We use cookies to enhance the usability of our website. If you continue, we'll assume that you are happy to receive all cookies. More information. Don't show this again.
APLP1
HPA
RESOURCES
  • TISSUE
  • BRAIN
  • SINGLE CELL
  • SUBCELLULAR
  • CANCER
  • BLOOD
  • CELL LINE
  • STRUCTURE & INTERACTION
ABOUT
  • INTRODUCTION
  • HISTORY
  • ORGANIZATION
  • PUBLICATIONS
  • ANTIBODY SUBMISSION
  • ANTIBODY AVAILABILITY
  • ACKNOWLEDGMENTS
  • CONTACT
NEWS
  • NEWS ARTICLES
  • PRESS ROOM
LEARN
  • DICTIONARY
  • PROTEIN CLASSES
  • PROTEIN EVIDENCE
  • METHODS
  • EDUCATIONAL VIDEOS
DATA
  • DOWNLOADABLE DATA
  • PUBLICATION DATA
  • RELEASE HISTORY
HELP
  • ANTIBODY VALIDATION
  • ASSAYS & ANNOTATION
  • DISCLAIMER
  • HELP & FAQ
  • PRIVACY STATEMENT
  • LICENCE & CITATION
Fields »
Search result

Field
Term
Gene name
Class
Subclass
Class
Keyword
Chromosome
External id
Tissue
Cell type
Expression
Antibody panel
Tissue
Main location
Patient ID
Annotation
Tissue
Category
Tau score
Cluster
Reliability
Brain region
Category
Tau score
Brain region
Category
Tau score
Brain region
Category
Tau score
Cluster
Reliability
Tissue
Cell type
Enrichment
Cell type
Category
Tau score
Cell type
Category
Tau score
Cell type
Category
Tau score
Cell lineage
Category
Tau score
Cluster
Cluster
Location
Searches
Location
Cell line
Class
Type
Phase
Reliability
Cancer
Prognosis
Cancer
Category
Cancer
Category
Tau score
Cluster
Variants
Interacting gene (ensg_id)
Type
Number of interactions
Pathway
Category
Score
Score
Score
Validation
Validation
Validation
Validation
Antibodies
Data type
Column


  • SUMMARY

  • TISSUE

  • BRAIN

  • SINGLE CELL

  • SUBCELL

  • CANCER

  • BLOOD

  • CELL LINE

  • STRUCT & INT

  • APLP1
BRAIN CEREBELLUM Show tissue menu
AMYGDALA BASAL GANGLIA CEREBELLUM CEREBRAL CORTEX CHOROID PLEXUS HIPPOCAMPAL FORMATION HYPOTHALAMUS MEDULLA OBLONGATA
MIDBRAIN OLFACTORY BULB PITUITARY GLAND PONS RETINA SPINAL CORD THALAMUS WHITE MATTER
ANTIBODIES
AND
VALIDATION
Brain proteome
Cerebellum
CEREBELLUM - Expression summary
Protein expression
Cerebellumi

On the top, protein expression in current human tissue, based on all annotated cell types, is reported with the units not detected (n), low (l), medium (m) and high (h). Underneath, protein expression in each annotated cell type are reported using the same units.

Protein expression data is based on knowledge-based annotation. For genes where more than one antibody has been used, a collective score is set.

If knowledge-based annotation could not be performed for a gene, no data is displayed here. View antibody staining data further down this page.

h
m
l
n
Bergmann glia - cytoplasm/membrane: Not detected
Bergmann glia - nucleus: Not detected
GLUC cells - cytoplasm/membrane: High
GLUC cells - nucleus: Not detected
Granular cells - cytoplasm/membrane: Not detected
Granular cells - nucleus: Not detected
Molecular layer - neuropil: Not detected
Molecular layer cells - cytoplasm/membrane: Not detected
Molecular layer cells - nucleus: Not detected
Processes in granular layer: Medium
Processes in molecular layer: Medium
Processes in white matter: Medium
Purkinje cells - cytoplasm/membrane: Not detected
Purkinje cells - dendrites: Not detected
Purkinje cells - nucleus: Not detected
Synaptic glomeruli - capsule: Not detected
Synaptic glomeruli - core: Not detected
White matter cells - cytoplasm/membrane: High
White matter cells - nucleus: Not detected
RNA expressioni

A summary of mRNA expression data available for current tissue based on several datasets. The mRNA expression levels in human tissues are based on RNA-seq data generated by the Human Protein Atlas (HPA), Genotype-Tissue Expression (GTEx) portal and CAGE data generated by the FANTOM5 consortium. Consensus normalized expression levels for human tissues was created by combining the data from HPA and GTEx datasets.

The mRNA expression levels in pig are based on RNA-seq data generated by the Human Protein Atlas (HPA), and for mouse, HPA data and in situ hybridization generated by the Allen brain atlas are reported.

Scroll down to view mRNA expression data in more detail.
Consensus:108.2 nTPM
HPA Brain:1099.6 nTPM
GTEx:108.2 nTPM
FANTOM5:105.6 Scaled Tags Per Million
Pig:185.3 nTPM
Mouse:326.9 nTPM
Allen mouse:17.8 Expression energy

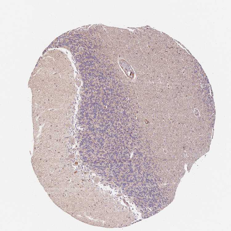
CEREBELLUM - Antibody stainingi

Antibody staining in the annotated cell types in the current human tissue is reported as not detected, low, medium, or high, based on conventional immunohistochemistry profiling in selected tissues. This score is based on the combination of the staining intensity and fraction of stained cells.

Each image is clickable and will lead to virtual microscopy that enables deeper exploration of all samples and also displays staining intensity scores, fraction scores and subcellular localization as well as patient and tissue information for each sample.

Antibody HPA028970Antibody HPA028971
Bergmann glia - cytoplasm/membrane -Not detected
Bergmann glia - nucleus -Not detected
GLUC cells - cytoplasm/membrane -High
GLUC cells - nucleus -Not detected
Purkinje cells High-
Purkinje cells - cytoplasm/membrane -Not detected
Purkinje cells - dendrites -Not detected
Purkinje cells - nucleus -Not detected
Cells in granular layer Medium-
Cells in molecular layer Not detected-
Granular cells - cytoplasm/membrane -Not detected
Granular cells - nucleus -Not detected
Molecular layer - neuropil -Not detected
Molecular layer cells - cytoplasm/membrane -Not detected
Molecular layer cells - nucleus -Not detected
Processes in granular layer -Medium
Processes in molecular layer -Medium
Processes in white matter -Medium
Synaptic glomeruli - capsule -Not detected
Synaptic glomeruli - core -Not detected
White matter cells - cytoplasm/membrane -High
White matter cells - nucleus -Not detected





CEREBELLUM - HPA Brain RNA-seq
Max subtype nTPMi

Max subtype nTPM is the value for the subtype with the largest average nTPM across the subtype samples.

1099.6
Sample id Sample description nTPM
Cerebellar cortex
nTPM: 207.3
2003 Female, age 85, right hemisphere 518.2
1788 Male, age 55, unknown 201.0
1769 Male, age 76, right hemisphere 198.4
2006 Male, age 61, right hemisphere 194.7
1768 Female, age 72, unknown 167.1
2101 Male, age 74, right hemisphere 141.9
2055 Female, age 91, right hemisphere 121.9
1774 Male, age 80, left hemisphere 115.3
Cerebellar nuclei
nTPM: 1099.6
2783 Female, age 72, unknown 1358.6
2005 Male, age 80, left hemisphere 1308.2
1871 Male, age 74, unknown 1247.4
1879 Male, age 55, unknown 1090.7
2318 Male, age 74, left hemisphere 1068.6
1966 Female, age 91, left hemisphere 987.2
2175 Male, age 61, right hemisphere 986.1
2882 Male, age 76, left hemisphere 974.0
2177 Female, age 85, both hemispheres 875.3
Flocculonodular lobe
nTPM: 164.8
1765 Male, age 55, unknown 225.0
2004 Male, age 61, right hemisphere 189.3
1767 Male, age 76, left hemisphere 183.4
1792 Male, age 74, unknown 161.7
1835 Female, age 85, right hemisphere 145.8
2176 Female, age 91, right hemisphere 131.0
1771 Male, age 80, left hemisphere 117.6
Vermis
nTPM: 146.0
1770 Male, age 76, left hemisphere 221.2
2834 Male, age 80, left hemisphere 166.4
1928 Female, age 72, unknown 153.9
1778 Female, age 91, left hemisphere 142.9
1751 Male, age 74, right hemisphere 139.6
1766 Male, age 55, unknown 132.9
1825 Male, age 74, unknown 121.7
2460 Male, age 61, both hemispheres 118.9
1988 Female, age 85, left hemisphere 116.1

CEREBELLUM - GTEx RNA-seqi

RNA-Seq data generated by the Genotype-Tissue Expression (GTEx) project from human tissues is reported as mean nTPM. More information can be found on the GTEx portal.

Distribution across the dataset is visualized with box plots, shown as median and 25th and 75th percentiles. Points are displayed as outliers if they are above or below 1.5 times the interquartile range. nTPM values of the individual samples are presented next to the box plot.
Max subtype nTPMi

Max subtype nTPM is the value for the subtype with the largest average nTPM across the subtype samples.

108.2
GTEx sample id Sample description nTPM
Brain - Cerebellar Hemisphere
Average nTPM: 108.2
Samples: 215

Max nTPM: 197.8
Min nTPM: 46.7
Std nTPM: 24.4
Median nTPM: 106.3
GTEX-1CAV2-0011-R11a-SM-ARU8D 40-49 years, female 197.8
GTEX-WHSE-0011-R11A-SM-3P5YY 20-29 years, male 188.7
GTEX-1B8SG-0011-R11a-SM-7P8PF 50-59 years, male 187.7
GTEX-N7MT-0011-R11A-SM-2I3DZ 60-69 years, female 171.3
GTEX-1F7RK-0011-R11b-SM-9QEI2 20-29 years, female 166.0
GTEX-1EMGI-0011-R11b-SM-9OSWX 60-69 years, male 158.8
GTEX-12WSD-0011-R11a-SM-9OSVC 60-69 years, female 158.6
GTEX-T5JC-0011-R11A-SM-32PMB 20-29 years, male 156.0
GTEX-1HBPI-0011-R11b-SM-CE6SH 50-59 years, male 154.8
GTEX-N7MS-0011-R11A-SM-2HMJS 60-69 years, male 154.5
GTEX-1EKGG-0011-R11a-SM-9QEHZ 60-69 years, male 153.8
GTEX-16Z82-0011-R11a-SM-79OKJ 60-69 years, male 153.0
GTEX-1B933-0011-R11a-SM-7P8PM 50-59 years, female 152.5
GTEX-1F6I4-0011-R11b-SM-9OSWS 60-69 years, male 150.1
GTEX-1IKK5-0011-R11a-SM-C1YRX 60-69 years, male 147.2
GTEX-1F75W-0011-R11b-SM-AHZ34 60-69 years, male 147.0
GTEX-WL46-0011-R11A-SM-3MJFT 50-59 years, male 142.2
GTEX-1IY9M-0011-R11b-SM-A96TI 60-69 years, male 141.7
GTEX-13FLV-0011-R11a-SM-5LZZ7 50-59 years, male 139.2
GTEX-1GMRU-0011-R11b-SM-C1YQ4 50-59 years, male 139.1
GTEX-1H4P4-0011-R11b-SM-CE6S8 50-59 years, male 138.9
GTEX-X4EP-0011-R11B-SM-4QASK 60-69 years, female 138.8
GTEX-14C39-0011-R11b-SM-5YYAF 40-49 years, male 138.4
GTEX-1H3VE-0011-R11b-SM-C1YRP 40-49 years, male 138.4
GTEX-1HFI6-0011-R11b-SM-A96RU 40-49 years, male 137.5
GTEX-13NYB-0011-R11a-SM-5KM3Q 40-49 years, male 136.1
GTEX-1HGF4-0011-R11a-SM-C1YRR 60-69 years, male 135.8
GTEX-WWYW-0011-R11A-SM-3NB38 50-59 years, female 135.7
GTEX-13X6J-0011-R11a-SM-5P9HE 50-59 years, male 134.7
GTEX-13SLX-0011-R11b-SM-5O9C8 50-59 years, female 134.6
GTEX-1GMR8-0011-R11b-SM-9OSX2 50-59 years, female 134.4
GTEX-1GN73-0011-R11b-SM-9OSX4 60-69 years, male 133.9
GTEX-11DYG-0011-R11a-SM-DNZZP 60-69 years, male 133.5
GTEX-13G51-0011-R11b-SM-5J2NE 60-69 years, male 133.3
GTEX-1F75A-0011-R11a-SM-AHZ35 50-59 years, male 132.9
GTEX-1KD4Q-0011-R11b-SM-EXOIE 40-49 years, male 132.4
GTEX-1CB4G-0011-R11a-SM-9OSWG 60-69 years, male 132.0
GTEX-1JJ6O-0011-R11b-SM-EXUS2 60-69 years, male 131.8
GTEX-WZTO-0011-R11A-SM-4E3K9 40-49 years, male 127.2
GTEX-1J8Q2-0011-R11a-SM-A9SKI 60-69 years, male 126.9
GTEX-13NYS-0011-R11b-SM-5MR4P 60-69 years, male 126.7
GTEX-1C64N-0011-R11b-SM-7P8Q6 50-59 years, male 126.6
GTEX-18465-0011-R11a-SM-72D78 50-59 years, male 126.4
GTEX-1GTWX-0011-R11b-SM-C1YQJ 60-69 years, male 126.1
GTEX-ZE7O-0011-R11a-SM-57WBC 50-59 years, female 125.8
GTEX-12WSH-0011-R11a-SM-5LZVM 50-59 years, male 125.6
GTEX-1I19N-0011-R11b-SM-ARU6Y 70-79 years, male 125.3
GTEX-1R9K4-0011-R11a-SM-EZ6N9 60-69 years, male 125.3
GTEX-1ICLZ-0011-R11a-SM-CJI3N 60-69 years, male 125.1
GTEX-1F52S-0011-R11a-SM-CJI23 60-69 years, female 124.1
GTEX-16YQH-0011-R11b-SM-7LT98 30-39 years, male 123.8
GTEX-1313W-0011-R11a-SM-5DUXN 50-59 years, female 122.4
GTEX-14E7W-0011-R11a-SM-5ZZVA 70-79 years, male 122.2
GTEX-1IL2U-0011-R11a-SM-CE6SO 60-69 years, male 122.0
GTEX-Q2AG-0011-R11A-SM-2HMKZ 40-49 years, female 121.6
GTEX-13PVQ-0011-R11a-SM-5O9DU 50-59 years, male 121.5
GTEX-1IOXB-0011-R11a-SM-A9G1X 50-59 years, male 121.4
GTEX-12WSI-0011-R11b-SM-5P9EZ 50-59 years, male 120.6
GTEX-139UW-0011-R11a-SM-5IJGN 60-69 years, male 119.6
GTEX-144GL-0011-R11b-SM-5P9F6 50-59 years, male 117.2
GTEX-132Q8-0011-R11b-SM-5DUW9 60-69 years, male 117.1
GTEX-12126-0011-R11a-SM-5BC6X 20-29 years, male 117.0
GTEX-1I1GQ-0011-R11b-SM-CKZPA 50-59 years, male 117.0
GTEX-1AX9I-0011-R11b-SM-7DHN4 60-69 years, male 116.5
GTEX-13VXU-0011-R11b-SM-5O9DJ 50-59 years, male 115.8
GTEX-1GZHY-0011-R11a-SM-C1YRQ 50-59 years, female 115.8
GTEX-1I1GV-0011-R11a-SM-CJI3Z 60-69 years, male 115.8
GTEX-145MH-0011-R11a-SM-5P9HQ 50-59 years, male 115.3
GTEX-12WSF-0011-R11a-SM-5LZVT 70-79 years, male 115.1
GTEX-1B8L1-0011-R11b-SM-793DJ 60-69 years, male 115.1
GTEX-11DZ1-0011-R11b-SM-DO11W 50-59 years, male 115.1
GTEX-14E6D-0011-R11b-SM-664NP 50-59 years, male 114.7
GTEX-1H3O1-0011-R11a-SM-A96RV 60-69 years, male 114.7
GTEX-1JJEA-0011-R11a-SM-EXUTE 60-69 years, male 114.4
GTEX-12WSC-0011-R11a-SM-5GU5J 50-59 years, male 114.3
GTEX-17EVP-0011-R11a-SM-7EWDL 40-49 years, male 113.9
GTEX-1H3NZ-0011-R11b-SM-CE6SF 60-69 years, male 113.4
GTEX-139TT-0011-R11b-SM-5LZV1 60-69 years, male 112.7
GTEX-1M4P7-0011-R11b-SM-EXOIK 60-69 years, male 112.5
GTEX-T2IS-0011-R11A-SM-32QPC 20-29 years, female 112.0
GTEX-1IGQW-0011-R11a-SM-C1YRV 60-69 years, male 111.9
GTEX-15ER7-0011-R11a-SM-6LPIL 20-29 years, female 111.6
GTEX-1IDJH-0011-R11b-SM-C1YRT 70-79 years, male 111.5
GTEX-11ZUS-0011-R11b-SM-5BC7B 30-39 years, male 111.3
GTEX-13QIC-0011-R11b-SM-5O9BU 60-69 years, female 110.9
GTEX-131XH-0011-R11a-SM-5EGLN 50-59 years, male 110.6
GTEX-R55E-0011-R11A-SM-2TC6I 20-29 years, male 110.5
GTEX-ZAB4-0011-R11a-SM-4SOKI 40-49 years, male 110.5
GTEX-14ABY-0011-R11a-SM-5SI7C 50-59 years, male 110.4
GTEX-1N2DW-0011-R11b-SM-EXOIL 50-59 years, male 110.3
GTEX-13FHO-0011-R11b-SM-5LZYQ 60-69 years, male 110.0
GTEX-T6MN-0011-R11A-SM-32QOX 50-59 years, male 110.0
GTEX-18A6Q-0011-R11a-SM-72D6H 60-69 years, male 109.9
GTEX-X585-0011-R11B-SM-46MUZ 50-59 years, male 109.7
GTEX-1A3MX-0011-R11b-SM-7DUGP 60-69 years, male 109.5
GTEX-1I1GR-0011-R11a-SM-CM2T5 60-69 years, male 109.4
GTEX-NPJ8-0011-R11A-SM-2YUMS 40-49 years, male 109.3
GTEX-1E1VI-0011-R11a-SM-9OSWI 50-59 years, male 109.3
GTEX-1F48J-0011-R11b-SM-9OSWV 50-59 years, female 108.9
GTEX-1JMQJ-0011-R11a-SM-EXOJY 50-59 years, male 108.7
GTEX-13JUV-0011-R11a-SM-5LZYH 40-49 years, female 108.1
GTEX-145LU-0011-R11b-SM-5P9JX 50-59 years, male 108.0
GTEX-1HB9E-0011-R11b-SM-ARU79 50-59 years, male 107.6
GTEX-13RTJ-0011-R11a-SM-5O9CK 60-69 years, male 107.3
GTEX-1GZ4I-0011-R11b-SM-9OSWR 50-59 years, male 106.7
GTEX-1GF9W-0011-R11b-SM-9OSXG 60-69 years, male 106.6
GTEX-1LG7Y-0011-R11a-SM-EXOIH 50-59 years, male 106.5
GTEX-11WQC-0011-R11b-SM-57WD6 60-69 years, male 106.3
GTEX-1LVAO-0011-R11b-SM-EXOI8 60-69 years, male 106.0
GTEX-11OF3-0011-R11a-SM-57WCR 60-69 years, male 105.5
GTEX-ZE9C-0011-R11a-SM-4WKGG 60-69 years, male 105.2
GTEX-11ZTS-0011-R11a-SM-DO113 60-69 years, female 105.2
GTEX-1HSKV-0011-R11b-SM-AHZ2E 60-69 years, male 105.2
GTEX-18464-0011-R11a-SM-72D76 50-59 years, male 104.4
GTEX-X4XX-0011-R11A-SM-46MWQ 60-69 years, male 104.4
GTEX-ZVZQ-0011-R11a-SM-51MS6 60-69 years, female 104.2
GTEX-1H1CY-0011-R11a-SM-C1YQR 60-69 years, female 104.1
GTEX-13PLJ-0011-R11b-SM-5O9BS 60-69 years, female 104.0
GTEX-11DXY-0011-R11a-SM-DNZZN 60-69 years, male 103.0
GTEX-X261-0011-R11A-SM-4E3JY 50-59 years, male 102.8
GTEX-13CF2-0011-R11b-SM-5LZXO 60-69 years, male 102.6
GTEX-145MI-0011-R11a-SM-5P9JZ 60-69 years, female 102.2
GTEX-1B8SF-0011-R11a-SM-79OOP 60-69 years, male 101.9
GTEX-NPJ7-0011-R11A-SM-2I3E8 60-69 years, female 101.9
GTEX-13OW6-0011-R11a-SM-5L3H2 50-59 years, male 101.6
GTEX-S7SE-0011-R11A-SM-2XCDD 50-59 years, male 101.5
GTEX-13OW7-0011-R11a-SM-5O9DY 50-59 years, male 101.0
GTEX-12WSE-0011-R11b-SM-5P9JW 20-29 years, male 100.4
GTEX-13FHP-0011-R11b-SM-5LZXP 50-59 years, male 100.2
GTEX-NL4W-0011-R11A-SM-2I3DW 50-59 years, male 100.2
GTEX-14BIN-0011-R11a-SM-5SI79 50-59 years, female 99.8
GTEX-17HII-0011-R11b-SM-7KFSX 50-59 years, male 99.6
GTEX-17JCI-0011-R11a-SM-7189Y 60-69 years, female 99.6
GTEX-13FXS-0011-R11a-SM-5L3DM 50-59 years, male 99.5
GTEX-1HUB1-0011-R11b-SM-CE6SC 60-69 years, male 99.4
GTEX-1R9PO-0011-R11b-SM-EZ6NB 60-69 years, female 99.4
GTEX-15CHQ-0011-R11b-SM-686ZZ 60-69 years, male 99.3
GTEX-XMD1-0011-R11A-SM-4AT5J 60-69 years, male 98.8
GTEX-1399T-0011-R11a-SM-5J2O1 60-69 years, male 98.1
GTEX-13OW8-0011-R11a-SM-5L3GT 60-69 years, male 98.1
GTEX-14ASI-0011-R11b-SM-6AJBJ 60-69 years, male 97.9
GTEX-1N2EE-0011-R11b-SM-EXOIJ 60-69 years, male 97.9
GTEX-P44G-0011-R11A-SM-2I3FD 30-39 years, male 97.7
GTEX-1IL2V-0011-R11a-SM-ARU6T 70-79 years, male 97.7
GTEX-131XW-0011-R11a-SM-5DUV9 50-59 years, female 97.2
GTEX-13S7M-0011-R11b-SM-5P9HU 60-69 years, female 97.1
GTEX-Z93S-0011-R11a-SM-4RGNN 50-59 years, male 97.0
GTEX-13X6I-0011-R11a-SM-5P9HN 60-69 years, male 96.6
GTEX-ZF28-0011-R11a-SM-4WWEI 60-69 years, male 96.3
GTEX-14DAQ-0011-R11a-SM-664NO 60-69 years, female 96.1
GTEX-11GSP-0011-R11b-SM-5NQ7V 60-69 years, female 95.4
GTEX-YJ89-0011-R11a-SM-4SOKA 60-69 years, male 95.3
GTEX-NL3H-0011-R11A-SM-2I3E6 60-69 years, male 95.1
GTEX-13OW5-0011-R11b-SM-5L3GG 60-69 years, male 95.0
GTEX-13SLW-0011-R11a-SM-5SI8Q 70-79 years, male 94.2
GTEX-13O3Q-0011-R11b-SM-5KM2W 50-59 years, male 93.9
GTEX-13JVG-0011-R11a-SM-5KM53 60-69 years, male 93.8
GTEX-13OVH-0011-R11b-SM-5KM4X 70-79 years, male 93.6
GTEX-1LKK1-0011-R11a-SM-EXOIG 50-59 years, female 93.6
GTEX-1IKOH-0011-R11a-SM-AHZ38 60-69 years, female 92.8
GTEX-131YS-0011-R11b-SM-5EGLM 60-69 years, female 92.4
GTEX-12ZZZ-0011-R11a-SM-5EGLC 60-69 years, male 92.1
GTEX-11PRG-0011-R11b-SM-DNZZY 50-59 years, male 92.1
GTEX-16XZZ-0011-R11a-SM-7EPI3 60-69 years, male 92.0
GTEX-1BAJH-0011-R11b-SM-7IGLM 70-79 years, male 90.9
GTEX-YFC4-0011-R11a-SM-4SOK6 40-49 years, female 90.9
GTEX-1J8EW-0011-R11a-SM-AHZ37 60-69 years, female 90.6
GTEX-1H1ZS-0011-R11a-SM-C1YQM 70-79 years, male 90.5
GTEX-13OVJ-0011-R11a-SM-5P9H8 50-59 years, female 90.3
GTEX-ZDXO-0011-R11a-SM-4WWD9 60-69 years, male 90.1
GTEX-11EMC-0011-R11b-SM-DNZZK 60-69 years, female 90.1
GTEX-UTHO-0011-R11A-SM-3GIJE 60-69 years, male 89.5
GTEX-1I1GS-0011-R11a-SM-C1YRU 60-69 years, male 88.8
GTEX-1I1HK-0011-R11a-SM-B2LVN 60-69 years, male 88.8
GTEX-1LSVX-0011-R11b-SM-EXOIA 60-69 years, male 88.8
GTEX-13X6K-0011-R11a-SM-5P9F5 60-69 years, female 87.8
GTEX-ZUA1-0011-R11b-SM-51MTI 40-49 years, male 87.8
GTEX-17EVQ-0011-R11a-SM-7LT9C 70-79 years, male 87.2
GTEX-1JMOU-0011-R11b-SM-EXUTA 60-69 years, female 86.5
GTEX-ZVT3-0011-R11b-SM-57WBI 60-69 years, female 85.6
GTEX-14PN4-0011-R11a-SM-686ZW 50-59 years, male 85.5
GTEX-14BIM-0011-R11b-SM-5S2RN 60-69 years, female 85.2
GTEX-1H1DG-0011-R11a-SM-C1YQK 70-79 years, male 85.0
GTEX-14C5O-0011-R11b-SM-6872H 60-69 years, male 84.9
GTEX-13O3O-0011-R11b-SM-5KM4G 60-69 years, female 83.9
GTEX-12ZZX-0011-R11a-SM-5DUVJ 40-49 years, female 83.7
GTEX-11EI6-0011-R11a-SM-DO11V 60-69 years, male 82.3
GTEX-13OVL-0011-R11b-SM-5L3G7 50-59 years, male 81.8
GTEX-12WSM-0011-R11a-SM-5DUX8 60-69 years, male 81.3
GTEX-183WM-0011-R11a-SM-718A5 70-79 years, female 81.2
GTEX-Y8DK-0011-R11A-SM-4SOK2 60-69 years, male 81.1
GTEX-11TTK-0011-R11b-SM-DO112 60-69 years, female 81.1
GTEX-15DYW-0011-R11a-SM-6LPIT 60-69 years, female 80.9
GTEX-RVPV-0011-R11A-SM-2TF6F 60-69 years, male 80.4
GTEX-13NZA-0011-R11b-SM-5KM4W 60-69 years, male 80.3
GTEX-1J1OQ-0011-R11a-SM-A96S3 40-49 years, female 79.2
GTEX-15EO6-0011-R11b-SM-6M47M 50-59 years, male 78.2
GTEX-13FTY-0011-R11a-SM-5IJEA 40-49 years, female 76.0
GTEX-16GPK-0011-R11b-SM-7MKFF 60-69 years, male 75.1
GTEX-13N2G-0011-R11a-SM-5MR3F 60-69 years, male 74.7
GTEX-1HCU6-0011-R11b-SM-AHZ2F 60-69 years, female 73.6
GTEX-17HG3-0011-R11b-SM-7KFT4 30-39 years, female 72.7
GTEX-OHPN-0011-R11A-SM-2I5FM 60-69 years, female 72.6
GTEX-WVLH-0011-R11A-SM-3MJFO 50-59 years, male 71.8
GTEX-15G19-0011-R11b-SM-6LPIH 60-69 years, male 71.1
GTEX-11H98-0011-R11b-SM-5NQ6U 50-59 years, male 70.1
GTEX-13CZV-0011-R11b-SM-5N9FN 60-69 years, male 68.8
GTEX-16NPV-0011-R11a-SM-7IGMK 50-59 years, female 67.9
GTEX-RU72-0011-R11A-SM-CM2U1 50-59 years, female 66.2
GTEX-17F97-0011-R11b-SM-7KFRQ 50-59 years, male 64.4
GTEX-15DCD-0011-R11a-SM-D4P1R 70-79 years, female 63.8
GTEX-TSE9-0011-R11A-SM-3DB7N 60-69 years, female 62.8
GTEX-QMR6-0011-R11A-SM-32PKK 50-59 years, male 62.0
GTEX-P44H-0011-R11A-SM-2XCER 40-49 years, male 58.1
GTEX-QDT8-0011-R11A-SM-32PKD 30-39 years, female 46.7
Show allShow less
Brain - Cerebellum
Average nTPM: 108.0
Samples: 241

Max nTPM: 242.0
Min nTPM: 39.2
Std nTPM: 26.6
Median nTPM: 104.6
GTEX-1BAJH-3126-SM-7MGXY 70-79 years, male 242.0
GTEX-11GSO-3026-SM-5Q5AL 60-69 years, male 197.7
GTEX-16Z82-2926-SM-6LPJJ 60-69 years, male 187.1
GTEX-WWYW-3026-SM-3NB36 50-59 years, female 185.4
GTEX-13PVQ-2926-SM-5L3HJ 50-59 years, male 181.5
GTEX-13JUV-3026-SM-5K7WX 40-49 years, female 174.0
GTEX-Y111-2826-SM-4TT3O 50-59 years, male 173.7
GTEX-T6MN-2526-SM-32PMN 50-59 years, male 173.1
GTEX-1GF9V-3026-SM-7P8R8 60-69 years, male 168.1
GTEX-1HSKV-2926-SM-B2LWJ 60-69 years, male 159.3
GTEX-1MJK2-3026-SM-EV7A5 50-59 years, male 159.1
GTEX-ZYFD-2926-SM-5GID9 50-59 years, male 158.3
GTEX-1C6WA-3326-SM-7MKGN 60-69 years, male 154.8
GTEX-13OW7-2926-SM-5MR3Z 50-59 years, male 152.5
GTEX-WHSE-2926-SM-3NMBG 20-29 years, male 152.5
GTEX-WL46-2826-SM-3LK81 50-59 years, male 151.7
GTEX-WVLH-2926-SM-3MJG5 50-59 years, male 150.3
GTEX-1B8SG-1926-SM-73KUB 50-59 years, male 149.5
GTEX-N7MS-2526-SM-2D7W3 60-69 years, male 143.4
GTEX-1313W-3026-SM-5LZUZ 50-59 years, female 143.3
GTEX-T5JC-2326-SM-32PMR 20-29 years, male 143.1
GTEX-Q2AG-2826-SM-2HMJQ 40-49 years, female 142.3
GTEX-1EMGI-3126-SM-7MXUR 60-69 years, male 141.5
GTEX-T2IS-2926-SM-32QPO 20-29 years, female 140.5
GTEX-16YQH-2926-SM-6LPJE 30-39 years, male 140.3
GTEX-1192X-3226-SM-5987D 50-59 years, male 139.2
GTEX-ZAB4-2926-SM-57WCV 40-49 years, male 136.5
GTEX-13NYB-3226-SM-5J2ND 40-49 years, male 135.5
GTEX-12WSC-2926-SM-5BC5Z 50-59 years, male 135.2
GTEX-1E2YA-2926-SM-7MGWX 50-59 years, male 134.7
GTEX-RNOR-2226-SM-2TF5O 50-59 years, female 134.2
GTEX-145MG-3126-SM-5Q5D3 50-59 years, male 133.9
GTEX-ZVT3-2926-SM-5GU6M 60-69 years, female 133.7
GTEX-1EKGG-3126-SM-9WPO5 60-69 years, male 133.7
GTEX-13RTJ-3126-SM-5S2Q4 60-69 years, male 133.5
GTEX-S7SE-2526-SM-2XCDL 50-59 years, male 133.0
GTEX-145MF-2826-SM-7EPGU 50-59 years, male 132.5
GTEX-17JCI-3026-SM-7EWDR 60-69 years, female 131.5
GTEX-1E1VI-2926-SM-7IGLT 50-59 years, male 131.3
GTEX-13OVL-3026-SM-5IJF1 50-59 years, male 130.3
GTEX-1A8G7-3026-SM-73KTT 60-69 years, male 129.5
GTEX-11ZTS-3226-SM-5EGID 60-69 years, female 128.4
GTEX-12WSD-3026-SM-5LZU7 60-69 years, female 128.0
GTEX-13OVJ-2726-SM-5IJG6 50-59 years, female 127.4
GTEX-1NV8Z-3026-SM-DTX8Z 60-69 years, male 126.6
GTEX-13FXS-3026-SM-5LZYO 50-59 years, male 126.0
GTEX-X4EP-3026-SM-3P5YP 60-69 years, female 125.9
GTEX-1RDX4-3226-SM-DPS14 50-59 years, female 125.9
GTEX-13OW5-3126-SM-5MR3Y 60-69 years, male 125.7
GTEX-117XS-3126-SM-5GIDP 60-69 years, male 125.1
GTEX-1QP6S-3026-SM-EAZ4N 40-49 years, male 125.1
GTEX-12ZZY-2926-SM-5DUXO 60-69 years, male 124.9
GTEX-12ZZZ-3126-SM-5LZU6 60-69 years, male 124.7
GTEX-12126-0926-SM-5FQTW 20-29 years, male 124.3
GTEX-1PIIG-2826-SM-DTX7O 30-39 years, male 124.3
GTEX-13SLX-3226-SM-5YYA6 50-59 years, female 124.2
GTEX-1RQEC-3026-SM-DPRXM 60-69 years, male 123.2
GTEX-1C64N-3126-SM-79OO3 50-59 years, male 123.0
GTEX-1JJE9-3026-SM-CNNPA 70-79 years, male 122.8
GTEX-13OW6-2926-SM-5KM29 50-59 years, male 122.2
GTEX-1I1CD-2926-SM-A96SJ 60-69 years, female 121.5
GTEX-11GSP-3126-SM-5A5LL 60-69 years, female 121.4
GTEX-YJ89-2926-SM-5P9IT 60-69 years, male 120.6
GTEX-1JJ6O-3026-SM-C1YQH 60-69 years, male 119.7
GTEX-14DAQ-3026-SM-5S2QZ 60-69 years, female 119.5
GTEX-1KD4Q-3026-SM-EV7A7 40-49 years, male 118.8
GTEX-11ZUS-2826-SM-5EQKW 30-39 years, male 117.8
GTEX-1HBPH-3026-SM-9WPNY 40-49 years, female 116.2
GTEX-XLM4-2926-SM-4AT59 60-69 years, male 115.7
GTEX-1H1ZS-2926-SM-9WPP2 70-79 years, male 115.5
GTEX-1R9PO-2826-SM-E6CPV 60-69 years, female 115.5
GTEX-WZTO-2826-SM-3NM8P 40-49 years, male 115.0
GTEX-1B933-3026-SM-731DB 50-59 years, female 114.9
GTEX-1JMLX-3026-SM-EV79Q 50-59 years, male 114.9
GTEX-1GZ2Q-3026-SM-9JGG3 40-49 years, male 114.1
GTEX-11ONC-3026-SM-5985W 60-69 years, male 114.0
GTEX-131XH-2926-SM-5LZU4 50-59 years, male 113.8
GTEX-13FHP-2926-SM-5IJG9 50-59 years, male 113.7
GTEX-1JMPZ-2826-SM-C1YRA 30-39 years, male 113.7
GTEX-14JIY-2326-SM-6AJAJ 60-69 years, male 113.5
GTEX-14PN4-3026-SM-664O4 50-59 years, male 113.4
GTEX-11OC5-0626-SM-5HL6M 60-69 years, male 113.3
GTEX-1RNSC-3126-SM-EVR4V 60-69 years, male 113.3
GTEX-1B8L1-3226-SM-7P8OX 60-69 years, male 113.1
GTEX-1JMQJ-3126-SM-EV79G 50-59 years, male 112.8
GTEX-1EWIQ-3026-SM-7IGOJ 70-79 years, female 112.3
GTEX-ZUA1-2926-SM-59HL3 40-49 years, male 112.2
GTEX-131YS-3026-SM-5EGHY 60-69 years, female 111.8
GTEX-11DXY-3126-SM-5N9BT 60-69 years, male 111.2
GTEX-12WSE-2926-SM-5RQJ9 20-29 years, male 110.9
GTEX-1HSMO-2926-SM-C1YR5 60-69 years, male 110.9
GTEX-1A3MX-2926-SM-718B7 60-69 years, male 110.3
GTEX-11DXW-1026-SM-5H11K 40-49 years, male 109.8
GTEX-1128S-2826-SM-5N9DI 60-69 years, female 109.7
GTEX-1H1CY-3026-SM-9OSW7 60-69 years, female 109.6
GTEX-144GL-2926-SM-5O99F 50-59 years, male 109.5
GTEX-11NUK-3026-SM-5986K 50-59 years, male 109.2
GTEX-1B8SF-3026-SM-731DX 60-69 years, male 109.1
GTEX-145MH-2926-SM-5Q5D2 50-59 years, male 108.7
GTEX-17EVP-2926-SM-793BU 40-49 years, male 108.7
GTEX-1F6I4-3026-SM-7P8SI 60-69 years, male 108.0
GTEX-1HCVE-2926-SM-9WPPJ 50-59 years, male 108.0
GTEX-13O3O-3026-SM-5KM42 60-69 years, female 107.4
GTEX-13VXU-3026-SM-5LU3K 50-59 years, male 107.1
GTEX-18465-2926-SM-7KFSE 50-59 years, male 106.6
GTEX-1LG7Y-3126-SM-EV7AS 50-59 years, male 106.6
GTEX-145LS-3026-SM-5O99S 60-69 years, female 106.5
GTEX-11DYG-2926-SM-5H132 60-69 years, male 106.1
GTEX-1F75W-3126-SM-7P8SJ 60-69 years, male 105.9
GTEX-13OVH-2926-SM-5IJFH 70-79 years, male 105.8
GTEX-Z93S-2826-SM-57WBL 50-59 years, male 105.7
GTEX-Y8DK-0726-SM-4TT3S 60-69 years, male 105.6
GTEX-13OW8-2926-SM-5L3FV 60-69 years, male 105.5
GTEX-139TS-3126-SM-5LZWX 60-69 years, male 105.4
GTEX-11DZ1-2926-SM-5A5KI 50-59 years, male 105.2
GTEX-1HBPI-2726-SM-9WPPF 50-59 years, male 105.2
GTEX-145LU-2626-SM-5LU9Z 50-59 years, male 104.8
GTEX-1IY9M-3126-SM-AHZ3A 60-69 years, male 104.8
GTEX-1KWVE-2226-SM-CXZKN 30-39 years, male 104.8
GTEX-13112-2926-SM-5DUWT 50-59 years, male 104.6
GTEX-14E7W-2926-SM-5S2R8 70-79 years, male 104.6
GTEX-1F48J-2726-SM-7P8PW 50-59 years, female 104.4
GTEX-147F4-3026-SM-5Q5BJ 50-59 years, male 104.2
GTEX-ZAJG-3026-SM-5HL92 50-59 years, female 104.1
GTEX-1IDJH-3126-SM-C1YQS 70-79 years, male 104.1
GTEX-14E6D-2926-SM-664OP 50-59 years, male 103.9
GTEX-ZF28-2926-SM-4WKG1 60-69 years, male 103.8
GTEX-XMD1-2826-SM-4AT5F 60-69 years, male 103.7
GTEX-1EH9U-3126-SM-7MXU5 60-69 years, male 103.6
GTEX-11EI6-2926-SM-5985U 60-69 years, male 103.5
GTEX-1C6VR-3026-SM-7IGLW 60-69 years, male 103.2
GTEX-11O72-2826-SM-5HL6W 40-49 years, male 103.1
GTEX-15ER7-3026-SM-6M47W 20-29 years, female 102.8
GTEX-R55E-2526-SM-2TC6H 20-29 years, male 102.8
GTEX-ZDXO-2926-SM-4WKFM 60-69 years, male 102.8
GTEX-1H4P4-2726-SM-9JGGB 50-59 years, male 102.5
GTEX-12ZZX-2826-SM-5BC6K 40-49 years, female 102.4
GTEX-17HG3-2826-SM-7EPGO 30-39 years, female 102.1
GTEX-1GZ4I-2926-SM-9JGGO 50-59 years, male 102.1
GTEX-139TT-2626-SM-5LZUB 60-69 years, male 101.8
GTEX-1F75A-2926-SM-7MXVN 50-59 years, male 101.3
GTEX-13CF2-3026-SM-5IFFX 60-69 years, male 100.8
GTEX-13JVG-3226-SM-5IJGJ 60-69 years, male 100.7
GTEX-18A6Q-2826-SM-7LTAO 60-69 years, male 100.2
GTEX-1JJEA-2926-SM-C1YSK 60-69 years, male 100.0
GTEX-12WSH-3126-SM-5LZW8 50-59 years, male 99.7
GTEX-14ABY-3026-SM-664NE 50-59 years, male 99.4
GTEX-1LSVX-2826-SM-EVR58 60-69 years, male 99.4
GTEX-13X6J-2926-SM-7EPGP 50-59 years, male 99.3
GTEX-1399T-3126-SM-5IJFS 60-69 years, male 99.0
GTEX-14C5O-2926-SM-5RQI1 60-69 years, male 99.0
GTEX-147GR-3126-SM-5S2PM 60-69 years, male 98.2
GTEX-11EMC-3326-SM-5P9JH 60-69 years, female 98.1
GTEX-13G51-3126-SM-5IJG7 60-69 years, male 98.1
GTEX-13QIC-3026-SM-5LU58 60-69 years, female 97.7
GTEX-14JG1-2926-SM-686ZK 40-49 years, male 97.5
GTEX-1EU9M-2926-SM-793DF 60-69 years, male 97.3
GTEX-14PJO-2926-SM-686ZI 60-69 years, male 97.2
GTEX-1KANB-3226-SM-D4P3G 50-59 years, male 97.1
GTEX-17HII-2926-SM-79OMK 50-59 years, male 97.0
GTEX-14ASI-2926-SM-5Q5DG 60-69 years, male 96.8
GTEX-UTHO-2926-SM-3P5Z9 60-69 years, male 96.4
GTEX-11NV4-2226-SM-5BC4T 60-69 years, male 95.9
GTEX-111FC-3326-SM-5GZYV 60-69 years, male 95.8
GTEX-X261-3126-SM-4PQZC 50-59 years, male 95.8
GTEX-1GZHY-3026-SM-7MXVA 50-59 years, female 95.8
GTEX-17EVQ-2726-SM-7EWDT 70-79 years, male 95.6
GTEX-1GF9W-2726-SM-9JGGW 60-69 years, male 95.6
GTEX-14BIM-3126-SM-5Q5C7 60-69 years, female 95.4
GTEX-1QEPI-3026-SM-EXOIW 60-69 years, female 94.9
GTEX-1EX96-3126-SM-9JGGC 50-59 years, male 94.8
GTEX-14C39-3026-SM-5S2QE 40-49 years, male 94.1
GTEX-1R46S-3126-SM-DPRZ9 60-69 years, female 93.7
GTEX-13S7M-3026-SM-5S2QQ 60-69 years, female 93.1
GTEX-1HB9E-3126-SM-AHZ4M 50-59 years, male 92.6
GTEX-17HHY-2926-SM-79OJW 50-59 years, male 92.5
GTEX-1H3O1-1826-SM-A96TO 60-69 years, male 92.4
GTEX-1CB4G-2926-SM-7MKFQ 60-69 years, male 92.3
GTEX-1B996-2926-SM-7MXUH 60-69 years, male 92.3
GTEX-1GTWX-2926-SM-7MXV4 60-69 years, male 91.7
GTEX-13X6K-2826-SM-5O9DS 60-69 years, female 91.6
GTEX-13N2G-3126-SM-5IJGL 60-69 years, male 91.4
GTEX-1F6IF-3026-SM-7P8QN 60-69 years, male 91.4
GTEX-NPJ8-2626-SM-2D7W2 40-49 years, male 91.3
GTEX-1POEN-2726-SM-E9U6B 30-39 years, female 91.2
GTEX-13X6I-2926-SM-5Q5C3 60-69 years, male 91.1
GTEX-1F52S-3026-SM-7P8PV 60-69 years, female 91.1
GTEX-YFC4-3026-SM-5IFJK 40-49 years, female 90.9
GTEX-14JFF-2826-SM-6871Q 60-69 years, male 90.6
GTEX-16XZZ-2926-SM-6LPK4 60-69 years, male 90.6
GTEX-1IL2V-3026-SM-CYPSA 70-79 years, male 90.6
GTEX-ZAK1-2926-SM-5HL9S 50-59 years, female 90.0
GTEX-15EO6-2926-SM-6M48D 50-59 years, male 89.3
GTEX-14BMV-2926-SM-5TDEE 50-59 years, male 89.0
GTEX-1IKOH-2826-SM-CNNRC 60-69 years, female 89.0
GTEX-13O3Q-3026-SM-5IJGD 50-59 years, male 88.7
GTEX-1JN1M-3126-SM-AHZ4E 60-69 years, female 88.2
GTEX-1GN73-3026-SM-7MXV8 60-69 years, male 88.1
GTEX-11ZVC-3026-SM-59HJM 50-59 years, female 88.0
GTEX-132Q8-2926-SM-5IFFP 60-69 years, male 87.7
GTEX-1PWST-3026-SM-EAZ3H 70-79 years, male 87.7
GTEX-15DYW-3026-SM-7KFRM 60-69 years, female 87.4
GTEX-17F97-2926-SM-7DUEQ 50-59 years, male 86.5
GTEX-1A8G6-3126-SM-731D8 60-69 years, male 86.2
GTEX-1J1OQ-3126-SM-D4P2O 40-49 years, female 85.9
GTEX-11TTK-2826-SM-5GU5K 60-69 years, female 85.7
GTEX-1P4AB-3026-SM-EXOJS 50-59 years, male 85.7
GTEX-X4XX-2926-SM-3NMB1 60-69 years, male 84.2
GTEX-1JMOU-2826-SM-EV79R 60-69 years, female 83.6
GTEX-1H1DG-2826-SM-9JGHB 70-79 years, male 83.1
GTEX-14A5I-2826-SM-5SIBF 50-59 years, female 82.5
GTEX-N7MT-1226-SM-DKPOK 60-69 years, female 82.5
GTEX-PVOW-2626-SM-32PL8 40-49 years, male 82.0
GTEX-14PJM-3026-SM-6LLHM 50-59 years, female 81.9
GTEX-ZZPT-2926-SM-5EQ5S 50-59 years, male 79.8
GTEX-1JMQK-2926-SM-D4P2T 60-69 years, male 79.4
GTEX-13FHO-2926-SM-5L3ES 60-69 years, male 78.3
GTEX-TSE9-2926-SM-3DB77 60-69 years, female 78.3
GTEX-ZYY3-3026-SM-5GIEJ 60-69 years, female 77.1
GTEX-1269C-3126-SM-5EGI6 60-69 years, female 76.4
GTEX-1I1GV-3026-SM-CNNR9 60-69 years, male 76.2
GTEX-14BIN-3326-SM-5Q5E6 50-59 years, female 75.4
GTEX-QVUS-2926-SM-3GIJB 60-69 years, female 75.1
GTEX-QVJO-1325-SM-2S1QX 60-69 years, female 74.3
GTEX-PWO3-1026-SM-2I5F2 60-69 years, female 74.0
GTEX-15G19-2826-SM-6M48K 60-69 years, male 73.9
GTEX-11PRG-2826-SM-5BC54 50-59 years, male 73.3
GTEX-12WSM-2126-SM-5GCOC 60-69 years, male 72.7
GTEX-QDT8-3026-SM-32PKB 30-39 years, female 72.4
GTEX-RU72-2926-SM-2TF66 50-59 years, female 71.5
GTEX-15SHU-3026-SM-6LPIB 40-49 years, female 68.1
GTEX-183WM-2726-SM-7KFRF 70-79 years, female 67.9
GTEX-1I1HK-2726-SM-AHZ2M 60-69 years, male 67.6
GTEX-1H3VE-2826-SM-9WPOL 40-49 years, male 65.8
GTEX-OHPN-2626-SM-2I5H1 60-69 years, female 65.6
GTEX-QMR6-1326-SM-32PLB 50-59 years, male 63.8
GTEX-1CB4H-3026-SM-79OLX 60-69 years, female 63.6
GTEX-P44H-2426-SM-2XCEJ 40-49 years, male 51.5
GTEX-P44G-2526-SM-2I5EK 30-39 years, male 50.9
GTEX-NPJ7-2826-SM-2I3FU 60-69 years, female 43.7
GTEX-1H3NZ-2926-SM-9WPQ8 60-69 years, male 39.2
Show allShow less

CEREBELLUM - FANTOM5 CAGEi

RNA expression in human tissues obtained through Cap Analysis of Gene Expression (CAGE) generated by the FANTOM5 project are reported as Scaled Tags Per Million.

Max subtype Scaled Tags Per Millioni

Max subtype Scaled Tags Per Million is the value for the subtype with the largest average Scaled Tags Per Million across the subtype samples.

105.6
FANTOM5 sample id Sample description Scaled Tags Per Million
Cerebellum
Scaled Tags Per Million: 105.6
FF:10083-102B2 22-68 years, mixed 158.8
FF:10166-103B4 76 years, female 52.3

CEREBELLUM - Pig RNA-seqi

RNA-seq data obtained from pig brain is reported as nTPM .

Normal distribution across the dataset is visualized with box plots, shown as median and 25th and 75th percentiles. Points are displayed as outliers if they are above or below 1.5 times the interquartile range. nTPM values of the individual samples are presented next to the box plot.
Max subtype nTPMi

Max subtype nTPM is the value for the subtype with the largest average nTPM across the subtype samples.

185.3
Pig sample Sample description nTPM
Cerebellum
nTPM: 185.3
Samples: 4

Max nTPM: 266.0
Min nTPM: 139.0
Sample A Female 266.0
Sample B Female 178.2
Sample C Male 139.0
Sample D Male 157.9

CEREBELLUM - Mouse RNA-seqi

RNA-seq data obtained from mouse brain is reported as nTPM .

Normal distribution across the dataset is visualized with box plots, shown as median and 25th and 75th percentiles. Points are displayed as outliers if they are above or below 1.5 times the interquartile range. nTPM values of the individual samples are presented next to the box plot.
Max subtype nTPMi

Max subtype nTPM is the value for the subtype with the largest average nTPM across the subtype samples.

326.9
Mouse sample Sample description nTPM
Cerebellum
nTPM: 326.9
Samples: 4

Max nTPM: 342.6
Min nTPM: 319.3
Sample A Male 342.6
Sample B Male 319.4
Sample C Female 326.3
Sample D Female 319.3

CEREBELLUM - Allen Mouse ISHi

In situ hybridization (ISH) data generated by the Allen brain atlas from mouse brain is reported as expression energy. For more details about a particular experiment, click on the corresponding Allen experiment ID.

Max subtype Expression energyi

Max subtype Expression energy is the value for the subtype with the largest average Expression energy across the subtype samples.

17.8
Allen experiment id Experiment description Expression energy
Cerebellum
Expression energy: 17.8
69015613 Antisense, RP_050315_01_C12, Mouse strain C57BL/6J (56 days, male) 17.8

Contact

  • NEWS ARTICLES
  • PRESS ROOM

The Project

  • INTRODUCTION
  • ORGANIZATION
  • PUBLICATIONS

The Human Protein Atlas

  • DOWNLOADABLE DATA
  • LICENCE & CITATION
  • HELP & FAQ
The Human Protein Atlas project is funded
by the Knut & Alice Wallenberg Foundation.


contact@proteinatlas.org