We use cookies to enhance the usability of our website. If you continue, we'll assume that you are happy to receive all cookies. More information. Don't show this again.
SSBP1
HPA
RESOURCES
  • TISSUE
  • BRAIN
  • SINGLE CELL
  • SUBCELLULAR
  • CANCER
  • BLOOD
  • CELL LINE
  • STRUCTURE & INTERACTION
ABOUT
  • INTRODUCTION
  • HISTORY
  • ORGANIZATION
  • PUBLICATIONS
  • ANTIBODY SUBMISSION
  • ANTIBODY AVAILABILITY
  • ACKNOWLEDGMENTS
  • CONTACT
NEWS
  • NEWS ARTICLES
  • PRESS ROOM
LEARN
  • DICTIONARY
  • PROTEIN CLASSES
  • PROTEIN EVIDENCE
  • METHODS
  • EDUCATIONAL VIDEOS
DATA
  • DOWNLOADABLE DATA
  • PUBLICATION DATA
  • RELEASE HISTORY
HELP
  • ANTIBODY VALIDATION
  • ASSAYS & ANNOTATION
  • DISCLAIMER
  • HELP & FAQ
  • PRIVACY STATEMENT
  • LICENCE & CITATION
Fields »
Search result

Field
Term
Gene name
Class
Subclass
Class
Keyword
Chromosome
External id
Tissue
Cell type
Expression
Antibody panel
Tissue
Main location
Patient ID
Annotation
Tissue
Category
Tau score
Cluster
Reliability
Brain region
Category
Tau score
Brain region
Category
Tau score
Brain region
Category
Tau score
Cluster
Reliability
Tissue
Cell type
Enrichment
Cell type
Category
Tau score
Cell type
Category
Tau score
Cell type
Category
Tau score
Cell lineage
Category
Tau score
Cluster
Cluster
Location
Searches
Location
Cell line
Class
Type
Phase
Reliability
Cancer
Prognosis
Cancer
Category
Cancer
Category
Tau score
Cluster
Variants
Interacting gene (ensg_id)
Type
Number of interactions
Pathway
Category
Score
Score
Score
Validation
Validation
Validation
Validation
Antibodies
Data type
Column


  • SUMMARY

  • TISSUE

  • BRAIN

  • SINGLE CELL

  • SUBCELL

  • CANCER

  • BLOOD

  • CELL LINE

  • STRUCT & INT

  • SSBP1
TISSUE PRIMARY DATA STOMACH Show tissue menu
ADIPOSE TISSUE ADRENAL GLAND AMYGDALA APPENDIX BASAL GANGLIA BONE MARROW BREAST BRONCHUS CEREBELLUM CEREBRAL CORTEX CERVIX CHOROID PLEXUS COLON DUODENUM
ENDOMETRIUM EPIDIDYMIS ESOPHAGUS FALLOPIAN TUBE GALLBLADDER HEART MUSCLE HIPPOCAMPAL FORMATION HYPOTHALAMUS KIDNEY LIVER LUNG LYMPH NODE MIDBRAIN NASOPHARYNX
ORAL MUCOSA OVARY PANCREAS PARATHYROID GLAND PITUITARY GLAND PLACENTA PROSTATE RECTUM RETINA SALIVARY GLAND SEMINAL VESICLE SKELETAL MUSCLE SKIN SMALL INTESTINE
SMOOTH MUSCLE SOFT TISSUE SPINAL CORD SPLEEN STOMACH TESTIS THYMUS THYROID GLAND TONGUE TONSIL URINARY BLADDER VAGINA
ANTIBODIES
AND
VALIDATION
Dictionary
Tissue proteome
Stomach
STOMACH - Expression summary
Protein expression
Stomachi

On the top, protein expression in current human tissue, based on all annotated cell types, is reported with the units not detected (n), low (l), medium (m) and high (h). Underneath, protein expression in each annotated cell type are reported using the same units.

Protein expression data is based on knowledge-based annotation. For genes where more than one antibody has been used, a collective score is set.

If knowledge-based annotation could not be performed for a gene, no data is displayed here. View antibody staining data further down this page.

h
m
l
n
Glandular cells: Medium
RNA expressioni

A summary of mRNA expression data available for current tissue based on several datasets. The mRNA expression levels in human tissues are based on RNA-seq data generated by the Human Protein Atlas (HPA), Genotype-Tissue Expression (GTEx) portal and CAGE data generated by the FANTOM5 consortium. Consensus normalized expression levels for human tissues was created by combining the data from HPA and GTEx datasets.

The mRNA expression levels in pig are based on RNA-seq data generated by the Human Protein Atlas (HPA), and for mouse, HPA data and in situ hybridization generated by the Allen brain atlas are reported.

Scroll down to view mRNA expression data in more detail.
Consensus:90.4 nTPM
HPA:76.9 nTPM
GTEx:90.4 nTPM

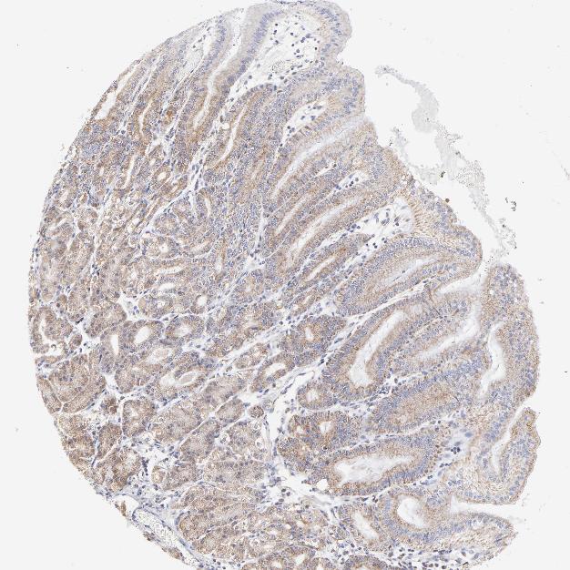
STOMACH 1 - Antibody stainingi

Antibody staining in the annotated cell types in the current human tissue is reported as not detected, low, medium, or high, based on conventional immunohistochemistry profiling in selected tissues. This score is based on the combination of the staining intensity and fraction of stained cells.

Each image is clickable and will lead to virtual microscopy that enables deeper exploration of all samples and also displays staining intensity scores, fraction scores and subcellular localization as well as patient and tissue information for each sample.

Antibody HPA002866
Glandular cells Medium


STOMACH 2 - Antibody stainingi

Antibody staining in the annotated cell types in the current human tissue is reported as not detected, low, medium, or high, based on conventional immunohistochemistry profiling in selected tissues. This score is based on the combination of the staining intensity and fraction of stained cells.

Each image is clickable and will lead to virtual microscopy that enables deeper exploration of all samples and also displays staining intensity scores, fraction scores and subcellular localization as well as patient and tissue information for each sample.

Antibody HPA002866
Glandular cells Medium



STOMACH - HPA RNA-seqi

The RNA-seq details section shows detailed information about the individual samples used for the transcript profiling and results of the RNA-seq analysis.

Information about each individual sample is listed below, including gender, age, a tissue section image and estimated fractions of cell types. nTPM (normalized transcripts per million) values give a quantification of the gene abundance which is comparable between different genes and samples.
Average nTPMi

Max subtype nTPM is the value for the subtype with the largest average nTPM across the subtype samples.

76.9
overview
Female, age 33
Stomach sample 61
nTPM: 70.5
Cell types%
Glandular cells:
60

Smooth muscle cells:
5

Other cell types:
35

N/A
Male, age 82
Stomach sample 240
nTPM: 53.5
Cell types%
Glandular cells:
65

Smooth muscle cells:
5

Other cell types:
30

overview
Male, age 71
Stomach sample 241
nTPM: 90.1
Cell types%
Glandular cells:
50

Smooth muscle cells:
5

Other cell types:
45

overview
Female, age 66
Stomach sample 369
nTPM: 93.4
Cell types%
Glandular cells:
50

Smooth muscle cells:
10

Other cell types:
40


STOMACH - GTEx RNA-seqi

RNA-Seq data generated by the Genotype-Tissue Expression (GTEx) project from human tissues is reported as mean nTPM. More information can be found on the GTEx portal.

Distribution across the dataset is visualized with box plots, shown as median and 25th and 75th percentiles. Points are displayed as outliers if they are above or below 1.5 times the interquartile range. nTPM values of the individual samples are presented next to the box plot.
Max subtype nTPMi

Max subtype nTPM is the value for the subtype with the largest average nTPM across the subtype samples.

90.4
GTEx sample id Sample description nTPM
Stomach
Average nTPM: 90.4
Samples: 359

Max nTPM: 234.7
Min nTPM: 46.1
Std nTPM: 18.7
Median nTPM: 88.4
GTEX-15RIF-1126-SM-7KUG2 20-29 years, male 234.7
GTEX-14PJ4-1626-SM-664OB 60-69 years, male 146.4
GTEX-ZV6S-0926-SM-57WGB 40-49 years, female 140.2
GTEX-15G1A-1226-SM-7KUF3 30-39 years, male 139.4
GTEX-13X6H-1626-SM-5Q5CT 50-59 years, female 138.5
GTEX-1KANA-1126-SM-D3L9M 20-29 years, male 137.6
GTEX-1RAZR-1526-SM-EAZ4U 40-49 years, male 137.2
GTEX-1F5PL-1426-SM-7MKFH 40-49 years, female 132.7
GTEX-15EU6-2526-SM-7KUGB 50-59 years, male 129.7
GTEX-WHPG-0426-SM-4M1XW 50-59 years, male 129.0
GTEX-Y5LM-1326-SM-5RQIS 40-49 years, female 128.3
GTEX-13O61-1126-SM-5L3FI 60-69 years, male 125.2
GTEX-1CB4E-1326-SM-7DUGD 60-69 years, male 125.2
GTEX-1F75I-1826-SM-7MKGX 40-49 years, male 123.9
GTEX-14E1K-1526-SM-664MN 50-59 years, male 122.7
GTEX-ZYVF-2726-SM-5GID4 50-59 years, female 122.4
GTEX-14PKU-1126-SM-69LOU 40-49 years, female 122.0
GTEX-1339X-1426-SM-5K7YO 40-49 years, male 121.4
GTEX-WFG8-1326-SM-4LVN3 20-29 years, male 120.5
GTEX-12WSJ-0926-SM-5P9JD 40-49 years, female 119.7
GTEX-14PKV-1826-SM-69LO9 20-29 years, female 119.5
GTEX-12BJ1-1726-SM-5HL9B 60-69 years, male 117.8
GTEX-ZLWG-1526-SM-DO12F 50-59 years, female 117.8
GTEX-131XG-1226-SM-5EGH9 50-59 years, female 116.8
GTEX-1S831-1126-SM-EWROI 20-29 years, male 116.5
GTEX-PWN1-1526-SM-48TDA 40-49 years, female 116.4
GTEX-R55C-1026-SM-48FCM 40-49 years, male 115.9
GTEX-1MCYP-1126-SM-E9J2P 20-29 years, female 115.6
GTEX-SUCS-0926-SM-4DM4Z 70-79 years, male 115.1
GTEX-18D9B-2226-SM-718BM 60-69 years, male 115.0
GTEX-18A67-2626-SM-718AD 50-59 years, male 114.7
GTEX-12C56-0526-SM-5FQST 20-29 years, male 114.6
GTEX-1NSGN-1926-SM-E9J36 50-59 years, male 114.6
GTEX-1MUQO-1926-SM-EAZ59 60-69 years, male 114.3
GTEX-XPVG-1526-SM-4B66C 50-59 years, male 114.0
GTEX-XMK1-1526-SM-EYYVO 40-49 years, male 113.6
GTEX-14B4R-0726-SM-5TDDR 30-39 years, male 113.4
GTEX-1IDJU-1526-SM-CNNR3 60-69 years, female 113.4
GTEX-ZTX8-0426-SM-59HLG 20-29 years, male 112.5
GTEX-13FTW-1726-SM-5KM2B 40-49 years, male 112.3
GTEX-11TT1-0726-SM-5GU5A 20-29 years, male 112.0
GTEX-13O21-0926-SM-5IFGT 50-59 years, male 111.8
GTEX-U4B1-1026-SM-4DXT1 40-49 years, male 111.4
GTEX-P4PQ-1526-SM-3NMCK 60-69 years, male 111.2
GTEX-ZT9W-1526-SM-4YCDE 50-59 years, male 110.9
GTEX-P4QT-1526-SM-3NMCT 50-59 years, female 110.6
GTEX-Q2AI-0826-SM-48TZO 40-49 years, male 110.5
GTEX-1MJIX-1126-SM-EV7AO 40-49 years, male 110.5
GTEX-1CAMR-0726-SM-7EPIE 20-29 years, male 110.4
GTEX-1L5NE-1526-SM-DIPFW 50-59 years, male 108.9
GTEX-T5JW-0926-SM-4DM5K 20-29 years, female 108.8
GTEX-1PPH8-1326-SM-DTXFO 20-29 years, male 108.8
GTEX-1399U-1626-SM-5P9J3 50-59 years, female 108.2
GTEX-1PIGE-1126-SM-EWRMV 20-29 years, male 107.6
GTEX-11P7K-1726-SM-5GU6F 30-39 years, male 107.5
GTEX-18D9A-0626-SM-7KFTY 30-39 years, female 107.5
GTEX-133LE-1326-SM-5IFGO 20-29 years, female 107.1
GTEX-13111-1226-SM-5GCNC 50-59 years, male 106.6
GTEX-P4PP-1526-SM-3P61M 30-39 years, female 106.6
GTEX-1399S-1626-SM-5P9GI 30-39 years, female 106.4
GTEX-ZZPU-1426-SM-5GZZ6 50-59 years, female 106.4
GTEX-14PJ6-0826-SM-686Z9 60-69 years, female 105.7
GTEX-QLQ7-0826-SM-447B3 60-69 years, male 105.1
GTEX-OHPK-1526-SM-3MJGM 50-59 years, female 105.0
GTEX-YEC3-1426-SM-D4P1S 50-59 years, male 104.9
GTEX-WEY5-1226-SM-4LMIQ 40-49 years, female 104.5
GTEX-ZDYS-1926-SM-5HL59 50-59 years, male 104.5
GTEX-1HCUA-1626-SM-A9SMG 50-59 years, female 103.8
GTEX-YEC4-1426-SM-5IFHS 40-49 years, male 103.7
GTEX-13FTX-0726-SM-5N9BI 20-29 years, female 103.5
GTEX-RUSQ-1126-SM-EAZAU 50-59 years, male 103.4
GTEX-1LGOU-1526-SM-D3LAJ 20-29 years, female 103.2
GTEX-131XF-1226-SM-5HL8V 60-69 years, male 103.1
GTEX-14PN3-1326-SM-6AJ9U 60-69 years, female 103.1
GTEX-ZA64-0826-SM-5HL9U 20-29 years, male 103.1
GTEX-1QP28-2126-SM-DTX8B 50-59 years, female 102.6
GTEX-1RB15-1026-SM-E9U6V 60-69 years, male 102.5
GTEX-1C475-1026-SM-7MKFJ 40-49 years, female 102.4
GTEX-11VI4-0326-SM-5EQ6L 40-49 years, female 102.3
GTEX-T8EM-1226-SM-4DM5J 40-49 years, male 102.3
GTEX-1122O-1926-SM-5EGIQ 60-69 years, female 102.1
GTEX-POMQ-0826-SM-3P61H 20-29 years, female 102.0
GTEX-111CU-0926-SM-5EGIK 50-59 years, male 101.9
GTEX-17F9E-2226-SM-7IGNC 50-59 years, male 101.6
GTEX-1211K-1426-SM-5FQTF 60-69 years, female 101.3
GTEX-1B97I-1226-SM-7MGWQ 40-49 years, male 101.3
GTEX-Y3IK-1426-SM-4YCES 50-59 years, female 101.2
GTEX-1N2DV-0926-SM-E9TJT 40-49 years, male 101.2
GTEX-13CF3-1926-SM-5K7WF 60-69 years, female 101.1
GTEX-144GM-1726-SM-5O9AS 20-29 years, male 100.9
GTEX-1B97J-1826-SM-7IGPP 50-59 years, female 100.9
GTEX-1I6K7-1726-SM-B2LXQ 40-49 years, male 100.7
GTEX-18A66-2226-SM-7189E 60-69 years, male 100.6
GTEX-1LVAM-1426-SM-E9TJ4 50-59 years, female 100.4
GTEX-11EQ9-1226-SM-5987E 30-39 years, male 100.2
GTEX-OHPM-1526-SM-EV796 50-59 years, male 100.2
GTEX-11DXX-1326-SM-5GIDZ 60-69 years, female 99.9
GTEX-ZP4G-1226-SM-4WWCJ 20-29 years, female 99.9
GTEX-17MF6-2126-SM-7KFS7 40-49 years, male 99.8
GTEX-1QPFJ-1526-SM-DPRXT 30-39 years, female 99.8
GTEX-QCQG-0526-SM-48U2A 50-59 years, female 99.0
GTEX-Q2AH-1126-SM-48TZM 40-49 years, male 98.5
GTEX-R55G-1126-SM-48FDG 40-49 years, female 98.5
GTEX-1GPI7-1326-SM-9KNVA 20-29 years, male 98.5
GTEX-SNMC-0626-SM-4DM6H 20-29 years, male 98.4
GTEX-WFG7-1326-SM-4LMK1 20-29 years, male 98.4
GTEX-QDVJ-1426-SM-48U1Y 50-59 years, male 98.3
GTEX-1GL5R-1926-SM-9WG7U 50-59 years, male 98.3
GTEX-WHSB-1226-SM-4M1XR 50-59 years, male 98.1
GTEX-Y5V6-1326-SM-4VDTF 60-69 years, male 98.1
GTEX-1KXAM-0926-SM-CXZKA 60-69 years, male 98.1
GTEX-1J8Q3-1926-SM-C1YSJ 60-69 years, male 97.9
GTEX-ZF29-1526-SM-4WKF7 60-69 years, female 97.8
GTEX-14PHX-1026-SM-664OL 50-59 years, male 97.4
GTEX-11NUK-2426-SM-5BC4U 50-59 years, male 97.3
GTEX-11P82-0726-SM-5PNYL 20-29 years, male 97.0
GTEX-1IDJD-2426-SM-C1YS6 30-39 years, male 97.0
GTEX-16NGA-1526-SM-72D56 40-49 years, female 96.9
GTEX-QLQW-0726-SM-447AA 30-39 years, male 96.9
GTEX-ZYY3-1726-SM-5EGH3 60-69 years, female 96.8
GTEX-1AMEY-1226-SM-731DU 30-39 years, female 96.6
GTEX-1K2DA-0826-SM-CGQGD 50-59 years, male 96.6
GTEX-13FH7-1026-SM-5IJGF 50-59 years, female 96.5
GTEX-1LG7Z-1226-SM-DHXK4 30-39 years, male 96.5
GTEX-117YX-1026-SM-5H11V 50-59 years, male 96.4
GTEX-146FH-2126-SM-5SI9U 50-59 years, female 96.3
GTEX-ZGAY-1626-SM-DNZZ3 40-49 years, female 96.0
GTEX-QDVN-1226-SM-48TZ5 50-59 years, male 95.7
GTEX-QV31-0626-SM-447C5 30-39 years, male 95.4
GTEX-1JK1U-1326-SM-AHZ45 60-69 years, male 95.3
GTEX-12696-1726-SM-5EQLH 60-69 years, male 95.2
GTEX-ZVT2-1626-SM-51MRC 50-59 years, female 95.2
GTEX-1QP67-1026-SM-EVR47 40-49 years, female 95.2
GTEX-Y114-1226-SM-4TT88 50-59 years, female 95.0
GTEX-ZZ64-0426-SM-5E43F 20-29 years, male 95.0
GTEX-17KNJ-1526-SM-7LTA9 50-59 years, male 94.9
GTEX-YB5E-1126-SM-664NU 40-49 years, male 94.9
GTEX-1MGNQ-1826-SM-DPRYI 40-49 years, male 94.9
GTEX-ZYFG-1326-SM-5GICJ 60-69 years, female 94.8
GTEX-15G19-1526-SM-6LPKP 60-69 years, male 94.5
GTEX-17EUY-1526-SM-793CA 20-29 years, male 94.3
GTEX-1HFI7-1526-SM-9WG7W 50-59 years, female 93.7
GTEX-ZQUD-0826-SM-57WDQ 30-39 years, male 93.6
GTEX-ZLFU-1326-SM-DO11R 40-49 years, male 93.6
GTEX-WH7G-1526-SM-4LVMX 40-49 years, male 93.4
GTEX-1AYCT-1326-SM-7MKHB 50-59 years, male 93.3
GTEX-TKQ1-0526-SM-4DXTG 30-39 years, male 93.1
GTEX-1QCLY-1126-SM-EAZ4J 30-39 years, male 92.8
GTEX-1A3MV-1226-SM-718BW 30-39 years, male 92.3
GTEX-YFCO-0826-SM-5LUAG 40-49 years, male 92.3
GTEX-13OW6-2526-SM-5IJEC 50-59 years, male 92.2
GTEX-1HSMQ-2426-SM-CE6RY 50-59 years, male 92.2
GTEX-14JG6-1226-SM-664O6 30-39 years, female 91.9
GTEX-18QFQ-1226-SM-718AE 30-39 years, male 91.6
GTEX-VJYA-1026-SM-4KL21 60-69 years, male 91.5
GTEX-132QS-1826-SM-5IFFN 60-69 years, male 91.3
GTEX-RWS6-0926-SM-47JXE 60-69 years, female 91.2
GTEX-1QP2A-2126-SM-DPRZ7 50-59 years, male 91.2
GTEX-1QW4Y-0726-SM-DTX8E 30-39 years, male 91.2
GTEX-11I78-1726-SM-5A5M3 50-59 years, female 91.1
GTEX-14PHY-0926-SM-5ZZWL 60-69 years, female 91.1
GTEX-13D11-2126-SM-5IFH2 50-59 years, female 90.9
GTEX-NFK9-1526-SM-3LK7B 40-49 years, male 90.9
GTEX-ZVZP-1726-SM-5GZWY 50-59 years, male 90.8
GTEX-12WSK-1426-SM-5CVNN 40-49 years, female 90.7
GTEX-1AX9J-2626-SM-731EK 60-69 years, male 90.7
GTEX-XBEW-1826-SM-4RTWX 40-49 years, male 90.4
GTEX-1IL2V-2026-SM-ARZMA 70-79 years, male 90.2
GTEX-QV44-1226-SM-CJI1S 50-59 years, male 90.1
GTEX-1LGRB-1726-SM-CNNRA 50-59 years, female 89.9
GTEX-1ICG6-1826-SM-AHZ2O 70-79 years, female 89.8
GTEX-1JKYN-1726-SM-AHZ48 30-39 years, male 89.5
GTEX-1QCLZ-1826-SM-DPRXP 60-69 years, female 89.2
GTEX-1A8G6-1426-SM-731EZ 60-69 years, male 89.1
GTEX-1AMFI-1226-SM-731CZ 50-59 years, female 88.9
GTEX-PWCY-0926-SM-48TD7 20-29 years, female 88.9
GTEX-14PJ3-1426-SM-664O8 50-59 years, male 88.6
GTEX-W5WG-1726-SM-4LMI5 50-59 years, female 88.6
GTEX-17GQL-1226-SM-7KFTS 60-69 years, male 88.5
GTEX-1H1E6-1626-SM-9OSWC 30-39 years, male 88.4
GTEX-14ICL-0826-SM-5YY9W 30-39 years, male 88.3
GTEX-PLZ6-0826-SM-3P61K 30-39 years, male 88.3
GTEX-17HGU-2126-SM-7IGOV 50-59 years, male 88.1
GTEX-1IDJF-1426-SM-ACKWK 20-29 years, male 88.0
GTEX-ZEX8-1626-SM-4WKG7 50-59 years, male 87.9
GTEX-RM2N-0826-SM-48FD3 50-59 years, male 87.5
GTEX-15DCE-1626-SM-6LPJM 20-29 years, male 87.3
GTEX-OOBJ-1526-SM-3NB1Q 60-69 years, male 87.1
GTEX-145MN-1326-SM-5NQ9S 30-39 years, male 87.0
GTEX-11NSD-1426-SM-5HL67 20-29 years, male 86.8
GTEX-15SHW-2126-SM-6M46Y 60-69 years, male 86.7
GTEX-13OVI-2426-SM-5KM4J 60-69 years, female 86.6
GTEX-T6MO-0726-SM-4DM58 40-49 years, female 86.5
GTEX-WFON-1126-SM-4LVMA 40-49 years, male 86.5
GTEX-1JN76-0926-SM-ARZNH 20-29 years, female 86.3
GTEX-1H1DE-1226-SM-9JGHH 20-29 years, male 86.2
GTEX-13PVQ-2126-SM-5L3FW 50-59 years, male 86.1
GTEX-S341-0626-SM-4AD5T 40-49 years, female 86.1
GTEX-ZV7C-1626-SM-5NQ7E 50-59 years, male 86.1
GTEX-11GSP-2126-SM-5HL5E 60-69 years, female 86.0
GTEX-14DAR-0926-SM-73KUQ 50-59 years, male 86.0
GTEX-WY7C-1726-SM-4ONCC 50-59 years, male 85.9
GTEX-131XE-2226-SM-5PNYX 50-59 years, male 85.8
GTEX-1R9K5-1026-SM-EAZ4F 50-59 years, male 85.8
GTEX-PX3G-1526-SM-48U11 20-29 years, female 85.7
GTEX-XBED-1226-SM-4AT5V 60-69 years, male 85.7
GTEX-ZPIC-2026-SM-57WG3 40-49 years, female 85.3
GTEX-PLZ5-1226-SM-EXOHA 50-59 years, male 85.3
GTEX-14E6E-0926-SM-664N8 30-39 years, male 85.1
GTEX-15DZA-1126-SM-6LPK8 30-39 years, female 84.9
GTEX-15UF7-1226-SM-6M46G 40-49 years, male 84.9
GTEX-QMRM-1126-SM-447BN 50-59 years, male 84.9
GTEX-14BMU-1126-SM-5RQJ8 20-29 years, female 84.8
GTEX-1B8KE-1326-SM-73KVI 50-59 years, male 84.7
GTEX-111YS-1126-SM-5GZYQ 60-69 years, male 84.6
GTEX-WXYG-1626-SM-4ONCR 50-59 years, female 84.6
GTEX-1E2YA-2426-SM-7EPIG 50-59 years, male 84.5
GTEX-1RMOY-1126-SM-EV79E 50-59 years, male 84.5
GTEX-146FR-2026-SM-5NQAI 60-69 years, female 84.4
GTEX-1JMPY-0926-SM-ARL92 30-39 years, male 84.4
GTEX-1I4MK-0926-SM-A9SLD 50-59 years, female 84.3
GTEX-R55D-1526-SM-48FEJ 50-59 years, male 84.1
GTEX-S95S-0826-SM-4B64N 60-69 years, male 84.1
GTEX-OIZH-1526-SM-3NB1J 50-59 years, male 84.0
GTEX-12WSD-2326-SM-59HKQ 60-69 years, female 83.6
GTEX-WRHK-0626-SM-4MVOE 20-29 years, female 83.6
GTEX-13U4I-2526-SM-5SI8Z 40-49 years, female 83.3
GTEX-1C64O-2226-SM-73KTV 60-69 years, male 83.3
GTEX-Y8LW-0826-SM-4WWDO 50-59 years, female 82.8
GTEX-1QP29-2326-SM-EXOJO 50-59 years, male 82.8
GTEX-1B8L1-1526-SM-79OLK 60-69 years, male 82.7
GTEX-1I1GT-1726-SM-C1YS3 60-69 years, female 82.6
GTEX-Y8E4-1526-SM-4WWDI 40-49 years, male 82.5
GTEX-WYJK-2526-SM-4ONDF 50-59 years, male 82.2
GTEX-144GN-1226-SM-5O991 50-59 years, male 82.0
GTEX-S4P3-0726-SM-4AD57 50-59 years, female 82.0
GTEX-18A7A-2726-SM-7LG6U 50-59 years, female 81.9
GTEX-1GF9U-1126-SM-AHZ4H 40-49 years, female 81.8
GTEX-ZLV1-0826-SM-DO11P 60-69 years, female 81.5
GTEX-ZY6K-0726-SM-5A5L8 50-59 years, male 81.3
GTEX-1J8QM-1126-SM-C1YQB 60-69 years, female 81.3
GTEX-QDT8-2026-SM-EZ6LS 30-39 years, female 81.3
GTEX-S3XE-1026-SM-4AD4O 50-59 years, male 81.2
GTEX-WFJO-1126-SM-4LVLZ 30-39 years, male 80.7
GTEX-14PJ5-0826-SM-6AJAR 60-69 years, female 80.5
GTEX-S4Q7-0726-SM-4AD5F 20-29 years, male 80.5
GTEX-O5YW-1526-SM-3MJGL 50-59 years, male 80.1
GTEX-1HSEH-1526-SM-B2LXG 60-69 years, male 80.1
GTEX-1R7EU-1126-SM-EAZ4M 60-69 years, male 80.1
GTEX-145ME-1026-SM-5O9B4 40-49 years, female 80.0
GTEX-1H3VY-2326-SM-9WG81 50-59 years, male 79.9
GTEX-1399R-1126-SM-5IFIO 30-39 years, male 79.8
GTEX-1S3DN-1526-SM-EVYCB 50-59 years, male 79.7
GTEX-1GN1W-2126-SM-9JGI7 50-59 years, female 79.4
GTEX-UJHI-1026-SM-4IHJP 50-59 years, female 79.3
GTEX-ZXES-1426-SM-5NQ8S 30-39 years, female 79.3
GTEX-ZAB4-1526-SM-5CVN7 40-49 years, male 78.6
GTEX-1A3MX-1926-SM-72D7F 60-69 years, male 78.5
GTEX-ZVP2-1626-SM-5GU5D 50-59 years, male 78.4
GTEX-13RTK-0226-SM-5RQHR 20-29 years, male 78.1
GTEX-16AAH-1226-SM-79OO9 50-59 years, male 78.1
GTEX-1HT8W-2326-SM-A9SLA 30-39 years, male 78.1
GTEX-1H3NZ-2226-SM-9WYUT 60-69 years, male 78.0
GTEX-TMMY-1626-SM-4DXTY 40-49 years, female 77.8
GTEX-TKQ2-0926-SM-4DXU5 50-59 years, male 77.7
GTEX-1HR9M-2326-SM-CNPPZ 60-69 years, male 77.7
GTEX-132AR-2426-SM-5IFFD 50-59 years, female 77.5
GTEX-S4UY-1626-SM-4AD55 40-49 years, female 77.3
GTEX-1CB4H-2426-SM-7PBYR 60-69 years, female 77.3
GTEX-1F5PK-1826-SM-7RHHX 50-59 years, male 77.3
GTEX-17F98-1526-SM-7EWD8 40-49 years, female 76.7
GTEX-13113-0726-SM-5LZUF 60-69 years, female 76.6
GTEX-1EH9U-2226-SM-7PBXX 60-69 years, male 76.6
GTEX-1LBAC-1426-SM-CXZKT 20-29 years, male 76.5
GTEX-1S82Z-1726-SM-E6CHZ 30-39 years, female 76.3
GTEX-OXRL-1526-SM-E6CHQ 50-59 years, male 76.2
GTEX-13N1W-2026-SM-5K7YU 70-79 years, male 76.0
GTEX-YJ8A-1526-SM-5P9FT 20-29 years, male 75.9
GTEX-ZE7O-3026-SM-51MS4 50-59 years, female 75.9
GTEX-1HBPN-1626-SM-9WPNP 50-59 years, male 75.9
GTEX-UPK5-2126-SM-4JBJK 40-49 years, male 75.8
GTEX-13QBU-1126-SM-5LU44 40-49 years, female 75.7
GTEX-1JMPZ-1826-SM-CXZJT 30-39 years, male 75.7
GTEX-1JMQJ-1326-SM-D4P3B 50-59 years, male 75.6
GTEX-11EM3-1026-SM-5A5KL 20-29 years, female 75.5
GTEX-RU1J-0526-SM-46MUT 20-29 years, female 75.5
GTEX-V1D1-1726-SM-4JBHB 50-59 years, male 75.5
GTEX-12WSG-2026-SM-5FQUU 50-59 years, female 75.3
GTEX-Y9LG-1026-SM-5IFJN 30-39 years, male 75.3
GTEX-1QMI2-2126-SM-DPRXQ 60-69 years, male 75.1
GTEX-SNOS-0826-SM-4DM5N 40-49 years, male 74.8
GTEX-1HKZK-1526-SM-B2LWG 40-49 years, male 74.8
GTEX-1H1DG-2126-SM-9WPPB 70-79 years, male 74.6
GTEX-1KD5A-1426-SM-D4P3V 50-59 years, male 74.5
GTEX-S7SF-0626-SM-4AD4V 20-29 years, female 74.2
GTEX-ZPU1-1626-SM-4WWB2 40-49 years, male 74.1
GTEX-1B8KZ-1226-SM-793CP 50-59 years, male 73.9
GTEX-XAJ8-0326-SM-47JYI 40-49 years, male 73.8
GTEX-XXEK-0826-SM-4BRWG 50-59 years, male 73.4
GTEX-13O3Q-2126-SM-5KM4C 50-59 years, male 73.1
GTEX-1I1HK-2026-SM-CNNRB 60-69 years, male 72.7
GTEX-OIZF-1526-SM-2I5GR 60-69 years, male 72.7
GTEX-15RIE-1026-SM-6LPJQ 60-69 years, male 72.2
GTEX-17HII-2426-SM-7KFTT 50-59 years, male 72.2
GTEX-13OVK-0926-SM-7KUFX 40-49 years, male 72.1
GTEX-UJMC-1226-SM-4IHLI 50-59 years, male 72.0
GTEX-OXRK-1626-SM-3NB17 50-59 years, female 71.9
GTEX-PW2O-1226-SM-48TCH 20-29 years, male 71.9
GTEX-1LSNM-1026-SM-DHXL2 50-59 years, male 71.7
GTEX-WYVS-1326-SM-4ONCQ 40-49 years, female 71.1
GTEX-1H23P-2726-SM-9JGHN 60-69 years, male 71.0
GTEX-QXCU-1926-SM-48FE4 50-59 years, male 70.7
GTEX-P78B-1826-SM-3P5YX 40-49 years, female 70.6
GTEX-T5JC-1926-SM-4DM6Q 20-29 years, male 70.6
GTEX-117YW-2226-SM-5N9DB 50-59 years, male 70.5
GTEX-X15G-1126-SM-4PQZG 50-59 years, female 70.5
GTEX-ZF2S-1426-SM-57WET 50-59 years, female 70.0
GTEX-1J8EW-2226-SM-AHZ3T 60-69 years, female 69.9
GTEX-14DAQ-2826-SM-664MU 60-69 years, female 69.5
GTEX-17JCI-2226-SM-7LTA1 60-69 years, female 69.5
GTEX-WZTO-2126-SM-4PQYW 40-49 years, male 69.5
GTEX-R53T-1226-SM-48FCT 50-59 years, female 69.4
GTEX-RTLS-2626-SM-46MUJ 60-69 years, female 68.9
GTEX-13X6J-2126-SM-5TDCV 50-59 years, male 68.8
GTEX-1RQEC-2126-SM-DPS15 60-69 years, male 68.7
GTEX-11WQK-2626-SM-5EQ4K 50-59 years, male 68.4
GTEX-WHWD-1426-SM-4OORU 50-59 years, male 68.1
GTEX-XV7Q-1326-SM-4BRWM 40-49 years, female 68.0
GTEX-1H11D-2226-SM-9OSXN 40-49 years, male 68.0
GTEX-XUZC-0726-SM-4BOPH 30-39 years, female 67.6
GTEX-1GMRU-2526-SM-9WG7T 50-59 years, male 67.5
GTEX-17HHE-1026-SM-79ON6 50-59 years, male 67.4
GTEX-S4Z8-1226-SM-4AD6W 60-69 years, male 67.3
GTEX-145MO-2226-SM-5Q5BN 60-69 years, male 67.1
GTEX-1HCU8-1326-SM-C1YQQ 60-69 years, female 67.0
GTEX-13PVR-2126-SM-73KVR 60-69 years, female 66.7
GTEX-1JMLX-2426-SM-CXZJQ 50-59 years, male 66.7
GTEX-1HBPI-0726-SM-9WG7Z 50-59 years, male 66.0
GTEX-U3ZN-2026-SM-4DXUC 30-39 years, female 65.8
GTEX-14BMV-2226-SM-5RQHX 50-59 years, male 65.7
GTEX-145LT-1426-SM-5O9B3 40-49 years, male 65.2
GTEX-13S7M-1826-SM-5RQK6 60-69 years, female 65.0
GTEX-1E1VI-2826-SM-7MGWU 50-59 years, male 64.9
GTEX-14BIL-1926-SM-73KYI 50-59 years, male 64.1
GTEX-11EI6-2426-SM-5PNVS 60-69 years, male 63.6
GTEX-15CHR-1326-SM-79OLT 50-59 years, male 63.0
GTEX-139YR-1926-SM-5LZXM 50-59 years, male 62.6
GTEX-Q734-1026-SM-48U16 40-49 years, female 61.7
GTEX-V955-1326-SM-4JBHR 60-69 years, male 61.7
GTEX-1GZ4H-1026-SM-9OSXL 50-59 years, female 61.5
GTEX-13QJ3-2726-SM-5SI6L 50-59 years, male 61.4
GTEX-ZVT3-2126-SM-59HL2 60-69 years, female 61.1
GTEX-XQ8I-2026-SM-4BOOL 50-59 years, male 59.2
GTEX-O5YV-1926-SM-EV797 60-69 years, female 58.7
GTEX-1JN1M-2926-SM-CNNPJ 60-69 years, female 58.2
GTEX-1LVAN-2426-SM-CNNPZ 50-59 years, female 57.6
GTEX-1J8JJ-1726-SM-C1YQG 60-69 years, female 56.0
GTEX-Y3I4-1626-SM-4TT7W 50-59 years, male 55.7
GTEX-139D8-2326-SM-5IFGE 30-39 years, female 46.1
Show allShow less

Contact

  • NEWS ARTICLES
  • PRESS ROOM

The Project

  • INTRODUCTION
  • ORGANIZATION
  • PUBLICATIONS

The Human Protein Atlas

  • DOWNLOADABLE DATA
  • LICENCE & CITATION
  • HELP & FAQ
The Human Protein Atlas project is funded
by the Knut & Alice Wallenberg Foundation.


contact@proteinatlas.org