We use cookies to enhance the usability of our website. If you continue, we'll assume that you are happy to receive all cookies. More information. Don't show this again.
RPS16
HPA
RESOURCES
  • TISSUE
  • BRAIN
  • SINGLE CELL
  • SUBCELLULAR
  • CANCER
  • BLOOD
  • CELL LINE
  • STRUCTURE & INTERACTION
ABOUT
  • INTRODUCTION
  • HISTORY
  • ORGANIZATION
  • PUBLICATIONS
  • ANTIBODY SUBMISSION
  • ANTIBODY AVAILABILITY
  • ACKNOWLEDGMENTS
  • CONTACT
NEWS
  • NEWS ARTICLES
  • PRESS ROOM
LEARN
  • DICTIONARY
  • PROTEIN CLASSES
  • PROTEIN EVIDENCE
  • METHODS
  • EDUCATIONAL VIDEOS
DATA
  • DOWNLOADABLE DATA
  • PUBLICATION DATA
  • RELEASE HISTORY
HELP
  • ANTIBODY VALIDATION
  • ASSAYS & ANNOTATION
  • DISCLAIMER
  • HELP & FAQ
  • PRIVACY STATEMENT
  • LICENCE & CITATION
Fields »
Search result

Field
Term
Gene name
Class
Subclass
Class
Keyword
Chromosome
External id
Tissue
Cell type
Expression
Antibody panel
Tissue
Main location
Patient ID
Annotation
Tissue
Category
Tau score
Cluster
Reliability
Brain region
Category
Tau score
Brain region
Category
Tau score
Brain region
Category
Tau score
Cluster
Reliability
Tissue
Cell type
Enrichment
Cell type
Category
Tau score
Cell type
Category
Tau score
Cell type
Category
Tau score
Cell lineage
Category
Tau score
Cluster
Cluster
Location
Searches
Location
Cell line
Class
Type
Phase
Reliability
Cancer
Prognosis
Cancer
Category
Cancer
Category
Tau score
Cluster
Variants
Interacting gene (ensg_id)
Type
Number of interactions
Pathway
Category
Score
Score
Score
Validation
Validation
Validation
Validation
Antibodies
Data type
Column


  • SUMMARY

  • TISSUE

  • BRAIN

  • SINGLE CELL

  • SUBCELL

  • CANCER

  • BLOOD

  • CELL LINE

  • STRUCT & INT

  • RPS16
BRAIN CEREBELLUM Show tissue menu
AMYGDALA BASAL GANGLIA CEREBELLUM CEREBRAL CORTEX CHOROID PLEXUS HIPPOCAMPAL FORMATION HYPOTHALAMUS MEDULLA OBLONGATA
MIDBRAIN OLFACTORY BULB PITUITARY GLAND PONS RETINA SPINAL CORD THALAMUS WHITE MATTER
ANTIBODIES
AND
VALIDATION
Brain proteome
Cerebellum
CEREBELLUM - Expression summary
Protein expression
Cerebellumi

On the top, protein expression in current human tissue, based on all annotated cell types, is reported with the units not detected (n), low (l), medium (m) and high (h). Underneath, protein expression in each annotated cell type are reported using the same units.

Protein expression data is based on knowledge-based annotation. For genes where more than one antibody has been used, a collective score is set.

If knowledge-based annotation could not be performed for a gene, no data is displayed here. View antibody staining data further down this page.

h
m
l
n
Cells in granular layer: Not detected
Cells in molecular layer: Medium
Purkinje cells: High
RNA expressioni

A summary of mRNA expression data available for current tissue based on several datasets. The mRNA expression levels in human tissues are based on RNA-seq data generated by the Human Protein Atlas (HPA), Genotype-Tissue Expression (GTEx) portal and CAGE data generated by the FANTOM5 consortium. Consensus normalized expression levels for human tissues was created by combining the data from HPA and GTEx datasets.

The mRNA expression levels in pig are based on RNA-seq data generated by the Human Protein Atlas (HPA), and for mouse, HPA data and in situ hybridization generated by the Allen brain atlas are reported.

Scroll down to view mRNA expression data in more detail.
Consensus:604.8 nTPM
HPA Brain:316.2 nTPM
GTEx:604.8 nTPM
FANTOM5:330.9 Scaled Tags Per Million
Pig:0.0 nTPM
Mouse:88.5 nTPM
Allen mouse:4.6 Expression energy

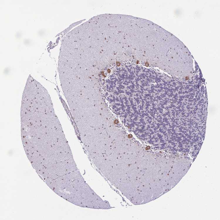
CEREBELLUM - Antibody stainingi

Antibody staining in the annotated cell types in the current human tissue is reported as not detected, low, medium, or high, based on conventional immunohistochemistry profiling in selected tissues. This score is based on the combination of the staining intensity and fraction of stained cells.

Each image is clickable and will lead to virtual microscopy that enables deeper exploration of all samples and also displays staining intensity scores, fraction scores and subcellular localization as well as patient and tissue information for each sample.

Antibody HPA064222
Purkinje cells High
Cells in granular layer Not detected
Cells in molecular layer Medium



CEREBELLUM - HPA Brain RNA-seq
Max subtype nTPMi

Max subtype nTPM is the value for the subtype with the largest average nTPM across the subtype samples.

316.2
Sample id Sample description nTPM
Cerebellar cortex
nTPM: 249.6
1768 Female, age 72, unknown 301.1
1769 Male, age 76, right hemisphere 292.2
2003 Female, age 85, right hemisphere 291.5
1788 Male, age 55, unknown 257.5
2055 Female, age 91, right hemisphere 242.8
2006 Male, age 61, right hemisphere 236.7
1774 Male, age 80, left hemisphere 213.3
2101 Male, age 74, right hemisphere 161.3
Cerebellar nuclei
nTPM: 316.2
2783 Female, age 72, unknown 401.5
2175 Male, age 61, right hemisphere 382.7
2005 Male, age 80, left hemisphere 333.5
1871 Male, age 74, unknown 332.9
2882 Male, age 76, left hemisphere 332.5
1879 Male, age 55, unknown 324.6
1966 Female, age 91, left hemisphere 280.2
2177 Female, age 85, both hemispheres 249.2
2318 Male, age 74, left hemisphere 209.0
Flocculonodular lobe
nTPM: 230.2
1765 Male, age 55, unknown 286.0
1767 Male, age 76, left hemisphere 251.7
1792 Male, age 74, unknown 238.8
2004 Male, age 61, right hemisphere 219.9
2176 Female, age 91, right hemisphere 218.4
1771 Male, age 80, left hemisphere 215.4
1835 Female, age 85, right hemisphere 181.4
Vermis
nTPM: 209.7
1770 Male, age 76, left hemisphere 282.5
1766 Male, age 55, unknown 235.0
1928 Female, age 72, unknown 230.7
1778 Female, age 91, left hemisphere 222.6
1825 Male, age 74, unknown 220.0
2834 Male, age 80, left hemisphere 211.1
1988 Female, age 85, left hemisphere 181.8
1751 Male, age 74, right hemisphere 160.1
2460 Male, age 61, both hemispheres 143.2

CEREBELLUM - GTEx RNA-seqi

RNA-Seq data generated by the Genotype-Tissue Expression (GTEx) project from human tissues is reported as mean nTPM. More information can be found on the GTEx portal.

Distribution across the dataset is visualized with box plots, shown as median and 25th and 75th percentiles. Points are displayed as outliers if they are above or below 1.5 times the interquartile range. nTPM values of the individual samples are presented next to the box plot.
Max subtype nTPMi

Max subtype nTPM is the value for the subtype with the largest average nTPM across the subtype samples.

604.8
GTEx sample id Sample description nTPM
Brain - Cerebellar Hemisphere
Average nTPM: 604.8
Samples: 215

Max nTPM: 1407.3
Min nTPM: 312.4
Std nTPM: 157.3
Median nTPM: 581.9
GTEX-16Z82-0011-R11a-SM-79OKJ 60-69 years, male 1407.3
GTEX-132Q8-0011-R11b-SM-5DUW9 60-69 years, male 1128.6
GTEX-1R9K4-0011-R11a-SM-EZ6N9 60-69 years, male 1093.2
GTEX-1LKK1-0011-R11a-SM-EXOIG 50-59 years, female 1065.1
GTEX-1B933-0011-R11a-SM-7P8PM 50-59 years, female 1030.4
GTEX-1F75W-0011-R11b-SM-AHZ34 60-69 years, male 1005.5
GTEX-13FLV-0011-R11a-SM-5LZZ7 50-59 years, male 1002.2
GTEX-1B8SG-0011-R11a-SM-7P8PF 50-59 years, male 983.7
GTEX-16NPV-0011-R11a-SM-7IGMK 50-59 years, female 951.2
GTEX-ZF28-0011-R11a-SM-4WWEI 60-69 years, male 939.4
GTEX-1I19N-0011-R11b-SM-ARU6Y 70-79 years, male 931.1
GTEX-1JJ6O-0011-R11b-SM-EXUS2 60-69 years, male 929.2
GTEX-NL4W-0011-R11A-SM-2I3DW 50-59 years, male 909.8
GTEX-13X6J-0011-R11a-SM-5P9HE 50-59 years, male 892.0
GTEX-XMD1-0011-R11A-SM-4AT5J 60-69 years, male 880.6
GTEX-N7MS-0011-R11A-SM-2HMJS 60-69 years, male 840.4
GTEX-14C39-0011-R11b-SM-5YYAF 40-49 years, male 833.0
GTEX-1IOXB-0011-R11a-SM-A9G1X 50-59 years, male 827.8
GTEX-1CAV2-0011-R11a-SM-ARU8D 40-49 years, female 805.2
GTEX-1J8Q2-0011-R11a-SM-A9SKI 60-69 years, male 799.2
GTEX-1313W-0011-R11a-SM-5DUXN 50-59 years, female 791.4
GTEX-11DZ1-0011-R11b-SM-DO11W 50-59 years, male 778.5
GTEX-145MI-0011-R11a-SM-5P9JZ 60-69 years, female 775.1
GTEX-1H3VE-0011-R11b-SM-C1YRP 40-49 years, male 774.7
GTEX-11ZUS-0011-R11b-SM-5BC7B 30-39 years, male 764.6
GTEX-1JMOU-0011-R11b-SM-EXUTA 60-69 years, female 758.1
GTEX-139UW-0011-R11a-SM-5IJGN 60-69 years, male 757.8
GTEX-13NYS-0011-R11b-SM-5MR4P 60-69 years, male 757.7
GTEX-17EVP-0011-R11a-SM-7EWDL 40-49 years, male 753.7
GTEX-13JUV-0011-R11a-SM-5LZYH 40-49 years, female 751.2
GTEX-17EVQ-0011-R11a-SM-7LT9C 70-79 years, male 751.2
GTEX-NPJ8-0011-R11A-SM-2YUMS 40-49 years, male 745.8
GTEX-11EMC-0011-R11b-SM-DNZZK 60-69 years, female 744.3
GTEX-13X6I-0011-R11a-SM-5P9HN 60-69 years, male 733.6
GTEX-17JCI-0011-R11a-SM-7189Y 60-69 years, female 732.5
GTEX-1H4P4-0011-R11b-SM-CE6S8 50-59 years, male 731.6
GTEX-11EI6-0011-R11a-SM-DO11V 60-69 years, male 724.3
GTEX-WHSE-0011-R11A-SM-3P5YY 20-29 years, male 717.4
GTEX-1F6I4-0011-R11b-SM-9OSWS 60-69 years, male 714.0
GTEX-12WSI-0011-R11b-SM-5P9EZ 50-59 years, male 712.7
GTEX-14ASI-0011-R11b-SM-6AJBJ 60-69 years, male 709.4
GTEX-12WSC-0011-R11a-SM-5GU5J 50-59 years, male 703.7
GTEX-OHPN-0011-R11A-SM-2I5FM 60-69 years, female 702.1
GTEX-1GZHY-0011-R11a-SM-C1YRQ 50-59 years, female 698.6
GTEX-16XZZ-0011-R11a-SM-7EPI3 60-69 years, male 698.5
GTEX-YJ89-0011-R11a-SM-4SOKA 60-69 years, male 693.4
GTEX-12WSD-0011-R11a-SM-9OSVC 60-69 years, female 690.6
GTEX-13OVJ-0011-R11a-SM-5P9H8 50-59 years, female 688.7
GTEX-X4EP-0011-R11B-SM-4QASK 60-69 years, female 687.8
GTEX-ZE9C-0011-R11a-SM-4WKGG 60-69 years, male 686.8
GTEX-WL46-0011-R11A-SM-3MJFT 50-59 years, male 682.0
GTEX-1LVAO-0011-R11b-SM-EXOI8 60-69 years, male 680.0
GTEX-1M4P7-0011-R11b-SM-EXOIK 60-69 years, male 676.6
GTEX-15G19-0011-R11b-SM-6LPIH 60-69 years, male 672.9
GTEX-1IGQW-0011-R11a-SM-C1YRV 60-69 years, male 672.3
GTEX-11WQC-0011-R11b-SM-57WD6 60-69 years, male 668.6
GTEX-1HGF4-0011-R11a-SM-C1YRR 60-69 years, male 668.1
GTEX-1H1DG-0011-R11a-SM-C1YQK 70-79 years, male 667.2
GTEX-1F52S-0011-R11a-SM-CJI23 60-69 years, female 666.9
GTEX-17HII-0011-R11b-SM-7KFSX 50-59 years, male 666.4
GTEX-ZVT3-0011-R11b-SM-57WBI 60-69 years, female 664.0
GTEX-1GMR8-0011-R11b-SM-9OSX2 50-59 years, female 663.8
GTEX-131XW-0011-R11a-SM-5DUV9 50-59 years, female 663.2
GTEX-1I1GS-0011-R11a-SM-C1YRU 60-69 years, male 651.9
GTEX-NL3H-0011-R11A-SM-2I3E6 60-69 years, male 648.5
GTEX-12WSH-0011-R11a-SM-5LZVM 50-59 years, male 647.5
GTEX-WWYW-0011-R11A-SM-3NB38 50-59 years, female 646.3
GTEX-1GF9W-0011-R11b-SM-9OSXG 60-69 years, male 642.8
GTEX-Z93S-0011-R11a-SM-4RGNN 50-59 years, male 639.6
GTEX-13PLJ-0011-R11b-SM-5O9BS 60-69 years, female 637.3
GTEX-15CHQ-0011-R11b-SM-686ZZ 60-69 years, male 636.8
GTEX-11TTK-0011-R11b-SM-DO112 60-69 years, female 635.9
GTEX-1CB4G-0011-R11a-SM-9OSWG 60-69 years, male 633.9
GTEX-11ZTS-0011-R11a-SM-DO113 60-69 years, female 632.0
GTEX-12WSF-0011-R11a-SM-5LZVT 70-79 years, male 630.3
GTEX-1F75A-0011-R11a-SM-AHZ35 50-59 years, male 628.2
GTEX-1H1CY-0011-R11a-SM-C1YQR 60-69 years, female 625.0
GTEX-1ICLZ-0011-R11a-SM-CJI3N 60-69 years, male 618.7
GTEX-13QIC-0011-R11b-SM-5O9BU 60-69 years, female 617.1
GTEX-1HBPI-0011-R11b-SM-CE6SH 50-59 years, male 617.1
GTEX-13G51-0011-R11b-SM-5J2NE 60-69 years, male 616.7
GTEX-1F48J-0011-R11b-SM-9OSWV 50-59 years, female 616.2
GTEX-1C64N-0011-R11b-SM-7P8Q6 50-59 years, male 615.5
GTEX-X261-0011-R11A-SM-4E3JY 50-59 years, male 614.7
GTEX-18A6Q-0011-R11a-SM-72D6H 60-69 years, male 612.7
GTEX-T5JC-0011-R11A-SM-32PMB 20-29 years, male 612.6
GTEX-ZE7O-0011-R11a-SM-57WBC 50-59 years, female 610.7
GTEX-1JJEA-0011-R11a-SM-EXUTE 60-69 years, male 604.3
GTEX-12ZZZ-0011-R11a-SM-5EGLC 60-69 years, male 603.7
GTEX-13FHO-0011-R11b-SM-5LZYQ 60-69 years, male 603.6
GTEX-1KD4Q-0011-R11b-SM-EXOIE 40-49 years, male 603.1
GTEX-13RTJ-0011-R11a-SM-5O9CK 60-69 years, male 601.9
GTEX-139TT-0011-R11b-SM-5LZV1 60-69 years, male 600.2
GTEX-X585-0011-R11B-SM-46MUZ 50-59 years, male 597.1
GTEX-N7MT-0011-R11A-SM-2I3DZ 60-69 years, female 595.5
GTEX-1IY9M-0011-R11b-SM-A96TI 60-69 years, male 595.2
GTEX-11DYG-0011-R11a-SM-DNZZP 60-69 years, male 593.3
GTEX-16YQH-0011-R11b-SM-7LT98 30-39 years, male 592.9
GTEX-14E7W-0011-R11a-SM-5ZZVA 70-79 years, male 592.0
GTEX-183WM-0011-R11a-SM-718A5 70-79 years, female 591.1
GTEX-131XH-0011-R11a-SM-5EGLN 50-59 years, male 589.4
GTEX-13OVH-0011-R11b-SM-5KM4X 70-79 years, male 588.6
GTEX-16GPK-0011-R11b-SM-7MKFF 60-69 years, male 588.4
GTEX-1GMRU-0011-R11b-SM-C1YQ4 50-59 years, male 587.3
GTEX-1HB9E-0011-R11b-SM-ARU79 50-59 years, male 586.1
GTEX-17F97-0011-R11b-SM-7KFRQ 50-59 years, male 583.9
GTEX-1H1ZS-0011-R11a-SM-C1YQM 70-79 years, male 582.2
GTEX-13O3Q-0011-R11b-SM-5KM2W 50-59 years, male 581.9
GTEX-1R9PO-0011-R11b-SM-EZ6NB 60-69 years, female 581.2
GTEX-14C5O-0011-R11b-SM-6872H 60-69 years, male 580.5
GTEX-13CZV-0011-R11b-SM-5N9FN 60-69 years, male 579.8
GTEX-1J1OQ-0011-R11a-SM-A96S3 40-49 years, female 579.2
GTEX-1H3O1-0011-R11a-SM-A96RV 60-69 years, male 578.2
GTEX-1GZ4I-0011-R11b-SM-9OSWR 50-59 years, male 575.2
GTEX-ZVZQ-0011-R11a-SM-51MS6 60-69 years, female 574.5
GTEX-13NZA-0011-R11b-SM-5KM4W 60-69 years, male 574.2
GTEX-14PN4-0011-R11a-SM-686ZW 50-59 years, male 571.0
GTEX-13JVG-0011-R11a-SM-5KM53 60-69 years, male 570.2
GTEX-13FTY-0011-R11a-SM-5IJEA 40-49 years, female 569.5
GTEX-15DCD-0011-R11a-SM-D4P1R 70-79 years, female 564.8
GTEX-NPJ7-0011-R11A-SM-2I3E8 60-69 years, female 562.8
GTEX-11H98-0011-R11b-SM-5NQ6U 50-59 years, male 562.1
GTEX-1N2DW-0011-R11b-SM-EXOIL 50-59 years, male 554.3
GTEX-1LG7Y-0011-R11a-SM-EXOIH 50-59 years, male 554.0
GTEX-ZAB4-0011-R11a-SM-4SOKI 40-49 years, male 545.9
GTEX-13X6K-0011-R11a-SM-5P9F5 60-69 years, female 545.7
GTEX-145MH-0011-R11a-SM-5P9HQ 50-59 years, male 545.7
GTEX-1JMQJ-0011-R11a-SM-EXOJY 50-59 years, male 545.5
GTEX-13SLW-0011-R11a-SM-5SI8Q 70-79 years, male 544.4
GTEX-14E6D-0011-R11b-SM-664NP 50-59 years, male 543.7
GTEX-1LSVX-0011-R11b-SM-EXOIA 60-69 years, male 543.6
GTEX-1B8L1-0011-R11b-SM-793DJ 60-69 years, male 541.9
GTEX-13PVQ-0011-R11a-SM-5O9DU 50-59 years, male 539.8
GTEX-1EKGG-0011-R11a-SM-9QEHZ 60-69 years, male 539.5
GTEX-1BAJH-0011-R11b-SM-7IGLM 70-79 years, male 536.7
GTEX-RU72-0011-R11A-SM-CM2U1 50-59 years, female 535.3
GTEX-1I1GQ-0011-R11b-SM-CKZPA 50-59 years, male 533.8
GTEX-ZDXO-0011-R11a-SM-4WWD9 60-69 years, male 528.3
GTEX-1IL2U-0011-R11a-SM-CE6SO 60-69 years, male 528.3
GTEX-14ABY-0011-R11a-SM-5SI7C 50-59 years, male 527.9
GTEX-ZUA1-0011-R11b-SM-51MTI 40-49 years, male 527.5
GTEX-11OF3-0011-R11a-SM-57WCR 60-69 years, male 527.0
GTEX-YFC4-0011-R11a-SM-4SOK6 40-49 years, female 526.9
GTEX-1HSKV-0011-R11b-SM-AHZ2E 60-69 years, male 526.2
GTEX-T2IS-0011-R11A-SM-32QPC 20-29 years, female 525.7
GTEX-1HUB1-0011-R11b-SM-CE6SC 60-69 years, male 519.9
GTEX-1I1GR-0011-R11a-SM-CM2T5 60-69 years, male 518.0
GTEX-1IKK5-0011-R11a-SM-C1YRX 60-69 years, male 517.9
GTEX-1HCU6-0011-R11b-SM-AHZ2F 60-69 years, female 515.3
GTEX-1I1HK-0011-R11a-SM-B2LVN 60-69 years, male 514.4
GTEX-1IDJH-0011-R11b-SM-C1YRT 70-79 years, male 514.4
GTEX-1E1VI-0011-R11a-SM-9OSWI 50-59 years, male 514.0
GTEX-12WSM-0011-R11a-SM-5DUX8 60-69 years, male 513.8
GTEX-1I1GV-0011-R11a-SM-CJI3Z 60-69 years, male 513.5
GTEX-14BIN-0011-R11a-SM-5SI79 50-59 years, female 511.6
GTEX-13OW7-0011-R11a-SM-5O9DY 50-59 years, male 510.8
GTEX-14BIM-0011-R11b-SM-5S2RN 60-69 years, female 509.4
GTEX-WZTO-0011-R11A-SM-4E3K9 40-49 years, male 508.1
GTEX-11PRG-0011-R11b-SM-DNZZY 50-59 years, male 508.1
GTEX-15EO6-0011-R11b-SM-6M47M 50-59 years, male 508.0
GTEX-13S7M-0011-R11b-SM-5P9HU 60-69 years, female 507.8
GTEX-11DXY-0011-R11a-SM-DNZZN 60-69 years, male 502.8
GTEX-13NYB-0011-R11a-SM-5KM3Q 40-49 years, male 498.8
GTEX-13O3O-0011-R11b-SM-5KM4G 60-69 years, female 498.1
GTEX-1F7RK-0011-R11b-SM-9QEI2 20-29 years, female 497.7
GTEX-1IKOH-0011-R11a-SM-AHZ38 60-69 years, female 496.1
GTEX-13OVL-0011-R11b-SM-5L3G7 50-59 years, male 495.4
GTEX-1HFI6-0011-R11b-SM-A96RU 40-49 years, male 492.0
GTEX-13OW8-0011-R11a-SM-5L3GT 60-69 years, male 491.4
GTEX-Y8DK-0011-R11A-SM-4SOK2 60-69 years, male 490.9
GTEX-12126-0011-R11a-SM-5BC6X 20-29 years, male 489.5
GTEX-13N2G-0011-R11a-SM-5MR3F 60-69 years, male 488.3
GTEX-S7SE-0011-R11A-SM-2XCDD 50-59 years, male 487.8
GTEX-RVPV-0011-R11A-SM-2TF6F 60-69 years, male 486.6
GTEX-1EMGI-0011-R11b-SM-9OSWX 60-69 years, male 486.5
GTEX-13FXS-0011-R11a-SM-5L3DM 50-59 years, male 484.4
GTEX-1IL2V-0011-R11a-SM-ARU6T 70-79 years, male 482.9
GTEX-13SLX-0011-R11b-SM-5O9C8 50-59 years, female 480.1
GTEX-18464-0011-R11a-SM-72D76 50-59 years, male 479.6
GTEX-144GL-0011-R11b-SM-5P9F6 50-59 years, male 478.2
GTEX-15DYW-0011-R11a-SM-6LPIT 60-69 years, female 478.0
GTEX-13VXU-0011-R11b-SM-5O9DJ 50-59 years, male 473.4
GTEX-11GSP-0011-R11b-SM-5NQ7V 60-69 years, female 472.5
GTEX-P44G-0011-R11A-SM-2I3FD 30-39 years, male 470.1
GTEX-UTHO-0011-R11A-SM-3GIJE 60-69 years, male 469.8
GTEX-1GTWX-0011-R11b-SM-C1YQJ 60-69 years, male 469.1
GTEX-P44H-0011-R11A-SM-2XCER 40-49 years, male 465.3
GTEX-1N2EE-0011-R11b-SM-EXOIJ 60-69 years, male 463.6
GTEX-17HG3-0011-R11b-SM-7KFT4 30-39 years, female 462.7
GTEX-1H3NZ-0011-R11b-SM-CE6SF 60-69 years, male 462.7
GTEX-13CF2-0011-R11b-SM-5LZXO 60-69 years, male 460.0
GTEX-13OW6-0011-R11a-SM-5L3H2 50-59 years, male 455.6
GTEX-1J8EW-0011-R11a-SM-AHZ37 60-69 years, female 455.1
GTEX-1A3MX-0011-R11b-SM-7DUGP 60-69 years, male 451.5
GTEX-1AX9I-0011-R11b-SM-7DHN4 60-69 years, male 450.3
GTEX-13OW5-0011-R11b-SM-5L3GG 60-69 years, male 445.6
GTEX-13FHP-0011-R11b-SM-5LZXP 50-59 years, male 443.7
GTEX-15ER7-0011-R11a-SM-6LPIL 20-29 years, female 438.6
GTEX-12ZZX-0011-R11a-SM-5DUVJ 40-49 years, female 438.0
GTEX-1399T-0011-R11a-SM-5J2O1 60-69 years, male 431.2
GTEX-1B8SF-0011-R11a-SM-79OOP 60-69 years, male 422.1
GTEX-131YS-0011-R11b-SM-5EGLM 60-69 years, female 418.9
GTEX-1GN73-0011-R11b-SM-9OSX4 60-69 years, male 410.1
GTEX-TSE9-0011-R11A-SM-3DB7N 60-69 years, female 397.6
GTEX-18465-0011-R11a-SM-72D78 50-59 years, male 390.3
GTEX-145LU-0011-R11b-SM-5P9JX 50-59 years, male 382.1
GTEX-12WSE-0011-R11b-SM-5P9JW 20-29 years, male 370.9
GTEX-QMR6-0011-R11A-SM-32PKK 50-59 years, male 369.4
GTEX-WVLH-0011-R11A-SM-3MJFO 50-59 years, male 367.7
GTEX-X4XX-0011-R11A-SM-46MWQ 60-69 years, male 362.4
GTEX-14DAQ-0011-R11a-SM-664NO 60-69 years, female 350.2
GTEX-T6MN-0011-R11A-SM-32QOX 50-59 years, male 325.9
GTEX-Q2AG-0011-R11A-SM-2HMKZ 40-49 years, female 325.8
GTEX-R55E-0011-R11A-SM-2TC6I 20-29 years, male 323.3
GTEX-QDT8-0011-R11A-SM-32PKD 30-39 years, female 312.4
Show allShow less
Brain - Cerebellum
Average nTPM: 544.0
Samples: 241

Max nTPM: 927.9
Min nTPM: 302.4
Std nTPM: 100.4
Median nTPM: 532.7
GTEX-1RNSC-3126-SM-EVR4V 60-69 years, male 927.9
GTEX-1EH9U-3126-SM-7MXU5 60-69 years, male 858.3
GTEX-13OVJ-2726-SM-5IJG6 50-59 years, female 857.8
GTEX-XMD1-2826-SM-4AT5F 60-69 years, male 845.5
GTEX-1H3VE-2826-SM-9WPOL 40-49 years, male 830.4
GTEX-1F48J-2726-SM-7P8PW 50-59 years, female 821.5
GTEX-Y111-2826-SM-4TT3O 50-59 years, male 818.7
GTEX-1GF9W-2726-SM-9JGGW 60-69 years, male 785.5
GTEX-1BAJH-3126-SM-7MGXY 70-79 years, male 757.1
GTEX-NPJ8-2626-SM-2D7W2 40-49 years, male 753.9
GTEX-1F75W-3126-SM-7P8SJ 60-69 years, male 712.5
GTEX-1F6I4-3026-SM-7P8SI 60-69 years, male 711.5
GTEX-16Z82-2926-SM-6LPJJ 60-69 years, male 708.0
GTEX-1HB9E-3126-SM-AHZ4M 50-59 years, male 700.3
GTEX-ZF28-2926-SM-4WKG1 60-69 years, male 692.2
GTEX-WWYW-3026-SM-3NB36 50-59 years, female 691.0
GTEX-11DZ1-2926-SM-5A5KI 50-59 years, male 689.0
GTEX-1B8SG-1926-SM-73KUB 50-59 years, male 684.1
GTEX-14E6D-2926-SM-664OP 50-59 years, male 682.7
GTEX-1JN1M-3126-SM-AHZ4E 60-69 years, female 674.9
GTEX-183WM-2726-SM-7KFRF 70-79 years, female 674.2
GTEX-13RTJ-3126-SM-5S2Q4 60-69 years, male 673.6
GTEX-1JMQJ-3126-SM-EV79G 50-59 years, male 672.2
GTEX-11O72-2826-SM-5HL6W 40-49 years, male 671.2
GTEX-1E2YA-2926-SM-7MGWX 50-59 years, male 670.2
GTEX-13FHO-2926-SM-5L3ES 60-69 years, male 662.4
GTEX-X4EP-3026-SM-3P5YP 60-69 years, female 662.1
GTEX-1H1ZS-2926-SM-9WPP2 70-79 years, male 660.9
GTEX-R55E-2526-SM-2TC6H 20-29 years, male 653.6
GTEX-ZAJG-3026-SM-5HL92 50-59 years, female 648.6
GTEX-1IKOH-2826-SM-CNNRC 60-69 years, female 648.4
GTEX-1B8L1-3226-SM-7P8OX 60-69 years, male 645.5
GTEX-ZAK1-2926-SM-5HL9S 50-59 years, female 643.7
GTEX-11EI6-2926-SM-5985U 60-69 years, male 636.2
GTEX-WHSE-2926-SM-3NMBG 20-29 years, male 632.2
GTEX-13OW7-2926-SM-5MR3Z 50-59 years, male 631.2
GTEX-1RDX4-3226-SM-DPS14 50-59 years, female 629.1
GTEX-1GF9V-3026-SM-7P8R8 60-69 years, male 627.7
GTEX-13OW5-3126-SM-5MR3Y 60-69 years, male 626.7
GTEX-1JJE9-3026-SM-CNNPA 70-79 years, male 626.1
GTEX-1C6WA-3326-SM-7MKGN 60-69 years, male 626.0
GTEX-ZAB4-2926-SM-57WCV 40-49 years, male 625.0
GTEX-YFC4-3026-SM-5IFJK 40-49 years, female 623.1
GTEX-1QEPI-3026-SM-EXOIW 60-69 years, female 623.1
GTEX-14A5I-2826-SM-5SIBF 50-59 years, female 622.1
GTEX-15SHU-3026-SM-6LPIB 40-49 years, female 621.2
GTEX-X261-3126-SM-4PQZC 50-59 years, male 618.8
GTEX-11GSP-3126-SM-5A5LL 60-69 years, female 615.5
GTEX-14BIM-3126-SM-5Q5C7 60-69 years, female 614.4
GTEX-13O3Q-3026-SM-5IJGD 50-59 years, male 612.6
GTEX-1C6VR-3026-SM-7IGLW 60-69 years, male 612.4
GTEX-1F6IF-3026-SM-7P8QN 60-69 years, male 612.3
GTEX-1GZHY-3026-SM-7MXVA 50-59 years, female 611.8
GTEX-13NYB-3226-SM-5J2ND 40-49 years, male 610.0
GTEX-1128S-2826-SM-5N9DI 60-69 years, female 609.8
GTEX-T5JC-2326-SM-32PMR 20-29 years, male 608.9
GTEX-13N2G-3126-SM-5IJGL 60-69 years, male 607.2
GTEX-1I1CD-2926-SM-A96SJ 60-69 years, female 606.0
GTEX-PWO3-1026-SM-2I5F2 60-69 years, female 605.7
GTEX-1KD4Q-3026-SM-EV7A7 40-49 years, male 605.2
GTEX-1H1CY-3026-SM-9OSW7 60-69 years, female 603.8
GTEX-UTHO-2926-SM-3P5Z9 60-69 years, male 602.2
GTEX-ZYFD-2926-SM-5GID9 50-59 years, male 601.6
GTEX-1F75A-2926-SM-7MXVN 50-59 years, male 601.3
GTEX-1192X-3226-SM-5987D 50-59 years, male 599.1
GTEX-N7MT-1226-SM-DKPOK 60-69 years, female 598.0
GTEX-11TTK-2826-SM-5GU5K 60-69 years, female 597.4
GTEX-15G19-2826-SM-6M48K 60-69 years, male 597.1
GTEX-XLM4-2926-SM-4AT59 60-69 years, male 596.5
GTEX-1PWST-3026-SM-EAZ3H 70-79 years, male 596.4
GTEX-1313W-3026-SM-5LZUZ 50-59 years, female 594.9
GTEX-1E1VI-2926-SM-7IGLT 50-59 years, male 594.0
GTEX-16XZZ-2926-SM-6LPK4 60-69 years, male 593.0
GTEX-13X6K-2826-SM-5O9DS 60-69 years, female 592.6
GTEX-1HSMO-2926-SM-C1YR5 60-69 years, male 589.7
GTEX-1269C-3126-SM-5EGI6 60-69 years, female 586.8
GTEX-1H3O1-1826-SM-A96TO 60-69 years, male 584.8
GTEX-1MJK2-3026-SM-EV7A5 50-59 years, male 584.4
GTEX-1JJ6O-3026-SM-C1YQH 60-69 years, male 581.3
GTEX-WL46-2826-SM-3LK81 50-59 years, male 581.1
GTEX-1JMQK-2926-SM-D4P2T 60-69 years, male 580.1
GTEX-13112-2926-SM-5DUWT 50-59 years, male 580.0
GTEX-132Q8-2926-SM-5IFFP 60-69 years, male 580.0
GTEX-131XH-2926-SM-5LZU4 50-59 years, male 573.1
GTEX-145MG-3126-SM-5Q5D3 50-59 years, male 571.2
GTEX-12WSM-2126-SM-5GCOC 60-69 years, male 569.8
GTEX-1GTWX-2926-SM-7MXV4 60-69 years, male 565.9
GTEX-1EWIQ-3026-SM-7IGOJ 70-79 years, female 563.6
GTEX-OHPN-2626-SM-2I5H1 60-69 years, female 563.0
GTEX-ZZPT-2926-SM-5EQ5S 50-59 years, male 559.0
GTEX-15DYW-3026-SM-7KFRM 60-69 years, female 558.1
GTEX-1399T-3126-SM-5IJFS 60-69 years, male 557.7
GTEX-Z93S-2826-SM-57WBL 50-59 years, male 557.0
GTEX-12ZZY-2926-SM-5DUXO 60-69 years, male 555.3
GTEX-11ZVC-3026-SM-59HJM 50-59 years, female 550.7
GTEX-131YS-3026-SM-5EGHY 60-69 years, female 549.9
GTEX-1NV8Z-3026-SM-DTX8Z 60-69 years, male 549.4
GTEX-11ONC-3026-SM-5985W 60-69 years, male 548.9
GTEX-13FHP-2926-SM-5IJG9 50-59 years, male 548.2
GTEX-11EMC-3326-SM-5P9JH 60-69 years, female 547.8
GTEX-ZDXO-2926-SM-4WKFM 60-69 years, male 547.2
GTEX-18A6Q-2826-SM-7LTAO 60-69 years, male 546.3
GTEX-ZYY3-3026-SM-5GIEJ 60-69 years, female 545.5
GTEX-14BIN-3326-SM-5Q5E6 50-59 years, female 545.3
GTEX-1HBPI-2726-SM-9WPPF 50-59 years, male 545.2
GTEX-12ZZZ-3126-SM-5LZU6 60-69 years, male 545.1
GTEX-13PVQ-2926-SM-5L3HJ 50-59 years, male 544.8
GTEX-13CF2-3026-SM-5IFFX 60-69 years, male 543.5
GTEX-T6MN-2526-SM-32PMN 50-59 years, male 543.2
GTEX-14ABY-3026-SM-664NE 50-59 years, male 540.0
GTEX-11DXY-3126-SM-5N9BT 60-69 years, male 539.1
GTEX-13SLX-3226-SM-5YYA6 50-59 years, female 538.4
GTEX-1H4P4-2726-SM-9JGGB 50-59 years, male 538.4
GTEX-1CB4G-2926-SM-7MKFQ 60-69 years, male 536.1
GTEX-13G51-3126-SM-5IJG7 60-69 years, male 536.0
GTEX-13QIC-3026-SM-5LU58 60-69 years, female 536.0
GTEX-13OVL-3026-SM-5IJF1 50-59 years, male 534.4
GTEX-1JMOU-2826-SM-EV79R 60-69 years, female 534.4
GTEX-14PJO-2926-SM-686ZI 60-69 years, male 533.5
GTEX-RU72-2926-SM-2TF66 50-59 years, female 533.5
GTEX-17F97-2926-SM-7DUEQ 50-59 years, male 532.7
GTEX-13JVG-3226-SM-5IJGJ 60-69 years, male 532.5
GTEX-1HBPH-3026-SM-9WPNY 40-49 years, female 531.2
GTEX-13OW6-2926-SM-5KM29 50-59 years, male 530.8
GTEX-1LSVX-2826-SM-EVR58 60-69 years, male 530.2
GTEX-1JMLX-3026-SM-EV79Q 50-59 years, male 529.8
GTEX-147GR-3126-SM-5S2PM 60-69 years, male 529.7
GTEX-11ZTS-3226-SM-5EGID 60-69 years, female 529.4
GTEX-QVJO-1325-SM-2S1QX 60-69 years, female 529.3
GTEX-145LU-2626-SM-5LU9Z 50-59 years, male 529.0
GTEX-14JIY-2326-SM-6AJAJ 60-69 years, male 528.7
GTEX-1R46S-3126-SM-DPRZ9 60-69 years, female 526.8
GTEX-1B933-3026-SM-731DB 50-59 years, female 526.2
GTEX-11DXW-1026-SM-5H11K 40-49 years, male 524.5
GTEX-17JCI-3026-SM-7EWDR 60-69 years, female 524.1
GTEX-14C5O-2926-SM-5RQI1 60-69 years, male 523.0
GTEX-1RQEC-3026-SM-DPRXM 60-69 years, male 522.9
GTEX-13O3O-3026-SM-5KM42 60-69 years, female 522.7
GTEX-13OVH-2926-SM-5IJFH 70-79 years, male 522.1
GTEX-1KANB-3226-SM-D4P3G 50-59 years, male 521.9
GTEX-13JUV-3026-SM-5K7WX 40-49 years, female 521.2
GTEX-N7MS-2526-SM-2D7W3 60-69 years, male 521.2
GTEX-1JMPZ-2826-SM-C1YRA 30-39 years, male 520.3
GTEX-13FXS-3026-SM-5LZYO 50-59 years, male 519.3
GTEX-ZVT3-2926-SM-5GU6M 60-69 years, female 518.6
GTEX-111FC-3326-SM-5GZYV 60-69 years, male 516.7
GTEX-16YQH-2926-SM-6LPJE 30-39 years, male 514.3
GTEX-11ZUS-2826-SM-5EQKW 30-39 years, male 514.0
GTEX-14PN4-3026-SM-664O4 50-59 years, male 512.4
GTEX-1EX96-3126-SM-9JGGC 50-59 years, male 509.0
GTEX-1A8G7-3026-SM-73KTT 60-69 years, male 507.2
GTEX-WVLH-2926-SM-3MJG5 50-59 years, male 507.2
GTEX-T2IS-2926-SM-32QPO 20-29 years, female 506.3
GTEX-15ER7-3026-SM-6M47W 20-29 years, female 504.6
GTEX-1GZ2Q-3026-SM-9JGG3 40-49 years, male 503.0
GTEX-1LG7Y-3126-SM-EV7AS 50-59 years, male 501.9
GTEX-15EO6-2926-SM-6M48D 50-59 years, male 500.9
GTEX-1PIIG-2826-SM-DTX7O 30-39 years, male 499.8
GTEX-139TS-3126-SM-5LZWX 60-69 years, male 499.6
GTEX-13S7M-3026-SM-5S2QQ 60-69 years, female 498.5
GTEX-1IL2V-3026-SM-CYPSA 70-79 years, male 497.6
GTEX-14JFF-2826-SM-6871Q 60-69 years, male 495.6
GTEX-YJ89-2926-SM-5P9IT 60-69 years, male 494.5
GTEX-1POEN-2726-SM-E9U6B 30-39 years, female 494.3
GTEX-1F52S-3026-SM-7P8PV 60-69 years, female 492.9
GTEX-14ASI-2926-SM-5Q5DG 60-69 years, male 492.2
GTEX-13X6I-2926-SM-5Q5C3 60-69 years, male 492.1
GTEX-14C39-3026-SM-5S2QE 40-49 years, male 491.8
GTEX-17HG3-2826-SM-7EPGO 30-39 years, female 490.3
GTEX-145LS-3026-SM-5O99S 60-69 years, female 489.5
GTEX-11OC5-0626-SM-5HL6M 60-69 years, male 489.3
GTEX-11NUK-3026-SM-5986K 50-59 years, male 485.5
GTEX-1A3MX-2926-SM-718B7 60-69 years, male 484.9
GTEX-ZUA1-2926-SM-59HL3 40-49 years, male 484.0
GTEX-1J1OQ-3126-SM-D4P2O 40-49 years, female 483.9
GTEX-1EMGI-3126-SM-7MXUR 60-69 years, male 482.5
GTEX-139TT-2626-SM-5LZUB 60-69 years, male 481.8
GTEX-1H1DG-2826-SM-9JGHB 70-79 years, male 479.7
GTEX-11GSO-3026-SM-5Q5AL 60-69 years, male 479.6
GTEX-Q2AG-2826-SM-2HMJQ 40-49 years, female 478.5
GTEX-1QP6S-3026-SM-EAZ4N 40-49 years, male 477.8
GTEX-Y8DK-0726-SM-4TT3S 60-69 years, male 477.6
GTEX-12WSC-2926-SM-5BC5Z 50-59 years, male 476.1
GTEX-12WSE-2926-SM-5RQJ9 20-29 years, male 474.7
GTEX-12WSH-3126-SM-5LZW8 50-59 years, male 471.7
GTEX-17HII-2926-SM-79OMK 50-59 years, male 471.7
GTEX-12WSD-3026-SM-5LZU7 60-69 years, female 471.5
GTEX-13VXU-3026-SM-5LU3K 50-59 years, male 471.2
GTEX-1HSKV-2926-SM-B2LWJ 60-69 years, male 470.4
GTEX-1B996-2926-SM-7MXUH 60-69 years, male 470.1
GTEX-1EKGG-3126-SM-9WPO5 60-69 years, male 465.7
GTEX-1HCVE-2926-SM-9WPPJ 50-59 years, male 463.7
GTEX-1GN73-3026-SM-7MXV8 60-69 years, male 462.4
GTEX-18465-2926-SM-7KFSE 50-59 years, male 461.5
GTEX-147F4-3026-SM-5Q5BJ 50-59 years, male 459.8
GTEX-14BMV-2926-SM-5TDEE 50-59 years, male 459.4
GTEX-13OW8-2926-SM-5L3FV 60-69 years, male 458.3
GTEX-WZTO-2826-SM-3NM8P 40-49 years, male 458.1
GTEX-14DAQ-3026-SM-5S2QZ 60-69 years, female 457.9
GTEX-NPJ7-2826-SM-2I3FU 60-69 years, female 455.5
GTEX-117XS-3126-SM-5GIDP 60-69 years, male 453.1
GTEX-14PJM-3026-SM-6LLHM 50-59 years, female 452.9
GTEX-1CB4H-3026-SM-79OLX 60-69 years, female 451.9
GTEX-144GL-2926-SM-5O99F 50-59 years, male 449.0
GTEX-11NV4-2226-SM-5BC4T 60-69 years, male 448.9
GTEX-1IDJH-3126-SM-C1YQS 70-79 years, male 448.2
GTEX-1I1HK-2726-SM-AHZ2M 60-69 years, male 447.8
GTEX-1H3NZ-2926-SM-9WPQ8 60-69 years, male 447.4
GTEX-S7SE-2526-SM-2XCDL 50-59 years, male 445.8
GTEX-17EVQ-2726-SM-7EWDT 70-79 years, male 444.7
GTEX-11DYG-2926-SM-5H132 60-69 years, male 443.0
GTEX-P44G-2526-SM-2I5EK 30-39 years, male 441.1
GTEX-12126-0926-SM-5FQTW 20-29 years, male 441.0
GTEX-11PRG-2826-SM-5BC54 50-59 years, male 438.6
GTEX-145MH-2926-SM-5Q5D2 50-59 years, male 435.9
GTEX-1R9PO-2826-SM-E6CPV 60-69 years, female 434.8
GTEX-QDT8-3026-SM-32PKB 30-39 years, female 430.2
GTEX-1C64N-3126-SM-79OO3 50-59 years, male 428.1
GTEX-14JG1-2926-SM-686ZK 40-49 years, male 426.4
GTEX-1KWVE-2226-SM-CXZKN 30-39 years, male 424.3
GTEX-14E7W-2926-SM-5S2R8 70-79 years, male 422.3
GTEX-1GZ4I-2926-SM-9JGGO 50-59 years, male 420.8
GTEX-1I1GV-3026-SM-CNNR9 60-69 years, male 420.8
GTEX-1JJEA-2926-SM-C1YSK 60-69 years, male 420.2
GTEX-145MF-2826-SM-7EPGU 50-59 years, male 415.8
GTEX-17HHY-2926-SM-79OJW 50-59 years, male 414.9
GTEX-QVUS-2926-SM-3GIJB 60-69 years, female 410.4
GTEX-17EVP-2926-SM-793BU 40-49 years, male 402.2
GTEX-1B8SF-3026-SM-731DX 60-69 years, male 392.4
GTEX-1IY9M-3126-SM-AHZ3A 60-69 years, male 387.2
GTEX-12ZZX-2826-SM-5BC6K 40-49 years, female 384.4
GTEX-1EU9M-2926-SM-793DF 60-69 years, male 377.5
GTEX-QMR6-1326-SM-32PLB 50-59 years, male 372.0
GTEX-1P4AB-3026-SM-EXOJS 50-59 years, male 371.8
GTEX-RNOR-2226-SM-2TF5O 50-59 years, female 371.0
GTEX-P44H-2426-SM-2XCEJ 40-49 years, male 367.1
GTEX-1A8G6-3126-SM-731D8 60-69 years, male 366.1
GTEX-X4XX-2926-SM-3NMB1 60-69 years, male 354.8
GTEX-TSE9-2926-SM-3DB77 60-69 years, female 343.5
GTEX-13X6J-2926-SM-7EPGP 50-59 years, male 313.3
GTEX-PVOW-2626-SM-32PL8 40-49 years, male 302.4
Show allShow less

CEREBELLUM - FANTOM5 CAGEi

RNA expression in human tissues obtained through Cap Analysis of Gene Expression (CAGE) generated by the FANTOM5 project are reported as Scaled Tags Per Million.

Max subtype Scaled Tags Per Millioni

Max subtype Scaled Tags Per Million is the value for the subtype with the largest average Scaled Tags Per Million across the subtype samples.

330.9
FANTOM5 sample id Sample description Scaled Tags Per Million
Cerebellum
Scaled Tags Per Million: 330.9
FF:10083-102B2 22-68 years, mixed 518.4
FF:10166-103B4 76 years, female 143.3

CEREBELLUM - Pig RNA-seqi

RNA-seq data obtained from pig brain is reported as nTPM .

Normal distribution across the dataset is visualized with box plots, shown as median and 25th and 75th percentiles. Points are displayed as outliers if they are above or below 1.5 times the interquartile range. nTPM values of the individual samples are presented next to the box plot.
Max subtype nTPMi

Max subtype nTPM is the value for the subtype with the largest average nTPM across the subtype samples.

0.0
Pig sample Sample description nTPM
Cerebellum
nTPM: 0.1
Samples: 4

Max nTPM: 0.1
Min nTPM: 0.0
Sample A Female 0.1
Sample B Female 0.0
Sample C Male 0.0
Sample D Male 0.1

CEREBELLUM - Mouse RNA-seqi

RNA-seq data obtained from mouse brain is reported as nTPM .

Normal distribution across the dataset is visualized with box plots, shown as median and 25th and 75th percentiles. Points are displayed as outliers if they are above or below 1.5 times the interquartile range. nTPM values of the individual samples are presented next to the box plot.
Max subtype nTPMi

Max subtype nTPM is the value for the subtype with the largest average nTPM across the subtype samples.

88.5
Mouse sample Sample description nTPM
Cerebellum
nTPM: 88.5
Samples: 4

Max nTPM: 119.9
Min nTPM: 66.3
Sample A Male 96.1
Sample B Male 119.9
Sample C Female 66.3
Sample D Female 71.5

CEREBELLUM - Allen Mouse ISHi

In situ hybridization (ISH) data generated by the Allen brain atlas from mouse brain is reported as expression energy. For more details about a particular experiment, click on the corresponding Allen experiment ID.

Max subtype Expression energyi

Max subtype Expression energy is the value for the subtype with the largest average Expression energy across the subtype samples.

4.6
Allen experiment id Experiment description Expression energy
Cerebellum
Expression energy: 4.6
69818379 Antisense, RP_050510_04_H09, Mouse strain C57BL/6J (56 days, male) 4.6

Contact

  • NEWS ARTICLES
  • PRESS ROOM

The Project

  • INTRODUCTION
  • ORGANIZATION
  • PUBLICATIONS

The Human Protein Atlas

  • DOWNLOADABLE DATA
  • LICENCE & CITATION
  • HELP & FAQ
The Human Protein Atlas project is funded
by the Knut & Alice Wallenberg Foundation.


contact@proteinatlas.org