We use cookies to enhance the usability of our website. If you continue, we'll assume that you are happy to receive all cookies. More information. Don't show this again.
SSBP1
HPA
RESOURCES
  • TISSUE
  • BRAIN
  • SINGLE CELL
  • SUBCELLULAR
  • CANCER
  • BLOOD
  • CELL LINE
  • STRUCTURE & INTERACTION
ABOUT
  • INTRODUCTION
  • HISTORY
  • ORGANIZATION
  • PUBLICATIONS
  • ANTIBODY SUBMISSION
  • ANTIBODY AVAILABILITY
  • ACKNOWLEDGMENTS
  • CONTACT
NEWS
  • NEWS ARTICLES
  • PRESS ROOM
LEARN
  • DICTIONARY
  • PROTEIN CLASSES
  • PROTEIN EVIDENCE
  • METHODS
  • EDUCATIONAL VIDEOS
DATA
  • DOWNLOADABLE DATA
  • PUBLICATION DATA
  • RELEASE HISTORY
HELP
  • ANTIBODY VALIDATION
  • ASSAYS & ANNOTATION
  • DISCLAIMER
  • HELP & FAQ
  • PRIVACY STATEMENT
  • LICENCE & CITATION
Fields »
Search result

Field
Term
Gene name
Class
Subclass
Class
Keyword
Chromosome
External id
Tissue
Cell type
Expression
Antibody panel
Tissue
Main location
Patient ID
Annotation
Tissue
Category
Tau score
Cluster
Reliability
Brain region
Category
Tau score
Brain region
Category
Tau score
Brain region
Category
Tau score
Cluster
Reliability
Tissue
Cell type
Enrichment
Cell type
Category
Tau score
Cell type
Category
Tau score
Cell type
Category
Tau score
Cell lineage
Category
Tau score
Cluster
Cluster
Location
Searches
Location
Cell line
Class
Type
Phase
Reliability
Cancer
Prognosis
Cancer
Category
Cancer
Category
Tau score
Cluster
Variants
Interacting gene (ensg_id)
Type
Number of interactions
Pathway
Category
Score
Score
Score
Validation
Validation
Validation
Validation
Antibodies
Data type
Column


  • SUMMARY

  • TISSUE

  • BRAIN

  • SINGLE CELL

  • SUBCELL

  • CANCER

  • BLOOD

  • CELL LINE

  • STRUCT & INT

  • SSBP1
TISSUE PRIMARY DATA BREAST Show tissue menu
ADIPOSE TISSUE ADRENAL GLAND AMYGDALA APPENDIX BASAL GANGLIA BONE MARROW BREAST BRONCHUS CEREBELLUM CEREBRAL CORTEX CERVIX CHOROID PLEXUS COLON DUODENUM
ENDOMETRIUM EPIDIDYMIS ESOPHAGUS FALLOPIAN TUBE GALLBLADDER HEART MUSCLE HIPPOCAMPAL FORMATION HYPOTHALAMUS KIDNEY LIVER LUNG LYMPH NODE MIDBRAIN NASOPHARYNX
ORAL MUCOSA OVARY PANCREAS PARATHYROID GLAND PITUITARY GLAND PLACENTA PROSTATE RECTUM RETINA SALIVARY GLAND SEMINAL VESICLE SKELETAL MUSCLE SKIN SMALL INTESTINE
SMOOTH MUSCLE SOFT TISSUE SPINAL CORD SPLEEN STOMACH TESTIS THYMUS THYROID GLAND TONGUE TONSIL URINARY BLADDER VAGINA
ANTIBODIES
AND
VALIDATION
Dictionary
Breast
Tissue proteome
Breast
BREAST - Expression summary
Protein expression
Breasti

On the top, protein expression in current human tissue, based on all annotated cell types, is reported with the units not detected (n), low (l), medium (m) and high (h). Underneath, protein expression in each annotated cell type are reported using the same units.

Protein expression data is based on knowledge-based annotation. For genes where more than one antibody has been used, a collective score is set.

If knowledge-based annotation could not be performed for a gene, no data is displayed here. View antibody staining data further down this page.

h
m
l
n
Adipocytes: Not detected
Glandular cells: Medium
Myoepithelial cells: Medium
RNA expressioni

A summary of mRNA expression data available for current tissue based on several datasets. The mRNA expression levels in human tissues are based on RNA-seq data generated by the Human Protein Atlas (HPA), Genotype-Tissue Expression (GTEx) portal and CAGE data generated by the FANTOM5 consortium. Consensus normalized expression levels for human tissues was created by combining the data from HPA and GTEx datasets.

The mRNA expression levels in pig are based on RNA-seq data generated by the Human Protein Atlas (HPA), and for mouse, HPA data and in situ hybridization generated by the Allen brain atlas are reported.

Scroll down to view mRNA expression data in more detail.
Consensus:93.9 nTPM
HPA:93.9 nTPM
GTEx:82.2 nTPM
FANTOM5:83.5 Scaled Tags Per Million

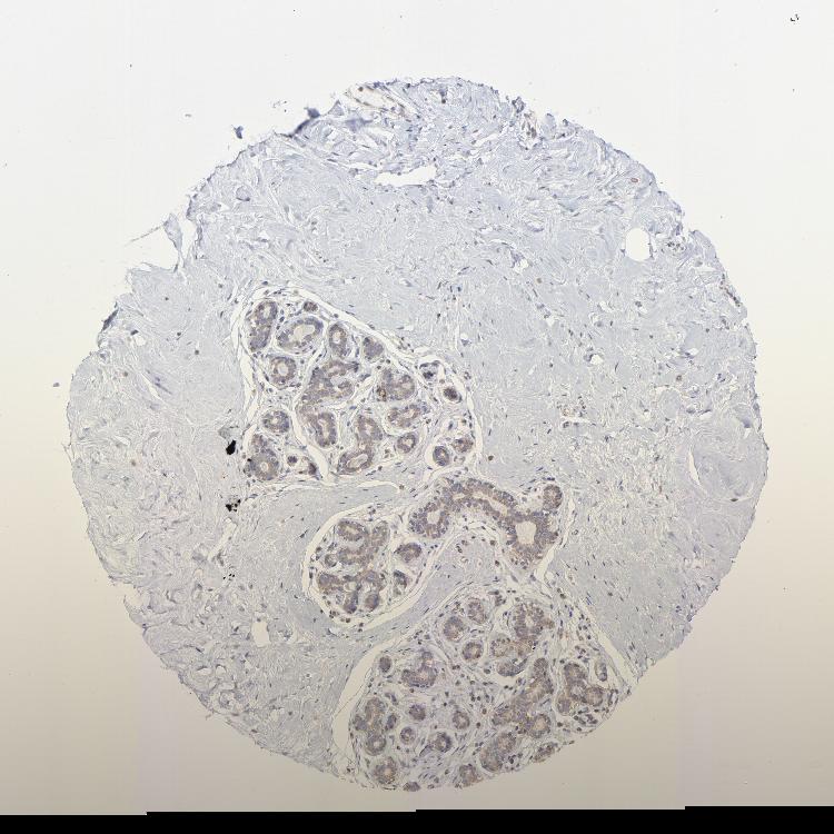
BREAST - Antibody stainingi

Antibody staining in the annotated cell types in the current human tissue is reported as not detected, low, medium, or high, based on conventional immunohistochemistry profiling in selected tissues. This score is based on the combination of the staining intensity and fraction of stained cells.

Each image is clickable and will lead to virtual microscopy that enables deeper exploration of all samples and also displays staining intensity scores, fraction scores and subcellular localization as well as patient and tissue information for each sample.

Antibody HPA002866
Adipocytes Not detected
Glandular cells Medium
Myoepithelial cells Medium


BREAST - HPA RNA-seqi

The RNA-seq details section shows detailed information about the individual samples used for the transcript profiling and results of the RNA-seq analysis.

Information about each individual sample is listed below, including gender, age, a tissue section image and estimated fractions of cell types. nTPM (normalized transcripts per million) values give a quantification of the gene abundance which is comparable between different genes and samples.
Average nTPMi

Max subtype nTPM is the value for the subtype with the largest average nTPM across the subtype samples.

93.9
overview
Female, age 52
Breast sample 373
nTPM: 87.2
Cell types%
Glandular cells:
15

Adipocytes:
5

Other cell types:
80

overview
Female, age 80
Breast sample 390
nTPM: 85.5
Cell types%
Glandular cells:
5

Adipocytes:
15

Other cell types:
80

overview
Female, age 47
Breast sample 405
nTPM: 100.2
Cell types%
Glandular cells:
5

Adipocytes:
5

Other cell types:
90

overview
Female, age 38
Breast sample 410
nTPM: 102.7
Cell types%
Glandular cells:
40

Adipocytes:
5

Other cell types:
55


BREAST - GTEx RNA-seqi

RNA-Seq data generated by the Genotype-Tissue Expression (GTEx) project from human tissues is reported as mean nTPM. More information can be found on the GTEx portal.

Distribution across the dataset is visualized with box plots, shown as median and 25th and 75th percentiles. Points are displayed as outliers if they are above or below 1.5 times the interquartile range. nTPM values of the individual samples are presented next to the box plot.
Max subtype nTPMi

Max subtype nTPM is the value for the subtype with the largest average nTPM across the subtype samples.

82.2
GTEx sample id Sample description nTPM
Breast - Mammary Tissue
Average nTPM: 82.2
Samples: 459

Max nTPM: 160.2
Min nTPM: 39.1
Std nTPM: 21.5
Median nTPM: 78.6
GTEX-11P82-1326-SM-5HL62 20-29 years, male 160.2
GTEX-11TT1-2126-SM-5GU5Y 20-29 years, male 159.6
GTEX-1JN1M-3026-SM-CMKGK 60-69 years, female 159.1
GTEX-14ABY-2126-SM-5QGQZ 50-59 years, male 156.4
GTEX-1B8SG-1226-SM-7IGPF 50-59 years, male 153.3
GTEX-1AMEY-1026-SM-718AA 30-39 years, female 149.8
GTEX-14PN4-0626-SM-62LFP 50-59 years, male 147.1
GTEX-1CAMR-1426-SM-793BO 20-29 years, male 146.6
GTEX-ZT9W-2026-SM-51MRA 50-59 years, male 143.8
GTEX-14PJO-0726-SM-69LO8 60-69 years, male 142.1
GTEX-ZTTD-1026-SM-51MRD 50-59 years, male 136.2
GTEX-1ICG6-1326-SM-ACKWR 70-79 years, female 135.2
GTEX-1H23P-0726-SM-9WG7K 60-69 years, male 130.6
GTEX-1GF9U-1726-SM-7MGY5 40-49 years, female 130.4
GTEX-15G19-2126-SM-6M48J 60-69 years, male 130.0
GTEX-U8XE-0826-SM-4E3J1 30-39 years, male 129.4
GTEX-1N2EF-2226-SM-E9J33 60-69 years, male 128.8
GTEX-TKQ1-0226-SM-33HB5 30-39 years, male 128.0
GTEX-1H1DG-0526-SM-9YFLN 70-79 years, male 127.7
GTEX-ZLFU-2126-SM-DO931 40-49 years, male 127.3
GTEX-1F5PK-2126-SM-7PC28 50-59 years, male 125.9
GTEX-1R7EV-1526-SM-E8VOD 40-49 years, male 123.9
GTEX-13O3O-0826-SM-5K7WE 60-69 years, female 122.1
GTEX-13CF3-2126-SM-5IFJP 60-69 years, female 121.7
GTEX-1NUQO-2226-SM-E9U68 20-29 years, female 121.4
GTEX-1R9JW-0326-SM-EAZ45 30-39 years, female 120.9
GTEX-ZZ64-1226-SM-5E43R 20-29 years, male 120.3
GTEX-ZAB4-2526-SM-5HL8M 40-49 years, male 119.7
GTEX-1ICLY-1726-SM-B2LVT 50-59 years, male 117.3
GTEX-1CB4J-1826-SM-7EWF9 60-69 years, male 116.4
GTEX-1L5NE-2126-SM-CY8IH 50-59 years, male 115.9
GTEX-1NHNU-0926-SM-E9J2T 50-59 years, male 115.9
GTEX-11EQ9-1826-SM-5Q5AJ 30-39 years, male 115.7
GTEX-1F75I-2026-SM-7SB7N 40-49 years, male 113.9
GTEX-1I1GU-1026-SM-ADEHJ 40-49 years, male 113.8
GTEX-13PVQ-1026-SM-5KM3M 50-59 years, male 113.3
GTEX-11DZ1-0326-SM-5N9BN 50-59 years, male 112.3
GTEX-Y8E4-1626-SM-5S2MW 40-49 years, male 112.2
GTEX-ZPIC-1126-SM-5BC7F 40-49 years, female 111.9
GTEX-YB5E-1726-SM-5IFJ3 40-49 years, male 111.7
GTEX-14ICK-2426-SM-6EU27 40-49 years, male 111.4
GTEX-1H1ZS-0126-SM-9YFKQ 70-79 years, male 111.2
GTEX-ZVT2-1826-SM-5NQ8W 50-59 years, female 111.0
GTEX-ZA64-1526-SM-5CVMD 20-29 years, male 110.7
GTEX-REY6-2426-SM-48FF5 60-69 years, male 110.1
GTEX-12WSM-1726-SM-5BC6J 60-69 years, male 110.0
GTEX-17GQL-0326-SM-7LG5U 60-69 years, male 110.0
GTEX-ZYW4-0826-SM-5GIDG 60-69 years, male 109.7
GTEX-S32W-2026-SM-4AD6E 50-59 years, female 109.6
GTEX-1LC47-1226-SM-D4P44 60-69 years, male 109.5
GTEX-13S86-1226-SM-5S2OA 40-49 years, male 109.4
GTEX-1QP29-1726-SM-E8VMQ 50-59 years, male 109.1
GTEX-XYKS-1326-SM-4BRUN 60-69 years, female 108.9
GTEX-1A3MX-2726-SM-718B6 60-69 years, male 108.6
GTEX-Y5LM-1726-SM-4VDSX 40-49 years, female 108.5
GTEX-1211K-1926-SM-5EQLB 60-69 years, female 108.3
GTEX-145ME-1526-SM-5Q5F2 40-49 years, female 107.7
GTEX-X4XY-0926-SM-4E3JD 60-69 years, male 107.6
GTEX-Y9LG-1426-SM-5IFJZ 30-39 years, male 106.9
GTEX-13FTX-1126-SM-5N9EN 20-29 years, female 106.8
GTEX-14AS3-1626-SM-5S2OY 40-49 years, female 106.7
GTEX-S4Q7-1126-SM-4AD6R 20-29 years, male 106.7
GTEX-14PKU-0426-SM-6EU1P 40-49 years, female 106.5
GTEX-YB5K-1626-SM-5IFIN 40-49 years, female 106.3
GTEX-1IDJF-2326-SM-ARL86 20-29 years, male 106.2
GTEX-18D9A-1526-SM-7LG4J 30-39 years, female 105.3
GTEX-1S82U-1126-SM-E9U6I 30-39 years, female 104.9
GTEX-139T6-1626-SM-5PNYZ 50-59 years, male 104.7
GTEX-1KANC-1426-SM-CYPT9 50-59 years, female 104.4
GTEX-144GM-0926-SM-5O994 20-29 years, male 104.3
GTEX-11TUW-1826-SM-5BC5D 60-69 years, male 104.1
GTEX-18A66-1726-SM-7LG5N 60-69 years, male 104.0
GTEX-1I1GP-0426-SM-COH3N 50-59 years, male 103.7
GTEX-1JJEA-2726-SM-ARL8V 60-69 years, male 103.7
GTEX-ZLWG-1926-SM-DO92J 50-59 years, female 103.2
GTEX-14BMV-0626-SM-793AU 50-59 years, male 102.6
GTEX-15UF7-0726-SM-6M46D 40-49 years, male 102.0
GTEX-13O61-1826-SM-5KM4I 60-69 years, male 101.9
GTEX-13FTW-1426-SM-5LZWZ 40-49 years, male 101.7
GTEX-14PJ4-2126-SM-6ETZJ 60-69 years, male 101.4
GTEX-12BJ1-1826-SM-5HL9N 60-69 years, male 101.1
GTEX-16BQI-1026-SM-7KUEA 30-39 years, female 100.9
GTEX-1GPI7-0926-SM-7PC3J 20-29 years, male 100.9
GTEX-Y5V6-2126-SM-4WWFX 60-69 years, male 100.6
GTEX-ZQG8-0726-SM-5P9H9 60-69 years, female 99.7
GTEX-1399U-1826-SM-5PNZ1 50-59 years, female 99.6
GTEX-11ZTT-2326-SM-5EQLG 60-69 years, female 99.1
GTEX-145MF-2226-SM-7EPIR 50-59 years, male 99.1
GTEX-117YX-1426-SM-5H12H 50-59 years, male 99.0
GTEX-12WSK-2226-SM-5GCO5 40-49 years, female 98.8
GTEX-WFON-1826-SM-3GILG 40-49 years, male 98.6
GTEX-1LSNL-2826-SM-E9U5L 50-59 years, male 98.5
GTEX-132AR-0826-SM-5EGK6 50-59 years, female 98.4
GTEX-1QP9N-1826-SM-E8VMP 30-39 years, male 98.3
GTEX-11DXY-2326-SM-5GICW 60-69 years, male 98.2
GTEX-WY7C-2726-SM-3NB3P 50-59 years, male 98.2
GTEX-W5X1-2326-SM-3GIL6 40-49 years, female 97.9
GTEX-12WSN-1326-SM-5GCNT 40-49 years, male 97.2
GTEX-ZTX8-1226-SM-4YCE9 20-29 years, male 96.6
GTEX-145MN-1926-SM-5SIAI 30-39 years, male 96.3
GTEX-17F97-2526-SM-7EWDV 50-59 years, male 96.3
GTEX-1JMQK-2626-SM-COH2W 60-69 years, male 96.2
GTEX-1H11D-1526-SM-9MQJY 40-49 years, male 96.0
GTEX-1HCU7-1026-SM-ADEIP 50-59 years, male 95.9
GTEX-ZDYS-1126-SM-5K7UB 50-59 years, male 95.6
GTEX-1J8Q3-1326-SM-CMKI1 60-69 years, male 95.6
GTEX-1HSEH-2026-SM-ADEHN 60-69 years, male 95.5
GTEX-1ICLZ-0426-SM-B2LW2 60-69 years, male 95.5
GTEX-1RLM8-2226-SM-EVYD1 50-59 years, male 95.2
GTEX-UTHO-1026-SM-3GAF7 60-69 years, male 94.8
GTEX-SE5C-2126-SM-4BRUJ 40-49 years, female 94.6
GTEX-1HCU9-0326-SM-9WYSC 20-29 years, male 94.6
GTEX-14753-2426-SM-5LU8U 60-69 years, male 94.5
GTEX-14B4R-1226-SM-5TDDT 30-39 years, male 94.4
GTEX-Y114-2026-SM-4TT7L 50-59 years, female 94.4
GTEX-145LT-0726-SM-5S2VM 40-49 years, male 94.3
GTEX-ZGAY-1726-SM-DO91P 40-49 years, female 94.1
GTEX-YECK-0726-SM-EZ6LV 60-69 years, male 94.0
GTEX-14H4A-2526-SM-5YYAY 40-49 years, female 93.9
GTEX-15EOM-5019-SM-793DK 20-29 years, female 93.8
GTEX-XGQ4-0926-SM-4AT4U 50-59 years, male 93.8
GTEX-1LG7Z-0726-SM-CXKYD 30-39 years, male 93.3
GTEX-1I19N-2826-SM-CL55D 70-79 years, male 93.1
GTEX-1IDJU-1826-SM-CMKHV 60-69 years, female 92.9
GTEX-ZY6K-1626-SM-5GZWV 50-59 years, male 92.8
GTEX-1I6K6-0826-SM-ARL7Z 30-39 years, male 92.3
GTEX-WFG8-2026-SM-EXOHO 20-29 years, male 92.3
GTEX-RUSQ-2026-SM-4GIAK 50-59 years, male 92.2
GTEX-ZQUD-1926-SM-51MSA 30-39 years, male 91.9
GTEX-1OKEX-0826-SM-E9J2B 60-69 years, male 91.2
GTEX-1I4MK-1626-SM-CM2TJ 50-59 years, female 91.0
GTEX-ZVZQ-0826-SM-51MRF 60-69 years, female 90.9
GTEX-13113-5013-SM-7SB7G 60-69 years, female 90.7
GTEX-1IKOE-1326-SM-CE6T6 30-39 years, female 90.7
GTEX-17MF6-0326-SM-7EPH5 40-49 years, male 90.4
GTEX-1HSMO-0826-SM-ADEIV 60-69 years, male 90.4
GTEX-1C6VQ-0426-SM-79OOX 50-59 years, male 90.0
GTEX-13VXU-2826-SM-664MA 50-59 years, male 89.8
GTEX-13FHO-0826-SM-5L3E8 60-69 years, male 89.7
GTEX-1MCC2-2126-SM-EWRON 30-39 years, female 89.6
GTEX-1RQEC-2026-SM-DTXDM 60-69 years, male 89.4
GTEX-11WQK-2426-SM-5GU5C 50-59 years, male 89.0
GTEX-VJWN-0726-SM-3GIJ8 50-59 years, female 89.0
GTEX-15RJE-2626-SM-7KFT1 40-49 years, male 88.9
GTEX-ZV6S-1826-SM-5NQ8D 40-49 years, female 88.9
GTEX-1GN2E-2226-SM-9WG6J 60-69 years, male 88.9
GTEX-11P7K-0726-SM-5EGKX 30-39 years, male 88.8
GTEX-18A7B-2626-SM-7LG55 70-79 years, male 88.2
GTEX-Y3I4-1526-SM-4TT7K 50-59 years, male 88.2
GTEX-YEC3-1026-SM-5IFI5 50-59 years, male 88.2
GTEX-X261-0626-SM-3NMD9 50-59 years, male 88.0
GTEX-1MJK3-1126-SM-E9J3F 20-29 years, male 87.7
GTEX-XMK1-1126-SM-4IHJ8 40-49 years, male 87.4
GTEX-11O72-2126-SM-5N9FO 40-49 years, male 87.3
GTEX-11LCK-2426-SM-5HL5F 30-39 years, male 87.2
GTEX-1LBAC-0926-SM-CXKY9 20-29 years, male 87.2
GTEX-1PDJ9-1126-SM-EXUSW 20-29 years, male 87.2
GTEX-1HC8U-0826-SM-ADEIL 40-49 years, female 87.1
GTEX-12KS4-0126-SM-5Q5A5 30-39 years, male 87.0
GTEX-1N2EE-2126-SM-E8VNN 60-69 years, male 86.9
GTEX-1I1GV-2426-SM-CGQFM 60-69 years, male 86.7
GTEX-QMRM-1626-SM-D4P1U 50-59 years, male 86.7
GTEX-11DXZ-1926-SM-5GZZL 50-59 years, male 86.5
GTEX-1I1GT-1126-SM-ARL7J 60-69 years, female 86.5
GTEX-13SLW-2526-SM-62LDQ 70-79 years, male 86.4
GTEX-16YQH-2826-SM-6PAMY 30-39 years, male 86.4
GTEX-1IE54-0626-SM-ARL8D 40-49 years, female 86.2
GTEX-YFCO-1826-SM-4W1YH 40-49 years, male 85.8
GTEX-13SLX-2326-SM-5ZZWE 50-59 years, female 85.7
GTEX-1B933-2526-SM-7IGO5 50-59 years, female 85.6
GTEX-1MA7W-1026-SM-DKPQK 20-29 years, female 85.5
GTEX-ZDTT-2126-SM-DKPOM 60-69 years, male 85.5
GTEX-133LE-1726-SM-5K7VQ 20-29 years, female 85.4
GTEX-1AX8Z-0926-SM-731AW 60-69 years, male 85.3
GTEX-139TU-0626-SM-5KM3X 60-69 years, male 84.8
GTEX-13N11-1726-SM-5J1OJ 50-59 years, female 84.7
GTEX-Y8LW-1626-SM-5IFHX 50-59 years, female 84.7
GTEX-QEG5-0726-SM-D4P1T 20-29 years, male 84.4
GTEX-1LGRB-1826-SM-CNPQL 50-59 years, female 84.2
GTEX-13D11-1026-SM-5IJFB 50-59 years, female 83.9
GTEX-WOFL-0826-SM-3MJG1 60-69 years, male 83.9
GTEX-ZTPG-2826-SM-57WGA 20-29 years, female 83.9
GTEX-13W3W-1226-SM-5LU4H 60-69 years, female 83.8
GTEX-1R46S-2526-SM-E8VN2 60-69 years, female 83.8
GTEX-14E6C-1326-SM-62LEQ 40-49 years, male 83.7
GTEX-1QCLZ-2326-SM-DTXDO 60-69 years, female 83.7
GTEX-1PPGY-1526-SM-EVYBK 60-69 years, male 83.4
GTEX-1GMR2-1926-SM-9MQLZ 50-59 years, male 83.2
GTEX-T5JW-2026-SM-4DM63 20-29 years, female 83.1
GTEX-1CB4E-0226-SM-79OLW 60-69 years, male 83.0
GTEX-1F5PL-1026-SM-7RHI1 40-49 years, female 83.0
GTEX-169BO-1126-SM-7MGWN 50-59 years, male 82.8
GTEX-ZVT4-1026-SM-57WC4 50-59 years, female 82.7
GTEX-1122O-1226-SM-5H113 60-69 years, female 82.6
GTEX-ZYT6-0126-SM-5E45J 30-39 years, male 82.6
GTEX-132NY-0826-SM-5K7Y7 60-69 years, male 82.5
GTEX-1C6WA-2426-SM-7SB86 60-69 years, male 82.5
GTEX-1JJE9-2326-SM-ARL8Q 70-79 years, male 82.3
GTEX-QEL4-2126-SM-447AE 50-59 years, male 82.2
GTEX-1HFI7-0126-SM-CGQFQ 50-59 years, female 82.2
GTEX-1JMOU-2026-SM-CMKGU 60-69 years, female 82.2
GTEX-1AX9J-1126-SM-731B7 60-69 years, male 82.0
GTEX-1JKYR-0926-SM-CMKGJ 20-29 years, male 81.8
GTEX-1QP28-1226-SM-E9J2M 50-59 years, female 81.8
GTEX-1C475-1226-SM-7SB72 40-49 years, female 81.6
GTEX-17EVQ-0426-SM-7LG57 70-79 years, male 81.5
GTEX-ZV7C-1826-SM-5NQ83 50-59 years, male 81.5
GTEX-1IDJE-0826-SM-CKZNZ 50-59 years, female 81.4
GTEX-17F98-0526-SM-79OK5 40-49 years, female 81.3
GTEX-1HCU8-0126-SM-ADEHH 60-69 years, female 80.9
GTEX-17F96-2426-SM-7IGLN 70-79 years, male 80.7
GTEX-ZYFC-0826-SM-5E44K 50-59 years, male 80.7
GTEX-14PHY-1926-SM-5YY95 60-69 years, female 80.6
GTEX-13OW8-0226-SM-5K7UP 60-69 years, male 80.3
GTEX-18465-2026-SM-718AP 50-59 years, male 80.2
GTEX-11ONC-2126-SM-5HL6E 60-69 years, male 80.1
GTEX-1M4P7-2626-SM-E9U5F 60-69 years, male 80.1
GTEX-ZAJG-0626-SM-5HL8X 50-59 years, female 79.9
GTEX-15UF6-0126-SM-6PAMB 70-79 years, female 79.6
GTEX-131XW-0726-SM-5EGK3 50-59 years, female 79.5
GTEX-1H3VY-0926-SM-ACKXE 50-59 years, male 79.4
GTEX-13N1W-0626-SM-5MR4U 70-79 years, male 79.3
GTEX-145MO-0826-SM-5NQBL 60-69 years, male 79.2
GTEX-183FY-1126-SM-7DHLJ 20-29 years, male 79.2
GTEX-1EN7A-1426-SM-7PBY4 40-49 years, male 79.2
GTEX-1JMLX-2026-SM-CMKGN 50-59 years, male 79.1
GTEX-1MA7X-1626-SM-E9U5B 60-69 years, male 79.1
GTEX-1HUB1-1626-SM-CM2SL 60-69 years, male 79.0
GTEX-1POEN-0926-SM-DTX88 30-39 years, female 78.8
GTEX-14E7W-0826-SM-62LEJ 70-79 years, male 78.6
GTEX-ZDXO-0126-SM-5S2ND 60-69 years, male 78.6
GTEX-1IGQW-0926-SM-ADEH6 60-69 years, male 78.4
GTEX-17MFQ-0926-SM-7LG4S 20-29 years, male 78.3
GTEX-XQ3S-1326-SM-4BOPQ 20-29 years, male 78.3
GTEX-13O3Q-2226-SM-5KM4O 50-59 years, male 78.1
GTEX-PSDG-1626-SM-48TCQ 50-59 years, male 78.1
GTEX-ZUA1-1526-SM-59HLS 40-49 years, male 78.0
GTEX-XBED-1626-SM-47JYN 60-69 years, male 77.9
GTEX-1117F-2826-SM-5GZXL 60-69 years, female 77.4
GTEX-1HBPM-0126-SM-ARL9E 60-69 years, female 77.4
GTEX-1HR9M-2426-SM-ACKXI 60-69 years, male 77.2
GTEX-1QW4Y-1026-SM-DTXE2 30-39 years, male 77.2
GTEX-S4UY-0726-SM-4AD6X 40-49 years, female 77.1
GTEX-117XS-1926-SM-5GICO 60-69 years, male 77.0
GTEX-1QPFJ-2026-SM-EVYBE 30-39 years, female 77.0
GTEX-1313W-0826-SM-5EQ4T 50-59 years, female 76.9
GTEX-1B97I-0426-SM-79OL7 40-49 years, male 76.7
GTEX-ZU9S-1926-SM-5NQBP 30-39 years, male 76.7
GTEX-1QMI2-0726-SM-E9J4F 60-69 years, male 76.6
GTEX-11EM3-1326-SM-5N9C6 20-29 years, female 76.4
GTEX-16NGA-0826-SM-718AF 40-49 years, female 76.4
GTEX-18A6Q-0926-SM-7LG4N 60-69 years, male 76.3
GTEX-XOT4-0726-SM-4GIAW 60-69 years, female 76.3
GTEX-1R9PN-0326-SM-DTX85 40-49 years, female 76.2
GTEX-14LLW-0626-SM-62LFC 70-79 years, female 75.9
GTEX-183WM-0726-SM-7LTAA 70-79 years, female 75.9
GTEX-1E2YA-2726-SM-7IGPW 50-59 years, male 75.6
GTEX-17HGU-1326-SM-79OKB 50-59 years, male 75.5
GTEX-1JKYN-0726-SM-ARZMY 30-39 years, male 75.3
GTEX-13QJ3-0826-SM-7DHKK 50-59 years, male 75.2
GTEX-1AX9I-0726-SM-73KWV 60-69 years, male 75.2
GTEX-15ETS-0626-SM-7KUMX 40-49 years, female 75.1
GTEX-11WQC-1726-SM-5GU4W 60-69 years, male 75.0
GTEX-1A3MV-1626-SM-731C1 30-39 years, male 75.0
GTEX-11GSP-0926-SM-9WYSG 60-69 years, female 75.0
GTEX-14E6E-1326-SM-5S2NR 30-39 years, male 74.9
GTEX-1HR98-0426-SM-COH36 60-69 years, male 74.9
GTEX-R55D-0826-SM-48FEA 50-59 years, male 74.7
GTEX-1JN6P-2426-SM-ARL99 60-69 years, male 74.7
GTEX-14BMU-1626-SM-5TDE7 20-29 years, female 74.5
GTEX-1HT8W-2226-SM-CGQEC 30-39 years, male 74.5
GTEX-111YS-1926-SM-5GICC 60-69 years, male 74.4
GTEX-13CF2-2026-SM-5K7VI 60-69 years, male 74.4
GTEX-XV7Q-2326-SM-4BRVZ 40-49 years, female 74.4
GTEX-Z9EW-1526-SM-EZ6LU 40-49 years, male 74.4
GTEX-17EUY-1926-SM-7DUF6 20-29 years, male 74.2
GTEX-11PRG-0826-SM-5EQ6A 50-59 years, male 74.1
GTEX-17F9E-2526-SM-7MGW2 50-59 years, male 74.1
GTEX-1HCVE-2626-SM-ADEJ8 50-59 years, male 74.0
GTEX-1QEPI-0926-SM-DTXF3 60-69 years, female 74.0
GTEX-11EMC-2026-SM-5A5JV 60-69 years, female 73.5
GTEX-17KNJ-2026-SM-7LG53 50-59 years, male 73.5
GTEX-1MJK2-2226-SM-EVYCR 50-59 years, male 73.5
GTEX-YJ8O-2226-SM-5IFHW 40-49 years, female 73.4
GTEX-13NZ9-1026-SM-5MR5K 50-59 years, male 73.3
GTEX-1CAMS-1426-SM-7IGPM 40-49 years, female 72.9
GTEX-1KD4Q-2326-SM-D4P3M 40-49 years, male 72.8
GTEX-1KXAM-1026-SM-CY8IA 60-69 years, male 72.8
GTEX-1C6VS-0726-SM-7EPHF 60-69 years, male 72.7
GTEX-1IDJH-2226-SM-E6CJV 70-79 years, male 72.7
GTEX-1KANA-2026-SM-DIPFB 20-29 years, male 72.7
GTEX-1KD5A-1926-SM-DKPQA 50-59 years, male 72.6
GTEX-11I78-2226-SM-5PNYA 50-59 years, female 72.4
GTEX-15FZZ-0726-SM-7KUFZ 30-39 years, female 71.6
GTEX-1LSNM-1326-SM-E9TJ1 50-59 years, male 71.6
GTEX-TKQ2-1826-SM-33HB2 50-59 years, male 71.4
GTEX-1R9PM-1826-SM-EVYBH 20-29 years, male 71.3
GTEX-1B8KE-1226-SM-73KWK 50-59 years, male 71.2
GTEX-ZVTK-0326-SM-51MRR 20-29 years, male 71.2
GTEX-1J8EW-2626-SM-CL53E 60-69 years, female 71.2
GTEX-WYJK-1326-SM-3NB2T 50-59 years, male 71.0
GTEX-1R7EU-1226-SM-E8VMR 60-69 years, male 71.0
GTEX-WI4N-1426-SM-3LK7H 40-49 years, female 70.8
GTEX-11ZUS-0826-SM-5FQUY 30-39 years, male 70.5
GTEX-VUSG-2226-SM-4KKZO 50-59 years, male 70.4
GTEX-13QIC-2326-SM-5LU5N 60-69 years, female 70.3
GTEX-11NV4-2026-SM-5N9DG 60-69 years, male 70.1
GTEX-1N5O9-1126-SM-DTXEQ 60-69 years, male 69.9
GTEX-1F75B-0626-SM-7SB8A 50-59 years, male 69.6
GTEX-1IDFM-0426-SM-B2LVV 60-69 years, male 69.6
GTEX-1S82Z-0726-SM-E6CHX 30-39 years, female 69.6
GTEX-11NSD-0926-SM-5N9DR 20-29 years, male 69.5
GTEX-144GL-2026-SM-5LU3O 50-59 years, male 69.5
GTEX-146FH-0826-SM-5SI8T 50-59 years, female 69.4
GTEX-1IOXB-1926-SM-ARL8E 50-59 years, male 69.4
GTEX-X62O-0526-SM-EWRMA 50-59 years, male 69.4
GTEX-ZLV1-1426-SM-DO92Z 60-69 years, female 69.4
GTEX-131YS-0626-SM-5EGKL 60-69 years, female 69.3
GTEX-S7SE-0826-SM-4AT4D 50-59 years, male 69.3
GTEX-1PPH7-0826-SM-E8VNX 40-49 years, male 69.2
GTEX-ZF3C-2326-SM-5S2NC 50-59 years, female 68.9
GTEX-1IKOH-2326-SM-CM2TW 60-69 years, female 68.8
GTEX-1QCLY-1626-SM-DTXDW 30-39 years, male 68.7
GTEX-18QFQ-0826-SM-718AX 30-39 years, male 68.4
GTEX-1HCUA-0726-SM-ACKVU 50-59 years, female 68.4
GTEX-WHSB-1926-SM-EXOHH 50-59 years, male 68.4
GTEX-1LVAM-0926-SM-E9TJ2 50-59 years, female 68.3
GTEX-14DAR-1326-SM-7DUEG 50-59 years, male 68.0
GTEX-T2IS-1526-SM-32QPR 20-29 years, female 68.0
GTEX-1GF9V-2526-SM-7SB8K 60-69 years, male 67.9
GTEX-13PVR-2226-SM-7DHKP 60-69 years, female 67.8
GTEX-ZXES-0826-SM-5E43C 30-39 years, female 67.6
GTEX-1BAJH-0826-SM-7EWEF 70-79 years, male 67.5
GTEX-TMMY-0726-SM-33HBE 40-49 years, female 67.3
GTEX-1K2DA-1726-SM-CGQGS 50-59 years, male 67.2
GTEX-1JMPY-0526-SM-CL54O 30-39 years, male 67.0
GTEX-1314G-1226-SM-5BC6D 30-39 years, male 66.9
GTEX-17JCI-0726-SM-7EPH1 60-69 years, female 66.5
GTEX-1JK1U-1826-SM-ARL8W 60-69 years, male 66.5
GTEX-X4EP-2926-SM-3P5YQ 60-69 years, female 66.2
GTEX-XUZC-1626-SM-4BRVP 30-39 years, female 66.1
GTEX-1EWIQ-1726-SM-7SB7T 70-79 years, female 66.1
GTEX-1NV8Z-2826-SM-E8VME 60-69 years, male 66.1
GTEX-1JMPZ-1626-SM-COH31 30-39 years, male 65.9
GTEX-13NZ8-0126-SM-5IJCT 60-69 years, female 65.7
GTEX-14A5I-0726-SM-5TDEB 50-59 years, female 65.6
GTEX-1J8QM-2026-SM-ARZMW 60-69 years, female 65.6
GTEX-11P81-1926-SM-5BC53 30-39 years, female 65.5
GTEX-11OF3-1926-SM-59889 60-69 years, male 65.4
GTEX-1CB4G-2326-SM-79OOI 60-69 years, male 65.4
GTEX-QDT8-0626-SM-48TYW 30-39 years, female 65.3
GTEX-1GPI6-0626-SM-7RHHJ 60-69 years, male 65.3
GTEX-1HKZK-1826-SM-ADEJ2 40-49 years, male 65.0
GTEX-1A8G7-2426-SM-731AK 60-69 years, male 64.9
GTEX-XQ8I-2426-SM-4WAXY 50-59 years, male 64.9
GTEX-1GZ4H-0326-SM-7P8QX 50-59 years, female 64.9
GTEX-1I6K7-1026-SM-A9SLK 40-49 years, male 64.8
GTEX-147F4-2826-SM-5NQBN 50-59 years, male 64.7
GTEX-T6MO-0326-SM-32QOK 40-49 years, female 64.6
GTEX-1GMRU-0826-SM-9WYT7 50-59 years, male 64.6
GTEX-1HSKV-2026-SM-CMKGX 60-69 years, male 64.6
GTEX-1EKGG-2626-SM-7IGPY 60-69 years, male 64.4
GTEX-1J8Q2-2726-SM-A9G2X 60-69 years, male 64.4
GTEX-11GS4-2126-SM-5A5KR 60-69 years, male 64.3
GTEX-ZF29-1926-SM-5S2P1 60-69 years, female 64.3
GTEX-1LSVX-2426-SM-E6CJX 60-69 years, male 64.3
GTEX-S33H-0326-SM-4AD6N 30-39 years, male 64.2
GTEX-ZZPU-0626-SM-5E43T 50-59 years, female 64.2
GTEX-1GZHY-0726-SM-9WG6B 50-59 years, female 64.2
GTEX-TML8-1226-SM-32QON 40-49 years, female 64.0
GTEX-WXYG-2226-SM-4E3IM 50-59 years, female 64.0
GTEX-1IKJJ-2326-SM-COH3U 60-69 years, male 64.0
GTEX-ZWKS-2826-SM-5NQ74 30-39 years, male 63.9
GTEX-1GN1W-1926-SM-7P8TH 50-59 years, female 63.9
GTEX-13W46-0826-SM-5LU3H 50-59 years, male 63.8
GTEX-15SHW-1326-SM-6PAL8 60-69 years, male 63.8
GTEX-1H1E6-0926-SM-9YFLT 30-39 years, male 63.8
GTEX-18A7A-0726-SM-7LTAI 50-59 years, female 63.6
GTEX-1I1HK-2426-SM-ADEHX 60-69 years, male 63.6
GTEX-1EU9M-2826-SM-7EWFH 60-69 years, male 63.5
GTEX-1H4P4-2226-SM-9MQKQ 50-59 years, male 63.5
GTEX-11GSO-1926-SM-5A5K3 60-69 years, male 63.3
GTEX-Y5V5-2126-SM-4WWFO 60-69 years, female 63.1
GTEX-Y3IK-2326-SM-4WWDT 50-59 years, female 63.0
GTEX-ZEX8-2226-SM-57WC6 50-59 years, male 63.0
GTEX-1HBPN-2326-SM-9WPPU 50-59 years, male 63.0
GTEX-WRHU-0326-SM-3MJFY 50-59 years, female 62.9
GTEX-1RAZS-1226-SM-E8VMT 50-59 years, male 62.9
GTEX-1IY9M-2726-SM-CMKG5 60-69 years, male 62.8
GTEX-1GF9X-1026-SM-ACKX2 40-49 years, female 62.6
GTEX-1192X-2326-SM-5987X 50-59 years, male 62.4
GTEX-1KAFJ-0226-SM-DIPEL 50-59 years, male 62.4
GTEX-1K9T9-1426-SM-DIPFQ 50-59 years, female 62.3
GTEX-13NZB-2126-SM-5MR4Y 30-39 years, male 62.2
GTEX-1HSGN-1526-SM-A9SMO 40-49 years, female 62.0
GTEX-UJHI-1426-SM-3DB9C 50-59 years, female 61.9
GTEX-17EVP-0226-SM-79OND 40-49 years, male 61.6
GTEX-X15G-1626-SM-3NMB3 50-59 years, female 61.6
GTEX-1M5QR-2526-SM-E9U5P 40-49 years, male 61.5
GTEX-15ER7-1626-SM-6PAMZ 20-29 years, female 61.2
GTEX-XUW1-2326-SM-4BOO5 50-59 years, female 61.2
GTEX-XMD2-0926-SM-4WWEF 60-69 years, female 60.9
GTEX-1269C-2426-SM-5FQSN 60-69 years, female 60.7
GTEX-1GZ2Q-2626-SM-7MXV9 40-49 years, male 60.7
GTEX-1P4AB-1826-SM-E76PU 50-59 years, male 60.7
GTEX-Y111-2026-SM-4SOJA 50-59 years, male 60.2
GTEX-ZC5H-2626-SM-5J2MG 40-49 years, female 60.2
GTEX-1MCYP-0126-SM-E6CIS 20-29 years, female 60.0
GTEX-1GZ4I-2826-SM-9MQK5 50-59 years, male 59.6
GTEX-ZAK1-1326-SM-EVYAS 50-59 years, female 59.3
GTEX-17HG3-0126-SM-7IGNH 30-39 years, female 59.2
GTEX-1F75A-1826-SM-7SB8G 50-59 years, male 58.9
GTEX-1RAZQ-1226-SM-EWRNL 30-39 years, male 58.9
GTEX-12ZZX-1126-SM-5EGKB 40-49 years, female 57.8
GTEX-1F6I4-2526-SM-7SB8F 60-69 years, male 57.7
GTEX-1H1CY-2226-SM-9WG7E 60-69 years, female 57.6
GTEX-132Q8-1426-SM-5EGK7 60-69 years, male 57.5
GTEX-11DXW-0626-SM-5N9ER 40-49 years, male 56.8
GTEX-1B8L1-2426-SM-9WYTE 60-69 years, male 56.8
GTEX-QVJO-1826-SM-447C9 60-69 years, female 56.7
GTEX-U412-1826-SM-4DXTJ 60-69 years, male 56.7
GTEX-13OW5-2226-SM-5L3HC 60-69 years, male 56.5
GTEX-1B8KZ-1526-SM-7DUG7 50-59 years, male 56.5
GTEX-13PL6-2926-SM-5L3I2 40-49 years, female 56.0
GTEX-1C64O-0726-SM-7DUFU 60-69 years, male 54.8
GTEX-WYBS-0926-SM-3NM94 60-69 years, female 54.8
GTEX-RU1J-0626-SM-4WAWY 20-29 years, female 54.7
GTEX-13O3P-0826-SM-5L3DH 50-59 years, male 54.6
GTEX-1GMR3-2626-SM-7RHHG 40-49 years, male 53.9
GTEX-YFC4-1426-SM-5IFJG 40-49 years, female 53.7
GTEX-17HHE-1426-SM-7EPH4 50-59 years, male 53.6
GTEX-139T8-0826-SM-5L3DE 60-69 years, male 53.4
GTEX-13FTY-2226-SM-5J1ND 40-49 years, female 52.7
GTEX-11EI6-0626-SM-5985T 60-69 years, male 52.6
GTEX-UPK5-2326-SM-3P5Z8 40-49 years, male 52.6
GTEX-R3RS-0626-SM-48FE1 40-49 years, female 52.1
GTEX-WYVS-1726-SM-3NMAY 40-49 years, female 52.1
GTEX-1B932-0826-SM-73KXG 40-49 years, female 51.7
GTEX-S341-1526-SM-4AD6K 40-49 years, female 51.6
GTEX-1LVAN-1326-SM-CNPQE 50-59 years, female 51.6
GTEX-T6MN-0726-SM-32PML 50-59 years, male 51.5
GTEX-17HHY-0926-SM-793C1 50-59 years, male 51.4
GTEX-ZVE2-1226-SM-5NQ8R 50-59 years, male 51.2
GTEX-S4P3-1326-SM-4AD6V 50-59 years, female 51.1
GTEX-T5JC-2126-SM-32PMO 20-29 years, male 51.1
GTEX-XMD1-0826-SM-4AT52 60-69 years, male 51.1
GTEX-1GMR8-0726-SM-9KNVI 50-59 years, female 50.8
GTEX-1LNCM-0226-SM-DIPF4 50-59 years, female 50.7
GTEX-RWS6-1926-SM-47JXY 60-69 years, female 50.6
GTEX-ZF2S-2026-SM-5E461 50-59 years, female 50.5
GTEX-U3ZN-1926-SM-4DXSG 30-39 years, female 50.3
GTEX-Q2AG-0326-SM-48U1O 40-49 years, female 49.4
GTEX-R53T-1526-SM-48FEK 50-59 years, female 49.3
GTEX-V955-2026-SM-3GAFA 60-69 years, male 48.9
GTEX-1GN1U-0526-SM-9KNTT 50-59 years, female 48.9
GTEX-U3ZH-1426-SM-4DXSR 30-39 years, male 48.1
GTEX-1B97J-0426-SM-79OLQ 50-59 years, female 45.5
GTEX-RU72-0626-SM-46MUI 50-59 years, female 45.4
GTEX-T2YK-2226-SM-32QPT 50-59 years, male 39.1
Show allShow less

BREAST - FANTOM5 CAGEi

RNA expression in human tissues obtained through Cap Analysis of Gene Expression (CAGE) generated by the FANTOM5 project are reported as Scaled Tags Per Million.

Max subtype Scaled Tags Per Millioni

Max subtype Scaled Tags Per Million is the value for the subtype with the largest average Scaled Tags Per Million across the subtype samples.

83.5
FANTOM5 sample id Sample description Scaled Tags Per Million
Breast
Scaled Tags Per Million: 83.5
FF:10080-102A8 77 years, female 83.5

Contact

  • NEWS ARTICLES
  • PRESS ROOM

The Project

  • INTRODUCTION
  • ORGANIZATION
  • PUBLICATIONS

The Human Protein Atlas

  • DOWNLOADABLE DATA
  • LICENCE & CITATION
  • HELP & FAQ
The Human Protein Atlas project is funded
by the Knut & Alice Wallenberg Foundation.


contact@proteinatlas.org