We use cookies to enhance the usability of our website. If you continue, we'll assume that you are happy to receive all cookies. More information. Don't show this again.
SSBP1
HPA
RESOURCES
  • TISSUE
  • BRAIN
  • SINGLE CELL
  • SUBCELLULAR
  • CANCER
  • BLOOD
  • CELL LINE
  • STRUCTURE & INTERACTION
ABOUT
  • INTRODUCTION
  • HISTORY
  • ORGANIZATION
  • PUBLICATIONS
  • ANTIBODY SUBMISSION
  • ANTIBODY AVAILABILITY
  • ACKNOWLEDGMENTS
  • CONTACT
NEWS
  • NEWS ARTICLES
  • PRESS ROOM
LEARN
  • DICTIONARY
  • PROTEIN CLASSES
  • PROTEIN EVIDENCE
  • METHODS
  • EDUCATIONAL VIDEOS
DATA
  • DOWNLOADABLE DATA
  • PUBLICATION DATA
  • RELEASE HISTORY
HELP
  • ANTIBODY VALIDATION
  • ASSAYS & ANNOTATION
  • DISCLAIMER
  • HELP & FAQ
  • PRIVACY STATEMENT
  • LICENCE & CITATION
Fields »
Search result

Field
Term
Gene name
Class
Subclass
Class
Keyword
Chromosome
External id
Tissue
Cell type
Expression
Antibody panel
Tissue
Main location
Patient ID
Annotation
Tissue
Category
Tau score
Cluster
Reliability
Brain region
Category
Tau score
Brain region
Category
Tau score
Brain region
Category
Tau score
Cluster
Reliability
Tissue
Cell type
Enrichment
Cell type
Category
Tau score
Cell type
Category
Tau score
Cell type
Category
Tau score
Cell lineage
Category
Tau score
Cluster
Cluster
Location
Searches
Location
Cell line
Class
Type
Phase
Reliability
Cancer
Prognosis
Cancer
Category
Cancer
Category
Tau score
Cluster
Variants
Interacting gene (ensg_id)
Type
Number of interactions
Pathway
Category
Score
Score
Score
Validation
Validation
Validation
Validation
Antibodies
Data type
Column


  • SUMMARY

  • TISSUE

  • BRAIN

  • SINGLE CELL

  • SUBCELL

  • CANCER

  • BLOOD

  • CELL LINE

  • STRUCT & INT

  • SSBP1
TISSUE PRIMARY DATA SKIN Show tissue menu
ADIPOSE TISSUE ADRENAL GLAND AMYGDALA APPENDIX BASAL GANGLIA BONE MARROW BREAST BRONCHUS CEREBELLUM CEREBRAL CORTEX CERVIX CHOROID PLEXUS COLON DUODENUM
ENDOMETRIUM EPIDIDYMIS ESOPHAGUS FALLOPIAN TUBE GALLBLADDER HEART MUSCLE HIPPOCAMPAL FORMATION HYPOTHALAMUS KIDNEY LIVER LUNG LYMPH NODE MIDBRAIN NASOPHARYNX
ORAL MUCOSA OVARY PANCREAS PARATHYROID GLAND PITUITARY GLAND PLACENTA PROSTATE RECTUM RETINA SALIVARY GLAND SEMINAL VESICLE SKELETAL MUSCLE SKIN SMALL INTESTINE
SMOOTH MUSCLE SOFT TISSUE SPINAL CORD SPLEEN STOMACH TESTIS THYMUS THYROID GLAND TONGUE TONSIL URINARY BLADDER VAGINA
ANTIBODIES
AND
VALIDATION
Dictionary
Skin
Tissue proteome
Skin
SKIN - Expression summary
Protein expression
Skini

On the top, protein expression in current human tissue, based on all annotated cell types, is reported with the units not detected (n), low (l), medium (m) and high (h). Underneath, protein expression in each annotated cell type are reported using the same units.

Protein expression data is based on knowledge-based annotation. For genes where more than one antibody has been used, a collective score is set.

If knowledge-based annotation could not be performed for a gene, no data is displayed here. View antibody staining data further down this page.

h
m
l
n
Arrector pili muscle cells: Not detected
Cells in basal layer: Medium
Cells in corneal layer: Not detected
Cells in granular layer: Low
Cells in spinous layer: Medium
Eccrine glands: Low
Endothelial cells: Medium
Extracellular matrix: Not detected
Fibrohistiocytic cells: High
Hair follicles: Medium
Langerhans cells: Medium
Lymphocytes: High
Melanocytes: Medium
Sebaceous glands: Medium
Vascular mural cells: Not detected
RNA expressioni

A summary of mRNA expression data available for current tissue based on several datasets. The mRNA expression levels in human tissues are based on RNA-seq data generated by the Human Protein Atlas (HPA), Genotype-Tissue Expression (GTEx) portal and CAGE data generated by the FANTOM5 consortium. Consensus normalized expression levels for human tissues was created by combining the data from HPA and GTEx datasets.

The mRNA expression levels in pig are based on RNA-seq data generated by the Human Protein Atlas (HPA), and for mouse, HPA data and in situ hybridization generated by the Allen brain atlas are reported.

Scroll down to view mRNA expression data in more detail.
Consensus:85.6 nTPM
HPA:81.2 nTPM
GTEx:85.6 nTPM

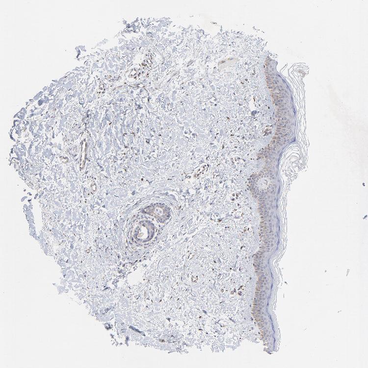
SKIN 1 - Antibody stainingi

Antibody staining in the annotated cell types in the current human tissue is reported as not detected, low, medium, or high, based on conventional immunohistochemistry profiling in selected tissues. This score is based on the combination of the staining intensity and fraction of stained cells.

Each image is clickable and will lead to virtual microscopy that enables deeper exploration of all samples and also displays staining intensity scores, fraction scores and subcellular localization as well as patient and tissue information for each sample.

Antibody HPA002866
Arrector pili muscle cells Not detected
Cells in basal layer Medium
Cells in corneal layer Not detected
Cells in granular layer Not detected
Cells in spinous layer Medium
Eccrine glands Low
Endothelial cells Medium
Extracellular matrix Not detected
Fibrohistiocytic cells High
Hair follicles Medium
Langerhans cells Medium
Lymphocytes High
Melanocytes Medium
Sebaceous glands Medium
Vascular mural cells Not detected

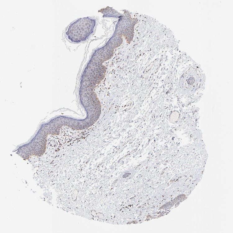
SKIN 2 - Antibody stainingi

Antibody staining in the annotated cell types in the current human tissue is reported as not detected, low, medium, or high, based on conventional immunohistochemistry profiling in selected tissues. This score is based on the combination of the staining intensity and fraction of stained cells.

Each image is clickable and will lead to virtual microscopy that enables deeper exploration of all samples and also displays staining intensity scores, fraction scores and subcellular localization as well as patient and tissue information for each sample.

Antibody HPA002866
Cells in basal layer Medium
Cells in corneal layer Not detected
Cells in granular layer Low
Cells in spinous layer Medium
Eccrine glands Low
Endothelial cells Medium
Extracellular matrix Not detected
Fibrohistiocytic cells High
Langerhans cells Medium
Lymphocytes High
Melanocytes Medium
Vascular mural cells Not detected
 
 
 



SKIN - HPA RNA-seqi

The RNA-seq details section shows detailed information about the individual samples used for the transcript profiling and results of the RNA-seq analysis.

Information about each individual sample is listed below, including gender, age, a tissue section image and estimated fractions of cell types. nTPM (normalized transcripts per million) values give a quantification of the gene abundance which is comparable between different genes and samples.
Average nTPMi

Max subtype nTPM is the value for the subtype with the largest average nTPM across the subtype samples.

81.2
overview
Female, age 34
Skin sample 225
nTPM: 90.4
Cell types%
Keratinocytes:
60

Other cell types:
40

overview
Female, age 30
Skin sample 226
nTPM: 78.4
Cell types%
Keratinocytes:
55

Other cell types:
45

N/A
Male, age 57
Skin sample 227
nTPM: 74.7

SKIN - GTEx RNA-seqi

RNA-Seq data generated by the Genotype-Tissue Expression (GTEx) project from human tissues is reported as mean nTPM. More information can be found on the GTEx portal.

Distribution across the dataset is visualized with box plots, shown as median and 25th and 75th percentiles. Points are displayed as outliers if they are above or below 1.5 times the interquartile range. nTPM values of the individual samples are presented next to the box plot.
Max subtype nTPMi

Max subtype nTPM is the value for the subtype with the largest average nTPM across the subtype samples.

85.6
GTEx sample id Sample description nTPM
Skin - Not Sun Exposed (Suprapubic)
Average nTPM: 81.9
Samples: 604

Max nTPM: 170.3
Min nTPM: 43.8
Std nTPM: 16.5
Median nTPM: 80.6
GTEX-14XAO-1226-SM-6EU1C 60-69 years, female 170.3
GTEX-1PPH8-0126-SM-EWRN8 20-29 years, male 157.4
GTEX-1E2YA-2126-SM-7MXUO 50-59 years, male 155.9
GTEX-1CB4J-1326-SM-7P8RX 60-69 years, male 152.8
GTEX-WH7G-2026-SM-3NMBL 40-49 years, male 150.9
GTEX-1ICLZ-0326-SM-ARL82 60-69 years, male 132.0
GTEX-1HSMP-0926-SM-A9SKX 70-79 years, male 131.8
GTEX-1PIGE-1826-SM-E8VOU 20-29 years, male 127.0
GTEX-1I1GU-0926-SM-ACKVS 40-49 years, male 126.7
GTEX-1H1ZS-2726-SM-9WG75 70-79 years, male 126.5
GTEX-11DYG-1526-SM-5A5JS 60-69 years, male 125.2
GTEX-Y5V6-2326-SM-4VDSA 60-69 years, male 124.1
GTEX-Y114-2126-SM-4TT8B 50-59 years, female 121.2
GTEX-1IKJJ-2226-SM-CJI4C 60-69 years, male 119.8
GTEX-W5X1-2526-SM-3GILC 40-49 years, female 119.1
GTEX-145MG-1526-SM-5Q5EM 50-59 years, male 118.3
GTEX-ZF3C-0626-SM-DO92O 50-59 years, female 116.8
GTEX-11WQK-1026-SM-5EQLX 50-59 years, male 116.3
GTEX-1HBPI-2126-SM-ARL9K 50-59 years, male 115.8
GTEX-15G1A-1626-SM-7KUKN 30-39 years, male 115.7
GTEX-13G51-1826-SM-5KLZH 60-69 years, male 115.6
GTEX-YEC4-1826-SM-4W1YP 40-49 years, male 115.1
GTEX-Y5LM-0926-SM-6LLJG 40-49 years, female 114.0
GTEX-15RIE-1926-SM-7KUKJ 60-69 years, male 113.5
GTEX-1399S-0126-SM-5IJCF 30-39 years, female 112.8
GTEX-139UW-0326-SM-5J1ML 60-69 years, male 112.2
GTEX-18A67-1626-SM-7LT9T 50-59 years, male 111.9
GTEX-131XG-0326-SM-5L3DX 50-59 years, female 111.7
GTEX-18A6Q-0626-SM-7KFRP 60-69 years, male 111.4
GTEX-15DYW-2726-SM-6EU2I 60-69 years, female 111.0
GTEX-WEY5-2326-SM-3GIKK 40-49 years, female 110.9
GTEX-14DAR-1226-SM-73KYV 50-59 years, male 110.3
GTEX-148VJ-0626-SM-5LUAW 70-79 years, male 109.6
GTEX-1R9PN-0426-SM-DTXDT 40-49 years, female 109.6
GTEX-1OJC3-1226-SM-DTXER 20-29 years, male 109.3
GTEX-ZTTD-2826-SM-4YCFA 50-59 years, male 109.0
GTEX-1GN1V-2826-SM-9JGIA 60-69 years, male 108.5
GTEX-13X6K-0626-SM-5LU5D 60-69 years, female 108.3
GTEX-1QAET-0326-SM-EVR3U 50-59 years, male 107.7
GTEX-ZYW4-0626-SM-59HJR 60-69 years, male 107.0
GTEX-111VG-1626-SM-5EGIO 60-69 years, male 106.9
GTEX-14PJ3-1126-SM-5ZZVX 50-59 years, male 106.5
GTEX-12WSK-2126-SM-5CVNC 40-49 years, female 106.4
GTEX-1HCU6-2526-SM-ADEHL 60-69 years, female 106.3
GTEX-1JMQK-1226-SM-D4P2S 60-69 years, male 106.2
GTEX-13FTY-2126-SM-5IFFB 40-49 years, female 106.0
GTEX-1497J-0226-SM-5QGPU 60-69 years, male 105.6
GTEX-Y3IK-1626-SM-4YCF5 50-59 years, female 105.5
GTEX-YECK-0326-SM-4W1YS 60-69 years, male 105.5
GTEX-ZY6K-1426-SM-5GZX2 50-59 years, male 105.5
GTEX-ZTX8-1326-SM-4YCEL 20-29 years, male 105.2
GTEX-14ICL-1626-SM-5YYAO 30-39 years, male 105.1
GTEX-145MH-2826-SM-5RQJF 50-59 years, male 105.0
GTEX-1QCLY-0226-SM-EWRNH 30-39 years, male 104.5
GTEX-ZPU1-1126-SM-4YCF3 40-49 years, male 104.1
GTEX-1JMQJ-0826-SM-CNPP7 50-59 years, male 103.7
GTEX-1RB15-1326-SM-E76Q9 60-69 years, male 103.6
GTEX-144GL-0626-SM-5LU4D 50-59 years, male 103.3
GTEX-13112-0126-SM-5P9IU 50-59 years, male 103.2
GTEX-15G19-2426-SM-7KUMR 60-69 years, male 103.1
GTEX-1QP9N-1226-SM-E76QN 30-39 years, male 103.1
GTEX-11DXX-2126-SM-5PNYR 60-69 years, female 102.8
GTEX-ZPIC-0526-SM-DO91W 40-49 years, female 102.7
GTEX-1PBJJ-1026-SM-E76OS 30-39 years, male 102.5
GTEX-U8XE-0226-SM-4E3J3 30-39 years, male 102.4
GTEX-YB5K-2026-SM-4VDT3 40-49 years, female 102.0
GTEX-1IDJC-1526-SM-B2LW4 50-59 years, male 102.0
GTEX-1AX9J-1326-SM-731BJ 60-69 years, male 101.8
GTEX-14A5H-0826-SM-5QGPJ 60-69 years, male 101.7
GTEX-13NYB-0126-SM-5J1MD 40-49 years, male 101.6
GTEX-ZYT6-2326-SM-5GZY3 30-39 years, male 101.2
GTEX-131XF-2626-SM-5EQ6K 60-69 years, male 100.9
GTEX-13D11-0926-SM-5J2NC 50-59 years, female 100.5
GTEX-15RIG-0726-SM-7KUM7 40-49 years, male 100.3
GTEX-13N11-2326-SM-5IJBF 50-59 years, female 100.1
GTEX-14C38-0726-SM-5SI6M 50-59 years, male 100.0
GTEX-XBEW-1126-SM-4QARW 40-49 years, male 99.8
GTEX-1J1OQ-0126-SM-D4P2N 40-49 years, female 99.5
GTEX-17EVQ-0126-SM-7IGLR 70-79 years, male 99.4
GTEX-1A3MW-0626-SM-731CB 60-69 years, female 99.3
GTEX-1H4P4-2126-SM-9WYSL 50-59 years, male 99.0
GTEX-13NYC-0126-SM-5L3F4 60-69 years, male 98.6
GTEX-15SHW-0226-SM-7LTAT 60-69 years, male 98.4
GTEX-13O3O-2326-SM-5IJD6 60-69 years, female 98.2
GTEX-13RTJ-0126-SM-5S2NN 60-69 years, male 97.8
GTEX-15ER7-0626-SM-6PANF 20-29 years, female 97.5
GTEX-1IKOE-1426-SM-CE6T7 30-39 years, female 97.5
GTEX-18A66-0626-SM-7LT8Z 60-69 years, male 97.2
GTEX-11PRG-0726-SM-5EGL1 50-59 years, male 96.8
GTEX-1JN1M-2726-SM-CY8I4 60-69 years, female 96.8
GTEX-1H11D-1826-SM-9QEHM 40-49 years, male 96.3
GTEX-1PIIG-2326-SM-DTXFR 30-39 years, male 96.2
GTEX-XYKS-1426-SM-4BRUO 60-69 years, female 95.9
GTEX-1OJC4-2726-SM-E76PJ 50-59 years, female 95.8
GTEX-11TT1-1826-SM-5EQLV 20-29 years, male 95.6
GTEX-12696-0126-SM-5EQ4L 60-69 years, male 95.6
GTEX-WYJK-0526-SM-3NM8Z 50-59 years, male 95.6
GTEX-1399Q-2326-SM-5KM2X 40-49 years, male 95.5
GTEX-1R9PM-1926-SM-EVR3O 20-29 years, male 95.4
GTEX-12WSJ-1126-SM-5LZVJ 40-49 years, female 95.2
GTEX-144GO-2026-SM-5O99P 60-69 years, male 95.2
GTEX-UPK5-0426-SM-3GAEK 40-49 years, male 95.2
GTEX-14ABY-2026-SM-62LDL 50-59 years, male 95.0
GTEX-17MFQ-1526-SM-7KFRR 20-29 years, male 94.9
GTEX-12WSD-0626-SM-5GCMW 60-69 years, female 94.7
GTEX-ZVZP-1226-SM-5GID7 50-59 years, male 94.7
GTEX-14B4R-1326-SM-5Q5EZ 30-39 years, male 94.6
GTEX-1JN76-0626-SM-CKZOQ 20-29 years, female 94.4
GTEX-11ZTT-2126-SM-5CVLO 60-69 years, female 94.3
GTEX-16BQI-1326-SM-6M486 30-39 years, female 94.2
GTEX-1I1CD-0626-SM-CE6SW 60-69 years, female 94.2
GTEX-1I1GP-1326-SM-A9G28 50-59 years, male 94.2
GTEX-ZF2S-1626-SM-57WES 50-59 years, female 93.9
GTEX-1399U-1126-SM-5L3DB 50-59 years, female 93.8
GTEX-ZPCL-1126-SM-4WWFE 60-69 years, female 93.7
GTEX-1H1DG-2426-SM-9QEHJ 70-79 years, male 93.7
GTEX-WXYG-2026-SM-4E3IY 50-59 years, female 93.6
GTEX-1F6I4-2326-SM-7RHGL 60-69 years, male 93.6
GTEX-147F4-0726-SM-5TDDD 50-59 years, male 93.5
GTEX-1F75I-2226-SM-7SB8U 40-49 years, male 93.5
GTEX-1E1VI-0326-SM-793D1 50-59 years, male 93.4
GTEX-11WQC-1826-SM-5GU59 60-69 years, male 93.2
GTEX-1H1CY-0126-SM-9YFLY 60-69 years, female 93.1
GTEX-1J8QM-2426-SM-A9SLS 60-69 years, female 93.1
GTEX-Y3I4-1726-SM-4TT89 50-59 years, male 93.0
GTEX-1JMPY-0226-SM-CKZOK 30-39 years, male 92.7
GTEX-ZF29-0926-SM-4WKFZ 60-69 years, female 92.6
GTEX-ZZ64-1026-SM-5GZXG 20-29 years, male 92.6
GTEX-1211K-1526-SM-5FQU4 60-69 years, female 92.4
GTEX-12WSL-2026-SM-5GCML 50-59 years, male 92.4
GTEX-Z93S-1626-SM-5CVMB 50-59 years, male 92.4
GTEX-13OVG-1626-SM-5J1NF 60-69 years, male 92.3
GTEX-13OVJ-0826-SM-5J1OK 50-59 years, female 92.3
GTEX-11ZU8-0126-SM-5EQ58 60-69 years, male 92.2
GTEX-11VI4-1126-SM-5EQMD 40-49 years, female 92.0
GTEX-WFG7-2026-SM-5SI7P 20-29 years, male 92.0
GTEX-ZT9X-1526-SM-5DUXD 40-49 years, male 92.0
GTEX-1LVA9-2626-SM-EVYD4 50-59 years, male 92.0
GTEX-1QW4Y-1126-SM-DTXE3 30-39 years, male 91.9
GTEX-14BMV-2826-SM-5TDED 50-59 years, male 91.7
GTEX-13FTX-1526-SM-5K7VJ 20-29 years, female 91.5
GTEX-1AYD5-2626-SM-7PBXY 50-59 years, male 91.5
GTEX-YFCO-1226-SM-5LUAT 40-49 years, male 91.4
GTEX-17F98-1326-SM-7DUEP 40-49 years, female 91.3
GTEX-1F5PK-2226-SM-7SB6N 50-59 years, male 91.3
GTEX-WFG8-2126-SM-3GIKQ 20-29 years, male 91.2
GTEX-ZLFU-1826-SM-4WWBV 40-49 years, male 90.6
GTEX-15SKB-2826-SM-6PAMH 60-69 years, male 90.5
GTEX-11GSP-2326-SM-5HL63 60-69 years, female 90.4
GTEX-11P7K-1126-SM-5HL4L 30-39 years, male 90.4
GTEX-12ZZX-2426-SM-5GCOE 40-49 years, female 90.4
GTEX-1N2DV-1526-SM-DTXEP 40-49 years, male 90.3
GTEX-13W3W-0726-SM-5IJDQ 60-69 years, female 90.2
GTEX-1L5NE-1126-SM-D3L9P 50-59 years, male 90.0
GTEX-ZYFD-0626-SM-5E44E 50-59 years, male 89.9
GTEX-12KS4-2126-SM-5FQUT 30-39 years, male 89.8
GTEX-11TUW-0626-SM-5LU9M 60-69 years, male 89.7
GTEX-131YS-2826-SM-5EQ47 60-69 years, female 89.7
GTEX-17F97-2626-SM-7IGM5 50-59 years, male 89.7
GTEX-1C6WA-2626-SM-7MKGM 60-69 years, male 89.7
GTEX-Y111-0626-SM-4SOIT 50-59 years, male 89.2
GTEX-145MI-0626-SM-5SI8S 60-69 years, female 89.0
GTEX-15UF6-1926-SM-7KUDV 70-79 years, female 89.0
GTEX-1HR9M-2226-SM-CNPPY 60-69 years, male 89.0
GTEX-1B8KZ-0326-SM-73KY4 50-59 years, male 88.8
GTEX-ZYFC-0426-SM-5GICQ 50-59 years, male 88.5
GTEX-1J8Q2-2626-SM-ACKWQ 60-69 years, male 88.5
GTEX-ZDYS-2426-SM-4WKGI 50-59 years, male 88.4
GTEX-1J8Q3-0526-SM-ARL8U 60-69 years, male 88.3
GTEX-14E1K-2026-SM-7DUEI 50-59 years, male 88.2
GTEX-1S831-1826-SM-EWROF 20-29 years, male 88.1
GTEX-131XW-0626-SM-5PNVD 50-59 years, female 88.0
GTEX-14PJ5-1526-SM-6LLIL 60-69 years, female 88.0
GTEX-16GPK-0626-SM-7KFSF 60-69 years, male 88.0
GTEX-1I1HK-2326-SM-CKZOH 60-69 years, male 88.0
GTEX-1LB8K-0726-SM-D5OV2 50-59 years, male 88.0
GTEX-1C6VQ-1226-SM-73KYD 50-59 years, male 87.9
GTEX-1GMRU-2126-SM-7P8RA 50-59 years, male 87.9
GTEX-1IE54-1126-SM-A9G2Z 40-49 years, female 87.9
GTEX-17KNJ-2126-SM-718AM 50-59 years, male 87.8
GTEX-11EQ9-1626-SM-5PNY8 30-39 years, male 87.7
GTEX-1S3DN-2126-SM-E9TIN 50-59 years, male 87.6
GTEX-WHSB-1326-SM-3LK6W 50-59 years, male 87.5
GTEX-1A3MV-1826-SM-731CD 30-39 years, male 87.4
GTEX-14C39-1726-SM-5RQIL 40-49 years, male 87.2
GTEX-1C475-1326-SM-7SB73 40-49 years, female 87.2
GTEX-1LSNL-2726-SM-E9TKJ 50-59 years, male 87.2
GTEX-14PII-0726-SM-6EU2B 60-69 years, male 87.0
GTEX-WY7C-2126-SM-3NB2R 50-59 years, male 87.0
GTEX-1HGF4-0126-SM-CNPPX 60-69 years, male 86.9
GTEX-13X6J-0626-SM-5LU5F 50-59 years, male 86.8
GTEX-13113-1626-SM-5EQ4I 60-69 years, female 86.7
GTEX-YF7O-1526-SM-5IFI6 50-59 years, male 86.7
GTEX-16YQH-2226-SM-7IGM2 30-39 years, male 86.6
GTEX-18D9U-0126-SM-731BM 40-49 years, male 86.6
GTEX-1GN1U-0626-SM-9MQL9 50-59 years, female 86.5
GTEX-1GTWX-2026-SM-9YFLM 60-69 years, male 86.5
GTEX-15DDE-2926-SM-6LLJ3 50-59 years, female 86.3
GTEX-ZYVF-0926-SM-5E44J 50-59 years, female 86.3
GTEX-1RLM8-2926-SM-E8VON 50-59 years, male 86.2
GTEX-13PVQ-0626-SM-5LU47 50-59 years, male 86.1
GTEX-17F9E-2326-SM-79OKD 50-59 years, male 86.0
GTEX-12ZZY-0726-SM-5EQ66 60-69 years, male 85.9
GTEX-ZVT4-2426-SM-5GIEI 50-59 years, female 85.9
GTEX-1LGOU-1326-SM-D3L8M 20-29 years, female 85.9
GTEX-1QP66-1226-SM-DTX7U 50-59 years, male 85.9
GTEX-139TS-2126-SM-5K7XC 60-69 years, male 85.7
GTEX-1HFI6-0126-SM-CNPPI 40-49 years, male 85.6
GTEX-11EM3-1226-SM-5N9DD 20-29 years, female 85.5
GTEX-14PHY-1226-SM-5ZZWK 60-69 years, female 85.5
GTEX-11UD2-2526-SM-5CVNU 50-59 years, male 85.4
GTEX-14JFF-0626-SM-5ZZVT 60-69 years, male 85.4
GTEX-1313W-0626-SM-5EQ4H 50-59 years, female 85.3
GTEX-ZE9C-2526-SM-5IJDR 60-69 years, male 85.3
GTEX-1I1GV-0626-SM-ARL7M 60-69 years, male 85.3
GTEX-1RAZA-2226-SM-E9U4X 20-29 years, male 85.3
GTEX-15RJ7-2126-SM-6PAMD 40-49 years, male 85.0
GTEX-YEC3-1326-SM-DO92X 50-59 years, male 85.0
GTEX-13X6H-0926-SM-5SIB2 50-59 years, female 84.8
GTEX-1GF9V-0826-SM-9KNUV 60-69 years, male 84.7
GTEX-1JMQL-2226-SM-CNPP4 50-59 years, female 84.7
GTEX-1LKK1-2626-SM-DKPQE 50-59 years, female 84.5
GTEX-11DXZ-2026-SM-5987S 50-59 years, male 84.3
GTEX-12584-0726-SM-5FQTK 40-49 years, male 84.3
GTEX-178AV-1726-SM-7KUL8 40-49 years, male 84.3
GTEX-Y8E4-2026-SM-5IFJB 40-49 years, male 84.3
GTEX-13OVH-0526-SM-5L3E6 70-79 years, male 84.2
GTEX-WFON-1926-SM-3LK7L 40-49 years, male 84.2
GTEX-1GF9U-2026-SM-7SB92 40-49 years, female 84.2
GTEX-1LGRB-0926-SM-COH3K 50-59 years, female 84.2
GTEX-1B8L1-2226-SM-7P8PT 60-69 years, male 84.1
GTEX-1HC8U-1326-SM-9YFMJ 40-49 years, female 84.0
GTEX-145MN-1526-SM-5SI9T 30-39 years, male 83.9
GTEX-14LZ3-0126-SM-69LPM 60-69 years, female 83.9
GTEX-14PJN-1826-SM-6AJ98 30-39 years, male 83.9
GTEX-1H1DF-1126-SM-9WG7G 40-49 years, female 83.8
GTEX-145ME-1726-SM-5Q5EU 40-49 years, female 83.7
GTEX-1I6K7-1926-SM-B2LXR 40-49 years, male 83.7
GTEX-13FH7-1126-SM-5K7UG 50-59 years, female 83.5
GTEX-13JVG-0726-SM-5KM16 60-69 years, male 83.4
GTEX-13SLX-2226-SM-62LEP 50-59 years, female 83.3
GTEX-1NSGN-0726-SM-DTXEF 50-59 years, male 83.3
GTEX-13QBU-1226-SM-5LU4G 40-49 years, female 83.1
GTEX-Y8LW-1526-SM-5IFHL 50-59 years, female 83.1
GTEX-15RJE-2826-SM-7KUM9 40-49 years, male 83.0
GTEX-1EX96-1026-SM-7MKG2 50-59 years, male 83.0
GTEX-13OW5-2326-SM-5L3HO 60-69 years, male 82.9
GTEX-15EU6-2226-SM-6EU2L 50-59 years, male 82.9
GTEX-1HBPN-0126-SM-CGQEF 50-59 years, male 82.9
GTEX-1J8EW-2726-SM-CY8HR 60-69 years, female 82.8
GTEX-146FQ-2126-SM-5RQHU 30-39 years, male 82.7
GTEX-WHPG-2626-SM-3NMBR 50-59 years, male 82.7
GTEX-1R7EU-1626-SM-DTXG3 60-69 years, male 82.7
GTEX-13OVK-1426-SM-6PAN7 40-49 years, male 82.6
GTEX-16NPX-0726-SM-7KULC 50-59 years, male 82.5
GTEX-XXEK-1626-SM-4BRUZ 50-59 years, male 82.5
GTEX-1HUB1-1426-SM-CGQF5 60-69 years, male 82.4
GTEX-ZLWG-0826-SM-59888 50-59 years, female 82.3
GTEX-1IDJH-0126-SM-D3L92 70-79 years, male 82.3
GTEX-1N5O9-0926-SM-E9J3C 60-69 years, male 82.3
GTEX-1GZHY-0626-SM-9KNVC 50-59 years, female 82.2
GTEX-1C64O-1326-SM-7MGWR 60-69 years, male 82.1
GTEX-1C64N-2626-SM-7PC2N 50-59 years, male 81.9
GTEX-1LG7Y-2526-SM-EWRO7 50-59 years, male 81.9
GTEX-13QJC-0126-SM-5ZZWJ 60-69 years, female 81.8
GTEX-13YAN-0226-SM-5TDC6 60-69 years, male 81.8
GTEX-14PJO-2526-SM-6AJBQ 60-69 years, male 81.8
GTEX-ZC5H-1526-SM-5HL9Y 40-49 years, female 81.8
GTEX-139TU-0726-SM-5L3EK 60-69 years, male 81.7
GTEX-1R46S-2426-SM-E76QA 60-69 years, female 81.7
GTEX-14PHX-2226-SM-6EU2P 50-59 years, male 81.6
GTEX-X5EB-1926-SM-4E3IW 40-49 years, male 81.5
GTEX-1A8FM-0626-SM-7PC25 50-59 years, female 81.5
GTEX-1HCUA-0826-SM-ADEHM 50-59 years, female 81.5
GTEX-1PPGY-1626-SM-EVYBL 60-69 years, male 81.5
GTEX-12BJ1-0926-SM-5EQ62 60-69 years, male 81.4
GTEX-14JG1-1526-SM-5YY9X 40-49 years, male 81.4
GTEX-X3Y1-2026-SM-3P5YM 40-49 years, male 81.4
GTEX-X8HC-0626-SM-4E3HQ 50-59 years, female 81.4
GTEX-11P82-1426-SM-DTXFY 20-29 years, male 81.4
GTEX-16MT9-0126-SM-7EPI8 60-69 years, female 81.3
GTEX-WI4N-2726-SM-3LK7Y 40-49 years, female 81.3
GTEX-1GN2E-0226-SM-9WG6K 60-69 years, male 81.3
GTEX-14PKU-0126-SM-6LLHV 40-49 years, female 81.2
GTEX-18A7B-2726-SM-7LG56 70-79 years, male 81.2
GTEX-ZVP2-0326-SM-57WBP 50-59 years, male 81.2
GTEX-1HFI7-2326-SM-CGQFS 50-59 years, female 81.2
GTEX-1KXAM-1626-SM-D3LAD 60-69 years, male 81.2
GTEX-1QP28-1126-SM-EVYC4 50-59 years, female 81.2
GTEX-11LCK-2226-SM-5HL4Q 30-39 years, male 81.1
GTEX-1QPFJ-1926-SM-EVYBD 30-39 years, female 81.1
GTEX-13O61-1426-SM-5KM3D 60-69 years, male 81.0
GTEX-139TT-2126-SM-5LZWC 60-69 years, male 80.8
GTEX-1B933-2426-SM-7DHMD 50-59 years, female 80.8
GTEX-1EH9U-2826-SM-7DUGT 60-69 years, male 80.8
GTEX-ZYFG-1526-SM-5GZYM 60-69 years, female 80.8
GTEX-11OF3-0126-SM-5PNYF 60-69 years, male 80.7
GTEX-YJ8O-2526-SM-5HL85 40-49 years, female 80.7
GTEX-1F75A-0726-SM-7RHHD 50-59 years, male 80.7
GTEX-1CB4E-0926-SM-7EPHT 60-69 years, male 80.6
GTEX-XBED-1926-SM-47JYP 60-69 years, male 80.6
GTEX-ZVE1-0726-SM-51MRN 50-59 years, female 80.6
GTEX-1O9I2-0226-SM-EYYXD 50-59 years, male 80.5
GTEX-1RAZQ-1326-SM-E9TK6 30-39 years, male 80.3
GTEX-ZE7O-2726-SM-51MT5 50-59 years, female 80.2
GTEX-1H2FU-0926-SM-9WPPT 60-69 years, female 80.2
GTEX-12WSM-1926-SM-5BC65 60-69 years, male 80.1
GTEX-WK11-2726-SM-3NMAQ 50-59 years, male 80.1
GTEX-1PDJ9-1226-SM-EXUSX 20-29 years, male 80.0
GTEX-18D9A-1426-SM-7LT8M 30-39 years, female 79.9
GTEX-1QP2A-1726-SM-E76QC 50-59 years, male 79.9
GTEX-1AX8Z-0726-SM-73KTS 60-69 years, male 79.8
GTEX-132AR-0326-SM-5KM2C 50-59 years, female 79.7
GTEX-133LE-2326-SM-5K7W3 20-29 years, female 79.7
GTEX-1JMLX-0626-SM-ARL8T 50-59 years, male 79.7
GTEX-12126-0826-SM-5FQTZ 20-29 years, male 79.6
GTEX-1CAMS-2226-SM-7PBXQ 40-49 years, female 79.4
GTEX-1F5PL-0926-SM-7PC2W 40-49 years, female 79.3
GTEX-1IDJI-0126-SM-CMKHS 50-59 years, female 79.3
GTEX-1CB4I-0126-SM-7RHGG 50-59 years, male 79.2
GTEX-1KANA-1326-SM-DIPFA 20-29 years, male 79.2
GTEX-13OW6-2726-SM-5J2OE 50-59 years, male 79.1
GTEX-1GMR2-0826-SM-7PC3V 50-59 years, male 79.1
GTEX-1KD5A-0126-SM-E9U54 50-59 years, male 79.1
GTEX-ZDTT-0426-SM-4WKFL 60-69 years, male 78.9
GTEX-1RAZR-2126-SM-E9U6T 40-49 years, male 78.9
GTEX-11DXY-0126-SM-5H11Q 60-69 years, male 78.8
GTEX-1BAJH-2426-SM-7IGP8 70-79 years, male 78.8
GTEX-1IDJF-2026-SM-CL53V 20-29 years, male 78.8
GTEX-14PJ4-0226-SM-5YY92 60-69 years, male 78.7
GTEX-1CB4F-1026-SM-7DUH1 60-69 years, male 78.7
GTEX-18D9B-0926-SM-7LG4U 60-69 years, male 78.6
GTEX-ZDTS-0826-SM-4WKHL 60-69 years, male 78.6
GTEX-1IOXB-2726-SM-CM2RI 50-59 years, male 78.6
GTEX-1N2EE-0626-SM-E76PW 60-69 years, male 78.6
GTEX-1ICG6-1226-SM-A9SLN 70-79 years, female 78.5
GTEX-1LSNM-0826-SM-DIPG8 50-59 years, male 78.5
GTEX-1EN7A-2426-SM-793DB 40-49 years, male 78.4
GTEX-1192X-2726-SM-5N9DN 50-59 years, male 78.3
GTEX-1QEPI-2626-SM-DTXF4 60-69 years, female 78.3
GTEX-12WSH-1526-SM-5BC5W 50-59 years, male 78.2
GTEX-ZA64-1026-SM-5HL8R 20-29 years, male 78.2
GTEX-1GF9W-1426-SM-7PBYM 60-69 years, male 78.2
GTEX-1I1GS-2626-SM-B2LY3 60-69 years, male 78.2
GTEX-111YS-1526-SM-5GZYW 60-69 years, male 78.0
GTEX-131XH-0126-SM-5LZUY 50-59 years, male 78.0
GTEX-XQ8I-0926-SM-4BOOF 50-59 years, male 78.0
GTEX-1F6IF-0926-SM-7SB7M 60-69 years, male 78.0
GTEX-1B97I-0626-SM-73KUZ 40-49 years, male 77.9
GTEX-11ZUS-2626-SM-5FQUR 30-39 years, male 77.7
GTEX-1J8JJ-0626-SM-ARZMQ 60-69 years, female 77.7
GTEX-17HHE-1326-SM-7EWDZ 50-59 years, male 77.5
GTEX-1JKYR-0626-SM-ARL8R 20-29 years, male 77.5
GTEX-13U4I-2226-SM-5LU5H 40-49 years, female 77.4
GTEX-1GN1W-2426-SM-9KNUU 50-59 years, female 77.4
GTEX-1LSVX-2526-SM-DIPEU 60-69 years, male 77.4
GTEX-13FLV-0126-SM-5K7WT 50-59 years, male 77.2
GTEX-ZXG5-2126-SM-59HKD 60-69 years, male 77.2
GTEX-1IDJU-1726-SM-CMKHU 60-69 years, female 77.1
GTEX-1JJEA-1826-SM-ARU8P 60-69 years, male 77.1
GTEX-13PVR-0426-SM-5RQK2 60-69 years, female 77.0
GTEX-145LT-0526-SM-5LUB2 40-49 years, male 76.9
GTEX-1122O-1026-SM-9WYSF 60-69 years, female 76.9
GTEX-1JK1U-0226-SM-ARZMX 60-69 years, male 76.9
GTEX-1KWVE-1026-SM-D3L9O 30-39 years, male 76.9
GTEX-11NSD-0626-SM-5A5LU 20-29 years, male 76.8
GTEX-1GZ4I-2626-SM-9KNU3 50-59 years, male 76.8
GTEX-13SLW-0626-SM-5Q5ER 70-79 years, male 76.7
GTEX-ZT9W-1126-SM-57WDR 50-59 years, male 76.6
GTEX-1CAMQ-1326-SM-7P8RV 40-49 years, male 76.5
GTEX-VJYA-1526-SM-3GIJV 60-69 years, male 76.4
GTEX-1J1R8-2026-SM-CL53Y 40-49 years, male 76.4
GTEX-X4EO-2926-SM-4E3JH 60-69 years, female 76.3
GTEX-Y9LG-1126-SM-4VBQ7 30-39 years, male 76.3
GTEX-13IVO-0726-SM-5LZYV 70-79 years, male 76.2
GTEX-1KANC-1226-SM-CYPT7 50-59 years, female 76.2
GTEX-1HT8W-0626-SM-A9G2H 30-39 years, male 76.1
GTEX-1JMPZ-0726-SM-CY8HZ 30-39 years, male 76.1
GTEX-13VXU-0626-SM-5L3F9 50-59 years, male 76.0
GTEX-13PL6-1126-SM-5L3IE 40-49 years, female 75.9
GTEX-14PJ6-2626-SM-6EU2T 60-69 years, female 75.9
GTEX-ZZPU-0826-SM-5GZX5 50-59 years, female 75.9
GTEX-1NV5F-0626-SM-DTXEG 60-69 years, female 75.8
GTEX-11GS4-0226-SM-5HL77 60-69 years, male 75.6
GTEX-11O72-0626-SM-5PNYE 40-49 years, male 75.6
GTEX-ZYY3-2926-SM-5GIEB 60-69 years, female 75.6
GTEX-1F88F-0126-SM-9WYSZ 60-69 years, female 75.6
GTEX-X4EP-0626-SM-3P621 60-69 years, female 75.5
GTEX-117YX-1926-SM-5GIEC 50-59 years, male 75.4
GTEX-17MF6-2626-SM-79OKQ 40-49 years, male 75.4
GTEX-WHSE-0126-SM-3NMBT 20-29 years, male 75.3
GTEX-1JJ6O-2726-SM-CNPOG 60-69 years, male 75.2
GTEX-1269C-0126-SM-5EQ5L 60-69 years, female 75.0
GTEX-13OW7-0426-SM-5K7VK 50-59 years, male 75.0
GTEX-1HKZK-0726-SM-ACKW2 40-49 years, male 74.8
GTEX-1QP29-1826-SM-DTX9S 50-59 years, male 74.8
GTEX-1AX9I-2226-SM-73KUO 60-69 years, male 74.7
GTEX-1CAV2-0126-SM-7IGN7 40-49 years, female 74.7
GTEX-12ZZZ-0726-SM-5GCNZ 60-69 years, male 74.6
GTEX-14AS3-1526-SM-5Q5ED 40-49 years, female 74.6
GTEX-1117F-2926-SM-5GZYI 60-69 years, female 74.5
GTEX-147GR-2426-SM-5ZZWQ 60-69 years, male 74.5
GTEX-1JMQI-1726-SM-ARL93 50-59 years, male 74.5
GTEX-1KANB-2826-SM-CY8I6 50-59 years, male 74.5
GTEX-ZGAY-1826-SM-DO91Q 40-49 years, female 74.5
GTEX-VUSG-2326-SM-4KL1U 50-59 years, male 74.4
GTEX-1CAMR-1326-SM-7PC1F 20-29 years, male 74.4
GTEX-111FC-2526-SM-5GZXU 60-69 years, male 74.3
GTEX-144FL-0626-SM-5LU43 50-59 years, male 74.3
GTEX-147F3-1726-SM-5SIAW 50-59 years, female 74.3
GTEX-1HSMQ-2626-SM-A9SML 50-59 years, male 74.2
GTEX-ZU9S-1826-SM-5NQ9E 30-39 years, male 74.1
GTEX-11NUK-2726-SM-5A5MC 50-59 years, male 74.0
GTEX-18465-2826-SM-7LT9J 50-59 years, male 73.8
GTEX-1B8SF-0126-SM-7DUG3 60-69 years, male 73.8
GTEX-1JMOU-1026-SM-CYPSS 60-69 years, female 73.8
GTEX-1F48J-0726-SM-7RHGS 50-59 years, female 73.7
GTEX-1QMI2-2526-SM-E8VNZ 60-69 years, male 73.7
GTEX-1HSGN-0826-SM-ACKW3 40-49 years, female 73.6
GTEX-11DZ1-2426-SM-5GZZX 50-59 years, male 73.5
GTEX-16NGA-0726-SM-731AO 40-49 years, female 73.5
GTEX-11DXW-0826-SM-5H118 40-49 years, male 73.4
GTEX-15D1Q-2826-SM-6LLH7 40-49 years, male 73.4
GTEX-1EMGI-2326-SM-7PBYA 60-69 years, male 73.4
GTEX-1GN73-0726-SM-7P8TJ 60-69 years, male 73.4
GTEX-1POEN-2326-SM-E9J2L 30-39 years, female 73.4
GTEX-XQ3S-1426-SM-4BOPR 20-29 years, male 73.3
GTEX-1LVAN-0626-SM-CNPOQ 50-59 years, female 73.2
GTEX-11P81-2226-SM-5PNYI 30-39 years, female 73.1
GTEX-14C5O-0326-SM-5ZZUX 60-69 years, male 73.1
GTEX-17HG3-2626-SM-7DUF2 30-39 years, female 73.0
GTEX-XPVG-2126-SM-4B667 50-59 years, male 73.0
GTEX-15CHC-1126-SM-6LLHQ 60-69 years, female 72.9
GTEX-ZAJG-1526-SM-5CVML 50-59 years, female 72.9
GTEX-1HSKV-1226-SM-ADEI4 60-69 years, male 72.8
GTEX-144GM-0526-SM-79OJO 20-29 years, male 72.7
GTEX-145MF-0926-SM-5Q5EA 50-59 years, male 72.6
GTEX-ZUA1-2626-SM-5NQ92 40-49 years, male 72.6
GTEX-14A6H-2026-SM-5Q5DD 30-39 years, male 72.5
GTEX-1IDJE-1426-SM-ADEIW 50-59 years, female 72.5
GTEX-14E6E-0526-SM-793DN 30-39 years, male 72.4
GTEX-16MTA-0926-SM-6M47Z 50-59 years, male 72.3
GTEX-1H1DE-1326-SM-9KNUG 20-29 years, male 72.3
GTEX-XK95-0226-SM-4AT58 40-49 years, male 72.2
GTEX-1I6K6-1726-SM-CGQFD 30-39 years, male 72.2
GTEX-12WSF-1626-SM-7KUG5 70-79 years, male 72.1
GTEX-1F75W-2726-SM-7SB8H 60-69 years, male 72.1
GTEX-1HB9E-0126-SM-CM2S5 50-59 years, male 72.1
GTEX-1JN6P-2926-SM-CL54D 60-69 years, male 72.0
GTEX-12WSC-2826-SM-5BC5Y 50-59 years, male 71.9
GTEX-1F52S-2926-SM-7MKGA 60-69 years, female 71.9
GTEX-1H3O1-1326-SM-9MQLD 60-69 years, male 71.8
GTEX-1IY9M-2826-SM-ARU8H 60-69 years, male 71.8
GTEX-1MJK3-0726-SM-E6CJC 20-29 years, male 71.5
GTEX-1GPI7-1826-SM-9KNU1 20-29 years, male 71.4
GTEX-1B8KE-1126-SM-7EPHI 50-59 years, male 71.3
GTEX-ZLV1-1526-SM-DO91J 60-69 years, female 71.3
GTEX-14BMU-1226-SM-5S2OR 20-29 years, female 71.2
GTEX-16AAH-0626-SM-793C9 50-59 years, male 71.2
GTEX-1IDFM-0326-SM-ARL7V 60-69 years, male 71.2
GTEX-14BIN-1126-SM-5RQJZ 50-59 years, female 71.0
GTEX-1B996-0426-SM-7EWF8 60-69 years, male 70.9
GTEX-1GPI6-1926-SM-9KNV7 60-69 years, male 70.9
GTEX-1K2DU-1226-SM-CYPT4 20-29 years, male 70.9
GTEX-ZAK1-0626-SM-5HL8E 50-59 years, female 70.8
GTEX-12C56-1526-SM-5FQUQ 20-29 years, male 70.7
GTEX-15EO6-2426-SM-6PALZ 50-59 years, male 70.7
GTEX-15FZZ-0526-SM-7KUGD 30-39 years, female 70.6
GTEX-1HCU9-0426-SM-9WYSD 20-29 years, male 70.5
GTEX-1HCVE-2726-SM-CL54F 50-59 years, male 70.5
GTEX-1MCYP-0526-SM-E9U6Q 20-29 years, female 70.3
GTEX-145MO-2826-SM-5LU96 60-69 years, male 70.2
GTEX-1GZ4H-0526-SM-9KNU9 50-59 years, female 70.2
GTEX-17HII-1426-SM-7EPGG 50-59 years, male 70.1
GTEX-14JG6-1426-SM-9WG7C 30-39 years, female 70.1
GTEX-1LBAC-0826-SM-CY8IJ 20-29 years, male 70.1
GTEX-1R9K4-2826-SM-DTX8F 60-69 years, male 69.9
GTEX-13VXT-1926-SM-5K7UO 20-29 years, female 69.8
GTEX-1212Z-0126-SM-59HK4 60-69 years, male 69.5
GTEX-XAJ8-1426-SM-47JYM 40-49 years, male 69.5
GTEX-1I4MK-0126-SM-CY8G6 50-59 years, female 69.5
GTEX-XV7Q-1826-SM-4BRUV 40-49 years, female 69.4
GTEX-ZWKS-0626-SM-5GIDV 30-39 years, male 69.4
GTEX-13PDP-0726-SM-5L3HP 60-69 years, male 69.3
GTEX-WHWD-1826-SM-3LK6I 50-59 years, male 69.3
GTEX-WRHU-2826-SM-3MJG8 50-59 years, female 69.3
GTEX-1H3VE-0726-SM-9YFL5 40-49 years, male 69.0
GTEX-139YR-1026-SM-5LZYN 50-59 years, male 68.7
GTEX-1GMR8-0626-SM-7RHI7 50-59 years, female 68.7
GTEX-17HHY-0426-SM-7DHLC 50-59 years, male 68.6
GTEX-1A32A-0626-SM-731AQ 50-59 years, female 68.4
GTEX-XMD2-2126-SM-4YCF8 60-69 years, female 68.4
GTEX-1LG7Z-1626-SM-CXKYR 30-39 years, male 68.4
GTEX-14PKV-1126-SM-6LLJ1 20-29 years, female 68.3
GTEX-17HGU-2326-SM-7DUFE 50-59 years, male 68.3
GTEX-111CU-1126-SM-5EGIM 50-59 years, male 68.2
GTEX-14PK6-0226-SM-62LF5 70-79 years, female 68.1
GTEX-X585-2426-SM-46MW2 50-59 years, male 68.1
GTEX-1399R-1326-SM-5PNYS 30-39 years, male 68.0
GTEX-16MT8-2926-SM-7DUFO 60-69 years, female 67.8
GTEX-1GF9X-1326-SM-7PC2Y 40-49 years, female 67.6
GTEX-13N1W-2426-SM-5IJD1 70-79 years, male 67.5
GTEX-1GMR3-0126-SM-A9SLW 40-49 years, male 67.5
GTEX-ZVT2-0126-SM-5GIDQ 50-59 years, female 67.3
GTEX-1C6VR-0126-SM-7RHGB 60-69 years, male 67.3
GTEX-1EKGG-0626-SM-7DUGJ 60-69 years, male 67.1
GTEX-17F96-0126-SM-7EWDU 70-79 years, male 66.8
GTEX-1CB4H-1126-SM-7MKGL 60-69 years, female 66.7
GTEX-1EU9M-1426-SM-793AI 60-69 years, male 66.6
GTEX-ZVTK-0226-SM-51MRG 20-29 years, male 66.6
GTEX-1HCU7-0726-SM-A9SL1 50-59 years, male 66.5
GTEX-13NZ9-2626-SM-5L3FK 50-59 years, male 66.4
GTEX-1477Z-0326-SM-7IGLA 60-69 years, male 66.0
GTEX-13OW8-1026-SM-5J1NQ 60-69 years, male 65.8
GTEX-V1D1-2026-SM-3GAF4 50-59 years, male 65.7
GTEX-183FY-1026-SM-7939A 20-29 years, male 65.6
GTEX-11EI6-2826-SM-5H11D 60-69 years, male 65.5
GTEX-14753-0726-SM-5QGQO 60-69 years, male 65.5
GTEX-1KAFJ-0126-SM-DIPEK 50-59 years, male 65.5
GTEX-13O3Q-0126-SM-5KM34 50-59 years, male 65.4
GTEX-1A8G6-2726-SM-731AR 60-69 years, male 65.4
GTEX-1F75B-0726-SM-7PC3R 50-59 years, male 65.4
GTEX-1H1E6-0426-SM-9WYUS 30-39 years, male 65.4
GTEX-13OVL-0126-SM-5L3GJ 50-59 years, male 65.3
GTEX-1I19N-0126-SM-CYPSF 70-79 years, male 65.3
GTEX-1QCLZ-2426-SM-EVYBW 60-69 years, female 65.2
GTEX-1S82U-1026-SM-E6CJK 30-39 years, female 65.2
GTEX-1F88E-1626-SM-7SB8Z 60-69 years, female 65.0
GTEX-13FTW-0326-SM-5K7UW 40-49 years, male 64.9
GTEX-18QFQ-1826-SM-72D52 30-39 years, male 64.9
GTEX-13FHO-0426-SM-5L3F5 60-69 years, male 64.7
GTEX-15CHR-1126-SM-7EWF4 50-59 years, male 64.7
GTEX-1IL2V-1926-SM-B2LW8 70-79 years, male 64.5
GTEX-139D8-1126-SM-5LU8W 30-39 years, female 64.3
GTEX-UPJH-0226-SM-3GADV 50-59 years, male 64.3
GTEX-ZP4G-1426-SM-4WWCL 20-29 years, female 64.2
GTEX-ZDXO-3126-SM-5IJDF 60-69 years, male 64.1
GTEX-14LLW-2626-SM-62LDZ 70-79 years, female 64.0
GTEX-15CHQ-0326-SM-69LQD 60-69 years, male 63.8
GTEX-16Z82-2626-SM-7KULU 60-69 years, male 63.8
GTEX-1A3MX-2626-SM-7PC24 60-69 years, male 63.5
GTEX-1C2JI-1026-SM-73KY1 50-59 years, male 63.4
GTEX-1HBPM-0726-SM-9YFL7 60-69 years, female 63.4
GTEX-12WSA-0426-SM-5EQ5X 60-69 years, male 63.3
GTEX-1AMFI-1326-SM-7939R 50-59 years, female 63.2
GTEX-1RMOY-1326-SM-E9TIH 50-59 years, male 63.2
GTEX-13NYS-0626-SM-5L3F1 60-69 years, male 63.0
GTEX-1IDJD-2326-SM-ACKWX 30-39 years, male 63.0
GTEX-1RAZS-2526-SM-E6CHT 50-59 years, male 62.8
GTEX-1K2DA-1026-SM-CGQGF 50-59 years, male 62.7
GTEX-1EWIQ-0326-SM-7DHMQ 70-79 years, female 62.5
GTEX-1PPH7-1126-SM-DTX9A 40-49 years, male 62.3
GTEX-13NZ8-1226-SM-5KM4A 60-69 years, female 62.1
GTEX-XUW1-0926-SM-4BONX 50-59 years, female 62.0
GTEX-ZAB4-2126-SM-5HL8U 40-49 years, male 62.0
GTEX-13X6I-1826-SM-5SIAO 60-69 years, male 61.8
GTEX-1LVAO-2726-SM-E9TJ8 60-69 years, male 61.8
GTEX-1M4P7-0726-SM-E6CJ3 60-69 years, male 61.5
GTEX-1B932-2326-SM-79OL5 40-49 years, female 61.2
GTEX-1HR98-2226-SM-ADEI2 60-69 years, male 61.2
GTEX-1S83E-1326-SM-E6CJM 40-49 years, male 61.0
GTEX-17EVP-2626-SM-7IGMA 40-49 years, male 60.6
GTEX-1ICLY-0826-SM-CMKG1 50-59 years, male 60.6
GTEX-16XZZ-0726-SM-7KUF2 60-69 years, male 60.2
GTEX-139T8-0626-SM-5KLZX 60-69 years, male 60.1
GTEX-1GL5R-1326-SM-7RHHF 50-59 years, male 60.1
GTEX-1I1GT-1026-SM-ARZLV 60-69 years, female 60.1
GTEX-1JJE9-2626-SM-ARZMT 70-79 years, male 60.0
GTEX-1MCC2-1826-SM-DIPEX 30-39 years, female 59.8
GTEX-147JS-0226-SM-5S2U9 60-69 years, male 59.7
GTEX-145LS-0626-SM-7EPG7 60-69 years, female 59.6
GTEX-1HCU8-2526-SM-CE6RX 60-69 years, female 59.6
GTEX-1HSMO-0626-SM-ACKXC 60-69 years, male 59.6
GTEX-183WM-0326-SM-72D5V 70-79 years, female 59.3
GTEX-1LVAM-0726-SM-E6CIL 50-59 years, female 59.3
GTEX-XBEC-0726-SM-4QARZ 50-59 years, male 59.2
GTEX-145LU-1926-SM-79OJN 50-59 years, male 59.0
GTEX-14DAQ-0626-SM-793DS 60-69 years, female 58.7
GTEX-ZVE2-2826-SM-5GU51 50-59 years, male 58.3
GTEX-ZTSS-1426-SM-5985P 40-49 years, male 58.1
GTEX-17F9Y-0126-SM-79OKX 70-79 years, female 55.9
GTEX-1A8G7-1326-SM-73KVM 60-69 years, male 55.9
GTEX-XOT4-0626-SM-4B66L 60-69 years, female 55.9
GTEX-14E6C-2426-SM-5S2NF 40-49 years, male 55.7
GTEX-17JCI-2926-SM-7DUFF 60-69 years, female 55.7
GTEX-18A7A-0126-SM-731AH 50-59 years, female 55.7
GTEX-1K9T9-1526-SM-DIPFR 50-59 years, female 55.7
GTEX-14PJ2-0626-SM-6LLII 50-59 years, male 55.2
GTEX-Y5V5-0126-SM-5S2NW 60-69 years, female 55.1
GTEX-13N2G-0226-SM-5K7VF 60-69 years, male 53.3
GTEX-1JKYN-0826-SM-ARU8S 30-39 years, male 53.3
GTEX-13JUV-2026-SM-5K7UA 40-49 years, female 53.0
GTEX-1H3NZ-2726-SM-9WYTQ 60-69 years, male 52.9
GTEX-WYVS-1626-SM-3NM9R 40-49 years, female 51.7
GTEX-1H23P-0626-SM-9WG6T 60-69 years, male 51.4
GTEX-1IDJV-0126-SM-COH3Y 60-69 years, male 51.1
GTEX-1S5ZU-2526-SM-E6CIF 20-29 years, female 51.1
GTEX-11EQ8-0926-SM-5H12V 60-69 years, male 50.3
GTEX-1GZ2Q-0126-SM-9WG6M 40-49 years, male 49.2
GTEX-WYBS-0626-SM-3NMAS 60-69 years, female 48.0
GTEX-1AMEY-0826-SM-72D65 30-39 years, female 47.4
GTEX-1S82P-2126-SM-E6CI5 60-69 years, female 47.4
GTEX-1314G-1326-SM-5BC6E 30-39 years, male 45.0
GTEX-1F6RS-2026-SM-7RHHC 60-69 years, female 43.8
Show allShow less
Skin - Sun Exposed (Lower leg)
Average nTPM: 85.6
Samples: 701

Max nTPM: 192.9
Min nTPM: 45.6
Std nTPM: 19.6
Median nTPM: 83.4
GTEX-W5X1-3026-SM-EAZAX 40-49 years, female 192.9
GTEX-Y3IK-2426-SM-4WWDU 50-59 years, female 182.1
GTEX-POMQ-2226-SM-2I5FK 20-29 years, female 179.6
GTEX-1C6VQ-0126-SM-7P8RI 50-59 years, male 168.1
GTEX-14A5I-0126-SM-5TDEA 50-59 years, female 148.4
GTEX-14PN4-0126-SM-6EU2V 50-59 years, male 146.3
GTEX-15SB6-1726-SM-6PAME 50-59 years, female 144.7
GTEX-S32W-2126-SM-2XCB1 50-59 years, female 143.7
GTEX-145MO-0326-SM-5Q5B3 60-69 years, male 143.6
GTEX-1122O-2126-SM-5EGIR 60-69 years, female 138.5
GTEX-X4XY-0226-SM-4E3IZ 60-69 years, male 138.2
GTEX-1JN76-0126-SM-CNPPE 20-29 years, female 137.8
GTEX-14XAO-2326-SM-6EU1B 60-69 years, female 137.7
GTEX-OIZG-0726-SM-33HBL 50-59 years, male 136.7
GTEX-QCQG-1726-SM-3GIJ9 50-59 years, female 135.9
GTEX-139UW-2826-SM-5L3E7 60-69 years, male 132.8
GTEX-15UF6-0826-SM-6PALJ 70-79 years, female 132.8
GTEX-SE5C-1626-SM-2XCE3 40-49 years, female 132.5
GTEX-15ER7-0326-SM-7KUEV 20-29 years, female 132.3
GTEX-ZVZO-0126-SM-5A5L9 40-49 years, male 131.8
GTEX-Y5V6-2426-SM-4VDSB 60-69 years, male 131.5
GTEX-1H1CY-2826-SM-9MQM3 60-69 years, female 128.9
GTEX-VJWN-0126-SM-3GIK7 50-59 years, female 128.4
GTEX-131XE-2326-SM-5PNZ2 50-59 years, male 127.7
GTEX-11H98-0126-SM-5EGHG 50-59 years, male 127.5
GTEX-1JMLX-0226-SM-CM2RO 50-59 years, male 126.5
GTEX-ZPIC-1726-SM-DHXIU 40-49 years, female 125.9
GTEX-1QAET-0926-SM-E76QM 50-59 years, male 125.6
GTEX-12696-2426-SM-5EQ6H 60-69 years, male 125.3
GTEX-ZYFD-0126-SM-5GIDL 50-59 years, male 123.5
GTEX-1R9K4-0126-SM-DTX9X 60-69 years, male 122.7
GTEX-1IKJJ-0126-SM-CNPQB 60-69 years, male 122.1
GTEX-RVPV-0126-SM-EAZAW 60-69 years, male 121.8
GTEX-Q2AH-1626-SM-3GAF8 40-49 years, male 119.8
GTEX-15DDE-0126-SM-6LPKH 50-59 years, female 119.4
GTEX-Z93S-0126-SM-5HL7M 50-59 years, male 118.8
GTEX-P4QT-0126-SM-2I3FL 50-59 years, female 118.4
GTEX-11DXZ-2326-SM-5EGGV 50-59 years, male 118.2
GTEX-11DYG-0126-SM-59883 60-69 years, male 118.1
GTEX-146FH-0126-SM-5QGPP 50-59 years, female 117.5
GTEX-U8XE-0326-SM-3DB8P 30-39 years, male 117.0
GTEX-1N2DW-0226-SM-E9TK2 50-59 years, male 117.0
GTEX-11TUW-2726-SM-E9J4M 60-69 years, male 116.7
GTEX-1KD4Q-0226-SM-E9TJ9 40-49 years, male 116.7
GTEX-1H1DE-2126-SM-9WG6R 20-29 years, male 116.6
GTEX-ZYT6-0226-SM-5NQ6T 30-39 years, male 116.2
GTEX-1PIIG-0226-SM-EWRN6 30-39 years, male 115.8
GTEX-13CF2-2526-SM-5LZYX 60-69 years, male 115.6
GTEX-Y8DK-0126-SM-4TT3L 60-69 years, male 115.1
GTEX-1HGF4-2426-SM-ACKXM 60-69 years, male 114.9
GTEX-1MJK2-0426-SM-DTXE5 50-59 years, male 114.4
GTEX-1CAV2-2226-SM-7P8P2 40-49 years, female 114.1
GTEX-OXRO-0126-SM-2YUN4 60-69 years, female 113.9
GTEX-VJYA-1126-SM-3GIJU 60-69 years, male 113.9
GTEX-1JMPZ-0226-SM-CNPP1 30-39 years, male 113.7
GTEX-1JN6P-0126-SM-D3L98 60-69 years, male 113.7
GTEX-1JJEA-0326-SM-CNPOT 60-69 years, male 113.3
GTEX-1A3MX-0126-SM-731BR 60-69 years, male 112.9
GTEX-1HCU6-0126-SM-CL54K 60-69 years, female 112.9
GTEX-1B8SG-0126-SM-73KZ3 50-59 years, male 112.8
GTEX-X5EB-2226-SM-46MW4 40-49 years, male 112.7
GTEX-13FHP-0126-SM-5IJBG 50-59 years, male 112.3
GTEX-1JMQK-0226-SM-CL543 60-69 years, male 112.0
GTEX-139TS-2826-SM-5J1OO 60-69 years, male 111.6
GTEX-13OVH-0126-SM-5MR4B 70-79 years, male 111.6
GTEX-TML8-1926-SM-32QOS 40-49 years, female 111.5
GTEX-1J8EW-0126-SM-CJI4F 60-69 years, female 111.4
GTEX-16MT8-0426-SM-7KUEY 60-69 years, female 111.3
GTEX-145LS-0126-SM-5QGP1 60-69 years, female 110.9
GTEX-14PII-0226-SM-6EU1T 60-69 years, male 110.8
GTEX-131XF-5016-SM-7MGWE 60-69 years, male 110.7
GTEX-1RLM8-2326-SM-EWRN4 50-59 years, male 110.7
GTEX-13O1R-0126-SM-5L3EH 60-69 years, male 110.4
GTEX-18A7B-0126-SM-7LG64 70-79 years, male 109.8
GTEX-WFG8-2226-SM-3GIL9 20-29 years, male 109.7
GTEX-17JCI-0126-SM-7LG5G 60-69 years, female 109.3
GTEX-1GN1U-0126-SM-7PBZK 50-59 years, female 109.2
GTEX-11UD1-0126-SM-5PNYG 40-49 years, female 108.9
GTEX-117YW-2626-SM-5GZZH 50-59 years, male 108.7
GTEX-1EWIQ-0126-SM-7RHH2 70-79 years, female 108.7
GTEX-12126-0326-SM-5PNW3 20-29 years, male 108.6
GTEX-14E6E-1826-SM-5S2R7 30-39 years, male 108.5
GTEX-Y114-2426-SM-4TT8A 50-59 years, female 108.4
GTEX-1JMQJ-0526-SM-CYPSU 50-59 years, male 108.3
GTEX-1B8SF-1426-SM-7DUGL 60-69 years, male 108.1
GTEX-ZU9S-0226-SM-5E441 30-39 years, male 107.3
GTEX-14BIL-0126-SM-5SI92 50-59 years, male 107.2
GTEX-ZVTK-0426-SM-51MRS 20-29 years, male 107.1
GTEX-13U4I-0126-SM-5LU38 40-49 years, female 106.7
GTEX-148VI-1626-SM-5SI6E 60-69 years, female 106.6
GTEX-13FXS-0226-SM-5IJCK 50-59 years, male 106.5
GTEX-13CF3-2426-SM-5IFGX 60-69 years, female 106.1
GTEX-16XZZ-0126-SM-793DV 60-69 years, male 106.1
GTEX-17HII-0226-SM-7LG4E 50-59 years, male 106.1
GTEX-13113-5016-SM-7EPIP 60-69 years, female 105.9
GTEX-QESD-1426-SM-2S1R9 20-29 years, male 105.9
GTEX-18A6Q-0126-SM-731BZ 60-69 years, male 105.8
GTEX-YJ89-0126-SM-4TT3X 60-69 years, male 105.2
GTEX-O5YT-0126-SM-48TBW 20-29 years, male 105.0
GTEX-S7SE-0126-SM-2XCD5 50-59 years, male 104.3
GTEX-ZF3C-0126-SM-DO92D 50-59 years, female 104.2
GTEX-12WSA-0226-SM-5BC5V 60-69 years, male 103.8
GTEX-13IVO-0126-SM-5J1NG 70-79 years, male 103.6
GTEX-ZTPG-0326-SM-5O9AX 20-29 years, female 103.6
GTEX-1AX8Z-0126-SM-7DHM6 60-69 years, male 103.3
GTEX-13NYB-2526-SM-5K7Z6 40-49 years, male 103.0
GTEX-13X6J-0126-SM-5QGOU 50-59 years, male 103.0
GTEX-13G51-2526-SM-5LZYK 60-69 years, male 102.9
GTEX-ZAB4-0226-SM-5N9F5 40-49 years, male 102.8
GTEX-1RDX4-0126-SM-E9J4P 50-59 years, female 102.7
GTEX-Y3I4-2126-SM-4TT7C 50-59 years, male 102.6
GTEX-13FTW-2626-SM-5K7WL 40-49 years, male 102.4
GTEX-SN8G-0126-SM-32PLI 50-59 years, female 102.2
GTEX-1269C-2526-SM-5EGJ3 60-69 years, female 102.1
GTEX-1B8KE-2126-SM-73KYX 50-59 years, male 101.9
GTEX-1J8JJ-0226-SM-CL53I 60-69 years, female 101.9
GTEX-13OW8-1326-SM-5J1OW 60-69 years, male 101.7
GTEX-13X6H-2126-SM-7EWD5 50-59 years, female 101.7
GTEX-1I1GU-2226-SM-CGQFA 40-49 years, male 101.6
GTEX-WQUQ-0426-SM-3MJFU 60-69 years, male 101.4
GTEX-P44H-0226-SM-2XCEU 40-49 years, male 101.3
GTEX-11EMC-2926-SM-5EQ4F 60-69 years, female 100.8
GTEX-UPJH-0326-SM-3GADU 50-59 years, male 100.8
GTEX-1CB4G-0226-SM-7PC3O 60-69 years, male 100.7
GTEX-1LG7Z-1726-SM-D3LA4 30-39 years, male 100.7
GTEX-XQ3S-1526-SM-4BOOC 20-29 years, male 100.6
GTEX-14PJM-0226-SM-62LF1 50-59 years, female 100.4
GTEX-1399U-2326-SM-5K7WY 50-59 years, female 100.3
GTEX-11GS4-2726-SM-5A5LE 60-69 years, male 100.2
GTEX-1POEN-0126-SM-EYYXJ 30-39 years, female 100.2
GTEX-132NY-0326-SM-5IJBL 60-69 years, male 100.1
GTEX-U8T8-0126-SM-3DB94 60-69 years, male 100.1
GTEX-1CB4J-0626-SM-7DHMP 60-69 years, male 100.0
GTEX-ZF29-2326-SM-DO92K 60-69 years, female 100.0
GTEX-12WSJ-1826-SM-5GCNY 40-49 years, female 99.9
GTEX-1A3MW-0126-SM-73KXX 60-69 years, female 99.6
GTEX-13YAN-0326-SM-5O9DF 60-69 years, male 99.5
GTEX-1GF9V-0326-SM-7RHI5 60-69 years, male 99.5
GTEX-1PWST-0226-SM-E76QJ 70-79 years, male 99.5
GTEX-1I1GV-0526-SM-A9G29 60-69 years, male 99.2
GTEX-1MA7W-2026-SM-E9TJ6 20-29 years, female 99.1
GTEX-11WQC-2526-SM-5CVLE 60-69 years, male 99.0
GTEX-145LT-1726-SM-5QGP3 40-49 years, male 99.0
GTEX-1MCQQ-0826-SM-DLHC2 60-69 years, male 99.0
GTEX-1JMOU-1526-SM-CL54I 60-69 years, female 98.6
GTEX-1KWVE-1426-SM-E9TJO 30-39 years, male 98.6
GTEX-145MI-0526-SM-5O9A8 60-69 years, female 98.5
GTEX-1KANC-1526-SM-D3LAB 50-59 years, female 98.5
GTEX-1H4P4-0726-SM-9YFLR 50-59 years, male 98.3
GTEX-1I1GP-2226-SM-CGQFK 50-59 years, male 98.3
GTEX-1K2DA-1826-SM-CGQGT 50-59 years, male 98.3
GTEX-12584-0126-SM-5EGKQ 40-49 years, male 98.2
GTEX-11GSP-2526-SM-5N9BP 60-69 years, female 98.0
GTEX-1JKYR-0126-SM-CNPOJ 20-29 years, male 98.0
GTEX-1OJC3-0126-SM-E76QX 20-29 years, male 98.0
GTEX-ZVT2-2526-SM-51MT1 50-59 years, female 97.9
GTEX-ZYY3-0126-SM-5GZY5 60-69 years, female 97.9
GTEX-14BMU-2226-SM-5TDE9 20-29 years, female 97.7
GTEX-T6MN-0126-SM-32PLP 50-59 years, male 97.6
GTEX-13111-1626-SM-5EGJY 50-59 years, male 97.5
GTEX-1C475-1826-SM-73KWA 40-49 years, female 97.4
GTEX-13JUV-2726-SM-5LZZ8 40-49 years, female 97.3
GTEX-X8HC-0126-SM-4E3JW 50-59 years, female 97.3
GTEX-1N2EF-0226-SM-EYYXB 60-69 years, male 97.2
GTEX-1R9PM-2026-SM-E76OY 20-29 years, male 97.0
GTEX-13N11-2526-SM-5K7UE 50-59 years, female 96.9
GTEX-R3RS-0126-SM-3GIJL 40-49 years, female 96.9
GTEX-1212Z-2526-SM-5EGKP 60-69 years, male 96.8
GTEX-111VG-2426-SM-5GZXD 60-69 years, male 96.7
GTEX-11DXW-0226-SM-5H122 40-49 years, male 96.7
GTEX-131XH-2226-SM-5DUXJ 50-59 years, male 96.7
GTEX-PLZ6-1426-SM-DKPOT 30-39 years, male 96.6
GTEX-17MF6-0126-SM-7LG4F 40-49 years, male 96.5
GTEX-X4EO-0326-SM-3P5YO 60-69 years, female 96.4
GTEX-X88G-0126-SM-47JZ3 30-39 years, male 96.4
GTEX-1211K-2026-SM-5EQ4Z 60-69 years, female 96.3
GTEX-1LB8K-0226-SM-EWRNW 50-59 years, male 96.3
GTEX-111FC-0126-SM-5N9DL 60-69 years, male 96.2
GTEX-15ETS-0126-SM-7KUMW 40-49 years, female 96.2
GTEX-17EVQ-0226-SM-7LG4P 70-79 years, male 96.0
GTEX-1HSMO-0126-SM-CL547 60-69 years, male 95.8
GTEX-RWSA-0126-SM-2XCBB 40-49 years, male 95.7
GTEX-YFC4-0126-SM-5CVLY 40-49 years, female 95.6
GTEX-1IKK5-0626-SM-ARL8A 60-69 years, male 95.6
GTEX-WYVS-2126-SM-3NMA3 40-49 years, female 95.4
GTEX-18D9A-1926-SM-7LG6P 30-39 years, female 95.3
GTEX-1LGRB-2526-SM-CNPPQ 50-59 years, female 95.2
GTEX-1ICLZ-0126-SM-CKZPO 60-69 years, male 95.1
GTEX-1HT8W-0126-SM-CNPPP 30-39 years, male 95.0
GTEX-Y111-0126-SM-4SOIV 50-59 years, male 94.8
GTEX-13OVI-1426-SM-5L3EY 60-69 years, female 94.6
GTEX-ZGAY-0526-SM-4WWBB 40-49 years, female 94.6
GTEX-1HBPI-1526-SM-C1YQ1 50-59 years, male 94.6
GTEX-1IDJH-0326-SM-A9SLQ 70-79 years, male 94.6
GTEX-13112-2826-SM-5DUWH 50-59 years, male 94.5
GTEX-11UD2-0226-SM-5EQKY 50-59 years, male 94.4
GTEX-ZYW4-0126-SM-5E44A 60-69 years, male 94.3
GTEX-S33H-1026-SM-EZ6L6 30-39 years, male 94.3
GTEX-1F6IF-0726-SM-7P8TW 60-69 years, male 94.2
GTEX-1R46S-0626-SM-E9J41 60-69 years, female 94.1
GTEX-1RB15-2126-SM-E9TIM 60-69 years, male 94.1
GTEX-T5JW-1626-SM-3GADZ 20-29 years, female 93.9
GTEX-U412-0426-SM-3DB9O 60-69 years, male 93.7
GTEX-139TU-0126-SM-5K7WH 60-69 years, male 93.6
GTEX-PVOW-0126-SM-2XCFA 40-49 years, male 93.6
GTEX-SJXC-0126-SM-2XCFF 60-69 years, male 93.5
GTEX-13FHO-0226-SM-5IFGY 60-69 years, male 93.4
GTEX-WXYG-2326-SM-4E3I6 50-59 years, female 93.3
GTEX-183WM-0126-SM-7LTAB 70-79 years, female 93.0
GTEX-ZTX8-1426-SM-5DUVO 20-29 years, male 92.9
GTEX-ZE9C-2726-SM-57WB5 60-69 years, male 92.6
GTEX-1NV5F-0226-SM-E8VNY 60-69 years, female 92.6
GTEX-11DZ1-0126-SM-5985Q 50-59 years, male 92.5
GTEX-12WSL-2526-SM-5GCNJ 50-59 years, male 92.2
GTEX-PX3G-0126-SM-2I3EN 20-29 years, female 92.2
GTEX-P4PP-0126-SM-3LK69 30-39 years, female 92.1
GTEX-1JN1M-0326-SM-CYPT3 60-69 years, female 92.1
GTEX-X585-0226-SM-4QAS2 50-59 years, male 92.0
GTEX-1ICG6-2526-SM-CGQFZ 70-79 years, female 92.0
GTEX-13PDP-0126-SM-5L3HD 60-69 years, male 91.8
GTEX-S7PM-0126-SM-4AD6S 60-69 years, male 91.8
GTEX-11WQK-0526-SM-5EQLD 50-59 years, male 91.7
GTEX-15G19-0126-SM-6PANQ 60-69 years, male 91.7
GTEX-1GMRU-0126-SM-9YFLV 50-59 years, male 91.7
GTEX-1JMQL-0226-SM-CNPP5 50-59 years, female 91.6
GTEX-17F98-0626-SM-79OMX 40-49 years, female 91.5
GTEX-131XW-0426-SM-5LZWP 50-59 years, female 91.4
GTEX-1H3VE-0326-SM-9YFLH 40-49 years, male 91.4
GTEX-1S83E-0126-SM-EWRO4 40-49 years, male 91.3
GTEX-117XS-2726-SM-5N9BL 60-69 years, male 91.2
GTEX-1LG7Y-0526-SM-DKPQC 50-59 years, male 91.2
GTEX-1LBAC-0126-SM-DIPEZ 20-29 years, male 90.9
GTEX-1313W-0126-SM-5LZUN 50-59 years, female 90.7
GTEX-1QMI2-0226-SM-EVYBX 60-69 years, male 90.7
GTEX-131YS-0126-SM-5KM1M 60-69 years, female 90.6
GTEX-ZDYS-2026-SM-5HL5L 50-59 years, male 90.6
GTEX-1I1CD-0126-SM-CM2TK 60-69 years, female 90.6
GTEX-1I4MK-2226-SM-ACKWD 50-59 years, female 90.6
GTEX-PWCY-1826-SM-DHXIZ 20-29 years, female 90.6
GTEX-11EM3-2426-SM-59861 20-29 years, female 90.4
GTEX-ZVT4-0126-SM-DTXFN 50-59 years, female 90.3
GTEX-11GSO-2426-SM-5A5LY 60-69 years, male 90.2
GTEX-11TT1-2526-SM-5EGIB 20-29 years, male 90.2
GTEX-1O97I-0326-SM-EYYX7 60-69 years, male 90.2
GTEX-144GL-0126-SM-5TDE2 50-59 years, male 90.1
GTEX-1H1ZS-0426-SM-9WG6G 70-79 years, male 90.0
GTEX-14JG1-0426-SM-6ETZZ 40-49 years, male 89.8
GTEX-1B8L1-2526-SM-9WYTF 60-69 years, male 89.8
GTEX-1H1DG-0126-SM-9WYU2 70-79 years, male 89.8
GTEX-14E6D-0126-SM-62LDV 50-59 years, male 89.7
GTEX-1I1GR-0126-SM-CL55F 60-69 years, male 89.7
GTEX-XYKS-2126-SM-4E3IB 60-69 years, female 89.6
GTEX-ZYFC-0226-SM-5NQ75 50-59 years, male 89.6
GTEX-1OFPY-2426-SM-DTXEJ 60-69 years, male 89.5
GTEX-1PPH8-0226-SM-E8VND 20-29 years, male 89.5
GTEX-13S7M-0126-SM-5SI6A 60-69 years, female 89.3
GTEX-QDVN-2026-SM-3GAEP 50-59 years, male 89.2
GTEX-RTLS-0126-SM-447CA 60-69 years, female 89.2
GTEX-1EMGI-0126-SM-9KNUE 60-69 years, male 89.2
GTEX-15D1Q-0126-SM-7KUG6 40-49 years, male 89.1
GTEX-ZAK1-0126-SM-5IJD3 50-59 years, female 89.0
GTEX-1H3O1-0426-SM-9YFKY 60-69 years, male 88.9
GTEX-1192W-2626-SM-5Q5AF 60-69 years, male 88.7
GTEX-139TT-0126-SM-5K7Y5 60-69 years, male 88.7
GTEX-QV44-1926-SM-2S1RF 50-59 years, male 88.6
GTEX-NPJ8-0126-SM-2YUNR 40-49 years, male 88.5
GTEX-1F5PL-0326-SM-7P8PQ 40-49 years, female 88.5
GTEX-148VJ-0126-SM-5TDDN 70-79 years, male 88.4
GTEX-1CAMS-0426-SM-7P8T2 40-49 years, female 88.4
GTEX-12WSD-0126-SM-59HKN 60-69 years, female 88.1
GTEX-13RTJ-2426-SM-5S2Q2 60-69 years, male 88.1
GTEX-P4PQ-0126-SM-2S1NM 60-69 years, male 88.1
GTEX-1GMR3-1926-SM-9KNUZ 40-49 years, male 88.0
GTEX-14DAR-2026-SM-5S2O3 50-59 years, male 87.7
GTEX-14PK6-1926-SM-6ETZU 70-79 years, female 87.7
GTEX-16GPK-0126-SM-7DHLE 60-69 years, male 87.7
GTEX-1F75A-0126-SM-7RHGM 50-59 years, male 87.7
GTEX-1HCUA-2426-SM-ADEIS 50-59 years, female 87.7
GTEX-11ZU8-2526-SM-5EQKI 60-69 years, male 87.6
GTEX-YB5K-2126-SM-4WWDJ 40-49 years, female 87.6
GTEX-1F48J-0126-SM-7P8TT 50-59 years, female 87.6
GTEX-1IL2U-0226-SM-CE6T8 60-69 years, male 87.6
GTEX-1IY9M-0126-SM-D3L8S 60-69 years, male 87.6
GTEX-11O72-0126-SM-59887 40-49 years, male 87.5
GTEX-14753-0426-SM-5NQAM 60-69 years, male 87.4
GTEX-X4EP-0126-SM-3P5YV 60-69 years, female 87.4
GTEX-139D8-0226-SM-5KLZO 30-39 years, female 87.3
GTEX-15EU6-0426-SM-6PAN5 50-59 years, male 87.3
GTEX-145MN-2226-SM-5SIAU 30-39 years, male 87.2
GTEX-14BMV-0126-SM-5S2PO 50-59 years, male 87.0
GTEX-1B933-0126-SM-7PC29 50-59 years, female 87.0
GTEX-1KXAM-2226-SM-CYPTC 60-69 years, male 86.9
GTEX-1QEPI-0126-SM-EWRMQ 60-69 years, female 86.9
GTEX-1R7EU-0226-SM-EVR4G 60-69 years, male 86.9
GTEX-12ZZY-0226-SM-5LZVE 60-69 years, male 86.8
GTEX-17KNJ-2326-SM-7DHLQ 50-59 years, male 86.8
GTEX-18A7A-0226-SM-718BH 50-59 years, female 86.8
GTEX-1HBPN-0226-SM-9YFM1 50-59 years, male 86.8
GTEX-ZVZP-2426-SM-59HKJ 50-59 years, male 86.7
GTEX-1HBPM-0226-SM-ARL9F 60-69 years, female 86.7
GTEX-RU72-0926-SM-2TF6B 50-59 years, female 86.6
GTEX-13OW6-0426-SM-5L3HM 50-59 years, male 86.5
GTEX-15RIG-0226-SM-7KFTL 40-49 years, male 86.5
GTEX-16BQI-0226-SM-7KUEX 30-39 years, female 86.4
GTEX-1A3MV-1926-SM-718BT 30-39 years, male 86.4
GTEX-1GZHY-0326-SM-9QEHI 50-59 years, female 86.3
GTEX-1J8Q2-0526-SM-CM2RW 60-69 years, male 86.3
GTEX-13O21-1426-SM-5K7XI 50-59 years, male 85.7
GTEX-145LV-2126-SM-5LU8N 50-59 years, male 85.7
GTEX-U3ZH-2026-SM-3DB78 30-39 years, male 85.7
GTEX-1A8FM-0226-SM-7SB7Q 50-59 years, female 85.7
GTEX-UJHI-1526-SM-3DB99 50-59 years, female 85.6
GTEX-14E6C-0126-SM-5RQIP 40-49 years, male 85.4
GTEX-16XZY-2126-SM-79OK1 70-79 years, male 85.3
GTEX-17EVP-0326-SM-7DHLG 40-49 years, male 85.3
GTEX-O5YW-0126-SM-3LK6D 50-59 years, male 85.3
GTEX-OIZH-0126-SM-2HMIS 50-59 years, male 85.3
GTEX-1OJC4-0126-SM-E9J2E 50-59 years, female 85.3
GTEX-11LCK-1026-SM-5A5KB 30-39 years, male 85.2
GTEX-12WSE-0526-SM-793B2 20-29 years, male 85.2
GTEX-131XG-2626-SM-5KM17 50-59 years, female 85.2
GTEX-T8EM-1026-SM-3DB7M 40-49 years, male 85.2
GTEX-1EN7A-0126-SM-7SB81 40-49 years, male 85.2
GTEX-17HHY-0126-SM-7LG5D 50-59 years, male 85.1
GTEX-1LH75-2426-SM-E9TJE 50-59 years, female 85.1
GTEX-1KD5A-0226-SM-D5OV3 50-59 years, male 85.0
GTEX-14C5O-0126-SM-5SI6N 60-69 years, male 84.9
GTEX-15SHW-0326-SM-6PAML 60-69 years, male 84.9
GTEX-XBEW-0626-SM-4QASP 40-49 years, male 84.9
GTEX-T2IS-0126-SM-4DM6O 20-29 years, female 84.8
GTEX-13FTX-1826-SM-5J1NX 20-29 years, female 84.7
GTEX-1HUB1-0426-SM-E9U4U 60-69 years, male 84.7
GTEX-RUSQ-1526-SM-2TF62 50-59 years, male 84.6
GTEX-X4XX-0126-SM-3NMC2 60-69 years, male 84.6
GTEX-XAJ8-0826-SM-47JY6 40-49 years, male 84.6
GTEX-1MGNQ-0126-SM-EVYCJ 40-49 years, male 84.6
GTEX-145ME-1826-SM-5SI9G 40-49 years, female 84.4
GTEX-14PHX-2326-SM-62LEM 50-59 years, male 84.4
GTEX-QDVJ-1726-SM-2I5FX 50-59 years, male 84.4
GTEX-WI4N-1026-SM-3LK7N 40-49 years, female 84.3
GTEX-17HG3-2226-SM-7938L 30-39 years, female 84.2
GTEX-144GN-2326-SM-5LU4F 50-59 years, male 84.1
GTEX-XBED-2226-SM-47JYQ 60-69 years, male 84.1
GTEX-1LGOU-2026-SM-DIPFF 20-29 years, female 84.1
GTEX-11OC5-0126-SM-5HL6A 60-69 years, male 84.0
GTEX-1JMQI-2226-SM-CM2SD 50-59 years, male 84.0
GTEX-12ZZX-0126-SM-5EGK9 40-49 years, female 83.9
GTEX-1IDJF-0126-SM-CM2RS 20-29 years, male 83.9
GTEX-133LE-1826-SM-5J1MV 20-29 years, female 83.6
GTEX-13O3Q-2426-SM-5IJBR 50-59 years, male 83.6
GTEX-1A32A-0126-SM-718B1 50-59 years, female 83.4
GTEX-1K2DU-2326-SM-E9TIV 20-29 years, male 83.4
GTEX-ZV68-0126-SM-59HKS 50-59 years, female 83.0
GTEX-1GTWX-0126-SM-9YFLK 60-69 years, male 83.0
GTEX-W5WG-1826-SM-4KL2Y 50-59 years, female 82.8
GTEX-1I1GQ-0126-SM-COH3H 50-59 years, male 82.8
GTEX-12WSC-0126-SM-5EQ4P 50-59 years, male 82.7
GTEX-XUYS-0126-SM-47JWZ 50-59 years, male 82.7
GTEX-1F75B-0126-SM-9KNVL 50-59 years, male 82.7
GTEX-11ZVC-2526-SM-5FQTE 50-59 years, female 82.3
GTEX-15SDE-2226-SM-7IGLO 50-59 years, female 82.3
GTEX-183FY-0126-SM-7LT9P 20-29 years, male 82.3
GTEX-1BAJH-0526-SM-793CQ 70-79 years, male 82.2
GTEX-X261-0126-SM-3NMD6 50-59 years, male 82.2
GTEX-1GN2E-0426-SM-9MQKX 60-69 years, male 82.0
GTEX-1399R-2726-SM-5IJBA 30-39 years, male 81.9
GTEX-147F3-0526-SM-5SI98 50-59 years, female 81.9
GTEX-13RTK-1426-SM-5QGQJ 20-29 years, male 81.8
GTEX-15DYW-0126-SM-7KULE 60-69 years, female 81.6
GTEX-ZAJG-0126-SM-5HL94 50-59 years, female 81.6
GTEX-1IOXB-0126-SM-ARL8G 50-59 years, male 81.6
GTEX-1M5QR-1226-SM-EWROB 40-49 years, male 81.5
GTEX-1128S-2326-SM-5GZZY 60-69 years, female 81.4
GTEX-1HR98-0126-SM-B2LWI 60-69 years, male 81.4
GTEX-17GQL-2026-SM-718BA 60-69 years, male 81.3
GTEX-WY7C-2326-SM-3NB2U 50-59 years, male 81.3
GTEX-1AX9I-0126-SM-7SB74 60-69 years, male 81.3
GTEX-1GZ2Q-0226-SM-7P8TL 40-49 years, male 81.3
GTEX-ZE7O-0126-SM-57WC1 50-59 years, female 81.2
GTEX-15SHU-0126-SM-7KUEH 40-49 years, female 81.1
GTEX-1GF9W-0326-SM-9KNUN 60-69 years, male 81.1
GTEX-1HB9E-0226-SM-E9U4R 50-59 years, male 81.1
GTEX-1KANA-0726-SM-D3L9I 20-29 years, male 81.1
GTEX-1QP66-1726-SM-E8VO1 50-59 years, male 81.1
GTEX-Z93T-0126-SM-5HL5N 50-59 years, male 81.0
GTEX-1497J-2426-SM-7IGNX 60-69 years, male 80.9
GTEX-1PDJ9-0326-SM-DTX95 20-29 years, male 80.9
GTEX-SIU8-0126-SM-2XCDT 50-59 years, male 80.8
GTEX-1399T-2826-SM-5KLYZ 60-69 years, male 80.7
GTEX-13OVL-0226-SM-5L3E9 50-59 years, male 80.7
GTEX-13PVR-2326-SM-5QGR1 60-69 years, female 80.7
GTEX-14ABY-0226-SM-5TDCQ 50-59 years, male 80.7
GTEX-ZQUD-1426-SM-57WER 30-39 years, male 80.7
GTEX-14BIN-0626-SM-793DP 50-59 years, female 80.6
GTEX-ZDXO-3026-SM-5J1N5 60-69 years, male 80.6
GTEX-1EX96-1626-SM-7PBXR 50-59 years, male 80.5
GTEX-13RTL-0126-SM-7LG5S 40-49 years, male 80.3
GTEX-13VXU-0126-SM-5SI9F 50-59 years, male 80.3
GTEX-13X6I-0626-SM-5QGP9 60-69 years, male 80.2
GTEX-18A67-0126-SM-7LG5P 50-59 years, male 80.2
GTEX-1C64N-0126-SM-793D7 50-59 years, male 80.2
GTEX-14PJ3-1826-SM-62LEX 50-59 years, male 80.1
GTEX-13FH7-2026-SM-E9J4I 50-59 years, female 80.0
GTEX-XXEK-2226-SM-4BRUM 50-59 years, male 79.9
GTEX-15UKP-0426-SM-7KUFQ 20-29 years, male 79.8
GTEX-11ZTS-0126-SM-5EQ6M 60-69 years, female 79.7
GTEX-1H2FU-0126-SM-9WYSI 60-69 years, female 79.7
GTEX-1HSKV-0226-SM-A9SKJ 60-69 years, male 79.7
GTEX-146FQ-0126-SM-5NQA9 30-39 years, male 79.5
GTEX-QLQ7-1626-SM-2S1R8 60-69 years, male 79.5
GTEX-169BO-1326-SM-9MQK2 50-59 years, male 79.5
GTEX-1LC47-0326-SM-E9TJP 60-69 years, male 79.5
GTEX-1B996-0226-SM-7RHGO 60-69 years, male 79.4
GTEX-13OW5-0126-SM-DTXFS 60-69 years, male 79.3
GTEX-1ICLY-0126-SM-D4P36 50-59 years, male 79.3
GTEX-1LVAN-0226-SM-COH3S 50-59 years, female 79.3
GTEX-1HFI6-0226-SM-ADEHZ 40-49 years, male 79.2
GTEX-1IL2V-0126-SM-CM2TX 70-79 years, male 79.1
GTEX-1HSMQ-1226-SM-CGQFX 50-59 years, male 79.0
GTEX-YJ8A-0426-SM-5IFID 20-29 years, male 78.9
GTEX-13NZB-2526-SM-5J1OM 30-39 years, male 78.8
GTEX-11OF3-2626-SM-5GU7F 60-69 years, male 78.7
GTEX-Y8E4-0626-SM-4WWDL 40-49 years, male 78.7
GTEX-1HFI7-1826-SM-ACKXH 50-59 years, female 78.6
GTEX-Q2AG-0126-SM-33HBV 40-49 years, female 78.5
GTEX-XUZC-1726-SM-4BRWS 30-39 years, female 78.5
GTEX-113JC-2326-SM-5EQ4E 50-59 years, female 78.3
GTEX-ZTSS-1926-SM-57WEW 40-49 years, male 78.3
GTEX-1F6I4-0126-SM-9MQL2 60-69 years, male 78.3
GTEX-1AX9J-0226-SM-73KXM 60-69 years, male 78.2
GTEX-1AYD5-2426-SM-73KXR 50-59 years, male 78.2
GTEX-1E1VI-0126-SM-7DHMZ 50-59 years, male 78.2
GTEX-12WSG-2826-SM-E9J4H 50-59 years, female 78.2
GTEX-1IDFM-0126-SM-COH2V 60-69 years, male 78.2
GTEX-1E2YA-0126-SM-9KNUC 50-59 years, male 78.1
GTEX-1HSGN-0226-SM-CGQFV 40-49 years, female 78.1
GTEX-11EI6-0126-SM-5985R 60-69 years, male 78.0
GTEX-18465-0126-SM-731BN 50-59 years, male 77.9
GTEX-12ZZZ-0626-SM-5DUXI 60-69 years, male 77.8
GTEX-WRHK-1426-SM-3MJF9 20-29 years, female 77.8
GTEX-14BIM-0226-SM-7IGLD 60-69 years, female 77.7
GTEX-1F7RK-0126-SM-7PC2S 20-29 years, female 77.7
GTEX-13OW7-0126-SM-5MR3B 50-59 years, male 77.5
GTEX-14ICK-0226-SM-6EU25 40-49 years, male 77.5
GTEX-NFK9-0226-SM-2HMKQ 40-49 years, male 77.5
GTEX-1IKOH-0226-SM-COH4E 60-69 years, female 77.3
GTEX-14A5H-0426-SM-5QGQF 60-69 years, male 77.2
GTEX-139T8-0126-SM-5K7XZ 60-69 years, male 77.1
GTEX-139T4-0226-SM-5HL5S 50-59 years, female 77.0
GTEX-144FL-0126-SM-5TDC8 50-59 years, male 76.9
GTEX-ZVT3-0126-SM-5GU6I 60-69 years, female 76.9
GTEX-13NZA-0226-SM-5K7Z7 60-69 years, male 76.7
GTEX-145MF-0626-SM-5LUAI 50-59 years, male 76.7
GTEX-11P81-2326-SM-59875 30-39 years, female 76.6
GTEX-1C6WA-0126-SM-7PC2B 60-69 years, male 76.6
GTEX-1J8Q3-1626-SM-CMKGC 60-69 years, male 76.4
GTEX-PSDG-0226-SM-DKPOZ 50-59 years, male 76.4
GTEX-18D9U-0226-SM-718BP 40-49 years, male 76.3
GTEX-OHPL-0126-SM-2HMJ7 60-69 years, female 76.2
GTEX-ZF2S-2326-SM-4WWCE 50-59 years, female 76.2
GTEX-14JG6-2226-SM-6EU2G 30-39 years, female 76.1
GTEX-17HHE-2026-SM-79OKF 50-59 years, male 76.1
GTEX-WYJK-0126-SM-3NMAB 50-59 years, male 76.1
GTEX-OXRP-0126-SM-3NB32 60-69 years, female 75.9
GTEX-11NUK-0126-SM-5A5L3 50-59 years, male 75.8
GTEX-TMZS-0126-SM-3DB9Q 60-69 years, male 75.8
GTEX-1MUQO-0126-SM-EAZ58 60-69 years, male 75.8
GTEX-ZDTS-0126-SM-4WAY5 60-69 years, male 75.6
GTEX-1GPI6-0126-SM-9WG69 60-69 years, male 75.6
GTEX-1J8QM-2126-SM-CYPSJ 60-69 years, female 75.6
GTEX-1CB4E-2226-SM-793DC 60-69 years, male 75.5
GTEX-13SLX-0526-SM-5S2ON 50-59 years, female 75.4
GTEX-ZZ64-1726-SM-5GZYB 20-29 years, male 75.4
GTEX-1QP67-1626-SM-EAZ3X 40-49 years, female 75.4
GTEX-1S5ZA-0126-SM-EVYCV 20-29 years, male 75.4
GTEX-117YX-2326-SM-5H12W 50-59 years, male 75.3
GTEX-13W46-0226-SM-5SIAG 50-59 years, male 75.3
GTEX-13D11-2426-SM-5KM1V 50-59 years, female 75.2
GTEX-S95S-1226-SM-4GICG 60-69 years, male 75.1
GTEX-RNOR-0126-SM-E9J4R 50-59 years, female 75.1
GTEX-T6MO-1626-SM-32QOM 40-49 years, female 75.0
GTEX-1HCVE-0126-SM-CGQEU 50-59 years, male 75.0
GTEX-1QP9N-1426-SM-DTXFL 30-39 years, male 75.0
GTEX-Y8LW-1826-SM-5S2MV 50-59 years, female 74.9
GTEX-1CB4H-0226-SM-7PBXM 60-69 years, female 74.9
GTEX-1J1OQ-0226-SM-CYPSH 40-49 years, female 74.9
GTEX-145LU-0126-SM-5TDCB 50-59 years, male 74.8
GTEX-18D9B-0526-SM-7LTAS 60-69 years, male 74.8
GTEX-1C4CL-0526-SM-73KVK 30-39 years, male 74.8
GTEX-1L5NE-2526-SM-E6CIE 50-59 years, male 74.8
GTEX-1MCYP-1926-SM-E9J2R 20-29 years, female 74.8
GTEX-11P82-1626-SM-59879 20-29 years, male 74.7
GTEX-ZUA1-0126-SM-5GU76 40-49 years, male 74.6
GTEX-1EKGG-0226-SM-9WYTH 60-69 years, male 74.6
GTEX-13OVK-2026-SM-7KUEO 40-49 years, male 74.5
GTEX-13O3O-0126-SM-E9J49 60-69 years, female 74.5
GTEX-147F4-0226-SM-5QGPW 50-59 years, male 74.4
GTEX-1EU9M-0226-SM-7P8SP 60-69 years, male 74.4
GTEX-1QPFJ-0226-SM-E76PB 30-39 years, female 74.4
GTEX-1R9PO-2126-SM-E9J4O 60-69 years, female 74.4
GTEX-OOBK-0126-SM-2YUND 40-49 years, male 74.3
GTEX-1JMPY-1326-SM-ARL8Y 30-39 years, male 74.3
GTEX-1M4P7-0226-SM-DIPEV 60-69 years, male 74.3
GTEX-13OVG-1926-SM-5L3DK 60-69 years, male 74.2
GTEX-1H3VY-0126-SM-ACKXD 50-59 years, male 74.2
GTEX-12WSK-2326-SM-5GCOH 40-49 years, female 74.1
GTEX-YB5E-2026-SM-5IFIS 40-49 years, male 74.1
GTEX-ZQG8-1626-SM-DHXIT 60-69 years, female 74.1
GTEX-12KS4-0326-SM-5EQ41 30-39 years, male 74.0
GTEX-17HGU-0226-SM-7DHKV 50-59 years, male 74.0
GTEX-1B97I-1626-SM-73KYO 40-49 years, male 73.9
GTEX-14JIY-0126-SM-6LLH6 60-69 years, male 73.8
GTEX-Q734-1926-SM-2I5EV 40-49 years, female 73.8
GTEX-TMMY-0226-SM-33HBA 40-49 years, female 73.8
GTEX-1S82Y-2026-SM-EVYCM 40-49 years, male 73.8
GTEX-Y5V5-2326-SM-4V6GA 60-69 years, female 73.7
GTEX-1CB4F-0426-SM-9KNV4 60-69 years, male 73.7
GTEX-T5JC-0426-SM-32PLO 20-29 years, male 73.6
GTEX-1I1GS-0126-SM-B2LVW 60-69 years, male 73.6
GTEX-11ZTT-2426-SM-5EQLS 60-69 years, female 73.5
GTEX-QDT8-0126-SM-48TZ1 30-39 years, female 73.5
GTEX-TSE9-0126-SM-3DB83 60-69 years, female 73.5
GTEX-13N1W-0126-SM-5K7VT 70-79 years, male 73.4
GTEX-15DCD-0126-SM-7KUEK 70-79 years, female 73.4
GTEX-1AX9K-2326-SM-73KWU 50-59 years, male 73.4
GTEX-1GN73-0226-SM-9WG67 60-69 years, male 73.4
GTEX-1PIGE-0126-SM-EVYBJ 20-29 years, male 73.3
GTEX-WH7G-2326-SM-3NMBC 40-49 years, male 73.0
GTEX-ZYFG-2326-SM-5E44B 60-69 years, female 73.0
GTEX-1AYCT-2426-SM-7IGQ3 50-59 years, male 72.9
GTEX-Y5LM-1926-SM-5RQJH 40-49 years, female 72.9
GTEX-1GF9X-2026-SM-7PC3A 40-49 years, female 72.9
GTEX-14PJ6-2126-SM-6EU1V 60-69 years, female 72.6
GTEX-14PN3-2426-SM-6LLHS 60-69 years, female 72.4
GTEX-1HCU8-0626-SM-A9SM9 60-69 years, female 72.4
GTEX-1KAFJ-2026-SM-CY8ID 50-59 years, male 72.3
GTEX-1CAMQ-0226-SM-7IGPK 40-49 years, male 72.1
GTEX-R55E-0126-SM-2TC5Y 20-29 years, male 72.1
GTEX-11XUK-2026-SM-5EQLF 40-49 years, female 72.0
GTEX-18QFQ-0126-SM-731BE 30-39 years, male 71.9
GTEX-14A6H-0126-SM-5QGPK 30-39 years, male 71.7
GTEX-1IGQW-0126-SM-COH42 60-69 years, male 71.6
GTEX-YEC4-2126-SM-5IFJH 40-49 years, male 71.4
GTEX-1H23P-0126-SM-ADEJ3 60-69 years, male 71.4
GTEX-1NHNU-1026-SM-E9J2A 50-59 years, male 71.4
GTEX-13N2G-2626-SM-5J1OT 60-69 years, male 71.3
GTEX-1HCU7-0226-SM-CL545 50-59 years, male 71.3
GTEX-SNMC-1226-SM-2XCFP 20-29 years, male 71.2
GTEX-X638-0126-SM-47JZ8 70-79 years, female 71.2
GTEX-ZXG5-0126-SM-5GIEU 60-69 years, male 71.2
GTEX-ZVE2-0226-SM-59HJB 50-59 years, male 71.1
GTEX-1F88F-2726-SM-7PBZZ 60-69 years, female 71.1
GTEX-13QJ3-0326-SM-5S2RA 50-59 years, male 71.0
GTEX-XPVG-2626-SM-4B669 50-59 years, male 71.0
GTEX-ZV6S-2326-SM-4YCEY 40-49 years, female 70.9
GTEX-1PPH7-2326-SM-EVYB8 40-49 years, male 70.6
GTEX-QEG4-0226-SM-2S1PY 30-39 years, male 70.4
GTEX-11DXX-2426-SM-5GZZW 60-69 years, female 70.2
GTEX-13OVJ-0126-SM-5KM36 50-59 years, female 70.2
GTEX-WVJS-0126-SM-4MVOT 50-59 years, male 70.1
GTEX-OOBJ-0126-SM-E6CJW 60-69 years, male 70.1
GTEX-QVJO-1626-SM-2S1QW 60-69 years, female 70.0
GTEX-1R7EV-2426-SM-EVYBG 40-49 years, male 70.0
GTEX-11DXY-2626-SM-5GIE7 60-69 years, male 69.9
GTEX-RWS6-2026-SM-2XCB5 60-69 years, female 69.9
GTEX-1S3DN-2226-SM-EVYCD 50-59 years, male 69.8
GTEX-PW2O-1526-SM-7RHHB 20-29 years, male 69.1
GTEX-1192X-0226-SM-5H12D 50-59 years, male 69.0
GTEX-11ZUS-0626-SM-59885 30-39 years, male 69.0
GTEX-1GN1V-0126-SM-9WPOS 60-69 years, male 69.0
GTEX-1QCLY-0326-SM-E8VOG 30-39 years, male 69.0
GTEX-SSA3-0126-SM-32QPU 60-69 years, male 68.8
GTEX-TKQ1-1026-SM-4GICL 30-39 years, male 68.8
GTEX-1I1GT-0626-SM-CGQER 60-69 years, female 68.7
GTEX-ZWKS-0126-SM-5SIAA 30-39 years, male 68.4
GTEX-1GZ4H-1726-SM-7PBZJ 50-59 years, female 68.3
GTEX-Q2AI-1326-SM-2S1PL 40-49 years, male 68.2
GTEX-ZDTT-2726-SM-4WKF8 60-69 years, male 68.0
GTEX-18A66-0226-SM-718BD 60-69 years, male 67.6
GTEX-13NYS-0126-SM-5MR3W 60-69 years, male 67.4
GTEX-Z9EW-1626-SM-5CVMN 40-49 years, male 67.4
GTEX-1I1HK-0126-SM-COH49 60-69 years, male 67.4
GTEX-ZXES-1826-SM-5E43S 30-39 years, female 67.2
GTEX-1GPI7-0126-SM-9MQL8 20-29 years, male 67.2
GTEX-1H3NZ-0126-SM-ACKX7 60-69 years, male 66.9
GTEX-11TTK-0126-SM-5987B 60-69 years, female 66.8
GTEX-SUCS-1926-SM-32PM3 70-79 years, male 66.8
GTEX-1F6RS-0126-SM-9MQKZ 60-69 years, female 66.7
GTEX-14PHW-0126-SM-6LLJI 60-69 years, female 66.5
GTEX-1314G-1526-SM-5EGK2 30-39 years, male 66.4
GTEX-13O3P-0126-SM-5KM4S 50-59 years, male 66.3
GTEX-17F97-0326-SM-7LG5B 50-59 years, male 66.3
GTEX-1PBJI-0526-SM-E8VNK 20-29 years, female 66.3
GTEX-1QW4Y-1526-SM-EAZ3Z 30-39 years, male 66.3
GTEX-1C6VR-2426-SM-79OLD 60-69 years, male 66.1
GTEX-12C56-1726-SM-5EQ61 20-29 years, male 65.9
GTEX-XMD2-0126-SM-4YCDU 60-69 years, female 65.8
GTEX-1H11D-0226-SM-9WG6Z 40-49 years, male 65.7
GTEX-11NSD-2226-SM-5986V 20-29 years, male 65.6
GTEX-PLZ4-0126-SM-5SI8O 50-59 years, female 65.6
GTEX-1PFEY-1526-SM-E76PP 30-39 years, male 65.6
GTEX-13SLW-0126-SM-5SI6C 70-79 years, male 65.4
GTEX-1CAMR-1926-SM-7EPI2 20-29 years, male 65.4
GTEX-113IC-0126-SM-5HL6T 60-69 years, male 65.2
GTEX-1J1R8-1726-SM-ARL8M 40-49 years, male 65.2
GTEX-13W3W-2426-SM-5LU5B 60-69 years, female 65.0
GTEX-13NYC-0326-SM-E9J4S 60-69 years, male 65.0
GTEX-1GF9U-2126-SM-7SB7L 40-49 years, female 65.0
GTEX-1I19N-0326-SM-ACKVX 70-79 years, male 65.0
GTEX-13NZ8-0826-SM-5MR3I 60-69 years, female 64.9
GTEX-XQ8I-0426-SM-4BOPO 50-59 years, male 64.7
GTEX-15F5U-1526-SM-6PANO 40-49 years, male 64.6
GTEX-15CHC-2126-SM-6EU21 60-69 years, female 64.5
GTEX-11EQ9-2426-SM-5HL5T 30-39 years, male 64.4
GTEX-PWO3-1526-SM-48TCM 60-69 years, female 64.3
GTEX-ZAB5-1826-SM-5HL7C 50-59 years, male 64.3
GTEX-1RAZQ-0726-SM-EAZ43 30-39 years, male 64.2
GTEX-XUW1-0426-SM-4BOOT 50-59 years, female 64.1
GTEX-1HSMP-0126-SM-E6CJS 70-79 years, male 64.1
GTEX-WZTO-0126-SM-3NM95 40-49 years, male 64.0
GTEX-1IDJU-2626-SM-CM2RT 60-69 years, female 64.0
GTEX-1JKYN-1326-SM-CGQG9 30-39 years, male 64.0
GTEX-14E7W-0126-SM-6LLJ9 70-79 years, male 63.9
GTEX-14LLW-0126-SM-6LLIO 70-79 years, female 63.9
GTEX-OXRN-0126-SM-48TDM 50-59 years, male 63.9
GTEX-1GN1W-0526-SM-9MQJQ 50-59 years, female 63.9
GTEX-14LZ3-0226-SM-62LET 60-69 years, female 63.7
GTEX-16NGA-1726-SM-731B4 40-49 years, female 63.7
GTEX-VUSG-2526-SM-4KL1V 50-59 years, male 63.7
GTEX-1AMFI-2026-SM-731BH 50-59 years, female 63.6
GTEX-1F75I-0326-SM-9YFLU 40-49 years, male 63.5
GTEX-1RQEC-0426-SM-E6CHU 60-69 years, male 63.3
GTEX-12WSN-5019-SM-79OM6 40-49 years, male 63.2
GTEX-11VI4-1726-SM-5CVLH 40-49 years, female 63.0
GTEX-1F52S-0126-SM-9MQJU 60-69 years, female 62.9
GTEX-1JK1U-2026-SM-CM2RZ 60-69 years, male 62.8
GTEX-17F96-1626-SM-7DUFL 70-79 years, male 62.4
GTEX-ZEX8-2426-SM-4WKG4 50-59 years, male 62.4
GTEX-1CB4I-0226-SM-79OLH 50-59 years, male 62.2
GTEX-RM2N-1426-SM-2TF4H 50-59 years, male 62.2
GTEX-13FTY-0526-SM-5L3EV 40-49 years, female 62.1
GTEX-ZF28-0126-SM-4WKGK 60-69 years, male 61.8
GTEX-WOFL-0126-SM-3MJG2 60-69 years, male 61.7
GTEX-16YQH-0126-SM-7DUFJ 30-39 years, male 61.6
GTEX-1K9T9-0126-SM-EVYCF 50-59 years, female 61.6
GTEX-ZC5H-0226-SM-4WAY9 40-49 years, female 61.2
GTEX-R55G-2526-SM-2TC6D 40-49 years, female 61.0
GTEX-1LNCM-1126-SM-E9U5E 50-59 years, female 60.7
GTEX-15EOM-0126-SM-7KUGG 20-29 years, female 60.6
GTEX-XV7Q-2526-SM-4BRV9 40-49 years, female 60.4
GTEX-147GR-0526-SM-5S2MY 60-69 years, male 60.3
GTEX-1KANB-0526-SM-E6CJH 50-59 years, male 60.3
GTEX-1C6VS-0526-SM-7DUEN 60-69 years, male 60.2
GTEX-1B8KZ-2026-SM-7DHMB 50-59 years, male 60.1
GTEX-1I6K6-0126-SM-A9SLE 30-39 years, male 60.1
GTEX-1JJ6O-0126-SM-E6CI8 60-69 years, male 59.9
GTEX-ZZPT-0226-SM-5E43X 50-59 years, male 59.7
GTEX-WFON-2126-SM-3LK7O 40-49 years, male 59.6
GTEX-PLZ5-2026-SM-2S1O4 50-59 years, male 59.4
GTEX-13VXT-0126-SM-5LU4I 20-29 years, female 59.3
GTEX-1QP2A-0126-SM-E9J43 50-59 years, male 59.3
GTEX-14DAQ-0126-SM-5S2MQ 60-69 years, female 59.2
GTEX-OXRK-0226-SM-3NB2G 50-59 years, female 59.2
GTEX-T2YK-0526-SM-32QPJ 50-59 years, male 59.2
GTEX-1AMEY-1326-SM-73KYK 30-39 years, female 59.1
GTEX-X62O-0126-SM-4E3JN 50-59 years, male 58.8
GTEX-RN64-0126-SM-2TC68 50-59 years, male 58.7
GTEX-1H1E6-1726-SM-ACKVK 30-39 years, male 58.7
GTEX-11P7K-2126-SM-5GU7G 30-39 years, male 58.4
GTEX-1MA7X-2226-SM-E6CIY 60-69 years, male 58.4
GTEX-1C2JI-1826-SM-73KXC 50-59 years, male 58.3
GTEX-R45C-0126-SM-EAZ2R 60-69 years, female 58.0
GTEX-V1D1-2226-SM-3NMAX 50-59 years, male 57.4
GTEX-QLQW-1126-SM-2S1Q8 30-39 years, male 57.2
GTEX-16AAH-1726-SM-7939C 50-59 years, male 57.0
GTEX-1HCU9-1526-SM-A9SL7 20-29 years, male 57.0
GTEX-17EUY-0426-SM-793BD 20-29 years, male 56.6
GTEX-U3ZN-2326-SM-3DB7W 30-39 years, female 56.6
GTEX-1JJE9-0326-SM-CL53Z 70-79 years, male 56.4
GTEX-1N2DV-0226-SM-E6CJ6 40-49 years, male 55.9
GTEX-16NPX-0226-SM-79OMT 50-59 years, male 55.8
GTEX-1C64O-0126-SM-7SB8P 60-69 years, male 55.4
GTEX-1IE54-0126-SM-CMKHW 40-49 years, female 55.3
GTEX-146FR-1326-SM-E9J48 60-69 years, female 55.2
GTEX-U3ZM-1526-SM-3DB9D 40-49 years, male 55.0
GTEX-OXRL-0126-SM-2YUMP 50-59 years, male 54.2
GTEX-1F5PK-2426-SM-7RHHY 50-59 years, male 54.2
GTEX-1S82Z-0826-SM-E6CHY 30-39 years, female 54.2
GTEX-U4B1-1826-SM-4DXSU 40-49 years, male 54.0
GTEX-OIZF-0126-SM-7SB8I 60-69 years, male 54.0
GTEX-17MFQ-1726-SM-793C7 20-29 years, male 53.9
GTEX-1GL5R-1826-SM-9KNUY 50-59 years, male 53.3
GTEX-1QP29-0626-SM-EWRMX 50-59 years, male 53.2
GTEX-1GMR8-0126-SM-9WYTM 50-59 years, female 53.1
GTEX-1RAZA-0126-SM-E6CI3 20-29 years, male 52.5
GTEX-ZY6K-1826-SM-5GZXK 50-59 years, male 52.2
GTEX-1HKZK-0326-SM-9WYUH 40-49 years, male 51.9
GTEX-1HSEH-0126-SM-ACKXN 60-69 years, male 50.1
GTEX-1HBPH-0426-SM-B2LW5 40-49 years, female 49.7
GTEX-OHPM-0126-SM-2YUN9 50-59 years, male 48.8
GTEX-1LSNM-1926-SM-E6CII 50-59 years, male 45.6
Show allShow less

Contact

  • NEWS ARTICLES
  • PRESS ROOM

The Project

  • INTRODUCTION
  • ORGANIZATION
  • PUBLICATIONS

The Human Protein Atlas

  • DOWNLOADABLE DATA
  • LICENCE & CITATION
  • HELP & FAQ
The Human Protein Atlas project is funded
by the Knut & Alice Wallenberg Foundation.


contact@proteinatlas.org