14BMU-2226-SM-5TDE9 20-29 years, female 145.4
GTEX-YFC4-0126-SM-5CVLY 40-49 years, female 145.2
GTEX-14E6D-0126-SM-62LDV 50-59 years, male 145.1
GTEX-15SHU-0126-SM-7KUEH 40-49 years, female 145.0
GTEX-1497J-2426-SM-7IGNX 60-69 years, male 144.9
GTEX-1A3MW-0126-SM-73KXX 60-69 years, female 144.4
GTEX-X8HC-0126-SM-4E3JW 50-59 years, female 144.4
GTEX-18QFQ-0126-SM-731BE 30-39 years, male 143.8
GTEX-QV44-1926-SM-2S1RF 50-59 years, male 143.8
GTEX-15SB6-1726-SM-6PAME 50-59 years, female 143.7
GTEX-145MF-0626-SM-5LUAI 50-59 years, male 143.6
GTEX-1HSKV-0226-SM-A9SKJ 60-69 years, male 143.5
GTEX-1C4CL-0526-SM-73KVK 30-39 years, male 143.4
GTEX-1H1DG-0126-SM-9WYU2 70-79 years, male 143.3
GTEX-1192W-2626-SM-5Q5AF 60-69 years, male 142.8
GTEX-1B8L1-2526-SM-9WYTF 60-69 years, male 142.8
GTEX-1JMQJ-0526-SM-CYPSU 50-59 years, male 142.8
GTEX-13D11-2426-SM-5KM1V 50-59 years, female 142.7
GTEX-14PJM-0226-SM-62LF1 50-59 years, female 142.7
GTEX-RWSA-0126-SM-2XCBB 40-49 years, male 142.6
GTEX-145MN-2226-SM-5SIAU 30-39 years, male 142.5
GTEX-14BMV-0126-SM-5S2PO 50-59 years, male 142.4
GTEX-SJXC-0126-SM-2XCFF 60-69 years, male 142.4
GTEX-1R46S-0626-SM-E9J41 60-69 years, female 142.4
GTEX-1HCU7-0226-SM-CL545 50-59 years, male 142.2
GTEX-148VI-1626-SM-5SI6E 60-69 years, female 142.0
GTEX-WH7G-2326-SM-3NMBC 40-49 years, male 141.8
GTEX-1IL2U-0226-SM-CE6T8 60-69 years, male 141.6
GTEX-1QP66-1726-SM-E8VO1 50-59 years, male 141.6
GTEX-S7SE-0126-SM-2XCD5 50-59 years, male 141.4
GTEX-1C6VQ-0126-SM-7P8RI 50-59 years, male 141.3
GTEX-12ZZX-0126-SM-5EGK9 40-49 years, female 141.2
GTEX-1399T-2826-SM-5KLYZ 60-69 years, male 141.1
GTEX-PLZ6-1426-SM-DKPOT 30-39 years, male 141.1
GTEX-13JUV-2726-SM-5LZZ8 40-49 years, female 140.9
GTEX-12ZZY-0226-SM-5LZVE 60-69 years, male 140.8
GTEX-13X6J-0126-SM-5QGOU 50-59 years, male 140.8
GTEX-T2IS-0126-SM-4DM6O 20-29 years, female 140.8
GTEX-T6MO-1626-SM-32QOM 40-49 years, female 140.5
GTEX-11DXW-0226-SM-5H122 40-49 years, male 140.4
GTEX-139T8-0126-SM-5K7XZ 60-69 years, male 140.0
GTEX-13NYB-2526-SM-5K7Z6 40-49 years, male 139.9
GTEX-ZAK1-0126-SM-5IJD3 50-59 years, female 139.8
GTEX-12WSC-0126-SM-5EQ4P 50-59 years, male 139.6
GTEX-1QP9N-1426-SM-DTXFL 30-39 years, male 139.5
GTEX-1S3DN-2226-SM-EVYCD 50-59 years, male 139.5
GTEX-131XH-2226-SM-5DUXJ 50-59 years, male 139.4
GTEX-ZE7O-0126-SM-57WC1 50-59 years, female 139.2
GTEX-11GS4-2726-SM-5A5LE 60-69 years, male 139.0
GTEX-145LT-1726-SM-5QGP3 40-49 years, male 139.0
GTEX-183FY-0126-SM-7LT9P 20-29 years, male 139.0
GTEX-1EU9M-0226-SM-7P8SP 60-69 years, male 139.0
GTEX-13OVH-0126-SM-5MR4B 70-79 years, male 138.9
GTEX-1GN73-0226-SM-9WG67 60-69 years, male 138.7
GTEX-1A3MV-1926-SM-718BT 30-39 years, male 138.6
GTEX-T5JW-1626-SM-3GADZ 20-29 years, female 138.5
GTEX-Y111-0126-SM-4SOIV 50-59 years, male 138.2
GTEX-VJWN-0126-SM-3GIK7 50-59 years, female 137.9
GTEX-1JMQI-2226-SM-CM2SD 50-59 years, male 137.9
GTEX-1GF9X-2026-SM-7PC3A 40-49 years, female 137.8
GTEX-146FQ-0126-SM-5NQA9 30-39 years, male 137.7
GTEX-15RIG-0226-SM-7KFTL 40-49 years, male 137.7
GTEX-RM2N-1426-SM-2TF4H 50-59 years, male 137.4
GTEX-1LB8K-0226-SM-EWRNW 50-59 years, male 137.4
GTEX-117XS-2726-SM-5N9BL 60-69 years, male 137.3
GTEX-13G51-2526-SM-5LZYK 60-69 years, male 137.3
GTEX-1KAFJ-2026-SM-CY8ID 50-59 years, male 137.3
GTEX-16AAH-1726-SM-7939C 50-59 years, male 136.9
GTEX-WFON-2126-SM-3LK7O 40-49 years, male 136.9
GTEX-1AX9J-0226-SM-73KXM 60-69 years, male 136.6
GTEX-1QMI2-0226-SM-EVYBX 60-69 years, male 136.5
GTEX-17EUY-0426-SM-793BD 20-29 years, male 136.4
GTEX-Q2AI-1326-SM-2S1PL 40-49 years, male 136.3
GTEX-1212Z-2526-SM-5EGKP 60-69 years, male 136.2
GTEX-1JMQK-0226-SM-CL543 60-69 years, male 136.2
GTEX-1IKK5-0626-SM-ARL8A 60-69 years, male 136.1
GTEX-1O97I-0326-SM-EYYX7 60-69 years, male 136.1
GTEX-145LV-2126-SM-5LU8N 50-59 years, male 135.9
GTEX-1MUQO-0126-SM-EAZ58 60-69 years, male 135.7
GTEX-13VXU-0126-SM-5SI9F 50-59 years, male 135.2
GTEX-1IGQW-0126-SM-COH42 60-69 years, male 135.1
GTEX-17HHE-2026-SM-79OKF 50-59 years, male 135.0
GTEX-SUCS-1926-SM-32PM3 70-79 years, male 134.9
GTEX-1192X-0226-SM-5H12D 50-59 years, male 134.8
GTEX-18A66-0226-SM-718BD 60-69 years, male 134.8
GTEX-1M5QR-1226-SM-EWROB 40-49 years, male 134.8
GTEX-TML8-1926-SM-32QOS 40-49 years, female 134.7
GTEX-1JMPY-1326-SM-ARL8Y 30-39 years, male 134.7
GTEX-11P82-1626-SM-59879 20-29 years, male 134.5
GTEX-OXRN-0126-SM-48TDM 50-59 years, male 134.3
GTEX-1C6VR-2426-SM-79OLD 60-69 years, male 134.2
GTEX-X585-0226-SM-4QAS2 50-59 years, male 134.1
GTEX-WQUQ-0426-SM-3MJFU 60-69 years, male 134.0
GTEX-1RAZA-0126-SM-E6CI3 20-29 years, male 133.9
GTEX-145ME-1826-SM-5SI9G 40-49 years, female 133.8
GTEX-QDVN-2026-SM-3GAEP 50-59 years, male 133.7
GTEX-Y8E4-0626-SM-4WWDL 40-49 years, male 133.7
GTEX-XUZC-1726-SM-4BRWS 30-39 years, female 133.6
GTEX-133LE-1826-SM-5J1MV 20-29 years, female 133.5
GTEX-13111-1626-SM-5EGJY 50-59 years, male 133.3
GTEX-1LGRB-2526-SM-CNPPQ 50-59 years, female 133.3
GTEX-ZU9S-0226-SM-5E441 30-39 years, male 133.2
GTEX-1HSMQ-1226-SM-CGQFX 50-59 years, male 133.2
GTEX-1S83E-0126-SM-EWRO4 40-49 years, male 133.1
GTEX-1S82Y-2026-SM-EVYCM 40-49 years, male 133.0
GTEX-1F75A-0126-SM-7RHGM 50-59 years, male 132.7
GTEX-11OF3-2626-SM-5GU7F 60-69 years, male 132.5
GTEX-1314G-1526-SM-5EGK2 30-39 years, male 132.1
GTEX-1HB9E-0226-SM-E9U4R 50-59 years, male 132.1
GTEX-WYVS-2126-SM-3NMA3 40-49 years, female 132.0
GTEX-1269C-2526-SM-5EGJ3 60-69 years, female 131.9
GTEX-144GL-0126-SM-5TDE2 50-59 years, male 131.8
GTEX-1CAMR-1926-SM-7EPI2 20-29 years, male 131.8
GTEX-1JMLX-0226-SM-CM2RO 50-59 years, male 131.8
GTEX-1JN76-0126-SM-CNPPE 20-29 years, female 131.8
GTEX-1KD5A-0226-SM-D5OV3 50-59 years, male 131.5
GTEX-1B8KZ-2026-SM-7DHMB 50-59 years, male 131.2
GTEX-XMD2-0126-SM-4YCDU 60-69 years, female 131.2
GTEX-145LU-0126-SM-5TDCB 50-59 years, male 131.1
GTEX-ZZ64-1726-SM-5GZYB 20-29 years, male 131.1
GTEX-WYJK-0126-SM-3NMAB 50-59 years, male 130.8
GTEX-ZF29-2326-SM-DO92K 60-69 years, female 130.8
GTEX-WVJS-0126-SM-4MVOT 50-59 years, male 130.6
GTEX-1I19N-0326-SM-ACKVX 70-79 years, male 130.6
GTEX-15DYW-0126-SM-7KULE 60-69 years, female 130.4
GTEX-15EU6-0426-SM-6PAN5 50-59 years, male 130.4
GTEX-11TT1-2526-SM-5EGIB 20-29 years, male 130.3
GTEX-14C5O-0126-SM-5SI6N 60-69 years, male 130.3
GTEX-ZY6K-1826-SM-5GZXK 50-59 years, male 130.2
GTEX-SIU8-0126-SM-2XCDT 50-59 years, male 130.1
GTEX-WRHK-1426-SM-3MJF9 20-29 years, female 129.9
GTEX-13SLW-0126-SM-5SI6C 70-79 years, male 129.8
GTEX-PLZ4-0126-SM-5SI8O 50-59 years, female 129.8
GTEX-13NZB-2526-SM-5J1OM 30-39 years, male 129.7
GTEX-1F7RK-0126-SM-7PC2S 20-29 years, female 129.7
GTEX-1B933-0126-SM-7PC29 50-59 years, female 129.6
GTEX-144FL-0126-SM-5TDC8 50-59 years, male 129.4
GTEX-YB5K-2126-SM-4WWDJ 40-49 years, female 129.4
GTEX-11EQ9-2426-SM-5HL5T 30-39 years, male 129.3
GTEX-X4XX-0126-SM-3NMC2 60-69 years, male 129.3
GTEX-OHPL-0126-SM-2HMJ7 60-69 years, female 129.0
GTEX-1GPI7-0126-SM-9MQL8 20-29 years, male 128.9
GTEX-1QCLY-0326-SM-E8VOG 30-39 years, male 128.9
GTEX-1A32A-0126-SM-718B1 50-59 years, female 128.7
GTEX-11P7K-2126-SM-5GU7G 30-39 years, male 128.6
GTEX-1RDX4-0126-SM-E9J4P 50-59 years, female 128.6
GTEX-1S82Z-0826-SM-E6CHY 30-39 years, female 128.5
GTEX-111VG-2426-SM-5GZXD 60-69 years, male 128.4
GTEX-132NY-0326-SM-5IJBL 60-69 years, male 128.4
GTEX-13OVJ-0126-SM-5KM36 50-59 years, female 128.4
GTEX-13IVO-0126-SM-5J1NG 70-79 years, male 128.1
GTEX-13OW7-0126-SM-5MR3B 50-59 years, male 127.9
GTEX-13SLX-0526-SM-5S2ON 50-59 years, female 127.9
GTEX-11O72-0126-SM-59887 40-49 years, male 127.8
GTEX-TKQ1-1026-SM-4GICL 30-39 years, male 127.8
GTEX-15F5U-1526-SM-6PANO 40-49 years, male 127.7
GTEX-1F48J-0126-SM-7P8TT 50-59 years, female 127.6
GTEX-OXRK-0226-SM-3NB2G 50-59 years, female 127.4
GTEX-13W46-0226-SM-5SIAG 50-59 years, male 127.3
GTEX-Q734-1926-SM-2I5EV 40-49 years, female 127.1
GTEX-1E1VI-0126-SM-7DHMZ 50-59 years, male 126.9
GTEX-1M4P7-0226-SM-DIPEV 60-69 years, male 126.9
GTEX-1MA7W-2026-SM-E9TJ6 20-29 years, female 126.7
GTEX-15D1Q-0126-SM-7KUG6 40-49 years, male 126.1
GTEX-1J1OQ-0226-SM-CYPSH 40-49 years, female 126.0
GTEX-1C6WA-0126-SM-7PC2B 60-69 years, male 125.9
GTEX-13N1W-0126-SM-5K7VT 70-79 years, male 125.5
GTEX-1A3MX-0126-SM-731BR 60-69 years, male 125.5
GTEX-13FHO-0226-SM-5IFGY 60-69 years, male 125.4
GTEX-14JG1-0426-SM-6ETZZ 40-49 years, male 125.4
GTEX-W5WG-1826-SM-4KL2Y 50-59 years, female 125.4
GTEX-YJ8A-0426-SM-5IFID 20-29 years, male 125.4
GTEX-11P81-2326-SM-59875 30-39 years, female 125.1
GTEX-XAJ8-0826-SM-47JY6 40-49 years, male 125.0
GTEX-1I1CD-0126-SM-CM2TK 60-69 years, female 124.9
GTEX-13OVL-0226-SM-5L3E9 50-59 years, male 124.8
GTEX-U3ZH-2026-SM-3DB78 30-39 years, male 124.7
GTEX-1KWVE-1426-SM-E9TJO 30-39 years, male 124.7
GTEX-13RTK-1426-SM-5QGQJ 20-29 years, male 124.5
GTEX-1HCU9-1526-SM-A9SL7 20-29 years, male 124.3
GTEX-1I1GP-2226-SM-CGQFK 50-59 years, male 124.3
GTEX-13OW6-0426-SM-5L3HM 50-59 years, male 124.2
GTEX-11ZVC-2526-SM-5FQTE 50-59 years, female 124.1
GTEX-ZDTT-2726-SM-4WKF8 60-69 years, male 124.1
GTEX-1I6K6-0126-SM-A9SLE 30-39 years, male 124.1
GTEX-14DAR-2026-SM-5S2O3 50-59 years, male 124.0
GTEX-1LG7Y-0526-SM-DKPQC 50-59 years, male 124.0
GTEX-1AYCT-2426-SM-7IGQ3 50-59 years, male 123.8
GTEX-111FC-0126-SM-5N9DL 60-69 years, male 123.7
GTEX-13N2G-2626-SM-5J1OT 60-69 years, male 123.7
GTEX-1IDFM-0126-SM-COH2V 60-69 years, male 123.5
GTEX-1F6I4-0126-SM-9MQL2 60-69 years, male 123.4
GTEX-TMZS-0126-SM-3DB9Q 60-69 years, male 123.1
GTEX-11EI6-0126-SM-5985R 60-69 years, male 122.9
GTEX-139TT-0126-SM-5K7Y5 60-69 years, male 122.9
GTEX-1H11D-0226-SM-9WG6Z 40-49 years, male 122.9
GTEX-13PVR-2326-SM-5QGR1 60-69 years, female 122.6
GTEX-145MI-0526-SM-5O9A8 60-69 years, female 122.4
GTEX-1H3VY-0126-SM-ACKXD 50-59 years, male 122.4
GTEX-1LVAN-0226-SM-COH3S 50-59 years, female 122.4
GTEX-VUSG-2526-SM-4KL1V 50-59 years, male 122.1
GTEX-X5EB-2226-SM-46MW4 40-49 years, male 121.8
GTEX-ZYW4-0126-SM-5E44A 60-69 years, male 121.6
GTEX-144GN-2326-SM-5LU4F 50-59 years, male 121.4
GTEX-1F5PL-0326-SM-7P8PQ 40-49 years, female 121.4
GTEX-13QJ3-0326-SM-5S2RA 50-59 years, male 121.3
GTEX-1B996-0226-SM-7RHGO 60-69 years, male 121.3
GTEX-1H1DE-2126-SM-9WG6R 20-29 years, male 121.2
GTEX-1N2DV-0226-SM-E6CJ6 40-49 years, male 121.2
GTEX-1JMPZ-0226-SM-CNPP1 30-39 years, male 121.1
GTEX-11ZU8-2526-SM-5EQKI 60-69 years, male 121.0
GTEX-11TTK-0126-SM-5987B 60-69 years, female 120.9
GTEX-16MT8-0426-SM-7KUEY 60-69 years, female 120.8
GTEX-QDVJ-1726-SM-2I5FX 50-59 years, male 120.6
GTEX-QLQ7-1626-SM-2S1R8 60-69 years, male 120.6
GTEX-1I1GS-0126-SM-B2LVW 60-69 years, male 120.5
GTEX-XQ8I-0426-SM-4BOPO 50-59 years, male 120.3
GTEX-1KXAM-2226-SM-CYPTC 60-69 years, male 120.3
GTEX-13N11-2526-SM-5K7UE 50-59 years, female 120.2
GTEX-13X6I-0626-SM-5QGP9 60-69 years, male 120.1
GTEX-147GR-0526-SM-5S2MY 60-69 years, male 120.1
GTEX-14LLW-0126-SM-6LLIO 70-79 years, female 120.1
GTEX-1IKOH-0226-SM-COH4E 60-69 years, female 120.1
GTEX-RU72-0926-SM-2TF6B 50-59 years, female 120.0
GTEX-ZXG5-0126-SM-5GIEU 60-69 years, male 120.0
GTEX-QCQG-1726-SM-3GIJ9 50-59 years, female 119.9
GTEX-ZYFC-0226-SM-5NQ75 50-59 years, male 119.9
GTEX-1MA7X-2226-SM-E6CIY 60-69 years, male 119.8
GTEX-11GSO-2426-SM-5A5LY 60-69 years, male 119.6
GTEX-139TU-0126-SM-5K7WH 60-69 years, male 119.6
GTEX-1HBPN-0226-SM-9YFM1 50-59 years, male 119.6
GTEX-16YQH-0126-SM-7DUFJ 30-39 years, male 119.2
GTEX-1R9K4-0126-SM-DTX9X 60-69 years, male 119.2
GTEX-PWCY-1826-SM-DHXIZ 20-29 years, female 119.2
GTEX-X4EP-0126-SM-3P5YV 60-69 years, female 119.0
GTEX-17F96-1626-SM-7DUFL 70-79 years, male 118.7
GTEX-18A67-0126-SM-7LG5P 50-59 years, male 118.6
GTEX-1F5PK-2426-SM-7RHHY 50-59 years, male 118.4
GTEX-SE5C-1626-SM-2XCE3 40-49 years, female 118.4
GTEX-ZQUD-1426-SM-57WER 30-39 years, male 118.3
GTEX-ZVE2-0226-SM-59HJB 50-59 years, male 118.3
GTEX-PWO3-1526-SM-48TCM 60-69 years, female 118.2
GTEX-14DAQ-0126-SM-5S2MQ 60-69 years, female 118.1
GTEX-Y5V5-2326-SM-4V6GA 60-69 years, female 118.1
GTEX-ZAJG-0126-SM-5HL94 50-59 years, female 118.1
GTEX-XBED-2226-SM-47JYQ 60-69 years, male 118.0
GTEX-XPVG-2626-SM-4B669 50-59 years, male 117.9
GTEX-1R7EU-0226-SM-EVR4G 60-69 years, male 117.6
GTEX-1CB4I-0226-SM-79OLH 50-59 years, male 116.6
GTEX-1ICG6-2526-SM-CGQFZ 70-79 years, female 116.6
GTEX-17MFQ-1726-SM-793C7 20-29 years, male 116.3
GTEX-YEC4-2126-SM-5IFJH 40-49 years, male 116.3
GTEX-1C64O-0126-SM-7SB8P 60-69 years, male 116.2
GTEX-QVJO-1626-SM-2S1QW 60-69 years, female 116.1
GTEX-XUW1-0426-SM-4BOOT 50-59 years, female 116.1
GTEX-1H1E6-1726-SM-ACKVK 30-39 years, male 116.0
GTEX-ZQG8-1626-SM-DHXIT 60-69 years, female 116.0
GTEX-1JKYR-0126-SM-CNPOJ 20-29 years, male 115.9
GTEX-11EM3-2426-SM-59861 20-29 years, female 115.8
GTEX-1I1GT-0626-SM-CGQER 60-69 years, female 115.5
GTEX-P4PQ-0126-SM-2S1NM 60-69 years, male 115.4
GTEX-1R7EV-2426-SM-EVYBG 40-49 years, male 115.4
GTEX-13NZA-0226-SM-5K7Z7 60-69 years, male 115.3
GTEX-1GL5R-1826-SM-9KNUY 50-59 years, male 115.3
GTEX-14E7W-0126-SM-6LLJ9 70-79 years, male 115.2
GTEX-1ICLY-0126-SM-D4P36 50-59 years, male 115.2
GTEX-1RLM8-2326-SM-EWRN4 50-59 years, male 115.2
GTEX-OHPM-0126-SM-2YUN9 50-59 years, male 115.1
GTEX-ZVT2-2526-SM-51MT1 50-59 years, female 115.1
GTEX-14BIM-0226-SM-7IGLD 60-69 years, female 115.0
GTEX-ZAB4-0226-SM-5N9F5 40-49 years, male 114.9
GTEX-131XG-2626-SM-5KM17 50-59 years, female 114.8
GTEX-1F88F-2726-SM-7PBZZ 60-69 years, female 114.7
GTEX-TSE9-0126-SM-3DB83 60-69 years, female 114.5
GTEX-1C2JI-1826-SM-73KXC 50-59 years, male 114.4
GTEX-1PPH7-2326-SM-EVYB8 40-49 years, male 114.4
GTEX-1J8QM-2126-SM-CYPSJ 60-69 years, female 114.2
GTEX-16NPX-0226-SM-79OMT 50-59 years, male 114.0
GTEX-1C64N-0126-SM-793D7 50-59 years, male 113.8
GTEX-11NUK-0126-SM-5A5L3 50-59 years, male 113.6
GTEX-1RQEC-0426-SM-E6CHU 60-69 years, male 113.5
GTEX-PLZ5-2026-SM-2S1O4 50-59 years, male 113.2
GTEX-14PN3-2426-SM-6LLHS 60-69 years, female 113.0
GTEX-XXEK-2226-SM-4BRUM 50-59 years, male 113.0
GTEX-12WSD-0126-SM-59HKN 60-69 years, female 112.8
GTEX-OIZF-0126-SM-7SB8I 60-69 years, male 112.8
GTEX-1HUB1-0426-SM-E9U4U 60-69 years, male 112.6
GTEX-1KANB-0526-SM-E6CJH 50-59 years, male 112.6
GTEX-11GSP-2526-SM-5N9BP 60-69 years, female 112.2
GTEX-1C6VS-0526-SM-7DUEN 60-69 years, male 112.2
GTEX-ZVZP-2426-SM-59HKJ 50-59 years, male 112.1
GTEX-ZC5H-0226-SM-4WAY9 40-49 years, female 111.8
GTEX-14BIL-0126-SM-5SI92 50-59 years, male 111.6
GTEX-13RTJ-2426-SM-5S2Q2 60-69 years, male 111.5
GTEX-11LCK-1026-SM-5A5KB 30-39 years, male 111.1
GTEX-R55E-0126-SM-2TC5Y 20-29 years, male 111.1
GTEX-Z93T-0126-SM-5HL5N 50-59 years, male 111.1
GTEX-1J8EW-0126-SM-CJI4F 60-69 years, female 111.1
GTEX-14PJ3-1826-SM-62LEX 50-59 years, male 110.3
GTEX-13OVG-1926-SM-5L3DK 60-69 years, male 110.2
GTEX-17EVQ-0226-SM-7LG4P 70-79 years, male 109.9
GTEX-18A7B-0126-SM-7LG64 70-79 years, male 109.9
GTEX-XUYS-0126-SM-47JWZ 50-59 years, male 109.6
GTEX-Y3I4-2126-SM-4TT7C 50-59 years, male 109.6
GTEX-RUSQ-1526-SM-2TF62 50-59 years, male 109.5
GTEX-1A8FM-0226-SM-7SB7Q 50-59 years, female 109.1
GTEX-17HGU-0226-SM-7DHKV 50-59 years, male 109.0
GTEX-1HCU8-0626-SM-A9SM9 60-69 years, female 109.0
GTEX-13OVI-1426-SM-5L3EY 60-69 years, female 108.9
GTEX-RN64-0126-SM-2TC68 50-59 years, male 108.8
GTEX-1MGNQ-0126-SM-EVYCJ 40-49 years, male 108.7
GTEX-17F97-0326-SM-7LG5B 50-59 years, male 108.6
GTEX-13RTL-0126-SM-7LG5S 40-49 years, male 108.4
GTEX-1EKGG-0226-SM-9WYTH 60-69 years, male 108.4
GTEX-17F98-0626-SM-79OMX 40-49 years, female 108.3
GTEX-1PFEY-1526-SM-E76PP 30-39 years, male 108.3
GTEX-WY7C-2326-SM-3NB2U 50-59 years, male 108.2
GTEX-14JG6-2226-SM-6EU2G 30-39 years, female 108.0
GTEX-VJYA-1126-SM-3GIJU 60-69 years, male 108.0
GTEX-1AX9K-2326-SM-73KWU 50-59 years, male 107.9
GTEX-1J1R8-1726-SM-ARL8M 40-49 years, male 107.7
GTEX-12WSA-0226-SM-5BC5V 60-69 years, male 107.5
GTEX-ZAB5-1826-SM-5HL7C 50-59 years, male 107.0
GTEX-WZTO-0126-SM-3NM95 40-49 years, male 106.9
GTEX-1J8Q2-0526-SM-CM2RW 60-69 years, male 106.8
GTEX-13O3Q-2426-SM-5IJBR 50-59 years, male 106.7
GTEX-14LZ3-0226-SM-62LET 60-69 years, female 106.2
GTEX-13O21-1426-SM-5K7XI 50-59 years, male 106.0
GTEX-15SDE-2226-SM-7IGLO 50-59 years, female 106.0
GTEX-1R9PO-2126-SM-E9J4O 60-69 years, female 106.0
GTEX-ZTSS-1926-SM-57WEW 40-49 years, male 105.4
GTEX-147F3-0526-SM-5SI98 50-59 years, female 105.2
GTEX-14PJ6-2126-SM-6EU1V 60-69 years, female 105.2
GTEX-ZYFG-2326-SM-5E44B 60-69 years, female 105.2
GTEX-12WSN-5019-SM-79OM6 40-49 years, male 105.1
GTEX-ZZPT-0226-SM-5E43X 50-59 years, male 105.1
GTEX-SSA3-0126-SM-32QPU 60-69 years, male 104.8
GTEX-1MCQQ-0826-SM-DLHC2 60-69 years, male 104.8
GTEX-RNOR-0126-SM-E9J4R 50-59 years, female 104.8
GTEX-1CAMQ-0226-SM-7IGPK 40-49 years, male 104.7
GTEX-1K2DU-2326-SM-E9TIV 20-29 years, male 104.5
GTEX-1S5ZA-0126-SM-EVYCV 20-29 years, male 104.2
GTEX-1J8Q3-1626-SM-CMKGC 60-69 years, male 103.8
GTEX-14JIY-0126-SM-6LLH6 60-69 years, male 103.5
GTEX-1HSEH-0126-SM-ACKXN 60-69 years, male 103.5
GTEX-1GPI6-0126-SM-9WG69 60-69 years, male 102.7
GTEX-V1D1-2226-SM-3NMAX 50-59 years, male 102.2
GTEX-1IE54-0126-SM-CMKHW 40-49 years, female 102.1
GTEX-1LNCM-1126-SM-E9U5E 50-59 years, female 102.1
GTEX-1QP29-0626-SM-EWRMX 50-59 years, male 102.0
GTEX-16BQI-0226-SM-7KUEX 30-39 years, female 101.8
GTEX-1H3NZ-0126-SM-ACKX7 60-69 years, male 101.7
GTEX-RWS6-2026-SM-2XCB5 60-69 years, female 101.3
GTEX-1F75I-0326-SM-9YFLU 40-49 years, male 101.2
GTEX-15DCD-0126-SM-7KUEK 70-79 years, female 100.8
GTEX-13VXT-0126-SM-5LU4I 20-29 years, female 100.7
GTEX-ZYY3-0126-SM-5GZY5 60-69 years, female 100.5
GTEX-1GN1V-0126-SM-9WPOS 60-69 years, male 100.3
GTEX-ZXES-1826-SM-5E43S 30-39 years, female 100.1
GTEX-X62O-0126-SM-4E3JN 50-59 years, male 99.8
GTEX-Z9EW-1626-SM-5CVMN 40-49 years, male 99.7
GTEX-18D9B-0526-SM-7LTAS 60-69 years, male 99.6
GTEX-13O3O-0126-SM-E9J49 60-69 years, female 99.6
GTEX-1HKZK-0326-SM-9WYUH 40-49 years, male 99.6
GTEX-Q2AG-0126-SM-33HBV 40-49 years, female 99.5
GTEX-QLQW-1126-SM-2S1Q8 30-39 years, male 98.8
GTEX-11OC5-0126-SM-5HL6A 60-69 years, male 98.7
GTEX-147F4-0226-SM-5QGPW 50-59 years, male 98.7
GTEX-14ABY-0226-SM-5TDCQ 50-59 years, male 98.7
GTEX-Q2AH-1626-SM-3GAF8 40-49 years, male 98.4
GTEX-1JKYN-1326-SM-CGQG9 30-39 years, male 98.3
GTEX-11VI4-1726-SM-5CVLH 40-49 years, female 98.2
GTEX-14A6H-0126-SM-5QGPK 30-39 years, male 98.1
GTEX-TMMY-0226-SM-33HBA 40-49 years, female 97.7
GTEX-11ZTS-0126-SM-5EQ6M 60-69 years, female 97.5
GTEX-11DXY-2626-SM-5GIE7 60-69 years, male 97.4
GTEX-1HFI7-1826-SM-ACKXH 50-59 years, female 97.4
GTEX-1QEPI-0126-SM-EWRMQ 60-69 years, female 97.2
GTEX-11ZTT-2426-SM-5EQLS 60-69 years, female 96.6
GTEX-1I1GU-2226-SM-CGQFA 40-49 years, male 96.3
GTEX-PW2O-1526-SM-7RHHB 20-29 years, male 96.2
GTEX-1HSMP-0126-SM-E6CJS 70-79 years, male 96.1
GTEX-1LC47-0326-SM-E9TJP 60-69 years, male 95.7
GTEX-1IY9M-0126-SM-D3L8S 60-69 years, male 95.6
GTEX-R45C-0126-SM-EAZ2R 60-69 years, female 95.6
GTEX-1QP2A-0126-SM-E9J43 50-59 years, male 95.4
GTEX-11EMC-2926-SM-5EQ4F 60-69 years, female 94.9
GTEX-11ZUS-0626-SM-59885 30-39 years, male 94.9
GTEX-QDT8-0126-SM-48TZ1 30-39 years, female 94.9
GTEX-1GF9U-2126-SM-7SB7L 40-49 years, female 94.9
GTEX-1GN1W-0526-SM-9MQJQ 50-59 years, female 94.8
GTEX-16XZY-2126-SM-79OK1 70-79 years, male 94.6
GTEX-13FH7-2026-SM-E9J4I 50-59 years, female 94.6
GTEX-12C56-1726-SM-5EQ61 20-29 years, male 94.4
GTEX-18D9U-0226-SM-718BP 40-49 years, male 94.2
GTEX-ZEX8-2426-SM-4WKG4 50-59 years, male 94.2
GTEX-14A5H-0426-SM-5QGQF 60-69 years, male 94.0
GTEX-U4B1-1826-SM-4DXSU 40-49 years, male 94.0
GTEX-1OJC4-0126-SM-E9J2E 50-59 years, female 93.5
GTEX-1QP67-1626-SM-EAZ3X 40-49 years, female 93.1
GTEX-1KANA-0726-SM-D3L9I 20-29 years, male 93.0
GTEX-1LH75-2426-SM-E9TJE 50-59 years, female 92.9
GTEX-1128S-2326-SM-5GZZY 60-69 years, female 92.8
GTEX-1GTWX-0126-SM-9YFLK 60-69 years, male 92.8
GTEX-1JK1U-2026-SM-CM2RZ 60-69 years, male 92.5
GTEX-13FTY-0526-SM-5L3EV 40-49 years, female 91.4
GTEX-ZVT3-0126-SM-5GU6I 60-69 years, female 91.4
GTEX-139T4-0226-SM-5HL5S 50-59 years, female 91.1
GTEX-S95S-1226-SM-4GICG 60-69 years, male 91.1
GTEX-WOFL-0126-SM-3MJG2 60-69 years, male 91.0
GTEX-1MCYP-1926-SM-E9J2R 20-29 years, female 90.9
GTEX-11DXX-2426-SM-5GZZW 60-69 years, female 90.6
GTEX-OXRL-0126-SM-2YUMP 50-59 years, male 90.3
GTEX-1AMEY-1326-SM-73KYK 30-39 years, female 89.8
GTEX-1IL2V-0126-SM-CM2TX 70-79 years, male 89.7
GTEX-1RAZQ-0726-SM-EAZ43 30-39 years, male 89.3
GTEX-1I1GQ-0126-SM-COH3H 50-59 years, male 88.7
GTEX-1F52S-0126-SM-9MQJU 60-69 years, female 88.6
GTEX-1JJE9-0326-SM-CL53Z 70-79 years, male 88.4
GTEX-14PHW-0126-SM-6LLJI 60-69 years, female 87.7
GTEX-1IDJU-2626-SM-CM2RT 60-69 years, female 87.1
GTEX-16NGA-1726-SM-731B4 40-49 years, female 86.9
GTEX-1HBPH-0426-SM-B2LW5 40-49 years, female 86.7
GTEX-1PBJI-0526-SM-E8VNK 20-29 years, female 86.7
GTEX-15CHC-2126-SM-6EU21 60-69 years, female 86.4
GTEX-1H23P-0126-SM-ADEJ3 60-69 years, male 85.3
GTEX-1NHNU-1026-SM-E9J2A 50-59 years, male 85.1
GTEX-1EN7A-0126-SM-7SB81 40-49 years, male 84.4
GTEX-ZPIC-1726-SM-DHXIU 40-49 years, female 83.7
GTEX-11NSD-2226-SM-5986V 20-29 years, male 83.6
GTEX-U3ZM-1526-SM-3DB9D 40-49 years, male 82.9
GTEX-XV7Q-2526-SM-4BRV9 40-49 years, female 82.8
GTEX-1QW4Y-1526-SM-EAZ3Z 30-39 years, male 82.4
GTEX-R3RS-0126-SM-3GIJL 40-49 years, female 82.2
GTEX-Y8LW-1826-SM-5S2MV 50-59 years, female 82.2
GTEX-14PK6-1926-SM-6ETZU 70-79 years, female 81.4
GTEX-X638-0126-SM-47JZ8 70-79 years, female 81.3
GTEX-1H1ZS-0426-SM-9WG6G 70-79 years, male 81.3
GTEX-ZUA1-0126-SM-5GU76 40-49 years, male 80.4
GTEX-13W3W-2426-SM-5LU5B 60-69 years, female 80.0
GTEX-13OW8-1326-SM-5J1OW 60-69 years, male 79.7
GTEX-U3ZN-2326-SM-3DB7W 30-39 years, female 79.6
GTEX-1HCVE-0126-SM-CGQEU 50-59 years, male 78.6
GTEX-1AMFI-2026-SM-731BH 50-59 years, female 78.5
GTEX-ZDXO-3026-SM-5J1N5 60-69 years, male 76.7
GTEX-Y5V6-2426-SM-4VDSB 60-69 years, male 76.1
GTEX-169BO-1326-SM-9MQK2 50-59 years, male 75.4
GTEX-1K9T9-0126-SM-EVYCF 50-59 years, female 75.4
GTEX-R55G-2526-SM-2TC6D 40-49 years, female 75.1
GTEX-ZF28-0126-SM-4WKGK 60-69 years, male 74.0
GTEX-15UKP-0426-SM-7KUFQ 20-29 years, male 73.8
GTEX-113IC-0126-SM-5HL6T 60-69 years, male 71.2
GTEX-146FR-1326-SM-E9J48 60-69 years, female 68.3
GTEX-1I1HK-0126-SM-COH49 60-69 years, male 65.4
GTEX-14XAO-2326-SM-6EU1B 60-69 years, female 59.2
Show allShow less

Contact

  • NEWS ARTICLES
  • PRESS ROOM

The Project

  • INTRODUCTION
  • ORGANIZATION
  • PUBLICATIONS

The Human Protein Atlas

  • DOWNLOADABLE DATA
  • LICENCE & CITATION
  • HELP & FAQ
The Human Protein Atlas project is funded
by the Knut & Alice Wallenberg Foundation.


contact@proteinatlas.org