We use cookies to enhance the usability of our website. If you continue, we'll assume that you are happy to receive all cookies. More information. Don't show this again.
SSBP1
HPA
RESOURCES
  • TISSUE
  • BRAIN
  • SINGLE CELL
  • SUBCELLULAR
  • CANCER
  • BLOOD
  • CELL LINE
  • STRUCTURE & INTERACTION
ABOUT
  • INTRODUCTION
  • HISTORY
  • ORGANIZATION
  • PUBLICATIONS
  • ANTIBODY SUBMISSION
  • ANTIBODY AVAILABILITY
  • ACKNOWLEDGMENTS
  • CONTACT
NEWS
  • NEWS ARTICLES
  • PRESS ROOM
LEARN
  • DICTIONARY
  • PROTEIN CLASSES
  • PROTEIN EVIDENCE
  • METHODS
  • EDUCATIONAL VIDEOS
DATA
  • DOWNLOADABLE DATA
  • PUBLICATION DATA
  • RELEASE HISTORY
HELP
  • ANTIBODY VALIDATION
  • ASSAYS & ANNOTATION
  • DISCLAIMER
  • HELP & FAQ
  • PRIVACY STATEMENT
  • LICENCE & CITATION
Fields »
Search result

Field
Term
Gene name
Class
Subclass
Class
Keyword
Chromosome
External id
Tissue
Cell type
Expression
Antibody panel
Tissue
Main location
Patient ID
Annotation
Tissue
Category
Tau score
Cluster
Reliability
Brain region
Category
Tau score
Brain region
Category
Tau score
Brain region
Category
Tau score
Cluster
Reliability
Tissue
Cell type
Enrichment
Cell type
Category
Tau score
Cell type
Category
Tau score
Cell type
Category
Tau score
Cell lineage
Category
Tau score
Cluster
Cluster
Location
Searches
Location
Cell line
Class
Type
Phase
Reliability
Cancer
Prognosis
Cancer
Category
Cancer
Category
Tau score
Cluster
Variants
Interacting gene (ensg_id)
Type
Number of interactions
Pathway
Category
Score
Score
Score
Validation
Validation
Validation
Validation
Antibodies
Data type
Column


  • SUMMARY

  • TISSUE

  • BRAIN

  • SINGLE CELL

  • SUBCELL

  • CANCER

  • BLOOD

  • CELL LINE

  • STRUCT & INT

  • SSBP1
TISSUE PRIMARY DATA ADRENAL GLAND Show tissue menu
ADIPOSE TISSUE ADRENAL GLAND AMYGDALA APPENDIX BASAL GANGLIA BONE MARROW BREAST BRONCHUS CEREBELLUM CEREBRAL CORTEX CERVIX CHOROID PLEXUS COLON DUODENUM
ENDOMETRIUM EPIDIDYMIS ESOPHAGUS FALLOPIAN TUBE GALLBLADDER HEART MUSCLE HIPPOCAMPAL FORMATION HYPOTHALAMUS KIDNEY LIVER LUNG LYMPH NODE MIDBRAIN NASOPHARYNX
ORAL MUCOSA OVARY PANCREAS PARATHYROID GLAND PITUITARY GLAND PLACENTA PROSTATE RECTUM RETINA SALIVARY GLAND SEMINAL VESICLE SKELETAL MUSCLE SKIN SMALL INTESTINE
SMOOTH MUSCLE SOFT TISSUE SPINAL CORD SPLEEN STOMACH TESTIS THYMUS THYROID GLAND TONGUE TONSIL URINARY BLADDER VAGINA
ANTIBODIES
AND
VALIDATION
Dictionary
Adrenal gland
Tissue proteome
Adrenal gland
ADRENAL GLAND - Expression summary
Protein expression
Adrenal glandi

On the top, protein expression in current human tissue, based on all annotated cell types, is reported with the units not detected (n), low (l), medium (m) and high (h). Underneath, protein expression in each annotated cell type are reported using the same units.

Protein expression data is based on knowledge-based annotation. For genes where more than one antibody has been used, a collective score is set.

If knowledge-based annotation could not be performed for a gene, no data is displayed here. View antibody staining data further down this page.

h
m
l
n
Glandular cells: Medium
RNA expressioni

A summary of mRNA expression data available for current tissue based on several datasets. The mRNA expression levels in human tissues are based on RNA-seq data generated by the Human Protein Atlas (HPA), Genotype-Tissue Expression (GTEx) portal and CAGE data generated by the FANTOM5 consortium. Consensus normalized expression levels for human tissues was created by combining the data from HPA and GTEx datasets.

The mRNA expression levels in pig are based on RNA-seq data generated by the Human Protein Atlas (HPA), and for mouse, HPA data and in situ hybridization generated by the Allen brain atlas are reported.

Scroll down to view mRNA expression data in more detail.
Consensus:101.8 nTPM
HPA:85.3 nTPM
GTEx:101.8 nTPM

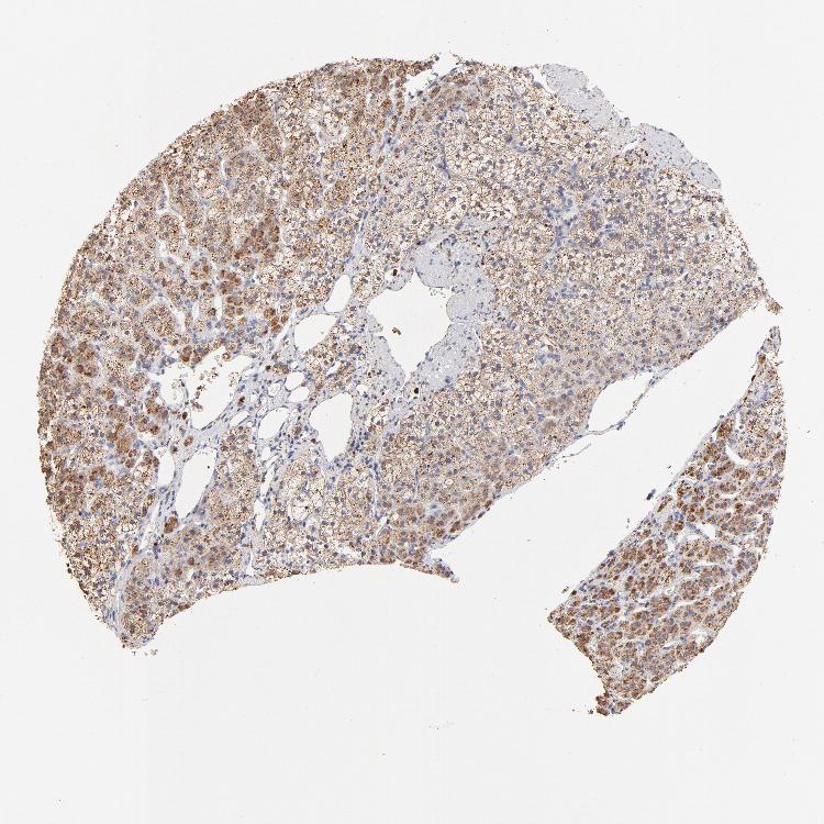
ADRENAL GLAND - Antibody stainingi

Antibody staining in the annotated cell types in the current human tissue is reported as not detected, low, medium, or high, based on conventional immunohistochemistry profiling in selected tissues. This score is based on the combination of the staining intensity and fraction of stained cells.

Each image is clickable and will lead to virtual microscopy that enables deeper exploration of all samples and also displays staining intensity scores, fraction scores and subcellular localization as well as patient and tissue information for each sample.

Antibody HPA002866
Glandular cells High



ADRENAL GLAND - HPA RNA-seqi

The RNA-seq details section shows detailed information about the individual samples used for the transcript profiling and results of the RNA-seq analysis.

Information about each individual sample is listed below, including gender, age, a tissue section image and estimated fractions of cell types. nTPM (normalized transcripts per million) values give a quantification of the gene abundance which is comparable between different genes and samples.
Average nTPMi

Max subtype nTPM is the value for the subtype with the largest average nTPM across the subtype samples.

85.3
overview
Female, age 62
Adrenal gland sample 87
nTPM: 103.2
Cell types%
Cortical cells:
50

Medullary cells:
40

Other cell types:
10

overview
Female, age 36
Adrenal gland sample 88
nTPM: 89.5
Cell types%
Cortical cells:
50

Medullary cells:
40

Other cell types:
10

overview
Female, age 63
Adrenal gland sample 89
nTPM: 63.1
Cell types%
Cortical cells:
50

Medullary cells:
40

Other cell types:
10


ADRENAL GLAND - GTEx RNA-seqi

RNA-Seq data generated by the Genotype-Tissue Expression (GTEx) project from human tissues is reported as mean nTPM. More information can be found on the GTEx portal.

Distribution across the dataset is visualized with box plots, shown as median and 25th and 75th percentiles. Points are displayed as outliers if they are above or below 1.5 times the interquartile range. nTPM values of the individual samples are presented next to the box plot.
Max subtype nTPMi

Max subtype nTPM is the value for the subtype with the largest average nTPM across the subtype samples.

101.8
GTEx sample id Sample description nTPM
Adrenal Gland
Average nTPM: 101.8
Samples: 258

Max nTPM: 233.7
Min nTPM: 63.2
Std nTPM: 21.2
Median nTPM: 98.8
GTEX-1PWST-2126-SM-DPRZ5 70-79 years, male 233.7
GTEX-1B996-2026-SM-7MKG7 60-69 years, male 216.9
GTEX-13FH7-0226-SM-5IFGG 50-59 years, female 170.3
GTEX-147F4-2526-SM-5NQBB 50-59 years, male 162.1
GTEX-ZT9W-0126-SM-4YCFD 50-59 years, male 154.9
GTEX-14A5I-2126-SM-5NQA8 50-59 years, female 151.6
GTEX-1PIIG-1426-SM-EXOIS 30-39 years, male 148.2
GTEX-13O1R-2326-SM-5IJF9 60-69 years, male 146.2
GTEX-132QS-0126-SM-5IFH9 60-69 years, male 144.9
GTEX-Y3IK-0226-SM-51MRJ 50-59 years, female 144.9
GTEX-1HCU6-1826-SM-C1YRN 60-69 years, female 144.9
GTEX-QXCU-1326-SM-48FE2 50-59 years, male 139.0
GTEX-1GN73-1526-SM-9WPP1 60-69 years, male 137.5
GTEX-RWSA-1726-SM-47JX7 40-49 years, male 137.3
GTEX-11TT1-0126-SM-5LUAA 20-29 years, male 131.7
GTEX-Y9LG-0126-SM-5Q59W 30-39 years, male 131.2
GTEX-14XAO-0326-SM-6ETZN 60-69 years, female 130.6
GTEX-14PJM-2226-SM-6AJAT 50-59 years, female 130.4
GTEX-QEG5-1826-SM-CE6QW 20-29 years, male 129.8
GTEX-1J8Q3-0326-SM-CE6TD 60-69 years, male 129.6
GTEX-132AR-1726-SM-5EGHQ 50-59 years, female 129.3
GTEX-1211K-0126-SM-59HJE 60-69 years, female 129.1
GTEX-12696-0626-SM-5EGGD 60-69 years, male 127.8
GTEX-1QMI2-1926-SM-EAZ4B 60-69 years, male 127.4
GTEX-1F5PL-2326-SM-7MKFC 40-49 years, female 126.2
GTEX-PLZ5-0326-SM-3P614 50-59 years, male 125.7
GTEX-1QP2A-2626-SM-EAZ3L 50-59 years, male 125.1
GTEX-W5WG-1126-SM-4LMK4 50-59 years, female 124.5
GTEX-13CF3-0126-SM-5IFFM 60-69 years, female 124.3
GTEX-1GN1V-1626-SM-7PBZF 60-69 years, male 124.2
GTEX-1I1GU-0226-SM-AHZ2J 40-49 years, male 122.8
GTEX-13O3O-1626-SM-5KM1O 60-69 years, female 122.3
GTEX-S32W-0126-SM-4AD61 50-59 years, female 122.2
GTEX-XV7Q-0226-SM-4BRVL 40-49 years, female 121.6
GTEX-16MT8-1626-SM-7EWDW 60-69 years, female 121.3
GTEX-WQUQ-0126-SM-4OOSS 60-69 years, male 121.0
GTEX-RUSQ-0226-SM-47JWT 50-59 years, male 120.1
GTEX-O5YT-1326-SM-3MJGR 20-29 years, male 119.8
GTEX-12WSD-2126-SM-5LZWK 60-69 years, female 119.7
GTEX-P4QS-1326-SM-3NMCD 60-69 years, male 119.2
GTEX-OIZF-1326-SM-3MJGU 60-69 years, male 118.1
GTEX-Q2AH-0126-SM-48U2B 40-49 years, male 118.0
GTEX-QLQ7-0126-SM-CL55R 60-69 years, male 117.8
GTEX-14C38-1726-SM-5RQJC 50-59 years, male 117.7
GTEX-Y5LM-0126-SM-4VBRL 40-49 years, female 117.7
GTEX-1M5QR-1726-SM-EV7AU 40-49 years, male 117.7
GTEX-131XG-1326-SM-5DUX4 50-59 years, female 116.1
GTEX-XYKS-0926-SM-4BRVG 60-69 years, female 115.9
GTEX-1AX9J-0626-SM-72D7L 60-69 years, male 115.0
GTEX-Y114-0526-SM-4TT8V 50-59 years, female 114.7
GTEX-1R7EV-1726-SM-E6CR8 40-49 years, male 114.1
GTEX-ZYVF-1626-SM-5N9EH 50-59 years, female 113.7
GTEX-13111-0326-SM-5DUXF 50-59 years, male 112.6
GTEX-WHPG-1526-SM-4M1ZK 50-59 years, male 112.6
GTEX-ZA64-0226-SM-5HL9C 20-29 years, male 112.5
GTEX-11XUK-0126-SM-5CVLK 40-49 years, female 112.3
GTEX-XMK1-0226-SM-4B65D 40-49 years, male 112.3
GTEX-1H1E6-1026-SM-9JGFZ 30-39 years, male 112.3
GTEX-YFCO-0126-SM-4W1YT 40-49 years, male 112.0
GTEX-18A7A-1826-SM-7KFTU 50-59 years, female 111.8
GTEX-Y5V5-1326-SM-4V6G9 60-69 years, female 111.4
GTEX-1QPFJ-2526-SM-EXOJX 30-39 years, female 111.3
GTEX-15EU6-0326-SM-6M48I 50-59 years, male 110.9
GTEX-QMRM-0126-SM-CJI1R 50-59 years, male 110.2
GTEX-1PPH8-0826-SM-DTX9T 20-29 years, male 110.0
GTEX-111YS-0126-SM-5987T 60-69 years, male 109.8
GTEX-1399S-0426-SM-5IFG5 30-39 years, female 109.7
GTEX-VJYA-0526-SM-4KL1R 60-69 years, male 109.6
GTEX-R55E-1826-SM-EXOHD 20-29 years, male 109.5
GTEX-14PK6-0126-SM-664O1 70-79 years, female 109.2
GTEX-U3ZN-0826-SM-4DXSZ 30-39 years, female 109.2
GTEX-QLQW-0226-SM-447BJ 30-39 years, male 109.1
GTEX-1KWVE-0726-SM-D4P3O 30-39 years, male 108.9
GTEX-14JG6-0126-SM-68726 30-39 years, female 108.3
GTEX-ZEX8-0626-SM-DO118 50-59 years, male 108.3
GTEX-ZYFG-0926-SM-5BC5U 60-69 years, female 108.0
GTEX-1RAZQ-0226-SM-EV7BK 30-39 years, male 108.0
GTEX-P4QT-1326-SM-3NMD3 50-59 years, female 107.2
GTEX-1NUQO-0626-SM-E6CQT 20-29 years, female 106.9
GTEX-13W3W-1326-SM-5LU4T 60-69 years, female 106.8
GTEX-18D9B-1926-SM-7KFSV 60-69 years, male 106.7
GTEX-1AX9K-0126-SM-7PC1B 50-59 years, male 106.7
GTEX-QDVN-0426-SM-48TZ6 50-59 years, male 106.4
GTEX-REY6-1726-SM-48FDL 60-69 years, male 106.4
GTEX-ZT9X-0126-SM-4YCFC 40-49 years, male 106.2
GTEX-ZP4G-0126-SM-4YCE3 20-29 years, female 106.0
GTEX-12WSJ-0126-SM-5GCOM 40-49 years, female 105.9
GTEX-1A8FM-1926-SM-7MXTX 50-59 years, female 105.9
GTEX-14H4A-0226-SM-5SI6Q 40-49 years, female 105.4
GTEX-111CU-0126-SM-5GZWZ 50-59 years, male 105.1
GTEX-1KXAM-0326-SM-EV7AQ 60-69 years, male 105.0
GTEX-QDVJ-1126-SM-48U1U 50-59 years, male 104.8
GTEX-1K2DA-0226-SM-CGQGW 50-59 years, male 104.8
GTEX-ZZPU-1226-SM-5N9CK 50-59 years, female 104.7
GTEX-132NY-2226-SM-5J2LZ 60-69 years, male 104.5
GTEX-12WSL-0326-SM-5CVMK 50-59 years, male 104.3
GTEX-S3XE-0126-SM-4AD4R 50-59 years, male 104.3
GTEX-V955-0126-SM-4JBH5 60-69 years, male 104.2
GTEX-OXRK-0126-SM-3NB1E 50-59 years, female 104.0
GTEX-ZPCL-0826-SM-DNZZ7 60-69 years, female 104.0
GTEX-SUCS-0526-SM-4DM56 70-79 years, male 103.9
GTEX-ZVP2-0126-SM-5NQ7D 50-59 years, male 103.9
GTEX-1BAJH-2626-SM-7EPG6 70-79 years, male 103.7
GTEX-13PVR-0226-SM-5RQJI 60-69 years, female 103.3
GTEX-17KNJ-0326-SM-7KFS5 50-59 years, male 103.2
GTEX-14PJ4-0426-SM-6871F 60-69 years, male 103.0
GTEX-RM2N-0126-SM-48FDD 50-59 years, male 102.8
GTEX-1ICG6-0226-SM-AHZ2P 70-79 years, female 102.7
GTEX-1LVAN-0826-SM-CNNPG 50-59 years, female 102.7
GTEX-OIZH-1326-SM-3NB1H 50-59 years, male 102.6
GTEX-UJMC-0226-SM-4IHLH 50-59 years, male 102.5
GTEX-OHPK-1326-SM-3MJGN 50-59 years, female 102.2
GTEX-1F88F-1526-SM-9JGG1 60-69 years, female 102.1
GTEX-OHPL-1326-SM-3MJGG 60-69 years, female 101.9
GTEX-1H11D-2426-SM-9JGGN 40-49 years, male 101.9
GTEX-PLZ6-0226-SM-3P61I 30-39 years, male 101.7
GTEX-TKQ2-0226-SM-4DM6V 50-59 years, male 101.7
GTEX-WFG8-0126-SM-4LVMH 20-29 years, male 101.7
GTEX-1339X-0826-SM-5J2O6 40-49 years, male 101.4
GTEX-11GSP-0326-SM-5A5KW 60-69 years, female 101.2
GTEX-11EM3-0326-SM-5A5KJ 20-29 years, female 100.5
GTEX-13O61-0126-SM-5KM4P 60-69 years, male 100.5
GTEX-ZDTT-0126-SM-4WKHA 60-69 years, male 100.1
GTEX-V1D1-0226-SM-4JBHG 50-59 years, male 100.0
GTEX-12BJ1-0526-SM-5FQUD 60-69 years, male 99.7
GTEX-Y5V6-1926-SM-5IFIL 60-69 years, male 99.7
GTEX-U3ZM-0226-SM-4DXTA 40-49 years, male 99.2
GTEX-17HGU-0126-SM-7DHLV 50-59 years, male 99.0
GTEX-1IDJU-0126-SM-CNNR2 60-69 years, female 98.9
GTEX-131XF-0126-SM-5DUVF 60-69 years, male 98.8
GTEX-1A32A-2126-SM-718AZ 50-59 years, female 98.5
GTEX-WYVS-0226-SM-4ONDK 40-49 years, female 98.5
GTEX-11NSD-0226-SM-5A5LR 20-29 years, male 98.2
GTEX-13OW6-1726-SM-5IJGI 50-59 years, male 98.2
GTEX-TMMY-0126-SM-4DXTP 40-49 years, female 98.1
GTEX-YB5E-0226-SM-5IFHI 40-49 years, male 98.0
GTEX-13QBU-0526-SM-5IJFE 40-49 years, female 97.8
GTEX-15DYW-2126-SM-6M47B 60-69 years, female 97.8
GTEX-PW2O-0226-SM-48TC7 20-29 years, male 97.8
GTEX-14PKV-0726-SM-686ZF 20-29 years, female 97.7
GTEX-11I78-1826-SM-5A5M4 50-59 years, female 97.2
GTEX-1LG7Z-0426-SM-D4P47 30-39 years, male 97.2
GTEX-PWCY-0226-SM-48TD8 20-29 years, female 97.1
GTEX-12WSN-0926-SM-5GCN1 40-49 years, male 96.8
GTEX-1399U-0226-SM-5P9J2 50-59 years, female 96.8
GTEX-1JMLX-1126-SM-CXZJN 50-59 years, male 96.6
GTEX-ZVT2-0826-SM-5GIEO 50-59 years, female 96.5
GTEX-12WSG-0726-SM-5EGIG 50-59 years, female 96.3
GTEX-XUZC-0226-SM-4BOO7 30-39 years, female 96.3
GTEX-1F75I-0126-SM-9WPPW 40-49 years, male 96.3
GTEX-14E1K-0626-SM-5S2PG 50-59 years, male 95.8
GTEX-XQ3S-1726-SM-4BOOD 20-29 years, male 95.8
GTEX-13OVI-1226-SM-5J2ME 60-69 years, female 95.7
GTEX-VUSG-1526-SM-4KKZH 50-59 years, male 95.5
GTEX-ZLWG-0126-SM-4WWC5 50-59 years, female 95.4
GTEX-X4LF-0126-SM-4QAS7 50-59 years, male 95.2
GTEX-1S82P-1126-SM-EV79M 60-69 years, female 95.2
GTEX-145LT-0126-SM-5S2QJ 40-49 years, male 95.1
GTEX-1AX8Z-2426-SM-72D7D 60-69 years, male 95.1
GTEX-NFK9-1726-SM-3TW8P 40-49 years, male 94.9
GTEX-OOBK-3125-SM-3LK5R 40-49 years, male 94.5
GTEX-ZTSS-0326-SM-5987M 40-49 years, male 94.4
GTEX-1HKZK-0126-SM-B2LWF 40-49 years, male 94.4
GTEX-1122O-0326-SM-5H124 60-69 years, female 94.2
GTEX-O5YV-1126-SM-3LK73 60-69 years, female 94.2
GTEX-1HC8U-0226-SM-9WG7Q 40-49 years, female 94.1
GTEX-S341-0126-SM-4AD64 40-49 years, female 93.9
GTEX-1C475-0126-SM-731DC 40-49 years, female 93.8
GTEX-13O21-0126-SM-5IJE8 50-59 years, male 93.5
GTEX-1EKGG-2126-SM-7MKFT 60-69 years, male 93.3
GTEX-11P7K-0126-SM-5986E 30-39 years, male 92.8
GTEX-145MN-0226-SM-5QGPY 30-39 years, male 92.6
GTEX-1B8KZ-0126-SM-7DHM5 50-59 years, male 92.6
GTEX-1JKYN-0126-SM-AHZ4C 30-39 years, male 92.3
GTEX-11EQ9-0126-SM-5986I 30-39 years, male 92.1
GTEX-1B8L1-1326-SM-7MKG6 60-69 years, male 92.1
GTEX-S4Q7-0226-SM-4AD5O 20-29 years, male 91.9
GTEX-R55G-0126-SM-48FDS 40-49 years, female 91.8
GTEX-13N11-0826-SM-5IJFP 50-59 years, female 91.5
GTEX-1IDJH-1726-SM-A96T3 70-79 years, male 91.5
GTEX-S4Z8-0126-SM-4GICC 60-69 years, male 91.3
GTEX-1CB4F-0126-SM-9JGGZ 60-69 years, male 91.3
GTEX-14PJ6-0126-SM-686Z5 60-69 years, female 91.2
GTEX-1I1GQ-2026-SM-ARU7F 50-59 years, male 91.2
GTEX-Q2AI-0226-SM-48U1D 40-49 years, male 90.8
GTEX-1GMR3-0926-SM-9WPP9 40-49 years, male 90.7
GTEX-13FTW-0126-SM-5IJED 40-49 years, male 90.6
GTEX-146FR-1526-SM-5SIB8 60-69 years, female 90.5
GTEX-14DAR-1726-SM-664MZ 50-59 years, male 90.4
GTEX-ZY6K-0126-SM-5SIAM 50-59 years, male 90.4
GTEX-1AMFI-0626-SM-731DR 50-59 years, female 90.3
GTEX-1GL5R-1026-SM-7P8U1 50-59 years, male 90.1
GTEX-ZUA1-1926-SM-5E45E 40-49 years, male 89.9
GTEX-1A3MV-0226-SM-731FS 30-39 years, male 89.7
GTEX-ZLFU-0826-SM-4WWBP 40-49 years, male 89.3
GTEX-1CAMR-0126-SM-79391 20-29 years, male 88.9
GTEX-1I1GV-1826-SM-CNNR8 60-69 years, male 88.6
GTEX-QCQG-0126-SM-48U27 50-59 years, female 88.2
GTEX-WY7C-0326-SM-4OND5 50-59 years, male 88.1
GTEX-139YR-0126-SM-5IJEY 50-59 years, male 87.6
GTEX-16NGA-0126-SM-72D6U 40-49 years, female 87.6
GTEX-11DXZ-0226-SM-5EGGZ 50-59 years, male 87.5
GTEX-1I1GP-1826-SM-C1YS1 50-59 years, male 87.2
GTEX-1F5PK-0826-SM-7MXVI 50-59 years, male 87.1
GTEX-1GF9V-2026-SM-9JGHS 60-69 years, male 87.0
GTEX-T6MO-0126-SM-4DM6X 40-49 years, female 86.9
GTEX-YF7O-0126-SM-5IFIR 50-59 years, male 86.8
GTEX-15SHU-1926-SM-7KUMO 40-49 years, female 86.4
GTEX-ZF2S-0126-SM-4WKFO 50-59 years, female 86.4
GTEX-14E6E-0126-SM-73KXH 30-39 years, male 86.1
GTEX-U4B1-0126-SM-4DXSN 40-49 years, male 85.9
GTEX-13OW7-2726-SM-5L3HN 50-59 years, male 85.8
GTEX-12WSK-0326-SM-5GCOJ 40-49 years, female 84.9
GTEX-14BMU-0126-SM-5S2Q9 20-29 years, female 84.8
GTEX-X4EO-1726-SM-4QARN 60-69 years, female 84.7
GTEX-1LGRB-0326-SM-CNPQC 50-59 years, female 84.7
GTEX-1QP29-0326-SM-E6CQ4 50-59 years, male 84.2
GTEX-14A5H-2126-SM-7IGNV 60-69 years, male 84.1
GTEX-17HHE-0226-SM-79399 50-59 years, male 83.9
GTEX-13D11-0426-SM-5LZYA 50-59 years, female 83.8
GTEX-PX3G-1326-SM-48U18 20-29 years, female 83.7
GTEX-R53T-0226-SM-48FEH 50-59 years, female 83.7
GTEX-14753-1726-SM-5NQ9X 60-69 years, male 83.5
GTEX-17HHY-2226-SM-7KFS4 50-59 years, male 83.1
GTEX-1A3MW-2126-SM-731DO 60-69 years, female 83.1
GTEX-Q734-0126-SM-48U1E 40-49 years, female 82.9
GTEX-1H3VY-1826-SM-9JGI4 50-59 years, male 82.9
GTEX-11DXX-0126-SM-5EGH7 60-69 years, female 82.7
GTEX-1399R-0326-SM-5KM1X 30-39 years, male 82.7
GTEX-ZLV1-0226-SM-4WWC1 60-69 years, female 81.9
GTEX-1I1GT-0126-SM-B2LWM 60-69 years, female 80.9
GTEX-14PN3-1426-SM-686Z8 60-69 years, female 80.8
GTEX-1B8KE-0926-SM-7189I 50-59 years, male 79.5
GTEX-1RQEC-1926-SM-DTX7M 60-69 years, male 78.8
GTEX-11DXY-1626-SM-5H12L 60-69 years, male 78.6
GTEX-11EMC-0526-SM-5EGJN 60-69 years, female 78.2
GTEX-117YX-0126-SM-5EGH5 50-59 years, male 77.8
GTEX-15ER7-1126-SM-6M47F 20-29 years, female 76.5
GTEX-1CAMS-0226-SM-79397 40-49 years, female 75.5
GTEX-1KD4Q-1826-SM-DIPFV 40-49 years, male 75.5
GTEX-13PL7-1026-SM-5MR5C 60-69 years, female 75.0
GTEX-131YS-2026-SM-5P9J8 60-69 years, female 74.8
GTEX-1LNCM-0826-SM-DHXL6 50-59 years, female 73.7
GTEX-RNOR-1626-SM-EZ6MM 50-59 years, female 73.1
GTEX-1EH9U-1726-SM-7P8QK 60-69 years, male 71.4
GTEX-1J8EW-1826-SM-C1YQW 60-69 years, female 71.2
GTEX-12ZZZ-0926-SM-5N9EQ 60-69 years, male 70.2
GTEX-144GL-1826-SM-79OMB 50-59 years, male 69.9
GTEX-1KANB-2626-SM-EV7BF 50-59 years, male 69.3
GTEX-1F75A-2026-SM-9KNTR 50-59 years, male 69.1
GTEX-18A6Q-1826-SM-72D6I 60-69 years, male 68.4
GTEX-R55C-0226-SM-48FEO 40-49 years, male 68.3
GTEX-1HBPI-1926-SM-CE6RT 50-59 years, male 67.9
GTEX-S33H-1326-SM-4AD6A 30-39 years, male 67.4
GTEX-14DAQ-1826-SM-5S2VV 60-69 years, female 65.3
GTEX-16AAH-0226-SM-793A8 50-59 years, male 65.2
GTEX-1K2DU-0826-SM-DHXKA 20-29 years, male 64.8
GTEX-15CHR-0626-SM-7938V 50-59 years, male 63.2
Show allShow less

Contact

  • NEWS ARTICLES
  • PRESS ROOM

The Project

  • INTRODUCTION
  • ORGANIZATION
  • PUBLICATIONS

The Human Protein Atlas

  • DOWNLOADABLE DATA
  • LICENCE & CITATION
  • HELP & FAQ
The Human Protein Atlas project is funded
by the Knut & Alice Wallenberg Foundation.


contact@proteinatlas.org