We use cookies to enhance the usability of our website. If you continue, we'll assume that you are happy to receive all cookies. More information. Don't show this again.
HSPB1
HPA
RESOURCES
  • TISSUE
  • BRAIN
  • SINGLE CELL
  • SUBCELLULAR
  • CANCER
  • BLOOD
  • CELL LINE
  • STRUCTURE & INTERACTION
ABOUT
  • INTRODUCTION
  • HISTORY
  • ORGANIZATION
  • PUBLICATIONS
  • ANTIBODY SUBMISSION
  • ANTIBODY AVAILABILITY
  • ACKNOWLEDGMENTS
  • CONTACT
NEWS
  • NEWS ARTICLES
  • PRESS ROOM
LEARN
  • DICTIONARY
  • PROTEIN CLASSES
  • PROTEIN EVIDENCE
  • METHODS
  • EDUCATIONAL VIDEOS
DATA
  • DOWNLOADABLE DATA
  • PUBLICATION DATA
  • RELEASE HISTORY
HELP
  • ANTIBODY VALIDATION
  • ASSAYS & ANNOTATION
  • DISCLAIMER
  • HELP & FAQ
  • PRIVACY STATEMENT
  • LICENCE & CITATION
Fields »
Search result

Field
Term
Gene name
Class
Subclass
Class
Keyword
Chromosome
External id
Tissue
Cell type
Expression
Antibody panel
Tissue
Main location
Patient ID
Annotation
Tissue
Category
Tau score
Cluster
Reliability
Brain region
Category
Tau score
Brain region
Category
Tau score
Brain region
Category
Tau score
Cluster
Reliability
Tissue
Cell type
Enrichment
Cell type
Category
Tau score
Cell type
Category
Tau score
Cell type
Category
Tau score
Cell lineage
Category
Tau score
Cluster
Cluster
Location
Searches
Location
Cell line
Class
Type
Phase
Reliability
Cancer
Prognosis
Cancer
Category
Cancer
Category
Tau score
Cluster
Variants
Interacting gene (ensg_id)
Type
Number of interactions
Pathway
Category
Score
Score
Score
Validation
Validation
Validation
Validation
Antibodies
Data type
Column


  • SUMMARY

  • TISSUE

  • BRAIN

  • SINGLE CELL

  • SUBCELL

  • CANCER

  • BLOOD

  • CELL LINE

  • STRUCT & INT

  • HSPB1
TISSUE PRIMARY DATA ESOPHAGUS Show tissue menu
ADIPOSE TISSUE ADRENAL GLAND AMYGDALA APPENDIX BASAL GANGLIA BONE MARROW BREAST BRONCHUS CEREBELLUM CEREBRAL CORTEX CERVIX CHOROID PLEXUS COLON DUODENUM
ENDOMETRIUM EPIDIDYMIS ESOPHAGUS FALLOPIAN TUBE GALLBLADDER HEART MUSCLE HIPPOCAMPAL FORMATION HYPOTHALAMUS KIDNEY LIVER LUNG LYMPH NODE MIDBRAIN NASOPHARYNX
ORAL MUCOSA OVARY PANCREAS PARATHYROID GLAND PITUITARY GLAND PLACENTA PROSTATE RECTUM RETINA SALIVARY GLAND SEMINAL VESICLE SKELETAL MUSCLE SKIN SMALL INTESTINE
SMOOTH MUSCLE SOFT TISSUE SPINAL CORD SPLEEN STOMACH TESTIS THYMUS THYROID GLAND TONGUE TONSIL URINARY BLADDER VAGINA
ANTIBODIES
AND
VALIDATION
Dictionary
Esophagus
Tissue proteome
Esophagus
ESOPHAGUS - Expression summary
Protein expression
Esophagusi

On the top, protein expression in current human tissue, based on all annotated cell types, is reported with the units not detected (n), low (l), medium (m) and high (h). Underneath, protein expression in each annotated cell type are reported using the same units.

Protein expression data is based on knowledge-based annotation. For genes where more than one antibody has been used, a collective score is set.

If knowledge-based annotation could not be performed for a gene, no data is displayed here. View antibody staining data further down this page.

h
m
l
n
Squamous epithelial cells: High
RNA expressioni

A summary of mRNA expression data available for current tissue based on several datasets. The mRNA expression levels in human tissues are based on RNA-seq data generated by the Human Protein Atlas (HPA), Genotype-Tissue Expression (GTEx) portal and CAGE data generated by the FANTOM5 consortium. Consensus normalized expression levels for human tissues was created by combining the data from HPA and GTEx datasets.

The mRNA expression levels in pig are based on RNA-seq data generated by the Human Protein Atlas (HPA), and for mouse, HPA data and in situ hybridization generated by the Allen brain atlas are reported.

Scroll down to view mRNA expression data in more detail.
Consensus:5743.8 nTPM
HPA:1707.6 nTPM
GTEx:5743.8 nTPM
FANTOM5:16454.8 Scaled Tags Per Million

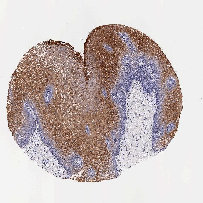
ESOPHAGUS - Antibody stainingi

Antibody staining in the annotated cell types in the current human tissue is reported as not detected, low, medium, or high, based on conventional immunohistochemistry profiling in selected tissues. This score is based on the combination of the staining intensity and fraction of stained cells.

Each image is clickable and will lead to virtual microscopy that enables deeper exploration of all samples and also displays staining intensity scores, fraction scores and subcellular localization as well as patient and tissue information for each sample.

Antibody HPA000497Antibody CAB004439Antibody CAB047331
Squamous epithelial cells HighHighHigh







ESOPHAGUS - HPA RNA-seqi

The RNA-seq details section shows detailed information about the individual samples used for the transcript profiling and results of the RNA-seq analysis.

Information about each individual sample is listed below, including gender, age, a tissue section image and estimated fractions of cell types. nTPM (normalized transcripts per million) values give a quantification of the gene abundance which is comparable between different genes and samples.
Average nTPMi

Max subtype nTPM is the value for the subtype with the largest average nTPM across the subtype samples.

1707.6
overview
Female, age 70
Esophagus sample 130
nTPM: 1858.6
Cell types%
Squamous epithelial cells:
35

Smooth muscle cells:
15

Skeletal muscle cells:
5

Other cell types:
45

overview
Male, age 38
Esophagus sample 131
nTPM: 1591.4
Cell types%
Squamous epithelial cells:
60

Smooth muscle cells:
20

Other cell types:
20

overview
Male, age 76
Esophagus sample 132
nTPM: 1673
Cell types%
Squamous epithelial cells:
45

Smooth muscle cells:
15

Other cell types:
40


ESOPHAGUS - GTEx RNA-seqi

RNA-Seq data generated by the Genotype-Tissue Expression (GTEx) project from human tissues is reported as mean nTPM. More information can be found on the GTEx portal.

Distribution across the dataset is visualized with box plots, shown as median and 25th and 75th percentiles. Points are displayed as outliers if they are above or below 1.5 times the interquartile range. nTPM values of the individual samples are presented next to the box plot.
Max subtype nTPMi

Max subtype nTPM is the value for the subtype with the largest average nTPM across the subtype samples.

5743.8
GTEx sample id Sample description nTPM
Esophagus - Mucosa
Average nTPM: 5743.8
Samples: 555

Max nTPM: 18271.3
Min nTPM: 1184.0
Std nTPM: 2371.2
Median nTPM: 5442.3
GTEX-15RIF-0826-SM-6M47C 20-29 years, male 18271.3
GTEX-Q2AG-1326-SM-43V8K 40-49 years, female 17555.3
GTEX-14PJ5-0526-SM-664OE 60-69 years, female 17498.9
GTEX-1269C-1026-SM-5N9EY 60-69 years, female 15785.2
GTEX-XQ3S-1126-SM-4BOPK 20-29 years, male 15639.7
GTEX-132AR-2226-SM-5J2NT 50-59 years, female 14896.4
GTEX-T2YK-1326-SM-4DM6S 50-59 years, male 13986.4
GTEX-16Z82-1926-SM-6M47U 60-69 years, male 13824.6
GTEX-1N2EE-2426-SM-EXOIO 60-69 years, male 13457.0
GTEX-1CAMQ-2726-SM-7MKGD 40-49 years, male 12823.5
GTEX-1MCQQ-1026-SM-EV7AX 60-69 years, male 12559.1
GTEX-117YW-1926-SM-5H121 50-59 years, male 12488.5
GTEX-1399Q-1126-SM-5P9JA 40-49 years, male 12085.1
GTEX-1HCU8-2226-SM-9WPOV 60-69 years, female 11947.7
GTEX-14JIY-0926-SM-6871D 60-69 years, male 11828.7
GTEX-YFC4-1226-SM-5LU9R 40-49 years, female 10980.3
GTEX-1F88F-1126-SM-7MKHL 60-69 years, female 10886.2
GTEX-12ZZX-1326-SM-5DUWI 40-49 years, female 10853.5
GTEX-1KANB-1826-SM-DHXJU 50-59 years, male 10633.8
GTEX-11ZU8-1526-SM-5EGHX 60-69 years, male 10622.2
GTEX-14A6H-1326-SM-5NQBC 30-39 years, male 10606.8
GTEX-WVLH-1426-SM-4MVNX 50-59 years, male 10452.2
GTEX-PVOW-1626-SM-48TC9 40-49 years, male 10357.6
GTEX-T5JC-1726-SM-4DM6U 20-29 years, male 10351.9
GTEX-11ZTS-2626-SM-5EGIC 60-69 years, female 10241.6
GTEX-13NZB-1226-SM-5J2MW 30-39 years, male 10231.2
GTEX-11DXY-1426-SM-5N9CN 60-69 years, male 10097.6
GTEX-1CB4H-1526-SM-7MXU4 60-69 years, female 10019.5
GTEX-ZE9C-1126-SM-4WWBD 60-69 years, male 10006.2
GTEX-13FHP-1526-SM-5IJGE 50-59 years, male 9995.5
GTEX-14ICK-2026-SM-6AJB2 40-49 years, male 9983.0
GTEX-1LB8K-1326-SM-CXZKB 50-59 years, male 9881.7
GTEX-1LVAN-2326-SM-CNNPY 50-59 years, female 9723.2
GTEX-1MCC2-1926-SM-DHXJR 30-39 years, female 9722.9
GTEX-YB5E-0926-SM-4WWDQ 40-49 years, male 9680.0
GTEX-OXRP-0926-SM-48TC1 60-69 years, female 9571.7
GTEX-1NSGN-2026-SM-DPRYM 50-59 years, male 9568.6
GTEX-1EX96-2226-SM-7MKGT 50-59 years, male 9431.2
GTEX-13O3Q-0826-SM-5IFGF 50-59 years, male 9215.7
GTEX-PLZ4-1626-SM-3P618 50-59 years, female 9167.6
GTEX-18D9U-2126-SM-7LG4Y 40-49 years, male 9142.5
GTEX-ZLV1-0526-SM-4WWD4 60-69 years, female 9138.3
GTEX-1EH9U-2426-SM-7EWFG 60-69 years, male 9060.9
GTEX-ZTPG-1626-SM-5DUX2 20-29 years, female 9037.2
GTEX-ZTSS-0626-SM-59867 40-49 years, male 9028.4
GTEX-1H11D-2126-SM-9OSXM 40-49 years, male 8945.4
GTEX-11GSP-1826-SM-5N9DQ 60-69 years, female 8917.7
GTEX-18465-1126-SM-7LG6E 50-59 years, male 8797.4
GTEX-13FLV-1126-SM-5J2NO 50-59 years, male 8727.5
GTEX-13NYB-0926-SM-5IFFA 40-49 years, male 8694.6
GTEX-145LV-1326-SM-5S2QI 50-59 years, male 8653.7
GTEX-ZC5H-1326-SM-5HL7E 40-49 years, female 8585.2
GTEX-18A6Q-1226-SM-7KFS9 60-69 years, male 8572.5
GTEX-X62O-2226-SM-46MW3 50-59 years, male 8554.4
GTEX-1KAFJ-0626-SM-D3L8X 50-59 years, male 8470.7
GTEX-O5YV-1026-SM-3LK72 60-69 years, female 8441.9
GTEX-14BIN-2726-SM-5RQIE 50-59 years, female 8393.6
GTEX-1HSKV-2426-SM-A8N8K 60-69 years, male 8363.1
GTEX-UPK5-1226-SM-4IHL8 40-49 years, male 8334.2
GTEX-1F5PK-1526-SM-7MKGV 50-59 years, male 8301.5
GTEX-13W46-1926-SM-5J2MF 50-59 years, male 8285.8
GTEX-1JMQJ-1226-SM-D3L97 50-59 years, male 8276.6
GTEX-1LNCM-0626-SM-EV7AI 50-59 years, female 8269.0
GTEX-Y3IK-1126-SM-51MSV 50-59 years, female 8256.9
GTEX-OIZG-1026-SM-3LK5X 50-59 years, male 8254.2
GTEX-X4XY-1726-SM-46MVO 60-69 years, male 8238.8
GTEX-R3RS-1326-SM-48FE7 40-49 years, female 8183.7
GTEX-YEC3-2526-SM-CXZIH 50-59 years, male 8174.8
GTEX-1A8FM-1526-SM-7MXTA 50-59 years, female 8174.4
GTEX-12WSK-1126-SM-5LZV8 40-49 years, female 8162.0
GTEX-1QP2A-1926-SM-EXOJ9 50-59 years, male 8107.1
GTEX-11NUK-1326-SM-5P9GN 50-59 years, male 8086.6
GTEX-T8EM-0526-SM-4DM64 40-49 years, male 8060.6
GTEX-11ONC-1526-SM-5GU6S 60-69 years, male 8014.3
GTEX-1GF9U-0826-SM-7MXTZ 40-49 years, female 8008.8
GTEX-XQ8I-1526-SM-4BOOH 50-59 years, male 7935.0
GTEX-15F5U-5010-SM-AHZ2D 40-49 years, male 7889.1
GTEX-14ICL-0526-SM-5RQJ6 30-39 years, male 7885.6
GTEX-XUZC-0426-SM-4BOPE 30-39 years, female 7873.0
GTEX-WYJK-1926-SM-4ONDP 50-59 years, male 7797.7
GTEX-11P82-0526-SM-5986P 20-29 years, male 7738.7
GTEX-1LG7Y-1726-SM-EV7AR 50-59 years, male 7719.8
GTEX-ZG7Y-1126-SM-4WWEZ 50-59 years, male 7671.1
GTEX-1KANA-0626-SM-D4P3I 20-29 years, male 7656.1
GTEX-XBEW-1326-SM-4AT63 40-49 years, male 7553.4
GTEX-1L5NE-1426-SM-DHXKV 50-59 years, male 7547.1
GTEX-14E1K-1226-SM-5S2PD 50-59 years, male 7535.7
GTEX-1N2DV-2026-SM-EV7BL 40-49 years, male 7504.9
GTEX-1399S-1326-SM-5P9GH 30-39 years, female 7487.8
GTEX-Y5V6-1026-SM-4VBS2 60-69 years, male 7475.9
GTEX-1122O-1726-SM-5GICM 60-69 years, female 7466.6
GTEX-PLZ6-0526-SM-3P61C 30-39 years, male 7457.5
GTEX-15DYW-1826-SM-6LPIY 60-69 years, female 7439.5
GTEX-1LG7Z-0926-SM-CXKYK 30-39 years, male 7418.3
GTEX-OXRN-1726-SM-3NM9B 50-59 years, male 7409.2
GTEX-QVUS-0626-SM-447CC 60-69 years, female 7388.9
GTEX-1HB9E-1526-SM-D3LA6 50-59 years, male 7377.2
GTEX-X4LF-0626-SM-4QASB 50-59 years, male 7375.8
GTEX-1B933-2026-SM-7EWFC 50-59 years, female 7371.4
GTEX-1A3MV-1326-SM-7LG6C 30-39 years, male 7348.9
GTEX-S4Q7-0626-SM-4AD5M 20-29 years, male 7344.9
GTEX-11EI6-1526-SM-5P9GL 60-69 years, male 7343.0
GTEX-X4EP-1626-SM-4QAS6 60-69 years, female 7316.5
GTEX-1RAZS-2626-SM-EV79C 50-59 years, male 7304.7
GTEX-SUCS-0726-SM-4DM7J 70-79 years, male 7287.3
GTEX-1H23P-1426-SM-9JGH5 60-69 years, male 7286.0
GTEX-Y9LG-0626-SM-4WWDH 30-39 years, male 7282.8
GTEX-1S82Y-1226-SM-EV7BD 40-49 years, male 7276.4
GTEX-1LSVX-1226-SM-DHXJN 60-69 years, male 7272.9
GTEX-12ZZY-1426-SM-5N9EI 60-69 years, male 7260.9
GTEX-11I78-1526-SM-5A5K7 50-59 years, female 7256.0
GTEX-POYW-1326-SM-48TCG 60-69 years, male 7253.3
GTEX-1MA7X-0726-SM-EV7AB 60-69 years, male 7164.2
GTEX-18D9A-0526-SM-7KFSW 30-39 years, female 7017.6
GTEX-SE5C-1226-SM-4BRWV 40-49 years, female 7017.0
GTEX-16BQI-1526-SM-6LLIE 30-39 years, female 7015.9
GTEX-Q2AI-0626-SM-48TZU 40-49 years, male 7015.1
GTEX-1IDJD-1626-SM-C1YRC 30-39 years, male 7011.2
GTEX-11EMC-2226-SM-5A5JW 60-69 years, female 7005.5
GTEX-Z9EW-0526-SM-5HL8S 40-49 years, male 7003.1
GTEX-S33H-0826-SM-4AD5Y 30-39 years, male 6973.3
GTEX-1K2DU-1726-SM-EV79S 20-29 years, male 6967.3
GTEX-ZXES-1126-SM-5GZXN 30-39 years, female 6963.4
GTEX-WXYG-1226-SM-4ONCJ 50-59 years, female 6958.8
GTEX-1J1R8-0326-SM-AHZ3D 40-49 years, male 6951.6
GTEX-15SHU-1426-SM-6LPIN 40-49 years, female 6946.3
GTEX-1F75I-1726-SM-7MKGW 40-49 years, male 6938.4
GTEX-1QEPI-1826-SM-EAZ3J 60-69 years, female 6900.0
GTEX-14AS3-0626-SM-5QGQD 40-49 years, female 6870.6
GTEX-1EN7A-1226-SM-7MGX9 40-49 years, male 6854.3
GTEX-ZYVF-2226-SM-5GIDD 50-59 years, female 6845.2
GTEX-1B97I-0926-SM-731DZ 40-49 years, male 6836.8
GTEX-RN64-1026-SM-48FDX 50-59 years, male 6819.1
GTEX-1RAZA-1326-SM-DPS12 20-29 years, male 6816.0
GTEX-OXRK-1326-SM-3NB1A 50-59 years, female 6785.4
GTEX-1HCU7-2126-SM-A96SG 50-59 years, male 6764.0
GTEX-QEL4-1426-SM-447AC 50-59 years, male 6750.7
GTEX-ZV68-0926-SM-59HK7 50-59 years, female 6730.9
GTEX-1GPI7-1026-SM-7MGY2 20-29 years, male 6726.7
GTEX-YECK-1626-SM-5IFHQ 60-69 years, male 6710.2
GTEX-1HFI6-1226-SM-A96SK 40-49 years, male 6708.2
GTEX-1HBPI-0626-SM-9WPP4 50-59 years, male 6703.3
GTEX-139TU-1226-SM-5J2NL 60-69 years, male 6663.0
GTEX-1I1GR-1326-SM-ARU7B 60-69 years, male 6661.5
GTEX-RWS6-0826-SM-47JXF 60-69 years, female 6659.4
GTEX-1EKGG-1726-SM-7MXUP 60-69 years, male 6646.1
GTEX-OIZH-0626-SM-3NB1L 50-59 years, male 6646.0
GTEX-1C64O-1826-SM-7DHM4 60-69 years, male 6637.7
GTEX-139YR-1726-SM-5IFFK 50-59 years, male 6621.4
GTEX-15EOM-5013-SM-7MKF9 20-29 years, female 6611.8
GTEX-18D9B-2026-SM-7LT96 60-69 years, male 6599.7
GTEX-ZAJG-1326-SM-5S2NV 50-59 years, female 6595.1
GTEX-1EWIQ-1526-SM-79OO7 70-79 years, female 6584.4
GTEX-1HBPH-1126-SM-A96TU 40-49 years, female 6578.0
GTEX-15RIE-0826-SM-6M47X 60-69 years, male 6559.4
GTEX-1R9PM-0926-SM-DPRYA 20-29 years, male 6551.8
GTEX-1H1DG-1226-SM-9JGH3 70-79 years, male 6535.3
GTEX-1HGF4-0926-SM-9WPP8 60-69 years, male 6534.0
GTEX-YEC4-1026-SM-9WG7N 40-49 years, male 6533.1
GTEX-17EVQ-1926-SM-7IGOF 70-79 years, male 6513.6
GTEX-1J8EW-1326-SM-AHZ3S 60-69 years, female 6499.2
GTEX-S341-0526-SM-4AD5U 40-49 years, female 6497.8
GTEX-17F96-2526-SM-7DHL3 70-79 years, male 6492.4
GTEX-WQUQ-1626-SM-4OOSH 60-69 years, male 6491.7
GTEX-X3Y1-1326-SM-4PQZB 40-49 years, male 6482.1
GTEX-OOBK-0625-SM-3LK5P 40-49 years, male 6452.3
GTEX-Y5V5-1626-SM-4VDSG 60-69 years, female 6438.6
GTEX-U3ZM-0526-SM-4DXTB 40-49 years, male 6423.0
GTEX-11P81-0826-SM-5P9GR 30-39 years, female 6410.4
GTEX-PWCY-0726-SM-48TCS 20-29 years, female 6387.2
GTEX-ZDTT-1326-SM-4WKFH 60-69 years, male 6380.4
GTEX-1IDJH-2026-SM-CNNQX 70-79 years, male 6376.4
GTEX-148VJ-1026-SM-5LU98 70-79 years, male 6360.9
GTEX-13OVK-1126-SM-6PAMR 40-49 years, male 6350.5
GTEX-1CB4E-1026-SM-793AB 60-69 years, male 6339.9
GTEX-145LU-0926-SM-79OJL 50-59 years, male 6322.4
GTEX-ZT9W-1326-SM-51MTB 50-59 years, male 6320.6
GTEX-XK95-1026-SM-4GIDV 40-49 years, male 6309.3
GTEX-ZYFG-1126-SM-5GICY 60-69 years, female 6303.3
GTEX-1RDX4-2126-SM-EV7B3 50-59 years, female 6303.1
GTEX-T6MO-0526-SM-4DM6R 40-49 years, female 6295.7
GTEX-11P7K-1326-SM-5BC5G 30-39 years, male 6278.8
GTEX-QDVJ-0726-SM-48U1W 50-59 years, male 6272.5
GTEX-NFK9-1126-SM-3LK78 40-49 years, male 6259.1
GTEX-14PJN-0526-SM-68724 30-39 years, male 6252.3
GTEX-13YAN-1926-SM-7EPH9 60-69 years, male 6231.4
GTEX-1B996-1826-SM-7MGY6 60-69 years, male 6183.7
GTEX-S4P3-0426-SM-4AD56 50-59 years, female 6164.4
GTEX-13D11-1926-SM-5IFGB 50-59 years, female 6160.8
GTEX-WFON-0826-SM-4LVMI 40-49 years, male 6155.0
GTEX-X4EO-1226-SM-4QARR 60-69 years, female 6144.6
GTEX-1S83E-0826-SM-EV7B7 40-49 years, male 6140.9
GTEX-ZVP2-1326-SM-57WCE 50-59 years, male 6117.0
GTEX-S95S-0426-SM-4B64I 60-69 years, male 6108.4
GTEX-1K2DA-0626-SM-CGQGO 50-59 years, male 6103.7
GTEX-RNOR-1226-SM-48FDQ 50-59 years, female 6100.8
GTEX-15DCD-1626-SM-6AJBH 70-79 years, female 6093.5
GTEX-1HCU6-1326-SM-A96TZ 60-69 years, female 6081.9
GTEX-UPJH-1026-SM-EAZB2 50-59 years, male 6073.3
GTEX-R55C-0826-SM-48FCL 40-49 years, male 6071.5
GTEX-1IKK5-1326-SM-AHZ2X 60-69 years, male 6065.7
GTEX-1B97J-1026-SM-7MXTE 50-59 years, female 6044.3
GTEX-1PPGY-1726-SM-EVR3S 60-69 years, male 6043.8
GTEX-Y5LM-1026-SM-4VDSQ 40-49 years, female 6033.6
GTEX-ZVT2-1326-SM-5E45H 50-59 years, female 6015.4
GTEX-1IY9M-1626-SM-AHZ39 60-69 years, male 6014.6
GTEX-14PJM-1526-SM-664NY 50-59 years, female 6001.7
GTEX-T5JW-1326-SM-4DM5G 20-29 years, female 5999.9
GTEX-11DXZ-1226-SM-5H11L 50-59 years, male 5996.8
GTEX-R55G-1026-SM-48FDI 40-49 years, female 5977.9
GTEX-11EQ9-0726-SM-5A5K2 30-39 years, male 5957.4
GTEX-PLZ5-0926-SM-3TW8L 50-59 years, male 5955.2
GTEX-1LSNL-2226-SM-DHXKM 50-59 years, male 5926.6
GTEX-1I1GQ-1726-SM-B2LWZ 50-59 years, male 5926.1
GTEX-YJ89-1526-SM-5P9IR 60-69 years, male 5917.4
GTEX-12BJ1-1626-SM-5HL8Y 60-69 years, male 5900.9
GTEX-Q2AH-0826-SM-48TZN 40-49 years, male 5899.4
GTEX-RVPV-0526-SM-47JYL 60-69 years, male 5887.3
GTEX-1HCVE-1226-SM-9WPPH 50-59 years, male 5880.7
GTEX-131XE-1426-SM-5HL7V 50-59 years, male 5866.0
GTEX-PWN1-0626-SM-48TDT 40-49 years, female 5848.2
GTEX-QEG5-1426-SM-447AS 20-29 years, male 5839.9
GTEX-RU72-0726-SM-46MUW 50-59 years, female 5833.7
GTEX-Y8LW-0726-SM-5IFI1 50-59 years, female 5816.2
GTEX-13OVG-0626-SM-5IFEP 60-69 years, male 5805.3
GTEX-18A7A-2326-SM-7KFRH 50-59 years, female 5796.9
GTEX-145LT-1126-SM-5LUA1 40-49 years, male 5793.0
GTEX-WFG7-1126-SM-4LMK3 20-29 years, male 5792.5
GTEX-1CB4F-1526-SM-7MKFM 60-69 years, male 5789.6
GTEX-XXEK-0326-SM-4BRVV 50-59 years, male 5786.4
GTEX-1MCYP-1026-SM-DPRYB 20-29 years, female 5779.5
GTEX-QCQG-0626-SM-48U21 50-59 years, female 5776.9
GTEX-1N2DW-1426-SM-EV7AZ 50-59 years, male 5756.3
GTEX-U4B1-0826-SM-4DXTW 40-49 years, male 5754.8
GTEX-1I4MK-0426-SM-B2LWQ 50-59 years, female 5749.7
GTEX-16A39-1026-SM-6LPJU 30-39 years, female 5748.0
GTEX-17JCI-1226-SM-793D9 60-69 years, female 5737.9
GTEX-WRHK-0526-SM-4MVOF 20-29 years, female 5716.7
GTEX-14B4R-0326-SM-5TDDP 30-39 years, male 5712.4
GTEX-1MGNQ-1626-SM-EAZ4Z 40-49 years, male 5700.6
GTEX-13S86-0826-SM-5SI6J 40-49 years, male 5681.0
GTEX-15RJE-0926-SM-6LLHZ 40-49 years, male 5669.8
GTEX-ZAB4-1126-SM-5HL86 40-49 years, male 5669.7
GTEX-1AMEY-0226-SM-7189Q 30-39 years, female 5669.4
GTEX-ZZ64-0226-SM-5E44X 20-29 years, male 5655.6
GTEX-R55E-1326-SM-48FCR 20-29 years, male 5648.5
GTEX-147F3-0826-SM-5NQA7 50-59 years, female 5646.0
GTEX-1EU9M-2326-SM-7MKGS 60-69 years, male 5638.5
GTEX-131YS-1426-SM-5IJF7 60-69 years, female 5631.4
GTEX-1MA7W-0426-SM-E9TJ5 20-29 years, female 5627.9
GTEX-13FTW-1626-SM-5KM4N 40-49 years, male 5624.8
GTEX-1497J-2726-SM-5SI9W 60-69 years, male 5624.1
GTEX-18A66-1426-SM-7KFRT 60-69 years, male 5619.1
GTEX-1C6VQ-1826-SM-7EWEH 50-59 years, male 5616.8
GTEX-17HII-1526-SM-9OSVD 50-59 years, male 5615.7
GTEX-ZGAY-1126-SM-4WWBS 40-49 years, female 5588.9
GTEX-139UW-1126-SM-5IJEJ 60-69 years, male 5579.0
GTEX-REY6-1326-SM-48FDO 60-69 years, male 5576.7
GTEX-13FTX-0526-SM-5IFGS 20-29 years, female 5566.2
GTEX-OIZF-0626-SM-7MKHG 60-69 years, male 5563.9
GTEX-14PKV-1726-SM-6871U 20-29 years, female 5560.6
GTEX-WOFM-0626-SM-4OOS3 20-29 years, male 5554.8
GTEX-RM2N-0726-SM-48FD5 50-59 years, male 5547.8
GTEX-148VI-1026-SM-5TDDJ 60-69 years, female 5529.5
GTEX-12C56-1226-SM-5FQSU 20-29 years, male 5514.5
GTEX-15ER7-2126-SM-7939E 20-29 years, female 5509.4
GTEX-139T6-0626-SM-5IFF9 50-59 years, male 5497.3
GTEX-1CB4G-1326-SM-7MKFP 60-69 years, male 5489.7
GTEX-14DAR-0826-SM-73KYJ 50-59 years, male 5483.6
GTEX-13OW8-2326-SM-5L3I9 60-69 years, male 5470.8
GTEX-PSDG-1326-SM-48TD2 50-59 years, male 5468.2
GTEX-SNMC-0526-SM-4DM69 20-29 years, male 5466.8
GTEX-R53T-1126-SM-48FD4 50-59 years, female 5453.6
GTEX-WH7G-0926-SM-4LVMJ 40-49 years, male 5448.1
GTEX-ZLWG-1326-SM-DNZYZ 50-59 years, female 5446.2
GTEX-V1D1-1026-SM-4JBHE 50-59 years, male 5444.5
GTEX-1QCLZ-1626-SM-E9U5R 60-69 years, female 5443.9
GTEX-1OKEX-1326-SM-E9J2U 60-69 years, male 5442.3
GTEX-1R9JW-1526-SM-DPRZK 30-39 years, female 5437.8
GTEX-1QP67-0726-SM-DPRY1 40-49 years, female 5436.8
GTEX-X15G-0826-SM-4PQZD 50-59 years, female 5414.8
GTEX-OIZI-1426-SM-3NB1T 40-49 years, male 5412.8
GTEX-W5WG-1626-SM-4LMKG 50-59 years, female 5406.4
GTEX-YF7O-0926-SM-5IFIF 50-59 years, male 5403.5
GTEX-13RTK-0526-SM-5S2QF 20-29 years, male 5393.9
GTEX-S32W-0926-SM-4AD5X 50-59 years, female 5364.5
GTEX-14BMU-0926-SM-5S2QB 20-29 years, female 5358.4
GTEX-U3ZH-1026-SM-4DXUZ 30-39 years, male 5341.9
GTEX-QLQW-0526-SM-4R1KS 30-39 years, male 5332.0
GTEX-145ME-5004-SM-7MGXP 40-49 years, female 5331.8
GTEX-V955-1126-SM-4JBH3 60-69 years, male 5319.0
GTEX-13SLX-1726-SM-5Q5E5 50-59 years, female 5298.1
GTEX-1HKZK-1426-SM-A96U1 40-49 years, male 5292.5
GTEX-ZTX8-0226-SM-5E44D 20-29 years, male 5271.2
GTEX-VJYA-0726-SM-4KL1T 60-69 years, male 5267.8
GTEX-Y8E4-1726-SM-5LU9G 40-49 years, male 5266.0
GTEX-WYVS-0726-SM-4ONDO 40-49 years, female 5261.7
GTEX-NPJ8-1926-SM-3MJGB 40-49 years, male 5260.3
GTEX-ZF2S-1226-SM-4WWAX 50-59 years, female 5245.6
GTEX-1GMR2-1526-SM-7MXV6 50-59 years, male 5236.5
GTEX-ZYY3-1526-SM-5SIA9 60-69 years, female 5235.8
GTEX-1KXAM-0826-SM-CXZK9 60-69 years, male 5233.6
GTEX-1HBPM-1426-SM-9WPPE 60-69 years, female 5229.1
GTEX-SJXC-1426-SM-EYYVB 60-69 years, male 5218.7
GTEX-RTLS-1126-SM-46MUQ 60-69 years, female 5203.9
GTEX-1QP9N-0926-SM-E9U5S 30-39 years, male 5203.4
GTEX-12WSD-1826-SM-5GCOA 60-69 years, female 5189.6
GTEX-12696-1326-SM-5FQTJ 60-69 years, male 5177.9
GTEX-178AV-0526-SM-6LPJH 40-49 years, male 5158.4
GTEX-XYKS-1526-SM-4BRUP 60-69 years, female 5148.4
GTEX-WK11-1026-SM-4OOS8 50-59 years, male 5130.7
GTEX-1I1CD-1726-SM-A9G3P 60-69 years, female 5125.5
GTEX-1212Z-2126-SM-5FQTM 60-69 years, male 5122.0
GTEX-146FH-1726-SM-5QGQ2 50-59 years, female 5118.0
GTEX-13QBU-1026-SM-5LU3R 40-49 years, female 5116.3
GTEX-ZY6K-0626-SM-59HJL 50-59 years, male 5102.0
GTEX-132QS-1426-SM-5P9GE 60-69 years, male 5100.6
GTEX-1RLM8-0726-SM-E6CRH 50-59 years, male 5098.2
GTEX-XBED-1026-SM-48TCB 60-69 years, male 5092.9
GTEX-1JMPZ-2026-SM-C1YR8 30-39 years, male 5089.5
GTEX-1GN1W-2226-SM-9JGI5 50-59 years, female 5079.8
GTEX-13PVR-1826-SM-5Q5CC 60-69 years, female 5078.0
GTEX-XMK1-1326-SM-4B65Q 40-49 years, male 5071.1
GTEX-14JG6-0926-SM-6871Y 30-39 years, female 5067.2
GTEX-ZAK1-1526-SM-5S2OV 50-59 years, female 5052.9
GTEX-13OVI-2626-SM-5KM4T 60-69 years, female 5051.3
GTEX-1JKYN-1526-SM-CGQGA 30-39 years, male 5029.3
GTEX-ZLFU-1126-SM-DO11K 40-49 years, male 5027.2
GTEX-15SB6-0726-SM-6M48F 50-59 years, female 5026.2
GTEX-1JK1U-1726-SM-CNNPM 60-69 years, male 5016.2
GTEX-12KS4-0926-SM-5BC5S 30-39 years, male 5012.7
GTEX-183WM-1726-SM-7KFT5 70-79 years, female 5010.7
GTEX-ZPCL-1426-SM-57WEC 60-69 years, female 5003.7
GTEX-P4PQ-0626-SM-3NMCU 60-69 years, male 4996.8
GTEX-11TT1-0526-SM-5P9JO 20-29 years, male 4995.7
GTEX-QV44-1126-SM-CL55C 50-59 years, male 4993.5
GTEX-1MJIX-0826-SM-DTXEO 40-49 years, male 4965.8
GTEX-XV7Q-1126-SM-4BRVS 40-49 years, female 4948.3
GTEX-U3ZN-1726-SM-4DXUQ 30-39 years, female 4946.7
GTEX-TSE9-1226-SM-4DXTM 60-69 years, female 4939.7
GTEX-13U4I-1126-SM-5LU3S 40-49 years, female 4936.6
GTEX-1RAZR-1226-SM-E6CRD 40-49 years, male 4926.6
GTEX-ZF3C-1626-SM-4WWB4 50-59 years, female 4918.8
GTEX-P4QT-0626-SM-3NMCP 50-59 years, female 4913.7
GTEX-1OJC3-0826-SM-DPRYU 20-29 years, male 4913.6
GTEX-1AYD5-0926-SM-793AF 50-59 years, male 4912.7
GTEX-13G51-0926-SM-5IFFU 60-69 years, male 4907.4
GTEX-1C2JI-1126-SM-731FH 50-59 years, male 4894.5
GTEX-13111-0826-SM-5LZV3 50-59 years, male 4888.0
GTEX-S7SF-0926-SM-4AD4M 20-29 years, female 4862.7
GTEX-1GMR3-1526-SM-9JGGL 40-49 years, male 4859.8
GTEX-1399R-0826-SM-5IJEL 30-39 years, male 4854.9
GTEX-1JMLX-2326-SM-CXZJP 50-59 years, male 4827.7
GTEX-11NSD-1126-SM-5N9BQ 20-29 years, male 4826.2
GTEX-1H1DE-1026-SM-9JGH6 20-29 years, male 4816.2
GTEX-1399U-1026-SM-5J1OC 50-59 years, female 4760.1
GTEX-131XG-1026-SM-5GCMX 50-59 years, female 4749.2
GTEX-12WSL-1526-SM-5GCP8 50-59 years, male 4746.4
GTEX-144FL-2726-SM-5O98Z 50-59 years, male 4741.5
GTEX-WHPG-1126-SM-4M1XT 50-59 years, male 4722.0
GTEX-13QJ3-1726-SM-5RQK9 50-59 years, male 4718.9
GTEX-1I1GV-2226-SM-ARU7E 60-69 years, male 4716.0
GTEX-TML8-1526-SM-4DXUX 40-49 years, female 4707.3
GTEX-UJHI-0826-SM-4IHLM 50-59 years, female 4700.9
GTEX-13JVG-2026-SM-5KM1N 60-69 years, male 4695.2
GTEX-11DXX-1126-SM-5GZZK 60-69 years, female 4689.2
GTEX-VUSG-1226-SM-4KKZF 50-59 years, male 4684.4
GTEX-1M5QR-0726-SM-DHXK7 40-49 years, male 4670.7
GTEX-R45C-1226-SM-48FEE 60-69 years, female 4666.9
GTEX-1J1OQ-2526-SM-AHZ3Q 40-49 years, female 4663.1
GTEX-1J8QM-1926-SM-AHZ3Z 60-69 years, female 4659.9
GTEX-ZUA1-1226-SM-5NQ6O 40-49 years, male 4649.6
GTEX-WFG8-1226-SM-4V6EI 20-29 years, male 4627.7
GTEX-17MFQ-0526-SM-7KFTX 20-29 years, male 4625.0
GTEX-1NUQO-1126-SM-DTX98 20-29 years, female 4623.4
GTEX-YB5K-0826-SM-5YYB7 40-49 years, female 4620.0
GTEX-1RAZQ-1726-SM-EAZ4T 30-39 years, male 4608.6
GTEX-1GN1U-1826-SM-9JGH2 50-59 years, female 4600.5
GTEX-UJMC-0926-SM-4IHLK 50-59 years, male 4589.0
GTEX-1A32A-1826-SM-72D5G 50-59 years, female 4534.7
GTEX-1R7EU-0826-SM-DPRZL 60-69 years, male 4516.3
GTEX-131XF-0826-SM-5GICG 60-69 years, male 4511.5
GTEX-14E6E-0726-SM-5S2R3 30-39 years, male 4511.1
GTEX-1HSMQ-2026-SM-B2LY1 50-59 years, male 4484.7
GTEX-14PHY-0626-SM-664NN 60-69 years, female 4463.8
GTEX-TKQ1-0326-SM-4DXSM 30-39 years, male 4443.7
GTEX-Y114-0926-SM-4TT7J 50-59 years, female 4438.1
GTEX-R55D-1126-SM-48FEB 50-59 years, male 4433.3
GTEX-14H4A-1626-SM-5SI69 40-49 years, female 4404.8
GTEX-12WSA-1426-SM-5EGJU 60-69 years, male 4396.9
GTEX-T2IS-0826-SM-4DM6L 20-29 years, female 4382.5
GTEX-QDVN-1026-SM-48TZA 50-59 years, male 4380.6
GTEX-1R9K5-1526-SM-DPRZA 50-59 years, male 4373.0
GTEX-12ZZW-1726-SM-5DUVD 50-59 years, male 4325.4
GTEX-11EM3-0826-SM-5N9CC 20-29 years, female 4324.9
GTEX-1QP28-1826-SM-EAZ4L 50-59 years, female 4319.0
GTEX-S3XE-0926-SM-4AD4S 50-59 years, male 4315.2
GTEX-X585-1226-SM-46MW7 50-59 years, male 4307.3
GTEX-XGQ4-1526-SM-4AT6H 50-59 years, male 4272.2
GTEX-XLM4-2326-SM-4AT5E 60-69 years, male 4248.4
GTEX-13FH7-0526-SM-5IJF8 50-59 years, female 4247.5
GTEX-WFJO-0826-SM-4LVM5 30-39 years, male 4247.0
GTEX-N7MT-0326-SM-48TDP 60-69 years, female 4228.2
GTEX-111YS-0926-SM-5EGGI 60-69 years, male 4226.3
GTEX-145LS-1826-SM-5LUAZ 60-69 years, female 4217.2
GTEX-1CB4I-1026-SM-7MKFZ 50-59 years, male 4201.3
GTEX-Y3I4-1226-SM-4TT8N 50-59 years, male 4198.5
GTEX-1JKYR-2126-SM-CNNPC 20-29 years, male 4198.2
GTEX-ZF29-1326-SM-DNZYV 60-69 years, female 4195.5
GTEX-13W3W-1626-SM-5LU35 60-69 years, female 4192.9
GTEX-U8XE-1726-SM-4E3IF 30-39 years, male 4186.1
GTEX-1EMGI-1926-SM-7938Y 60-69 years, male 4167.7
GTEX-ZDYS-0826-SM-4WWCR 50-59 years, male 4162.8
GTEX-1PPH8-1626-SM-E6CQP 20-29 years, male 4152.3
GTEX-P78B-1026-SM-3NMC4 40-49 years, female 4142.8
GTEX-WHSE-1526-SM-4M1XH 20-29 years, male 4130.9
GTEX-132Q8-1826-SM-5EGIY 60-69 years, male 4125.3
GTEX-17HHE-0926-SM-7938K 50-59 years, male 4090.4
GTEX-1GL5R-1526-SM-7MKHO 50-59 years, male 4088.4
GTEX-1LBAC-1226-SM-DHXK1 20-29 years, male 4088.4
GTEX-1R9K4-1926-SM-DPRZW 60-69 years, male 4060.7
GTEX-17EUY-1426-SM-7938X 20-29 years, male 4058.8
GTEX-ZYT6-1126-SM-5GZYR 30-39 years, male 4051.4
GTEX-XMD2-1326-SM-4YCET 60-69 years, female 4042.7
GTEX-16AAH-0726-SM-793A9 50-59 years, male 4042.6
GTEX-11XUK-0826-SM-5GU6P 40-49 years, female 4037.3
GTEX-18A67-2426-SM-7LT95 50-59 years, male 4023.3
GTEX-QEG4-0726-SM-CNNRF 30-39 years, male 4021.4
GTEX-TMMY-1126-SM-4DXSX 40-49 years, female 4019.1
GTEX-145MN-1026-SM-5NQ9G 30-39 years, male 4010.5
GTEX-14DAQ-1426-SM-5RQJD 60-69 years, female 4007.9
GTEX-183FY-1526-SM-7IGOW 20-29 years, male 4006.6
GTEX-1I1GU-1426-SM-B2LX3 40-49 years, male 3995.3
GTEX-16NGA-1426-SM-718AC 40-49 years, female 3988.9
GTEX-1QPFJ-1226-SM-EAZ3M 30-39 years, female 3980.2
GTEX-14C5O-1626-SM-73KYH 60-69 years, male 3958.1
GTEX-1KD4Q-1126-SM-CXZKK 40-49 years, male 3953.5
GTEX-SNOS-0626-SM-4DM5F 40-49 years, male 3953.2
GTEX-13OVJ-1226-SM-5L3HA 50-59 years, female 3923.0
GTEX-1LVAM-1126-SM-DHXKP 50-59 years, female 3909.5
GTEX-13O1R-1326-SM-5IJF5 60-69 years, male 3909.4
GTEX-14PJ4-1526-SM-664OA 60-69 years, male 3900.8
GTEX-RU1J-0326-SM-46MUM 20-29 years, female 3891.6
GTEX-ZYW4-1326-SM-5E45N 60-69 years, male 3887.6
GTEX-ZQUD-0426-SM-57WFR 30-39 years, male 3883.8
GTEX-12WSN-5013-SM-7P8P9 40-49 years, male 3854.7
GTEX-1IKOE-1526-SM-C1YSD 30-39 years, female 3834.7
GTEX-1ICG6-1926-SM-ARU7L 70-79 years, female 3819.5
GTEX-1B8KZ-0726-SM-7938W 50-59 years, male 3817.9
GTEX-ZPU1-1426-SM-4WWFU 40-49 years, male 3816.6
GTEX-145MO-1426-SM-DTX9W 60-69 years, male 3815.5
GTEX-13PVQ-1726-SM-5IFF3 50-59 years, male 3808.4
GTEX-1QCLY-1526-SM-DPRXX 30-39 years, male 3808.3
GTEX-1LGRB-1626-SM-CNNR7 50-59 years, female 3780.4
GTEX-16NPX-1626-SM-6LLI5 50-59 years, male 3773.5
GTEX-1IDJF-1226-SM-C1YPX 20-29 years, male 3766.8
GTEX-ZA64-0626-SM-5HL9O 20-29 years, male 3755.7
GTEX-1AX9K-1126-SM-731DQ 50-59 years, male 3750.6
GTEX-1H1ZS-1526-SM-9OSXR 70-79 years, male 3748.0
GTEX-OXRL-0626-SM-3NM9C 50-59 years, male 3747.7
GTEX-1I1GS-2126-SM-ARU7G 60-69 years, male 3736.0
GTEX-1JMPY-0826-SM-AHZ4A 30-39 years, male 3730.3
GTEX-ZYFC-1626-SM-5N9EU 50-59 years, male 3730.2
GTEX-14C38-2126-SM-5RQJO 50-59 years, male 3729.0
GTEX-1AX9J-1826-SM-731FM 60-69 years, male 3724.8
GTEX-RUSQ-0826-SM-47JWW 50-59 years, male 3691.1
GTEX-1GN73-1926-SM-9JGGS 60-69 years, male 3673.3
GTEX-11VI4-0526-SM-5EQ48 40-49 years, female 3673.2
GTEX-111CU-0726-SM-5GZYD 50-59 years, male 3667.0
GTEX-1F52S-1426-SM-7P8PU 60-69 years, female 3666.1
GTEX-144GN-0626-SM-5O9B2 50-59 years, male 3660.8
GTEX-1AX9I-1426-SM-7DHM8 60-69 years, male 3653.2
GTEX-18QFQ-1026-SM-7LG6B 30-39 years, male 3624.2
GTEX-14PJ3-0626-SM-6UGC5 50-59 years, male 3616.6
GTEX-ZAB5-0926-SM-5CVMV 50-59 years, male 3592.5
GTEX-15ETS-1926-SM-7KUN5 40-49 years, female 3589.3
GTEX-13X6H-1326-SM-5LU42 50-59 years, female 3564.8
GTEX-QLQ7-0926-SM-447BC 60-69 years, male 3537.9
GTEX-1F5PL-1726-SM-9QEGL 40-49 years, female 3528.6
GTEX-1BAJH-2026-SM-7P8OZ 70-79 years, male 3508.3
GTEX-13PL7-0226-SM-731DT 60-69 years, female 3500.4
GTEX-P4PP-0626-SM-3NM9X 30-39 years, female 3486.1
GTEX-ZVE2-1326-SM-5NQ94 50-59 years, male 3481.1
GTEX-WHSB-0426-SM-4M1XI 50-59 years, male 3472.1
GTEX-1LVA9-2126-SM-DLHBY 50-59 years, male 3460.8
GTEX-ZEX8-1426-SM-4WKHQ 50-59 years, male 3455.9
GTEX-13O21-0626-SM-5IJDI 50-59 years, male 3449.2
GTEX-15EU6-1626-SM-6LPKF 50-59 years, male 3440.2
GTEX-144GM-1426-SM-5LU31 20-29 years, male 3424.0
GTEX-11LCK-1726-SM-5S2OQ 30-39 years, male 3414.9
GTEX-14PK6-1326-SM-686ZE 70-79 years, female 3397.6
GTEX-13X6K-2126-SM-5O9D4 60-69 years, female 3392.7
GTEX-13FHO-1726-SM-DPRZX 60-69 years, male 3389.7
GTEX-1E1VI-1526-SM-7IGQ2 50-59 years, male 3370.5
GTEX-146FR-0426-SM-5SI97 60-69 years, female 3368.5
GTEX-145MF-1426-SM-5O9B6 50-59 years, male 3363.1
GTEX-14PJ6-1026-SM-686ZB 60-69 years, female 3351.6
GTEX-OHPN-1026-SM-E9TI8 60-69 years, female 3346.3
GTEX-15UF7-0926-SM-6M46F 40-49 years, male 3343.5
GTEX-1AMFI-0226-SM-731D5 50-59 years, female 3333.0
GTEX-15UF6-2326-SM-6M465 70-79 years, female 3313.2
GTEX-11DZ1-2026-SM-5A5KG 50-59 years, male 3313.0
GTEX-14BIM-1326-SM-7EWD1 60-69 years, female 3303.8
GTEX-1JMQK-2026-SM-C1YQN 60-69 years, male 3300.2
GTEX-QESD-0826-SM-47J4G 20-29 years, male 3291.7
GTEX-1C475-0926-SM-7MKFI 40-49 years, female 3280.1
GTEX-15DCE-1326-SM-6LPJL 20-29 years, male 3277.6
GTEX-16MT8-1326-SM-6M47R 60-69 years, female 3265.4
GTEX-17F98-1726-SM-7938O 40-49 years, female 3260.2
GTEX-P4QS-0626-SM-3NMD1 60-69 years, male 3192.6
GTEX-17F97-1326-SM-7MGVO 50-59 years, male 3181.3
GTEX-1GTWX-1326-SM-9JGHU 60-69 years, male 3164.9
GTEX-133LE-0626-SM-5IFFJ 20-29 years, female 3152.5
GTEX-16MTA-0826-SM-6LLIC 50-59 years, male 3121.6
GTEX-1211K-0926-SM-5FQTL 60-69 years, female 3106.4
GTEX-WEY5-0926-SM-4LMI4 40-49 years, female 3079.2
GTEX-Y111-1626-SM-57WCY 50-59 years, male 3065.3
GTEX-ZT9X-0526-SM-5GCOP 40-49 years, male 3038.9
GTEX-11TUW-1326-SM-5EQKV 60-69 years, male 3032.5
GTEX-1H3NZ-1326-SM-9JGHI 60-69 years, male 3021.2
GTEX-1HCUA-1426-SM-9WPP7 50-59 years, female 2967.0
GTEX-1QP29-2126-SM-E6CPZ 50-59 years, male 2938.2
GTEX-11DYG-1326-SM-5N9DO 60-69 years, male 2913.0
GTEX-1B8KE-1826-SM-731FD 50-59 years, male 2912.1
GTEX-1PFEY-0826-SM-E9U6A 30-39 years, male 2826.1
GTEX-13CF3-1626-SM-5IFG9 60-69 years, female 2788.5
GTEX-1LGOU-0526-SM-D3LAO 20-29 years, female 2783.9
GTEX-169BO-0526-SM-793AK 50-59 years, male 2777.3
GTEX-1HC8U-1526-SM-9WPO4 40-49 years, female 2752.0
GTEX-17HGU-1426-SM-7938G 50-59 years, male 2539.2
GTEX-1AX8Z-5016-SM-AHZ2B 60-69 years, male 2450.4
GTEX-1HSGN-1626-SM-A96U2 40-49 years, female 2437.8
GTEX-12WSG-5007-SM-7DUGZ 50-59 years, female 2421.6
GTEX-1CB4J-2426-SM-7MXVC 60-69 years, male 2415.1
GTEX-WHWD-0926-SM-4OORY 50-59 years, male 2388.4
GTEX-1I1GP-1026-SM-C1YRZ 50-59 years, male 2369.8
GTEX-146FQ-1026-SM-5LU8I 30-39 years, male 2360.7
GTEX-1F7RK-1526-SM-7P8T6 20-29 years, female 2330.2
GTEX-144GO-2726-SM-5O9A2 60-69 years, male 2308.1
GTEX-ZZPT-1426-SM-5N9C5 50-59 years, male 2211.7
GTEX-1PIGE-0926-SM-E9U5Z 20-29 years, male 2187.8
GTEX-1QW4Y-0526-SM-EAZ3V 30-39 years, male 2172.9
GTEX-17KNJ-1326-SM-7KFTG 50-59 years, male 2134.6
GTEX-13X6I-1026-SM-5LU4C 60-69 years, male 2116.4
GTEX-1IDFM-1126-SM-A96SY 60-69 years, male 2099.1
GTEX-1K9T9-2026-SM-CXZK3 50-59 years, female 2098.6
GTEX-16XZY-0926-SM-7938M 70-79 years, male 2087.7
GTEX-17F9E-1926-SM-7IGQF 50-59 years, male 2071.2
GTEX-1I6K7-1426-SM-B2LXP 40-49 years, male 1961.3
GTEX-1GMR8-1826-SM-9WYUE 50-59 years, female 1953.5
GTEX-15RJ7-0926-SM-6LPJO 40-49 years, male 1938.1
GTEX-15EO6-1026-SM-7KUG9 50-59 years, male 1876.7
GTEX-1H3VY-2026-SM-9JGHK 50-59 years, male 1707.5
GTEX-N7MS-1225-SM-3LK5G 60-69 years, male 1573.8
GTEX-13O61-0926-SM-5IFFE 60-69 years, male 1184.0
Show allShow less

ESOPHAGUS - FANTOM5 CAGEi

RNA expression in human tissues obtained through Cap Analysis of Gene Expression (CAGE) generated by the FANTOM5 project are reported as Scaled Tags Per Million.

Max subtype Scaled Tags Per Millioni

Max subtype Scaled Tags Per Million is the value for the subtype with the largest average Scaled Tags Per Million across the subtype samples.

16454.8
FANTOM5 sample id Sample description Scaled Tags Per Million
Esophagus
Scaled Tags Per Million: 16454.8
FF:10015-101C6 68,74,75 years, mixed 16454.8

Contact

  • NEWS ARTICLES
  • PRESS ROOM

The Project

  • INTRODUCTION
  • ORGANIZATION
  • PUBLICATIONS

The Human Protein Atlas

  • DOWNLOADABLE DATA
  • LICENCE & CITATION
  • HELP & FAQ
The Human Protein Atlas project is funded
by the Knut & Alice Wallenberg Foundation.


contact@proteinatlas.org